Anterior Glenohumeral Instability: A Masterclass in Bankart Repair and Inferior Capsular Shift

Key Takeaway
This masterclass provides an exhaustive, real-time guide to Bankart repair and inferior capsular shift for anterior glenohumeral instability. Fellows will learn intricate surgical anatomy, precise intraoperative techniques, and critical pearls to optimize outcomes. We cover patient positioning, detailed dissection, anchor placement, labral repair, capsular shift, and comprehensive postoperative management, preparing you for successful shoulder stabilization.
Definition
Glenohumeral instability is caused by a disruption of the normal stabilizing anatomic structures of the shoulder, leading to recurrent dislocation or subluxation of the glenohumeral joint.
Anatomy
Glenohumeral stability depends on the integrity of static and dynamic components.4
Dynamic stabilizers include the rotator cuff muscles, which provide a concavity compression effect, the scapular stabilizers, and the long head of the biceps tendon, which may contribute to anterior stability when the arm is in an abducted and externally rotated position (FIG 1A,B).
FIG 1 • Dynamic stabilizers of the glenohumeral joint include the rotator cuff muscles (supraspinatus, infraspinatus, teres minor, subscapularis; A,B). The static stabilizers of the glenohumeral joint include the glenohumeral ligaments of the capsule (C) and the glenoid labrum (D), which deepens the socket and serves as an attachment for the glenohumeral ligaments and biceps tendon.
Static stabilizers consist of the bony and articular anatomy of the glenoid and humeral head, the negative intra-articular pressure supplied by the intact glenohumeral capsule, and the capsule-labral complex, which includes the glenoid labrum and the superior, middle, and inferior glenohumeral ligaments (IGHLs) (FIG 1C).
The glenoid labrum plays an important role in deepening the glenoid socket and as an attachment site for the glenohumeral ligaments (FIG 1D*).
The superior glenohumeral ligament (SGHL) is located within the rotator interval and prevents inferior and posterior subluxation of the humeral head with the arm in an adducted and neutral or internally rotated position.
The middle glenohumeral ligament (MGHL) has a variable attachment site into the glenoid labrum, glenoid neck, and biceps tendon origin on the glenoid side. The MGHL is important in resisting anterior subluxation of the humeral head in the middle range of shoulder abduction (45 degrees).
The primary restraint to anterior inferior translation of the humeral head in 90 degrees of abduction and external rotation is the anterior band of the IGHL.
Pathogenesis
Glenohumeral instability (subluxation or dislocation) occurs when the static or dynamic stabilizers of the glenohumeral joint are disrupted.
Recurrent major trauma and/or repetitive microtrauma result in substantial deformation to the IGHL, producing subsequent episodes of symptomatic subluxation.
Biomechanical studies of this ligament have demonstrated that failure typically occurs at the glenoid insertion (40%), followed by the ligament substance (35%) and the humeral attachment (25%). Significant capsular stretching can occur (23% to 34%) before failure.
A wide range of capsulolabral pathology has been identified during arthroscopic examination after acute anterior dislocation, including anterior labral tears, superior labral tears, anterior capsule insufficiency, and
humeral avulsion of the glenohumeral ligaments (HAGL lesion).11
The “essential anatomic defect,” or Bankart lesion, first described by British pathologist A. Blundell Bankart in 1923, describes an avulsion of the anterior labrum and anterior band of the IGHL from the anteroinferior glenoid, typically as a result of a traumatic anterior shoulder dislocation (FIG 2A).
The Bankart lesion is present in up to 87% of shoulders undergoing arthroscopic examination after an acute anterior dislocation.15
FIG 2 • A. The Bankart lesion: tear of the anterior inferior glenoid labrum. B. Axial view MRI scan showing the ALPSA. C,D. CT scan with axial view and reconstruction image, respectively, showing a large anterior inferior glenoid bony Bankart fracture.
The “essential” nature of the Bankart lesion has been challenged because a simulated Bankart lesion without capsular stretching does not lead to significant increases in glenohumeral translation.
The operative procedure for repair of a Bankart lesion was first described in 1938.3,26
The labrum may also be avulsed from the glenoid rim as part of a sleeve of tissue that includes glenoid
periosteum (anterior labral periosteal sleeve avulsion [ALPSA]) (FIG 2B).23 In these cases, the tissue displaces medially and may heal to the medial glenoid neck, with subsequent instability if left uncorrected.
Osseous fracture of the anterior inferior glenoid rim (“bony
Bankart” lesion) or more subtle attritional changes or glenoid wear may contribute to instability as well (FIG 2C).
In one study, three-dimensional (3-D) computed tomography (CT) identified bony changes in 90% of patients with recurrent anterior instability.27,33
Anterior or inferior bone loss of greater than 25%, resulting in a glenoid with an “inverted pear” appearance is associated with significantly increased risk of instability, often requiring reconstitution of the bony arc via either
primary repair or bony augmentation27 (FIG 2D*).
Natural History
The incidence of glenohumeral instability has been estimated at 8.2 to 23.9 per 100,000 person-years.32 The incidence in at-risk populations is significantly (military population, 1.69 per 1000 person-years; NCAA athletes, 0.12 injuries/1000 athletic exposures).25
Overhead athletes are prone to atraumatic microtrauma, as their motion in the abducted, externally rotated position puts stress on the capsulolabral structures. Contact athletes
(football players and wrestlers) have the highest incidence of shoulder dislocations as compared to other sports.
The rate of redislocation following nonoperative treatment of a traumatic first-time dislocation depends on the patient's age, gender, and activity level but may be as high as 92% in the young, active male population.19,25,34 The rate decreases substantially with increasing age at the time of initial dislocation.16
Patient History and Physical Findings
Evaluation of the patient with suspected instability begins with a thorough history.
Arm dominance, nature of dislocation (direction, traumatic or atraumatic), and past history of injuries should be elicited.
Traumatic causes of instability should be determined as these are more likely to be associated with Bankart lesions. A history of atraumatic or voluntary dislocations should also be sought as this may be an indication of generalized ligamentous laxity or multidirectional instability.
The character of the problem should be elicited.
Does the patient complain of pain or instability? Does the shoulder subluxate or dislocate?
What arm positions reproduce symptoms?
Any prior treatments (physical therapy, training modifications, medication, and surgery) should be noted. Physical examination should include assessment of both shoulders.
Inspection should be performed to identify any skin incisions; evidence of wasting in the deltoid, rotator cuff, or periscapular musculature; and gross evidence of laxity, including sulcus signs or signs of generalized ligamentous laxity.
Palpation is performed to identify point tenderness: Anterior joint line tenderness may be present in acute anterior dislocations; subacromial tenderness may be present with impingement secondary to subtle instability.
Active and passive motion tests are an important part of the instability examination. Significant variations in motion are encountered in throwing athletes, with increased external rotation and decreased internal rotation common in the affected shoulder.
Provocative testing is perhaps the most important aspect in the clinical evaluation of shoulder instability.
Anterior translation and posterior translation are graded (Table 1) with the patient supine as well as with an anterior or posterior load and shift test, although this test is performed only in the anesthetized patient.
In the awake patient, signs of instability can be more subtle.
Glenohumeral translation with patient seated and arm at the side is assessed to determine underlying laxity in the affected shoulder and compared with the opposite side.
| Grade | Description |
|---|---|
| Grade 0 | Normal glenohumeral translation |
| Grade 1+ | Humeral head translation up to glenoid rim |
| Grade 2+ | Humeral head translation over glenoid rim with spontaneous reduction once force withdrawn |
| Grade 3+ | Humeral head translation over glenoid rim with locking |
th spontaneous reduction once force
withdrawn
Grade
3+
1. Humeral head translation over glenoid rim with locking
Grading of Inferior Translation or Sulcus Sign
Grade 1 • Acromiohumeral interval <1 cm Grade 2 • Acromiohumeral interval 1-2 cm Grade 3 • Acromiohumeral interval >2 cm Sulcus Test Grading Scheme The apprehension test is routinely performed on a supine patient with the arm abducted, extended, and externally rotated. A sensation of impending subluxation or dislocation in the patient is diagnostic of instability. Pain is less specific and may instead indicate internal impingement of the articular surface of the rotator cuff or functional impingement of the bursal side of the rotator cuff on a prominent coracoacromial ligament.
Relief of apprehension with application of a posteriorly directed force on the humeral head by the examiner (Jobe relocation test) suggests an unstable shoulder.
The sulcus sign, performed by applying inferior traction in a seated patient with the arm at the side, is often elicited in patients with inferior or multidirectional instability (Table 2).
Subscapularis integrity and strength should be evaluated in patients with glenohumeral instability, particularly in those who have had prior surgery for instability.
Inability to press the hand to the belly with the elbow positioned anterior to the body is a positive belly press test and indicates subscapularis muscle weakness or tear.
Inability to lift the hand from the back is a positive lift-off test and indicates subscapularis muscle weakness or tear.
Imaging and Other Diagnostic Studies
Radiographs include anteroposterior (AP), lateral, and axillary views (FIG 3A,B). The axillary view is particularly important for assessing anterior glenoid rim defects.
The Hill-Sachs lesion of the posterosuperior humeral head is best seen on the AP internal rotation or Stryker notch views.
CT scan is not necessary in all cases but may be helpful in identifying patients with bony defects. Sagittal cuts and 3-D reconstructions are useful for quantifying the extent of glenoid bone loss (see FIG 2C,D).
Magnetic resonance imaging (MRI) scan is not necessary in all cases but can be useful in identifying labral lesions as well as concomitant rotator cuff tears (FIG 3C) or nondisplaced tuberosity fractures, which are more commonly seen in dislocations in patients older than 50 years of age.
MRI arthrogram is more sensitive in identifying labral pathology and may be necessary when superior or posterior labral pathology is suspected.
Differential Diagnosis
External impingement, subacromial bursitis, rotator cuff tendinitis Internal impingement
SLAP (superior labral anterior to posterior tear) Voluntary instability
Collagen disorder (Ehlers-Danlos syndrome, Marfan syndrome) Subscapularis insufficiency or tear
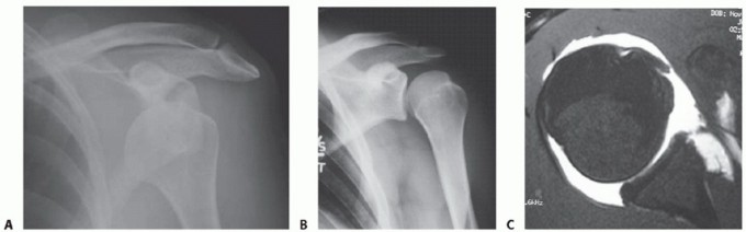
* FIG 3 • AP radiographs of the left shoulder showing a dislocated shoulder (A) and subsequent reduction
(B). There is a Hill-Sachs fracture of the posterolateral humeral head. C. Axial MRI scan in a patient with deficient glenoid labrum and subscapularis tendon tear.
Nonoperative Management
After reduction of an acute dislocation, a sling is used for immobilization. The duration of immobilization has been controversial, but 3 to 6 weeks is recommended.28
Some providers recommend immobilization in a position of external rotation to better reduce the labral lesion during healing. The reported results of this approach to management vary, and many patients will not tolerate this position; a position of adduction and internal rotation therefore is more commonly used.
For treatment of acute injuries, rotational and scapular strengthening exercises of the affected shoulder are started after the initial immobilization period. The program is progressed toward normalization of strength and motion through increased resistance training.
Return to sports is allowed when the patient has a full and pain-free range of motion, normal strength, and little or no apprehension.28
For chronic and recurrent instability, strengthening is focused on the rotator cuff and scapular stabilizers as well as core strengthening of the abdominal and trunk musculature. Resistive exercises of the rotator cuff are begun with the arm in neutral below 90 degrees and are progressed gradually. Strengthening of scapular stabilizers is particularly important.
The rate of redislocation after nonoperative treatment depends on the patient's age and activity level. In young patients participating in high-risk activities (eg, military cadets), the rate of redislocation may be as high as 92%.34
A systematic review of four studies comparing operative intervention to either rehabilitation or arthroscopic lavage without repair found that the risk of recurrent instability after repair was approximately one-fifth the risk
following the other forms of treatment.6 In a meta-analysis comparing operative to nonoperative treatment for first-time dislocators, 50% of the conservatively treated patients eventually opted for surgery.25

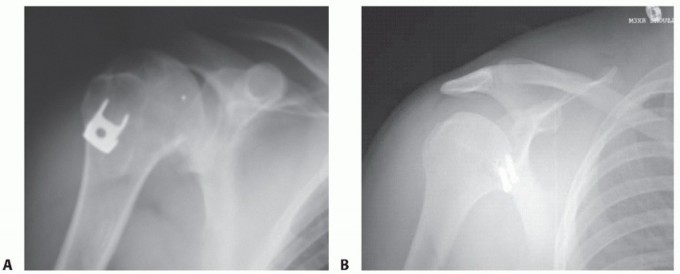
FIG 4 • A. AP radiograph of the right shoulder in a patient with previous Magnuson-Stack procedure (the subscapularis tendon has been stapled laterally to the bicipital groove). B. AP radiograph of the right shoulder in a patient with a Latarjet procedure. There are two screws securing the coracoid bone block to the glenoid.*
Surgical Management
Surgical treatment options are generally categorized into anatomic and nonanatomic procedures.
Nonanatomic procedures (Putti-Platt, Magnuson-Stack) are aimed at tightening the anterior structures and preventing at-risk arm positions (ie, abduction and external rotation). These procedures have largely been abandoned after it was discovered that overtightening the anterior structures could lead to posterior
subluxation and glenohumeral arthritis.14,24
The Putti-Platt procedure consists of a vertical incision through both the subscapularis tendon and capsule followed by repair of the lateral flap to the soft tissue at the glenoid rim.24
The Magnuson-Stack procedure is a transfer of the subscapularis tendon lateral to the bicipital groove (FIG 4A).
Coracoid transfer is another nonanatomic procedure aimed at restoring the glenoid articular arc via use of
the coracoid process, which is transferred to the anterior glenoid rim and secured with screws.1 The short head of the biceps and coracobrachialis tendons, which are left attached to the tip of the coracoid, form an anterior sling of soft tissue which contributes to stability as well.
The Bristow procedure secures the coracoid perpendicular to the glenoid face with use of one bicortical
cancellous screw, using the tip of the coracoid to augment the glenoid face.
The Latarjet procedure lays the coracoid on its side, parallel to the glenoid face, and is typically secured with two screws (FIG 4B).
Although several authors have achieved excellent success with these procedures, the concern for hardware migration and late resorption of the bone block have made these procedures less popular than the anatomic procedures. They are used mainly for revision procedures and in cases where there is deficient glenoid bone stock.
Anatomic reconstruction procedures have been aimed at reconstructing the anterior labrum using sutures, staples, or tacks.2,10,12,18,29 These anatomic procedures have had excellent success, with minimal (<5%) recurrence rates, and therefore are the open procedure of choice in the surgical treatment of glenohumeral
instability.
The Bankart repair and inferior capsular shift procedures are the most commonly used anatomic reconstruction procedures.
Although recurrence rates for arthroscopic Bankart repair and capsular shift were initially higher than open procedures, these rates have become comparable to open as the arthroscopic techniques have evolved.
Open treatment, however, is recommended over arthroscopic treatment in the following situations:
Significant bony Bankart lesions (over 30%)
Significant Hill-Sachs defects where the defect “engages” the glenoid rim with external rotation as visualized during diagnostic arthroscopy
Revision procedures
Some contact athletes (football) and extreme sports, where a slightly lower recurrence rate can be expected in comparison to the arthroscopic procedure
Preoperative Planning
A careful assessment of the patient's expectations of the surgery and postoperative care, including thorough discussions with the patient and family, are required as part of the preoperative plan.
Noncompliance with the postoperative restrictions will increase the risk of redislocation after surgical repair.
It is important to assess mental status and any secondary gain issues in patients with multidirectional instability. Patients with voluntary dislocations and malingering (Munchausen syndrome) patients have a high rate of failure and should be identified before surgery.
It is important to identify before surgery any glenoid bony deficiency that may require bony augmentation via
coracoid transfer or allograft reconstruction. Special equipment (allograft bone and instrumentation to perform open reduction internal fixation [ORIF]) may be required and should be arranged before surgery.
Positioning
Interscalene block anesthesia is preferred because of the excellent muscle relaxation and postoperative pain relief it offers. If an adequate block cannot be performed, however, general anesthesia can also be used.
The patient is positioned in the beach-chair position with the back elevated. The patient should be moved to the edge of the table or the shoulder cutout removed to allow access to the anterior and posterior shoulder as required.
FIG 5 • Hydraulic arm positioner (Spider, Tenet Medical Engineering, Calgary, Alberta, Canada) used to position the arm during surgery.
Use of an arm positioner device can obviate the need for an additional assistant to hold the arm (FIG 5*).
Approach
The bony landmarks of the shoulder are identified, including the acromion, clavicle, and coracoid process.
Approaches to the shoulder that may be used include the deltopectoral, the concealed axillary incision, and the miniincision approach. All of these are variations of the standard deltopectoral approach.
Standard deltopectoral approach
This is the utility approach to the shoulder.
A 7- to 15-cm incision is made lateral to the coracoid process beginning below the clavicle and extending toward the anterior humeral shaft at the deltoid insertion. Skin flaps are elevated and the deltopectoral interval is identified.
The remainder of this approach is described in detail in the following texts.
Concealed axillary incision
Whereas the traditional deltopectoral approach is about 15 cm in length, the concealed axillary incision begins 3 cm inferior to the coracoid and extends only 7 cm into the axillary crease (FIG 6A). Skin flaps are widely elevated and the deltopectoral interval is identified.
This incision is cosmetically appealing and is useful in patients where cosmesis is important.
Mini-incision approach
A 5-cm incision just lateral to the coracoid process can be used in shoulder stabilization procedures (FIG 6B). Wide subcutaneous flaps are created, and the deltopectoral interval is identified. The remainder of the exposure is similar to the standard deltopectoral approach.
Positioning this incision with one-third proximal to the coracoid and two-thirds distal allows access to the glenoid without the need for an extended incision.
FIG 6 • A. The concealed axillary incision is made from below the coracoid process toward the axillary fold. B. The mini incision is made in line with the deltopectoral interval and is centered one-third above and two-thirds below the coracoid process.*
Techniques
-
Open Bankart Procedure
The skin incision is based on surgeon preference as described earlier. The concealed axillary incision is the most commonly used.
Skin flaps are elevated, and the deltopectoral interval is identified (TECH FIG 1A).
The cephalic vein is taken laterally with the deltoid muscle, and the clavipectoral fascia overlying the subscapularis tendon and strap muscles is exposed.
When additional exposure is needed, it is helpful to incise and tag the upper third of the pectoralis major insertion into the humerus. Great care should be taken not to injure the biceps tendon, which lies just underneath the pectoralis major insertion.
The clavipectoral fascia is incised lateral to the strap muscles, and a retractor is placed beneath them to expose the subscapularis muscle and tendon.
A small wedge of the coracoacromial ligament can be removed to increase superior exposure (TECH FIG 1B).
The branches of the anterior circumflex humeral vessels at the inferior margin of the subscapularis muscle should be cauterized at this time to control bleeding.

TECH FIG 1 • Bankart procedure. A. The deltopectoral interval is identified and incised using a needle-tip Bovie. The cephalic vein is retracted laterally with the deltoid. B. The anterolateral leading edge of the coracoacromial ligament (indicated by the clamp) is resected for improved superior exposure. C. The subscapularis is incised about 1 cm medial to its insertion, leaving a stout cuff of tissue laterally (arrow) for subsequent repair. (continued)
The subscapularis tendon is exposed and incised vertically just medial to its insertion. The tendon can be peeled off the underlying capsule with a combination of the periosteal elevator for blunt dissection and the needle-tip Bovie cautery for sharp dissection (TECH FIG 1C,D).
The anterior capsule is then incised vertically at the level of the glenoid rim (TECH FIG 1E,F).
With a curette or osteotome, the anterior glenoid rim is roughened and any soft tissue removed to expose a bleeding bony bed to facilitate healing of the repair (TECH FIG 1G).
Transosseous sutures are passed through holes made with pointed forceps or a drill. Alternatively, suture anchors may be placed at the margin of remaining articular cartilage.
Often, two and, sometimes, three anchors are used between the 2:30 and 6 o'clock positions (in a right shoulder) (TECH FIG 1H).
The capsule is shifted or repaired anatomically as required. Typically, an inferior capsular shift procedure is performed in combination with the Bankart procedure as described in the following texts.
The subscapularis tendon is repaired anatomically at its insertion. Secure repair of the subscapularis tendon is important to prevent postoperative disruption.
TECH FIG 1 • (continued) D. Blunt dissection inferiorly, where the subscapularis muscle is not adherent to the capsule, facilitates in finding the plane of separation between the subscapularis and anterior capsule. E. The capsule is sharply incised, taking care not to damage the humeral head cartilage below. F. An adequate cuff of tissue is left behind for subsequent repair. G. The glenoid rim is prepared using an osteotome or curette. H. Suture anchors are placed at the apex of the glenoid rim. 1. ## T-Plasty Modification of the Bankart Procedure
To address capsular laxity in addition to the Bankart lesion, Altchek et al2 described a modification of the Bankart procedure by performing a T incision in the capsule.
The approach is the same as in the Bankart procedure described and involves dissection of the subscapularis from the anterior glenohumeral capsule.
Unlike the inferior capsular shift procedure, the T plasty involves a medially based transverse capsular incision at the glenoid margin.
The T capsulotomy is made two-thirds from the top of the capsule, with the vertical component adjacent to the glenoid rim (TECH FIG 2).
The Bankart lesion is repaired using suture anchors or transosseous sutures.
The laterally based inferior flap of capsule is advanced superiorly and medially and secured to the glenoid rim.
The superior flap is then advanced medially and oversewn to the inferior flap. The subscapularis tendon is repaired anatomically at its insertion.
TECH FIG 2 • T-plasty modification of the Bankart procedure. The T capsulotomy is made two-thirds from the top of the capsule, with the vertical component adjacent to the glenoid rim. 2. ## Anterior Capsulolabral Reconstruction
Because of the loss of strength and velocity in throwing athletes undergoing anterior stabilization
procedures, Jobe et al18 in 1991 proposed a subscapularis-sparing procedure in which the tendon is split in line with its fibers and its humeral attachment left intact.
A deltopectoral approach to the shoulder is used and the strap muscles are retracted medially to expose the subscapularis tendon.
The subscapularis is then divided horizontally in line with its fibers at the junction of the upper two-thirds and lower one-third (TECH FIG 3A,B).
TECH FIG 3 • The anterior capsulolabral reconstruction procedure. A. The subscapularis is divided horizontally in line with its fibers at the junction of the upper two-thirds and lower one-third. B. A transverse capsulotomy is now made in the middle of the capsule extending medial to the glenoid rim. C. The capsule is elevated off the glenoid subperiosteally to allow for superior and inferior capsular advancement. (continued) A transverse capsulotomy is now made in the middle of the capsule extending medial to the glenoid rim. The capsule is elevated off the glenoid subperiosteally to allow for superior and inferior capsular advancement (TECH FIG 3C).
The laterally based inferior flap is then shifted superiorly and secured to the intra-articular portion of the glenoid rim using transosseous sutures to attempt to recreate the labral “bumper” (TECH FIG 3D,E).
The superior flap is then shifted medially and oversewn to the inferior flap.
Because the subscapularis tendon is not detached, active assistive rehabilitation exercises are begun immediately on postoperative day 1, and rehabilitation is progressed more rapidly.
TECH FIG 3 • (continued) D. The laterally based inferior flap is shifted superiorly and secured to the intra-articular portion of the glenoid rim using transosseous sutures to attempt to recreate the labral bumper. E. The superior flap is then shifted medially and oversewn to the inferior flap. 3. ## Anterior Inferior Capsular Shift
The anterior inferior capsular shift operation was first described by Charles Neer II and Craig Foster22 in 1980.
The procedure was designed to treat involuntary inferior and multidirectional instability of the shoulder that could not be addressed by repair of the anterior glenoid labrum alone (the Bankart procedure).
The skin incision may be chosen based on the desired approach.
The subscapularis tendon is incised about 1 to 2 cm medial to its insertion at the lesser tuberosity, leaving an adequate cuff of tissue for repair.
The subscapularis consists of both a superior tendinous portion (two-thirds) and inferior muscular (one-third) portion.20
To expose the inferior portion of the glenohumeral joint capsule, it is important to carefully separate the muscle fibers' insertion from the underlying anterior capsule using a combination of sharp and blunt dissection. The arm should be in a position of adduction and external rotation during this inferior dissection, and great care is taken to protect the axillary nerve.
A laterally based capsular shift is then performed by incising the capsule longitudinally about 5 to 10 mm medial to its insertion on the humeral neck (see TECH FIG 1E,F).
The medial leaf of the capsule is tagged sequentially with nonabsorbable sutures as the capsular incision is continued inferiorly to at least the 6 o'clock position (TECH FIG 4A).
By placing traction on the capsular tag sutures in a superior and lateral direction, the axillary pouch should be obliterated when an adequate amount of capsular dissection has been performed.
It is important to release the inferior capsular attachments to the humerus, which have a broad insertion inferior to the articular surface. This is typically done with blunt subperiosteal dissection with the periosteal elevator and needle-tip Bovie cautery (TECH FIG 4B,C).
The medial insertion of the glenohumeral ligaments and glenoid labrum should then be assessed for
avulsion or tear. Bankart lesion and ALPSA both describe a disruption of the medial capsulolabral complex that must be repaired.
This technique is described in the Bankart repair technique section.
Once secure fixation to bone is achieved, the capsule is shifted superiorly and laterally and the nonabsorbable sutures are passed through the capsule from an intra-articular to extraarticular location.
It is important to place the sutures as close to the glenoid rim as possible so that the capsule is not shortened by medial plication.
A bimanual technique can be used in which one needle driver is used to pass the suture and a second to “catch” the needle on the extra-articular side.
The sutures are then tied on the extra-articular side to secure the capsule to the glenoid rim.
If excess anteromedial capsular redundancy (AMCR) exists after the Bankart repair, a “barrel stitch” technique has been described in which a nonabsorbable purse-string suture is placed to imbricate the
anterior capsule.9
The barrel stitch is placed vertically at the level of the glenoid rim and tied on the extra-articular side. Its size is titrated to the amount of AMCR encountered (TECH FIG 4D,E).
Once the medial instability repair is complete, attention is directed to lateral repair of the capsule to the remaining cuff of tissue at the humeral neck.
The capsule is shifted superiorly and laterally (TECH FIG 4F).
The amount of external rotation should be titrated to the patient and should be based on the patient's age, quality of tissue, the presence of the generalized or local ligamentous laxity, sport, level of competition, arm dominance, and expected level of compliance with the prescribed rehabilitation program.
A good general guideline is to repair the shifted anterior capsule with the arm in 20 degrees of abduction and 30 degrees of external rotation.
Throwers require an increased amount of external rotation in abduction and may require more laxity than a patient who is noncompliant or not involved in throwing sports.
Excess tightening of the anterior capsule should be avoided to prevent the development of postcapsulorrhaphy arthropathy.14
As the capsule is shifted superiorly and laterally, a lax capsule will have an abundance of capsular tissue remaining superiorly. In these shoulders, the capsular incision can be converted to a laterally based T capsulorrhaphy by incising the capsule between the inferior and MGHLs down to the glenoid rim.
TECH FIG 4 • A. In the inferior capsule shift procedure, the laterally based capsular incision is continued inferiorly using tag stitches on the released anterior capsule to apply traction. B. There is a dual attachment of the inferior capsule on the humeral neck. C. Release of the dual inferior capsular attachment, allowing a complete shift of the capsule. D. An anterior crimping (barrel) stitch is used to decrease the redundancy of the anteroinferior capsule. This is a mattress stitch started on the superficial side of the capsule. E. Once tied, the barrel stitch reduces AMCR and an anterior inferior bolster is created. (continued) The inferior limb of the capsule is first repaired to its lateral insertion on the humerus.
The superior limb is folded down in a pants-over-vest fashion and repaired laterally to the insertion point (TECH FIG 4G). This will both reduce capsular volume and reinforce the anterior capsuloligamentous tissues.
In addition to assessing residual capsular laxity, the rotator interval should also be assessed (TECH FIG 4H).
If the rotator interval is widened or attenuated, it should be imbricated and closed using interrupted nonabsorbable sutures.
The amount of interval closure should also be titrated to the patient, as mentioned previously, because excess tightening of the rotator interval can lead to restriction of external rotation.13
It may be preferable to close only the lateral portion of the rotator interval to preserve glenohumeral motion in competitive athletes.
The subscapularis tendon is repaired anatomically at its insertion. TECH FIG 4 • (continued) F. The anteroinferior capsule is advanced superiorly and reattached to the capsular sleeve preserved on the humeral neck. G. The superior flap is sewn to the inferior flap to reduce volume and increase strength. H. The rotator interval capsule is palpated between the subscapularis and supraspinatus tendons.
PEARLS AND PITFALLS
| Category | Description |
|---|---|
| Voluntary instability | Patients with voluntary instability should be carefully screened before surgery. If there are significant issues of secondary gain, surgical treatment will not be successful and should be discouraged. Preoperative psychiatric evaluation has been suggested but is seldom helpful in screening these patients. |
| Humeral bone defects (Hill-Sachs lesions) | It is important to recognize and quantitate humeral bone defects, which are best seen on the radiograph (AP in internal rotation or Stryker notch view), CT scan, or MRI, or by diagnostic arthroscopy. With “engaging” defects, open treatment is favored over arthroscopic, and filling of the defect (autograft, allograft) may be considered. |
| Glenoid bone defects (bony Bankart) | Glenoid defects can be assessed with preoperative imaging (radiographs, CT scan, MRI) and diagnostic arthroscopy. Significant defects (more than 30% of the glenoid) require a coracoid transfer (Bristow or Latarjet) procedure. |
| Posterior instability | The direction of instability should be assessed with preoperative examination and examination under anesthesia. If there is a significant posterior component, stability may be restored with a thorough inferior capsular shift. However, in some cases, an additional posterior approach may be required. |
| Associated SLAP (superior labral) tears | Additional labral pathology may be present in some patients with Bankart lesions. These lesions may be addressed concomitantly, either through a separate arthroscopic approach or via the open incision. |
Postoperative Care
The rehabilitation protocol must be planned individually. The patient remains in a sling for 4 weeks postoperatively.
Passive forward elevation to 110 degrees and external rotation to 15 degrees is begun at 10 days to 2 weeks and is gradually increased to 140 degrees forward elevation and 30 degrees external rotation by 4 weeks.
During this period, isometric strengthening exercises are begun.
From 4 to 6 weeks, elevation is increased to about 160 degrees and external rotation to 40 degrees. After 6 weeks, motion is increased to achieve a normal range.
Exercises should be progressed slowly to avoid apprehension and resubluxation.
Resistive exercises are begun with the arm in neutral below 90 degrees and progressed gradually. Strengthening of scapular stabilizers is particularly important.
Full motion and strength should be regained before contact sports are resumed, usually between 6 and 9 months, depending on the sport and the patient.
Outcomes
The first long-term follow-up study of the Bankart procedure was reported by Carter Rowe et al29 in 1978, with only a 3.5% rate of redislocation.
Neer and Foster16 reported on 40 unstable shoulders that were repaired with the anterior inferior capsular shift between 1974 and 1979; 11 of which had undergone prior procedures for glenohumeral instability. Satisfactory results were achieved in all except one patient, who had postoperative subluxation of the shoulder.
Since Neer and Foster's initial report, multiple series have been published that have used the anterior inferior capsular shift procedure for anteroinferior instability. Although the surgical technique and the
extent of capsular shift may vary with different surgeons, recurrence rates have ranged from 1.5% to 9%.5,7,12,22,35
T-plasty results: In 42 shoulders with an average of 3 years of follow-up in this initial series, 95% of the patients were satisfied, and there were four recurrences (10%).2
A report on the results of anterior capsulolabral reconstruction at an average of 39 months of follow-up in 25 throwing athletes found excellent or good results in 92% of patients, and 17 (68%) returned to their prior level of competition.
A subsequent series of 22 subluxators and 9 dislocators found 97% good to excellent results and 94% return to sport.21
Return-to-sport rates of 32% to 94% have been reported for open surgical treatment of anteroinferior instability in various series.2,5,18
Complications
Recurrent dislocations may occur in up to 5% of patients. However, this rate may be higher when appropriate indications for surgery are not strictly followed.
Overtensioning of the mediolateral capsular repair may lead to loss of external rotation.
The potential for development of glenohumeral arthritis following even a single anterior dislocation,
termed dislocation arthropathy by Samilson and Prieto in 1983,31 is well documented. The impact of surgery on the risk of development of glenohumeral arthritis is less clear. A prospective study with 25-
year follow-up by Hovelius and Saeboe17 demonstrated that patients treated surgically had rates of arthropathy similar to those of patients with a single dislocation treated nonoperatively and lower than those of patients with recurrent dislocations treated nonoperatively.
Injury to the axillary nerve can occur as it travels an average of only 2.5 mm deep to the IGHL and lies only 12 mm from the glenoid at the 6 o'clock position. This is typically a neurapraxia injury, and function usually recovers spontaneously.
Failure of the subscapularis repair can lead to pain and loss of internal rotation strength.
Hardware-related complications may occur owing to loosening; bending; or breakage of screws, anchors, or tacks (FIG 7).36 Synovitis in response to PLLA, absorbable implants has also been described.
Misplacement of labral tacks or suture anchors, both metallic and absorbable, may lead to early arthrosis
or arthritis.
Complications due to positioning have been described including deep venous thrombosis and compression neurapraxia. Bony prominences should be well padded and constrictive bandaging avoided during and after surgery.
FIG 7 • AP radiograph of a left shoulder showing loose hardware after a prior coracoid transfer procedure.*
Infection in shoulder surgery is uncommon. When it occurs, however, Propionibacterium acnes is a common organism, and specific cultures should be requested. Surgical preparation with chlorhexidine and preoperative antibiotic prophylaxis with clindamycin or vancomycin may be more effective against
this organism and should be considered in some patients.8,30
Scientific References
- 1. Allain J, Goutallier D, Glorion C. Long-term results of the Latarjet procedure for the treatment of anterior instability of the shoulder. J Bone Joint Surg Am 1998;80A:841-852. [View Source / PubMed]
- 2. Altchek DW, Warren RF, Skyhar MJ, et al. T-plasty modification of the Bankart procedure for multidirectional instability of the anterior and inferior types. J Bone Joint Surg Am 1991;73A:105-112. [View Source / PubMed]
- 3. Bankart AS. The pathology and treatment of recurrent dislocation of the shoulder joint. Br J Surg 1938;26:23-29. [View Source / PubMed]
- 4. Bigliani LU, Kelkar R, Flatow EL, et al. Glenohumeral stability: biomechanical properties of passive and active stabilizers. Clin Orthop Relat Res 1996;330:13-30 [View Source / PubMed]
- 5. Bigliani LU, Kurzweil PR, Schwartzbach CC, et al. Inferior capsular shift procedure for anterior-inferior shoulder instability in athletes. Am J Sports Med 1994;22:578-584. [View Source / PubMed]
- 6. Chahal J, Marks PH, Macdonald PB, et al. Anatomic Bankart repair compared with nonoperative treatment and/or arthroscopic lavage for first-time traumatic shoulder dislocation. Arthroscopy 2012;28:565-575. [View Source / PubMed]
- 7. Cooper RA, Brems JJ. The inferior capsular-shift procedure for multidirectional instability of the shoulder. J Bone Joint Surg Am 1992;74A:1516-1522. [View Source / PubMed]
- 8. Dodson CC, Craig EV, Cordasco FA, et al. _Propionibacterium acnes_ infection after shoulder arthroplasty: a diagnostic challenge. J Shoulder Elbow Surg 2010;19:303-307. [View Source / PubMed]
- 9. Flatow EL. Glenohumeral instability. In: Bigliani LU, Flatow EL, Pollock RG, et al, eds. The Shoulder: Operative Technique. Baltimore: Williams & Wilkins, 1998:183-184. [View Source / PubMed]
- 10. Gill TJ, Micheli LJ, Gebhard F, et al. Bankart repair for anterior instability of the shoulder: long-term outcome. J Bone Joint Surg Am 1997;79A:850-857. [View Source / PubMed]
- 11. Green A, Norris TR. Proximal humeral fractures and glenohumeral dislocations: Glenohumeral dislocations. In: Browner B, ed. Skeletal Trauma: Basic Science, Management and Reconstruction, ed 4. Philadelphia: Saunders Elsevier, 2009:1717-1755. [View Source / PubMed]
- 12. Hamada K, Fukuda H, Nakajima T, et al. The inferior capsular shift operation for instability of the shoulder: long-term results in 34 shoulders. J Bone Joint Surg Br 1999;81B:218-225. [View Source / PubMed]
- 13. Harryman DT, Sidles JA, Harris SL, et al. The role of the rotator interval capsule in passive motion and stability of the shoulder. J Bone Joint Surg Am 1992;74A:53-66. [View Source / PubMed]
- 14. Hawkins RJ, Angelo RL. Glenohumeral osteoarthrosis: a late complication of the Putti-Platt repair. J Bone Joint Surg Am 1990;72A: 1193-1197. [View Source / PubMed]
- 15. Hintermann B, Gachter A. Arthroscopic findings after shoulder dislocation. Am J Sports Med 1995;23:545-551. [View Source / PubMed]
- 16. Hovelius L, Olofsson A, Sandstrom B, et al. Nonoperative treatment of primary anterior shoulder dislocation in patients forty years of age and younger. J Bone Joint Surg 2008;90:945-952. [View Source / PubMed]
- 17. Hovelius L, Saeboe M. Arthopathy after primary anterior shoulder dislocation—223 shoulders prospectively followed up for twenty-five years. J Shoulder Elbow Surg 2009;18:339-347. [View Source / PubMed]
- 18. Jobe FW, Giangarra CE, Kvitne RS, et al. Anterior capsulolabral reconstruction of the shoulder in athletes in overhand sports. Am J Sports Med 1991;19:428-434. [View Source / PubMed]
- 19. Kirkley A, Griffin S, Richards C, et al. Prospective randomized clinical trial comparing the effectiveness of immediate arthroscopic stabilization versus immobilization and rehabilitation in first traumatic anterior dislocations of the shoulder. Arthroscopy 1999;15:507-514. [View Source / PubMed]
- 20. Klapper RJ, Jobe FW, Matsuura P. The subscapularis muscle and its glenohumeral ligament like bands: a histomorphologic study. Am J Sports Med 1992;20:307-310. [View Source / PubMed]
- 21. Montgomery WH III, Jobe FW. Functional outcomes in athletes after modified anterior capsulolabral reconstruction. Am J Sports Med 1994;22:352-358. [View Source / PubMed]
- 22. Neer CS II, Foster CR. Inferior capsular shift for involuntary inferior and multidirectional instability of the shoulder: a preliminary report. J Bone Joint Surg Am 1980;62A:897-908. [View Source / PubMed]
- 23. Neviaser TJ. The anterior labroligamentous periosteal sleeve avulsion lesion: a cause of anterior instability of the shoulder. Arthroscopy 1993;9:17-21. [View Source / PubMed]
- 24. Osmond-Clarke H. Habitual dislocation of the shoulder: the Putti-Platt operation. J Bone Joint Surg Br 1948;30B:19-25. [View Source / PubMed]
- 25. Owens BD, Dawson L, Burks R, et al. The incidence of shoulder dislocation in the United States military: demographic considerations from a high-risk population. J Bone Joint Surg Am 2009;91:791-796. [View Source / PubMed]
- 26. Perthes G. Uber Operationen bei habitueller Schulterluxation. Deutsche Zeitschr Chir 1906;85:199-227. [View Source / PubMed]
- 27. Piasecki DP, Verma NN, Romeo AA, et al. Glenoid bone deficiency in recurrent anterior shoulder instability: diagnosis and management. J Am Acad Orthop Surg 2009;17:482-493. [View Source / PubMed]
- 28. Pollock RG, Bigliani LU. Glenohumeral instability: evaluation and treatment. J Acad Orthop Surg 1993;1:24-32. [View Source / PubMed]
- 29. Rowe C, Patel D, Southmayd WW. The Bankart procedure, a longterm end result study. J Bone Joint Surg Am 1978;60A:1-16. [View Source / PubMed]
- 30. Saltzman MD, Marecek GS, Edwards SL, et al. Infection after shoulder surgery. J Am Acad Orthop Surg 2011;19:208-218. [View Source / PubMed]
- 31. Samilson R, Prieto V. Dislocation arthropathy of the shoulder. J Bone Joint Surg Am 1983;65:456-460. [View Source / PubMed]
- 32. Simonet WT, Melton LJ, Cofield RH, et al. Incidence of anterior shoulder dislocation in Olmstead County, Minnesota. Clin Orthop Relat Res 1984;186:186-191. [View Source / PubMed]
- 33. Sugaya H, Moriishi J, Dohi M, et al. Glenoid rim morphology in recurrent anterior glenohumeral instability. J Bone Joint Surg Am 2003;85:878-884. [View Source / PubMed]
- 34. Wheeler JH, Ryan JB, Arciero RA, et al. Arthroscopic versus nonoperative treatment of acute shoulder dislocation in young athletes. Arthroscopy 1989;5:513-517. [View Source / PubMed]
- 35. Wirth MA, Groh GI, Rockwood CA Jr. Capsulorrhaphy through an anterior approach for the treatment of atraumatic posterior glenohumeral instability with multidirectional laxity of the shoulder. J Bone Joint Surg Am 1998;80A:1570-1578. [View Source / PubMed]
- 36. Zuckerman J, Matsen F. Complications about the shoulder related to the use of screws and staples. J Bone Joint Surg Am 1984;66A:175-180. [View Source / PubMed]
You Might Also Like