كسور الورك عند الأطفال: دليل شامل للعلاج المتخصص والتعافي مع الأستاذ الدكتور محمد هطيف

الخلاصة الطبية
كسور الورك عند الأطفال هي إصابات خطيرة تتطلب رعاية فورية ومتخصصة للحفاظ على نمو مفصل الورك ووظيفته المستقبلية. يشمل العلاج عادةً رد الكسر جراحيًا أو مغلقًا وتثبيته لضمان الشفاء الأمثل وتجنب المضاعفات مثل النخر اللاوعائي.
الخلاصة الطبية السريعة: تُعد كسور الورك عند الأطفال من الإصابات العظمية البالغة الخطورة التي تتطلب تدخلاً جراحياً ورعاية طبية فورية فائقة التخصص. الهدف الأساسي من العلاج هو الحفاظ على حيوية مفصل الورك، حماية مراكز النمو، وتجنب المضاعفات الكارثية مثل النخر اللاوعائي (موت رأس عظمة الفخذ). يعتمد العلاج الأمثل على الرد التشريحي الدقيق (سواء المغلق أو المفتوح) والتثبيت الداخلي المحكم. في اليمن، يمثل الأستاذ الدكتور محمد هطيف المرجعية الطبية الأولى للتعامل مع هذه الحالات المعقدة بفضل خبرته الطويلة وتقنياته الجراحية المتقدمة.


مقدمة شاملة: لماذا تختلف كسور الورك عند الأطفال جذرياً عن البالغين؟
تُعد كسور الورك عند الأطفال (Pediatric Hip Fractures) من الإصابات النادرة نسبياً، حيث تمثل أقل من 1% من إجمالي كسور الأطفال، ولكنها تحمل نسبة خطورة عالية جداً وتختلف جذرياً عن نظيرتها لدى البالغين وكبار السن. إن عظام الطفل ليست مجرد نسخة مصغرة من عظام البالغين؛ بل هي نسيج حي نابض بالتطور، يحتوي على "صفائح النمو" (Physis) المسؤولة عن استطالة العظم وتشكيله.
أي إصابة في هذه المنطقة الحساسة تتطلب فهماً عميقاً للتشريح الفريد لورك الطفل النامي، وخاصة شبكة الإمداد الدموي الدقيقة جداً والمعرضة للانقطاع بسهولة. في مركزنا، وتحت إشراف الأستاذ الدكتور محمد هطيف، أستاذ جراحة العظام والمفاصل بجامعة صنعاء، ندرك تماماً أن الهدف الأسمى ليس مجرد "جبر الكسر"، بل هو تحقيق رد تشريحي دقيق بنسبة 100%، وتثبيت مستقر يحافظ على الصفيحة المشاشية لرأس الفخذ، ويضمن استمرار تدفق الدم، وبالتالي الحفاظ على وظيفة الورك على المدى الطويل ونمو الطفل بشكل طبيعي دون إعاقات مستقبلية.

مع الأستاذ الدكتور محمد هطيف، الرائد الأول في جراحة العظام للأطفال وجراحات المفاصل الدقيقة في صنعاء واليمن، نلتزم بتقديم أعلى مستويات الرعاية المتخصصة. يمتلك الدكتور هطيف خبرة تتجاوز العشرين عاماً، ويستخدم أحدث التقنيات العالمية للتعامل مع أشد الكسور تعقيداً بشفافية وأمانة طبية مطلقة.

التشريح الفريد لورك الطفل: التحدي الجراحي الأكبر
لفهم مدى خطورة كسور الورك عند الأطفال، يجب أن نفهم طبيعة تشريح هذه المنطقة. يتكون مفصل الورك من التقاء رأس عظمة الفخذ (الذي يشبه الكرة) مع التجويف الحقي في الحوض.
1. الإمداد الدموي الهش (Vascular Supply)
في البالغين، تتلقى عظمة الفخذ دماءها من مصادر متعددة. أما في الأطفال، وخاصة قبل سن الرابعة عشرة، فإن الإمداد الدموي لرأس عظمة الفخذ يعتمد بشكل شبه كلي على أوعية دموية دقيقة تمر عبر عنق الفخذ (Retinacular Vessels). عند حدوث كسر في عنق الفخذ، تتمزق هذه الأوعية بسهولة، مما يؤدي إلى انقطاع الدم عن رأس العظمة، وهو ما يسبب الكارثة الكبرى المعروفة بـ "النخر اللاوعائي" (Avascular Necrosis).

2. صفائح النمو (Growth Plates)
يحتوي الجزء العلوي من عظمة الفخذ لدى الأطفال على مراكز نمو غضروفية. أي إصابة مباشرة لهذه الصفائح أو أي تثبيت جراحي خاطئ يخترقها بطريقة غير مدروسة قد يؤدي إلى توقف نمو العظمة، مما ينتج عنه قصر في الطرف المصاب أو تشوه في زاوية الورك مستقبلاً.


الأسباب وعوامل الخطر المؤدية لكسور الورك عند الأطفال
نظراً لقوة ومرونة عظام الأطفال في منطقة الحوض، فإن كسر الورك لا يحدث بسهولة كما هو الحال عند كبار السن (الذين يعانون من هشاشة العظام). يتطلب الأمر عادةً طاقة عالية جداً (High-Energy Trauma) لإحداث هذا الكسر.
- حوادث المرور: سواء كان الطفل راكباً في السيارة أو من المشاة، وتُعد السبب الأول لهذه الكسور.
- السقوط من ارتفاعات عالية: مثل السقوط من النوافذ، الأشجار، أو الأسطح.
- الإصابات الرياضية العنيفة: في بعض الرياضات التي تتضمن احتكاكاً شديداً.
- الكسور المرضية (Pathological Fractures): في حالات نادرة، قد يحدث الكسر نتيجة صدمة خفيفة إذا كان الطفل يعاني من مشكلة كامنة تضعف العظم، مثل الأكياس العظمية (Bone Cysts) أو أورام العظام الحميدة.


تصنيف ديلبيت (Delbet Classification) لكسور الورك
يستخدم أطباء العظام حول العالم، وعلى رأسهم الأستاذ الدكتور محمد هطيف، نظام "ديلبيت" لتصنيف كسور الورك عند الأطفال. هذا التصنيف ليس مجرد مسمى طبي، بل هو الدليل الأساسي الذي يحدد خطة العلاج ويتنبأ بنسبة حدوث المضاعفات.
جدول يوضح تصنيف ديلبيت لكسور الورك عند الأطفال
| نوع الكسر (حسب ديلبيت) | الوصف الطبي للكسر | نسبة الحدوث | خطر النخر اللاوعائي (AVN) | التدخل الجراحي المطلوب |
|---|---|---|---|---|
| النوع الأول (Type I) | كسر عبر المشاشة (فصل رأس عظمة الفخذ عن عنق العظمة). | نادر جداً (أقل من 10%) | مرتفع جداً (تصل إلى 90%) | يتطلب تدخلاً جراحياً طارئاً وفورياً. |
| النوع الثاني (Type II) | كسر عبر عنق عظمة الفخذ (Transcervical). | الأكثر شيوعاً (حوالي 45%) | مرتفع (حوالي 50%) | رد مغلق أو مفتوح وتثبيت بمسامير. |
| النوع الثالث (Type III) | كسر قاعدي في عنق الفخذ (Cervicotrochanteric). | شائع (حوالي 30%) | متوسط (20% - 30%) | تثبيت جراحي داخلي محكم. |
| النوع الرابع (Type IV) | كسر بين المدورين (Intertrochanteric). | الأقل خطورة (حوالي 15%) | منخفض (أقل من 10%) | يمكن علاجه تحفظياً أحياناً، أو جراحياً. |


الأعراض والعلامات السريرية: متى يجب التوجه للطوارئ فوراً؟
التعرف المبكر على أعراض كسر الورك ينقذ مفصل الطفل. إذا تعرض طفلك لحادث أو سقوط قوي، راقب العلامات التالية:
- ألم مبرح ومفاجئ: ألم شديد في منطقة الفخذ، الحوض، أو حتى الركبة (ألم رجيع).
- عدم القدرة على تحمل الوزن: الطفل يرفض تماماً الوقوف أو المشي على الساق المصابة.
- تشوه مرئي: قد تبدو الساق المصابة أقصر من الساق السليمة، وملتفة بشكل غير طبيعي نحو الخارج (External Rotation).
- تورم وكدمات: ظهور تورم سريع حول منطقة الورك والفخذ العلوي.


التشخيص الدقيق مع الأستاذ الدكتور محمد هطيف
التشخيص الدقيق هو حجر الأساس في العلاج. في عيادة أ.د. محمد هطيف، يتم اتباع بروتوكول تشخيصي صارم لضمان عدم تفويت أي تفصيلة دقيقة:
- الفحص السريري الشامل: تقييم حالة الأعصاب والأوعية الدموية في الطرف المصاب.
- الأشعة السينية (X-rays): صور أمامية وجانبية للحوض والورك لتأكيد الكسر وتحديد نوعه.
- الأشعة المقطعية (CT Scan): يطلبها الدكتور هطيف في الكسور المعقدة والمفتتة لبناء تصور ثلاثي الأبعاد يساعد في التخطيط الدقيق للعملية الجراحية.
- الرنين المغناطيسي (MRI): يُستخدم نادراً في مرحلة التشخيص الأولي، ولكنه ضروري لاحقاً لمتابعة تدفق الدم واكتشاف أي علامات مبكرة للنخر اللاوعائي.


استراتيجيات العلاج: سباق مع الزمن لإنقاذ المفصل
يُعتبر كسر الورك عند الأطفال حالة طوارئ قصوى. كلما تم التدخل بشكل أسرع (يفضل خلال الـ 24 ساعة الأولى)، زادت فرص الحفاظ على التروية الدموية وتقليل المضاعفات.
أولاً: العلاج التحفظي (الغير جراحي)
نظراً لارتفاع نسبة المضاعفات، أصبح العلاج التحفظي محدوداً جداً ويقتصر على حالات نادرة جداً، مثل:
* الأطفال الرضع أو الصغار جداً (أقل من 3 سنوات).
* كسور النوع الرابع (التي لا يوجد بها أي إزاحة أو تحرك للعظام).
* يتم العلاج بوضع الطفل في "بنطلون جبسي" (Spica Cast) يشمل الحوض والساقين لأسابيع طويلة.

ثانياً: العلاج الجراحي المتخصص (الخيار الذهبي)
هو العلاج الأساسي لمعظم كسور الورك عند الأطفال. الهدف هو إعادة العظام إلى وضعها التشريحي الطبيعي بنسبة 100%، وتثبيتها بقوة للسماح للطفل بالحركة المبكرة ومنع المضاعفات.
مقارنة بين العلاج التحفظي والعلاج الجراحي لكسور الورك عند الأطفال
| وجه المقارنة | العلاج التحفظي (الجبس) | العلاج الجراحي (التثبيت الداخلي) |
|---|---|---|
| دواعي الاستعمال | الكسور غير المزاحة تماماً، الأطفال الرضع. | معظم أنواع كسور الورك (النوع 1، 2، 3). |
| دقة الرد العظمي | متوسطة (قد تتحرك العظام داخل الجبس). | عالية جداً (رد تشريحي دقيق 100%). |
| خطر النخر اللاوعائي | مرتفع (إذا تحرك الكسر لاحقاً). | أقل (بسبب التثبيت القوي والسريع). |
| الراحة وسهولة العناية | صعبة جداً (الطفل مقيد في جبس كامل). | أسهل (يمكن للطفل الجلوس والتحرك بحذر). |
| توصية أ.د. محمد هطيف | في حالات نادرة ومحددة جداً. | الخيار الأول والأساسي لضمان مستقبل الطفل. |


الإجراء الجراحي خطوة بخطوة مع أ.د. محمد هطيف
إجراء جراحة لورك طفل يتطلب مهارة فنية استثنائية، دقة متناهية، ومعرفة تشريحية لا تشوبها شائبة. الأستاذ الدكتور محمد هطيف، بصفته أفضل دكتور عظام في صنعاء واليمن، يطبق أحدث المعايير العالمية في غرف العمليات.
1. التخطيط الجراحي المسبق
قبل دخول غرفة العمليات، يقوم الدكتور هطيف بدراسة صور الأشعة وتحديد نوع وحجم المسامير أو الشرائح المناسبة لعمر الطفل وحجم عظامه، مع مراعاة مواقع صفائح النمو.

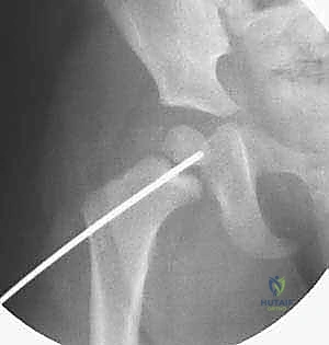
2. الرد المغلق أو المفتوح (Reduction)
- الرد المغلق: تحت التخدير العام، وبمساعدة جهاز الأشعة المرئية (C-arm)، يقوم الدكتور هطيف بتحريك الساق بلطف وبطريقة هندسية دقيقة لإعادة العظام المكسورة إلى مكانها دون فتح جراحي كبير. يتم تفريغ التجمع الدموي داخل المفصل (Capsulotomy) لتخفيف الضغط عن الأوعية الدموية.
- الرد المفتوح: إذا لم تنجح الطريقة المغلقة، أو إذا كان الكسر معقداً، يتم إجراء شق جراحي صغير ودقيق للوصول للكسر ورؤيته بالعين المجردة لضمان تطابق العظام بنسبة 100%.

3. التثبيت الداخلي (Internal Fixation)
تُستخدم أدوات تثبيت خاصة بالأطفال. في الأطفال الأكبر سناً، تُستخدم مسامير مجوفة (Cannulated Screws) يتم إدخالها بدقة فائقة. يحرص الدكتور هطيف بصرامة على عدم اختراق صفائح النمو بالمسامير إلا إذا كانت الضرورة القصوى تقتضي ذلك (وفي هذه الحالة تُستخدم مسامير ملساء لتجنب إعاقة النمو).

4. إغلاق الجرح والمتابعة
يتم إغلاق الجرح تجميلياً، وقد يُوضع الطفل في جبس داعم إضافي لفترة قصيرة لضمان الحماية القصوى.


المضاعفات المحتملة: لماذا تحتاج لخبير مثل د. محمد هطيف؟
كسور الورك عند الأطفال ليست مجرد كسر يلتئم وينتهي الأمر. إنها تحمل أعلى معدلات المضاعفات بين جميع كسور الأطفال. اختيار الجراح الخبير يقلل من هذه المخاطر بشكل كبير.
أ. النخر اللاوعائي (Avascular Necrosis - AVN)
هي المضاعفة الأكثر رعباً. تحدث عندما ينقطع الدم عن رأس عظمة الفخذ، مما يؤدي إلى موت الخلايا العظمية وتسطح رأس العظمة، وبالتالي خشونة مبكرة وتدمير للمفصل. المتابعة الدورية بالأشعة مع د. هطيف ضرورية لاكتشاف أي علامات مبكرة وعلاجها.

ب. الإغلاق المبكر لصفائح النمو (Premature Physeal Closure)
إذا تضررت صفيحة النمو بسبب الحادث أو بسبب تثبيت جراحي خاطئ، قد تتوقف العظمة عن النمو. النتيجة هي قصر في الساق المصابة مقارنة بالساق السليمة (Leg Length Discrepancy)، مما يتطلب عمليات تطويل العظام لاحقاً. مهارة د. هطيف تكمن في حماية هذه الصفائح قدر الإمكان.

ج. تشوه الورك للداخل (Coxa Vara)
يحدث عندما يلتئم الكسر بزاوية غير طبيعية (زاوية عنق الفخذ تصبح أقل من الطبيعي). يؤدي ذلك إلى عرج دائم أثناء المشي. التثبيت الجراحي القوي والمحكم هو الحل الأمثل لمنع هذا التشوه.

د. عدم الالتئام (Non-union)
رغم سرعة التئام عظام الأطفال، إلا أن كسور عنق الفخذ قد تعاني من تأخر أو عدم التئام إذا لم يكن التثبيت مستقراً.

رحلة التعافي والتأهيل: الطريق نحو العودة للعب
العملية الجراحية الناجحة هي نصف العلاج، النصف الآخر يعتمد على الرعاية اللاحقة والتأهيل الفيزيائي.
- الأسابيع الأولى (0-6 أسابيع): يُمنع الطفل منعاً باتاً من المشي أو تحميل الوزن على الساق المصابة. يتم استخدام الكراسي المتحركة. الراحة التامة ضرورية للسماح للكسر بالالتئام الأولي.
- المتابعة الدورية: زيارات مجدولة لعيادة الأستاذ الدكتور محمد هطيف لإجراء أشعة سينية والتأكد من ثبات المسامير وبدء تكون الكالس العظمي (Bone Callus).
- العلاج الطبيعي (6-12 أسبوع): يبدأ الطفل تدريجياً بتحميل وزن جزئي باستخدام العكازات. يبدأ أخصائي العلاج الطبيعي بتمرينات لاستعادة المدى الحركي لمفصل الورك وتقوية العضلات المحيطة.
- العودة للحياة الطبيعية: بعد التأكد من الالتئام التام (عادة بعد 3 إلى 6 أشهر)، يمكن للطفل العودة للأنشطة المدرسية واللعب، مع تجنب الرياضات العنيفة لمدة عام على الأقل.

لماذا الأستاذ الدكتور محمد هطيف هو خيارك الأول في اليمن؟
عندما يتعلق الأمر بمستقبل طفلك وقدرته على المشي والركض دون إعاقة، فإن اختيار الجراح ليس أمراً قابلاً للمساومة.
- مرجعية أكاديمية وعلمية: أستاذ جراحة العظام والمفاصل بجامعة صنعاء، مما يعني أنه مطلع على أحدث الأبحاث والبروتوكولات الطبية العالمية.
- خبرة تتجاوز 20 عاماً: تعامل مع آلاف الحالات المعقدة، وأجرى أدق الجراحات التي تتطلب مهارة استثنائية.
- تقنيات حديثة رائدة: يستخدم أحدث تقنيات الجراحة الميكروسكوبية، مناظير المفاصل بدقة 4K، وتقنيات استبدال المفاصل المتقدمة.
- أمانة طبية صارمة: يُعرف الدكتور هطيف بشفافيته المطلقة مع المرضى، حيث يشرح الحالة بدقة، ولا يتدخل جراحياً إلا إذا كان ذلك هو الخيار الأمثل والوحيد لمصلحة المريض.
- الرائد في صنعاء واليمن: يُصنف كأفضل دكتور عظام في اليمن، والوجهة الأولى للحالات المستعصية التي يتم تحويلها من مستشفيات أخرى.

قصص نجاح: إضاء
آلام الورك وتقييد حركته ليس قدراً محتوماً! التشخيص الدقيق والعلاج المتخصص يمكن أن يعيد لك كامل وظيفتك وحريتك في الحركة. لا تدع الألم يسيطر على حياتك.
للحصول على استشارة دقيقة وخطة علاجية مخصصة لحالتك، تواصل فوراً مع مركز الأستاذ الدكتور محمد هطيف:
الأستاذ الدكتور محمد هطيف - أفضل دكتور عظام في صنعاء، وخبير في جراحات استبدال مفصل الورك.. نلتزم بإعادتك لحياة خالية من الألم وورك قوي ووظيفي.
مواضيع أخرى قد تهمك