Part of the Master Guide

Orthopedic Trauma MCQs & Clinical Insights: Advanced Exam Preparation

Lower Limb Trauma: Decipher Anteroposterior (AP) Figure for Exams

23 Apr 2026 10 min read 126 Views
Illustration of figure anteroposterior ap - Dr. Mohammed Hutaif

Key Takeaway

In this comprehensive guide, we discuss everything you need to know about Lower Limb Trauma: Decipher Anteroposterior (AP) Figure for Exams. A reverse-obliquity inter-trochanteric fracture with subtrochanteric extension is an unstable femoral fracture. As seen in the figure anteroposterior ap radiograph, it presents with proximal displacement of the lesser trochanter and loss of the medial buttress. Initial management includes medical optimization and operative repair, often within 36 hours, using a cephalomedullary device for better outcomes compared to fixed-angle plating.

📖
Clinical Article

Lower limb Trauma Structured oral examination question 7

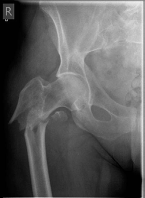
A 78-year-old woman fell out of her bed and sus- tained this injury. She is in reasonably good health and independently mobile, able to care for herself and do her own shopping. (Figure 8.9.)

Minute 1

EXAMINER : What can you see and how you going to manage her?

CANDIDATE : This is an AP radiograph of the right hip showing a reverse-obliquity inter-trochanteric fracture with subtrochanteric extension. The lesser trochanter is proximally displaced with loss of the medial buttress. I would like to see a lateral radiograph, however, based on just the AP view, it is an unstable fracture pattern.
My management for this patient would start with a thorough assessment and optimization of her general medical condition. We need to exclude the possibility of pathological fracture, although the available radiograph shows no evidence of that.
I would obtain full-length radiographs of the femur. Provided she is fit and agrees to surgery, I would aim to manage this fracture operatively and I will do so as early as possible, preferably within
36 hours of admission [new NICE guidelines]. I would use a cephalomedullary device as this has shown better results rather than fixed-angle plating devices in this fracture configuration.1,2

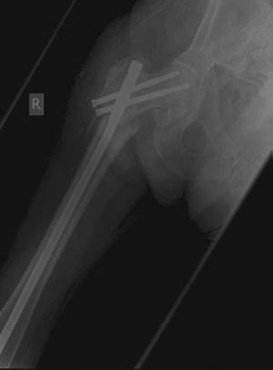
Minute 2 EXAMINER : This woman’s fracture was managed elsewhere and presents during your on-call week with this complication. Can you explain what has happened? (Figures 8.10 and 8.11.) CANDIDATE : This lady was treated with a fixed-angled locking plate. Two things are perhaps responsible for this failure: biomechanics and biology.

Looking at the postoperative radiograph, there is a gap at the fracture site especially medially. The fixed-angled device has been used with locking screws with five screws on either side of the fracture, which will make it a very rigid implant. This will prevent any micro-motion necessary for callus formation. In addition, there is a fracture gap and lack of compression that will preclude primary bone union. This has resulted in a delayed union/atrophic non-union at the fracture site.
The implant has been under constant biomechanical load, which has led to the fatigue failure of the implant. In this particular design there is a stress riser at the junction of the last proximal locking hole and the tapered part of the plate, which dictates the failure point in the implant. In addition, the plating device is applied on the lateral aspect of the femur increasing the lever arm for the moment of force as compared with a cephalomedullary device, which further puts the fixed-angle

Illustration 1 for Lower Limb Trauma: Decipher Anteroposterior (AP) Figure for Exams
🔍 Click to enlarge

Clinical Radiograph / Orthopedic Image
Figure 8.9 Anteroposterior (AP) radiograph right femur demonstrating inter-trochanteric fracture.

Illustration 2 for Lower Limb Trauma: Decipher Anteroposterior (AP) Figure for Exams
🔍 Click to enlarge
Clinical Radiograph / Orthopedic Image

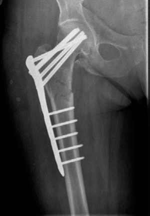
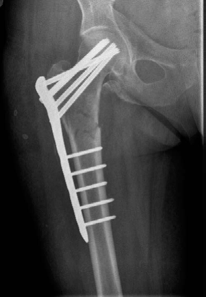
Figure 8.10 Anteroposterior (AP) radiograph right femur with fixed locking plate in situ.


Illustration 3 for Lower Limb Trauma: Decipher Anteroposterior (AP) Figure for Exams
🔍 Click to enlarge
Clinical Radiograph / Orthopedic Image

Figure 8.11 Anteroposterior (AP) radiograph right femur demonstrating hardware failure, 4 months postoperative.


Illustration 4 for Lower Limb Trauma: Decipher Anteroposterior (AP) Figure for Exams
🔍 Click to enlarge
Clinical Radiograph / Orthopedic Image

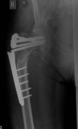
Figure 8.12 Anteroposterior (AP) radiograph demonstrating non-union of the femoral fracture.
plating device in this position at a biomechanical disadvantage. Similar results were reported with the use of compression hip screw and 95o plate.2 In this type of fracture an intramedullary device has better results and biomechanical stability.


Minute 4 EXAMINER : You fixed it with this recon nail. What do you think about your check X-ray? (Figure 8.12.) CANDIDATE : As I mentioned earlier the literature reports better results with the use of a cephalomedullary nail. I hope that when the recon nailing was performed bone grafting to the fracture site was performed as well so as to address both biomechanics and biology. The cephalomedullary nail is in slight varus and there is some translation at the fracture site. The screws in the proximal fragment are a bit superior to where I would normally like them. The screws are not absolutely parallel and I would study my lateral radiographs carefully to make sure that the screws have not missed the head.

Minute 5 EXAMINER : How will you follow-up this patient? CANDIDATE : I would follow-up this patient with clinical reviews and serial radiographs until the fracture heals. I would start her weightbearing as able, stop NSAIDs, counsel against smoking

if she does, keep an eye on her inflammatory markers and do serial radiographs 6 weeks apart. If there is no callus formation at 3–4 months, I would consider revising the intramedullary nail with autologous bone grafting.
1. Sadowski C, Lübbeke A, Saudan M et al. Treatment of reverse oblique and transverse intertrochanteric fractures with use of an intramedullary nail or a 95 degrees screw-plate: a prospective, randomized study. J Bone Joint Surg Am 2002;84-A:372–381.
2. Kregor PJ, Obremskey WT, Kreder HJ, Swiontkowski MF. Evidence-Based Orthopaedic Trauma Working Group. Unstable pertrochanteric femoral fractures (Review). J Orthop Trauma 2005;19:63–66.

Lower limb Trauma Structured oral examination question 7

A 78-year-old woman fell out of her bed and sus- tained this injury. She is in reasonably good health and independently mobile, able to care for herself and do her own shopping. (Figure 8.9.)

Minute 1

EXAMINER : What can you see and how you going to manage her? CANDIDATE : This is an AP radiograph of the right hip showing a reverse-obliquity inter-trochanteric fracture with subtrochanteric extension. The lesser trochanter is proximally displaced with loss of the medial buttress. I would like to see a lateral radiograph, however, based on just the AP view, it is an unstable fracture pattern.
My management for this patient would start with a thorough assessment and optimization of her general medical condition. We need to exclude the possibility of pathological fracture, although the available radiograph shows no evidence of that.
I would obtain full-length radiographs of the femur. Provided she is fit and agrees to surgery, I would aim to manage this fracture operatively and I will do so as early as possible, preferably within
36 hours of admission [new NICE guidelines]. I would use a cephalomedullary device as this has shown better results rather than fixed-angle plating devices in this fracture configuration.1,2

Minute 2 EXAMINER : This woman’s fracture was managed elsewhere and presents during your on-call week with this complication. Can you explain what has happened? (Figures 8.10 and 8.11.) CANDIDATE : This lady was treated with a fixed-angled locking plate. Two things are perhaps responsible for this failure: biomechanics and biology.

Looking at the postoperative radiograph, there is a gap at the fracture site especially medially. The fixed-angled device has been used with locking screws with five screws on either side of the fracture, which will make it a very rigid implant. This will prevent any micro-motion necessary for callus formation. In addition, there is a fracture gap and lack of compression that will preclude primary bone union. This has resulted in a delayed union/atrophic non-union at the fracture site.
The implant has been under constant biomechanical load, which has led to the fatigue failure of the implant. In this particular design there is a stress riser at the junction of the last proximal locking hole and the tapered part of the plate, which dictates the failure point in the implant. In addition, the plating device is applied on the lateral aspect of the femur increasing the lever arm for the moment of force as compared with a cephalomedullary device, which further puts the fixed-angle

Illustration 5 for Lower Limb Trauma: Decipher Anteroposterior (AP) Figure for Exams
🔍 Click to enlarge
Clinical Radiograph / Orthopedic Image
Figure 8.9 Anteroposterior (AP) radiograph right femur demonstrating inter-trochanteric fracture.
Illustration 6 for Lower Limb Trauma: Decipher Anteroposterior (AP) Figure for Exams
🔍 Click to enlarge
Clinical Radiograph / Orthopedic Image
Figure 8.10 Anteroposterior (AP) radiograph right femur with fixed locking plate in situ.
Illustration 7 for Lower Limb Trauma: Decipher Anteroposterior (AP) Figure for Exams
🔍 Click to enlarge
Clinical Radiograph / Orthopedic Image
Figure 8.11 Anteroposterior (AP) radiograph right femur demonstrating hardware failure, 4 months postoperative.
Illustration 8 for Lower Limb Trauma: Decipher Anteroposterior (AP) Figure for Exams
🔍 Click to enlarge
Clinical Radiograph / Orthopedic Image
Figure 8.12 Anteroposterior (AP) radiograph demonstrating non-union of the femoral fracture.
plating device in this position at a biomechanical disadvantage. Similar results were reported with the use of compression hip screw and 95o plate.2 In this type of fracture an intramedullary device has better results and biomechanical stability.

Minute 4 EXAMINER : You fixed it with this recon nail. What do you think about your check X-ray? (Figure 8.12.) CANDIDATE : As I mentioned earlier the literature reports better results with the use of a cephalomedullary nail. I hope that when the recon nailing was performed bone grafting to the fracture site was performed as well so as to address both biomechanics and biology. The cephalomedullary nail is in slight varus and there is some translation at the fracture site. The screws in the proximal fragment are a bit superior to where I would normally like them. The screws are not absolutely parallel and I would study my lateral radiographs carefully to make sure that the screws have not missed the head.

Minute 5 EXAMINER : How will you follow-up this patient? CANDIDATE : I would follow-up this patient with clinical reviews and serial radiographs until the fracture heals. I would start her weightbearing as able, stop NSAIDs, counsel against smoking

if she does, keep an eye on her inflammatory markers and do serial radiographs 6 weeks apart. If there is no callus formation at 3–4 months, I would consider revising the intramedullary nail with autologous bone grafting.
1. Sadowski C, Lübbeke A, Saudan M et al. Treatment of reverse oblique and transverse intertrochanteric fractures with use of an intramedullary nail or a 95 degrees screw-plate: a prospective, randomized study. J Bone Joint Surg Am 2002;84-A:372–381.
2. Kregor PJ, Obremskey WT, Kreder HJ, Swiontkowski MF. Evidence-Based Orthopaedic Trauma Working Group. Unstable pertrochanteric femoral fractures (Review). J Orthop Trauma 2005;19:63–66.

Previous ChapterLower Limb Trauma SOE: What Examiners Expect You to Comment… Next Chapter Tackle a Complex Lower Limb Trauma Examination Question
Dr. Mohammed Hutaif
Medically Verified Content by
Prof. Dr. Mohammed Hutaif
Consultant Orthopedic & Spine Surgeon
Chapter Index

Back to Master Guide