OrthoCash: Trauma MCQs & Cases for a yearold woman

Key Takeaway
This article provides essential research regarding OrthoCash: Trauma MCQs & Cases for a yearold woman. For orthocash a yearold woman presenting with a Hawkins type III talar neck fracture-dislocation, injury to the artery of the tarsal canal significantly increases osteonecrosis risk. This vessel supplies the lateral two-thirds of the talar body, and its compromise can lead to osteonecrosis rates ranging from 69% to 100%.
ORTHOPEDIC MCQS ONLINE OB 20 TRAUMA 2C
week of indomethacin followed by 5 weeks of placebo, and (4) 6 weeks of indomethacin and followed for 1 year. The authors concluded that the use of prophylactic postoperative indomethacin increases the incidence of symptomatic nonunion of the PW as assessed by CT scan and pain VAS.
Incorrect Answers:
1. Based on the Jordan et al reference, indomethacin increases the risk of posterior wall nonunion
2. There is no evidence that treatment with indomethacin decreases time to union
3. There is no definitive evidence that indomethacin is superior to radiation in the prevention of HO. Recent data actually is in favor of radiation treatment both to prevent nonunion, and its superiority in preventing HO formation.
4. Indomethacin increases the risk of nonunion, which would therefore increase the need for re-operation.
OrthoCash 2020
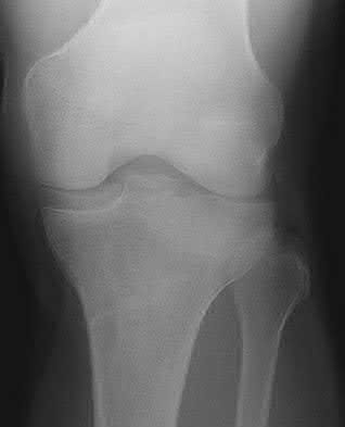
1. # A 32-year-old male sustains the injury shown in Figure A and undergoes treatment as shown in Figure B. Following placement of this implant, what is the best technique to confirm it is not too proud proximally?
1. Lateral radiograph of the knee
2. AP radiograph of the knee
3. Oblique radiographs of the knee
4. Merchant radiograph of the knee
5. Internally rotated 45 degree view of the knee Corrent answer: 1
The safe zone for tibial nail placement as seen on radiographs is just medial to the lateral tibial spine on the anteroposterior radiograph and immediately adjacent and anterior to the articular surface as visualized on the lateral radiograph.
Tornetta et al specifically located the safe zone for nail entry in a study using fresh frozen cadaver knees. The authors found that the safe zone for nail placement is located 9.1+/-5 millimeters lateral to the midline of the plateau and three millimeters lateral to the center of the tibial tubercle. The width of the safe zone averaged 22.9 millimeters and was as narrow as 12.6 millimeters.
The starting point of the of the nail can be best viewed on the lateral knee radiograph, an example of which is shown in Illustration A. Illustration B shows the "sweet spot" for nail insertion as defined by Tornetta.
OrthoCash 2020
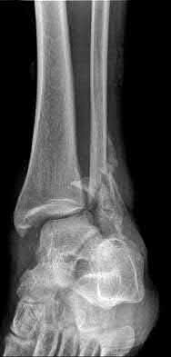
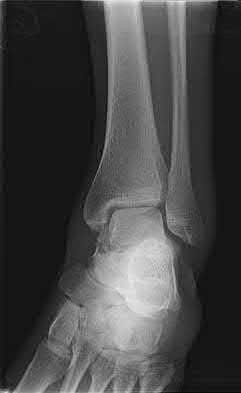
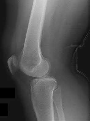
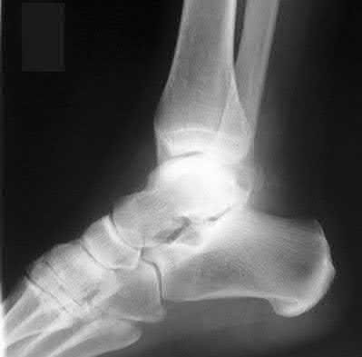
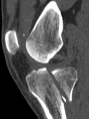
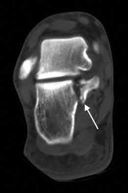
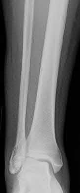
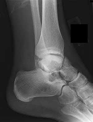
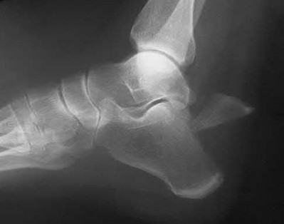
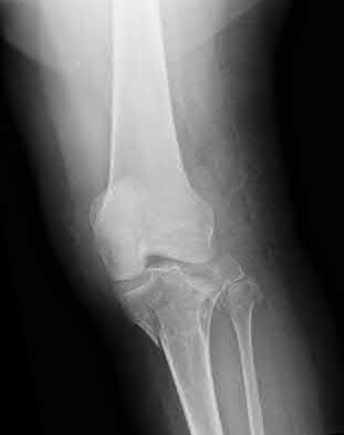
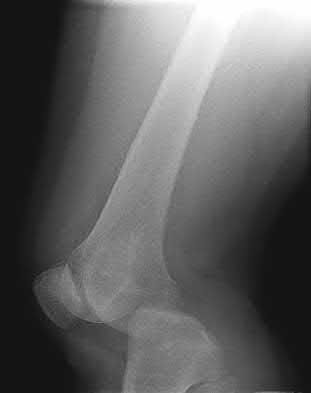
2. # A 35-year-old woman is involved in a head-on collision while driving. Initial radiographs are shown in Figures 8a and 8b. Injury to what vessel increases the risk for osteonecrosis of the injured bone?
1. Dorsalis pedis artery
2. Perforating peroneal artery
3. Lateral tarsal artery
4. Artery of the tarsal canal
5. Artery of the tarsal sinus Corrent answer: 4
The patient has a Hawkins type III talar neck fracture-dislocation with a risk of osteonecrosis ranging from 69% to 100%. Anatomic studies have shown that the artery of the tarsal canal supplies the lateral two thirds of the talar body.
The other vessels listed provide no significant contribution to the talus.
OrthoCash 2020
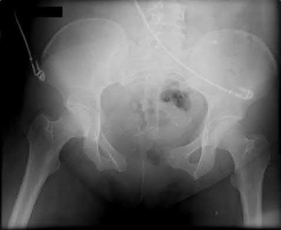
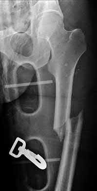
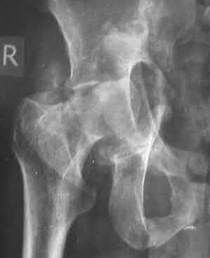
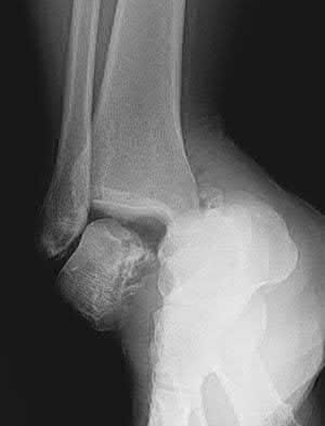
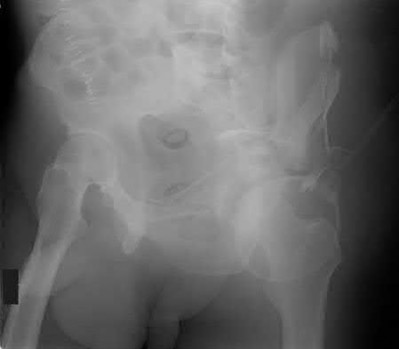
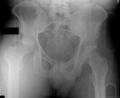
3. # Which of the following is not an appropriate implant for treatment of the fracture seen in Figure A?
1. Cephalomedullary nail
2. External fixation
3. Proximal femoral locking plate
4. 95 degree blade plate
5. Sliding hip screw Corrent answer: 5
The image shows a reverse obliquity intertrochanteric hip fracture.
According to the referenced article by Haidukewych et al, unstable peritrochanteric hip fractures have a worse outcome (failed in 9/16 cases) if treated with a sliding hip screw. Two additional factors that were found to have a strong correlation with postoperative failure (nonunion, loss of reduction) were poor reduction and poor implant placement. In this study, fixed angle devices were superior. Intramedullary fixation has the added advantage of a shorter lever arm and less potential for fracture collapse and limb shortening.
The IMN also acts as a medial buttress.
According to Sanders et al, the dynamic condylar screw (DCS) can also be used in subtrochanteric models, but should not be used if extensive comminution is seen, as they reported a high failure rate with DCS in these fractures if highly comminuted. They report a 77% overall union rate with this device.
OrthoCash 2020
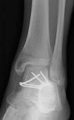
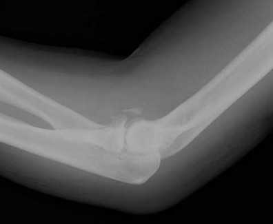
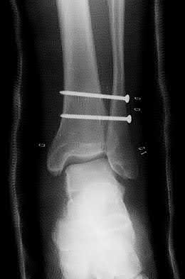
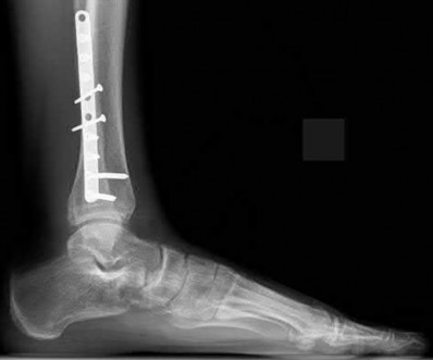
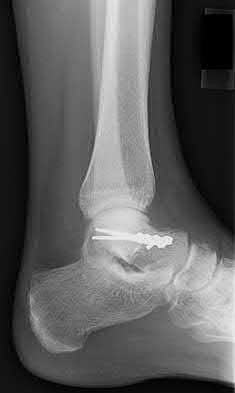
4. # After undergoing the treatment seen in Figure A, when should a patient be expected to safely operate the brakes of an automobile?
1. 6 weeks
2. 2 -4 weeks
3. 6 months
4. 8-9 weeks
5. 3 months
Corrent answer: 4
Figure A shows a patient after an open reduction and internal fixation of a bimalleolar ankle fracture.
Egol et al showed that by nine weeks, the total braking time of patients who had undergone fixation of a displaced right ankle fracture returns to the normal, baseline value.
Egol et al, also found that appropriate braking time returns at a point 6 weeks after initiation of weightbearing after treatment of lower extremity long bone and periarticular fractures, as examined with a driving simulator. No differences were seen in return of braking time between periarticular fractures and long bone injuries.
OrthoCash 2020
5. # A 63-year-old man has had increasing left leg pain over the last several months. History reveals that he has had recurring cyclic pain in
the leg for the past several years. Radiographs show an enlarged, sclerotic tibia, with thickened coarse trabeculae and varus bowing. What is the most appropriate management for this patient?
- Vitamin D
- Calcium supplement
- Methotrexate
- Nonsteroidal antiinflammatory drugs (NSAIDs)
-
Bisphosphonate therapy
Corrent answer: 5
Based on the signs and symptoms, Paget's disease is the most likely diagnosis. In Paget's disease, an elevated alkaline phosphatase level and high output heart failure may be seen. Hearing loss can be seen when there is involvement of the skull, and malignant degeneration is uncommon but recognized as a risk. Patients are often treated with bisphosphonate medications during the active disease process to help control osteoclastic activity and pain. Vitamin D and calcium are more appropriate for treatment of osteoporosis. Methotrexate is not indicated for the treatment of Paget's disease. NSAIDs may be helpful to treat pain associated with Paget's disease but will not alter the clinical course.
OrthoCash 2020 -
During head-on motor vehicle collisions occurring at highway speeds, airbag-protected individuals have a decreased rate (as compared to non-airbag protected individuals) of all of the following EXCEPT:
- Severe closed head injury
- Facial fractures
- Splenic rupture
- Pelvic ring injuries
-
Flail chest
Corrent answer: 4
The referenced study by Loo et al. studied the interaction between airbags/seatbelts and mechanism of the crash (ie. front vs. side impact) and the injury patterns in these patients. They found that in frontal crashes, airbags reduced Glasgow Coma Scale severity in brain injury, facial fracture, shock, thoracoabdominal injuries and the need for extrication. Frontal airbags also had a protective effect on lower extremity fractures, but had no significant protective effect on pelvic fractures.
OrthoCash 2020 -
Which of the following methods of treating a vertically oriented (eg, Pauwels III) femoral neck fracture is mechanically optimal?
- Two parallel fully threaded screws
- Three parallel partially threaded screws
- Three parallel fully threaded screws
- Four parallel partially threaded screws
-
Sliding hip screw and side plate Corrent answer: 5
Vertical fractures have a higher rate of displacement and nonunion because of shearing forces across the fracture. Biomechanical and clinical studies indicate that for the vertically oriented fracture of the femoral neck, the most stable fixation construct is a sliding hip screw and side plate. Antirotation screws may be used as well. Nonsurgical management carries a high risk of early displacement because of shear forces. Three screws are loaded as a cantilever and have less resistance to displacement compared with a fixed-angle device with a side plate. Fully threaded screws will not allow any compression and have the same drawbacks as partially threaded screws. The addition of a fourth screw has not been shown to be of benefit.
OrthoCash 2020 -
What is the proper location for a trochanteric nail starting point?
- At the tip of the greater trochanter
- Just medial to the tip of the trochanter
- Just lateral to the tip of the trochanter
- Dependent on the position and obliquity of the fracture
-
Dependent on the relative position of the trochanter to the axis of the femoral shaft
Corrent answer: 5
Contrary to popular belief, the tip of the greater trochanter is not necessarily the proper starting location for insertion of a trochanteric femoral nail. The relative position of the tip of the trochanter and the long axis of the femoral canal varies substantially between patients. Also, the proximal lateral bend varies substantially between different nails. Therefore, the relative position of the trochanter to the axis of the femoral shaft and the particular geometry of the selected nail must be considered.
OrthoCash 2020 -
Figures 9a through 9c are the MRI scans of a 65-year-old woman on dialysis who has thoracic back pain, malaise, and an elevated erythrocyte sedimentation rate (ESR). The clinical history and imaging findings are most consistent with
- lymphoma.
- renal osteodystrophy.
- osteomyelitis and diskitis.
- metastatic breast carcinoma.
-
osteoporotic compression fracture.
Corrent answer: 3
The sagittal MRI scans are pathognomonic for diskitis and osteomyelitis with fluid signal and destructive changes in the disk on T2 (Figure 9a), low signal with blurring of the disk margins on T1 (Figure 9b), and on the T1 gadolinium image (Figure 9c) vertebral body enhancement on either side of the affected disk with dark signals within the disk corresponding to the bright fluid signal from the T2 image. Metastatic carcinoma tends to affect the vertebral body with relative disk sparing, and lymphoma can affect the vertebral body but often has soft tissue extending within the spinal canal. Osteoporotic fractures are contained with the vertebral body. Renal osteodystrophy can result in a diskitis picture with disk destruction but one would not expect an elevated ESR or malaise, and this is much rarer than diskitis in dialysis patients.
OrthoCash 2020 -
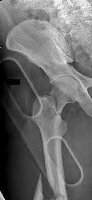
Which of the following associated type acetabular fracture patterns is defined based on the fact that all articular segments are detached from the intact portion of the ilium, which remains attached to the sacrum through the sacroiliac joint?
- Posterior wall/ posterior column
- Transverse
- T-Type
- Anterior column/ posterior hemitransverse
-
Both columns
Corrent answer: 5
There are 5 simple and 5 associated fracture types according to the classification system created by Judet and Letournel. The key feature which distinguishes both column fractures from other associated types is that all articular segments are detached from the intact portion of the ilium, which remains attached to the sacrum through the SI joint.
Although the transverse plus posterior wall, T-shaped, and anterior plus posterior hemi-transverse fractures all show involvement of the anterior and posterior columns, they are not “both columns” because a portion of the
articular surface remains in its normal position, attached to intact ilium.
The intact ilium is responsible for the "spur sign" noted most prominently on the obturator oblique radiograph.
Illustration A demonstrates the 10 types of acetabular fractures as created by Judet and Letournel. Illustration B is an example of a both column acetabular fractures as seen on the obturator oblique radiograph.
OrthoCash 2020 -
A 30-year-old man sustains a head injury as well as femur and pelvis fractures as the result of a rollover motor-vehicle accident. He is initially comatose, but recovers cognitive function after 10 days in the hospital. Soon after awakening he complains of wrist pain and an x-ray demonstrates a distal radius fracture. What is the most likely explanation for this delayed diagnosis?
- wrist x-ray not initially obtained
- x-ray obtained, but MRI necessary for diagnosis not obtained
- forearm x-ray initially obtained did not show fracture
- CT initially performed, but no 3-D images reconstructed
-
wrist x-ray initially obtained did not show fracture Corrent answer: 1
According to the cited article by Born et al, who prospectively studied the incidence of delayed recognition of skeletal injury at a Level I trauma center over an 18-month period, the majority of missed skeletal injuries result from failure to image the affected extremity. These authors identified 39 fractures in 26 of 1,006 consecutive blunt trauma patients that were not diagnosed in a timely fashion (delays ranging from 1-91 days). Although other factors contributed to the diagnostic failure (23% were visible on admission films and not recognized; 10% were not visible due to inadequate x-rays of appropriate limb; 13% had adequate x-rays but diagnosis could not be made from initial studies), 55% of the fractures that were delayed in diagnosis resulted from failure to image the affected extremity. They went on to conclude that, “although the delay of fracture identification was not felt to contribute to additional long-term cosmetic, functional, or neurologic problems,” continued radiographic surveillance is necessary to prevent diagnostic failure.
OrthoCash 2020 -
A 22-year-old woman sustains the injury seen in Figure 12 as a result of a motor vehicle crash. What factor is most closely associated with development of osteonecrosis?
- Reduction quality
- Time from injury to surgery
- Presence or absence of a capsulotomy
- Type of implant used for internal fixation
-
Location of the fracture within the femoral neck Corrent answer: 1
A displaced femoral neck fracture in a young patient is considered a surgical urgency and prompt anatomic reduction and internal fixation is recommended. There are a few studies that have specifically looked at the rate of osteonecrosis in this patient population. A review of femoral neck fractures in patients ages 15 to 50 years revealed that the incidence of osteonecrosis in displaced fractures was 27% compared with 14% in nondisplaced fractures.
The quality of the reduction also influenced the rate of osteonecrosis. Time to reduction, type of implant, presence or absence of capsulotomy, and location of the fracture are not associated with osteonecrosis risk.
OrthoCash 2020 -
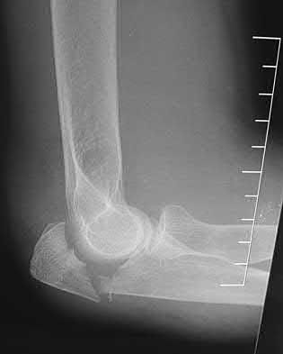
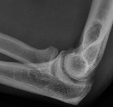
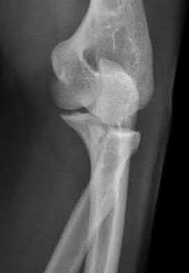
A patient has an elbow injury that includes a coronoid fracture, medial collateral ligament injury, and a radial head fracture. When is excision of the radial head without replacement indicated as definitive treatment for the radial head injury?
- When the elbow is stable after fixation of the coronoid and medial collateral ligament
- When the elbow is unstable after fixation of the coronoid and medial collateral ligament
- When the fracture is comminuted and therefore stable internal fixation is unobtainable
- When there is preexisting radiocapitellar arthritis
-
Excision is generally not indicated in this clinical scenario Corrent answer: 5
The injury likely represents a terrible triad injury. Restoration of the lateral column is required to restore valgus stability. A repaired or replaced radial head is also thought to be protective of the coronoid fracture repair. Therefore, excision is not indicated. Either radial head arthroplasty or open reduction and internal fixation would be indicated.
OrthoCash 2020 -
A subtrochanteric femur fracture in which the lesser trochanter is intact is associated with what deformity?
- Adduction and extension of the proximal fragment
- Adduction and flexion of the proximal fragment
- Abduction and extension of the proximal fragment
- Abduction and flexion of the proximal fragment
-
Predominantly internal rotation of the proximal fragment Corrent answer: 4
The most commonly seen deformity in subtrochanteric femur fractures is abduction and flexion of the proximal fragment. Subtrochanteric fractures can pose challenges in reduction because of the muscle attachments proximal and distal to the fragment. The gluteus medius and gluteus minimus attach to the greater trochanter and abduct the proximal fragment. The iliopsoas attaches to the lesser trochanter, flexing and externally rotating the proximal fragment.
The short external rotators (piriformis, superior and inferior gamellus) and the obturator internus also cause external rotation of the proximal fragment.
OrthoCash 2020 -
A 20-year-old unrestrained driver sustained a midshaft femur fracture in a high-speed motor vehicle accident. The femoral neck was evaluated with a CT scan with 2-mm cuts through the hip; no fracture was identified. What additional studies (if any) should be performed to minimize the risk of having an undiagnosed femoral neck fracture?
- Postoperative MRI scan
- Postoperative bone scan
- Preoperative AP pelvic radiograph
- No additional imaging studies are needed
-
Intraoperative fluoroscopic images of the femoral neck Corrent answer: 5
Nondisplaced femoral neck fractures may occur concurrently with high-energy injuries of the femur. Preferably, these are identified prior to or during surgery so that the fracture can be stabilized to prevent displacement and minimize the risk of osteonecrosis. However, the diagnosis of these injuries can be difficult. Tornetta and associates reported on standardized protocol that involved preoperative radiographs and CT scans with fine cuts through the femoral head. This protocol improved the detection of femoral neck fractures compared with situations with no set protocol. Of the 16 fractures detected, 13 were identified preoperatively. Of the three fractures that were missed by the
screening, one was iatrogenic, one of these was detected at the time of surgery with intraoperative internal/external views of the femoral neck, and one had a late displacement. The overall rate of nondisplaced femoral neck fractures in this study was 7.5%, of which 91% were treated at the time of initial surgery having been identified on preoperative and/or intraoperative radiographs. Care must be taken not to neglect careful scrutiny of the femoral neck at the time of surgery even if preoperative imaging studies do not detect a fracture. No one method has been shown to have a 100% success rate.
Postoperative bone scans and MRI scans are not routinely used.
OrthoCash 2020 -
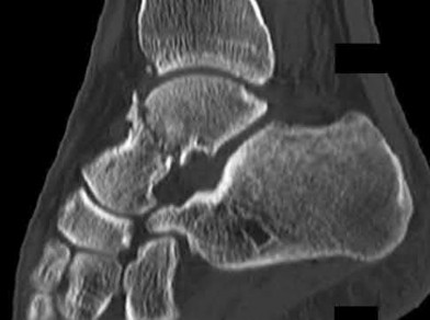
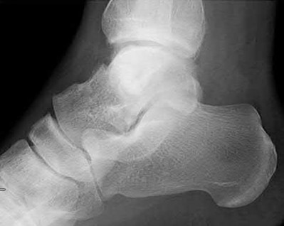
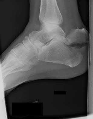
Figure 28 is the lateral radiograph of a patient who sustained an intra-articular fracture of the calcaneus. The structure (*) depicted by the arrows most likely represents which osseous component of the calcaneus?
- Middle facet
- Sustentaculum tali
- Extruded lateral wall
- Medial portion of the posterior facet
-
Lateral portion of the posterior facet Corrent answer: 5
Fractures of the calcaneus occur as a result of shear and compression forces. Foot position at the time of impact, the force of the impact, and bone quality all dictate the degree of comminution and fracture line orientation. Two primary fracture lines are consistently observed, one of which divides the calcaneus into medial and lateral portions. An essential feature of this fracture
line is that it creates a fragment (sustentaculum tali) that remains attached to the talus by the interosseous ligament. This medial portion (constant fragment) of the posterior facet retains its normal anatomic position beneath the posterior talus. Its corresponding lateral component (labeled with an * in the figure), however, can be found displaced inferiorly within the body of the calcaneus. It is often rotated 90 degrees (as depicted in Figure 28) in relation to the remainder of the subtalar joint. This gives the appearance of what has been described as the "double-density" sign. The middle facet is more anterior and less commonly displaced. The lateral wall is nonarticular.
OrthoCash 2020 -
Fragment excision and triceps reattachment is ideally indicated for which of the following situations?
- A 30-year-old woman with a closed comminuted fracture involving more than 50% of the joint surface
- A 30-year-old woman with an open transverse olecranon fracture that is proximal to the trochlear notch
- A 55-year-old woman with an oblique olecranon fracture through the coronoid process
- A 75-year-old woman with an oblique fracture through the coronoid process
-
An 85-year-old man with a comminuted fracture involving less than 50% of the proximal joint surface
Corrent answer: 5
Fragment excision and reattachment of the triceps tendon may be indicated in a select group of elderly patients with osteoporotic bone in whom the olecranon fracture fragments involve less than 50% of the joint surface, and are too small or too comminuted for successful internal fixation. The triceps tendon is reattached with nonabsorbable sutures that are passed through the drill holes in the proximal ulna. In a physiologically young patient, internal fixation should be performed. Plate fixation would be appropriate for comminuted fractures, whereas tension band wiring could be used for a simple transverse fracture. Oblique fractures passing through the coronoid process are best treated by plate fixation.
OrthoCash 2020
1000) The variability of the DASH (disabilities of the arm, shoulder, and hand questionnaire) score reported by patients after nonsurgical
management of a distal radius fracture has been shown to be affected by which of the following?
- Neuroticism
- Pain-escaping behavior
- Depression
- Occupation
-
Handedness
Corrent answer: 3
Wide variability has been seen by Ring and associates in the DASH scores for patients treated for carpal tunnel syndrome, unilateral de Quervain tendinitis, trigger finger, unilateral lateral elbow pain, or nonsurgical distal radius fractures. The authors hypothesized that the large variation in DASH scores could not be accounted for by physical factors and perhaps could be explained by illness behavior. They found that neuroticism did not correlate with the DASH score but depression and pain anxiety did. The study found a correlation between depression and all the upper extremity conditions looked at in the study. Neuroticism was found not to correlate with the DASH score, pain-escaping behavior is not measurable, and occupation and handedness have not been found to be associated with variations in the DASH score.
OrthoCash 2020
1001) Figures 38a and 38b are the MRI scans of a 28-year-old man who reports progressively worsening severe back pain for the past 3 months. He denies fevers, chills, weakness, or neurologic dysfunction. Examination reveals tenderness to palpation over the lumbar spine but normal neurologic findings. Laboratory studies reveal an elevated erythrocyte sedimentation rate and C-reactive protein; blood cultures are positive for methicillin-sensitive Staphylococcus aureus. In addition to intravenous antibiotics, what is the next step in management?
1. CT-guided biopsy
2. Application of lumbar orthosis
3. Repeat MRI within 48 hours
4. Anterior lumbar debridement and fusion
5. Posterior lumbar debridement and fusion Corrent answer: 2
The patient's symptoms and MRI findings are consistent with osteomyelitis and diskitis at L3-4 with a paraspinal fluid collection. Cultures confirm bacterial
involvement. Given that finding, a biopsy of the level is unnecessary. Surgical treatment for infection is not indicated given the lack of neurologic deficit.
Nonsurgical management is the best option, including both intravenous antibiotics and an external lumbar orthosis. A repeat MRI scan within a short duration would not impact clinical care. More important is close clinical followup to confirm response to treatment and identify any potential neurologic deficits that may develop.
OrthoCash 2020
1002) Tension band wire fixation is best indicated for which of the following types of olecranon fractures?
- Comminuted fractures
- Fractures that involve the coronoid process
- Fractures associated with Monteggia fracture-dislocations
- Oblique fractures distal to the midpoint of the trochlear notch
-
Transverse fractures through the midpoint of the trochlear notch Corrent answer: 5
Tension band wiring may not provide adequate stability to prevent displacement in a comminuted fracture. Plate fixation is most commonly recommended for comminuted fractures of the olecranon. Additionally, plate fixation is used for oblique fractures distal to the midpoint of the trochlear notch, fractures that involve the coronoid process, and those associated with Monteggia fracture-dislocations. Tension band wiring is best indicated for simple transverse fractures through the midpoint of the trochlear notch.
OrthoCash 2020
1003) A 48-year-old male is involved in a motorycycle accident and arrives in the trauma bay in hypovolemic shock. He receives 6 units of packed red blood cells during his resuscitation. Which of the following viral microbes is he most at risk of transmission from the transfusions?
- HIV
- Staph Aureus
- Hepatitis A
- Hepatitis B
-
Hepatitis C
Corrent answer: 4
According to the article by Wang et al the risk of viral transmission following a screened blood donation is: 1 in 1.9 million donations for human immunodeficiency virus (HIV), 1 in 1.8 million donations for hepatitis C virus (HCV), and 1 in 205,000 donations for hepatitis B virus (HBV). West Nile and Human T-cell leukemia viruses are even more rare in the general population, and both are screened in blood banks. Hepatitis A virus is not a blood borne viral disease. It is contracted by the fecal-oral route. Staph Aures is a bacteria, not a virus.
OrthoCash 2020
1004) When a patient with a grade II open tibia fracture presents to the emergency department, which of the following components of treatment would be considered the most important infection deterrent?
- The use of bacitracin irrigation
- Application of negative pressure wound therapy
- A 6-hour time window to get the patient to the operating room
- High-pressure pulse lavage as a means of mechanical debridement
-
Surgical wound inspection and debridement of devitalized tissue Corrent answer: 5
Surgical inspection and debridement of devitalized tissue are the main means of decreasing infection in open fractures. The arbitrary 6-hour window has not been confirmed in recent studies. The use of bacitracin in the irrigation fluid has not been shown to decrease infection and may create other wound healing problems. Bulb syringe or low-pressure irrigation has been shown to have lower rates of rebound contamination at 48 hours when compared with high-pressure lavage. Negative-pressure wound therapy, although it has been a major advance in soft-tissue management, is still only an adjuvant to surgical debridement and not a substitute for excision of devitalized tissue.
OrthoCash 2020
1005) Figure 48 shows the radiograph of a 17-year-old boy who sustained a gunshot wound to his forearm. There is a small entrance wound on the volar surface. The exit wound is dorsal and more than 15 cm in size, with loss of skin and an extensive amount of devitalized muscle hanging out of the wound. Vascular supply to the hand is excellent, the ulnar and median nerves are intact in the hand, but the radial sensory nerve function is absent. After repeated surgical
debridements of the wound and bone, definitive treatment for the fracture would most likely be which of the following?
1. Spanning external fixation of the radius
2. Open reduction and internal fixation of the radius with free fibular flap interposition
3. Open reduction and internal fixation of the radius with interposed strut allograft
4. Open reduction and internal fixation of the radius with massive cancellous allografting
5. Open reduction and internal fixation of the radius with massive cancellous autografting
Corrent answer: 2
The injury needs a very complex traumatic reconstruction. After repeat debridements, there will be a very long segmental loss of the radius, with a significant loss of skin and muscle covering the bone. Spanning external fixation represents a good temporary fixation tool but will not be a definitive solution. The preferred procedure is a vascularized fibular graft with associated skin flap from the lateral leg. This surgical option brings healthy vascularized bone and soft-tissue coverage into an area with significant bone and soft-tissue loss. Placement of large quantities of allograft material, especially strut allograft, is generally contraindicated in the setting of open fractures with soft-tissue compromise because of the risk of infection. Internal fixation and
massive cancellous autografting is usually limited to one defect of less than 5 cm with intact soft-tissue covering.
OrthoCash 2020
1006) A patient who underwent intramedullary nailing of a femoral shaft fracture 2 weeks ago now reports groin pain. What is the next most appropriate step in management?
- Obtain a radiograph of the hip
- Obtain radiographs of the lumbar spine
- Obtain an MRI scan of the lumbar spine
- Review the radiographic report from the time of injury
-
Reassure the patient that the pain will improve and order physical therapy Corrent answer: 1
Whereas ipsilateral fractures of the femoral neck and shaft are uncommon, it is critical to recognize a femoral neck fracture that may occur in conjunction with a femoral shaft fracture. The combined injury is seen in 2% to 9% of femoral shaft fractures and may initially be missed in as many as one third of the cases. Preoperative examination of a thin cut CT scan and dedicated AP internal rotation views of the femoral neck can help identify this injury. In addition, the intraoperative AP and lateral hip fluoroscopic view should be examined, and a dedicated radiograph of the hip obtained at the conclusion of the surgery. At follow-up, Tornetta and associates has recommended obtaining a dedicated AP radiograph of the hip with the leg internally rotated 15 to 20 degrees. Because the femoral neck is anteverted, 15 to 20 degrees of internal rotation of the hip offers the best view of the femoral neck. Whereas associated lumbar spine pathology may cause groin pain, the presence of a missed femoral neck fracture must first be ruled out prior to investigating other sources of pain.
OrthoCash 2020
1007) The radiographic finding in Figure 58 is indicative of what type of acetabular fracture?
1. Anterior column
2. Posterior column
3. Associated both column
4. Transverse
5. Associated transverse plus posterior wall Corrent answer: 3
The radiographic image is an obturator oblique view of the left acetabulum and demonstrates a "spur" sign. It represents a spike of bone from the intact hemipelvis and no articular surface remains with the hemipelvis, which defines the associated both column fracture. The weight-bearing surface of the acetabulum is displaced with the femoral head. In all other patterns, at least part of the articular surface remains with the intact hemipelvis.
OrthoCash 2020
1008) An elderly woman with osteoporosis falls from a standing height, sustaining a low-energy fracture of the acetabulum. What structures are most likely fractured?
- Posterior column and posterior wall
- Anterior column and medial wall
- Anterior column, posterior column, and ischium (T-type fracture)
- Anterior column and posterior column (transverse fracture)
-
Anterior column, posterior column, and posterior wall (transverse/posterior wall fracture)
Corrent answer: 2
Epidemiologic studies suggest that 4,000 acetabular fractures occur in elderly patients each year in the United States. This accordingly may become the most common age group to present with this fracture. In elderly patients with considerable osteoporosis, a typical fracture pattern may present with intrapelvic dislocation of the femoral head with compromise to the anterior column and "medial wall." The resulting fractures are often complex fracture patterns with extensive comminution and displacement. These may present as atypical fracture patterns not always conforming to classic injury patterns described by Judet and associates. This fracture pattern seen commonly in geriatric patients results from low-energy falls with force directly applied to the greater trochanter. Fractures involving the posterior column and/or wall and transverse fracture patterns involving both the anterior and posterior columns occur infrequently in this age group. They are, however, more commonly encountered in younger age groups as a result of higher energy trauma.
OrthoCash 2020
1009) A 10-year-old girl is seen in the emergency department after being involved in a motor vehicle accident. She has right hip pain and is unable to bear weight. She has no neurovascular deficits and no other injuries. Radiographs reveal a posterior dislocation of the right hip without apparent fracture. The acetabulum appears to be developing normally. What is the best course of treatment?
- Open reduction under general anesthesia
- Closed reduction under general anesthesia with fluoroscopy
- Closed reduction under general anesthesia without fluoroscopy
- Conscious sedation in the emergency department and closed reduction with fluoroscopy
-
Conscious sedation in the emergency department and closed reduction without fluoroscopy
Corrent answer: 2
Hip dislocation in the pediatric population is a rare event. However, prompt recognition and rapid care for this injury is imperative to avoid future hip problems including osteonecrosis of the femoral head (a devastating problem for a pediatric patient). Reduction maneuvers can create violent impact between the posterior wall of the (intact) acetabulum and the femoral head, resulting in shearing of the proximal femoral physis and displacement of the epiphysis from the remainder of the femoral head in skeletally immature patients. Therefore, deep sedation with good muscle relaxation, such as that
achieved with general anesthetic, is recommended. Reduction is best accomplished with fluoroscopy for a number of reasons, including assessment of concentricity of the hip joint after reduction, and to detect any catastrophic femoral head physeal separation that occurs during the reduction maneuver. Sedation in the emergency department is often insufficient to achieve acceptable muscle relaxation for the patient. Open reduction is only indicated if closed reduction fails completely or if the hip is not concentric after an apparently successful closed reduction.
OrthoCash 2020
1010) Figures 66a through 66d are the radiographs and CT scans of a 72-year-old woman with osteoporosis who sustained a fall from standing height. She has pain and is unable to bear weight on the right knee. Surgical management is considered. Which of the following best describes the preferred proximal screw fixation construct within a laterally applied buttress plate?
1. 3.5-mm locking screws only
2. 3.5-mm nonlocking screws followed by 3.5-mm locking screws
3. 3.5-mm locking screws followed by 3.5-mm nonlocking screws
4. 6.5-mm fully threaded cancellous screws
5. 6.5-mm partially threaded cancellous screws Corrent answer: 2
Displaced split depression fractures of the lateral tibial plateau require articular surface elevation, restoration of anatomic plateau width, and sustained elevation of the reduced articular components. This is accomplished by introducing nonlocking lag screws first to compress and narrow the lateral rim thus restoring plateau width. The introduction of locking screws first would disallow compression and accordingly prevent reduction of the lateral rim.
Locking screws are inserted after the lag screws if the bone is osteoporotic to maintain articular elevation. Several biomechanical studies have demonstrated
inferior performance of large implants (6.5-mm screws and 4.5-mm plates) with regard to sustaining joint surface elevation.
OrthoCash 2020
1011) The radiograph seen in Figure 67 reveals an ankle fracture in a 65-year-old woman who slipped on the ice. She has a history of diabetes mellitus for the past 7 years and reports that she maintains fair control of her diabetes; her last HgbA1c was 8%. The patient is a community ambulatory who lives independently. Examination reveals she has absent sensation with the 5.07 monofilament. When determining management, the physician must consider which of the following?
1. Supplemental internal fixation
2. Primary ankle arthrodesis
3. Nonsurgical treatment to avoid infection
4. Early bone grafting because of poor bone quality
5. Early mobilization and weight bearing to minimize stiffness Corrent answer: 1
Increased immobilization and delayed weight bearing are indicated in the neuropathic population after treating an ankle fracture. Patients with diabetes mellitus and peripheral neuropathy have higher complication rates following ankle fractures treated surgically or nonsurgically. The elevated HgbA1c and
neuropathy both predict a higher complication rate with this fracture. Outcomes after nonsurgical management of this fracture are poorer than after surgical treatment. Early bone grafting is not recommended in closed fractures, but the use of supplemental internal fixation is recommended because of the high risk of nonunion. More substantial constructs with supplemental fixation, locking fixation, fixation through the calcaneus and talus into the tibia, or external fixation are necessary. Primary arthrodesis is not recommended in this fracture pattern or in a relatively active patient.
OrthoCash 2020
1012) A 54-year-old woman sustains the injury seen in Figures 71a and 71b. The injury involves her nondominant extremity. What should the patient be told regarding her expected outcome?
1. She should expect to return to full function and regain full range of elbow motion.
2. Reduction and casting has equivalent outcomes to those of surgical treatment.
3. This type of injury is associated with a high rate of complications.
4. Nerve dysfunction is commonly associated with this injury.
5. Ulnohumeral instability is the major complication seen with this fracture pattern.
Corrent answer: 3
This is a Bado type 2 (posterior) Monteggia lesion, which is associated with higher rates of complications than other types of Monteggia lesions. The injury is associated with indirect high-energy trauma and less often pathologic causes. Of the four types of Monteggia lesions, the type 2 or posterior type is associated with the worst prognosis. These injuries are best treated surgically with dorsal plating of the ulna and reduction with fixation or arthroplasty of the radial head. The major complications seen with this injury pattern are nonunion and plate failure. Almost all patients have some loss of elbow range of motion. Satisfactory results based on functional scores for this injury are not universal. Neurologic injury and ulnohumeral instability are unusual with this type of injury. Full functional recovery is not expected with nonsurgical management.
OrthoCash 2020
1013) A 60-year-old woman sustains the injury shown in Figure 75. Prior to her injury, she lived independently and was a community ambulator without need for any assistive devices. What treatment will give her the greatest long-term painless hip function with the lowest reoperation rate?
1. Total hip arthroplasty
2. Hemiarthroplasty
3. In situ percutaneous pinning
4. Open reduction and percutaneous pinning
5. Open reduction and internal fixation with an intramedullary device Corrent answer: 1
Cemented hemiarthroplasty is typically used to treat displaced femoral neck fractures in elderly patients. Recently, however, there has been a growing realization that many of these patients would be candidates for total hip arthroplasty had they presented with arthritis rather than fracture. Recent randomized studies have demonstrated improved outcomes up to 4 years following total hip arthroplasty compared with hemiarthroplasty in pain and functional scores. The rate of dislocation is higher following total hip arthroplasty. However, some patients with hemiarthroplasties required later conversion to total hip arthroplasty because of acetabular wear. In situ pinning is not recommended for patients with a displaced fracture. Open reduction and internal fixation of displaced femoral neck fractures in elderly patients is not recommended because of the risk of nonunion and osteonecrosis.
OrthoCash 2020
1014) A 10-year-old girl is treated for a tibia/fibula fracture with a long leg cast. The on-call resident is called to evaluate the patient for increasing pain medicine requirements and tingling in her foot.
Examination of the cast reveals that the ankle has been immobilized in 10 degrees of dorsiflexion. What ankle position results in the safest compartment pressures in a casted lower leg?
- 40-50 degrees of plantar flexion
- 10-20 degrees of ankle dorsiflexion
- Neutral to 30 degrees of plantar flexion
- Neutral to 10 degrees of dorsiflexion
-
Ankle position has no effect on calf compartment pressure Corrent answer: 3
Agitation, anxiety, and increasing analgesic requirements are the "3 A's" of pediatric compartment syndrome.
Weiner et al measured intramuscular compartment pressure in the anterior and deep posterior compartments of the leg in seven healthy adults who had long leg casts placed. They found that in a casted leg the intramuscular pressure in the anterior compartment was lowest with the ankle in neutral, and the deep posterior compartments was lowest when the ankle joint was in the resting position to approximately 37 degrees of plantar flexion. Based on this,
they concluded that the safest ankle casting position regarding compartment pressure is between 0 and 37 degrees of plantar flexion. After the cast was bivalved, they noted a significant decrease in intramuscular pressure of 47 percent in the anterior compartment and of 33 percent in the deep posterior compartment. Constrictive casts and abberant ankle positioning can exacerbate pain/symptoms. Loosening of the cast by bivalving, spreading, and cutting underlying stockinette/softroll should always be the first step in management of possible compartment syndrome.
OrthoCash 2020
1015) What is the greatest benefit of external fixation for treatment of displaced and unstable pelvic ring injuries with hemodynamic instability?
- It provides rigid fixation of the pelvis.
- It helps maintain a stable clot over injured vessels.
- It stabilizes the visceral injuries.
- It allows the patient to sit and eat without pain.
-
It is more comfortable than skeletal traction.
Corrent answer: 2
External fixation has been shown not to provide rigid fixation of the pelvis because a long moment arm from the fixator clamps to the posterior pelvis. Even with elaborate constructs, the fixator alone is inferior to internal fixation of the posterior ring. The main purpose of acute external fixation is to stabilize the initial clot forming about the injured pelvic plexus. This initial clot contains innate clotting factors, making it more stable, if not dislodged. If this clot is dislodged after hemorrhage and factor poor resuscitation, the ensuing hemorrhage will not have the same ability to form a stable clot around the injured vessels. The fixator does not stabilize any visceral structures. It interferes with the ability to sit depending on its application and is no more or less comfortable than skeletal traction.
OrthoCash 2020
1016) What is the best indication for prosthetic radial head arthroplasty following fracture?
- Mason type I fracture with full range of motion
- Mason type I fracture with decreased supination
- Mason type I fracture with decreased pronation
- Mason type III fracture with associated interosseous membrane injury
-
Mason type III fracture without associated interosseous membrane disruption
Corrent answer: 4
The Mason classification differentiates the degree of displacement, angulation, and mechanical block to motion. Most nondisplaced radial head fractures (Mason I) in which there is no block to motion can be treated nonsurgically.
Mason type III injuries are severely comminuted radial head fractures. Fragment excision can be considered in unreconstructable fractures in which the interosseous membrane is intact. However, if the interosseous membrane has been disrupted, fragment excision can lead to proximal migration of the radius with associated wrist problems. In this case, radial head arthroplasty is indicated. Radial head arthroplasty may also be required when the radial head fracture is associated with other ligamentous injuries as seen following an elbow dislocation, or with an associated unstable coronoid fracture.
OrthoCash 2020
1017) A child in a MVA has a Glasgow Coma Scale score of 14. His injuries have been graded as severe but not life-threatening injury to the chest (3 points), moderate injury to the abdomen (2 points), and severe injuries but with probable survival injury to the the face or neck (4 points) using the criteria for the Modified Injury Severity Score (MISS). There are no injuries to extremities/pelvis . Based on this information, what is the child’s total MISS score?
1. 7
2. 9
3. 25
4. 29
5. 30
Corrent answer: 4
The MISS for children categorizes injuries into five body areas: 1) neurologic,
2) face & neck, 3) chest, 4) abdomen & pelvic contents, 5) extremities & pelvic girdle. Each of these are scored 1-5 with 1 being minor, 2 moderate, 3 severe but not life threatening, 4 severe with probable survival, and 5 critical with uncertain survival. The total score for the MISS, like the Injury Severity Score (ISS), is the sum of the squares for the highest injury score grades in the three most severely injured body regions. Therefore, in this case: chest (3x3)
+ abdomen (2x2) + face/neck (4x4) = 9+4+16 = 29. The Glasgow coma scale would be 1, which is less than the scores of 3 of the other areas so it is
excluded.
Loder in 1987 showed that in 78 polytrauma pediatric patients, no deaths were seen when the MISS is <40. Mortality was 50% for scores >40 and 75% for scores >50. The Mayer article is a good overview of the MISS.
OrthoCash 2020
1018) A 23-year-old woman sustains the injury seen in Figures 96a and 96b. Treatment should consist of which of the following?
1. Total elbow arthroplasty
2. Closed reduction and casting
3. Open reduction and internal fixation of both the radial head and distal humerus
4. Open reduction and internal fixation of the radial head and excisional arthroplasty of the distal humerus
5. Hinged external fixation with associated ligamentous reconstruction Corrent answer: 3
This injury represents a complex partial articular fracture of the distal end of the humerus with an associated radial head fracture. Given this patient's young age, partial or complete arthroplasty is not an option. Closed reduction will lead to poor elbow function. Ligamentous repair is not indicated and external fixation will not aid in articular reduction. The patient requires open reduction and internal fixation of both components of the intra-articular injury. This is best accomplished through an extensile lateral approach or an olecranon osteotomy. Headless screws are preferred for articular reconstruction in these cases.
OrthoCash 2020
1019) A 57-year-old woman sustains a posterolateral elbow dislocation. Following closed reduction, a displaced radial head fracture of 40% of the joint surface is noted. At surgery, the fragment is found to be comminuted into four pieces. What is the best choice for treatment?
- Partial radial head excision
- Radial head excision
- Radial head replacement
- Total elbow arthroplasty
-
Open reduction and internal fixation with prolonged postoperative immobilization
Corrent answer: 3
The injury described is a ligamentous injury because of the dislocation with the radial head fracture. Therefore, the surgical goals are to restore stability to the elbow and allow early range of motion. Only radial head replacement will restore stability and allow early range of motion of the elbow. Radial head excision is not recommended in the setting of any instability because the radial capitellar joint is an important secondary stabilizer of the elbow. Total elbow arthroplasty is not needed because the ulnohumeral joint is normal. Partial excision of fragments over 30% will likely cause degeneration of the capitellum and will not restore the secondary stabilizing effect of the radial head.
Attempts to repair the radial head that cannot achieve rigid fixation are not recommended because they do not restore stability or allow early range of motion.
OrthoCash 2020
1020) Figures 108a through 108c are the radiographs of a 38-year-old man who fell on an outstretched hand 1 week ago and now reports severe left elbow pain. Examination of the wrist reveals normal range of motion with no tenderness or swelling. Pain limits examination of his elbow. What is the most appropriate management to determine if surgery is indicated?
1. CT of the elbow
2. MRI of the elbow
3. Apply a long-arm splint and schedule a follow-up examination in 2 to 3 weeks when less painful
4. Examination under general anesthesia
5. Intra-articular lidocaine injection followed by repeat examination Corrent answer: 5
Whereas there is controversy regarding the best treatment for comminuted radial head fractures, nondisplaced and minimally displaced fractures in which there is no block to motion can be treated nonsurgically. At the time of initial examination, it is important to determine that there is no block to range of motion. If pain limits the ability to examine the patient's range of motion, local analgesia with intra-articular lidocaine is most appropriate. Whereas general anesthesia would be useful for open reduction and internal fixation, the necessity for open reduction and internal fixation is best determined first before scheduling surgery. Neither a CT or MRI scan is necessary if the patient has no block to range of motion. Early range of motion is the best treatment for radial head fractures treated nonsurgically. After immobilization for 2 weeks, it may be difficult to determine whether there is a block to motion because the patient will likely have decreased elbow pronation and supination.
OrthoCash 2020
1021) A 29-year-old man sustained an open humeral fracture and underwent surgical fixation 1 year ago. At that time, the radial nerve was transected and repaired primarily. He now has persistent wrist drop and is unable to extend his digits. Nerve conduction velocity studies show no evidence of re-innervation. While discussing surgical options, the patient states that one of his hobbies is playing football. The most appropriate surgical reconstruction should include pronator teres transfer to the extensor carpi radialis brevis
- alone.
- and the flexor carpi radialis to the extensor digitorum communis.
- and the flexor carpi ulnaris to the extensor digitorum communis.
- and the flexor carpi radialis to the extensor digitorum communis, and the palmaris longus to the extensor pollicis longus.
-
and the flexor carpi ulnaris to the extensor digitorum communis, and the palmaris longus to the extensor pollicis longus.
Corrent answer: 4
The standard transfers for radial nerve palsy involve the pronator teres to the extensor carpi radialis brevis for central line of pull wrist extension. To power the extensor digitorum communis, the choice is between the flexor carpi radialis and the flexor carpi ulnaris. In a patient who needs power in throwing and needs to generate ulnarly directed flexion, it is important to preserve the flexor carpi ulnaris function; therefore, the flexor carpi radialis is the better choice. Furthermore, the thumb extension deficit should be corrected and the palmaris longus makes a good choice.
OrthoCash 2020
1022) Compared with myodesis, osteomyoplasty offers which of the following advantages in transtibial amputation?
- Enhanced end-bearing
- Early prosthetic fitting
- Immediate weight bearing
- Fibular abduction
-
Decreased surgical morbidity Corrent answer: 1
Osteomyoplasty in transtibial amputation, originally described by Ertl in 1949, features creation of a bone bridge between the distal tibia and fibula, which is theorized to enhance bony stability and increase end-bearing of the residual limb, and may enhance patient-perceived functional outcomes relative to
myodesis. Fibular abduction is a known complication of traditional myodesis techniques, and is believed to represent syndesmotic instability.
Osteomyoplasty requires additional surgical time and increased surgical morbidity, and because the success of the procedure is dependent on achieving bony union, early prosthetic fitting and immediate weight bearing are typically contraindicated.
OrthoCash 2020
1023) Figures 117a through 117e are the radiographs and CT scans of a 32-year-old man who fell from a height of 8 feet and now reports pain and is unable to bear weight on his left lower extremity. The limb has no neurovascular impairment and the soft tissues are soft and intact. The preferred fixation construct should include which of the following?
1. A medially applied uniaxial locking plate
2. A laterally applied uniaxial locking plate
3. A laterally applied polyaxial locking plate
4. Anterolateral and posteromedially applied plates via two incisions
5. Anterolateral and medially applied plates via a single anterior incision Corrent answer: 4
The injury represents a bicondylar tibial plateau fracture with an associated posteromedial fragment of considerable size. The posteromedial fragment can go unrecognized and undertreated, resulting in loss of knee motion, instability, and arthritis. A laterally applied plate is required to treat the bicondylar fracture. It alone, however, will not address the posteromedial fragment adequately. A second, posteromedial plate is required to adequately fix this important component of the fracture pattern. This is preferentially inserted employing a second (posteromedial) incision. The insertion of both plates through a single midline approach has resulted in unacceptable infection rates. Any contemporary laterally applied plate (including polyaxial plates) will be insufficient by itself to address this fracture pattern. A medially applied plate alone will inadequately manage either the lateral condyle lesion or the posteromedial fragment.
OrthoCash 2020
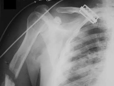
1024) An 18-year-old football player crossing the field to make a catch is hit on the shoulder and upper chest by the tackler and falls to the
ground with immediate pain throughout the shoulder region. The emergency department physician obtains the radiographs, CT scan, and 3-dimensional reconstructions seen in Figures 118a through 118e. What is the next step in management?
1. Obtain an MRI scan of the shoulder.
2. Place the arm in a sling for comfort and treat the injury nonsurgically.
3. Perform closed reduction in the emergency department.
4. Perform closed reduction in the operating room.
5. Perform open reduction using Kirschner wires to hold the joint reduced.
Corrent answer: 4
The player has sustained a posterior sternoclavicular dislocation. The CT scans show the medial end of the clavicle in close proximity to the aorta. An MRI scan will add no diagnostic information and might delay treatment. Nonsurgical management of an anterior sternoclavicular dislocation is often appropriate, but given the proximity of the clavicle to the aorta and airway, reduction of the dislocation is recommended to prevent vascular injury. While reduction is indicated, performing the reduction in the emergency department is not recommended because of the vascular injury or the need to perform an open reduction. Performing the procedure in the operating room with a thoracic surgeon available is recommended. Usually a closed reduction is stable, but if open reduction is necessary, Kirschner wires should be avoided to avoid the chance of migration of the implants.
OrthoCash 2020
1025) Figures 124a and 124b are the radiographs of a 30-year-old man who sustained an ankle injury and has swelling with lateral tenderness. The patient denies any previous ankle injuries. After 6 weeks of rest and use of a removable ankle brace, he continues to have swelling, lateral pain, and popping. An anterior drawer test reveals a solid end point. Recommended treatment should include which of the following?
1. Ankle arthroscopy and debridement of an osteochondral lesion
2. Peroneal retinacular reconstruction
3. Brostrom-Gould lateral ligament reconstruction
4. Immobilization in a walker boot in plantar flexion
5. Ankle rehabilitation and physical therapy Corrent answer: 2
The radiographs and examination reveal peroneal tendon instability requiring surgical treatment for persistent symptoms and tendon instability. The radiographs demonstrate the "fleck sign," which is an avulsion of the posterior distal fibular ridge, and represents an injury to the superior peroneal retinaculum and probable peroneal dislocation. Peroneal tendon dislocations are typically present with vague lateral ankle findings associated with swelling and tenderness over the distal fibula. The tendons may be palpated as a ridge over the lateral fibula distally. Initial management of the acute injury with cast immobilization in plantar flexion/inversion with the use of a pad in the shape of a "U" or "J" is effective in 50% of patients; the rest will require surgical treatment. The indications for surgical treatment of peroneal dislocation/subluxation include continued pain and failure of nonsurgical management. Associated peroneal tendon tears can be found when performing retinacular reconstruction. Many techniques have been described including
soft-tissue reconstructions, bone block procedures as well as fibular groove-deepening procedures. Radiographs do not reveal an osteochondral lesion. There is no evidence of lateral ankle ligament instability. Ankle rehabilitation and physical therapy may further damage the unstable tendons.
OrthoCash 2020
1026) Figures A and B show the six-month follow-up radiographs of a 62-year-old woman who sustained a hip fracture in a fall. Prior to the fall, the patient was active and had no difficulty with ambulation. The patient underwent open reduction and internal fixation with a sliding hip screw device. She has difficulty with ambulation, continues to walk with a walker, and reports startup pain. What is the most appropriate management at this time?
1. Valgus osteotomy
2. Removal of the hardware
3. Intramedullary fixation after removal of the hardware
4. Conversion to total hip arthroplasty with a long cementless stem
5. Conversion to total hip arthroplasty with a primary tapered stem Corrent answer: 4
The radiographs demonstrate a healed fracture with penetration of the screw through the femoral head into the acetabulum as well as osteonecrosis and collapse of the femoral head (Figure 129b). Conversion to total hip arthroplasty with a long stem is necessary to bypass the femoral cortical defects from the screw holes. A primary tapered stem is not appropriate because of the proximal femoral deformity and the stress risers associated with the screw holes. Removal of hardware, valgus osteotomy, and revision of the internal fixation are not appropriate in the presence of the femoral head collapse and acetabular penetration.
OrthoCash 2020
1027) During a percutaneous plating of a proximal tibia fracture requiring a 13-hole minimally invasive locking plate system, the placement of the distal most screws should be done through a small open incision to avoid injury to what structure?
- Superficial peroneal nerve
- Saphenous nerve
- Posterior tibial artery
- Peroneal artery
-
Peroneal tendons
Corrent answer: 1
The superficial and deep peroneal nerves are consistently at risk near the distal holes of long locking proximal tibia plates but can be avoided with a small open incision for those screws. The peroneal tendons are more posterior at that level. The saphenous nerve is medial. The peroneal artery runs behind the fibula and is not at risk. The posterior tibial artery is posterior to the tibia.
OrthoCash 2020
1028) Figures A through C are the radiograph and CT scans of a 42-year-old man who sustained an injury to both of his ankles and underwent surgical repair 2 weeks prior to presentation to your office. One ankle is healing well. On the contralateral side, he reports pain and restricted ankle range of motion. Management should consist of
1. the addition of more aggressive physiotherapy.
2. observation and continued non-weight-bearing.
3. addition of an anteriorly directed "syndesmosis screw."
4. loosening the syndesmotic screws from an overtightened position.
5. removal of screws, re-reduction of the syndesmosis, and revision fixation.
Corrent answer: 5
This patient has a malreduced syndesmosis. The CT scans clearly show the fibula to be subluxated posteriorly relative to the incisura; therefore, surgical revision is warranted. Revision surgery should include either removal of the current screws with accurate reduction of the syndesmosis and new screw placement or repair of the posterior malleolar fragment, which will in turn reduce the syndesmosis. Addition of an anteriorly directed screw to the current construct will not change the malalignment. Loosening the syndesmotic screws or addition of aggressive physiotherapy will not correct the malrotation of the distal fibula within the incisura which is seen on the CT scan. Outcomes after these injuries are related to the reduction of the ankle mortise.
OrthoCash 2020
1029) Which of the constructs seen in the Figures 140a through 140c best demonstrates buttress plating technique for the fracture shown?
1. Figure 140a with a nonlocked screw
2. Figure 140a with a locked screw
3. Figure 140b with a nonlocked screw
4. Figure 140b with a locked screw
5. Figure 140c with a locked screw Corrent answer: 1
Buttress plating technique relies on an under-contoured plate secured with a nonlocked screw near the apex of a vertical fracture. This provides an axilla to resist vertical displacement. Locked screws do not compress plate to bone and are not ideal for buttress plating technique.
OrthoCash 2020
1030) A 22-year-old woman underwent closed reduction and percutaneous pinning with casting of a displaced extra-articular distal radius fracture. The surgery was completed with a supraclavicular regional anesthesia. After the block wears off, she reports new onset dense numbness in the palmar aspect of the thumb, index, and middle fingers as well as severe pain in the hand. What is the next step in management?
- Bivalve the cast and follow up in 1 week
- Return to the operating room for open carpal tunnel release
- Compartment pressure monitoring of the hand
- Emergent nerve conduction velocity studies
-
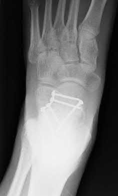
Exploration of the supraclavicular brachial plexus Corrent answer: 2
The injury represents a somewhat uncommon problem after surgical treatment of distal radius fractures; however, vigilance is required to detect the acute presentation of a carpal tunnel syndrome. In this case, urgent release of the tunnel is recommended. Bivaling the cast alone is indicated when the pain is less severe, and only when the numbness is very minimal and more generalized. Compartment syndrome of the hand is almost unheard of in the setting of a distal radius fracture; rather it is more commonly associated with a crush injury to the hand. There is no role for emergent nerve conduction velocity studies or brachial plexus exploration.
OrthoCash 2020
1031) Figures 1 and 2 are the radiographs of a 40-year-old woman who sustained a twisting injury to her lower extremity. What
additional information or studies are important in determining treatment options?
1. Full-length tibia-fibula radiographs
2. Inability to bear weight
3. History of recurrent ankle sprains
4. Presence or absence of medial tenderness
5. MRI scan
Corrent answer: 1
The radiographs reveal a medial ankle injury with a widened medial clear space. No fibula fracture is visualized on this view; therefore, full-length radiographs looking for a proximal fibula fracture are required to determine treatment. The presence or absence of medial tenderness has been shown to not be a good predictor of unstable injuries. A history of previous injuries or ankle instability is typically lateral instability, which would not present with this radiographic appearance. An MRI scan can be used to evaluate subtle syndesmotic injuries, but there is a clear widening of the medial clear space in this case. The inability to bear weight is not helpful in determining the treatment options.
OrthoCash 2020
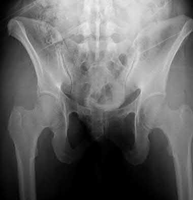
1032) An 74-year-old community-ambulating male presents with complaints of right hip pain for 4 months. He does not recall any
specific trauma though his pain is quite severe at this point. A radiograph is shown in Figure A. What is the most appropriate definitive treatment for this patient?
1. Skeletal traction
2. Conservative treatment with delayed physical therapy and shoe lifts
3. Open reduction and internal fixation
4. Right hip reconstruction
5. Closed reduction and percutaneous fixation Corrent answer: 4
The patient described in this question has sustained an insufficiency fracture of the right acetabulum that has been neglected. Total hip arthroplasty (THA), with use of flanged and/or custom acetabular components as needed, is necessary to reconstruct the acetabulum and address the significant femoral head damage.
Total hip arthroplasty as the primary treatment for acetabular fracture remains controversial. Osteopenia, pre-fracture hip arthritis and significant chondral impaction injuries make osteosynthesis difficult and more prone to failure. In the elderly patient with these injury characteristics or delayed presentation, THA may be a preferred first procedure as it can definitively address these issues.
Weber et al reviewed delayed THA in acetabular fractures that had previously undergone open reduction internal fixation, and reported a 78% 10-year survival rate, with worse outcomes in patients < 50 years old, males, weight
>80kg, and patients with large residual segmental acetabular defects.
Jiminez et al review the the use of THA after acetabular fractures, either in a delayed or acute fashion. They note that THA as an acute treatment of acetabular fractures is rarely indicated: "Circumstances in which this may be a consideration include certain pathologic fractures, patients with pre-existing symptomatic hip arthritis who are already candidates for hip arthroplasty prior to injury, and rare instances of associated femoral side injuries, including head-splitting fractures that preclude a satisfactory operative result or significantly displaced ipsilateral femoral neck fractures."
Mears reviews acute THA in osteopenic acetabular fractures, with presentation of treatment algorithms and techniques, including conservative treatment, minimally invasive fixation, conventional fixation, acute and delayed THA.
Figure A shows a delayed-presentation right acetabular fracture with significant femoral head impaction injury and acetabular protrusio. Illustration A shows an algorithm for treatment of acetabular fractures in osteopenic patients.
Incorrect answers:
Answer 1: Traction would be acceptable if the patient had an unacceptable medical risk for surgery
Answer 2: Conservative treatment inappropriate unless patient not a surgical candidate for medical reasons
Answer 3: Several injury factors make this choice more prone to failure (1) delayed presentation, (2) osteopenia, (3) femoral head injury, (4) medial roof impaction
Answer 5: Close reduction may improve the protrusio if the fracture is still mobile but cannot address the significant chondral injury.
OrthoCash 2020
1033) Figures 184a and 184b are the weight-bearing radiographs of a 19-year-old college baseball player who underwent surgery 4 months ago for an unstable ankle fracture sustained while sliding into a base. Figure 184d is a CT scan of the injured side and Figure 184c is the normal uninjured side. He now reports medial ankle pain and "rolling inward" sensations of the ankle. Based on these findings, what is the most appropriate treatment?
1. Revision open reduction and internal fixation of syndesmosis
2. Removal of syndesmosis screws
3. Multiplanar fibular osteotomy
4. Ankle arthroscopy and debridement
5. Deep deltoid ligament repair Corrent answer: 1
The patient has a malalignment of the syndesmosis with persistent widening, which is best managed by revision open reduction and internal fixation. The anatomic location of the deep deltoid ligament is such that a true repair is not feasible. Although syndesmosis screws are frequently removed in competitive athletes, screw removal alone will not address the widening nor will ankle arthroscopy. Multiplanar osteotomy of the fibula is indicated in the instance of fibular malunion. In this case, fibular length and talofibular symmetry are anatomic.
OrthoCash 2020
1034) Figure 187 is the radiograph of a 65-year-old woman who underwent uneventful bipolar hip arthroplasty for a displaced femoral neck fracture 5 years ago. Although she initially did well and returned to an active lifestyle, recently she reports increasing pain with ambulation and has become sedentary. Appropriate management should consist of which of the following?
1. Removal of the trochanteric wires
2. Use of an assistive device for ambulation
3. Physical therapy for abductor strengthening
4. Conversion to a total hip arthroplasty with femoral revision and acetabular implantation
5. Conversion of the bipolar hip arthroplasty to a total hip arthroplasty with placement of an acetabular component
Corrent answer: 5
The patient has lost acetabular articular cartilage. In addition, the bipolar component is migrating superiorly and laterally. Revision to a total hip arthroplasty is necessary. Removal of trochanteric hardware and abductor strengthening is not likely to improve the patient's symptoms. The use of assistive devices for ambulation may decrease the discomfort but does not address the proximal migration of the bipolar head associated with acetabular wear. The femoral component is not loose and does not need to be revised.
OrthoCash 2020
1035) Figures 188a and 188b are the radiographs of a 6' 1" 205-lb 22-year-old female collegiate basketball player who landed awkwardly on her right leg during practice and collapsed on the ground. She immediately reported severe pain in her right leg and could not move her right knee. Examination in the emergency department reveals symmetric dorsalis pedis and posterior tibial pulses in her lower extremities. An MRI scan reveals anterior cruciate ligament, posterior
cruciate ligament, and posterolateral corner injury. What is the next most appropriate step in management?
1. Admission and observation overnight, followed by closed reduction and examination under anesthesia in the morning, splinting, discharge, and followup in 48 hours for delayed ligament reconstruction
2. Emergent closed reduction followed by immediate transfer to the vascular suite for an angiogram
3. Emergent closed reduction and examination under anesthesia, followed by immediate ligament reconstruction
4. Emergent closed reduction and examination under anesthesia followed by repeat neurovascular examination, observation overnight, and delayed ligament reconstruction
5. Emergent closed reduction and examination under anesthesia followed by repeat neurovascular examination, discharge, and follow-up in 48 hours for delayed ligament reconstruction
Corrent answer: 4
Management should include emergent closed reduction and observation overnight for neurovascular compromise and compartment syndrome. The radiographs clearly show an anterior knee dislocation. This condition can result in vascular and/or neurologic compromise and represents a true emergency.
Initial treatment is emergent closed reduction followed by close observation for 24 to 48 hours. Some controversy exists regarding the indications for invasive vascular studies out of concern for occult catastrophic arterial injury. Stannard
and associates and Klineberg and associates studied the incidence of vascular compromise following knee dislocation and concluded that patients with symmetric lower extremity pulses were at low risk for progression to vascular compromise. As a result, selective arteriography based on serial physical examinations is a safe and prudent policy following knee dislocation. Definitive treatment of the ligamentous injuries is not advocated in the immediate period following injury because of the need to ensure the vascular integrity of the limb. Repair versus reconstruction of damaged ligaments at a later time is controversial, with some authors advocating early repair/reconstruction while others support reconstruction in a staged fashion.
OrthoCash 2020
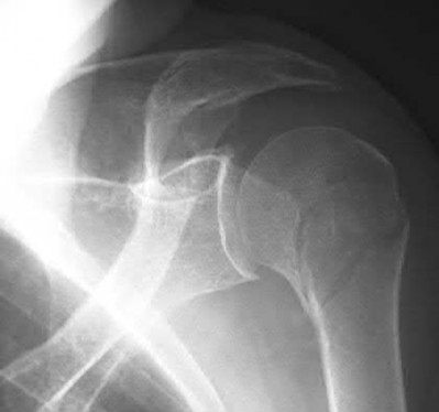
1036) A 68-year-old woman sustains the injury seen in Figure 189 following a fall. Careful neurologic and vascular examinations reveal no associated injury. What is the most common complication of surgical fixation with a locked plate and screw construct through a deltopectoral approach?
1. Infection
2. Axillary nerve palsy
3. Peri-implant fracture
4. Deltoid insertion detachment
5. Screw penetration of the articular surface Corrent answer: 5
Several studies have documented screw penetration through the articular surface as the leading complication with locked plate and screw fixation for displaced proximal humerus fractures. Axillary nerve palsy is rare but can be seen with a deltoid split approach. Whereas some loss of range of shoulder motion is expected following this injury, infection rates about the shoulder are in the 1% to 5% range. While a portion of the deltoid insertion is commonly taken down, complete deltoid insertion detachment has not been described.
OrthoCash 2020
1037) What complication is most likely to occur following proximal humeral fixation with a locked plate-and-screw construct?
- Screw penetration
- Rotator cuff injury
- Axillary nerve damage
- Fracture of the humeral shaft
-
Impingement
Corrent answer: 1
Proximal humeral locking plates have been associated with screw penetration (incidence 23%). The rotator cuff injury is not due to the plate or its application and is associated with dislocations in the elderly. Axillary nerve damage, while possible, has a low reported incidence from open reduction and internal fixation of the proximal humerus with locking constructs. Impingement and fracture of the humeral shaft are also unlikely. More likely but not offered as a choice is the problem of varus reduction which can result in failure.
However, penetration of the screws remains the most commonly reported complication.
OrthoCash 2020
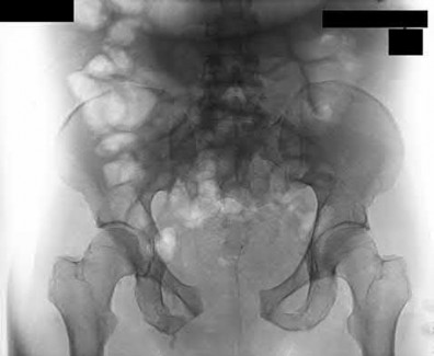
1038) Which of the following is the best method of initial pelvic stabilization for a patient with hemodynamic instability and the pelvic ring injury seen in Figure 199?
1. Symphyseal plating
2. Iliosacral screw fixation
3. Pelvic binder
4. Pelvic C-clamp
5. External fixation
Corrent answer: 3
For a patient with an unstable pelvic ring injury and hemodyamic instability, the most appropriate initial treatment method is a pelvic sheet or binder.
Symphyseal plating and iliosacral screw fixation require surgical intervention and may be appropriate following initial stabilization. External fixation and the pelvic C-clamp can be applied in the emergency setting, but usually are reserved for patients who do not respond to simpler less invasive methods initially.
OrthoCash 2020
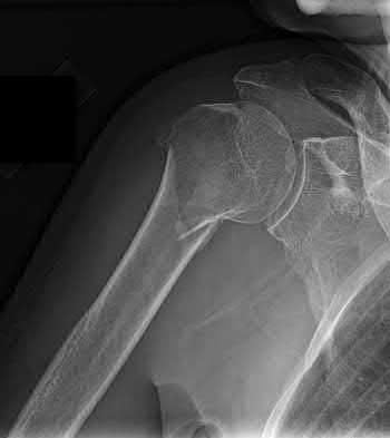
1039) A 56-year-old man who tripped and fell out of his golf cart onto his left shoulder 4 days ago now reports mild pain while chipping.
Examination reveals mild bruising over the lateral clavicle but good shoulder range of motion and strength. A radiograph is shown in Figure 9. Appropriate treatment at this time should include which of the following?
1. Intramedullary pinning
2. Bone stimulator
3. Sling for comfort, followed by gentle range-of-motion exercises
4. Open reduction and internal fixation with a plate and screws
5. Arthroscopic distal clavicle resection Corrent answer: 3
Treatment of this minimally displaced distal clavicle fracture should begin with nonsurgical management consisting of sling therapy followed by gentle motion therapy. Any form of surgical intervention at this time is unnecessary because this fracture pattern has a high incidence of union. A bone stimulator may be used if healing becomes delayed.
Figure A is an AP radiograph demonstrating minimal displacement of the left distal clavicle fracture
OrthoCash 2020
1040) A 75-year-old woman who is right-hand dominant fell from a 2-foot step and landed on her outstretched right arm, sustaining an injury to the elbow. She reports no other injuries and is in generally good health. Examination reveals a swollen, ecchymotic elbow and intact skin, with a normal distal neurovascular examination.
Radiographs are shown in Figures 14a and 14b. Management of the injury should include which of the following?
1. Total elbow arthroplasty
2. Spanning articulated external fixation
3. Long arm cast for 2 weeks, followed by progressive mobilization
4. Open reduction and internal fixation
5. Closed reduction and percutaneous screw fixation Corrent answer: 1
The patient sustained a displaced, comminuted, intercondylar distal humerus fracture. In an otherwise healthy patient older than age 65 years, randomized clinical trials have demonstrated more predictable outcomes with total elbow arthroplasty when compared with open reduction and internal fixation. Closed reduction and percutaneous fixation is biomechanically inadequate to maintain fracture alignment and allow early mobilization. Spanning external fixation is typically used to maintain stability in the setting of a complex elbow fracture-dislocation. Nonsurgical management would be considered when a patient is medically unfit for surgery.
OrthoCash 2020
1041) Figure 17 shows the radiograph of an 82-year-old right-hand dominant woman who fell while weeding her garden. She has severe right shoulder pain. She is neurovascularly intact. What is the most appropriate treatment?
1. Rest, ice, nonsteroidal anti-inflammatory drugs, activity as tolerated, and follow-up in 4 weeks
2. Coaptation splinting and follow-up in 4 weeks
3. Surgical replacement with hemiarthroplasty or reverse total shoulder arthroplasty
4. Physical therapy for range-of-motion exercises
5. Closed reduction, splinting, and follow-up in 4 weeks Corrent answer: 3
The patient has a displaced four-part proximal humerus fracture. The humeral head is displaced and if allowed to heal in this position, the patient will likely have a stiff and painful shoulder. The humerus is at risk for osteonecrosis given the displacement of the fracture. Given a patient age of 82 years, replacement options of either hemiarthroplasty or reverse total shoulder arthoplasty, allow maximal restoration of function. Physical therapy is not indicated in this acute fracture. Closed reduction techniques will not be successful in this displaced fracture.
OrthoCash 2020
1042) A healthy 33-year-old man falls from a ladder onto his outstretched arm. He sustains the injury shown in Figure 23. This is an isolated injury. What is the most appropriate treatment?
1. Fragment excision
2. Sling for 1 week, followed by early range of motion
3. Open reduction and internal fixation
4. Radial head arthroplasty
5. Capitellar replacement
Corrent answer: 3
The injury is a coronal plane fracture of the distal humerus. The radiograph shows the classic "double-bubble" sign. These fractures often include the capitellum; however, frequently, the fracture extends medially to involve a portion of the trochlea. Small articular fragments may be amenable to simple fragment excision; excision of large fragments can result in posttraumatic arthritis or instability if a medial collateral ligament injury is present. Fractures involving a significant portion of the articular surface should be treated with reduction and fixation to reestablish a congruent joint surface. Closed reduction and percutaneous pinning has shown variable success rates. Open reduction is the treatment of choice because it allows for precise restoration of the articular surface and more rigid fixation, more safely permitting early range of motion. Capitellar replacement is not recommended in a young active patient with a repairable fracture.
OrthoCash 2020
1043) A 25-year-old man has a swollen painful sternoclavicular joint. He denies using drugs or having any other medical conditions.
Examination does not reveal any evidence of a dislocation. The joint is
tender and slightly warm. The chest radiograph is normal. What is the next most appropriate step in management?
- CT of the chest
- Bone scan
- Irrigation and debridement in the operating room
- Lidocaine injection of the joint
-
Physical therapy
Corrent answer: 1
A common cause of a septic sternoclavicular (SC) joint is IV drug use. Recently, however, there have been case reports of septic SC joints in patients without a history of drug use; therefore, this history should not be used as a predictor of severity or extension beyond the SC joint capsule. Because of the risk of extension of the infection to the retrosternal area and pericardium, it is recommended that a CT scan be obtained before proceeding with any surgical management. A bone scan cannot accurately show abscess extension into the retrosternal area. Lidocaine injection and physical therapy should not be considered until infection is ruled out.
OrthoCash 2020
1044) An active 22-year-old man falls onto his outstretched arm, sustaining the fracture shown in Figures 28a and 28b. Examination is notable for tenderness over the radial aspect of the elbow, as well as tenderness at the wrist. Radiographs of the wrist show no fracture or dislocation. What is the most appropriate treatment?
1. Excision of the radial head
2. Silastic replacement of the radial head
3. Metallic replacement of the radial head
4. Open reduction and internal fixation of the radial head
5. Sling use and early motion Corrent answer: 4
In a young patient, the treatment of choice is open reduction and internal fixation; in patients with a nonreconstructible radial head, metallic replacement can be performed. Fractures of the radial head are classified by Mason into type I, II, and III. Type I fractures are nondisplaced, and can be treated with a sling and early motion. Type II fractures are fractures of a single piece with greater than 2 mm of displacement, and can be treated with a sling and motion if they are not associated with instability or mechanical blocks to motion. Type III fractures are comminuted, displaced fractures. The fracture shown in the figures is a type III fracture with less than three fragments.
Fractures with greater than three fragments have been shown to have generally poor outcomes with open reduction and internal fixation; fractures with three or fewer fragments had better results with fewer complications.
Silastic replacement has been associated with uniformly poor long-term results. Whereas radial head excision has excellent results in the treatment of radiocapitellar arthritis, it is contraindicated in this patient because he has wrist pain, suggesting an injury to the interosseous membrane (Essex-Lopresti lesion), and radial head excision has a high likelihood of leading to proximal radial migration and distal radioulnar joint instability.
OrthoCash 2020
1045) A 45-year-old man has been treated nonsurgically with a fracture brace for a closed midshaft humeral fracture. At 16 weeks after his injury he has continued pain and gross motion at the fracture site. A radiograph is shown in Figure 46. What is the most appropriate and reliable management at this point?
1. Sling immobilization and electrical stimulation
2. Continued functional bracing and repeat radiographs in 6 weeks
3. Closed reduction and intramedullary nailing
4. Open reduction and plating with autograft
5. Open reduction with fully locked plating and allograft Corrent answer: 4
The radiograph reveals a delayed union of a midshaft humerus fracture that has been treated appropriately with closed fracture bracing. The gold standard remains compression plate fixation with autograft, most commonly iliac crest bone graft. Intramedullary nailing is associated with a higher incidence of nonunion and iatrogenic rotator cuff damage. Fully locked plating is unnecessary along with allograft in this setting. Immobilization with electrical stimulation offers little success in this atrophic delayed union.
OrthoCash 2020
1046) What is the most common complication associated with the exposure method shown in Figure 49?
1. Ulnar nerve injury
2. Symptomatic hardware
3. Lateral instability
4. Medial instability
5. Nonunion
Corrent answer: 2
Olecranon osteotomy provides excellent exposure of the articular surface of the distal humerus, and allows for direct visualization of the entirety of the distal humerus. Complications associated with this exposure include infection, nonunion, hardware failure, symptomatic hardware, and improperly placed hardware, limiting forearm rotation. Recent studies have shown a nonunion rate of 0% to 2%; the lack of overlying soft tissue makes symptomatic hardware common, with rates from 8% to 33%. Additionally, olecranon fixation is often removed at the time of other subsequent procedures performed on the elbow. Olecranon osteotomy does not destabilize the collateral ligaments of the elbow.
OrthoCash 2020
1047) A patient sustains a displaced scapular neck fracture. What is the internervous plane for a posterior approach to the glenohumeral
joint?
- Lateral pectoral-axillary
- Subscapular-musculocutaneous
- Suprascapular-axillary
- Long thoracic-spinal accessory
-
Suprascapular-subscapular
Corrent answer: 3
Surgical fixation of a scapular neck fracture is performed via the Judet approach, a posterior approach to the scapula/glenoid. The internervous plane is between the infraspinatus (suprascapular nerve) and the teres minor (axillary nerve).
As outlined by Ball et al, the posterior branch of the axillary nerve has intimate association with the inferior aspects of the glenoid and shoulder joint capsule, which may place it at particular risk during a posterior approach to the shoulder.
OrthoCash 2020
1048) A 41-year-old woman with diabetes mellitus fell onto her outstretched arm and sustained an injury to the right elbow.
Radiographs are shown in Figures 53a and 53b. What is the most appropriate management?
1. Open reduction and internal fixation
2. MRI of the elbow to assess the integrity of the collateral ligaments
3. Immobilization in a long arm cast for 3 weeks
4. Short-term immobilization in a splint, followed by early motion exercises
5. Radial head replacement Corrent answer: 1
The radiographs reveal a capitellum fracture with anterior displacement. To regain concentric and stable joint motion, this fragment requires reduction and stabilization. Without a joint dislocation, the ligaments are unlikely to be damaged and do not require further assessment with MRI. Closed reduction may be considered, but is unlikely to be successful. Without anatomic reduction of the fracture fragment, immobilization in either a long arm cast or a splint will not provide optimal outcomes. Based on the radiographs, the radial head is intact and does not require replacement.
OrthoCash 2020
1049) A 42-year-old man sustained a displaced humeral surgical neck fracture that was well-fixed with proximal humeral plating.
Postoperative management consisted of a sling for 6 weeks, followed by physical therapy. Examination at 4 months after surgery revealed passive 90 degrees forward elevation, 10 degrees external rotation, and internal rotation to the greater tuberosity. Radiographs show an anatomically healed fracture and no evidence of loose hardware; the
plate is appropriately positioned. What is the most likely reason for the decreased range of motion?
- Hardware impingement under the acromion
- Rotator cuff tear
- Postoperative scar tissue
- Fracture malunion
-
Development of posttraumatic glenohumeral arthritis Corrent answer: 3
The patient has reduced motion secondary to postoperative scarring. If excellent stability is obtained in the operating room, immediate passive motion can begin. Hardware impingement under the acromion will not account for limited external rotation to the side. There is no evidence for a rotator cuff tear. A rotational malunion does not reduce motion in all planes. Four months after surgery it is unlikely that arthritic changes developed that are affecting his range of motion.
OrthoCash 2020
1050) Figure 61 shows the current radiograph of a 69-year-old woman who fell getting out of bed 10 months ago. At the time of injury she was diagnosed with a nondisplaced humeral surgical neck fracture.
After 2 weeks of sling immobilization, physical therapy was started for range of motion. She continues to have pain and is unable to elevate her arm. What is the most likely diagnosis?
1. Rotator cuff tear
2. Posttraumatic glenohumeral arthritis
3. Proximal humerus fracture nonunion
4. Shoulder infection
5. Post fracture stiffness Corrent answer: 3
The patient has a nonunion at the fracture site. The humeral head fragment has the rotator cuff musculature attached but the head is not united to the humeral shaft. There is no evidence of glenohumeral arthritis or a rotator cuff tear. Given the history, she has no evidence of a shoulder infection at this time. In review of the radiographs, there is an established nonunion; therefore, examination for post fracture stiffness is not possible because the motion is occurring at the nonunion site.
OrthoCash 2020
1051) A 35-year-old man is involved in a motorcycle collision and reports left elbow pain. Examination of the left arm reveals diffuse swelling and ecchymosis. His distal neurovascular status is intact. A radiograph of the injury is shown in Figure 63. The most appropriate surgical approach includes which of the following?
1. Anterior approach of Henry
2. Lateral Kocher approach
3. Medial column approach
4. Posterior extensile elbow approach with olecranon chevron osteotomy
5. Closed reduction and percutaneous screw fixation Corrent answer: 4
Intra-articular distal humerus fractures are best approached through a posterior elbow approach, including an olecranon chevron osteotomy to clearly visualize the reduction of the articular surface. The other stated approaches will not provide sufficient visualization of the joint surface to allow stable reduction. A closed reduction and screw fixation will not offer optimal fracture stability.
OrthoCash 2020
1052) A 22-year-old professional X-games motocross bike rider is thrown from his ride during a jump. He lands directly onto the point of his left shoulder and feels sharp pain. Examination reveals mild deformity over the lateral clavicle and bruising. A radiograph is shown in Figure 65. What is the most appropriate treatment?
1. Sling and swathe
2. Kenny-Howard brace
3. Percutaneous repair with smooth Kirschner wires
4. Open distal clavicle resection and transfer of the coracoacromial ligament
5. Open reduction and internal fixation Corrent answer: 5
The history and radiograph indicate a traumatic displaced distal clavicle fracture in a professional athlete. Open reduction and internal fixation provides the best chance to heal and retain shoulder function. Smooth Kirschner wires are at risk for migration, and acute acromioclavicular joint reconstruction with coracoacromial ligament transfer is unnecessary when there is good quality
bone stock. Nonsurgical management may lead to a high chance of nonunion. Kenny-Howard braces may cause skin irritation and breakdown.
OrthoCash 2020
1053) A 27-year-old man sustains an injury in a fall while downhill skiing. Two days after injury he is seen by an orthopaedic surgeon and is diagnosed with a clavicle fracture. Examination and radiographs reveal 3 cm of shortening between the fracture fragments of the midshaft clavicle fracture. The surgeon has a discussion with the patient concerning surgical versus nonsurgical treatment. With regards to results, the patient is informed that they are similar concerning which of the following?
- Nonunion rates
- Infection
- Shoulder range of motion
- Shoulder strength
-
Shoulder rotational endurance Corrent answer: 3
Shoulder range of motion is well maintained for both surgical and nonsurgical managment. Recent reports suggest that nonsurgical management of this fracture pattern may result in deficits of shoulder endurance and strength.
Nonunion rates are significantly lower with surgical repair. Patient satisfaction, as determined by Constant scores, DASH, and patient-specific questionnaires, was higher with surgical intervention. Shoulder strength and rotational endurance are improved with surgical repair.
OrthoCash 2020
1054) A 40-year-old man sustains a scapular body fracture after an all-terrain vehicle accident. Which of the following is the most commonly associated injury?
- Chest injury
- Clavicle fracture
- Glenohumeral dislocation
- Humeral fracture
-
Axillary nerve injury Corrent answer: 1
Chest injury (rib fracture, pneumothorax, hemothorax, contusion) is the most commonly associated injury in patients who have sustained a significant scapular injury. Chest injury becomes even more commonly found when the scapula has more than one zone of injury (ie, multiple fractures). Humeral fracture, clavicle fracture, and axillary nerve injury are not as common as chest injury.
OrthoCash 2020
1055) A 37-year-old man with a nondisplaced radial neck fracture has failed to respond to 8 months of nonsurgical management. He has undergone extensive physical therapy and bracing without improvement. Examination reveals that active and passive range of motion is limited to 50 degrees to 85 degrees, with full pronosupination. He has mildly diminished sensation in the little and ring fingers. Radiographs reveal healing of the fracture, no deformity, and no arthrosis or heterotopic bone formation. What is the most appropriate management?
- Radial head resection and release of the anterior capsule
- Anterior and posterior capsule release, with ulnar nerve transposition
- Ulnar nerve transposition and release of the posterior capsule
- Ulnar nerve transposition
-
Intra-articular corticosteroid injection Corrent answer: 2
The patient has refractory extra-articular elbow stiffness and ulnar neuritis following trauma. Important considerations are ruling out failure of fracture healing, persistent deformity, and heterotopic bone formation. In this patient, further nonsurgical management is unlikely to provide any benefit; therefore, the treatment of choice is anterior and posterior capsule release, with ulnar nerve transposition. Radial head resection is not indicated because of the absence of deformity or arthrosis. There is restriction of both flexion and extension, so limited capsular release techniques will not maximize functional restoration. Ulnar nerve transposition alone will not restore motion. An intraarticular injection is not likely to improve motion 8 months after the injury.
OrthoCash 2020
1056) A 57-year-old man presents to the emergency room after falling 6 feet off a ladder. He is neurovascularly intact but reports shoulder pain. An AP radiograph is shown in Figure A, while an axillary view
shows that the glenohumeral joint is located. What is the most appropriate acute treatment for this patient?
1. Physical therapy for range of motion, advancing to strengthening as tolerated
2. Sling immobilization and a recheck in 1 week with radiographs
3. CT scan of the shoulder
4. Open reduction and surgical stabilization with plates and screws
5. Ice, nonsteroidal anti-inflammatory drugs, and activity as tolerated Corrent answer: 2
The patient has sustained a traumatic surgical neck fracture of the humerus. Sling immobilization and a recheck in 1 week with radiographs is appropriate to check for maintenance of alignment. The fracture is minimally displaced and therefore does not require surgical stabilization or further diagnostic imaging.
Surgical reduction and plating is not indicated in this nondisplaced fracture. Physical therapy and activity as tolerated at this point are contraindicated because of the acuity of the fracture.
OrthoCash 2020
1057) Which of the following factors has been shown in a clinical trial to be equivalent to autologous bone graft for treatment of tibial nonunions that were treated with intramedullary nailing?
- BMP-4
- BMP-7
- BMP-10
- Demineralized bone matrix
-
Cancellous bone allograft chips Corrent answer: 2
Osteogenic Protein-1 (OP-1), which is also known as BMP-7, has been evaluated in a randomized, prospective, multi-institution study of tibial nonunions.
Between 5% to 10% of tibial shaft fractures progress to nonunion, causing substantial disability. Bone autografts, along with internal fixation, are the usual treatment for these failures, but the morbidity associated with autogenous tissues remains problematic. Bone morphogenetic proteins are currently available for clinical use and preclinical models, and an increasing number of patients treated with these molecules demonstrate their safety and efficacy.
Friedlaender et al studied BMP-7 (Osteogenic Protein-1 or OP-1) in a randomized, prospective, multi-institution study of tibial nonunions. Clinical and radiographic outcomes were statistically indistinguishable at 9 months following treatment and OP-1 avoided donor site morbidity.
Swiontkowski et al performed a level I study of patients with acute open tibial fractures randomized to treatment with or without rhBMP-2. Interestingly, in their subgroup analysis the authors found no significant difference between the two groups when patients were treated with reamed intramedullary nailing.
It should be noted, however, that there is more recent evidence supporting the use of BMP-2 in the treatment of tibial nonunions and this may change the focus of boards and OITE questions in the future.
OrthoCash 2020
1058) Isolated coronoid fractures are most likely related to what instability pattern?
- Posterolateral rotary instability
- Valgus anterolateral instability
- Posterior instability
- Varus posteromedial instability
-
Anterior instability
Corrent answer: 4
Coronoid fractures in the absence of radial head or associated fractures are often a sign of a varus posteromedial instability. Depending on the size of the coronoid fragment, fixation and stabilization of the coronoid may be necessary to restore medial stability of the elbow. Posterolateral instability is related to lateral ulnar collateral ligament incompetance. Anterior, valgus anterolateral, and posterior instability are not generally specific to isolated coronoid fractures.
OrthoCash 2020
1059) A 30-year-old driver is involved in a motor vehicle collision and sustains the injury shown in Figure A. What is the most likely concomitant injury?
1. Right knee meniscus tear
2. Left knee ACL tear
3. Subdural hematoma
4. Right ankle fracture-dislocation
5. Lumbar burst fracture Corrent answer: 1
Traumatic hip dislocation results from the dissipation of a large amount of energy about the hip joint. Clinically, these forces often are first transmitted through the knee en route to the hip. It is therefore logical to look for coexistent ipsilateral knee injury in patients with a traumatic hip dislocation.
Schmidt, et al, prospectively evaluated the ipsilateral knee of all patients who had a traumatic hip dislocation and found that 93% had abnormalities on MRI of the knee, with effusion (37%), bone bruise (33%), and meniscal tear (30%) being the most common findings. They suggest liberal use of MRI to the ipsilateral knee if injury is suspected.
OrthoCash 2020
1060) A 32-year-old male hockey player who is right-hand dominant was checked from behind and landed with full force into the boards. In the emergency department he reports shortness of breath. Figure 113 shows a 2-D CT scan. What is the best initial treatment for this injury?
1. Observation
2. Closed reduction with a towel clip
3. Open reduction
4. Open reduction and internal fixation
5. Open reduction and sternoclavicular ligament allograft reconstruction Corrent answer: 2
The CT scan shows a posterior sternoclavicular joint dislocation. Initial management involves attempted closed reduction in the operating room. This can be performed with a towel clip and anterior translation of the displaced clavicle. However, the orthopaedic surgeon should be prepared to open this injury and reconstruct the joint if necessary. Furthermore, it is recommended that a thoracic surgeon be available prior to beginning these procedures. Open reduction should be done only if closed reduction is unsuccessful.
OrthoCash 2020
1061) A 60-year-old woman with a history of osteoporosis fell from a standing height and sustained a supracondylar distal humerus fracture with an intercondylar extension. Which of the following plate constructs yields the highest stiffness for fixation of the fracture?
- Single posterior Y plate
- Single medial plate with bicortical locking screws
- Dual plating with medial and posterolateral LC-DCP
- Dual plating with medial and posterolateral one third tubular plates
-
Dual plating with medial and lateral LC-DCP Corrent answer: 5
Optimal treatment of distal humeral fractures relies on reestablishment of a congruent articular surface with a fixation construct that is stable enough to allow for early range of motion. Several biomechanical studies have been performed to evaluate the biomechanical strength of various plating configurations. These studies have shown that dual plate configurations are more stable than single plates, regardless of the type of plate used. One third tubular plates have been shown to be significantly weaker than LC-DCP or reconstruction plates, resulting in weaker constructs, and clinically higher rates of hardware failure and nonunion. Whereas traditional teaching has suggested plating in perpendicular planes, recent biomechanical studies have demonstrated that parallel medial and lateral plates confer a greater rigidity to the construct than perpendicular plating schemes.
OrthoCash 2020
1062) A 54-year-old diabetic male underwent internal fixation for a humeral shaft nonunion 8 months ago, and denies any issues after surgery. However, over the past few weeks, he reports mild pain with activity. He denies any recent fevers or chills. Radiographs are shown in Figures A and B. What is the next most appropriate step in management?
1. CT scan of the humerus
2. Application of a functional fracture brace
3. Laboratory evaluation
4. Removal of hardware and intramedullary fixation
5. Revision plating with autograft Corrent answer: 3
Radiographs showing broken hardware (screw head) and the clinical history are consistent with fracture nonunion; therefore, a CT scan is not required. Treatment for this nonunion may include various options. However, prior to any treatment, infection must be eliminated as a cause for the nonunion.
Evaluation for infection can include laboratory studies such as erythrocyte sedimentation rate and C-reactive protein level.
Humeral nonunions can be aseptic or septic in nature, and preoperative workup will provide the surgeon appropriate information to decide on appropriate technique(s) for the procedure, as well as if a one or two stage procedure is needed. Propionibacterium acnes is known to be associated with upper extremity nonunions, but a septic nonunion can also be due to different bacteria as well.
King et al. report in their review article that various risk factors that may predispose patients to nonunion include obesity, osteoporosis, alcoholism, smoking, poor bone quality, and scar tissue. They also report that the rates of healing of humeral nonunions by traditional means of internal fixation with
bone graft range from 70% to 92%, although in cases of infection, poorly vascularized beds, and open, segmental, or severely comminuted fractures, secondary bony healing may still be compromised.
Figures A and B show an atrophic humeral nonunion. Incorrect Answers:
1: A CT is not needed to diagnose the atrophic nonunion seen here.
2: Application of a functional brace will not increase the healing rate.
4 and 5: Revision surgery without preoperative (or intraoperative) evaluation of infection is not recommended if an appropriate preoperative workup has not yet been completed.
OrthoCash 2020
1063) A 41-year-old woman is brought to the emergency department after she was the unrestrained driver in a rollover motor vehicle accident. She was placed in a cervical collar and intubated at the scene. Her blood pressure is 80/40 and pulse is 140. She has obvious open fractures of the right forearm and left ankle. On exam, the lower extremities are externally rotated and the pubic symphysis is widened and unstable. Intravenous access is obtained and radiographs are pending. What is the most urgent next step in management?
- Lateral radiograph to clear the cervical spine
- External fixator application to the left ankle in the operating room
- External fixator application to the pelvis in the operating room
- Pelvic binder application
-
Reduction and splinting of the right forearm Corrent answer: 4
Pelvic ring injuries are associated with a high incidence of mortality mainly due to retroperitoneal hemorrhage. Early stabilization is an integral part of hemorrhage control. Temporary stabilization can be provided by a pelvic sheet, sling, or an inflatable garment. However, these devices lack control of the applied circumferential compression.
Krieg et al showed a pelvic circumferential compression device (PCCD) significantly reduced the pelvic width by 9.9 +/- 6.0% of external rotation (APC) pelvic injuries, and did not overcompress internal rotation (LC) injuries.
Bottlang et al determined that a widened pelvis can be effectively reduced in the emergency department with a pelvic strap (binder). While the other
choices are urgent as well, hypotension caused by pelvic widening demands the most immediate attention.
OrthoCash 2020
1064) Figure 1 is the radiograph of a 48-year-old man. He is of normal height and weight, medically healthy, and in good physical condition. What is the best treatment option?
1. Short-leg non-weight-bearing cast in plantar flexion
2. Excision of the fragment and reattachment of the Achilles tendon into the calcaneus
3. Immediate open reduction and internal fixation
4. Open reduction and fixation when swelling reduces
5. Percutaneous reduction and Kirschner wire fixation Corrent answer: 3
Immediate open reduction and internal fixation of this fracture is required to prevent necrosis of the overlying soft tissue. Because of the power and proximal pull of the triceps surae, nonsurgical management is not indicated with avulsion fractures of the calcaneus. It leaves a large void that will not fill in with bone, leaves the Achilles tendon weak, and has a high complication rate, especially skin breakdown. The Achilles tendon is securely attached to the fractured tuberosity. Bone-to-bone healing is more reliable than detaching the Achilles tendon from the tuberosity and reattaching it to the remainder of the calcaneus. Because of the size of the avulsed fragment, it will be difficult to correctly tension the tendon if the fractured piece is excised. Percutaneous
Kirschner wire fixation is not strong enough to provide a stable fixation of the tuberosity, especially in view of the power of the Achilles tendon contracture.
OrthoCash 2020
1065) Figures 3a and 3b are the current AP and oblique radiographs of a 44-year-old man who underwent nonsurgical management of a left ankle fracture 6 months ago. What is the most appropriate course of management?
1. Arizona brace
2. Ankle arthroscopy with drilling of the talar osteochondral lesion
3. Medial ankle arthrotomy and débridement with correction of the fibular malunion
4. Ankle arthrodesis
5. Ankle and subtalar arthrodesis Corrent answer: 3
The radiographs reveal a fractured malunited, shortened fibula with deltoid instability. Corrective osteotomy with fibular lengthening has shown positive results. Nonsurgical management in an active, healthy patient will lead to rapid deterioration of the ankle joint. Without evidence of arthritis, a joint-sacrificing procedure should not be used.
OrthoCash 2020
1066) Figures 4a and 4b are the radiographs of an isolated injury. What is the next most appropriate step in management?
1. CT
2. MRI
3. Closed reduction and casting
4. Application of a spanning external fixator
5. Immediate open reduction and internal fixation (ORIF) Corrent answer: 4
Successful treatment of a pilon fractures requires a complete understanding of the fracture configuration. This information is not available using radiographs alone; therefore, CT is used to define the fracture anatomy but only after stabilization and distraction of the fracture via external fixation. MRI does not adequately show the detail of the bone fragments. Immediate ORIF is contraindicated because of the high rate of soft-tissue complications with this treatment regimen, whereas closed treatment has a high rate of poor outcomes because of arthritis. Delayed ORIF is the recommended treatment, but this occurs after temporary stabilization and CT scanning.
OrthoCash 2020
1067) Treatment of an atrophic nonunion of the radial diaphysis should include which of the following?
- Ilizarov fixation
- Electrical stimulation
- Ultrasound bone stimulator
- Plate exchange with autogenous cancellous grafting
-
Plate exchange with ulnar shortening osteotomy Corrent answer: 4
Atrophic nonunions of the radius and ulna are fairly rare with modern techniques of fixation; the few reports that have been published have discussed the use of structural corticocancellous bone grafts for the treatment of atrophic nonunions.
The referenced study by Ring et al noted a 100% healing rate and improved patient reported outcomes with 3.5-mm plate-and-screw fixation and autogenous cancellous bone-grafting for atrophic forearm nonunions. They recommend compression plating when possible to obtain optimal healing.
Illustration A shows an example of an atrophic nonunion of the radius. Incorrect Answers:
1: Ilizarov fixation is not indicated for radial diaphyseal nonunions.
2 and 3: Electrical stimulation and ultrasound stimulation have not been shown to have increased radiographic or functional outcomes as compared to revision fixation and bone grafting.
5: Shortening osteotomy would create alterations in muscle length and lead to decreased hand/digital function.
OrthoCash 2020
1068) Figure 12 is the radiograph of a patient with type 2 diabetes, a body mass index of 42, and an Hgb A1c of 8. What is the most appropriate management for this injury?
1. Fracture boot immobilization
2. Casting the ankle in its current position
3. Closed reduction and definitive casting
4. Closed reduction and application of external fixation
5. Open reduction and internal fixation (ORIF) Corrent answer: 5
Several recent studies have shown that while there is an increased risk of complications following ORIF of displaced ankle fractures in diabetic patients compared with nondiabetic patients, the overall risks of treatment are less than that associated with nonsurgical treatment in diabetics. There is also the possibility that ORIF of unstable ankle fractures may forestall the development of Charcot changes in the ankle, although this is not definitively known. Extra rigid fixation may be required because of the patient's size and poorly controlled diabetes. Nonsurgical management is associated with poorer functional outcomes (due to arthritis secondary to poor reduction of the fracture) and a higher rate of skin breakdown, due to the need for higher skin pressures from the use of highly molded casting used to maintain a closed reduction.
OrthoCash 2020
1069) Figure 16 is the lateral radiograph of a 40-year-old laborer who sustained a displaced intra-articular calcaneus fracture that was treated nonsurgically 1 year ago. He now reports pain with ankle dorsiflexion, as well as subfibular impingement. What is the most appropriate surgical treatment?
1. Lateral wall ostectomy
2. In situ subtalar arthrodesis
3. Triple arthrodesis
4. Distraction subtalar arthrodesis with lateral wall ostectomy
5. Ankle and subtalar arthodesis Corrent answer: 4
The patient has a calcaneal fracture malunion, with symptomatic subtalar arthritis and anterior ankle and lateral subfibular impingement. Distraction subtalar arthrodesis addresses subtalar arthritis and anterior impingement and lateral wall ostectomy relieves symptoms of lateral impingement. The other procedures do not address all facets of the patient's symptoms.
OrthoCash 2020
1070) Which of the following occurs frequently after nonsurgical management of displaced intra-articular fractures of the calcaneus?
- Return to normal function
- Narrowing of the calcaneus
- Lengthening of the calcaneus
- Plantar flexion of the talus
-
Peroneal tendinitis
Corrent answer: 5
Peroneal tendinitis and stenosis are typically seen following nonsurgical management and results from lateral subfibular impingement, whereby the displaced, expanded lateral wall subluxates the peroneal tendons against the distal tip of the fibula or might even dislocate the tendons. Nonsurgical management of displaced calcaneal fractures offers little chance for return to normal function because of the development of a calcaneal malunion. The articular surface is not reduced, the heel remains shortened and widened, the talus is dorsiflexed in the ankle mortise, and the displaced lateral wall causes impingement and binding of the peroneal tendons.
OrthoCash 2020
1071) Which of the following factors has been shown to increase the risk of peroneal tendon pathology in patients who have undergone posterior plating of lateral malleolar fractures?
- Use of cut or trimmed plates
- Use of straight (uncontoured) plates
- Use of locked plating
- Low plate placement with a prominent screw head in the distal hole
-
Low antiglide plate placement Corrent answer: 4
Low plate positioning with a prominent screw head in the most distal hole of the plate was shown to be correlated with peroneal tendon lesions. Distal plate placement in the absence of prominent screws was not associated with tendon lesions. Trimmed plates, locked plates, and uncontoured plates have not been shown to increase the risk of peroneal tendon pathology.
OrthoCash 2020
1072) A patient falls off a roof and sustains the fracture shown in Figure 29. What is the most likely complication that results from injury to the structure that is located at the arrow?
1. Paresthesias on the plantar aspect of the foot
2. Pain or popping with great toe flexion
3. Loss of the arch
4. Inability to flex the lesser toes
5. Spring ligament rupture Corrent answer: 2
The arrow points to the sustentaculum tali, which is fractured off the tuberosity of the calcaneus. The flexor hallucis longus (FHL) tendon runs directly under
this structure. An injury to this structure could cause stenosis around the FHL tendon which would cause pain with great toe flexion. Paresthesias on the plantar aspect of the foot refers to the medial plantar nerve. Loss of the arch refers to the plantar fascia which attaches at the calcaneal tuberosity. Inability to flex the lesser toes refers to the flexor digitorum longus tendon which runs superior to the sustentaculum. The spring ligament runs from the navicular to the calcaneus, but does not attach under the sustentaculum tali.
OrthoCash 2020
1073) An 18-year-old man sustained a traumatic laceration of the common peroneal nerve when glass fell on the outer part of his leg 1 year ago. He has used a molded foot and ankle orthosis for the past 10 months, but would now like surgical intervention. Electromyography shows no function in the anterior or lateral compartments. He has 5/5 muscle strength of the superficial and deep posterior compartments.
What is the most appropriate treatment?
- Gastrocsoleus recession
- Subtalar fusion
- Split anterior tibial tendon transfer
- Split posterior tibial tendon transfer
-
Flexor hallucis longus tendon transfer Corrent answer: 4
In a patient with a drop foot and with 5/5 muscle strength of the posterior tibial tendon, a split posterior tibial tendon transfer would be the most appropriate treatment option based on the options presented. The deep peroneal nerve innervates the anterior tibial tendon. This muscle has been affected by the injury; therefore, the anterior tibial tendon cannot be transferred. A subtalar fusion would help correct inversion and eversion deformities, but is not effective for plantar flexion deformities. The foot drop is caused by a neurologic condition in this patient, not a contracture of the gastrocsoleus complex. Therefore, a recession would not be beneficial. A flexor hallucis longus tendon transfer would not take the deforming force and make it a corrective force.
OrthoCash 2020
1074) What is the most common complication following surgical treatment of a displaced talar neck fracture?
- Osteonecrosis
- Varus malunion
- Posttraumatic arthritis
- Fracture delayed union/nonunion
-
Wound dehiscence/delayed wound healing Corrent answer: 3
The most frequent complication is posttraumatic arthritis. With talar neck fractures, osteonecrosis is relatively common, occurring in up to 50% of patients. Fracture nonunion occurs in 10% to 12% of patients. Varus malunion can occur with medial comminution. Wound dehiscence and deep infection are much less frequently encountered.
OrthoCash 2020
1075) Figures 56a through 56c are the lateral radiograph and MRI scans of a 32-year-old woman who reports a 3-week history of heel pain, tenderness, swelling, and onset following an increase in running activity. What is the most likely diagnosis?
1. Plantar fasciitis
2. Atrophic heel pad
3. Achilles tendinitis
4. Retrocalcaneal bursitis
5. Stress fracture of the calcaneus Corrent answer: 5
The sagittal T1-weighted MRI scan reveals a linear streak of low signal intensity consistent with a stress fracture of the posterior calcaneal tuberosity. The surrounding area of hypointensity on the T1 MRI scan and the hyperintensity on the T2 MRI scan represent bone contusion, hemorrhage, and edema within the calcaneus, with an unremarkable radiograph. The plantar fascia, Achilles tendon, retrocalcaneal bursa, and heel pad all display normal signal in the accompanying MRI scans.
OrthoCash 2020
1076) All of the following have been shown to increase the risk of refracture following removal of forearm plates used for internal fixation EXCEPT:
- initial fracture comminution
- initial fracture displacement
- use of 3.5 mm dynamic compression plate
- plate removal before 12 months
-
immediate activity as tolerated following removal Corrent answer: 3
The Rumball et al article reviewed factors which influenced refracture after removal of the forearm plates. The factors that appeared to influence the refracture rate were degree of initial displacement and comminution, physical characteristics of the plate, early removal and lack of postremoval protection. Plates removed under 15 months showed an increased risk of refracture. There were no fractures in this series using the 3.5 DCP plate.
Deluca et al concluded that, in retrospect, radiolucency at the site of the original fracture was seen in most patients (with refracture) when the plate was removed.
Chapman et al found that all the refractures in their group had been intially treated with a 4.5 DCP plate, and that none of the patients with a 3.5 DCP had a refracture.
OrthoCash 2020
1077) A middle-aged man sustains traumatic loss of the second, third, and fourth toes in a lawnmower accident. The wound is grossly contaminated with soil. Penicillin is added to his antibiotic regimen for coverage of what bacteria?
- Clostridium
- Acinetobacter
- Pseudomonas
- Mycobacterium
-
Staphylococcus aureus
Corrent answer: 1
In farm or soil-contaminated wounds, including lawnmower injuries, penicillin is added to broad-spectrum cephalosporin and aminoglycoside therapy to cover against Clostridium. Psuedomonas is frequently seen after puncture wounds through the shoes. Acinetobacter is generally a hospital-acquired infection.
OrthoCash 2020
1078) A 35-year-old man sustains a large degloving injury overlying the distal tibia. The traumatic wound is managed with surgical débridement, followed by application of a negative pressure dressing. Compared with standard damp-to-dry dressing changes, use of a negative pressure dressing offers which of the following advantages?
- Increased limb vascularity
- Decreased hospital stay
- Decreased bacterial count
- Decreased need for repeat débridement
-
Accelerated granulation tissue formation Corrent answer: 5
The development of negative pressure dressings has been a significant advance in wound management. These devices remove excess interstitial fluid, which promotes increased local vascularity and, with mechanical deformation of cells from the negative pressure, accelerates granulation tissue formation. A negative pressure dressing does not substitute for thorough surgical débridement; it has not been shown to decrease bacterial counts within the wound or decrease overall length of hospital stays.
OrthoCash 2020
1079) Following surgery for an ankle fracture, which of the following is considered the most important factor in achieving a satisfactory outcome?
- Physical therapy
- Early weight bearing
- Anatomic alignment
- Early range of motion of the ankle
-
Calcium and vitamin D administration Corrent answer: 3
The only factor that is prognostic for outcomes is the quality of the reduction. None of the other factors has any effect on the outcome. Early range of motion or physical therapy may offer temporary effects, but these small advantages do not last beyond 3 months after surgery.
OrthoCash 2020
1080) A patient underwent an open reduction and internal fixation of a calcaneus fracture 6 months ago via an extensile lateral approach. He now reports burning pain on the lateral side of his ankle and foot. A local cortisone injection at the site of the tenderness, about 7 cm above the lateral heel, provided temporary relief of the pain. What is the recommended course of management for the persistent burning pain?
- Subtalar fusion
- Neuroplasty of the superficial peroneal nerve
- Neuroplasty of the sural nerve and implant removal
- Excision and burial of the sural nerve in deep muscle or vein
-
Electromyography/nerve conduction velocity studies to evaluate local nerve entrapment versus radiculopathy
Corrent answer: 4
The patient has a sural nerve neuroma, which is a known complication of the extensile lateral approach. Of the available choices, excision and burial of the sural nerve in muscle or vein is the best choice because it gives better pain relief due to the better blood supply in muscle than bone. Recent authors advocate burying the nerve in vein as the best option. Neuroplasty is a possibility (but not of the superficial peroneal nerve), but the sural nerve is usually very sensitive and often pain relief with a release is incomplete.
Additionally, implant removal is not indicated because of the patient's complaints; also, the implants should not be removed at 6 months. A subtalar
fusion is the choice for posttraumatic arthritis from the calcaneus fracture. Electromyography/nerve conduction velocity studies are reasonable choices if there was an indication the pain could be coming from the back or there was no clear evidence of a sural nerve neuroma.
OrthoCash 2020
1081) A football player who injured his right lower extremity during a game could not get up and reported extreme pain. The initial sideline evaluation showed a probable anterior cruciate, posterior cruciate, and lateral collateral ligament rupture with a very unstable knee. He also reports pain in his ankle and is unable to dorsiflex the ankle. He has limited sensation over the dorsum of his foot. Examination reveals no swelling of the ankle and no pain with passive range of motion of the ankle. What is the most likely diagnosis?
- Tibial nerve injury
- Associated ankle fracture
- Acute compartment syndrome
- Injury to the common peroneal nerve
-
Rupture of the tibialis anterior tendon Corrent answer: 4
It is not uncommon to sustain a peroneal nerve injury in association with a knee dislocation or multi-ligament injury. There should always be a high index of suspicion for this injury, and the vascular status to the leg should be carefully evaluated. From the history and examination, there is no indication that the ankle was fractured. A compartment syndrome will not develop within a few minutes of the injury. It takes several hours for a compartment syndrome to develop and become symptomatic. The tibial nerve supplies the plantar aspect of the foot. An acute rupture of the tibialis anterior tendon in a young person is very uncommon, and it is associated with pain and localized swelling about the ankle. It is also unlikely that it would lead to sensory loss.
OrthoCash 2020
1082) Figure 1 is the radiograph of a 62-year-old woman who fell and sustained a left hip fracture. A radiograph is shown in Figure 1. Which of the following preoperative risk factors is associated with the highest postoperative mortality rate?
1. Fracture pattern
2. Chronic renal failure
3. Female gender
4. Coronary artery disease
5. Diabetes mellitus
Corrent answer: 2
In the study by Bhattacharyya and associates in 2002, they retrospectively reviewed over 43,000 in-patient orthopaedic procedures to identify preoperative risk factors associated with postoperative mortality. Their study identified five "critical" risk factors placing patients at increased risk for death. These included chronic renal failure, congestive heart failure, chronic obstructive pulmonary disease, hip fracture, and age of older than 70 years.
Their study also demonstrated a linear increase in mortality observed with the increased number of risk factors. The risk factors of diabetes, gender, fracture pattern, coronary artery disease, peripheral vascular disease, septic arthritis, and rheumatoid arthritis did not achieve significance. Identification of patients with risk factors for mortality is important for individualizing treatment plans, accurate prognosis, and informed consent.
OrthoCash 2020
1083) Figures 10a and 10b are the radiographs of a 33-year-old man who was involved in a high-speed motorcycle crash. He sustained an isolated injury to the right lower extremity. On the day of injury, he was treated with open reduction and internal fixation of the femoral neck and retrograde nailing of the femur. Radiographs are shown in
Figures 10c through 10f. Alternative treatment with a cephalomedullary device alone would be more likely to lead to which of the following outcomes?
1. More postoperative pain
2. More rapid healing of the femoral neck fracture
3. Higher union rate of the femoral neck fracture
4. Higher union rate of the femoral shaft fracture
5. Higher rate of malreduction of one of the fractures Corrent answer: 5
This patient has ipsilateral fractures of the femoral neck and femoral shaft. This is not an uncommon scenario, often found in high-energy injuries in younger patients. There is some controversy as to the best method of fixation of these injuries with some authors recommending separate implants for the two fractures, and some recommending a single antegrade cephalomedullary nail for treatment of both fractures. The use of a single implant does not increase time to healing of the femoral neck fracture or limit postoperative pain. However, the use of a single implant is associated with a higher malreduction rate of either the shaft or neck component which could lead to increased rates of nonunion or malunion.
OrthoCash 2020
1084) A 63-year-old woman with osteopenia is struck by a motor vehicle and sustains a Schatzker 2 (AO/OTA Type B) fracture of the lateral tibial plateau. She has 1.5 cm of joint depression and 7 mm of condylar widening. What is the most appropriate surgical fixation for this injury?
- Lateral non-locking construct
- Percutaneous screws
- External fixation
- Lateral locking construct
-
Medial and lateral plating Corrent answer: 1
The patient has a significantly displaced partial articular fracture of the tibial plateau. Surgical treatment is preferred in an effort to restore the axis of the knee, achieve an articular reduction, and allow for repair of commonly associated soft-tissue injuries such as meniscal tears. This requires direct reduction, and fixation should provide subarticular support, interfragmentary compression, and buttress. This is best achieved with an undercontoured lateral nonlocking plate.
Illustration A shows a tibial plateau fracture. Incorrect Answers:
2: Screws alone are unlikely to be adequately stable in this patient.
3: External fixation is not enough to reduce and hold the joint reduced. 4: Locking plates do not provide buttress effect when used in pure locking mode. In addition, locking plates add significant incremental cost to the procedure.
5: A unicondylar injury does not require dual plating.
OrthoCash 2020
1085) A 45-year-old man was skiing when he sustained a direct blow to the lateral side of his left knee. Radiographs reveal a left split depression tibial plateau fracture. What is the best method of treatment for this articular injury?
- Open reduction and internal fixation with absolute stability
- Open reduction and internal fixation with relative stability
- Closed reduction with casting
- Reamed locked intramedullary nailing
-
External fixation
Corrent answer: 1
Basic understanding of fracture care requires a fundamental knowledge of the principles regarding absolute and relative stability. Compression plating and anatomic reduction of articular fractures are examples of absolute stability.
Bridge plating, external fixation, casting, and intramedullary nailing are all examples of relative stability. Both bone forearm fractures have long been treated with open reduction and internal fixation even in the light of open wounds. Results have been excellent with plate fixation. Recently,
intramedullary nails that are contoured and locked have been used in the treatment of both bone forearm fractures, but they are not reamed. It is well established that with restoring the proper radial bow, length, and alignment, optimal function can be achieved. Open reduction and internal fixation allows this achievement. In cases where comminution exists, absolute stability may have to be sacrificed so as to not strip small comminuted bone fragments.
Therefore, a bridging technique is worthwhile. External fixation can be used as a temporary technique until the soft tissues are more amenable to definitive fixation. Cast treatment is not indicated in adult forearm fractures. Locking nails for forearm use are not reamed.
With regards to articular fractures, anatomic reduction and rigid stabilization are required to achieve the best results and allow for fracture healing. This environment also allows for the best chance of the cartilage repair process to form "hyaline-like" cartilage. Open reduction and internal fixation with absolute stability is the mainstay of treatment for partial articular fractures such as split depression tibial plateau fractures and posterior malleolus fractures involving greater than about 25% to 30% of the joint. The gold standard for the treatment of a closed femur fracture is a reamed intramedullary locked nail.
Results are uniformly excellent. This can be done without stripping of the soft tissues such as in open reduction and internal fixation. External fixation can be used as a temporary device in patients in extremis for damage control reasons.
OrthoCash 2020
1086) A 22-year-old woman injured her ankle when she fell off a ladder. Radiographs reveal a displaced large posterior malleolus fracture of about 45% of the joint. What is the best definitive treatment?
- Open reduction and internal fixation with absolute stability
- Open reduction and internal fixation with relative stability
- Closed reduction with casting
- Reamed locked intramedullary nailing
-
External fixation
Corrent answer: 1
Basic understanding of fracture care requires a fundamental knowledge of the principles regarding absolute and relative stability. Compression plating and anatomic reduction of articular fractures are examples of absolute stability.
Bridge plating, external fixation, casting, and intramedullary nailing are all examples of relative stability. Both bone forearm fractures have long been treated with open reduction and internal fixation even in the light of open
wounds. Results have been excellent with plate fixation. Recently, intramedullary nails that are contoured and locked have been used in the treatment of both bone forearm fractures, but they are not reamed. It is well established that with restoring the proper radial bow, length, and alignment, optimal function can be achieved. Open reduction and internal fixation allows this achievement. In cases where comminution exists, absolute stability may have to be sacrificed so as to not strip small comminuted bone fragments.
Therefore, a bridging technique is worthwhile. External fixation can be used as a temporary technique until the soft tissues are more amenable to definitive fixation. Cast treatment is not indicated in adult forearm fractures. Locking nails for forearm use are not reamed. With regards to articular fractures, anatomic reduction and rigid stabilization are required to achieve the best results and allow for fracture healing. This environment also allows for the best chance of the cartilage repair process to form "hyaline-like" cartilage. Open reduction and internal fixation with absolute stability is the mainstay of treatment for partial articular fractures such as split depression tibial plateau fractures and posterior malleolus fractures involving greater than about 25% to 30% of the joint. The gold standard for the treatment of a closed femur fracture is a reamed intramedullary locked nail. Results are uniformly excellent. This can be done without stripping of the soft tissues such as in open reduction and internal fixation. External fixation can be used as a temporary device in patients in extremis for damage control reasons.Moed BR, Kellam JF, Foster RJ, Tile M, Hansen ST Jr. Immediate internal fixation of open fractures of the diaphysis of the forearm. J Bone Joint Surg Am. 1986 Sep;68(7):1008-
17. htt p ://www.ncbi.nlm.nih.gov/pubmed/3745238')">View Abstract at PubMedJones DB Jr, Kakar S. Adult diaphyseal forearm fractures: intramedullary nail versus plate fixation. J Hand Surg Am. 2011 Jul;36(7):1216-9. Epub 2011 May 14.
htt p ://www.ncbi.nlm.nih.gov/pubmed/21571446')">View Abstract at PubMed
OrthoCash 2020
1087) Figures 11a and 11b show the radiographs of the open fracture of a 46-year-old man who injured his elbow on his nondominant arm in a motorcycle crash. On the day of injury, he underwent irrigation and debridement of the fracture. He was also treated with antibiotics.
Which of the following definitive treatment methods will most likely lead to the best functional outcome?
1. Cast immobilization
2. Intramedullary screw fixation
3. Open reduction and plate fixation
4. Open reduction and internal fixation with tension band wiring
5. Fragment excision and triceps advancement Corrent answer: 3
The patient has an open comminuted transolecranon fracture-dislocation. This occurs when the distal humerus is driven through the proximal ulna, and it is often associated with comminution of the olecranon and proximal ulna. The distal fragment translates anteriorly. Results of surgical treatment of transolecranon fracture-dislocations are best and most reliable when the fracture is reduced anatomically and plate fixation is used. Nonsurgical management is not indicated in this injury pattern. Excision of the comminuted fragments and advancement of the triceps will likely lead to persistent anterior instability of the elbow. Tension band wiring relies on cortical contact which will not be possible in this fracture. Intramedullary screw fixation is also not possible because of the significant comminution.
OrthoCash 2020
1088) Figures 12a through 12c show the radiographs of the closed fracture of a 24-year-old man who sustained an isolated injury to his left foot in a motorcycle crash. He was splinted and, on the following day, he underwent open reduction and internal fixation. Postoperative
radiographs are shown in Figures 12d through 12f. What is the most likely complication of this injury?
1. Malunion
2. Nonunion
3. Osteomyelitis
4. Osteonecrosis
5. Posttraumatic arthritis
Corrent answer: 5
The patient has a talar neck fracture that is associated with several well-known complications. Posttraumatic arthritis is the most common complication and osteonecrosis is slightly less common. These two complications are often out of the control of the orthopaedic surgeon and do not seem to be influenced by the timing of fixation. Malunion and nonunion are relatively uncommon when an anatomic reduction and stable fixation can be obtained. Open reduction can help ensure the best possible reduction, and plate fixation may be a more stable method of fixation, especially useful in preventing collapse through areas of comminution. Osteomyelitis is rare in closed fractures.
OrthoCash 2020
1089) Which inflammatory marker is most closely tied to a systemic inflammatory response following orthopaedic injury and treatment?
- Interleukin 1 (IL-1)
- Interleukin 6 (IL-6)
- Interleukin 10 (IL-10)
- Tumor necrosis factor, alpha
-
D-dimer
Corrent answer: 2
Significant basic science research has been done on identifying inflammatory markers associated with systemic inflammatory response following trauma and musculoskeletal injury. Although not yet clinically applicable, IL-6 has been identified as a marker that correlates well with musculoskeletal injury (ie, femur fracture) and treatment of these injuries (ie, intramedullary nailing). IL-1 and IL-10 do not correlate with treatment of musculoskeletal injury. Tumor necrosis factor, alpha and D-dimer, although often elevated following trauma, do not correlate with musculoskeletal treatment.
OrthoCash 2020
1090) Figures 15a and 15b are the radiographs of a 28-year-old man who fell from a height and sustained an isolated closed diaphyseal femur fracture that was treated with reamed antegrade femoral nailing 8 months ago. He now reports persistent pain during ambulation. He smokes one pack of cigarettes per day but is otherwise healthy. He denies any infectious history or symptoms, and laboratory studies show a normal WBC count, erythrocyte sedimentation rate, and C-reactive protein. What is the most appropriate treatment?
1. Bone graft in situ
2. External bone stimulation
3. Reamed antegrade exchange nailing
4. Reamed retrograde exchange nailing
5. Open biopsy to assess for infection followed by delayed surgical stabilization Corrent answer: 3
The patient has an uninfected symptomatic nonunion of the femur after reamed antegrade nailing with an appropriately sized implant. The fracture is well aligned and has some callus response indicating reasonable vascularity. Auto-dynamization has occurred via fatigue failure of the distal interlocking screws but the patient remains symptomatic and the fracture line is evident, consistent with nonunion. Reamed exchange nailing is preferred because it allows for improved mechanics via a larger diameter nail and repeat interlock and improved biologics via reaming which is felt to elicit an inflammatory reaction and generate bone graft in situ. Unfortunately, the results of exchange nailing are not as good in patients who smoke and smoking cessation should be counseled and encouraged. The data on external bone stimulation on unhealed fractures of the femur with an intramedullary nail present are lacking. In light of a benign clinical examination and history and normal blood work parameters with reference to infection, open biopsy of the nonunion prior to definitive surgical treatment is unwarranted. The patient has mechanical instability and bone grafting in situ will not address this issue in terms of promoting progression to union or allowing for improved function and less pain.
OrthoCash 2020
1091) Figures 16a and 16b show the initial radiograph and CT scan after the application of a pelvic binder in a 24-year-old woman who sustained a pelvic ring injury in a motor vehicle accident. What does the fracture of the sacrum best indicate?
1. Pelvic instability
2. Indication to repair the sacrum
3. Higher likelihood of bowel injury
4. Lower likelihood of neurologic injury
5. Lower likelihood of internal bleeding Corrent answer: 1
The radiograph and CT scan reveal a fracture of the lateral sacrum due to avulsion of the sacrospinous and sacrotuberous ligaments. These ligaments are
disrupted in an unstable anteroposterior compression-type pelvic ring injury. Higher grade injuries have a higher risk of vascular and/or neurologic injuries.
OrthoCash 2020
1092) Anterior perforation of the distal femur from antegrade femoral nailing has been attributed to what factor?
- Non-anatomic reduction
- Mismatch of the radius of curvature of implant and bone
- Usage of too large an implant
- Lateral patient positioning
-
Lateral proximal starting point Corrent answer: 2
Anterior perforation of the femur has been attributed to a simple mismatch in the radius of curvature of implants and the apex anterior bowed femur.
The radius of curvature is generally smaller (114-120 cm) than many earlier generation femoral nails (up to 300 cm), and the referenced article by Ostrum et al describes a case series of 3 such patients with subtrochanteric fractures. He noted that the difference in femoral anteroposterior bow between the bone and the implant is a contributing factor to distal femoral anterior cortex penetration in intramedullary nailing of subtrochanteric fractures.
Illustration A shows an example of a nail penetrating the anterior femoral cortex.
OrthoCash 2020
1093) When attempting to treat a proximal tibial metadiaphyseal fracture with an intramedullary nail, what is the most common angular malalignment?
- Varus alone
- Valgus alone
- Varus and procurvatum
- Valgus and procurvatum
-
Valgus and recurvatum Corrent answer: 4
Fractures of the proximal metadiaphysis of the tibia can be treated successfully with intramedullary nails but historic rates of malalignment are up to 84%. The typical deformity is valgus and procurvatum due to the metaphyseal bony anatomy, eccentric start point, deforming force of the patellar tendon, and implant factors such as the Herzog curve of the nail. An ideal starting point is mandatory and should be at the medial border of the lateral tibial eminence on a true AP view and very proximal and anterior on a true lateral view with
appropriate coronal and sagittal trajectory of the entry reamer. A reduction should be obtained and maintained during reaming, implant insertion, and interlocking. This can be facilitated via a variety of techniques including intraoperative external fixation, percutaneous reduction clamps or joysticks, semi-extended positioning, blocking screws, and ancillary plate fixation.
OrthoCash 2020
1094) Figures 18a through 18c show injuries sustained by a 22-year-old woman after falling 45 feet while mountain climbing. After being airlifted to the nearest trauma center, her arterial blood gas was 7.21, pO2 84, pCO2 48, and delta base -11 mmol/L. Her Hgb is 8.7 and her resuscitation is ongoing. Based on this data, what would be the best management of her orthopaedic injuries?
1. External fixation of the pelvis, external fixation of the distal femur, and splinting of the humerus
2. External fixation of the pelvis, external fixation of the distal femur, and intramedullary nailing of the humerus
3. External fixation of the pelvis, open reduction and internal fixation of the distal femur, and splinting of the humerus
4. Open reduction and internal fixation of the pelvis, open reduction and internal fixation of the distal femur, and intramedullary nailing of the humerus
5. Open reduction and internal fixation of the pelvis, open reduction and internal fixation of the distal femur, and open reduction and internal fixation of the humerus
Corrent answer: 1
The patient is under-resuscitated and would benefit from minimally invasive stabilization of the pelvic ring and long bone fractures in a "damage-control" approach. External fixation of the pelvis and femur can be performed quickly and with minimal blood loss which should limit the "second hit" associated with more prolonged, invasive surgery. Upper extremity fractures are best managed acutely with splints in this clinical setting. Definitive fracture fixation should be delayed until the patient is adequately resuscitated.
OrthoCash 2020
1095) Figures 19a and 19b are the radiographs of a 32-year-old woman who has sustained multiple injuries after being struck by a motor vehicle while riding a bicycle. She is intubated on arrival and remains tachycardic and hypotensive. Pulses are hard to palpate but the right hand is somewhat cooler to touch than the left hand. She has a large open wound over the upper arm. What is the most important predictor of outcome with these injuries?
1. Open wound size
2. Open wound contamination
3. Time to débridement
4. Adequacy of débridement
5. Neurovascular status
Corrent answer: 5
The patient has lateral translation of the shoulder girdle on the chest radiograph as measured from the spinous process to the medial border of the scapula with resultant acromioclavicular widening consistent with the diagnosis of scapulothoracic dissociation. She also has an ipsilateral open fracture of the proximal humeral diaphysis. This represents an extremely high-energy injury to the upper extremity with a dismal prognosis. The overall mortality in the presence of scapulothoracic dissociation is 10%. Over 90% of patients will have neurologic injury which is often a complete and permanent brachial plexopathy, and a significant percentage will have associated limb-threatening
vascular injuries. In the presence of a complete vascular and neurologic injury, amputation must be considered. While important, wound size and contamination, and time or adequacy of débridement will not likely drive the clinical outcomes in the presence of such a significant concomitant injury.
OrthoCash 2020
1096) A 37-year-old man fell from 24 feet and sustained a subarachnoid hemorrhage and closed femoral shaft fracture. What is most likely to lead to an adverse outcome?
- Intraoperative hypotension
- Temporizing external fixation
- Elevated cerebral perfusion pressure
- Immediate reamed intramedullary nailing
-
Skeletal traction with intramedullary nailing in 72 hours Corrent answer: 1
In patients with femoral fractures and associated closed head injuries, there have been conflicting studies regarding timing of fracture care and eventual neurologic outcome. It is known that an episode of hypotension and elevated intracranial pressure will lower the cerebral perfusion pressure, which is known to be detrimental to the neurologic outcome. Intraoperative hypoxia may also worsen the neurologic outcome and increased fluid administration may elevate the intracranial pressure. If early fracture fixation is necessary, the intracranial pressure should be monitored and the cerebral perfusion pressure maintained during the procedure. Immediate reamed intramedullary nailing is appropriate if the patient is hemodynamically stable and the cerebral perfusion pressure is maintained. If not, external fixation would be appropriate treatment.
Temporary skeletal traction may be appropriate if the intracranial pressure is labile and precludes the patient from going to the operating room.
OrthoCash 2020
1097) Figures 20a and 20b are the radiographs of a 19-year-old woman who was involved in a motor vehicle accident. What mechanism of injury is most consistent with the injury?
1. Vertical shear
2. External rotation
3. Sagittal translation
4. Lateral compression
5. Anterior posterior compression Corrent answer: 4
The radiographs show a lateral compression pelvic ring injury with a displaced superior ramus fracture, or tilt fracture. Tilt fractures are most commonly caused by a lateral compression mechanism. These injuries are often seen in female patients and careful examination, including vaginal examination, is
required to rule out open fractures. Lateral compression results in internal rotation, not external rotation, of the pelvic ring. Tilt fractures are not commonly seen with anterior-posterior compression injuries or vertical shear injuries. Sagittal translation is not a term used to describe pelvic ring injuries.
OrthoCash 2020
1098) Figure 21 is the radiograph of a 45-year-old woman who was severely injured in a motorcycle crash. Her injuries include a traumatic subarachnoid hemorrhage, bilateral pneumothoraces with pulmonary contusions and flail chest, fracture-dislocation of the left hip, and open fractures of the right distal femur and proximal tibia. Antibiotics and tetanus are administered in the emergency department. The patient is intubated and bilateral chest tubes are placed. A closed reduction is performed on the left hip. After appropriate resuscitation, what is the most appropriate initial management of the right knee injury?
1. Skeletal traction
2. Irrigation and debridement of the open fractures
3. Irrigation and debridement and spanning external fixation of the knee
4. Open reduction and internal fixation of the proximal tibia and distal femur
5. Percutaneous screw fixation of the articular fragments with retrograde femoral nailing and antegrade tibial nailing
Corrent answer: 3
Although the radiographic evaluation is incomplete, the single lateral view shows a comminuted fracture of the distal femur with suspicion of intraarticular injury and an ipsilateral proximal tibia fracture. This is an open fracture that requires antibiotics, débridement , and skeletal stabilization. The fractures are complicated and the patient is polytraumatized; therefore, rapid but complete surgical débridement and simple stabilization of the knee with a spanning external fixator would be the most appropriate management.
Definitive surgical stabilization will likely be complicated and is less desirable during the early post-injury period.
OrthoCash 2020
1099) Which of the following strategies is helpful to avoid the complication seen in Figure 22?
1. Fibular plating
2. Blocking screws
3. Medial starting point
4. Nailing in the flexed position
5. Cross Kirschner wire fixation prior to nail insertion Corrent answer: 2
This is the classic deformity encountered during intramedullary nailing of a proximal one third tibia fracture: apex anterior angulation and anterior translation of the proximal segment. Blocking screws, nailing in the semi-
extended position and a lateral starting point all may help avoid the malalignment seen with proximal tibial metaphyseal fractures. Fibular plating may help with distal tibial metaphyseal fracture alignment. Cross Kirschner wire stabilization is not used in adult fracture patterns. A temporary unicortical plate, external fixator, or distractor may be used instead to hold provisional reduction while the nail is inserted.
OrthoCash 2020
1100) Figure 23 is the radiograph of a 22-year-old woman who was involved in a motor vehicle collision. She reports isolated pain in her left shoulder. She is hemodynamically stable, respiring comfortably, and neurovascularly intact. Based on these findings, which of the following statements regarding treatment is most appropriate?
1. Union rates are in excess of 95% if treated nonsurgically.
2. A figure-of-8 brace is superior to a sling for nonsurgical management.
3. Open reduction and internal fixation increases the likelihood of a nonunion.
4. Open reduction and internal fixation results in improved functional outcomes.
5. Open reduction and internal fixation and nonsurgical management have equivalent outcomes at 1 year.
Corrent answer: 4
The patient has sustained an isolated, closed, transverse fracture of the middle third of the clavicle with greater than 100% displacement and greater than 2 cm of shortening. Whereas the traditional treatment of clavicle fractures has been overwhelmingly conservative, recent reports suggest that surgical fixation should be considered for certain injury patterns. The union rates of displaced
clavicle fractures are more recently noted to be approximately 85%, which is lower than the traditional literature. In a prospective randomized trial of clavicle fractures with greater than 100% displacement, union rates were higher and functional outcomes were better at all time points up to 1 year after injury in the surgical group when compared with nonsurgical management.
OrthoCash 2020
1101) A 19-year-old man underwent intramedullary nailing of a closed tibia fracture 1 year ago and has never been pain free. While playing football, he was tackled and sustained the injury shown in Figure 24a. What is the best treatment option based on the radiographs seen in Figures 24b and 24c?
1. Circular fixator
2. Exchange nailing
3. Iliac crest bone graft
4. Straightening of the leg and casting
5. Removal of the nail and functional bracing Corrent answer: 2
This is a young, healthy man with a tibial nonunion and a failed implant. He requires treatment for the nonunion. In the absence of bone loss and/or infection, the injury is best treated with removal of the bent nail and a reamed exchange nailing. Casting alone or functional bracing is not the best option in a patient with an atrophic nonunion. Use of circular fixators is an option; however, in a young, healthy patient with a fracture that has bony contact, the first line of treatment is exchange nailing.
OrthoCash 2020
1102) Figures 25a through 25c show the radiographs, including a stress radiograph, of a 58-year-old woman who twisted her ankle on a step. She has no history of diabetes or vascular disease. Examination reveals a closed injury with moderate swelling about the ankle. Her neurologic examination is normal. She has a strong dorsalis pedis pulse and tenderness over the lateral malleolus and the medial side of her ankle. What is the most appropriate management?
1. MRI scan of the ankle
2. Non-weight-bearing cast for 6 weeks
3. Removable walking boot and progressive weight bearing
4. Open reduction and internal fixation of the fibula
5. Open reduction and internal fixation of the fibula with medial ligament repair Corrent answer: 3
The patient has a lateral malleolus fracture with an ankle mortise that is stable to a stress examination; therefore, surgical treatment is not indicated. In a stable lateral malleolus fracture, strict non-weight-bearing is not necessary, and a removable walking boot or walking cast can be used along with progressive weight bearing. The presence of tenderness or swelling medially at the ankle has been shown to be a poor indicator of medial-sided injury. The clinical utility of MRI scans in ankle fractures is controversial. Studies have used MRI scans to evaluate the competence of the deltoid ligament and have shown that the ligament may remain intact even with an increased medial clear space on a stress examination. In the patient, the stress examination does not show talar subluxation so the deltoid ligament is not incompetent.
OrthoCash 2020
1103) Figure 26 is the radiograph of a 33-year-old woman who was involved in a high-speed motor vehicle crash. Her initial blood pressure is 80/50 mm Hg and she has a pulse rate of 120 bpm. After hemodynamic stabilization and temporizing measures have been performed, the patient is cleared for surgery. What is the most appropriate method of definitive fixation?
1. External fixation
2. Open reduction and internal fixation of the pubic symphysis with a two-hole plate
3. Open reduction and internal fixation of the pubic symphysis with a two-hole plate and posterior triangular osteosynthesis
4. Open reduction and internal fixation of the pubic symphysis with a multi-hole plate
5. Open reduction and internal fixation of the pubic symphysis with a multi-hole plate and posterior plate osteosynthesis
Corrent answer: 4
The patient has sustained an anterior posterior compression (APC) grade II pelvic ring injury. Initial management should consist of pelvic volume reduction with pelvic binding or sheeting. Once the patient is hemodynamically stable, the decision for definitive management should be made. In a retrospective review of more than 200 patients, Sagi and Papp investigated plate osteosynthesis of the pubic symphysis. They found significantly fewer malunions in the multi-hole plate group and a trend toward fewer surgeries in the same group. Typically external fixation should be reserved for temporary fixation and not a definitive management in stable patients. Posterior fixation is reserved for injuries with disruption of the posterior ligamentous constraints, typically APC grade III injuries. Triangular osteosynthesis is a strategy for fixation of unstable vertical shear fractures that require fixation of the pelvis to the lumbar spine.
OrthoCash 2020
1104) Figure 29 is the radiograph of a 30-year-old man who sustained an isolated tibial shaft fracture. What is the most common deformity with nonsurgical management?
1. Varus
2. Malrotation
3. Valgus
4. Valgus and procurvatum
5. Valgus and recurvatum Corrent answer: 1
Studies have shown that approximately 25% of diaphyseal fractures of the tibia with intact fibulae will go onto varus malunion if treated nonsurgically. Limb-length discrepancies are also common. Here the fibula acts as a strut, preventing valgus collapse but predisposing to varus collapse. Valgus and procurvatum is the typical deformity in proximal tibial fractures.
OrthoCash 2020
1105) Figures 30a and 30b are the radiographs of a 61-year-old man with diabetes who fell from a ladder and sustained an isolated closed fracture. After realignment and splint application, what is the most appropriate next step in management?
1. CT scan
2. Hybrid external fixation
3. Ankle-spanning external fixation
4. Open reduction and internal fixation within 6 to 8 hours
5. Open reduction and internal fixation within 2 to 3 days
Corrent answer: 3
The patient has sustained a high-energy severely comminuted AO/OTA C2 fracture of the distal tibia. This injury is notably fraught with soft-tissue complications that can lead to disastrous clinical results. In general, a staged protocol is now preferred in an effort to avoid these complications and has shown substantial decreases in infection rates and wound healing problems. A CT scan is certainly appropriate for preoperative planning but should be obtained after frame application because the indirect reduction that is achieved improves one's ability to understand the fracture characteristics and morphology. Hybrid external fixation has fallen out of favor because of its limited biomechanic rigidity and clinical results. Open reduction and internal fixation in the acute phase (6 to 8 hours) or sub-acute phase (2 to 3 days) is difficult.
OrthoCash 2020
1106) A starting point entry portal that is too lateral on a trochanteric femoral nail will result in what deforming force?
- Varus
- Valgus
- Flexion
- Extension
-
Excessive hoop stress Corrent answer: 1
The trochanteric entry portal for femoral nail insertion is increasingly being used by orthopaedic surgeons both for cephalomedullary implants and standard femoral nailing. In contradistinction to the piriformis fossa, the tip of the trochanter is not co-linear to the diaphyseal isthmus and an errant start can lead to the introduction of malalignment and/or iatrogenic comminution at the fracture site. The desired starting point should be at the tip or slightly medial to the tip of the greater trochanter to avoid varus malalignment and blow out of the lateral wall.
OrthoCash 2020
1107) A 65-year-old woman with rheumatoid arthritis is involved in a motor vehicle accident. Her injuries include a right displaced femoral neck fracture, a left open tibial pilon fracture, a left open tibial plateau fracture, multiple rib fractures, and bilateral pulmonary contusions.
Her vitals signs on admission are a heart rate of 115 bpm and a
systolic blood pressure of 90 mm Hg. Laboratory studies show a hemoglobin of 10.0 g/dL and a delta base of -6.0 mmol/L. What finding in this patient is most significantly associated with increased mortality?
- Heart rate
- Base deficit
- Hemoglobin
- Urine output
-
Systolic blood pressure Corrent answer: 2
The severity of injuries and the lack of physiologic reserve in this and other elderly patients often result in mortality. Base deficit has shown to be a reliable predictor of mortality even in normotensive elderly blunt trauma patients.
Although tachycardia, low systolic blood pressure, and low hemoglobin may all contribute to these patients' mortality, base deficit may be used as a predictor of mortality and a measure of resuscitation.
OrthoCash 2020
1108) A fracture of what portion of the coronoid is most often associated with a terrible triad injury?
- Tip
- Rim
- Base
- Anterolateral facet
-
Anteromedial facet
Corrent answer: 1
The most common pattern of cornoid fracture with a terrible triad injury is a transverse fracture of 2 mm to 3 mm of the tip. The mechanism of injury of a terrible triad injury is typically valgus and supination. These forces force the radial head against and then under the capitellum, resulting in a fracture of the radial head. The coronoid is then driven under the trochlea and sheared off as the valgus force continues. The lateral collateral ligament typically tears next.
OrthoCash 2020
1109) A 45-year-old man sustained the injury shown in Figures 36a and 36b. The involved side is his dominant side. What is the most
appropriate management?
1. Closed reduction
2. Arthroscopic labral repair
3. MRI to evaluate the rotator cuff
4. Stress radiographs to evaluate instability
5. Early motion in a structured physical therapy program Corrent answer: 5
This minimally displaced (one-part) proximal humerus fracture is best treated with nonsurgical management. Early motion and physical therapy should be instituted to optimize functional results. No reduction is required. There is no indication for an acute MRI scan. If symptoms exist after healing, one may be obtained. Labral injuries are not typically associated with this type of injury.
Instability is not associated with a one-part fracture and stress radiographs are not described.
OrthoCash 2020
1110) Which set of patient characteristics has the highest risk of developing osteonecrosis after an intracapsular femoral neck fracture?
- 45-year-old woman with a displaced fracture
- 55-year-old man with a nondisplaced fracture
- 70-year-old woman with a nondisplaced fracture
- 70-year-old man with a displaced fracture
-
85-year-old woman with a displaced fracture Corrent answer: 1
Loizou and associates prospectively studied 1,023 patients who sustained an intracapsular hip fracture that was treated with internal fixation using contemporary methods. The overall incidence of osteonecrosis was 6.6%.
Osteonecrosis was less common for undisplaced (4.0%) than for displaced fractures (9.5%) and in men (4.9%) than women (11.4%) who had a displaced fracture. The incidence of osteonecrosis for those patients younger than 60 years and who sustained a displaced fracture was 20.6%, compared with 12.5% for those aged 60 to 80 years and 2.5% for those older than age 80 years. Barnes and associates reported that late segmental collapse was more common in displaced fractures in women younger than age 75 years than in those older than age 75 years.
OrthoCash 2020
1111) When compared with reamed intramedullary nailing for an unstable diaphyseal tibia fracture, unreamed nailing is associated with which of the following?
- Longer surgical times
- Higher infection rates
- Lower functional outcome scores
- Similar union rates in open fractures
-
Higher incidence of pulmonary complications Corrent answer: 4
The Investigators Randomized Trial of Reamed versus Non-Reamed Intramedullary Nailing of Tibial Shaft Fractures (SPRINT) study, a large, randomized, controlled trial, has shown a benefit of reamed intramedullary (IM) nailing versus unreamed IM nailing for closed tibial shaft fractures with regard to reoperation rates. No such association exists for open tibial fractures; ie, union rates are the same for open fractures. The infection rates are the same, as is functional outcome, and surgical time is potentially shorter for unreamed nails. The potential pulmonary benefits from unreamed nailing have never been clinically proven.
OrthoCash 2020
1112) Figures 39a and 39b are the radiographs of a 45-year-old man with diabetes who fell 12 feet from a ladder and sustained an isolated closed injury to his left leg. Examination revealed that he was neurovascularly intact and compartments were soft. A damage control knee spanning external fixator was applied and after 2 weeks in the frame, his blisters have resolved and his skin now wrinkles. What is the most appropriate treatment?
1. Conversion to a periarticular 'hybrid' frame
2. Open reduction and internal fixation with a lateral nonlocking plate
3. Open reduction and internal fixation with a lateral locking plate
4. Open reduction and internal fixation with medial and lateral plates
5. Open reduction and internal fixation with posteromedial and lateral plates Corrent answer: 5
The patient has sustained a severely comminuted bicondylar fracture of the tibial plateau. The mechanism and radiographs highlight the high-energy mechanism of the injury and should warrant aggressive monitoring for compartment syndrome which is relatively common in this scenario. A staged surgical approach is warranted with application of a spanning damage control external fixator to maintain length and alignment while the soft-tissue injury recovers and to allow for surveillance and examination of the limb. The radiographs reveal a comminuted bicondylar pattern with significant depression of the lateral articular surface and a split fracture with condylar widening. This element of the fracture will require direct elevation of the joint surface and
reduction/buttress of the lateral condyle. This is best achieved with a lateral plate with subchondral rafting screws. The medial articular surface is coronally split and the posteromedial fragment is displaced. This fragment requires direct reduction and buttress via a separate posteromedial approach which is frequently performed prior to the lateral approach and fixation. A lateral buttress plate or a lateral locking plate alone does not reliably capture or adequately support the displaced posteromedial fragment. A medial and lateral plate construct is less soft-tissue friendly, particularly if inserted through a single incision. A medial plate would also fail to give direct buttress to the posteromedial fragment.
OrthoCash 2020
1113) A patient with an unstable pelvic ring injury has just undergone an emergent laparotomy and currently has a packed abdomen.
Stabilization of the pelvic ring is performed with an anterior external fixator. What is an advantage of using an external fixator with pins in the iliac crest rather than pins in the anterior inferior iliac spine?
- Greater pelvic ring stability
- Lower risk of pin tract infection
- Less reliance on fluoroscopy for pin placement
- Better ability to control a posterior pelvic injury
-
Less likely to interfere with future incisions for definitive pelvic internal fixation
Corrent answer: 3
There are relative advantages to both types of these external fixators. A frame based on the iliac crest is oftentimes easier to place rapidly because it is less dependent on fluoroscopy. This is also advantageous in this clinical scenario because the patient may not be on a radiolucent table. A frame with pins in the anterior inferior iliac spines may be advantageous in that the pin sites will be away from any future needed incisions if an ilioinguinal approach is needed.
There is, however, a higher risk of lateral femoral cutaneous nerve injury or intra-articular pin placement at the hip joint with this frame configuration. This technique is generally more dependent on fluoroscopy for pin placement. Some biomechanic studies have shown advantages to AIIS-based frames but this does not give a definite clinical advantage because neither frame alone is adequate to definitively treat an unstable associated posterior pelvic ring injury. There is no known difference in pin site infection rates between these frame types.
OrthoCash 2020
1114) Figures 42a and 42b are the AP pelvis and normal chest radiographs of a 40-year-old man who was a restrained driver in a high-speed motor vehicle crash. He reports right hip pain in the emergency department. He was awake and alert, normotensive, and tachycardic. Hemoglobin was 14 gm/dL. Thoracolumbar radiographs are normal. A closed reduction of the right hip was performed and the patient was monitored in the emergency department. One hour later, he was transported to the intensive care unit and, en route, he started to report chest pain and new onset of lower extremity weakness. He was noted to be tachycardic and hypotensive. Which of the following studies should be obtained?
1. CT scan of the head
2. CT scan of the pelvis
3. CT scan of the lumbar spine
4. CT angiography of the chest
5. Angiography of the right lower extremity Corrent answer: 4
Posterior hip dislocation associated with a deceleration injury is associated with traumatic rupture of the thoracic aorta. Usually the chest radiograph reveals some abnormality such as mediastinal widening but this sign may be absent.
This patient's mental status is normal so an intracranial process is not a likely
cause of the change in status. The patient is not reporting back pain. Posterior dislocation is not commonly associated with intrapelvic bleeding or lower extremity vascular injury. A high index of suspicion is necessary; however, in light of the patient's chest pain and hypotension as well as lower extremity weakness (likely from spinal cord ischemia); therefore, the most appropriate study is CT angiography of the chest followed by prompt cardiothoracic surgical intervention.
OrthoCash 2020
1115) Figure 43 is the radiograph of a 22-year-old right-hand dominant man who sustained the injury shown 1 year ago. He now reports persistent pain with activity. Which of the following interventions would most reliably relieve the patient's symptoms?
1. Functional bracing
2. Compression plating
3. Iliac crest bone grafting
4. Reamed intramedullary nailing
5. Internal electrical bone stimulation Corrent answer: 2
This is a hypertrophic nonunion of the forearm. Vascularity to the fracture site has been preserved; however, there is too much mechanical instability leading to failure of healing. Compression plating alone is all that is necessary to achieve fracture site stability and union. Iliac crest bone grafting is needed in atrophic-type nonunions. Internal electrical bone stimulation is used as an adjunct occasionally, but again is usually reserved for atrophic nonunion types. This patient has failed to respond to nonsurgical management, and functional bracing will not provide enough mechanical stability to the nonunion site to promote union. A plate and screw device provides greater mechanical stability than a reamed intramedullary nail. Furthermore, use of a reamed intramedullary nail has never been described for the treatment of a nonunion of the forearm.
OrthoCash 2020
1116) Which of the following is associated with increased fetal morbidity and mortality in acetabular fractures during pregnancy?
- Fetal position
- Surgical approach
- Mechanism of injury
- Fracture classification
-
Trimester of pregnancy Corrent answer: 3
Fixation of pelvic and acetabular fractures in pregnancy is not contraindicated. However, both maternal and fetal morbidity and mortality is increased in this patient subset. Factors shown to be associated with increased fetal mortality include: injury severity, mechanism of injury, and maternal hemorrhage.
Surgical approach, fracture classification, fetal position, and the trimester of pregnancy have not been shown to affect fetal morbidity or mortality.
OrthoCash 2020
1117) Which of the following is the major blood supply to the heel pad?
- Lateral calcaneal artery
- Lateral malleolar artery
- Artery of the sinus tarsi
- Artery of the tarsal canal
-
Medial calcaneal branch of the posterior tibial artery Corrent answer: 5
The medial calcaneal branch of the posterior tibial artery is the major vascular supply to the heel pad. Heel pad avulsions are severe injuries associated with high-energy trauma and often carry a poor prognosis because of the potential for heel pad necrosis. The lateral calcaneal artery and the lateral malleolar artery, along with the lateral tarsal artery, provide perfusion to the lateral flap associated with a standard extensile approach to the calcaneus. The artery of the tarsal canal is a branch of the posterior tibial artery, and the artery of the sinus tarsi is a branch of the perforating peroneal artery. Both provide perfusion to the talus.
OrthoCash 2020
1118) Figures 47a and 47b are the radiograph and CT scan of a 45-year-old man who was involved in a high-speed motor vehicle accident. What is the most appropriate treatment?
1. Subtalar arthrodesis
2. Percutaneous screw fixation
3. Closed reduction and cast application
4. Open reduction and internal fixation
5. Non-weight-bearing and early range of motion Corrent answer: 4
The radiograph and CT scan show a displaced talar neck fracture that is best treated with anatomic reduction and stable internal fixation. Neither non-weight-bearing and early range of motion nor closed reduction and cast application address the unstable fracture or restore articular congruity. The
fracture is displaced with an interposed fragment in the fracture line and therefore requires open reduction prior to screw placement. Subtalar arthrodesis should be reserved for talar fractures with severe injury to the subtalar joint.
OrthoCash 2020
1119) Figures 48a and 48b are the initial radiograph and clinical photograph of a 21-year-old woman who sustained a severe mangling injury to her left foot in a rollover ATV crash. After multiple dTbridements, she underwent definitive transmetatarsal amputation with split-thickness skin graft. She did have intact plantar sensation. Figure 48c shows the clinical photograph 10 days after amputation.
Her wounds healed without infection and she did not require further surgery. At 2 years after injury, which of these factors is most likely to be associated with improved level of satisfaction?
1. Female gender
2. Use of skin graft
3. Ability to return to work
4. Retained plantar sensation
5. Initial treatment by amputation Corrent answer: 3
The LEAP study is a multicenter prospective study evaluating multiple aspects of reconstruction versus amputation in the treatment of mangled extremity injuries. With regard to patient satisfaction, treatment variables such as decision for reconstruction versus amputation, or initial presence or absence of plantar sensation have little impact. In addition, demographic factors such as age, gender, socioeconomic status, and education level do not predict patient
satisfaction. Instead, the most important predictors of patient satisfaction at 2 years after injury include the ability to return to work, absence of depression, faster walking speed, and decreased pain.
OrthoCash 2020
1120) Which of the following is expected as a sequela with the use of a knee-spanning external fixator as a temporary method of stabilization for the injury shown in Figure 49?
1. Diminished distal pulses
2. An increased rate of pulmonary injury
3. Inability to access soft-tissue envelope
4. Transient compartmental pressure changes
5. Longer time to soft-tissue resolution for definitive surgery Corrent answer: 4
The use of bridging external fixation about the knee for severe tibial plateau fractures is associated with all of the following: swelling reduction, improved blood flow, access to the soft-tissue envelope, with only transient increases in intracompartmental pressure during application. It has no effect on pulmonary injuries.
OrthoCash 2020
1121) Figures 5a and 5b are the radiographs of a 24-year-old obese woman who sustained a knee dislocation in a fall. Postreduction radiographs and an angiogram are shown in Figures 5c through 5e. Examination reveals a cold foot with no pedal pulses. After vascular repair and four-compartment fasciotomy is performed by a vascular surgeon, and while the patient is still in the operating room, you are contacted and asked to evaluate the patient. The knee is grossly unstable. What is the most appropriate initial orthopaedic management?
1. Spanning external fixation of the knee
2. Open lateral collateral ligament repair and delayed anterior cruciate ligament/posterior cruciate ligament/medial collateral ligament reconstruction
3. Application of a cylinder cast
4. Arthroscopic anterior cruciate ligament/posterior cruciate ligament reconstruction and open lateral cruciate ligament/medial cruciate ligament repair
5. Diagnostic knee arthroscopy Corrent answer: 1
Knee dislocations are known to have a high risk for vascular injury. Although the specific treatment of various combinations of ligamentous injuries is controversial, the need for emergent revascularization is not. In this particular patient, after vascular repair, the most important initial concern is protection of the vascular repair. A spanning external fixator, especially in this patient with gross instability, will allow for easier assessment of vascular status, evaluation of fasciotomy wounds, and temporary stability of the knee. A cylinder cast can stabilize the knee but will not allow wound assessment or room for inevitable post-injury/postoperative swelling. Diagnostic knee arthroscopy is not necessary, and ligamentous repair/reconstruction should be delayed until the vascular repair is stable.
OrthoCash 2020
1122) Figure 50a is the radiograph of a 25-year-old man who fell off his bike, landed on his outstretched elbow, and sustained a closed fracture-dislocation of the elbow. After urgent closed reduction, he has no neurovascular compromise. Postreduction radiographs are shown in Figures 50b and 50c. What is the most appropriate management?
1. Transarticular screw fixation
2. Hinged external fixation and medial collateral ligament repair
3. Radial head excision, coronoid open reduction and internal fixation, and lateral collateral ligament repair
4. Open reduction and internal fixation of the coronoid, radial head ORIF or
arthroplasty, and lateral ulnar collateral ligament repair
5. Open reduction and internal fixation of the radial head, repair of the lateral collateral ligament, and excision of the coronoid fragment
Corrent answer: 4
The radiographs reveal a terrible triad injury of the elbow. This is a constellation of injuries involving an elbow dislocation, radial head fracture, and coronoid fracture and it is notorious for persistent instability and redislocation if treatment is inadequate. After initial closed reduction, surgical management is indicated to prevent or limit long-term complications. This involves repair or replacement of the injured radial head, reduction and fixation of the coronoid/anterior capsule complex, and lateral ligamentous repair. If there is persistent instability, then additional medial ligamentous repair should be undertaken. Nonsurgical management with bracing or cast immobilization is inadequate for this injury. Isolated treatment of either the coronoid or radial head, without addressing the other injury components is inadequate. Hinged external fixation is associated with a high complication rate and is generally reserved for salvage cases. The radial head should not be excised in an unstable elbow injury. Transarticular screw fixation is reserved for salvage situations.
OrthoCash 2020
1123) What is the most common complication following surgery for a "terrible triad" elbow fracture-dislocation?
- Arthritis
- Infection
- Re-dislocation
- Restricted range of elbow motion
-
Posterior interosseous nerve (PIN) palsy Corrent answer: 4
Recurrent instability, PIN palsy, infection, and posttraumatic arthritis have all been reported following these injuries; however, elbow contracture or loss of motion is nearly universal following these injuries.
OrthoCash 2020
1124) Figures 54a and 54b are the radiographs of a 23-year-old man who fell from a height and sustained an isolated injury to his right leg.
Which of the following is a useful surgical technique to optimize alignment during intramedullary nailing?
1. Move the starting point slightly medial
2. Move the starting point slightly lateral
3. Hyperflexion of the knee
4. Anterior blocking screw
5. Medial blocking screw Corrent answer: 2
Fractures of the proximal metadiaphysis of the tibia can be treated successfully with intramedullary nails, but previous studies showed rates of malalignment of up to 84%. The typical deformity is valgus and procurvatum. An ideal starting point is mandatory and should be slightly lateral to the medial border of the lateral tibial eminence on a true AP view and very proximal and anterior on a true lateral view with appropriate coronal and sagittal trajectory of the entry reamer. A medial start point will exacerbate valgus deformity and should be avoided. A reduction should be obtained and maintained during reaming, implant insertion, and interlocking. This can be facilitated via a variety of techniques including intraoperative external fixation, percutaneous reduction clamps or joysticks, semi-extended positioning, blocking screws that are typically inserted posterior and lateral to the nail, and ancillary plate fixation.
With careful attention to these techniques, more recent studies report low rates of malalignment.
OrthoCash 2020
1125) Figure 57 is the radiograph of a 58-year-old woman who is right-hand dominant and has fallen on her flexed right elbow and is seen in the emergency department reporting isolated episodes of right elbow pain. Examination reveals that the skin is contused but intact, and her distal neurovascular examination is normal. What is the most appropriate treatment?
1. Percutaneous pinning
2. Closed reduction and extension casting
3. Fragment excision and triceps advancement
4. Open reduction and internal fixation with plate fixation
5. Open reduction and internal fixation with tension band wire construct Corrent answer: 4
The patient has sustained an isolated, closed fracture of the olecranon without associated instability. The bone is radiographically osteopenic and the fracture is displaced, comminuted, and includes articular marginal impaction. Plate fixation is preferred in the presence of comminution or associated transolecranon or radiocapitellar instability. Displaced fractures are generally treated surgically in an effort to restore articular congruity, restore extensor function, and to allow for early mobilization in an effort to maximize functional outcomes. A tension band wire construct is a commonly used technique but is reserved for simple fracture patterns without comminution. Excision and triceps advancement can be considered in elderly, low-demand patients that
have small unreconstructable fracture patterns without associated elbow instability.
OrthoCash 2020
1126) A 41-year-old man is involved in a high-speed motor vehicle crash and sustains a closed femoral midshaft fracture and a unilateral pulmonary contusion with a hemothorax, requiring placement of a chest tube. He has an initial blood pressure of 90/50 mm Hg. After receiving two liters of crystalloid, he has a blood pressure of 115/70 mm Hg and a heart rate of 90 bpm. He has normal mentation and does not require ventilator support. An arterial blood gas reveals that his delta base is -2 mmol/L. What is the most appropriate treatment for his femoral fracture?
- Skeletal traction
- Temporizing external fixation
- Reamed intramedullary nailing
- Unreamed intramedullary nailing
-
Open reduction and internal fixation Corrent answer: 3
The patient responded to crystalloid resuscitation and hemodynamic parameters and the base deficit indicate that he is adequately resuscitated for definitive fracture care. In a resuscitated patient, a reamed nail is not detrimental in the setting of a pulmonary injury and is favorable for fracture union. An unreamed nail has a higher nonunion rate than a reamed nail for femoral fractures. In a skeletally mature patient with a midshaft fracture, an intramedullary nail is preferred to open reduction and internal fixation. In an adult patient, skeletal traction should be considered only as a temporary treatment prior to surgical fixation of the femoral fracture.
OrthoCash 2020
1127) A 20-year-old concert pianist sustained a diaphyseal radius fracture and underwent open reduction and internal fixation 3 years ago. She is thin and reports that the plate is irritating her after playing the piano for an hour or more. She undergoes elective plate removal of the 3.5 mm plate and 2 weeks later she refractures the radius. Which of the following statements is most accurate?
- Diaphyseal plate removals are at higher risk of refracture.
- Postoperative splinting increases the chance of refracture.
- The patient would not have sustained a refracture if the plate was 4.5 mm.
- The risk of fracture increased because the plate was removed within 5 years.
-
Waiting 5 years to remove the hardware would have decreased the risk of refracture.
Corrent answer: 1
The risk of refracture after hardware removal is multifactorial. Multiple variables have been looked at, such as protective splinting for 6 weeks after hardware removal, waiting 12 months or more prior to hardware removal, and the location of the fracture. The one variable that seems to correlate the most with the risk of refracture is a diaphyseal location of the initial fracture. Large fragment plates (4.5 mm), when removed, are at higher risk for refracture in the forearm.
OrthoCash 2020
1128) Figures 6a and 6b are the radiographs of a thin 23-year-old man who sustained a closed injury to his left arm in a fall. He has no other injuries and his neurologic examination is normal. What is the most appropriate treatment?
1. Intramedullary nailing
2. Hanging arm cast for 6 weeks
3. Shoulder immobilizer for 4 to 6 weeks
4. Open reduction and internal fixation
5. Coaptation splinting with conversion to a fracture brace Corrent answer: 5
The patient is a thin man with an isolated left humerus fracture. The fracture has bony apposition and should be amenable to closed treatment; therefore the most appropriate treatment is coaptation splinting with conversion to a fracture brace. A hanging arm cast is not recommended for a transverse fracture because of the propensity to distract the fragments, especially if left in place for a long period of time. A shoulder immobilizer is not an appropriate treatment for a humeral shaft fracture. A transverse fracture line is sometimes considered a relative indication for surgical treatment if the fragments are distracted, but in this patient, immediate surgical fixation is not warranted in the absence of other indications for surgical treatment.
OrthoCash 2020
1129) Figures 60a and 60b are the radiographs of a 42-year-old man who was involved in a motorcycle crash. His vital signs are a pulse of 122 bpm, a blood pressure of 145/88 mm Hg, and a respiratory rate of 24/min. He has some facial trauma but his Glasgow coma scale score is 14. His delta base is -2 mmol/L. His primary and secondary surveys reveal no other injury. What is the most appropriate initial management?
1. Distal femoral traction for both injuries
2. External fixation of the pelvis and femur
3. External fixation of the pelvis and intramedullary nailing of the femur
4. Open reduction of the pelvis and external fixation of the femur
5. Nonsurgical management of the pelvis and intramedullary nailing of the femur
Corrent answer: 3
The patient is relatively hemodynamically stable and is a candidate for early surgical stabilization of his injuries. The femoral shaft fracture is best managed acutely with definitive intramedullary nailing. The rotationally unstable pelvic ring injury should be addressed at the time of femoral fracture fixation. In this patient, it is best managed acutely by anterior external fixation. Distal femoral traction would not be optimal for either injury.
OrthoCash 2020
1130) Figure 61 is the radiograph of a 34-year-old woman who was involved in a rollover motor vehicle accident. On arrival at the trauma center she is hypotensive and tachycardic. An abdominal CT scan reveals a spleen laceration. The patient remains hypotensive despite resuscitation and is taken to surgery for an emergent laparotomy and splenectomy. After surgery her delta base is -9 mmol/L. What is the most appropriate management of her pelvic ring injury?
1. Application of a pelvic binder
2. Application of skeletal traction
3. Open reduction and internal fixation
4. Placement of percutaneous iliosacral screws
5. Placement of an anterior pelvic external fixator Corrent answer: 2
The patient has a displaced iliac wing and bilateral rami fractures with superior migration of the right hip. To prevent further deformity, the patient's right hip should be placed into skeletal traction. A pelvic binder may worsen the deformity because of the iliac wing fracture. Anterior external fixation is problematic with an iliac wing fracture. Although the patient will eventually require open reduction and internal fixation and/or placement of iliosacral screws, she must be stabilized and resuscitated prior to this treatment.
OrthoCash 2020
1131) When planning pin placement for external fixation of the tibia, what is the maximum extent of the knee capsular reflection from the subchondral joint line?
- 4 mm
- 6 mm
- 10 mm
- 14 mm
-
20 mm
Corrent answer: 4
Intracapsular pin placement is a concern for septic arthritis. Reid and associates and DeCoster and associates have demonstrated that the maximum distal extent of the knee capsule is 14 mm from the subchondral line and occurs in the posterolateral region. The recommended placement of external fixation pins is greater than 14 mm from the subchondral line of the proximal tibia.
OrthoCash 2020
1132) Figures 63a and 63b are the radiographs of a 24-year-old left-hand dominant man who felt a "snap" in the left mid-arm while arm wrestling. Examination reveals an isolated closed injury. He has significant pain and gross instability about the upper arm. His compartments are soft and he has good pulses with a well-perfused hand. He is unable to actively extend his wrist and fingers. Following
splinting of the arm, his examination findings remain unchanged. What is the next most appropriate step in management?
1. Splintage followed by functional bracing
2. Intramedullary nailing with radial nerve exploration
3. Intramedullary nailing without radial nerve exploration
4. Open reduction and internal fixation with radial nerve exploration
5. Open reduction and internal fixation without radial nerve exploration
Corrent answer: 1
The patient has sustained an isolated, closed, comminuted fracture of the humeral diaphysis with an associated radial nerve palsy. In a report of 922 patients, Sarmiento and associates noted a nonunion rate of less than 2% with overall acceptable alignment and satisfactory functional results. Even in the presence of a radial nerve palsy, most humeral shaft fractures should be treated with functional bracing. Whereas open reduction and internal fixation and intramedullary nailing are viable treatment options, this fracture is acceptably aligned and is amenable to closed treatment. The absolute indications for surgical management include vascular injury, severe soft-tissue injury precluding closed treatment, compartment syndrome, open fracture, and associated ipsilateral forearm fracture, ie, floating elbow. Relative indications for surgical management include: segmental fracture, intra-articular extension, transverse fracture pattern with significant distraction, bilateral fracture, patient factors that preclude closed treatment such as head injury or morbid obesity, inability to maintain acceptable alignment via closed means, and polytrauma.
OrthoCash 2020
1133) A patient undergoes open reduction and internal fixation of a displaced radial neck fracture. What position should the forearm be in during the approach and during fixation?
- Supinated during the approach and neutral for plate application
- Neutral during the approach and pronated for plate application
- Pronated during the approach and neutral for plate application
- Pronated during the approach and pronated for plate application
-
Pronated during the approach and supinated for plate application Corrent answer: 3
Pronating the forearm during the surgical approach decreases the danger to the posterior interosseous nerve by moving it away from the surgical field. Placing the plate straight lateral with the forearm in neutral rotation puts the plate in the safe zone that does not articulate with the proximal radioulnar joint to prevent impingement of the plate during forearm rotation.
OrthoCash 2020
1134) A 45-year-old man sustained bilateral femur fractures in a motorcycle accident. On admission to the emergency department, the patient is unconscious with a heart rate of 120 bpm and a systolic
blood pressure of 80 mm Hg. A chest radiograph reveals bilateral pulmonary contusions. After resuscitation with 2 L of crystalloid, the patient's heart rate is 115 bpm, the systolic blood pressure is 90 mm Hg, and the patient's delta base is -10 mmol/L. What is the most appropriate treatment for the femoral fractures at this point?
- External fixation
- Percutaneous plating
- Reamed antegrade intramedullary nailing
- Reamed retrograde intramedullary nailing
-
Unreamed antegrade intramedullary nailing Corrent answer: 1
The patient is in shock, has pulmonary contusions, and needs further resuscitation. Damage control orthopaedics (ie, external fixation of the femoral fractures) is rapid, safe, and assists in patient resuscitation. Although the patient may ultimately undergo definitive treatment with reamed intramedullary nailing or percutaneous plating, to do so at this time would not further assist resuscitation and may increase pulmonary dysfunction.
Unreamed intramedullary nailing is not indicated in this patient.
OrthoCash 2020
1135) Figures 68a and 68b are the radiographs of a 58-year-old right-hand dominant woman who fell from a standing height directly onto her left shoulder and now reports left shoulder pain and is unable to elevate her arm. She has a normal sensory examination. The patient refuses any type of surgical intervention. What factor will have the greatest impact on her outcome at 1 year?
1. Age
2. Bone quality
3. Hand dominance
4. Initial angulation of fracture
5. Use of a physical therapy program Corrent answer: 1
In a review of over 1,000 proximal humerus fractures, Court-Brown and McQueen looked at outcomes of impacted varus fractures. These accounted for 13% of the fractures in their review. All impacted varus fractures, with the exception of two, were treated nonsurgically and were followed for 1 year.
They determined that the age of the patient was the major factor in overall outcome. Good results can be expected with younger patients, but results deteriorate with advancing age. In regards to angulation of the fracture, they found no correlation between increased varus angulation and shoulder function. Most patients had good or excellent results no matter how much final varus was achieved. They also noted that physical therapy did not have a significant impact on outcome. In their study, poor results in patients who lacked therapy were more related to the advanced age of the patients. Hanson and associates prospectively evaluated nonsurgical management of 124 proximal humerus fractures for 1 year. They found that displacement of the fracture only gradually influenced the constant scores and that the DASH revealed the patients on average had not fully recovered at 1 year. They also noted that 97.6% of employed patients were able to return to work and that employed patients on average had significantly lower differences in side-to-side constant and DASH scores. Solid bony union was seen in 93% at 1 year and fracture consolidation was seen in 98%. The predicted risk of delayed and nonunion was 7% with smoking increasing the nonunion risk by 5.5 times.
OrthoCash 2020
1136) Figure 7 is the pelvic radiograph of a 33-year-old man involved in a high-speed automobile crash. Examination reveals a blood pressure of 90/50 mm Hg and a pulse rate of 120/min. Radiographs of the chest and lateral cervical spine are normal. A CT scan of the abdomen does not reveal any intra-abdominal bleeding. What is the most appropriate next step in management for the pelvic fracture?
1. Angiography
2. Application of a pelvic binder
3. Anterior external fixation
4. Anterior external fixation with pelvic packing
5. Open reduction and internal fixation of the pubic symphysis Corrent answer: 2
Since the patient has not had any mechanical stabilization to the pelvic ring, the first step in management should be application of a sheet or binder along with resuscitation. Pelvic binders have been shown to be effective in decreasing transfusion needs and are quick and simple to apply. Emergent external fixation, pelvic packing, or angiography is not indicated unless the patient is unresponsive to these initial measures. The order in which these measures are used is controversial and somewhat institution dependent.
Repair of the pubic symphysis is indicated as part of the definitive treatment but should not be done prior to resuscitation with pelvic binder placement.
OrthoCash 2020
1137) Pelvic packing for a hemodynamically unstable patient with a pelvic ring fracture is best described by which of the following techniques?
- Placing a pelvic external fixator followed by packing the pelvis with lap pads via a subumbilical incision
- Placing lap pads for packing via a subumbilical incision in the angiography suite
- Placing lap pads for packing using the lateral window of the ilioinguinal approach (anterior approach to the internal iliac fossa)
- Packing the retroperitoneum with lap pads after exploration of the abdomen by the general surgeons
-
Direct exploration of the pelvic vasculature via a midline incision followed by packing with lap pads
Corrent answer: 1
For the technique of pelvic packing patients are placed supine on an operating room table. For rotationally and/or vertically unstable fracture patterns, an external fixator is then placed to stabilize the pelvis so that the volume of the pelvis is decreased and the packing has counterforce acting against it. An approximately 6 cm to 8 cm midline incision is made extending upwards from the pubic symphysis and heading toward the umbilicus. The rectus fascia is then divided in the midline. The bladder is retracted to one side and three lap pads are packed deep to the pelvic brim. The bladder is retracted to the other side and three more lap pads are placed on that side as well. The first sponge is placed at the level of the sacroiliac joint, the second anterior to the first sponge, and the third in the retropubic space lateral and just deep to the bladder. All should be placed below the level of the pelvic brim. The fascia is then closed. If the patient is hemodynamically unstable after stabilization, then packing of the pelvis angiography should be considered.
OrthoCash 2020
1138) A previously healthy man who weighs 70 kg (154 lb) sustains an acute blood loss of 2 liters after a motorcycle crash. Which of the following statements about physiologic parameters is unique to this amount of blood loss?
- Pulse pressure will be widened.
- Urine output will be at the lower limits of normal.
- Tachycardia will be present, but with no change in systolic blood pressure.
- Systolic blood pressure will be decreased with a narrowed pulse pressure.
-
Systolic blood pressure will be maintained with an elevated diastolic blood pressure.
Corrent answer: 4
The normal adult blood volume is approximately 7% of body weight. For example, a man weighing 70 kg has a circulating blood volume of approximately 5 liters. A blood loss of 2 liters places the patient in a class IV hemorrhage of more than 40% blood volume loss. Signs and symptoms of
class IV hemorrhage include marked tachycardia of greater than 140 bpm, a significant decrease in blood pressure, and a very narrow pulse pressure.
Urinary output is negligible, and mental status is markedly depressed. The skin is cold and pale. Physiologic parameters associated with a class II hemorrhage include: urine output that is at the lower limits of normal; the presence of tachycardia but with no change in the systolic blood pressure; and maintenance of the systolic blood pressure with an elevated diastolic blood pressure. A widened pulse pressure correlates with a class I hemorrhage.
OrthoCash 2020
1139) Figures 72a through 72d are the radiographs and CT scans of a 45-year-old man who fell 10 feet from a ladder and sustained an injury to the right knee. Examination reveals no open wounds and the skin was in good condition with moderate swelling and no fracture blisters. The patient is neurovascularly intact. What is the most appropriate treatment?
1. Hinged knee brace and non-weight-bearing for 6 weeks
2. Percutaneous screw fixation
3. Open reduction and internal fixation with a laterally applied nonlocking plate
4. Open reduction and internal fixation with posteromedial and lateral plates via one anterior approach
5. Open reduction and internal fixation with posteromedial and lateral plates via dual incisions
Corrent answer: 5
The patient has a bicondylar tibial plateau fracture with metadiaphyseal separation, depressed lateral articular surface, and a medial articular coronal split. This fracture is ideally treated with open reduction and internal fixation. A nonlocking lateral plate may not be able to protect against varus collapse through the metaphysis as well as a locking plate. However, neither plate can reliably deal with reduction and reliable fixation of the medial articular fracture. Recent studies have shown the relative frequency of the so-called "posteromedial fragment," and have recommended supplemental fixation of the medial articular surface because standard lateral implants may not be able to gain screw purchase in the posteromedial bone. Other studies have shown good fracture reduction and maintenance of reduction with low complication rates using the two-incision technique with double plating. Placing dual plates via one anterior incision is associated with soft-tissue complications.
OrthoCash 2020
1140) Figures 75a through 75e are the CT scans and radiographs of a 56-year-old man who is a restrained driver involved in a motor vehicle accident in which his car is struck at 35 mph. He has pain to the right buttock and groin regions. Examination reveals that he is neurologically intact and has no evidence of other injuries. What is the most appropriate management at this time?
1. Anterior pelvic external fixation
2. Iliosacral screw fixation on the right side
3. Open reduction and internal fixation of the sacrum
4. Bed rest for 1 to 2 weeks, followed by non-weight-bearing on the right side for 4 weeks
5. Immediate mobilization and weight bearing as tolerated on the right lower extremity
Corrent answer: 5
The patient has a lateral compression-type pelvic fracture with an incomplete fracture of the sacrum. This is a stable pattern that will tolerate immediate weight bearing with little risk of displacement. Anterior pelvic external fixation is occasionally indicated for a lateral compression-type pelvic fracture to reduce a severe internal rotation deformity, but that is not present in this patient. Iliosacral screw fixation may be indicated if the patient has pain that prevents mobilization with this injury or in the case of a sacral fracture that is complete or comminuted, which can indicate a higher risk of displacement.
OrthoCash 2020
1141) Figures 77a and 77b are the radiographs of a 45-year-old man who fell into a ditch and sustained a twisting injury to the left lower extremity. Examination in the emergency department reveals normal neurologic function, no skin compromise, and palpable pedal pulses.
The patient has no other complaints and has an otherwise normal examination. What additional imaging study is recommended?
1. MRI of the left knee
2. Arterial duplex of the left leg
3. CT scan of the left ankle
4. CT scan of the chest, abdomen, and pelvis
5. CT scan of the cervical, thoracic, and lumbar spine
Corrent answer: 3
Spiral distal tibia fractures are frequently associated with intra-articular fracture extension, usually involving the posterior malleolus. This may or may not be visible on the radiographs. A CT scan of the ankle is recommended to identify this associated injury. This is especially important when considering intramedullary nail fixation of the distal tibia fracture because a previously nondisplaced intra-articular fracture may become displaced as the nail is inserted to its final depth. Anteroposterior screw fixation prior to nailing may be useful in these cases. With the patient's history, there is no indication of thoracic, abdominal, pelvic, or spinal trauma. There are no signs of vascular injury and preoperative MRI is not indicated.
OrthoCash 2020
1142) Figures 79a and 79b are the radiographs of a 78-year-old right-hand dominant man who fell at home and sustained an isolated injury to his right shoulder. He lives alone and is independent with his activities of daily living. Examination reveals a closed injury and a normal neurologic examination. What is the most appropriate management?
1. Shoulder hemiarthroplasty
2. Hanging arm cast for 6 to 8 weeks
3. Shoulder immobilizer for 6 weeks, followed by range-of-motion exercises
4. Open reduction and internal fixation of the proximal humerus with a locking plate
5. Sling, followed by pendulum exercises with elbow range of motion within 1 to 2 weeks
Corrent answer: 5
The patient has an isolated proximal humerus fracture in acceptable alignment, thus surgical treatment is not indicated. Multiple studies have shown the benefits of earlier mobilization and therapy in patients who are treated nonsurgically for proximal humerus fractures. A hanging arm cast can be used in proximal humerus fractures, but typically would not be recommended for a length of 6 to 8 weeks because a prolonged time in a hanging arm cast has the disadvantage of immobilizing the elbow during that time as well.
OrthoCash 2020
1143) What is the most common cause of death in a patient with the injury shown in Figure 8?
1. Visceral injury
2. Exsanguination
3. Closed head injury
4. Under-resuscitation
5. Disseminated intravascular coagulation Corrent answer: 3
The most common identifiable cause of death in patients with lateral compression fractures is closed head injury. In contrast, the identifiable cause of death in patients with anteroposterior compression injuries is combined pelvic and visceral injury. Lateral compression injury results from a lateral impact to the pelvis that rotates the pelvis on the side of the impact toward the midline. The sacrotuberous and sacrospinous ligaments, as well as the internal
iliac vessels, are shortened and are not subjected to tensile forces. Disruption of large named vessels (eg, internal iliac artery, superior gluteal artery) is relatively uncommon with lateral compression injuries.
OrthoCash 2020
1144) A 38-year-old woman is polytraumatized in a motor vehicle crash. She has multiple injuries including a unilateral femur fracture. The patient is felt to be borderline and, although she is currently stable, she could potentially deteriorate quickly. Which of the following parameters has been suggested as an indicator of which patients would benefit from damage control?
- Normothermia
- Hemoglobin of less than 9 g/dL
- Unilateral lung contusion evident on CT only
- Injury severity score of greater than 40 without thoracic injury
-
Injury Severity Score of less than 18 with a pulmonary contusion Corrent answer: 4
Polytraumatized patients can be classified as stable, unstable, borderline, or in extremis. Management of the borderline patient is controversial because it is unclear which patients can safely undergo early definitive surgical stabilization of fractures, and which patients would benefit from temporizing "damage control" stabilization to allow adequate resuscitation and physiologic stabilization prior to definitive treatment. Although the question of damage control versus early total care is unresolved, there are several clinical parameters that have been suggested for use in deciding who should be treated with early damage control. These include Injury Severity Score of greater than 40, Injury Severity Score of greater than 20 with thoracic trauma, multiple injuries with severe pelvic/abdominal trauma and hemorrhagic shock, bilateral femoral fractures, pulmonary contusion noted on radiographs, hypothermia of less than 35 degrees C), and a head injury with an Abbreviated Injury Score of 3 or greater. A hemoglobin of 9 g/dL is not included in these suggested parameters.
OrthoCash 2020
1145) Figures A and B are the radiographs of a 52-year-old woman who fell down the stairs and sustained an acute hemarthrosis of the elbow. What is the most common complication following surgical treatment of this injury?
1. Elbow contracture
2. Complex regional pain syndrome
3. Posterior interosseous nerve palsy
4. Bridging heterotopic ossification of the elbow
5. Elbow instability requiring ligamentous reconstruction Corrent answer: 1
The patient has a displaced capitellum fracture that requires surgical intervention. Wheras complex regional pain syndrome, posterior interosseous nerve palsy, bridging heterotopic ossification of the elbow, and elbow instability requiring ligamentous reconstruction are seen as sequelae of various traumatic elbow injuries, elbow contracture is frequently seen following this specific injury.
OrthoCash 2020
1146) Three years following repair of a subtrochanteric femur fracture, a 26-year-old man has a draining sinus shown in Figure 84a. Radiographs are shown in Figures 84b and 84c. Management should consist of which of the following?
1. Hip disarticulation
2. Infectious diseases consultation and long-term suppressive antibiotics
3. Incision and drainage, removal of hardware, excision of heterotopic bone, and culture-directed antibiotics
4. Excision of heterotopic bone and radiation therapy to prevent recurrence
5. Excision of heterotopic bone and administration of nonsteroidal antiinflammatory drugs to prevent recurrence
Corrent answer: 3
This is a case of chronic osteomyelitis with infected hardware and a healed fracture. Limb salvage should be attempted in the patient. The presence of a chronic draining sinus requires surgical debridement. Removal of the implant and as much of the infected heterotopic bone will reduce the bacterial load. Culture-directed antibiotics are started after deep cultures are obtained.
Infectious diseases consultation is obtained following surgical intervention. Long-term suppressive antibiotics are not the treament of choice in healthy patients who can tolerate a surgical procedure.
OrthoCash 2020
1147) Which of the following is the best predictor of mortality after a patient has sustained a pelvic ring injury?
- Gender
- Comorbidities
- Fracture pattern
- Use of angiography
-
Shock on presentation Corrent answer: 5
Starr and associates demonstrated that age and shock on presentation were predictors of mortality after pelvic ring injury. Smith and associates showed that the amount of blood transfusions in the first 24 hours was also predictive of mortality. Gender, fracture pattern, use of angiography, and comorbidities do not correlate directly with mortality.
OrthoCash 2020
1148) What is the best way to determine whether a radial head implant is too thick intraoperatively?
- Visually assess the radiocapitellar joint.
- Visually assess widening of the lateral ulnohumeral joint.
- Assess widening of the radiocapitellar joint on an AP radiograph.
- Assess the elbow for concentric reduction on a lateral radiograph.
-
Assess widening of the medial ulnohumeral joint on an AP radiograph.
Corrent answer: 2
Widening of the medial ulnohumeral joint on an AP radiograph is only visible after overlengthening of the radial head by 6 mm or more. At least in this cadaver study, the most sensitive method was to visually assess the lateral aspect of the ulnohumeral joint with the radial head resected and then with the trial radial head in place. This method allows detection of any overlengthening.
OrthoCash 2020
1149) Figures 87a and 87b are the radiographs of an 18-year-old pedestrian who was struck by a car. During intramedullary nailing, it is difficult to maintain proper alignment. Poller blocking screws placed in
the proximal fragment at which position(s) relative to the nail can help prevent the typical deformity?
1. Anterior only
2. Anterior and medial
3. Anterior and lateral
4. Posterior and medial
5. Posterior and lateral
Corrent answer: 5
This is a proximal one third tibial shaft fracture. Typically nailing of this fracture creates a valgus and procurvatum malalignment that must be addressed. This can be difficult when using an intramedullary nail in the wide metaphyseal bone of the proximal tibia. To help direct and center the nail in the metaphysis, blocking screws can be used. Blocking screws should be placed where the nail should not travel. If the nail was passed with the proximal fragment in this position, it would occupy the lateral and posterior aspects of the metaphyseal fragment. To prevent this, blocking screws should be placed in the lateral and posterior aspects of the proximal fragment.
OrthoCash 2020
1150) What mechanism of injury is most likely to cause a fracture of the anteromedial facet of the coronoid?
- Extension and axial load
- Varus and posteromedial rotation
- Valgus and posteromedial rotation
- Varus and posterolateral rotation
-
Valgus and posterolateral rotation Corrent answer: 2
The mechanism of injury in a fracture of the anteromedial facet of the coronoid is typically a varus and posteromedial rotation force on the forearm which is the opposite of a terrible triad injury. First, the lateral collateral ligament is injured and then the medial coronoid is compressed against and then under the medial trochlea.
OrthoCash 2020
1151) A 28-year-old woman with a history of systemic lupus erythematosus was involved in a motor vehicle crash. She sustained a closed left tibia fracture and underwent surgery. During surgery, the tourniquet was left inflated while the surgeon reamed the tibial canal to place the largest diameter nail that could be fit. At 6 weeks followup, there is evidence of massive bone necrosis. What event most likely led to the necrosis?
- History of steroid use
- History of systemic lupus erythematosus
- Over reaming of the tibial canal
- Reaming of the tibia with the tourniquet inflated
-
Reaming of the tibia with the knee in hyperflexion Corrent answer: 3
Karunaker and associates showed in a canine model that there is no significant difference in the heat generated during reaming with and without a tourniquet. The factor that made the most difference was related to the size of the reamer used compared with the diameter of the isthmus. Giannoudis and associates performed a prospective randomized trial on 34 patients that evaluated the same thing as the first study with the same methodology, and the conclusions were again the same. The factor that generated the most heat was using large reamers (11 mm to 12 mm) in a patient with a small isthmus (8 mm to 9 mm). Systemic lupus erythematosus, steroid use, and knee flexion during reaming have not been shown to be associated with diaphyseal necrosis after reamed tibial nailing.
OrthoCash 2020
1152) Figure 91 is the radiograph of a 20-year-old man who kicked a door while intoxicated. At the emergency department, his leg is placed into a long-leg cast. After 2 hours, he reports increasing pain, numbness, and tingling in his toes. What is the most appropriate initial treatment?
1. Elevate leg on pillows
2. Administer IV morphine
3. Observation of the patient
4. Bivalve and spread the cast
5. Apply ice to the lower extremity Corrent answer: 4
The patient appears to have some indications of a compartment syndrome: increasing pain and signs of nerve compression. Tibia fractures also should heighten the suspicion for a compartment syndrome. Two basic mechanisms of compartment syndrome are that an increase in volume occurs in an enclosed space or there is a decrease in size of the space. In this situation, both are likely occurring; post-fracture swelling is occurring within a closed space and if a cast is in place that may constrict the space even more. One way to increase the available space for swelling would be to bivalve and spread the cast. If the extremity has been casted, then it is vitally important that the cast is bivalved and the surrounding soft dressings under the cast be removed so that all external compression of the compartment has been eliminated. In the face of compartment syndrome, elevation of the limb, masking the pain with morphine, application of ice, or observation alone are all inappropriate.
OrthoCash 2020
1153) Figure 92 is the radiograph of a 45-year-old man who was thrown from his horse and now reports groin pain. Which of the following is the most common long-term sequelae of this injury?
1. Gait abnormality
2. Sexual dysfunction
3. Chronic low back pain
4. Quadriceps weakness
5. Posttraumatic osteoarthritis
Corrent answer: 2
The radiograph reveals an anterior posterior compression injury to the pelvic ring which is commonly seen after horseback riding injuries. In a large series of patients with this type of injury, 18 of 20 patients had sexual dysfunction after sustaining this injury. Posttraumatic osteoarthritis of the sacroiliac joints may occur, but is less common in this type of injury. Chronic low back pain, gait abnormalities, and quadriceps weakness are not typically seen with this type of injury.
OrthoCash 2020
1154) A 23-year-old woman is involved in a motorcycle accident. She sustains bilateral femur fractures (Abbreviated Injury Score [AIS]=3), an intra-abdominal injury (AIS=3), facial fractures (AIS=2), and a pulmonary injury (AIS=2). What is her Injury Severity Score (ISS)?
1. 13
2. 18
3. 22
4. 27
5. 35
Corrent answer: 3
The ISS is calculated as the sum of the squares of three highest AIS scores from the six body regions, thus this patient's ISS score is 22. The ISS does correlate with mortality, but the ISS does not score multiple injuries to the same body region, hence the bilateral femur fractures score the same as a unilateral fracture. The New Injury Severity Score (NISS) was developed because of this shortcoming of the ISS. The ISS is used in studies to characterize patient injury severity, with a value of 18 or above indicating polytrauma in many studies.
OrthoCash 2020
1155) Figure 94 is the initial lateral radiograph of the foot of a 55-year-old woman who felt a pop in her left foot as she stepped off the curb. She subsequently had severe heel pain and could not bear weight. Examination in the emergency department revealed a bony
prominence over the posterior aspect of the heel with blanching of the surrounding skin. What is the most appropriate orthopaedic management?
1. Immediate cast immobilization with maximum plantar flexion
2. Immediate surgical treatment with percutaneous reduction and screw fixation
3. Immediate open reduction and internal fixation via an extensile lateral approach
4. Short leg splint, elevation, and delayed open reduction and internal fixation
5. Short leg splint, elevation, and conversion to cast immobilization when soft-tissue swelling has resolved
Corrent answer: 2
The patient has a calcaneal tuberosity fracture, similar to the tongue-type fracture except the fracture line exits posterior to the posterior facet. The Achilles tendon is attached to the displaced fragment and pulls the fragment proximally. These are relatively uncommon fractures, but have the same (or greater) potential as tongue-type fractures for soft-tissue compromise and necrosis. Immediate management with reduction and fixation is indicated to prevent heel ulceration and secondary complications such as deep infection. Fracture fixation generally does not require an extensile approach or plate fixation, and may benefit from decreasing the forces acting on the displaced fragment by supplemental gastrocnemius recession.
OrthoCash 2020
1156) A 24-year-old man is involved in a motor vehicle accident at 60 mph. He sustains multiple injuries including an intra-abdominal injury requiring a splenectomy and a closed right femoral shaft fracture.
Which variable will best indicate the patient's resuscitation status when deciding whether to proceed with definitive care of the fracture at the conclusion of the laparotomy?
- Heart rate
- Hematocrit
- Base deficit
- Urine output
-
Systolic blood pressure Corrent answer: 3
A metabolic parameter such as the base deficit or lactate level has been shown to better reflect the resuscitation status and survival after trauma.
Normalization of hemodynamic parameters does not accurately reflect the resuscitation status and a patient can be in compensated shock (occult tissue hypoperfusion) despite normalization of the heart rate and blood pressure. The use of temporizing measures with delayed definitive fracture treatment has been shown to decrease systemic complications in these patients with occult hypoperfusion.
OrthoCash 2020
1157) A 27-year-old woman who was an unrestrained driver in a head-on collision sustained the following injuries: bilateral supracondylar femur fractures, a left talus fracture, multiple left metatarsal fractures, a right distal radius fracture, and a left open elbow fracture-dislocation. Which of the following serologic inflammatory markers drawn in this patient has been shown to be a reliable measure of systemic inflammatory response, correlating with injury severity and outcome?
- IL-6
- IL-8
- IL-10
- C-reactive protein
-
Tumor necrosis factor-alpha Corrent answer: 1
In response to trauma, the body demonstrates a systemic inflammatory response that varies in intensity according to the severity of the injuries sustained. Increased production of proinflammatory cytokines serves to activate the host immune system. The activation of systemic inflammatory response may lead to remote end organ damage with neutrophil demargination and disruption of the vascular endothelium. Disturbances in microcirculation exacerbate local tissue hypoxia, and parenchymal necrosis may ensue.
Furthermore, the systemic inflammatory response serves as the basis for the development of adult respiratory response distress syndrome (ARDS) and multiple organ failure following trauma. Several serologic inflammatory markers have been investigated for their potential usefulness in measuring and monitoring the inflammatory response to a major trauma. These markers include IL-1, IL-6, IL-8,-IL-10, and C-reactive protein and tumor necrosis factor-alpha. For many of these markers, serum concentration is noted to increase following severe trauma, but the extent and duration of elevation have been too variable to allow for clinical application. IL-6 has been shown to be a reliable measure of systemic inflammatory response, correlating with injury severity and outcome. It has been recommended that measurement of IL-6 concentration be traced to evaluate the severity of the inflammatory response. In this way, it may be possible to clarify the risks associated with secondary procedures such as fracture fixation and to determine when these procedures should be performed.
OrthoCash 2020
1158) Clinical staging of osteomyelitis using the Cierney-Mader classification system takes into account which of the following factors?
- Age and gender of patient
- Fracture type and type of bacteria
- Host status and extent of infected bone
- Immune status and chronicity of infection
-
Bacterial resistance and source of infection Corrent answer: 3
The Cierney-Mader classification system takes into account three types of patients with osteomyelitis: (A) healthy, (B) those with comorbidities, and (C) a host in whom treatment will lead to greater morbidity than the infection.
Furthermore, the disease is addressed based on its complexity: type I-medullary, type II-superficial, type III-localized, and type IV-diffuse.
OrthoCash 2020
1159) Figures 99a and 99b are the radiographs of a 76-year-old woman who sustained an injury to her dominant arm in a fall. Which of the following is the most common complication seen following treatment with a locked plate and screw construct?
1. Osteomyelitis
2. Osteonecrosis
3. Posttraumatic osteoarthritis
4. Deltoid heterotopic ossification
5. Screw penetration of the articular surface Corrent answer: 5
The most common complication reported following use of a locked plate construct for a displaced proximal humerus fracture is screw penetration of the
humeral head (16% to 30%). Heterotopic ossification can be seen following proximal humerus fracture and repair and is associated with a deltoid split approach. The rate of osteonecrosis following a valgus impacted three-part fracture is 5% to 10%. Posttraumatic osteoarthritis is not seen frequently following surgical repair of these fractures. Infection is uncommon after this surgery, and chronic osteomyelitis is rare.
OrthoCash 2020
1160) What role does quorum sensing play in the development of a bacterial biofilm?
- Activates genes that produce virulence factors
- Creates planktonic bacteria
- Facilitates bacterial adhesion to a substrate
-
Lowers antimicrobial resistance Corrent answer: 1
The development of a bacterial biofilm is a 2-stage process. The first step is the adhesion of individual bacteria to a substrate regulated by adhesions. After several bacteria have attached, quorum sensing (cell-to-cell communication) allows maturation of the biofilm and expression of genes that activate virulence factors. This can also increase the antibacterial resistance of the bacteria.
Planktonic bacteria are individual free-moving bacteria.
OrthoCash 2020
1161) Which of the following factors has been shown to increase mortality in poly-trauma patients with severe head injuries?
- Delayed fixation of fractures
- Decreased intracranial pressure
- Intra-abdominal injury
- Intra-operative hypotension
-
Decreased platelet count Corrent answer: 4
The factor most likely to adversely affect long term outcome in poly-trauma patients with severe brain injury is intraoperative hypotension.
Chesnut et al demonstrated that hypotension (SBP <90mmHg) was profoundly detrimental, occurring in 35% of these patients and associated with 150%
increase in mortality.
Pietropaoli et al reviewed 53 patients with severe head injuries and required early surgical intervention (surgery within 72 hours of injury). All patients were initially normotensive on arrival. There were 17 patients (32%) who developed intra-operative hypotension and 36 (68%) who remained normotensive throughout surgery. The mortality rate was 82% in the IH group and 25% in the normotensive group.
OrthoCash 2020
1162) A 70-year-old woman trips on the grass while playing golf and sustains a displaced comminuted femoral neck fracture. What is the optimal treatment for this patient?
- Open reduction internal fixation
- Bipolar hemiarthroplasty
- Total hip arthroplasty
- Unipolar hemiarthroplasty
-
Traction and non operative treatment Corrent answer: 3
The answer is total hip arthroplasty (#3).Both
Scientific References
-
suggest that elderly active individuals should be treated with a primary total hip after displaced femoral neck fractures.
Keating et al randomized 207 patients to be either treated with ORIF, bipolar hemiarthroplasty, or total hip arthroplasty. There was no mortality difference among the three groups, however the rate of secondary surgery was highest in the ORIF group (39% compared with 5% in the group treated with bipolar hemiarthroplasty and 9% in the group treated with total hip replacement).
Furthermore, the fixation group had the worst hip-rating-questionnaire and EuroQol scores at four and twelve months.
Tidermark et al in a randomized controlled trial, studied the difference between ORIF and total hip replacement in 102 patients. The total hip replacement group showed a lower overall complication rate (36% versus 4%) and higher hip function scores in regard to pain, movement and walking.
Illustration A shows the division of proximal femur fractures according to location.

OrthoCash 2020
## 1163) The flexor hallucis longus tendon is at greatest risk of injury with a lateral-to-medial drill or screw during fixation of what structure?
- 1. Lisfranc fracture-dislocation [View Source / PubMed]
- 2. Navicular body fracture [View Source / PubMed]
- 3. Intra-articular calcaneus fracture [View Source / PubMed]
- 4. Nutcracker cuboid fracture [View Source / PubMed]
- 5. Talar neck fracture Corrent answer: 3 A drill bit or screw that penetrates the subchondral area of the posterior facet of the calcaneus can lead to direct injury of the flexor hallucis longus as it runs just inferior to the sustentaculum tali on its way to its insertion on the first phalanx of the great toe. A medial calcaneal groove is seen where this structure runs from superior to inferior. Injury to the flexor hallucis longus tendon can be acute or attritional. Bajammal et al investigated intra-articular calcaneus fractures and reported that patients who were NOT receiving Workers' Compensation, were younger (less than twenty-nine years old), had a moderately lower Böhler angle (0 degrees to 14 degrees ), a comminuted fracture, a light workload, or an anatomic reduction or a step-off of < or =2 mm after surgical reduction (p = 0.04) scored significantly higher on the scoring scales after surgery compared with those who were treated nonoperatively. Illustration V demonstrates the relative position of the FHL to the posterior facet of the calcaneus. OrthoCash 2020 ## 1164) A 45-year-old male presents with the fracture seen in Figures A and B after a motor vehicle collision. After debridement and external fixation, he is taken to the operating room for definitive soft tissue flap coverage and intramedullary nailing. Administration of recombinant human Bone Morphogenetic Protein-2 (rhBMP-2) at the time of fracture fixation will lead to which of the following?   --- [View Source / PubMed]
- 1. Decreased need of subsequent bone grafting procedures [View Source / PubMed]
- 2. Shorter hospital stay [View Source / PubMed]
- 3. Increased blood loss [View Source / PubMed]
- 4. Decreased risk of angular deformity at final union [View Source / PubMed]
- 5. Increased risk of deep vein thrombosis Corrent answer: 1 Administration of rhBMP-2 at the time of definitive fixation has been shown to decrease the need for subsequent bone grafting procedures in Gustilo-Anderson type IIIA and IIIB open tibia fractures. Swiontkowski et al performed a subgroup analysis of two prospective randomized control studies regarding the use of rhBMP-2 in open tibia fractures. The authors found a significant risk reduction in the need for secondary procedures, including bone grafting, with the addition of rhBMP-2 for type IIIA and IIIB open tibia fractures. Govender et al performed a randomized prospective RCT of 450 patients with open tibia fractures allocated to tibia nailing or nailing with one of 2 different dosages of rhBMP-2. They found a 44% reduction in the need for secondary intervention as a result of delayed union, better wound healing, and decreased infection in the higher dose rhBMP-2 group compared to controls. Figure A demonstrates a severe soft tissue injury associated with an open tibia fracture. Figure B demonstrates a segmental tibial shaft fracture with an associated fibula fracture. OrthoCash 2020 ## 1165) A 55-year-old male sustained a Sanders IV intra-articular calcaneus fracture two years ago that was treated nonoperatively. He presents to your office with a mechanical block preventing his ankle from dorsiflexing to neutral, continued severe pain and a widened heel. Radiographs show significant loss of calcaneal height and an incongruous subtalar joint. What is the most appropriate surgical treatment at this time? [View Source / PubMed]
- 1. Arthroscopic debridement of the subtalar joint and subfibular recess with in situ subtalar joint arthrodesis [View Source / PubMed]
- 2. Distraction bone block subtalar arthrodesis [View Source / PubMed]
- 3. Tibiotalocalcaneal arthrodesis [View Source / PubMed]
- 4. Corrective intra-articular osteotomy of the calcaneus [View Source / PubMed]
- 5. Arthroscopic debridement of the subtalar joint and subfibular recess with lateral distraction opening wedge calcaneal osteotomy Corrent answer: 2 The complex pathology in this scenario includes: incongruous subtalar joint, loss of calcaneal body height, and likely decreased lateral talocalcaneal angle. Complications of this injury include pain, shoe wear difficulties, and foot deformity. Foot deformity (collapse of the talus into the posterior facet) can result in tibiotalar neck impingement. Carr et al described a subtalar fusion technique for late complications of calcaneus fractures that were treated conservatively. The subtalar fusion technique involves distraction of the subtalar joint, insertion of a bone block, and rigid screw fixation. The distraction allows correction of the talocalcaneal relationship and regains lost hindfoot height. (A subtalar fusion would address the pain issue but not the other factors). Chandler et al states that distraction arthrodesis should be considered only if findings of anterior ankle impingement are present, as is true in this case. OrthoCash 2020 ## 1166) Postoperative varus alignment of a subtrochanteric femur fracture treated with an intramedullary nail has been shown to be related to which of the following factors? [View Source / PubMed]
- 1. Use of a piriformis entry nail through a greater trochanteric entry portal [View Source / PubMed]
- 2. Use of a greater trochanteric entry nail through a piriformis entry portal [View Source / PubMed]
- 3. Use of a lateral entry nail through a piriformis entry portal [View Source / PubMed]
- 4. Use of a femoral distractor device to obtain reduction [View Source / PubMed]
- 5. Use of a fracture table to obtain reduction Corrent answer: 1 Usage of a piriformis (straight) nail through a greater trochanteric entry portal will bring the fracture into varus, as the greater trochanteric entry site's axis is lateral to the femoral shaft, and advancement of the nail causes the two axes to become colinear, leading to varus. The referenced study by Ostrum notes that usage of a greater trochanteric starting point is safe in obese patients; he recommends usage of a larger incision and maximum leg adduction. The referenced study by Winquist et al is a classic review of femoral nailing, and emphasizes the importance of starting point selection and fracture reduction to maximize clinical outcomes (99.1% union rate in their series of 520 patients). OrthoCash 2020 ## 1167) Figure 21 is the radiograph of a 31-year-old man who had left shoulder pain after a fall during a snowboarding jump. Residual displacement of 5 mm after closed reduction is most likely to result in which of the following?  --- [View Source / PubMed]
- 1. Nonunion [View Source / PubMed]
- 2. Osteonecrosis [View Source / PubMed]
- 3. Altered rotator cuff mechanics [View Source / PubMed]
- 4. Normal shoulder function Corrent answer: 3 Humerus fractures account for 11% of all fractures among snowboarders and are the second-most-common upper-extremity fracture after radius fractures (48%). Surgical fixation is recommended for fractures with residual displacement greater than 5 mm, or 3 mm in active patients involved in frequent overhead activity. Malunion can result in a mechanical block to shoulder abduction or external rotation and altered rotator cuff mechanics, causing weakness. A rich arterial network provides a favorable healing environment for greater tuberosity fractures. Consequently, nonunion and osteonecrosis are uncommon. OrthoCash 2020 ## 1168) Residual end-organ hypoperfusion in a polytraumatized patient is shown by which of the following? [View Source / PubMed]
- 1. Urine output of 0.8 mL/kg/hr [View Source / PubMed]
- 2. SpO2 < 90% [View Source / PubMed]
- 3. Platelet count < 80 [View Source / PubMed]
- 4. Base excess of 3.0 mEq/L [View Source / PubMed]
- 5. Serum lactate of 4.5 mmol/L Corrent answer: 5 Traditional endpoints for shock, including BP, HR, and urine output are good endpoints for uncompensated shock, but most trauma patients are in a state of compensated shock, where these endpoints have normalized. There is evidence that continued inadequate tissue perfusion exists in these patients, causing anaerobic metabolism, development of tissue acidosis and oxygen debt. New endpoints for adequate resuscitation include serum lactate (normal < 2 mmol/L), base deficit (normal -2 to +2, i.e., a base deficit of GREATER THAN 2 or a base excess of LESS THAN -2 is indicative of end-organ hypoperfusion), and gastric mucosal pH (normal is 7.30 - 7.35). Lactate is produced by breakdown of pyruvate by cells in the absence of O2. Normalization of lactate within 24 hours has been shown to be a good prognostic indicator in the trauma patient. Base deficit is a global marker of tissue hypoperfusion. The referenced article by Roberts et al is an excellent review of damage control orthopedics and the basic science behind this concept. The referenced article by Porter et al is a review of the available measurable end points in looking for appropriate resuscitation. OrthoCash 2020 ## 1169) A 24-year-old male sustains the isolated, closed injury seen in Figure A as the result of a fall. What surgical treatment is recommended for this fracture?  --- [View Source / PubMed]
- 1. Intramedullary nailing [View Source / PubMed]
- 2. Tension band with intramedullary screw [View Source / PubMed]
- 3. Triceps advancement [View Source / PubMed]
- 4. Plate and screw fixation [View Source / PubMed]
- 5. Total elbow arthroplasty Corrent answer: 4 The radiograph shows a comminuted olecranon fracture with extension distally past the coronoid. Plate fixation is recommended for olecranon fractures with significant comminution and those that extend distal to the midpoint of the trochlear notch, which is present in this instance. The referenced article is an excellent review of olecranon fracture treatment options, including nonoperative treatment, tension band wiring, dorsal plating, and excision with triceps advancement. OrthoCash 2020 ## 1170) Partial patellectomy is the recommended treatment for which of the following injuries? [View Source / PubMed]
- 1. Vertical patella fractures [View Source / PubMed]
- 2. Bipartite patella [View Source / PubMed]
- 3. Severely comminuted inferior pole fracture [View Source / PubMed]
- 4. Stellate patella fracture [View Source / PubMed]
- 5. Chronic quadriceps tendon rupture Corrent answer: 3 Partial patellectomy is a recommended treatment for a comminuted superior or inferior pole fracture measuring <50% of the patella's height that are not amenable to ORIF. Comminuted patellar fractures are challenging to manage. Older studies show that in severely comminuted fractures, partial patellectomy is the recommended treatment. Newer studies are showing improved outcomes with ORIF. Therefore, if possible, proceed with ORIF. Unfortunately, when the comminution is severe, ORIF is often not possible and partial patellectomy is required. The area can be excised and a technique of quadriceps tendon (superior pole) or patellar tendon (inferior pole) repair can then be undertaken. Saltzman et al. reported maintenance of range of motion and strength (85% of the contralateral) with partial patellectomy at an average of 8.4 years follow up. Marder et al. showed that change in patellofemoral forces is minimized by attaching the patellar tendon/quad tendon anteriorly on the remaining patella. Their study also showed that by resecting more of the inferior pole that contact stress increased as the size of the discarded portion of the patella increased. Matejcic et al report, in a retrospective study of 71 patients that either had basket plate osteosynthesis v. partial patellectomy, that osteosynthesis by basket plate provides better clinical results. They recommend this technique if possible. OrthoCash 2020 ## 1171) An 18-year-old football player is injured after making a tackle with his left shoulder. He has decreased sensation over the lateral aspect of the left shoulder and radial aspect of the forearm. Motor examination reveals weakness to shoulder abduction and external rotation as well as elbow flexion. He has decreased reflexes of the ## biceps tendon on the left side but full, nontender range of motion of the cervical spine. What anatomic site has been injured? [View Source / PubMed]
- 1. Fourth cervical nerve root [View Source / PubMed]
- 2. Upper trunk of the brachial plexus [View Source / PubMed]
- 3. Middle trunk of the brachial plexus [View Source / PubMed]
- 4. Lateral cord of the brachial plexus [View Source / PubMed]
- 5. Axillary nerve Corrent answer: 2 The athlete has symptoms referable to the axillary, musculocutaneous, and suprascapular nerves resulting from an injury to the upper trunk of the brachial plexus. This portion of the plexus is formed by contributions of the fourth through sixth cervical nerve roots. This area is often contused or stretched following a tackling maneuver that results in either depression of the shoulder from contact at Erb’s point or traction of the upper plexus from forced stretching of the neck to the contralateral side. OrthoCash 2020 ## 1172) In the treatment of intra-articular calcaneal fractures, surgical reduction and fixation has been shown to have improved outcomes over nonoperative treatment in all of the following patient groups EXCEPT: [View Source / PubMed]
- 1. Sedentary job [View Source / PubMed]
- 2. Sanders IIb fractures [View Source / PubMed]
- 3. Women [View Source / PubMed]
- 4. Younger age (<29 years old) [View Source / PubMed]
- 5. Previous calcaneus fracture Corrent answer: 5 The referenced study by Buckley et al is a prospective study of intra-articular calcaneus fractures at several trauma centers. They found that overall, the outcomes after nonoperative treatment were not different from those after operative treatment. However, when stratifying groups, women who were managed operatively scored significantly higher on the SF-36 than did women who were managed nonoperatively. Also, patients who were less than twenty-nine years old, had a Böhler angle of 0 degrees to 14 degrees, a comminuted fracture, or a light workload did better after surgery compared with those who were treated nonoperatively. OrthoCash 2020 ## 1173) An ankle fracture is illustrated in Figure A. What is the Lauge-Hansen classification of this fracture and most biomechanically optimal method of medial malleolus fixation?  --- [View Source / PubMed]
- 1. Supination-external rotation. Fixation with medial buttress plate. [View Source / PubMed]
- 2. Supination-adduction. Fixation with lag screws. [View Source / PubMed]
- 3. Supination-adduction. Fixation with medial buttress plate. [View Source / PubMed]
- 4. Pronation-adduction. Fixation with lag screws. [View Source / PubMed]
- 5. Pronation-adduction. Fixation with medial buttress plate. Corrent answer: 3 This is a supination-adduction type II ankle fracture. Fixation with medial buttress (antiglide) plate is ideal. Supination adduction fractures are classified as (I) distal fibular avulsion/talofibular sprain, or (II) with vertical medial malleolus fracture and impaction of anteromedial distal tibia. There is often an independent osteochondral fragment at the fracture entry site into the ankle joint or impaction of the medial aspect of the stable distal tibial articular surface (seen in Figure A). This must be addressed at the time of fixation. A medial buttress plate prevents shear translation of the medial malleolus and is recommended. Ricci et al. compared unicortical partially threaded (PT) lag screws and bicortical fully threaded (FT) lag screws and found that FT screws had 3x greater maximum torque to screw stripping compared with PT screws. More patients with PT screws had radiographic evidence of loosening, required reoperation for symptomatic hardware and had more nonunion. They recommended FT screws (lag by method) that engaged the distal lateral tibial cortex for medial malleolar fractures. Figure A shows an SA fracture with medial impaction and a large vertical shear medial malleolus fragment. Note the varus angulation at the ankle joint and medial translation of the talus. Illustration A shows postoperative fixation of the fracture seen in Figure A. Illustration B shows the mechanism for SA type fractures. Incorrect Answers Answers 1,2,4,5: This is a Lauge-Hansen SA-II fracture. There is no pronation-adduction type fracture pattern although there is a pronation-abduction pattern. A medial buttress plate and screws provides greater biomechanical stability compared with screws alone.   OrthoCash 2020 ## 1174) A 33-year-old male presents for initial evaluation of his left leg, which sustained a closed tibia fracture 24 weeks ago. Injury films are shown in Figure A, at which time he undergoes uncomplicated intramedullary nailing of the tibia. He has persistent pain with weightbearing. Updated radiographs show intact hardware, no malalignment, and no bony union. Inflammatory serologies are within laboratory reference ranges. His soft tissue envelope appears healthy and intact. ## Which of the following is likely to contribute to achieving osseous union?  --- [View Source / PubMed]
- 1. Removal of the nail and conversion to cast treatment [View Source / PubMed]
- 2. Exchange nailing with a solid nail of equal diameter and length [View Source / PubMed]
- 3. Osteotomy or partial ostectomy of the fibula [View Source / PubMed]
- 4. Addition of bone morphogenetic protein (BMP)-3 to the nonunion site [View Source / PubMed]
- 5. Induced membrane (Masquelet) technique Corrent answer: 3 This patient has a tibial non-union with an intact fibula. Fibular osteotomy or ostectomy can increase the amount of compression at the tibial non-union site that occurs with weight-bearing. If a healed or intact fibula is effectively longer than a fractured and/or non-uniting tibia then the fibula may prevent tibial healing. A fibular fracture associated with a tibia fracture usually heals within 6 weeks, and therefore is often healed by the time delayed union of the tibia is diagnosed. If compression across a tibia fracture is to occur with an intact fibula, some force must be used to deform the fibula before tibial compression can occur, unless the fibula has healed in a shortened position. Fibular osteotomy or ostectomy can address this length mis-match and help achieve union. Teitz et al. reviewed 550 patients with tibial fractures, 111 of which had intact fibulae treated with either a long cast, short cast, patellar tendon bearing cast or external fixation. There was a 26% non-union rate in adult (age >20) patients with tibial shaft fractures with intact fibulae. They also found that, biomechanically, tibiofibular length discrepancy caused altered strain patterns for tibia, fibula and ankle. They concluded that in older patients, the intact fibula results in greater incidence and severity of complications. DeLee et al. reviewed 67 patients with un-united tibia fractures at 20 weeks. 51 patients were treated with partial fibulectomy 20 to 24 weeks. The partial fibulectomy (2.5 cm of fibula) was performed remote from the tibial fracture and fibulectomy (rather than osteotomy) done to prevent fibular healing occurring before tibial union, and yet not to create gross instability. This resulted in union in 77% of cases. They concluded that early fibulectomy minimized morbidity and decreased the need for bone grafting, while leaving the tibial fracture site undisturbed, should future bone-grafting be necessary. Figure A shows an isolated tibial fracture with intact fibula. Illustration A shows examples of partial fibulectomy for treatment of tibial non-union after casting (a), nailing (b and c) and external fixator treatment (d). Incorrect answers: Answer 1. Cast application or further observation is unlikely to alter the outcome at this point. Answer 2. Solid nails have not been shown to affect healing rates. Answer 4. BMP-3 has no osteoinductive activity. Answer 5. There is not a large bone defect at the non-union site that would indicate the need for an induced membrane technique.   OrthoCash 2020 ## 1175) A 30-year-old female sustains the injury seen in Figures 1 and 2 while playing a recreational soccer game. Which maneuver has been shown to guide anatomic reduction of the syndesmosis to aid in fixation?   --- [View Source / PubMed]
- 1. Placing pointed reduction forceps on the midmedial tibia and fibular ridge at the level of the syndesmosis in the neutral anatomic axis [View Source / PubMed]
- 2. Placing pointed reduction forceps on the midmedial tibia and fibular ridge 2cm proximal to the level of the syndesmosis in the neutral anatomic axis [View Source / PubMed]
- 3. Placing a bump under the proximal tibia and rotating the foot internally [View Source / PubMed]
- 4. Plantarflexing the foot while placing 4.5mm screw across 4 cortices 2cm proximal to the syndesmosis [View Source / PubMed]
- 5. Dorsiflexing the foot while placing 4.5mm screw across 4 cortices 2cm proximal to the syndesmosis Corrent answer: 1 Figure A shows an ankle fracture dislocation with disruption of the syndesmosis. The most reliable method to reduce the syndesmosis of the choice available is for clamp application on the midmedial tibia and fibular ridge at the level of the syndesmosis. Malreduction of the syndesmosis ranges from 16% to 51% in various studies, correlating with inferior outcomes. Thus recognizing syndesmotic injuries either pre- or intra-operatively and treating these accordingly is crucial. Various methods and techniques for reduction and fixation have been described. Achieving appropriate fibular length and rotation as well as direct visualization of the syndesmotic reduction have been shown to give reliable results in the treatment of these injuries. Phisitkul et al studied 10 cadaveric ankles and evaluated the impact of forceps reduction at various orientations and at various levels of syndesmotic instability. They found the most reliable reduction was with forceps placed on the midmedial tibia and fibular ridge; the neutral anatomic axis. Placing the forceps obliquely from this axis resulted in translation either anteriorly or posteriorly. Gardner et al reviewed techniques for evaluating and reducing the syndesmosis. They note the unreliability of imaging to assess displacement or stability partly due to anatomic variability. The authors advocate open reduction of the syndesmosis as well as fixation of associated posterior malleolar fractures in order to appropriately reduce and stabilize the distal tibiofibular joint. Figures A and B show a left trimalleolar ankle fracture dislocation with obvious disruption of the syndesmosis. Illustration A shows the anatomic variability of the incisura, flat on the left, and cupped on the right Illustration B shows the intra-operative Cotton test demonstrating widening of the syndesmosis Illustration C shows the neutral anatomic axis of the syndesmosis Illustration D shows proper clamp placement on the midmedial tibia and fibular ridge at the level of the syndesmosis in the neutral anatomical axis Illustration E demonstrates the reduction method described with reduction of the syndesmosis seen on the right. Incorrect Answers: Answer 2 would not reduce the syndesmosis as the reducing force is too proximal Answer 3 would not reduce the syndesmosis as it does not compress the fibula Answer 4 plantarflexion will actually apply external rotation to the joint and may lead to malreduction Answer 5 dorsiflexion has not been shown to have an effect on the syndesmosis width during fixation      OrthoCash 2020 ## 1176) A 32-year-old female sustains the injury shown in Figures A and B after a wakeboarding accident. Which of the following is the most appropriate treatment method of her injury?   --- [View Source / PubMed]
- 1. Direct anterior total hip arthroplasty (THA) with ceramic-on-polyethylene bearing [View Source / PubMed]
- 2. Closed reduction and fixation with parallel cannulated screws [View Source / PubMed]
- 3. Closed reduction and fixation with parallel cannulated screws and Pauwel screw [View Source / PubMed]
- 4. Open reduction and internal fixation [View Source / PubMed]
- 5. Closed reduction and fixation with a cephalomedullary nail Corrent answer: 4 This young patient has a displaced transcervical femoral neck fracture (FNF). The recommended surgery is open reduction and fixation with a dynamic hip screw ± anti-rotation screw or cannulated screws. In young adults, the recommended treatment is to perform ORIF of the femoral neck fracture. The goals are to avoid osteonecrosis and nonunion. Arthroplasty is not ideal given the younger age and high functional levels. Anatomic reduction and stable fixation is essential for optimal outcomes. Other issues such as closed versus open reduction, capsulotomy and the time to surgery remain controversial. Callaghan et al. reviewed the treatment of displaced subcapital femoral neck fractures. They recommend urgent anatomic reduction and ORIF for the young patient. In the cognitively functioning elderly patient, they recommend THA. In the cognitively dysfunctional, they recommend bipolar hemiarthroplasty or THA with larger heads (32 mm or 36 mm) and/or constrained liners to minimized dislocation risk. Bhandari et al. performed a meta-analysis including 9 trials and 1162 patients comparing ORIF vs THA for FNF. The relative risk of revision surgery was less after THA than ORIF. There was an increase in early mortality after THA. Finally, they found that patients who had THA had increased risk of infection, dislocation, greater blood loss and operative times. Figures A and B show a displaced transcervical femoral neck fracture in a young patient. Illustration A shows the Pauwel classification. Incorrect Answers: Answer 1: Because of higher activity levels and functional demands, arthroplasty is less ideal. Because of increased activity, younger patients may also require multiple revisions in the course of their lifetime. Answers 2,3: In a young patient, displaced FNFs should be treated with ORIF (rather than closed reduction and fixation). A fixation construct comprising 3 parallel cannulated screws is an option. A 4th cannulated screw is sometimes added when there is posterior comminution. A dynamic hip screw (or an additional Pauwel screw) is an option for Pauwel 3 fracture configurations (vertical fracture line). Answer 5: A nail is not recommended for this fracture configuration.  OrthoCash 2020 ## 1177) A 32-year-old patient with a BMI of 40 kg/m2 undergoes surgical fixation of a pelvic ring injury as shown in Figure A. At his one-month follow-up, he complained of progressive right knee pain and buckling when walking. Examination reveals a limp and weakness to knee extension, whereas immediate postoperative neurological examination was normal. Which additional physical examination finding is likely to be present in his right lower extremity at this time?  --- [View Source / PubMed]
- 1. Diminished sensation in first web space [View Source / PubMed]
- 2. Diminished sensation in medial thigh and medial leg [View Source / PubMed]
- 3. Diminished sensation in lateral thigh [View Source / PubMed]
- 4. Diminished sensation in dorsum of foot [View Source / PubMed]
- 5. Diminished sensation in sole of foot Corrent answer: 2 This patient had right sacroiliac screw fixation and subcutaneous anterior pelvic fixation and has right femoral nerve palsy. This will lead to numbness in the medial thigh and leg. The subcutaneous anterior pelvic fixator is comprised of two pedicle screws (custom made 80-120mm) applied through small incisions at the AIIS and aimed toward the posterior pelvis, and a contoured connecting rod is tunnelled subcutaneously between the skin and the fascia covering the abdomen. The path is dictated by the crease forming the superior border of the “bikini area” (i.e., where the pannus folds over the underlying structures) to minimize discomfort. Excessively deep placement of the linkage between the pedicle screw and subcutaneous connecting bar compresses the underlying fascia and psoas muscle compartment giving rise to iatrogenic femoral nerve palsy. The femoral nerve gives sensation to anterior and medial thigh and the medial leg through the anterior femoral cutaneous, medial femoral cutaneous, and long saphenous nerves, respectively. Other known complications include LFCN palsy (relieved once INFIX is removed), heterotopic ossification and implant loosening. Hesse et al. describe eight patients with delayed femoral nerve palsies. Possible explanations include: (1) the psoas muscle might engorge with blood increasing local pressure on the nerve, (2) standing up may affect pressure on these structures or impair local blood flow (especially with pressure from an overlying pannus), (3) the femoral nerve is susceptible to ischemia because a “watershed area” exists between the poorly vascularized proximal segment (supplied by a branch of the iliolumbar artery) and the segment below the inguinal ligament (supplied by branches of the circumflex femoral arteries). They recommend the pedicle screws sit 15–50 mm superficial to the AIIS depending on the patient's body habitus. Figure A is an AP radiograph of right sacroiliac screw fixation and subcutaneous anterior pelvic fixation. Illustration A is a sawbone model demonstrating subcutaneous anterior pelvic fixation. Illustration B are axial CT images showing excessively close placement of connectors to the AIIS (14-16mm). Incorrect Answers: Answer 1: The first web is supplied by the deep peroneal nerve. This nerve is not affected. The right L5 root may innervate the dorsal first web and central toes and may have diminished sensation from injury by a right SI screw, but is unlikely to have delayed onset or knee extension weakness (L2,3,4). Answer 3: Lateral thigh numbness from the lateral femoral cutaneous nerve injury is a possibility. However there is no motor component to this nerve. Answer 4: Medial foot numbness (saphenous nerve) rather than dorsal foot numbness is expected. Answer 5: Plantar numbness is suggestive of S1 root dermatomal involvement.   OrthoCash 2020 ## 1178) One year after left intramedullary nailing, a patient undergoes physical examination of hip rotation in the supine position with the hip and knee flexed to 90°, using the tibia to indicate hip rotation (shown in Figure A). A CT scan of the femoral condyles and femoral necks of the left (injured) and right (uninjured) limbs is shown in Figure B. An attempt is made to reconcile physical examination findings with CT findings. Which of the following is correct?    [View Source / PubMed]
- 1. CT shows internal rotation malalignment of the left femur. Examination will reveal less internal than external rotation on the left side. [View Source / PubMed]
- 2. CT shows external rotation malalignment of the left femur. Examination will reveal less internal than external rotation on the left side. [View Source / PubMed]
- 3. CT shows internal rotation malalignment of the left femur. Examination will reveal less external than internal rotation on the left side. [View Source / PubMed]
- 4. CT shows external rotation malalignment of the left femur. Examination will reveal less external than internal rotation on the left side. [View Source / PubMed]
- 5. CT shows external rotation malalignment of the left femur. Examination will reveal symmetrical rotation between sides. Corrent answer: 2 This patient has external rotational malalignment on the left side. With external rotational malalignment, physical examination will reveal greater external than internal rotation (using the tibia as a gauge of rotation). Rotational malalignment is described using the distal fragment (with respect to the proximal fragment). If the distal fragment is fixed in external rotation, the tibia and patella will appear externally rotated at rest. On examination with the hip and knee flexed to 90°, the leg will appear to externally rotate more than the contralateral (unaffected) side, and internally rotate less than the contralateral side. With internal rotation malalignment, the leg will appear to internally rotate more than the contralateral side and externally rotate less than the contralateral side. Karaman et al. examined the effect of rotational malalignment on daily life. They found that 42% of patients had rotational malalignment of ≥ 10° on CT scan. Functional scores and stair climbing tolerance were significantly decreased compared to those without rotational malalignment. They concluded that femoral rotational malalignment ≥ 10° is symptomatic and one should be aware of rotational alignment during surgery. Dimitriou et al. used 3D CT to examine side-to-side rotational differences in normal femora (without fractures or fixation). They found significant side-to-side differences in femoral anteversion, horizontal offset, and femoral head center location. They concluded that relying on anatomic landmarks of the contralateral femur during hip arthroplasty may not necessarily result in restoration of native anatomy and leg-length. Figure A shows examination of hip rotation in the supine (or seated) position. Figure B is a composite axial CT cut of bilateral femoral necks and condyles in the supine position. Assuming the right side is normal, rotational malalignment is -19°-10° = -29° malrotation (negative implying external rotation malalignment). Illustration A is another example with the left (injured) side demonstrating 40-15 = 25° malrotation (positive implying internal rotation malalignment). Incorrect Answers: Answers 1,3,4,5: There is -19°-10° = -29° malrotation (external malrotation) on CT. Using the tibia as a gauge, during examination of hip rotation, the externally malrotated limb will have increased external rotation and diminished internal rotation.   OrthoCash 2020 ## 1179) A surgeon contemplates performing a hemiarthroplasty (HA) or total hip arthroplasty (THA) for an active, community ambulating 70-year-old female with a displaced femoral neck fracture. Which of the following is true for these options? [View Source / PubMed]
- 1. There is no significant difference in operative time when using cemented stems compared with uncemented stems [View Source / PubMed]
- 2. Comparing HA to THA, there is no difference in blood loss [View Source / PubMed]
- 3. Longer term outcomes are better with HA [View Source / PubMed]
- 4. Bipolar HA performed through a direct anterior or lateral approach leads to equivalent patient outcomes as THA [View Source / PubMed]
- 5. Perioperative complication rate is greater after THA than bipolar HA Corrent answer: 5 THA has a higher perioperative complication rate than HA. There are a few differences between THA and HA performed in the setting of displaced FNF. THA has a higher dislocation rate, greater blood loss, requires a larger exposure than HA, and the operation is longer. HA often requires reoperation because of progressive acetabular erosion. Patient outcomes and function are greater following THA than HA. Florschultz et al. reviewed current management of FNF. They concluded that CRIF / ORIF is indicated for displaced femoral neck fractures in younger individuals, select active elderly, and medically unfit patients. HA is indicated for lower demand ambulatory older patients. THA is indicated for the active elderly and those with preexisting acetabular disease. Avery et al. reviewed 7-10 year results of an RCT comparing THA with HA. More HA patients had died during follow-up. All surviving patients had polyethylene wear (THA) and acetabular erosion (HA). They concluded that there was lower mortality and a trend towards superior function in patients with a THA in the medium term. Hedbeck et al. performed a RCT comparing HA and THA. At 4 years, there was improved function and quality of life with THA. They recommend THA in elderly, lucid patients with a displaced FNF. Incorrect Answers: Answer 1: Surgery using cemented stems has longer operative time compared with uncemented stems. Answer 2: Blood loss is greater in THA compared with HA. Answer 3: Patient function and quality of life is greater after THA at all time points, and the difference is more significant at later time points. Answer 4: Patient outcomes are greater following THA (compared to HA) regardless of approach. OrthoCash 2020 ## 1180) A 45-year-old male with history of intravenous drug use and diabetes presents with left thumb pain and fever. A clinical image is demonstrated in figure A. Laboratory studies demonstrate a serum sodium of 130 mmol/L, and a CRP of >200 mg/L. Which lab value is most valuable for making a timely diagnosis, and what is the most appropriate next step in workup/treatment?  --- [View Source / PubMed]
- 1. White blood cell count >25 x 10^9/L; emergent surgical debridement including amputation if necessary [View Source / PubMed]
- 2. White blood cell count >25 x 10^9/L; MRI and empiric intravenous antibiotic [View Source / PubMed]
- 3. Erythrocyte sedimentation rate (ESR) 20 mm/hr; MRI and empiric intravenous antibiotic [View Source / PubMed]
- 4. Erythrocyte sedimentation rate (ESR) 20 mm/hr; echocardiogram to evaluate for septic emboli [View Source / PubMed]
- 5. Erythrocyte sedimentation rate (ESR) 20 mm/hr; emergent surgical debridement including amputation if necessary Corrent answer: 1 The patient presents with a forearm cellulitis and risk factors for necrotizing fascitis. A white blood cell (WBC) count >25 x 10^9/L is a predictor of necrotizing fascitis, and the most appropriate treatment is emergent surgical debridement. Necrotizing fascitis is an aggressive infection with rapid spread along fascial planes. Initial presentation may be consistent with cellulitis; however, rapid progression along fascial planes may result in skin necrosis, muscular invasion, and subsequent myonecrosis. Rapidity of diagnosis and emergent surgical debridement is essential. Risk factors including intravenous drug abuse, alcohol abuse, and diabetes should be assessed, and if necrotizing fascitis is on the differential, the LRINEC score may be employed for diagnosis in equivocal cases. Wong et. al. developed the Laboratory Risk Indicator for Necrotizing Fascitis (LRINEC) score to assist in early diagnosis of necrotizing soft tissue infections. The authors used logistic regression to identify significant predictors of necrotizing fascitis. The score utilizes total white cell count, hemoglobin, sodium, glucose, serum creatinine, and CRP. A LRINEC score of 6 points or higher has a positive predictive value of 92%, and below 6 points a negative predictive value of 96%. Importantly, ESR is not a component in the scoring system as it correlated poorly with risk. The patient presented already has two positive serum findings with a LRINEC score of 6. Gonzalez et. al. reviewed 12 cases of necrotizing fasciitis of the upper extremity. Ten of the twelve patients in this cohort commonly admitted to injection drug abuse, and two were diabetic. All cases began with a local abscess with erythema and swelling. The most commonly isolated organism was Streptococcal species. Figure A demonstrates a left thumb with cellulitis, abscess formation, and dorsal skin necrosis. Illustration A is a table from Wong's study that demonstrates the components, clinical values, and scoring system for the LRINEC score. Scores of 6 or greater are highly concerning. Illustration B is a suggested diagnostic workflow from Wong's study for incorporating the LRINEC score into clinical practice. Incorrect Answers: Answer 2: MRI and empiric intravenous antibiotic are inappropriate when necrotizing fascitis is a concern, as surgical debridement should be performed on an emergent basis Answers 3-5: The ESR is not a component of the LINREC score and was found not to be a strong predictor of necrotizing fasciitis. Echocardiograph is useful if there is concern for endocarditis and septic emboli causing digital ischemia.   OrthoCash 2020 ## 1181) A 65-year-old male presents to the emergency department after a fall and is diagnosed with the hip fracture seen in Figure A. Figure B is a fluoroscopic image following reduction and fixation with a cephalomedullary nail (CMN). For this type of fracture and when compared to a sliding hip screw, CMN has all of the following characteristics EXCEPT:   --- [View Source / PubMed]
- 1. Lower rate of revision surgery [View Source / PubMed]
- 2. Higher pain levels [View Source / PubMed]
- 3. Better postoperative mobility [View Source / PubMed]
- 4. Higher quality of life [View Source / PubMed]
- 5. Higher patient satisfaction scores Corrent answer: 2 Cephalomedullary nails (CMN) for subtrochanteric femur fractures are not associated with higher levels of pain when compared to sliding hip screws. Subtrochanteric fractures can be treated with CMN or a sliding hip screw (SHS) construct. Recent studies, however, have shown superior results with CMN to include lower rates of revision surgery, less pain, better mobility, higher quality of life, and higher patient satisfaction scores. Based on these reports, the use of CMN is recommended for subtrochanteric femur fractures such as the one seen in Figure A. Matre et al. reviewed patient outcomes following transverse/reverse oblique intertrochanteric and subtrochanteric femur fractures. At 12 months postoperatively, the CMN group had less revision surgeries. Small differences were noted (benefiting the CMN group) in pain, satisfaction, quality of life, and mobility scores. Miedel et al. compared CMN to SHS in the treatment of unstable intertrochanteric fractures, and subtrochanteric fractures. For subtrochanteric fractures the CMN group had less technical failures, less revision surgeries, and less over all complications. Their data did not show a statistically significant difference in outcomes for ADLs or hip function. Figure A is an AP radiograph of a left hip demonstrating a transverse subtrochanteric femur fracture. Figure B is a intra-operative radiograph of a transverse subtrochanteric femur fracture treated with a CMN. Incorrect answers: Answers 1, 3, 4, 5: Each of these are true regarding the use of CMN compared to SHS for treatment of transverse subtrochanteric femur fractures. OrthoCash 2020 ## 1182) A 54-year-old male was involved in a motor vehicle accident and sustained an injury to his ankle shown in Figure A. After treatment, which long-term complication is the patient most likely to experience?  --- [View Source / PubMed]
- 1. Osteonecrosis [View Source / PubMed]
- 2. Talonavicular arthritis [View Source / PubMed]
- 3. Varus malunion [View Source / PubMed]
- 4. Subtalar arthritis [View Source / PubMed]
- 5. Tibiotalar arthritis Corrent answer: 4 This patient has sustained a type II Hawkins fracture/dislocation of the talar neck. The most common complication is subtalar arthritis. Talar neck fractures are the most common fractures of the talus. They are high-energy injuries which consist of a forced dorsiflexion and axial load to the ankle. They are classified by the Hawkins classification which may be seen in Illustration A. Long-term complications of talar neck fractures are (in order of decreasing frequency), subtalar arthritis, tibiotalar arthritis, osteonecrosis, and varus malunion. Illustration B details the complication rates following talar neck fractures by Hawkins grade. Fortin et al. report that post-traumatic hindfoot arthrosis has been reported to occur in more than 90% of patients with displaced talar fractures. Salvage can be difficult in these situations and arthrodesis is usually necessary. They report that osteonecrosis is usually treated with arthrodesis. Varus malunion may be treated with talar neck osteotomy to restore medial neck length. Halvorson et al. performed a systematic review of talar neck fractures. They found that post-traumatic arthrosis was the most common complication of this injury. The subtalar joint was found to be the most commonly affected followed by the tibiotalar joint, and finally the talonavicular joint. Figure A demonstrates a Hawkins type II talar neck fracture/dislocation. Illustration A is a chart detailing the associated risks of avascular necrosis with the Hawkins classification. Illustration B lists the complications and their associated frequencies following talar neck fractures. Incorrect Answers: Answers 1, 2, 3, and 5 do not list the most common complication, which is subtalar arthritis.   OrthoCash 2020 ## 1183) A 36-year-old male present to the emergency room as a pedestrian struck. He is hemodynamically stable, but sustained a displaced, transverse fracture of the right acetabulum. He undergoes an uncomplicated open reduction and internal fixation, and anatomic reduction is achieved. Pre-operative imaging and surgical visualization demonstrated no significant damage to the articular surface of the femoral head. The expected survivorship of his native hip at 20 years is: 1\. 10-25% 2\. 25-40% 3\. 40-60% 4\. 60-75% 5\. >75% Corrent answer: 5 The expected 20-year survivorship of the native hip in all-comers with these fractures is approximately 80%. This patient has none of the known risk factors associated with poor survival, therefore the survivorship of his hip is expected to be >75%. Survival of the native hip following acetabular fracture is dependent upon a multitude of factors including patient age, fracture pattern, initial fracture displacement, quality of reduction, and injury to the femoral head. Liebergall et. al. evaluated the two-year outcomes for 53 patients with operatively fixed acetabular fractures. They found that 77.4% of these patients were treated successfully, as defined by a post-operative Harris Hip Score of >80 points. Statistical analysis found that positive predictors of successful outcomes included patient age < 40 years, simple fracture patterns (Judet and Letournel classification), and the presence of an undamaged femoral head. Damage to the femoral head seen on pre-operative imaging or during surgery was predictive of failure at the level of p<0.001. Tannest et. al. evaluated 810 patients who underwent ORIF of acetabular fractures with two-to-twenty-year follow up. Cumulative survivorship of the hip at 20 years after fracture fixation was 79%. Factors associate with failure were non-anatomic fracture reduction, age >40 years, an anterior hip dislocation, incongruence of the weight-bearing acetabular dome, involvement of the posterior wall, acetabular articular impaction, a femoral head cartilage lesion, initial displacement of the articular surface >20mm, and use of the extended iliofemoral surgical approach. Incorrect answers: Answers 1, 3-5 are not accurate expected survival rates in this patient who is younger than 40 years of age, had a simple fracture pattern, anatomic reduction, and no evidence of femoral head injury. OrthoCash 2020 ## 1184) A 30-year-old male sustains a Gustilo-Anderson grade I open trimalleolar ankle fracture following a low-speed motor vehicle accident. He receives timely and appropriate antibiotic and tetanus prophylaxis in the emergency department. He undergoes debridement and irrigation followed by open reduction and internal fixation of the right ankle 8 hours following his injury. His wound appears clean after debridement, and the decision is made to close the skin primarily. ## Which of the following is NOT true? [View Source / PubMed]
- 1. Wound vac application and delayed primary closure would reduce the risk of infection [View Source / PubMed]
- 2. Pulsed lavage increases the risk of wound necrosis postoperatively [View Source / PubMed]
- 3. Primary closure has a high probability of healing without complications [View Source / PubMed]
- 4. ASA class 2 is associated with an increased risk for infection [View Source / PubMed]
- 5. Gustilo-Anderson grade II open fractures can be safely treated with primary closure at the index procedure Corrent answer: 1 Delayed primary closure of low energy Gustilo-Anderson grade I open fractures without gross contamination is associated with a higher risk for postoperative infection. Open fractures are described based upon the Gustilo-Anderson classification system which is based on the severity of associated soft tissue injury. Grade I fractures are low energy, with wounds measuring < 1 cm. Grade II fractures involve moderate soft-tissue destruction with wounds measuring up to 10 cm. Grade III fractures involve high energy mechanisms with severe soft tissue injury and periosteal stripping and wounds > 10 cm. Appropriate and timely antibiotic and tetanus prophylaxis followed by operative debridement and stabilization are vital to successful outcomes. For severe injuries, multiple debridements, staged fixation, and delayed coverage may be necessary. However, low energy open injuries in healthy patients with minimal contamination and adequate debridement are amenable to definitive fixation and primary closure at the time of index procedure. Ovaska et al. retrospectively assessed factors predictive of postoperative wound necrosis after primary closure of open ankle fractures in a cohort of 137 patients. 110 patients underwent primary closure at the index procedure. They identified ASA class ≥2, Gustilo grade III open injury, and the use of pulsatile lavage at index surgery as independent risk factors for postoperative wound necrosis. Jenkinson et al. retrospectively assessed 349 Gustilo-Anderson grade I, II, and IIIA open fractures at a single institution. 87 injuries were treated with delayed closure versus 262 injuries treated with primary closure at the index procedure following debridement and stabilization. Using a propensity score-matching algorithm, comparison of 73 matched pairs (146 total) demonstrated a 4.1% infection rate after primary closure versus 17.8% infection rate following delayed closure. They concluded that immediate closure of appropriately-selected grade I, II, and IIIA open fractures decreased the risk for infection compared to delayed primary closure. Incorrect Answers: Answer 2: Pulsatile lavage does increase the risk of wound necrosis postoperatively and is therefore true. Answer 3: Primary closure does have a high probability of healing without complications in this healthy patient with a low-energy Gustilo-Anderson grade I open ankle fracture and is therefore true. Answer 4: ASA class 2 is associated with an increased risk for infection postoperatively and is therefore true. Answer 5: Gustilo-Anderson grade II open fractures are amenable to primary closure at the index procedure in appropriately selected cases and is therefore true. OrthoCash 2020 ## 1185) Figures A and B are pre-, intra-, and post-operative images of a 60-year-old women on bisphosphonate therapy for osteoporosis. In this patient, which of the following surgical steps may have helped to prevent this operative complication?   --- [View Source / PubMed]
- 1. Increasing the intramedullary nails diameter [View Source / PubMed]
- 2. Placing a posterior, distal femoral shaft blocking screw [View Source / PubMed]
- 3. Selecting a long intramedullary nail with a larger radius of curvature [View Source / PubMed]
- 4. Utilizing a retrograde nail in this patient [View Source / PubMed]
- 5. Utilizing more of an anterior starting point Corrent answer: 5 A more anterior starting point reduces the likelihood of causing distal femur anterior cortical perforation during antegrade intramedullary nailing for subtrochanteric fractures. Anterior cortical perforation can be a devastating complication during intramedullary nailing for subtrochanteric fractures. Patients at greatest risk include people of short stature, certain Asian populations, and elderly patients. Each group tends to demonstrate increased anterior femoral bowing. Surgical steps shown to help reduce the risk of this complication include an anterior starting point, nails with smaller radii of curvature, anteriorly based distal blocking screws, smaller diameter nails, and nails with a notched distal anterior surface. Roberts et al. discussed risk factors for anterior cortex perforation during intramedullary nailing. They found the greatest risk with the Asian population and people shorter than 160 cm. They showed that anterior femur cortical breeches were more common in patients with more posterior rather than anterior starting points. Ostrum et al. documented three cases of anterior distal femoral cortex penetration during intramedullary nailing for subtrochanteric fractures. They highlighted a wide variety of intramedullary nail radii of curvature with different implants, including Zimmer, the long Gamma, and the Synthes nail (257 cm, 300 cm, and 150 cm, respectively). The normal radius of curvature of the femoral diaphyseal canal is approximately 114 to 120 cm. They state that this mismatch may significantly contribute to anterior perforation. Figure A shows an atypical subtrochanteric femur fracture, likely related to bisphosphonate treatment. Figure B shows intraoperative and postoperative lateral radiographs and CT scan of anterior distal femoral cortex penetration after intramedullary nailing. Illustration A shows a lateral femur radiograph with a nail starting point more anterior. The red area represents the same nail curvature with a posterior starting point. Note the nail would perforate the anterior cortex. Incorrect Answers: Answer 1: Increasing the diameter of the nail makes for a tighter isthmic fit, which leaves less "wiggle room" for the nail. Conversely, a smaller diameter nail has more capacity to "float in the canal" and push posteriorly when it moves distally. Answer 2: A posterior, distal femoral shaft blocking screw would direct the nail further into the anterior cortex. Answer 3: A larger radius of curvature means the nail would be more straight. A straighter nail cannot accomodate anterior femoral bowing as well and therefore has a higher risk of anterior cortical perforation by accentuating the radius of curvature mismatch. Answer 4: A retrograde nail would not adequately stabilize this fracture.  OrthoCash 2020 ## 1186) During proximal exposure for plating of a radial shaft fracture through a classic volar Henry approach, the radial artery should be retracted and the supinator muscle should be retracted **with the forearm in .** [View Source / PubMed]
- 1. medially; laterally; pronation [View Source / PubMed]
- 2. laterally; medially; supination [View Source / PubMed]
- 3. laterally; laterally; supination [View Source / PubMed]
- 4. laterally ; medially; pronation [View Source / PubMed]
- 5. medially; laterally; supination Corrent answer: 5 To gain exposure to the proximal radius in a classic volar Henry approach, the radial artery is retracted medially and the supinator muscle should be elevated and retracted laterally with the forearm in supination. The radial artery runs with the superficial radial nerve deep to the brachioradialis in the proximal radius and is retracted medially in the classic volar Henry approach. Cauterization of branches to the brachioradialis is necessary for mobilization. The supinator muscle overlies the volar proximal radius and is retracted laterally along with the posterior interosseous nerve (PIN). To minimize the risk of neural injury, the forearm in supinated because this displaces the PIN dorsally and away from the plane of dissection. Failure to supinate the forearm and hasty dissection risks PIN injury. Catalano et al. reviewed surgical exposures of the radius and ulna. The authors discussed the volar and dorsal approaches to the proximal and distal radius as well as the radial shaft, and the approach to the ulnar shaft and distal ulna. They highlight relevant anatomy and potential dangers associated with each approach. The authors stress the importance of forearm supination when elevating the supinator in the proximal exposure of the radial shaft to avoid PIN injury. Illustrations: Illustration A demonstrates the exposure to the proximal radial shaft. The forearm is in supination. The supinator is elevated and retracted laterally. The radial artery is retracted medially. Illustration B demonstrates the relative position of the PIN with forearm pronation and supination. In pronation, the PIN is more volar and lies in line with the plane of dissection, while in supination, the PIN lies more dorsal and away from this plane. Incorrect Answers: Answer 1-4: The radial artery is retracted medially and the supinator muscle must be elevated and retracted laterally to gain exposure to the proximal radial shaft. Forearm supination is necessary to minimize the risk of injuring the PIN.   OrthoCash 2020 ## 1187) Targeted muscle reinnervation has demonstrated success in treatment of which of the following? [View Source / PubMed]
- 1. Traumatic brachial plexus neuropraxia [View Source / PubMed]
- 2. Post-amputation neuroma pain [View Source / PubMed]
- 3. Parsonage-Turner syndrome [View Source / PubMed]
- 4. Complete spinal cord injury [View Source / PubMed]
- 5. Carpal tunnel syndrome Corrent answer: 2 Targeted muscle reinnervation (TMR) has demonstrated efficacy in treatment of post-amputation neuroma pain and improvement in the use of myoelectric prosthetics. After traumatic amputation, the proximal ends of severed nerves may form painful neuromas which can interfere with consistent prosthetic wear. Surgical management of neuroma pain by resection has unpredictable success. Targeted muscle reinnervation is a way to guide axon formation in amputated nerves. By reconstituting peripheral nerve anatomy to new distal targets there may be a way to treat or prevent painful neuromas. Fitzgibbons et. al. review the outcomes of transhumeral amputation. These patients tend to have difficulty using prostheses and frequently have phantom limb pain. They describe targeted muscle reinnervation for transhumeral amputation as a new technique for providing improved control of upper extremity prostheses. Targeted muscle reinnervation involves nerve transfer of those nerves that have lost their distal connection with muscle; transfer is performed to redundant proximal muscles, which provides new inputs for myoelectric prosthetic control. Recent research has suggested it is a useful treatment for post-amputation neuroma pain. Souza et. al. evaluated TMR for treatment of post-amputation neuroma pain in 26 patients, 15 of whom had painful neuromas. Of those 15, 14 patients had complete resolution of pain. The remaining patients without pain, none developed future neuroma pain at final follow up (minimum 6 months). All 26 patients were fitted with a myoelectric prosthesis, and 23 were able to wear and operate it consistently. Gart et. al. present the surgical technique for TMR. The procedure is done under general anesthesia without long acting paralytics, as nerve stimulation is necessary. The amputated ends of the motor nerves are identified, mobilized, and implanted into new entry points. These new coaptations are secured with suture or fibrin glue. Incorrect answers: Answers 1, 3-5: TMR has not been studied for the treatment of these peripheral or central neuropathies. OrthoCash 2020 ## 1188) Which soft-tissue structure is most commonly injured in Schatzker 2 tibial plateau fractures? [View Source / PubMed]
- 1. Medial meniscus [View Source / PubMed]
- 2. Lateral meniscus [View Source / PubMed]
- 3. Medial collateral ligament [View Source / PubMed]
- 4. Lateral collateral ligament [View Source / PubMed]
- 5. Anterior cruciate ligament Corrent answer: 2 Lateral meniscal tears are most commonly associated with Schatzker II tibial plateau fractures (split/depressed). The majority of meniscal injuries that occur in the setting of tibial plateau fractures are meniscocapsular detachments. Lateral meniscal tears are most commonly associated with Schatzker II tibial plateau fractures. Literature suggests that lateral meniscal injuries are more prominent in fractures involving at least 6 mm of depression and 5 mm of widening, as shown in this radiograph. ACL injuries are more common in type V and VI fractures. It is generally agreed upon that meniscal tears should be repaired, if possible, at the time of internal fixation to decrease the likelihood of posttraumatic arthritis, whereas ACL injuries can be repaired acutely or in a delayed fashion. Gardner et al. reviewed 62 patients with Schatzker II tibial plateau fractures that happened to have an MRI preoperatively. After reviewing the scan, the most common associated injury with displaced fractures was lateral meniscal tears (83%). Other injuries included lateral collateral ligament tears and posterior cruciate ligament injuries (approx. 30%). Gardner et al. reviewed 103 patients with tibial plateau fractures. The overall incidence of injury to soft tissues was higher than previously reported. Only 1 patient (1%) in the series had complete absence of any soft tissue injury. Seventy-nine patients (77%) sustained a complete tear or avulsion of 1 or more cruciate or collateral ligaments. Ninety-four patients (91%) had evidence of lateral meniscus pathology. Illustrations A and B show 3D CT images of a Schatzker II tibial plateau fractures (split/depressed). Incorrect Answers: Answers 1, 3, 4, 5: While these soft tissue injuries may occur, lateral meniscal tears are more common for this particular fracture pattern.   OrthoCash 2020 ## 1189) Appropriate treatment of the bimalleolar ankle fracture shown in Figure A includes which of the following?  --- [View Source / PubMed]
- 1. Bridge plating of the fibula with oblique medial malleolar screws [View Source / PubMed]
- 2. Antiglide plating of the fibula with oblique medial malleolar screws [View Source / PubMed]
- 3. Intramedullary fibular screw with medial malleolar tension banding [View Source / PubMed]
- 4. Fibular plating with open correction of plafond impaction with medial malleolar antiglide plate [View Source / PubMed]
- 5. Fibular plating with open correction of syndesmosis and oblique medial malleolar screws Corrent answer: 4 A supination-adduction type injury consists of a vertical displaced medial malleolus fracture with marginal impaction of the tibial plafond and a low transverse fibula fracture. This type of injury is also associated with hyperdorsiflexion. The mechanism of a supination–adduction injury to the ankle results in a low transverse lateral malleolus avulsion and a vertical fracture of the medial malleolus secondary to inversion of the talus in the ankle mortise. The initial injury is a rupture of the lateral ankle ligaments or avulsion of the lateral malleolus. As the talus continues to invert, the medial malleolus is pushed to failure and fractures in a vertical fashion. The correct treatment for this type of injury is open reduction and internal fixation (ORIF) with correction of the impacted articular component. Screws alone or a tension band would not provide a vertically stable construct. In the referenced article by McConnell et al, 8 ankle fractures of this variety were all treated with open reduction and internal fixation, two with medial screws perpendicular to the fracture and the other 6 with medial screws and a one third tubular antiglide plate. 6 of the patients treated in the study had excellent results after 2.5 years of follow up, the other 2 had good results after 2.5 years. Example of a representative fixation construct of the injury is shown in Illustration A.  OrthoCash 2020 ## 1190) During open reduction internal fixation of an ankle fracture you obtain an intra-operative dorsiflexion-external rotation stress radiograph after fixation of the fibula. Based on the stress image seen in Figure A, what is the likely next best step in the procedure?  --- [View Source / PubMed]
- 1. Ankle arthrotomy to examine congruency of the tibial plafond [View Source / PubMed]
- 2. Open reduction and internal fixation of the syndesmosis [View Source / PubMed]
- 3. Wound irrigation and closure [View Source / PubMed]
- 4. Revision fixation of the fibular mal-reduction [View Source / PubMed]
- 5. Application of external fixator Corrent answer: 2 This image indicates disruption of the syndesmosis requiring open reduction and fixation. When performing operative fixation of an ankle fracture, one must consider the possibility of syndesmotic disruption and instability. This can be assessed intraoperatively by performing a stress test after completing fixation (several techniques for stress testing are described). If the syndesmosis is disrupted, the stress test will reveal widening of the syndesmotic space, or the medial clear space. When this occurs, open reduction and fixation of the syndesmosis (with trans-syndesmotic screws or suture button) is warranted. If no widening occurs, then no added fixation is needed. van den Bekerom reviews syndesmotic injuries and instability in the setting of ankle fractures. The article notes that the hook, or "cotton" test is the most reliable method of assessing syndesmotic instability. Figure A is a fluoroscopic image showing fibular fixation in place with widening of the medial clear space and syndesmotic space consistent with a positive stress test of the syndesmosis. Illustration A is a fluoroscopic radiograph of a similar ankle showing reduction and fixation of syndesmotic instability with trans-syndesmotic screws. Incorrect answers: Answer 1: Certain fracture patterns, such as Supination - Adduction, are known to create impaction of the tibial plafond and may require direct visualization to ensure congruent reduction. This is not the case for an isolated lateral maleolus fracture as seen in Figure A. Answer 3: The instability noted in Figure A requires reduction and fixation of the syndesmosis. Proceeding to wound closure would be incorrect. Answer 4: The fibula seen in Figure A is not mal-reduced and does not require revision. Answer 5: External fixation is often used in the setting of ankle fractures, but would not be appropriate in the scenario presented.  OrthoCash 2020 ## 1191) A 65-year-old, healthy, male presents to your clinic with right ankle pain. He has a history of a calcaneus fracture sustained 6 years ago that was treated nonoperatively. He has significant pain with ambulation and limited motion with ankle eversion and dorsiflexion. Radiographs are seen in Figures A and B. What is the most appropriate surgical treatment?   --- [View Source / PubMed]
- 1. Total contact casting [View Source / PubMed]
- 2. Lateral wall exostectomy [View Source / PubMed]
- 3. In situ subtalar fusion [View Source / PubMed]
- 4. Malunion takedown and ORIF calcaneus [View Source / PubMed]
- 5. Lateral wall exostectomy and subtalar bone block arthrodesis Corrent answer: 5 This patient has post-traumatic subtalar arthritis and a calcaneus malunion with a widened tuberosity leading to pain and restriction in motion with dorsiflexion and eversion. The most appropriate treatment is a subtalar bone block arthrodesis with lateral wall exostectomy to relieve his symptomatic arthritis and improve his motion. Displaced calcaneus fractures treated non-operatively can go on to heal in a malunited position with loss of height and tuberosity widening, which can lead to impingement with dorsiflexion and eversion. Furthermore, a large articular step-off can lead to progressive subtalar arthritis. Treatment initially involves conservative management but persistent impingement and progressive osteoarthritis will benefit from surgical treatment. Patients with isolated tuberosity widening without subtalar arthritis can benefit from lateral wall exostectomy whereas those with widening and subtalar arthritis benefit from subtalar arthrodesis and lateral wall exostectomy. In the event of decreased calcaneal height leading to dorsiflexion impingement, a bone block (placement of the bone graft in the subtalar joint to increase height) arthrodesis is recommended. Carr et al. discussed a new subtalar fusion technique for late complications of calcaneus fractures. They cited that the loss of calcaneal body height and decreased lateral talocalcaneal angle can result in tibiotalar neck impingement. They discussed the concept of distraction of the subtalar joint, insertion of a bone block, and rigid screw fixation which allows correction of the talocalcaneal relationship and regains lost hindfoot height. The authors concluded that this bone block arthrodesis leads to encouraging results for patients with calcaneal malunion with subtalar arthritis. Clare et al. reviewed the outcomes of a treatment protocol in 40 patients with calcaneus malunion with an average of 2 years followup. Type-I malunions underwent treatment with lateral wall exostectomy and peroneal tenolysis; type-II malunions received a lateral wall exostectomy, peroneal tenolysis, and subtalar bone-block arthrodesis; and type-III malunions received a lateral wall exostectomy, peroneal tenolysis, subtalar bone-block arthrodesis, and a calcaneal osteotomy. Of those patients that received an arthrodesis, 93% achieved union and all patients had a plantigrade foot. The authors concluded that this malunion treatment protocol proved to be effective in relieving pain, reestablishing a plantigrade foot, and improving patient function. Figure A is the harris view showing a large articular step-off at the subtalar joint with a widened lateral tuberosity. Figure B is the lateral foot radiograph that demonstrates decreased calcaneal height in the setting of severe subtalar arthritis. Illustration A and B are the post-operative lateral and harris heel radiographs of the patient after subtalar bone block arthrodesis. Incorrect Answers: Answer 1: Total contact casting would be the initial treatment of choice in a patient with Charcot arthropathy. Answer 2: Lateral wall exostectomy in itself, would be insufficient treatment for this patient given the degree of subtalar arthritis noted. Answer 3: Given the significant loss of calcaneal height and impingement noted in dorsiflexion and eversion, a bone block arthrodesis to increase calcaneal height and lateral wall exostectomy would be preferred to in situ subtalar arthrodesis. Answer 4: Malunion takedown and calcaneal ORIF would not be optimal treatment in a patient with significant subtalar arthritis.   OrthoCash 2020 ## 1192) A 23-year-old male presents to the emergency department following a fall from height with the fracture seen in Figure A. When counseling him on his treatment options you discuss both intramedullary nail (IMN) fixation and percutaneous plating. You note that when compared to IMN fixation the percutaneous plate typically has:  --- [View Source / PubMed]
- 1. Greater intra-operative radiation exposure [View Source / PubMed]
- 2. Higher postoperative pain scores [View Source / PubMed]
- 3. Shorter surgical duration [View Source / PubMed]
- 4. Decreased difficulty in hardware removal [View Source / PubMed]
- 5. Longer time to union Corrent answer: 1 Percutaneous plate fixation of distal third tibial shaft fractures, when compared to intramedullary nailing (IMN), has been shown to have greater amounts of intra-operative radiation exposure. Distal third tibial shaft fractures can be treated by either IMN or percutaneous plating techniques with good success. Comparing the two techniques has shown that IMN has higher post-operative pain scores, but has the benefits of shorter surgical duration, less intra-operative radiation, and decreased difficulty with removal of hardware. Plating is thought to allow more precise correction of alignment, but both techniques have been shown to have good outcomes without significant differences in union rates or function. Guo et al. reviewed 85 patients with distal third tibial fractures treated with either IMN or percutaneous plating. He found that the IMN group had less radiation and shorter duration of surgery. Both groups had well united fractures at one year without a difference in time to union. Im et al. compared groups of patients with distal third tibial shaft fractures treated with either IMN or open reduction internal fixation (ORIF). They found decreased surgical duration in the IMN group, and a higher wound complication rate in the ORIF group, but otherwise outcomes were not statistically different. They recommend IMN for fractures with associated soft tissue injury, but otherwise assert that either treatment modality is appropriate. Figure A is an AP radiograph showing a displaced distal third tibial shaft fracture. Incorrect answers: Answer 2-4: When compared to percutaneous plating of distal third tibial shaft fractures, IMN has been shown to have higher postoperative pain scores, shorter surgical duration, and decreased difficulty in removing hardware. Answer 5: Plating of a distal third tibial fracture has not been shown to have a longer time to fracture union than IMN. OrthoCash 2020 ## 1193) The best surgical approach to the fracture demonstrated in Figure A utilizes the interval demonstrated in which of the following figures?       --- [View Source / PubMed]
- 1. Figure B [View Source / PubMed]
- 2. Figure C [View Source / PubMed]
- 3. Figure D [View Source / PubMed]
- 4. Figure E [View Source / PubMed]
- 5. Figure F Corrent answer: 3 Figure A demonstrates a posterolateral-oblique posterior malleolus fracture (Haraguchi type 1). The best surgical approach to this fracture is the posterolateral approach to the ankle, which utilizes the interval between the flexor hallucis longus (FHL) and the peroneus longus (PL), and is demonstrated in Figure D. The posterolateral approach to the ankle provides exposure of the posterior malleolus, posterior ankle joint, lateral or posterior aspect of the fibula, and the peroneal tendons. It is a workhorse approach for both posterior malleolus and pilon fractures. Specifically, Haraguchi type 1 posterior malleolus fractures which are posterolateral in nature. The internervous plane is between the superficial peroneal nerve (PL) and the tibial nerve (FHL). Irwin et. al. reviewed the management of posterior malleolus fractures. These fractures are amenable to indirect reduction by ligamentotaxis through the PITFL after fibular reduction as well as direct reduction through an open approach. For direct visualization, the posterolateral approach is utilized through the FHL and peroneus longus muscles interval, typically with the patient in the prone position. Tornetta et al. submitted a controversial case report soliciting opinions regarding the best method of reduction and fixation of posterior malleolus fractures. One contributor argued that indirect reduction with anteriorly placed partially threaded cancellous screws provide inadequate fixation and compression of the posterior malleolus fragment. The authors preferred the direct posterolateral approach for reduction and fixation of these fractures. Incorrect Answers: Answer 1: Figure B demonstrates the interval between the flexor digitorum longus (left) and the soleus (right). Answer 2: Figure C demonstrates the interval between the peroneus tertius (left) and the extensor digitorum longus (right) Answer 4: Figure E demonstrates the interval between the FDL (left) and the FHL (right) Answer 5: Figure F demonstrates the interval between the PL (left) and the peroneus brevis (right) OrthoCash 2020 ## 1194) Radiographs of a 32-year-old male show a lateral malleolus fracture as well as a spur sign on the mortise view. Figure A is an axial CT scan of the plafond. What is the most appropriate treatment of this patient's fracture?  --- [View Source / PubMed]
- 1. ORIF fibula and anterior to posterior screw placement for posterior malleolus via lateral approach to fibula [View Source / PubMed]
- 2. ORIF fibula, stress ankle and syndesmotic fixation if widening via lateral approach to fibula [View Source / PubMed]
- 3. ORIF fibula with buttress plating of posterior malleolus via posterolateral approach [View Source / PubMed]
- 4. ORIF fibula with buttress plating of posterior malleolus via posteromedial approach [View Source / PubMed]
- 5. ORIF fibula, stress ankle and syndesmotic fixation if widening via posterolateral approach Corrent answer: 3 This patient has an ankle fracture with a large posterior malleolus fragment. A posterolateral approach should be utilized for concomitant fixation of the fibula and posterior malleolus. An ankle fracture with a "spur sign" demonstrated on the anteroposterior radiograph is characterized by double cortical density at the inferomedial tibial metaphysis and is pathognomonic for a hyperflexion ankle fracture variant. The identification of this sign should prompt the surgical team to obtain advanced imaging to properly plan osteosynthesis. The posterolateral approach to the ankle provides exposure of the posterior malleolus, posterior ankle joint, lateral or posterior aspect of the fibula, and the peroneal tendons. It is a workhorse approach for both posterior malleolus and pilon fractures. Hinds et al. reviewed 43 patients that were found to have a hyperplatarflexion ankle fracture variant. They demonstrated a "spur sign" on 34/43 patients. They recommend the acquisition of advanced imaging upon visualization of the spur sign to better define the variant fracture pattern as operative treatment may significantly differ from that employed in more commonly seen ankle fractures. Haraguchi et al. performed an analysis on posterior malleolus fractures to better characterize and classify them. A large fragment extending to the medial malleolus existed in almost 20% of the posterior malleolar fractures in the study, and some fragments involved almost the entire medial malleolus. Because of the great variation in fracture configurations, preoperative use of CT was recommended. See illustration C for the described classification. Switaj et al. reviewed 270 operatively treated ankle fractures, of which 50% has a posterior malleolus fracture and 20% had a "posterior pilon variant". Patients with these injuries were more likely to be older, female, and diabetic. These data represent the highest reported rate of posterior malleolar involvement in operatively treated ankle fractures and is the first to describe the percentage of the posterior pilon variant in such a large series. Figure A is an axial CT scan of an ankle demonstrating a large posterior malleolus fracture with extension into the incisura. Illustration A is a postoperative radiograph demonstrating the appropriate fixation strategy for this patient - fibular plating and posterior malleolus buttress plating. Illustration B is a radiograph demonstrating the "spur sign", which represents the posterior malleolus fracture. Illustration C in the Haraguchi posterior malleolus fracture classification where type: (1) the posterolateral-oblique type (thirty-eight fractures; 67%), (2) the medial-extension type (eleven fractures; 19%), and (3) the small-shell type (eight fractures; 14%). Incorrect Answers: Answer 1: Given the size of the posterior malleolus fracture this should be directly addressed and plated. Answer 2: Given the size of the posterior malleolus fracture this should be directly addressed and plated. Answer 4: A posteromedial approach would not allow you to access the fibula via a single incision. This approach can be considered for posterior malleolus fractures with a medial exit point, but it does require a separate fibular approach. Answer 5: Given the size of the posterior malleolus fracture this should be directly addressed and plated.    OrthoCash 2020 ## 1195) When comparing infrapatellar intramedullary nail versus plate fixation for the fracture demonstrated in Figure A, plate fixation provides decreased rates of which complication?  --- [View Source / PubMed]
- 1. Wound breakdown [View Source / PubMed]
- 2. Rates of painful or prominent hardware [View Source / PubMed]
- 3. Nonunion [View Source / PubMed]
- 4. Deep infection [View Source / PubMed]
- 5. Angular deformity Corrent answer: 5 Distal one-third tibial shaft fractures are prone to valgus deformity. Plate fixation has demonstrated an advantage in controlling angular deformity in the surgical treatment of tibial shaft fractures compared with infrapatellar intramedullary nailing (IMN). Surgical treatment of long bone fractures demands restoration of length, alignment, and rotation. In diaphyseal fractures of the tibia, IMN can control alignment due to the tight fit of the nail within the diaphysis allowing the reduction to be guided by the trajectory of the nail. In distal one-third fractures, the flare of the tibial metaphysis prevents this, and allows for the possibility of varus or valgus deformity (with valgus being most common). Vallier et. al. performed a randomized controlled trial comparing plate fixation with infrapatellar intramedullary nailing (IMN) of distal tibia shaft fractures. The authors randomized 104 patients to plate fixation or IMN and found that angular malalignment of the distal segment was present in 23% of all nails compared with 8.3% of all plates. Valgus was the most common deformity, ranging from 6-10 degrees of angulation. There was no difference in rates of infection or nonunion between the two methods. Kwok et. al. performed a systematic review and meta-analysis comparing plate versus infrapatellar IMN for treatment of distal tibial fractures. They included 8 studies in their analysis and identified no difference between treatment methods with respect to nonunion, superficial infection, and deep infection. Plate fixation significantly reduced the risk of angular deformity (odds ratio 0.33). Figure A demonstrates a distal 1/3 tibial shaft fracture with a high fibula fracture. Incorrect Answers: Answer 1: Wound breakdown may be a concern with plate fixation if the soft tissue envelope is unhealthy, however the referenced literature demonstrates no difference in wound complications between these treatment groups. Answers 2-4: The literature demonstrates no significant difference in infection (both superficial and deep), rates of prominent or painful hardware, and nonunion between treatment groups. OrthoCash 2020 ## 1196) A 21-year-old second-trimester pregnant female arrives in the trauma bay with a closed head injury as well as an open ankle injury. During evaluation, what positioning is recommended to limit positional hypotension? [View Source / PubMed]
- 1. Reverse Trendelenburg [View Source / PubMed]
- 2. Trendelenburg [View Source / PubMed]
- 3. Left lateral decubitus [View Source / PubMed]
- 4. Right lateral decubitus [View Source / PubMed]
- 5. Supine Corrent answer: 3 An important hemodynamic consideration in the pregnant trauma patient is the potential hypotensive effect of supine positioning. This effect, which is caused by aortocaval compression by the enlarged uterus, may decrease cardiac output by 25%. Use of a right hip wedge, manual displacement of the uterus, or lateral tilt positioning of the patient may help avoid this situation. Patient positioning must be determined with a focus on the well-being of the fetus. To avoid compression of the inferior vena cava in the patient who is in her second or third trimester, the left lateral decubitus position (left side down) should be used. The referenced review article by Flik et al reviews the appropriate physiological changes of pregnancy and covers the treatment of orthopedic trauma in the face of pregnancy. OrthoCash 2020 ## 1197) A 42-year-old man is seen in the emergency room after a fall from a ladder with a displaced tibial shaft fracture seen in Figures A and B. What is the appropriate starting point of an intramedullary nail when surgically treating this fracture?   --- [View Source / PubMed]
- 1. Centered between medial and lateral eminence [View Source / PubMed]
- 2. Medial border of the medial tibial eminence [View Source / PubMed]
- 3. Medial border of the lateral tibial eminence [View Source / PubMed]
- 4. Lateral border of the medial tibial eminence [View Source / PubMed]
- 5. Lateral border of the lateral tibial eminence Corrent answer: 3 The recommended starting point on the tibia for guide wire and intramedullary (IM) nail fixation is at the medial edge of the lateral tibial eminence. Tibial shaft fractures are commonly treated with IM nail fixation to allow relative stability and immediate weight bearing. Particularly for proximal third shaft fractures, deforming forces on the tibia often result in an apex anterior (procurvatum), valgus malalignment after rod placement. The deforming forces on the proximal segment are extensor mechanism extending the proximal fragment (causing apex anterior) and insertion at pes anserine medially (causing valgus). An appropriate starting point, use of temporary plating, a semi-extended knee position, and/or blocking screws placed posteriorly and laterally may all be used to prevent this deformity. McConnell et al. conducted an anatomic and radiographic cadaveric study on 20 knees to evaluate a "safe zone" for tibial nailing. They conclude that wire entry point at the medial aspect of the lateral tibial spine (on the anteroposterior view) and just at or anterior to the edge of the anterior articular surface (on the lateral view) is a safe site for nail entry minimizing risk of damage to intra-articular structures. Hak reviews proximal third tibial shaft fractures and multiple techniques to achieve adequate reduction. He describes Poller blocking screws (posterior and lateral placement), retropatellar approach in semi-extended position, and appropriate starting point, even suggesting a slightly more lateral position (directly on the lateral tibial eminence) can be helpful in proximal third fractures. Figures A and B show an AP and Lateral of a tibial shaft fracture in mild flexion and valgus deformity. Illustration A is from the Hak reference demonstrating starting point for tibial IM Nail on AP and Lateral views. Incorrect answers: Answer 1, 2, 4, 5 - The correct entry site for IM nailing of mid-shaft tibia fractures is at the MEDIAL edge of the LATERAL tibial eminence.  OrthoCash 2020 ## 1198) A 35-year-old female presents to the trauma bay following a motor vehicle collision. She is GCS 15, hemodynamically stable, and complaining of right hip pain. On examination her right lower extremity is flexed, abducted, and externally rotated. Any attempted passive range of motion of the right hip is painful. Figure A is an AP pelvis radiograph taken during initial evaluation. Her injury is classified as:  --- [View Source / PubMed]
- 1. Garden IV femoral neck fracture [View Source / PubMed]
- 2. Pipkin IV femoral head fracture [View Source / PubMed]
- 3. Posterior hip dislocation [View Source / PubMed]
- 4. Anterior pubic hip dislocation [View Source / PubMed]
- 5. Anterior obturator hip dislocation Corrent answer: 5 The clinical presentation and radiographic image are consistent with an anterior hip dislocation classified as an "obturator" or "inferior" dislocation. Hip dislocations occur following traumatic mechanisms. The position of the hip at the time of dislocation determines what direction it will dislocate. Flexed and adducted hips will typically dislocate posteriorly, and appear clinically shortened and internally rotated. Posterior dislocations are more common than anterior. Hips that are abducted and externally rotated will typically dislocate anteriorly into two possible positions. An anterior pubic (or "superior") dislocation is seen with femoral head superior on radiograph, and clinically with the hip in extension and external rotation. An anterior obturator (or "inferior") dislocation is seen with the femoral head inferior on radiograph and with the hip clinically in flexion, abduction, and external rotation. Understanding the position of the hip is crucial to perform the correct reduction maneuvers. Pfeifer et al. review imaging findings for anterior hip dislocations on plain radiography, CT, and MRI. They note that in an obturator dislocation the femoral head can often be palpated within the femoral triangle (inguinal ligament, adductor longus, sartorius). They also note that while an obturator dislocation can be accurately diagnosed on an AP radiograph (because the femoral head overlies the obturator foramen), a pubic dislocation can closely resemble a posterior dislocation and clinical exam or advanced imaging is needed to determine which it is. Figure A is an AP radiograph demonstrating a right hip dislocation. The hip appears abducted, externally rotated, and the femoral head is inferior to the acetabulum. This is consistent with an anterior obturator dislocation. Incorrect answers: Answer 1: A Garden IV femoral neck fracture is one with complete displacement. No femoral neck fracture is seen in Figure A. Answer 2: A Pipkin IV femoral head fracture is associated with an acetabular fracture, however, no femoral head or acetabular fracture is seen in Figure A. Answer 3: A posterior hip dislocation would appear shortened and internally rotated Answer 4: An anterior pubic dislocation would have the hip extended and externally rotated. OrthoCash 2020 ## 1199) A 54-year-old male falls from a ladder and sustains the fracture shown in Figure A. Which of the following factors has been associated with redisplacement of the fracture after closed manipulation?  --- [View Source / PubMed]
- 1. Triangular fibrocartilage complex tear [View Source / PubMed]
- 2. Open injury [View Source / PubMed]
- 3. Ipsilateral radial head fracture [View Source / PubMed]
- 4. Time to reduction [View Source / PubMed]
- 5. Severity of initial displacement Corrent answer: 5 Several factors have been associated with re-displacement following closed manipulation of a distal radius fracture: the initial displacement of the fracture (the greater the degree of displacement, particularly radial shortening), the age of the patient (older patients with osteopenic bones displace late), and the extent of metaphyseal comminution. Acceptable radiographic parameters for a healed radius in an active, healthy patient <65 years old include: radial length within 5mm of the contralateral wrist, dorsal tilt <10 degrees, intraarticular step-off of less than 2 mm, and less than 5 degree loss of radial inclination. Figure A shows a lateral view of a distal radius fracture. Ilyas and Jupiter review the classification, treatment, and operative indications for distal radius fractures in the referenced review article. OrthoCash 2020 ## 1200) A 40-year-old women sustains the injury shown in figures A and B as a result of a syncopal fall down three stairs. The injury undergoes a closed reduction and splinting and admission to medicine for workup. The splint is applied in the Cotton-Loder position. On rounds the following morning, which of the following symptoms at presentation would be an indication for urgent surgical intervention?   --- [View Source / PubMed]
- 1. Inability to actively extend the thumb distal phalanx following reduction [View Source / PubMed]
- 2. The high degree of initial displacement [View Source / PubMed]
- 3. Inability to actively oppose the thumb [View Source / PubMed]
- 4. The presence of an ipsilateral humeral shaft fracture [View Source / PubMed]
- 5. Dorsal comminution Corrent answer: 3 Acute carpal tunnel syndrome (CTS) may occur after distal radius fracture and is an indication for urgent surgical decompression of the median nerve. Among other symptoms, acute CTS can manifest with weakness on the opponens pollicis, which is responsible for thumb opposition. Acute CTS has been reported in 5.4%-8.6% of all distal radius fractures, and in some series is regarded as the most common complication following distal radius fractures. Acute CTS develops rapidly and is progressive in its nature, caused by increasing pressures within the carpal tunnel. The presenting symptoms include diminished sensation and paresthesias in the thumb, index, middle, and radial ring fingers, and weakness with thumb opposition. Immobilization in the Cotton-Loder position (excessive flexion and ulnar deviation) should be avoided. Niver et. al. reviewed CTS following distal radius fracture. They report the risk factors for acute CTS include ipsilateral upper extremity trauma, translation of the fracture fragments, and AO type C fracture patterns. Delayed treatment is to be avoided, as it may cause permanent median nerve deficits. Davis et. al. review soft tissue complications of distal radius fractures. They report that median nerve dysfunction can result from direct injury at the time of fracture or reduction, but more commonly is secondary to post-traumatic pressure increases within the carpal tunnel. The risk of this can be increased by the Cotton-Loder position, which increases the pressure in the carpal tunnel. Figures A and B are AP and Lateral radiographs of a distal radius fracture, AO type C, with 100% dorsal translation and substantial proximal displacement. Illustration A demonstrates the Cotton-Loder position with the wrist maximally flexed and ulnarly deviated. Incorrect Answers: Answer 1: Inability to actively extend the thumb distal phalanx suggests rupture of extensor pollicis longus. This is not an indication for urgent surgical intervention. Answer 2 and 4: High degree of initial displacement and ipsilateral upper extremity trauma are risk factors for acute CTS, but are not independently indications for urgent surgical intervention. Answer 5: Dorsal comminution is one of Lafontaine's criteria, but is not an indication for urgent surgery.  OrthoCash 2020 ## 1201) A 42-year-old female sustains a knee dislocation after being involved in a fall from a roof. She has palpable pulses and an ankle-brachial index of 0.92 but several attempts at closed reduction are unsuccessful. A clinical photo is shown in Figure A. Which of the following is the most appropriate next treatment option?  --- [View Source / PubMed]
- 1. Repeat attempt at closed reduction in the emergency room [View Source / PubMed]
- 2. Placement of a tibial traction pin [View Source / PubMed]
- 3. Open reduction with vascular repair or bypass [View Source / PubMed]
- 4. Reduction in the operating room [View Source / PubMed]
- 5. Open reduction and ligament reconstruction Corrent answer: 4 This patient has an irreducible knee dislocation with a pucker sign and should be taken to the operating room for reattempted closed reduction and possible open reduction. Evidence of skin puckering with unsuccessful attempts at closed reduction generally indicates that the femoral condyle is button-holed through the soft-tissue structures, leaving skin and subcutaneous tissues entrapped between the femoral condyle and the joint cavity. These injuries often require open reduction, but attempting closed reduction in the operating room is acceptable prior to proceeding with open reduction. An ankle-brachial index (ABI) of <0.9 is suggestive of a vascular injury. Rihn et al. provide a review of the acutely dislocated knee joint. They report that expeditious treatment is needed as knee dislocations are associated with vascular injuries. Wand describes the skin puckering sign that denotes the irreducibility of a knee dislocation. Wand reports that the puckering sign requires open reduction of the knee dislocation. Figure A shows evidence of a puckering sign of the distal thigh, indicating that this will likely not be able to be reduced in a closed fashion. Illustration A is an intra-operative photo demonstrating a knee dislocation with button-holing of the medial femoral condyle. Incorrect Answers: Answer 1: Repeat closed reduction in the ER is not indicated if unsuccessful the first time. Answer 2: Placement of a tibial traction pin is not appropriate as this would potentially complicate future surgical interventions and would not address the dislocation or the buttonholing of the femoral condyle. Answer 3: Vascular repair is not indicated with a normal ABI. Answer 5: Ligament reconstruction should not be performed acutely without knowledge of the injury pattern; reduction and imaging of the knee are indicated first.   OrthoCash 2020 ## 1202) A 65-year-old male falls from a standing height and sustains the injury seen in Figure A and undergoes the treatment seen in Figure B. Compared to a total hip arthroplasty, this treatment is associated with which of the following:   --- [View Source / PubMed]
- 1. Increased blood loss [View Source / PubMed]
- 2. Lower incidence of revision surgery [View Source / PubMed]
- 3. Increased risk of peri-prosthetic fracture [View Source / PubMed]
- 4. Lower dislocation risk [View Source / PubMed]
- 5. Increased risk deep venous thrombosis Corrent answer: 4 Figure B shows a bipolar hemiarthroplasty that was performed for a displaced femoral neck fracture. The advantages of hemiarthroplasty, compared with total hip arthroplasty, for the treatment of displaced femoral neck fractures include the more limited nature of the procedure (decreased blood loss and operative time) and the lower risk of instability. The disadvantages include the possible development of pain in the groin and acetabular erosion which increases the risk for revision surgery. Sim et al reviewed 126 consecutive hybrid total hip arthroplasties done for acute femoral neck fractures. Minimum follow up was 10.1 years. They noted a high dislocation rate (10%), yet overall good clinical outcome with 87/102 patients who were alive at latest follow up reporting either no or only minimal pain. OrthoCash 2020 ## 1203) Which of the following is the most significant risk factor for lateral meniscal tears associated with lateral tibial plateau fractures? [View Source / PubMed]
- 1. Age greater than 50 [View Source / PubMed]
- 2. Female sex [View Source / PubMed]
- 3. Ipsilateral calcaneus fracture [View Source / PubMed]
- 4. Greater than 10mm of articular depression [View Source / PubMed]
- 5. Schatzker I fracture pattern Corrent answer: 4 Significant depression of a lateral tibial plateau fracture has been shown to be associated with an increased risk of lateral meniscal tears. Concomitant meniscal injury and tibial plateau fractures are well-reported, with the incidence upon surgical evaluation noted to be approximately 30%. The incidence of lateral meniscal tears on MRI evaluation of tibial plateau injuries is notably higher, however, and has been reported as high as 91%. Of note, collateral or cruciate ligament rupture has also been reported with tibial plateau fractures, with the incidence greater than 75% on an MRI evaluation. Ringus et al. reviewed 85 patients with tibial plateau fractures and found that 32.9% of lateral plateau fractures had associated lateral meniscal tears. Depression >10mm led to an eight-fold risk increase, while patients under 48 years old had a four-fold risk increase. Stahl et al. reviewed 602 patients with a tibial plateau fracture and noted a 30% overall concomitant meniscal tear incidence. These tears occurred more frequently in young males (33%), with peripheral rim tears (83%) most commonly associated with split depression fractures (45%). Illustration A shows a radiograph and coronal CT cut of a depressed tibial plateau fracture with significant depression. Incorrect Answers: Answer 1: Patients less than 48 have an increased risk. Answer 2: Males have an increased risk. Answer 3: No published evidence links calcaneus fracture to meniscal tear. Answer 5: Split-depression (Schatzker II) has a greater incidence than type I injuries.  OrthoCash 2020 ## 1204) A patient with a mid-diaphyseal femoral fracture undergoes intramedullary nailing with a long nail and presents with distal anterior thigh pain that after thorough evaluation is presumed to be related to nail position. Figure A depicts possible starting points on the right femur. Which of the following scenarios is most likely?  --- [View Source / PubMed]
- 1. Starting point A was chosen. A piriformis fossa entry point nail was chosen. This patient is likely to be short. [View Source / PubMed]
- 2. Starting point A was chosen. A piriformis fossa entry point nail was chosen. This patient is likely to be tall. [View Source / PubMed]
- 3. Starting point B was chosen. A trochanteric entry point nail was chosen. This patient is likely to be of average height. [View Source / PubMed]
- 4. Starting point C was chosen. A piriformis fossa entry point nail was chosen. This patient is likely to be short. [View Source / PubMed]
- 5. Starting point C was chosen. A piriformis fossa entry point nail was chosen. This patient is likely to be tall. Corrent answer: 1 Distal anterior thigh pain arises from impingement of the distal tip of the implant against the anterior femoral cortex. This happens in long straight nails with a posterior starting point in short patients. Anterior knee pain arises from long, straight nails with a posterior starting point (more posterior than usual). It is worse with a mismatch in radius of curvature (radius of curvature of nail>>radius of curvature of femur), which arises in shorter patients with more bowed femurs. The correct starting point is B, which corresponds to the trochanteric fossa. Starting point C (too anterior) can lead to excessive hoop stresses in the proximal femur, leading to bursting/iatrogenic comminution. Kale et al. invited 100 orthopaedic surgeons to identify and label the entry points for femoral nailing. Only 4 managed to do so correctly. They hypothesized that this was because of incorrect illustration in publications or errors in terminology. Labronici et al. performed a survey of participants taking AO Trauma Brazil courses using Figures A and B. They found that only 4.5% correctly chose point 2 (the piriform fossa) in both images, while 75.4% of respondents chose point 4 (the trochanteric fossa). 4th year residents had a greater percentage of correct answers. They concluded that respondents were influenced by illustrations in text books or examples in scientific publications that indicate the site of the piriform fossa incorrectly. Figure A shows 3 possible entry points, with "A" corresponding to a too posterior start point, and "C" corresponding to a too anterior start point. Start point B is preferred. Illustration A shows the correct piriformis nail entry point. Illustration B demonstrates the variability in proximal femur anatomy. Illustration C is another diagram depicting the anatomical relationship at the proximal femur. The gluteus minimus is labeled "1". The piriformis is "2". The obturator externus is "3". The obturator internus is "4". The ramus profundus of the medial femoral circumflex artery is "5". It runs along the inferior border of the obturator externus muscle and crosses posterior to its tendon and anterior to the tendon of the obturator internus. Entry points C and D are at the trochanteric fossa. where obturator externus, obturator internus, inferior gemellus and superior gemellus attaches (from inferior to superior). Incorrect Answers: Answers 2: A tall patient is likely to have a less bowed/straighter femur, and better match with the radius of curvature of the nail. Answer 3: With a correct starting point ("B"), the risk of anterior knee pain from cortical impingement is lessened. Answers 4, 5: With an anterior starting point ("C"), the risk of anterior cortical impingement is minimal.    OrthoCash 2020 ## 1205) Figures A, B, and C are the initial radiographs of a 35-year-old male who sustained a rotational ankle injury. For the medial malleolus injury, which of the following techniques would create the most biomechanically stable construct?    --- [View Source / PubMed]
- 1. Lag by "design" using a fully-threaded bicortical 3.5mm cortical screw [View Source / PubMed]
- 2. Lag by "technique" using a fully-threaded bicortical 3.5mm cortical screw [View Source / PubMed]
- 3. Lag by "design" using a partially-threaded unicortical 4.0mm cancellous screw [View Source / PubMed]
- 4. Lag by "technique" using a partially-threaded unicortical 4.0mm cancellous screw [View Source / PubMed]
- 5. Lag screw fixation with added neutralization using a one-third tubular plate Corrent answer: 2 The patient presents with an SER-4 ankle fracture. In the treatment of transverse medial malleolus fractures, a lag by "technique" using fully-threaded 3.5mm cortical screws which achieve bicortical fixation has shown biomechanical superiority to lag by "design" using partially-threaded 4.0mm cancellous screws. Simple, peri-articular fractures benefit from compression to create absolute stability and a low-strain environment conducive to primary bone healing. For some simple medial malleolus fractures, compression can be obtained with lag screws directed perpendicular to the fracture site. Two lag screw methods are described. Lag by "technique" involves over-drilling the near cortex to the outer diameter of the screw to create a sliding hole, and drilling to the inner diameter of the screw in the far cortex to obtain bicortical fixation. Lag by "design" involves using a partially-threaded screw, typically cancellous in nature, which slides by the smooth shaft beneath the screw head. Both techniques achieve interfragmentary compression. Ricci et. al. compared the biomechanical stability of lag by "technique" and "design" for simple medial malleolus fractures using a cadaveric model. They found that lag by technique using fully threaded 3.5mm cortex screws and obtaining bicortical fixation yielded higher insertional torque in a cadaveric model, and in humans had a lower rate of radiographic screw loosening compared with lag by design using unicortical partially threaded 4.0mm cancellous screws. Figures A, B, and C are AP, Lateral, and Oblique radiographs which demonstrate a supination-external rotation type 4 ankle fracture. Illustration A demonstrates both lagging by technique and by design in an illustration of a tibial plateau. Screw #1 is a partially threaded cancellous screw used to lag by its design. Screw #2 is a fully threaded cortical screw, which is overdrilled at the near cortex to create a sliding hole in order to achieve compression and bicortical fixation. Incorrect Answers: Answer 1: Fully-threaded screws by definition cannot lag by design. This terminology is reserved for partially-threaded screws. Answer 3: Partially-threaded screw lag by design was demonstrated biomechanically inferior to lag by technique. Answer 4: Partially-threaded screws by definition do not lag by technique. Answer 5: Plate neutralization of lag screws can strengthen a construct agains shear and rotational forces, but using a 1/3 tubular plate for this low and transverse medial malleolus fracture is impractical given the size and location of the fragment  OrthoCash 2020 ## 1206) Intramedullary nailing of proximal tibial shaft fractures are technically demanding, and use of an extended medial parapatellar incision with a semiextended technique can prevent what common deformity at the fracture site? [View Source / PubMed]
- 1. Valgus [View Source / PubMed]
- 2. Varus [View Source / PubMed]
- 3. Recurvatum [View Source / PubMed]
- 4. Procurvatum [View Source / PubMed]
- 5. Rotational deformity Corrent answer: 4 Valgus and flexion is the most common deformity seen after intramedullary nailing of proximal tibia fractures. The semi-extended nailing position helps overcome the procurvatum or flexion deformity of the fracture. Lang et al. reported in their study of 32 proximal third tibia fractures that 56% of the fractures had 5 degrees or more valgus angulation and 28% had 10 degrees or more valgus angulation. Angulation in the AP plane ranged from 0 degrees to 20 degrees, all of which was apex anterior. Nineteen (59%) fractures demonstrated 5 degrees or more angulation, and 7 (22%) fractures demonstrated 10 degrees of more angulation. Tornetta advocates use of extended medial parapatellar incision with the leg in a semiextended position to allow for a more proximal and lateral starting point. This modified starting point forces the nail to overcome the tendency of the fracture to flex (apex anterior) and go into valgus. OrthoCash 2020 ## 1207) A 30-year-old female sustains a lateral malleolar ankle fracture while playing a recreational soccer game. After reducing the fibula with a plate and screw construct, the syndesmosis is tested under fluoroscopy, with the results seen in Figure A. What test is being performed and what is the best next step based on these results?  --- [View Source / PubMed]
- 1. External rotation stress test, syndesmotic screw placement at least 2cm proximal to the above joint [View Source / PubMed]
- 2. Cotton test, syndesmotic tightrope [View Source / PubMed]
- 3. Cotton test, syndesmotic screw placement at least 2cm proximal to the above joint [View Source / PubMed]
- 4. Cotton Test, no further fixation required [View Source / PubMed]
- 5. External rotation stress test, deltoid ligament reconstruction using allograft Corrent answer: 4 The figure is demonstrating the Cotton or Hook test. No widening of the syndesmosis is demonstrated thus no further fixation is required. The integrity of the syndesmosis is of utmost importance for achieving accurate anatomic reduction after an ankle fracture. Unsatisfactory results are highly correlated with a non- or mal-reduced syndesmosis. Several radiographic features and exam maneuvers have been described to assess the syndesmotic integrity both pre- and intra-operatively. The Cotton/hook test is a common maneuver where a bone hook is placed around the fibula and a distracting force is applied under fluoroscopy. If a loss of the tibia and fibula anatomic relationship is demonstrated, internal fixation of this joint must be performed. Pakarinen et al. examined supination-external rotation type ankle fractures intra-operatively and compared both the hook test and external rotation stress test. They found high inter-observer reliability and high specificity for both tests, however sensitivity was low for both. This highlights the need to perform both tests intra-operatively, while also considering comparison of the contralateral side in diagnosing these injuries Lafferty et al. reviewed the role of stress radiograps in assessing syndesmotic integrity with concomitant ankle fractures. Several radiographic measurements such as increased medial clear space and tibiofibular clear space, and decreased tibiofibular overlap during external rotation stress test may be used to diagnose syndesmotic disruption. However, tibiofibular clear space is least affected by orientation of the x-ray beam within 5 degrees of external rotation to 25 degrees of internal rotation, thus this is a more reliable indicator of injury. van den Bekerom reviewed intra-operative tests of syndemsotic integrity. He showed the Cotton test to be more reliable than intra-operative external rotation stress test in creating displacement. However, he recommended that the distracting force on the fibula be done in the sagittal plane with 100N and viewed on a lateral radiograph, rather than in the coronal plane on an AP mortise view, as there is greater displacement seen. Figure A shows the Cotton/hook test with a bone hook applying a distracting force to the fibula. No medial clear space widening is created. Illustration A depicts the Cotton/hook test. Illustration B depicts the external rotation stress test. Incorrect Answers: Answers 1 and 5- The external rotation stress test involves manual external rotation of the hindfoot Answers 2 and 3- Both of these fixation options are reasonable if the syndesmosis is disrupted, however it is intact in the Figure.   OrthoCash 2020 ## 1208) A 22-year-old elite hockey player sustained a low-velocity gunshot wound as shown in Figure A. On physical examination he has ## a dense radial nerve palsy, but no vascular injury. The orthopaedic trainee had booked him for closed reduction and intramedullary nail fixation. What would be the relative contraindication for this surgical technique?  --- [View Source / PubMed]
- 1. Age < 25 years [View Source / PubMed]
- 2. Gun shot injury [View Source / PubMed]
- 3. Elite athlete [View Source / PubMed]
- 4. Nerve injury [View Source / PubMed]
- 5. Comminuted fracture pattern Corrent answer: 4 A contraindication for closed reduction and intramedullary nail fixation of humerus fractures is radial nerve palsy. Low-velocity gunshot wounds are generally treated as closed fractures. Therefore, the most common practice with closed humeral shaft fractures with radial nerve palsy is to treat them expectantly, meaning exploration of the radial nerve is not indicated. If the surgeon desires open exploration, open reduction and plate fixation is the safest treatment approach. Treatment of these injuries with closed humeral nailing is contraindicated, especially if the status of the radial nerve cannot be determined preoperatively or the patient present with a dense palsy. However, if the surgeon desires INM fixation, the fracture will need to be opened and the radial nerve explored, so it can be protected during preparation and placement of the nail. Vaidya et al. reviewed 54 patients with a humerus shaft fractures from a low-velocity gunshots. 29 patients were treated nonoperatively, while 25 patients had operative treatment, including 14 undergoing plate fixation, 6 having application of an external fixator and 3 receiving an intramedullary nail fixation. Of the patients treated nonoperatively, the average deformity was 16.5°±7.4° in the coronal plane and 4.4°±4.0° in the sagittal plane. They concluded that most low-energy gunshot wounds can be treated nonoperatively with minimal local wound care. Illustration A shows a humerus fracture due to gunshot wound, stabilized with a humeral IMN fixation. Incorrect Answers: Answer 1: Skeletal immaturity is a contraindication for humeral IMN nail fixation. Age <25 is not a contraindication. Answer 2: Gunshot injury alone are not a contraindication for humeral IMN nail fixation. Answer 3: An elite athlete is not an absolute contraindication for humeral IMN nail fixation. Answer 5: Comminuted fracture patterns can be treated effectively with IMN fixation.  OrthoCash 2020 ## 1209) All of the following have been shown to negatively affect clinical outcomes in treating displaced acetabular fractures, EXCEPT: [View Source / PubMed]
- 1. Increased age [View Source / PubMed]
- 2. Intraoperative complications [View Source / PubMed]
- 3. Ipsilateral femoral head injury [View Source / PubMed]
- 4. Involvement of both columns [View Source / PubMed]
- 5. Non-anatomic fracture reduction Corrent answer: 4 Negative outcome factors have been shown to include: increasing patient age, time from injury to surgery (>3 weeks), intraoperative complications, femoral head bone or cartilage injury, and fracture reduction > 1-2mm from anatomic. Choice of surgical approach has not been shown to affect patient outcomes. The referenced study by Matta evaluated outcomes of displaced acetabular fractures. The overall clinical result was excellent for 104 hips (40 per cent), good for ninety-five (36 per cent), fair for twenty-one (8 per cent), and poor for forty-two (16 per cent). The clinical result was related closely to the radiographic result. These findings indicate that in many patients who have a complex acetabular fracture the hip joint can be preserved and post-traumatic osteoarthrosis can be avoided if an anatomical reduction is achieved. OrthoCash 2020 ## 1210) A 28-year-old male presents to the trauma bay as a pedestrian struck by a pickup truck. Paramedics applied a pelvic binder in the field. Upon arrival, his heart rate is 124 beats per minute and his blood pressure is 86/45 mmHg. He is rushed to the CT scan which demonstrates a left sided femoral shaft fracture on scanogram, evidence of retroperitoneal hematoma, and no evidence of pelvic ring injury. After initial resuscitation and stabilization, he is cleared for the OR. What is the next most appropriate step in management? [View Source / PubMed]
- 1. Remove the pelvic binder and obtain adjunctive pelvic plain radiographs [View Source / PubMed]
- 2. Maintain the pelvic binder in the trauma unit, perform fluoroscopic stress examination with the binder removed in the operating room [View Source / PubMed]
- 3. Remove the pelvic binder, perform pelvic stress examination in the trauma unit [View Source / PubMed]
- 4. Remove the pelvic binder because the CT is negative [View Source / PubMed]
- 5. Maintain the pelvic binder and obtain adjunctive pelvic plain radiographs Corrent answer: 2 The patient is a high-energy trauma patient with hemodynamic instability. Pelvic binders have demonstrated risk of masking pelvic ring injuries on computed tomography. The best and safest adjunctive evaluation is a fluoroscopic stress examination under anesthesia. The patient presents with hemodynamic instability suggestive of shock and an obvious femoral shaft fracture. While femoral shaft fractures can create substantial blood loss into the thigh, the degree of hypotension suggests additional blood losses elsewhere. The CT scan demonstrating retroperitoneal hematoma without pelvic ring injury should raise suspicion for an occult pelvic ring injury as the application of a pelvic binder or shock-sheeting can mask pelvic fractures. The emergency medicine literature suggests removal of the binder and subsequent radiography to assess for injury to the pelvic ring. This may be a risky proposition if the patient truly does have an unstable injury and bleeding. Alternatively, fluoroscopic stress examination under anesthesia may be a safer and reliable option. Swartz et. al. evaluated the sensitivity of CT for detecting pelvic ring injuries after the application of a pelvic binder. For patients with anteroposterior compression (APC) or vertical shear (VS) type fractures, CT was diagnostic for both anterior and posterior ring injuries in only 50% of cases. Lateral compression injuries were not statistically assessed in the study. The authors reported that fluoroscopic stress examination under anesthesia was an essential adjunct in evaluation of the pelvic ring when a patient presented to the hospital in a pelvic binder. Clements et. al. report two cases of polytrauma patients who presented with hemodynamic instability, and arrived in the emergency room with a pelvic binder in place. Both patients underwent CT in the pelvic binder, and pelvic ring injuries were missed in both cases due to reduction performed by the binder. The authors recommended binder removal with subsequent radiography to assess the pelvic ring. Illustrations A and B are taken directly from the Clements et al. study. Illustration A demonstrates two pelvic CT images from a polytrauma patient who presented to the trauma bay in a pelvic binder that was placed in the field. There is no evidence of pelvic ring injury. Illustration B is the pelvic radiograph obtained after removal of the binder and the resultant displacement of an unstable pelvic ring injury. Incorrect Answers: Answer 1: Removing the binder and obtaining adjunctive pelvic plain radiographs is an option, though in a hemodynamically unstable patient it may be unsafe to do so, and is therefore not the best option in this case. Answer 3: Pelvic stress examination should be performed under anesthesia and in the operating room where surgical intervention can be performed if necessary. Answer 4: As discussed, the CT may be a false negative in the setting of pelvic binder application. Answer 5: While adjunctive pelvic radiographs may be useful, they may still demonstrate false negative results.   OrthoCash 2020 ## 1211) Which of the following concerning meniscus tears in tibial plateau fractures is true? [View Source / PubMed]
- 1. Lateral meniscus tears are most common and occur with Schatzker II fractures. Open evaluation with division of the meniscotibial ligaments is recommended [View Source / PubMed]
- 2. Lateral meniscus tears are most common and occur with Schatzker III fractures. Open evaluation with division of the meniscofemoral ligaments is recommended [View Source / PubMed]
- 3. Lateral meniscus tears are most common and occur with Schatzker I fractures. Open evaluation with division of the meniscotibial ligaments is recommended [View Source / PubMed]
- 4. Medial meniscus tears are most common and occur with Schatzker II fractures. Open evaluation with division of the meniscotibial ligaments is recommended [View Source / PubMed]
- 5. Lateral meniscus tears are most common and occur with Schatzker II fractures. These do not require acute treatment. Corrent answer: 1 Lateral meniscal tears occur most commonly in young males with a lateral split-depression tibial plateau fracture. In these cases, a submeniscal arthrotomy with direct mensical evaluation should be performed to evaluate necessity for repair. These tears occur most frequently in young males, with peripheral rim tears most commonly associated with split depression fractures. Surgical treatment of the meniscal tear occurs after fracture is reduced and fixation complete with an anterolateral approach. The joint is then exposed and the meniscus evaluated.. For longitudinal tears meniscal repair should be performed. Radial tears can be partially resected, but in rare cases, these can be repaired as well. Stahl et al. reviewed the operative notes and radiographs of 602 adults to determine type of tibial plateau fracture, mechanism of injury, intraoperative detection of a lateral meniscal tear, and operative repair/partial resection of the meniscus itself. Lateral meniscal tears requiring operative repair were detected intraoperatively in 179 patients (30%). This could be broken down into 12% for pure lateral split fractures, 45% for split depression fractures (P < 0.001), 18% for pure depression fractures, 22% for bicondylar fractures, and 26% for intra-articular plus shaft fractures. Ruiz-Ilban et al. performed a study to determine the results of repair of meniscal tears found during arthroscopically assisted reduction and internal fixation (ARIF) of tibial plateau fractures. In a cohort of 51 tibial plateau fractures treated with ARIF, 15 associated meniscal tears (15 knees) in 14 patients were repaired. A second-look arthroscopy was performed in 13 knees a mean of 14.2 months after the initial surgery. All patients had good or excellent clinical results. Second-look arthroscopy confirmed complete healing in 92% of meniscal tears when performed. Illustration A shows an AP radiograph of a split-depression lateral tibial plateau fracture (Schatzker II). Illustration B shows and MRI image of a bicondylar tibial plateau fracture with incarcerated and torn lateral meniscus Incorrect Answers: Answer 2: Lateral meniscus tears are more common with Schatzker II fractures Answer 3: Lateral meniscus tears are more common with Schatzker II fractures Answer 4: Lateral meniscal tears are more common than medial with Schatzker II fractures Answer 5: Lateral meniscal tears may benefit from acute treatment at the time of fracture fixation.   OrthoCash 2020 ## 1212) A 67-year-old female falls and sustains the injuries shown in figures A and B. The decision is made to treat her with a trochanteric entry nail. Intraoperative fluoroscopy is seen in figure C. When attempting to remove the guide wire, there is a mechanical block, impeding its extraction. What should be performed next?    --- [View Source / PubMed]
- 1. Insert wire for lag screw [View Source / PubMed]
- 2. Remove the nail and re-ream canal [View Source / PubMed]
- 3. Remove the nail to re-assess fracture reduction [View Source / PubMed]
- 4. Remove the nail and guide wire [View Source / PubMed]
- 5. Remove the jig Corrent answer: 4 The patient has sustained an intertrochanteric femur fracture that was treated with an intramedullary nail. The nail has been inserted over a guidewire; if the wire cannot be extracted, the nail and the wire should be removed as the wire is likely bent, impeding its extraction. Prior to inserting the wire for the lag screw, the central guidewire must be removed from within the nail. If the central guidewire is bent, the entire nail along with the central guidewire must be removed and a new central guidewire must be used. Once the new guidewire is placed, the nail may be re-inserted. After the nail is re-inserted, the guidewire is removed and the wire for the lag screw may then be inserted. Horwitz et. al review nail length in treating intertrochanteric femur fractures. They report that the use of long nails is based on the higher risk of periprosthetic diaphyseal fractures associated with short nails. The three indications for long nails are a capacious proximal canal, in the revision of short nails, and pathologic fractures. The general trend is to use short nails as they avoid the freehand distal locking needed for long nails. They report that there is no high-quality literature on decision making with regards to short versus long nails. Though studies are underpowered, the reported periprosthetic fracture rates for short nails range from 0-3.3% and 0-1.5% for long nails. Riedel et al. analyzed intramedullary nail systems from multiple manufacturers to determine how much a ball-tip guidewire may be bent. They report that the bend angle tolerated by a reamer is 7 degrees compared to 15.5 degrees and 16 degrees for femoral and tibial nails, respectively. They conclude that the diameter of the cannula for reamers is smaller than their associated nail; therefore, if a reamer can pass over a bent guidewire then so will the nail. Figure A is an AP pelvis demonstrating an unstable right intertrochanteric fracture. Figure B is an AP of the hip demonstrating the same. Figure C demonstrates a cephalomedullary nail with a retained guidewire. Illustration A demonstrates a bent guidewire within an intramedullary nail. Incorrect Answers: Answer 1: Inserting the wire for the lag screw should be performed after the central guidewire is removed. Answer 2: Re-reaming the canal will not be effective in this case as the guidewire is bent and must be replaced. Answer 3: The fracture is adequately reduced in this case. Answer 5: For long nails, the jig may be removed once the proximal lag screw is placed. The distal lag screw is placed freehand under fluoroscopy. For short nails, the jig is removed after the distal locking screw is placed.  OrthoCash 2020 ## 1213) A 55-year-old woman presents for routine 4 month follow-up for a nondisplaced distal radius fracture. Her pain has completely resolved and she has excellent range of motion. However, over the past 2 ## weeks, she has noticed difficulty with certain thumb movements and inability to give a "thumbs up". The structure most likely disrupted in this patient is supplied by which nerve? [View Source / PubMed]
- 1. Anterior interosseus nerve [View Source / PubMed]
- 2. Posterior interosseus nerve [View Source / PubMed]
- 3. Recurrent motor branch of the median nerve [View Source / PubMed]
- 4. Superficial motor branch of the ulnar nerve [View Source / PubMed]
- 5. Deep motor branch of the ulnar nerve Corrent answer: 2 The patient is presenting with a delayed extensor pollicis longus (EPL) rupture after nondisplaced distal radius fracture. EPL is supplied by the posterior interosseus nerve (PIN). EPL rupture after nondisplaced distal radius fracture is thought to be secondary to long-term attrition due to healing fracture callus. Most commonly, callus formation during the healing process can lead to mechanical irritation of the EPL tendon. In very rare cases, during the acute traumatic event, typically a fall on outstretched hand, it is believed that pinching of the tendon between the distal radius and third metacarpal during hyperextension can lead to EPL disruption. Patients with EPL rupture typically present with painless loss of thumb extension. Roth et al. studied the incidence of EPL ruptures in nondisplaced and minimally displaced distal radius fractures. They found a 5% rate of EPL rupture, higher than previously reported in the literature, at an average of 6.6 weeks after injury. Kulshreshtha et al. examined 44 cadaver hands to determine the anatomical variation of the extensor pollicis brevis (EPB) tendon. They found that only 25% of tendons inserted onto the base of the proximal phalanx as traditionally described. Illustration A is a diagram that shows the potential mechanism of action for traumatic EPL injury during a fall on outstretched hand. This is a rare occurrence and attritional wear over time occurs much more commonly. Incorrect Answers: Answers 1, 3-5: these nerves do not innervate EPL.  OrthoCash 2020 ## 1214) A 20-year-old male was struck by a car and sustained an injury seen in Figure A. On physical examination, the patient was found to have a 3 cm wound on the anterolateral aspect of his thigh which can be seen in Figure B. He had an ABI of 0.6 and pulses were weakly palpable. A CT angiogram was obtained, seen in Figure C. He was given the appropriate antibiotics and subsequently taken to the operating room for I&D and definitive treatment which can be seen in Figure D. At the conclusion of the procedure, his wound was able to be closed primarily. This patient has a Gustilo and Anderson type:     --- [View Source / PubMed]
- 1. I Injury [View Source / PubMed]
- 2. II Injury [View Source / PubMed]
- 3. IIIA Injury [View Source / PubMed]
- 4. IIIB Injury [View Source / PubMed]
- 5. IIIC Injury Corrent answer: 3 This patient has an open distal third femur fracture. By definition, open femur fractures are at least a type III injury due to the soft tissue injury required to create an open fracture of the femur. Given the small size of the wound and the lack of needing a flap or vascular repair, this injury would be classified as a IIIA. Definitive grading of open fractures is determined in the operating room. Open fractures of the femur require significant energy and the infection risk may be significantly higher. Classification of open fractures may be seen in Illustration A. Antibiotic indication for type I and II fractures is a first generation cephalosporin. Antibiotic indication for a type III fracture is a first generation cephalosporin with the addition of an aminoglycoside. If there is a farm injury, penicillin is added. Gustilo and Anderson described their modification of open fracture classification for grade III injuries in 1984. Type III open fractures may be separated in order of worsening prognosis into 3 subtypes. Wound infection rates among the 3 subtypes were 4% for type IIIA, 52% for type IIIB, and 42% for type IIIC. Amputation rates for the 3 subtypes were 0%, 16%, and 42%. Figure A is a radiograph of a distal third femur fracture. Figure B is a photograph of an open wound over the anterolateral aspect of the thigh with exposed fat. Figure C is a radiograph of a retrograde intramedullary nail stabilizing a distal third femur fracture. Figure D is a normal CT angiogram of the right lower extremity. Illustration A demonstrates the Gustilo and Anderson open fracture classification. Incorrect Answers: Answer 1: Type I injuries are usually sustained by low energy mechanisms and have a wound that is less than 1 cm. Answer 2: Type II injuries are associated with wounds of 1-10 cm, however do not have associated soft tissue injuries or extensive periosteal stripping. Answer 4: Type IIIB injuries are sustained by high energy mechanisms and include segmental or highly comminuted fractures. They are associated with high grades of soft tissue injury and periosteal stripping. They require flap coverage. Answer 5: Type IIIC injuries are associated arterial injury, requiring vascular repair.   OrthoCash 2020 ## 1215) A 42-year-old male sustains the injury shown in Figure A. Iatrogenic shortening of the fibula during fixation would first result in which of the following?  --- [View Source / PubMed]
- 1. Need for open deltoid ligament repair [View Source / PubMed]
- 2. Syndesmotic malreduction [View Source / PubMed]
- 3. Fibular impingement [View Source / PubMed]
- 4. Peroneal tendon tear [View Source / PubMed]
- 5. Fibular nonunion Corrent answer: 2 Shortening of the fibula would lead to syndesmotic malreduction in this fracture pattern. To restore the syndesmotic relationship of the tibia and fibula, the fibula must be anatomically restored; this includes length, alignment, and rotation of the fibula. Successful reduction of the fibula fracture is generally done in an open manner, and open reduction of the syndesmosis is also helpful to achieve anatomic reduction. Percutaneous or open clamping of the syndesmosis can be harmful if the vector of the clamp is off-axis of the joint. Contralateral ankle radiographs are also a useful method to assess anatomic syndesmosis reduction. Gardner et al. (2015) report that accurate reduction and stable fixation of the syndesmosis is critical to maximize patient outcomes. They also state that multiple types of malreduction can occur, including translational, rotational, and overcompression. Gardner et al. (2006) reviewed patients undergoing ankle and syndesmotic fixation. They reported that 24% had evidence of radiographic postoperative diastasis while 52% had incongruity of the fibula within the incisura on CT scan. They concluded that many malreductions on CT scan went undetected by plain radiographs. Miller et al. performed a cadaveric study that assessed clamp and screw placement and the relationship of malreductions with clamping at different angles to the ankle. They reported that clamps placed at 15° and 30° significantly displaced the fibula in external rotation and caused significant overcompression of the syndesmosis. Thirty-degree lateral screws caused significant anteromedial displacement, external rotation, and overcompression of the syndesmosis. The 15° posterolateral screws also caused significant external rotation and overcompression of the syndesmosis. Figure A shows a bimalleolar ankle fracture with syndesmotic injury. Illustration A shows a shortened fibula with ankle joint incongruity. Incorrect Answers: Answer 1: Repair of the deltoid ligament will not correct fibular malreduction. Answer 3: Fibular impingement is seen with lengthening of the fibula. Answer 4: Peroneal tendon tears are not a direct result of fibular shortening; these can be seen with fibula fractures and are often detected later. Answer 5: Fibular nonunion is associated more with over-lengthening of a fibula if a gap is present. [View Source / PubMed]