Regain Mobility: The Essential Guide to Foot and Ankle Rehabilitation
Foot and ankle rehabilitation is a process of restoring function and mobility to the foot and ankle after inj…
Foot and Ankle
Foot and ankle rehabilitation is a process of restoring function and mobility to the foot and ankle after inj…
Congenital Foot Anomalies Congenital foot anomalies are birth defects that affect the feet. They can range fr…
DEFINITION Forefoot varus is a component of the multiplanar pes planovalgus deformity that occurs as a result…
DEFINITION Because of their nature and deep location, posterior ankle problems pose a diagnostic and therapeu…
DEFINITION Rupture of the Achilles tendon is common. More than 20% of acute injuries are misdiagnosed, leadin…
DEFINITION AND INTRODUCTION Patrick Haglund in 1928 described an enlarged posterior border of the os calcis. …
DEFINITION Subluxation or dislocation of the peroneal tendon is a relatively uncommon injury, with the majori…
DEFINITION The HINTEGRA Total Ankle Prosthesis (Integra LifeSciences Corp., Plainsboro, NJ) is an unconstrain…
DEFINITION Medium-sized osteochondral defects of the talar dome May approach the talar shoulder (transition o…
DEFINITION Tendinopathy of the Achilles tendon involves clinical conditions in and around the tendon arising …
DEFINITION Achilles tendon ruptures usually occur 3 to 4 cm above the calcaneal tuberosity. Although most inj…
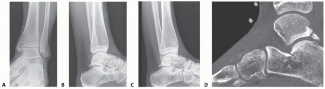
DEFINITION Talus fractures are high-energy fractures that can have traumatic bone loss, avascular necrosis (A…