Part of the Master Guide

Pelvic Ring Fractures: Your Guide to Diagnosis, Treatment & Recovery

Comprehensive Pelvic Fracture Case Study: Interactive Module for Orthopedic Viva Exam Preparation

23 Apr 2026 5 min read 134 Views
Illustration of pelvic fracture case - Dr. Mohammed Hutaif

Key Takeaway

This interactive pelvic fracture case study serves as a critical resource for orthopedic professionals. It provides an engaging platform to evaluate diagnostic skills, understand classification systems, and refine treatment planning for complex pelvic injuries. Featuring expandable answers, it's specifically designed to bolster knowledge and prepare effectively for challenging viva examinations.

๐Ÿ“–
Clinical Article

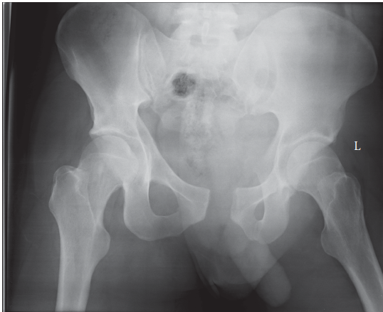
  1. Illustration 1 for Pelvic Fracture Case: Test Your Knowledge with this Interactive Module
    ๐Ÿ” Click to enlarge

Clinical Radiograph / Orthopedic Image
What does this radiograph show and how would you classify this injury?

This is an AP radiograph of the pelvis. It shoes an APC II fracture as per the Young and Burgess classification of pelvic fractures. The pubic symphysis has been dis rupted, as well as the sacrotuberous, sacrospinous and anterior SI joint ligaments. The strong posterior SI ligaments appear intact as the left hemipelvis seems to have maintained vertical stability, distinguishing it from an APC III or vertical shear type injury.

  1. What signs would you look for to rule out a urological injury and how would you manage a suspected urethral injury in conjunction with this pelvic fracture?

A highriding prostate, blood at the urethral meatus or scrotal/labial/perineal hae matoma may suggest significant urological trauma. This requires caution but does allow for a single, gentle attempt at urethral catheterisation. If the catheter does not pass or drains blood, the balloon must not be inflated. The catheter should be with drawn and a retrograde urethrogram should be performed. Any concerns regarding urological injury must be discussed with the urology service.
Any suspected urethral injuries in females and children should be discussed with the urology service urgently.
If a urethral catheter cannot be passed, a suprapubic catheter is required. However, this can alter the approaches available for fracture fixation due to their
predilection for infection and must therefore be placed with caution and should only be sited by the urologists after discussion with the pelvic fracture service.
A bladder rupture must be considered in the presence of haematuria. This can be confirmed with a cystogram. If a bladder rupture is identified, these can be either intraperitoneal or extraperitoneal. Intraperitoneal rupture requires emergency laparotomy and direct repair. Although extraperitoneal rupture can be treated by catheter drainage alone, in the presence of an unstable pelvic fracture, it is now rec ommended that fracture fixation is performed along with a primary repair of the bladder.
With regard to urethral injuries in men, the majority of these are treated with delayed repair at 3 months. However, there are several indications for early repair which will be determined by the local urological service.

  1. What are the different responses to resuscitation in a trauma patient with a pel vic fracture, and how will this determine your immediate management?

All patients should have an ATLS approach to management and resuscitation as well as a pelvic binder in place, with most modern resuscitation protocols recommend ing the early appropriate use of blood products for fluid resuscitation in the setting of ongoing haemorrhage. This is administered in a ratio of 1:1:1 ratio of red blood cells: platelets: fresh frozen plasma. Patients are then classified as
1. * Responders: These patients respond quickly and fully to fluid resuscitation, with no deterioration in their vital signs. These patients lost blood at the time of injury but have no/minimal active bleeding at present.
* Partial responders: These patients respond to resuscitation attempts and fluid (blood) replacement, but their vital signs subsequently deteriorate when this replacement is stopped. This demonstrates continuing, although not catastrophic, haemorrhage.
* Nonresponders: These patients remain shocked (tachycardic and hypotensive) despite appropriate fluid (blood) resuscitation as above. This generally indicates rapid and extensive haemorrhage.
If a patient is a responder to resuscitation, they can be managed according to the stability of the pelvic ring. If unstable, they can be managed for planned fixation; if stable, they can be managed conservatively.
Nonresponders are usually too unwell to undergo a CT scan. If the pelvic ring is stable, this ongoing haemorrhage is unlikely to be due to pelvic pathology. One should consider a laparotomy +/โ€“ thoracotomy as clinically indicated.
Greater than 80% of lifethreatening bleeding in an unstable pelvic fracture is due to the posteriorly sited venous plexus. Angiography is therefore less likely to help the patient than pelvic packing in the timecritical setting as it takes longer to perform, leading to increased blood loss.
There is controversy regarding the management of partial responders. Most cen tres would advocate a judicious approach with Focused Assessment with Sonography for Trauma (FAST) scans +/โ€“ CT angiogram +/โ€“ embolisation in order to identify the source of bleeding and targeted surgery or interventional radiology depending on the findings. It should be noted that there is a false negative rate associated with FAST scans and diagnostic periteoneal lavage (DPL).

Dr. Mohammed Hutaif
Medically Verified Content by
Prof. Dr. Mohammed Hutaif
Consultant Orthopedic & Spine Surgeon
Chapter Index

    Back to Master Guide