التحام مفصل الكاحل والكعب بالصفيحة النصلية: حل فعال لتشوهات القدم المعقدة مع الأستاذ الدكتور محمد هطيف

الخلاصة الطبية
التحام مفصل الكاحل والكعب بالصفيحة النصلية هو إجراء جراحي حيوي يهدف إلى تثبيت وتصحيح التشوهات الشديدة في القدم والكاحل، خاصةً الناتجة عن اعتلال شاركو العصبي. يتضمن دمج عظمي قصبة الساق والكعب باستخدام صفيحة نصلية لتوفير تثبيت صلب وفوري، مما يساعد على استعادة القدرة على المشي وتجنب البتر.
يُعد إجراء "التحام مفصل الكاحل والكعب بالصفيحة النصلية" (Tibiocalcaneal Arthrodesis Using Blade Plate Fixation) واحداً من أعقد وأهم التدخلات الجراحية لإنقاذ الأطراف في طب جراحة العظام الحديث. يهدف هذا الإجراء الحيوي إلى حماية الأطراف السفلية من خطر البتر الحتمي لدى المرضى الذين يعانون من تشوهات شديدة ومعقدة في القدم والكاحل. وتحديداً، تلك الحالات الناتجة عن اعتلال "شاركو" العصبي المفصلي (Charcot Neuroarthropathy) المتقدم، أو الفشل السابق لجراحات الكاحل، أو التهابات المفاصل الروماتويدية الشديدة.
في العاصمة اليمنية صنعاء، يبرز اسم الأستاذ الدكتور محمد هطيف، أستاذ جراحة العظام والمفاصل بجامعة صنعاء، كالمرجع الطبي الأول والأكثر موثوقية لإجراء هذه الجراحات الدقيقة. يستند الدكتور هطيف إلى خبرة تتجاوز العشرين عاماً، وتقنيات جراحية متطورة تشمل الجراحة الميكروسكوبية ومناظير المفاصل (Arthroscopy 4K)، وأمانة طبية لا تساوم على مصلحة المريض.


نظرة تشريحية شاملة: هندسة القدم والكاحل
تُعد القدم والكاحل من أعظم الإبداعات الهندسية في جسم الإنسان. فهي القاعدة الأساسية التي تحمل وزن الجسم بالكامل، وتعمل كممتص للصدمات، ومحرك رئيسي للقدرة على المشي والحركة والتوازن. تتطلب هذه الوظائف تناغماً مثالياً بين العظام، المفاصل، الأربطة، والأعصاب.

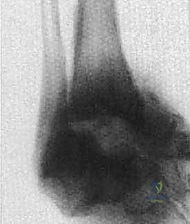
يتكون مفصل الكاحل الأساسي من التقاء عظمة قصبة الساق (Tibia) وعظمة الشظية (Fibula) مع عظمة الكاحل (Talus). وأسفل عظمة الكاحل تقع عظمة الكعب (Calcaneus)، حيث يشكلان معاً المفصل تحت الكاحل (Subtalar Joint) المسؤول عن الحركة الجانبية للقدم. عندما تتعرض هذه المنظومة الدقيقة لانهيار هيكلي، تتحول الحركة من فعل طبيعي إلى مصدر للألم المبرح والإعاقة.


الأسباب العميقة لتشوهات الكاحل المعقدة
لماذا قد يصل المريض إلى مرحلة يحتاج فيها إلى دمج عظام ساقه بكعبه مباشرة؟ تتعدد الأسباب، ولكن النتيجة واحدة: دمار لا رجعة فيه في المفصل.
1. اعتلال شاركو العصبي المفصلي (قدم شاركو)
يُعد مرض السكري غير المنتظم السبب الأول لتلف الأعصاب المحيطية. يفقد المريض الإحساس بالألم، مما يؤدي إلى استمرار المشي على كسور دقيقة في عظام القدم دون الشعور بها. والنتيجة هي انهيار كامل لقوس القدم وتفتت عظمة الكاحل (Talus).


2. الفشل الجراحي السابق (Failed Total Ankle Arthroplasty)
في بعض الحالات، تخفق عمليات تبديل مفصل الكاحل الصناعي أو عمليات التثبيت التقليدية السابقة، مما يترك المريض مع نقص عظمي شديد وعدم استقرار حاد يتطلب تدخلاً إنقاذياً جذرياً.

3. التهاب المفاصل الروماتويدي المتقدم والصدمات
التعرض لحوادث شديدة (Trauma) تؤدي إلى كسور مفتتة في الكاحل، أو الإصابة بالروماتويد الذي يهاجم الغضاريف، يؤديان إلى تآكل كامل للمفصل مصحوباً بألم لا يُطاق.

الأعراض والعلامات السريرية
المرضى المرشحون لهذه الجراحة المعقدة يعانون عادة من مجموعة من الأعراض المنهكة:
* ألم شديد ومزمن: يزداد مع أقل مجهود أو تحميل للوزن (في الحالات غير المرتبطة بالاعتلال العصبي).
* تشوه ملحوظ في شكل القدم: انحراف القدم للداخل أو الخارج بشكل حاد.
* تقرحات جلدية مزمنة: بسبب الضغط غير الطبيعي للعظام المنهارة على الجلد، وهي بوابة خطيرة للعدوى.
* عدم القدرة على ارتداء الأحذية العادية: أو حتى المشي لخطوات معدودة.

الخيارات العلاجية: متى نلجأ للجراحة؟
قبل اتخاذ قرار الجراحة، يقوم الأستاذ الدكتور محمد هطيف بتقييم شامل ودقيق للحالة. لا يتم اللجوء إلى الجراحة إلا بعد استنفاد أو عدم جدوى الخيارات التحفظية.
جدول مقارنة: العلاج التحفظي مقابل العلاج الجراحي
| وجه المقارنة | العلاج التحفظي (الأحذية الطبية / الجبائر) | التدخل الجراحي (التحام الكاحل بالصفيحة النصلية) |
|---|---|---|
| الهدف الأساسي | تخفيف الضغط، منع تفاقم التقرحات الجلدية. | تصحيح التشوه، دمج العظام، إنقاذ الطرف من البتر. |
| الحالات المناسبة | المراحل المبكرة، المرضى غير اللائقين طبياً للجراحة. | دمار المفصل الكامل، قدم شاركو المتقدمة، فشل الجراحات السابقة. |
| الاستقرار الميكانيكي | مؤقت وضعيف، يعتمد على ارتداء الدعامة. | دائم وقوي جداً بفضل الصفيحة المعدنية النصلية. |
| خطر البتر المستقبلي | يظل مرتفعاً إذا استمر انهيار العظام. | ينخفض بشكل كبير جداً بعد نجاح الالتحام العظمي. |

لماذا "الصفيحة النصلية" (Blade Plate) تحديداً؟
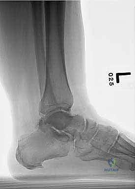
تاريخياً، تم استخدام المسامير النخاعية (Intramedullary Nails) أو البراغي العادية لدمج الكاحل. ولكن في الحالات شديدة التعقيد، حيث تكون عظمة الكاحل (Talus) مدمرة تماماً ويجب استئصالها (Talectomy)، تصبح المسألة هي كيفية تثبيت قصبة الساق مباشرة بعظمة الكعب (Tibiocalcaneal Fusion).
هنا تبرز الصفيحة النصلية (Blade Plate) كالحل الذهبي. تتميز هذه الصفيحة بوجود "نصل" صلب يتم إدخاله بقوة داخل عظمة الكعب، بينما يتم تثبيت الجزء الطولي من الصفيحة على عظمة قصبة الساق بالبراغي. هذا التصميم الهندسي يوفر مقاومة هائلة لقوى الانحناء والدوران، مما يضمن ثباتاً فورياً يسمح للعظام بالالتحام بشكل مثالي.
الدليل الجراحي الشامل: خطوة بخطوة مع أ.د. محمد هطيف
تُعد هذه الجراحة عملاً هندسياً بيولوجياً دقيقاً. نأخذكم في جولة تفصيلية داخل غرفة العمليات لتوثيق مراحل هذا الإجراء المعقد.
1. التجهيز والتخطيط الجراحي
يبدأ الإجراء بتخدير المريض وتجهيز الطرف المصاب في بيئة معقمة تماماً. يتم استخدام جهاز الأشعة السينية المرئي (C-arm) لضمان الدقة المطلقة في كل خطوة.



2. الشق الجراحي والوصول للمفصل
يقوم الدكتور هطيف بعمل شق جراحي دقيق (غالباً من الجهة الجانبية أو الأمامية) للوصول إلى مفصل الكاحل مع الحفاظ التام على الأوعية الدموية والأعصاب الدقيقة باستخدام تقنيات الجراحة الميكروسكوبية التي يبرع فيها.



3. استئصال العظام التالفة (Talectomy)
في حالات "شاركو" المتقدمة، تكون عظمة الكاحل (Talus) مجرد فتات عظمي ميت (Avascular Necrosis). يتم استئصال هذه العظمة بالكامل، بالإضافة إلى إزالة أي غضاريف متبقية من أسفل قصبة الساق وأعلى عظمة الكعب لضمان تلامس عظمي حيوي ونظيف.




4. تحضير قصبة الساق وعظمة الكعب
بعد إزالة العظام التالفة، يتم تسوية سطح عظمة قصبة الساق (Tibia) وعظمة الكعب (Calcaneus) بحيث يتطابقان تماماً. هذه الخطوة حاسمة لضمان استقامة القدم (Alignment) وتجنب أي قصر زائد في طول الطرف.




5. إدخال وتثبيت الصفيحة النصلية (Blade Plate)
هنا تكمن المهارة الجراحية الفائقة. يتم تشكيل مجرى دقيق داخل عظمة الكعب باستخدام إزميل خاص، ثم يتم طرق "نصل" الصفيحة المعدنية بحذر شديد داخل عظمة الكعب لضمان أقصى درجات الثبات.






6. التثبيت النهائي بالبراغي (Screw Fixation)
بعد التأكد من الموضع المثالي للصفيحة والنصل، يتم تثبيت الجزء العلوي من الصفيحة على عظمة قصبة الساق باستخدام براغي قشرية (Cortical Screws) قوية. يتم وضع العظام تحت ضغط ميكانيكي (Compression) لتحفيز الخلايا العظمية على الالتحام السريع.





7. الترقيع العظمي (Bone Grafting) وإغلاق الجرح
لضمان نجاح الالتحام، خاصة في مرضى السكري، قد يستخدم الدكتور هطيف طعوماً عظمية (Bone Grafts) تملأ الفراغات الدقيقة بين العظام. بعد ذلك، يتم إغلاق الجرح بخياطة تجميلية دقيقة ووضع القدم في جبيرة واقية.





بروتوكول إعادة التأهيل الشامل (Rehabilitation Guide)
نجاح عملية التحام مفصل الكاحل لا يعتمد فقط على المهارة الجراحية، بل يتطلب التزاماً صارماً ببرنامج إعادة التأهيل:
- المرحلة الأولى (الأسابيع 1 - 6): يمنع منعاً باتاً تحميل أي وزن على القدم المصابة. يتم استخدام العكازات أو الكرسي المتحرك. الهدف هنا هو التئام الجروح وبدء تكون الجسر العظمي.
- المرحلة الثانية (الأسابيع 6 - 12): يتم إجراء أشعة سينية للتأكد من تقدم الالتحام. قد يُسمح للمريض بوضع وزن جزئي تدريجي باستخدام حذاء طبي خاص (CAM Walker Boot).
- المرحلة الثالثة (الأشهر 3 - 6): مع اكتمال الالتحام العظمي، يبدأ العلاج الطبيعي لتقوية عضلات الساق وتحسين نمط المشي. يعود المريض لارتداء الأحذية المريحة والمشي بثبات.



لماذا الأستاذ الدكتور محمد هطيف هو الخيار الأول في اليمن؟
عندما يتعلق الأمر بجراحة مصيرية تحدد ما إذا كان المريض سيحتفظ بقدمه أم سيتعرض للبتر، فإن اختيار الجراح هو القرار الأهم على الإطلاق.
الأستاذ الدكتور محمد هطيف يمثل قمة الهرم الطبي في جراحة العظام في اليمن للأسباب التالية:
1. المكانة الأكاديمية: أستاذ جراحة العظام والمفاصل بجامعة صنعاء، مما يعني اطلاعه الدائم على أحدث الأبحاث والتقنيات العالمية.
2. الخبرة الطويلة: أكثر من 20 عاماً من إجراء أعقد جراحات العظام والمفاصل بنسب نجاح تضاهي المراكز العالمية.
3. التقنيات الحديثة: رائد في استخدام الجراحة الميكروسكوبية، تبديل المفاصل (Arthroplasty)، ومناظير المفاصل بدقة 4K.
4. الأمانة الطبية: يُعرف د. هطيف بشفافيته المطلقة مع مرضاه، حيث لا يوصي بالجراحة إلا إذا كانت هي الحل الأمثل والأوحد لإنقاذ المريض، واضعاً مصلحة المريض فوق أي اعتبار.

قصص نجاح وتفوق تقني
العديد من المرضى الذين قيل لهم أن "البتر هو الحل الوحيد"، يمشون اليوم على أقدامهم بفضل الله ثم بفضل مهارة د. هطيف في استخدام الصفيحة النصلية.
آلام العظام والمفاصل وتقييد حركتها ليس قدراً محتوماً! التشخيص الدقيق والعلاج المتخصص يمكن أن يعيد لك كامل وظيفتك وحريتك في الحركة. لا تدع الألم يسيطر على حياتك.
للحصول على استشارة دقيقة وخطة علاجية مخصصة لحالتك، تواصل فوراً مع مركز الأستاذ الدكتور محمد هطيف:
الأستاذ الدكتور محمد هطيف - أفضل دكتور عظام في صنعاء، وخبير في جراحات العظام والمفاصل والعمود الفقري.. نلتزم بإعادتك لحياة خالية من الألم وحركة طبيعية.
مواضيع أخرى قد تهمك