استبدال مفصل الكاحل الكلي بنظام INBONE: استعادة الحركة بلا ألم مع الأستاذ الدكتور محمد هطيف في صنعاء

الخلاصة الطبية
جراحة استبدال مفصل الكاحل الكلي بنظام INBONE هي حل فعال لالتهاب المفاصل المتقدم، حيث توفر دقة فائقة في تصحيح التشوهات وتخفيف الألم واستعادة وظيفة الكاحل. يقدم الأستاذ الدكتور محمد هطيف هذه الجراحة المتطورة في صنعاء.
الخلاصة الطبية السريعة: جراحة استبدال مفصل الكاحل الكلي بنظام INBONE™ هي الثورة الطبية الأحدث والحل الجذري الفعال لالتهاب المفاصل المتقدم وخشونة الكاحل الشديدة. توفر هذه التقنية دقة ميكانيكية فائقة في تصحيح التشوهات، وتخفيف الألم المزمن، واستعادة الوظيفة الحركية للكاحل بشكل طبيعي. يقدم الأستاذ الدكتور محمد هطيف، بخبرته التي تتجاوز 20 عاماً، هذه الجراحة المتطورة في العاصمة صنعاء، ليعيد للمرضى قدرتهم على المشي والحياة بلا ألم.
مرحباً بكم في الدليل الطبي الشامل والأكثر تفصيلاً في العالم العربي حول استبدال مفصل الكاحل الكلي، وبالأخص باستخدام نظام INBONE™ المبتكر. إذا كنت تعاني من آلام مزمنة، وتيبس يحد من حركتك، وتدهور في نوعية حياتك بسبب خشونة الكاحل، فإن هذه الصفحة مصممة خصيصاً لك. هنا، نضع بين يديك كل التفاصيل العلمية والطبية التي تحتاجها لاتخاذ قرار يغير مجرى حياتك.



التشريح البيوميكانيكي لمفصل الكاحل: لماذا هو معقد؟
لفهم أهمية جراحة استبدال الكاحل، يجب أولاً أن نفهم مدى تعقيد هذا المفصل. مفصل الكاحل (Ankle Joint) ليس مجرد مفصل بسيط يشبه المفصلة، بل هو بنية هندسية حيوية معقدة تتحمل أضعاف وزن الجسم مع كل خطوة نخطوها. أثناء المشي أو الجري، يتعرض الكاحل لقوى ضغط هائلة تتطلب توازناً دقيقاً بين العظام والأربطة والأوتار.
يتكون مفصل الكاحل من التقاء ثلاثة عظام رئيسية:
1. عظمة الظنبوب (Tibia): وهي عظمة الساق الكبرى التي تشمل الجزء الداخلي والسقفي للكاحل، وتتحمل الوزن الأكبر.
2. عظمة الشظية (Fibula): وهي العظمة الجانبية الأصغر التي تشكل البروز الخارجي للكاحل (الكعب الخارجي)، وتوفر الاستقرار الجانبي.
3. عظمة الكاحل أو القعب (Talus): وهي العظمة السفلية التي ترتكز عليها عظام الساق، وتعمل كحلقة وصل مع عظام القدم لتسهيل الحركة لأعلى ولأسفل.

يغطي أسطح هذه العظام نسيج زلق ومرن يُعرف بـ الغضروف المفصلي (Articular Cartilage). وظيفة هذا الغضروف هي امتصاص الصدمات وتوفير سطح أملس يسمح للعظام بالانزلاق فوق بعضها البعض دون احتكاك. عندما يتآكل هذا الغضروف لأسباب مختلفة، تبدأ العظام بالاحتكاك المباشر، مما يؤدي إلى نمو نتوءات عظمية (Osteophytes)، وتيبس شديد، وألم مبرح يعيق أبسط الحركات اليومية.



الأسباب الجذرية لتلف مفصل الكاحل والحاجة للاستبدال
على عكس مفصلي الركبة والورك حيث يكون التهاب المفاصل العظمي (الخشونة المرتبطة بالعمر) هو السبب الشائع، فإن مفصل الكاحل له قصة مختلفة تماماً. الأستاذ الدكتور محمد هطيف يوضح أن معظم حالات تلف الكاحل في اليمن والمنطقة تعود إلى الأسباب التالية:
- التهاب المفاصل بعد الصدمة (Post-Traumatic Arthritis): وهو السبب الأول والأكثر شيوعاً (يشكل حوالي 70-80% من الحالات). يحدث بعد سنوات من تعرض الكاحل لكسر شديد، أو التواءات متكررة، أو إصابات رياضية لم يتم علاجها بشكل صحيح. هذه الإصابات تغير من الميكانيكا الحيوية للمفصل، مما يؤدي إلى تآكل الغضروف المبكر.
- التهاب المفاصل الروماتويدي (Rheumatoid Arthritis): مرض مناعي ذاتي يقوم فيه جهاز المناعة بمهاجمة الأغشية المبطنة للمفاصل (الزليلي)، مما يسبب التهاباً مزمناً يدمر الغضروف والعظام بمرور الوقت.
- التهاب المفاصل العظمي (Osteoarthritis): التآكل التدريجي للغضروف بسبب التقدم في العمر أو الإجهاد المستمر (الخشونة الأولية)، ورغم أنه أقل شيوعاً في الكاحل مقارنة بالركبة، إلا أنه يحدث.
- النخر اللاوعائي (Avascular Necrosis): انقطاع التروية الدموية عن عظمة القعب (Talus)، مما يؤدي إلى موت الخلايا العظمية وانهيار المفصل.
- التشوهات الخلقية أو المكتسبة: مثل القدم المسطحة الشديدة أو تقوس الساقين الذي يضع ضغطاً غير متكافئ على مفصل الكاحل.


متى يجب عليك زيارة الأستاذ الدكتور محمد هطيف؟ (الأعراض التحذيرية)
لا ينبغي تجاهل آلام الكاحل. إذا كنت تعاني من واحد أو أكثر من الأعراض التالية، فقد حان الوقت لتقييم حالتك:
1. ألم شديد ومستمر في الكاحل، يزداد مع المشي أو الوقوف ويستمر حتى أثناء الراحة.
2. تورم مزمن حول المفصل لا يستجيب للأدوية المضادة للالتهابات.
3. تيبس صباحي أو صعوبة في تحريك القدم لأعلى ولأسفل (نقص في المدى الحركي).
4. سماع أصوات طقطقة أو احتكاك خشن (Crepitus) عند تحريك الكاحل.
5. تغير في شكل الكاحل (تشوه مرئي) أو ميلان القدم للداخل أو الخارج.
6. الاعتماد على العكازات أو الكراسي المتحركة لتجنب الألم.


الخيارات العلاجية: من العلاج التحفظي إلى الجراحة
الطب الحديث يقدم حلولاً متدرجة. الأستاذ الدكتور محمد هطيف يلتزم بمبدأ الأمانة الطبية الصارمة؛ حيث لا يلجأ للتدخل الجراحي إلا بعد استنفاد كافة الخيارات التحفظية، أو إذا كانت حالة المفصل متدهورة بشكل لا ينفع معه إلا الجراحة.
جدول مقارنة: الخيارات العلاجية لخشونة الكاحل
| نوع العلاج | الأمثلة والطرق | متى يُنصح به؟ | الفعالية المتوقعة |
|---|---|---|---|
| العلاج التحفظي (غير الجراحي) | الأدوية (مضادات الالتهاب)، العلاج الطبيعي، تعديل الأحذية، الدعامات (Braces)، تقليل الوزن. | في المراحل المبكرة والمتوسطة من الخشونة. | يخفف الألم مؤقتاً، يقلل الالتهاب، يحسن الحركة، لكنه لا يعالج التآكل الغضروفي. |
| الحقن الموضعية | حقن الكورتيزون، حقن البلازما الغنية بالصفائح الدموية (PRP)، حمض الهيالورونيك. | عند عدم الاستجابة للأدوية الفموية، لتأجيل الجراحة. | راحة تمتد من أسابيع إلى أشهر، تختلف الاستجابة من مريض لآخر. |
| تنظيف المفصل بالمنظار | إزالة الشظايا العظمية والغضروفية المتمزقة باستخدام مناظير 4K الدقيقة. | وجود نتوءات عظمية تعيق الحركة أو أجسام حرة داخل المفصل. | ممتاز لتحسين المدى الحركي وتقليل الاحتكاك في الحالات المتوسطة. |
| إيثاق الكاحل (Ankle Fusion) | دمج عظام الكاحل معاً بمسامير وشرائح لمنع الحركة تماماً. | المرضى صغار السن جداً، أو العمال ذوي المهن الشاقة جداً. | يقضي على الألم تماماً، لكنه يلغي حركة المفصل، مما قد يجهد المفاصل المجاورة مستقبلاً. |
| استبدال الكاحل الكلي (INBONE™) | إزالة الأسطح التالفة وتركيب مفصل صناعي متطور يحاكي المفصل الطبيعي. | الخشونة المتقدمة، الرغبة في الحفاظ على حركة القدم الطبيعية. | الحل الذهبي. يزيل الألم، يحافظ على الحركة الطبيعية، ويحمي المفاصل الأخرى في القدم. |



لماذا نظام INBONE™ هو الثورة في استبدال الكاحل الكلي؟
تاريخياً، كانت جراحات استبدال الكاحل تواجه تحديات كبيرة بسبب صغر حجم المفصل والضغط الهائل الواقع عليه، مما كان يؤدي إلى فشل المفاصل الصناعية القديمة. لكن مع ظهور نظام INBONE™ Total Ankle System، تغيرت قواعد اللعبة تماماً في جراحة العظام.
نظام INBONE™ يمثل قمة الهندسة الطبية الحيوية، ويتميز بالآتي:
1. التثبيت داخل النقي (Intramedullary Fixation): على عكس المفاصل القديمة التي كانت تعتمد على التثبيت السطحي، يحتوي نظام INBONE على ساق معدنية (Stem) يتم إدخالها داخل القناة النخاعية لعظمة الساق (الظنبوب). هذا يوفر ثباتاً ميكانيكياً استثنائياً ويمنع ارتخاء المفصل بمرور الوقت.
2. تصميم معياري قابل للتخصيص (Modular Design): يتكون النظام من قطع متعددة يمكن تركيبها معاً لتناسب التشريح الدقيق لكل مريض. مهما كان طول المريض أو حجم عظامه، يمكن تجميع المفصل ليتطابق تماماً مع قياساته.
3. دقة المحاذاة (Alignment): يأتي النظام مع أدوات توجيه جراحية فائقة الدقة تضمن وضع المفصل في الزاوية الميكانيكية المثالية، مما يوزع الوزن بالتساوي ويطيل العمر الافتراضي للمفصل.
4. الحفاظ على العظام: يتطلب النظام إزالة الحد الأدنى من العظام الطبيعية مقارنة بالأنظمة القديمة.



الأستاذ الدكتور محمد هطيف: الخبير الأول في جراحات العظام المعقدة في اليمن
عندما يتعلق الأمر بجراحة دقيقة ومعقدة مثل استبدال مفصل الكاحل الكلي، فإن اختيار الجراح هو العامل الحاسم لنجاح العملية. الأستاذ الدكتور محمد هطيف ليس مجرد جراح عظام، بل هو مرجعية علمية وطبية في اليمن والمنطقة العربية.
- المكانة الأكاديمية: أستاذ جراحة العظام والمفاصل في جامعة صنعاء، مما يعكس عمق معرفته الأكاديمية ومواكبته لأحدث الأبحاث العلمية العالمية.
- خبرة تتجاوز العقدين: أكثر من 20 عاماً من الخبرة العملية في غرف العمليات، أجرى خلالها آلاف الجراحات الناجحة والمعقدة.
- التخصص الدقيق: رائد في مجال الجراحات الميكروسكوبية (Microsurgery)، ومناظير المفاصل بدقة 4K (Arthroscopy 4K)، وجراحات استبدال المفاصل (Arthroplasty).
- الأمانة الطبية: يتميز الدكتور هطيف بسمعة ناصعة في الأمانة الطبية؛ فهو يجري تقييماً دقيقاً وصادقاً لكل حالة، ولا يوصي بالتدخل الجراحي إلا إذا كان هو الحل الأمثل والوحيد لإنهاء معاناة المريض.
- الريادة في صنعاء: إدخال تقنيات مثل نظام INBONE™ إلى العاصمة اليمنية صنعاء يمثل نقلة نوعية تتيح للمرضى الحصول على رعاية طبية بمستوى عالمي دون تكبد عناء وتكاليف السفر للخارج.


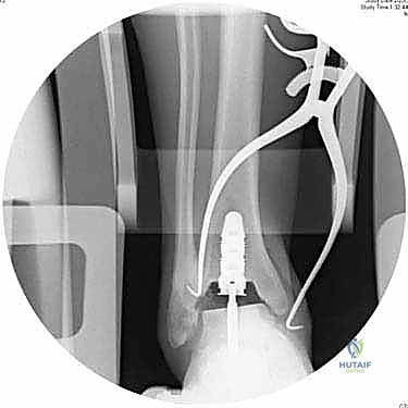
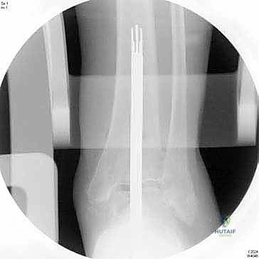
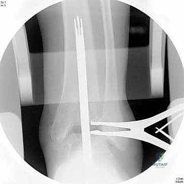
خطوات جراحة استبدال مفصل الكاحل بنظام INBONE™ (دليل خطوة بخطوة)
الشفافية مع المريض هي أساس الثقة. إليك كيف تتم هذه الجراحة المتطورة تحت إشراف الأستاذ الدكتور محمد هطيف:
1. التحضير والتخدير
تبدأ العملية بتقييم شامل من قبل طبيب التخدير. غالباً ما يتم استخدام التخدير النصفي (الشوكي) مع مهدئ وريدي، أو التخدير العام حسب حالة المريض. يتم تعقيم منطقة الكاحل وتجهيزها بعناية فائقة لضمان بيئة جراحية خالية من أي عدوى.

2. الوصول الجراحي الدقيق
يقوم الدكتور هطيف بعمل شق جراحي دقيق في الجزء الأمامي من الكاحل. بفضل خبرته في الجراحة الميكروسكوبية، يتم إبعاد الأوتار والأعصاب والأوعية الدموية بحذر شديد لحمايتها من أي ضرر.

3. تحضير العظام باستخدام أدوات التوجيه
هنا تبرز روعة نظام INBONE™. يتم استخدام أدوات توجيه خاصة (Jigs) لضمان المحاذاة المثالية. يقوم الجراح بإزالة الأجزاء التالفة من غضروف وعظم الظنبوب (Tibia) والقعب (Talus) بدقة متناهية بالملليمتر.


4. إعداد القناة النخاعية وتركيب الساق (Stem)
يتم عمل ثقب دقيق في القناة النخاعية لعظمة الساق. يتم إدخال القطع المعيارية (Modular Stem Pieces) واحدة تلو الأخرى حتى يتم تحقيق التثبيت العميق والمستقر داخل العظم. هذا هو سر قوة نظام INBONE.


5. تركيب المكونات المفصلية
يتم تثبيت القاعدة المعدنية السفلية على عظمة القعب (Talus). ثم يتم إدخال قطعة بلاستيكية عالية التحمل (بولي إيثيلين) بين القطعتين المعدنيتين. هذه القطعة البلاستيكية تعمل كغضروف صناعي، مما يسمح للمفصل بالانزلاق بحرية وسلاسة تامة.


6. التحقق والإغلاق
يتم فحص المدى الحركي للكاحل الجديد وثباته تحت جهاز الأشعة السينية (Fluoroscopy) داخل غرفة العمليات للتأكد من المحاذاة المثالية بنسبة 100%. بعد ذلك، يتم إغلاق الشق الجراحي بغرز تجميلية، ووضع جبيرة ناعمة أو حذاء طبي واقٍ.


إيثاق الكاحل (Fusion) مقابل استبدال الكاحل (Replacement)
كثيراً ما يتساءل المرضى عن الفرق بين العمليتين. فيما يلي مقارنة تفصيلية لمساعدتك في فهم لماذا يعتبر الاستبدال هو الخيار الأفضل للكثيرين اليوم:
| وجه المقارنة | إيثاق الكاحل (Ankle Arthrodesis) | استبدال الكاحل الكلي (Ankle Arthroplasty) |
|---|---|---|
| آلية العملية | لحام ودمج العظام معاً لتصبح عظمة واحدة. | إزالة التالف وتركيب مفصل صناعي متحرك. |
| تخفيف الألم | ممتاز (يقضي على ألم المفصل تماماً). | ممتاز (يزيل الألم مع الحفاظ على الوظيفة). |
| المدى الحركي | معدوم. الكاحل لا يتحرك لأعلى أو لأسفل. | محفوظ. يسمح بحركة طبيعية أو شبه طبيعية. |
| المشي والمشية | مشية متصلبة قليلاً، صعوبة في المشي على الأسطح غير المستوية. | مشية طبيعية وسلسة. |
| تأثيره على المفاصل الأخرى | يزيد الضغط بشكل كبير على مفاصل القدم الأخرى، مما قد يسبب خشونة فيها مستقبلاً. | يحمي مفاصل القدم المجاورة لأنه يمتص الضغط ويوزع الحركة. |
| المرشح المثالي | العمال الذين يرفعون أوزان ثقيلة جداً، صغار السن، المرضى ذوي التشوهات العصبية الشديدة. | المرضى فوق 50 عاماً، المصابين بالروماتويد، الأشخاص الذين يرغبون في الحفاظ على أسلوب حياة نشط. |

رحلة التعافي والتأهيل: خارطة الطريق للعودة إلى الحياة
العملية الجراحية الناجحة هي نصف الطريق؛ النصف الآخر يعتمد على التزامك ببرنامج إعادة التأهيل الذي يصممه الأستاذ الدكتور محمد هطيف وفريقه.
- الأسبوع 1 إلى 2 (الراحة والشفاء): سيكون الكاحل في جبيرة أو حذاء طبي داعم (CAM Boot). غير مسموح بتحميل الوزن على القدم إطلاقاً (استخدام عكازات أو مشاية). يجب رفع القدم لتقليل التورم.
- الأسبوع 3 إلى 6 (التحميل الجزئي): تتم إزالة الغرز. يمكنك البدء في تحميل الوزن جزئياً وبشكل تدريجي بناءً على توجيهات الدكتور هطيف. تبدأ تمارين العلاج الطبيعي الخفيفة لتحريك المفصل لمنع التيبس.
- الأسبوع 6 إلى 12 (التحميل الكلي وتقوية العضلات): الانتقال إلى المشي بوزن كامل باستخدام حذاء مريح. يركز العلاج الطبيعي على تقوية عضلات الساق والكاحل، وتحسين التوازن (Proprioception)، واستعادة المدى الحركي الكامل.
- بعد 3 أشهر: يعود معظم المرضى إلى أنشطتهم اليومية الطبيعية، مثل المشي لمسافات طويلة، السباحة، وركوب الدراجات، وهم يستمتعون بحياة خالية من الألم.


قصص نجاح: استعادة الأمل والحركة في صنعاء
لا شيء يثبت فعالية هذه الجراحة ومهارة الدكتور هطيف أكثر من تجارب المرضى أنفسهم.
القصة الأولى: العودة للعمل بعد حادث سير
"أحمد"، 55 عاماً، تعرض لحادث سير أدى إلى كسر مضاعف في الكاحل. بعد سنوات، تطورت لديه خشونة ما بعد الصدمة، وأصبح غير قادر على ممارسة عمله أو حتى المشي لمسجد الحي. بعد زيارة عيادة الأستاذ الدكتور محمد هطيف في صنعاء، تم اتخاذ قرار استبدال الكاحل بنظام INBONE. يقول أحمد: "كنت أخشى أن أفقد قدرتي على المشي للأبد. اليوم، وبعد 6 أشهر من العملية، أمشي بشكل طبيعي تماماً، والألم الذي رافقني لسنوات اختفى كأنه لم يكن."
القصة الثانية: التغلب على الروماتويد
"فاطمة"، 62 عاماً، عانت من التهاب المفاصل الروماتويدي الذي دمر مفصل الكاحل وجعل حركتها مقتصرة على الكرسي المتحرك. بفضل التشخيص الدقيق والجراحة الناجحة التي أجراها الدكتور هطيف، استعادت فاطمة استقلاليتها. "الدكتور هطيف لم يكن مجرد جراح، بل كان إنساناً استمع لمعاناتي وطمأنني. الآن أستطيع اللعب مع أحفادي دون أن يوقفني الألم."


الأسئلة الشائعة (FAQ): كل ما يدور في ذهنك حول استبدال الكاحل
يقدم الأستاذ الدكتور محمد هطيف إجابات وافية لأكثر الأسئلة التي يطرحها المرضى:
1. ما هي نسبة نجاح عملية استبدال الكاحل بنظام INBONE؟
نسبة النجاح عالية جداً وتتجاوز 90% في تخفيف الألم واستعادة الوظيفة، خاصة عند إجرائها بواسطة جراح خبير ومتخصص مثل الدكتور هطيف.
2. كم يبلغ العمر الافتراضي للمفصل الصناعي؟
مع التقنيات الحديثة مثل INBONE، والتزام المريض بتعليمات الطبيب وتجنب الأنشطة العنيفة، يمكن أن يعيش المفصل الصناعي لمدة تتراوح بين 10 إلى
آلام العظام والمفاصل وتقييد حركتها ليس قدراً محتوماً! التشخيص الدقيق والعلاج المتخصص يمكن أن يعيد لك كامل وظيفتك وحريتك في الحركة. لا تدع الألم يسيطر على حياتك.
للحصول على استشارة دقيقة وخطة علاجية مخصصة لحالتك، تواصل فوراً مع مركز الأستاذ الدكتور محمد هطيف:
الأستاذ الدكتور محمد هطيف - أفضل دكتور عظام في صنعاء، وخبير في جراحات العظام والمفاصل والعمود الفقري.. نلتزم بإعادتك لحياة خالية من الألم وحركة طبيعية.
مواضيع أخرى قد تهمك