ACL Reconstruction in the Skeletally Immature Patient: An Intraoperative Masterclass

Key Takeaway
This masterclass details anterior cruciate ligament (ACL) reconstruction in skeletally immature patients, focusing on physeal-sparing and transphyseal techniques. We cover comprehensive anatomy, preoperative planning, granular intraoperative steps, critical pearls and pitfalls, and extensive postoperative management. Essential for fellows mastering pediatric orthopaedic surgery.
DEFINITION
Skeletally immature patients have open growth plates, or physes, and thus have growth potential remaining.
Intrasubstance anterior cruciate ligament (ACL) injuries were once considered rare in this population, with
tibial eminence avulsion fractures considered the pediatric ACL injury equivalent.14 However, intrasubstance ACL injuries in children and adolescents are being seen with increasing frequency and result in an “ACL-deficient knee” as in adult patients.
ACL deficiency in the skeletally immature patient usually results in an unstable knee at risk for further injury and accelerated degeneration.
Conventional surgical reconstruction techniques risk potential iatrogenic growth disturbance due to physeal violation, and thus special consideration must be given to this patient population.10
The physiologic age of the patient reflects the amount of remaining growth potential and knee size and thus heavily influences the treatment options.
Surgical Technique Sport
ANATOMY
The ACL originates from a semicircular area on the posterior portion of the medial aspect of the lateral femoral condyle and courses obliquely to the anteromedial aspect of the tibial plateau at the anterior tibial eminence (or spine).
The primary role of the ACL is to resist anterior translocation and rotation of the tibia on the femur.
The ligament is composed of two anatomically and biomechanically distinct bundles: the anteromedial and the posterolateral bundles.
The anteromedial bundle is more anterior and vertical in orientation. It largely resists anterior translation and tightens in the last 30 degrees of extension.
The posterolateral bundle is more posterior and oblique in orientation. It is more isometric and plays a greater role in rotational control.
Not all skeletally immature patients are the same. Some have a tremendous amount of growth remaining, whereas others are essentially done growing.
Most of the longitudinal growth of the lower extremities comes from the distal femur and the proximal tibia. The tibial physis can be as close as 15 to 20 mm to the tibial spine. The femoral physis comes within millimeters of the femoral attachment of the ACL at the most posterior aspect of its insertion (
FIG 1
).
PATHOGENESIS
The etiology of ACL injury in skeletally immature patients is similar to that in the adult population. It is usually due to a noncontact injury involving a cutting, pivoting, or rapid deceleration maneuver.
Patients often report hearing a “pop” followed by swelling of the knee. ACL injury has been reported in up to 65% of pediatric patients with acute traumatic hemarthrosis.17
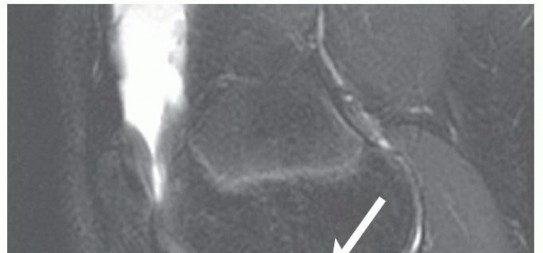
The “shift” that occurs with the ACL-deficient knee at the time of injury causes an impaction injury on the posterior aspect of the tibial plateau against the distal femur at the sulcus terminalis as the tibia translates anteriorly on the femur. Characteristic bone bruises in this location on magnetic resonance imaging (MRI) are pathognomonic for ACL injury (
FIG 2
).
Ligamentous, meniscal, and chondral injuries are commonly associated with ACL injury.
The medial collateral ligament is commonly injured with the ACL.
The posterolateral corner is less often injured with the ACL but is a common cause of failure of ACL reconstruction if it is not addressed as well.
Tears of the lateral meniscus are associated with acute tears of the ACL.
FIG 1 • Sagittal MRI demonstrating the relationship of the ACL to the distal femoral and proximal tibial physes. (From Kocher MS, Garg S, Micheli LJ. Physeal sparing reconstruction of the anterior cruciate
*
ligament in skeletally immature prepubescent children and adolescents. Surgical technique. J Bone Joint Surg Am 2006;88[suppl, 1 pt 2]:283-293.)
Surgical Technique Sport
FIG 2
• Sagittal MRI through the lateral aspect of the knee demonstrating characteristic bone bruise pattern for an acute ACL injury (thin arrow). Note increased signal on the posterior aspect of the lateral tibial plateau and the distal aspect of the femur at the sulcus terminalis (thick arrow).
The posterior horn of the medial meniscus is a secondary restraint to anterior translation of the tibia. In the chronically ACL-deficient knee, the posterior horn of the medial meniscus assumes a greater role in preventing anterior translation and is thus at increased risk of injury.
NATURAL HISTORY
Partial tears may be successfully managed nonoperatively in some patients.9
Complete tears in skeletally immature patients generally have a poor prognosis, with instability leading to further meniscal and chondral injury.1,12
Over half of patients show evidence of early degenerative changes 4 to 5 years after their injury with nonoperative management.12
Patients who have a greater amount of instability, as measured objectively with KT-1000 arthrometry, or pursue higher level cutting and jumping sports, are at greater risk for recurrent injury.3
ACL reconstruction can reduce the risk of ongoing mechanical meniscal and chondral injury associated with
instability. However, how this influences the risk of developing degenerative joint disease is not clear at this time.
PATIENT HISTORY AND PHYSICAL FINDINGS
Adolescents are notoriously bad historians, but every attempt should be made to garner an appreciation for the mechanism of injury, a history of acute or recurrent effusions, and a sense of instability with activities or mechanical symptoms.
Physiologic age should be established informally in the office using the Tanner staging system.18 This can be confirmed in the operating room after the induction of anesthesia. Skeletal age can be determined via hand
and wrist radiographs per the method of Greulich and Pyle.4
A complete examination of the knee should be performed. Particular attention should be given to evaluating the knee for associated pathology.
Overall, lower extremity alignment, angular deformity, and any leg length discrepancy should be noted. Patellar ballottement and fluid wave test should be done to evaluate for the presence of an effusion.
Range of motion (ROM) is important to assess because regaining full ROM before ACL reconstruction may be critical to prevent postoperative arthrofibrosis. Loss of extension should alert the clinician to the possibility of a displaced bucket-handle tear or preoperative arthrofibrosis. Loss of flexion may be due to pain secondary to a tense effusion.
Tenderness to palpation should be assessed and localized specifically as it can greatly direct the diagnosis of related injuries.
Tenderness to palpation along the joint line, particularly the posterior aspect of the joint line, should alert the clinician to the possibility of a meniscal tear. Pain or palpable popping with provocative maneuvers, such as McMurray, Apley compression, or duck walk, will help to confirm this finding.
Pain along the course of or at the femoral or tibial insertion points for the collateral ligaments should alert the clinician to the possibility of a collateral ligament tear.
Pain at the physis should prompt an investigation for a physeal injury, although in our experience, this is not commonly associated with complete ACL injuries.
Tenderness along the medial retinaculum or the course of the medial patellofemoral ligament can indicate an acute patellar dislocation that reduced spontaneously.
Ligamentous evaluation should include the anterior and posterior cruciate ligaments, the medial and lateral collateral ligaments, and the posterolateral corner.
Skeletally immature athletes have a greater degree of physiologic laxity than adult athletes and as such a comparison should always be made to the uninjured knee.
Evaluation of the ACL is best done with the Lachman test in the cooperative patient. In the patient who voluntarily or involuntarily guards against traditional Lachman testing, the prone Lachman or the anterior drawer tests may encourage relaxation and give a more reliable examination.
Pivot shift testing may be performed in the office but is usually not well tolerated by pediatric patients. It should be performed in the operating room as part of the preoperative evaluation of every patient.
The posterior cruciate ligament should be evaluated using the posterior drawer test. The relative starting point should always be assessed first and compared to the contralateral side. The use of posterior drawer
stress radiographs is unclear at this time. Injuries of grade II and above should alert the clinician to the possibility of an associated posterolateral corner injury.
Medial and lateral collateral ligament injuries are assessed through stress opening with valgus and varus stress at 0 and 30 degrees of knee flexion. In the pediatric patient, opening with varus and valgus stress can be due to physeal injuries, and the clinician should always be vigilant for this.
Evaluation of the posterolateral corner is best done with the dial test. The posterolateral drawer and the external rotation recurvatum tests are also useful for evaluating posterolateral corner injuries.
Evaluation for patellar instability with apprehension testing should be performed. Evaluation of quadriceps bulk and strength is important for postoperative recovery.
IMAGING AND OTHER DIAGNOSTIC STUDIES
All pediatric patients with a complaint of knee pain should receive an initial plain radiographic evaluation
including anteroposterior (AP), lateral, and patellar views. With a traumatic injury, both oblique views should be obtained. If there is a concern for an osteochondritis dissecans lesion in the differential, a notch view should also be obtained. In scrutinizing the radiographs, special attention should be given to evaluate for physeal injuries as well as other injuries on the differential diagnosis.
AP and frog-leg lateral plain radiographs of the hip should be considered in the evaluation of all pediatric patients with complaints of knee pain.
Overall varus and valgus malalignment or leg length discrepancies, if present clinically, should be evaluated with fulllength, hip-to-ankle radiographs.
MRI is the diagnostic imaging test of choice for further evaluation of ACL tears in the skeletally immature patient. Recent high-field strength magnets with quality imaging has shown high sensitivity and specificity for
diagnosing ACL injuries in this population15 despite earlier reports noting decreased diagnostic value
compared with the adult population.6 Findings on MRI signifying an ACL tear include a discontinuity in the fibers on the ACL and a characteristic bone bruise pattern on the distal femur and the posterior tibial plateau of the lateral hemijoint.
MRI in the pediatric population has a high false-positive rate for meniscal tears. This is likely due to the increased vascularity of the meniscus, which is often interpreted as intrasubstance degeneration or a tear of
the meniscus.6
DIFFERENTIAL DIAGNOSIS
Tibial eminence (spine) fracture
Other intra-articular or physeal fracture Patellar dislocation
Meniscal tear
Posterior cruciate ligament tear Medial or lateral collateral tear Posterolateral corner injury Physiologic laxity
Hip etiology
NONOPERATIVE MANAGEMENT
Partial or incomplete tears can be successfully managed nonoperatively in some patients if clinical and functional stability is present. The following criteria have been shown to be associated with successful
nonoperative treatment of partial tears9:
Tears of less than 50% of the ligament
Relative preservation of the posterolateral bundle Age younger than 14 years
Normal or near-normal Lachman or pivot shift test
Up to a third of patients may require subsequent reconstruction and should be made aware of that risk at the onset of treatment.
Successful treatment based on the earlier criteria includes the following:
A hinged knee brace is worn for 12 weeks.
Touchdown weight bearing is maintained for 6 to 8 weeks. Passive terminal extension is restricted for the first 6 weeks.
Open-chain activities and active terminal extension is restricted for 12 weeks. Physical therapy emphasizes hamstring muscle strengthening.
Return to sports and active play is permitted at 3 to 6 months if strength and functional testing are symmetric with good form on all activities. A functional knee brace is recommended for 2 years for cutting and pivoting activities.
Nonoperative management of complete tears in skeletally immature patients generally has a poor prognosis.
For prepubescent patients with a complete ACL tear but without a concurrent chondral injury requiring stabilization or meniscal injury requiring repair, we still discuss nonoperative treatment with activity modification, functional bracing, and continued rehabilitation.
In our experience, compliance with activity modification and brace use and effectiveness limits the success of this treatment.
Delay in surgical stabilization can lead to further meniscal and chondral injury due to recurrent instability.
Although results of nonoperative management are generally poor, the risk of further intra-articular injury by waiting until skeletal maturity to undergo reconstruction must be weighed against the risk of growth disturbance with early reconstruction.
Some patients are able to cope with their ACL insufficiency or modify their activities, allowing for further growth and aging such that the reconstruction may be performed when little or no growth remains, minimizing risk for growth disturbance.
For prepubescent patients with ongoing instability, early reconstruction with a physeal-avoiding procedure is indicated.
For adolescent patients with growth remaining who have a complete ACL tear, we do not advocate initial nonoperative treatment because the risk of functional instability resulting in injury to the meniscal and articular
cartilage is high and there are anatomic reconstruction options that have a minimal risk of growth disturbance.
SURGICAL MANAGEMENT
Conventional adult ACL reconstruction techniques risk potential iatrogenic growth disturbance due to physeal violation, and cases of growth disturbance have been reported in animal models and clinical series.10
The following principles should always be followed with any reconstructive strategy:
No hard fixation, such as with an interference screw, should cross the physis because it has a high risk of inducing a growth disturbance.
No bone, such as that associated with a bone-patellar tendon-bone graft, should cross the physis because it also has a high risk of inducing a growth disturbance.
The following principles should be taken into consideration and approached with great caution when deciding on a reconstructive strategy:
Drill holes across the physis should be as small and as central in the physis as possible.
Oblique drill holes across the physis affect a larger portion of the physis than do perpendicular drill holes of the same diameter. This is especially important when considering placement of the femoral tunnel.
A tensioned soft tissue graft in a bone tunnel across the physis can also induce a growth disturbance.
Excessive dissection around the posterolateral aspect of the femoral physis or performance of an aggressive
notchplasty should be avoided to prevent injury to the perichondral ring and subsequent deformity.
FIG 3 • Algorithm for management of complete ACL injuries in skeletally immature patients.
The approach to ACL reconstruction in the skeletally immature patient should be based on physiologic age and growth remaining. Knee size can also be considered in the feasibility of various techniques (
FIG 3
).
A variety of reconstructive techniques have been used, including physeal-sparing, partial transphyseal, and transphyseal methods using various grafts.
In prepubescent patients with large amounts of growth potential remaining, and smaller knees, a physeal-
sparing, combined intra-articular and extra-articular reconstruction using autogenous iliotibial band should be considered.
Recognizing that the combined intra-articular and extraarticular reconstruction using autogenous iliotibial band described here is nonanatomic, we still counsel patients and families that revision reconstruction may be needed if recurrent instability develops, but this procedure may temporize for further growth such that the patient may then undergo a more conventional reconstruction with drill holes.
However, we have found that few revision reconstructions are necessary with the combined intra-articular and extraarticular reconstruction and that long-term function is similar to other reconstructions.
In prepubescent patients with large amounts of growth potential remaining, and larger knees, an all-epiphyseal reconstruction using autogenous hamstrings may be considered.
In adolescent patients with significant growth remaining, transphyseal ACL reconstruction with autogenous hamstring tendons with fixation away from the physes can be considered.
In adolescent patients approaching skeletal maturity, we perform conventional adult ACL reconstruction with interference screw fixation using either autogenous central-third patellar tendon or autogenous hamstrings (see Chap. 10).
A variety of other physeal-sparing or physeal-respecting hybrid reconstructions have been described and may be used in cases where patients are in between the previously noted categories (
FIG 4
*). One common reconstruction technique is the epiphyseal femoral tunnel combined with the transphyseal tibial tunnel to avoid creating such an oblique femoral tunnel in a younger adolescent with significant growth remaining.
In skeletally immature patients, as in adult patients, ACL reconstruction should be performed with caution in the acute inflammatory phase after the injury to minimize the risk of arthrofibrosis.
Rehabilitation is performed to regain ROM, decrease swelling, and resolve the reflex inhibition of the quadriceps prior to proceeding with reconstruction.
Skeletally immature patients must be emotionally mature enough to actively participate in the extensive rehabilitation and adhere to the restrictions required after ACL reconstruction.
Preoperative Planning
All imaging studies, including plain radiographs and MRI, should be reviewed and associated injuries identified.
In general, associated injuries, such as meniscal, articular cartilage, or other multiple ligament injuries, should be addressed at the time of ACL reconstruction. However, reconstruction may be staged in some cases, such as nonoperative treatment of a medial collateral ligament injury before ACL reconstruction.
Consideration should be given to using pediatric anesthesia services, given the age of the patient. Tanner staging should be confirmed at the time of surgery after the induction of general anesthesia.
A complete ligamentous knee examination, including Lachman, pivot shift, varus and valgus stress, posterior drawer, and dial tests, should be performed and the findings compared to the contralateral side to confirm the diagnosis.
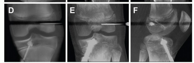
FIG 4 • Examples of repairs in male patients aged 6 to 14 years old. A. Skeletal age 6: combined intra-articular and extra-articular with iliotibial band. B. Skeletal age 8: modified Anderson. C. Skeletal age 10: all-epiphyseal.
*
D. Skeletal age 12: hybrid. E. Skeletal age 14: transphyseal.
*
Positioning
For the procedures described here, positioning and setup are very similar.
The procedure is performed under general anesthesia and can usually be done on an outpatient basis. Young children may benefit from overnight observation.
Regional anesthesia can assist with pain relief but is not required. Local anesthesia with sedation may not be reliable in this population and has the potential for a paradoxical effect of sedation.
The patient is placed supine on the operating room table and moved close to the operative side of the table such that the operative leg easily drapes over the edge of the table.
A tourniquet is placed high about the upper thigh. It is routinely used during the combined intra-articular and extra-articular reconstruction using autogenous iliotibial band but is not routinely used during the all-epiphyseal and transphyseal technique.
A side post is placed two fingerbreadths above the flexed knee as it drapes over the side of the bed. It is used in the “up” position for the diagnostic arthroscopy and dropped to the “down” position to provide a ledge for supporting the knee during the ACL reconstruction.
Approach
The approach depends on the technique employed and the choice of graft.
Autograft is preferred because of a potential of decreased risk of retear compared with allograft,5,13 but soft tissue allograft could be considered based on patient preference. Allograft would negate the need for hamstring harvest.
TECHNIQUES
-
Physeal-Sparing, Combined Intra-articular and Extra-articular Reconstruction with Autogenous Iliotibial Band in Prepubescent Patients with Smaller Knees
-
Harvest of Iliotibial Band Graft
An incision of about 6 cm is made obliquely from the lateral joint line to the superior border of the iliotibial
band.
Proximally, the iliotibial band is separated from subcutaneous tissue using a periosteal elevator under the skin of the lateral thigh.
The anterior and posterior borders of the iliotibial band are incised and the incisions carried proximally under the skin using curved meniscotomes ( TECH FIG 1A ).
The iliotibial band is detached proximally under the skin using a curved meniscotome or an open tendon stripper. Alternatively, a counterincision can be made at the upper thigh to release the tendon.
Dissection is performed distally to separate the iliotibial band from the joint capsule and from the lateral patellar retinaculum ( TECH FIG 1B ).
The iliotibial band is left attached distally at the tubercle of Gerdy ( TECH FIG 1C ).
The free proximal end of the iliotibial band is tubularized with a no. 5 Ethibond whipstitch and wrapped in a moist sponge until needed later. -
Arthroscopy
Diagnostic arthroscopy of the knee is performed through standard anterolateral viewing and anteromedial working portals.
Management of meniscal injury or chondral injury is performed if present.
The ACL remnant is excised with the use of biting instruments and the shaver.
The over-the-top position on the femur and the over-the-front position under the intermeniscal ligament are identified and cleared of excess tissue to allow passage of the graft.
Minimal notchplasty is performed to avoid iatrogenic injury to the perichondral ring of the distal femoral physis, which is very close to the over-the-top position.2 -
Graft Passage
The free end of the iliotibial band graft is brought through the over-the-top position using a full-length clamp ( TECH FIG 2A )
or a two-incision rear-entry guide (
TECH FIG 2B
) and out the anteromedial portal (
TECH FIG 2C,D
).
TECH FIG 1 • Harvest of iliotibial band graft for physeal-sparing ACL reconstruction. The anterior and posterior aspects of the iliotibial band are identified through a laterally based incision at the knee. A. A meniscotome or an open tendon stripper is then used to harvest the proximal aspect of the graft. B. The graft is then freed distally. C. The free proximal aspect of the graft is tubularized and left attached distally to the tubercle of Gerdy. (A,B: From Kocher MS, Weiss JM. ACL reconstruction in the skeletally
immature patient. In: Tolo VT, Scaggs DL, eds. Master Techniques in Orthopaedic Surgery: Pediatrics. Philadelphia: Lippincott Williams & Wilkins, 2008:277-287.)
A second incision of about 4.5 cm is made over the proximal medial tibia in the region of the pes anserinus insertion.
Dissection is carried through the subcutaneous tissue to the periosteum.
TECH FIG 2 • Graft passage for physeal-sparing ACL reconstruction. A. The graft is brought through the knee in the over-the-top position using a full-length clamp introduced through the anteromedial portal and out the lateral incision. B. Alternatively, a two-incision rear-entry guide can be used. C,D. The lead sutures are used to bring the graft through the notch and out the anteromedial portal. E. After a rasp is used to create a groove in the anterior tibia under the intermeniscal ligament, a curved clamp is placed under the intermeniscal ligament (F) and the graft is brought to the anterior aspect of the knee. (A,C,E,F: From Kocher MS, Weiss JM. ACL reconstruction in the skeletally immature patient. In: Tolo VT, Scaggs DL, eds. Master Techniques in Orthopaedic Surgery: Pediatrics. Philadelphia: Lippincott Williams & Wilkins, 2008:277-287.)
A curved clamp is placed from this incision into the joint under the intermeniscal ligament (
TECH FIG 2E
).
A small groove is made in the anteromedial proximal tibial epiphysis under the intermeniscal ligament using a curved rattail rasp to bring the tibial graft placement more posterior.
The free end of the graft is then brought through the joint, under the intermeniscal ligament in the anteromedial epiphyseal groove, and out the medial tibial incision (
TECH FIG 2F
).
Graft Fixation
Through the lateral incision, the iliotibial band graft is sutured near the over-the-top position to the
intermuscular septum and the periosteum of the posterior lateral femoral condyle with the knee flexed 90 degrees, tension on the graft, and the foot externally rotated 30 degrees (
TECH FIG 3A
).
Fluoroscopic imaging is used to assess the location of the proximal tibial physis.
TECH FIG 3 • Graft fixation for physeal-sparing ACL reconstruction. A. With the knee flexed 90 degrees, tension on the graft, and the foot externally rotated 30 degrees, the graft is secured to the intermuscular septum and the periosteum of the posterior lateral femoral condyle near the over-the-top position. B. With the knee flexed to 20 degrees, the tensioned graft is secured to the periosteum at the roughened margins of a trough in the proximal tibia. Fluoroscopic imaging is used to ensure that the proximal tibial physis is not disturbed. (A: From Kocher MS, Weiss JM. ACL reconstruction in the skeletally immature patient. In: Tolo VT, Scaggs DL, eds. Master Techniques in Orthopaedic Surgery: Pediatrics. Philadelphia: Lippincott Williams & Wilkins, 2008:277-287.)
A longitudinal incision is made in the periosteum distal to the proximal tibial physis.
The edges are gently elevated and a trough is made in the proximal tibial medial metaphyseal cortex. The knee is flexed 20 degrees and tension applied to the graft.
The graft is sutured to the periosteum at the roughened margins with mattress sutures (
TECH FIG 3B
). The knee is checked for stability to Lachman testing and ROM.
Wound Closure
The wounds are copiously irrigated.
The tourniquet is deflated and meticulous hemostasis is achieved. The wounds are then closed in layers in a standard fashion.
1. ## Physeal-Sparing Reconstruction with Autogenous Hamstring with All-Epiphyseal Fixation in Prepubescent Patients with Larger Knees
This all-epiphyseal reconstruction11 restores the native ACL attachments and keeps the graft and fixation entirely in the epiphysis.
Intraoperative fluoroscopy or CT scanning is used to confirm the precise localization of the all-epiphyseal femoral and tibial tunnels.
This technique uses an all-soft tissue graft with epiphyseal fixation. We describe fixation with an epiphyseal RetroScrew (Arthrex, Inc., Naples, FL) on the tibia side and an epiphyseal interference screw
on the femoral side, but other suspensory fixation methods are also possible especially when using all-inside ACL reconstruction techniques.
Harvest and Preparation of Autogenous Hamstrings Tendon Graft
Hamstrings are routinely harvested at the start of the case if the diagnosis is not in question. However, if the diagnosis is in doubt, arthroscopy can be performed first to confirm ACL tear.
The leg is placed in a slightly externally rotated position with the knee slightly bent.
A 4-cm incision is made over the palpable pes anserinus tendons on the medial side of the proximal tibia. Dissection is carried through skin to expose the sartorius fascia.
The underlying gracilis (superior) and semitendinosus (inferior) tendons are identified by palpation.
A longitudinal incision is made in the flat sartorius fascia. The cordlike gracilis and semitendinosus tendons are identified on its deep surface.
The tendons are dissected free distally and their free ends whipstitched with no. 2 high tensile strength suture or no. 5 Ethibond suture.
They are dissected proximally using sharp and blunt dissection. Fibrous bands to the medial head of the gastrocnemius should be sought and must be completely released before proceeding with tendon stripping.
A closed tendon stripper is used to dissect the tendons free proximally. Firm, steady longitudinal retraction is placed on the tendons individually as the tendon stripper is gently and slowly advanced proximally collinear to the vector of pull of the tendon.
Alternatively, the tendons can be left attached distally and an open tendon stripper is used to release the tendons proximally.
The tendons are taken to the back table and excess muscle is removed by scraping with the side of a no. 15 blade or a Freer.
The ends are whipstitched with no. 2 high tensile strength suture or no. 5 Ethibond suture.
The tendons are folded over a no. 5 Ethibond suture and the end 2 cm of folded-over graft is whipstitched with no. 2 high tensile strength suture or no. 5 Ethibond suture.
The graft diameter is sized and the graft is placed under tension with wet gauze around it.
Arthroscopy
Arthroscopy of the knee is then performed through standard anterolateral viewing and anteromedial working portals.
Management of meniscal injury or chondral injury is performed if present.
The ACL remnant is excised with the use of biting instruments and the shaver to reveal the anatomic footprint on the tibia and the femur.
Minimal notchplasty is performed to avoid iatrogenic injury to the perichondral ring of the distal femoral physis, which is very close to the over-the-top position.2
Femoral Tunnel Preparation
An outside-in femoral guide is set at 95 degrees and placed through the medial portal into the center of the femoral ACL footprint.
A 1.5- to 2-cm incision is made over the lateral femur (
TECH FIG 4A
), anterior and distal to the lateral epicondyle. Blunt dissection is performed down to bone.
A guidewire is then passed through the femoral guide, distal to the femoral physis, to the center of the femoral ACL footprint. The guidewire is left in while the femoral guide is removed (
TECH FIG 4B
).
TECH FIG 4
•
A.
For the femoral epiphyseal tunnel, we draw a “bull's-eye” to approximate our desired entry point using the palpable landmarks. First, a semicircle is drawn for the lateral femoral condyle. Then a line is drawn parallel to the femoral shaft (solid line). A second line, perpendicular to the first, is drawn starting at the level of the superior pole of the patella. The intersection of these two lines represents a safe starting point. Proximal to the line off of the superior pole of the patella lies the physis and perichondral ring. Posterior to the line along the femoral shaft lies neurovascular structures and a greater risk for violating the cartilaginous surfaces. Any deviation from the ideal starting point should be anterior and distal.
B.
With the femoral guide pin seated in the femoral epiphysis, and the engaged cutting blade and its guide pin seated at the most distal aspect of the tibial tunnel, imaging is used to confirm their positions.
The guidewire, when properly placed, is usually running slightly distal to proximal upon insertion into the knee and usually has about a 45-degree angle relative to the floor when the knee is in extension and with the patella straight-up.
Tibial Tunnel Preparation
Preoperatively, the distance from the tibial ACL footprint to the physis is measured. Based on the expected slight obliquity of the tunnel, at least 20 mm of epiphyseal bone is needed for this technique.
A RetroDrill targeting guide (Arthrex), with a cutting blade appropriate for the graft size, is inserted over the center of the tibial ACL footprint.
The guide pin for the RetroDrill is advanced through the targeting guide, capturing the cutting blade. It is then drilled back about 17 to 18 mm or about 2 to 3 mm less than the distance from the tibial ACL footprint to the physis measured preoperatively.
The guide pin, with the engaged cutting blade seated at the most distal aspect of the tibial tunnel, is left in place, whereas the RetroDrill targeting guide is removed (see TECH FIG 4B).
Epiphyseal Tunnel Position Confirmation
Imaging is used to confirm the position of the guidewires and their distance from the physis.
The undulating nature of the distal femoral physis makes accurate assessment of pin placement on plain imaging challenging.
A low-dose, limited-cut CT scan may be performed with an O-arm (Medtronic, Inc., Minneapolis, MN) to provide accurate three-dimensional assessment of pin placement relative to the physis (
TECH FIG 5
).
Alternatively, AP and lateral fluoroscopy can also be used, but again, the undulating nature of the femoral physis can make interpretation challenging.
The position of the femoral guide pin and the depth of the tibial RetroDrill are adjusted accordingly.
Completion of Femoral and Tibial Tunnel Preparation
The femoral tunnel is drilled outside-in over the femoral guidewire using standard cannulated reamers. Frequent pauses in drilling are appropriate to decrease the zone of thermal necrosis.
The femoral tunnel is then examined arthroscopically to ensure that the femoral physis has not been violated.
The RetroDrill targeting guide is replaced, and the cutting blade is then advanced back into the joint, disengaged, and removed. A FiberStick suture (Arthrex) is passed through the tibial tunnel and out the femoral tunnel before the RetroDrill targeting guide is removed.
The intra-articular tunnel openings are smoothed with the back of a curette.
TECH FIG 5 • Intraoperative images from a limited-cut CT scan with the femoral guide pin in the epiphysis and the engaged cutting blade and its guide pin seated at the most distal aspect of the tibia tunnel.
*
Graft Passage and Fixation
The FiberStick suture is used to pass the lead suture of the graft and a separate Nitinol wire (Arthrex) for the RetroScrew from the femoral tunnel out the tibial tunnel (
TECH FIG 6A
).
The Nitinol wire is retrieved from the femoral socket and shuttled out the anteromedial portal to place it
on the anterior portion of the tibial socket (
TECH FIG 6B
).
The graft is advanced through the femoral socket and seated firmly into the tibial socket.
The RetroScrew screwdriver is inserted through the tibial tunnel over the Nitinol wire, past the graft seated in the tibial socket and just into the joint.
The Nitinol wire is removed and replaced with another FiberStick suture which is brought out the anteromedial portal. A RetroScrew is placed on the FiberStick and mulberry knot is tied behind it (
TECH FIG 6C
).
The RetroScrew is advanced into the joint, flipped onto the screwdriver, and screwed into place while tension is held on the graft and it is firmly seated in the tibial tunnel.
Each limb of the graft is tensioned, the knee cycled 20 times and brought into full extension.
In full extension with a slight posterior drawer, the graft is tensioned and an interference screw is placed to secure the graft into the femoral tunnel (
TECH FIG 6D
).
TECH FIG 6 • A. The FiberStick suture is used to pass the lead suture of the graft and a separate Nitinol
wire in from the femoral socket.
B.
The Nitinol wire is retrieved from the femoral socket and shuttled out the anteromedial portal.
C.
The RetroScrew is placed on a second FiberStick suture placed up the retroscrewdriver and mulberry knot tied behind it.
D.
* The final construct with the femoral interference screw having been placed.
-
Transphyseal Reconstruction with Autogenous Hamstring with Metaphyseal Fixation in Adolescent Patients with Growth Remaining
The transphyseal reconstruction is similar to the anatomic singlebundle ACL reconstruction technique.
The basic principles of graft harvest, notch preparation, tunnel placement, and tunnel creation are the same.
This technique uses an all-soft tissue graft with metaphyseal fixation. We describe fixation with a cortical button on the femoral side and an all-metaphyseal interference screw on the tibial side, but other all-metaphyseal options exist.
Most prior studies noting the relative safety of the transphyseal procedure with respect to growth disturbance have used more vertical and central femoral tunnels than the more anatomic independent and anteromedial portal femoral tunnel techniques now routinely used to place grafts closer the center of the anatomic footprint of the ACL. Because of concerns with creating oblique and eccentric tunnels in patients with more growth remaining, many surgeons favor creating an epiphyseal femoral tunnel and paring it with a transphyseal tibial tunnel in younger adolescents (see FIG 4D). -
Harvest and Preparation of Autogenous Hamstrings Tendon Graft
Hamstrings harvest and preparation is performed the same way as in all-epiphyseal reconstruction except the tendons are folded over the loop of a cortical button fixation device instead of a no. 5 Ethibond suture. We prefer self-cinching devices, as they maximize the amount of graft in the tunnel. -
Arthroscopy
Arthroscopy of the knee is performed the same way as in the other reconstructions. -
Femoral Tunnel Preparation
A femoral tunnel is drilled independently of the tibial tunnel using an anteromedial portal technique or an outside-in retrodrilling technique. We describe here the outside-in retrodrilling technique because it can be used to place the femoral tunnel either in a transphyseal or an epiphyseal location.
For both techniques, the center of the femoral footprint should be marked and visualized via the medial portal.
An outside-in femoral targeting guide is placed at the center of the femoral footprint and a guidewire inserted from outside-in.
A 7-mm stepped drill sleeve is then placed over guidewire and malleted securely into place. The guide contains a 7-mm offset preventing reaming out the lateral femoral cortex. The guidewire is removed.
A appropriately sized FlipCutter (Arthrex) is drilled into the center of the femoral footprint. The drill bit is then deployed and drilled back 25 to 30 mm or until it engages the stepped drill sleeve 7 mm from the lateral femoral cortex.
The FlipCutter is removed and a Nitinol guidewire placed through the stepped drill sleeve. The stepped drill sleeve is then removed.
The edge of the femoral tunnel is smoothed by slight impaction with the back of a curette. -
Tibial Tunnel Preparation
A tibial tunnel guide (set at 60 to 65 degrees) is used through the anteromedial portal. The tunnel should be about 50 mm to allow for placement of a short interference screw distal to the physis.
The hamstrings harvest incision is used and a guidewire is drilled into the center of the ACL tibial footprint.
The guidewire entry point on the tibia should be kept medial to avoid injury to the tibial tubercle apophysis.
The guidewire is reamed with the appropriate-diameter reamer based on the size of the graft. Frequent pauses in drilling are appropriate to decrease the chance of thermal necrosis.
Excess soft tissue around the tibial tunnel is excised to avoid the formation of a cyclops lesion, which may limit postoperative ROM.
The posterior rim of the tunnel is smoothed with a rasp or impacted with the smooth side of a curette to prevent graft abrasion over a sharp tunnel edge.
The looped Nitinol wire is brought out the tibial tunnel to the anterior tibia. -
Graft Passage and Fixation
The passing sutures on the cortical button device are placed in the loop of the Nitinol wire and pulled through the tibial tunnel, through the femoral tunnel, and out the lateral thigh ( TECH FIG 7A ).
The cortical button is passed just to the femoral cortex and flipped ( TECH FIG 7B ). Then, the graft is cinched up to the button until fully seated in the femoral tunnel.
Alternatively, the cortical button is passed through the lateral femoral cortex until the graft is fully seated in the femoral tunnel. Then, the cortical button is cinched down to the lateral femoral cortex.
Fixation of the self-cinching mechanism can be reinforced by a couple of overhand knots tied over the button.
Tension is applied to each limb of the graft to ensure that there is even tension in all strands and no graft slippage.
The knee is then extended to ensure that there is no graft impingement and cycled about 10 to 20 times with tension applied to the graft.
The knee is flexed to 20 to 30 degrees, tension is applied to the graft, and a posterior drawer force placed on the tibia.
On the tibial side, the graft is fixed either with a soft tissue interference screw if there is adequate tunnel distance (at least 30 mm) below the physis to ensure metaphyseal placement of the screw ( TECH FIG 7C ) or with a post and spiked washer ( TECH FIG 7D ).
Fluoroscopy can be used to ensure that the fixation is away from the physis if there is any question. -
TECH FIG 7 • Graft passage and fixation for transphyseal reconstruction with metaphyseal fixation. A. The Nitinol wire is used to pass the cortical button device and graft through the tibial tunnel and into the femoral tunnel. B. The cortical button is flipped and seats perpendicular to the cortex. C. Tibial fixation is with an interference screw if enough graft and tunnel length is present inferior to the proximal tibial physis. D. Alternatively, a post and spiked washer may be used.
PEARLS AND PITFALLS
History and physical examination
1. Because of normal physiologic laxity in adolescents, physical examination findings should always be compared to the opposite side.
Diagnostic imaging
1. MRI in skeletally immature knees is less sensitive and specific for evaluating meniscal injuries and so a careful evaluation at the time of arthroscopy should be performed.
Graft preparation
2. With the physeal-sparing approach, the surgeon should avoid having too short of a graft to adequately secure to the tibia by harvesting a long enough strip of iliotibial band fascia.
3. With autograft hamstring harvest, care should be taken to clear all bands attached to the hamstring tendons before performing tendon stripping.
4. Grafts should be handled carefully and secured while waiting for insertion.
Arthroscopy ▪ The surgeon should avoid excess dissection around the posterolateral aspect of the femoral condyle and aggressive posterior notchplasty to avoid potential injury to the perichondral ring and subsequent deformity.
Tunnel preparation
5. Large and oblique tunnels should be avoided, as the likelihood of arrest is increased with greater violation of epiphyseal plate cross-sectional area.
| Graft fixation ▪ The surgeon should avoid fixation that crosses the physis, particularly across the lateral distal femoral epiphyseal plate, which seems to have the greatest risk of producing a growth disturbance.8,10
1. For tibial fixation while performing the physeal-sparing technique, the surgeon
should stay medial to avoid damage to the vulnerable tibial tubercle physis.
Postoperative ▪ The patient's emotional maturity and ability to comply with postoperative
care rehabilitation protocols should be factored into the clinician's recommendations.
Slower rehabilitation protocols should be used for some patients.
| ---|---|---
POSTOPERATIVE CARE
Rehabilitation after ACL reconstruction in skeletally immature patients is essential to ensure a good outcome, allow return to sports, and avoid reinjury.
Rehabilitation in prepubescent children can be challenging. A therapist who is used to working with children and can make therapy interesting and fun is very helpful.
Compliance with therapy and restrictions should be carefully monitored.
Weight bearing is limited to touchdown weight bearing for 6 weeks for physeal-sparing, combined intraarticular and extra-articular reconstruction with autogenous iliotibial band; 4 weeks for the all-epiphyseal with autogenous hamstrings; and 2 weeks for the transphyseal technique in adolescents with growth remaining.
A protective brace is used for 6 weeks postoperatively.
ROM is limited from 0 to 90 degrees for the first 2 weeks, followed by progressive full ROM.
A continuous passive motion (CPM) machine from 0 to 90 degrees and cryotherapy are used for 2 weeks postoperatively.
Progressive supervised rehabilitation consists of ROM exercises, patellar mobilization, electrical stimulation, pool therapy (if available), proprioception exercises, and closed-chain strengthening during the first 3 months postoperatively. A running program that progresses through straight-line jogging, plyometric exercises, and finally sport-specific exercises follows.
Return to full activity, including cutting sports, is usually allowed at a minimum of 9 months for transphyseal and 1 year for all-epiphyseal reconstructions and then only if the patient has achieved full ROM, has 90% to 95% strength compared to the uninjured leg, and can perform a series of functional tests including single-leg hop to 90% to 95% of the uninjured leg with good form.
A functional knee brace is routinely used during cutting and pivoting activities for the first 2 years after return to sports.
OUTCOMES
Performed properly, physeal-sparing reconstruction in preadolescent skeletally immature patients appears to provide an excellent functional outcome, with a low revision rate and a minimal risk of growth disturbance.
The largest study of outcomes after physeal-sparing, combined intra-articular and extra-articular ACL reconstruction noted a 4.5% revision rate for graft failure at 4.7 and 8.3 years postoperatively.7,16
No cases of significant angular deformity measured radiographically or leg length discrepancy measured clinically were noted in this series.
COMPLICATIONS
Growth disturbance
Leg length discrepancy Distal femoral valgus
Tibial recurvatum with an arrest of the tibial tubercle apophysis Arthrofibrosis, particularly loss of extension
Graft failure
Recurrent instability despite an intact graft, requiring revision to more anatomic reconstruction at skeletal maturity
Tunnel widening Infection
Deep venous thrombosis
Scientific References
- 1. Aichroth PM, Patel DV, Zorrilla P. The natural history and treatment of rupture of the anterior cruciate ligament in children and adolescents. A prospective review. J Bone Joint Surg Br 2002;84(1):38-41. [View Source / PubMed]
- 2. Behr CT, Potter HG, Paletta GA Jr. The relationship of the femoral origin of the anterior cruciate ligament and the distal femoral physeal plate in the skeletally immature knee. An anatomic study. Am J Sports Med 2001;29:781-787. [View Source / PubMed]
- 3. Daniel DM, Stone ML, Dobson BE, et al. Fate of the ACL-injured patient. A prospective outcome study. Am J Sports Med 1994;22: 632-644. [View Source / PubMed]
- 4. Greulich WW, Pyle SI. Radiographic Atlas of Skeletal Development of the Hand and Wrist. Stanford, CA: Stanford University Press, 1959. [View Source / PubMed]
- 5. Kaeding CC, Aros B, Pedroza A, et al. Allograft versus autograft anterior cruciate ligament reconstruction: predictors of failure from a MOON prospective longitudinal cohort. Sports Health 2011;3:73-81. [View Source / PubMed]
- 6. Kocher MS, DiCanzio J, Zurakowski D, et al. Diagnostic performance of clinical examination and selective magnetic resonance imaging in the evaluation of intraarticular knee disorders in children and adolescents. Am J Sports Med 2001;29:292-296. [View Source / PubMed]
- 7. Kocher MS, Garg S, Micheli LJ. Physeal sparing reconstruction of the anterior cruciate ligament in skeletally immature prepubescent children and adolescents. J Bone Joint Surg Am 2005;87(11):2371-2379. [View Source / PubMed]
- 8. Kocher MS, Hovis WD, Curtin MJ, et al. Anterior cruciate ligament reconstruction in skeletally immature knees: an anatomical study. Am J Orthop 2005;34:285-290. [View Source / PubMed]
- 9. Kocher MS, Micheli LJ, Zurakowski D, et al. Partial tears of the anterior cruciate ligament in children and adolescents. Am J Sports Med 2002;30:697-703. [View Source / PubMed]
- 10. Kocher MS, Saxon HS, Hovis WD, et al. Management and complications of anterior cruciate ligament injuries in skeletally immature patients: survey of the Herodicus Society and the ACL Study Group. J Pediatr Orthop 2002;22:452-457. [View Source / PubMed]
- 11. Lawrence JT, Bowers AL, Belding J, et al. All-epiphyseal anterior cruciate ligament reconstruction in skeletally immature patients. Clin Orthop Relat Res 2010;468:1971-1977. [View Source / PubMed]
- 12. Mizuta H, Kubota K, Shiraishi M, et al. The conservative treatment of complete tears of the anterior cruciate ligament in skeletally immature patients. J Bone Joint Surg Br 1995;77(6):890-894. [View Source / PubMed]
- 13. Pallis M, Svoboda SJ, Cameron KL, et al. Survival comparison of allograft and autograft anterior cruciate ligament reconstruction at the United States Military Academy. Am J Sports Med 2012;40:1242-1246. [View Source / PubMed]
- 14. Rang M. Children's Fractures. Philadelphia: JB Lippincott, 1983. [View Source / PubMed]
- 15. Schub DL, Altahawi F, F Meisel A, et al. Accuracy of 3-Tesla magnetic resonance imaging for the diagnosis of intra-articular knee injuries in children and teenagers. J Pediatr Orthop 2012;32:765-769. [View Source / PubMed]
- 16. Spindler KP, Kuhn JE, Freedman KB, et al. Anterior cruciate ligament reconstruction autograft choice: bone-tendon-bone versus hamstring: does it really matter? A systematic review. Am J Sports Med 2004;32:1986-1995. [View Source / PubMed]
- 17. Stanitski CL, Harvell JC, Fu F. Observations on acute knee hemarthrosis in children and adolescents. J Pediatr Orthop 1993;13:506-510. [View Source / PubMed]
- 18. Tanner JM, Whitehouse RH. Clinical longitudinal standards for height, weight, height velocity, weight velocity, and stages of puberty. Arch Dis Child 1976;51:170-179. [View Source / PubMed]
You Might Also Like