كسر شوكة الظنبوب عند الأطفال: دليل شامل للآباء والعلاج المتخصص في صنعاء

الخلاصة الطبية
كسر شوكة الظنبوب عند الأطفال هو انفصال الرباط الصليبي الأمامي مع قطعة عظمية من الركبة، ويتطلب تشخيصًا وعلاجًا دقيقًا. يقدم الأستاذ الدكتور محمد هطيف في صنعاء أحدث التقنيات الجراحية بالمنظار والمفتوحة، لضمان أفضل النتائج والتعافي الكامل لأطفالكم.
الخلاصة الطبية السريعة: كسر شوكة الظنبوب عند الأطفال (Tibial Spine Fracture) هو إصابة معقدة تتمثل في انفصال الرباط الصليبي الأمامي مع قطعة عظمية من الركبة، ويتطلب تشخيصًا دقيقًا وعلاجًا فوريًا لتجنب المضاعفات المستقبلية. يقدم الأستاذ الدكتور محمد هطيف في صنعاء أحدث التقنيات الجراحية باستخدام مناظير 4K والجراحات المفتوحة الدقيقة، مع الحفاظ التام على مراكز النمو لدى الأطفال، لضمان أفضل النتائج، استعادة الاستقرار المفصلي، والتعافي الكامل لأطفالكم للعودة إلى حياتهم الطبيعية ونشاطهم الرياضي بكل أمان.

مقدمة شاملة: عندما تتعرض ركبة طفلك للإصابة
إن صحة أطفالنا وسلامتهم هي أغلى ما نملك في هذه الحياة. الأطفال بطبيعتهم مفعمون بالطاقة والحيوية، يركضون، يقفزون، ويستكشفون العالم من حولهم بشغف لا ينضب. ولكن، مع هذا النشاط البدني العالي، تأتي حتمية التعرض للإصابات. وعندما يتعرض طفل لإصابة في الركبة، يمكن أن يكون ذلك مصدر قلق كبير للوالدين، خاصة إذا كانت الإصابة تعيق حركته وتسبب له ألماً شديداً.
من بين الإصابات التي قد تبدو معقدة ومخيفة للآباء، ولكنها تتطلب فهماً عميقاً وعلاجاً طبياً متخصصاً وعاجلاً، يأتي "كسر شوكة الظنبوب عند الأطفال" (Pediatric Tibial Eminence Fracture). هذه ليست مجرد كسور عظمية عادية أو كدمات بسيطة؛ بل هي إصابة مفصلية حرجة تحدث عندما ينفصل الرباط الصليبي الأمامي (ACL) القوي، ساحباً معه جزءاً من عظم الظنبوب (قصبة الساق) من داخل مفصل الركبة. غالباً ما تُرى هذه الإصابات في الأطفال واليافعين الذين لم تكتمل نمو عظامهم بعد، حيث تكون الأربطة أقوى من العظام النامية.
إن فهم الطبيعة البيوميكانيكية لهذه الإصابة، وكيفية تشخيصها بدقة متناهية، والخيارات العلاجية المتاحة (سواء التحفظية أو الجراحية)، هو أمر بالغ الأهمية لتحقيق أفضل النتائج على المدى الطويل. الهدف الأسمى ليس فقط التئام الكسر، بل ضمان عودة طفلكم إلى حياته الطبيعية، وممارسة رياضته المفضلة، ونشاطه البدني دون أي إعاقة أو ألم مستقبلي، والأهم من ذلك: دون التأثير على نمو ساقه الطبيعي.
في هذا الدليل الطبي الشامل والمفصل، سنتعمق في كل جانب من جوانب كسر شوكة الظنبوب عند الأطفال. سنأخذكم في رحلة طبية تبدأ من التشريح الدقيق للركبة، مروراً بأسباب الإصابة وأعراضها، وصولاً إلى أحدث التقنيات الجراحية وبرامج إعادة التأهيل. هذا الدليل مصمم ليكون المرجع الشامل والأول لكل أب وأم يبحثون عن الأفضل لطفلهم في اليمن.


الأستاذ الدكتور محمد هطيف: المرجعية الأولى لجراحة العظام في صنعاء واليمن
عندما يتعلق الأمر بالتدخلات الجراحية الدقيقة في مفاصل الأطفال، فإن اختيار الجراح المناسب هو القرار الأهم الذي يتخذه الوالدان. يُعد الأستاذ الدكتور محمد هطيف، بخبرته الواسعة التي تتجاوز العشرين عاماً ومهاراته الجراحية الفائقة، المرجع الأول والوجهة المثلى في العاصمة اليمنية صنعاء لعلاج هذه الحالات الدقيقة والمعقدة.
لماذا يعتبر الدكتور محمد هطيف الخيار الأفضل لطفلك؟
- المكانة الأكاديمية والعلمية: بصفته أستاذاً دكتوراً (Professor) في جامعة صنعاء، يجمع الدكتور هطيف بين المعرفة الأكاديمية العميقة وأحدث الأبحاث العلمية العالمية، وبين التطبيق السريري والجراحي اليومي.
- الخبرة الطويلة: أكثر من 20 عاماً من الخبرة في تشخيص وعلاج أعقد حالات جراحة العظام والمفاصل، مما يمنحه رؤية ثاقبة وقدرة على التعامل مع أي مضاعفات أو تشوهات مفصلية.
- التكنولوجيا المتقدمة: ريادته في استخدام أحدث التقنيات الطبية في اليمن، بما في ذلك الجراحة الميكروسكوبية الدقيقة (Microsurgery)، وجراحة مناظير المفاصل عالية الدقة (Arthroscopy 4K)، وعمليات تغيير المفاصل (Arthroplasty).
- الأمانة الطبية والمصداقية: يشتهر الدكتور هطيف بالتزامه الصارم بأخلاقيات المهنة والأمانة الطبية. لا يتم اللجوء إلى الجراحة إلا إذا كانت هي الخيار الأمثل والوحيد لضمان صحة المريض، مع تقديم شرح وافٍ وشفاف للآباء عن حالة طفلهم.
- الرعاية الشاملة: يلتزم الدكتور بتقديم رعاية طبية استثنائية تبدأ من التشخيص الدقيق، وتمر بالتدخل العلاجي أو الجراحي، ولا تنتهي إلا بانتهاء فترة التأهيل الطبيعي والتأكد من استعادة الطفل لكامل عافيته.

التشريح الدقيق للركبة: فهم موقع شوكة الظنبوب والرباط الصليبي
لفهم هذه الإصابة بشكل صحيح، يجب علينا أولاً إلقاء نظرة مبسطة ولكن دقيقة على تشريح مفصل الركبة، خاصة عند الأطفال.
الركبة هي أكبر مفصل في جسم الإنسان وأحد أكثر المفاصل تعقيداً. تتكون من التقاء ثلاث عظام رئيسية:
* عظمة الفخذ (Femur): العظمة العلوية.
* عظمة الظنبوب أو قصبة الساق (Tibia): العظمة السفلية الرئيسية.
* الرضفة أو صابونة الركبة (Patella): العظمة الصغيرة في مقدمة الركبة.
للحفاظ على استقرار هذه العظام معاً أثناء الحركة (الثني، المد، الدوران)، يعتمد المفصل على شبكة قوية من الأربطة. أهم هذه الأربطة هو الرباط الصليبي الأمامي (Anterior Cruciate Ligament - ACL). يقع هذا الرباط في مركز الركبة، ويتقاطع مع الرباط الصليبي الخلفي ليشكلا حرف "X". وظيفة الرباط الصليبي الأمامي الأساسية هي منع عظمة الظنبوب من الانزلاق للأمام بعيداً عن عظمة الفخذ، وتوفير الاستقرار الدوراني للركبة.

أين تقع "شوكة الظنبوب"؟
شوكة الظنبوب (Tibial Eminence أو Tibial Spine) هي بروز عظمي صغير يقع في الجزء العلوي من عظمة الظنبوب، وتحديداً في المنطقة البينية (بين السطحين المفصليين للظنبوب). هذه الشوكة العظمية هي نقطة الارتكاز والاتصال السفلية التي ينغرس فيها الرباط الصليبي الأمامي بقوة.
الفرق الجوهري بين ركبة الطفل وركبة البالغ:
في البالغين، تكون العظام صلبة جداً ومتكلسة بالكامل. لذلك، عند تعرض الركبة لالتواء عنيف، غالباً ما يتمزق الرباط الصليبي الأمامي نفسه (في منتصفه).
أما عند الأطفال، فإن العظام لا تزال في مرحلة النمو وتكون أكثر مرونة (تحتوي على غضاريف نمو). في هذه المرحلة العمرية، يكون الرباط الصليبي الأمامي أقوى بكثير من العظم الذي يتصل به. لذلك، عند تعرض ركبة الطفل لنفس الالتواء العنيف، لا يتمزق الرباط، بل يقوم الرباط بـ "اقتلاع" أو "قلع" قطعة من العظم (شوكة الظنبوب) من مكانها. هذا هو ما يعرف بكسر شوكة الظنبوب الانفصالي (Avulsion Fracture).

ما هو كسر شوكة الظنبوب عند الأطفال؟ (الفيزيولوجيا المرضية)
كسر شوكة الظنبوب هو إصابة فريدة من نوعها في عالم جراحة العظام للأطفال. يُعرف طبياً بأنه انفصال الرباط الصليبي الأمامي (ACL) مع جزء عظمي غضروفي من مكان اتصاله في الجزء الأمامي الإنسي من النتوء الظنبوبي.
تحدث هذه الإصابة بشكل رئيسي للأطفال الذين تتراوح أعمارهم بين 8 إلى 14 عاماً، حيث تكون صفائح النمو (Growth Plates) لا تزال مفتوحة ونشطة. يبلغ معدل حدوث هذه الإصابة حوالي 3 حالات لكل 100,000 طفل سنوياً، ولكن هذا الرقم في تزايد مستمر بسبب زيادة مشاركة الأطفال في الرياضات التنافسية في سن مبكرة.

أظهرت الدراسات الميكانيكية الحيوية أن آليات "التحميل السريع" (الصدمات المفاجئة جداً) على الركبة تميل إلى التسبب في تمزقات الرباط الصليبي الأمامي في منتصفه حتى عند الأطفال، بينما تؤدي آليات "التحميل التدريجي" (مثل الالتواء البطيء تحت تأثير وزن الجسم) إلى كسور شوكة الظنبوب الانفصالية.
من المثير للاهتمام أن الأبحاث الطبية الحديثة، والتي يتابعها الأستاذ الدكتور محمد هطيف باستمرار، قد أشارت إلى أن الأطفال المصابين بكسور شوكة الظنبوب غالباً ما يكون لديهم "شق بين اللقمتين" (Intercondylar Notch) أضيق في الركبة. هذا الشق هو النفق العظمي الذي يمر من خلاله الرباط الصليبي الأمامي. عندما يكون هذا الشق ضيقاً، فإنه يشكل نقطة ارتكاز تزيد من الضغط على نقطة اتصال الرباط بالعظم أثناء التواء الركبة، مما يسهل عملية اقتلاع العظم. يسلط هذا الضوء على الخصائص البيوميكانيكية الفريدة للركبة النامية ويساعد الجراحين في تقييم احتمالية حدوث إصابات مستقبلية.

تصنيف مايرز ومكيفير (Meyers and McKeever) لكسور شوكة الظنبوب
لتحديد خطة العلاج المناسبة (هل نلجأ للجبس أم للجراحة؟)، يعتمد أطباء العظام في جميع أنحاء العالم، بما في ذلك عيادة الأستاذ الدكتور محمد هطيف في صنعاء، على نظام تصنيف عالمي دقيق يُعرف باسم تصنيف "مايرز ومكيفير" (Meyers and McKeever)، والذي تم تعديله لاحقاً بواسطة العالم "زاريتشني" (Zaricznyj).
هذا التصنيف يقيم مدى إزاحة (تحرك) الجزء العظمي المكسور من مكانه الأصلي، وهو كالتالي:
| نوع الكسر | الوصف الطبي الدقيق لدرجة الإزاحة | الخيار العلاجي المبدئي المفضل |
|---|---|---|
| النوع الأول (Type I) | كسر غير مزاح: ينفصل العظم ولكنه يظل في مكانه التشريحي الطبيعي تماماً دون أي تحرك. | العلاج التحفظي (التثبيت بالجبس أو الدعامة). |
| النوع الثاني (Type II) | كسر مزاح جزئياً (مفصلي): يرتفع الجزء الأمامي من القطعة العظمية المكسورة للأعلى، بينما يظل الجزء الخلفي متصلاً بالظنبوب (يشبه حركة باب المفصلة). | علاج تحفظي إذا أمكن إرجاعه بالتمدد، أو جراحي إذا فشل الرد. |
| النوع الثالث (Type III) | كسر مزاح بالكامل: تنفصل القطعة العظمية تماماً عن السرير العظمي وترتفع بالكامل. (ينقسم إلى IIIa و IIIb بناءً على التدوير). | التدخل الجراحي الفوري لتثبيت العظمة. |
| النوع الرابع (Type IV) | كسر مفتت: (إضافة زاريتشني) القطعة العظمية المقلوعة تتفتت إلى عدة قطع صغيرة منفصلة. | التدخل الجراحي المعقد (غالباً باستخدام المنظار والخيوط). |

يؤكد الدكتور هطيف دائماً للآباء أن التحديد الدقيق لنوع الكسر هو حجر الزاوية في نجاح العلاج. فالخطأ في التقييم قد يؤدي إلى ترك كسر من النوع الثالث ليلتئم في وضع خاطئ، مما ينتج عنه ركبة غير مستقرة (رخوة) مدى الحياة.

الأسباب الكامنة وعوامل الخطر: كيف تحدث هذه الإصابة؟
غالباً ما تحدث كسور شوكة الظنبوب عند الأطفال نتيجة صدمة غير مباشرة للركبة. في معظم الحالات، يكون الطفل يمارس نشاطاً بدنياً يتطلب تغييرات مفاجئة في الاتجاه أو القفز والهبوط.
أبرز الأسباب الشائعة تشمل:
- الإصابات الرياضية: الرياضات التي تتطلب التواءات مفاجئة، توقف سريع، أو احتكاك جسدي مباشر. تشمل هذه الرياضات:
- كرة القدم (وهي السبب الأكثر شيوعاً في اليمن).
- كرة السلة والجمباز (بسبب الهبوط الخاطئ بعد القفز).
- ركوب الدراجات الهوائية (السقوط مع التواء الساق).
- التزلج.
- حوادث السقوط: السقوط من ارتفاعات، مثل السقوط من على الأشجار أو جدران المدارس، حيث تهبط الساق وهي في وضع ممتد بالكامل أو مثني بشدة مع دوران.
- حوادث المرور: حوادث الدراجات النارية أو السيارات يمكن أن تسبب قوة هائلة تؤدي إلى هذه الكسور المعقدة.

الآلية الميكانيكية للإصابة:
تحدث الإصابة عادةً عندما تكون الركبة مثنية وتتعرض لقوة دوران قوية (التواء)، أو عندما تتعرض الركبة لفرط التمدد (Hyperextension). في هذه اللحظة، ينشد الرباط الصليبي الأمامي بأقصى قوة لديه لحماية الركبة، وبدلاً من أن يتمزق، يقوم بسحب وتمزيق القطعة العظمية من قصبة الساق.

الأعراض السريرية والعلامات التحذيرية التي يجب على الآباء الانتباه لها
بصفتك أباً أو أماً، يجب أن تكون قادراً على التعرف على العلامات التي تشير إلى أن إصابة ركبة طفلك ليست مجرد كدمة عابرة، بل قد تكون كسر شوكة الظنبوب الذي يتطلب تدخلاً من خبير مثل الأستاذ الدكتور محمد هطيف.
الأعراض الفورية والشائعة تشمل:
- ألم حاد ومفاجئ: يصف الطفل ألماً شديداً في الركبة فور وقوع الإصابة، وقد يسمع أو يشعر بصوت "فرقعة" (Pop) داخل الركبة.
- تورم سريع وكبير (Hemarthrosis): تنتفخ الركبة بشكل ملحوظ وسريع جداً (غالباً خلال الساعات الأولى من الإصابة). هذا التورم ناتج عن نزيف داخلي في مفصل الركبة من العظم المكسور.
- عدم القدرة على تحمل الوزن: يرفض الطفل تماماً الوقوف على الساق المصابة أو المشي عليها بسبب الألم الشديد وضعف استقرار الركبة.
- تحدد في نطاق الحركة: لا يستطيع الطفل فرد ركبته بالكامل (نقص التمدد)، وغالباً ما يفضل إبقاءها مثنية قليلاً لتخفيف الألم وتخفيف الشد على الرباط.
- تشنج عضلي: تشنج في عضلات الفخذ الخلفية (أوتار الركبة) في محاولة من الجسم لحماية المفصل المصاب.

تحذير طبي هام: إذا لاحظت هذه الأعراض على طفلك، يجب عدم إجباره على المشي أو محاولة "فرد" ركبته بالقوة. قم بتثبيت الساق، ضع كمادات ثلج، وتوجه فوراً إلى عيادة متخصصة في جراحة العظام.

التشخيص الدقيق: رحلة التقييم الطبي في عيادة الدكتور محمد هطيف
التشخيص الدقيق هو نصف العلاج. في عيادة الأستاذ الدكتور محمد هطيف في صنعاء، يتم اتباع بروتوكول تشخيصي صارم وشامل لضمان عدم تفويت أي تفصيل طبي، مهما كان صغيراً.
1. الفحص السريري الدقيق
يبدأ الدكتور هطيف بأخذ التاريخ الطبي للإصابة بالتفصيل من الطفل والوالدين (كيف سقط؟ ما هو اتجاه الالتواء؟). ثم يقوم بإجراء فحص سريري لطيف ومراعٍ لحالة الطفل وألمه.
* اختبار لاكمان (Lachman Test): لتقييم مدى تراخي الرباط الصليبي الأمامي. في حالة كسر شوكة الظنبوب، سيكون هناك حركة زائدة لعظمة الظنبوب للأمام.
* اختبار الدرج الأمامي (Anterior Drawer Test): لتقييم الاستقرار الأمامي للركبة.
* ملاحظة هامة: في كثير من الأحيان، يكون التورم والألم والتشنج العضلي شديداً لدرجة تمنع إجراء هذه الاختبارات بدقة في العيادة. لذلك، يتم الاعتماد بشكل كبير على التصوير الطبي.
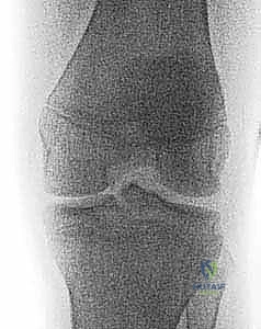
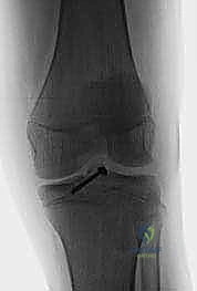
2. التصوير بالأشعة السينية (X-rays)
هي الخطوة الأولى والأساسية. يطلب الدكتور هطيف صوراً بأوضاع متعددة:
* صورة أمامية خلفية (AP): لرؤية الهيكل العام.
* صورة جانبية (Lateral): وهي الأهم لرؤية شوكة الظنبوب وتقييم درجة ارتفاعها وإزاحتها (لتحديد تصنيف مايرز ومكيفير).
* صورة النفق (Tunnel View): لرؤية الشق بين اللقمتين بوضوح.

3. التصوير بالرنين المغناطيسي (MRI)
يُعد الدكتور هطيف من أشد المؤيدين لاستخدام الرنين المغناطيسي في هذه الحالات. لماذا؟ لأن الأشعة السينية تظهر العظام فقط، بينما الرنين المغناطيسي يظهر الأنسجة الرخوة.
* يساعد الرنين في التأكد من عدم وجود تمزق في الرباط الصليبي نفسه.
* يكشف عن أي إصابات مصاحبة، مثل تمزق الغضروف الهلالي (Meniscus Tear)، والذي يحدث في حوالي 30% إلى 40% من حالات كسر شوكة الظنبوب.
* يحدد بدقة ما إذا كان هناك أنسجة رخوة (مثل الغضروف الهلالي الأمامي) قد انحشرت تحت القطعة العظمية المكسورة، مما يمنع عودتها لمكانها الطبيعي، وهو ما يحتم التدخل الجراحي.

الخيارات العلاجية: بين العلاج التحفظي والتدخل الجراحي
بعد اكتمال التشخيص وتحديد نوع الكسر بدقة، يقوم الأستاذ الدكتور محمد هطيف بالجلوس مع الوالدين لشرح الخيارات العلاجية المتاحة بشفافية تامة. الهدف الأساسي من العلاج هو إعادة القطعة العظمية إلى مكانها التشريحي الطبيعي (الرد) وتثبيتها حتى تلتئم، وذلك لاستعادة الشد الطبيعي للرباط الصليبي الأمامي وضمان استقرار الركبة.
القرار بين العلاج التحفظي (بدون جراحة) والعلاج الجراحي يعتمد بشكل أساسي على درجة إزاحة الكسر (تصنيف مايرز ومكيفير)، ووجود إصابات مصاحبة (مثل تمزق الغضروف)، وعمر الطفل.

مقارنة شاملة بين العلاج التحفظي والعلاج الجراحي لكسر شوكة الظنبوب
لتبسيط الصورة للآباء، نقدم هذا الجدول المقارن الذي يوضح الفروق الجوهرية بين مساري العلاج:
| وجه المقارنة | العلاج التحفظي (غير الجراحي) | التدخل الجراحي (المنظار / المفتوح) |
|---|---|---|
| الحالات المستهدفة (التصنيف) | النوع الأول (Type I)، وبعض حالات النوع الثاني (Type II) التي يمكن ردها بنجاح. | النوع الثالث (Type III)، النوع الرابع (Type IV)، وحالات النوع الثاني التي تفشل في الرد المغلق. |
| آلية العلاج | شفط الدم من الركبة، ثم وضع الساق في جبس أسطواني (Cylinder Cast) أو دعامة صلبة في وضعية التمدد (أو انثناء طفيف 10-20 درجة). | إرجاع العظمة المكسورة لمكانها وتثبيتها ميكانيكياً باستخدام خيوط جراحية قوية أو مسامير طبية. |
| مدة التثبيت (الجبس/الدعامة) | من 4 إلى 6 أسابيع من التثبيت الكامل. | فترة تثبيت أقصر نسبياً، والبدء المبكر في تحريك المفصل لمنع التيبس. |
| المزايا (الإيجابيات) | تجنب مخاطر التخدير العام والجراحة، تكلفة أقل، عدم وجود ندبات. | رد تشريحي مثالي ودقيق، استقرار فوري أقوى للركبة، القدرة على معالجة الإصابات المصاحبة (مثل خياطة الغضروف الهلالي الممزق في نفس الوقت). |
| العيوب (السلبيات) | خطر تحرك الكسر داخل الجبس (فقدان الرد)، تيبس الركبة بسبب طول فترة التثبيت، احتمالية بقاء الركبة رخوة إذا لم يلتئم العظم بشكل مثالي. | يتطلب تخديراً عاماً، تكلفة أعلى، يتطلب جراحاً ذا مهارة عالية جداً (خاصة لتجنب إصابة صفائح النمو). |
| فترة التعافي للعودة للرياضة | 3 إلى 5 أشهر (مع العلاج الطبيعي). |
آلام العظام والمفاصل وتقييد حركتها ليس قدراً محتوماً! التشخيص الدقيق والعلاج المتخصص يمكن أن يعيد لك كامل وظيفتك وحريتك في الحركة. لا تدع الألم يسيطر على حياتك.
للحصول على استشارة دقيقة وخطة علاجية مخصصة لحالتك، تواصل فوراً مع مركز الأستاذ الدكتور محمد هطيف:
الأستاذ الدكتور محمد هطيف - أفضل دكتور عظام في صنعاء، وخبير في جراحات العظام والمفاصل والعمود الفقري.. نلتزم بإعادتك لحياة خالية من الألم وحركة طبيعية.
مواضيع أخرى قد تهمك