Revision ACL Reconstruction: An Intraoperative Masterclass for Failed Primary Repair

Key Takeaway
This masterclass guides fellows through revision ACL reconstruction, focusing on identifying primary failure causes, meticulous preoperative planning, and precise intraoperative technique. We cover comprehensive anatomy, step-by-step execution including notchplasty and tunnel management, graft preparation, and critical pearls for avoiding pitfalls. Postoperative rehabilitation and complication strategies are also detailed for optimal patient outcomes.
Revision Anterior Cruciate Ligament Repair
Chapter
43
## Revision Anterior Cruciate Ligament Repair
David R. McAllister and David L. Feingold
DEFINITION
1. The anterior cruciate ligament (ACL) is the primary stabilizer preventing anterior displacement of the tibia. The ligament is made up of an anteromedial and a posterolateral bundle.
2. The ACL also plays a role in assisting the capsular structures, collateral ligaments, joint surface, and meniscal geometry in preventing rotational instability.
3. Failure of a primary ACL reconstruction may be due to traumatic re-rupture, stretch-out of the graft, failure to diagnose concomitant injuries (ie, posterolateral corner injury), or technical issues encountered during primary ACL reconstruction (ie, tunnel malposition, fixation failure etc. See Chap. SM-41).
ANATOMY
4. The anatomy of the ACL (described in previous chapters) and also that of the secondary stabilizers of the knee are critical in revision surgery. Secondary restraints to anterior translation of the tibia include the medial collateral ligament, the posterior horn of the medial meniscus, and the posterior aspect of the capsule.6
5. Unrecognized rotatory instability patterns play a significant role in failures of primary ACL reconstruction. Posterolateral instability may involve injury to the popliteus tendon and the popliteofibular and lateral collateral ligaments, and may require repair, advancement, or reconstruction of these structures.6
6. Primary ACL reconstruction has been described with a number of different grafts, including autograft central patellar tendon; hamstring; and quadricep tendon; as well as a number of allograft tendons, including Achilles, patellar, hamstring, and quadriceps.10
1. Attempts have been made at using synthetic structures to reconstruct the ACL but to date have had poor outcomes.
7. Fixation techniques are as diverse as the materials used to reconstruct the ACL. In the revision setting it is important to understand the technique and materials used in the initial reconstruction, because it often is necessary to remove fixation devices to obtain optimal results when revising a failed ACL reconstruction.
PATHOGENESIS
8. Poor outcomes following ACL reconstruction can be due to a multitude of factors and commonly are grouped into one of four areas: recurrent instability; motion loss; persistent pain; or extensor mechanism dysfunction. This chapter focuses on recurrent instability.
9. The incidence of recurrent instability after primary ACL reconstruction is 3% to 10%.9
10. Graft failure has been reported as the primary cause of recurrent instability. Three different categories of graft failure have been described: failure of graft incorporation; suboptimal sugical technique (eg, tunnel malposition, loss of fixation); and
traumatic re-rupture. Although these categories may occur together, a critical step in the successful outcome of treatment for a failed ACL reconstruction is to define the primary cause of failure.
NATURAL HISTORY
1. The natural history of the ACL-deficient knee is not well understood.
1. It is commonly thought that patients who continue to experience episodes of instability place the knee at risk of further damage to the articular cartilage and menisci.
2. While it may be possible for some patients to avoid activities that result in instability, others may continue to participate in sports, and still others may experience episodes of instability with activities of daily living.
PATIENT HISTORY AND PHYSICAL FINDINGS
2. A detailed history of the primary injury and reconstruction, postoperative course, ability to return to activity, and current symptoms is helpful to determine the optimal treatment.
1. It also is helpful to know the time from the initial injury to the index reconstruction.
2. An explanation of the postoperative therapy program and progress should be obtained, and any traumatic episodes after surgery should be noted.
3. A copy of the operative report from the previous repair should be obtained from the primary surgeon to note graft type, tunnel placement, fixation methods and materials, and condition of the articular surfaces and menisci at the time of that procedure.
4. An antalgic gait may suggest persistent pain after surgery, or a recent second traumatic event.
1. A varus thrust during gait is highly suggestive of incompetence of the lateral or posterolateral structures and requires further evaluation with long-film standing anteroposterior radiographs for mechanical alignment.
2. Buckling of the knee, especially in the initial phase of gait, may suggest quadriceps weakness, and may give the patient the subjective sensation of knee instability.
5. Sensory status and palpation of pulses must be noted in all cases. Any decreases may suggest an initial dislocation of the knee and require appropriate workup to rule out a vascular injury.
6. Common examinations to determine instability patterns of the knee include:
1. Anterior drawer test
.
When compared to the contralateral knee, increased anterior laxity may indicate an ACL-deficient knee.
2. Posterior drawer test
.
When compared to the contralateral knee, increased posterior laxity may be indicative of a posterior cruciate ligament (PCL)-deficient knee.
357
1. Lachman’s test
.
Sensitive test for ACL deficiency, especially when the contralateral knee has intact native ACL.
2. Varus/valgus stress testing
.
Opening in 30 degrees of flexion is consistent with injury to collateral ligaments alone. If opening in both 0 and 30 degrees, injury to collateral ligaments and other structures, such as the cruciate ligaments or capsule, is suggested.
3. Pivot shift
.
Highly sensitive test for the ACL-deficient knee. It often is difficult for the patient to relax in the setting of a painful knee, however.
4. Posterolateral drawer test
.
Increased posterolateral translation compared with the intact, contralateral knee may suggest posterolateral rotatory instability.
5. Dial test
.
Difference of more than 10 degrees at 30 degrees flexion is consistent with injury to the posterolateral corner (PLC). Difference of more than 10 degrees at 90 degrees flexion is consistent with injury to both PLC and PCL.
6. The varus recurvatum test reveals varus angulation, hy-perextension, and external rotation of the tibia. It suggests posterolateral rotatory instability of the knee.
1. Testing for concurrent intra-articular injuries should be performed to detect possible meniscal, articular cartilage, or patellofemoral pathology.
2. Large effusions are common in the setting of a ruptured native ACL. In the revision setting, rupture of the graft may not lead to a large hemarthrosis, because of decreased vascularity
of the graft material compared to the native ACL. Effusions in the setting of a failed ACL reconstruction may be small or even nonexistent.
IMAGING AND OTHER DIAGNOSTIC STUDIES
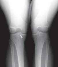
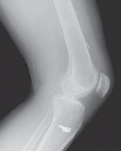
3. Routine radiographs, including weight-bearing anteroposterior and lateral views as well as patellar views, should be performed. In the revision setting, these images allow for critical assesment of previous tunnel placement and assesment for possible bone loss at previous tunnels, which may require further evaluation and treatment.
1. Metallic fixation devices make previous tunnel placement easy to identify, but bioabsorbable screws and other types of fixation also can be evaluated for tunnel placement on these images (
FIG 1
).
2. These images also allow evaluation for possible evidence of osteoarthritis.
4. If concern regarding a significant amount of bone loss is present after initial radiographic evaluation, CT imaging allows more precise evaluation of possible tunnel enlargement. MRI also may allow evaluation of tunnel size, along with further evaluation of possible intra-articular pathology.
1. Metallic fixation devices may create significant artifacts on both of these imaging techniques, at times limiting their usefulness.
FIG 1 • A,B. Anterior cruciate ligament (ACL) reconstruction performed with an EndoButton (Smith & Nephew, Andover, MA) on the femur and staple fixation of the graft on the tibia. C,D. Anterior placement of the femoral tunnel in this primary ACL reconstruction performed with a two-incision technique. A B C
D
1. For varus alignment, or chronic posterolateral rotatory instability, radiographs that allow full evaluation of mechanical alignment may be necessary. These will help the surgeon to determine whether there is a significant varus alignment of the knee.
1. In ACL-deficient knees with varus bony alignment, any reconstruction may be doomed to failure if the alignment is not first addressed with an osteotomy procedure.
2. Bone scan and serologic tests, including complete blood count, erythrocyte sedimentation rate, C-reactive protein, and bacterial cultures of knee aspirates, should be performed in any setting suggestive of infection, including those cases with significant osteolysis of previous tunnels.
DIFFERENTIAL DIAGNOSIS
3. Meniscal injury
4. Osteochondral injury
5. Subjective weakness or anterior knee pain secondary to quadriceps weakness
6. Patella subluxation or dislocation
7. Multiligamentous injury (eg, PCL, PLC, medial collateral ligament, lateral collateral ligament)
NONOPERATIVE MANAGEMENT
8. Patients with painful ACL-deficient knees after attempted reconstruction must understand that reconstruction of the ACL will not address their pain symptoms and that nonoperative management might be a better approach to address their complaints.
9. The basis of any nonoperative treatment for an ACL-deficient knee is to avoid those activities that put the knee at risk, such as cutting sports.
10. Strengthening the dynamic stabilizers of the knee, such as the hamstrings (an antagonist to anterior translation of the tibia) may increase stability of the knee for routine activities.
11. Bracing
SURGICAL MANAGEMENT
12. The primary indication for revision ACL surgery is a patient whose chief complaint is symptomatic instability with his or her activities.
1. ACL reconstruction does not address the pain symptoms of an ACL-deficient knee, and other intra-articular pathology should be investigated as the cause of the subjective pain complaints.
2. ACL reconstruction may decrease the progression of intra-articular pathology, but will not, in itself, treat other lesions that may be present.
Preoperative Planning
13. A common cause of failure related to surgical technique is anterior placement of a femoral tunnel, which often is detected on the lateral radiograph (
FIG 1D
).6,10 This may lead to tightening of the graft with knee flexion resulting in graft stretch-out or failure.
14. A preoperative plan should include evaluation of the knee based on history, examination, and imaging for possible other intra-articular pathology, such as meniscal tears or cartilage lesions. The surgeon should be prepared to address these comor-bidities at the time of revision surgery.
1. Even if the surgeon does not expect to discover such findings, the possibility of their existence, and their treatment
options, must be covered in all preoperative discussions with the patient.
1. In the setting of possible posterolateral rotational instability, varus malalignment, or significant bone loss requiring bone grafting, the patient must be aware of the possible need for staged procedures, and the necessary postoperative course should this become the case.
2. The possiblity of hardware removal requires knowledge of any previous implants used, and extraction tools, such as a commercially available ACL revision tray. These should be available in the operating room at the time of surgery.
3. Once anesthesia has been induced, a thorough examination of the knee as compared to the contralateral extremity is critical. Concerns regarding posterolateral or varus and valgus instability will not be answered during arthroscopic evaluation and are best assessed prior to prepping and draping.
Positioning
4. Our preferred positioning for ACL reconstructive surgery is with the patient in the supine position using a lateral post.
5. The lateral post should be placed proximal enough to allow for the surgeon’s hand to drill the tibial tunnel without hitting the table when the patient’s knee is flexed over the edge of the table (
FIG 2
).
Approach
6. A standard superolateral outflow and anteromedial and an-terolateral portals are used for diagnostic arthroscopy.
1. If the previous incisions were adequately positioned, they may be used, but the placement of portal incisions should not be compromised for the sole purpose of reusing the previous incisions.
7. A complete diagnostic arthroscopic evaluation of the knee should be performed.
8. Treatment of other comorbid conditions should be performed before the ACL reconstruction is done. These include repair or débridement of meniscal tears, removal of loose bodies, débridement with possible microfracture of osteochondral lesions, and hardware removal, if necessary.
FIG 2 • The lateral post is placed high against the lateral femur to allow adequate room on the medial aspect of the tibia to drill a tibial tunnel without interference from the operative table.
*
TECHNIQUES
*
ARTHROSCOPY AND NOTCHPLASTY
1. The ACL-deficient knee is diagnosed at the time of examination under anesthesia.
2. After completion of the arthroscopic inspection of the knee and treatment of any other intra-articular pathology, the tourniquet is inflated.
3. The knee is flexed 90 degrees over a bump under the distal thigh, with the popliteal space free, allowing the neurovascular structures to fall posterior to the posterior capsule of the knee and thus remain out of harm’s way.
4. The previous graft is removed with a 5.5-mm shaver down to the footprint of the native ACL.
1. The shaver also is used to remove any fat pad obstructing the view, periosteum off the lateral wall of the notch, and any scar tissue present in the notch.
5. In revision ACL reconstruction, the notch often is overgrown and narrow, likely as a result of the previous ACL reconstruction (
TECH FIG 1A
).
1. A notchplasty is completed with use of a 5.5-mm burr, starting at the anterior opening of the notch if necessary.
2. The location of the previous femoral tunnel is noted.
3. Notchplasty is carried back to the posterior wall as needed. A small, curved curette may be used to inspect the back of the notch. A thin white strip of periosteum usually identifies the posterior wall (
TECH
### FIG 1B). Careful attention to localizing the posterior wall is critical, especially because the sides and roof of the notch often are irregular owing to the previous surgery.
1. Anterior placement of the femoral tunnel is the primary cause of recurrent laxity for ACL reconstructions, so in many cases there is enough room to place a second femoral tunnel in the appropriate position without interference or compromise from the previous tunnel. If this is the case, the previous interference screw can be left in place or removed (
TECH FIG 1C,D
).
1. A curved curette is used to remove a small area of bone to localize the desired position of the new femoral tunnel.
2. A more difficult scenario is the situation where the femoral tunnel was well placed. In this case, it can be difficult to create a new tunnel that does not overlap with the old tunnel.
1. We have found that transtibially placed femoral tunnels often can be revised by drilling the revision tunnel through the anteromedial portal. In this way, the tunnels diverge, with only the intra-articular outlets overlapping (
TECH FIG 1E
).
2. Likewise, if a previously well-placed femoral tunnel was placed via the anteromedial portal, it often can be revised by drilling transtibially.
A B C D E
TECH FIG 1 • A. Significant overgrowth of the notch noted at the time of revision anterior cruciate ligament (ACL) reconstruction. B. A thin layer of periosteum is easily visualized at the posterior wall of the notch. C. Note the anterior placement of the femoral tunnel interference screw used during the primary ACL reconstruction. The femoral tunnel for the revision can be placed at the appropriate location without removing the interference screw used in the primary procedure. D. The new femoral tunnel and interference screw are placed in the appropriate location without compromise from the screw used in the index procedure. E. View of femoral notch after placement of femoral tunnel and interference screw via anteromedial portal. This allows divergence of the old and new femoral tunnels.
---
GRAFT PREPARATION
3. We usually wait to prepare the graft until the tunnels are drilled. This way the bone plugs on the graft can be oversized, in the unlikely event that the new tunnel and old tunnel substantially overlap and create a bony defect that is considerably larger than the standard tunnel size.
4. The graft of choice can be used.
1. We do not reharvest previously harvested tendons.
2. Graft options include both autogenous and allogenic grafts.
3. We commonly use bone–patellar tendon–bone allograft.
5. Both bone plugs are cut to a length of 25 mm, with a height of 10 mm and width of 10 mm using a micro oscillating saw.
6. A small rongeur is used to contour the bone plugs to fit through a 10-mm tunnel.
3. A 2-mm drill is used to drill one hole between the proximal two thirds and the distal one third of the bone plug from the patella.
TECHNIQUES
1. Two similar holes are drilled in the tibial bone plug at one- and two-thirds the length of the plug, at a 90-degree angle to each other.
2. No. 5 Ethibond (Ethicon, Inc.) sutures, loaded on Keith needles, are then passed through each hole.
4. The graft is then passed through a 10-mm sizer. The graft should slide easily while still having contact with the sides of the sizer.
5. The length of the tendon part of the graft is then measured from bone plug to bone plug.
6. The graft is wrapped in saline-soaked gauze and protected on the back table.
TUNNEL PLACEMENT
1. Neither tibial nor femoral tunnel placement should be compromised based on the location of the previous tunnels.
2. The tibial tunnel guidewire is placed the same as for a primary ACL reconstruction, using a commercially available tibial guide.
1. We set the tibial guide at
n
+ 7, with
n
being the length of the graft between the two bone plugs (
n
+ 7 rule).8
2. The tip of the guide is placed in the posteromedial aspect of the native ACL footprint. The difficulty is that the native ACL footprint is no longer visible. Therefore, we place the guidewire so that it penetrates the joint 6 to 7 mm anterior to the PCL and in a line that intersects the posterior aspect of the anterior horn insertion of the lateral meniscus (
TECH FIG 2A
).
7. The guide is placed in the joint through the anteromedial portal, and a 1.5-cm skin incision is placed just medial to the tibial tubercle, in line with the anteromedial portal for placement of the guidewire.
8. If a metallic tibial interference screw was used in the previous reconstruction, it usually is in a location that necessitates its removal.
1. At this point the leg is brought back onto the table, and the interference screw is localized.
2. All overgrown soft tissue and bone is carefully removed, and then the appropriate driver (based on the operative note from the previous procedure) is placed into the head of the screw and it is removed.
9. Next, the guide is rechecked, with the sliding bullet placed down to bone. The measurement on the bullet should be just longer than the tendinous portion of the graft (
n
+ 2 rule).11
A B C
TECH FIG 2 • A. Placement of the tibial tunnel guidewire just anterior to the native posterior cruciate ligament (PCL). B. Appearance of the revision tibial tunnel using the arthroscope to inspect for compromise from the index procedure. C. After reaming the femoral tunnel to a depth of 10 mm, the tunnel is inspected to ensure the posterior wall is intact.
TECHNIQUES
1. The guidewire is then advanced, and, if correctly placed, the tibial tunnel is made with a 10-mm drill.
2. The tunnel is inspected with the arthroscope for wall compromise from the previous tunnel (
TECH FIG 2B
). This can be performed by placing the arthroscope up the tibial tunnel.
1. If there is concern for fixation strength with the interference screw, the tibial bone plug can be reinforced by tying the suture previously placed through the bone plug over a post just distal to the tibial tunnel.
3. Attention is then directed to the femoral notch.
1. A point is marked with a curette in the femoral notch 6 mm (for a 10-mm graft) anterior to the posterior wall in the 1:00 to 1:30 position (left knee) or the 10:30 to 11:00 position (right knee).
2. A Beath pin is advanced across the joint to the previously marked site on the femur. This usually can be done transtibially.
1. In some cases, it is not possible to get the pin to the desired location. In such a case, the knee is
flexed to 120 degrees and the Beath pin is passed through the anteromedial portal.
4. As previously mentioned, this technique also can be used when the previous femoral tunnel was placed in an acceptable position transtibially.
5. This allows for divergence of the new tunnel with respect to the old without compromising the entry point into the femoral notch.
10. A 10-mm acorn reamer is then advanced by hand through the joint, using care not to damage the PCL.
1. The reamer is advanced to a depth of 10 mm.
2. It is then brought back into the notch so that the back wall can be inspected (
TECH FIG 2C
).
11. At this time, the tunnel also is inspected to ensure that the previous femoral tunnel does not compromise the new tunnel.
1. If there is compromise, one of the other techniques mentioned in the following sections is performed.
2. If the back wall is intact, the reamer is advanced to a depth of 30 mm.
GRAFT PASSAGE AND TENSIONING
1. Once appropriate tunnels have been drilled, the single suture from the bone plug from one end of the graft is passed through the Beath pin and then advanced into place.
2. The bone plug is advanced into the femoral tunnel under careful visualization to ensure the graft does not rotate and the bone plug is in the anterior aspect of the tunnel.
3. The knee is flexed to 120 degrees, and the interference screw is placed while gentle tension is maintained on the graft.
1. Again, careful visualization is used to ensure the graft is not cut by the threads of the advancing screw.
2. The screw is advanced so that it is recessed 1 to 2 mm from the tunnel opening (
TECH FIG 3
).
4. After checking for appropriate isometry of the graft by palpating the tibial bone plug through an arc of motion, the graft is manually tensioned.
1. While maintaining tension, the knee is flexed to about 10 to 20 degrees, and the tibial interference screw is placed. TECH FIG 3 • The femoral interference screw is seated approximately 1 to 2 mm beyond the opening into the notch. 12. A final range-of-motion check is performed, and a gentle Lachman test is performed to ensure that stability has been restored.
TWO-INCISION TECHNIQUE
1. In cases in which the previous femoral tunnel was placed in the location that would have been preferred for the current one, or osteolysis around the previous tunnel makes placement of the new tunnel difficult, the two-inci-sion technique may be used to create the femoral tunnel.
1. This technique uses the same tunnel aperture, but at a different angle.
2. This allows for fixation of the femoral bone plug at the lateral cortex of the distal femur, a location typically not affected by previous ACL reconstruction.
1. In cases in which the primary ACL reconstruction was performed with a two-incision technique, our standard endoscopic technique usually works without difficulty for placement of the femoral tunnel.
13. After drilling the tibial tunnel, and assessment that the femoral tunnel location necessitates two-incision technique, a commercially available, rear-entry, drill guide is used.
14. A lateral incision is performed over the distal metaphy-seal region.
TECHNIQUES
1. The tip of the guide is placed at the posterior aspect of the lateral wall of the notch in the 1:30 position (left knee) or 10:30 position (right knee).
1. The sliding bullet is advanced to bone, and the guidewire is advanced.
2. While protecting the PCL with a large curette, the femoral tunnel is reamed with a 10-mm reamer.
3. After graft passage using suture material in the bone plugs of the graft, an interference screw is placed at the lateral cortex and advanced until it is adjacent with the bone plug (
TECH FIG 4
).
4. The remainder of the procedure is performed as previously described. TECH FIG 4 • The femoral interference screw is placed into the femoral tunnel through the lateral cortex.
BONE GRAFTING OF TIBIAL TUNNELS
5. If significant bone loss has occurred around the previous tibial tunnel, bone grafting may be necessary, followed by staged revision ACL reconstruction. This is common with synthetic grafts, which can cause an immune reaction to the graft material, and also has been proposed to occur more frequently with hamstring grafts owing to the theoretical “windshield wiper” effect of the graft with fixation at the distal end of the tunnel.3,13
6. After removal of the fixation devices, the previous tunnels are fully débrided of soft tissue using a shaver, curette, and rasp.
1. If sclerotic bone is encountered, a 2-mm drill can be used to drill the wall of the tunnel.
1. The old tunnels and regions of bony deficiency can be filled with autograft bone (taken in dowels from the iliac crest13), or allograft dowels (commonly available from tissue banks3).
1. Allograft dowels, when used, should be about 1 mm larger than the diameter of the tunnel and placed using a press-fit technique.
1. Reconstruction must be staged to allow time for incorporation of the bone graft.
1. Incorporation of the bone graft can be monitored on CT imaging; it usually takes 4 to 6 months.13
PEARLS AND PITFALLS
Indications
Interference screws
Synthetic grafts
1. It is critical to determine whether the patient’s chief complaint is instability or pain.
2. For patients 25 years of age and younger, a good reason is needed not to perform revision reconstruction of an ACL-deficient knee.
3. For patients 45 years of age and older, a good reason is needed to consider revision reconstruction in an ACL-deficient knee.
4. Subjective and objective findings of instability should be present to support consideration of revision surgery. Some patients with objective instability are able to participate at a high level of competition in cutting sports without symptomatic instability.
5. In our experience, metallic screws allow easy identification of tunnel placement. We currently do not use “bioabsorbable” screws because we have found that they commonly do not absorb and can be difficult to drill across and difficult to remove during revision surgery.
6. Careful débridement of all synthetic material must be performed to prevent further immune reaction around the new graft.
POSTOPERATIVE CARE
1. In the operating room the knee is placed in a hinged knee brace locked in extension, and the patient is permitted to bear weight as tolerated with the brace.
2. At all other times, the brace can be removed and immediate postoperative range of motion is begun.
1. Once adequate quadriceps control has been regained, the hinged knee brace is discontinued.
2. A cold therapy device, compression stockings, and elevation are used to control edema.
3. The first postoperative appointment is on day 2. A wound check is performed, and Steri-strips (3M, St. Paul, MN) are changed as needed.
4. The initial physical therapy appointment is scheduled for 3 to 5 days postoperatively and focuses on immediate ROM.
1. The patient is educated regarding use of the knee brace, ROM therapy, and operative findings.
5. At the second postoperative visit, on day 8 to 10, sutures are removed, an ROM examination is done, and ROM exercises are explained, especially with focus on extension. In addition, the knee extension brace is discontinued at this time.
6. The postoperative rehabilitation schedule is as follows:
1. Months 1–3: focus on ROM and quadriceps strengthening
2. Months 3–4: progress to eccentric quadriceps strengthening and running
3. Months 4–7: continue strengthening
4. Months 7–8: begin agility drills
5. Months 8–9: begin sport-specific drills.
7. No contact sports are permitted until 9 to 12 months postoperatively.
OUTCOMES
8. The critical factor in successful revision ACL reconstruction is to determine why the initial ACL reconstruction failed before planning the revision surgery. The ultimate clinical outcome likely is based on a combination of factors, including laxity, chondral injury, and meniscal status.
9. Grossman et al,5 in a study that focused on failure of revision ACL reconstruction based on patholaxity, found fairly similar outcomes for subjective and objective measures when compared with primary ACL reconstruction studies.
1. However, only 68% of these patients were able to return to the level of activity and sport they had before the initial injury, significantly lower than the commonly reported 75% to 85% return to pre-injury level sports with primary ACL reconstruction.
10. A prospective study by Noyes and Barber-Westin9,10 looking at revision ACL reconstructions using autogenous bone-patellar tendon–bone grafts resulted in an improvement in subjective scores in 88% of patients, with 62% of these patients able to return to athletics without symptoms.
1. The authors did report an overall graft failure rate of 24%, a threefold increase compared to a previous study by the same authors looking at primary ACL reconstruction.
11. In both of the studies by Noyes and Barber-Westin, the condition of the articular cartilage had a significant effect on the subjective scores.
1. In their later study, Noyes and Barber-Westin10 reported that 93% of patients had compounding problems such as articular cartilage damage, meniscal pathology, loss of secondary ligament restraints, and varus malalignment.
2. While reconstruction of the ACL may provide stability to the knee, these compounding problems play a significant role in patient satisfaction and in patients’ ability to return to their level of activity before the primary surgery.
COMPLICATIONS
* 12. Loss of motion
13. Graft failure
14. Anterior knee pain secondary to damage to the patellofemoral cartilage or quadriceps weakness
15. Unrealistic expectations in those patients with articular cartilage damage regarding their ability to return to strenuous sports
16. Complex regional pain syndrome **
Scientific References
-
**
- 1. Anderson K, Williams RJ, Wickiewicz TL, et al. Revision ACL surgery: how I do it. In: Insall JN, Scott WN, eds. Surgery of the Knee. Philadelphia: Churchill Livingstone, 2001:813–840. [View Source / PubMed]
- 2. Bach BR Jr, Warren RF, Wickiewicz TL. The pivot shift phenomenon: results and a description of a modified clinical test for anterior cruciate ligament insufficiency. Am J Sports Med 1988;16:571–576. [View Source / PubMed]
- 3. Battaglia TC, Miller MD. Management of bony deficiency in revision anterior cruciate ligament reconstruction using allograft bone dowels: surgical technique. Arthroscopy 2005;21:767. [View Source / PubMed]
- 4. Fox JA, Pierc M, Bochuk J, et al. Revision anterior cruciate ligament reconstruction with nonirradiated fresh-frozen patellar tendon allograft. Arthroscopy 2004;20:784–794. [View Source / PubMed]
- 5. Grossman MG, ElAttrache NS, Shields CL, et al. Revision anterior cruciate ligament reconstruction: three- to nine-year follow-up. Arthroscopy 2005;21:243–247. [View Source / PubMed]
- 6. Harner CD, Giffin JR, Dunteman RC, et al. Evaluation and treatment of recurrent instability after anterior cruciate ligament reconstruction. J Bone Joint Surg Am 2000;82A:1652–1664. [View Source / PubMed]
- 7. Hughston JC, Norwood LA Jr. The posterolateral drawer test and external rotational recurvatum test for posterolateral rotatory instability of the knee. Clin Orthop Rel Res 1980;147:82–87. [View Source / PubMed]
- 8. Miller MD, Hinkin DT. The N+7 rule for tibial tunnel placement during endoscopic ACL reconstruction. Arthroscopy 1996;12: 124–126. [View Source / PubMed]
- 9. Noyes FR, Barber-Westin SD. A comparison of results in acute and chronic anterior cruciate ligament ruptures of arthroscopically assisted autogenous patellar tendon reconstruction. Am J Sports Med 1997;25:460–471. [View Source / PubMed]
- 10. Noyes FR, Barber-Westin SD. Revision anterior cruciate surgery with use of bone-patellar tendon-bone autogenous grafts. J Bone Joint Surg Am 2001;83A:1131–1143. [View Source / PubMed]
- 11. Olszewski AD, Miller MD, Ritchie JR. Ideal tibial tunnel length for endoscopic anterior cruciate ligament injuries. Arthroscopy 1998; 14:9–14. [View Source / PubMed]
- 12. Spindler KP, Warren TA, Callison JC, et al. Clinical outcome at a minimum of five years after reconstruction of the anterior cruciate ligament. J Bone Joint Surg Am 2005;87A:1673–1679. [View Source / PubMed]
- 13. Thomas NP, Kankate R, Wandless F, et al. Revision anterior cruciate ligament reconstruction using a 2-stage technique with bone grafting of the tibial tunnel. Am J Sports Med 2005;33:1701–1709. [View Source / PubMed]
- 14. Torg JS, Conrad W, Kalen V. Clinical diagnosis of anterior ligament instability in athletes. Am J Sports Med 1976;4:84–93. [View Source / PubMed]
- 15. Wilson TC, Kantaras A, Atay A, et al. Tunnel enlargement after anterior cruciate ligament surgery. Am J Sports Med 2004;32:543–549. [View Source / PubMed]
You Might Also Like