Unlock better outcomes: Pediatric hip fractures & lateral femoral cortex
Chapter 10 Pediatric Hip Fractures R. Dale Blasier DEFINITION Hip fractures in children may be intra-articula…
SURGICAL TECHNIQUES PEDIATRIC
Chapter 10 Pediatric Hip Fractures R. Dale Blasier DEFINITION Hip fractures in children may be intra-articula…
Chapter 36 Distal Tibial Osteotomy Kathryn A. Keeler and J. Eric Gordon DEFINITION Angular deformities of the…
Chapter 49 Release of the A1 Pulley to Correct Congenital Trigger Thumb Roger Cornwall DEFINITION Pediatric t…
Chapter 8 Supracondylar Humeral Osteotomy for Correction of Cubitus Varus Yi-Meng Yen, Richard E. Bowen, and …
Chapter 35 Guided Growth to Correct Limb Deformity Peter M. Stevens DEFINITION Physiologic genu varum (before…
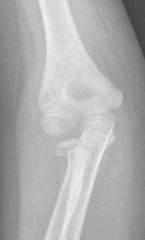
Chapter 3 Open Reduction and Internal Fixation of Fractures of the Medial Epicondyle Brian G. Smith and Krist…
Chapter 30 Surgical Management of Blount’s Disease Eric D. Shirley and Richard S. Davidson DEFINITION Blount’…
Chapter 24 Arthroscopic Drilling of Osteochondritis Dissecans Theodore J. Ganley, Gilbert Chan, and Aaron B. …
Chapter 23 Anterior Cruciate Ligament Reconstruction in the Skeletally Immature Patient J. Todd R. Lawrence a…
Chapter 25 Meniscoplasty for Discoid Lateral Meniscus Jay C. Albright DEFINITION A discoid meniscus is abnorm…
Chapter 7 Percutaneous Joystick and Intramedullary Reduction (Metaizeau) Techniques for Radial Neck Fractures…
Chapter 22 Arthroscopy-Assisted Management or Open Reduction and Internal Fixation of Tibial Spine Fractures …