تثبيت مفصل الكاحل بالمنظار: حل دائم لآلام التهاب المفصل المزمنة في صنعاء مع الأستاذ الدكتور محمد هطيف

الخلاصة الطبية
تثبيت مفصل الكاحل بالمنظار هو إجراء جراحي متقدم يعالج التهاب مفصل الكاحل المتقدم بتثبيت عظمي دائم، مما يزيل الألم ويستعيد الاستقرار. تُجرى هذه العملية بتقنيات طفيفة التوغل لتعافٍ أسرع ونتائج ممتازة.
مقدمة شاملة عن تثبيت مفصل الكاحل بالمنظار: نهاية لآلامك المزمنة
مرحباً بكم في هذا الدليل الطبي الشامل والمفصل حول تثبيت مفصل الكاحل بالمنظار (Arthroscopic Ankle Arthrodesis). يُعد هذا الإجراء الجراحي المتقدم بمثابة طوق النجاة والحل الجذري والدائم لآلام الكاحل المزمنة والمبرحة، والتي تنتج غالباً عن التهاب المفصل (الخشونة) في مراحله النهائية المتقدمة. عندما تصبح أبسط تفاصيل الحياة اليومية—مثل المشي لمسافات قصيرة، أو صعود السلالم، أو حتى الوقوف—تحدياً يومياً صعباً ومؤلماً، وعندما تفشل كافة العلاجات التحفظية في تقديم الإغاثة المرجوة، يبرز هذا التدخل الجراحي الدقيق كمفتاح ذهبي لاستعادة جودة الحياة الطبيعية والعودة إلى ممارسة النشاطات اليومية براحة تامة.
يُعرف تثبيت مفصل الكاحل بالمنظار، والذي يُطلق عليه أيضاً "دمج الكاحل (Ankle Fusion)"، بأنه المعيار الذهبي والحل الأكثر رسوخاً وفعالية لمعالجة التهاب مفصل الكاحل المتأخر. وما يميز هذا الإجراء في العصر الحديث هو استخدام تقنية "المنظار الجراحي"، حيث يتم إجراء العملية من خلال شقوق صغيرة جداً (بوابات) بدلاً من الشق الجراحي الطويل المستخدم في الجراحات المفتوحة التقليدية.

يتميز هذا الإجراء الدقيق، خاصة عندما يُجرى بأيدي خبيرة وبدقة متناهية، بمعدلات اندماج عظمي ممتازة تفوق نظيراتها، وغالباً ما ينتج عنه ألم أقل بكثير في فترة ما بعد الجراحة، فضلاً عن سرعة التعافي وتقليل فرص حدوث المضاعفات. الهدف الأساسي والجوهري من هذه العملية هو تحقيق اندماج عظمي قوي، صلب، وخالٍ تماماً من الألم لمفصل الكاحل (المفصل الظنبوبي-الرصغي Tibiotalar Joint)، وبالتالي القضاء المبرم على مصدر الألم المزمن (الذي ينتج عن احتكاك العظام المتآكلة) واستعادة الاستقرار الوظيفي والهيكلي للقدم.


نظرة تشريحية عميقة: كيف يعمل مفصل الكاحل ولماذا يتألم؟
لفهم أهمية عملية تثبيت مفصل الكاحل بالمنظار، يجب أولاً إلقاء نظرة على التشريح المعقد لهذا المفصل الحيوي. مفصل الكاحل الأساسي، المعروف طبياً باسم المفصل الظنبوبي الرصغي (Tibiotalar Joint)، هو مفصل مفصلي (Hinge Joint) يتكون من التقاء ثلاثة عظام رئيسية:
1. عظمة الظنبوب (Tibia): وهي عظمة الساق الكبرى التي تشكل الجزء الداخلي والعلوي من الكاحل.
2. عظمة الشظية (Fibula): وهي عظمة الساق الصغرى التي تشكل الجزء الخارجي من الكاحل.
3. عظمة الكعب/الرصغ (Talus): وهي العظمة السفلية التي ترتكز عليها عظام الساق.

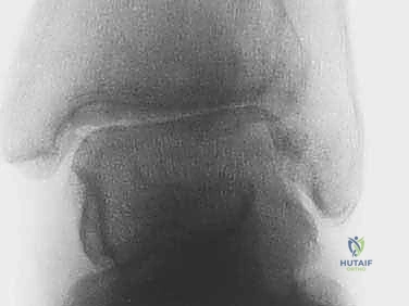
في الحالة الطبيعية والصحية، تكون أسطح هذه العظام مغطاة بطبقة ناعمة، ملساء، ومرنة تُعرف بـ الغضروف المفصلي (Articular Cartilage). يعمل هذا الغضروف كوسادة ممتصة للصدمات ويسمح بانزلاق العظام فوق بعضها البعض بسلاسة وبدون احتكاك أثناء المشي والركض. كما يحيط بالمفصل سائل زلالي يعمل كمشحم طبيعي.
ولكن، عندما يتعرض هذا الغضروف للتلف أو التآكل—سواء بسبب إصابة قديمة، أو أمراض روماتيزمية، أو التقدم في العمر—تختفي هذه الطبقة الواقية. النتيجة هي احتكاك "عظم بعظم" (Bone-on-Bone)، وهو ما يولد التهاباً شديداً، وتورماً، وألماً لا يُطاق مع كل خطوة يخطوها المريض.


الأسباب الجذرية لالتهاب وخشونة مفصل الكاحل المتقدمة
على عكس مفصلي الركبة والورك، حيث تكون الخشونة الأولية (الناتجة عن التقدم في العمر) هي السبب الشائع، فإن التهاب مفصل الكاحل له أسباب مختلفة جذرياً. فهم هذه الأسباب يساعد في تحديد مسار العلاج الأمثل:
- التهاب المفاصل الرضحي (Post-Traumatic Arthritis): يُعد السبب الأكثر شيوعاً على الإطلاق (يمثل حوالي 70-80% من الحالات). يحدث هذا النوع بعد سنوات أو حتى عقود من تعرض الكاحل لإصابة شديدة، مثل كسور الكاحل المعقدة، أو الالتواءات المتكررة والشديدة التي أدت إلى عدم استقرار مزمن في الأربطة، مما تسبب في تآكل الغضروف بشكل غير متساوٍ ومتسارع.
- التهاب المفاصل الروماتويدي (Rheumatoid Arthritis): وهو مرض مناعي ذاتي يهاجم فيه جهاز المناعة الغشاء الزليلي المبطن للمفصل، مما يؤدي إلى تدمير الغضاريف وتآكل العظام المحيطة بالكاحل.
- الفصال العظمي الأولي (Primary Osteoarthritis): وهو التآكل والتمزق الطبيعي للغضاريف مع التقدم في العمر. ورغم شيوعه في الركبة، إلا أنه نادر الحدوث في الكاحل ما لم تكن هناك عوامل وراثية أو إجهاد ميكانيكي غير طبيعي.
- العدوى المفصلية السابقة (Septic Arthritis): التهاب بكتيري سابق في المفصل يمكن أن يدمر الغضروف بسرعة فائقة، تاركاً المفصل متضرراً ومؤلماً بشكل دائم.
- التشوهات الخلقية أو المكتسبة: مثل القدم المسطحة الشديدة (Severe Flatfoot) أو اعوجاج محور الساق، والتي تؤدي إلى توزيع غير متكافئ للضغط على مفصل الكاحل.

الأعراض والعلامات التحذيرية: متى يجب التدخل؟
لا تظهر الحاجة إلى عملية تثبيت الكاحل بين عشية وضحاها، بل هي نتيجة لتدهور تدريجي في حالة المفصل. تشمل الأعراض التي تستدعي تقييماً جراحياً عاجلاً:
* ألم مبرح ومزمن: ألم عميق في مقدمة أو جوانب الكاحل يزداد سوءاً مع تحمل الوزن (المشي أو الوقوف) وقد يوقظ المريض من نومه.
* تصلب مفصلي شديد (Stiffness): فقدان ملحوظ في المدى الحركي للكاحل؛ حيث يجد المريض صعوبة بالغة في ثني قدمه للأعلى أو للأسفل.
* تورم دائم: انتفاخ لا يزول حول مفصل الكاحل، حتى مع الراحة واستخدام الثلج.
* تغير في شكل الكاحل (Deformity): قد يلاحظ المريض انحرافاً في شكل القدم أو الكاحل إلى الداخل أو الخارج.
* العرج الواضح: تغير في طريقة المشي لتجنب وضع الوزن على القدم المصابة، مما قد يؤدي لاحقاً إلى آلام في الركبة والظهر والورك.


لماذا تختار الأستاذ الدكتور محمد هطيف؟ (الرقم الصعب في جراحة العظام باليمن)
عندما يتعلق الأمر بجراحة دقيقة ومعقدة مثل تثبيت مفصل الكاحل بالمنظار، فإن اختيار الجراح هو القرار الأهم الذي ستتخذه على الإطلاق. في العاصمة اليمنية صنعاء، يتربع الأستاذ الدكتور محمد هطيف على قمة هرم جراحة العظام والمفاصل، محققاً نسب نجاح تضاهي المراكز الطبية العالمية.
ما الذي يجعل الأستاذ الدكتور محمد هطيف الخيار الأول والأفضل؟
- المكانة الأكاديمية المرموقة: بصفته أستاذاً (Professor) في كلية الطب بجامعة صنعاء، فهو لا يمارس الطب فحسب، بل يُدرّس الأجيال القادمة من الأطباء أحدث ما توصل إليه العلم في جراحة العظام.
- خبرة تتجاوز العقدين (20+ عاماً): مسيرة حافلة بالآلاف من العمليات الجراحية الناجحة، مما منحه "الحاسة السادسة" الجراحية للتعامل مع أعقد الحالات وأكثرها تحدياً.
- الريادة في التقنيات الدقيقة (Microsurgery & Arthroscopy): د. هطيف هو رائد استخدام تقنيات المناظير بدقة 4K في اليمن. هذه التقنية تتيح له رؤية أدق تفاصيل المفصل مكبرة عشرات المرات، مما يضمن إزالة الغضاريف التالفة بدقة متناهية دون الإضرار بالأنسجة السليمة.
- الأمانة الطبية المطلقة: يُعرف الأستاذ الدكتور محمد هطيف بصدقه وشفافيته التامة مع مرضاه. فهو لا ينصح بالتدخل الجراحي إلا إذا كان هو الحل الأمثل والوحيد لحالة المريض، بعد استنفاد كافة الطرق التحفظية.
- الرعاية الشاملة: من اللحظة الأولى في العيادة، مروراً بغرفة العمليات، وحتى آخر جلسة علاج طبيعي، يشرف د. هطيف على رحلة تعافي المريض خطوة بخطوة.


الخيارات العلاجية: التحفظي مقابل التدخل الجراحي
قبل اللجوء إلى الجراحة، يحرص الأستاذ الدكتور محمد هطيف دائماً على تقييم إمكانية العلاج التحفظي. ومع ذلك، في حالات الخشونة من الدرجة الرابعة (النهائية)، غالباً ما تكون الجراحة هي الحل الوحيد المجدي.
جدول (1): مقارنة شاملة بين العلاج التحفظي والجراحي لخشونة الكاحل
| وجه المقارنة | العلاج التحفظي (غير الجراحي) | التدخل الجراحي (تثبيت الكاحل بالمنظار) |
|---|---|---|
| الهدف الأساسي | تخفيف الألم مؤقتاً وتقليل الالتهاب. | القضاء الجذري والدائم على الألم. |
| الفئة المستهدفة | الحالات الخفيفة إلى المتوسطة، أو المرضى غير المؤهلين للجراحة. | الحالات المتقدمة (احتكاك عظم بعظم) التي تعيق الحياة اليومية. |
| الأساليب المستخدمة | الأدوية المضادة للالتهابات (NSAIDs)، الحقن الموضعية (كورتيزون/بلازما PRP)، الأحذية الطبية الداعمة، تعديل النشاط. | إزالة الغضاريف التالفة بالمنظار، دمج العظام باستخدام براغي طبية دقيقة لتكوين عظمة واحدة صلبة. |
| الفعالية على المدى الطويل | مؤقتة؛ المرض يستمر في التطور وقد تفقد العلاجات فعاليتها مع الوقت. | دائمة؛ بمجرد التحام العظام، يختفي الألم من ذلك المفصل للأبد. |
| المضاعفات المحتملة | آثار جانبية للأدوية (قرحة معدة)، تدهور حالة المفصل بمرور الوقت. | مخاطر التخدير، عدم التئام العظام (Non-union)، عدوى (نادرة جداً مع المنظار). |
| التأثير على الحركة | يحافظ على المدى الحركي المتبقي (والذي يكون مؤلماً). | يلغي الحركة في مفصل الكاحل الأساسي، ولكن المفاصل المجاورة تعوض جزءاً كبيراً من الحركة. |



ما هو تثبيت مفصل الكاحل بالمنظار؟ ولماذا يتفوق على الجراحة المفتوحة؟
عملية دمج أو تثبيت الكاحل (Arthrodesis) تهدف إلى إزالة الأسطح الغضروفية التالفة بالكامل، ثم وضع عظمة الظنبوب وعظمة الكعب في وضعية تشريحية صحيحة، وتثبيتهما معاً باستخدام براغي أو صفائح معدنية. بمرور الوقت (عادة 8 إلى 12 أسبوعاً)، ينمو عظم جديد بين العظمتين، ليلتحما وتصبحا عظمة واحدة صلبة. بمجرد توقف الحركة في هذا المفصل التالف، يتوقف الألم تماماً.
تاريخياً، كانت هذه العملية تُجرى عبر شق جراحي كبير (الجراحة المفتوحة). ولكن مع التطور التكنولوجي، أصبح الأستاذ الدكتور محمد هطيف يعتمد على تقنية المنظار الجراحي (Arthroscopy) كخيار أول للحالات المناسبة.
جدول (2): الجراحة المفتوحة مقابل التثبيت بالمنظار
| الميزة | الجراحة المفتوحة التقليدية | التثبيت بالمنظار الجراحي (مع د. هطيف) |
|---|---|---|
| حجم الشق الجراحي | شق كبير (10-15 سم) لفتح المفصل بالكامل. | شقوق دقيقة جداً (بوابات لا تتعدى 1 سم). |
| تضرر الأنسجة المحيطة | قطع واسع في العضلات والأربطة والأوعية الدموية. | الحفاظ التام على الأنسجة المحيطة والتروية الدموية. |
| معدل التئام العظام (Fusion Rate) | جيد (حوالي 80-85%). | ممتاز (يتجاوز 90-95%) بسبب الحفاظ على التروية الدموية الحيوية للعظام. |
| الألم بعد العملية | شديد ويحتاج لمسكنات قوية لفترة أطول. | خفيف إلى متوسط، ويمكن السيطرة عليه بسهولة. |
| فترة البقاء في المستشفى | 2 إلى 4 أيام. | غالباً جراحة يوم واحد (Day Surgery) أو ليلة واحدة فقط. |
| مخاطر العدوى والالتهابات | أعلى نسبياً بسبب تعرض الأنسجة الداخلية للهواء. | منخفضة جداً (شبه معدومة) بفضل البيئة المغلقة للمنظار. |


خطوات العملية الجراحية: رحلة دقيقة داخل غرفة العمليات
يُجري الأستاذ الدكتور محمد هطيف عملية تثبيت الكاحل بالمنظار وفق بروتوكول جراحي صارم يعتمد على الدقة المتناهية. إليك تفصيلاً لما يحدث داخل غرفة العمليات:
الخطوة الأولى: التخدير والتحضير
يتم إخضاع المريض للتخدير (إما نصفي أو عام حسب تقييم طبيب التخدير). يتم تعقيم القدم والساق بالكامل، ووضع المريض في وضعية تضمن الوصول الأمثل للكاحل.

الخطوة الثانية: إنشاء البوابات الجراحية (Portals)
يقوم الدكتور هطيف بعمل شقين صغيرين جداً (حوالي نصف سنتيمتر لكل منهما) في مقدمة الكاحل. تُستخدم هذه الشقوق كـ "بوابات" لإدخال كاميرا المنظار عالية الدقة (4K) والأدوات الجراحية الدقيقة.

الخطوة الثالثة: التنظيف وإزالة الغضاريف (Debridement)
باستخدام أدوات متخصصة (مثل Shaver و Curette)، يتم تنظيف المفصل من أي نتوءات عظمية (Osteophytes) والأنسجة الملتهبة. بعد ذلك، يتم كشط وإزالة ما تبقى من الغضروف التالف من على أسطح عظمة الظنبوب وعظمة الكعب وصولاً إلى العظم الإسفنجي السليم النازف (Bleeding Subchondral Bone). هذه الخطوة حاسمة جداً، فالعظم النازف هو الذي سيحفز عملية الشفاء وتكوين عظم جديد للدمج.

الخطوة الرابعة: التحضير البيولوجي للأسطح العظمية
لضمان أقصى درجات الاندماج، قد يقوم الجراح بعمل ثقوب دقيقة في العظم (Microfracture) لزيادة تدفق الخلايا الجذعية وعوامل النمو من نخاع العظم إلى منطقة الدمج.

الخطوة الخامسة: التثبيت المحكم (Rigid Fixation)
بمجرد تحضير العظام، يتم وضع القدم في الوضعية الوظيفية المثالية للمشي (عادة بزاوية 90 درجة مع الساق). يتم إدخال براغي معدنية قوية (عادة من التيتانيوم) عبر الجلد وبمساعدة الأشعة السينية الفلورية (C-arm) لضغط العظمتين معاً وتثبيتهما بقوة. هذا الضغط المحكم يمنع أي حركة ويسمح للعظام بالالتحام.

دليل التأهيل الشامل: خريطة الطريق نحو التعافي التام
العملية الجراحية الناجحة هي نصف المعركة فقط؛ النصف الآخر يعتمد بشكل كلي على التزام المريض ببرنامج التأهيل والعلاج الطبيعي. يقسم الأستاذ الدكتور محمد هطيف مرحلة التعافي إلى عدة مراحل أساسية:
المرحلة الأولى: الأسابيع 0 إلى 2 (الحماية القصوى)
* يتم وضع القدم في جبيرة أو حذاء طبي واقٍ (CAM Boot).
* ممنوع منعاً باتاً وضع أي وزن على القدم المصابة (Non-Weight Bearing). يجب استخدام العكازات أو مشاية.
* التركيز على إبقاء القدم مرفوعة فوق مستوى القلب لتقليل التورم، وتناول الأدوية الموصوفة بانتظام.

المرحلة الثانية: الأسابيع 2 إلى 6 (الشفاء الأولي)
* يتم إزالة الغرز الجراحية (إن وجدت) في العيادة.
* يستمر المريض في عدم تحميل الوزن.
* يمكن البدء بتمارين خفيفة جداً لتحريك أصابع القدم والركبة والورك للحفاظ على الدورة الدموية وتجن
آلام العظام والمفاصل وتقييد حركتها ليس قدراً محتوماً! التشخيص الدقيق والعلاج المتخصص يمكن أن يعيد لك كامل وظيفتك وحريتك في الحركة. لا تدع الألم يسيطر على حياتك.
للحصول على استشارة دقيقة وخطة علاجية مخصصة لحالتك، تواصل فوراً مع مركز الأستاذ الدكتور محمد هطيف:
الأستاذ الدكتور محمد هطيف - أفضل دكتور عظام في صنعاء، وخبير في جراحات العظام والمفاصل والعمود الفقري.. نلتزم بإعادتك لحياة خالية من الألم وحركة طبيعية.
مواضيع أخرى قد تهمك