Operative Techniques in Hand, Wrist, and Elbow Sur
Operative Techniques in Hand, Wrist, and Elbow Sur
128
Clinical Articles
14 MIN READ
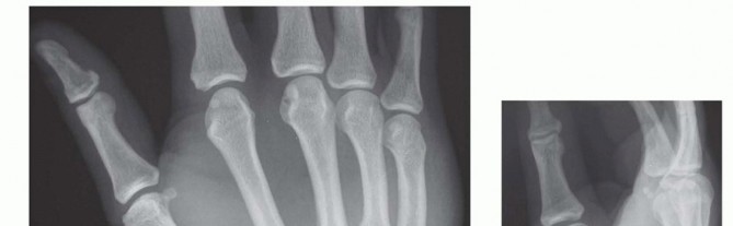
Operative Treatment of Finger Carpometacarpal Joint Fracture-Dislocations
يناير 2023
Read More
26 MIN READ
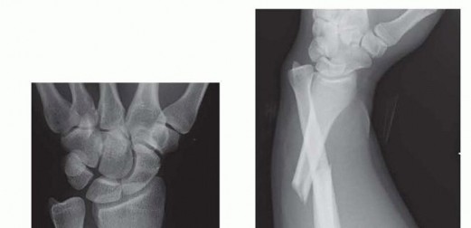
Reduction and Stabilization of the Distal Radioulnar Joint following Galeazzi Fractures
يناير 2023
Read More
34 MIN READ
Arthroscopic Reduction and Fixation of Distal Radius and Ulnar Styloid Fractures
يناير 2023
Read More