Examiner: How Would You Ace Your Hip Viva? Expert Answers

Key Takeaway
Learn more about Examiner: How Would You Ace Your Hip Viva? Expert Answers and how to manage it. An examiner how would evaluate a painful hip hemiarthroplasty might present radiographs for interpretation. Signs of a loose cemented Thompson's hemiarthroplasty include prosthesis sinking below the lesser trochanter, radiolucencies in Gruen zones, cortical lytic lesions, and reactive bone formation. A comprehensive assessment includes comparing current images with immediate postoperative films to detect changes in stem position.
๐
Viva Exam
Chapter Hip structured oral questions 2
All viva questions outlined here are examples of actual questions asked in the FRCS (Tr & Orth) exam. Currently each viva question lasts 5 minutes and examiners are advised against switching to another topic earlier even if a candidate knows the subject well. Therefore to give a more realistic 5minute viva question some topics have been combined from several smaller disjointed accounts from the old-style viva.
We have aimed the candidatesโ answers for a 7โ8 score so they are significantly more detailed than what would be required for a bare pass. Aiming for the minimum to pass will generally be unsuccessful and is not recommended. On a few occasions we have answered questions in a less detailed manner so as to allow readers to gauge the differences in potential scores.
Structured oral examination question 1
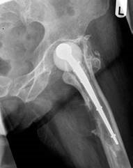
EXAMINER: This is a radiograph of a 77-year-old woman who sustained a displaced intracapsular fractured neck of femur 3 years earlier managed with a hemiarthroplasty of the hip (see Figure 2.1). She was admitted onto the orthopaedic ward last night because of increasing left hip pain and difficulty mobilizing.
| Section 2 | Adult Elective Orthopaedics and Spine |
| --- | --- |
CANDIDATE: This is an anteroposterior (AP) radiograph of the pelvis taken on the 11/5/11 demonstrating a cemented Thompsonโs hemiarthroplasty of the left hip. The neck cut is straight down on to the lesser trochanter. The prosthesis seems to have sunk below the lesser trochanter and there are radiolucencies in Gruen zones 1, 4, 5 and 7. There appears to be a faint rim of calcification in the soft tissues, adjacent to the lateral cortex of the femur. The femoral head size would seem to match the acetabulum so it is not under or oversized and the femoral stem orientation appears neutral, neither excessively anteverted
nor retroverted. I would like to see immediate postoperative radiographs to confirm whether there has been a change in stem position from the time of the original surgery and would also like to see an up-to-date lateral radiograph of the hip.
EXAMINER: Here is a lateral radiograph of the left hip that was taken on admission. (Figure 2.2.)


Postgraduate Orthopaedics: Viva Guide for the FRCS (Tr & Orth) Examination, ed. Paul A. Banaszkiewicz and Deiary F. Kader. Published by Cambridge University Press. ยฉ Cambridge University Press 2012.
Figure 2.1 Anteroposterior (AP) radiograph of loose left cemented Thompsonโs hemiarthroplasty hip.

Figure 2.2 Lateral radiograph of loose left cemented Thompsonโs hemiarthroplasty hip.
CANDIDATE: The lateral radiograph demonstrates loosening of the Thompsonโs prosthesis with a large cortical lytic lesion surrounding the stem. There appears be reactive bone formation along the posteromedial diaphysis of the femur and a suggestion of a possible soft tissue mass. There is lateral cortical destruction at the tip of the stem.
EXAMINER: What do you think is going on?
CANDIDATE: The stem appears loose. The prosthesis has only been inserted for 3 years. I think the radiographs are highly suggestive of infection until proven otherwise.
EXAMINER: How would you investigate this patient?
CANDIDATE: I would perform routine blood tests including CRP and ESR to see if there are raised inflammatory markers.1 EXAMINER: How helpful are these?
CANDIDATE: They have relatively low sensitivity and low specificity as markers of prosthetic joint infection. Berbari et al. (Level II) published a systematic review in the JBJS American edition in 2010 on the use of inflammatory markers for diagnosis of prosthetic joint infection.2 They concluded that IL-6 is a much more sensitive test for infection. EXAMINER: What do you mean by sensitivity and specificity?3 CANDIDATE: Sensitivity is the ability of a test to pick up truly infected cases and specificity the ability of the test to exclude appropriately those cases which are not infected. Or in more general terms sensitivity is the proportion of individuals with the disease (or condition) who are correctly identified by the test. Specificity is the proportion of individuals without the disease who are correctly identified by the test. Positive predictive value is the probability that a patient with a positive result genuinely has infection and the negative predictive value is the probability that a patient with a negative result has genuinely avoided infection.4
EXAMINER. The paper actually reported that IL-6 was more accurate than CRP or ESR rather than sensitive. What do we mean by accuracy?
CANDIDATE: The accuracy of a test is defined as the proportion of tests that have given the correct result (true positives and true negatives).
EXAMINER: So how are you going to proceed with this patient?
CANDIDATE: I would want to take the patient to theatre and perform an aspiration of the hip to rule out infection.
EXAMINER: You are jumping in a bit fast. Is there anything else you might want find out beforehand?
CANDIDATE: I would want to take a full history from the patient. A number of patients who develop infection have early wound problems such as prolonged redness, induration, swelling or discharge. There may be a history of repeated courses of antibiotics. The wound may have become frankly infected requiring washout in theatre. Onset of hip pain following a problem-free interval and an episode of sepsis is suggestive of haematogenous seeding of infective organisms from elsewhere. I would enquire if there was a history of bacteraemia from a UTI, chest infection or dental extraction. Pain from an infected prosthesis is typically non-mechanical and unrelated to physical activity and not relieved by rest. EXAMINER: The wound was oozy postoperatively but settled down. A large part of picking up periprosthetic infection is obtaining a good history and examination along with a high index of clinical suspicion.
How useful is a hip aspiration in diagnosing infection?
CANDIDATE: Spangehl et al. (level I) demonstrated a sensitivity of 0.86, a specificity of 0.94, a positive predictive value of 0.67 and a negative predictive value of 0.98 with initial imageguided aspiration in 180 patients undergoing revision hip arthroplasties.5 They reported that aspiration alone is not sufficient for the diagnosis because of the risk of false-positive and false-negative results. They suggested in low-probability cases with a normal ESR and CRP that aspiration was not necessary. Aspiration would be indicated if pretest probability for infection was high (acute onset of pain, systemic illness, sinus formation) particularly if the CRP/ESR was normal or in all cases where the CRP or ESR was high.
EXAMINER: Joint aspiration was negative. How are you going to manage this patient?
CANDIDATE: I would need to get more history from the patient, most importantly what her symptomatic complaints are and also fully assess her fitness for anaesthesia and surgery. EXAMINER: She has a 2-year history of intermittent progressively worsening hip pain worse with activities such as walking or rising from a chair. She is not the fittest patient for surgery; she developed pseudo-bowel obstruction and aspiration pneumonia postoperatively after the hemiarthroplasty requiring HDU admission. CANDIDATE: I would need to sit down with the patient and fully discuss what her expectations from surgery were. We would need to reach an agreement on whether she would wish to proceed with revision hip surgery taking on board/ taking into account/accepting the potential risks and complications of the surgery weighed against the probable benefits of the procedure.6 EXAMINER: She canโt live with her pain โ she wants you to do something! CANDIDATE: I would still be very suspicious that the hemiarthroplasty has a low-grade infection and perform a twostage hip revision operation for her.
EXAMINER: Are there any other tests you might want to perform that could diagnose infection before going ahead with surgery?
CANDIDATE: The use of nuclear imaging (technetium-99 triplephase bone scan, gallium imaging, labelled-leukocyte scans or FDG-PET imaging) for the detection of periprosthetic joint infection is worth considering but controversial. The recent AAOS clinical practice guidelines summary from 2010 reported a weak recommendation for their use.7
EXAMINER: How do you classify periprosthetic hip infection?
CANDIDATE: Tsukayama et al. proposed a 4-stage system consisting of early postoperative, late chronic and acute haematogenous infections, and positive intraoperative cultures of specimens obtained during revision of a presumed aseptically loose THA.8,9 Early postoperative infection presents less than 1 month after surgery with a febrile patient and a red swollen discharging wound. With late postoperative infection the patient is well, the wound has healed well, there is a worsening of hip pain and a never pain-free interval. Acute haematogenous infection can occur several years after surgery with a history of bacteraemia (UTI or other source of infection) and severe hip pain in a previously well-functioning hip. Positive intraoperative culture (at least three samples from different locations taken with clean instruments) occurs when a preoperative presumptive diagnosis of aseptic loosening was made. McPherson et al. have also developed a staging system for periprosthetic hip infections that included three categories: infection type (acute versus chronic), the overall medical and immune health status of the patient, and the local extremity (wound) grade.10
EXAMINER: Why are you discounting a one-stage procedure?
CANDIDATE: Although there are advantages to performing a one-stage procedure such as low treatment cost and preservation of patient function it is a controversial option as the success rate is less than a two-stage procedure. The procedure involves removal of the prosthesis, thorough debridement and re-implantation at a single sitting.
EXAMINER: What are the prerequisites for a one-stage procedure?
CANDIDATE: There may be a case for performing a single-stage revision in a specialist centre with a large experience in dealing with infected hips. EXAMINER: Thatโs not quite the question I asked. CANDIDATE: Prerequisites include a known organism sensitive to antibiotics, no pus present, elderly patients or patients with multiple medical problems. It is also indicated in healthy individuals devoid of re-infection risk who have adequate bone and soft tissue for reconstruction and a low virulence pathogen.
EXAMINER: What are the reported success rates for a single-stage revision?
CANDIDATE: Buchholz et al. who pioneered one-stage revisions at the Endo-Klinic in Hamburg reported a success rate of 77% in 583 revisions, but only after extensive bone and soft-tissue resection, which compromised long-term function.11 These results were published in 1981 and can be viewed as somewhat historic now. Raut et al. from Wrightington reported a success rate of 86% in 57 cases at average follow-up of 7 years despite many discharging sinuses.12,13 Hanssen and Rand summarized the results of single-stage exchange and found a cumulative success rate of 83% when antibiotic-loaded cement was used but only 60% when it was not.14
EXAMINER: What are the advantages to performing a two-stage procedure?
CANDIDATE: It is particularly important to perform a two-stage revision with more severe infections or virulent organisms, as the success rate of a single-stage procedure is much less in these situations. EXAMINER: Thatโs not what I asked. CANDIDATE: It is more versatile for reconstruction allowing the use of either cemented or cementless components and bone allograft in patients with severe bone loss. It allows clinical assessment of the response to antibiotics prior to re-implantation.
EXAMINER: What are the disadvantages of a two-stage procedure?
CANDIDATE: It can be difficult to nurse patients between stages and the second-stage surgery can be difficult due to soft tissue scarring, limb shortening, disuse atrophy, loss of bone density and distortion of anatomy. If a PROSTALAC spacer is used it can dislocate or fracture and it is more costly to perform a twostage procedure. EXAMINER: So you perform the first-stage revision, how long will you keep the patient on antibiotics? (Figure 2.3.) CANDIDATE: Duration of antibiotic treatment and timing between stages remains controversial. Current practice suggests delaying the second stage for at least 6 weeks pending good clinical progress with antibiotics and wound healing. A number of surgeons re-implant at 3 months treating the patient with 6 weeks of antibiotics and then further 6 weeks without antibiotics regularly monitoring the CRP/ESR for any signs of elevation and checking clinical progress for any signs of reoccurrence of infection such as sinus discharge or increasing hip pain. Some surgeons would routinely re-aspirate the hip to exclude any residue infection before going ahead with the second stage.
EXAMINER: Five of my last six THAs have become infected โ what should I do?
CANDIDATE: Stop operating and investigate. EXAMINER: Go on. CANDIDATE: I would want to know if the same organism had been identified in the five cases particularly if the organism was Staphylococcus aureus as this may suggest a nasal carrier in theatre. Nasal swab cultures would need to be taken of relevant theatre staff and appropriate treatment started. We would want to investigate for a breakdown in theatre sterility. I would involve microbiology and investigate the laminar flow system to see if it was working correctly. There may be issues with the preparation of the instruments set such as packaging integrity and expiry date. A sterilization indicator should be present and the packaging must be dry.

Anteroposterior (AP) radiograph of first stage PROSTALAC spacer.
the sterile field not being constantly observed and too much movement around the sterile field, including the opening and closing of doors and a wide space not being observed between scrubbed staff.
Taylor and Bannister showed that sets opened outside the confines of the laminar hood have significantly higher colony forming unit (CFU) counts during and after surgery.15 Very few centres follow Sir John Chamleyโs technique of opening the instrument sets under the canopy at each stage of the operation.
Madhavan et al.โs paper from Bristol in the Annals of the
Royal College of Surgeons England specifically looked at breakdown in theatre discipline during total joint replacement.16 They noted a slackness had crept into theatre protocol such as corridor from changing room to theatre and theatre personnel attire.
EXAMINER: Do you know any papers that have looked at theatre sterility?
CANDIDATE: The classic paper on theatre sterility was published by Lidwell et al. in 1982.17 This was an MRC randomized study which showed a decrease in infection rates following joint replacements carried out in ultra-clean theatres. The deep infection rate was 3.4% in conventional theatres, 1.7% with ultraclean air and body exhaust and 0.2% when this was combined with prophylactic antibiotics. EXAMINER: Thatโs fine. Letโs move on.
Alternative scenario
Differential diagnosis of the lesion would be granulomatous reaction to wear debris from Thompsonโs hemiarthroplasty. This is much more likely with a metal-on-polyethylene bearing THA interface. Other important differentials include metastatic disease and soft tissue sarcoma. The examiner could lead you down the path of investigation of a possible tumour mass. A bone scan and MRI would need to be ordered for further investigation. A computed tomography-guided fineneedle aspiration of the mass could be performed. See
General
CANDIDATE: ALVAL (aseptic lymphocyte-dominated vasculitisassociated lesion) is caused by metal particulate debris. Patients present with localized hip pain and a localized osteolytic reaction. A more severe inflammatory reaction is termed a pseudotumour.
Several studies have described an association between pseudotumours and increased wear of retrieved components. Influencing factors include implant size and implant design (clearance and cover [arc angle]). In addition acetabular component positioning and femoral headโneck offset influence the risk of impingement and edge loading usually associated with high wear rates.2 Despite this Campbell et al. reported that in 32 THA revised due to pseudotumor several patients demonstrated minimum wear features suggesting a hypersensitivity cause.3
Therefore the origin of pseudotumours is probably multifactorial caused either by excessive wear, metal hypersensitivity, a combination of the two, or as yet an unknown cause. Pseudotumor-like reactions have also

Figure 2.4 Anteroposterior (AP) radiograph right metal-on-metal hip resurfacing implant.
been reported in non-metal-on-metal bearings. In these cases, the histological findings showed accumulations of macrophages and giant cells, again suggesting an excessive wear origin.
CANDIDATE: Significant risk factors for the development of pseudotumor include female sex, age less than 40 years, small component size, hip dysplasia and specific implant designs (ASR).
CANDIDATE: A careful history and examination of the patient is required. It is crucial to determine if the pain is arising from intrinsic (indicating hip pathology) or extrinsic sources (referred pain).
Extrinsic sources would include referred pain from the spine or pelvis, peripheral vascular disease, stress fracture, tendinitis or bursitis about the hip.
Intrinsic causes include aseptic loosening, avascular necrosis, infection [Long pause].
CANDIDATE: Blood cobalt and chromium ions should be measured, as these are indicators of surface wear. If levels are raised the patient will require close observation. If levels are rising and the hip is painful it may be sensible to consider revising the implant.
(a) (b)

Figures 2.5a and 2.5b MRI of right MOM hip resurfacing implant demonstrating ALVAL mass.
I would also order an MRI scan with metal artifact reduction sequences (MARS). This is operator dependent but can give clear images of fluid collections or solid lesions (pseudotumours) around the hip.
(Figure 2.5.)
CANDIDATE: The MRI is a T2-weighted image coronal view, which demonstrates an intra-pelvic mass.
EXAMINER: This was a pseudotumour. In fact the mass could be felt clinically when examining the abdomen.
CANDIDATE: This patient requires urgent revision surgery to the hip.
EXAMINER: She is very scared of surgery and would prefer to avoid it.
CANDIDATE: I would stress the important of early revision surgery as the longer the MOM resurfacing implant is left in place the more extensive the soft tissue destruction will most likely be.
CANDIDATE: The pseudotumour needs to be managed with aggressive debridement of all involved soft tissue. It is important to do a thorough debridement of the abnormal tissue similar to the treatment of infection. The surgery should be preformed by an experienced hip surgeon.
Although she is still relatively young I would use a metalon-polyethylene bearing surface. A ceramic bearing surface has the potential for catastrophic fracture. We are already revising for a rare complication and we donโt want anything to go wrong again. However I would use an uncemented implant. I would keep the option of using a constrained cup open as the soft tissues may be so poorly compromised that the hip is unstable but obviously would prefer to avoid this, as components will loosen early in this situation.
It would be sensible to get a second opinion from an experienced hip surgeon as per British Hip Society guidelines to confirm and support the appropriateness of the management plan.
EXAMINER: Why bother with MOM hip resurfacing procedures? The old Charnley cemented hip replacement with trochanteric osteotomy works equally well with excellent long-term results reported from the surgeons at Wrightington.
CANDIDATE: Advantages of MOM hip resurfacings include better restoration of hip biomechanics, improved proprioceptive feedback, improved wear characteristics with no PE-induced osteolysis, increased levels of postsurgical activity, greater range of movement, reduced risk of dislocation, improved femoral bone stock mass because the neck and most of the head are retained and ease of conversion to a THA if the implant should fail.
CANDIDATE: These include severe osteoporosis, insufficient bone stock in the femoral head, large cysts at the femoral neck or head, a narrow femoral neck, notching of the femoral neck and severe obesity (BMI > 35 kg/m2).
Other contraindications include a history of chronic renal disease, metal hypersensitivity, those with anatomical abnormalities in the acetabulum or proximal femur and certainly caution in women of childbearing age.

Figure 2.6 Anteroposterior (AP) radiograph of revised hip demonstrating uncemented THA with screw fixation into acetabulum.
CANDIDATE: No, although a recent annotation by De Smert in the JBJS British Edition reported that two-thirds of surgeons would exclude patients of childbearing age. Most surgeons (89%) believed that women should not be excluded.4
EXAMINER: I think most hip surgeons would now avoid a resurfacing procedure in a female regardless of whether they were of childbearing age or not.5
These are her postoperative radiographs. We kept her nonweightbearing for 6 weeks as there was quite an extensive anterior wall defect in the acetabulum but she has done very well. The hip pain has settled and the abdominal mass resolved. We were very lucky as the extensive soft tissue destruction that sometimes can be seem with this condition was absent. (Figure 2.6.)
CANDIDATE: Several recent studies report identical Harris hip scores but a greater percentage of patients with resurfacing involved in high demand activities. There is a higher revision rate in hip resurfacing compared with conventional THA.6
CANDIDATE: These would include AVN, hip dysplasia, female sex, inflammatory arthritis, increased age, a small femoral implant and specific implant designs.

Endnotes
1. Occasionally if an examiner doesnโt know what a candidate is discussing they will enquire further. Equally the examiner may let it pass so as not to reveal their own knowledge gap. Skilful, wily candidates may be able to bait and tempt the examiner into asking for clarification so as to then appear very studious and knowledgeable. Be careful however as there is a very real danger you may irritate the examiners by coming across as a โknow it allโ.
2. An indirect way of letting the examiners know that you have read the various guidelines.
3. Campbell P, Ebramzadeh E, Nelson S et al. Histological features of pseudotumor-like tissues from metal-on-metal hips. Clin Orthop Relat Res 2010;468:2321โ2327.
4. De Smet K, Campbell PA, Gill HS. Metal-on-metal hip resurfacing: a consensus from the Advanced Hip Resurfacing Course, Ghent, June 2009. J Bone Joint Surg Br 2010;92:335โ336.
5. MOM hip resurfacing implants are being used much less now than previously. Whether this is an over-reaction to the ASR or not time will tell. However, from the exams perspective be very careful with what you are going to say or recommend to the examiners. Know the current guidelines and literature! Large MOM Jumbo hip replacements are now contraindicated as a primary procedure due to metal wear and corrosion at the trunnion.
6. Huo MH, Stockton KG, Mont MA et al. Whatโs new in total hip arthroplasty? J Bone Joint Surg Am 2010;92-A:2959โ2972.
Structured oral examination question 3
EXAMINER: This is an anteroposterior (AP) radiograph of a 78-year-old man presenting with increasing right hip pain. He had a THA performed 17 years ago.
CANDIDATE: The AP radiograph demonstrates severe osteolysis of both femoral and acetabular components. There are radiolucent lines at the boneโcement interface located circumferentially around all seven DeLee and Charnley zones in the acetabulum. The femoral component has separated from the femoral cement with lucencies in all seven Gruen zones.
The femoral implant is a Stanmore prosthesis and no cement plug has been used in the femur, so-called first generation cementing techniques.
CANDIDATE: First-generation cementing techniques involved hand mixing of cement and finger packing of bone cement in the doughy phase into an unplugged, unwashed femoral canal. Clinical results with first-generation cementing have been variable and in general have produced some disappointing results due to the inability to produce a consistent cement mantle.
Second-generation techniques involved plugging the medullary canal, cleaning the canal with pulsed lavage and inserting cement in a retrograde manner using a cement gun. This reduced the incidence of gross voids and filling defects in the mantle.
Third-generation techniques involved porosity reduction via vacuum mixing or centrifugation and cement pressurization.
Fourth-generation cementing techniques include stem centralization both proximally and distally to ensure an adequate and symmetrical cement mantle. This is important as uneven and excessively thin cement mantles are associated with early failure and revision.
CANDIDATE: The quality of the cement mantle has been described by Harris and Barrack using a scale of A to D.1
Complete filling of the medullary cavity by cement, a socalled โwhite-outโ at the cementโbone interface is graded โAโ. Slight radiolucency of the cementโbone interface is defined as โBโ. Radiolucency involving 50% to 99% of the cementโbone interface or a defective or incomplete cement mantle is graded โCโ. Grade โC2โ is given to a defect where the tip of the stem abuts the cortex with no intervening cement. Radiolucency at the cementโbone interface of 100% in any projection, or a failure to fill the canal with cement such that the tip of the stem is not covered, is classified โDโ.
CANDIDATE: I would want to take a full history from the patient.
I would enquire about pain.
I would also want to exclude the possibility of infection (septic loosening) and would ask about problems with the hip postoperatively such as a wound infection requiring washout or a prolonged course of antibiotics. A history of fever, chills or a sinus tract suggests infection. Night pain, rest pain or constant pain would also suggest infection.
With aseptic loosening typically the pain is aggravated by weightbearing. Pain is significant with the first few steps of walking (start-up pain) which improves slightly with further walking only to worsen again with more walking. The pain is always improved with rest and rarely constant.
With aseptic loosening of a THA examination may reveal a shortening of the affected limb, antalgic gait and positive Trendelenberg sign. Pain at the extremes of movement suggests loosening.
It is important to exclude other causes of intrinsic hip pain such as trochanteric bursitis, tendinitis or impingement. Extrinsic sources of hip pain should also be excluded, particularly the lumbar spine especially if the pain has neurogenic features such as radiation below the knee, numbness, paraesthesia or dysaesthesias. Pulses and skin temperature should be checked to rule out a vascular cause for pain.
CANDIDATE: I would assess the patient. Find out how bad the pain is and whether the hip should be revised or whether symptoms are manageable and the patient can be reviewed regularly at the orthopaedic follow-up clinic.
EXAMINER: The patient can only walk about 200 yards before severe pain.
CANDIDATE: I would offer him revision hip surgery provided comorbidity issues have been optimized and the risks of surgery had been discussed and understood. Both components would need to be revised.
CANDIDATE: I would mention
Infection.
Dislocation. Usually component malpositioning or laxity of soft tissues around the hip.
Fracture/perforation of femoral shaft.
Nerve palsy (peroneal, sciatic, femoral) 2โ7%.
Vascular injury (femoral, iliac, obturator).
Leg-length discrepancy.
Heterotopic ossification.
Death (cardiac/pulmonary).
DVT/PE.
In addition the patient is going to require an extended trochanteric osteotomy (ETO) to remove the cement distally and this will increase operating time and blood loss. There is always the concern that the osteotomy site will go on to either malunion or non-union. Osteotomy migration or fracture can also occur.
CANDIDATE: Bone loss can be classified on the femoral side by using either the AAOS (Table 2.1) or the Paprosky classification system (Table 2.2).
The Paprosky classification evaluates the femoral diaphysis for its ability to support an uncemented, fully porous coated prosthesis. It is less detailed than the AAOS classification but is more useful in decision making if an uncemented revision is to be performed.
Table 2.1 AAOS classification system for femoral defects.
I Segmental defect
Proximal (partial or complete)
Intercalary
Greater trochanter
II Cavitary defect
Cancellous
Cortical
Ectasia (dilatation)
III Combined segmental and cavity defect
IV Malalignment
Rotational
Angular
V Femoral stenosis
VI Femoral discontinuity
Table 2.2 Paprosky classification system for femoral defects.
I Minimal metaphyseal cancellous bone loss/normal intact diaphysis
Type I defects are seen after removal of uncemented component without biological ingrowth on surface. Usually seen with Austin Moore type prosthesis or resurfacing procedures. The diaphysis and metaphysis are intact and there is partial loss of the calcar and anteroposterior (AP) bone stock
II Extensive metaphyseal cancellous bone loss/ normal intact diaphysis
Often seen after removal of cemented prosthesis. Calcar deficiency and major AP bone loss
IIIA Metaphysis severely damaged/ > 4 cm diaphyseal bone for distal fixation
Grossly loose femoral component
First-generation cementing techniques
IIIB Metaphysis severely damaged/ < 4 cm diaphyseal bone for distal fixation
Type IIIB defects extend slightly further than type IIIA, however reliable fixation can be achieved just past the isthmus of the femur
Cemented with cement restrictor
Uncemented with substantial distal osteolysis
IV Extensive metaphyseal and diaphyseal bone loss/isthmus non-supportive
Extensive defect with severe metaphyseal and diaphyseal bone loss and a widened canal that cannot provide adequate fixation for a long stem
Table 2.3 AAOS classification system for acetabular defects.
Type I Segmental defects
Peripheral โ superior/anterior/posterior
Central โ medial wall absent
Type II Cavitary defects
Peripheral โ superior/anterior/posterior
Central โ medial wall intact
Type III Combined segmental and cavitary bone loss
Type IV Pelvic discontinuity
Separation of anterior and posterior columns
Type V Arthrodesis
Table 2.4 Gross and associates classification system for acetabular bone defects.
| Type | Description |
| --- | --- |
| I | No substantial loss of bone stock |
| II | Contained loss of bone stock (columns and/or rim intact) |
| III | Uncontained loss of bone stock (< 50% acetabulum) |
| IV | Uncontained loss of bone stock (> 50% acetabulum) |
| V | Contained loss of bone stock with pelvic discontinuity |
Acetabular bone loss
Acetabular defect classification systems are used to predict the extent of intraoperative bone loss and guide reconstructive options.
Several classification systems exist; the three most commonly used are the American Academy of Orthopaedic Surgeons (AAOS) system (Table 2.3), the Gross and associates system (Table 2.4) and the Paprosky classification system (Table 2.5).
Gross and associates classification system (Table 2.4)
This classification is based on the nature of the bone graft needed for reconstruction on standard preoperative AP and lateral radiographs. A bone defect is considered uncontained if morselized bone graft cannot be used to fill the defect.
| Table 2.5 Paprosky classification of acetabular bone defects. | Type | Radigraphic finding | Intraoperative finding | Trial stability |
| --- | --- | --- | --- |
| I | No cup migration | Intact rim and no distortion. No major osteolysis. Bone loss minimal | Full | No substantial bone loss | Small focal areas contained bone loss | | | Columns intact | IIA | Superior (or superomedial) migration |
| of < 3 cm | Superomedial bone loss | Full | No substantial ischial lysis | Columns supportive and rim intact | |
| No substantial teardrop lysis | Migration into defect under thin superior rim | | | Host-bone contact of > 50% | IIB | Superior (or superolateral) migration |
| of < 3 cm | Uncontained superior rim defect < 1/3 | Full | |
| Columns supportive | | | Host-bone contact of > 50% | IIC | Medial wall defect | Uncontained medial wall defect | Full | Cup medial to Kohler line | Rim intact and rim columns supportive | IIIA | Superolateral cup migration | Unsupportive dome | Partial | Moderate ischial lysis | Columns intact | |
| Partial teardrop destruction | Host-bone contact of 40โ60% | |
| Kohler line intact | |
| IIIB | Superomedial migration | Risk of pelvic discontinuity | None | Severe ischial destruction | Bone contact of < 40% | |
| Teardrop loss | Rim defect of > 50% | |
| Migration medial to Kohler line | |
Paprosky acetabular bone loss classification
This classification is based on information that can be obtained from AP radiographs. Four radiographic criteria are assessed:
1. Superior migration of the hip centre
Indicates damage to anterior and posteriorcolumns.
Superomedial indicates greater damage toanterior column.
Superolateral indicates greater damage toposterior column.
2. Ischial osteolysis
Bone loss inferior posterior column andposterior column.
3. Teardrop osteolysis Inferior anterior column and medial wall.
4. Position of the implant relative to Kohlerโs line Deficiency of anterior column and/or medial wall deficiency.
A trial component with full inherent stability does not change position when the surgeon pushes its rim or performs a trial reduction. A trial component with partial inherent stability does not change position with removal of the inserter, but does not withstand the force of pushing on the rim or performance of a trial reduction. A trial component with no inherent stability changes position with the simple act of removing the inserter.
The Paprosky classification (Table 2.5) is often used clinically in preference to the AAOS classification as it not only predicts bone loss encountered intraoperatively but also assists in determining reconstructive options.
EXAMINER: How would you plan for surgery? CANDIDATE:
I would get an anaesthetic review to make sure the patient was fit enough for surgery and risks acceptable and also so they could order any special tests such as echocardiogram or pulmonary function tests etc.
I would cross match for four units and make sure the cell
saver was available.
I would order one femoral head frozen allograft and have freeze dried allograft available if required.
Implant removal kit which would include curved and straight osteotomes for the cemented cup and femur, ultrasonic tools, high speed burrs.
Accurately template the revision implants required taking into account the level of the ETO.
I would use uncemented components as generally they are preferred if previously cement was used. Cement would be relatively contraindicated if using an ETO as it may get into the osteotomy site and prevent healing.
A long stem femoral implant, multihole revision (tantulum) acetabular shell and a metal-on-polyethylene bearing surface. I would attempt to use at least 32 mm head but preferably a 36 mm head as this significantly reduces the risk of postoperative dislocation.
I would need DallโMiles cables grip system to rewire the ETO back into place.
I would need a flexible light source for visualizing the medullary canal of the femur.
I would generally prefer a posterior approach with ETO unless the risk of dislocation was deemed high in which case I would use an anterolateral approach with ETO.
CANDIDATE: It is important to clear the shoulder of the prosthesis removing any cement or bone overhanging the proximal aspect of the greater trochanter as either stem removal will be obstructed or a greater trochanter fracture will occur with stem removal.
Flexible osteotomes and a small burr can then be used to further disrupt the cement/implant interface.
The ETO will greatly simplify implant and cement removal. I would use cement splitters to remove cement along with ultrasonic tools. Cement is split radially and then removed.
CANDIDATE: The safest way is to disrupt the PE cup from the cement using curved gouges. This prevents inadvertent damage to the bone of the acetabulum bed. After removal of the cup the cement is removed piecemeal. Sometimes a threaded extractor through a drill hole in the PE can be used. High-speed burrs are sometimes needed to debulk cement within acetabular anchoring holes.

Endnote
1. Barrack RL, Mulroy RD Jr, Harris WH. Improved cementing techniques and femoral component loosening in young patients with hip arthroplasty: a 12 year radiographic review. J Bone Joint Surg Br 1992;74:385โ389.
This is a classic hip paper. You should know the key message, relevance and why it is important.
Structured oral examination question 4
EXAMINER: These are the radiographs of a 78-year-old lady who has been referred to the orthopaedic clinic by her GP because of increasing pain in her right hip. Would you care to comment on the radiographs? (Figure 2.7.)
CANDIDATE: OA is classified into primary OA when obvious cause can be identified and secondary OA caused by such conditions as avascular necrosis, DDH, post traumatic, Pagetโs disease, slipped capital femoral epiphysis, protrusio acetabuli, Perthesโ disease.
CANDIDATE: Various studies have suggested that almost 90% of cases of OA are secondary.
CANDIDATE: I would take a full history and examination from the patient, specifically I would want to know the location of pain, exclude referred pain from the spine. Hip pain is

Figure 2.7 Anteroposterior (AP) radiograph demonstrating severe osteoarthritis of the left hip.
classically located in the buttock or groin radiating to the knee. Pain radiating below the knee to the foot is strongly suggestive of radicular type pain from the spine. I would inquire whether the patient had difficulty putting shoes and socks on, tying shoe laces, bending to pick up an object from the floor, getting in and out of a car [Examiner interrupts]
CANDIDATE: Assuming that all conservative options had been tried and have been unsuccessful I would offer her THA.
CANDIDATE: I would perform a cemented Exeter THA.
CANDIDATE: The Exeter THA has excellent peer-reviewed longterm data. It has a 10A ODEP rating for clinical use. It is an implant that I am very comfortable using, I have been trained to use this implant by my consultants, the instrumentation is straightforward and simple to use, the neck cut is not critical and the introducer allows for even pressure when inserting the implant.
CANDIDATE: The Exeter implant is a loaded taper model and becomes lodged as a wedge in the cement mantle during axial loading, reducing peak stresses in the proximal and distal
cement mantle. The stem is allowed to subside initially until radial compressive forces are created in the adjacent cement and transferred to the bone as hoop stresses.
CANDIDATE: I am happy to use either the Hardinge or posterior approach to the hip.
CANDIDATE: For the majority of cases I would prefer to use the posterior approach to the hip. In rare instances I would use a Hardinge anterolateral approach if the risk of dislocation was high such as neurological or muscular weakness around the hip (Parkinsonโs disease/CVA), early dementia or substance abuse.
The posterior approach is considered easier to perform and is generally a quicker procedure, limiting operative complications such as blood loss and anaesthetic issues.
The abductor muscles are not disturbed significantly so there is generally no gait abnormality but the acetabulum is more difficult to see and can make prosthesis positioning difficult, possibly causing an increased dislocation rate due to component malpositioning. The sciatic nerve is at slightly more risk of being injured as well.
EXAMINER: There is approximately double the risk of sciatic nerve injury using the posterior approach. Most surgeons would say that there is no significant difference in surgical time between the two approaches; the posterior approach can take just as long as the anterolateral approach. The posterior approach is marginally technically easier than the anterolateral approach but this also depends on surgeon training, experience with using either approach and personal preference. I would argue about the acetabulum being less easy to visualize posteriorly as most surgeons believe the posterior approach provides better acetabular visualization especially for revision cases. The pelvis tends to tilt more and so the degree of cup anteversion is usually underestimated leading to an increased risk of dislocation. Where I think the posterior approach does make a difference is a reduced incidence of Trendelenberg gait postoperatively and improved Harris hip scores compared with the anterolateral approach. Whilst results have been a bit contradictory the risk of posterior dislocation is slightly higher posteriorly even with a careful repair of the soft tissues. Larger head sizes are being used now so this is becoming less of an issue.
EXAMINER: Talk me through the posterior approach to the hip.
CANDIDATE: Assuming full informed consent has been obtained, all relevant case notes and radiographs have been obtained, the leg has been marked and she has been suitably anaesthetized I would position the patient laterally, affected leg uppermost, with hip supports. I would then prepare and drip the patient and make an incision centred over the greater trochanter, approximately 15 cm in length.
I would cut through the skin, subcutaneous tissue, and open up the fascia lata, splitting the gluteus maximus along the line of muscle fibres, and then release the short external rotators from the greater trochanter. Finally, I would perform a capsulectomy and then dislocate the hip.
I would protect the sciatic nerve being aware of its position and avoid dissecting too near to it.
CANDIDATE: Disruption of the integrity of the collagen network occurs early in OA allowing hyperhydration. The increased water content of cartilage causes softening, decreases Youngโs modulus of elasticity and reduces its ability to bear load.
Initial changes in OA involve damage to the tangential zone immediately below the articular surface, with disorganization of the collagen network, loss of proteoglycans and swelling. This leads to a hypertrophic repair response with increased synthesis and accumulation of proteoglycan. However the repair process fails with loss of surface integrity, and fibrillation parallel to the surface. In regions of severe damage, there is a loss of cellularity and sporadic formation of cell clusters or clones.
Normal cartilage metabolism is a highly regulated balance between synthesis and degradation of the various matrix components. With OA the equilibrium between anabolism and catabolism is weighted in favour of degradation.
Cartilage catabolism results in release of breakdown products into synovial fluid, which then initiates an inflammatory response by synoviocytes.
These breakdown products include: chondroitin sulphate, keratan sulphate, PG fragments, type II collagen peptides and chondrocyte membranes.
Activated synovial macrophages then recruit PMNs establishing a synovitis. They also release cytokines, proteinases and oxygen free radicals (superoxide and nitric oxide) into adjacent synovial fluid. These mediators act on chondrocytes and synoviocytes modifying synthesis of PGs, collagen, and hyaluronan as well as promoting release of catabolic mediators.
Cartilage changes in osteoarthritis are characterized by increases in:
Water content.
Chondrocyte activity and proliferation.
Stiffness of articular cartilage.
Interleukin-1.
Metalloproteinase levels.
Cathepsins B and D levels. and decreases in Quality of collagen.
Proteoglycan quality and size.
Histology classically demonstrates:
Loss of superficial chondrocytes.
Replication and breakdown of the tidemark.
Fibrilation.
Cartilage destruction with eburnation (polished, shiny smooth with an appearance like ivory) of subchondral bone.
CANDIDATE: Several differences between ageing cartilage and OA cartilage have been described suggesting a separate disease entity. For example OA and normal ageing cartilage differ in the amount of water content and in the ratio of chondroitin sulphate to keratin sulphate constituents.
CANDIDATE: The primary enzymes responsible for the degradation of cartilage are the matrix metalloproteinases (MMPs). These enzymes are secreted by both synovial cells and chondrocytes and are categorized into three general categories:
(a) collagenases, (b) stromelysins and (c) gelatinases.
In OA, synthesis of MMPs is greatly enhanced and the available inhibitors are overwhelmed, resulting in net degradation. Interestingly, stromelysin can serve as an activator for its own proenzyme, as well as for procollagenase and prostromelysin, thus creating a positive feedback loop of pro-MMP activation in cartilage.
CANDIDATE: IL-1 is a potent pro-inflammatory cytokine that, in vitro, is capable of inducing chondrocytes and synovial cells to synthesize MMP. In addition IL-1 suppresses the synthesis of type II collagen and proteoglycans. Therefore in OA, IL-1 actively promotes cartilage degradation and may also suppress attempts at repair.
CANDIDATE 1
The most obvious abnormality is patchy diffuse sclerosis with increased density in the superolateral aspect of the right femoral head (Ficat 2).
The left femoral head has a possibly minimal osteoporosis and/or blurring and poor definition of the bony trabeculae (Ficat 1). The radiograph is suspicious of bilateral AVN. I would like to obtain a frog-leg lateral radiograph of both hips. I would look for the crescent sign, indicating subchondral fracture, a feature of AVN that is more obvious on a frog-leg lateral than AP projection. This is because the anterior and posterior margins of the acetabulum on the AP projection are superimposed over the superior portion of the femoral head, the usual location of the sign. When AVN is bilateral, it usually occurs in each hip at different times, and the staging of disease in each hip is often different.
[Candidate score 7โ8]
CANDIDATE 2: This is an AP pelvic radiograph showing both hips. There is nothing very obvious staring at me. There are no features of osteoarthritis such as joint space narrowing, osteophytes or sclerosis.1 [Candidate score 4]
CANDIDATE: Avascular necrosis occurs due to interruption of the blood supply to the femoral head leading to ischaemia and cellular death.
CANDIDATE: A number of conditions are associated with AVN. The most common cause is trauma secondary to fracture and/or dislocation of the femoral head. Other conditions include:
Corticosteroid use.
Alcohol abuse.
Figure 2.8 Anteroposterior (AP) radiograph of bilateral avascular necrosis.
Smoking.
Coagulopathies.
Sickle cell anaemia.
Caisson disease.
Hypercholesterolaemia.
Organ transplantation.
Systemic lupus erythematosus.
Gaucherโs disease.
Hypertriglyceridaemia.
Intramedullary haemorrhages. Chronic pancreatitis.
AS IT GRIPS 3Cs (mnemonic)
Alcohol
Steroids
Idiopathic
Trauma
Gout, Gaucherโs
Rheumatoid/radiation
Infection/increased lipids/inflammatory arteritis
Pancreatitis/pregnancy
SLE/sickle cell/smoking
CRF/chemotherapy/Caisson disease
CANDIDATE: Aetiological factors in AVN are usually related to underlying pathological conditions that alter blood flow, leading to cellular necrosis and ultimately to collapse of the femoral head. This damage can occur in one of five vascular areas around the femoral head: arterial extraosseous, arterial intraosseous, venous intraosseous, extravascular intraosseous and extravascular extraosseous.
1. Extraosseous arterial factors are the most important. The femoral head is at increased risk because the blood supply is an end-organ system with poor collateral development. Blood supply can be interrupted by trauma, vasculitis (Raynaudโs disease), or vasospasm (decompression sickness).
2. Intraosseous arterial factors may block the microcirculation of the femoral head through circulating microemboli. These can occur in sickle cell disease (SCD), fat embolization or air embolization from dysbaric phenomena.
3. Intraosseous venous factors affect the femoral head by reducing venous blood flow and causing stasis. These factors may accompany conditions such as Caisson disease, SCD or enlargement of intramedullary fat cells.
4. Intraosseous extravascular factors affect the hip by increasing the pressure, resulting in a femoral head compartment syndrome. For example: fat cells hypertrophy after steroid administration or abnormal cells, such as Gaucher and inflammatory cells, can encroach on intraosseous capillaries, reducing intramedullary circulation and contributing to compartment syndrome.
5. Extraosseus extravascular (capsular) factors involve the tamponade of the lateral epiphyseal vessels located within the synovial membrane, through increased intracapsular pressure. This manifests as trauma, infection and arthritis, causing hip effusion that may affect the blood supply to the epiphysis.
EXAMINER: Specifically how do steroids cause AVN?2
CANDIDATE: The mechanism postulated for steroid-induced AVN is still unclear.
Johnson proposed that fat cell hypertrophy within the bone marrow increases femoral head pressure resulting in sinusoidal vascular collapse and necrosis of the femoral head.3 The exact mechanism of fat cell hypertrophy remains obscure but a disorder in fat metabolism is implicated.
Jaffe et al. believe patients undergoing steroid treatment are in a hyperlipidaemic state, which can increase the fat content within the femoral head and raise intracortical pressure producing sinusoidal collapse and finally necrosis.4 Other investigators have proposed that this hyperlipidaemic state leads to fat embolism occluding the femoral head microvasculature, which initiates the pathophysiological process.5 A recent study in rabbits suggests that the use of steroids can also damage endothelial and smooth muscle cells within the vasculature. This may result in interruption of the venous drainage from the femoral head, leading to blood stasis, an increase in intraosseous pressure and AVN.6 Other studies suggest primary osteocyte cell death without any other features. This is seen with steroid use, in transplant patients and those who consume significant amounts of alcohol.
CANDIDATE: High-dose corticosteroids are the most common cause of non-traumatic AVN accounting for 10โ30% of cases. However only 10% of patients exposed to corticosteroids may develop AVN. Dosage is typically steroids > 2 g of prednisone, or its equivalent, within a 2โ3-month period.
The period from the start of corticosteroid treatment to the diagnosis of AVN ranges from 1โ16 months (mean 5.3 months), and the majority of patients are diagnosed within 1 year.
CANDIDATE: Therapeutic interventions are less likely to halt progression of the disease once this sign appears.
CANDIDATE: Although AVN can be clinically silent typically a patient complains of pain, usually localized to the groin area but occasionally to the ipsilateral buttock and knee. It is usually a deep intermittent, throbbing pain, with an insidious onset that eventually occurs at rest and may be present or even worsen at night. Physical examination reveals pain with both active and passive range of motion, especially with passive internal rotation. Range of motion is important as this helps determine the extent of the disease. In general, more limited flexion and abduction indicate more extensive articular damage, whereas limited rotation alone may indicate less destruction. A careful examination of the contralateral hip should always be undertaken as AVN is bilateral in 40โ80% of cases.
CANDIDATE: Several classification systems for AVN exist. Ficat and Arlet is the most commonly known and consisted of four stages.7 Hungerford and Lennox later added a fifth stage (Stage 0) when MRI became available.8
Stage 0 (preclinical). Suspected disease in the contralateral hip when the index joint has definitive findings. No clinical symptoms. MRI non-diagnostic.
Stage I (pre-radiological). Normal findings on radiographs and positive findings on MRI or bone scan. The MRI shows a doubleline sign, consistent with a necrotic process.
Stage II (pre-collapse). Osteopenia, demineralization, sclerosis or cysts. A late finding is the crescent sign, a linear subcortical lucency, situated immediately beneath the subcortical bone, representing a fracture line and impending femoral head collapse.
Stage III (collapse). The femoral head is flattened and collapsed with the presence of sequestration manifested by a break in the articular margin without acetabular involvement.
Stage IV (progressive degenerative disease). Severe collapse and destruction of the femoral head, acetabular osteophytes.
Osteoarthritis superimposed on a deformed femoral head.
CANDIDATE: Steinberg (Table 2.6) expanded the staging system into seven stages and quantified the amount of involvement of the femoral head into mild (< 15%), moderate (15โ30%) and severe (> 30%), based on radiographs.9 It is considered more useful than Ficat because it grades the severity and extent of the involvement, both of which are thought to affect prognosis.
CANDIDATE: Other classification systems include the ARCO (Association Research Circulation Osseous) classification, University of Pennsylvania system and the Mitchell MRI classification.
CANDIDATE: The Kerboull necrotic angle is used to calculate the size of the necrotic segment. It is the sum of the angle of the necrotic segment as measured on both the anteroposterior and frog-lateral radiographs. Patients with a Kerboull angle > 200 more commonly have poor results with certain bonepreserving procedures.
CANDIDATE: I would perform bilateral core decompression. The AVN is still at an early stage where it may be successful (Ficat stage I and II AVN). The procedure has no role in the management of Ficat stage III or IV disease. Results have been satisfactory when core decompression is combined with either non-vascularized or vascularized fibular grafts in patients with Ficat stage II lesions.
Table 2.6 Staging system of Steinberg et al.
| Stage | Radiographic feature |
| --- | --- |
| 0 | Normal X-ray findings; normal bone scan and MRI. Diagnosed on histology |
| I | Normal X-ray findings; abnormal bone scan and/or MR findings |
IA: Mild (< 15% of femoral head affected)
IB: Moderate (15โ30% of femoral head affected)
IC: Severe (> 30% of femoral head affected)
II
| Cystic and sclerotic changes in the femoral head
IIA: Mild (< 15% of femoral head affected)
IIB: Moderate (15โ30% of femoral head affected)
IIC: Severe (> 30% of femoral head affected)
III
| Subchondral collapse (crescent sign) without flattening
IIIA: Mild (< 15% of femoral head affected) IIIB: Moderate (15โ30% of femoral head affected)
IIIC: Severe (> 30% of femoral head affected)
IV
| Flattening of femoral head
IVA: Mild (< 15% of surface and < 2-mm depression)
IVB: Moderate (15โ30% of surface or 2- to
4-mm depression)
IVC: Severe (30% of surface)
V
| Joint narrowing and/or acetabular changes
(this stage can be graded according to severity)
VI
| Advanced degenerative changes
CANDIDATE: VFG for AVN is a major operative procedure with a long rehabilitation time and therefore patient selection to minimize the potential for an unsuccessful operation is critical.
McKee from Toronto suggests the operation should be limited to patients:10
1. With 2 mm or less of femoral head collapse as measured on plain radiographs.
2. Who are 45 years of age or younger (and have a reasonable life expectancy).
3. Have had withdrawal of an identified aetiological agent.
4. Have no contractures about the hip.
5. Have a supple joint.
These are obviously general guidelines that may be adjusted somewhat depending on the individual patient.
CANDIDATE: Advantages of vascularized fibular grafting include: Being able to perform a core decompression of the femoral head.
The ability to perform curettage and removal of the osteonecrotic focus.
Impaction of autogenous cancellous graft to fill the defect created by removal of the osteonecrotic bone.
The structural support of the subchondral surface provided by the fibular graft.
The addition of vascularized bone and blood supply to the area of osteonecrosis enhances the revascularization process.
CANDIDATE: Gaskill et al. from a tertiary centre in North Carolina performing a large volume of VFG reported a 16.9% complications rate, 4.3% of complications require reoperation or chronic pain management.11,12 Donor site morbidity
Great-toe flexion contracture (4.3%). Majority asymptomatic noticeable only on clinical examination with the ankle fully dorsiflexed. Occasionally requires z-lengthening of the FHL tendon at the level of the medial malleolus. Flexion contracture of the second and third toes may co-exist in a small number of patients.
Persistent weakness in the operated extremity (0.6%) either long toe flexors or peroneal group.
Mild persistent pain and tenderness at the ankle or distal osteotomy site (4.1%) usually after prolonged standing or moderate activity such as jogging.
Sensory deficits (1.7%). The sensory deficit was not always consistent with peripheral nerve or dermatomal distributions.
Superficial infection.
Graft site complications
Symptomatic lateral pin migration (2.4%). A Kirschner wire was used routinely to secure the fibular graft in its final position after placement in the femoral head.
Symptomatic heterotopic ossification (1.4%).
Femoral fracture (0.7%). All occurred in the intertrochanteric and subtrochanteric region after a fall.
Deep venous thrombosis (0.3%).
Superficial infection (4%).
Deep infection (4%).
Haematoma (1%).
Trochanteric bursitis (1%).
CANDIDATE: The trapdoor procedure is performed with an arthrotomy to dislocate the hip anteriorly, followed by curettage of the necrotic segment of the head and packing of the defect with iliac crest bone graft through a cartilage window in the femoral head. This can be used for Ficat stage III and early Ficat stage IV and reasonable results reported.
EXAMINER: You have to be more specific than that โ what do you mean by reasonable results?13
CANDIDATE: Michael Mont reported on a series of 30 hips Ficat stage III/IV at 5 years with 73% having good to excellent
results.14
CANDIDATE: Osteotomy has been used to treat Ficat stage III and IV disease but results have been variable because it is difficult to rotate the necrotic segment out from the weightbearing area, especially when the lesion is large. Sugioka et al. reported good to excellent results at 3 to 16 years of follow-up in 78% of 229 hips treated with the transtrochanteric anterior rotational osteotomy.15 Their results with this technically demanding procedure have not been reproduced by others.
A success rate of approximately 30% at 5 years is common, with the best results reported in patients whose lesions do not result from trauma and who have less than 30% of the head involved.
CANDIDATE: Stem cells have been used to manage AVN.
EXAMINER: Go on โ do you know about the technique or results? CANDIDATE: Sorry thatโs all I know.
EXAMINER: Two techniques are being promoted. One is a threestage procedure and the other is a single-stage procedure. The first method is by stem cell culture in the lab to multiply the number of cells several million fold. These cultured stem cells are reinjected into a previous core decompression site.
In the second method, bone marrow obtained from the pelvis is centrifuged in the operating room to yield a bone marrow concentrate rich in stem cells. The patient is supine on a traction table with a C arm image intensifier. Percutaneous core decompression drilling with a Kirschner wire (diameter 2.7 mm) is performed to perforate the interface between the necrotic lesion and healthy bone. Following this concentrated autologous bone marrow aspirate is slowly transplanted into the necrotic area under fluoroscopic control. This is still an experimental procedure but early results seem promising for early disease.
EXAMINER: The patient had surgery on both hips. These are his postoperative radiographs.
CANDIDATE: The AP radiograph demonstrates a metal core rod in the right hip. (Figure 2.9.)
CANDIDATE: The patient has had a tantalum rod inserted into the femoral head. The implant achieves decompression, supports the subchondral plate of the necrotic areas and probably induces bone regeneration.
CANDIDATE: The use of a trabecular metal โAVN rodโ has a number of attractive theoretical advantages, including no donor site morbidity, improved rehabilitation, structural support of the femoral head and the potential for
โosseointegrationโ of the biologically friendly material.
EXAMINER: The patient had core decompression performed on the left hip and a core decompression with tantalum rod inserted in the right hip. He initially got good pain relief from the procedures for about a year or so but he returns to the orthopaedic clinic complaining both hips are now painful. The left side is worse than the right. What do you think of the radiographs?
CANDIDATE: I would offer him bilateral hip arthroplasty, the left one being more symptomatic first.
CANDIDATE: In view of his relatively young age I would perform an uncemented THA with a ceramic bearing surface.
CANDIDATE: The advantages of using a ceramic bearing surface include superior lubrication, friction, and wear properties compared with other bearing surfaces in clinical use. Specifically it is an extremely hard material, very resistant to wear, with a low coefficient of friction, excellent abrasive resistance and excellent wettability properties for

Figure 2.9 Anteroposterior (AP) radiograph pelvis with tantalum rod inserted into the right hip.
improved lubrication. It is presumed that the lower wear rates lead to a lower rate of aseptic loosening and the need for revision surgery.
Disadvantages include potential for catastrophic fracture, squeaking, chipping on insertion and reduced range of implant sizes.
CANDIDATE: The reported incidence of squeaking with alumina ceramic bearings varies widely from 0.45% in a series of 2716 ceramic implants to 7.0% in a series of 159 ceramic implants. Most reported series note that squeaking is rare and without clinical significance; however, on rare occasions, major squeaking has led to revision surgery.16
CANDIDATE: I would contact the manufacturers of the implant as there is a special implant removal kit. Otherwise not using the removal kit makes the surgery much more difficult. I would use a Gigli and reciprocating saw to section the head, implant removal corer to take out the tantalum rod and then perform a conventional uncemented THA.
CANDIDATE: Studies suggest a trend towards an poorer outcome in patients following conversion of tantalum rod to THA.17

Figure 2.10 Anteroposterior (AP) radiograph left metal-on-metal (MOM) hip and right ceramic large jumbo hip arthroplasty.
There is also concern of tantalum residue within the joint space found in the majority of conversions. Although there is no catastrophic wear seen in studies there is the potential for accelerated joint damage in the medium to long term.
EXAMINER: These are his radiographs. He had a large jumbo head MOM performed on the left side and a large ceramic jumbo head THA performed on the right side. Do you have any worries? (Figure 2.10.)
CANDIDATE: The BOA released a statement after the annual conference at Torquay in 2011 reporting a higher than anticipated early failure rate for large jumbo head MOM hips. Concern was expressed regarding the trunnion at the โMorseโ taper where the large diameter metal head attaches to the stem. Various examples were shown of damage from either wear or corrosion or both resulting in either loosening of the acetabular component, loosening of the femoral component or a metal reaction with necrosis and soft tissue damage. As such its use should now be avoided. Excluding the ASR implant theses devices have a reported revision or impending revision rate of 12โ15% at 5 years.
CANDIDATE: This should be as per BHS guidelines for MOM bearing surfaces, yearly for the first 5 years and probably for life. Pain in this group of patients should be taken seriously and investigated appropriately with cobalt chromium levels and an MRI scan of the hip looking for any local reaction/ tissue necrosis/presence of pseudotumour.
CANDIDATE: There are some worries again regarding the trunnion, where the large ceramic head attaches to the stem which may be the source of excessive wear or corrosion, leading again to early failure, although the evidence is not as strong.

Endnotes
1. If you initially miss a subtle AVN spot diagnosis it is extremely difficult to recover the viva especially if the candidates before and after you spot it without prompting.
2. Take your pick. On the day steroids but you may be asked about alcohol, smoking, Caisson disease, sickle cell anaemia and transplant recipients etc. A few buzzwords may be sufficient to bluff your way through although itโs more likely the examiner will want a more detailed explanation.
3. Johnson LC. Histiogenesis of Avascular Necrosis. Presented at the Conference on Aseptic Necrosis of the Femoral Head. St Louis, 1964.
4. Jaffe WL, Epstein M, Heyman N, Mankin HJ. The effect of cortisone on femoral and humeral heads in rabbits. An experimental study. Clin Orthop Relat Res 1972;82:221โ228.
5. Jones JP Jr. Fat embolism, intravascular coagulation, and osteonecrosis. Clin Orthop Relat Res 1993; 292:294โ308.
6. Nishimura T, Matsumoto T, Nishino M, Tomita K. Histopathologic study of veins in steroid treated rabbits. Clin Orthop Relat Res 1997;334:37โ42.
7. Ficat RP. Idiopathic bone necrosis of the femoral head. Early diagnosis and treatment. J Bone Joint Surg Br 1985;67(1):3โ9.
8. Hungerford DS, Lennox DW. The importance of increased intraosseous pressure in the development of osteonecrosis of the femoral head: implications for treatment. Orthop Clin North Am 1985;16(4):635โ654.
9. Steinberg ME, Hayken GD, Steinberg DR. A quantitative system for staging avascular necrosis. J Bone Joint Surg Br 1995;77:34โ41. (Level 2/3 evidence).
10. McKee MD, Waddell JP, Kudo PA, Schemitsch EH, Richards RR. Osteonecrosis of the femoral head in men following short-course corticosteroid therapy: a report of 15 cases. Can Med Assoc J 2001;164:205โ206.
11. Gaskill TR, Urbaniak JR, Aldridge JM 3rd. Free vascularized fibular transfer for femoral head osteonecrosis: donor and graft site morbidity. J Bone Joint Surg Am 2009;91-A:1861โ1867.
12. Standard protocol is that Gaskill should be mentioned as the first author when quoting papers in the exam. Rules sometimes need to be bent and as Urbaniak is a recognized world expert in VFG the examiners may be more familiar with his research and therefore mentioning him as the lead author may be tactically more astute. There were 215 complications (a 16.9% rate) at the time of follow-up, at an average of 8.3 years, after the 1270 procedures. Quote papers and results but be sensible about it.
13. Sometimes you will get away with that type of general statement regarding results, other times the examiners may press you.
14. Mont MA, Einhorn TA, Sponseller PD, Hungerford DS. The trapdoor procedure using autogenous cortical and cancellous bone grafts for osteonecrosis of the femoral head. J Bone Joint Surg Br 1998;80:56โ62.
15. Sugioka Y, Hotokebuchi T, Tsutsui H. Transtrochanteric anterior rotational osteotomy for idiopathic and steroid induced necrosis of the femoral head: indications and longterm results. Clin Orthop 1992;277:111โ120.
16. Jarrett CA, Ranawat A, Bruzzone M et al. The squeaking hip: a phenomenon of ceramic-on-ceramic total hip arthroplasty. J Bone Joint Surg Am 2009;91-A:1344โ1349.
17. Lewis P, Olsen M, McKee M, Waddell J, Schemitsch E. Total
Hip Arthroplasty Following Failure of Core Decompression and Tantalum Rod Insertion for Femoral Head Avascular Necrosis. 11th Congress Effort E poster content. 2โ5 June 2010 Madrid, Spain.
Structured oral examination question 6
EXAMINER: This is an anteroposterior (AP) radiograph of a 72year-old male who had a cemented THA performed 17 years ago. (Figure 2.11.)
CANDIDATE: The AP radiograph demonstrates a cemented THA suggestive of a Stanmore implant. The cup looks worn with the femoral head eccentric in the polyethylene socket. There are lucencies in all three DeLee and Charnley acetabular zones. There is a continuous radiolucency at the femoral cementโ bone interface.
CANDIDATE: Wear is defined as a progressive loss of bearing surface from a material as a result of chemical (corrosive) or mechanical action. Types of mechanical wear include adhesive, abrasive and fatigue.
CANDIDATE: Abrasive wear occurs when two surfaces with microscopic irregularities or asperities slide past one another while in intimate contact. The interaction generates particles mainly from the softer material.
Adhesive wear occurs when two opposing materials bond under contact load. Actual transfer of material from one surface to the other may occur, forming transfer films. When motion resumes between the two surfaces, particles may be broken free from one or both surfaces. These new

Figure 2.11 Anteroposterior (AP) radiograph of a loose cemented left THA.
particles then further contribute to wear from third-body abrasive wear.
The wear of ultra-high-molecular-weight polyethylene (UHMWPE) in THA is mainly adhesive and abrasive.
CANDIDATE: Fretting occurs with small cyclic motions of one surface relative to another.
CANDIDATE: Wear sources include the primary articulation surface, secondary articulation surfaces, cement/prosthesis micromotion, cement/bone or prosthesis/bone micromotion and third-body wear.
CANDIDATE: There are four modes of wear.
1. Mode 1 is the generation of wear debris that occurs with motion between the two bearing surfaces as intended by the designers.
2. Mode 2 refers to a primary bearing surface rubbing against a secondary surface in a manner not intended by the designers (for example, a femoral head articulating with an acetabular shell following wear-through of the polyethylene).
3. Mode 3 refers to two primary bearing surfaces with interposed third-body particles (such as bone, cement, metal and so on).
4. Mode 4 refers to two non-bearing surfaces rubbing together (such as back-sided wear of an acetabular liner, fretting of the Morse taper, stemโcement fretting).
While several modes of wear often occur simultaneously, mode 1 accounts for the majority of wear in well-functioning hip or knee replacements.
CANDIDATE: Schmalzreid et al. coined the term โeffective joint spaceโ to refer to all periprosthetic regions to which joint fluid, and hence wear debris, can gain access.1 In the acetabulum, wear debris can reach the interface through unfilled screw holes or via non-ingrown areas of the shell. On the femoral side, use of circumferential porous coating has reduced the incidence of diaphyseal osteolysis by blocking access of wear particles.
CANDIDATE: Osteolysis is a biological phenomenon that can result in the loosening of the implant principally caused by the UHMWPE wear particles. Metal or ceramic wear particles that are produced at the articulating surfaces of a hip prosthesis are also implicated but to a much lesser degree. Osteolysis is influenced by the size and morphology of the
UHMWPE particles. Macrophages actively phagocytose (engulf) wear debris at the boneโimplant interface. These cells release various enzymes and osteolytic mediators such as interleukin, tumour necrosis factor (TNF-a), and prostaglandin. These cytokines cause inflammation and trigger bone dissolution or resorption around the implanted region.
CANDIDATE: Osteolysis (wear) is a multifactorial process dependent on surgical factors, implant design, patient factors and material composition.
Implant-specific factors that affect wear performance of THA
(and TKA) are given in Table 2.7.2,3
Surgical factors (e.g. component position, soft tissue balancing) that affect joint loads and kinematics which influence wear performance of THA (and TKA) are given in Table 2.8.
Patient-specific factors that affect wear performance of THA (and TKA) are given in Table 2.9.
CANDIDATE: Three osteoblastic regulators (RANK, RANKL and OPG) are involved in bone resorption. This is linked to TNF-a, Table 2.7 Implant-specific factors affecting joint wear.
Implant design choices
Modularity versus monoblock
UHMWPE component thickness
Bearing couple conformity
Fixation (cemented versus ingrowth)
Implant constraint
Implant impingement
Material
Metallic alloy (Co-Cr-Mo alloy versus titanium alloy)
Ceramic (alumina, zirconia, oxidized zirconium alloy)
UHMWPE (highly cross-linked versus conventional)
Bearing couple
Metal-on-UHMWPE
Ceramic-on-UHMWPE
Metal-on-metal
Ceramic-on-ceramic
Quality control
Lot-to-lot variability
Shelf life and packaging of UHMWPE components
Sterilization process (radiation versus ethylene oxide)
a cytokine responsible for encouraging osteolysis through the facilitation and augmentation of osteoclast differentiation and activation of pre-existing osteoclasts.
Gold medal
Periprosthetic osteolysis is the loss of bone surrounding an artificial implant. The formation of a periprosthetic interfacial membrane between the bone and the implant is implicated in bone resorption. The interfacial membrane is composed primarily of two cell types, the macrophage and the fibroblast.
Aseptic osteolysis is thought to occur through a mechanism involving expression of bone resorptive cytokines such as interleukin-1b (IL-1b), interleukin-6 (IL-6), tumour necrosis factor-a (TNF-a), plateletderived growth factor (PDGF) and receptor activator of nuclear factor-k B ligand (RANKL).
Table 2.8 Surgical factors affecting joint wear.
Surgical approach
Component position
Restoration of appropriate mechanical and rotationalaxes
Initial stability and method of component fixation
Soft-tissue balance (laxity versus overconstraint)
Subluxation or dislocation
Third-body wear
Surgeon experience
Table 2.9 Patient-specific factors affecting joint wear.
Activity level. Patients with active lifestyles often returnto recreational activities that markedly increase jointloading conditions (e.g. running, jumping, stair climbing)
Body mass index and body weight. Increased bodyweight can be associated with increased magnitude of force and altered kinematics, although the detrimental effects of excessive weight can be counterbalanced by decreased activity levels and loading cycles that accompany a sedentary lifestyle
Gait mechanics (level and stairs)
Limb alignment
Implant time in situ
Preoperative diagnosis of post-traumatic arthritis andAVN have been associated with higher prosthesis failure rates as usually arthroplasty is performed in younger, more active patients
Comorbidities. ACL and meniscal injuries predisposeto osteoarthritis in a young age group
Special cultural demands (e.g. kneeling in MiddleEastern and Asian populations). Deep flexion for kneeling loads implants beyond current design characteristics (TKA)
Revision versus primary surgery
RANKL is a potent bone resorptive cytokine present on the membranes of bone marrow stromal cells, osteoblasts in bone, as well as on T-cells, and as a soluble molecule secreted into the bone microenvironment by these cells. Receptor activator of nuclear factor-k B (RANK), a RANKL receptor, is expressed on the cell surface of preosteoclasts.
Macrophages express RANK and, when exposed to RANKLin the presence of macrophage colony-stimulatingfactor(M-CSF),havebeenshowntodifferentiateinto matureosteoclastscapableofboneresorption.Osteoprotegerin (OPG) acts as a decoy receptor for RANKL by binding to RANKL and preventing the functional interaction of RANKL with RANK thereby blocking the osteoclast formation and the bone resorptive effects of RANKL. Osteoclast activation is thus blocked.
CANDIDATE: Implant factors associated with an increased wear rate include non-cross linked PE, longer shelf-life for liners g-irradiated in air, thickness of PE.
Patient factors include younger age due to higher activity levels, obesity due to increased joint loading. Surgeon factors include position of the cup relative to Kohlerโs line, increase in cup abduction angle.
CANDIDATE: Three approaches are currently being investigated in an attempt to modify highly cross-linked UHMWPE so that the increased wear resistance provided by cross-linking can be maintained without the reduced fracture resistance that accompanies cross-linking.4
1. Stabilization of free radicals through the impregnation of irradiated ultra-high molecular weight polyethylene with vitamin E. Vitamin E protects polyethylene against oxidation, which renders the melting step that normally follows cross-linking with radiation unnecessary. Vitamin E also quenches free radicals.
2. A second approach involves sequentially irradiating and annealing polyethylene. Irradiation is conducted in three steps with an interspersed annealing processes that together improve oxidative stability compared with that resulting from a single large dose of irradiation followed by annealing.
3. The third approach involves the photo-induced graft polymerization of 2-methacryloyloxyethyl phosphorylcholine (MPC) onto crosslinked polyethylene (CLPE). The concept is to create a hydrophilic layer with better wettability than a conventional polyethylene surface, thus increasing the chance for lubrication.

Endnotes
1. Schmalzreid TP, Jasty M, Harris WH. Periprosthetic bone loss in total hip arthroplasty: polyethylene wear debris and the concept of the effective joint space. J Bone Joint Surg Am 1992;74-A:849โ863. This is a classic hip paper that you need
to know for the exam. With a classic paper ask yourself why the paper is important and how has it changed orthopaedic practice.
2. Tsao AK, Jones LC, Lewallen DG. What patient and surgical factors contribute to implant wear and osteolysis in total joint arthroplasty? J Am Acad Orthop Surg 2008;16:S7โS13.
3. For ease of learning and memorizing we have provided the information in table form. Be aware of the need to carefully apply this knowledge into an appropriate usable answer in the exam. If the radiograph demonstrates a malaligned THA (cup open or stem in varus etc.) tell this to the examiners as a probable cause of accelerated wear and then follow up with other surgeon-related factors. Be proactive and mention this sooner rather than later, especially if the topic is travelling down the wear rather than revision route. If the patient is young mention patient-related factors associated with wear such as activity or diagnosis (AVN).
4. Ramage SC, Urban NH, Jiranek WA, Maiti A, Beckman MJ. Expression of RANKL in osteolytic membranes: association with fibroblastic cell markers. J Bone Joint Surg Am
2007;89-A(4):841โ848.
Structured oral examination question 7
EXAMINER: This is a radiograph of a 68-year-old woman who has been referred up to the orthopaedic clinic by the physiotherapist-led musculoskeletal clinic with an 18-month history of left hip pain and difficulty walking. (Figure 2.12.)
CANDIDATE: This is an anteroposterior (AP) radiograph of the pelvis demonstrating a coarsened trabecular pattern of the left hip, a thickened left cortex compared with the opposite hip, and increased density of the left hip compared with the right side. Both iliopectineal (Brim sign) and ilioischiatic lines are thickened. There is sclerosis involving the left pelvis (ileum, ischium and pubic rami), left femur and lower lumbar spine. The radiograph is highly suspicious of Pagetโs disease.
Differential diagnosis would include other causes of increased and disorganized bone turnover such as sclerotic bony metastasis (prostatic carcinoma), renal osteodystrophy, fibrous dysplasia, multiple myeloma, lymphoma, osteopetrosis and hyperparathyroidism.
CANDIDATE: Pagetโs disease is a metabolic bone disorder of unknown aetiology characterized by a disorganized increase in osteoclastic bone resorption and compensatory osteoblastic new bone formation. There is accelerated but chaotic bone remodelling in which the bone is biomechanically weak and prone to deformity and fracture.
The disease can be divided into three major phases, lytic, mixed lytic/sclerotic and sclerotic, each of which is

Figure 2.12 Anteroposterior (AP) radiograph demonstrating Pagetโs disease of the left hemipelvis.
associated with distinctive clinical, radiological and pathological features.
CANDIDATE: The primary abnormality of Pagetโs disease is an intense focal resorption of normal bone by abnormal osteoclasts. These osteoclasts are abnormal in size, activity and quantity. The abnormal osteoclasts make large resorption cavities in the bone matrix. In response to the osteoclast resorption, osteoblasts are recruited, resulting in bone formation. The osteoblast activity is rapid such that the newly formed bone is not organized and remains irregular and woven in nature, less resistant and more elastic than typical lamellar bone; prone to deformity and fracture.
CANDIDATE: Radiographic features of Pagetโs include: Advanced disease in the long bones is characterized by coarsened trabecula, bony sclerosis, bony enlargement and deformity. A โcandle flameโ or โblade of grassโ sign represents a wedge- or V-shaped pattern of advancing lysis in the diaphysis of long bones. The femur develops a lateral curvature whilst the tibia develops an anterior curvature that may result in fracture. Fine cracks may appear (stress fractures) which resemble Looser zones but occur on the convex bone surface.
Lateral radiographs of the lumbar spine demonstrate a โpicture-frameโ vertebral body that is secondary to severe osteoporosis centrally and a thickened, sclerotic cortex.
The skull is involved in 29โ65% of cases. Inner and outer table involvement leads to diploic widening. Osteoporosis circumscripta is a well-defined lysis, most commonly involving the frontal bone, producing well-defined geographic lytic lesions in the skull. It is seen in the early or lytic phase, when osteoclastic resorption overwhelms bone production. At a later stage a โcotton wool appearanceโ represents mixed lytic and blastic pattern of thickened calvarium.
Protrusio deformity of the pelvis is a common occurrence with advanced Pagetโs disease.
CANDIDATE: The aetiology of Pagetโs disease is still unknown. Proposed theories include viral, genetic and environmental causes. Paramyxoviruses such as measles virus, respiratory syncytial virus, and canine distemper virus have been implicated. Electron microscopy has shown virus-like structures that resemble the paramyxovirus in osteoclast nuclei and cytoplasm of cells affected by Pagetโs disease. However, more recent studies have been unable to confirm the presence of specific viral antibodies in patients with Pagetโs disease. Environmental factors implicated include high levels of arsenic and an uncertain association with cats and dogs. Genetically 5โ40% of patients have first-degree relatives with the disease.
CANDIDATE: Complications of Pagetโs disease include: Compression fractures of the vertebral body (commonest complication of spinal Pagetโs).
Pagetic spinal stenosis, defined as compression of the spinal cord, cauda equina or spinal nerves by expanded pagetic bony tissue of the spine. Most common in the lumbar region and typically single level causing cord or nerve root compression.
An enlarged and deformed skull can lead to increased intracranial pressure, hydrocephalus or cranial nerve deficits such as facial palsy (narrowing of neural foramina), hearing loss or blindness (pressure on optic nerve).
High cardiac output secondary to increased bone vascularity
(rare).
Insufficiency fractures.
Osteosarcoma, chondrosarcoma, malignant fibrous histiocytoma and giant cell tumours all have been reported with Pagetโs disease.
CANDIDATE: The indications are similar to non-Pagetoid disease. It is important to make sure that the pain is arising from the joint surface and not the bone. Bone pain with active Pagetโs is suggested by an increased alkaline phosphatase value. It is also important to exclude insufficiency fractures, neurological compression in the spine or Pagetโs sarcoma as a cause of pain.
CANDIDATE: Patients with active Pagetโs disease have a raised alkaline phosphatase (AlkPhos) and urine hydroxyproline values. The higher the level the more active the disease is. Patients with very high AlkPhos levels are thought to be at higher risk of bleeding and heterotrophic ossification formation.
CANDIDATE: I would make a referral to one of my rheumatoid colleagues for a Pamidronate (Aredia) injection. This is a bisphosphonate, which is a potent inhibitor of osteoclastic activity, and hence bone resorption. This reduces bone vascularity and bleeding and possibly the incidence of heterotopic ossification.
EXAMINER: What are the technical issues of performing THA in
CANDIDATE: There is tendency for excessive bleeding at surgery due to increased vascularity. Blood should ideally be crossmatched or at the least available from a group and save within 10 minutes. Bone can be very hard and sclerotic making it difficult to ream and broach. Burrs may be needed to enter the bone prior to reaming and/or broaching. Varus deformity of the proximal end of the femur predisposes to varus placement of the femoral component.
Protrusio as we have mentioned is a common finding and I would consider using bone graft medially to compensate. Some surgeons use lateral offset liners and antiprotrusio cages although this complicates surgery.
As Pagetโs bone is brittle there is a higher risk of both intraoperative and postoperative fracture.
There is some controversy as to whether there is an increased risk of heterotopic ossification occurring from the abnormalities of osteogenic differentiation in Pagetโs disease patients. Some surgeons routinely give prophylaxis to reduce
the risk of HO. [Candidate score 6]
EXAMINER: There is a bit more than that when planning THA.
CANDIDATE: As bone pain is common in Pagetโs disease and does not necessarily improve with THA a diagnostic local anaesthetic injection to rule out concurrent bone pathology may be indicated. It is also important to exclude referred pain from spinal stenosis or radiculopathy and other causes of musculoskeletal pain.
Good quality, full-length radiographs to assess the degree of deformity and the extent of bone involvement.
Radiographs should be scrutinized for the presence of a stress fracture that could account for hip pain. The fractures may be in the region of the femoral neck, intertrochanteric area or femoral shaft. They usually present as incomplete or fissure fractures on the tension side of the bone. Unrelenting hip pain and radiographic bone destruction suggest sarcomatous change.
Consider using cell salvage, hypotensive anaesthesia and predonation of autologous blood if intraoperative blood loss is anticipated to be high with active disease. Concurrent osteotomy may be needed if component alignment is difficult. Marked protrusio can make hip dislocation very difficult.
CANDIDATE: In the majority of patients with Pagetโs THA can be performed without need for osteotomy. However, if deformity is severe, precluding implantation with a standard stem, then planning for reduction osteotomy to correct the deformity and/or the use of modular stems must be made preoperatively.
CANDIDATE: Although there has been a trend in recent years to use uncemented components in Pagetโs disease in this patient I would use a cemented THA. She is 68 and has Pagetโs disease and I think it is a reasonable option in this situation. If the patient is younger then the choice becomes more controversial. Although previous studies have recommended the use of cement in the last 20 years there has been a trend to use uncemented components. The worry that the altered morphology of pagetoid bone adversely influences ingrowth into cementless implants has not been borne out in practice. The biology of bone ingrowth for initial fixation of uncemented components depends, in part, on the ability of bone to proceed through the early phase of fracture healing.
Patients with Pagetโs disease are not known to have compromised ability for fracture healing and these patients progress through the biological process of fracture healing at normal speed.
Parvizi et al. reported on 21 cementless THA implanted against pagetoid bone; all were stable and demonstrated radiographic evidence of ingrowth at 7-year follow-up.1 Lusty et al. from Sydney, Australia reported medium-term results of 23 uncemented THA at 6.7-year follow-up.2 There were three revisions, one stem for aseptic loosening and two stems after periprosthetic fracture.
Some surgeons prefer cementless components especially when bone is very sclerotic or a concurrent osteotomy is done. Extremely sclerotic bleeding bone will make interdigitation of cement difficult and cement extravasation into the fracture gaps may occur after osteotomy. If using a cementless cup the use of adjuvant acetabular screws is recommended.
CANDIDATE: There is a reported greater incidence of heterotopic ossification.
CANDIDATE: Dislocation.
EXAMINER: No, I am not aware of an increased risk of dislocation. However, several studies have documented osteolysis following THA in patients with Pagetโs disease.3 This is thought to be related to the increased metabolic turnover of the pathological bone. Other authors have reported that osteolysis is not a problem following THA in Pagetโs disease.4
Other complications include periprosthetic fracture around total hip implants, and the continuation of bone pain following arthroplasty, microfractures and malignant transformation to osteosarcoma.
Gold medal
CANDIDATE: Causes identified include:
1. Osteoclastic precursors are hypersensitive to calcitriol (1,25 (OH) 2D3).
2. Osteoclasts are hyper-responsive to RANK ligand (RANKL), the osteoclast stimulatory factor that mediates the effects of most osteotropic factors on osteoclast formation.
Endnotes
1. Parvizi J, Schall DM, Lewallen DG, Sim FH. Outcome of uncemented hip arthroplasty components in patients with Pagetโs disease. Clin Orthop Relat Res 2002;403:127โ134.
2. Lusty PJ, Walter WL, Walter WK, Zicat B. Cementless hip arthroplasty in Pagetโs disease at medium-term follow-up (average of 6.7 years). J Arthroplasty 2007;22(5):692โ696.
3. Alexakis PG, Brown BA, Howl WM. Porous hip replacement in Pagetโs disease: an 8โ2/3-year follow-up. Clin Orthop Relat Res 1998;350:138โ142.
4. LudkowskiP, Wilson-MacDonald J.Total arthroplastyinPagetโs disease of the hip: a clinical review and review of the literature. Clin Orthop Relat Res 1990;255:160โ167.
Structured oral examination question 8
When reviewing various hip topics to include in this chapter DDH was the most common viva question that was regularly asked in the oral viva examination in the last 15 years. We would guess this is because it is a fairly common hip condition with a lot to talk about. The story can go in many different directions.
EXAMINER: These are the anteroposterior (AP) radiographs of a
CANDIDATE 1: The AP radiographs demonstrate a severely dysplastic hip on the right side with secondary OA changes. On the left side again there is dysplasia but to a lesser degree with again secondary OA changes present.
[Candidate score 5]
CANDIDATE 2: This is an AP radiograph of the hips and pelvis of a 66-year-old woman taken on the 16/5/11, which demonstrates severe bilateral dysplasia.1 There is a high

Figure 2.13 Anteroposterior (AP) radiograph of the pelvis of severe bilateral developmental dysplasia of the hip (DDH).
dislocation on the right side, Crowe IV or Hartofilakidis III hip. There is no contact between the true and false acetabulum. The femoral head appears poorly developed and probably absent with the femoral neck articulating against the iliac crest. The view of the proximal portion of the femoral canal on the right side suggests a very narrow medullary canal. On the left side there is a Crowe III hip or Hartofilakidis II hip. There is a low dislocation and secondary osteoarthritis.2
[Candidate score 6โ7]
EXAMINER: The left side is a Hartofilakidis I hip as the femoral head is still contained within the original acetabulum. With a low dislocation the femoral head is in contact, at least in part, with the true acetabulum and in this situation this is the most severe deformity. In high dislocation, the femoral head and acetabulum make no contact and the head has migrated superiorly and posteriorly. Often in this situation, the true acetabulum is reasonably well preserved although underdeveloped and osteoporotic.3
CANDIDATE: Dysplasia is lack of coverage of the femoral head, whether it is subluxed or dislocated.
CANDIDATE: Crowe classified dysplasia radiographically into four categories based on the proximal migration of the femoral head. The migration is calculated on an AP radiograph by measuring the vertical distance between the inter-teardrop line and the junction between the femoral head and medial edge of the neck.
Crowe I is less than 50% subluxation, Crowe II hips have between 50% and 75% subluxation.
CANDIDATE: [Sharp intake of breath, shaking of head and then silence.] No.
CANDIDATE: I have but I canโt remember the specifics.
EXAMINER: The Hartofilakidis classification system divides DDH in adults into three types: dysplasia, low dislocation and high dislocation. Many surgeons prefer this system, as it is more practical and simpler to use.
CANDIDATE: The anatomical differences are divided into acetabular, femur and soft tissue issues. The acetabulum is shallow and anteverted; the femur has a small deformed head and short anteverted valgus neck.
CANDIDATE: Muscles around the hip are usually shortened and er, er ...
EXAMINER: The greater trochanter is small and posteriorly displaced, the femoral canal narrow, the acetabulum is usually small with poor bone quality, hip capsule elongated and redundant, psoas tendon hypertrophied and abductors orientated transversely as a result of the superior migration of the femoral head. The femoral and sciatic nerves may be shortened and therefore more vulnerable to injury during arthroplasty surgery.
EXAMINER: What is the role of a CT scan in planning an operation for DDH?4
CANDIDATE 1: CT scans can be used to determine the available acetabular coverage and to estimate the degree of femoral anteversion.
CANDIDATE 2: CT scans are useful in assessing available bone stock, and the morphology, dimensions and orientation of both the acetabulum and femur.
Any leg length discrepancy can be precisely evaluated and allow for design of custom femoral implants.
Various measurements include: femoral neck shaft angle, anteversion of the femoral neck, medial head offset, position of the isthmus and height can be measured.
The AP size of the acetabulum as measured by CT is often different from the supero-inferior size evaluated on plain radiographs.
Proximal femoral anteversion is calculated by measuring the angle between the posterior bicondylar axis and the mediolateral dimensions of the medullary canal 20 mm above the lesser trochanter.
CANDIDATE: In the acetabulum following the abnormal anatomy too closely might lead to anterior instability if the cup is overanteverted. It is important to recognize that a substantial amount of acetabular anteversion and deformity can be present with a relatively normal-looking AP pelvic radiograph.
In addition femoral anteversion may be difficult to recognize. Even in normal-looking AP radiographs a significant amount of anteversion may be present. Attempting to implant an uncemented stem in a deformed anteverted femur may result in a proximal femoral fracture.
CANDIDATE: Crowe type II and III hips have a marked
superolateral rim deficiency and anterior wall defect. Bulk autografting of the superolateral acetabulum with bone from the femoral head can be used to increase the cover and stability of the acetabular component. The graft and its bed need careful preparation, stable fixation and precise positioning. Graft resorption can occur leading to cup migration and loosening.
Although it is technically difficult for anatomical placement of the acetabular component the forces on the THA are significantly reduced. Linde et al. found a 42% rate of loosening of cemented Charnley components after a mean of 9 years if the component was positioned outside the true acetabulum compared with 13% if placed inside.5,6
CANDIDATE: A small, uncemented cup can be placed in a high hip centre location. In this position the cup is completely covered with host bone and avoids the need for grafting. Disadvantages include decreased polyethylene thickness associated with a small acetabular component, difficulties with correction of leg length inequality and altered hip biomechanics. Hip instability is increased due to
the use of a small femoral head component along with the risk of femoralโpelvic impingement either in flexion or extension.
CANDIDATE: Cotyloplasty involves a deliberate fracture of the medial wall of the acetabulum in order to place the acetabular component within the available iliac bone. The acetabulum is advanced medially by the creation of a controlled comminuted fracture of the medial acetabular wall. Mixed results have been reported but there is a worry that future revisions may be difficult because issues with restoration of bone stock have not been addressed.7
CANDIDATE: On the acetabulum side the position of the true acetabulum should be identified and a decision made whether to restore the acetabulum to its true position or not. The degree of anteversion of the acetabulum should be defined as well as the adequacy of bone stock for satisfactory cup fixation and coverage.
Preoperative planning would also include an estimation of the acetabular component size, the preferred method of fixation (cement/uncemented) and need for bone graft.
On the femoral side the size of the femoral canal and the need for special or custom implants should be assessed.
The need for femoral shortening should be made preoperatively. The method and amount of femoral shortening needs to be worked out beforehand.
Preoperative planning should also include the surgical approach to be used, solutions to deal with the hypoplastic acetabulum and femur, management of LLD and restoration of abductor function.
EXAMINER: What is the effect of anteversion of the femoral stem on THA?8
CANDIDATE: When there is more than 40 of anteversion, a corrective rotational osteotomy or a modular implant in which the version of the femoral neck can be varied may be necessary.
EXAMINER: Thatโs not really the question I asked.
CANDIDATE: A large amount of femoral anteversion increases the risk of dislocation.
EXAMINER: Thatโs correct but not the whole story. You have already partly answered the question earlier on.
CANDIDATE: I am sorry, I donโt understand.9
EXAMINER: Attempting to implant an uncemented stem in a deformed femur may result in a proximal femoral fracture. In this situation you may want to use either a cemented or modular stem that allows control of anteversion. Also excessive anteversion of the femoral component can lead to internal rotational contracture of the hip.
CANDIDATE: With Crowe type III and IV hips if the cup is placed in the anatomical position femoral shortening is required. Without femoral shortening it is very difficult to reduce the prosthetic head into the acetabular component because of soft tissue contractures.
If one attempts to fully correct a significant leg length discrepancy a sciatic nerve palsy may occur. If permanent this can be a disabling complication from surgery and which patients are less willing to accept these days. The exact amount of lengthening that results in sciatic nerve palsy is not known. Acute limb lengthening of more than 2โ4 cm during arthroplasty is associated with an increased risk of neural injury. Therefore as a general rule the hip should be lengthened the minimum amount required to re-establish reasonable function and hip stability. Any lengthening more than 4 cm becomes very risky for a sciatic nerve injury and is generally not advised.
Shortening is performed either by sequential resecting of the proximal femur or by performing a shortening subtrochanteric osteotomy.
Sequential proximal resection results in a small straight femoral tube with a small metaphyseal flare which is usually unsuitable for an uncemented femoral implant. Typically a small cemented DDH stem needs to be used with a straight proximal medial geometry and without a metaphyseal flare.
Advantages of a subtrochanteric shortening osteotomy include preservation of the metaphyseal femoral region (which provides most of the rotational stability of the implant) and allowing concomitant correction of angular and anteversion deformities. It is technically difficult and there is a risk of non-union.
CANDIDATE: Different subtrochanteric osteotomy geometries can be used. These include transverse, oblique, stepcut and double Chevron osteotomies. A transverse osteotomy is simplest and the resected bone can be used as an onlay graft.
Avoiding the use of a cemented stem prevents the risk of the cement interfering with healing of the osteotomy site. A press fit achieves distal fixation of the prosthesis. Strut allograft and circlage cables may also be needed for support.
CANDIDATE: Two major concerns are deficient acetabular bone stock and the position of the acetabular cup particularly if the centre of the hip has not been restored during the primary procedure.
Several surgeons have advocated the use of a high hip centre in order to take advantage of the remaining bone stock and to avoid the use of a structured graft.
However, a high hip centre does not correct leg length discrepancy, does not provide good bone stock for revision hip surgery and is associated with early acetabular loosening and a higher rate of dislocation because of ischial impingement.
The pattern of bone loss associated with DDH is a reduced AP diameter combined with poor superior support. This loss is further increased by surgical bone loss at the time of the index operation, migration of the cup and osteolysis.
Bone graft would need to be ordered along with special equipment such as universal screwdrivers, screw extractors, high speed burrs and metal cutters.

Endnotes
1. It is not unreasonable to mention the patientโs age and when the radiograph was taken to the examiners with the first radiograph shown in the viva exam. Just like the trauma viva and the โI would initially manage the patient with the ATLS protocolโ if you keep repeating the catch phrase it will severely annoy the examiners. Once is reasonable to let the examiners know it is part of your standard practice. Any more is irritating and wastes time.
2. The score is 6โ7, as the candidate didnโt classify the left side correctly. If the candidate had correctly identified a Hartofilakidis I hip it would be more towards a 7โ8 mark. The candidate would have correctly used two classification systems to grade the severity of the DDH. He or she has already pre-empted questions on DDH classification.
3. The examiners have the answers in front of them so it is easy for them to point out the differences between a Hartofilakidis I hip and Hartofilakidis II hip. Unless they had a hip interest the examiners probably wouldnโt be familiar with this depth of knowledge in everyday clinical practice. Expanding on this it would then be fair to say this level of knowledge is probably not needed as the viva attempts to standardize answers to a newly qualified day one consultant in a DGH. These are guidelines but unfortunately in real life the exam is an artificial situation and never quite that straightforward.
4. This is probably one of the pre-agreed oral viva questions that the examiners need to ask. The examiners have a set standard answer with various bullet points provided so as to be able to mark candidates accordingly.
5. LindeF,JensenJ,PilgaardS.Charnleyarthroplastyinosteoarthritis secondary to congenital dislocation or subluxation of the hip. Clin Orthop 1988;227:164โ171.
6. The candidateโs answer isnโt particularly well structured.
7. Candidates can either volunteer this extra information or perhaps wait for the examiners to ask it!
8. Technically the candidate hasnโt really answered the question.
9. The candidate is not quite getting what the examiner wants and has just gone a bit blank in the stress of the moment.
Section 2 Adult Elective Orthopaedics and Spine
Chapter Knee structured oral questions
3 Michael Maru and Deiary F. Kader
Structuredoralexaminationquestion1: TKR in valgus knee
EXAMINER: This is a radiograph of a 72-year-old lady complaining of pain and gradual deformity of both knees. She has been referred to your clinic to be considered for total knee arthroplasty. What can you see? (Figure 3.1.)
CANDIDATE: These are weightbearing anteroposterior (AP) views of a 72-year-old lady demonstrating narrowing of joint spaces with bone-on-bone contact in the lateral compartments of both knees. There is early arthrosis affecting the medial compartments of both knees. There is moderate valgus deformity.
CANDIDATE: The valgus deformity of the knee with arthritis is commonly seen in women and in inflammatory joint conditions such as rheumatoid arthritis. It can also occur in primary osteoarthritis, overcorrection of high tibial osteotomy (HTO), post-traumatic arthritis following lateral meniscectomy and osteonecrosis.
CANDIDATE: The preoperative assessment should include a thorough history and examination to establish if there are any predisposing factors such as rheumatoid arthritis and the success of non-surgical management. The competency of the knee collateral ligaments and degree of deformity correction should be assessed in order to plan on type of implants. I would use a medial parapatellar because this gives good access to the whole knee and better soft tissue cover. I am aware that a lateral approach can also be used.
CANDIDATE: It is a direct approach providing easier access and preserves the neurovascular supply to the extensor mechanism.
EXAMINER: Tell me more about the intraoperative considerations.
CANDIDATE: In valgus knees the lateral femoral condyle is deficient, therefore the femur is internally rotated and tibia is externally rotated. The medial structures are stretched while lateral and posterior structures are contracted. The vastus lateralis acts as a subluxing or dislocating force to the patella. In mild valgus deformity (7โ10) a distal femoral cut of 7 can improve patella tracking and avoid the need for lateral retinacular release. Due to the posterior femoral condyle deficiency, the standard 3 posterior condylar referencing can result in internal rotation of the component. In this situation,


Postgraduate Orthopaedics: Viva Guide for the FRCS (Tr & Orth) Examination, ed. Paul A. Banaszkiewicz and Deiary F. Kader. Published by Cambridge University Press. ยฉ Cambridge University Press 2012.
Figure 3.1 Anteroposterior (AP) radiograph bilateral knees.
AP axis (Whiteside line) is used to prevent malrotation in the form of internal rotation. Patients with severe valgus deformity usually require lateral retinacular release to achieve proper patella tracking. With regards to flexionโextension gap, the release of lateral and posterior structures results in increased extension gap requiring a thicker insert which may elevate the joint line. Excessive PCL release usually requires cruciate sacrificing implants in order to balance the knee. With correction of significant valgus deformity, one has to watch for peroneal nerve palsy in the postoperative period.
Arima J, Whiteside LA, McCarthy D, White SE. Femoral rotational alignment based on the AP axis, in TKR in a valgus knee. J Bone Joint Surg Am 1995;77:1331โ1334.
Structuredoralexaminationquestion2: Meniscus โ basic science
EXAMINER: Tell me about the anatomy and function of the meniscus.
CANDIDATE: The menisci are crescentic cartilaginous structures interposed between the tibia and femoral condyles. They are triangular in cross-section. The peripheral borders are attached to the joint capsule. The medial meniscus is nearly semicircular with a wider posterior than anterior horn. This is attached anterior to the ACL insertion while the mid aspect is firmly attached to the deep MCL. The lateral meniscus is nearly circular with a larger surface than medial meniscus. The posterior horns of both menisci attach to the posterior intercondylar eminence. The attachment of the lateral meniscus to the capsule is interrupted by the popliteus tendon. Due to the loose attachment to the capsule, the lateral meniscus has twice the excursion of the medial meniscus. The anterior horns of both menisci are connected by intermeniscal ligaments.
Histologically, the menisci have an extracellular matrix composed mainly of water (70%) and primarily type 1 collagen fibres (60%), proteoglycans, elastin and glycoproteins.The main cellular component is the fibrochondrocytes that synthesize and maintain extracellular matrix. The blood supply to the meniscus comes from the lateral, middle and medial geniculate vessels with 20โ30% of the peripheral portion being vascular. The main functions of the menisci are load transmission with estimated 50% in extension and 85% in flexion, joint conformity and articular congruity, distribution of synovial fluid aiding nutrition and joint lubrication. The menisci also have proprioceptive function, act as shock absorbers and prevent soft tissue impingement during joint motion.
CANDIDATE: The menisci are relatively avascular structures with peripheral blood supply from the premeniscal capillary plexus formed by branches from lateral and medial geniculate vessels. Studies have shown that the degree of peripheral vascular penetration is 10โ30% of medial meniscal width and 10โ25% of lateral meniscal width. This gives rise to the three zones of meniscal vasculature from peripheral to central, namely redโ red, redโwhite and whiteโwhite. Therefore, peripheral tears are suitable for repair while central tears are not suitable due to lack of healing capacity.
Arnoczky SP, Warren RF. Microvasculature of the human meniscus. Am J Sports Med 1982;10:90โ95.
EXAMINER: These are images belonging to a young professional footballer. What can you see? (Figure 3.2.)
CANDIDATE: This is a T2-weighted MRI of the knee showing sagittal and coronal images. There is absence of โbow tie signโ of the medial meniscus and there is โdouble PCL signโ suggestive of bucket-handle tear of medial meniscus.
CANDIDATE: I would start by taking a detailed history and clinical examination ... [Examiner interrupts]
EXAMINER: How would you treat this patient? [Examiner getting impatient]
CANDIDATE: I would offer this patient EUA, arthroscopy, repair or excision of bucket-handle tear.
CANDIDATE: The four main meniscal repair methods are open repair, inside out, outside in and all inside. The โoutside inโ method is versatile and safe. [Examiner interrupts again] EXAMINER: Letโs move on ...
Structuredoralexaminationquestion3: Infected total knee arthroplasty (TKA)
(a) (b) Figures 3.2a and 3.2b T2-weighted
sagittal and coronal MRI scan images of knee.
(a) (b) Figures 3.3a and 3.3b Anteroposterior
(AP) and lateral radiographs of left TKA.
EXAMINER: A 78-year-old lady who underwent left TKA 2 years ago is referred to your Painful Arthroplasty Clinic because of increasing pain, stiffness and recurrent swelling of the left knee for 4 months. Prior to onset of symptoms, she was very active and enjoyed long-distance walking. She is systemically well. These are the plain radiographs. (Figure 3.3.)
CANDIDATE: This is an AP and lateral radiograph showing a cemented cruciate sacrificing total knee arthroplasty taken on 16/8/11. There is an area of subchondral radiolucency underneath the medial side of the tibial component. There is no obvious periosteal reaction. Both components appear to be well fixed. I would like to see the initial postoperative radiograph and compare it with the most recent radiograph.
CANDIDATE: I would start by taking a detailed history of the perioperative events, general health as well current problem. I would like to know the date of index operation,
if there was prolonged discharge from the wound, redness or persistent swelling in the immediate postoperative period. A pain-free interval after the operation followed by sudden deterioration may be suggestive of haematogenous spread precipitated by bacteraemia from UTI, URTI or dental procedure. I would also like to know the pattern of pain: mechanical or non-mechanical and whether itโs relieved by rest. The clinical examination should be focused on identifying instability and localizing the problem.
CANDIDATE: My working diagnosis is infected TKA. My main differential diagnoses are aseptic loosening, inflammatory arthropathy in a prosthetic joint, instability and malalignment.
CANDIDATE: I would start with routine blood investigations including CRP and ESR.
CANDIDATE: In a recent systematic review in the American JBJS by Berbari et al., the pooled sensitivities for ESR and CRP were 75% and 88% respectively while the pooled specificities were 70% and 74% respectively. The study also reported that interleukin 6 (IL-6) level assay was more sensitive and specific at 97% and 91% respectively. If the blood inflammatory markers are elevated, I would proceed with radioisotope bone scan and arrange for alignment check under image intensifier and joint aspiration in theatre.
CANDIDATE: I am aware of the AAOS clinical guideline practice summary for diagnosis of periprosthetic joint infection of the knee. The working group strongly recommend:
Testing ESR and CRP.
Joint aspiration.
The use of intraoperative frozen sections.
Obtaining multiple intraoperative cultures.
Against initiating antibiotic treatment until after cultures. Against the use of intraoperative Gram stain.
Nuclear imaging was weakly recommended as an option in patients in whom diagnosis of periprosthetic joint infection has not been established and who are not scheduled for re-operation.
Berbari E, Mabry T, Tsaras G et al. Inflammatory blood laboratory levels as markers of prosthetic joint infection: a systematic review and meta-analysis. J Bone Joint Surg Am 2010;92-A:2102โ2109.
Della Valle C, Parvizi J, Bauer TW et al. Diagnosis of periprosthetic joint infections of the hip and knee. J Am Acad Orthopaed Surg 2010;18(12):760โ770.
EXAMINER: Letโs say the aspiration yields heavy growth of
CANDIDATE: With raised inflammatory markers and a positive bone scan and aspiration, I would offer this patient two-stage revision total knee replacement. I have opted for two-stage procedure because the investigations show severe infection caused by a virulent organism. The first stage would be extraction of the implants, debridement of joint and bone followed by application of antibiotic-loaded spacer. Antibiotic treatment depending on sensitivity is started after the first
stage usually for a period of 4โ6 weeks with close monitoring of CRP and ESR as well as clinical progress. The timing of the second stage depends on achieving normal CRP and ESR, healing of wounds or sinus and general well-being of the patient. Recent studies have shown that two-stage revision has better infection eradication rate and no difference in clinical outcome (knee scores, range of motion) compared with single stage (Jรคmsen et al.). Some of the disadvantages of two-stage revision are soft tissue scarring, dislocation of spacers, disuse atrophy and loss of bone density which makes the secondstage procedure difficult. I am aware that some surgeons have reported encouraging results from single-stage revision such as Buechel et al. who reported infection eradication rate of 90.9% over an average follow-up of 10.2 years. This compared favourably with the results of two-stage revision surgery while remaining cost-effective. However, I believe that single-stage revision should be reserved for cases where the organism and its sensitivities are known and it is of low virulence; in the very elderly patients and those with multiple medical problems.
[Debrief: The examiner has allowed the candidate to talk about the topic without interrupting.]
Jรคmsen E, Stogiannidis I, Malmivaara A et al. Outcome of prosthesis exchange for infected knee arthroplasty: the effect of treatment approach. Acta Orthop 2009;80 (1):67โ77.
Buechel FF, Femino FP, DโAlessio J. Primary exchange revision arthroplasty for infected total knee replacement: a long-term study. Am J Orthop (Belle Mead NJ) 2004;33 (4):190โ198; discussion 198.
Structuredoralexaminationquestion4: Unicondylar knee arthroplasty (UKA) versus high tibial osteotomy (HTO)
(Figure 3.4.)
CANDIDATE: This is a weightbearing AP radiograph of left knee demonstrating moderate medial compartment osteoarthritis. The lateral compartment appears normal. There is a varus deformity of less than 10. I would like to take a history and examine the patient. The examination is focused mainly on localizing the tenderness, range of motion, if the varus deformity is correctable and stability of knee.
Figure 3.4
Anteroposterior (AP) radiograph left knee.
CANDIDATE: The options of surgical management once conservative measures have failed include HTO, unicondylar knee arthroplasty or total knee replacement. Since this patient has a high-demand physical job, I would offer him HTO.
CANDIDATE: A physiological age of < 60 years, fixed varus deformity < 15 or valgus deformity < 12, fixed flexion deformity of < 15, > 90 flexion.
CANDIDATE: The main contraindications are inflammatory arthropathy such as rheumatoid arthritis and psoriatic arthropathy, incompetent medial collateral ligament or ACL, large varus thrust with coronal subluxation of > 1 cm, severe OA of medial compartment or lateral compartment/PFJ and more than 20 of correction. Obesity is also a contraindication because valgus knee is poorly tolerated due to medial thigh contact.
CANDIDATE: I would explain to the patient that UKA is an option; however, I would not recommend UKA for this particular patient because the highly physically demanding job could result in accelerated wear of UKA.
CANDIDATE: The indications and prerequisites for HTO and
UKA are more or less the same. However women prefer the UKA because they do not tolerate the angular deformity created by HTO very well. In addition, patients who have low physical demand may benefit from UKA.
CANDIDATE: Yes. A recent review by Dettoni et al. reported that a few studies show slightly better results for UKA in terms of survivorship and functional outcome. Nevertheless, the differences are not remarkable, the study methods are not homogeneous and most of the papers report on closing wedge HTOs. They concluded that with the correct indications, both treatments produce durable and predictable outcomes in the treatment of medial unicompartmental arthrosis of the knee. There is no evidence of superior results of one treatment over the other.
Dettoni F, Bonasia DE, Castoldi F et al. High tibial osteotomy versus unicompartmental knee arthroplasty for medial compartment arthrosis of the knee: a review of the literature. Iowa Orthop J 2010;30:131โ140.
CANDIDATE: I am conversant with closing wedge osteotomy. This was considered the gold standard in the past and may entail proximal fibular osteotomy or disruption of tibialโfibular joint. It has the risk of peroneal nerve injury, there is also loss of bone stock making it technically difficult to perform TKA. Due to these reasons, the open wedge osteotomy has become popular recently even though it has the disadvantage of having to use bone graft and late collapse with loss of correction. No conclusions can be drawn on which techniques are to be preferred when comparing between closing wedge with opening wedge as none has shown significantly better outcome over the other.
Amendola A, Bonasia DE. Results of high tibial osteotomy: review of the literature. Int Orthop 2010;34(2):155โ160.
EXAMINER: You mentioned difficulty with conversion of HTO to TKA. Tell me more about this.
(a) (b) Figures 3.5a and 3.5b Anteroposterior
(AP) and lateral radiographs UKA.
CANDIDATE: Before the introduction of internal fixation and early motion in HTO, cast immobilization was part of the postoperative treatment and this resulted in patella baja following a lateral closing wedge osteotomy. This complication was probably due to contracture of the patellar tendon during cast immobilization. More recent studies show that closing wedge osteotomy increases patellar height, whereas opening wedge osteotomy lowers patellar height and this can have implications following TKA. Van Raaij et al. performed a systematic review and reported prolonged surgical time, extra-operative procedures and less postoperative knee range of motion (ROM), but no increase in revision surgeries for patients receiving TKA after prior HTO compared with patients receiving primary TKA.
van Raaij TM, Reijman M, Furlan AD, Verhaar JAN. Total kneearthroplastyafterhightibialosteotomy. Asystematic review. BMC Musculoskeletal Disord 2009;10:88.
Structuredoralexaminationquestion5: Unicondylar knee arthroplasty (UKA) versus total knee replacement (TKR)
(Figure 3.5.)
CANDIDATE: Non-weightbearing AP and lateral radiographs of 54-year-old man showing a left medial UKA in situ. The components look well fixed and aligned. There are no obvious periprosthetic fractures. The lateral compartment and PFJ look relatively normal.
CANDIDATE: (A bit hesitant and moves closer to the computer screen. This is followed by period of silence before the examiner prompts.)
CANDIDATE: There is a faint radio-opaque line behind the femoral component. I would like to compare this with previous radiographs. The history and radiographs are suggestive of dislocation of mobile bearing spacer.
CANDIDATE: Some of the advantages of UKA are: Preservation of bone stock.
Faster recovery and return to normal function.
Prevention of PFJ overload.
Retention of knee kinematics and increased flexion.
Less blood loss, infection rate and reduced risk of thromboembolism.
Easier revision to TKA than HTO.
CANDIDATE: Careful patient selection for UKA is critical if consistent and reliable results are to be obtained. In the early 1980s UKA became gradually unpopular mainly because of poor results due to poor patient selection, operative technique and polyethylene wear. With improvement in patient selection, operative technique and prosthesis design, the results of UKA became comparable to TKA. Latest reports show highly satisfactory survival rate and patient satisfaction for UKA particularly in activities requiring ROM such as going down stairs and kneeling. In a recent report from the Finnish Arthroplasty Registry, Koskinen et al. published a 10-year survival rate of between 53% and 81% depending on prosthetic model implanted. The UK National Joint Registry (NJR) 8th Report showed an overall 5-year revision rate of TKA and UKA of 3% and 9.4% respectively.
Koskinen E, Paavolainen P, Eskelinen A, Pulkkinen P, Remes V. Unicondylar knee replacement for primary osteoarthritis. A prospective follow-up study of 1,819 patients from the Finnish Arthroplasty Register. Acta Ortho Scand 2007;78(1):128โ135.
UK National Joint Registry (NJR) 8th Report. 2011;
Structuredoralexaminationquestion6: Anterior cruciate ligament (ACL) and posterior cruciate ligament (PCL) reconstruction
EXAMINER: These images belong to a 26-year-old rugby player. He gives a history of falling awkwardly on to his left knee after a heavy tackle. What can you see? (Figure 3.6.)
CANDIDATE: These are plain radiographs and MRI of the right knee. The most obvious abnormality is cortical disruption at the site of PCL insertion with displaced avulsed fragment. The lateral radiograph shows this is a large fragment which is displaced into the joint.
CANDIDATE: I would offer this patient reattachment of the PCL avulsion through open procedure.
CANDIDATE Posterior approach.
EXAMINER: Tell me about posterior approach to the knee.
CANDIDATE: The indications include removal of popliteal cysts and neoplasms, posterior synovectomy, open reduction and internal fixation of posterior tibial plateau shear fractures, fixation of bone avulsions associated with a posterior cruciate ligament (PCL) injury, repair of posterior vascular injuries, and more recently, posterior inlay PCL reconstructions. The patient is usually positioned prone with tourniquet high up in the thigh. The lazy S-shaped incision is made starting posterolaterally along the border of biceps femoris tendon crossing the popliteal fossa and ending posteromedially at the posterior border of semitendinosus tendon. The deep fascia is incised in the midline. The small saphenous nerve is identified with accompanying sural nerve that must be preserved. The sural nerve is traced proximally where it pierces deep fascia from the tibial nerve trunk. At the apex of the fossa, the common peroneal nerve separates from tibial nerve. The tibial nerve lies posterior to the popliteal vein which in turn is superficial to popliteal artery. Popliteal vessels are displaced laterally and this usually requires ligation of middle geniculate and superior medial geniculate vessels. The medial head of gastrocnemius is identified, traced proximally and can be detached from its origin then retracted towards midline to expose the medial joint capsule. Similarly the lateral head of gastrocnemius can be detached to expose the posterolateral corner of the joint. The main structures at risk are the popliteal vessels, small saphenous vein and common peroneal nerve and tibial nerve.
CANDIDATE: Yes (despite never having seen one!)
CANDIDATE: The tunnel placement in PCL reconstruction depends on whether it is single-bundle or double-bundle reconstruction ...
EXAMINER: Tell me about the one you have seen.
CANDIDATE: The optimum placement of PCL tunnel is controversial. The literature shows that the femoral tunnel for posterolateral bundle reconstruction should be placed at
1.30 oโclock ...
EXAMINER: Are you sure? (Realizing that the candidate is bluffing.)
CANDIDATE: To be honest I have not seen many of these but I will check on it.
EXAMINER: Letโs move on. Now tell me about the optimum tunnel placement for single bundle ACL reconstruction.
CANDIDATE: The principles of ACL reconstruction are placement of tunnel anatomically and isometrically, using biologically active grafts which are adequately tensioned to allow early rehabilitation. In single-bundle reconstruction, the aim is to place tunnel at the footprint of the posterolateral bundle of ACL. The anteromedial bundle is thought to be the most isometric but most surgeons feel that itโs important to replace the posterolateral bundle. For the femoral tunnel the isometric point lies at about 10 to 10.30 oโclock for right knee and 1.30 to 2 for left knee. The most common mistake is to
(a) (b) Figures 3.6a, 3.6b, 3.6c and 3.6d CT,
MRI and plain radiographs of left knee.
(c) (d)

place femoral tunnel too anterior or โresidentโs ridgeโ. This restricts flexion of the knee and may result in elongation of graft. Similarly, too posterior tunnel placement results in excessive tightening of graft when knee is extended. Itโs been shown that abnormally narrow intercondylar notch correlates directly with increased incidence of ACL tears. Careful assessment of notch should be done prior to graft insertion using a pin to ensure no impingement on lateral femoral condyle. The presence of impingement with correct placement of tunnels necessitates notchplasty of the anterior portion of lateral femoral condyle.
CANDIDATE: I would use a hamstring four-strand autograft. The two main biological autografts used in ACL reconstruction are hamstring and bone patella tendon bone (BPTB) graft. The BPTB graft has the advantage of being easy to harvest, rigid fixation and faster integration as it uses bone to bone healing. However, it has donor site morbidity which includes anterior knee pain in 30โ50%, patellar tendonitis 3โ5%, patellar fracture and patella baja. The hamstring graft on the other hand has less donor site morbidity, can be harvested from a small incision and can be passed relatively easily. However it has slow healing because of tendon to bone incorporation which takes 8 to 12 weeks. It can also result in hamstring weakness and saphenous nerve injury. There are several studies comparing outcome of BPTB versus hamstring graft. Most studies show arthroscopic reconstruction with either graft results in similar functional outcome but increased morbidity in BPTB in form of early OA and increased knee laxity with radiographic femoral tunnel wide in hamstring graft.
Feller JA, Webster KE. A randomized comparison of patellar tendon and hamstring tendon anterior cruciate ligament reconstruction. Am J Sports Med 2003;31:564โ573.
Howell SM, Taylor MA. Failure of reconstruction of the anterior cruciate ligament due to impingement by the intercondylar roof. J Bone Joint Surg Am 1993;75-A:1044.
Pinczewski LA, Deehan DJ, Salmon LJ, Russell VJ, Clingeleffer A. A five-year comparison of patellar tendon versus four-strand hamstring tendon autograft for arthroscopic reconstruction of the anterior cruciate ligament. Am J Sports Med 2002;30:523โ536.
Debrief: With a thorough understanding of ACL reconstruction, the candidate has recovered from a bad start of this viva. Candidates should be honest and be prepared to say they have not seen some operations.
Structuredoralexaminationquestion7: Revision knee replacement
EXAMINER: Have a look at these images and tell me what you can see. (Figure 3.7.)
CANDIDATE: These are AP and lateral radiographs of failed left total knee replacement. The implants appear to be loose with widespread osteolysis and bone loss in the femur and tibia. The tibial base plate is in varus and extended. There is notching of the anterior cortex of femur. There is calcification of soft tissues including the popliteal vessels. I would like to see immediate postoperative and most recent radiographs for comparison. The radiographs are suggestive of infection until proven otherwise.
CANDIDATE: I am concerned about several factors, namely:
The state of the collateral ligaments (stability).
Soft tissues and vascular status of the limb.
The extensive bone loss.
The collateral ligaments are likely to be dysfunctional and especially the MCL therefore a constrained knee replacement may be required. The soft tissues appear contracted and calcified which may lead to wound complications. The bone loss will require bone graft, augmented or stemmed implants.
(a) (b) Figures 3.7a and 3.7b Anteroposterior
(AP) and lateral radiographs of left TKA.
CANDIDATE: The most commonly used classification system is that of the Anderson Orthopaedic Research Institute (AORI) which classifies the femur (F) and tibia (T) separately as follows:
Type 1 โ Intact metaphyseal bone with minor defects which will not compromise the stability of a revision component.
Type 2 โ Damaged metaphyseal bone. Loss of cancellous bone in the metaphyseal segment which will need to be filled with cement, augments or a bone graft at revision in order to restore the joint line. Defects can occur in one femoral condyle or tibial plateau (2A) or in both condyles or plateaux (2B).
Type 3 โ Deficient metaphyseal bone. Bone loss which comprises a major portion of either condyle or plateau. These defects are occasionally associated with detachment of the collateral or patellar ligaments and usually require longstemmed revision implants with bone grafts or a custom-made hinged prosthesis.
Engh G. Bone defect classification. In GA Engh, CH Rorabeck (Eds), Revision Total Knee Arthroplasty. Baltimore, MD: Lippincott Williams and Wilkins, 1997, pp. 63โ120.
CANDIDATE: The constraint ladder within knee implant design includes:
PCL retaining (cruciate retaining or CR). Rotating platform more constrained due to conformity. #
PCL substituting (posterior stabilized or PS).
Unlinked constrained condylar implant (varusโvalgus constrained or VVC) provides anteroposterior and varusโ valgus stability (substitute for deficient collaterals), e.g. constrained condylar knee (LCCK, NexGen), TC3.
Linked, constrained condylar implant (rotating-hinge knee or RHK). Rarely indicated. Used for global instability (total collateral disruption/recurvatum) and severe distal femoral bone loss, osteolysis/fracture.
CANDIDATE: Some of the indications of PCL sacrificing implants are: Previous patellectomy.
Rheumatoid arthritis.
Post-traumatic osteoarthritis with stiffness.
Previous HTO and large deformity.
Over-released PCL.
CANDIDATE: The advantages are:
| Conforming surfaces allowing roll-back.
| ---|---
| No component slide.
| Provides a degree of VVC.
| The camโpost mechanism improves anteriorโposterior stability.
| Facilitates any deformity correction.
| Uses more congruent joint surfaces than CR, which reduces wear.
| Better range of motion.
| Technically easier than CR and reproducible.
| Higher degree of flexion.|
CANDIDATE: There are limited studies in the literature comparing the outcomes of the two designs. Most of the studies are characterized by a small number of patients, different outcome measures, poor randomization and comparing designs of different manufacturers. Range of motion appears to be the only common outcome parameter. A meta-analysis by Jacobs et al. showed a difference in range of motion and reproduction angle favouring posterior stabilized designs over PCL retention designs 1 year postoperatively. However, it is uncertain whether this observation is of clinical relevance. It seems that in patients with functional PCL the decision as to which design is chosen depends largely on the favour and training of the surgeon.
Jacobs WC, Clement DJ, Wymenga AB. Retention versus removal of the posterior cruciate ligament in total knee replacement. Act Orth 2005;76(6):757โ768.
CANDIDATE: The options of management of the extensive bone loss are:
1. The use of cement, either alone or combined with screws and mesh.
2. The use of bone grafting with structural or morsellized graft.
3. The use of modular augmentation of the components with wedges or blocks of metal. Recent studies show modular porous-coated press-fit metaphyseal sleeves may be used to fill AORI type 2 and 3 defects and provide for stable ingrowth. 4. The utilization of custom-made, tumour or hinge implants.
The method of reconstruction and the materials for revision surgery are largely dependent on the potential for future further revision and the life expectancy, functional demand and comorbidities of the patient. In this patient who is reasonably young restoration of bone stock is preferable, because of likelihood of further revision surgery.
Structured oral examination question 8: Patellar instability
CANDIDATE: I would start by taking a detailed history followed by clinical examination. In the history, I would enquire about age at first dislocation, frequency of dislocations, traumatic or atraumatic, any associated syndromes such as bone or connective tissue dysplasia and generalized joint laxity. I would also enquire about any mechanical symptoms, the presence and localization of pain.
CANDIDATE: The risk factors for patellar instability are:
1. Bony factors (static)
Trochlear dysplasia.
Hypoplastic femoral condyle.
Patellar shape. Patella alta.
2. Malalignment
Patellar malalignment is an abnormal rotational or translational deviation of the patella along any axis.
External tibial torsion/foot pronation.
Increased femoral anteversion and increased genu valgum.
Increased Q angle or abnormal tibial tuberosityโtrochlear groove (TTโTG) distance.
3. Soft tissue (dynamic)
Ligamentous laxity (medial patellofemoral ligament rupture/ insufficiency).
4. Abnormal gait
Walking with valgus thrust.
5. Genetic factors such as connective tissue disorder syndromes.
EXAMINER: Tell me about the most important static stabilizer of the patella.
CANDIDATE: The primary static restraint to the lateral patellar displacement is medial patellofemoral ligament. It provides 50% of the total medial restraining force. MPFL sectioning can lead to substantial changes in patellar tracking. It originates from the area between the medial epicondyle and adductor tubercle and inserts onto the proximal two-thirds of the patella. The average length of the ligament is 5.5 cm. During acute patellar dislocation there is a 90โ95% incidence of damage to the MPFL. Femoral attachment is commonly affected. In the past 10 years, MPFL reconstruction has become a popular procedure for treatment of recurrent patellar dislocation.
CANDIDATE: I would perform the following investigations:
1. A lateral radiograph is the most helpful view for assessment of patellar tilt, height and trochlear depth.
2. Axial radiographs (Merchantโs view) to assess patellar tilt angle (normal < 10), congruence, sulcus angle (normal 138) and trochlear dysplasia.
3. MRI for articular lesion and state of MPFL.
4. CT scan to assess:
Femoral anteversion (normal 5โ15) Tibial torsion.
TTโTG distance more than 15โ20 mm is significant.
Patellar tilt.
Trochlear depth.
CANDIDATE: The three main groups of realignment procedure as determined by direction of tibial tubercle (TT) transfer are:
Medial transfer to treat malalignment.
Anteromedial transfer for malalignment and PFJ chondrosis.
Anterior when there is distal PFJ chondrosis.
The methods of realignment are:
ElmslieโTrillat: Medialization without posteriorization of the tibial tubercle.
Fulkerson: Medialization with anteriorization of the tibial tubercle in the arthritic patella.The obliquity of the cut depends on the degree of malalignment and arthrosis. A steep cut up to a 60 angle maximizes anteriorization and is useful in patients who have more arthrosis than malalignment.
Hauser: Transfer of the tibial tubercle to a medial, distal and posterior position. This has been abandoned. It increases the PFJ reaction force and causes patellofemoral degenerative joint disease.
Goldthwait 1899โRoux 1888: Medial transposition of the medial half of the patellar tendon, lateral release/medial reefing. Now the lateral half is placed under the medial half and medially (historical procedure) .
Maquet: Anterior transportation of tibial tubercle, which decreases patellofemoral contact forces. Not performed nowadays (historical) as it has a high incidence of skin necrosis, compartment syndrome and no effect on the Q angle.
Structuredoralexaminationquestion9: Malalignment of total knee replacement (TKR) components
(Figure 3.8.)
CANDIDATE: This is a CT scan of the distal femur showing an axial view of the femoral component of TKR. There is a lot of metal artifact.
CANDIDATE: CT scan can be performed following TKR to check for loosening or malalignment of the components.
CANDIDATE: The angle formed by the surgical transepicondylar axis and the posterior condylar axis show the femoral component is internally rotated.
CANDIDATE: Rotational alignment of the tibial and femoral component plays an important role in TKR. Once correct frontal alignment and proper soft tissue balancing have been achieved, the rotational placement of the components represents the โthird dimensionโ in knee TKR. Femoral component malposition has been implicated in patellofemoral

Figures 3.8 CT axial view of TKR.
maltracking following TKR, which is associated with anterior knee pain, subluxation, fracture, wear, and aseptic loosening. It has been suggested that rotating-platform mobile bearings compensate for malrotation between the tibial and femoral components and may, therefore, reduce any associated patellofemoral maltracking. Internal rotation of femoral component by resection of excessive amounts of posterior lateral femoral condyle or insufficient resection of the posterior medial femoral condyle moves the anterior femoral patellar groove portion of the femoral component medially, making it more difficult for a relatively laterally placed patella to be captured by the patellofemoral groove. In addition, internal rotation of the femoral component results in tight flexion gap on the medial side of the knee.
Nicoll D, Rowley DI. Internal rotational error of the tibial component is a major cause of pain after total knee replacement. J Bone Joint Surg Br 2010;92-B:1238โ1244.
Chapter Foot and ankle structured oral questions 4 N. Jane Madeley and Neil Forrest
Structuredoralexaminationquestion1:
Lateralligamentinstabilityoftheankle
EXAMINER. Tell me what this diagram represents and name the structures labelled 2, 3 and 5. (Figure 4.1.)
CANDIDATE. This diagram is a representation of the lateral aspect of the ankle showing the bony and ligamentous structures. Structure 2 is the anterior talofibular ligament, structure 3 is the calcaneofibular ligament and structure 5 is the posterior distal tibiofibular ligament.
CANDIDATE. The mechanism is usually a rotational injury with sequential failure of the ligaments from front to back, hence the anterior talofibular ligament or ATFL is most commonly injured followed by the calcaneofibular ligament or CFL and the posterior talofibular ligament is the least frequently injured.
| Section 2 | Adult Elective Orthopaedics and Spine |
|---|---|
| CANDIDATE. In the acute setting I would expect the patient to give a history of an episode of a twisting incident resulting in significant pain and swelling. There may be a history of recurrent sprains and instability. Acutely the lateral side of the ankle would be swollen and tender anterior and inferior to the tip of the fibula but discomfort may make it difficult to elicit a definite sign of instability. | |
| In a patient with a more chronic history the clinical sign of instability would be a positive anterior drawer test or talar tilt test. | |
| EXAMINER. Tell me more about those two tests. | |
| CANDIDATE. The patient is examined sitting with their legs over the edge of the couch or sitting in a chair to relax the gastrocnemius soleus complex. For the anterior drawer test the distal tibia is grasped in one hand and the other hand grasps the heel and the foot is drawn anteriorly in relation to the talus. Pain or excess anterior translation or a sulcus sign developing at the anterolateral corner of the ankle are signs of an ATFL injury. The other ankle must be examined for comparison. The talar tilt test involves inversion of the ankle whist palpating the anterolateral corner of the joint to feel for movement of the talus within the mortise. A lack of firm end point or tilt in excess of the normal side would represent instability and the CFL is considered to have been injured if this test is positive. |
CANDIDATE: Ankle sprains are more common in patients with a cavus foot deformity or hypermobility.
Postgraduate Orthopaedics: Viva Guide for the FRCS (Tr & Orth) Examination, ed. Paul A. Banaszkiewicz and Deiary F. Kader. Published by Cambridge University Press. ยฉ Cambridge University Press 2012.
EXAMINER: If you suspect a lateral ligament injury how will you proceed in managing this patient?
CANDIDATE: The first step in management would be rehabilitation with physiotherapy, concentrating on peroneal strengthening and proprioceptive training. If the dynamic stabilizers of the ankle are well conditioned the majority of patients recover well from a ligament injury. Bracing may be of benefit.
CANDIDATE: A patient that fails to recover would need more investigation. I would begin with simple weightbearing radiographs of the ankle. Stress X-rays of the ankle may be diagnostic for diagnosing a ligament injury, however if the patient is still having significant pain and swelling I would request an MRI scan to look for additional pathology.
CANDIDATE: My differential diagnosis for an ankle sprain that doesnโt get better, in addition to incomplete recovery or rehabilitation would be peroneal tendon pathology such as a split tear or subluxing tendons, intra-articular pathology such as an osteochondral defect of the talus or loose body, or nonunion of an anterior calcaneal process fracture in addition to the presumed diagnosis of lateral ligament injury.
CANDIDATE: The options would be a lateral ligament repair or reconstruction of the lateral ligaments.
CANDIDATE: Yes, the Brostrรถm repair.1
CANDIDATE: It is an anatomical repair of the lateral ligaments. The ATFL and CFL are imbricated to re-tension them. The extensor retinaculum may then be sutured over the top of the repair for additional strength. Consideration should be given to performing an ankle arthroscopy first at the same sitting to diagnose and address any associated intra-articular pathology.
CANDIDATE: Various studies have found chondral injures in a significant proportion of chronic ankle instability. In one study associated intra-articular pathology amenable to arthroscopic treatment was identified in 83% of patients undergoing
Brostrom repair.2
CANDIDATE: I would expect a successful result in over 80% of patients.
EXAMINER: Tell me about the options available for lateral ligament reconstruction.
CANDIDATE: There are several operations described for lateral ligament reconstructions. The majority of these involve sectioning the anterior half of the peroneus brevis proximally, leaving the distal end attached and routing the free end to reconstruct a lateral ligament. The reconstruction can be anatomical or non-anatomical. I have experience of the modified ChrismanโSnook procedure which transfers the anterior half of the peroneus brevis through bone tunnels in the distal fibula and lateral calcaneum to form an anatomical reconstruction of both the ATFL and CFL. I understand that many surgeons are moving towards reconstruction using a free hamstring graft in athletes to avoid harvesting one of the dynamic ankle stabilizers.3
EXAMINER: Thank you.
1. Brostrรถm L. Sprained ankles VI: Surgical treatment of
โchronicโ ligament ruptures. Acta Chirurgica Scand 1966;132(5):551โ565.
2. Kibler WB. Arthroscopic findings in ankle ligamentreconstruction. Clin Sports Med 1996;15(4):799โ804.
3. Boyer DS, Younger AS. Anatomic reconstruction of thelateral ligament complex of the ankle using a gracilis autograft. Foot Ankle Clin 2006;11(3):585โ595.
Structuredoralexaminationquestion2: Ankle arthritis
EXAMINER: Describe the findings on this X-ray. (Figure 4.2.)
CANDIDATE: This is an AP weightbearing radiograph of a left ankle showing narrowing of the joint space and some subchondral sclerosis consistent with post-traumatic arthritis. There is evidence of a previous fibula fracture superior to the syndesmosis and varus angulation of the ankle.
CANDIDATE: Primary osteoarthritis is thought to be relatively uncommon and the most common cause of ankle arthritis is probably post-traumatic arthritis. Other causes are inflammatory arthritis and septic arthritis.
Figure 4.2 X-ray showing ankle arthritis.
CANDIDATE: They are most likely to complain of pain, however they may also present with restriction of movement, deformity and difficulty in performing activities of daily living (ADLs).
CANDIDATE: No, I am not aware of any classification systems specific to the ankle. The Kellgren and Lawrence Radiographic Criteria can be used.1
EXAMINER: The X-ray you have been shown belongs to a 42year-old manual worker who had an ankle fracture 7 years ago which was managed non-operatively. Describe your management strategy for this patient.
CANDIDATE: I would first want to perform a full history and examination, and obtain a lateral radiograph.
EXAMINER: Absolutely. Tell me about the management options available for ankle arthritis.
CANDIDATE: I would start with conservative measures and optimize the patientโs analgesia adding in NSAIDs, and suggest activity modification. He could try footwear modification with a cushioned sole and rocker-bottom shoe which may improve his symptoms as may use of an ankle brace or AFO. Similarly an injection of intra-articular steroid or viscosupplementation may be of symptomatic benefit. Physiotherapy could be an adjunctive treatment in patients with symptoms of instability or weakness but may aggravate symptoms.
CANDIDATE: There are two types of surgical option available, those aimed to โbuy timeโ or provide temporary relief and definitive treatments. The temporizing measures are debridement of the joint which can be performed arthroscopically or open depending on the extent of disease and should be aimed at treating identifiable causes of symptoms such as removing loose bodies, trimming anterior osteophytes which may give impingement symptoms, or debriding loose areas of articular cartilage and areas of synovitis. The other option is distraction arthroplasty.2 The definitive surgical options are ankle fusion or ankle replacement.
CANDIDATE: No, total ankle replacements are not suitable for every patient and ankle fusion is still considered the โgold standardโ.
CANDIDATE: Ankle replacement surgery could be considered in low-demand patients over the age of 60 years who have inflammatory arthritis or osteoarthritis. Bilateral disease or arthritis affecting adjacent joints is a relative indication. Contraindications would include younger, more active patients, significant ankle instability, particularly deltoid ligament insufficiency, significant deformity, especially varus or valgus of more than 10, peripheral vascular disease, a poor soft tissue envelope, marked osteoporosis or avascular necrosis of the tibial plafond or talar dome.
CANDIDATE: The earlier designs involved a two-component design such as the Agility total ankle replacement, which required fusion of the distal tibiofibular joint. Most modern designs are three-component uncemented mobile bearing prostheses.
CANDIDATE: The 10-year survival is approaching 85% but there are fewer data available than for knee and hip replacements.
Many series are small.2โ5
CANDIDATE: He is a young patient, in a manual job. He wouldnโt be a candidate for total ankle replacement and I would explain to him that if his symptoms have failed to be controlled by non-operative measures and he requires definitive surgical treatment then an ankle fusion would be a better option for him.
CANDIDATE: He would be at risk of early failure with an ankle replacement due to his young age and level of activity. A fusion would provide a stable pain-free ankle that would allow him to return to the majority of activities that he wishes to do. I would explain that many patients return to sports after ankle fusion. I would also explain that an ankle fusion would only sacrifice the residual movement that he has at his ankle joint and that his subtalar, midfoot and forefoot movements would still be present.
CANDIDATE: The foot should be plantigrade with a physiological 5 of hindfoot valgus and 5 of external rotation.
CANDIDATE: Non-union, malunion, delayed union, infection, wound-healing problems, nerve or vessel damage, DVT/PE, risk of exacerbating or developing arthritis in other joints.
EXAMINER: Thank you.
1. Kellgren JH, Lawrence JS. Radiological assessment ofosteoarthrosis. Ann Rheum Dis 1957;16:494โ501.
2. van Valberg AA, van Roermund PM, Marijnissen ACet al. Joint distraction in treatment of osteoarthritis: a two-year follow-up of the ankle. Osteoarthritis Cartilage 1999;7:474โ479.
3. Wood PLR, Prem H, Sutton C. Total ankle replacement: medium term results in 200 Scandinavian total ankle replacements. J Bone Joint Surg Br 2008;90-B:605โ609.
4. Bonnin M, Gaudot F, Laurent JR et al. The Salto total ankle arthroplasty: survivorship and analysis of failures at 7 to 11 years. Clin Orthop Relat Res 2011;469:225โ236.
5. Mann JA, Mann RA, Horton E. STAR ankle: long-termresults. Foot Ankle Int 2011;32(5):473โ484.
6. Labek G, Klaus H, Schlichtherle R et al. Revision rates after total ankle arthroplasty in sample-based clinical studies and national registries. Foot Ankle Int 2011;32 (8):740โ745.
Structuredoralexaminationquestion3: The rheumatoid foot
EXAMINER: Please have a look at this radiographic print and tell me what you see. (Figure 4.3.)
CANDIDATE: This is an AP radiograph of a forefoot. There is hallux valgus with displacement of the second toe and destructive change of all the metatarsophalangeal joints. I cannot say whether this is a weightbearing film or not as it is not labelled. The intermetatarsal angle appears increased and I would normally measure this on a weightbearing film. There may be deformities of the lesser toes and I would like to see a lateral view to clarify this.
CANDIDATE: The destructive changes suggest that this is an inflammatory polyarthropathy such as rheumatoid arthritis.
CANDIDATE: The appearances could be secondary to a neuropathic process.
CANDIDATE: A peripheral neuropathy such as that associated with diabetes mellitus would be commonest.
Figure 4.3
Anteroposterior (AP) radiograph of rheumatoid forefoot.
CANDIDATE: A detailed history would be most informative. Specifically, I would enquire about pain, swelling, sensory alteration and medical history.
CANDIDATE: This appears to be an inflammatory arthropathy.
CANDIDATE: First, I would want to know if she is known to a rheumatology service and has had any attempt at nonoperative intervention.
EXAMINER: She has never seen a rheumatologist and has never sought help for her feet other than from you via her GP.
CANDIDATE: I would advise her that operations may be very helpful but that she should be formally assessed by a rheumatologist for diagnosis and disease control first. I would also advise review by the local podiatry and/or orthotics service as simple footwear modification may be all that is necessary to control her symptoms.
CANDIDATE: I would offer her a forefoot reconstruction consisting of excision of the lesser metatarsal heads, correction of lesser toe deformities and excision or fusion of the first metatarsophalangeal joint.
CANDIDATE: This is a proven intervention with good results.
CANDIDATE: More than 80% of patients report significant improvement.
CANDIDATE: I would be guided by the age and functional demand of the patient in combination with the quality of the soft-tissue envelope. I would prefer to arthrodese the joint as I believe this aids maintenance of gait but, in a low-demand patient, excision is associated with reduced complications and more rapid rehabilitation.1
CANDIDATE: I would plan arthrodesis.
CANDIDATE: I would use an oblique compression screw augmented by a dorsal locking plate, as biomechanical and clinical studies have shown this to be the most reliable method.
CANDIDATE: If the joint surfaces were well preserved but with subluxation of the joints it might be appropriate to perform shortening metatarsal osteotomies such as Weil's osteotomies to preserve the metatarsal heads and allow reduction of the joints with soft tissue releases.
CANDIDATE: Yes, but it is very difficult to salvage a rheumatoid foot without metatarsal heads if the disease progresses in subsequent years and this patient is young.
EXAMINER: Tell me about the principles of surgery in rheumatoid arthritis.
CANDIDATE: Surgery is indicated when symptoms or deformity are uncontrolled or unbraceable. The overall objective is to produce a stable, plantigrade foot. Aim for a single operation with a high rate of success. Arthrodesis is the predominant procedure. There is a high risk of complication due to osteopenia, dysvascularity, soft tissue fragility and immunosuppression.
CANDIDATE: Biologic agents should be stopped in the run up to surgery and not resumed until there is good evidence of postoperative healing. It should go without saying that meticulous handling of soft tissues is necessary.
Incisions must be planned with care, both to maintain skin bridges and to ensure closure if significant deformities are being corrected.
CANDIDATE: Two weeks preoperatively and two weeks
postoperatively.2,3
CANDIDATE: Studies have shown that there is generally no need to stop other drugs such as methotrexate or leflunomide.
CANDIDATE: Generally, I would plan to address the most symptomatic area first. However, a less symptomatic fixed hindfoot deformity should be corrected before proceeding to the forefoot. Flexible hindfoot deformity could be left until more symptomatic.
CANDIDATE: The talonavicular joint is most commonly affected, followed by the subtalar and calcaneocuboid joints.
CANDIDATE: Isolated talonavicular fusion is a lesser procedure than triple fusion for both patient and surgeon and effectively eliminates hindfoot motion. Historically, a non-union rate of up to 37% has been reported although more recent studies suggest the non-union rate using contemporary fixation is much less. A triple arthrodesis is more reliable and allows greater deformity correction.
EXAMINER: Thank you.
1. Rosenbaum D, Timta B, Schmiegel A et al. First ray resection arthroplasty versus arthrodesis in the treatment of the rheumatoid foot. Foot Ankle Int 2011;32 (6):589โ594.
2. Lee MA, Mason LW, Dodds AL. The perioperative use ofdisease-modifying and biologic therapies in patients with rheumatoid arthritis undergoing elective orthopedic surgery. Orthopedics 2010;33(4):257โ262.
3. Howe CR, Gardner GC, Kadel NJ. Perioperativemedication management for the patient with rheumatoid arthritis. J Am Acad Orthop Surg 2006;14:544โ551.
Structured oral examination question 4: Cavus foot
EXAMINER: These are pictures of the left foot of a 20-year-old man. Describe them. (Figure 4.4.)
CANDIDATE: These photographs show the anterior, medial and posterior views of a left foot with a cavus deformity. The hindfoot is in varus and there is a high arch. There doesnโt appear to be any significant clawing or abnormality of the toes.
CANDIDATE: A cavus foot develops a high arch as the result of imbalance in the musculature of the foot. It can be caused by a plantar flexion deformity of the forefoot or by a dorsiflexion deformity of the hindfoot known as calcaneocavus. The causes of a cavus foot may be broken down into congenital or acquired. The most common causes of congenital deformities are idiopathic, a sequela of clubfoot or due to arthrogryposis. The acquired deformities may be due to trauma or neuromuscular conditions. The neuromuscular causes may be grouped into central nervous system disease such as cerebral palsy or Friedrichโs ataxia, spinal cord lesions such as spina bifida or spinal dysraphism, peripheral nervous system lesions such as an HSMN or muscular causes such as muscular dystrophy.
CANDIDATE: Hereditary motorโsensory neuropathy. These are a group of inherited neurological conditions.
CharcotโMarieโTooth (CMT) is the most common group of these conditions.
CANDIDATE: The hereditary motor sensory neuropathies are a group of related conditions that may lead to cavus foot deformity due to muscle imbalance. The conditions are generally diagnosed by the pattern of deformity and a positive family history. The most commonly recognized is the CharcotโMarieโTooth disease group which affects approximately 1 in 2500 people. These patients commonly have weakness of the intrinsic muscles, tibialis anterior and peroneus brevis. Type I will tend to present in the second decade, it is an autosomal dominant inheritance and patients have peroneal weakness, slow nerve conduction and absent reflexes. Type II presents later, in the third or

Figure 4.4 Cavus foot deformity.
fourth decade, and reflexes and nerve conduction are normal, however the foot signs may be more pronounced. Genetic analysis is able to diagnose and group these conditions more accurately and at least 17 types of CMT have been described.
CANDIDATE: My assessment would have two components. I need to determine any underlying cause of the cavus and also evaluate the deformity itself. I would establish whether this is a unilateral or bilateral deformity and then I would begin by taking a thorough patient history. A cavus deformity is often secondary to a neurological cause so I would ask whether the foot had always been this shape and whether the deformity was progressive. I would ask what symptoms the foot causes and how it affects their function. I would also ask about any previous medical or surgical history, family history, and any previous surgical or non-surgical treatment the patient had received.
CANDIDATE: Common complaints in cavus feet are of pain, particularly forefoot pain, lateral foot pain under the metatarsal heads, or arch pain, instability of the ankle with a history of frequent ankle sprains. They may also have problems with fitting of footwear or alteration of gait.
CANDIDATE: On first, general inspection I would be looking to see if the deformity was bilateral and whether there were stigmata of a generalized condition such as wasting within the hands. With the patient standing I would look to see whether the heel was in varus, neutral or valgus alignment, assess the height of the longitudinal arch by inspection and also see whether I could pass more than two fingers underneath. I would look to see the posture of the toes. This would be to assess the degree of deformity. While the patient was standing I would also look at the spine for any stigmata of an underlying abnormality such as a hairy patch or scoliosis.
With the patient sitting I would inspect the soles of the feet for callosities or areas of ulceration. I would look to see whether the cavus was due to plantarflexion of the first ray or the whole forefoot. I would assess sensation, deep tendon reflexes and power of the major muscle groups, particularly the tibialis anterior and posterior and the peroneal tendons. I would assess lateral ankle ligament competence with an anterior drawer and talar tilt test and look at the active and passive range of movement and see whether the deformities were flexible or fixed.
CANDIDATE: These diagrams show the Coleman block test.
(Figure 4.5.)

Figure 4.5 Coleman block test.
CANDIDATE: The Coleman block test looks for flexibility of the hindfoot deformity by eliminating the deforming drive of the forefoot. In a cavus foot the first ray is plantarflexed so to place the foot stably on the ground the hindfoot has to move into varus. In the Coleman block test the foot is positioned so that the lateral border of the foot and the heel are placed on a block and the medial forefoot is allowed to hang off the edge of the block. If the heel then assumes a physiological alignment of neutral to 5 valgus when viewed from behind the hindfoot deformity is both flexible and driven by the
forefoot.1
CANDIDATE: In terms of evaluating the foot itself I would first obtain a series of weightbearing radiographs, a lateral of the foot and ankle, a hindfoot alignment view and an AP of the foot. If the patient had any signs or history suggesting an underlying spinal cause then radiographs or MRI scan of the spine should be considered.
CANDIDATE: The magnitude of the cavus deformity can be quantified using Mearyโs angle, the angle between the long axis of the talus and the first metatarsal shaft. Normally this lies between รพ5 and 5. Hibbโs angle is the angle between the long axis of the first metatarsal shaft and the long axis of the calcaneum. This angle is normally 150 but decreases as the cavus worsens. The calcaneal pitch angle, the angle between the floor and the undersurface of the calcaneum, should be less than 30 but may be elevated in a cavus foot. The radiographs can also be used to look for signs of degenerative changes and the bones themselves may be abnormal in shape in a deformity that began early in childhood.
CANDIDATE: Firstly it is important to identify and if necessary address the underlying cause of the cavus. The patient should be examined for neuromuscular causes and investigated and referred for a neurological opinion if appropriate. The patientโs current symptoms need to be understood as well as the likelihood of progression. Management can be nonoperative with the use of orthotics to try and offload pressure areas and improve stability. Surgical treatment needs to be tailored to the individual patientโs underlying pathology, risk of progression, level of deformity and muscular imbalance. Correction of deformity without addressing the muscular imbalance will not be successful.
EXAMINER: Thank you.
1. Coleman S, Chestnut W. A simple test for hindfoot flexibility in the cavovarus foot. Clin Orthop Relat Res 1977;123:60โ62.
Structuredoralexaminationquestion5: Acquired adult flatfoot
EXAMINER: I would like you to look at this clinical photograph and tell me what you see. (Figure 4.6.)
CANDIDATE: This shows a posterior view of feet in a weightbearing stance. There is marked heel valgus and too many toes are visible. The medial longitudinal arch is not visible.
CANDIDATE: I would expect marked flattening of the arch.
CANDIDATE: Pes planus or flatfoot.
CANDIDATE: Presentation in adults is usually acquired. The commonest cause is tibialis posterior dysfunction. Other causes include inflammatory arthritis, Charcot arthropathy, osteoarthritis and trauma.
CANDIDATE: It is commoner in females and the incidence increases with age.
EXAMINER: Okay. Letโs stick with tibialis posterior dysfunction for just now. Describe a typical patient presentation.

Figure 4.6 Acquired adult flatfoot.
CANDIDATE: The classic patient would be a female aged between 45 and 65 years of age. She would describe initial pain along the course of the tibialis posterior tendon. There is likely to be later development of increasing planovalgus deformity with medial deltoid ligament pain and sometimes lateral impingement pain.
CANDIDATE: I think the most useful test is the ability to perform a single heel raise. In conjunction with assessment of hindfoot flexibility, this would allow classification and guide treatment.
CANDIDATE: Yes. Johnson and Strom proposed a three-stage classification in 1989. Myerson and Corrigan later added a fourth stage.1 In stage I disease, there is no deformity but pain from the tendon. A single heel raise is usually possible but painful. In stage II disease, there is a flexible planovalgus deformity and weakness of single heel raise. In stage III disease, the deformity has become fixed and in stage IV, there is additional tilting of the talus in the ankle mortise. There are recommended procedures for each stage of the disease.
CANDIDATE: Weightbearing AP and lateral radiographs of both the foot and ankle would help to assess structural change and exclude other causes of flatfoot. They could also show associated degenerative change. The arch index could also be measured.
CANDIDATE: No. I think it is mainly used as a research tool.
EXAMINER: Coming back to your classification, you suggested that there are recommended interventions for each stage of the disease. Please tell me about these.
CANDIDATE: For stage I, I would offer debridement of the tendon followed by 6โ8 weeks of casting or splintage followed by provision of a definitive arch support orthosis.2 For stage II disease I would offer either a lateral column lengthening or a medializing calcaneal osteotomy in conjunction with a FDL transfer to augment or replace the tibialis posterior.3 In stage III disease, triple arthrodesis is recommended.4 For stage IV disease, the management depends upon the flexibility of the ankle deformity. If it is flexible, then a triple arthrodesis combined with ankle bracing or deltoid ligament reconstruction may be adequate otherwise a triple arthrodesis combined or followed by ankle arthrodesis would be indicated.
CANDIDATE: I should have mentioned that. It is appropriate to offer analgesia and orthotic treatment to most patients initially. An orthotic providing medial arch support with a heel cup to control heel valgus can be helpful. There are two aims of orthotic treatment. First, this may offer adequate symptom relief. Second, it may control progressive heel valgus and flattening of the medial arch.
EXAMINER: You spoke about an FDL transfer. Tell me about this procedure.
CANDIDATE: After obtaining informed consent, anaesthesia, supine positioning, thigh tourniquet and skin prep and drape, I would make an incision over the line of the posterior tibial tendon, starting posterior to the medial malleolus. I would debride or resect the tendon according to the clinical appearances. The flexor digitorum longus sheath lies directly posterior to the tibialis posterior tendon and would be opened longitudinally as far distally as possible before the FDL tendon is divided. If there is a decent distal stump of tibialis posterior, then the FDL tendon could be sutured to this but it is probably better to pass it through a hole drilled in the navicular and suture it back to itself.
CANDIDATE: From plantar to dorsal.
CANDIDATE: The calcaneal osteotomy directly reduces the heel valgus and brings the weightbearing axis closer to the long axis of the leg. In addition it displaces the Achilles tendon insertion medially which stops it acting as an everter of the hindfoot.
CANDIDATE: I would expect flexion of the lesser toes to be maintained by flexor hallucis longus via the knot of Henry.
CANDIDATE: Flexor digitorum longus crosses flexor hallucis longus on the plantar aspect. There are a number of fibrous interconnections between the two tendons that afford a degree of cooperation in movement. This means that flexion of the digits can continue after harvest of FDL or FHL.
EXAMINER: One final question. What approach would you use
CANDIDATE: This is a potentially difficult situation. The joint preparation is most straightforward if a lateral utility approach or similar is combined with a dorsal incision over the talonavicular joint. If a significant deformity is being addressed there can be difficulty in closing the lateral incision once the deformity is corrected. There are advocates of triple arthrodesis via a single medial approach but this is difficult and not always possible.
EXAMINER: Thank you.
1. Myerson MS, Corrigan J. Treatment of posterior tibialtendon dysfunction with flexor digitorum longus tendon transfer and calcaneal osteotomy. Orthopedics 1996;19:383โ388.
2. Teasdall RD, Johnson KA. Surgical treatment of stageI posterior tibial tendon dysfunction. Foot Ankle Int 1994;15(12):646โ648.
3. Myerson MS, Badekas A, Schon LC. Treatment of stageII posterior tibial tendon deficiency with flexor digitorum longus tendon transfer and calcaneal osteotomy. Foot Ankle Int 2004;25(7):445โ450.
4. Kelly IP, Easley ME. Treatment of stage 3 adult acquiredflatfoot. Foot Ankle Clin 2001;6:153โ166.
Structuredoralexaminationquestion6: Hallux valgus
EXAMINER: Please have a look at these clinical photographs and tell me what you see. (Figures 4.7 and 4.8.)
CANDIDATE: These show a frontal view of a pair of feet and an oblique view of the left foot. There is hallux valgus with the hallux over-riding the second toes. I can only count three lesser toes on the left foot and there is a scar in the webspace lateral to the hallux. The toenails appear friable and there is some excoriation around the lesser toes on the right foot. There is also a small area of scab on the dorsum of the right foot. I donโt see any scars on the right foot but I think there is also a medial longitudinal scar over the left metatarsophalangeal joint.

Figure 4.7 Anteroposterior (AP) view of hallux valgus.

Figure 4.8 Oblique view of hallux valgus.
CANDIDATE: A detailed history should be obtained, looking to clarify the main source of her symptoms. Can I ask what symptoms she has?
CANDIDATE: I would expect she has pain from her bunions and toes caused by rubbing on footwear and each other. I would be concerned to find out about symptoms suggestive of arthritic change at the MTP joint or metatarsalgia of the lesser rays.
EXAMINER: Letโs say she has all these symptoms to varying degrees. Tell me about your further assessment.
CANDIDATE: I would complete the history, including questioning about relevant conditions such as diabetes, inflammatory arthritis, vascular disease and neuropathy, and proceed to examination. I would examine the gait and the posture of the weighted foot as hallux valgus is often associated with a planus foot. I would palpate for areas of tenderness, paying particular attention to the hallux MTP joint and lesser metatarsal heads. I would assess the degree of active and passive correction possible and the range of movement of the involved joints and look for gastrocnemius tightness. I would also perform a grind test to assess pain from loading the MTP joint. Neurovascular status must also be assessed.
CANDIDATE: I would want to assess the range of plantarflexion and dorsiflexion of the hallux MTP joint. It is also important to assess the movement at the first tarsometatarsal joint as excessive mobility here will influence surgical options.
EXAMINER: Okay, we might come back to that. Outline the value of plain radiographs in the management of hallux valgus.
CANDIDATE: I would routinely obtain weightbearing AP, oblique and lateral radiographs of the foot. This would allow me to objectively measure the angles, assess uncovering of the sesamoids and look for evidence of arthritic change.
CANDIDATE: I would measure the intermetatarsal angle, hallux valgus angle and the distal metatarsal articular angulation.
CANDIDATE: The intermetatarsal angle is normally less than 9. The hallux valgus angle should be less than 15. The distal metatarsal articular angle is normally a maximum of 15 from perpendicular to the axis of the first metatarsal. The degree of deformity largely determines the surgical management.
CANDIDATE: If the first tarsometatarsal joint is normal, I would plan a scarf osteotomy combined with a lateral release and an Akin osteotomy of the proximal phalanx if necessary.
CANDIDATE: It is a very versatile procedure with stable fixation allowing postoperative mobilization without a cast. It maintains length of the metatarsal but allows translation, angulation and depression of the metatarsal head as necessary.
It can also be used to shorten or even lengthen the metatarsal.1
CANDIDATE: With two headless compression screws.
CANDIDATE: For the degree of deformity described, combined with the lack of passive correction of the hallux, I believe the correction that could be achieved with a distal osteotomy would be inadequate. A further disadvantage of a Mitchell osteotomy is that it produces shortening of the first metatarsal, which could lead to transfer metatarsalgia.
CANDIDATE: Firstly, I would advise that whilst early weightbearing is possible with a scarf osteotomy it takes up to a year for the foot to fully settle after such surgery but that typically 85% of patients are pleased with the outcome. I would advise a 1% risk of deep infection and a slightly higher risk of superficial infection. Recurrence is possible with time although the risk of this is greatest in adolescent cases. A minority of patients will have significant stiffness of the MTP joint afterwards and there can be sensory loss if the dorsomedial sensory nerve is injured. I would mention the possibility of hallux varus as a complication as this is difficult to treat. I would also mention the possibility of intraoperative and postoperative metatarsal fracture.
CANDIDATE: A subtle varus may improve as the patient returns to normal foot wear. Whilst soft tissue procedures such as abductor hallucis and medial capsular release or transfer of a
slip of EHL are described for flexible deformity, arthrodesis of the first MTP joint is a reliable option in the presence of significant stiffness or arthrosis.
CANDIDATE: No. The absence of the second toe predisposes to recurrence and I would propose arthrodesis of the hallux MTP joint.
EXAMINER: Thank you.
1. Barouk LS, Toullec ET. Use of scarf osteotomy of the first metatarsal to correct hallux valgus deformity. Techniques Foot Ankle Surg 2003;2(1):27โ34.
Structuredoralexaminationquestion7: Hallux rigidus
EXAMINER: This 45-year-old male patient has presented with pain and stiffness of his right big toe. Describe the X-ray findings. (Figure 4.9.)
CANDIDATE: This is a radiograph of a right foot showing osteoarthritis of the first metatarsophalangeal joint (MTPJ) with loss of joint space, osteophytes and sclerosis. There is also a mild hallux valgus deformity. There is no other obvious deformity.
EXAMINER: So what is this commonly called in orthopaedics? CANDIDATE: Hallux rigidus.
EXAMINER: Tell me the range of movement of a healthy first MTPJ.
CANDIDATE: The joint should be able to dorsiflex between 70 and 90and plantarflex between 24and 40.
CANDIDATE: First of all I would need to perform a full history and clinical examination on the patient. I would also obtain a weightbearing lateral and an oblique X-ray of the foot in addition to the AP view we have here.
CANDIDATE: I would need to assess the integrity of the skin and the neurovascular status of the foot. I would palpate for large osteophytes and assess the range of movement of the first MTPJ and look to see whether the patient had pain limited to Figure 4.9 X-ray showing hallux rigidus.
the extremes of movement or throughout the arc of motion. A grind test of the joint would be informative. I also need to evaluate the motion and look for any sign of degenerative change at the interphalangeal joint (IPJ).
CANDIDATE: A fusion of the first MTPJ may accelerate degeneration in the surrounding joints so if the IPJ is already symptomatic a motion-preserving procedure at the MTPJ may be more appropriate.
EXAMINER: Right so talk me through the management options for a patient with hallux rigidus.
CANDIDATE: In the first instance, unless there is a pressing indication for surgery such as impending skin compromise, I would maximize non-operative treatment. Options here include activity modification, footwear with a stiff sole and a rocker sole to reduce MTPJ motion. NSAIDs may be useful and in some cases an intra-articular injection may provide relief.
CANDIDATE: That choice would depend on the grade of the disease.
CANDIDATE: The most widely used is a radiographic grading by
Hattrup and Johnson in which Grade 1 has a well-preserved
joint space with mild to moderate osteophytes, Grade 2 has a reduced joint space with moderate osteophytes and Grade 3 has a complete loss of joint space, marked osteophytes and there may be subchondral cysts within the metatarsal head.1
EXAMINER: So then, back to the operative options for treatment.
CANDIDATE: In Grade 1 or 2 disease a cheilectomy, in which the osteophytes and the dorsal 25โ30% of the articular surface are resected, is widely used and gives good relief of symptoms. If there is good plantarflexion, restriction of dorsiflexion and no mid-range pain a Moberg dorsal closing wedge osteotomy of the proximal phalanx can be used to shift the arc of movement further into the dorsiflexion range to reduce symptoms.2 For patients with severe disease and no ligamentous instability total joint replacements do exist but early loosening has been a common problem. Good results have been reported with hemiarthroplasty of either the metatarsal head or the base of proximal phalanx but few large series exist and neither is commonly used in the UK.3,4 Arthrodesis of the first MTPJ is still the mainstay of treatment for severe disease and joint preparation with dome-shaped reamers and a lag screw and dorsal plate construct is the most biomechanically sound fixation.5 Kellerโs arthroplasty is a possibility in elderly, lowdemand patients, however cock-up deformities and transfer metarsarsalgia may develop.
CANDIDATE: Dorsiflexion of 25 across the MTPJ, valgus of 10โ 15 and neutral rotation to ensure an effective plane of motion of the IPJ.
CANDIDATE: I will explain that the intentions of the surgery are to relieve pain and optimize mobility. The risks and complications include wound-healing problems, infection, damage to the medial cutaneous nerve, non-union, malunion, delayed union, metalwork irritation and accelerated degeneration in surrounding joints.
CANDIDATE: His X-ray shows joint space narrowing and peripheral osteophytes, but as he is an active individual and his grind test is negative I would offer him a cheilectomy. I would also discuss fusion with him and explain to him that this may become necessary if a thorough cheilectomy failed to provide sufficient relief or he had later progression of disease.
1. Hattrup SJ, Johnson KA. Subjective results of halluxrigidus following treatment with cheilectomy. Clin Orthop Relat Res 1988;226:182โ191.
2. Moberg E. A simple operation for hallux rigidus. Clin Orthop Relat Res 1979;142:55โ56.
3. Taranow WS, Moutsatson MJ, Cooper JM.Contemporary approaches to Stage II and Stage III hallux rigidus: the role of metallic hemiarthroplasty of the proximal phalanx. Foot Ankle Clin N Am 2005;10:713โ728.
4. Carpenter B, Smith J, Motley T et al. Surgical treatment of hallux rigidus using a metatarsal head resurfacing implant: mid-term follow-up. J Foot Ankle Surg 2010;49:321โ325.
5. Politi J, Hayes J, Njus G et al. First metatarsal-phalangeal joint arthrodesis: a biomechanical assessment of stability. Foot Ankle Int 2003;24(4):332โ337.
Recommended reading
1. Maffulli N, Ferran NA. Management of acute andchronic ankle instability. J Am Acad Orthop Surg 2008;16:608โ615.
2. Easley ME, Adams SB Jr, Hembree WC et al. Current concepts review: results of total ankle arthroplasty. J Bone Joint Surg Am 2011;93:1455โ1468.
3. Courville XF, Hecht PJ, Tosteson ANA. Is total anklearthroplasty a cost-effective alternative to ankle fusion? Clin Orthop Relat Res 2011;469:1721โ1727.
4. Gougoulias N, Khanna A, Maffulli N. How successfulare current ankle replacements? A systematic review of the literature. Clin Orthop Relat Res 2010;468:199โ208.
5. Saltzman CL, Mann RA, Ahrens JE et al. Prospective controlled trial of STAR total ankle replacement versus ankle fusion: initial results. Foot Ankle Int 2009;30(7): 579โ596.
6. Chou LB, Cougllin MT, Hansen S Jr et al. Osteoarthritis of the ankle: the role of arthroplasty. J Am Acad Orthop Surg 2008;16(5):249โ259.
7. Jeng J, Campbell J. Current concepts review: the rheumatoid forefoot. Foot Ankle Int 2008;29: 959โ968.
8. Trieb K. Management of the foot in rheumatoid arthritis.J Bone Joint Surg Br 2005;87-B:1171โ1177.
9. Younger ASE, Hansen ST Jr. Adult cavus foot. J Am Acad Orthop Surg 2005;13:302โ315.
10. Schwend RM, Drennan JC. Cavus foot deformity inchildren. J Am Acad Orthop Surg 2003;11:201โ211.
11. Haddad SL, Myerson MS, Younger A et al. Symposium: adult acquired flatfoot deformity. Foot Ankle Int 2011;32(1):95โ111.
12. Deland JT. Adult-acquired flatfoot deformity. J Am Acad Orthop Surg 2008;16(7):399โ406.
13. Coughlin MJ, Jones CP. Hallux valgus: demographics,etiology, and radiographic assessment. Foot Ankle Int 2007;28(7):759โ777.
14. Easley ME, Trnka H-J. Current concepts review: halluxvalgus. Part 1: Pathomechanics, clinical assessment and nonoperative management. Foot Ankle Int 2007; 28(5):654โ659.
15. Easley ME, Trnka H-J. Current concepts review: halluxvalgus. Part II: Operative treatment. Foot Ankle Int 2007;28(6):748โ758.
16. Robinson AHN, Limbers JP. Modern concepts in thetreatment of hallux valgus. J Bone Joint Surg Br 2005; 87-B:1038โ1045.
17. Yee G, Lau J. Current concepts review: hallux rigidus.Foot Ankle Int 2008;29(6):637โ646.
18. Coughlin MJ, Shurnas PS. Hallux rigidus: surgicaltechniques (cheilectomy and arthrodesis). J Bone Joint Surg Am 2004;86-A(S1 Part 2):119โ130.
19. Coughlin MJ, Shurnas PS. Hallux rigidus: grading andlong-term results of operative treatment. J Bone Joint Surg Am 2003;85-A:2072โ2088.
Chapter Spine structured oral questions
5 Alexander D. L. Baker
Introduction
What could be more central to orthopaedics than the โorthosโ (correct or straight) and โpaideionโ (child) of paediatric spinal deformity surgery? Despite this, the spine viva is often an area where candidates for the FRCS (Tr & Orth) exam feel less well prepared. The subject area of orthopaedic spine surgery is broad and rapidly evolving. This makes it a fascinating area to study, but it also presents candidates for the FRCS exam with a daunting task if an exhaustive knowledge is sought. Viva questions tend to be one of two types. Either they are sufficiently โcoreโ that any consultant orthopaedic surgeon should know about the condition, or they are general orthopaedic questions that are being applied to the spine. In order to cover the breadth of material required this chapter will be succinct, covering core spine topics in sufficient depth to provide the candidate with a framework with which to tackle spine questions. Areas that will be covered include:
1. Tumours.
2. Infection.
3. The prolapsed intervertebral disc.
4. Scoliosis.
5. Spinal stenosis.
6. Spondylolisthesis.
7. Trauma.
8. Notes on various other viva scenarios.
Structuredoralexaminationquestion1: Spinal tumour
| Section 2 | Adult Elective Orthopaedics and Spine |
|---|---|
| CANDIDATE: The images show a destructive lesion in the vertebrae which given the age (> 50) is most likely to be metastatic tumour. Breast, lung, prostate, renal, thyroid | |
| and GI malignancies are the most common sources of primary disease. (Figure 5.1.) |
CANDIDATE: Staging and grading. Initial assessment would include a detailed history and examination, paying particular attention to any history of malignancy and asking about symptoms of altered bowel habit, respiratory problems, any prostatic symptoms or breast lumps. Examination should include breast, thyroid, respiratory, abdominal and rectal examinations (with faecal occult blood tests).
Investigations should include local and distant imaging. Local imaging should include plain radiographs and a whole spine MRI (looking at neural compression and the extent of spinal involvement). A CT may be required for detailed bony anatomy if resection is being considered. The distant imaging selected depends on the likely pathology. It might include a bone scan (looking for evidence of other skeletal metastases), a chest X-ray, or a CT chest, abdomen and pelvis to search for a primary tumour or visceral metastasis. Inflammatory markers should also be sent as well as tumour markers such as serum plasma electrophoresis or PSA.
Histological grading requires a biopsy. Following the general principles applicable to all musculoskeletal tumours this biopsy should be done within the unit that will treat the tumour and also samples sent for culture. โBiopsy all infections and culture all tumours.โ
CANDIDATE: The scoring system proposed by Tokuhashi is useful in establishing indications for treatment and subsequent surgical goal.1 A poorer prognosis is correlated with a lower score. Six parameters are given a score from 0 to 2. A score of less than 5 indicates a life expectancy under 1 year and a palliative approach is suggested. A score of over 9 indicates a longer life expectancy and suggests resection/excision should be considered.

Postgraduate Orthopaedics: Viva Guide for the FRCS (Tr & Orth) Examination, ed. Paul A. Banaszkiewicz and Deiary F. Kader. Published by Cambridge University Press. ยฉ Cambridge University Press 2012.
(a) (b) Figures 5.1a and 5.1b Sagittal T1(b)
and T2(a) weighted MRI images.
General condition (Poor 0; Moderate 1; Good 2) Number of extra-spinal metastases (3 or more scores 0; 1 or 2 scores 1; 0 scores 2).
Number of spinal bony metastases (3 or more scores 0; 2 scores 1; 1 scores 2). Number of metastases to major internal organs (not removable 0; removable 1; no metastases 2).
Tissue of origin (lung, stomach 0; kidney, liver, uterus 1; other, breast, thyroid, prostate, rectum 2). Spinal cord palsy (complete 0; incomplete 1; none 2).
Tumour background knowledge
Overall, metastatic disease is the most common cause of spinal involvement and primary tumours of the spine are rare. Curative resection is possible in a few cases, but palliative intervention is more common. Pain from bony destruction and resultant mechanical instability may respond well to surgical stabilization.
Decompressive surgery may prevent (or prevent progression of) neurological impairment.
Epidemiology
Vertebral body lesions are more likely to be malignant and posterior lesions benign. Under the age of 21 most spinal tumours are benign, over 21 most are malignant. Under the age of 3 metastatic malignant tumours become more common again. Breast, lung, prostate, renal, thyroid and GI malignancies are the most common sources of primary disease.
Surgical treatment
Surgery is increasingly being performed. Following surgery, patients can often expect functional improvement, pain relief, and in a few cases cure. NICE has issued guidelines on the treatment of metastatic cord compression.2 Decompression of compressed neural structures may lead to functional improvement even with prolonged paraplegia.
Simple laminectomy to โdecompressโ the tumour is rarely indicated as the presence of the tumour (most frequently found in the vertebral body) is likely to lead to mechanical instability and thus kyphosis. Instrumented stabilization is frequently undertaken.
Surgical resection of tumour is aimed at improving survival. Resection may be undertaken anteriorly, or posteriorly, or both, and depending on the size and location of the lesion. In general terms, if a curative resection is hoped for, or survival is likely to extend beyond 6 months, intervertebral bony fusion should be undertaken to avoid instrumentation failure. If life expectancy is short and a palliative procedure is being considered, fusion may not be required and posterior surgery is more commonly undertaken.
Radiotherapy
| Mainly used to reduce tumour bulk.
Many GI and renal tumours are resistant but most breast tumours are sensitive.
| ---|---
| Prostate and lymphoreticular tumours respond best.
| There is an increased risk of wound problems with adjuvant radiotherapy (separate radiotherapy and surgery by a period of 6 weeks).|
Minimally invasive surgery and cement vertebral body augmentation
These techniques are novel and their role is yet to be firmly established.
Some patients are too unwell or are unwilling to consider major surgery.
When pain caused by instability does not require decompression, vertebral body augmentation with high viscosity cement (PMMA) may be considered.
Minimally invasive surgery may allow the surgeon to stabilize the spine whilst minimizing soft tissue trauma facilitating a faster postoperative recovery in patients with limited life expectancy.
Specific tumours
- Benign
Haemangioma โ Slow growing and often asymptomatic. Often detected as an incidental finding on imaging.
Osteoid osteoma/osteoblastoma are usually found in the posterior neural arch. Most present with pain (NSAID sensitive). Excision is curative but NSAID may be all that is required.
Osteochondroma are most commonly found on the spinous process (related to the apophysis). Excision is for symptomatic treatment. Sarcomatous change has been described and excision is indicated if a large (> 10 mm) cartilage cap is seen on MRI.
Aneurysmal bone cysts typically affecting the posterior elements and giant cell tumours (affecting the vertebral body) are also seen. - Malignant
Myeloma/solitary plasmacytoma typically presents with pain and can be treated with radiotherapy (highly sensitive), or cement augmentation.
Chordoma is locally aggressive and may present with compression of pelvic contents.
Lymphoma most commonly occurs in the elderly (meanage85)andmorefrequentlyinmenthanwomen.
Chondrosarcoma typically presents with pain and X-rays may show typical matrix calcification.
Osteosarcoma presents in the young (< 20). It is rare and survival is poor (median survival 6โ10 months).
Intradural tumours
In contrast to extradural tumours most intradural tumours are not metastatic.
Extramedullary tumours occur inside the dura but outside the spinal cord. They are usually benign. They cause symptoms by compressing neural structures which can lead to pain or loss of motor function. Examples include neurofibromas, schwannoma (of dorsal sensory roots) and meningioma.
Intramedullary tumours occur within the spinal cord. Most are malignant. Examples include astrocytomas (affecting children), ependymomas (affecting adults), and rarely haemangiomas.
1. Tokuhashi Y, Matsuzaki H, Toriyama S, Kawano H,Ohsaka S. Scoring system for the preoperative evaluation of metastatic spine tumor prognosis. Spine 1990;15(11):1110โ1113.
2. NICE Clinical Guideline 75. Metastatic Spinal Cord Compression. November 2008.
Structuredoralexaminationquestion2: Infection (epidural abscess)
CANDIDATE: In this individual, age, the past history of tumour, the thoracic location of his pain, and the history of trauma are all โred flagsโ. Other possibilities include: fever, weight loss, night sweats, night pain, non-mechanical pain, severe intractable pain, thoracic pain, age over 55 or below 20, a history of carcinoma, steroid use, IV drug abuse, saddle anaesthesia, urinary or bowel symptoms, deformity.
EXAMINER: Here is his MRI scan. What can you see? (Figure 5.2.)
CANDIDATE: This is a sequence of MRI scans, both T1- and T2-weighted MRI scans. There is a lesion in the thoracic spine, which appears to be compressing the spinal cord. The fact that the lesion is bright on the T2 scan implies that this is likely to be fluid filled and suggests an infective aetiology.
CANDIDATE: We are aware of the history of a fall and should establish this manโs neurological status. I would start by obtaining a history and detailed neurological examination. His temperature, routine blood tests (WCC) and inflammatory markers (CRP, ESR) will help confirm the diagnosis of infection.
The most likely diagnosis is an epidural abscess with signs of neurological compression. I would therefore proceed to urgent surgical decompression of the abscess. I would not start antibiotics before obtaining a sample for microbiology and I would also send tissue to pathology (history of tumour).
Infection background knowledge
Spinal infection still remain a serious, potentially lifethreatening problem.
Diagnosis is often delayed.
MRI is the imaging modality of choice.
The vertebral body (osteomyelitis), the intervertebral disc (discitis), or the epidural space (epidural abscess) may be affected.
In the absence of a localized collection and no neurology, initial treatment is conservative and should be treated in a similar way to osteomyelitis. (High-dose intravenous antibiotics for 6 weeks or until CRP normalizes and then oral antibiotics until there are no signs of infection.) Consider radical debridement in persistent infections.
Figure 5.2 T2-weighted sagittal MRI image epidural abscess.
Discitis is more common in younger children and vertebral osteomyelitis more common in adults. The intervertebral disc is vascular in younger children.
In the neonate intraosseous, vertebral arteries anastomose with the adjoining disc through the vertebral end plate. With increasing age the disc loses its vascularity.
Risk factors for infection include intravenous drug use, diabetes, steroid use, chronic infection and other immunocompromised states. Most infections are caused by Staphylococcus aureus or Streptococcus.
Consider decompressing an abscess in the presence of neurology and/or a localized collection. Consider radiologically guided decompression.
Structuredoralexaminationquestion3: The prolapsed intervertebral disc
(a) (b) Figures 5.3a and 5.3b T2-weighted
axial and sagittal MRI images showing paracentral disc L5/S1 prolapse.
CANDIDATE: Dermatomal limb pain that predominates over back pain, described as burning in nature, associated with paraesthesia and numbness. Examination should reveal positive nerve root tension signs, altered sensation in the affected dermatome and a decreased ankle jerk reflex on that side. Also, I would like to rule out serious spinal pathology or signs of a cauda equina syndrome.
EXAMINER: You request an MRI scan, here it is, what can you see? (Figure 5.3.)
CANDIDATE: This is a T2-weighted MRI scan showing the lumbar spine in coronal and sagittal section. There is a paracentral disc prolapse at the L5/S1 level.
CANDIDATE: I would expect the pain, paraesthesia and numbness to be in an S1 distribution (posterior calf, heel and lateral border of the foot) on the left. There may be an associated subjective decreased sensation in the same distribution, a decreased ankle jerk on that side, decreased straight leg raise and positive cross-over sign.
CANDIDATE: Initially conservatively as the natural history of most lumbar disc prolapses is that they resolve with time. If it has not resolved after 6โ12 weeks of conservative management I would offer the patient microdiscectomy.
Disc prolapse background knowledge
The clinical features and treatment options for disc prolapse vary depending on age and the location of the prolapsed disc.
In children the symptoms and signs of disc prolapse are less well defined and back pain is a more prominent feature. Nerve root tension signs are also less likely to be positive and spontaneous resolution is less likely.
Figure 5.4 T2-weighted MRI showing a thoracic disc prolapse.
A thoracic disc prolapse (rare) will typically present with symptoms and signs of spinal cord compression associated with thoracic back pain (Figure 5.4). The discs are usually calcified and require decompression from the front. Treatment therefore is via a thoracotomy and partial vertebrectomy.
A cervical disc prolapse may present with symptoms and signs of a cervical radiculopathy or cervical myelopathy.
Cauda equina syndrome
Cauda equina syndrome caused by compression of the cauda equina (usually by a large acute disc prolapse) is characterized by some or all of the following:
Urinary retention.
Faecal incontinence.
Saddle area numbness and loss of anal tone.
Widespread neurological signs.
The importance of detecting cauda equina syndrome early is that early intervention (< 24 hours) has been shown to improve outcome. More recently the extent of the compression has also been linked to outcome and the importance of timing questioned.1
Exiting nerve roots in the cervical and lumbar spine
The knowledge that the L4 nerve root exits the spinal canal below the L4 pedicle may (incorrectly) lead the candidate to expect the L4 nerve root to be compressed when a disc prolapse occurs below the L4 vertebra in the L4/5 interspace. It is best to think of this nerve root as โalready having left the canalโ and therefore it is the L5 โtraversingโ nerve root that is most commonly compressed by the common โparacentralโ disc prolapse. (It is true to say that a โfar lateralโ disc prolapse may compress the exiting nerve root in the exit foramen but this is rare.) Thus an L4/5 disc prolapse commonly affects the L5 nerve root.
In the cervical spine, a prolapsed disc typically affects the exiting nerve root at that level (there is no traversing nerve root because the roots leave the spinal cord and exit the canal almost horizontally). But there is a nomenclature change in the cervical spine. Because the C6 nerve root exits above (not below) the C6 vertebra this double change means a prolapsed cervical disc at the C5/C6 level most commonly affects the C6 nerve root.
Nomenclature
A herniated disc is a localized displacement of nucleus pulposus beyond the normal limits of the disc. This can be broad-based (involves between 20% and 50% of the disc circumference), focal (involves < 25%) or symmetrical (involves 50โ100% of the circumference of the disc).
A focal disc herniation may be described as a protrusion or extrusion. An extruded disc has a narrow โneckโ at its base. Extruded disc material is sequestrated if it is no longer in continuity with the disc.2
1. Sell P, Qureshi A. Cauda equina syndrome treated bysurgical decompression: the influence of timing on surgical outcome. Eur Spine J 2007;16:2143โ2151.
2. Fardon D, Milette P. Nomeclature and classification oflumbar disc pathology. Recommendations of the Combined Task Forces of the North American Spine
Society, American Society of Radiology, and American Society of Neurology. Spine 2001;26(5):E930E113.
Structured oral examination question 4: Scoliosis
EXAMINER: What can you see? (Figure 5.5.)
CANDIDATE: This is an AP radiograph showing the spine, ribs and iliac crests. There is a left-sided, lumbar scoliosis.
CANDIDATE: The radiograph shows a congenital scoliosis. There is a hemivertebra within the lumbar spine producing the scoliosis.
Scoliosis occurs in different groups of patients and can be classified according to aetiology. Scoliosis may be idiopathic, congenital, neuromuscular or associated with other conditions such as Marfanโs syndrome or neurofibromatosis.
Figure 5.5
Anteroposterior (AP) radiograph of the thoracic and lumbar spine demonstrating a left-sided lumbar scoliosis.
CANDIDATE: The primary indication for treating a scoliosis is progressive deformity. Additionally, patients with โearly-onsetโ scoliosis and some types of neuromuscular scoliosis are at risk of progressive cardiorespiratory compromise as the curve deteriorates.
CANDIDATE: I would refer this patient to a specialist centre for treatment. I suspect that, if after monitoring the curve, it shows signs of progression they might consider excising the hemivertebra.
CANDIDATE: The patient is positioned in the lateral position with the limbs and trunk supported. The table is โbrokenโ with apex at the thoracolumbar junction. A skin incision is made over the 10th rib and curved distally to run longitudinally along the lateral border of rectus abdominus. Skin and fat are incised, as are serratus anterior, external oblique and latissimus dorsi. The rib is removed subperiosteally. The parietal pleura is incised exposing the lung and diaphragm.
A key step in this procedure is splitting the costal cartilage to enter the retroperitoneum. Retroperitoneal fascia is swept away with swabs. The diaphragm is divided 2 cm from its origin down to the vertebrae using marking stitches. Segmental vessels are ligated and the discs above and below the vertebrae excised.
Scoliosis background knowledge Scoliosis is defined as a lateral curvature of the spine in the coronal plane that measures more than 10 using the Cobb method. When present it usually forms part of a three-dimensional spinal deformity. It is sometimes described as a four-dimensional deformity (the fourth dimension being time, emphasizing the progressive nature of the condition).
The key to treating scoliosis is knowledge of the natural history of the condition in order to predict curves that are likely to deteriorate rapidly so that they can be detected and treated at an early stage. Scoliosis has been classified according to severity, location, aetiology and age of onset.
Severity โ The Cobb angle also defines the magnitude of the curve with minor (small) curves measuring between 10 and 25, moderate curves between 25 and 50 and severe (large) curves measuring over 50.
Location โ The โsideโ of a scoliosis is the side of the patient to which the spine deviates away from the midline, it is the side of the convexity of the curve. A scoliosis is also described by the region of the spine that it affects. The Scoliosis Research Society have defined a โthoracicโ scoliosis as having its apex between T2 and the T11โT12 disc, a โthoracolumbarโ curve as having its apex between the T12 and L1 vertebrae and a lumbar scoliosis as having its apex between the L1โ2 disc space and L4. The apex of the curve is located by the most laterally deviated vertebra. Curves can be single, double or triple โmajorโ curves depending on whether the curves above and below the main curve are flexible or structural (flexible curves reduce to less than 25 on lateral bending).
Aetiology โ Scoliosis is classified according to its aetiology and pathogenesis.
| Idiopathic (the largest group โ 70%). In this group the scoliosis is produced by an imbalance in the growth of the spine with the convexity of the curve growing at a faster rate than the concavity.
| ---|---
| Congenital scoliosis. In this group abnormalities of one or more vertebrae are present at birth. The subsequent growth of these abnormal vertebrae cause the scoliosis. (The name might be confusing as it is the vertebral abnormalities that are present at birth and the scoliosis develops later with growth.)
| Neuromuscular (cerebral palsy, Duchenne muscular dystrophy, spinal muscular atrophy). In this group the scoliosis is produced by a lack of support to the spine causing the spine to collapse to one side.
| Miscellaneous conditions associated with scoliosis (5% โ e.g. Marfan syndrome, neurofibromatosis).|
Age of onset โ Idiopathic scoliosis has been classified by age into infantile (age 0โ3 years), juvenile (3โ10 years) and adolescent (10โmaturity) idiopathic scoliosis. An alternative classification divides scoliosis into early-onset scoliosis (associated with a high risk of cardiorespiratory compromise as the developing heart and lungs may be affected) which has its onset before the age of 7 and late-onset scoliosis which has its onset after the age of 7. (The age of 7 is used by the AO group โ others
have suggested 5.)1,2
The assessment of a spinal deformity
The assessment of spinal deformity should aim to detect conditions that might mimic (leg length discrepancy, disc prolapse) or be associated with a scoliosis. It should also characterize the patient in terms of skeletal maturity and fitness for anaesthetic as well as characterizing the scoliosis itself. Finally it should formulate a treatment plan.
History โ key features
Curve onset and progression.
Maturity (age, menarche, height relative to parental height, recent growth).
General health/fitness for anaesthesia (especially in neuromuscular group). Although patients with scoliosis do experience back pain, scoliosis is not typically thought of as a painful condition. Severe pain may indicate the possibility of an underlying cause (prolapsed disc, osteoid osteoma, spondylolisthesis).
Examination โ key features
Height, arm span, weight and assessment of maturity (secondary sexual characteristics).
Assessment of the curve (location and severity).
Common associated problems (rib prominence, shoulder height, pelvic asymmetry, skin creases, hairline and neck shape).
Features of spinal dysraphism such as hairy patches on the back overlying the spine.
Neurological examination โ abnormal abdominal reflexes are most commonly associated with intraspinal anomalies.
Adamโs forward bend test.
Investigations
X-ray: Full-length standing AP and lateral plane radiographs showing the ribs, iliac crests and hip joints. Risserโs sign grades the progression of development and fusion of the iliac apophysis, is visible on plain X-rays and is a useful indication of maturity.
MRI scanning of the spine can be used to detect underlying intraspinal anomalies such as diastomatomyelia, syringomyelia and ArnoldโChiari malformations (particularly in atypical curves).
Surface topography is also frequently used to assess scoliosis. This can produce an objective assessment of the results of surgery but in some circumstances can also be used instead of frequent X-ray when following up the progression of curves.
Pattern recognition
The most common type of curve seen is a late-onset adolescent idiopathic scoliosis with a โright thoracicโ curve presenting in a girl just after menarche. Atypical features indicate possible underlying pathology (e.g. left-sided curves, severe pain, rapid progression and short angular deformities.)
Late-onset (adolescent idiopathic) scoliosis
Late-onset (adolescent) idiopathic scoliosis is the most common form of scoliosis (70%).
Prevalence of curves over 10 is 2% (female 1 : 1 male).
Prevalence of curves over 20 is 0.2% (female 5.4 : 1 male).
There is a genetic tendency to develop scoliosis with 20% of affected individuals having at least one affected family member.
The development and progression of scoliosis is related to skeletal growth, typically deteriorating most rapidly during the adolescent growth spurt. Features that indicate an increased likelihood of curve progression are therefore associated with but not limited to immaturity. They are:
Young age at onset.
Premenarchal status. Physical immaturity.
Large curves.
Female gender.
Once skeletal maturity is reached the scoliosis tends to stabilize and progress less rapidly (1 per year).
Treatment
- **Bracing **
| Applied for progressive curves measuring 25โ40. Not thought of as corrective but aims to prevent progression of the curve whilst growth continues aiming to reduce the need for surgery.
| ---|---
| To be effective, a brace needs to be worn 23 hours a day.
| Not without morbidity.| - Surgery
The aim of surgery is to (partially) correct and stabilize the curve, reducing the deformity and the risk of further progression. Instrumentation is used to correct and stabilize the curve whilst bone graft stimulates fusion of the spine. Indications: Unacceptable deformity.
Progressive curves. Usually reserved for curves with a magnitude > 50.
Earlier intervention is indicated in curves with greater potential for progression.
Approaches:
With โthird-generationโ instrumentation (segmental pedicle screws), there has been a recent trend towards the posterior approach.
Consider anterior approach for thoracolumbar curves.
When selecting which levels to fuse, the first question to ask is, is there just one curve to fuse or more than one? This is the same as asking: are the curves above and below the primary curve sufficiently correctable/flexible? If on the lateral bending X-ray the โcompensatoryโ curve bends down to less than 25, it does not need to be included in the construct.
Early-onset scoliosis
Applies to patients under the age of 7 years with an idiopathic scoliosis.
The developing heart and lungs may be affected by the scoliosis.
Cardiorespiratory compromise may result from a progressive curve resulting in decreased life expectancy.
Patients that present with an idiopathic scoliosis below the age of 3 (infantile scoliosis) have the most heterogeneous prognosis. A significant number (80โ 90% of curves) will resolve before the age of 2 years. However, those that do not resolve go on to develop extremely severe curves that cause major deformity and affect cardiac and respiratory function leading to death in early adult life. Treatment is problematic and prolonged. The most common forms of treatment are serial plaster jackets (localizer casts), subsequently bracing and eventually growing rods.
Neuromuscular scoliosis
Occurs in association with a neuromuscular condition.
Typical collapsing long โCโ shaped curve (other patterns have been described).
Classified into upper motor neurone, lower motor neurone and myopathic.
The two most frequently encountered neuromuscular conditions causing scoliosis are cerebral palsy and Duchenne muscular dystrophy.
Duchenne muscular dystrophy: In almost all patients with Duchenne muscular dystrophy (90%) a scoliosis will develop 1โ2 years after the loss of ambulatory function.
Cerebral palsy: The likelihood of developing a curvature is related to its severity. Overall 25โ30% of patients with cerebral palsy develop a scoliosis but in four-limb cerebral palsy the incidence of scoliosis increases to 75%. In cerebral palsy the average age of onset of a scoliosis is approximately 10 years.
In this group the problems associated with scoliosis include:
| Pressure sores.
Pain from costo-pelvic impingement.
Problems with sitting balance causing patients to become hand-dependent sitters, which in turn limits upper limb function.
| ---|---
| Reflux and swallowing difficulty and associated chest complications.|
Treatment
The goals of treatment in neuromuscular scoliosis are improved quality of life, maintenance of function, maintenance of respiratory function and sitting balance. Treatments include:
Bracing/total contact orthoses (permanent/ continuous).
Wheelchair modifications.
Surgery โ posterior spinal fusion.
In cerebral palsy high levels of care-giver satisfaction following surgery have been reported.3 Similar benefits are seen in Duchenne muscular dystrophy and surgery may also allow patients to live for longer, having an additive effect with nocturnal ventilation in delaying the deterioration of respiratory function.
Congenital scoliosis
| Scoliosis develops as a result of the growth of vertebral anomalies present at birth.
| ---|---
| The vertebral anomalies may be part of the VATER or VACTERL associations.
| Multiple vertebral anomalies are often hereditary. Isolated anomalies are mostly sporadic.|
No single genetic or environmental cause has been identified.
Classification: Anomalies present can be failures of formation or segmentation. More common congenital vertebral anomalies include the unilateral unsegmented bar, the hemivertebra (either fully segmented, semi-segmented or incarcerated), wedge vertebra and block vertebra. A fully segmented hemivertebra is one that has growth plates cranial and caudal to it.
Progression of congenital curves depends on growth potential and whether that growth is balanced. Thus a fully segmented hemivertebra in connection with a contralateral unsegmented bar has the least balanced growth and the worst prognosis. A block vertebra on the other hand has benign prognosis rarely leading to a curve beyond 20.
1. Aebi M, Arlet V, Webb J. AO Spine Manual. New York: Theime Publishing, 2007.
2. Dickson RA. Early-onset scoliosis. In Weinstein SL (Ed.),The Paediatric Spine: Principles and Practice. New York: Raven Press, 1994.
3. Tsirikos AI, Chang WN, Dabney KW et al. Comparison of parentsโ and caregiversโ satisfaction after spinal fusion in children with cerebral palsy. J Ped Orthop 2004; 24(1):54โ58.
Structuredoralexaminationquestion5: Lumbar spinal stenosis and cervical myelopathy
(Figure 5.6.)
CANDIDATE: Yes. The images are T2-weighted MRI scans showing the lumbar spine in axial and sagittal section. Both sagittal and axial scans show significant narrowing of the spinal canal, judging from the sagittal scan this appears to be at the L4/5 level.
CANDIDATE: Neurological examination of patients with lumbar spinal stenosis is often remarkably normal. The stenosis arises as a consequence of dehydration of the intervertebral disc leading to bulging of the disc, overload and hypertrophy of the facet joints, segmental instability and hypertrophy of the ligamentum flavum and osteophyte formation.
Figures 5.6a and 5.6b T2-weighted MRI axial and sagittal images of lumbar stenosis.
CANDIDATE: Patients with symptomatic lumbar spinal stenosis typically present with neurogenic claudication. Neurogenic claudication is a reduction in walking distance as a result of bilateral aching leg pain, a feeling of heaviness, fatigue, numbness and unsteadiness in the lower limbs. Symptoms are frequently reduced by rest and bending forward. Bending forward flexes the lumbar spine, reducing the lumbar lordosis, and increases the space available for the cauda equina within the spinal canal. Activities that involve flexion of the lumbar spine (e.g. walking uphill, upstairs, pushing a shopping trolley and cycling) are frequently found to be easier than less arduous tasks that extend the lumbar spine (increasing the lordosis).
The most common differential diagnosis is vascular claudication. Clinical examination with palpation of peripheral pulses as well as ankleโbrachial pressure measurement is required. Standing relieves vascular claudication whereas neurogenic claudication may be made worse.
EXAMINER: Here is an MRI scan showing severe narrowing of the cervical spinal canal. Is this likely to present in the same way? (Figure 5.7.)
CANDIDATE: No, in this case we are at the level of the spinal cord rather than the cauda equina. There is a bulging cervical disc at the (most common) C5/6 level and the patient will present with symptoms of cervical myelopathy.
CANDIDATE: Cervical myelopathy presents with upper motor neurone signs and symptoms in both upper and lower limbs. Symptoms include decreased coordination, loss of fine dexterity (e.g. buttoning a shirt, handwriting, manipulating small objects), balance and gait problems, and problems with bowel and bladder function. Typically symptoms follow a slow, progressive course deteriorating in a stepwise manner with stable periods and periods of rapid deterioration. Balance and walking problems may lead to patients complaining of frequent trips, falls or bumping into things.
Associated (upper motor neurone) signs include: a wide based unsteady gait, upper and lower limb weakness, hyper-reflexia, intrinsic muscle waiting in the hand, positive Babinski and Hoffman signs and an inverted radial reflex.
Stenosis background knowledge
Lumbar spinal stenosis can occur within the spinal canal, the lateral recesses or the intervertebral (neural exit) foramen. Central stenosis may be asymptomatic

Figure 5.7 T2-weighted sagittal MRI image demonstrating cervical stenosis.
or it may give rise to the symptoms of neurogenic claudication. Lateral recess stenosis or foraminal stenosis may lead to unilateral or dermatomal symptoms. Stenosis is frequently associated with a degenerative spondylolisthesis (which will be discussed in more detail in the next section).
Distinguishing between neurogenic claudication and vascular claudication:
| Symptom | Type of claudication |
| --- | --- |
| Neurogenic | Vascular |
| Pain | Worse on standing | Relieved by standing |
| Numbness | Present | Absent |
| Site of pain | Buttock/thigh | Calf (rarely anterior) |
| Relieving factors | Bending forward | Standing |
| Walking distance | Reduced and |
| variable | Reduced and |
fixed
Worse going
| Downstairs
| Upstairs
Hoffmanโs sign โ Flicking the distal phalanx of the middle finger produces reflex contraction of thumb and index finger.
Babinskiโs sign โ Extension of the toes on scraping/firmly stroking the sole of the foot.
Anterior approach to the cervical spine
Many right-handed surgeons prefer the right-sided approach. The left-sided approach has been reported as having a lower rate of recurrent laryngeal nerve injuries. Consider using a foot rest and tapes over the shoulders (acromion) to allow as much of the cervical spine to be exposed as possible for lateral imaging. The head is positioned on a horseshoe ring and neck is in slight extension(towel rollbetween shoulders). The skincrease incision is made in line with the following landmarks.
C3/4 โ Hyoid bone
C4/5 โ Laryngeal prominence
C5 โ Thyroid cartilage C6 โ Cricoid cartilage
Platysma is incised in line with the skin incision and the fascia dissected to expose the medial border of sternocleidomastoid. The plane between the larynx and oesophagus medially and the carotid sheath laterally is dissected using blunt dissection. The omohyoid muscle is retracted or divided. Pre-cervical fascia is divided medial to the neurovascular bundle and further blunt dissection exposes the longus colli muscles. These are elevated and a retractor placed. The intended spinal procedure can then be undertaken.
Anterior cervical decompression and fusion provides excellent results and has a low complication rate. The anterior approach allows access to the cervical disc that can be removed along with osteophytes at the posterior aspect of the vertebral body. It allows removal of most lesions causing myelopathy or radiculopathy. Placement of anterior bone graft between the vertebral bodies in the excised disc space helps to decompress the exit foramen indirectly and facilitates fusion.
Complications include pseudarthrosis (increased in smokers), hoarse voice and swallowing problems caused by retraction or injury to the recurrent laryngeal nerve (2โ5%). This may also be caused by placement of the ET tube (more common). Graft complications also include the graft loosening and migration. Fusion alters the mechanics of the cervical spine, increasing the lever arms of forces acting at adjacent levels, and there is a significant rate of adjacent level degeneration.
One contributing cause of cervical stenosis may be ossification of the posterior longitudinal ligament, particularly in Japanese individuals.
Cervical disc replacement
Cervical disc replacement is a newer technique which treats similar pathologies through the same anterior approach but attempts to preserve motion in the cervical spine by replacing the cervical disk with materials similar to those used in large joint arthroplasty. Initial results are encouraging.1
1. Murrey D, Janssen M, Delamarter R et al. Results of the prospective, randomized, controlled multicenter Food and Drug Administration investigational device exemption study of the ProDisc-C total disc replacement versus anterior discectomy and fusion for the treatment of 1-level symptomatic cervical disc disease. The Spine J 2009;9:275โ286.
Structuredoralexaminationquestion6: Spondylolisthesis
EXAMINER: What is this? (Figure 5.8.)
CANDIDATE: I can see T2-weighted sagittal and coronal MRI images showing the lumbar spine and there is a spondylolisthesis at L5/S1.
CANDIDATE: Spondylolisthesis is graded according to Meyerdingโs grading system which is graded IโIV according to how far from posterior to anterior the more cranial vertebral
Figure 5.8

T2-weighted MRI sagittal demonstrating L5/S1 spondylolisthesis. body has slipped forward. Grade I is less than a ยผ (25%), grade II is ยผ โ ยฝ (25โ50%), grade III is ยฝ โ 34 (50โ75%) and grade IV is > 34 (>75%). A spondyloptysis is a slip greater than 100% where the more cranial vertebral body lies anterior to the more caudal one (grade V).
Five different types of spondylolisthesis were described by Wiltze
I. Dysplastic โ Congenital abnormalities of the sacrum or L5 allow the slip to occur.
II. Isthmic โ Here the defect is in the pars and it is subdivided into a lytic failure, an acute fracture, or an elongated but intact pars.
III. Degenerative โ This is due to degenerative change that produces intersegmental instability (due to changes in disc, joint capsules and facet joints).
IV.Traumatic โ Due to a fracture (but not of the pars,
e.g. pedicle).
IV.Pathological โ Caused by local bone disease (disease may not be localized).
Spondylolisthesis background knowledge
Note: When considering an isthmic (spondylolytic) spondylolysis the โstepโ in the spinous processes posteriorly the step in the posterior elements will occur one level above that of the pars defect. The posterior element step is at L4/5 in an L5 spondylolysis (the spondylolisthesis being at L5/S1).
In children spondylolytic (isthmic) spondylolisthesis at the L5/S1 junction is more common. Approximately 50% of spondylolyses have a spondylolysis without the associated slip. It is twice as common in men as in women. Typically it first occurs during or just before adolescence and may progress until skeletal maturity. There is a genetic component with between one-third and two-thirds having a family member affected. It may also be associated with spina bidifa (up to 40%). The main symptoms are usually a dull aching pain in the low back and buttocks exacerbated by activity; this may be associated with an L5 radiculopathy. Many are asymptomatic. Of symptomatic children the majority (90%) also become symptomatic again in adult life. Hamstring shortening is a common finding on examination. In high grade slips adolescents may present with a โspondylolytic crisisโ in which pain, neurological compromise and the PhalenโDickson sign of flexed hips and knees and a waddling gait when walking may all be present.
Conservative management (activity modification, +/ bracing) may allow healing of the pars defect. Core stability exercises, hamstring stretching and bracing all have a role. Surgical stabilization may be considered if conservative management fails or a progressive slip is identified. Patients should be followed up until skeletal maturity after which it is unlikely that the slip will progress.
Degenerative spondylolisthesis most commonly occurs at the L4/L5 level and is frequently associated with stenosis at that level. There is an intact neural arch and the slip is caused by instability of the motion segment, in turn caused by dehydration of the disc and loss of disc height as well as facet joint degeneration. This type is five times more common in women than in men. Symptoms may be of back pain radiating into the thighs, radicular symptoms (50%), or symptoms of neurogenic claudication.
Structuredoralexaminationquestion7: Spinal trauma
EXAMINER: A 26-year-old man crashes his motor-bike and sustains the fracture shown. How would you go about assessing a patient with a suspected spinal injury? (Figure 5.9.)
CANDIDATE: Neurogenic shock should be distinguished from hypovolaemic shock. Relative bradycardia and warm peripheries indicate the cause of shock is loss of sympathetic tone secondary to spinal cord injury (SCI).
(a) (b)

Figures 5.9a and 5.9b CT scan images of a thoracic spinal fracture.
Spinal shock is transient neurological dysfunction that is caused by a contusion or oedema of the spinal cord that usually resolves over 24โ72 hours. The bulbocavernosus reflex (usually tested by pulling on an indwelling catheter) is the first reflex to return.
CANDIDATE: I would use the AO classification. This divides thoracolumbar fractures into three types: A, B and C based on the mechanism of injury. Type A fractures are compression type injuries and are subdivided into three subtypes (type 1 โ wedge, type 2 โ pincer and type 3 โ burst fractures). Type B fractures are distraction injuries associated with a fracture or ligamentous injury to the posterior column (flexionโ distraction or hyper-extension injuries). They are subdivided into three types: type 1 โ posterior ligamentous injury with anterior injury, type 2 (chance type) fractures of both anterior and posterior elements with distraction posteriorly, type 3 are associated with anterior distraction. Type C injuries are injuries that occur with rotation. The subtype C1 are A type fractures with rotation, C2 are B type fractures with rotation and C3 injuries are injuries with rotation and shear. Fractures become more unstable as type progresses from A to C and subtype from 1 to 3.
CANDIDATE: Incomplete spinal cord injuries are more likely to recover than complete injuries. Sacral sparing implies an incomplete lesion and improved prognosis. Spinal surgery attempts to decompress the injured spinal segment and stabilize the injury. Decompression aims to remove compression (either direct or indirect) but currently there is limited evidence showing improved neurological outcome. Stabilization of the spine reduces pain, facilitates patient handling and allows earlier mobilization helping prevent the complications associated with recumbency. Surgical stabilization prevents further displacement in unstable fractures preventing further injury and late deformity with better posture and balance. (A stable fracture is one that will not displace under normal physiological loads.)
1. The Initial Care and Transfer of Patients with Spinal Cord Injuries. London: British Orthopaedic Association, 2006.
Spinal trauma background knowledge
Vaccaro and colleagues have devised the TLICS system (thoracolumbar injury classification and severity score) for decision making in spinal trauma,1 based on the configuration of the fracture, neurological state of the patient and the integrity of the posterior ligamentous complex. Compression fractures score 1, burst fractures 2, translational/rotation injuries 3 and distraction injuries 4. Patients that are neurologically intact score 0, nerve root or complete spinal cord injuries 2 and incomplete injuries 3. The posterior ligamentous component scores 0 if the ligament is intact, 2 if it is suspected and 3 if it is confirmed.
Patients with a score of < 3 are considered not to be operative candidates, and those with scores > 5 are considered for surgery.
1. Lee JY, Vaccaro A, Lim MR et al. Thoracolumbar injury classification and severity score: a new paradigm for the treatment of thoracolumbar spine trauma. J Orthop Sci 2005;10(6):671โ675.
Neurological injury
Neurological injury can be classified as โcompleteโ or โincompleteโ. Incomplete injuries have a better potential for recovery. Various patterns of incomplete injury have been described:
Anterior cord syndrome โ Loss of motor function with sparing of proprioception and pressure sensation (poor prognosis).
Posterior cord syndrome โ Rare, there is loss of proprioception and pressure sensation but no motor loss (prognosis for recovery is relatively good).
Central cord syndrome โ This is the most common with mixed motor and sensory loss typically greater in upper than lower limbs (prognosis for recovery is fair).
BrownโSequard (hemicord) syndrome โ Ipsilateral motor function and contralateral pain and temperature sensation. Commonly caused by penetrating injury and carries the best prognosis.
Complete injuries have no function below a certain level. The โlevelโ of the injury is determined by distal-most level with intact motor and sensory function (power 3/5, sensation 2/2 โ intact light touch). Frankel grading system:
A โ Complete paralysis.
B โ Sensory preservation below level of injury โ no voluntary motor function.
C โ Sensory preservation below level of injury โ useless motor function.
D โ Sensory preservation below level of injury โ useful voluntary motor function.
E โ Normal function.
Specific fractures
Occipital condyle fractures: Rare, mostly detected on CT, associated with cranial nerve dysfunction. Classified by Anderson and Montesano (Type I comminuted axial impact fracture, Type II continuous with base of skull fracture, Type III avulsion at the attachment of the alar ligament). Treatment for types I and II is a cervical collar. Type III treated with halo vest or with occipitocervical fusion.
Atlanto-occipital joint subluxation: Rare,
Powersโ ratio defines subluxation (> 1 anterior subluxation < 1 posterior). Treatment is with halo-vest.
C1 (Atlas) fractures: Commonly associated with other injuries. Widening of lateral masses on โopenmouthโ view or CT. Classified by Levine and Edwards into Type I posterior arch fractures, Type II lateral mass fractures and Type III burst fractures (also known as Jefferson fractures). Treatment is with halo-vest immobilization.
C2 (Axis) fractures: two main groups
Anterior odontoid peg (Dens) fractures have been classified by Anderson and DโAlonzo into three types that guide treatment.
1. Fracture of the tip โ treat symptomatically.
2. Fracture of the base of the odontoid. High rate of non-union. Treatment is either posterior stabilization or odontoid screw fixation. (Consider halo-vest immobilization if minimally displaced.)
3. Fracture through vertebral body. Management is usually with a halo vest.
The second group of C2 fractures are the pars (Hangmanโs) fractures that represent a traumatic spondylolisthesis. Some are associated with facet joint dislocations which require reduction (open or closed), otherwise treat in halo vest.
C3 to C7 (subaxial) fractures
These comprise 80% of cervical spine fractures. Treatment of these injuries is guided by the Allen and Fergusson classification and is based on the mechanism of injury.
Vertical (axial) compression injuries
Stage 1 โ Compression only โ treat with a cervical collar.
Stage 2 โ Compression and fracture with minimal displacement โ treat with cervical collar or halo vest. Stage 3 โ Fracture with displacement or fragmentation โ may require surgery
Flexionโcompression injuries
Stage 1 โ Blunting of superior endplate โ treat in cervical collar.
Stage 2 โ Vertebral body beaking โ treat in cervical collar.
Stage 3 โ Beak fracture โ consider surgery.
Stage 4 โ Retrolisthesis < 3 mm โ consider surgery.
Stage 5 โ Retrolisthesis > 3 mm โ consider surgery.
Flexionโdistraction injuries
This mechanism frequently causes facet joint dislocations as a result of failure of the posterior tension band. Diagnosed on oblique radiographs. Treat with reduction (skull traction up to one-third body weight) and subsequent fusion.
Note: With reduction there is a risk of further injury that can be caused by an associated disc injury anteriorly. An MRI scan prior to reduction is required.
Extensionโcompression injuries
These injuries cause failure of the posterior elements in compression. Minor (minimally displaced) injuries can be treated in a cervical collar; posterior fusion surgery is considered for more severely displaced or comminuted fractures.
Extensionโdistraction injuries
The anterior column fails under distraction with anterior longitudinal ligament injuries associated with a vertebral body fracture. Displaced fractures require surgical stabilization. Minimally displaced injuries may be treated in a halo vest.
Lateral flexion injuries
Lateral flexion injuries typically either cause a unilateral compression fracture or a unilateral compression fracture with a distraction injury on the contralateral side. Displaced fractures associated with a contralateral injury require surgical stabilization. Minimally displaced injuries may be treated in a halo vest.
Sacral fractures*
Denis Classification:
Zone 1 injuries lateral to the sacral foramina (L5 may be injured).
Zone 2 injuries through the sacral foramina (15% have sacral root injuries).
Zone 3 injuries medial to the foramen (30โ50% have sacral root injuries).
Surgical treatment is indicated for fractures with neurological injury of displaced fractures.
Notes on various other viva scenarios
- Structure of the intervertebral disc
Draw the structure of the intervertebral disc and describe the biochemical changes within the disc with ageing (Figure 5.10).
Increasing age is associated with progressive dehydration of the intervertebral disc. Histologically, the boundary between the nucleus pulposus and the annulus fibrosus becomes less distinct. There is a progressive loss of agrecan and water from the extracellular matrix and an increase in proteases. There is an increase in the keratin to chondroitin sulphate ratio.
Pagetโs disease
Pagetโs disease is a disorder of metabolism affecting the turnover of bone. Local exaggeration of osteoclastic resorption of bone is followed by exaggerated deposition of bone resulting in deformed and misshapen bones. A third of patients with Pagetโs disease have spinal involvement. In the spine it may give rise to symptoms as the result of stenosis or localized compression of a nerve, giving rise to radiculopathy (serum alkaline phosphatase is elevated, calcium is normal, urinary hydroxyproline is elevated). Conservative management is with NSAIDs and bisphosphonates. Surgery is rarely undertaken because of a significantly increased risk of bleeding.
Annulus fibrosus Figure 5.10
(type I collagen) Diagram of
intervertebral disc structure.
Lamellae
Diffuse idiopathic skeletal hyperostosis (DISH)
Also called Forestierโs disease this idiopathic condition most commonly affects the thoracic region and there is a progressive (โflowingโ) ossification of the spinous ligaments. The ossification is defined as โnon-marginalโ syndesmophytes to distinguish it from ankylosing spondylitis. It is associated with chronic back pain and is more common in patients with diabetes and gout and an increased risk of heterotopic ossification after hip arthroplasty.
Ankylosing spondylitis
Ankylosing spondylitis is a systemic inflammatory arthropathy that affects the spine. It is associated with HLA-B27 in 90% of cases and affects men and women equally although men are typically more severely affected. Onset is usually between 15 and 35 years of age and diagnosis is often delayed. Physiotherapy and anti-inflammatory medication is the mainstay of treatment. Physiotherapy and postural exercises aim to prevent deformity. Surgery in the form of spinal osteotomy may be considered to correct fixed deformity.
Spinal fractures in these patients are often unstable because of the long lever-arms generated by the fused segments and involvement of all columns.
Minimally displaced fatigue fractures or fractures as the result of minor trauma are easily missed. Fractures that correct pre-existing deformities are associated with a high (30โ75%) rate of neurological injury. Because fractures are more likely to be unstable surgery is more often required and decompression with long (rather than short) segment stabilization is required. Bone grafting techniques
Spinal fusion procedures play an integral role in many aspects of spine surgery and a picture of a spinal fusion may lead on to questions about the biology of bone grafts. Different regions that can be fused are:
Within the facet joints (Moe โinterfacetalโ fusion). Between the transverse processes โ โIntertransverseโ or โposterolateralโ fusion.
Between the vertebral bodies โ PLIF โ posterior lumbar inter-body fusion.
ALIF โ anterior lumbar inter-body fusion.
Both PLIF and ALIF aim to fuse the vertebral bodies but the surgical approach is either through a posterior or anterior approach.
Autograft, allograft and bone graft substitutes, and bone morphogenic protein are all available to facilitate spinal fusion. Autograft (typically from the iliac crest) is regarded as the โgold standardโ but there is associated donor site morbidity.
Chapter Shoulder and elbow structured
6 Asir Asteroral questions
Introduction
Viva is like playing a game. The candidate should know the subject well, have a game plan and should know the opponent (who has been bored by the previous unchallenging candidates). A candidate who asks clever questions and answers appropriately will gain control (over the examiner) making it a rewarding 5 minutes (for both examiner and candidate) and more importantly will score highly in the viva. An examiner relishes a candidate who takes control and makes his life easy.
Avoid guess work. Avoid talking generally about the shoulder conditions to fill the time if your aim is to score well. A targeted question or answer will take you far.
Again I must stress the importance of time management in viva, as you have got only 5 minutes to score either 8 or 4.
The main aim of this chapter is to express the importance of the viva techniques and therefore it is not written as a textbook. Analyse the good as well as the poor techniques illustrated in the scenarios and follow the ones you find useful.
| Section 2 | Adult Elective Orthopaedics and Spine |
| --- | --- |
Shoulder
In a shoulder structured oral question try to analyse the question according to its presentation. Broadly, the shoulder pathology could be classified as painful, weak, stiff or unstable conditions. Shoulder pathology varies with different age groups and therefore you should have a list of age-related diagnoses clear in your mind, which will be helpful in the viva. There can be overlaps of these conditions, for example a painful stiff shoulder may represent frozen shoulder or acute calcific tendonitis. Therefore candidates should have a list of conditions and one or two classic questions to differentiate one from another, to lead into the scenario comfortably right from the start.
Structured oral examination question 1
EXAMINER: This is a radiograph of the left shoulder of an
84-year-old lady. Describe the radiograph please. (Figure 6.1.)
CANDIDATE: Well ... Good morning.
This is the plain radiograph of an 84-year-old ladyโs left shoulder ... anteroposterior (AP) view. There is evidence of joint destruction with loss of articular anatomy.
CANDIDATE: Well, to be certain I need to ask a few questions and examine the patient.
Figure 6.1
Postgraduate Orthopaedics: Viva Guide for the FRCS (Tr & Orth) Examination, ed. Paul A. Banaszkiewicz and Deiary F. Kader. Published by Cambridge University Press. ยฉ Cambridge University Press 2012.
Anteroposterior (AP) radiograph left shoulder.
EXAMINER: Right handed.
EXAMINER: 70 years.
EXAMINER: It started as a painless lump when she was 14 and a few months later she began to have a discharging sinus that required several joint washouts and medication.
EXAMINER: No, the sinus healed after she underwent the washouts and started the medication and has never recurred.
EXAMINER: Well, she has some restriction of movements and therefore visited her GP who performed this X-ray and sent her to you for your opinion.
CANDIDATE: Then I would examine the patient.
EXAMINER: She has 60 of abduction and forward elevation and has very restricted rotations.
CANDIDATE: I would like to know the power of her cuff muscles.
EXAMINER: It is not possible to assess the power as she has very restricted range of movements.
CANDIDATE: Now ...
TRING... ...
EXAMINER: Thank you.
Did this candidate do well? Was there a diagnosis? Was there a discussion about the management? Only a 4 or 5 score would be given as the candidate did not even arrive at a diagnosis and missed all the clues.
A different candidate with the same scenario:
EXAMINER: This is a radiograph of left shoulder of 84-year-old lady. Describe the X-ray please.
CANDIDATE: This radiograph of shoulder anteroposterior (AP) view shows evidence of joint destruction and loss of articular cartilage.
EXAMINER: What do you think is wrong with this shoulder?
EXAMINER: Problems started as a painless lump when she was 14 and a few months later she began to have a discharging sinus for which she had several joint washouts and medication.
CANDIDATE: The presentation sounds like she had a low-grade joint infection. Was there any microbiological investigation performed at the time of the joint washouts?
CANDIDATE: Well, I would like to know if she had any reactivation of infection in the last 70 years.
EXAMINER: No.
EXAMINER: The patient does not want any surgical treatment. She wants to know if she can have some injections into her shoulder which can prevent the pain at the extremes of movements.
CANDIDATE: I will be cautious about the intra-articular injections as it can trigger the dormant bacillus and rekindle the infection.
EXAMINER: The patient does not want to take this risk and wants to be left alone.
Thank you.
Although the viva questions started in the same manner, this candidate with his or her knowledge took the viva to a good level of demonstration of his or her clinical judgement by asking specific questions and had control over the situation. Certainly this candidate deserves a good score.
Structured oral examination question 2
EXAMINER: Good afternoon. Can you tell me what is going on in this radiograph of the right shoulder (Fig. 6.2.)? This patient had anterior dislocation 2 years ago and has on-going problems.
CANDIDATE: Well this shoulder is reduced congruently. I cannot see any interposition of bony fragments. And I would like to investigate this shoulder with MR arthrogram.
CANDIDATE: Well the risk of re-dislocation of the shoulder is much higher with anterior dislocation due to labral detachment in younger patients and it could be treated successfully if identified with MR arthrogram.
EXAMINER: This gentleman is claustrophobic!
CANDIDATE: I would talk to the radiologist and anaesthetist to find out if it could be done under sedation.
EXAMINER: The anaesthetist is not happy! And your radiologist suggests an ultrasound examination of the shoulder.
CANDIDATE: Ultrasound examination is not the gold standard examination for labral pathology.
EXAMINER: Well, the patient had only ultrasound examination and it shows a subscapularis tear!
CANDIDATE: There is then a high risk of having damaged the anterior labrum also ... I think I have to speak to the anaesthetist again ...
Another candidate follows this miserable viva of negotiations between anaesthetist and radiologist in the FRCS ortho exam (by the candidateโs own fault).
EXAMINER: Good afternoon. Can you tell me what is going on in this radiograph of the right shoulder? This patient had anterior dislocation 2 years ago and has on-going problems.
EXAMINER: This 76-year-old gentleman dislocated his shoulder 2 years ago. Now he has got difficulties in overhead activities and we found out that he is claustrophobic!
CANDIDATE: I suspect rotator cuff tear in this age group following dislocation and also there is a risk of infra-clavicular plexus injury following the dislocations, therefore I would like to assess his cuff muscles clinically.
EXAMINER: He has got weakness on internal rotation and the rest of the cuff power is good. Neurologically he is intact.
CANDIDATE: I suspect subscapularis tendon tear from this clinical assessment and I would investigate this shoulder with an ultrasound examination.
EXAMINER: The ultrasound examination shows subscapularis tear, with proximal migration of the tendon by 4 mm.
EXAMINER: Nothing has been done so far. He wants to play golf, which he has not been able to in the last 2 years.
CANDIDATE: Well, I would assess his shoulder arthroscopically and repair his cuff.
CANDIDATE: No. The radiograph does not show any evidence of proximal migration of the humeral head. And the ultrasound scan shows intact supra- and infraspinatus
tendons. To develop cuff arthropathy at least two of the three supports should have been lost.
TRING ...
This candidate knew the importance of age-related pathophysiology and succeeded well in the viva.
Structured oral examination question 3
EXAMINER: This is a radiograph of right shoulder of a lady who has got severe pain in her shoulder. Anything you find interesting? (Figure 6.2.)
CANDIDATE: Well ... No not really ... I cannot see any abnormal or disease process in this radiograph.
CANDIDATE: I want to get history ... then to examine the patient ... to decide on the management plan.
EXAMINER: Go ahead.
CANDIDATE: In the history I will first find out her age, job and dominant side ... and how and when the problem started.
EXAMINER: She is 45, right-hand dominant and does clerical work. The pain started 8 months ago when she was reaching out for the seat belt in her car.
CANDIDATE: The age and history suggest probable frozen shoulder ... I will proceed with the examination.
Figure 6.2
Anteroposterior (AP) radiograph right shoulder.
EXAMINER: She has got global restriction of her movements.
CANDIDATE: That confirms frozen shoulder. So ...
CANDIDATE: I would offer intra-articular steroid injection for her shoulder and also advice on stretching exercises by physiotherapists.
EXAMINER: She has already had three intra-articular steroid injections and regular physiotherapy from her GP practice.
CANDIDATE: Well in that case I would advise her to have manipulation under anaesthesia or arthroscopic arthrolysis.
CANDIDATE: mmm ... MUA.
EXAMINER: The patient wants to know the risks associated with MUA.
CANDIDATE: Well apart from the anaesthetic risks, there is a risk of fracturing the humerus as it can be osteopenic from disuse ... also the risk of recurrence.
CANDIDATE: It is like any fracture. Can be treated in a cast or operated.
EXAMINER: The patient decides now to leave it alone.
CANDIDATE: I will then convince her to have an injection today and review her situation in 12 weeks.
Do you think this candidate impressed the (patient) or the examiner, with this simple shoulder scenario? Before we look at the next candidate, think how you would approach this differently!
EXAMINER: This is a radiograph of right shoulder of a lady who has got severe pain in her shoulder. Anything do you find interesting?
CANDIDATE: Yes, this radiograph is essentially normal. May I know the age of this patient and does she suffer from diabetes or thyroid-related problems?
CANDIDATE: Yes, I would like to look at her hand to see if she has any evidence of Dupuytrenโs contracture as it has some association with frozen shoulder.
CANDIDATE: I want to know the history and examination findings.
EXAMINER: She is right-hand dominant and does clerical work. The pain started 8 months ago when she was reaching out for the seat belt in her car. She has got global restriction of her movements.
CANDIDATE: Does this pain affect her sleep? What is the range of her external rotation?
EXAMINER: Yes, she struggles to sleep at night and her ER is only to neutral position. What would you like to do for her?
EXAMINER: She has had three intra-articular injections and physiotherapy from her GP practice. She wants to be able to wash and dress herself independently.
CANDIDATE: Well, I would like to offer her either manipulation under anaesthesia or arthroscopic capsular release, explaining the advantages and disadvantages of both procedures and the importance of immediate post-intervention physiotherapy, and make her understand the disease process of frozen shoulder so that the patient could have a realistic expectation of the treatment process.
CANDIDATE: The anterior capsule release especially at the rotator interval, followed by middle glenohumeral ligament release and the release of coracohumeral ligament. Inferior capsule will be stretched by manipulation ... this is my preference as the arthroscopic release of inferior capsule carries a small risk of damaging axillary nerve.
EXAMINER: Thank you.
When the examiner sensed an ability, a small extra challenge was given โ anywhere else you want to examine? And the candidate was able to demonstrate his or her knowledge โ association with Dupuytrenโs contracture โ the candidate would have been given an extra point for these smart moves.
Structured oral examination question 4
EXAMINER: This is a radiograph of a 63-year-old gentlemanโs right shoulder. Proceed.
EXAMINER: Yes.
CANDIDATE: There are deposits of calcium in the supraspinatus tendon ...
EXAMINER: What is your opinion about his pain in the shoulder? CANDIDATE: Well, he could be struggling with calcific tendonitis.
CANDIDATE: I would like to know the patientโs symptoms, examination findings, the treatments he had so far and his expectations.
EXAMINER: He is a keen golfer and gradually over the last 2 years he has developed the pain on over-head activities. He has not had any interventions so far. He wants to continue playing golf without pain. He has got positive impingement signs.
CANDIDATE: Well, I would inject his subacromial space with steroid today to relieve the bursitis secondary to the calcific tendonitis, which is causing impingement symptoms and review him in 8 weeks in clinic with repeat X-rays to assess the calcium deposits.
CANDIDATE: ... Well, I would then book him now for arthroscopic excision of the calcium deposits.
CANDIDATE: I will consent him for arthroscopy and proceed ... so that I can assess the shoulder and perform the necessary at the time of the surgery.
EXAMINER: This is a radiograph of a 63-year-old gentlemanโs right shoulder. Proceed.
EXAMINER: Yes.
CANDIDATE: There are deposits of calcium in the supraspinatus tendon ...
CANDIDATE: Looking at the radiographs, duration of his problem ...
(EXAMINER: 2 years) and his age I feel he has got degenerative calcification in his cuff and subacromial impingement.
CANDIDATE: I would like to know the patientโs symptoms, examination findings, the treatments he had so far and his expectations.
EXAMINER: He is a keen golfer and gradually over the last 2 years he has developed the pain on over-head activities. He has not had any interventions so far. He wants to continue playing golf without pain. He has got positive impingement signs.
CANDIDATE: I want to know if he had any X-rays in the past and would like to assess the status of his cuff with an ultrasound scan.
EXAMINER: This is the X-ray taken 2 years ago โ showing the same calcification. The ultrasound scan shows intact cuff.
CANDIDATE: Well I would inject the subacromial bursa today with steroid and review the patient in 8 weeks to see if the injection has helped his pain as a diagnostic test for impingement.
CANDIDATE: This proves the pathology of subacromial impingement and I am going to talk to the patient about the subacromial decompression.
CANDIDATE: No, not necessarily. This degenerative calcification is a chronic one. It is not acute calcific tendonitis. Therefore I will perform only the subacromial decompression.
EXAMINER: Thank you.
This second candidate was much clearer about the pathology and management plan, which will be rewarded by a better score. He did not have to be prompted by the examiners regarding the calcium deposit which was there 2 years ago suggesting the degenerative calcification. The previous candidate failed to understand these prompting clues.
Structured oral examination question 5
EXAMINER: Good afternoon. Can you tell me the findings from this radiograph of the left shoulder of a 76-year-old lefthanded fit gentleman? (Figure 6.3.)
CANDIDATE: This anteroposterior view of left shoulder shows no evidence of glenohumeral joint or acromioclavicular joint arthritis. The subacromial space is narrowed with sclerosis of the undersurface of the acromion.
EXAMINER: Would you like any other investigations ... prior to committing yourself with a diagnosis?
CANDIDATE: I would like to have ultrasound of his shoulder ... and may I know his symptoms please?
CANDIDATE: From the X-ray ... which shows evidence of impingement by narrowing of the subacromial space, from the ultrasound scan ... which shows evidence of torn subscapularis and supraspinatus tendons and clinically he has got difficulties in overhead activities ...
EXAMINER: Yes, it is a nice summary of the situation (wasting time)
CANDIDATE: I think he has severe subacromial impingement and secondary cuff tear.
CANDIDATE: Well, first I would perform a steroid injection into his subacromial space.
CANDIDATE: Yes, 2 cm inferior and medial to the posterolateral corner of the acromion, I will direct the needle towards the anterolateral corner of the acromion to be specific into the bursa.
EXAMINER: Is it necessary to be specific in this patient ... he has got a massive cuff tear?
CANDIDATE: ??
CANDIDATE: I will then perform an arthroscopic debridement of the cuff and bursa and a subacromial decompression.
EXAMINER: !! Thank you.
| Figure 6.3
Anteroposterior (AP) radiograph left shoulder.
| arrives for the same scenario.
| ---|---|
CANDIDATE: This anteroposterior view of the left shoulder shows proximal migration of humeral head with narrowing of the subacromial space and there is no evidence of glenohumeral joint or acromioclavicular joint arthritis.
EXAMINER: Would you like any other investigations ... prior to committing yourself with a diagnosis?
Do you recognize the candidateโs mistakes? What will you do differently? Did he treat the patient or the investigations? Did he interpret the investigations appropriately? Now the last candidate of the day CANDIDATE: I am looking for anteroposterior subluxation of the humeral head in the axillary view ... yes, there is anterior subluxation, suggesting torn anteriorly placed subscapularis and from the AP view, the proximal migration of the humeral head suggesting supraspinatus tear ... this gentleman has got established cuff arthropathy.
EXAMINER: What would you do for him?
EXAMINER: He has got difficulties in overhead activities. He has had three injections by his GP which has made no difference and being an artist he would like to have reasonable ability to abduct his shoulder to reach for the top of the canvas during painting.
EXAMINER: No ... not at all
CANDIDATE: I would then offer a reverse-polarity shoulder replacement if he is otherwise healthy and fit for surgery.
CANDIDATE: The reverse shoulder although non-anatomical brings the centre of rotation of the glenohumeral joint medially and thereby increases the moment arm of the deltoid, allowing good abduction of the shoulder.
CANDIDATE: No. The radiographs show an established cuff arthropathy and in this situation a rotator cuff repair is not possible.
EXAMINER: Well, we will move on to the next scenario.
Whom do you think played the game well in this scenario? Analyse the candidateโs ability to show their knowledge to the examiner. Learn how not to waste time and not to lower the expectations of the examiner. When the examinerโs expectations go down, the questions may become simpler and the score becomes lower. Show the knowledge appropriately to please the examiner. Make the game interesting for the examiners and you walk away with a good score. Treat each scenario as a separate exam to reach a good overall score. Remember the examiners do not know your previous performance โ either good or bad. Therefore forget the previous performance โ either good or bad โ and move on.
Elbow
Make a list of conditions causing painful, locking, stiff, flail and unstable elbow. Painful elbow pathology could be best remembered by its anatomical position โ anterior, medial, posterior and lateral. Do not forget the nerves around the elbow while making your list.
Structured oral examination question 1
CANDIDATE: Well, I need to assess the patientโs elbow ... after I had asked the history of his pain.
EXAMINER: Pain is on the lateral side, started gradually 3 months ago ... no history of injury, aggravated by using hammer and was initially relieved by rest. Now it is constant. He has normal range of movements. The point of tenderness is just around the lateral epicondyle.
CANDIDATE: From history and examination I think he has got tennis elbow ...
CANDIDATE: I will test if the pain is reproduced by resisted wrist extension.
CANDIDATE: ...
CANDIDATE: ECRB ...
CANDIDATE: ...
EXAMINER: Well, tell me the pathophysiology of tennis elbow.
CANDIDATE: It is termed angiofibroblastic hyperplasia, which is ... hyperplasia of the angiofibroblasts ...
CANDIDATE: Golferโs elbow, which is tendonitis of the common flexor origin.
CANDIDATE: ...
CANDIDATE: Maybe the disease process is extensive into the common extensor muscle belly.
EXAMINER: Weโll move onto the next scenario.
How easy it is to mess up a simple scenario? Is the candidate a classic example for tennis elbow misdiagnosis? Does the candidate deserve anything above a score of 4? Will you approach this subject differently? Think and analyse before looking into the performance of the next candidate.
CANDIDATE: I want to know the history of his right elbow pain please.
EXAMINER: It is on the lateral side, started gradually 3 months ago ... no history of injury, aggravated by using hammer and was initially relieved by rest. Now it is constant.
CANDIDATE: I will proceed with his examination ... posture of elbow, range of movements especially looking for the lack of full extension and rotation ... proceed to examine the specific site of tenderness on the lateral aspect.
EXAMINER: He has normal range of movements. The point of tenderness is just around the lateral epicondyle.
CANDIDATE: I would like to know if he has tenderness anterior or posterior to the lateral epicondyle and also any tenderness just distal to the lateral epicondyle.
CANDIDATE: Anterior and distal to lateral epicondyle โ ECRB tendonosis. Posterior and distal to lateral epicondyle โ EDC tendonosis.
EXAMINER: It is anterior and distal to lateral epicondyle. Tell me the provocation test for ECRB tendonosis.
CANDIDATE: Pain on elbow extension/forearm pronation/fingers flexion/wrist in extension against resistance.
CANDIDATE: EDC tendonosis should have pain on elbow
extension/forearm pronation/wrist neutral/fingers extension/ long finger extension against resistance.
CANDIDATE: Yes. If EDC provocation test produces pain over EDC origin, it suggests EDC tendonosis. Pain over radial tunnel โ radial tunnel syndrome.
CANDIDATE: It is the tendonosis and not tendonitis of ECRB/ EDC tendons.
EXAMINER: Tell me the histological appearance of tendonosis.
CANDIDATE: Histologically, there are no acute inflammatory cells. There is granulation-like tissue consisting of immature fibroblasts and disorganized non-functional vascular elements called angiofibroblastic hyperplasia. It is theorized to result from an aborted healing response to repetitive micro-trauma. Pain arises possibly from tissue ischaemia. Electron microscopy has shown that these vascular elements do not have lumina. Essentially the repetitive tensile overload, which exceeds tissue stress tolerance, causes tissue damage. If the tissue damage occurs at a rate which exceeds tissueโs ability to heal, this causes tissue degeneration.
CANDIDATE: Yes, the posterior tennis elbow, which is triceps tendonosis.
If you were the examiner, what score would you give this candidate?
Structured oral examination question 2
EXAMINER: Look at these radiographs of of the right elbow of a 33-year-old patient and tell me the findings.
CANDIDATE: This plain radiograph of a right elbow shows one loose body in the anterior aspect of the joint.
CANDIDATE: I want to know his presenting symptoms.
CANDIDATE: Well, he has a loose body in the elbow ...
EXAMINER: Tell me the conditions which produce loose bodies in a joint.
CANDIDATE: Could be post-traumatic, secondary to osteoarthritis, osteochondritis dissecans (OCD) or synovial chondromatosis.
EXAMINER: Now again ... What would you like to know if you are allowed one more question?
CANDIDATE: Did he have any injury in the past?
CANDIDATE: It could be either secondary to osteoarthritis or OCD and I could rule out post-traumatic cause as he had no injury.
EXAMINER: Can you look at the radiographs again and be more specific? (Showing the X-ray again to the candidate.)
CANDIDATE: I can see only one loose body. There is no calcification in the muscle or capsule.
CANDIDATE: It helps me to rule out myositis ossification and synovial sarcoma.
EXAMINER: I want you to concentrate in the intra-articular pathology and try to narrow down your diagnosis between OCD and osteoarthritis.
CANDIDATE: I would like to know the history of his symptoms and have more investigations to be more specific.
CANDIDATE: It sounds like it may not be osteoarthritis ... it could be OCD.
CANDIDATE: I would ...
TRING...
EXAMINER: Look at these radiographs of the right elbow of a 33-year-old patient and tell me the findings.
CANDIDATE: This plain radiograph of a right elbow shows wellmaintained joint space with evidence of one loose body in the anterior aspect of the joint.
CANDIDATE: I want to know if this patient had any problem with this elbow in the past.
CANDIDATE: Well, he could have had osteochondritis dissecans when he was 17, which explains the unexplained pain he had for 18 months and the OCD segment must have separated to form the loose body.
CANDIDATE: Yes, Pannerโs disease.
CANDIDATE: I would have performed an MRI scan.
EXAMINER: MRI was not widely available then.
CANDIDATE: Well, I would have performed an elbow arthrogram with contrast to assess if the segment had separated from the base. Also the age at which he presented was not in the favourable range ... that is after the closure of the physis ... therefore I would have followed him clinically more closely.
EXAMINER: This patient unfortunately had only one X-ray at the start of the presentation and as it did not show any obvious pathology, he was discharged from follow-up. What would you like to do now?
CANDIDATE: I would like to know his presenting symptoms. Has he had any treatment so far and what are his expectations?
CANDIDATE: I would expect him to have intermittent painful locking of the elbow.
EXAMINER: Yes, that is his symptom. He wants to have something done to prevent these unexpected painful locking episodes.
CANDIDATE: I would perform an arthroscopic removal of the loose body.
CANDIDATE: In osteoarthritis the osteophytes can break and present similarly. But the radiograph will show evidence of osteoarthritis.
CANDIDATE: Synovial chondromatosis.
This is a good example of using your knowledge appropriately. Compare these two candidates. Candidate 2 has made life easier by being specific and appropriate on every opportunity available.
Structured oral examination question 3
EXAMINER: What do you see in this radiograph of a 67-year-old ladyโs right elbow? (Figure 6.4.)
CANDIDATE: This radiograph shows extensive erosion of the articular cartilage which has involved both ulnohumeral and radiocapitellar joints. The radial head is dislocated and the elbow articulation is aligned only with ulna and humerus. There is peri-articular osteopenia. There is no subchondral sclerosis or osteophytes.
CANDIDATE: It is characteristic of inflammatory arthropathy and I suspect rheumatoid arthritis. It is a flail elbow.
EXAMINER: Indeed this lady has had RA for the last 34 years. What would you like to do for her?
: As an RA patient she has many joint problems and recently she is finding lack of strength in her right upper limb to do day-to-day activities. She has had no specific elbow treatments. She wants to do her normal household activities.
CANDIDATE: I would specifically assess her elbow stability and range of movements. And more importantly check her hand function with regards to any tendon ruptures and posterior interosseous nerve function.
CANDIDATE: Well if there is no active extension of the fingers at MCP joint and tenodesis test is showing no passive extension of finger at MCP joint on passive flexion of wrist, then the diagnosis is extensor tendon rupture. If the tenodesis test produced passive extension at MCP joint then the diagnosis is PIN palsy. But I will cautiously assess the other tendons supplied by PIN prior to making final diagnosis as in RA patients both can exist together.
CANDIDATE: It is a multidisciplinary approach with reconsultation with rheumatologists and assessment by occupational therapists. I would initially offer her an elbow brace.
| Figure 6.4
| Anteroposterior (AP) radiograph right elbow. | CANDIDATE: If she is fit for a general anaesthetic, I will do a cemented linked/semi-constrained total elbow replacement for her as this elbow is unstable. I would perform a c-spine X-ray to assess the atlanto-axial joint and obtain an anaesthetic opinion. |
| --- | --- |
EXAMINER: Finally, what happens to juvenile rheumatoid joints?
CANDIDATE: Contrasting to adult RA, juvenile RA produces stiff joints.
Who had the control in this viva? Did this candidate get the questions he played for? Was his technique good? Did he not manage to get a bonus question? Would you be happy if you were the candidate of this scenario? Would you have played it any better? Now the next candidate approaches this table.
EXAMINER: She comes back after 3 months and says the brace has improved her life quality to some extent but finds it difficult as it gets wet in the kitchen and she still has difficulties in the shower as she could not wear it in the shower.
CANDIDATE: This radiograph shows extensive erosion of the articular cartilage which has involved both ulnohumeral and radiocapitellar joints. The radial head is dislocated and the elbow articulation is aligned only with ulna and humerus.
CANDIDATE: It is characteristic of inflammatory arthropathy and I suspect rheumatoid arthritis. It is a flail elbow.
CANDIDATE: In osteoarthritis there will be joint space narrowing, subchondral sclerosis, subchondral cysts and osteophytes. This radiograph does not show these features.
CANDIDATE: ... The bone appears to be osteopenic ... could be disuse from pain or the disease process itself.
CANDIDATE: I need to know the history of presenting complaints and I would examine the elbow.
EXAMINER: She recently finds her right upper limb weak affecting her day-to-day activities. In the examination there is valgus/varus instability.
CANDIDATE: It is an unstable elbow from advanced RA.
Therefore I would do a total elbow replacement for her.
CANDIDATE: Well, I can try a splint if she is willing to try ...
EXAMINER: She comes back after 3 months and says the brace has improved her life quality to some extent but finds it difficult as it gets wet in the kitchen and she still has difficulties in the shower as she could not wear it in the shower.
CANDIDATE: Then I will proceed with the total elbow replacement.
EXAMINER: Which nerve specifically would you like to assess in the RA elbow especially prior to total elbow replacement?
CANDIDATE: There will be no active extension of the fingers at the level of MCP joints.
CANDIDATE: Yes, progressive rupture of extensor tendons called VaughnโJackson syndrome.
CANDIDATE: These patients can have lung fibrosis ... apart from this, yes ... of course I will perform a c-spine X-ray to see the stability of atlanto-axial joint.
EXAMINER: Thank you.
Did he not answer all the questions? Did he not possess theknowledgeofthesubject?But,didhegainthecontrol of this viva? Did he ever lead the examiner to the next question? Or did the examiner have to guide him with leading questions? Would he ever get a score of 8?
Structured oral examination question 4
EXAMINER: Good morning. Here are the radiographs of a righthand dominant 43-year-old manโs right elbow. Tell me the findings. (Figure 6.5.)
CANDIDATE: Good morning. These radiographs show narrowing of joint space on both ulnohumeral and radiocapitellar joints with subchondral sclerosis and cysts and medial, anterior and posterior osteophytes suggesting osteoarthritis. Has he had any previous injury to this elbow?
EXAMINER: Well he had a dislocation of this elbow 8 years ago which was reduced in A&E and as he improved to full function in 8 weeks he was discharged from the fracture clinic. Now over the last 3 years he has got problems with this elbow. What would you advise for this patient?
EXAMINER: This elbow is affecting his job as he has got restricted movements โ flexion extension from 50 to 110 and supination is only to 40. He had a few intra-articular injections by his GP. He wants to have more movement in the elbow.
CANDIDATE: He has got post-dislocation osteoarthritis with stiffness. He is not presenting with pain as a main symptom. Therefore I would like to perform an arthroscopic debridement/arthrolysis of his elbow.

Figure 6.5 Anteroposterior (AP) radiograph right elbow.
CANDIDATE: (Marking and talking to the examiner.)
| Direct lateral portal: | At the centre of a triangle defined by the lateral epicondyle, the radial head and the olecranon. This is frequently used as the initial entry portal to inflate the joint with saline. |
| --- | --- |
| Anterolateral portal: | 1 cm distal and 1 cm anterior to the lateral epicondyle, between the radial head and the capitellum. This gives good access to the anterior aspect of the joint. |
| Anteromedial portal: | 2 cm distal and 2 cm anterior to the medial epicondyle. This is often created using an | โinside outโ technique by cutting down onto the tip of the arthroscope inserted using the anterolateral portal. |
| Proximal medial portal: | 2 cm proximal to the medial epicondyle along the anterior surface of the humerus towards the radial head. |
| Direct posterior portal: | 1.5 cm proximal to the tip of the olecranon. Access to olecranon fossa. |
| Posterolateral portal: | Access to radiocapitellar joint. |
CANDIDATE: No, it is not ... and varies between individuals.
EXAMINER: Patient wants to know if there is any procedure which can provide long-lasting benefit.
CANDIDATE: The longer-lasting result can be achieved by a total elbow replacement ... But as this patient is only 43 and he is a manual worker and his dominant elbow is affected with osteoarthritis, I would not advise a total elbow replacement at this moment as the TERs do not have long life expectancy in young osteoarthritic patients.
TRING ...
Would you handle this scenario differently? How much will you score this candidate? Was his knowledge sufficient and well presented? Now a confidentlooking candidate approaches the table.
EXAMINER: Good morning. Here are the radiographs of a righthand dominant 43-year-old manโs right elbow. Tell me the findings.
CANDIDATE: The radiographs show advanced osteoarthritis of his dominant elbow.
CANDIDATE: It depends on if he has pain, stiffness, difficulty with his job and also depends on his expectations.
EXAMINER: Pain is not a main issue here. This elbow is affecting his job as he has got restricted movements โ flexion extension from 50 to 110and supination is only to 40. He wants to have more movement in the elbow.
CANDIDATE: I will initially inject his elbow with steroids and send him for stretching physiotherapy.
EXAMINER: Patient has had a few injections already and also physiotherapy from his GP and therefore he prefers to have a more definitive procedure.
CANDIDATE: Well, if the injections have been tried without any success, I would advise a total elbow replacement.
CANDIDATE: (Suddenly losing confidence.) Probably an attempt at manipulation under anaesthesia ...
CANDIDATE: ... perhaps not ... as there is a small risk of myositis ossification.
CANDIDATE: ...
CANDIDATE: Rheumatoid patients, and it has declined as rheumatoid patients are better treated now and we do not see advanced joint pathology in this group of patients.
CANDIDATE: Arthritis affects the entire joint, the ligament stability is also lost as RA is primarily a soft tissue problem and the radial head dislocates and the elbow becomes flail.
CANDIDATE: No, I havenโt seen any which have progressed to radial head dislocations ... instead the appearance we see now is more like osteoarthritis.
CANDIDATE: Yes, the TER failed earlier in this group.
EXAMINER: This is because we are treating stable diseasemodified osteoarthritic RA elbows, with the implant designed to treat flail elbows.
CANDIDATE: ...
EXAMINER: Would you like to offer anything else prior to TER for this young manual worker?
EXAMINER: Is there any ...
TRING ...
Did the confident start last long? Was the knowledge adequate to handle this scenario? Would you like to be this candidate on the day of exam?
Structured oral examination question 5
EXAMINER: I have a problem with my left elbow. Proceed.
CANDIDATE: Well, I want to know your age, hand dominance, your occupation and the nature of your problem please.
EXAMINER: I am 47, a right-hand dominant mechanic and in certain positions my elbow pops which is painful.
EXAMINER: The outer side ... yes, my thumb side.
EXAMINER: I had problems as a child in my right elbow, but now my right side is fine. My left side, although I did not have any problem as a child, 3 years ago I had a simple dislocation.
EXAMINER: My older sister pulled me by my right hand and my elbow became painful and the doctor had manipulated my elbow and told my parents not to let anyone pull me by my hand. And he said it was a pulled elbow ... where the radial head pops out.
CANDIDATE: I want to check if you have general joint laxity.
EXAMINER: No I am rather stiff. What do you think is wrong with my left elbow?
EXAMINER: Whenever I push myself off the chair with my arm.
CANDIDATE: I would like to perform an X-ray of your elbow to assess the radial head.
CANDIDATE: Sure. There are two main groups of ligaments, medial and lateral collateral ligaments. MCL has three bundles: anterior, posterior and transverse bands. LCL has lateral ulnar collateral ligament (LUCL), annular ligament, radial collateral ligament and accessory collateral ligament.
CANDIDATE: ...
Did the candidate reach the diagnosis? Did he understand the clues given by the examiner? The next candidate arrives.
EXAMINER: I have a problem with my left elbow. Proceed.
CANDIDATE: Well, I want to know your age, hand dominance, your occupation and the nature of your problem please.
EXAMINER: I am 47, a right-hand dominant mechanic and in certain positions my elbow pops with pain.
EXAMINER: Well, I had a simple dislocation of my left elbow 3 years ago which was reduced in A&E. Now whenever I push myself off a chair using my arm I get this sensation.
CANDIDATE: I would like to have a quick assessment of your elbow.
CANDIDATE: I want to perform the pivot-shift test to assess the lateral ulnar collateral ligament.
CANDIDATE: Postero-lateral rotatory instability of the left elbow.
CANDIDATE: No, usually the pulled elbow settles as the child grows and you had a definite injury to the left elbow.
: What could you do to me to prevent these unpleasant episodes?
CANDIDATE: I need to perform an MRI scan to confirm injury to LUCL and to see if the injury to the ligament is intra-substance or from the origin to decide on the treatment. And did you have any recent X-rays?
CANDIDATE: If the LUCL is avulsed from the origin or insertion and the ligament itself is healthy, it could be re-attached to the bone using bone anchors. It may not be possible in your case as the injury was 3 years ago. My main inclination is to reconstruct the LUCL using palmaris longus tendon or triceps fascia.
The examinerโs aim is all about finding out, can I let this candidate be my consultant. As you would like to win the patientโs confidence while consulting in the clinics, it is vital to win the examinerโs confidence in each and every scenario by showing adequate knowledge expressed with correct technique.
Section 2 Adult Elective Orthopaedics and Spine
Chapter
Orthopaedic oncology
7 Thomas B. Beckingsale
Definitions
As in all other areas of the viva examinations, knowing basic definitions gives you an easy starting point when answering questions and gives the impression to the examinersthatyou havebothalogicaland clear thought process, and are in command of the subject matter.
Neoplasm/tumour: A growth or swelling, which enlarges by cellular proliferation more rapidly than surrounding normal tissue and continues to enlarge after the initiating stimuli cease. Usually lacks structural organization and functional coordination with normal tissues and serves no useful purpose to the host.
Malignant tumour: Malignant tumours have a predisposition to invasive and destructive local growth, and to distant metastasis usually via the vascular or lymphatic systems.
Benign tumour: Benign tumours do not metastasize, but can still exhibit locally aggressive behaviour.
Sarcoma: A diverse and rare group of malignant tumours of mesenchymal/connective tissue origin. Tumours of peripheral nerves are often included in this group.
Generic structured oral examination question 1: Biopsy
CANDIDATE: A tissue sample can be obtained by biopsy. In general terms this can be performed by excisional, incisional or percutaneous means, but I would not perform a biopsy without first having discussed the case with a bone tumour multidisciplinary team (MDT).
CANDIDATE: The indications for an excision biopsy are narrow. The entire lesion is removed and the margins are often marginal. Hence, this type of biopsy is really only applicable to benign lesions where the imaging has been diagnostic, for example lipomas, or where the lesion is small and superficial such that excision biopsy would not compromise later reexcision. However, if there is any doubt about the diagnosis I would perform a percutaneous or incisional biopsy first.
EXAMINER: Ok, tell me how you would perform an incisional biopsy.
CANDIDATE: I would perform the procedure through a short longitudinal incision. I would plan the incision using the imaging, and position it such that the entire biopsy tract could be excised en bloc during the definitive resection, and such that it does not contaminate more than one compartment or key neurovascular structures. I would pay close attention to haemostasis and use minimal tissue dissection in order to minimize local tissue seeding.

Postgraduate Orthopaedics: Viva Guide for the FRCS (Tr & Orth) Examination, ed. Paul A. Banaszkiewicz and Deiary F. Kader. Published by Cambridge University Press. ยฉ Cambridge University Press 2012.
CANDIDATE: Iโve seen biopsy performed by Tru-Cut needle. The procedure can be performed easily in clinic under local anaesthetic, which removes delay and the requirement for theatre time. Welker et al. have shown that it is safe, has a low complication rate and reliably provides enough tissue for diagnosis and treatment planning.1 Other advantages are that it can be combined with imaging modalities, for example ultrasound for soft tissue lesions and CT for bony lesions. The disadvantage is that necrosis and mitotic rate is less reliable on core needle but this rarely affects management, and an incisional biopsy can always be performed subsequently if more information is required.
1. Welker JA, Henshaw RM, Jelinek J, Shmookler BM, Malawer MM. The percutaneous needle biopsy is safe and recommended in the diagnosis of musculoskeletal masses. Cancer 2000;89(12):2677โ2686.
Generic structured oral examination question 2: Margins
CANDIDATE: A marginal margin, as described by Enneking, is when the resection line passes through the reactive zone of the tumour being excised.1
EXAMINER: Explain to me what you mean by the reactive zone.
CANDIDATE: Tumours grow in a centifugal fashion and this leads to compression and subsequent atrophy of the surrounding tissue forming a pseudocapsule. Outside the pseudocapsule is an area of oedema where inflammatory cells and micronodules of tumour are present. This is the reactive zone. Hence, if a resection line passes through this reactive zone, as in a marginal margin, then micronodules of tumour are likely to be left behind, increasing the risk of a local recurrence.
CANDIDATE: Enneking described three other possible margins. He described intra-lesional margins, where the resection line passes through the tumour leaving macroscopic deposits of tumour in the surgical wound. He described wide margins, where the resection line passes outside the reactive zone and the tumour is excised with a surrounding cuff of normal tissue. In wide margins it is still possible that tumour will remain in the form of skip lesions. Finally, he described the radical margin, where the entire compartment in which the tumour resides is excised en bloc, in theory removing the entire tumour.
1. Enneking WF, Spanier SS, Malawer MM. The effect of the anatomic setting on the results of surgical procedures for soft parts sarcoma of the thigh. Cancer 1981;47 (5):1005โ1022.
Generic structured oral examination question 3: Staging
CANDIDATE: I would stage this tumour using the
Musculoskeletal Tumour Society staging system as described
Table 7.1 Enneking/MSTS staging system.2
| Stage | Description | Grade Site | Metastases |
| --- | --- | --- | --- |
| IA | Low-grade, intracompartmental | G1 | T1 | M0 |
| IB | Low-grade, extracompartmental | G1 | T2 | M0 |
| IIA | High-grade, intracompartmental | G2 | T1 | M0 |
| IIB | High-grade, extracompartmental | G2 | T2 | M0 |
| III | Any grade, metastatic | G1โ2 | T1โ2 | M1 |
by Enneking.1 We have discussed that it is a high-grade osteosarcoma, which makes it at least Stage II. Itโs an intramedullary tumour that has invaded the surrounding softtissues making it extracompartmental, and upstaging it to IIB. Weโve not discussed whether there is any evidence of metastasis yet, but, if there is, that would immediately make it a Stage III, regardless of the other features weโve talked about.
General advice: This question will usually follow a discussion about a malignant tumour, for example osteosarcoma as in this example. The Enneking system (Table 7.1) is the easiest to remember and can be applied equally to bony and soft-tissue sarcomas.2 The other commonly used system is the American Joint Committee on Cancer (AJCC) system, which is more complicated. The AJCC also have separate systems for bony and soft-tissue tumours.
1. Enneking WF, Spanier SS, Goodman MA. Currentconcepts review. The surgical staging of musculoskeletal sarcoma. J Bone Joint Surg Am 1980;62-A:1027โ1030.
2. NCCN. National Comprehensive Cancer Network Clinical Practice Guidelines in Oncology: Soft Tissue Sarcoma. V.2.2008. National Comprehensive Cancer Network, 2008.
Structuredoralexaminationquestion1: Osteochondroma
EXAMINER: This young lad has been referred to you urgently by his GP after his mum brought him in with a firm lump on the front of his left thigh. Tell me about his X-ray. (Figure 7.1.)
CANDIDATE: This is a lateral radiograph of his left femur including the knee joint but not the hip joint. There is a bony

Figure 7.1 Osteochondroma.
growth on the anterior aspect of the femur, which looks like a large osteochondroma.
CANDIDATE: Well, the cortices are in continuity with the bone as is the medullary cavity, and the lesion is extending out from the metaphyseal region of the distal femur, which is the most common site for these (25%). This is a sessile lesion rather than the pedunculated variety and appears to be a solitary lesion, although Iโd want to examine the child to look for other lumps. It is quite a large lesion and there is some slightly atypical sclerosis within it so I would definitely get an MRI scan.
CANDIDATE: First Iโd take a history and examine the child. Iโd want to know if it is tender or symptomatic before I decide what to do.
EXAMINER: Itโs not tender and it only bothers him occasionally if he knocks it, but his mother is adamant she wants it removed.
CANDIDATE: I would suggest a period of watchful waiting to see if it continues to grow or becomes more symptomatic. Removing it would carry risks of recurrence and neurovascular damage. There is also a chance of fracture, during the operation and afterwards as itโs a large sessile lesion and removing it will weaken the anterior cortex of the femur considerably.
EXAMINER: His mum still wants it removed and sheโs worried that itโs going to become cancer.
CANDIDATE: If this is a solitary lesion then malignant change is very rare indeed. If the child has multiple hereditary exostoses the risk is a bit higher. The textbooks often quote figures of 10% but it is probably more like 1โ5%.
General advice: Examiners may show an example of a solitary osteochondroma in an area that is difficult to access for the purposes of excision, but then insist that the patient wants it removed, e.g. posterior, proximal tibia. The resultant discussion is then used to assess knowledge of anatomy and approaches, e.g. posterior approach to the knee. If the MRI has shown no sinister features, and the lesion is asymptomatic, then you can have a reasoned discussion with the examiner about watchful waiting versus removal, i.e. both answers are perfectly acceptable. Other points:
Continued growth after physeal closure raises the suspicion of malignant transformation.
EXT gene mutation is the genetic abnormality in multiple hereditary exostoses. It is an autosomal dominant condition.
Structuredoralexaminationquestion2: Enchondroma
EXAMINER: Tell me about these radiographs of this chapโs right foot. (Figure 7.2.)
CANDIDATE: Well theyโre AP and oblique views and they show an expansile, lytic lesion in the proximal phalanx of his second toe.
CANDIDATE: The radiographs show features consistent with an enchondroma. It has a short zone of transition and appears quite well defined. Thereโs also some stippled calcification within the substance of the lesion, which suggests a chondroid matrix.
CANDIDATE: Well, I would want to get more information so
I would take a full history and examination. I would also want to get more imaging of the lesion with an MRI and discuss the pictures with a bone tumour MDT. If thereโs any doubt about the diagnosis they may want to do a biopsy, but in general the surgical treatment of an enchondroma is with curettage, with or without grafting.
General advice: Even if the diagnosis appears obvious and is of a benign lesion, donโt be rushed into offering surgical treatment. Always work through history, examination and imaging. You will never be criticized for discussing the diagnosis with a bone tumour MDT, but you will end up in a very tricky discussion with the examiners and fail if you have made the wrong diagnosis, it turns out to be malignant, and youโve not discussed it with an MDT first.
Other points:
50% of solitary enchondromas arise in the hands. Malignant transformation is very rare, but when it does occur it is usually in large lesions of long bones.
Enchondromatosis = Ollierโs disease (risk of bone malignancy is 10%, but if visceral and brain malignancies are included then the overall risk is 25%).
Enchondromatosis + haemangiomas = Maffucci syndrome (risk of malignancy approaching 100%).
Structuredoralexaminationquestion3: Non-ossifying fibroma
EXAMINER: Tell me about this radiograph. (Figure 7.3.)
CANDIDATE: This is an AP radiograph of a left lower leg of a child, which includes both the ankle joint and the knee joint. There is a lucent lesion, eccentrically placed in the metaphyseal region of the tibia. The lesion is well-demarcated and its margin is slightly sclerotic. These features are typical of a nonossifying fibroma.
CANDIDATE: Non-ossifying fibromas are developmental or hamartomatous lesions. They are actually very common and some have suggested an incidence of up to 35% in normal
Figure 7.3
Non-ossifying fibroma. children. They are usually asymptomatic and are often discovered as an incidental finding. Occasionally they can present after a pathological fracture, after which they tend to heal up.
CANDIDATE: I canโt see any evidence of fracture. I would take a history and examine the patient to ascertain whether the lesion is painful or symptomatic and I would discuss the images with our local tumour MDT to make sure that they were in agreement with the diagnosis. That being the case this can be treated with observation only as these lesions normally resolve by adulthood. I would plan to keep the patient under review with surveillance radiography.
General advice: Again, you will not be criticized if you say that would take advice from the bone tumour MDT. You will, however, be in a very difficult situation if you have not stated that you would take their advice and your diagnosis is wrong.

Figure 7.4 Chondrosarcoma.
Structuredoralexaminationquestion4: Chondrosarcoma
EXAMINER: This 60-year-old lady presented with pain and swelling around her lower back. What can you see on this CT scan? (Figure 7.4.)
CANDIDATE: This is an axial section showing the sacrum and iliac wings. There is an expansile lesion in the left iliac wing, which has extended into the soft tissues. The lesion has both lytic and sclerotic elements to it.
CANDIDATE: The expansile nature, as well as the permeative margin and local invasion suggest a malignant process. Malignant tumours of bone can then be broken down into primary, metastatic, or immunohaematopoietic lesions. Metastatic and immunohaematopoietic tumours tend to produce lytic lesions within bones, whereas this lesion has areas of sclerosis and is much more expansile. Primary bone tumours can be classified according to their matrix as either bone-producing, cartilage-producing, fibrous tissue-producing or non-matrix producing. The patchy sclerosis within this lesion is in keeping with either a bone- or cartilage-producing primary tumour, although I would not rule out other diagnoses without further investigations.1
EXAMINER: Youโre right to suggest a primary lesion in this case. Youโve suggested bone- or cartilage-producing
CANDIDATE: It is most likely to be a chondrosarcoma. The incidence of chondrosarcoma increases with age. This lady is 60 and although there is a second peak in the incidence of osteosarcoma in elderly patients, the majority of cases occur in adolescents around the growth spurt. The site of the tumour also makes chondrosarcoma the more likely diagnosis. Only around 5% of osteosarcomas occur in the pelvis, whereas up to 30% of chondrosarcomas are pelvic in origin. Finally, there is the appearance on the CT. It is not the clearest image but Iโm trying to convince myself that thereโs stippled calcification, which would indicate a chondroid lesion.
CANDIDATE: Chondrosarcomas are poorly chemo- and radiosensitive so the only treatment option is wide local excision plus or minus reconstruction. However, despite surgical excision, longer-term survival is dependent on the presence or absence of metastases.
CANDIDATE: The key is the presence or absence of metastasis and the patient needs staging investigations. In general, lowgrade, or grade I, lesions are rarely metastatic and have a better than 90% 5-year survival. High, Grade III, lesions, as youโve intimated this one is, are metastatic in over 70% of cases and have only a 30% 5-year survival.
1. Bullough PG. Orthopaedic Pathology. Fourth Edition. Edinburgh: Mosby, 2007.
Structuredoralexaminationquestion5: Chondrosarcoma
EXAMINER: This is a very fit and well 50-year-old chap, who has come into A&E after falling down the stairs at home, sustaining this injury to his left leg. Tell me how you are going to manage this. (Figure 7.5.)
CANDIDATE: I would manage this patient initially using the principles of ATLS [Airway and protect cervical spine, Breathing, Circulation, Disability, Exposure and environment control].
EXAMINER: Fine. No issues with ABC and the patient is alert and orientated.
CANDIDATE: Moving on I want to assess whether the patient has any other injuries, and regarding this injury I want to know whether it is open or closed and whether the limb is neurovascularly intact.
CANDIDATE: If itโs an open injury then I would take a picture of the wound and cover it with a betidine-soaked swab. The patient
needs IV antibiotics and coverage for tetanus, depending on their vaccination history. Some form of immobilization is also important for patient comfort and nursing care. In this case I can see that a Thomas splint has been applied.
EXAMINER: Good. So shall I book this patient for theatre with a plan to perform a debridement of the wound and nailing of the fracture?
CANDIDATE: Itโs a rare situation, but if this is pathological fracture through a bone tumour, and we open up the fracture site and nail it, we would spread tumour the length of the femur and might convert a resectable tumour into one that is unresectable.
CANDIDATE: Itโs a small puncture wound and Iโve put the patient on IV antibiotics so I think the infection risk is low. In this case I would arrange some urgent investigations, get more information and discuss the case immediately with the bone tumour MDT before rushing the patient to theatre.
General advice: Always look at the available evidence carefully and look out for any atypical features. If in doubt, say so! You will never be criticized for taking advice, but you will fail if you have blazed on with
treatment and taken this patient to theatre for washout and nailing. If there is no threat to life or limb, then there is always time for further investigations, and to seek further opinions.
Always take time to look carefully before answering, especially if a question on a fracture comes up in the adult and pathology viva station.
Structuredoralexaminationquestion6: Osteosarcoma
EXAMINER: This young lad presented with a painful knee and a lump after a football injury. What do you think of the X-ray? (Figure 7.6.)
CANDIDATE: [When I was shown the X-ray I immediately thought that the diagnosis was an osteosarcoma and
Figure 7.5 Chondrosarcoma. described the X-ray changes that supported my initial
Figure 7.6 Osteosarcoma.
reaction.] There is an intramedullary sclerotic lesion with a wide zone of transition and there is extension through the cortices and into the soft tissues. There is sunray spiculation but at this resolution I canโt see an obvious Codmanโs triangle.
CANDIDATE: [I knew what a Codmanโs triangle was but I did not have a clear definition at my fingertips (a triangle of reactive bone at the edge of the tumour where the periosteum is elevated). I struggled for a few seconds but managed to explain that it is indicative of a periosteal reaction.]
CANDIDATE: I think the diagnosis is an osteosarcoma.1 The imaging shows an osteogenic tumour in an adolescent male. It is also in a classical position in the metaphyseal region of the distal femur, where about 35% of these tumours occur.
CANDIDATE: I would take a history and examine the patient. I would refer the child on to a bone tumour MDT immediately rather than delay the process by organizing more investigations locally.
CANDIDATE: I would request investigations to further delineate the tumour itself and I would arrange tests to assess for metastatic disease.
An MRI scan is the best modality for investigating the tumour itself and will delineate the local extent of the tumour, its relationship to key neurovascular structures, and the presence or absence of skip lesions. A CT scan can also be helpful as these lesions are osteogenic and therefore show up well on CT. These investigations can also be used to plan a biopsy.To stage the tumour one might initially get a chest X-ray but CT scan of the chest is mandatory to look for metastases and these are sadly found in about 30% at diagnosis. Other investigations you might use are blood tests, for example alkaline phosphatase and lactate dehydrogenase, which, if elevated, are associated with a poorer prognosis.
EXAMINER: Tell me about the general principles of treatment in cases like this.
CANDIDATE: Before commencing treatment, a confirmatory tissue diagnosis is made by biopsy and staging investigations are completed. Treatment for osteosarcoma then follows four distinct phases: neo-adjuvant chemotherapy, surgical excision and reconstruction, adjuvant chemotherapy and follow-up with clinical examination and imaging to look for recurrent disease or distant metastases.
CANDIDATE: There are three main reasons for beginning treatment with neo-adjuvant chemotherapy rather than primary surgery. Firstly to treat occult micrometastases, which
are likely to be present in a much greater proportion of patients than the 30% who present with radiologically detectable metastases at diagnosis; secondly to reduce the inflammation around the primary tumour, aiding later surgical resection; and finally to allow assessment of response to the neo-adjuvant chemotherapy, determine prognosis and direct adjuvant chemotherapy.
CANDIDATE: Response of the tumour to chemotherapy treatment is measured as a percentage necrosis on histology of the resected specimen. A greater than 90% necrosis is considered a good response and this carries a better prognosis than poor or nonresponders. The reason for this is that if the tumour has a good response to chemotherapy then occult, but clinically undetectable, micrometastases are more likely to be eliminated by treatment, reducing the risk of them enduring and developing into detectable metastases, and ultimately fatal disease.
CANDIDATE: I have read about muramyl-tripeptide. It is not directly tumouricidal but works by stimulating the immune system, causing macrophages to exhibit cytotoxic anti-tumour activity. In a randomized trial, Meyers et al. showed that, when MTP was added to the standard chemotherapy regime of cisplatin, doxorubicin and methotrexate, 6-year overall survival improved from 70% to 78%.2 At the current time, NICE have not permitted its use for osteosarcoma, but this decision is under further discussion and appraisal.
1. Beckingsale TB, Gerrand CH. Osteosarcoma.Orthopaed Trauma 2010;24(5):321โ331.
2. Meyers PA, Schwartz CL, Krailo MD et al. Osteosarcoma: the addition of muramyl tripeptide to chemotherapy improves overall survival โ a report from the Childrenโs Oncology Group. J Clin Oncol 2008;26:633โ638.
Structuredoralexaminationquestion7: Aneurysmal bone cyst
(Figure 7.7.)
CANDIDATE: This is an axial T2 image, which shows a lesion in the postero-lateral tibia. It appears well circumscribed with a sclerotic margin, is eccentrically placed, and there are multiple Figure 7.7
Aneurysmal bone cyst.
septations and loculations with fluid levels. These appearances would be in keeping with an aneurysmal bone cyst.
CANDIDATE: Firstly itโs important to confirm the diagnosis and I would always discuss bony lesions of this type with a bone tumour MDT. Aneurysmal bone cysts can often form as a reactive change to another benign lesion, for example an osteoblastoma or giant cell tumour, which needs to be ruled out. The differential diagnosis of an aneurysmal bone cyst also includes a telangiectatic osteosarcoma, which would require very different management. In general, treatment of aneurysmal bone cysts is with curettage and grafting, but the recurrence rate can be as high as 50%.
Structuredoralexaminationquestion8: Ewingโs sarcoma
EXAMINER: This is a histology slide taken from a biopsy of a tumour in the femoral diaphysis of a 16-year-old boy. What does this slide show? (Figure 7.8.)
CANDIDATE: This picture shows a magnified view of a stained histology slide. Iโm no expert at histology, but I would describe the cellsโ appearance as small, round and blue, and given the brief history you provided I suspect this may represent a Ewingโs sarcoma.1
CANDIDATE: Patients usually present with pain and swelling related to the tumour. They usually present around the knee, with 25% occurring in the distal femur. Frequently, erythema, systemic pyrexia, a leukocytosis and a raised ESR are also presenting features, which can incorrectly lead the unwary to a diagnosis of infection. Hence, it is mandatory to obtain radiographs when patients present with any unexplained pain or swelling. Patients can occasionally also present with pathological fracture through the lesion or with symptoms related to metastatic disease, such as bone pain in other sites or respiratory symptoms.
CANDIDATE: Ewingโs sarcoma leads to a lytic, moth-eaten appearance to the bone. The classic finding, described as onion peel, is seen as a laminated periosteal reaction and probably reflects phases of tumour growth.
CANDIDATE: I would start with a full history and examination. MRI scan is essential to delineate the local extent of the tumour and any involvement of key neurovascular structures. It can also be used to plan the biopsy. Other investigations aim to root out any evidence of metastatic disease. A CT chest is required to look for lung metastases, but, in Ewingโs sarcoma, a bone scan and bone marrow biopsy are also required to look for widespread bony metastases. Distant bone marrow involvement carries a significantly poorer prognosis.
part of the management protocol. Neo-adjuvant chemotherapy is the first-line treatment and usually precedes surgery, which involves wide excision and bony reconstruction where required. Occasionally lesions are treated solely with chemotherapy and radiotherapy, usually in surgically inaccessible lesions around the pelvis. The response to chemotherapy, like in osteosarcoma, is key to prognosis. The 5-year survival is 75% with a good response but only 20% with a poor one.
1. Bullough PG. Orthopaedic Pathology. Fourth Edition. Edinburgh: Mosby, 2007.
Structuredoralexaminationquestion9: Lipoma
EXAMINER: This is an MRI of a patient who has presented with a painless mass on the lateral aspect of his right elbow. To orientate you the round structure (labelled A) is the radial head. Tell me about the lesion adjacent to it, which is labelled B. (Figure 7.9.)
CANDIDATE: There is a national videoconference MDT for all cases of Ewingโs sarcoma, which recommends on management. In broad terms, Ewingโs sarcomas are both chemo- and radio-sensitive and hence these modalities form
Figure 7.9 Lipoma. Figure 7.8 Ewingโs sarcoma. See colour plate section.
CANDIDATE: There is an intramuscular mass in the extensor compartment adjacent, and lateral, to the radial head. The mass itself appears bland and is of the same intensity as the subcutaneous fat, suggesting a diagnosis of an intramuscular lipoma.
CANDIDATE: A lipoma is a benign tumour of mature adipocytes, identical to the surrounding adipose tissue, and showing little variation of cell size or shape.
CANDIDATE: I would want to start by taking a history and examination, in particular looking for any abnormal features like pain or distal neural compromise, which might suggest a more aggressive lesion than a simple lipoma, and alter my management. Also, this is only a single image of the lesion and I would want to see the rest of the scan and discuss it with the sarcoma MDT. Bland, innocent-looking lesions are usually treated with excision biopsy with a marginal margin. If there is any doubt then a biopsy should be taken prior to excision. Histology of lesions below the fascia, like this one, often come back labelled as atypical lipomas by the histologist, despite very bland appearance on MRI.
CANDIDATE: The term is quite controversial and the literature often refers to them as lipoma-like liposarcomas. In essence, an atypical lipoma is a lipoma with some slightly atypical features but no evidence of malignancy. The histology of such lesions shows variation of adipocyte size, in contrast to the bland adipocytes of a simple lipoma, and nuclear atypia, as well as the presence of lipoblasts. These lesions are benign and management is still with marginal excision but they do have a low rate of local recurrence.1
1. Beckingsale TB, Gerrand CH. The management of soft-tissue sarcomas. Orthopaed Trauma 2009; 23(4):240โ247.