ABOS Orthopedic Board Review: Primary Bone Tumors, Chondromas, & MSK Pathology | Part 9
Key Takeaway
Orthopedic bone tumors are diverse lesions, with primary malignant tumors accounting for 0.2-0.5% of all malignancies. They frequently affect children, metastasize primarily to the lung, and present with nonspecific symptoms leading to delayed diagnosis. Benign variants like periosteal chondromas and enchondromas, including Ollier's disease, are also key topics in orthopedic pathology.
Question 1
A 70-year-old patient with a history of syringomyelia presents with severe, painless destruction of the right shoulder joint. Radiographs show extensive disorganization, fragmentation, and periarticular ossification. When differentiating this Charcot arthropathy from severe osteoarthritis, which of the following features is most characteristic of Charcot arthropathy?
View Answer & Explanation
Correct Answer: C
Rationale: Charcot arthropathy is characterized by severe joint destruction, fragmentation, and disorganization that is often disproportionately painless due to the underlying neuropathy. The text describes "destroyed humeral head and disorganized gleno-humeral joint" and "extensive soft tissue ossification." While osteoarthritis can have osteophytes, joint space narrowing, and subchondral cysts, it is typically painful and does not usually present with the extreme disorganization and instability seen in Charcot joints, especially with minimal pain. Symmetrical involvement is more characteristic of inflammatory arthropathies like rheumatoid arthritis, not typically Charcot.
Question 2
A 45-year-old male presents with new onset bone pain. Imaging reveals a lytic lesion. When considering primary bone neoplasms, what is their general incidence among all malignant tumors?
View Answer & Explanation
Correct Answer: C
Rationale: The text states, "Bone tumors account for 0.2–0.5% of all malignant tumors," indicating their relative uncommonness. Option B is incorrect as it underestimates the stated range.
Question 3
A 10-year-old female presents with a painful mass in her femur. Biopsy confirms a primary bone neoplasm. What is a characteristic feature of most primary bone neoplasms?
View Answer & Explanation
Correct Answer: C
Rationale: The text explicitly states, "Most of them are highly malignant." Option A is incorrect as it contradicts the malignant nature described.
Question 4
A 7-year-old boy is diagnosed with a primary bone sarcoma. Which demographic characteristic is frequently associated with primary bone neoplasms?
View Answer & Explanation
Correct Answer: D
Rationale: The text notes that primary bone neoplasms "aff ect children frequently." Option A is incorrect as it misrepresents the common age group affected.
Question 5
A 15-year-old male with a known primary osteosarcoma is undergoing staging. What is the primary filter for metastasis formation from primary bone neoplasms?
View Answer & Explanation
Correct Answer: D
Rationale: The text states, "the primary fi lter is the lung followed by other parts of the skeleton." Option A is incorrect as regional lymph nodes are rarely affected.
Question 6
A patient with a primary bone sarcoma has developed distant metastases. After the primary filter, where are metastases from primary bone neoplasms most commonly found?
View Answer & Explanation
Correct Answer: C
Rationale: The text specifies the metastatic pathway as "the primary fi lter is the lung followed by other parts of the skeleton." Option A is incorrect as regional lymph nodes are rarely affected.
Question 7
A 20-year-old male with a primary bone tumor is being evaluated for metastatic spread. What is characteristic of regional lymph node involvement in primary bone neoplasms?
View Answer & Explanation
Correct Answer: C
Rationale: The text explicitly states, "Regional lymph nodes are rarely aff ected" in the context of metastasis from primary bone neoplasms. Option A is incorrect as it directly contradicts the provided information.
Question 8
A 55-year-old female presents with localized bone pain. Radiographs show an abnormal lesion. How do bone neoplasms typically manifest on radiographs?
View Answer & Explanation
Correct Answer: B
Rationale: The text states, "they show up as characteristic lesions in the radiographs." Option A is incorrect as it describes a non-specific or different radiographic pattern.
Question 9
A 30-year-old male has a suspected bone tumor. The radiograph shows a destructive lesion. What is the underlying mechanism by which bone neoplasms create their characteristic radiographic appearance?
View Answer & Explanation
Correct Answer: C
Rationale: The text explains, "Bone neoplasms change or destroy the structure of the bone, and accordingly they show up as characteristic lesions in the radiographs." Option B is incorrect as it only describes one potential aspect (bone formation) and not the primary mechanism of structural change/destruction.
Question 10
A 12-year-old presents with leg pain, swelling, and discomfort. These symptoms are common in primary bone neoplasms. What is a key characteristic of these clinical features?
View Answer & Explanation
Correct Answer: C
Rationale: The text states, "As clinical features such as pain, swelling and discomfort are nonspecifi c..." Option A is incorrect as it directly contradicts the text.
Question 11
A patient with a primary bone tumor experienced a significant delay in diagnosis. What factor contributes to a long period of time elapsing until the correct diagnosis of bone neoplasms is achieved?
View Answer & Explanation
Correct Answer: D
Rationale: The text explains, "As clinical features such as pain, swelling and discomfort are nonspecifi c, a long period of time may elapse until the correct diagnosis is achieved." Option B is incorrect as specific clinical features would lead to earlier diagnosis, not delay.
Question 12
A 17-year-old male is diagnosed with an osteosarcoma. At what stage are most bone sarcomas recognized?
View Answer & Explanation
Correct Answer: C
Rationale: The text states, "most of the bone sarcomas are recognized in an extracompartmental advanced stage." Option A is incorrect as it describes an early stage, contrary to the text.
Question 13
The text states that the pathway of metastasis formation for primary bone neoplasms is different from that of carcinoma. What is a key difference implied by the text regarding the primary filter for bone neoplasm metastasis?
View Answer & Explanation
Correct Answer: D
Rationale: The text states, "Th e pathway of metastasis formation is diff erent from that of carcinoma, the primary fi lter is the lung followed by other parts of the skeleton." This explicitly describes the pathway for bone neoplasms, highlighting the lung as the primary filter, which is presented as a difference from carcinoma. Option B is incorrect as regional lymph nodes are rarely affected by primary bone neoplasms.
Question 14
A 60-year-old patient is being evaluated for a bone lesion. Given the general nature of primary bone neoplasms as described, what is true about their malignancy?
View Answer & Explanation
Correct Answer: C
Rationale: The text states, "Most of them are highly malignant." Option A is incorrect as it contradicts this statement.
Question 15
A radiograph shows significant changes in a patient's femur due to a bone neoplasm. What is the fundamental impact of bone neoplasms on the bone structure?
View Answer & Explanation
Correct Answer: C
Rationale: The text states, "Bone neoplasms change or destroy the structure of the bone." Option B is incorrect as it only describes one potential aspect and not the overall impact of changing or destroying the structure.
Question 16
A patient with a bone sarcoma had a delayed diagnosis due to nonspecific symptoms. What is a direct consequence of this delay, as described in the text?
View Answer & Explanation
Correct Answer: C
Rationale: The text states, "As consequence, most of the bone sarcomas are recognized in an extracompartmental advanced stage." This is a direct consequence of the diagnostic delay. Option B is incorrect as delayed diagnosis leads to later stage recognition.
Question 17
A pediatrician is reviewing a case of a suspected bone tumor in a child. What is the frequency of primary bone neoplasms in children?
View Answer & Explanation
Correct Answer: C
Rationale: The text states that primary bone neoplasms "aff ect children frequently." Option A is incorrect as it directly contradicts this statement.
Question 18
A patient presents with bone pain, and radiographs are ordered. What is the role of radiographs in the diagnosis of bone neoplasms?
View Answer & Explanation
Correct Answer: C
Rationale: The text states, "they show up as characteristic lesions in the radiographs." Option B is incorrect as radiographs provide characteristic, not just nonspecific, findings.
Question 19
A patient reports discomfort associated with a bone lesion. How is this discomfort characterized in the context of bone neoplasms?
View Answer & Explanation
Correct Answer: C
Rationale: The text states, "As clinical features such as pain, swelling and discomfort are nonspecifi c..." Option A is incorrect as it contradicts the text.
Question 20
A patient with a primary bone tumor is undergoing a lymph node biopsy. What is the expected finding regarding regional lymph nodes in primary bone neoplasm metastasis?
View Answer & Explanation
Correct Answer: C
Rationale: The text explicitly states, "Regional lymph nodes are rarely aff ected" in the context of metastasis from primary bone neoplasms. Option B is incorrect as it directly contradicts the provided information.
Question 21
A physician is educating a patient about bone tumors. What percentage of all malignant tumors do primary bone tumors account for?
View Answer & Explanation
Correct Answer: B
Rationale: The text states, "Bone tumors account for 0.2–0.5% of all malignant tumors." Option A is incorrect as it underestimates the stated range.
Question 22
A 35-year-old female presents with a several-month history of progressive pain and swelling in her right humerus. Physical examination reveals a palpable mass with tenderness. Radiographs demonstrate a destructive lesion within the humeral shaft. Given the general epidemiology of skeletal neoplasms, what is the approximate incidence of primary malignant bone tumors among all malignant tumors?
View Answer & Explanation
Correct Answer: C
Rationale: The provided text states that "Bone tumors account for 0.2–0.5% of all malignant tumors," indicating their relative uncommonness. Main Distractor: Option D suggests a higher incidence than stated in the text, which could be confused if the exact percentage is not recalled.
Question 23
A 12-year-old male presents with new onset pain and swelling around his knee. Physical examination reveals a warm, tender mass in the distal femur. Radiographs show a mixed lytic and blastic lesion with periosteal reaction. Considering the general characteristics of primary bone neoplasms, which statement regarding their nature and affected population is most accurate?
View Answer & Explanation
Correct Answer: B
Rationale: The text explicitly states, "Most of them are highly malignant and affect children frequently." Main Distractor: Option A is incorrect as the text highlights the high malignancy and frequent occurrence in children, directly contradicting the idea of benignity and elderly affection.
Question 24
A 55-year-old male is diagnosed with a high-grade primary bone sarcoma of the proximal tibia. As part of the staging workup, the orthopedic oncologist discusses the typical metastatic pathway for such bone neoplasms. According to the provided information, what is identified as the primary filter for metastasis formation from these bone tumors?
View Answer & Explanation
Correct Answer: D
Rationale: The text states, "The pathway of metastasis formation is different from that of carcinoma, the primary filter is the lung followed by other parts of the skeleton." This refers to the metastasis of bone neoplasms themselves. Main Distractor: Option A (regional lymph nodes) is incorrect because the text explicitly states that "Regional lymph nodes are rarely affected."
Question 25
A 48-year-old patient with a known primary bone sarcoma is undergoing surveillance for metastatic disease. Following the initial primary filter, which anatomical site is described as the next most common location for metastasis from primary bone neoplasms?
View Answer & Explanation
Correct Answer: E
Rationale: The text specifies, "the primary filter is the lung followed by other parts of the skeleton." Main Distractor: Option A (regional lymph nodes) is incorrect as the text states they are "rarely affected."
Question 26
A 28-year-old male is diagnosed with an aggressive osteosarcoma. During the discussion of potential metastatic spread, the patient inquires about the likelihood of lymph node involvement. Based on the provided information regarding the metastatic pathway of bone neoplasms, what is the typical involvement of regional lymph nodes?
View Answer & Explanation
Correct Answer: C
Rationale: The text explicitly states, "Regional lymph nodes are rarely affected" in the context of metastasis from bone neoplasms. Main Distractor: Option B is incorrect because the text indicates rare involvement, not frequent, and the lung is the primary filter.
Question 27
A 60-year-old female presents with new onset back pain. Radiographs of her lumbar spine reveal a lytic lesion in a vertebral body. The orthopedic surgeon is considering various etiologies, including a primary bone neoplasm. How do bone neoplasms typically manifest on radiographs?
View Answer & Explanation
Correct Answer: C
Rationale: The text states, "Bone neoplasms change or destroy the structure of the bone, and accordingly they show up as characteristic lesions in the radiographs." Main Distractor: Option D is incorrect because while some lesions can be sclerotic, the text emphasizes "change or destroy the structure," which is broader than just sclerotic and implies disruption, not intact architecture.
Question 28
A 40-year-old male presents with persistent, dull pain in his left femur for several months, accompanied by mild swelling. Physical examination is largely unremarkable except for localized tenderness. Given the nature of clinical features associated with bone neoplasms, what is a key characteristic of these symptoms?
View Answer & Explanation
Correct Answer: C
Rationale: The text explicitly states, "As clinical features such as pain, swelling and discomfort are nonspecific..." Main Distractor: Option A is incorrect because the text clearly states the features are "nonspecific," which directly contradicts the idea of high specificity and early diagnosis.
Question 29
A 50-year-old patient reports chronic, vague hip pain that has been attributed to various musculoskeletal issues over the past year. Radiographs eventually reveal a large, destructive lesion in the proximal femur. What is a common consequence of the nonspecific nature of clinical features in bone neoplasms?
View Answer & Explanation
Correct Answer: B
Rationale: The text states, "As clinical features such as pain, swelling and discomfort are nonspecific, a long period of time may elapse until the correct diagnosis is achieved." Main Distractor: Option E is incorrect because the nonspecific nature of symptoms leads to delayed diagnosis, not early detection or screening.
Question 30
A 15-year-old athlete presents with persistent knee pain and swelling that was initially attributed to a sports injury. After several months, imaging reveals a large, aggressive bone sarcoma. What is the typical stage at which most bone sarcomas are recognized, as described in the provided information?
View Answer & Explanation
Correct Answer: C
Rationale: The text concludes, "As consequence, most of the bone sarcomas are recognized in an extracompartmental advanced stage." Main Distractor: Option B is incorrect because the text explicitly states "extracompartmental advanced stage," indicating a later and more extensive presentation than an early, localized stage.
Question 31
A 70-year-old male with a history of prostate cancer presents with new onset hip pain. Imaging reveals a lytic lesion in the femoral head. While considering metastatic disease, the orthopedic surgeon also reviews the general epidemiology of primary bone tumors. What percentage of all malignant tumors do primary bone tumors represent?
View Answer & Explanation
Correct Answer: B
Rationale: The text states, "Bone tumors account for 0.2–0.5% of all malignant tumors." Main Distractor: Option C suggests a significantly higher prevalence than what is stated in the text, making it a plausible but incorrect guess if the exact figure is not known.
Question 32
A 58-year-old patient is being evaluated for a suspected primary bone tumor. The orthopedic oncologist explains that the metastatic spread of this type of tumor differs from that of common carcinomas. According to the provided information, how does the pathway of metastasis formation for bone neoplasms compare to that of carcinoma?
View Answer & Explanation
Correct Answer: C
Rationale: The text explicitly states, "The pathway of metastasis formation is different from that of carcinoma, the primary filter is the lung followed by other parts of the skeleton." Main Distractor: Option A directly contradicts the text's assertion that the pathway is "different from that of carcinoma."
Question 33
A 30-year-old patient presents with localized pain and swelling in their tibia. Radiographs are ordered to investigate a potential bone lesion. What is the fundamental effect that bone neoplasms have on the structure of the bone, as described in the text?
View Answer & Explanation
Correct Answer: C
Rationale: The text states, "Bone neoplasms change or destroy the structure of the bone..." Main Distractor: Option E is incorrect because while some lesions can be sclerotic, the overall description is "change or destroy," implying disruption rather than uniform increase in density.
Question 34
A 10-year-old child presents with a limp and pain in their femur. Radiographs are performed, revealing an abnormal bone lesion. How do the structural changes caused by bone neoplasms typically manifest on radiographs?
View Answer & Explanation
Correct Answer: B
Rationale: The text states, "Bone neoplasms change or destroy the structure of the bone, and accordingly they show up as characteristic lesions in the radiographs." Main Distractor: Option A is incorrect because the text describes them as "characteristic lesions," implying distinct and recognizable patterns, not subtle or indistinct changes.
Question 35
A 65-year-old patient presents with chronic, worsening shoulder pain that has been present for over a year, initially attributed to rotator cuff pathology. Subsequent imaging reveals a large, aggressive tumor in the proximal humerus. What is the primary reason cited for the delay in achieving a correct diagnosis for bone neoplasms?
View Answer & Explanation
Correct Answer: C
Rationale: The text states, "As clinical features such as pain, swelling and discomfort are nonspecific, a long period of time may elapse until the correct diagnosis is achieved." Main Distractor: Option E is incorrect because while early lesions can be subtle, the text specifically attributes the delay to the *nonspecificity of clinical features*, not solely the limitations of radiographs.
Question 36
A 17-year-old patient is diagnosed with an osteosarcoma of the femur. The staging workup reveals that the tumor has extended beyond the bone and into the surrounding soft tissues. This presentation is consistent with the typical stage at which bone sarcomas are recognized. What does "extracompartmental advanced stage" imply for bone sarcomas?
View Answer & Explanation
Correct Answer: C
Rationale: The term "extracompartmental" implies that the tumor has grown beyond the confines of the bone or its original anatomical compartment, which is consistent with an "advanced stage" as described in the text. Main Distractor: Option A is incorrect as "extracompartmental" directly contradicts the idea of the tumor being confined within the bone.
Question 37
A 5-year-old child presents with a rapidly growing mass in their arm, accompanied by pain. Biopsy confirms a primary bone tumor. Based on the general description of bone tumors in the provided text, what is a predominant characteristic of most of these tumors?
View Answer & Explanation
Correct Answer: C
Rationale: The text states, "Most of them are highly malignant and affect children frequently." Main Distractor: Option A is incorrect as it directly contradicts the text's description of most bone tumors being "highly malignant."
Question 38
A 22-year-old patient is diagnosed with a high-grade primary bone sarcoma. The medical team is discussing the typical pattern of distant spread for this type of malignancy. Which organ is identified as the primary filter for metastasis formation from bone neoplasms?
View Answer & Explanation
Correct Answer: D
Rationale: The text states, "the primary filter is the lung followed by other parts of the skeleton" for metastasis formation from bone neoplasms. Main Distractor: Option A (liver) is a common site for metastasis from other primary cancers but is not identified as the primary filter for bone neoplasms in the provided text.
Question 39
A 40-year-old patient with a history of a resected primary bone tumor is undergoing routine follow-up. Surveillance imaging is focused on detecting potential metastatic recurrence. After the primary filter, which site is most commonly affected by metastasis from bone neoplasms?
View Answer & Explanation
Correct Answer: D
Rationale: The text states, "the primary filter is the lung followed by other parts of the skeleton." Main Distractor: Option C (regional lymph nodes) is incorrect as the text states they are "rarely affected."
Question 40
A 50-year-old male presents with persistent, vague pain in his lower extremity. Physical examination is unremarkable, and initial radiographs are inconclusive. The orthopedic surgeon notes that the clinical presentation is typical for bone neoplasms. What is the general characterization of clinical features such as pain, swelling, and discomfort in bone neoplasms?
View Answer & Explanation
Correct Answer: C
Rationale: The text explicitly states, "As clinical features such as pain, swelling and discomfort are nonspecific..." Main Distractor: Option A is incorrect because the text directly contradicts this by stating the features are "nonspecific."
Question 41
A 30-year-old male presents with a palpable, non-tender mass on his proximal humerus. Radiographs show a well-circumscribed juxtacortical lesion. Biopsy reveals a benign cartilaginous tumor originating from the periosteum.
View Answer & Explanation
Correct Answer: C
Rationale: Periosteal chondromas are benign intracortical cartilaginous lesions that arise from the periosteum, matching the clinical and histological description. Enchondromas are intramedullary, osteochondromas have a bony stalk, chondrosarcomas are malignant, and fibrous dysplasia is a fibro-osseous lesion.
Question 42
A 25-year-old female presents with an incidental finding of a small, asymptomatic cartilaginous lesion on her tibia. Given the typical presentation of periosteal chondromas, in which age range would this patient most commonly fall?
View Answer & Explanation
Correct Answer: B
Rationale: The teaching case states that the majority of patients with periosteal chondromas present within the second through the fourth decades of life. The patient's age of 25 falls squarely within this range.
Question 43
A 35-year-old male has a 2 cm periosteal chondroma on his femur. Which of the following is the most common clinical presentation for this type of lesion?
View Answer & Explanation
Correct Answer: C
Rationale: The teaching case explicitly states, "Most patients are asymptomatic." While large lesions may cause mechanical symptoms, small to moderate-sized lesions are typically discovered incidentally.
Question 44
A 28-year-old female undergoes excision of a periosteal chondroma from her distal femur. During gross examination, the resected specimen is observed.

View Answer & Explanation
Correct Answer: C
Rationale: Fig. 8.27 and its accompanying text state that the gross specimen of a periosteal chondroma "resembles hyaline cartilage."
Question 45
A 32-year-old male has a biopsy of a juxtacortical cartilaginous lesion. Histopathological examination is performed.

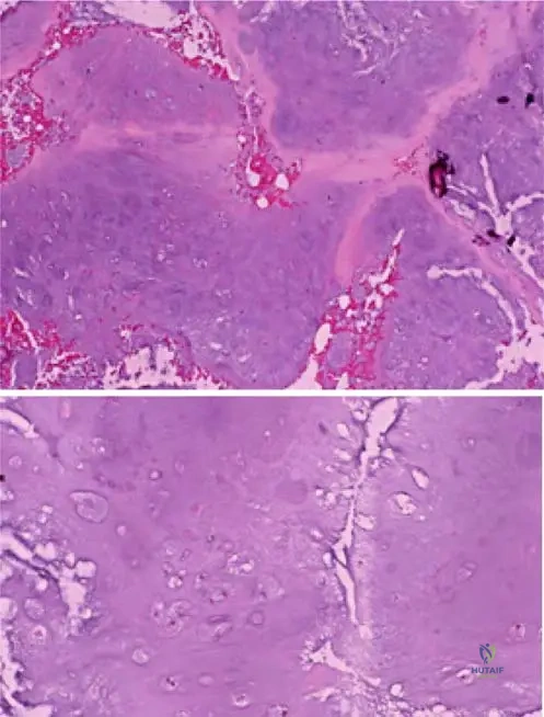
View Answer & Explanation
Correct Answer: B
Rationale: Fig. 8.28 and its description indicate that "Periosteal chondromas are typically more cellular than their intramedullary counterparts." This increased cellularity is a key distinguishing feature.
Question 46
A 29-year-old female presents with a palpable mass on her humerus. Imaging shows a well-defined cartilaginous lesion arising from the periosteum. Histological examination is performed.

View Answer & Explanation
Correct Answer: C
Rationale: Fig. 8.29 and its caption state that periosteal chondromas "often display a lobular growth pattern." This is a characteristic histological feature.
Question 47
A 38-year-old male presents with a slowly growing mass on his distal femur. Radiographs show an eccentric, well-defined lesion eroding the outer cortex. Biopsy confirms a benign cartilaginous tumor. Based on the description, this lesion is best characterized as:
View Answer & Explanation
Correct Answer: C
Rationale: The teaching case defines periosteal chondromas as "benign intracortical cartilaginous lesions." The description of eroding the outer cortex is consistent with an intracortical location.
Question 48
A 40-year-old female has a 6 cm periosteal chondroma on her proximal tibia. Which of the following symptoms is most likely to be associated with a lesion of this size?
View Answer & Explanation
Correct Answer: C
Rationale: The teaching case mentions, "Lesions that become especially large may cause local mechanical symptoms or bursitis." A 6 cm lesion would be considered "especially large."
Question 49
A 22-year-old male presents with a small, firm mass on his forearm. Imaging reveals a periosteal chondroma. Which factor is most likely to influence whether this lesion is palpable on physical examination?
View Answer & Explanation
Correct Answer: C
Rationale: The teaching case states, "Depending on the size of the lesion and the patient’s body habitus, lesions may be palpated on physical examination." Body habitus directly affects the ability to palpate superficial masses.
Question 50
A 33-year-old female has an X-ray showing a well-defined intracortical lesion in her humerus. Given the typical features of a periosteal chondroma, which of the following is the most important characteristic to differentiate it from an enchondroma?
View Answer & Explanation
Correct Answer: C
Rationale: Periosteal chondromas are defined as "intracortical" lesions, meaning they are located within the cortex, often juxtacortical. Enchondromas, in contrast, are intramedullary (within the medullary cavity). This difference in location is the primary distinguishing feature on imaging.
Question 51
A 27-year-old male is concerned about a lesion diagnosed as a periosteal chondroma. What is the fundamental nature of this lesion?
View Answer & Explanation
Correct Answer: C
Rationale: The teaching case clearly states, "Periosteal chondromas are benign intracortical cartilaginous lesions."
Question 52
A pathologist is reviewing a biopsy of a periosteal chondroma. To confirm its identity and differentiate it from other cartilaginous lesions, the pathologist notes a key histological feature. Which feature, when compared to an intramedullary chondroma, is characteristic of a periosteal chondroma?
View Answer & Explanation
Correct Answer: C
Rationale: The teaching case highlights that "Periosteal chondromas are typically more cellular than their intramedullary counterparts." This increased cellularity is a diagnostic clue.
Question 53
A 30-year-old patient is diagnosed with a small, asymptomatic periosteal chondroma. What is the most likely long-term clinical course for this lesion without intervention?
View Answer & Explanation
Correct Answer: C
Rationale: As a benign lesion, periosteal chondromas typically grow slowly. While most are asymptomatic, the text notes that "Lesions that become especially large may cause local mechanical symptoms or bursitis," implying a potential for symptoms with growth.
Question 54
A 36-year-old female has a periosteal chondroma. Given its intracortical nature and cartilaginous composition, what would be a typical radiographic finding?
View Answer & Explanation
Correct Answer: C
Rationale: As a benign, intracortical cartilaginous lesion, a periosteal chondroma typically appears as a well-defined lucency (due to cartilage) located juxtacortically (periosteal/intracortical) with a sclerotic rim, indicating its benign and slow-growing nature. Other options describe aggressive or malignant bone lesions.
Question 55
A 29-year-old male is diagnosed with a periosteal chondroma. The name of the lesion suggests its origin. From which tissue layer is this lesion thought to arise?
View Answer & Explanation
Correct Answer: D
Rationale: The term "periosteal" in "periosteal chondroma" directly indicates its origin from the periosteum, the membrane covering the outer surface of bones.
Question 56
A surgeon excises a periosteal chondroma. The gross specimen is examined.

View Answer & Explanation
Correct Answer: C
Rationale: The caption for Fig. 8.27 explicitly states, "The lesion resembles hyaline cartilage," which is a key characteristic of its gross appearance.
Question 57
A pathologist is examining a biopsy of a periosteal chondroma.

View Answer & Explanation
Correct Answer: C
Rationale: The caption for Fig. 8.29 states, "They often
Question 57
A 28-year-old male presents with a slowly growing, firm mass on the distal femur that he noticed incidentally. He denies pain or functional limitation. Physical examination reveals a palpable, non-tender, firm lesion fixed to the bone. Radiographs show a well-circumscribed, intracortical lesion with a cartilaginous matrix. What is the most likely diagnosis?
View Answer & Explanation
Correct Answer: D
Rationale: Periosteal chondromas are benign intracortical cartilaginous lesions typically presenting in the second through fourth decades of life. They are often asymptomatic but can be palpable. The description of an "intracortical cartilaginous lesion" directly matches the definition of a periosteal chondroma. Enchondromas are intramedullary, osteochondromas are exostoses with a cartilage cap, chondrosarcomas are malignant, and fibrous dysplasia is a fibro-osseous lesion, none of which fit the "intracortical cartilaginous" description as precisely.
Question 57
A 35-year-old female is evaluated for a non-painful, firm bump on her proximal tibia. She reports noticing it for several months, but it has not caused any symptoms. Physical examination confirms a palpable, non-tender mass. Given the typical presentation of a periosteal chondroma, which of the following is the most common symptom?
View Answer & Explanation
Correct Answer: C
Rationale: The text explicitly states, "Most patients are asymptomatic." While large lesions may cause local mechanical symptoms or bursitis, the most common presentation is without symptoms. Severe pain, pathologic fracture, rapid growth, or systemic symptoms are not typical for a benign periosteal chondroma.
Question 57
A 22-year-old male presents with a palpable mass on the diaphysis of his humerus. He reports no pain or functional limitations. Imaging suggests a benign intracortical cartilaginous lesion. Which age range is most consistent with the typical presentation of a periosteal chondroma?
View Answer & Explanation
Correct Answer: B
Rationale: The clinical context states, "The majority of the patients present within the second through the fourth decades of life." This makes option B the most accurate age range for typical presentation. Other age ranges are less common for this specific benign lesion.
Question 57
A 30-year-old female presents with a several-month history of a firm, non-tender mass on her distal femur. She reports occasional mild discomfort with direct pressure but no significant pain. Physical examination reveals a palpable lesion. What is the primary characteristic that allows for palpation of a periosteal chondroma?
View Answer & Explanation
Correct Answer: C
Rationale: The text states, "Depending on the size of the lesion and the patient’s body habitus, lesions may be palpated on physical examination." This implies that a sufficiently large lesion, especially in a superficial location (as an intracortical lesion can be), allows for palpation. Rapid inflammation, deep intramedullary location (it's intracortical), skin discoloration, or high vascularity are not described as primary reasons for palpability.
Question 57
A 25-year-old male presents with a several-month history of a firm, non-tender mass on his proximal tibia. Imaging confirms a benign intracortical cartilaginous lesion. If this lesion were to become symptomatic, which of the following symptoms would be most characteristic?
View Answer & Explanation
Correct Answer: C
Rationale: The text states, "Lesions that become especially large may cause local mechanical symptoms or bursitis." This directly describes the characteristic symptoms if a periosteal chondroma becomes symptomatic. Systemic symptoms, pathologic fracture, rapid pain increase, or neurovascular compromise are not typical for this benign lesion.
Question 57
A 33-year-old female undergoes surgical excision of a benign intracortical cartilaginous lesion from her femur. During gross examination, the pathologist notes the specimen's appearance. Which of the following best describes the gross appearance of a periosteal chondroma?
View Answer & Explanation
Correct Answer: C
Rationale: Fig. 8.27 and its caption state, "Periosteal chondroma gross specimen. The lesion resembles hyaline cartilage." Hyaline cartilage is typically firm and bluish-white. The other options describe different tissue types not characteristic of a chondroma.
Question 57
A 29-year-old male has a biopsy of a suspected periosteal chondroma from his tibia. Histopathological examination is performed. When comparing a periosteal chondroma to an intramedullary enchondroma, which microscopic feature is characteristic of the periosteal variant?
View Answer & Explanation
Correct Answer: C
Rationale: Fig. 8.28 and its caption state, "Periosteal chondromas are typically more cellular than their intramedullary counterparts." This is a key distinguishing microscopic feature. Less cellularity would be characteristic of a typical enchondroma, while osteoid formation or fat cells are not features of pure cartilaginous lesions.
Question 57
A 31-year-old female undergoes imaging for a suspected benign bone lesion. The radiologist notes an intracortical lesion with a cartilaginous matrix. Which growth pattern is frequently observed in periosteal chondromas?
View Answer & Explanation
Correct Answer: C
Rationale: Fig. 8.29 and its caption state, "They often display a lobular growth pattern, as shown in this example." This is a characteristic feature of cartilaginous tumors, including periosteal chondromas. The other options describe patterns seen in other bone tumors (e.g., osteosarcoma, Ewing sarcoma).
Question 57
A 27-year-old male presents with a firm, non-tender mass on the shaft of his femur. Radiographs show a well-defined lesion arising from the outer cortex. Based on the definition provided, what is the precise anatomical location of a periosteal chondroma?
View Answer & Explanation
Correct Answer: C
Rationale: The text explicitly defines periosteal chondromas as "benign intracortical cartilaginous lesions." While they arise from the periosteum, their growth pattern is into the cortex, making "intracortical" the most precise description of their location within the bone. Intramedullary refers to the marrow cavity, subperiosteal is beneath the periosteum but not necessarily within the cortex, and juxta-articular/epiphyseal refer to specific joint/bone end locations.
Question 57
A 38-year-old female presents with a palpable mass on her tibia. Imaging confirms a periosteal chondroma. The lesion is causing mild local mechanical irritation. Which of the following best describes the nature of a periosteal chondroma?
View Answer & Explanation
Correct Answer: B
Rationale: The text clearly states, "Periosteal chondromas are benign intracortical cartilaginous lesions." This confirms their nature as benign primary bone tumors. They are not malignant, metastatic, inflammatory, or purely developmental anomalies without neoplastic potential.
Question 57
A 26-year-old male undergoes biopsy for an intracortical lesion on his femur. The pathologist notes a cartilaginous lesion with increased cellularity compared to a typical enchondroma. This finding, in the context of a periosteal chondroma, is important because it:
View Answer & Explanation
Correct Answer: B
Rationale: The text and Fig. 8.28 state, "Periosteal chondromas are typically more cellular than their intramedullary counterparts." This increased cellularity is a known feature of periosteal chondromas and should not be misinterpreted as a sign of malignancy (like chondrosarcoma) if other benign features are present. It does not indicate malignant transformation, a metabolic disorder, or osteosarcoma, nor does it require chemotherapy.
Question 57
A 30-year-old patient presents with a palpable, non-tender lesion on the diaphysis of the tibia. Radiographs show a well-defined intracortical lesion. Gross examination of the excised specimen reveals a firm, bluish-white mass. This appearance is consistent with a matrix composed primarily of:
View Answer & Explanation
Correct Answer: C
Rationale: The text and Fig. 8.27 state, "The lesion resembles hyaline cartilage." This is the defining matrix component of a chondroma. Fibrous, osseous, myxoid, or adipose tissue would indicate a different type of tumor or lesion.
Question 57
A 24-year-old male has a periosteal chondroma on his distal femur. The lesion has been stable for years but recently started causing mild discomfort with activity. Given the benign nature of this lesion, what is the most appropriate initial management for symptomatic periosteal chondroma?
View Answer & Explanation
Correct Answer: D
Rationale: As periosteal chondromas are benign, aggressive treatments like radiation, wide en bloc resection, chemotherapy, or amputation are not indicated. For symptomatic lesions, local excision (marginal excision) is typically curative. For mild symptoms, activity modification and observation may be considered first. The text implies conservative management for asymptomatic lesions and local intervention for symptomatic ones, consistent with a benign tumor.
Question 57
A 32-year-old female presents with a slowly growing mass on her proximal humerus. Radiographs show an intracortical lesion with a lobular appearance. Histological examination confirms a periosteal chondroma. The lobular growth pattern observed in this lesion is a characteristic feature of:
View Answer & Explanation
Correct Answer: B
Rationale: Fig. 8.29 and its caption state, "They often display a lobular growth pattern, as shown in this example." This lobular architecture is a common and characteristic feature of cartilaginous tumors, both benign and malignant, as cartilage grows in discrete nodules or lobules. It is not specific to highly aggressive malignancies, fibrous lesions, osteoblastic lesions, or inflammatory processes.
Question 57
A 20-year-old athlete presents with a firm, non-tender mass on the anterior aspect of his tibia. He is concerned about its appearance. Imaging confirms a benign intracortical cartilaginous lesion. What is the expected long-term prognosis for a periosteal chondroma after appropriate management?
View Answer & Explanation
Correct Answer: C
Rationale: Periosteal chondromas are benign lesions. While the text doesn't explicitly state prognosis, the term "benign" implies an excellent prognosis with appropriate management (e.g., observation for asymptomatic lesions, local excision for symptomatic ones). Malignant transformation is rare, recurrence is uncommon after complete excision, and progressive growth leading to severe deformity or systemic spread is not characteristic of a benign chondroma.
Question 57
A 34-year-old male presents with a palpable mass on his distal femur. Radiographs show a well-defined intracortical lesion with a cartilaginous matrix. Which of the following features, if present on biopsy, would raise concern for a diagnosis other than a benign periosteal chondroma?
View Answer & Explanation
Correct Answer: D
Rationale: Lobular growth, increased cellularity (compared to enchondroma), and resemblance to hyaline cartilage are all characteristic features of a benign periosteal chondroma as described in the text and images. The presence of permeative growth (infiltrative) and significant nuclear atypia would be highly suspicious for malignancy, such as a chondrosarcoma, and would differentiate it from a benign periosteal chondroma. Absence of mitotic figures is a feature of benign lesions.
Question 57
A 28-year-old female presents with a non-painful, firm mass on her proximal tibia. Radiographs show a well-circumscribed lesion arising from the cortex. The term "intracortical" in the description of a periosteal chondroma implies that the lesion:
View Answer & Explanation
Correct Answer: C
Rationale: The definition "benign intracortical cartilaginous lesions" means the lesion is situated within the cortical bone. It is not confined to the medullary cavity (intramedullary), nor has it necessarily eroded through the cortex into soft tissues (though it can expand). It does not arise from articular cartilage, and while it originates from the periosteum, its growth pattern is into the cortex, making "intracortical" the most accurate description of its location.
Question 57
A 30-year-old male presents with a firm, non-tender mass on his distal femur. Imaging reveals a well-defined intracortical lesion. Given the typical clinical course of a periosteal chondroma, what is the most common reason for a patient to seek medical attention?
View Answer & Explanation
Correct Answer: C
Rationale: The text states, "Most patients are asymptomatic... Depending on the size of the lesion and the patient’s body habitus, lesions may be palpated on physical examination." This implies that the most common reason for presentation is the incidental discovery of a palpable mass, rather than severe pain, fracture, infection, or systemic symptoms, which are rare or atypical for this benign lesion.
Question 57
A 27-year-old female presents with a small, non-tender, firm mass on her tibia. Radiographs are consistent with a periosteal chondroma. She is asymptomatic. What is the most appropriate initial management strategy?
View Answer & Explanation
Correct Answer: C
Rationale: Since periosteal chondromas are benign and "most patients are asymptomatic," observation with serial imaging is the most appropriate initial management for an asymptomatic lesion. Surgical excision is reserved for symptomatic lesions or those with concerning features. Radiation and chemotherapy are not indicated for benign lesions. Biopsy might be considered if the diagnosis is uncertain, but for a classic asymptomatic presentation, observation is often sufficient.
Question 57
A 31-year-old male undergoes surgical removal of a periosteal chondroma from his humerus. The gross specimen is examined. Which of the following terms best describes the tissue type that the lesion resembles?
View Answer & Explanation
Correct Answer: C
Rationale: The text and Fig. 8.27 explicitly state, "The lesion resembles hyaline cartilage." This is the specific type of cartilage that periosteal chondromas are composed of and resemble grossly. Fibrocartilage, elastic cartilage, dense fibrous tissue, or cancellous bone are different tissue types.
Question 58
A 28-year-old male presents with a slowly growing, firm mass on the distal femur that he noticed incidentally. He denies pain or functional limitation. Physical examination reveals a palpable, non-tender, firm lesion fixed to the bone. Radiographs show a well-circumscribed, intracortical lesion with a cartilaginous matrix. What is the most likely diagnosis?
View Answer & Explanation
Correct Answer: D
Rationale: Periosteal chondromas are benign intracortical cartilaginous lesions typically presenting in the second through fourth decades of life. They are often asymptomatic but can be palpable. The description of an "intracortical cartilaginous lesion" directly matches the definition of a periosteal chondroma. Enchondromas are intramedullary, osteochondromas are exostoses with a cartilage cap, chondrosarcomas are malignant, and fibrous dysplasia is a fibro-osseous lesion, none of which fit the "intracortical cartilaginous" description as precisely.
Question 59
A 35-year-old female is evaluated for a non-painful, firm bump on her proximal tibia. She reports noticing it for several months, but it has not caused any symptoms. Physical examination confirms a palpable, non-tender mass. Given the typical presentation of a periosteal chondroma, which of the following is the most common symptom?
View Answer & Explanation
Correct Answer: C
Rationale: The text explicitly states, "Most patients are asymptomatic." While large lesions may cause local mechanical symptoms or bursitis, the most common presentation is without symptoms. Severe pain, pathologic fracture, rapid growth, or systemic symptoms are not typical for a benign periosteal chondroma.
Question 60
A 22-year-old male presents with a palpable mass on the diaphysis of his humerus. He reports no pain or functional limitations. Imaging suggests a benign intracortical cartilaginous lesion. Which age range is most consistent with the typical presentation of a periosteal chondroma?
View Answer & Explanation
Correct Answer: B
Rationale: The clinical context states, "The majority of the patients present within the second through the fourth decades of life." This makes option B the most accurate age range for typical presentation. Other age ranges are less common for this specific benign lesion.
Question 61
A 30-year-old female presents with a several-month history of a firm, non-tender mass on her distal femur. She reports occasional mild discomfort with direct pressure but no significant pain. Physical examination reveals a palpable lesion. What is the primary characteristic that allows for palpation of a periosteal chondroma?
View Answer & Explanation
Correct Answer: C
Rationale: The text states, "Depending on the size of the lesion and the patient’s body habitus, lesions may be palpated on physical examination." This implies that a sufficiently large lesion, especially in a superficial location (as an intracortical lesion can be), allows for palpation. Rapid inflammation, deep intramedullary location (it's intracortical), skin discoloration, or high vascularity are not described as primary reasons for palpability.
Question 62
A 25-year-old male presents with a several-month history of a firm, non-tender mass on his proximal tibia. Imaging confirms a benign intracortical cartilaginous lesion. If this lesion were to become symptomatic, which of the following symptoms would be most characteristic?
View Answer & Explanation
Correct Answer: C
Rationale: The text states, "Lesions that become especially large may cause local mechanical symptoms or bursitis." This directly describes the characteristic symptoms if a periosteal chondroma becomes symptomatic. Systemic symptoms, pathologic fracture, rapid pain increase, or neurovascular compromise are not typical for this benign lesion.
Question 63
A 33-year-old female undergoes surgical excision of a benign intracortical cartilaginous lesion from her femur. During gross examination, the pathologist notes the specimen's appearance. Which of the following best describes the gross appearance of a periosteal chondroma?

View Answer & Explanation
Correct Answer: C
Rationale: Fig. 8.27 and its caption state, "Periosteal chondroma gross specimen. The lesion resembles hyaline cartilage." Hyaline cartilage is typically firm and bluish-white. The other options describe different tissue types not characteristic of a chondroma.
Question 64
A 29-year-old male has a biopsy of a suspected periosteal chondroma from his tibia. Histopathological examination is performed. When comparing a periosteal chondroma to an intramedullary enchondroma, which microscopic feature is characteristic of the periosteal variant?

View Answer & Explanation
Correct Answer: C
Rationale: Fig. 8.28 and its caption state, "Periosteal chondromas are typically more cellular than their intramedullary counterparts." This is a key distinguishing microscopic feature. Less cellularity would be characteristic of a typical enchondroma, while osteoid formation or fat cells are not features of pure cartilaginous lesions.
Question 65
A 31-year-old female undergoes imaging for a suspected benign bone lesion. The radiologist notes an intracortical lesion with a cartilaginous matrix. Which growth pattern is frequently observed in periosteal chondromas?

View Answer & Explanation
Correct Answer: C
Rationale: Fig. 8.29 and its caption state, "They often display a lobular growth pattern, as shown in this example." This is a characteristic feature of cartilaginous tumors, including periosteal chondromas. The other options describe patterns seen in other bone tumors (e.g., osteosarcoma, Ewing sarcoma).
Question 66
A 27-year-old male presents with a firm, non-tender mass on the shaft of his femur. Radiographs show a well-defined lesion arising from the outer cortex. Based on the definition provided, what is the precise anatomical location of a periosteal chondroma?
View Answer & Explanation
Correct Answer: C
Rationale: The text explicitly defines periosteal chondromas as "benign intracortical cartilaginous lesions." While they arise from the periosteum, their growth pattern is into the cortex, making "intracortical" the most precise description of their location within the bone. Intramedullary refers to the marrow cavity, subperiosteal is beneath the periosteum but not necessarily within the cortex, and juxta-articular/epiphyseal refer to specific joint/bone end locations.
Question 67
A 38-year-old female presents with a palpable mass on her tibia. Imaging confirms a periosteal chondroma. The lesion is causing mild local mechanical irritation. Which of the following best describes the nature of a periosteal chondroma?
View Answer & Explanation
Correct Answer: B
Rationale: The text clearly states, "Periosteal chondromas are benign intracortical cartilaginous lesions." This confirms their nature as benign primary bone tumors. They are not malignant, metastatic, inflammatory, or purely developmental anomalies without neoplastic potential.
Question 68
A 26-year-old male undergoes biopsy for an intracortical lesion on his femur. The pathologist notes a cartilaginous lesion with increased cellularity compared to a typical enchondroma. This finding, in the context of a periosteal chondroma, is important because it:

View Answer & Explanation
Correct Answer: B
Rationale: The text and Fig. 8.28 state, "Periosteal chondromas are typically more cellular than their intramedullary counterparts." This increased cellularity is a known feature of periosteal chondromas and should not be misinterpreted as a sign of malignancy (like chondrosarcoma) if other benign features are present. It does not indicate malignant transformation, a metabolic disorder, or osteosarcoma, nor does it require chemotherapy.
Question 69
A 30-year-old patient presents with a palpable, non-tender lesion on the diaphysis of the tibia. Radiographs show a well-defined intracortical lesion. Gross examination of the excised specimen reveals a firm, bluish-white mass. This appearance is consistent with a matrix composed primarily of:

View Answer & Explanation
Correct Answer: C
Rationale: The text and Fig. 8.27 state, "The lesion resembles hyaline cartilage." This is the defining matrix component of a chondroma. Fibrous, osseous, myxoid, or adipose tissue would indicate a different type of tumor or lesion.
Question 70
A 24-year-old male has a periosteal chondroma on his distal femur. The lesion has been stable for years but recently started causing mild discomfort with activity. Given the benign nature of this lesion, what is the most appropriate initial management for symptomatic periosteal chondroma?
View Answer & Explanation
Correct Answer: D
Rationale: As periosteal chondromas are benign, aggressive treatments like radiation, wide en bloc resection, chemotherapy, or amputation are not indicated. For symptomatic lesions, local excision (marginal excision) is typically curative. For mild symptoms, activity modification and observation may be considered first. The text implies conservative management for asymptomatic lesions and local intervention for symptomatic ones, consistent with a benign tumor.
Question 71
A 32-year-old female presents with a slowly growing mass on her proximal humerus. Radiographs show an intracortical lesion with a lobular appearance. Histological examination confirms a periosteal chondroma. The lobular growth pattern observed in this lesion is a characteristic feature of:

View Answer & Explanation
Correct Answer: B
Rationale: Fig. 8.29 and its caption state, "They often display a lobular growth pattern, as shown in this example." This lobular architecture is a common and characteristic feature of cartilaginous tumors, both benign and malignant, as cartilage grows in discrete nodules or lobules. It is not specific to highly aggressive malignancies, fibrous lesions, osteoblastic lesions, or inflammatory processes.
Question 72
A 20-year-old athlete presents with a firm, non-tender mass on the anterior aspect of his tibia. He is concerned about its appearance. Imaging confirms a benign intracortical cartilaginous lesion. What is the expected long-term prognosis for a periosteal chondroma after appropriate management?
View Answer & Explanation
Correct Answer: C
Rationale: Periosteal chondromas are benign lesions. While the text doesn't explicitly state prognosis, the term "benign" implies an excellent prognosis with appropriate management (e.g., observation for asymptomatic lesions, local excision for symptomatic ones). Malignant transformation is rare, recurrence is uncommon after complete excision, and progressive growth leading to severe deformity or systemic spread is not characteristic of a benign chondroma.
Question 73
A 34-year-old male presents with a palpable mass on his distal femur. Radiographs show a well-defined intracortical lesion with a cartilaginous matrix. Which of the following features, if present on biopsy, would raise concern for a diagnosis other than a benign periosteal chondroma?
View Answer & Explanation
Correct Answer: D
Rationale: Lobular growth, increased cellularity (compared to enchondroma), and resemblance to hyaline cartilage are all characteristic features of a benign periosteal chondroma as described in the text and images. The presence of permeative growth (infiltrative) and significant nuclear atypia would be highly suspicious for malignancy, such as a chondrosarcoma, and would differentiate it from a benign periosteal chondroma. Absence of mitotic figures is a feature of benign lesions.
Question 74
A 28-year-old female presents with a non-painful, firm mass on her proximal tibia. Radiographs show a well-circumscribed lesion arising from the cortex. The term "intracortical" in the description of a periosteal chondroma implies that the lesion:
View Answer & Explanation
Correct Answer: C
Rationale: The definition "benign intracortical cartilaginous lesions" means the lesion is situated within the cortical bone. It is not confined to the medullary cavity (intramedullary), nor has it necessarily eroded through the cortex into soft tissues (though it can expand). It does not arise from articular cartilage, and while it originates from the periosteum, its growth pattern is into the cortex, making "intracortical" the most accurate description of its location.
Question 75
A 30-year-old male presents with a firm, non-tender mass on his distal femur. Imaging reveals a well-defined intracortical lesion. Given the typical clinical course of a periosteal chondroma, what is the most common reason for a patient to seek medical attention?
View Answer & Explanation
Correct Answer: C
Rationale: The text states, "Most patients are asymptomatic... Depending on the size of the lesion and the patient’s body habitus, lesions may be palpated on physical examination." This implies that the most common reason for presentation is the incidental discovery of a palpable mass, rather than severe pain, fracture, infection, or systemic symptoms, which are rare or atypical for this benign lesion.
Question 76
A 27-year-old female presents with a small, non-tender, firm mass on her tibia. Radiographs are consistent with a periosteal chondroma. She is asymptomatic. What is the most appropriate initial management strategy?
View Answer & Explanation
Correct Answer: C
Rationale: Since periosteal chondromas are benign and "most patients are asymptomatic," observation with serial imaging is the most appropriate initial management for an asymptomatic lesion. Surgical excision is reserved for symptomatic lesions or those with concerning features. Radiation and chemotherapy are not indicated for benign lesions. Biopsy might be considered if the diagnosis is uncertain, but for a classic asymptomatic presentation, observation is often sufficient.
Question 77
A 19-year-old male presents with incidental radiographic findings during a workup for an unrelated injury. A lesion in the proximal humerus is noted. Histological evaluation is being considered.
View Answer & Explanation
Correct Answer: B
Rationale: Enchondromas are described as relatively common benign intramedullary cartilaginous lesions. The other options describe different types of bone lesions that do not fit the fundamental nature of an enchondroma.
Question 78
A 22-year-old female undergoes a routine chest X-ray for employment screening. An incidental finding of a lucent lesion in the proximal humerus is noted. She denies pain or other symptoms related to this area.
View Answer & Explanation
Correct Answer: C
Rationale: The text states that enchondromas "oft en are detected incidentally." While some can be painful, incidental detection is the most frequent mode of discovery.
Question 79
A 15-year-old male presents with mild, intermittent pain in his left hand. Radiographs reveal a lytic lesion in the proximal phalanx of the index finger. A diagnosis of enchondroma is suspected.
View Answer & Explanation
Correct Answer: B
Rationale: The text explicitly states, "Th e peak age is the second decade" for enchondromas.
Question 80
A 25-year-old female presents with a several-month history of dull ache in her right hand. Radiographs show a well-defined lucent lesion within the metacarpal.
View Answer & Explanation
Correct Answer: D
Rationale: The text states, "Half of enchondromas occur in the short tubular bones of the hands and feet," making this the most common location.
Question 81
A 17-year-old male is evaluated for shoulder pain after a fall. Radiographs reveal an incidental, well-circumscribed lucent lesion in the metaphysis of the proximal humerus.
View Answer & Explanation
Correct Answer: B
Rationale: The text specifies, "Half of enchondromas occur in the short tubular bones of the hands and feet followed by proximal humerus and proximal and distal femur." Therefore, the proximal humerus is the next most common location after the short tubular bones.
Question 82
A 20-year-old female presents with knee pain. Radiographs show a lucent lesion in the distal femur. An enchondroma is suspected.
View Answer & Explanation
Correct Answer: C
Rationale: The text lists "proximal and distal femur" as common locations for enchondromas, following the short tubular bones and proximal humerus.
Question 83
A 16-year-old male presents with persistent pain in his left index finger. Radiographs show an expansile lytic lesion in the proximal phalanx with some cortical thinning.
View Answer & Explanation
Correct Answer: C
Rationale: The text notes, "Some enchondromas are painful and appear more aggressive radiographically," indicating a possible symptomatic presentation.
Question 84
A 21-year-old female has a painful enchondroma in her proximal humerus, which appears aggressive on radiographs. A biopsy is performed.
View Answer & Explanation
Correct Answer: C
Rationale: The text states that even painful and radiographically aggressive lesions "still display the bland, benign histology typical of asymptomatic lesions."
Question 85
A pathologist is examining a biopsy specimen from a suspected enchondroma in a 17-year-old patient.

View Answer & Explanation
Correct Answer: C
Rationale: The caption for Fig. 8.23 a, b explicitly states, "Low-power images demonstrate the lobular growth pattern... of enchondromas."
Question 86
A biopsy is performed on an incidental lesion found in the hand of a 19-year-old male. The pathologist notes a cartilaginous lesion.

View Answer & Explanation
Correct Answer: C
Rationale: The caption for Fig. 8.23 a, b mentions the "hypocellular nature of enchondromas" as a characteristic feature.
Question 87
A 23-year-old female undergoes biopsy for a suspected enchondroma in her distal femur. The pathologist is evaluating the cellular characteristics.

View Answer & Explanation
Correct Answer: D
Rationale: The caption for Fig. 8.23 a, b states, "The nuclei are uniform," which is a key feature of benign enchondromas.
Question 88
A 10-year-old child presents with multiple enchondromas and significant skeletal deformities.

View Answer & Explanation
Correct Answer: C
Rationale: The clinical context for Fig. 8.22 a, b explicitly links the images to "Ollier’s disease," which is characterized by multiple enchondromas and associated skeletal deformities.
Question 89
A 7-year-old patient is diagnosed with Ollier's disease.

View Answer & Explanation
Correct Answer: B
Rationale: The clinical context for Fig. 8.22 a, b states, "Short stature and osseous deformity secondary to Ollier’s disease."
Question 90
A 9-year-old child with multiple enchondromas is being evaluated for skeletal abnormalities.

View Answer & Explanation
Correct Answer: B
Rationale: The clinical context for Fig. 8.22 a, b states, "Short stature and osseous deformity secondary to Ollier’s disease."
Question 91
A 28-year-old male has an incidentally discovered enchondroma in his proximal humerus. He is asymptomatic.
Question 92
A 25-year-old male presents with an incidentally discovered lesion in the proximal phalanx of his hand. Radiographs show a well-circumscribed, intramedullary lucency with punctate calcifications. A biopsy is performed. Which of the following histological features is most characteristic of a benign enchondroma?

View Answer & Explanation
Correct Answer: C
Rationale: Low-power images of enchondromas demonstrate a lobular growth pattern and hypocellular nature. The nuclei are typically uniform, indicating a benign lesion. High cellularity, nuclear pleomorphism, atypical mitoses, infiltrative growth, osteoid matrix, necrosis, and hemorrhage are not characteristic of benign enchondromas. The provided image (Fig. 8.23) supports the description of lobular growth and uniform nuclei.
Question 93
A 17-year-old female presents with a several-month history of mild, intermittent pain in her left third metacarpal. Radiographs reveal an expansile, lytic lesion within the intramedullary canal. Given the patient's age and lesion location, which of the following is the most likely diagnosis?
View Answer & Explanation
Correct Answer: C
Rationale: Enchondromas are common benign intramedullary cartilaginous lesions, with a peak age in the second decade. Half of enchondromas occur in the short tubular bones of the hands and feet, making this location and age highly suggestive of enchondroma. While other options are bone tumors, enchondroma fits the clinical and demographic profile best based on the provided text. Chondrosarcoma is less common in this age group and typically more aggressive.
Question 94
A 19-year-old male undergoes a routine chest X-ray for a pre-employment physical, which incidentally reveals a well-defined, calcified lesion in the proximal humerus. This finding is consistent with an enchondroma. What is the typical peak age for the detection of enchondromas?
View Answer & Explanation
Correct Answer: B
Rationale: The provided text states that the peak age for enchondromas is the second decade. This aligns with the patient's age in the vignette. Other age ranges are less common for the peak incidence.
Question 95
A 30-year-old female presents with a several-month history of mild, intermittent pain in her distal femur. Radiographs show an intramedullary lesion with some endosteal scalloping. A biopsy confirms an enchondroma. Which of the following statements regarding the clinical presentation of enchondromas is most accurate?
View Answer & Explanation
Correct Answer: C
Rationale: The text states that enchondromas are "relatively common benign intramedullary cartilaginous lesions that often are detected incidentally." While some can be painful, the majority are asymptomatic. They are not typically aggressive, are found in other locations besides hands/feet, and pain does not always indicate malignancy, as some painful lesions still display benign histology.
Question 96
A 22-year-old male presents with persistent pain in his proximal humerus. Radiographs show an intramedullary lesion with some cortical thinning and a slightly aggressive appearance. A biopsy is performed. Despite the radiographic findings, the histology reveals a bland, benign cartilaginous lesion. What is the most appropriate interpretation of this discrepancy?
View Answer & Explanation
Correct Answer: C
Rationale: The text explicitly states, "Some enchondromas are painful and appear more aggressive radiographically but still display the bland, benign histology typical of asymptomatic lesions." This directly addresses the scenario described in the vignette. The other options are incorrect interpretations based on the provided information.
Question 97
A 10-year-old child presents with multiple enchondromas, leading to significant short stature and bowing deformities of the long bones. Radiographs demonstrate numerous intramedullary cartilaginous lesions throughout the appendicular skeleton. This clinical presentation is characteristic of which specific condition?

View Answer & Explanation
Correct Answer: C
Rationale: The clinical context for Fig. 8.22 a, b explicitly states "Short stature and osseous deformity secondary to Ollier’s disease." Ollier's disease is characterized by multiple enchondromas, often leading to skeletal deformities and growth disturbances like short stature. Maffucci syndrome also involves multiple enchondromas but includes soft tissue hemangiomas, which are not mentioned. Multiple hereditary exostoses involve osteochondromas, not enchondromas. Fibrous dysplasia and Paget's disease are different bone disorders.
Question 98
A 12-year-old boy is diagnosed with Ollier's disease after presenting with progressive bowing of his left leg and a noticeable difference in leg length. Radiographs confirm multiple enchondromas. What are the characteristic skeletal manifestations associated with Ollier's disease, as depicted in the provided clinical images?

View Answer & Explanation
Correct Answer: C
Rationale: The clinical context for Fig. 8.22 a, b explicitly states "Short stature and osseous deformity secondary to Ollier’s disease." This directly answers the question about the characteristic skeletal manifestations. The other options describe features not associated with Ollier's disease in the provided text.
Question 99
A 28-year-old male presents with an incidental finding of a well-defined, lucent lesion in the distal femur on an MRI performed for knee pain. The lesion is consistent with an enchondroma. Based on the definition, what type of lesion is an enchondroma?
View Answer & Explanation
Correct Answer: C
Rationale: The text defines enchondromas as "relatively common benign intramedullary cartilaginous lesions." This directly matches option C. The other options describe different types of lesions that are not consistent with the definition of an enchondroma.
Question 100
A 16-year-old female presents with an incidental finding of a small, well-circumscribed lucency in the proximal phalanx of her index finger during a hand X-ray for a minor sprain. The lesion shows some internal calcifications. Given the location and benign radiographic appearance, which of the following is the most likely diagnosis?
View Answer & Explanation
Correct Answer: C
Rationale: The text states that "Half of enchondromas occur in the short tubular bones of the hands and feet" and that they are "often detected incidentally." This makes enchondroma the most likely diagnosis for an incidental, benign-appearing lesion in a phalanx in a teenager. Osteoid osteoma typically causes pain, giant cell tumors are rare in phalanges and more aggressive, Ewing sarcoma is malignant, and chondroblastoma typically affects epiphyses.
You Might Also Like