كسور كاحل الأطفال: دليلك الشامل للعلاج الجراحي المتقن في صنعاء مع الأستاذ الدكتور محمد هطيف

الخلاصة الطبية
كسور كاحل الأطفال هي إصابات معقدة تتطلب رعاية متخصصة لحماية لوح النمو. يشمل العلاج تقييمًا دقيقًا بالصور وأحيانًا التدخل الجراحي لإعادة العظام إلى وضعها الطبيعي باستخدام تقنيات متقدمة، لضمان تعافٍ كامل وتجنب المضاعفات المستقبلية، تحت إشراف خبراء مثل الأستاذ الدكتور محمد هطيف.
الخلاصة الطبية السريعة: كسور كاحل الأطفال هي إصابات معقدة تتطلب رعاية متخصصة لحماية "لوح النمو" (Physis)، وهو الجزء المسؤول عن استطالة العظام وتطورها. يشمل العلاج تقييمًا دقيقًا بالصور الشعاعية المتقدمة، وأحيانًا التدخل الجراحي الدقيق لإعادة العظام إلى وضعها التشريحي الطبيعي باستخدام تقنيات الجراحة المجهرية والحديثة، لضمان تعافٍ كامل وتجنب المضاعفات المستقبلية مثل قصر الطرف أو اعوجاجه. يتم كل ذلك تحت إشراف الخبير الأول في اليمن، الأستاذ الدكتور محمد هطيف، أستاذ جراحة العظام والمفاصل بجامعة صنعاء، لضمان أعلى معايير الأمان والنجاح.

مقدمة شاملة: فهم كسور كاحل الأطفال وأهمية التدخل الطبي المتخصص
تُعد كسور الكاحل عند الأطفال والمراهقين من الإصابات الشائعة والحرجة في نفس الوقت، والتي تتطلب فهمًا ميكانيكيًا وبيولوجيًا عميقًا، ودقة متناهية في العلاج. إن الخطأ الشائع هو التعامل مع كسور الأطفال بنفس عقلية التعامل مع كسور البالغين؛ فالأمر يختلف جوهريًا. يكمن التحدي الأكبر والمحوري في وجود "لوح النمو" (Physis) أو ما يُعرف بالغضروف النمائي، وهي منطقة غضروفية حيوية تقع بالقرب من نهايات العظام الطويلة، وتكون مسؤولة بشكل مباشر عن نمو العظم طولياً وتطوره الهيكلي.
تمثل كسور الكاحل حوالي 5% إلى 9% من جميع كسور الأطفال، وتأتي في المرتبة الثانية مباشرة بعد كسور الكعبرة البعيدة (في المعصم) بين إصابات لوح النمو في العظام الطويلة. إن أي ضرر يلحق بهذه المنطقة الحساسة، سواء بسبب الإصابة نفسها أو بسبب علاج طبي غير متقن، قد يؤدي إلى كارثة مستقبلية تتمثل في توقف نمو العظم، أو نموه بشكل غير متساوٍ مما يؤدي إلى تشوهات زاوية (اعوجاج في الساق) أو قصر في الطرف المصاب مقارنة بالطرف السليم.

إن هدفنا الأساسي والنهائي في علاج هذه الكسور هو تحقيق "استقامة تشريحية مثالية" (Anatomical Reduction)، خاصة للسطح المفصلي ولوح النمو. بينما يظل العلاج التحفظي (غير الجراحي بالجبس) هو الأساس للعديد من الإصابات البسيطة والمستقرة، يصبح التدخل الجراحي ضرورة طبية وحتمية عند وجود أي تباعد (Displacement) كبير في السطح المفصلي أو عدم استيفاء معايير الاستقامة الصارمة.
في هذا الدليل الطبي الشامل والموسع، سنغوص في أعماق الفروق الدقيقة لتشخيص كسور كاحل الأطفال، والتخطيط الاستراتيجي لعلاجها، والتقنيات الجراحية الدقيقة المستخدمة. يُعد الأستاذ الدكتور محمد هطيف، أستاذ جراحة العظام بجامعة صنعاء، بخبرته التي تتجاوز 20 عامًا في جراحة عظام الأطفال والبالغين واستخدامه لأحدث التقنيات العالمية، المرجع الأول والخيار الأفضل في العاصمة صنعاء واليمن لضمان أفضل النتائج لأطفالكم، مبنيًا على أسس الأمانة الطبية والخبرة المتراكمة.

التشريح المعقد والشامل للجزء البعيد من عظم الظنبوب والكاحل
قبل الشروع في أي إجراء علاجي، سواء كان تحفظيًا أو جراحيًا، فإن الفهم العميق والدقيق للتشريح المعقد لمنطقة الكاحل عند الأطفال يُعد حجر الزاوية لنجاح العلاج. إن لوح النمو في الجزء البعيد من عظم الظنبوب (قصبة الساق) ليس مجرد خط مستقيم، بل هو بنية ديناميكية ثلاثية الأبعاد، وتحدد مورفولوجيته الفريدة وأنماط إغلاقه طبيعة هذه الكسور وكيفية التعامل معها.

لوح النمو القاصي في عظم الظنبوب (Distal Tibial Physis)
لوح النمو في الجزء البعيد من عظم الظنبوب يكون مستعرضًا إلى حد كبير، ولكنه يمتلك تموجًا أماميًا إنسيًا (Anteromedial) ثابتًا، غالبًا ما يُطلق عليه طبيًا اسم "حدبة كومب" (Kump’s bump). تظهر هذه الحدبة عادةً خلال أول عامين من حياة الطفل. هذا الموقع المركزي الإنسي هو المكان الدقيق الذي يبدأ فيه الإغلاق الفسيولوجي الطبيعي للوح النمو، والذي يحدث عادةً في حوالي سن 15 عامًا للفتيات و17 عامًا للفتيان. بمجرد أن يبدأ الإغلاق هنا، فإنه يتقدم تدريجياً نحو الجانب الوحشي (الخارجي) على مدار حوالي 18 شهرًا.

يُعد تلف "حدبة كومب"، خاصةً نتيجة قوى القص (Shear forces) العنيفة في إصابات الاختطاف أو الدوران، مرتبطًا بقوة بحدوث الإغلاق المبكر للوح النمو (Premature Physeal Closure). هذا الفهم البيولوجي حاسم للأستاذ الدكتور محمد هطيف في كل مرحلة، بدءًا من قراءة الأشعة وحتى التخطيط للنهج الجراحي وتوجيه البراغي الطبية لتجنب هذه المنطقة الحساسة.
الأربطة القوية والأغشية المحيطة بالعظم
ترتبط أربطة الكاحل، وخاصة الرباط الظنبوبي الشظوي الأمامي السفلي (AITFL - Anterior Inferior Tibiofibular Ligament)، بقوة شديدة بالنتوءات العظمية (Epiphyses). في الأطفال، هناك قاعدة ذهبية في جراحة العظام: "الأربطة غالبًا ما تكون أقوى بكثير من لوح النمو المجاور لها".
يفسر هذا الخلل في القوة الميكانيكية سبب ميل الأطفال أكثر للتعرض لكسور في لوح النمو بدلاً من الالتواءات البسيطة (Sprains) أو تمزق الأربطة كما يحدث عند البالغين. عندما يتعرض كاحل الطفل لقوة دوران خارجي عنيفة، بدلاً من أن يتمزق الرباط، فإنه يقوم بانتزاع (Avulsion) قطعة عظمية من الحافة الأمامية الجانبية للنتوء العظمي الظنبوبي. هذا يؤدي إلى كسور معقدة تُعرف باسم كسور تيلوكس (Tillaux Fractures) والكسور ثلاثية المستويات (Triplane Fractures)، وهي كسور مميزة لفترة المراهقة، خاصةً عندما يبدأ لوح النمو في الإغلاق بشكل غير متماثل.

علاوة على ذلك، يجب تسليط الضوء على الحلقة الغضروفية المحيطة بلاكروا (Perichondral ring of La Croix). إنها منطقة انتقالية حيوية بين الغضروف المفصلي وسمحاق العظم (Periosteum). يحتفظ هذا الغضروف بإمكانية إنتاج الغضاريف والعظام، مما يوفر الاستقرار المحيطي للوح النمو. ومع ذلك، في حالات الكسور المنزاحة، يمكن أن يتمزق السمحاق المرتبط بإحكام بهذه الحلقة ويتداخل (Interposition) داخل موقع الكسر. هذا النسيج المتداخل يعمل كحاجز ميكانيكي قوي يمنع الاستقامة التشريحية (يمنع العظم من العودة لمكانه). هذا هو السبب الشائع للفجوات المتبقية بعد التجبيس الخاطئ، وبالتالي، حدوث الإغلاق المبكر للوح النمو، وهنا تبرز الحاجة الماسة لخبرة جراحية دقيقة لفتح الكسر وإزالة هذا النسيج.
الهياكل العصبية الوعائية الهامة (Neurovascular Structures)
عند التخطيط للنهج الجراحي لفتح الكاحل، يجب على الجراح حماية الهياكل العصبية الوعائية المحيطة بدقة متناهية لتجنب أي شلل أو فقدان للإحساس في قدم الطفل:
* النهج الأمامي (Anterior Approach): يجب الانتباه الشديد إلى العصب الشظوي العميق (Deep Peroneal Nerve) والشريان الظنبوبي الأمامي (Anterior Tibial Artery). أي إصابة لهذه الهياكل قد تؤدي إلى ضعف في رفع القدم (سقوط القدم).
* النهج الإنسي (Medial Approach): يتطلب حماية العصب الصافن (Saphenous Nerve) والوريد الصافن الكبير.
* النهج الوحشي (Lateral Approach): يجب تجنب الإضرار بالعصب الربلي (Sural Nerve) والأوردة المرافقة له.
يعتمد الأستاذ الدكتور محمد هطيف على تقنيات الجراحة الدقيقة (الميكروسكوبية) والتشريح الحذر لضمان حماية هذه الهياكل بنسبة 100% أثناء العمليات الجراحية المعقدة.


أنواع وتصنيفات كسور كاحل الأطفال
يتم تصنيف كسور لوح النمو عالميًا بناءً على نظام "سالتر-هاريس" (Salter-Harris Classification)، والذي يحدد مسار خط الكسر بالنسبة للوح النمو والمشاشة (Epiphysis) والكردوس (Metaphysis). فهم هذا التصنيف ضروري لتحديد خطة العلاج والتنبؤ بالمضاعفات.
- كسور سالتر-هاريس النوع الأول (Type I): كسر يمر أفقيًا بالكامل عبر لوح النمو، ويفصل المشاشة عن الكردوس. غالبًا ما لا يظهر بوضوح في الأشعة السينية العادية، ويتم تشخيصه سريريًا. علاجه عادة تحفظي.
- كسور سالتر-هاريس النوع الثاني (Type II): وهو النوع الأكثر شيوعًا. يمر الكسر عبر لوح النمو ثم يخرج للأعلى عبر الكردوس (Metaphysis)، تاركًا قطعة عظمية مثلثة الشكل (علامة ثورستون-هولاند).
- كسور سالتر-هاريس النوع الثالث (Type III): كسر يمر عبر لوح النمو ثم يتجه للأسفل ليخترق المشاشة والسطح المفصلي. هذا الكسر داخل المفصل يتطلب دائمًا تقييمًا جراحيًا لضمان عدم وجود أي تفاوت في سطح المفصل.
- كسور سالتر-هاريس النوع الرابع (Type IV): كسر عمودي يمر عبر الكردوس، ثم لوح النمو، ثم المشاشة وصولاً إلى المفصل. هذا النوع يحمل خطورة عالية جدًا لإغلاق لوح النمو وتكوين جسر عظمي (Bony Bar) إذا لم يتم تثبيته جراحياً بدقة تشريحية مطلقة.
- كسور سالتر-هاريس النوع الخامس (Type V): إصابة ناتجة عن انضغاط (سحق) للوح النمو. يصعب تشخيصها في البداية، وغالبًا ما تؤدي إلى توقف النمو لاحقًا.

الكسور الخاصة بالمراهقين (Transitional Fractures)
خلال فترة المراهقة، يبدأ لوح النمو في الإغلاق بنمط محدد (من الوسط إلى الداخل ثم إلى الخارج). هذا الإغلاق الجزئي يخلق نقاط ضعف ميكانيكية تؤدي إلى نوعين مميزين من الكسور:
- كسر تيلوكس للمراهقين (Juvenile Tillaux Fracture): هو كسر من النوع الثالث لسالتر-هاريس، يحدث في الجزء الأمامي الوحشي (الخارجي) من قصبة الساق. يحدث عندما يكون الجزء الإنسي من لوح النمو قد أغلق، بينما الجزء الوحشي لا يزال مفتوحًا، فيقوم الرباط (AITFL) بانتزاع هذه القطعة.
- الكسر ثلاثي المستويات (Triplane Fracture): كسر شديد التعقيد يمر عبر ثلاثة مستويات مختلفة (سهمي، إكليلي، وعرضي). يظهر في الأشعة الأمامية ككسر سالتر-هاريس من النوع الثالث، وفي الأشعة الجانبية ككسر من النوع الثاني. يتطلب هذا الكسر دائمًا فحصًا مقطعيًا (CT Scan) لتقييمه بشكل صحيح.


الأسباب الشائعة وعوامل الخطر لكسور كاحل الأطفال
الأطفال بطبيعتهم نشيطون ودائمو الحركة، مما يعرضهم لمختلف أنواع الإصابات. تتنوع أسباب كسور الكاحل لتشمل:
- الإصابات الرياضية: رياضة كرة القدم، كرة السلة، والجمباز هي المسبب الأول لهذه الكسور في اليمن، نتيجة الالتواءات المفاجئة، أو الاحتكاك المباشر، أو الهبوط الخاطئ بعد القفز.
- السقوط من ارتفاع: مثل السقوط من الأرجوحة، أو الأشجار، أو الجدران، مما يولد قوى ضغط وقص عالية على كاحل الطفل.
- حوادث السير: سواء كان الطفل من المشاة أو راكبًا لدراجة هوائية أو نارية، وتتميز هذه الحوادث بإنتاج كسور معقدة ومفتوحة في كثير من الأحيان.
- اللعب غير المراقب: الألعاب العنيفة بين الأطفال قد تؤدي إلى التواءات شديدة.
عوامل الخطر تشمل:
* طفرات النمو (Growth Spurts): خلال فترات النمو السريع، تصبح العظام أطول ولكن العضلات والأربطة قد لا تواكب هذا النمو بنفس السرعة، مما يضع ضغطًا إضافيًا على ألواح النمو.
* نقص التغذية: نقص الكالسيوم وفيتامين د يضعف بنية العظام.
* السمنة وزيادة الوزن: تزيد من الحمل الميكانيكي على المفاصل وألواح النمو عند السقوط.


الأعراض السريرية والتشخيص الدقيق: خطوة بخطوة
يُعد التشخيص السريع والدقيق الفارق بين التعافي الكامل والإعاقة الدائمة. يجب على الآباء الانتباه للأعراض التالية والتوجه فوراً لاستشارة الأستاذ الدكتور محمد هطيف:
الأعراض التي تستدعي تدخلاً فورياً:
- ألم حاد ومفاجئ في الكاحل يمنع الطفل من المشي أو تحمل الوزن على قدمه.
- تورم سريع وملحوظ حول منطقة الكاحل.
- تشوه مرئي في شكل الكاحل أو القدم (ميلان أو اعوجاج).
- كدمات وتغير في لون الجلد (تجمع دموي).
- ألم شديد عند لمس مناطق محددة (خاصة فوق لوح النمو).

بروتوكول التشخيص في عيادة الأستاذ الدكتور محمد هطيف
يتبع الدكتور هطيف منهجية علمية صارمة في التشخيص، تعتمد على:
- الفحص السريري الدقيق: تقييم النبض، الإحساس، وحركة الأصابع للتأكد من سلامة الأعصاب والأوعية الدموية. فحص الجلد للتأكد من عدم وجود كسور مفتوحة (بروز العظم من الجلد).
- الأشعة السينية (X-rays): هي الخطوة الأولى والأساسية. يتم التقاط صور من زوايا متعددة (أمامية، جانبية، ومائلة) لتقييم الكسر.
- الأشعة المقطعية ثلاثية الأبعاد (3D CT Scan): تُعد ضرورة حتمية في حالات كسور تيلوكس والكسور ثلاثية المستويات، أو أي كسر يمتد داخل المفصل. توفر الأشعة المقطعية خريطة دقيقة لحجم القطع العظمية ومقدار التباعد (Displacement)، مما يساعد في التخطيط الجراحي المسبق.
- التصوير بالرنين المغناطيسي (MRI): يُستخدم في حالات نادرة لتقييم إصابات الأربطة والأنسجة الرخوة المصاحبة، أو للتحقق من الإصابات الغضروفية غير المرئية في الأشعة السينية.


الخيارات العلاجية الشاملة: متى نلجأ للجبس ومتى تكون الجراحة ضرورية؟
إن اتخاذ قرار العلاج في كسور كاحل الأطفال يتطلب خبرة عميقة وموازنة دقيقة بين مخاطر التخدير والجراحة من جهة، ومخاطر ترك الكسر ليلتئم في وضع غير صحيح من جهة أخرى.
أولاً: العلاج التحفظي (غير الجراحي - التجبيس)
يُستخدم العلاج التحفظي في الحالات التالية:
* كسور سالتر-هاريس من النوع الأول والثاني التي لا يوجد بها انزياح (Non-displaced).
* الكسور التي تم ردها (إعادتها لمكانها) بنجاح تحت التخدير الموضعي أو العام، وأظهرت الأشعة استقراراً تاماً.
* كسور تيلوكس أو الكسور ثلاثية المستويات إذا كان التباعد أقل من 2 ملليمتر.
طريقة العلاج: يتم وضع ساق الطفل في جبس يمتد من تحت الركبة إلى أصابع القدم (أو فوق الركبة في بعض الحالات لمنع الدوران) لمدة تتراوح بين 4 إلى 6 أسابيع. يتطلب هذا العلاج متابعة أسبوعية بالأشعة للتأكد من عدم تحرك الكسر داخل الجبس.

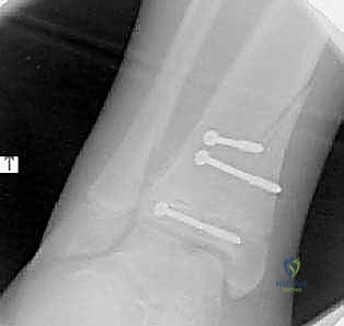
ثانياً: التدخل الجراحي (الرد المفتوح والتثبيت الداخلي - ORIF)
يصبح التدخل الجراحي ضرورة طبية لا مفر منها تحت إشراف الأستاذ الدكتور محمد هطيف في الحالات التالية:
* فشل الرد المغلق (عدم القدرة على إعادة العظم لمكانه يدوياً بسبب تداخل الأنسجة مثل السمحاق).
* جميع كسور سالتر-هاريس من النوع الثالث والرابع إذا كان هناك تباعد أكثر من 2 ملم في السطح المفصلي.
* كسور تيلوكس والكسور ثلاثية المستويات ذات الانزياح الواضح.
* الكسور المفتوحة (التي يخترق فيها العظم الجلد) لمنع التلوث والالتهابات.
* وجود إصابة في الأوعية الدموية أو الأعصاب تتطلب استكشافاً جراحياً.
جدول مقارنة: العلاج التحفظي مقابل التدخل الجراحي المتقن
| وجه المقارنة | العلاج التحفظي (الجبس) | التدخل الجراحي (ORIF) مع أ.د. محمد هطيف |
|---|---|---|
| الحالات المناسبة | الكسور البسيطة، غير المنزاحة، والمستقرة. | الكسور المعقدة، المنزاحة، المفتوحة، وداخل المفصل. |
| دقة استعادة المفصل | جيدة، تعتمد على طبيعة الكسر الأولي. | ممتازة (تشريحية دقيقة بنسبة 100%) بفضل الرؤية المباشرة. |
| خطر الإغلاق المبكر للنمو | موجود إذا كان هناك تداخل غير مرئي للأنسجة. | منخفض جداً، حيث يتم إزالة الأنسجة المتداخلة وتثبيت العظم بدقة. |
| فترة التثبيت بالجبس | طويلة (4-6 أسابيع) وغالباً جبس كامل. | أقصر غالباً، أو باستخدام جبس خفيف/دعامة لسهولة الحركة لاحقاً. |
| المخاطر المحتملة | تيبس المفصل، تحرك الكسر داخل الجبس، تشوه مستقبلي. | مخاطر التخدير والجراحة العامة (نادرة جداً مع التقنيات الحديثة). |
| النتيجة النهائية المتوقعة | مقبولة للحالات البسيطة. | تعافي كامل واستعادة الوظيفة الطبيعية للمفصل والنمو. |


الدليل الجراحي التفصيلي: خطوة بخطوة مع الأستاذ الدكتور محمد هطيف
عندما يقرر الأستاذ الدكتور محمد هطيف إجراء الجراحة، فإن العملية تتم وفق أعلى المعايير العالمية المتبعة في أعرق المستشفيات. الجراحة ليست مجرد "تثبيت بمسامير"، بل هي فن هندسي وطبي متكامل لحماية مستقبل الطفل.
1. التحضير والتخدير (Pre-operative & Anesthesia)
يتم مناقشة الخطة الجراحية بالتفصيل مع الوالدين. يُعطى الطفل تخديراً عاماً آمناً بإشراف أطباء تخدير متخصصين في الأطفال. يُوضع الطفل على طاولة العمليات مع استخدام جهاز الأشعة السينية المحمول (C-arm) داخل غرفة العمليات للتوجيه اللحظي.

2. الشق الجراحي الدقيق (Incision & Approach)
يقوم الدكتور هطيف بعمل شق جراحي دقيق بأقل تداخل ممكن (Minimally Invasive) للوصول إلى موقع الكسر. يعتمد مكان الشق (أمامي، جانبي، أو إنسي) على نوع الكسر. يتم إبعاد الأوتار والأعصاب والأوعية الدموية بحذر شديد باستخدام تقنيات الجراحة الميكروسكوبية.
3. إزالة الأنسجة المتداخلة والرد التشريحي (Debridement & Reduction)
هذه هي الخطوة الأهم. كما ذكرنا سابقاً، غالباً ما يتداخل السمحاق (Periosteum) داخل خط الكسر. يقوم الدكتور هطيف بإزالة هذا السمحاق المتداخل برفق، وتنظيف موقع الكسر من أي جلطات دموية أو شظايا عظمية صغيرة. بمجرد تنظيف الموقع، يتم إعادة القطع العظمية إلى مكانها الطبيعي بد







كسور العظام المعقدة وإصابات الحوادث ليس قدراً محتوماً! التشخيص الدقيق والعلاج المتخصص يمكن أن يعيد لك كامل وظيفتك وحريتك في الحركة. لا تدع الألم يسيطر على حياتك.
للحصول على استشارة دقيقة وخطة علاجية مخصصة لحالتك، تواصل فوراً مع مركز الأستاذ الدكتور محمد هطيف:
الأستاذ الدكتور محمد هطيف - أفضل دكتور عظام في صنعاء، وخبير في جراحات الكسور المعقدة وإنقاذ الأطراف.. نلتزم بإعادتك لحياة خالية من الألم وعظام قوية وملتئمة.
مواضيع أخرى قد تهمك