Part of the Master Guide

FRCS (Tr & Orth) Exam Prep: Interactive MCQ Practice & Viva Domains

Ace FRCS Orthopaedics: Oxford University Press Adult Pathology Viva

23 Apr 2026 53 min read 110 Views
image

Key Takeaway

Looking for accurate information on Ace FRCS Orthopaedics: Oxford University Press Adult Pathology Viva? Charcot arthropathy is a severe destructive joint disease occurring in patients with sensory disturbances, predominantly diabetic neuropathy (over 90% of UK cases). It involves rapid joint destruction, demineralization, and loss of normal foot architecture. Its pathophysiology combines neurotraumatic and neurovascular factors, leading to progressive deformity. This medical understanding is sourced from materials reproduced with permission from Oxford University Press.

๐ŸŽ“
Viva Exam

# Questions in Trauma and Orthopaedics Adult Pathology for the FRCS Section 8 Foot and Ankle

๐ŸŽ“ Viva 57

Illustration 1 for Ace FRCS Orthopaedics: Oxford University Press Adult Pathology Viva
๐Ÿ” Click to enlarge

Clinical Radiograph / Orthopedic Image


Reproduced from Murray Longmore, Ian Wilkinson, Edward Davidson, Alexander Foulkes, and Ahmad Mafi , Oxford Handbook of Clinical Medicine, fi gure 2, p. 205, 2010, with permission from Oxford University Press.

What do you see?

How does it evolve?

What are the principles of treating this condition?

What is this?

This is a clinical photograph of a grossly deformed foot and ankle.
Charcot arthropathy is a severe destructive arthropathy which can occur in any patient with a sensory disturbance. Over 90 % of cases in the UK are related to diabetic neuropathy. (It occurs in 1 % of diabetics who have had the disease for 12 years.) The other causes can be thought of along the course of the sensory neurological system from peripheral to central:
z Alcoholic peripheral neuropathy z Post-traumatic sensory deficits z Tertiary syphilis zSpina bifida z Hereditary motor and sensory neuropathy z Congenital insensitivity to pain

How does it evolve?

The pathophysiology is not fully understood, but is generally thought to be due to a combination of both neurotraumatic and neurovascular factors. It is probably initiated by trauma; however, often no injury can be recollected by the patient. There is rapid destruction of the joint surface and demineralization, which appears to be a due to osteoclast overactivity, bone vascular shunting, and bone breakdown. This leads to loss of normal foot architecture. This phase is often said to be painless, but there is usually some pain (often less than may be expected). Healing begins and there is usually bony union with joint incongruity and foot deformity.
Eichenholz has staged this process:
z Collapse: the foot becomes painful, swollen (oedematous), and warm (erythematous). X-rays may show a fracture/fractures or dislocation. This stage can be difficult to differentiate from an acute infection. Over the following weeks the oedema and erythema settle, although the foot can continue to change shape (unless protected) as the bone continues to fragment. As a general rule, if the skin is intact think Charcot, if the skin is broken it is most likely infection, the history will often lead you
z Coalescence: the foot continues to settle and starts to stiffen up and the deformities become fixed.
X-rays show coalescence of small fracture fragments and adsorption of fine bone debris z Consolidation: over many months the oedema and erythema completely settle. X-rays show consolidation and remodelling of fracture fragments. (As a rough guide: forefoot 6 months, midfoot 12 months, hindfoot 18 months)

What are the principles of treating this condition?

1. Prevention: optimum management of co-morbidities (diabetes)
2. Early diagnosis: high index of suspicion, loss of protective sensation (use Semmesโ€“Weinstein monofilament test, 5.02 monofilament)
3. In the early phase support the foot to maintain foot shape and prevent gross deformity. Weight bearing should be restricted. This must be done with care because patients often lack a protective sensation and casts and braces can cause ulceration (total contact casting)
4. Once consolidation is well under way the foot can be returned to some form of shoe wear (this can take many months, 12โ€“18). Often life-long specially made orthotics will be required. Patients must be made aware of the risks of skin breakdown and inspect their feet closely each day

๐ŸŽ“ Viva 58

Illustration 2 for Ace FRCS Orthopaedics: Oxford University Press Adult Pathology Viva
๐Ÿ” Click to enlarge
Clinical Radiograph / Orthopedic Image


Reproduced from Raashid Luqmani, Theodore Pincus, and Maarten Boers, Rheumatoid Arthritis (Oxford Rheumatology Library), 2010, Figure 11.6, p.138, with permission from Oxford University Press.


Describe this picture.

What are the stages of this condition and how are they managed?

Describe this picture?

This is a picture of a plano-valgus foot. There is the โ€˜too many toesโ€™ sign. Pes planus can be congenital or acquired. The commonest cause of adult acquired fl at foot is tibialis posterior tendon dysfunction (TPTD). The tibialis posterior is the main inverter of the hindfoot. It also acts as an elevator of the midfoot (sling) as it inserts into the navicular, plantar cuneiforms, and second, third, and fourth metatarsal (MT) bases.
The condition is most often seen in middle-aged women whose body morphology, aided by gravity, tests the tendon as it is starting to age.

What are the stages of this condition and how are they managed?

The tendon can become infl amed, painful, and swollen. The foot does not initially change shape and patients are still able to do a single leg tiptoe raise, although they quickly fatigue (Johnson Stage 1). Some patients settle with enforced rest in a supportive brace or cast.
As the tendon degenerates it lengthens. The foot changes shape with the hindfoot going into valgus. Patients are no longer able to do a single leg tiptoe raise. (Often the pain over the tib post may have settled, especially if the tendon has completely ruptured.) If the hindfoot is still fl exible (Johnson Stage 2), this can be treated with orthotics to help support the foot and medial arch or by surgery. Surgery involves reinforcing the tibialis posterior tendon (TPT) with a fl exor digitorum longus (FDL) tendon transfer. This reconstruction is then protected by bringing the hindfoot into neutral alignment with a medial sliding calcaneal osteotomy. The Achilles tendon occasionally needs to be released (percutaneously), as if the hindfoot has been in valgus for some time it will have tightened preventing full correction to neutral.
I f the valgus hindfoot deformity is fi xed (Johnson Stage 3) reconstruction is not achievable. The subtalar joint is degenerate. Surgical treatments involve a talo-navicular and subtalar fusion or a formal triple arthrodesis.
M yerson added a fourth stage when the deformity led to signifi cant ankle arthritis secondary to valgus strain.

๐ŸŽ“ Viva 59

Illustration 3 for Ace FRCS Orthopaedics: Oxford University Press Adult Pathology Viva
๐Ÿ” Click to enlarge
Clinical Radiograph / Orthopedic Image

What is this?

What do you look at on the X-ray?

What are the treatment options?

What is this?

This is a clinical picture of a foot with hallux valgus (HV) and a large infl amed bunion. z This condition is common z Occurs in females four times as often as in males z Most often in middle-aged women (also in teenage girls with a strong family history) z Not common in parts of the world where no formal footwear is worn
Aetiology
There is a strong genetic component (FH + ve); inappropriate footwear plays a role.
Pathology
1. Capsule stretches medially
2. Structures tighten laterally (adductor hallucis)
3. Sesamoids stay with second MT attached via the intermalleolar ligament (IML)
4. MT head slips medially off the sesamoids via erosion of the crista and the hallux deviates laterally
5. Abnormal muscle pull of the extensor hallucis longus and brevis increases the deformity
6. As the first ray effectively shortens and defunctions patients begin to get transfer metatarsalgia. The second metatarsophalangeal joint (MTPJ) can become inflamed and synovitic, leading to clawing of the second toe and subluxation of the joint
Clinical symptoms
P ain due to the infl amed bunion; crossover of toes causing diffi culty with wearing shoes; transfer metatarsalgia as the fi rst ray defunctions; patients often complain of the appearance.

What do you look at on the X-ray?

Look at:
The severity of HV โ€” HV angle (HVA) and intermetatarsal angle (IMA)
The state of joint and articular congruity, position of sesamoids
Second ray/subluxation of second MTPJ
HV interphalangeus (HVIP): IMA < 9 ยฐ ; HVA < 15 ยฐ ; interphalangeal angle (IPA) < 10 ยฐ ; distal metatarsal articular angle (DMAA) < 10 ยฐ (discredited on most papers as not reproducible)
Sesamoid shift: grade 0โ€“3 (0, none; 1, <50 % ; 2, > 50 % ; 3, > 100 % )
Metatarsus prima varus = angle between long axis medial cuneiform and first MT
N atural cascade: first and second MTs same length; third 3 m m shorter; fourth 6 m m shorter; fifth 12 mm shorter

What are the treatment options?

Non-operative: information sheet; shoe wear modification (wide toe box); bunion pads and toe spacers; avoidance of high heels; analgesics
Operative: indications = failure of non-operative management or worsening pain (not for cosmetic reasons)
Surgical options are individual choices. In general if the IMA is <12 then a distal osteotomy may be acceptable (chevron preferred). If the IMA is > 1 3 then a proximal or scarf osteotomy would be better. If the HV is marked (IMA > 20) or there is HVIP then an Akin osteotomy can be performed to give a more powerful correction. If there is osteoarthritis (OA) in the first MTPJ a fusion should be recommended.

๐ŸŽ“ Viva 60

This is a patient with rheumatoid arthritis.

Illustration 4 for Ace FRCS Orthopaedics: Oxford University Press Adult Pathology Viva
๐Ÿ” Click to enlarge
Clinical Radiograph / Orthopedic Image

Reproduced from C. Bulstrode et al., Oxford Textbook of Trauma and Orthopaedics second edition, 2011, fi gure 10.2.3, p. 795, with permission from Oxford University Press.

What are the common deformities seen in the foot with rheumatoid arthritis?

How do these deformities occur?

Describe how you would manage this patient.

What are the common deformities seen in the foot with rheumatoid arthritis?

R heumatoid arthritis (RA) commonly causes foot deformities. It can aff ect the forefoot, midfoot, and hindfoot. RA causes synovitis. The infl ammatory response within the joint and the subsequent release of proteases and collagenases destroy hyaline cartilage and cause periarticular attenuation of soft tissue capsuloligamentous structures. This leads to instability and abnormal mechanics; secondary OA often leads to further deformity. The incidence of rheumatoid foot deformities has dropped dramatically with modern disease-modifying anti-rheumatoid drugs (DMARDs).

How do these deformities occur?

Forefoot deformity
1 . Synovitis in the MTPJs leads to attenuation of soft tissues, in particular the plantar plate. Pain from the synovitis and disruption of the plantar plate allows the toes to claw up with hyperextended MTPJs and flexed IPJs
2. As the MTPJs sublux with disruption of the plantar plates (attached to the plantar fascia and fat pads which normally cushion the MT heads from direct pressure) the cushioning fat pads are pulled forwards
3. The MT heads become prominent in the sole of the foot โ€” predisposing to callosities, skin ulcera-tion and breakdown (feeling of โ€˜walking on pebblesโ€™)
4. HV is often present but doesnโ€™t usually cause a problem
Mid foot deformity
Involvement of the midtarsal joint leads to collapse of the long arch. This can be secondary to failure of the TPT which normally acts as a sling for the midfoot.
Hindfoot deformity
Tibialis posterior insuffi ciency and gradual disruption of the talocalcaneal interosseous (IO) ligament (an important stabilizer of the subtalar joint) leads to progressive valgus deformity of the hindfoot and collapse of the medial arch.

Describe how you would manage this patient.

This would include a multidisciplinary approach. These patients have multiple other problems involving their musculoskeletal system as well as other co-morbidities. Often despite, considerable deformity, the feet may not be very disabling. In general it is sensible to address the more proximal joint problems fi rst (hip/knee) It is important to work up RA patients prior to interventions as they have a higher risk of all complications โ€” infection (โˆผ5 % ) and wound healing problems.
1. Medical optimization: multidisciplinary team meeting with rheumatologists regarding normal medi-cation z Methotrexate to continue z Anti-TNF (plan surgery in between doses)
z Decrease steroids as much as possible and dose peri-operatively
2. Anaesthetic input; cervical spine (flexion/extension views); positioning and padding
3. Other joints: upper limb function (difficulty with crutches/sticks), physiotherapy, and occupational therapy input
Management of foot disease
N on-operative management consists of: custom made orthotics to accommodate the deformity; padded heels; locked or limited motion ankleโ€“foot orthotic (with valgus corrective T-strap); information sheets; medical optimization.
Adult Pathology
T he goals of operative management are a stable pain-free plantar grade foot. The trend now is towards joint preservation. Historically the procedure was first MTPJ fusion with excision of lesser MT heads. Now consider scarf, Weilโ€™s, or Stainsbyโ€™s procedures.
1. For HV: arthrodesis of MTPJ (10 ยฐ dorsiflex/10 ยฐ valgus)
2. Lesser toes, If the joints are destroyed, resection of MT heads (Fowlerโ€™s) or proximal interphalan-geal joint correction and fusion. If joints are OK and in a younger patient consider Weilโ€™s shortening osteotomy of MT heads which allows reduction of MTPJs and return of the fat pad into the sole of the foot
3. Midfoot: talonavicular fusion ยฑ calcaneocuboid fusion
4. Hindfoot: triple fusion
5 . Ankle: fusion vs arthroplasty (RA is one of the best indications for ankle arthroplasty as these patients are low demand and have other joints affected) z There are not enough data to indicate whether fusion or replacement is to be preferred for patients in whom either procedure would be an option
z At โˆผ10 y ears clinical success rates appear similar, with 70% satisfactory results after both procedures [Haddad, S.L., Coetzee, J.C., Estok, R. et al. (2007). Intermediate and long-term outcomes of total ankle arthroplasty and ankle arthrodesis. A systematic review of the literature.
J. Bone Joint Surg. Am. , 89 , 1899โ€“905] z The non-union rate for ankle fusion was 10 % and arthroplasty survival rate 77 % at 10 years

๐ŸŽ“ Viva 61

Illustration 5 for Ace FRCS Orthopaedics: Oxford University Press Adult Pathology Viva
๐Ÿ” Click to enlarge
Clinical Radiograph / Orthopedic Image

Illustration 6 for Ace FRCS Orthopaedics: Oxford University Press Adult Pathology Viva
๐Ÿ” Click to enlarge
Clinical Radiograph / Orthopedic Image

Describe what you see and how you would assess the patient.

What are the causes of this deformity?

How does a patient present and what are the principles of treatment?

Adult Pathology

Describe what you see and how you would assess the patient.

On inspection this patient has a varus hindfoot with a high medial arch or pes cavus deformity. The hindfoot deformity on the right is correctable with the Coleman block test. This shows that the subtalar joint is mobile and the varus hindfoot deformity is driven by excess plantar fl exion of the fi rst ray. I would expect there to also be clawing of the toes with hyperextension of the MTPJs and fl exion of the interphalangeal joints. If this is unilateral it is due to a spinal cord tumour until proved otherwise. I would like to see the patient walk to check if they have a broad-based ataxic gait. I would like to have a look at their back and perform a lower leg neurological examination. I would inspect the hands for any intrinsic wasting. I would ask the patient what troubles they get from their feet so we can decide on a management plan.

What are the causes of caro varus foot deformity?

These can be congenital or acquired [hereditary sensorimotor neuropathy (HSMN) is the most common reason]:
Congenital: idiopathic; arthrogrypotic; residual clubfoot Acquired:
z Neurological: brain (Friedreichโ€™s ataxia) z Spinal cord: spina bifida, polio, syrinx z Peripheral nervous system: HSMN (Charcotโ€“Marieโ€“Tooth disease) z Muscular: muscular dystrophies z Traumatic z Neoplastic
Charcotโ€“Marieโ€“Tooth disease/HSMN
There are lots of subtypes being described as the genetics improves, but there are two main types:
1. Early: Type 1, demyelinating type; autosomal dominant in 50 % with six subtypes; ages 5โ€“15 years; loss of reflexes; abnormal nerve conduction studies (NCS); hands involved
2. Later: Type 2, axonal autosomal dominant with 12 subtypes; ages 15โ€“20 years; NCS are normal

How does a patient present and what are the principles of management?

Presents with deformity and instability, with repeated ankle sprains and painful callosities (secondary to clawing). History is important (is there a family history?).
P atients need a full assessment including: a neurological assessment, investigationsโ€” w hole-body X-rays, MRI (spine), NCS ยฑ EMGs
They should be referred to a neurologist for investigation of the cause and often a genetic consultation is helpful.
Orthopaedic treatment is best divided by the ability to correct the deformity:
Non-operative: stretching; physiotherapy; serial casts; in children ยฑ orthotics [corrective, if flexible (e.g. lateral heel wedge) vs accommodative, if fixed]
Operative: soft-tissue or bony, or both
Aims of treatment are to achieve plantigrade, stable foot that moves and is pain free. Treatment decision is based on the age of patient and whether the deformity is fl exible or fi xed.

๐ŸŽ“ Viva Table 4

Illustration 7 for Ace FRCS Orthopaedics: Oxford University Press Adult Pathology Viva
๐Ÿ” Click to enlarge
Clinical Radiograph / Orthopedic Image

Adult Pathology

Section 9 Knee

๐ŸŽ“ Viva 62

Illustration 8 for Ace FRCS Orthopaedics: Oxford University Press Adult Pathology Viva
๐Ÿ” Click to enlarge
Clinical Radiograph / Orthopedic Image

What implants do you use for revision total knee replacements?

[You are passed a hinged prosthesis] What are the benefits and disadvantages of this type of component?

If you were to revise a unicompartmental knee replacement what implant would you choose?

If you had a patient with a posterior cruciate ligament (PCL) sacrificing knee with a complete medial collateral ligament disruption and dislocation what implant choice might you make?

What implant do you use for revision total knee replacements (TKRs)?

[ This question is aimed at exploring your understanding of pre-operative planning based on the individual requirements of the clinical case.] The range of implants or system I use would depend on the clinical situation: primary TKR, post stabilized, super-stabilized, rotating hinge, with stems ยฑ augments, tumour prosthesis. Whenever faced with a revision situation it is also prudent to consider both amputation and arthrodesis as options.

[You are passed a hinged prosthesis.] What are the benefi ts and disadvantages of this type of component?

These implants are used in ligament insuffi ciency and/or cases with major bone loss. The problems with increasingly constrained implants are transmission of high forces across the boneโ€“cementโ€“ implant interface which can lead to premature loosening.

If you where to revise a unicompartmental knee replacement what implant would you choose?

Ideally I would use a primary TKR implant. If there has been some tibial loosening and bone loss, a stemmed implant possibly with augments may be required.

If you had a patient with a posterior cruciate ligament (PCL) sacrifi cing knee with a complete medial collateral ligament disruption and dislocation what implant choice might you make?

Most likely I would require a rotating hinge stemmed system.

๐ŸŽ“ Viva 63

You see a patient 6 months following a right TKR. She is complaining of pain.

Illustration 9 for Ace FRCS Orthopaedics: Oxford University Press Adult Pathology Viva
๐Ÿ” Click to enlarge
Clinical Radiograph / Orthopedic Image

What are the commonest causes of pain following a TKR?

How would you investigate and manage this patient?

The blood tests show raised CRP and ESR, and the aspirate grows coagulase-negative, Gram-positive cocci after 5 days. How do you manage this?

What are the commonest causes of pain following a TKR?

This is still fairly early after a TKR and many patients still have pain that continues to resolve at this stage. Causes include:
z Infection โ€” may not be commonest but is the most important to exclude z Patellofemoral problems z Component mal-position (overhang, mal-alignment, poor cementing) z Loosening z Complex regional pain syndrome (CRPS) z Instability
z Dual pathology (hip arthritis)

How would you investigate and manage this patient?

C areful history: this needs to include an assessment of the patient prior to the TKR. The intra-operative and immediate post-operative care, including wound healing, length of stay, and any reported complications. Has there been a period when the knee was any good? How is the knee now (startup pain)? Are there any co-morbidities โ€” infection is more likely with diabetes mellitus (DM), RA, steroids
Examination: effusion/haemarthrosis, alignment, soft tissues, CRPS, ROM, PF tracking, patella clunk, balance, flex/extension mismatch, tender areas, hips.
Investigations:
z X-ray: component sizing, tibial overhang, femoral sizing, patello-femoral joint overstuffing, patella subluxation, loosening/infection, fractures, heterotopic ossification
z Blood tests: CRP, ESR z Bone scan: no help at 6 months z CT scan: may help assess rotation of components z Aspiration/biopsy: if there is infection z Arthroscopy: if a treatable cause is identified

The blood tests show raised CRP and ESR, and the aspirate grows coagulase-negative, Gram-positive cocci after 5 days. How do you manage this?

T his seems to be a prosthetic infection with Staphylococcus epidermidis. I would discuss with the patient the diagnosis, the various treatment options, and the possible outcomes (function, further surgery, best- and worst-case scenarios). The treatment options would depend on the patientโ€™s physiological status and wishes:
Debride and retain
Revision (single stage or two stages)

๐ŸŽ“ Viva 64

A 25-year-old football player sustained a twisting injury to his left knee. He has already had an arthroscopy at โ€˜St Elsewhereโ€™ and brings intra-operative pictures to show you.

Illustration 10 for Ace FRCS Orthopaedics: Oxford University Press Adult Pathology Viva
๐Ÿ” Click to enlarge
Clinical Radiograph / Orthopedic Image

What does his arthroscopy picture show?

What is important in your initial assessment of this patient?

The patient now has recurrent instability and has been unable to return to sport. Your examination confirms an anterior cruciate ligament (ACL) injury and he has a full ROM. What are the management options now?

You have decided to reconstruct the ACL. What graft would you use?

What does his arthroscopy picture show?

The limited view shows a bare lateral wall of the femoral notch, in keeping with a complete ACL rupture.

What is important in your initial assessment of this patient?

The history of the injury, specifically how long ago
Symptoms since the injury: continued instability, locking, and significant subsequent injuries (is this an acute medial meniscus tear?)
Occupation and sporting aspirations
Expectations
Co-morbidities: diabetes mellitus, collagen disorder
Previous surgery
O n examination: fi xed fl exion deformity; comfortable ROM; sign of meniscal pathology; signs of ACL disruption โ€” Lachman and pivot tests (both can be negative in cases with bucket handle meniscal tears as the displaced meniscal tissue provides some increased stability to the knee); evidence of other ligament injury. If the patient has had signifi cant secondary injuries it can be useful to get a fresh MRI scan to assess for secondary meniscal injuries.

The patient now has recurrent instability and has been unable to return to sport. Your examination confi rms an ACL injury and he has a full ROM. What are the management options now?

T here are two factors to address here: (1) treatment of the ACL and (2) treatment of any associated meniscal injury.
ACL injuries can be managed non-operatively and operatively. An assessment needs to be made of the risks of further meniscal injuries as this predicts the likelihood of early osteoarthritis.
Risk factors for high meniscal injury include: young age; level 1 sports; high number of hours participating in sport per week and previous meniscal injury. In view of this patientโ€™s history I would recommend an ACL reconstruction. The medial meniscal injury requires surgery. The key decision is whether to repair or resect the unstable meniscal tissue. Factors that would make you wish to repair the meniscus would be: recent injury (and easily reducible); redโ€“red or redโ€“white injury; concurrent ACL injury (increased healing rates); young age (it is also worth noting that the results of lateral meniscal repairs are better than those for medial meniscal repairs).
My choice would be to perform an arthroscopic ACL reconstruction and concurrent meniscal repair if indicated.

You have decided to reconstruct the ACL. What graft would you use?

[Have a view yourself.] I would use a four-strand hamstring graft with suspensory femoral fi xation (EndoButton) and RCI screw fi xation on the tibial side. But one should also be aware of the other options, as there advantages and disadvantages.
Autograft
z Hamstring tendons: good long-term results and low donor site morbidity but slower healing into bony tunnels
z Patella tendon: good long-term results, but donor site morbidity
Allograft
z Typically the Achilles tendon: no donor site morbidity but infection risk and, depending on sterilization techniques, less strong โ€” and also expensive z Artificial โ€” avoid

๐ŸŽ“ Viva 65

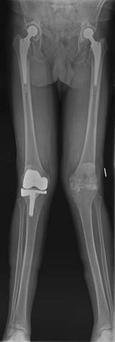
This is a picture of a 67-year-old woman with a painful left knee. The pain has been increasing over the last 3 years. She is otherwise fit and well and has had previous joint replacements as shown.

Illustration 11 for Ace FRCS Orthopaedics: Oxford University Press Adult Pathology Viva
๐Ÿ” Click to enlarge
Clinical Radiograph / Orthopedic Image

How would you manage this patient?

How would you consent the patient for a TKR?

Describe your plan for surgery in this case.

How would you manage this patient?

I would establish from the history more about her pain, disability, and what treatment she has so far received. On examination I would look at the nature of the deformity, whether it is correctable, the integrity of the medial collateral ligament, patella tracking, and neurological status (common peroneal nerve). I would examine her hip and foot. I would arrange some radiographs including standing AP, lateral. Von Rosenberg views and a skyline patella can be useful with valgus deformities. I may want a long leg fi lm.
T reatment would include maximizing conservative measures. If this failed I would discuss with the patient knee arthroplasty surgery (lateral unicompartmental or total).

How would you consent the patient for a TKR?

I would describe the procedure as well as alternative treatments. I would describe the anticipated outcome in terms of pain relief; functional outcome, and longevity. I would explain the risks and complications of the surgery. General risks and specifi c risks for TKRs as well as specifi c risks for valgus TKRs.
Describe your plan for surgery in this case. z Correct indications met z Patient fully consented z Antibiotic prophylaxis z Choice of implant z Choice of approach z Principles of bony cuts, especially rotation of femoral componentโ€” h ow I will assess this (hypoplastic or wear on posterior lateral femoral condyle makes posterior referencing inaccurate)

z What I will do with the patella z Soft tissue balancing (sequence of releases) z Implantation of prosthesis and cementing technique z Drain?

z Post-operative management and DVT prophylaxis z Follow-up
This page intentionally left blank

๐ŸŽ“ Viva Table 4

Illustration 12 for Ace FRCS Orthopaedics: Oxford University Press Adult Pathology Viva
๐Ÿ” Click to enlarge
Clinical Radiograph / Orthopedic Image

Adult Pathology Section 10 Hip

๐ŸŽ“ Viva 66

Illustration 13 for Ace FRCS Orthopaedics: Oxford University Press Adult Pathology Viva
๐Ÿ” Click to enlarge
Clinical Radiograph / Orthopedic Image

Illustration 14 for Ace FRCS Orthopaedics: Oxford University Press Adult Pathology Viva
๐Ÿ” Click to enlarge
Clinical Radiograph / Orthopedic Image

Reproduced from C. Bulstrode et al., Oxford Textbook of Trauma and Orthopaedics second edition, 2011, fi gure 7.16.1, p. 619, with permission from Oxford University Press.

What condition is illustrated here?

What is the aetiology and what risk factors are associated this condition? What other areas are commonly affected?

Can you describe any classification systems for this condition? What stage is shown in the radiographs above?

How would you manage a patient presenting with this condition? What treatment options are available?

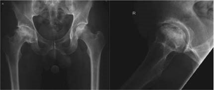
Hip

What condition is illustrated here?

Avascular necrosis of the femoral head with segmental collapse.

What is the aetiology and what risk factors are associated with this condition? What other areas are commonly aff ected?

Osteonecrosis (avascular necrosis/aseptic necrosis) occurs within the bone following loss of osseous blood supply. All cells within the area of aff ected bone die away; initially the organic and inorganic matrix are unaff ected. It commonly aff ects patients in the third, fourth, or fi fth decades of life. The aetiology of osteonecrosis is still not fully understood and is likely to be multifactorial. Factors thought to contribute to the disruption of the microcirculation include: z Trauma โ€” leading to macro- and microvascular interruption z Intravascular coagulation and thrombotic occlusion of microcirculation z Extravascular compression (โ€˜compartment syndromeโ€™ within bone) secondary to raised intraosseous pressures
Conditions associated with osteonecrosis include: z Trauma z Caisson disease (dysbaric osteonecrosis) z High alcohol intake z Systemic lupus erythematosus (SLE) z Corticosteroid usage z Ionizing radiation z Haemoglobinopathy (sickle cell anaemia) z Gaucherโ€™s disease z Hypercoagulation disorders z Idiopathic (40 % )
Other areas most commonly aff ected are: medial femoral condyle; humeral head; talus; lunate (Kienbรถckโ€™s disease); capitellum (Pannerโ€™s disease); tarsal navicular (Kohlerโ€™s disease); metatarsal head (Freibergโ€™s disease).

Can you describe any classifi cation systems for this condition? What stage is shown in the radiographs above?

There are many classifi cation systems described for osteonecrosis of the hip. The Ficat and Arlet (1980) system describes X-ray appearances and is one of the most simple to use:
Stage 1: no bony changes seen on plain X-ray
Stage 2: sclerotic and cystic changes within the femoral head
Stage 3: subchondral collapse and distortion of the femoral head
Stage 4: secondary osteoarthritis with decreased joint space and articular collapse
T he radiographs show Ficat and Arlet stage 4 changes. There is distortion and collapse of the femoral head. The lateral view illustrates the โ€˜crescent signโ€™ associated with subchondral collapse.

How would you manage a patient presenting with this condition. What treatment options are available?

Treatment of early osteonecrosis of the femoral head aims to relieve pain and preserve the congruency of the hip joint. In the later stages of the disease arthroplasty procedures are usually required. Investigations used to help stage the disease include plain radiography, bone scans, and MRI.
Treatment for early stages (pre-collapse) may include: z Observation and analgesia z Treatment of any underlying medical conditions z Protected weight-bearing (little evidence)
z Core decompression ยฑ bone grafting or vascularized grafts Treatment for later stages (post-collapse) may include: z Realignment osteotomy z Arthrodesis z Replacement arthroplasty (conventional total hip arthroplasty or resurfacing)

๐ŸŽ“ Viva 67

Illustration 15 for Ace FRCS Orthopaedics: Oxford University Press Adult Pathology Viva
๐Ÿ” Click to enlarge
Clinical Radiograph / Orthopedic Image

D
Courtesy of Dr S.L. Weinstein.

What considerations need to be taken into account prior to performing a hip arthrodesis?

In what position would you choose to arthrodese a hip?

What are the indications and pre-operative investigations you would perform prior to โ€˜taking-downโ€™ an arthrodesed hip and converting to a total hip arthroplasty?

What considerations need to be taken into account prior to performing a hip arthrodesis?

H ip arthrodesis, although not commonly performed, is a useful procedure in the management of younger patients with end-stage unilateral hip disease who have contraindications for replacement or joint-preserving operations. Hip arthrodesis can provide long-term pain relief and stability to the joint. If performed correctly it can allow the patient to have a surprising amount of mobility and return to an active lifestyle.
Requirements for hip arthrodesis are:
z Normal contralateral hip z Normal ipsilateral knee z Normal lumbar spine
z No significant cardiovascular pathology
L ong-term follow-up studies following hip arthrodesis have shown that the majority of patients develop lower back pain and ipsilateral knee pain 20 years or more after the fusion [Callaghan, J.J., Brand, R.A., and Pedersen, D.R. (1985). Hip arthrodesis. A long-term follow-up. J. Bone Joint Surg. Am. , 67 ,1328โ€“35]. The altered gait produced following arthrodesis has been shown to increase oxygen consumption by 32% โ€” t his may cause problems in patients with signifi cant cardiovascular pathology.

In what position would you choose to arthrodese a hip?

T he recommended position for hip arthrodesis is 20โ€“25ยฐ of fl exion, slight external rotation, and slight adduction. Internal rotation and abduction should be avoided. Care should be taken at the time of surgery to try and preserve the abductor muscle mass in case total hip arthroplasty is performed in the future.

What are the indications and pre-operative investigations you would perform prior to โ€˜taking-downโ€™ an arthrodesed hip and converting to a total hip arthroplasty?

The indications to convert an arthrodesis to a total hip arthroplasty include:
z Increasing lower back pain/radicular pain z Increasing ipsilateral knee pain z Contralateral hip disease z Painful pseudoarthrosis of the hip
Conversion of an arthrodesed hip to a total hip arthroplasty is a technically demanding procedure. Loss of the normal anatomical landmarks and supporting structures can lead to diffi culty in restoring โ€˜normalโ€™ joint stability and mechanics. The patient must be fully assessed prior to surgery. Investigations may include:
z Radiographs to assess bone stock and determine what metalwork (if any) needs to be removed z Neurophysiology and/or MRI of the abductor muscle mass z The potential for reactivation of dormant infection must be considered and appropriate biopsies taken pre- or intra-operatively

๐ŸŽ“ Viva 68

Illustration 16 for Ace FRCS Orthopaedics: Oxford University Press Adult Pathology Viva
๐Ÿ” Click to enlarge
Clinical Radiograph / Orthopedic Image

What do you understand by the term heterotopic ossification (HO)?

How can this affect patients clinically following hip arthroplasty surgery?

Are you aware of any risk factors for developing HO and what measures can you take to try and prevent this condition developing?

How do you manage established HO?

What do you understand by the term heterotopic ossifi cation (HO)?

H O is the process by which mature lamellar bone forms outside the skeleton, usually in soft tissue. Causes include trauma, neurological injury, severe burns, and genetic conditions (fi brodysplasia ossifi cans progressiva).

How can this aff ect patients clinically following hip arthroplasty surgery?

HO following hip arthroplasty surgery is usually asymptomatic and noted as an incidental fi nding on post-operative radiographs. If the condition becomes severe it can present with restricted and/or painful movement.
HO is most commonly classifi ed using the Brooker system:
Grade 1: islands of bone lie within the soft tissue around the hip
Grade 2: bony spurs protrude from either the femur or pelvis, with a gap of more than 1 cm between the spurs
Grade 3: gaps between the bone spurs are less than 1 cm
Grade 4: apparent ankylosis of the joint

Are you aware of any risk factors for developing HO and what measures can you take to try and prevent this condition developing?

Risk factors for developing HO around the hip include: z Male gender z Pre-existing hip arthrodesis z History of HO in either hip z Old age z Ankylosing spondylitis z Diffuse idiopathic skeletal hyperostosis z Pagetโ€™s disease z Post-traumatic arthritis
P atients at high risk of developing HO or those undergoing surgery to remove HO are often given prophylactic treatment in the peri-operative period. The two main treatments available are NSAIDs and radiation therapy:
z Indomethacin is typically given at a dose of 25 mg three times a day for 5โ€“6 weeks after surgery z Low-dose radiation therapy may also be given, typically 7โ€“8 G y shortly before surgery or up to 72 h post-operatively

How do you manage established HO?

M anagement of established HO may be conservative or operative. Initial treatment usually involves physical therapy to try and improve mobility and range of movement in the aff ected joint. There is no evidence for the use of NSAIDs or radiotherapy in the management of established disease. Surgical excision may be performed if conservative measures fail. Most centres would advocate waiting until maturation of ossifi cation prior to performing the excision (often > 6 months). Particular care should be taken at the time of surgery to clearly identify the neurovascular structures as they may be involved in the ossifi ed tissue.

๐ŸŽ“ Viva 69

Illustration 17 for Ace FRCS Orthopaedics: Oxford University Press Adult Pathology Viva
๐Ÿ” Click to enlarge
Clinical Radiograph / Orthopedic Image

Reproduced from C. Bulstrode et al., Oxford Textbook of Trauma and Orthopaedics second edition, 2011, fi gure 7.10.4, p. 586, with permission from Oxford University Press.

What dislocation rate do you quote when you consent a patient for a total hip replacement?

What causes a hip to dislocate?

What measures can you take to prevent re-dislocation?

What dislocation rate do you quote when consenting a patient for a total hip replacement?

D islocation following hip arthroplasty is one of the most common complications. Large studies have shown the incidence of dislocation following primary hip arthroplasty to be 3โ€“5% over the life of the implant. The dislocation rate more than triples after revision hip surgery. The majority of dislocations occur in the fi rst month (approximately 1% ) and fi rst year (approximately 2% ) . Over 50% of hips re-dislocate after initial closed reduction. Dislocation produces signifi cant cost implications โ€” both in terms of patient morbidity and the fi nancial costs of treatment. It has been estimated that the cost of re-operation for a primary dislocation is 150 % that of the original surgery.

What causes a hip to dislocate?

Causes of dislocation are multifactorial and can broadly be divided into surgical factors, patient factors, and implant design factors.
Surgical factors
z Component mal-position (most common) z Soft tissue imbalance or failure of reattachment z Soft tissue impingement (osteophytes/capsule) z Retained debris (cement) in acetabular component
Patient factors
z Previous hip surgery or arthroplasty z Female gender (relative risk 2.1) z Acute fracture of proximal femur (relative risk 1.8) z Inflammatory arthropathy z Generalized soft tissue laxity
z Patient non-compliance (dementia, learning difficulties, drug/alcohol addiction)
Implant design factors
z Small head/neck ratios โ€” leading to greater impingement risk z Small head size (relative risk 1.7 with size 22 mm heads compared with 32 mm) z Loosening of components leading to rotation and mal-alignment z Wear of acetabular component leading to head subluxation

What measures can you take to prevent re-dislocation?

P revention of re-dislocation can be attempted using conservative or operative methods. Assessment of joint stability should be made at the time of reduction. If the hip dislocates in the patientโ€™s normal functional range then it is likely that surgical intervention will be required.
Conservative methods z Patient education, carer advice z Physiotherapy and occupational therapy input
zBracing of joint in an attempt to โ€˜remind the patientโ€™ and prevent a position of instability
Surgical methods
Soft tissue laxity correction:
zReattachment of avulsed soft tissues or trochanter z Increasing neck offset using modular components
Hip
zIncreasing acetabular lateral offset (lateralized liner) z Trochanteric advancement Increasing range of motion: z Increase headโ€“neck ratio (larger femoral head) z Excision of osteophytes or soft tissues z Increase excursion distance to dislocation (larger femoral head) z Revision of mal-aligned components Increase constraint:
zAugmentation of acetabular liners z Constrained or captured liners
This page intentionally left blank

๐ŸŽ“ Viva Table 4

Illustration 18 for Ace FRCS Orthopaedics: Oxford University Press Adult Pathology Viva
๐Ÿ” Click to enlarge
Clinical Radiograph / Orthopedic Image

Adult Pathology

Section 11 Spine

๐ŸŽ“ Viva 70

Illustration 19 for Ace FRCS Orthopaedics: Oxford University Press Adult Pathology Viva
๐Ÿ” Click to enlarge
Clinical Radiograph / Orthopedic Image

A B
Reproduced from C. Bulstrode et al., Oxford Textbook of Trauma and Orthopaedics second edition, 2011, fi gure 3.17.6, p. 249, with permission from Oxford University Press.

What do you understand by the term โ€˜isthmic spondylolithesisโ€™?

What are the other recognized causes of spondylolithesis?

How would you grade spondylolithesis and what radiographic indices maybe used to predict progression?

How do degenerative litheses differ from spondylolysis when considering neural involvement?

What do you understand by the term โ€˜isthmic spondylolithesisโ€™?

Spondylolithesis is an anterior sagittal plane translation of a vertebra upon the adjacent caudal level. Isthmic spondylolitheses are secondary to defects in the pars interarticularis at that level. It is most commonly seen at the lumbosacral junction with defects in L5. The spondylolysis is considered to be secondary to mechanical factors leading to a stress fracture of the pars, often in sports delivering impact forces to the hyperlordosed lumbar spine in a genetically predisposed population.

What are the other recognized causes of spondylolithesis?

T he other forms of spodylolithesis as described by Wiltse and Newman are Type I dysplastic, (Type II isthmic), Type III degenerative, Type IV traumatic, Type V pathologic, and Type VI iatrogenic.

How would you grade spondylolithesis and what radiographic indices maybe use to predict progression?

M eyerding graded lateral radiographs Iโ€“IV sequentially for each 25% slippage with spondyloptosis being a complete slip without endplate to endplate contact. Standing lateral radiographs can be assessed for pelvic incidence, sacral slope, pelvic tilt, and lumbosacral angle which have all been quoted as predictors of progression. Eff ectively all these parameters look at lumbosacral shear.

How do degenerative litheses diff er from spondylolysis when considering neural involvement?

T he striking diff erence is when the posterior elements are considered. In isthmic spondylolithesis the lamina of the aff ected level remains posteriorly placed and thus central and lateral recess stenosis are seen much less commonly than foraminal stenosis. In these cases a combination of degenerate disc and residual (cephalad pars interarticularis) and reduced foraminal height below the displace pedicle results in radiculopathy. This contrasts with degenerative slips where all three forms of neural encroachment can be seen resulting in a broader spectrum of symptoms.

๐ŸŽ“ Viva 71

A 67-year-old man falls onto his face and presents with an abnormal neurological examination and neck pain.

Illustration 20 for Ace FRCS Orthopaedics: Oxford University Press Adult Pathology Viva
๐Ÿ” Click to enlarge
Clinical Radiograph / Orthopedic Image
A
B
Reproduced from Hadi Manji, Adrian Wills, Neil Kitchen, Neil Dorward, Sean Connelly, and Amrish Mehta, Oxford Handbook of Neurology, 2006, fi gure 5.35, p. 399, with permission from Oxford University Press.

What do you see?

What is the most likely pattern of incomplete cord injury?

What are the clinical features of this injury and how would you manage the patient?

How do the clinical features of Brownโ€“Sequard syndrome differ?

Are you aware of a grading system for cord injury?

How do you grade motor strength and test upper extremity myotomes?

What is spinal shock?

What do you see?

This is a T2-weighted sagittal MRI scan demonstrating Grade 2 spondylolisthesis of C6 upon C7 with large disc protrusion. The spinal cord is compressed and there is intramedullary signal change, in keeping with oedema, from C6 to T1.

What is the most likely pattern of incomplete cord injury?

Central cord syndrome.

What are the clinical features of this injury and how would you manage the patient?

T here will be predominantly motor rather than sensory defi cit aff ecting the upper extremity more than the lower extremity. It is not unusual to see marked early neurological recovery in such cases, and where no spinal instability exists non-operative management is the standard of care. However, in patients who plateau with a functional disability in conjunction with image-proven cord impingement surgical decompression and stabilization should be considered.

How do the clinical features of Brownโ€“Sequard syndrome diff er?

Cord hemisection characterized by: ipsilateral motor weakness, loss of proprioception and tactile discrimination, contralateral pain, and temperature and light touch defi cit. There is anecdotal evidence to suggest somewhat better functional prognosis than central cord and anterior cord syndromes.

Are you aware of a grading system for cord injury?

The American Spinal Injury Association (ASIA) scale:
A= complete
B = sensory sparing/motor complete
C= motor sparing with > 50 % of muscle groups scoring <3/5
D= motor sparing with > 50 % of muscle groups scoring at least 3/5 E = no defi cit

How do you grade motor strength and test upper extremity myotomes?

As described on the ASIA assessment sheets for neurological injury motor score grading (0โ€“5):
0= total paralysis
1= palpable/visible contraction
2= active, gravity eliminated
3= active against gravity
4= active against some resistance
5= normal power for the individual
To test upper extremity myotomes: C5, elbow fl exion; C6, wrist extension; C7, elbow extension; C8, long fi nger fl exors; T1, fi nger abduction.

What is spinal shock?

A transient physiological state, characterized by loss of refl exes and sensorimotor function below the injury level. End of spinal shock is demonstrated by the return of the bulbo-cavernosus refl ex (polysynaptic versus monosynaptic).

๐ŸŽ“ Viva 72

Illustration 21 for Ace FRCS Orthopaedics: Oxford University Press Adult Pathology Viva
๐Ÿ” Click to enlarge
Clinical Radiograph / Orthopedic Image

Describe the picture above and name the condition that is demonstrated.

What is the common clinical presentation for this condition?

Is there an anatomical classification for the condition?

What would be your indications for surgery in this condition?

When would you perform a fusion in this condition?

Describe the picture above and name the condition that is demonstrated.

This is an axial MRI scan (T2-weighted) at the L4/5 level that shows hypertrophy of the facet joints, hypertrophy of the ligamentum fl avum, and a broad-based protrusion of the intervertebral disc resulting in severe stenosis of the canal, particularly in the lateral recesses. The condition is spinal stenosis.

What is the common clinical presentation for this condition?

The patient is usually middle aged or older and typically describes gradual onset of low back, buttock, thigh, and calf pain. They may also have numbness, pins and needles, or weakness. The symptoms are exacerbated by walking or even standing. A fl exed position of the spine, e.g. pushing a shopping trolley, is often less painful than en extended position.

Is there an anatomical classifi cation for the condition?

Degenerate spinal stenosis can be divided into:
Zone 1 or subarticular stenosis
Zone 2 or foraminal or pedicular stenosis
Zone 3 or extraforaminal or exit stenosis

What would be your indications for surgery in this condition?

Persistent signifi cant pain despite adequate conservative treatment, including physiotherapy and analgesia. The patient should be fi t enough for general anaesthesia and understand the risk of complications.

When would you perform a fusion in this condition?

The standard operation is decompression. Fusion should be considered in addition when:
z There is a significant spondylolisthesis z There is progressive scoliosis or kyphosis z There is removal of 50 % or more of the facet joints z There is fracture of the pars interarticularis z There is radical excision of the associated disc causing possible anterior destabilization

๐ŸŽ“ Viva 73

Illustration 22 for Ace FRCS Orthopaedics: Oxford University Press Adult Pathology Viva
๐Ÿ” Click to enlarge
Clinical Radiograph / Orthopedic Image

What is the name of the spinal deformity in the photograph above?

At what age and in which sex does it most commonly present?

What factors affect progression of the deformity?

How is it classified?

What is the name of the spinal deformity in the photograph above?

This is idiopathic scoliosis.

At what age and in which sex does it most commonly present?

I t is commonest in girls and often presents around adolescence. The thoracic curve is usually right sided. The prevalence is around 3 % of the population, although less than 10 % of curves need treatment.

What factors aff ect progression of the deformity?

1 . The future growth potential of the patient, i.e. the level of skeletal maturity at the time of diagnosis. This is measured by the Risser stage: z Risser 0 = no ossification of the iliac epiphysis z Risser 1 = 0โ€“25 % ossification z Risser 2 = 25โ€“50 % ossification z Risser 3 = 50โ€“75 % ossification z Risser 4 = 75โ€“100 % ossification z Risser 5 = fused epiphysis
2. The curve magnitude at the time of diagnosis:
z Curves of <30 ยฐ at maturity are unlikely to progress z Curves of 30โ€“50 ยฐ at maturity are likely to progress another 10โ€“15 ยฐ z Curves of > 50 ยฐ at maturity are likely to progress at around 1 ยฐ /year
3. Sex: curves in females are more likely to progress 4. Curve type: double curves are more likely to progress

How is it classifi ed?

There are two common classifi cation systems.
King and Moe describe Types 1โ€“5 depending on the shape of the curve:
z Type1: S-shaped double curve where the lumbar curve is larger or less flexible z Type 2: S-shaped double curve where the thoracic curve is larger or less flexible z Type 3: single thoracic curves z Type 4: long thoracic curves where L4 is tilted into the curve z Type 5: double thoracic curve where T1 is tilted into the thoracic curve
The more complex Lemke classifi cation system describes the curve type (1โ€“6) and adds a modifi er (A, B, or C) depending on where the lumbar curve is in relation to central sacral vertical line, and another modifi er (โ€“, N, or + ) based on the thoracic sagittal profi le.
This page intentionally left blank

๐ŸŽ“ Viva Table 4

Illustration 23 for Ace FRCS Orthopaedics: Oxford University Press Adult Pathology Viva
๐Ÿ” Click to enlarge
Clinical Radiograph / Orthopedic Image

Adult Pathology

Section 12 Shoulder and Elbow

๐ŸŽ“ Viva 74

Illustration 24 for Ace FRCS Orthopaedics: Oxford University Press Adult Pathology Viva
๐Ÿ” Click to enlarge
Clinical Radiograph / Orthopedic Image

Reproduced from C. Bulstrode et al., Oxford Textbook of Trauma and Orthopaedics second edition, 2011, fi gure 10.3.6, p. 802, with permission from Oxford University Press.

Describe the radiograph. What is your diagnosis?

This is a 70-year-old fit and healthy patient with significant pain and stiffness. She has failed a trial of non-operative treatment. She wants surgery. What will you offer her? Explain how you would consent her.

What surgical approaches are you aware of?

If the patient had a massive cuff tear, what would you do?

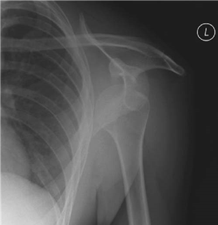
Describe the radiograph. What is your diagnosis?

T his is an AP view of the right shoulder showing a deformed humeral head with loss of joint space and subchondral sclerosis. This is osteoarthritis with a degree of avascular necrosis.
This is a 70-year-old fi t and healthy patient with signifi cant pain and stiff ness. She has failed a trial of non-operative treatment. She wants surgery. What will you off er her? Explain how you would consent her.
I would off er her a shoulder hemiarthroplasty. I would explain to her that the procedure would not restore full movement in her shoulder, although the range of movement is likely to improve. The procedure is very good for pain relief. The procedure would be carried out under GA or regional anaesthesia. She is likely to stay in hospital for 2โ€“3 days and will have to wear a sling for approximately 3 weeks and avoid external rotation to protect a repaired tendon (subscapularis). Her mobilization would be monitored by physiotherapists. The risks of the procedure include infection, injury to nerves and blood vessels, incomplete relief of symptoms, and implant loosening.

What surgical approaches are you aware of?

T he procedure can be carried out through a Mackenzie (antero-superior) approach or a deltopectoral approach.

If the patient had a massive cuff tear, what would you do?

I f the patient were to have a massive cuff tear, the outcome following hemiarthroplasty has been reported in the literature to be less satisfactory. This patient is unlikely to get any signifi cant relief from non-operative treatments.
Counselling is needed before proceeding to hemiarthoplasty.

๐ŸŽ“ Viva 75

Illustration 25 for Ace FRCS Orthopaedics: Oxford University Press Adult Pathology Viva
๐Ÿ” Click to enlarge
Clinical Radiograph / Orthopedic Image

Reproduced from C. Bulstrode et al., Oxford Textbook of Trauma and Orthopaedics second edition, 2011, fi gure 4.5.1, p.
321, with permission from Oxford University Press.

What do you understand by the term โ€˜frozen shoulderโ€™?

What are the classical stages described?

What are the factors associated with this condition?

How would you manage this condition?

Are you aware of any operative procedures for this condition?

What are the typical findings during arthroscopy?

What do you understand by the term โ€˜frozen shoulderโ€™?

Frozen shoulder is the term used to describe the condition in which there is gradual onset of pain in the shoulder followed by stiff ness.

What are the classical stages described?

The condition is typically characterized by three stages:
z Stage 1 is the painful phase which usually lasts 2โ€“9 m onths. Patients usually complain of pain at night
z Stage 2 is the phase of stiffness and usually lasts 4โ€“12 months. All movements are usually affected z Stage 3 is the stage of thawing which also usually lasts 4โ€“12 m onths. The stages overlap each other and are not discrete

What are the factors associated with this condition?

F actors associated with frozen shoulder are diabetes mellitus, trauma, chest disease, rotator cuff tear, hyperlipidaemia, and thyroid and autoimmune disease.

How would you manage this condition?

I would explain the diagnosis and natural history of frozen shoulder. I would off er an intra-articular steroid injection and analgesia, particularly in the painful phase. I would also refer the patient for physiotherapy. If symptoms fail to resolve, I would consider manipulation under anaesthesia.

Are you aware of any operative procedures for this condition?

M anipulation under anaesthesia by an experienced shoulder surgeon or arthroscopic capsular release is sometimes necessary for resistant cases.

What are the typical fi ndings during arthroscopy?

The joint feels tight and the rotator interval is narrowed. Marked synovial injection is seen in the rotator interval.

๐ŸŽ“ Viva 76

Illustration 26 for Ace FRCS Orthopaedics: Oxford University Press Adult Pathology Viva
๐Ÿ” Click to enlarge
Clinical Radiograph / Orthopedic Image

This fi gure was published in Orthopaedics in Primary Care, second edition, Andrew J. Carr and William Hamilton. Copyright Elsevier 2004.

What is tennis elbow?

What is the differential diagnosis?

What are the histopathological findings in this condition?

How would you manage this condition?

Describe the surgical procedure you would perform.

What is tennis elbow?

Tennis elbow is a condition characterized by pain in the region of the lateral epicondyle of the elbow. There is sometimes swelling and usually tenderness over the common extensor tendon. Resisted movements of the wrist and fi nger exteriors are usually painful.

What is the diff erential diagnosis?

Diff erential diagnoses include: cervical spine pathology; radio-capitellar osteoarthropathy, and radial tunnel syndrome/posterior interosseous nerve entrapment.

What are the histopathological fi ndings in this condition?

A histological fi nding typical of this condition is angiofi broblastic hyperplasia, which represents a degenerative process. Extensor carpi radialis brevis is commonly involved and may have degenerative tears.

How would you manage this condition?

T he management is mainly non-operative. I would advise patients on activity modifi cation, analgesia, and use of a brace. I would refer them to physiotherapy. The role of steroids is being disputed โ€” recent studies have shown no signifi cant benefi cial eff ect with steroids. Surgical release may be necessary if all non-operative treatments fail.

Describe the surgical procedure you would perform.

You should be able to describe the lateral approach to the common exterior origin.

๐ŸŽ“ Viva 77

A 19-year-old man participates in rugby at an elite level. He dislocated his left shoulder during a match 4 weeks ago. This was his first dislocation. It required reduction in A&E. He has no neurological problems and has regained full range of movement but his shoulder feels unstable.

Illustration 27 for Ace FRCS Orthopaedics: Oxford University Press Adult Pathology Viva
๐Ÿ” Click to enlarge
Clinical Radiograph / Orthopedic Image

Reproduced from Philip G. Conaghan, Philip O'Connor, and David A. Isenberg, Oxford Specialist Handbook:
Musculoskeletal Imaging, fi gure 4.6, p. 105, 2010, with permission from Oxford University Press.

What type of instability is he most likely to have?

How would you treat him?

What surgical options are available?

Describe the deltopectoral approach.

What type of instability is he most likely to have?

H e has traumatic instability: this implies there is a structural defectโ€” t raditionally the TUBS classifi cation has been used but now the Bayley triangle is most commonly used by shoulder surgeons and this case would be a Bayley Type 1 (traumatic, structural). A Bayley Type II is an atraumatic dislocation with a structural defect, while a Bayley Type III is habitual non-structural (muscle patterning). Placing patients in the correct group helps guide your management.

How would you treat him?

S urgically, he has had a signifi cant traumatic event with a likely structural defect (the Bankart lesion). He is in a young age group, plays rugby at an elite level, and is at high risk of further dislocation. It is perfectly reasonable to proceed directly to surgery. It is reasonable to arrange an magnetic resonance arthrogram but some surgeons proceed to surgery based on the history and examination.

What surgical options are available?

A Bankart repair with inferior capsular shift. This can be done arthroscopically or through an open approach. The key stages are reattachment of the glenoid labrum between the 3 and 6 oโ€™clock position on the right glenoid and the 6 and 9 oโ€™clock on the left glenoid. At the same time an inferior capsular shift is performed which decreases external rotation. Physiotherapy is very important postoperatively.

Describe the deltopectoral approach.

See answer to Viva 24.
This page intentionally left blank

๐ŸŽ“ Viva Table 4

Illustration 28 for Ace FRCS Orthopaedics: Oxford University Press Adult Pathology Viva
๐Ÿ” Click to enlarge
Clinical Radiograph / Orthopedic Image

Adult Pathology

Section 13 Tumours

๐ŸŽ“ Viva 78

Illustration 29 for Ace FRCS Orthopaedics: Oxford University Press Adult Pathology Viva
๐Ÿ” Click to enlarge
Clinical Radiograph / Orthopedic Image

Illustration 30 for Ace FRCS Orthopaedics: Oxford University Press Adult Pathology Viva
๐Ÿ” Click to enlarge
Clinical Radiograph / Orthopedic Image

Describe what you see on these radiographs. What do you think is the most likely diagnosis?

How would you investigate this lesion further? What are the principles of performing an open tumour biopsy?

Outline your treatment options once the lesion has been identified and staged.

Are you aware of any prognostic indicators?

Tumours

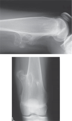
Describe what you see on these radiographs. What do you think is the most likely diagnosis?

When describing bone lesions remember: age; bone; site; matrix; margin; periosteal reaction; soft tissue mass; likely diagnoses.
The radiograph shows a lesion arising from the distal femoral metaphysis in a skeletally mature patient
The matrix of the lesion is mostly sclerotic, suggesting osteoblastic (bone-forming) activity; there are also a few small lytic (bone destruction) areas
The margins of the lesion are not clearly defined with a broad zone of transition into the surrounding bone
The cortex of the bone overlying the lesion is poorly defined and has been invaded by the lesion
The periosteum has been elevated anteriorly (Codmanโ€™s triangle) and there is an associated โ€˜sunburstโ€™ spiculation appearance
The lesion appears to have expanded out into the surrounding soft tissues
These features suggest that this is an aggressive, fast-growing, osteoblastic lesion of the distal femur โ€” the most likely diagnosis would be an osteosarcoma.

How would you investigate this lesion further? What are the principles of performing an open tumour biopsy?

A ny bone lesion that is suspected of being aggressive or having malignant potential should be thoroughly investigated. Ideally these investigations and the subsequent management should be performed at a specialist tumour centre โ€” early referral is recommended. Investigations are performed to accurately identify and stage the lesion prior to planning defi nitive treatment, these often include:
1. Local staging (performed prior to biopsy to prevent problems in interpretation): z Plain radiographs z MRI z Ultrasonography
2. Distant staging: z Chest X-ray z Computed tomography (CT) of chest z Bone scans z Positron emission tomography (PET)
3. Lesion identification:
z Blood tests and tumour markers z Open biopsy z Tru-cut biopsy z Fine needle aspiration
T he basic principles of open biopsy should be applied to prevent further seeding and spread of a potentially malignant tumour: z The biopsy should be performed by the surgeon who will perform any definitive surgery z No limb exsanguination z The biopsy tract should easily removed with the incision for definitive surgery z Utilize longitudinal extensile approaches, not transverse incisions z Through compartments (muscle) rather than splitting through tissue planes z No undermining of skin edges or tissue planes
Adult Pathology
z Adequate sample size and locationโ€” i ncluding the periphery of the lesion not just necrotic core tissue
z Immaculate haemostasis
z Drains brought out through or at the edge of the wound for easy tract excision

Outline your treatment options once the lesion has been identifi ed and staged. Are you aware of any prognostic indicators?

Multi-agent chemotherapy in conjunction with surgery is the standard treatment for osteosarcoma. Typically neo-adjuvant chemotherapy is given prior to surgery. The tumour is then re-staged and defi nitive surgery is performed for local disease control โ€” limb salvage (over 90 % of surgery) or amputation options are available depending on the site and stage of the tumour.
O verall 5-year survival rates for osteosarcoma are approximately 60% . Patients with large-volume tumours, metastatic disease, or disease in the axial skeleton tend to fare much worse than those with peripheral and localized disease. Patients in whom a good histopathological response to neo-adjuvant chemotherapy has been achieved (> 9 5% tumour cell kill or necrosis) have a better prognosis than those whose tumours do not respond as favourably.

๐ŸŽ“ Viva 79

Illustration 31 for Ace FRCS Orthopaedics: Oxford University Press Adult Pathology Viva
๐Ÿ” Click to enlarge
Clinical Radiograph / Orthopedic Image

Illustration 32 for Ace FRCS Orthopaedics: Oxford University Press Adult Pathology Viva
๐Ÿ” Click to enlarge
Clinical Radiograph / Orthopedic Image

Describe the abnormalities you see on these radiographs. What is the likely diagnosis?

What is the inheritance pattern and natural history of this disease? What sites are commonly affected?

What clinical problems does it cause?

Adult Pathology

Describe the abnormalities you see on these radiographs. What is the likely diagnosis?

These AP and lateral radiographs show sessile lesions arising from the metaphyseal region of the distal femur. The lesions are well defi ned and appear to be growing away from the metaphysis. The matrix of the lesions is in continuity with the surrounding normal bone. The cortex of the normal bone appears to be in continuity with the lesions. The caps of the lesions contain fl ecks of calcifi cation. These appearances would be compatible with a slow-growing, benign lesion, most likely osteochondroma.

What is the inheritance pattern and natural history of this disease. What sites are commonly aff ected?

Hereditary multiple exostoses (HME) is a familial inherited autosomal dominant condition but spontaneous mutation also occurs. Males are more often aff ected, possibly due to an incomplete penetrance in females. Three gene mutations have been identifi ed that can lead to HME. HME Type I is caused by a mutation in the gene encoding exostosin-1 ( EXT1) which maps to chromosome 8q24. HME Type II is caused by mutation in the gene encoding exostosin-2 ( EXT2 ), on chromosome 11, and HME Type III has been mapped to a locus on chromosome 19 ( EXT3 ). There is some evidence for an additional multiple exostoses locus. The condition has an estimated incidence of 1 in 50,000.
Exostoses may be present at birth โ€” over 80 % of patients are diagnosed in the fi rst decade of life (median age 3 years). There may be a few or hundreds of lesions present and the number and size tends to increase with growth.
The radiographic distribution of lesions is as follows: z Distal femur 70 % z Ribs 40 % z Proximal tibia 70 % z Distal radius 30 % z Proximal humerus 50 % z Distal ulna 30 % z Scapula 40 %

What clinical problems does it cause?

Generally, patients present with a painless mass. The developing exostoses may lead to abnormalities in osseous growth, joint restriction, joint deformities particularly aff ecting paired bones, and early progression to osteoarthritis.
Lesions that continue to enlarge after the end of puberty are abnormal and should be investigated for potential malignant change (chondrosarcoma). Ultrasonography and MRI are usually the investigations of choice.
Features suggesting malignant change include:
z Increasing pain and swelling (especially after cessation of normal growth) z Thickening of the cartilage cap ( > 2 cm is very concerning) z Lysis of a proportion of the stalk z Intramedullary invasion of the underlying bone

๐Ÿ”— Read the comprehensive guide: FRCS: Questions (MCQs)

๐Ÿ”— Read the comprehensive guide: Examiner: How Would You Ace Your Hip Viva? Expert Answers

Next Chapter Ace Your FRCS: Key Questions in Trauma & Orthopaedics
Dr. Mohammed Hutaif
Medically Verified Content by
Prof. Dr. Mohammed Hutaif
Consultant Orthopedic & Spine Surgeon
Chapter Index

Back to Master Guide