كسور الغصن الصغير (أ): تحدث كسور الغصن الصغير عند الأطفال ، ولكن ليس كل كسور الأطفال من هذا النوع. تميل عظمة الطفل الأقل هشاشة إلى الالتواء على الجانب المقابل للقوة السببية. غالبًا ما يكون تمزق ال…
شارع الستين، صنعاء
برج الستين، الدور الثالث
جاري البحث...
لا توجد اقتراحات للبحث
نتائج البحث عن: "الكسور"
391 نتائج تم العثور عليها في 0 ثانية
كسور الغصن الصغير (أ): تحدث كسور الغصن الصغير عند الأطفال ، ولكن ليس كل كسور الأطفال من هذا النوع. تميل عظمة الطفل الأقل هشاشة إلى الالتواء على الجانب المقابل للقوة السببية. غالبًا ما يكون تمزق ال…
الكسور المستعرضة البسيطة (أ): الكسور المستعرضة تحدث إما بزوايا قائمة على المحور الطويل للعظم (1) ، أو بانحراف أقل من 30 درجة. قد تكون ناجمة عن العنف المباشر ، عندما تنكسر العظام مباشرة تحت ا…
كسور خط الشعر (ج): كسور الإجهاد تكون بشكل عام على شكل خط شعري ، وغالبًا لا يتم تشخيصها على وجه اليقين حتى يكون هناك خيط من تشكيل الكالس تحت السمحي ، أو زيادة الكثافة في موقع الكسر حوالي 3…
كسور خط الشعر د: صورة شعاعية للجزء العلوي من الساق لمراهق رياضي لديه تاريخ من آلام الساق المستمرة لمدة 7 أسابيع. تم تشخيص الصور الشعاعية السابقة طبيعية. لاحظ العرض ا…
كسور الحدبة الكبرى- كسور راس عظم العضد القريبة تعتبر الحدبة الأكبر هي المنطقة البارزة من العظم في الجزء العلوي من عظم العضد وهي تتصل بعضلتين كبيرتين وقويتين من عضلات الكفة المدورة -العضلة فوق الشوكة …
كيف يتم علاج كسور العظام؟ تعتمد طريقة علاج الكسر على نوعه ، وسببه ، ومدى تلف العظام او ازاحتها. التثبيت غير الجراحي. إذا كان الكسر بسيط ولم تتحرك العظام بعيدًا عن مكانها (إذا لم تكن نازحة) ، فقد …
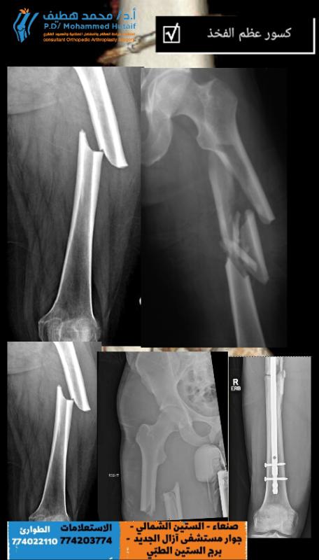
كسور عظم الفخذ هي إصابات عالية الطاقة لعظم الفخذ مرتبطة بإصابات مهددة للحياة (رئوية ودماغية) وكسور عنق الفخذ المماثل. يتم تشخيص كسور عظم الفخذ بالتصوير الشعاعي لعظم الفخذ وكذلك الورك ل…
الكسور العظمية هي من أكثر الإصابات شيوعا في حوادث السير والسقوط والرياضة، وتحتاج في بعض الحالات إلى تثبيت جراحي باستخدام صفائح ومسامير معدنية لضمان اندماج العظام بشكل صحيح. لكن ماذا يحدث بع…
هشاشة العظام وكسور العمود الفقري مع تقدمنا في السن ، تصبح عظامنا أرق وتقل قوة عظامنا ■ هشاشة العظام هي مرض تصبح فيه العظام ضعيفة للغاية وأكثر عرضة للكسر ■ غالبًا ما يتطو…
متى يجب التدخل الجراحي لتثبيت الكسور بالشرائح والمسامير؟ يتساءل الكثيرون عن ما هي الدوافع الضرورية لإجراء التدخل الجراحي لتثبيت الكسور بالشرائح والمسامير في حين أنه من الممكن تثبيت الكسر بالجبس. ف…