Mastering Lower Limb Trauma: AP & Oblique X-ray Diagnosis

Key Takeaway
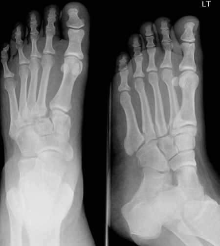
For anyone wondering about Mastering Lower Limb Trauma: AP & Oblique X-ray Diagnosis, AP and oblique radiographs are crucial for diagnosing Lisfranc tarsometatarsal fracture dislocation. They reveal diastasis (gap) between the first and second metatarsals, often alongside a 'fleck sign'—an avulsion fracture from the Lisfranc ligament insertion. These findings are highly suggestive of a Lisfranc injury. Further imaging like CT or MRI may confirm the diagnosis.
📖
Clinical Article
Lower limb Trauma Structured oral examination question 3
Minutes 1 and 2
EXAMINER : A 49-year-old lady fell on the stairs. Her foot is very painful, bruised, swollen and she can’t bear weight. The CT1 went to see her in A&E, but he is not sure what the problem is, what do you think? (Figure 8.3.) CANDIDATE : AP and oblique radiographs of left foot. There is diastasis of > 2 mm between the base of the first and second metatarsals, features suggestive of Lisfranc tarsometatarsal fracture dislocation. There is a small avulsed fragment of bone in that interval. This avulsion fracture could be from the insertion of the Lisfranc ligament into the base of the second metatarsal, called a ‘fleck sign’. [Always ask for the lateral radiograph.] EXAMINER : Okay, how will you manage this patient? CANDIDATE : I would start with assessing the patient as a whole, following ATLS protocol. I would take relevant history: mechanism of injury, patient’s general condition, past medical history, allergies, smoking as well as occupation and previous level of activity.
EXAMINATION OF THE INJURED FOOT:
● Soft tissue status, swelling, pain, tenderness and ecchymosis.
● Painful passive abduction/pronation.

Figure 8.3 Anteroposterior (AP) and oblique radiographs left foot.
● Neurovascular status, dorsalis pedis pulse.
● Compartment syndrome must be excluded.
Following assessment, my initial management includes analgesia, elevation and splinting using below-knee backslab. On admission to hospital I would arrange for regular clinical examinations and monitoring in order not to miss an early developing compartment syndrome. EXAMINER : What would you do if the radiographs were inconclusive in diagnosing this condition? CANDIDATE : I would consider further radiographic imaging, oblique and lateral view, stress views and a CT scan or may opt for an MRI scan.
Minute 3 EXAMINER : How do you treat Lisfranc tarsometatarsal fracture dislocation? CANDIDATE : This depends on severity of injury and degree of displacement of fracture. There is a role for non-operative management of an undisplaced stable injury or sprain which includes a non-weightbearing cast for 6 weeks and regular clinical and radiological review. However, in the presence of subluxation or dislocation, accurate reduction and stable
fixation is essential. In this case, I would consider open reduction and internal fixation with screws and possible plating, as required. With a severely comminuted fracture, primary arthrodesis of tarsometatarsal joints may be required.
Informed consent should be taken. The management options, postoperative rehabilitation, outcome and potential complications should be discussed in detail with the patient and documented in medical records.
Minute 4 EXAMINER : What prognosis will you give this patient? CANDIDATE : This is a serious injury with potentially a poor outcome. Post-traumatic osteoarthritis may occur in more than 50% of cases despite surgical intervention. Residual pain and stiff foot are not uncommon complications of this injury. What makes the outcome of a serious condition even worse is that up to 20% of tarsometatarsal joint complex injuries are missed on initial examination. Patients must be informed about the length of treatment, recovery period and future implications for work and lifestyle.
Minute 5 EXAMINER : If this patient developed compartment syndrome, then how would you manage it? CANDIDATE : Once compartment syndrome has been diagnosed clinically, emergency decompression is required. Theatre staff and anaesthetic on call team should be informed, informed consent must be obtained. I will take patient to theatre as soon as it is safe to do that. There is more than one technique described to decompress compartment syndrome of the foot, but I have been trained to decompress the nine compartments of the foot through three incisions, two dorsal over the second and third metatarsals and one on the medial side, just under the medial border of the first metatarsal. The patient will need to go back to theatre to have the wounds closed, once the soft tissue swelling has gone down.
Lower limb Trauma Structured oral examination question 3
Minutes 1 and 2 EXAMINER : A 49-year-old lady fell on the stairs. Her foot is very painful, bruised, swollen and she can’t bear weight. The CT1 went to see her in A&E, but he is not sure what the problem is, what do you think? (Figure 8.3.) CANDIDATE : AP and oblique radiographs of left foot. There is diastasis of > 2 mm between the base of the first and second metatarsals, features suggestive of Lisfranc tarsometatarsal fracture dislocation. There is a small avulsed fragment of bone in that interval. This avulsion fracture could be from the insertion of the Lisfranc ligament into the base of the second metatarsal, called a ‘fleck sign’. [Always ask for the lateral radiograph.] EXAMINER : Okay, how will you manage this patient? CANDIDATE : I would start with assessing the patient as a whole, following ATLS protocol. I would take relevant history: mechanism of injury, patient’s general condition, past medical history, allergies, smoking as well as occupation and previous level of activity.
EXAMINATION OF THE INJURED FOOT:
● Soft tissue status, swelling, pain, tenderness and ecchymosis.
● Painful passive abduction/pronation.

Figure 8.3 Anteroposterior (AP) and oblique radiographs left foot.
● Neurovascular status, dorsalis pedis pulse.
● Compartment syndrome must be excluded.
Following assessment, my initial management includes analgesia, elevation and splinting using below-knee backslab. On admission to hospital I would arrange for regular clinical examinations and monitoring in order not to miss an early developing compartment syndrome. EXAMINER : What would you do if the radiographs were inconclusive in diagnosing this condition? CANDIDATE : I would consider further radiographic imaging, oblique and lateral view, stress views and a CT scan or may opt for an MRI scan.
Minute 3 EXAMINER : How do you treat Lisfranc tarsometatarsal fracture dislocation? CANDIDATE : This depends on severity of injury and degree of displacement of fracture. There is a role for non-operative management of an undisplaced stable injury or sprain which includes a non-weightbearing cast for 6 weeks and regular clinical and radiological review. However, in the presence of subluxation or dislocation, accurate reduction and stable
fixation is essential. In this case, I would consider open reduction and internal fixation with screws and possible plating, as required. With a severely comminuted fracture, primary arthrodesis of tarsometatarsal joints may be required.
Informed consent should be taken. The management options, postoperative rehabilitation, outcome and potential complications should be discussed in detail with the patient and documented in medical records.
Minute 4 EXAMINER : What prognosis will you give this patient? CANDIDATE : This is a serious injury with potentially a poor outcome. Post-traumatic osteoarthritis may occur in more than 50% of cases despite surgical intervention. Residual pain and stiff foot are not uncommon complications of this injury. What makes the outcome of a serious condition even worse is that up to 20% of tarsometatarsal joint complex injuries are missed on initial examination. Patients must be informed about the length of treatment, recovery period and future implications for work and lifestyle.
Minute 5 EXAMINER : If this patient developed compartment syndrome, then how would you manage it? CANDIDATE : Once compartment syndrome has been diagnosed clinically, emergency decompression is required. Theatre staff and anaesthetic on call team should be informed, informed consent must be obtained. I will take patient to theatre as soon as it is safe to do that. There is more than one technique described to decompress compartment syndrome of the foot, but I have been trained to decompress the nine compartments of the foot through three incisions, two dorsal over the second and third metatarsals and one on the medial side, just under the medial border of the first metatarsal. The patient will need to go back to theatre to have the wounds closed, once the soft tissue swelling has gone down.