قطع العظم فوق الكاحل الحل الأمثل لتشوهات الكاحل وآلامه المزمنة

الخلاصة الطبية
قطع العظم فوق الكاحل هو إجراء جراحي دقيق لتصحيح تشوهات الكاحل واستعادة محوره الميكانيكي الطبيعي، مما يخفف الألم ويمنع تدهور المفصل. يتم التخطيط له بعناية فائقة ويجريه الأستاذ الدكتور محمد هطيف بخبرة عالية، لضمان أفضل النتائج للمرضى واستعادة جودة حياتهم.
الخلاصة الطبية السريعة: قطع العظم فوق الكاحل (Supramalleolar Osteotomy) هو إجراء جراحي دقيق ومتقدم يُستخدم لتصحيح تشوهات الكاحل واستعادة محوره الميكانيكي الطبيعي، مما يخفف الألم بشكل جذري ويمنع تدهور المفصل والتهاب الغضاريف. يتم التخطيط لهذا الإجراء بعناية فائقة باستخدام أحدث التقنيات ثلاثية الأبعاد، ويجريه الأستاذ الدكتور محمد هطيف، أستاذ جراحة العظام والمفاصل بجامعة صنعاء، بخبرة عالية تمتد لعقود، لضمان أفضل النتائج للمرضى واستعادة جودة حياتهم وقدرتهم على الحركة بدون ألم.

مقدمة شاملة عن قطع العظم فوق الكاحل وأهميته البالغة
يُعد مفصل الكاحل أحد أهم المفاصل الحاملة للوزن في جسم الإنسان، فهو يتحمل كامل وزن الجسم تقريباً مع كل خطوة نخطوها، ويسمح لنا بالحركة، والمشي، والجري، والقفز بسلاسة وثبات. ولكن في بعض الحالات، ولأسباب متعددة ومختلفة، قد يتعرض هذا المفصل لتشوهات هيكلية تؤثر بشكل مباشر على توزيع الأحمال والضغوط بداخله. هذا الخلل البيوميكانيكي يؤدي بمرور الوقت إلى آلام مزمنة ومبرحة، وتدهور سريع في الغضاريف المبطنة للمفصل، وصعوبة بالغة في ممارسة الأنشطة اليومية المعتادة.
هنا يبرز دور واحدة من أعقد وأهم جراحات العظام والمفاصل: جراحة "قطع العظم فوق الكاحل" (Supramalleolar Osteotomy). إنها ليست مجرد عملية جراحية تقليدية، بل هي تدخل دقيق يهدف إلى "إنقاذ المفصل" (Joint-Preserving Surgery) بدلاً من استبداله أو تثبيته. تقوم فكرة العملية على إعادة توجيه وتصحيح العظام لتوزيع الحمل الميكانيكي بشكل متساوٍ على الغضاريف السليمة، وإبعاد الضغط عن الغضاريف المتآكلة، مما يمنح المفصل عمراً جديداً ويجنب المريض الحاجة لعمليات أكثر تعقيداً في المستقبل.
في هذا الدليل الطبي الشامل والمفصل، سنغوص في كل صغيرة وكبيرة تخص هذا الإجراء الجراحي المتقدم. سنبدأ بفهم أسباب تشوهات الكاحل المعقدة، مروراً بخطوات التشخيص الدقيقة بالأشعة، وصولاً إلى تفاصيل إجراء العملية خطوة بخطوة، وخطوات التعافي وإعادة التأهيل. إن هدفنا هو تزويد المريض العربي بمعلومات طبية موثوقة، دقيقة، وشاملة، لتكون نبراساً له في رحلة العلاج.


التشريح البيوميكانيكي الدقيق لمفصل الكاحل
لفهم عبقرية عملية قطع العظم فوق الكاحل، يجب أولاً أن نفهم كيف يعمل هذا المفصل المعقد. يتكون مفصل الكاحل (Ankle Joint) من التقاء ثلاثة عظام رئيسية تعمل بتناغم مذهل:
- عظم الظنبوب (Tibia) - قصبة الساق الكبرى: وهو العظم الأكبر والأقوى في الساق، ويتحمل حوالي 90% من وزن الجسم. يشكل نهايته السفلية سقف مفصل الكاحل والكعب الداخلي (Medial Malleolus).
- عظم الشظية (Fibula) - قصبة الساق الصغرى: وهو العظم الأصغر والأنحف، يقع في الجانب الخارجي للساق، ويشكل الكعب الخارجي (Lateral Malleolus). دوره الأساسي هو توفير الاستقرار الجانبي للمفصل.
- عظم الكاحل (Talus) - القعب: وهو العظم الذي يقع أسفل الظنبوب والشظية مباشرة، ويعمل كحلقة وصل محورية بين الساق والقدم.
تشكل هذه العظام معًا ما يُعرف بـ "المفصل الظنبوبي الشظوي الكاحلي" (Tibiotalar Joint). سطح هذا المفصل مغطى بطبقة من الغضروف الزجاجي (Hyaline Cartilage) الأملس الذي يقلل الاحتكاك إلى أدنى حد ممكن ويمتص الصدمات.
كيف يحدث الخلل البيوميكانيكي؟
في الحالة الطبيعية، يمر "محور تحميل الوزن" (Weight-Bearing Axis) من منتصف الركبة، مروراً بمنتصف مفصل الكاحل. عندما يحدث تشوه في الجزء السفلي من عظم الظنبوب (فوق الكاحل مباشرة)، ينحرف هذا المحور إما للداخل أو للخارج. هذا الانحراف يعني أن جزءاً صغيراً من غضروف الكاحل سيتحمل أضعاف الوزن المسموح به، بينما الجزء الآخر لا يتحمل شيئاً. النتيجة الحتمية لهذا التوزيع غير المتكافئ هي التآكل السريع للغضروف المضغوط، والتهاب المفاصل العظمي المبكر، والألم المبرح.
تهدف عملية قطع العظم فوق الكاحل إلى إعادة هذا المحور إلى مساره الطبيعي في المنتصف، لإنقاذ ما تبقى من غضروف سليم.


الأسباب وعوامل الخطر المؤدية لتشوهات الكاحل
تتعدد الأسباب والظروف المرضية التي قد تؤدي إلى تشوهات هيكلية في مفصل الكاحل، والتي تستدعي في النهاية التفكير الجدي في التدخل الجراحي بقطع العظم فوق الكاحل. التشخيص الصحيح للسبب هو مفتاح نجاح العلاج:
1. الكسور الملتئمة بشكل خاطئ (Malunion of Fractures)
يُعد هذا من أكثر الأسباب شيوعاً في مجتمعاتنا. عندما يتعرض الشخص لكسر في عظم الظنبوب أو الشظية بالقرب من مفصل الكاحل، ولا يتم تجبيره أو تثبيته جراحياً بالزوايا التشريحية الصحيحة، يلتئم العظم في وضع معوج.
مثال سريري واقعي: مريض تعرض لكسر في الظنبوب والشظية قبل 26 عاماً، وتم علاجه بشكل تحفظي (بالجبس) دون تصحيح كامل للزاوية. بعد مرور ربع قرن، تطور لديه تشوه فحجي (تقوس للداخل) مع آلام شديدة نتيجة تآكل الغضروف الداخلي. في مثل هذه الحالات، قطع العظم هو الحل الجذري.
2. التهاب المفاصل العظمي غير المتماثل (Asymmetric Osteoarthritis)
التهاب المفاصل العظمي هو خشونة وتآكل في الغضاريف. عندما يكون هذا التآكل "غير متماثل" (أي يصيب الجانب الداخلي للكاحل ويترك الجانب الخارجي سليماً، أو العكس)، فإنه يؤدي إلى ميلان المفصل وتشوه محوره. الجراحة هنا تهدف إلى نقل الوزن من الجانب المتآكل إلى الجانب السليم.
3. تشوهات الكاحل الفحجية (Varus Deformity)
في هذا النوع من التشوه، يميل الكاحل والقدم إلى الداخل (يشبه تقوس الساقين). هذا يضع ضغطاً هائلاً ومدمراً على الجانب الإنسي (الداخلي) للمفصل الظنبوبي الكاحلي. غالباً ما يترافق هذا التشوه مع عدم استقرار في الأربطة الخارجية للكاحل.
4. تشوهات الكاحل الروحية (Valgus Deformity)
على العكس من التشوه الفحجي، في التشوه الروحي يميل الكاحل والقدم إلى الخارج. هذا ينقل كامل وزن الجسم تقريباً إلى الجانب الوحشي (الخارجي) للمفصل. يمكن أن يحدث هذا بسبب مشاكل في الأوتار (مثل تمزق وتر الظنبوبي الخلفي) أو كسور قديمة.
5. العيوب الخلقية والمشاكل التطورية
بعض الأشخاص يولدون بتشوهات في نمو العظام، أو يصابون بأمراض تؤثر على مراكز النمو في العظام (Growth Plate Arrest) خلال فترة الطفولة، مما يؤدي إلى نمو عظم الظنبوب بشكل مائل أو غير متساوٍ.


الأعراض والعلامات السريرية: متى يجب زيارة الطبيب؟
المرضى الذين يعانون من تشوهات في الكاحل تتطلب عملية قطع العظم غالباً ما يعانون من تاريخ طويل من المعاناة. تشمل الأعراض البارزة ما يلي:
- ألم مزمن وحاد في الكاحل: يزداد بشكل ملحوظ مع الوقوف لفترات طويلة، المشي، أو صعود السلالم. الألم غالباً ما يتركز في جانب واحد من الكاحل (الداخلي أو الخارجي) بناءً على نوع التشوه.
- تورم وانتفاخ مستمر: تورم حول المفصل يزداد في نهاية اليوم، وهو دليل على وجود التهاب نشط داخل المفصل بسبب الاحتكاك غير الطبيعي.
- تغير واضح في شكل الكاحل والقدم: يمكن للمريض أو المحيطين به ملاحظة انحراف الكاحل للداخل أو الخارج.
- صعوبة في المشي والعرج: بسبب الألم وتغير الميكانيكا الحيوية، يبدأ المريض بالعرج لتجنب تحميل الوزن على المفصل المصاب.
- تآكل غير متساوٍ في نعل الحذاء: إذا لاحظت أن حذاءك يتآكل من الحافة الخارجية أو الداخلية بشكل أسرع بكثير من الجانب الآخر، فهذا مؤشر قوي على وجود خلل في محور الكاحل.
- تصلب المفصل: فقدان القدرة على ثني أو مد القدم بشكل كامل، خاصة في الصباح الباكر.

التشخيص والتقييم الدقيق: الأساس لنجاح الجراحة
التشخيص الدقيق هو حجر الزاوية في التخطيط لعملية قطع العظم فوق الكاحل. الأستاذ الدكتور محمد هطيف يعتمد على بروتوكول تشخيصي صارم يشمل:
- التقييم السريري الشامل: فحص المريض أثناء الوقوف والمشي لملاحظة طريقة توزيع الوزن. فحص مجال الحركة (Range of Motion)، وتقييم استقرار الأربطة، وفحص النبض والأعصاب في القدم.
- الأشعة السينية أثناء الوقوف (Weight-Bearing X-rays): هذه هي الخطوة الأهم. لا يمكن تقييم تشوه الكاحل بدقة والمريض مستلقٍ. يجب أخذ صور أشعة طويلة للساقين بالكامل لتحديد "محور التحميل الميكانيكي" وقياس زوايا التشوه بدقة متناهية (مثل زاوية TAS وزاوية TLS).
- التصوير المقطعي المحوسب (CT Scan) ثلاثي الأبعاد: يوفر تفاصيل دقيقة ثلاثية الأبعاد لشكل العظام، وهو ضروري جداً لتحديد مكان القص الجراحي بدقة، ولتقييم ما إذا كان هناك أي التواء دوراني في العظم (Rotational Deformity).
- التصوير بالرنين المغناطيسي (MRI): يُستخدم لتقييم حالة الغضروف المفصلي بدقة، والتأكد من وجود مساحات غضروفية سليمة يمكن نقل الوزن إليها. كما يكشف عن أي تمزقات في الأربطة أو الأوتار المصاحبة للتشوه.


مقارنة شاملة: العلاج التحفظي مقابل العلاج الجراحي
قبل اللجوء إلى الجراحة، يتم دائماً تقييم الخيارات التحفظية. يوضح الجدول التالي مقارنة بين النهجين:
| وجه المقارنة | العلاج التحفظي (غير الجراحي) | العلاج الجراحي (قطع العظم فوق الكاحل) |
|---|---|---|
| الهدف الأساسي | تخفيف الألم مؤقتاً وتقليل الالتهاب | تصحيح التشوه جذرياً وإعادة توزيع الوزن |
| طرق العلاج | المسكنات، الأدوية المضادة للالتهاب، العلاج الطبيعي، الأحذية الطبية المخصصة، دعامات الكاحل (Braces)، حقن الكورتيزون أو البلازما (PRP) | التدخل الجراحي لقص العظم وتعديل زاويته وتثبيته بشرائح ومسامير معدنية |
| المميزات | لا يوجد تدخل جراحي، تكلفة أقل مبدئياً، لا يحتاج لفترة نقاهة طويلة | يحل المشكلة من جذورها، يمنع أو يؤخر تدهور المفصل، يجنب المريض الحاجة لتثبيت المفصل (Fusion) مستقبلاً |
| العيوب | لا يصحح التشوه العظمي، مفعوله مؤقت، يستمر تآكل الغضاريف بمرور الوقت | يتطلب تخديراً، فترة تعافي وإعادة تأهيل طويلة (أشهر)، توجد احتمالية لمضاعفات جراحية (وإن كانت نادرة) |
| متى يُنصح به؟ | في المراحل المبكرة جداً، للمرضى كبار السن جداً، أو المرضى الذين تمنع حالتهم الصحية العامة إجراء جراحة | للشباب والبالغين النشطين، عند فشل العلاج التحفظي، وجود تشوه عظمي واضح مع غضروف جزئي سليم |

لماذا الأستاذ الدكتور محمد هطيف هو الخيار الأول لجراحات الكاحل المعقدة في اليمن؟
عندما يتعلق الأمر بجراحة دقيقة ومعقدة مثل "قطع العظم فوق الكاحل"، فإن اختيار الجراح هو العامل الأهم على الإطلاق في تحديد نجاح العملية. يُعتبر الأستاذ الدكتور محمد هطيف المرجع الطبي الأول والأبرز في صنعاء واليمن في هذا التخصص الدقيق، وذلك للأسباب التالية:
- مكانة أكاديمية وعلمية رفيعة: بصفته أستاذاً لجراحة العظام والمفاصل في جامعة صنعاء، فهو يجمع بين أحدث الأبحاث العلمية العالمية والممارسة السريرية، مما يضمن تطبيق أحدث البروتوكولات الطبية المعتمدة دولياً.
- خبرة تتجاوز العقدين: خبرة طويلة ومتراكمة في التعامل مع أعقد حالات التشوهات العظمية، الكسور سيئة الالتئام، والإصابات الرياضية.
- استخدام أحدث التقنيات التكنولوجية: يتميز الدكتور هطيف بإجراء العمليات باستخدام تقنيات الجراحة الميكروسكوبية (Microsurgery)، ومناظير المفاصل بدقة 4K، والطباعة ثلاثية الأبعاد في التخطيط الجراحي المسبق، مما يضمن دقة متناهية لا مجال فيها للخطأ.
- الأمانة الطبية الصارمة (Medical Honesty): وهي السمة الأبرز التي يُعرف بها الدكتور هطيف. فهو يرفض إجراء أي تدخل جراحي إلا إذا كان المريض بحاجة ماسة إليه وكان هو الحل الأمثل علمياً. يضع مصلحة المريض فوق أي اعتبار آخر.
- الرعاية الشاملة: لا يقتصر دور الدكتور هطيف على غرفة العمليات، بل يمتد لمتابعة المريض خطوة بخطوة خلال فترة إعادة التأهيل لضمان العودة الكاملة لممارسة الحياة الطبيعية.

التخطيط الجراحي المسبق: سر الدقة المتناهية
النجاح في عملية قطع العظم فوق الكاحل لا يحدث بالصدفة، بل هو نتيجة تخطيط هندسي وبيوميكانيكي دقيق قبل دخول غرفة العمليات. يقوم الدكتور محمد هطيف باستخدام برامج كمبيوتر متخصصة لتحليل صور الأشعة الخاصة بالمريض. يتم حساب الزوايا بدقة تصل إلى كسور الدرجة، وتحديد مكان القص الجراحي (Osteotomy site) بشكل مثالي.
في بعض الحالات المعقدة، يتم استخدام تقنية الطباعة ثلاثية الأبعاد (3D Printing) لطباعة مجسم حقيقي لعظام المريض، مما يسمح للجراح بتجربة العملية على المجسم قبل إجرائها على المريض، وتصميم أدوات توجيه جراحية (Patient-Specific Instruments) تضمن قص العظم بالزاوية المحددة تماماً.

أنواع عمليات قطع العظم فوق الكاحل
تختلف التقنية الجراحية المستخدمة بناءً على نوع التشوه ومقداره. الجدول التالي يوضح الأنواع الرئيسية لقص العظم:
| نوع قطع العظم | آلية الإجراء | المميزات | العيوب / التحديات |
|---|---|---|---|
| قطع العظم الإسفيني المفتوح (Opening Wedge Osteotomy) | يتم عمل شق في العظم وفتحه لإضافة زاوية، ثم يُملأ الفراغ بطعم عظمي (Bone Graft) صناعي أو من المريض. | يطيل العظم (مفيد إذا كان هناك قصر في الساق)، دقيق جداً في التصحيح. | يحتاج إلى طعم عظمي، قد يستغرق وقتاً أطول للالتئام. |
| قطع العظم الإسفيني المغلق (Closing Wedge Osteotomy) | يتم إزالة مثلث (إسفين) صغير من العظم، ثم تُغلق الحواف على بعضها لتصحيح الزاوية. | التئام أسرع (عظم مقابل عظم مباشرة)، لا يحتاج لطعم عظمي. | يؤدي إلى قصر طفيف جداً في طول الساق، لا ينصح به للمرضى الذين يعانون من قصر الساق أصلاً. |
| قطع العظم القبي (Dome Osteotomy) | يتم قص العظم بشكل نصف دائري (قبة)، مما يسمح بتدوير العظم وتصحيح الزاوية دون تغيير الطول. | يصحح التشوه دون أي تغيير في طول الساق، يوفر سطح تلامس ممتاز للالتئام. | تقنية جراحية صعبة ومعقدة جداً، تتطلب مهارة استثنائية من الجراح. |
التحضير لعملية قطع العظم فوق الكاحل
لضمان سلامة المريض ونجاح العملية، هناك خطوات تحضيرية هامة:
1. الفحوصات الشاملة: تحاليل دم كاملة، تخطيط للقلب (ECG)، وتقييم من طبيب التخدير للتأكد من اللياقة الجراحية.
2. إيقاف التدخين تماماً: التدخين هو العدو الأول لالتئام العظام. يجب التوقف عنه قبل الجراحة بـ 4-6 أسابيع على الأقل، والاستمرار في التوقف بعدها لضمان نجاح تلاحم العظم.
3. تعديل الأدوية: إيقاف الأدوية المسيلة للدم (مثل الأسبرين) قبل العملية بأيام حسب توجيهات الطبيب لتجنب النزيف.
4. تجهيز المنزل: تجهيز بيئة المنزل لتكون آمنة وسهلة الحركة لمريض سيستخدم العكازات ولن يتمكن من الدوس على قدمه لفترة.

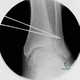
خطوات إجراء الجراحة بالتفصيل (Step-by-Step)
تستغرق العملية عادة من ساعتين إلى ثلاث ساعات، وتتم وفق الخطوات الدقيقة التالية تحت إشراف الأستاذ الدكتور محمد هطيف:
- التخدير: يتم تخدير المريض إما بتخدير نصفي (Spinal Anesthesia) مع مهدئ، أو تخدير عام، بناءً على تقييم طبيب التخدير ورغبة المريض.
- التعقيم والشق الجراحي: يتم تعقيم الساق بالكامل. يُجري الجراح شقاً جراحياً دقيقاً في الجلد فوق منطقة الكاحل (الجانب الداخلي أو الخارجي حسب نوع القطع). يتم إبعاد الأنسجة الرخوة والأعصاب والأوعية الدموية بحذر شديد لحمايتها.
- قص العظم (Osteotomy): باستخدام منشار جراحي دقيق وموجهات خاصة، يتم قص عظم الظنبوب (وفي بعض الأحيان عظم الشظية أيضاً) بالزاوية التي تم تحديدها مسبقاً في التخطيط الثلاثي الأبعاد.
- تصحيح المحور: يتم فتح أو إغلاق الشق العظمي للوصول إلى المحور الميكانيكي السليم للكاحل. يتم التحقق من ذلك داخل غرفة العمليات باستخدام جهاز الأشعة السينية الفلوروسكوبي (C-arm).
- التثبيت الداخلي (Internal Fixation): بمجرد الوصول للزاوية المثالية، يتم تثبيت العظم في وضعه الجديد بقوة باستخدام شرائح معدنية متطورة (Locking Plates) ومسامير من التيتانيوم. هذا التثبيت القوي يضمن عدم تحرك العظم أثناء فترة الالتئام.

- إغلاق الجرح: بعد التأكد من التثبيت ووقف أي نزيف، يتم غسل المنطقة بمحاليل معقمة، ثم خياطة الأنسجة والجلد بطريقة تجميلية دقيقة لتقليل الندبات.
- وضع الجبيرة: يتم وضع جبيرة خلفية أو حذاء طبي واقٍ لحماية الكاحل وتثبيته في المرحلة الأولى من التعافي.
![التحضير لعملية قطع العظم فوق الكاحل](/media/hutaif_opertive/hutaif
آلام العظام والمفاصل وتقييد حركتها ليس قدراً محتوماً! التشخيص الدقيق والعلاج المتخصص يمكن أن يعيد لك كامل وظيفتك وحريتك في الحركة. لا تدع الألم يسيطر على حياتك.
للحصول على استشارة دقيقة وخطة علاجية مخصصة لحالتك، تواصل فوراً مع مركز الأستاذ الدكتور محمد هطيف:
الأستاذ الدكتور محمد هطيف - أفضل دكتور عظام في صنعاء، وخبير في جراحات العظام والمفاصل والعمود الفقري.. نلتزم بإعادتك لحياة خالية من الألم وحركة طبيعية.
مواضيع أخرى قد تهمك