Foot Drop Surgery: How a Pin or Drill Elevates Tendon Transfer
DEFINITION Pathology leading to a spectrum of motor function loss that includes loss of ankle dorsiflexion Co…
Surgical Technique Sport
DEFINITION Pathology leading to a spectrum of motor function loss that includes loss of ankle dorsiflexion Co…
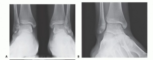
DEFINITION Lateral ligament instability occurs in some patients after an inversion injury.38 Although an inve…
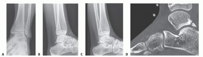
DEFINITION There are several reasons for cartilaginous defects of the ankle: Traumatic injury Osteochondritis…
DEFINITION Care of peripheral nerve problems requires knowledge and understanding of nerve pathology, anatomi…
DEFINITION A medial collateral ligament (MCL) injury usually is the result of a valgus stress on the knee. Fo…
DEFINITION Synovial tissue is found lining the joint capsules and tendon sheaths of the body. Synovitis is ch…
DEFINITION Loss of motion is a generic term that can refer to a loss of flexion, extension, or both. It does …
DEFINITION The posterolateral corner (PLC) of the knee is a complex area, both anatomically and functionally,…
DEFINITION Medium-sized osteochondral defects of the talar dome May approach the talar shoulder (transition o…
DEFINITION Because of their nature and deep location, posterior ankle problems pose a diagnostic and therapeu…
DEFINITION Tendinopathy of the Achilles tendon involves clinical conditions in and around the tendon arising …
DEFINITION The Achilles tendon is the strongest tendon in the body and is the primary plantarflexor of the an…