Revision of Failed UKA: Your Guide to Successful Treatment
P ITFALLS As in revision total knee arthroplasty (TKA), the etiology of failure of the primary procedure must…
RECONSTRUCTION
P ITFALLS As in revision total knee arthroplasty (TKA), the etiology of failure of the primary procedure must…
DEFINITION High tibial osteotomy (HTO) is realignment surgery, which has developed for treating medial compar…
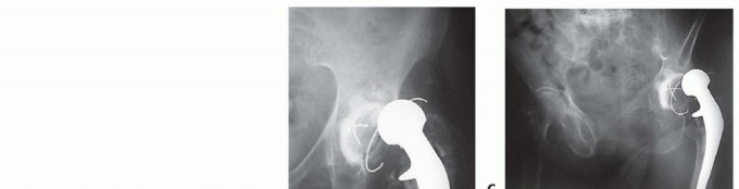
Introduction Adequate exposure is considered an essential part of a revision total hip replacement, equal in …
DEFINITION Total hip arthroplasty (THA) is one of the most successful operations performed today. 3 This elec…
DEFINITION Estimates indicate that by the year 2030, the volume of primary total knee arthroplasty (TKA) case…
DEFINITION Proximal femur replacement is a salvage limb-sparing surgery for nononcologic and oncologic indica…
P ITFALLS Wide, osteopenic IM canals often require cemented fixation. Uncemented stems must be long enough to …
DEFINITION One of the significant challenges in hip revision surgery is the absence of satisfactory proximal …
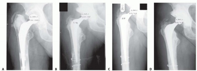
DEFINITION Hip reimplantation refers to the insertion of another prosthesis after removal of the original, in…
Indications The direct lateral approach can be used for primary total hip replacement in patients with advanc…
Introduction Periprosthetic fractures remain problematic complications after total knee arthroplasty. The num…
DEFINITION Pelvic discontinuity occurs when there is loss of continuity between the superior and inferior asp…