Beyond Microfracture: ACT for Stubborn Osteochondral Lesions
DEFINITION There are several reasons for cartilaginous defects of the ankle: Traumatic injury Osteochondritis…
Surgical Technique Sport
DEFINITION There are several reasons for cartilaginous defects of the ankle: Traumatic injury Osteochondritis…
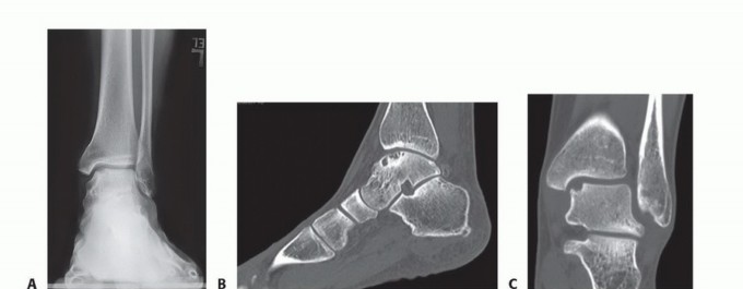
DEFINITION The term osteochondral lesion of the talus (OLT) refers to any pathology of the talar articular ca…
DEFINITION The term osteochondral lesion of the talus (OLT) refers to any pathology of the talar articular ca…
DEFINITION Stability of the patellofemoral joint (PFJ) is multifactorial as it depends on limb alignment, int…
DEFINITION Deltoid ligament deficiency is present when both the deep and superficial components of the medial…
DEFINITION The fifth metatarsal is the most frequently fractured metatarsal bone. Of these, proximal fracture…
DEFINITION Arthroscopic surgical techniques in sports medicine have significantly advanced as a result of the…
DEFINITION Arthroscopy of the ankle has become an invaluable tool for evaluating and treating pathology in th…
DEFINITION Osteochondral lesions of the talus (OLT) are common conditions that can involve both the cartilage…
DEFINITION Rupture of the Achilles tendon is common. More than 20% of acute injuries are misdiagnosed, leadin…
DEFINITION Subluxation or dislocation of the peroneal tendon is a relatively uncommon injury, with the majori…
DEFINITION Synovial-based disorders about the hip are relatively rare entities. Synovial chondromatosis and p…