The Principles of Revision TKR: Avoid Pitfalls, Ensure Success
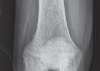
P ITFALLS The best results of revision TKR are achieved when the failure mechanism of the original implant is…
RECONSTRUCTION
P ITFALLS The best results of revision TKR are achieved when the failure mechanism of the original implant is…
P ITFALLS In order to achieve longevity of the cemented acetabular component, it is important to have adequat…
Introduction Minimally invasive surgery (MIS) for knee arthroplasty began with work on unicondylar knee repla…
P ITFALLS Radicular pain from spinal disease Referred pain from the ipsilateral hip Peripheral vascular disea…
DEFINITION Femoral neck fractures are classified according to the Garden classification ( Table 1 ). 9 This c…
P ITFALLS Osteoporosis Cementless Fixation Indications Tricompartmental arthritis of the knee that has failed…
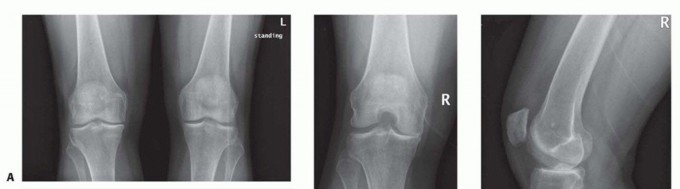
DEFINITION At less than 90 degrees of active knee flexion, a total knee arthroplasty (TKA) has inadequate ran…
DEFINITION Unicondylar knee arthroplasty (UKA) is a surgical treatment alternative to total knee arthroplasty…
Introduction P ITFALLS Some contraindications that can assist with patient selection generally include compli…
P ITFALLS Severe compromise of the soft tissue envelope, severe knee instability, and bone loss severe enough…
DEFINITION Resection arthroplasty and insertion of a spacer is used for the management of chronic deep peripr…
Contraindications Contraindicated for patients with contralateral above-knee amputation. Relatively contraind…