وداعاً لألم الكاحل: علاج خلع الأوتار الشظوية بتقنية تعميق الميزاب الشظوي غير المباشر في صنعاء

الخلاصة الطبية
خلع الأوتار الشظوية هو حالة مؤلمة تسبب عدم استقرار الكاحل. يتضمن العلاج الفعال، خاصة للحالات المزمنة، التدخل الجراحي لاستعادة استقرار الأوتار. تعد تقنية تعميق الميزاب الشظوي غير المباشر من الحلول المبتكرة التي يقدمها الأستاذ الدكتور محمد هطيف في صنعاء، لضمان كاحل مستقر وخالٍ من الألم.
الخلاصة الطبية السريعة: خلع الأوتار الشظوية (Peroneal Tendon Dislocation) هو حالة مرضية مؤلمة ومعقدة تسبب عدم استقرار مزمن في مفصل الكاحل، مما يحد من القدرة على الحركة وممارسة الأنشطة اليومية والرياضية. يتضمن العلاج الفعال والجذري، خاصة للحالات المزمنة والمتكررة، التدخل الجراحي الدقيق لاستعادة استقرار الأوتار في مسارها التشريحي الصحيح. تعد تقنية "تعميق الميزاب الشظوي غير المباشر" (Indirect Fibular Groove Deepening) من أحدث الحلول الجراحية المبتكرة والأكثر نجاحاً على مستوى العالم، والتي يقدمها بكل براعة الأستاذ الدكتور محمد هطيف في العاصمة اليمنية صنعاء، لضمان كاحل قوي، مستقر، وخالٍ تماماً من الألم.


مقدمة شاملة: عندما يصبح ألم الكاحل عائقاً أمام الحياة
يعد ألم الكاحل وعدم استقراره من الشكاوى الطبية الشائعة جداً التي تؤثر بشكل جذري على جودة حياة الأفراد. سواء كنت رياضياً محترفاً تعتمد على قدميك في كل حركة، أو شخصاً عادياً يسعى لممارسة حياته اليومية والمشي دون ألم، فإن مفصل الكاحل السليم هو الأساس. من بين الأسباب الأقل شيوعاً من حيث التشخيص الأولي، ولكنها ذات أهمية بالغة وخطورة عالية إذا أُهملت، يأتي "خلع الأوتار الشظوية" أو ما يُعرف بـ "انزلاق الأوتار الشظوية المزمن".
هذه الحالة المرضية ليست مجرد انزلاق بسيط للأوتار من مكانها يمكن تجاهله؛ بل هي اضطراب ميكانيكي معقد يؤثر على الميكانيكا الحيوية (Biomechanics) الدقيقة للكاحل بأكمله. إذا لم يتم تشخيص هذه الحالة مبكراً وعلاجها بشكل صحيح وجذري، فإنها تؤدي حتماً إلى تمزقات طولية في الأوتار، احتكاك مزمن، التهابات حادة، وقد تنتهي بإعاقة حركية مستقبلية وتآكل في مفصل الكاحل.
في هذا الدليل الطبي الشامل والموسع، سنغوص في أعماق فهم هذه الحالة من كافة الجوانب الطبية. سنبدأ من تشريح الكاحل المعقد وكيفية عمل هذه الأوتار، مروراً بالأسباب الخفية والأعراض السريرية، وصولاً إلى أحدث التقنيات التشخيصية. وسنسلط الضوء بشكل مكثف وتفصيلي على تقنية "تعميق الميزاب الشظوي غير المباشر"، وهي الطريقة الجراحية المبتكرة التي أثبتت تفوقها في إنهاء هذه المعاناة، والتي تُجرى بأعلى درجات الاحترافية على يد الأستاذ الدكتور محمد هطيف، استشاري جراحة العظام والمفاصل، والاسم الأول في هذا التخصص الدقيق في اليمن.

التشريح الدقيق: كيف تعمل الأوتار الشظوية في الكاحل؟
لفهم طبيعة المشكلة، يجب أولاً فهم التشريح المعجز لمفصل الكاحل. توجد الأوتار الشظوية (Peroneal Tendons) في الجزء الخارجي (الوحشي) من الساق والكاحل. وهي تتكون من وترين رئيسيين:
1. الوتر الشظوي القصير (Peroneus Brevis Tendon): يقع في الطبقة الأعمق وهو الأقرب للعظم.
2. الوتر الشظوي الطويل (Peroneus Longus Tendon): يقع فوق الوتر القصير.
ينزل هذان الوتران من عضلات الساق ويمران خلف عظمة الكعب الخارجية التي تُسمى "الكعب الوحشي" (Lateral Malleolus) التابعة لعظمة الشظية (Fibula).

الميزاب الشظوي والقيد الشظوي العلوي (SPR)
لكي لا تنزلق هذه الأوتار وتخرج من مسارها أثناء حركة القدم، خلق الله سبحانه وتعالى آليتين للتثبيت:
* الميزاب الشظوي (Fibular Retromalleolar Groove): وهو تجويف أو أخدود عظمي يقع خلف عظمة الكعب الخارجية، تنام فيه الأوتار.
* القيد الشظوي العلوي (Superior Peroneal Retinaculum - SPR): وهو شريط ليفي قوي جداً يمتد فوق الأوتار ليربطها بالعظم، ويعمل كحزام أمان يمنعها من الانزلاق (الخلع) خارج الميزاب العظمي أثناء انقباض العضلات.
عندما يحدث خلل في إحدى هاتين الآليتين (تمزق الشريط الليفي أو تسطح الميزاب العظمي)، تحدث كارثة "خلع الأوتار الشظوية".

الأسباب الخفية والمباشرة لخلع الأوتار الشظوية
لا يحدث خلع الأوتار الشظوية من فراغ، بل هو نتيجة لعوامل ميكانيكية أو إصابات رضية. يمكن تقسيم الأسباب إلى:
1. الإصابات الرياضية الحادة (Acute Trauma)
السبب الأكثر شيوعاً هو التعرض لالتواء شديد في الكاحل. يحدث هذا غالباً في الرياضات التي تتطلب تغيير اتجاه مفاجئ أو القفز، مثل:
* كرة القدم وكرة السلة.
* التزلج على الجليد (حيث تُعرف هذه الإصابة أحياناً بمتلازمة المتزلجين).
* التنس والجمباز.
عندما تنثني القدم بقوة للداخل (Inversion) مع انقباض قوي ومفاجئ لعضلات الساق، يتمزق "القيد الشظوي العلوي" (SPR)، مما يسمح للأوتار بالخروج من مكانها.

2. العوامل التشريحية والتكوينية (Anatomical Factors)
بعض الأشخاص يولدون بخصائص تشريحية تجعلهم أكثر عُرضة لهذه الإصابة، وأهمها:
* تسطح الميزاب الشظوي (Shallow Fibular Groove): بدلاً من أن يكون الميزاب مقعراً وعميقاً لاحتضان الأوتار، يكون مسطحاً أو حتى محدباً (Congenitally convex)، مما يجعل انزلاق الأوتار مسألة وقت.
* الضعف الوراثي في الأربطة: متلازمات فرط مرونة المفاصل.
* تضخم العضلات الشظوية: وجود بطن عضلي يمتد لأسفل أكثر من الطبيعي، مما يزاحم الأوتار في المساحة الضيقة.

الأعراض السريرية: كيف تعرف أنك مصاب بخلع الأوتار الشظوية؟
الكثير من المرضى يراجعون العيادات بتشخيص خاطئ على أنه "التواء كاحل عادي"، ويستمرون في المعاناة لأشهر أو سنوات. إليك الأعراض المميزة لهذه الحالة:
- صوت أو إحساس بالطقطقة (Snapping or Popping): إحساس واضح بانزلاق شيء ما فوق العظمة الخارجية للكاحل، خاصة عند تدوير القدم أو المشي على أسطح غير مستوية.
- ألم حاد خلف العظمة الخارجية (Lateral Malleolus): ألم يزداد مع المجهود الرياضي ويقل بالراحة.
- تورم وكدمات: في الحالات الحادة، يحدث تورم ملحوظ حول المنطقة الخارجية للكاحل.
- عدم استقرار الكاحل (Ankle Instability): شعور المريض بأن كاحله "يخونه" أو يلتوي بسهولة.
- الضعف العضلي: صعوبة في دفع القدم للخارج ضد المقاومة.

رحلة التشخيص الدقيق مع الأستاذ الدكتور محمد هطيف
التميز في العلاج يبدأ من دقة التشخيص. يُعرف الأستاذ الدكتور محمد هطيف (أستاذ جراحة العظام والمفاصل بجامعة صنعاء) بمنهجيته الصارمة والدقيقة في تشخيص حالات الكاحل المعقدة، معتمداً على خبرة تتجاوز 20 عاماً وأحدث التقنيات.
الفحص السريري المتقدم
يقوم الدكتور هطيف بإجراء اختبارات ميكانيكية حيوية في العيادة، حيث يطلب من المريض تحريك قدمه في اتجاهات معينة (Eversion with dorsiflexion) مع وضع مقاومة، لمراقبة والشعور بانزلاق الوتر فعلياً (Subluxation Test).

التصوير الطبي الحديث
- الأشعة السينية (X-Rays): لاستبعاد وجود كسور قلاعية (Avulsion fractures) في عظمة الشظية.
- الموجات فوق الصوتية الحركية (Dynamic Ultrasound): تقنية ممتازة تتيح للدكتور رؤية الوتر وهو ينزلق خارج مكانه أثناء حركة المريض المباشرة.
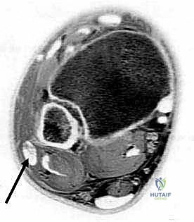
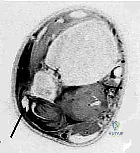
- الرنين المغناطيسي (MRI): هو المعيار الذهبي. يوضح بدقة متناهية شكل الميزاب العظمي، حالة القيد الليفي (SPR)، وما إذا كان هناك تمزق طولي مصاحب في الأوتار نفسها.

الخيارات العلاجية: متى نلجأ للجراحة؟
ينقسم علاج خلع الأوتار الشظوية إلى تحفظي وجراحي، ويعتمد الاختيار على عمر المريض، مستوى نشاطه، ودرجة الإصابة (حادة أم مزمنة).
جدول مقارنة: العلاج التحفظي مقابل العلاج الجراحي
| وجه المقارنة | العلاج التحفظي (غير الجراحي) | العلاج الجراحي (تعميق الميزاب) |
|---|---|---|
| الفئة المستهدفة | كبار السن، غير الرياضيين، الحالات الحادة جداً لأول مرة (في بعض المدارس الطبية). | الرياضيون، الشباب، الحالات المزمنة والمتكررة، فشل العلاج التحفظي. |
| طريقة العلاج | وضع الكاحل في جبيرة أو حذاء طبي (CAM Boot) لمدة 6 أسابيع، ثم علاج طبيعي مكثف. | تدخل جراحي دقيق لإصلاح الأربطة وتعميق الميزاب العظمي لضمان عدم عودة الخلع. |
| معدل النجاح | منخفض إلى متوسط (حوالي 50% من المرضى يعانون من تكرار الخلع). | مرتفع جداً (يتجاوز 95% مع التقنيات الحديثة). |
| خطر تكرار الإصابة | مرتفع (High Recurrence Rate). | نادر جداً. |
| المدة الزمنية للتعافي | أشهر من العلاج الطبيعي مع احتمالية استمرار الألم. | تعافي مبرمج ينتهي بعودة كاملة للرياضة بقوة وثبات. |

الحل الجذري: تقنية "تعميق الميزاب الشظوي غير المباشر"
عندما يصبح الخلع مزمناً، أو عندما يكون الميزاب العظمي مسطحاً بشكل خلقي، فإن العلاج التحفظي يكون مضيعة للوقت. هنا تبرز الحاجة الماسة للتدخل الجراحي.
تعد تقنية "تعميق الميزاب الشظوي غير المباشر" (Indirect Fibular Groove Deepening) من أعظم الابتكارات الجراحية في جراحة الكاحل، وهي التقنية التي يتقنها ويطبقها الأستاذ الدكتور محمد هطيف في صنعاء بأعلى معايير الجودة العالمية.
لماذا التقنية "غير المباشرة" (Indirect)؟ وما هو سر تفوقها؟
في الماضي، كانت الجراحات التقليدية تعتمد على حفر الميزاب العظمي بشكل مباشر من الخارج، مما يؤدي إلى تدمير الغضروف الليفي الزجاجي (Fibrocartilage) الذي يبطن الميزاب، والذي وظيفته تسهيل انزلاق الأوتار بسلاسة. تدمير هذا الغضروف كان يؤدي إلى احتكاك الأوتار بالعظم الخشن، مما يسبب التهابات مزمنة وتمزقات لاحقة.
أما في التقنية غير المباشرة، يقوم الدكتور هطيف بإجراء هندسي عبقري: يتم عمل نافذة عظمية صغيرة أو استخدام مثقاب دقيق (Drill) لإزالة العظم الإسفنجي (Cancellous bone) من داخل عظمة الشظية (من تحت الغضروف)، ثم يتم الضغط (Tamping) على القشرة العظمية المبطنة بالغضروف لتهبط إلى الداخل.
النتيجة؟ ميزاب عميق جداً يحتضن الأوتار بقوة، مع الحفاظ الكامل على الغضروف الأملس السليم بنسبة 100%.

خطوات العملية الجراحية بالتفصيل
تُجرى هذه العملية الدقيقة عبر خطوات منهجية صارمة:
- التخدير والتحضير: يتم تخدير المريض (نصفياً أو كلياً) وتجهيز الكاحل في بيئة معقمة تماماً.
- الشق الجراحي الدقيق: يُحدث الدكتور هطيف شقاً جراحياً تجميلياً صغيراً خلف العظمة الخارجية للكاحل.

- استكشاف الأوتار: يتم فتح القيد الشظوي العلوي (SPR) وفحص الأوتار الشظوية بعناية. إذا كان هناك أي تمزق طولي في الأوتار (وهو أمر شائع في الحالات المزمنة)، يتم خياطته وإصلاحه بتقنيات الجراحة المجهرية (Microsurgery).

- تعميق الميزاب (الخطوة الذهبية): باستخدام أدوات دقيقة جداً، يتم تفريغ جزء بسيط من العظم الداخلي للشظية، ثم يتم طرق القشرة الخارجية بلطف (Impaction) لإنشاء تجويف عميق ومثالي.

- إصلاح الأربطة وتثبيتها: يتم إعادة الأوتار إلى مسارها الجديد العميق، ثم يتم خياطة وشد القيد الشظوي العلوي (SPR) وتثبيته في العظم باستخدام خطاطيف عظمية متطورة (Suture Anchors) لضمان عدم عودة الأوتار للخروج أبداً.

- الإغلاق التجميلي: تُغلق الجروح بخيوط تجميلية دقيقة لتقليل الندبات، ويوضع الكاحل في جبيرة داعمة.

لماذا تختار الأستاذ الدكتور محمد هطيف في صنعاء؟ (E-E-A-T)
عندما يتعلق الأمر بجراحات الكاحل الدقيقة، فإن اختيار الجراح هو العامل الحاسم بين التعافي التام أو استمرار المعاناة. يمثل الأستاذ الدكتور محمد هطيف المرجعية الطبية الأولى (The Ultimate Authority) في جراحة العظام في اليمن، وذلك للأسباب التالية:
- المرتبة الأكاديمية الرفيعة: أستاذ (بروفيسور) جراحة العظام والمفاصل بجامعة صنعاء، مما يعني اطلاعه المستمر على أحدث الأبحاث الطبية العالمية.
- خبرة تتجاوز العقدين: أكثر من 20 عاماً من العمليات الجراحية الناجحة والمعقدة.
- التقنيات الحديثة: استخدام أحدث ما توصل إليه الطب، مثل مناظير المفاصل بدقة 4K، وتقنيات الجراحة المجهرية، والمثبتات العظمية الحديثة.
- الأمانة الطبية الصارمة: يُعرف الدكتور هطيف بصدقه وشفافيته التامة مع المرضى. لا يوصي بالجراحة إلا إذا كانت هي الحل الأمثل والمؤكد لحالة المريض، مع شرح كافة التفاصيل والنتائج المتوقعة بوضوح تام.

برنامج التأهيل الشامل: طريقك للعودة إلى الملاعب والحياة الطبيعية
نجاح العملية الجراحية يمثل 50% من العلاج، بينما الـ 50% الأخرى تعتمد بشكل كلي على برنامج التأهيل والعلاج الطبيعي. يضع الدكتور هطيف بروتوكولاً صارماً للتعافي.
جدول التأهيل الزمني بعد جراحة تعميق الميزاب الشظوي
| المرحلة الزمنية | الأهداف والإجراءات الطبية | مستوى تحمل الوزن |
|---|---|---|
| الأسابيع 1 - 2 | حماية الجرح، تقليل التورم والألم. يبقى الكاحل في جبيرة صلبة أو حذاء طبي. | عدم تحميل الوزن نهائياً (استخدام العكازات). |
| الأسابيع 3 - 6 | بدء التئام الأنسجة. إزالة الجبيرة والبدء بحركات خفيفة للكاحل (Dorsiflexion & Plantarflexion) مع تجنب حركة الانقلاب للداخل. | تحميل وزن جزئي وتدريجي باستخدام الحذاء الطبي الداعم. |
| الأسابيع 7 - 12 | تقوية عضلات الساق والأوتار الشظوية. تمارين التوازن (Proprioception) باستخدام اللوح المتأرجح. | تحميل وزن كامل بدون الحذاء الطبي. المشي الطبيعي. |
| الأشهر 3 - 6 | العودة للأنشطة الرياضية الخفيفة (الهرولة، السباحة، الدراجة). تمارين الرشاقة وتغيير الاتجاه. | جاهزية تامة للحياة اليومية والرياضة الخفيفة. |
| بعد 6 أشهر | العودة الكاملة للرياضات التنافسية (كرة القدم، السلة) بعد اجتياز اختبارات القوة الحركية. | عودة كاملة بقوة وثبات. |

مضاعفات خطيرة: ماذا يحدث إذا تجاهلت علاج خلع الأوتار الشظوية؟
الكثير من المرضى يحاولون التعايش مع الألم وتناول المسكنات، لكن هذا التجاهل يؤدي إلى تدمير تدريجي لمفصل الكاحل. تشمل المضاعفات الخطيرة:
- التمزق الطولي للأوتار (Longitudinal Split Tears): نتيجة الاحتكاك المستمر بالعظمة الحادة، يتمزق الوتر بالطول (مثل اهتراء الحبل)، مما يتطلب جراحة أعقد بكثير لإصلاحه.
- التهاب الأوتار المزمن (Chronic Tendinopathy): ألم مستمر لا يستجيب للمسكنات.
- عدم استقرار الكاحل المزمن: مما يؤدي إلى التواءات متكررة، تنتهي بتآكل الغضاريف والإصابة بـ "خشونة مفصل الكاحل المبكرة" (Ankle Osteoarthritis).
- صعوبة المشي وتشوه المشية: مما يؤثر لاحقاً على الركبة والعمود الفقري.


قصص نجاح حقيقية من عيادة الدكتور محمد هطيف
على مدار السنوات الماضية،
آلام العظام والمفاصل وتقييد حركتها ليس قدراً محتوماً! التشخيص الدقيق والعلاج المتخصص يمكن أن يعيد لك كامل وظيفتك وحريتك في الحركة. لا تدع الألم يسيطر على حياتك.
للحصول على استشارة دقيقة وخطة علاجية مخصصة لحالتك، تواصل فوراً مع مركز الأستاذ الدكتور محمد هطيف:
الأستاذ الدكتور محمد هطيف - أفضل دكتور عظام في صنعاء، وخبير في جراحات العظام والمفاصل والعمود الفقري.. نلتزم بإعادتك لحياة خالية من الألم وحركة طبيعية.
مواضيع أخرى قد تهمك