كسور عظمي الساعد عند الأطفال: العلاج المتقدم بالمسامير المرنة داخل النخاع مع الأستاذ الدكتور محمد هطيف

الخلاصة الطبية
كسور الساعد عند الأطفال هي إصابات شائعة تتطلب أحيانًا تدخلًا جراحيًا. يعالج الأستاذ الدكتور محمد هطيف هذه الكسور ببراعة باستخدام تقنية تثبيت المسامير المرنة داخل النخاع، وهي طريقة فعالة وآمنة تضمن شفاءً ممتازًا مع الحفاظ على نمو العظام الطبيعي ووظيفة الذراع.
الخلاصة الطبية السريعة: تُعد كسور الساعد عند الأطفال من أكثر الإصابات العظمية شيوعاً، وتتطلب تقييماً دقيقاً وتدخلاً احترافياً لضمان عدم تأثر نمو الطفل أو وظيفة يده مستقبلاً. يعالج الأستاذ الدكتور محمد هطيف، أستاذ جراحة العظام والمفاصل بجامعة صنعاء واستشاري جراحة العظام المتقدمة، هذه الكسور ببراعة منقطعة النظير باستخدام تقنية تثبيت "المسامير المرنة داخل النخاع" (Flexible Intramedullary Nailing). تُعد هذه الطريقة الخيار الجراحي الأحدث والأكثر أماناً، حيث تضمن شفاءً ممتازاً، وتحافظ على نمو العظام الطبيعي، وتعيد للذراع وظيفتها الكاملة بأقل تدخل جراحي ممكن.

مقدمة شاملة: فهم كسور الساعد عند الأطفال وتحدياتها
تُعد كسور عظمي الساعد (الكعبرة والزند) من الإصابات الشائعة جداً بين الأطفال، حيث تمثل نسبة كبيرة من إجمالي كسور الأطفال التي تستدعي زيارة غرف الطوارئ. تتراوح شدة هذه الكسور من شروخ بسيطة (كسور الغصن النضير) التي يمكن علاجها بالجبس فقط، إلى كسور معقدة ومتبدلة بالكامل تتطلب تدخلاً جراحيًا دقيقًا لتجنب الإعاقات الدائمة.
عندما يتعرض طفل لكسر في الساعد، لا يكون الهدف الطبي مجرد "جبر العظم"، بل يمتد الهدف الأساسي إلى ضمان شفاء العظام بشكل تشريحي صحيح، واستعادة الوظيفة الميكانيكية الكاملة للذراع (خاصة حركتي الكب والاستلقاء)، والأهم من ذلك كله، الحفاظ على سلامة "صفائح النمو" (Growth Plates) لضمان قدرة العظم على النمو والتطور بشكل طبيعي مع تقدم الطفل في العمر.
في العاصمة اليمنية صنعاء، يبرز اسم الأستاذ الدكتور محمد هطيف كمرجع طبي رائد وأفضل خبير في جراحة عظام الأطفال. بخبرة تمتد لأكثر من 20 عاماً، يقدم الدكتور هطيف معايير عالمية في علاج هذه الحالات المعقدة، معتمداً على أحدث التقنيات الطبية، وعلى رأسها تقنية التثبيت بالمسامير المرنة داخل النخاع (TENs). هذه التقنية المتقدمة تمثل ثورة في علاج كسور الساعد لدى الأطفال، حيث توفر استقراراً ميكانيكياً ممتازاً للكسر مع الحفاظ على الحد الأدنى من التدخل الجراحي (Minimally Invasive)، مما يقلل من المضاعفات، يقلل من ندبات الجراحة، ويسرع من عملية الشفاء وعودة الطفل لحياته الطبيعية.
سنتناول في هذا الدليل الطبي المرجعي الشامل كل ما تحتاج معرفته كأب أو أم حول كسور الساعد لدى الأطفال. سنغوص في أعماق التشريح الفريد لساعد الطفل، الأسباب والأعراض، خيارات التشخيص، والمقارنة بين العلاجات المتاحة، وصولًا إلى شرح تفصيلي خطوة بخطوة لتقنية المسامير المرنة داخل النخاع التي يجريها الأستاذ الدكتور محمد هطيف باحترافية عالية.


التشريح الفريد لساعد الطفل: لماذا يختلف عن البالغين؟
لفهم طبيعة كسور الساعد وكيفية اتخاذ الأستاذ الدكتور محمد هطيف لقراراته الجراحية، من الضروري أولاً فهم البنية التشريحية الفريدة لساعد الطفل وكيف تختلف جذرياً عن ساعد البالغين. عظام الأطفال ليست مجرد "نسخة مصغرة" من عظام البالغين؛ بل هي نسيج حي نشط يمتلك خصائص ميكانيكية وبيولوجية مختلفة تماماً.
الساعد يتكون من عظمتين رئيسيتين: الكعبرة (Radius) والزند (Ulna). تعمل هاتان العظمتان معاً في تناغم ميكانيكي معقد لتوفير نطاق حركة واسع يصل إلى 180 درجة، وهو أمر حيوي للأنشطة اليومية مثل الكتابة، اللعب، تناول الطعام، وارتداء الملابس.
عظام الساعد والميكانيكا الحيوية المعقدة
- عظم الكعبرة والزند: يمتد جسم عظم الكعبرة من الحدبة الكعبرية القريبة (أعلى الذراع بالقرب من الكوع) إلى الحدبة ذات الدرنات البعيدة (عند الرسغ). وينطبق نفس الوصف التشريحي على جسم عظم الزند. ترتبط العظمتان ببعضهما البعض عبر غشاء قوي يُعرف بـ "الغشاء بين العظمين" (Interosseous Membrane)، والذي يلعب دوراً حاسماً في توزيع الضغط والحفاظ على المسافة بين العظمتين.
- الانحناء الطبيعي للكعبرة (Radial Bowing): في الحالة الطبيعية، يحافظ الناتئ الإبري الكعبري والحدبة ذات الرأسين على اتجاه أقل بقليل من 180 درجة، بينما يكون الناتئ الإبري الزندي والناتئ الإكليلي أقرب إلى 180 درجة حقيقية. هذا "الانحناء" المتأصل في عظم الكعبرة، والذي ينحني بشكل طبيعي بعيدًا عن عظم الزند المستقيم نسبيًا في المستوى الأمامي الخلفي عند وضعية الاستلقاء، أمر بالغ الأهمية لحركات الكب (คว่ำมือ) والاستلقاء (หงายมือ) - أي تدوير الساعد.
- الهدف الجراحي: الحفاظ على هذا الانحناء الكعبري والمساحة بين العظمين هو الهدف الأسمى للأستاذ الدكتور محمد هطيف أثناء الجراحة؛ فأي خلل في هذا الانحناء سيؤدي حتماً إلى إعاقة دائمة في قدرة الطفل على تدوير يده.

القوى العضلية المسببة للتشوه (Deforming Forces)
عند حدوث كسر، لا تبقى العظام في مكانها ببساطة. العضلات القوية المحيطة بالساعد تسحب أجزاء العظم المكسور في اتجاهات مختلفة، مما يسبب تشوهاً وتداخلاً. تنقسم كسور جسم الساعد تقليديًا إلى ثلاث مناطق، لكل منها قوى عضلية مشوهة مميزة يضعها الدكتور هطيف في حسبانه أثناء التخطيط الجراحي:
- الثلث البعيد (القريب من الرسغ): تهيمن عليه العضلة المربعة الكابة (Pronator Quadratus). غالبًا ما تؤدي الكسور هنا إلى كب (دوران للداخل) الجزء البعيد من العظم، مما يتطلب تقنية رد محددة.
- الثلث الأوسط: يتأثر بشدة بالعضلة الكابة المدورة (Pronator Teres). يمكن لهذه العضلة أن تسبب كبًا كبيرًا وانحرافًا زاويًا للعظم المكسور.
- الثلث القريب (القريب من الكوع): هنا، تمارس العضلة ذات الرأسين (Biceps) التي تقوم بالاستلقاء بقوة، والعضلة الباسطة تأثيرها. يمكن أن تؤدي الكسور في هذه المنطقة إلى استلقاء الجزء القريب من العظم وكب الجزء البعيد، مما يجعل عملية رد الكسر مغلقاً (بدون جراحة) صعبة للغاية وعرضة للفشل.

البنى العصبية الوعائية الحيوية (Neurovascular Structures)
الساعد ليس مجرد عظام وعضلات، بل هو ممر حيوي وكثيف للأوعية الدموية والأعصاب التي تغذي اليد وتتحكم بها. يجب أن يكون الجراح على دراية تامة ودقيقة بهذه البنية لتجنب أي إصابة أثناء الجراحة. يتميز الأستاذ الدكتور محمد هطيف بخبرته العميقة في الجراحة المجهرية (Microsurgery)، مما يمنحه دقة متناهية في التعامل مع هذه الأنسجة الدقيقة:
- الشرايين: الشريان العضدي، الكعبري، والزندي. يتم تقييم النبضات والارتشاح الشعري في الأجزاء البعيدة لليد قبل وبعد الجراحة لضمان التروية الدموية الممتازة.
- العصب المتوسط (Median Nerve): يمتد مركزيًا في الساعد. يمكن أن تؤدي إصابته إلى فقدان الإحساس في أجزاء من اليد وفقدان القدرة على القيام بـ "علامة الإبهام والأصبع" (OK sign). يُعد العصب المتوسط هو العصب الأكثر شيوعًا للإصابة بعد كسور الساعد المغلقة أو المفتوحة.
- العصب الزندي (Ulnar Nerve): يمتد وسطيًا. وظيفته الحركية تُختبر بتقريب الإبهام وثني إصبعي الخنصر والبنصر.
- العصب الكعبري (Radial Nerve): مسؤول عن بسط الرسغ والأصابع. أي إصابة للفرع العميق من هذا العصب أثناء الجراحة قد تؤدي إلى حالة "سقوط الرسغ" (Wrist Drop).


أسباب وأنواع كسور الساعد عند الأطفال
لماذا تحدث هذه الكسور بكثرة؟
السبب الأكثر شيوعاً لكسور الساعد عند الأطفال هو السقوط على يد ممدودة (Fall On an Outstretched Hand - FOOSH). عندما يسقط الطفل أثناء اللعب، الجري، أو ركوب الدراجة، فإن رد الفعل الغريزي هو مد الذراع لحماية الوجه والجسم. تنتقل قوة السقوط من الرسغ إلى عظام الساعد، ولأن عظام الأطفال مرنة وتحتوي على مسام أكثر من البالغين، فإنها تستجيب لهذه القوة بطرق مختلفة.
أنواع كسور الساعد عند الأطفال
بفضل مرونة عظام الأطفال ووجود السمحاق (Periosteum) السميك - وهو الغلاف الخارجي للعظم - تختلف أنواع الكسور عن تلك التي نراها لدى البالغين:
- كسر الغصن النضير (Greenstick Fracture): ينكسر جانب واحد من العظم بينما ينحني الجانب الآخر، تماماً مثل محاولة كسر غصن شجرة أخضر وطري.
- كسر التواء أو انبعاج (Torus / Buckle Fracture): ينضغط العظم على نفسه دون أن ينكسر بالكامل. عادة ما يكون مستقراً ويشفى بسرعة.
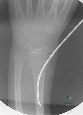
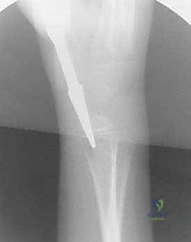
- الكسر الكامل (Complete Fracture): ينكسر العظم بالكامل إلى قطعتين أو أكثر. قد يكون الكسر في العظمتين (الكعبرة والزند) معاً، وهو الأكثر شيوعاً واحتياجاً للتدخل الجراحي.
- كسر مونتيجيا (Monteggia Fracture): كسر في عظم الزند مع خلع في رأس عظم الكعبرة عند الكوع.
- كسر جاليازي (Galeazzi Fracture): كسر في عظم الكعبرة مع خلع في المفصل الكعبري الزندي البعيد عند الرسغ.


الأعراض والتشخيص الدقيق مع أ.د. محمد هطيف
عند تعرض الطفل للإصابة، تظهر عليه علامات واضحة تستدعي التوجه الفوري للطوارئ أو لعيادة الأستاذ الدكتور محمد هطيف:
- ألم شديد وفوري: يزداد مع أي محاولة لتحريك الذراع أو اليد.
- تشوه مرئي: قد تبدو الذراع مثنية أو ملتوية بشكل غير طبيعي.
- تورم وكدمات: تظهر بسرعة حول منطقة الإصابة.
- عدم القدرة على استخدام الذراع: يرفض الطفل استخدام يده المصابة أو تدويرها.
- تنميل أو خدر: في الأصابع، مما قد يشير إلى انضغاط عصبي يستدعي تدخلاً طارئاً.
التشخيص الشعاعي الدقيق
في عيادة الأستاذ الدكتور محمد هطيف، لا يتم الاعتماد على الفحص السريري فقط. يُعد التشخيص الشعاعي الدقيق حجر الزاوية في تحديد خطة العلاج:
- الأشعة السينية (X-rays): يتم أخذ صور بأوضاع مختلفة (أمامي خلفي AP وجانبي Lateral). يصر الدكتور هطيف دائماً على أن تشمل الأشعة المفصل الذي يعلو الكسر (الكوع) والمفصل الذي يليه (الرسغ) لضمان عدم وجود كسور أو خلوع خفية (مثل كسور مونتيجيا أو جاليازي).
- التقييم العصبي الوعائي: يتم فحص النبض وحركة الأصابع والإحساس بدقة بالغة لتوثيق حالة الأعصاب والأوعية الدموية قبل أي تدخل.


خيارات العلاج: متى نلجأ للجبس ومتى تكون الجراحة حتمية؟
تعتمد خطة العلاج التي يضعها الأستاذ الدكتور محمد هطيف على عدة عوامل حاسمة: عمر الطفل، نوع الكسر، درجة التزحزح (Displacement)، ومقدار الزاوية (Angulation). يشتهر الدكتور هطيف بأمانته الطبية العالية؛ فهو لا يلجأ للجراحة إلا إذا كانت هي الخيار الأوحد والأفضل لمستقبل الطفل.
جدول مقارنة: العلاج التحفظي مقابل العلاج الجراحي
| وجه المقارنة | العلاج التحفظي (الجبس / التجبير) | العلاج الجراحي (المسامير المرنة TENs) |
|---|---|---|
| الحالات المناسبة | الكسور البسيطة، كسور الغصن النضير، الكسور غير المتبدلة، الأطفال دون سن 8 سنوات (حيث قدرة العظم على إعادة التشكيل عالية). | الكسور المتبدلة بالكامل، الكسور غير المستقرة، فشل العلاج بالجبس، الأطفال الأكبر سناً (8-14 سنة)، كسور مونتيجيا وجاليازي. |
| طريقة العلاج | رد الكسر المغلق (إعادة العظم لمكانه يدوياً تحت التخدير) ثم وضع جبيرة من الجبس تغطي الكوع والرسغ. | إدخال مسامير مرنة من التيتانيوم داخل تجويف العظم لتثبيته من الداخل كدعامة داخلية. |
| مدة التثبيت | عادة من 4 إلى 8 أسابيع في الجبس الكامل. | فترة أقصر في الجبس (أحياناً أسبوعين فقط للحماية)، مع بدء الحركة المبكرة. |
| المزايا | تجنب الجراحة، تكلفة أقل، لا يوجد تخدير عام طويل. | تثبيت ميكانيكي قوي، عودة أسرع للحركة، الحفاظ الدقيق على تشريح العظم (الانحناء الكعبري)، تجنب تيبس المفاصل. |
| العيوب/المخاطر | خطر تحرك الكسر داخل الجبس (فقدان الرد)، تيبس المفاصل بسبب طول فترة الجبس، ضعف العضلات. | يتطلب جراحة وتخدير، قد يتطلب جراحة بسيطة لاحقاً لإزالة المسامير. |

لماذا يعتبر العلاج الجراحي ضرورياً في بعض الحالات؟
في الأطفال الأكبر سناً (أكثر من 8-10 سنوات)، تقل قدرة العظم على "إعادة التشكيل" (Remodeling) الذاتي لتصحيح الاعوجاج. إذا تُرك الكسر متبدلاً أو بزاوية غير مقبولة، فإن الطفل سيعاني من فقدان دائم في القدرة على تدوير ساعده (الكب والاستلقاء). هنا يتدخل الأستاذ الدكتور محمد هطيف بخبرته لإنقاذ وظيفة الذراع باستخدام تقنية المسامير المرنة.

الثورة في جراحة عظام الأطفال: تقنية المسامير المرنة داخل النخاع (FIN / TENs)
تُعد تقنية التثبيت بالمسامير المرنة داخل النخاع (Flexible Intramedullary Nailing - FIN) أو مسامير التيتانيوم المرنة (Titanium Elastic Nails - TENs) المعيار الذهبي (Gold Standard) لعلاج كسور الساعد غير المستقرة لدى الأطفال. والأستاذ الدكتور محمد هطيف هو رائد هذه التقنية في اليمن.
مبدأ عمل المسامير المرنة
على عكس الشرائح والمسامير التقليدية (Plates and Screws) التي تتطلب شقوقاً جراحية كبيرة وتؤدي إلى تقشير السمحاق (مما يضعف التروية الدموية للعظم)، تعمل المسامير المرنة بمبدأ مختلف تماماً.
يتم إدخال مسمارين مرنين (عادة من التيتانيوم أو الصلب الطبي المقاوم للصدأ) داخل التجويف النخاعي (Marrow Canal) للعظم. يتم ثني هذه المسامير مسبقاً بواسطة الجراح لتشكيل قوس. عندما يتم إدخالها في العظم، فإنها تعمل بمبدأ "التثبيت ثلاثي النقاط" (Three-Point Fixation). تولد المسامير المرنة قوة شد داخلية تدفع أجزاء العظم المكسور نحو بعضها البعض، مما يوفر استقراراً حيوياً ميكانيكياً (Biomechanically Stable) يسمح بتكوين الكالس (Callus) وشفاء العظم بسرعة فائقة.

مميزات تقنية المسامير المرنة مع أ.د. محمد هطيف:
- تدخل جراحي طفيف (Minimally Invasive): شقوق جراحية صغيرة جداً (1-2 سم) لإدخال المسامير، مما يعني ندبات شبه معدومة وألماً أقل بكثير بعد الجراحة.
- الحفاظ على التروية الدموية: عدم فتح موقع الكسر (في معظم الحالات) يحافظ على الورم الدموي الخاص بالكسر (Fracture Hematoma) والسمحاق، مما يسرع من التئام العظم بشكل طبيعي.
- الحفاظ على صفائح النمو: يتم إدخال المسامير بحذر شديد لتجنب إصابة صفائح النمو المسؤولة عن طول العظم مستقبلاً.
- نتائج تجميلية ووظيفية ممتازة: استعادة كاملة للانحناء الطبيعي للكعبرة وحركة الساعد.


الدليل الجراحي التفصيلي: خطوة بخطوة مع الأستاذ الدكتور محمد هطيف
لإبراز المستوى المتقدم من الرعاية الطبية، نستعرض هنا الخطوات الدقيقة التي يتبعها الأستاذ الدكتور محمد هطيف وفريقه الجراحي في غرفة العمليات المجهزة بأحدث التقنيات.
1. التخطيط قبل الجراحة واختيار المسامير
قبل بدء العملية، يقوم الدكتور هطيف بدراسة الأشعة السينية بعناية لتحديد قطر المسامير المناسب. القاعدة الذهبية هي أن يملأ المسماران معاً حوالي 80% من أضيق نقطة في التجويف النخاعي. يتم ثني المسامير مسبقاً لتحقيق أقصى قدر من الاستقرار.
2. التخدير وتجهيز المريض
تُجرى العملية تحت التخدير العام لضمان راحة الطفل التامة. يتم تعقيم الذراع بالكامل وتغطيتها بالستائر الجراحية المعقمة. يُستخدم جهاز الأشعة السينية المتحرك (Fluoroscopy / C-arm) طوال العملية لتوجيه الجراح بدقة.
3. فتح المداخل الجراحية (Incision)
يتميز الدكتور هطيف بإجراء شقوق جراحية تجميلية دقيقة لا تتجاوز 2 سم:
* لعظم الكعبرة: يتم عمل شق صغير بالقرب من الرسغ (فوق الكردوس البعيد للكعبرة) مع حماية فائقة للفرع الحسي للعصب الكعبري.
* لعظم الزند: يتم عمل شق صغير بالقرب من الكوع (تحت الناتئ الزجي).

4. فتح القناة النخاعية
باستخدام أداة دقيقة (Awl)، يقوم الدكتور هطيف باختراق قشرة العظم لإنشاء نقطة دخول للمسمار، مع الحرص الشديد على عدم إيذاء صفيحة النمو القريبة.

5. إدخال المسمار المرن
يتم إدخال المسمار المرن (المثني مسبقاً)








كسور العظام المعقدة وإصابات الحوادث ليس قدراً محتوماً! التشخيص الدقيق والعلاج المتخصص يمكن أن يعيد لك كامل وظيفتك وحريتك في الحركة. لا تدع الألم يسيطر على حياتك.
للحصول على استشارة دقيقة وخطة علاجية مخصصة لحالتك، تواصل فوراً مع مركز الأستاذ الدكتور محمد هطيف:
الأستاذ الدكتور محمد هطيف - أفضل دكتور عظام في صنعاء، وخبير في جراحات الكسور المعقدة وإنقاذ الأطراف.. نلتزم بإعادتك لحياة خالية من الألم وعظام قوية وملتئمة.
مواضيع أخرى قد تهمك