Percutaneous Osteotomies & Fassier-Duval Telescoping Nailing for OI Long Bone Deformity
22 Feb 2026
34 min read
134 Views

Key Takeaway
This masterclass details percutaneous osteotomies and Fassier-Duval telescoping nailing for long bone deformities in osteogenesis imperfecta. We cover comprehensive surgical anatomy, meticulous preoperative planning, and granular intraoperative execution from a surgeon's perspective. Learn critical pearls, pitfalls, and postoperative management to optimize outcomes for these fragile patients, minimizing morbidity and enhancing function.
Multiple Percutaneous Osteotomies and Fassier-Duval Telescoping Nailing of Long Bones in Osteogenesis Imperfecta
## r
## DEFINITION
Children with osteogenesis imperfecta (OI) and syndromes with congenital brittle bones sustain recurrent fractures and deformity, which cause chronic pain and limit their function.24, 25
Multiple percutaneous osteotomies and percutaneous telescoping intramedullary nailing can improve comfort and function with lower morbidity than previously was possible.
The severity of bone disease, fracture incidence, degree of deformity, and functional level of the patient, as well as the patient's response to medical treatment, are more important in surgical decision making than the specific diagnostic type of OI or brittle bone disease.
ANATOMY
## There is broad variation in anatomic findings in the different types of OI and other brittle bone diseases that resemble it.
## Some children have blue sclera, obvious dentinogenesis imperfecta, triangular faces, and ligamentous laxity, but this varies greatly, even within the same family, and many affected children have none of these findings.
## The defining characteristics of children with OI are a varying degree of bone fragility and recurrent fractures.
## Progressive anterior bowing of the long bones is quite common, especially in children with moderate to severe involvement, even with early treatment with bisphosphonates (FIG 1).
## Coxa vara, both apparent and true, can develop.1, 9
## PATHOGENESIS
## OI is caused, in the great majority of cases, by dominant mutations in type I procollagen genes.
## In the remaining cases, children may have brittle bone disease with a similar presentation and problems that are not caused by mutations in the type I procollagen genes.24, 25
The flexors, such as the gastrocnemius muscles and hamstrings, contribute to the progressive bowing. Secondary joint contractures may be seen as a result of the long-standing deformities.
## Juxta-articular bone deformities can mimic joint contractures, and extra-articular osteotomies frequently will allow full joint motion.
## NATURAL HISTORY
## Historically, children with very severe OI, especially Sillence type II, rarely survived infancy, and children with types III and IV had severe disability secondary to recurrent fractures, bone pain, and deformities.30, 31
## Before bisphosphonate therapy was available, ambulation and even functional, comfortable sitting were difficult if not impossible for many children with severe forms of OI.
## Even children with less severe forms of OI may have many significant fractures, which inhibit comfort, function, and quality of life.
Scoliosis and vertebral flexion fractures with secondary kyphosis are common. Spondylolysis and spondylolisthesis are very common, especially in ambulatory children.11
##
## FIG 1 • A. Radiographs of an infant with moderately severe OI, with the typical anterolateral bow most severe in the subtrochanteric region. B. At 16 months of age, bone strength is improved, but the deformity does not remodel.
P.568
## Progressive craniocervical abnormalities such as basilar invagination, cranial settling, as well as C2 fractures can occur and are not necessarily related to the overall severity of the OI.
PATIENT HISTORY AND PHYSICAL FINDINGS
## Findings vary greatly depending on the type and severity of OI. In addition, findings on physical examination may change dramatically as children respond to treatment with bisphosphonates.
## Possible physical findings include blue sclera, triangular face, dentinogenesis imperfecta, joint laxity, bowing of the arms and legs, and flattening of the skull, especially in infants with severe involvement, but these findings vary greatly even within the same family, and many of the children have none of these classic physical findings.
## Flexible flat feet, lax joints, and externally rotated lower extremities are quite common.
## A variety of presentations are possible, and children with subtle forms of OI may appear totally normal on physical examination but present with multiple and recurrent fractures.
## The classic triad of bone fragility, blue sclera, and deafness is rarely present in infancy.
## IMAGING AND OTHER DIAGNOSTIC STUDIES
There is no specific test for OI. The diagnosis is based primarily on clinical and radiologic basis. Plain radiographs are preferred as the initial study to evaluate children who have or may not have OI.
## Full-length radiographs of both legs on the same cassette from the hips to the ankles are ideal to assess areas of fractures and degree of deformity.
## Radiographs of the lower extremity should be performed with the patellas directly anterior and also with the legs maximally externally rotated. This helps assess the severity of the disease, can help predict risk of fracture, and is useful in preoperative planning for osteotomies and instrumentation (FIG 2).
## Standardized posteroanterior (PA) and lateral spine radiographs demonstrate spinal fractures, scoliosis, spondylolysis, and spondylolisthesis.
## Bone density (dual energy x-ray absorptiometry [DEXA]) scans, although not perfect, can be useful in monitoring changes in bone density, using age-matched Z-scores and consistently using the same techniques and machine type. The DEXA scan alone, however, cannot be used for diagnosis, especially in infants, for whom no standardized validated Z-scores have been established.
##
FIG 2 • Typical bowing deformity of the femurs and tibias caused by preexisting deformity and recurrent fractures is accentuated by the pull of the flexors, including the hamstrings and gastrocnemius-soleus complex. Note sclerosis in the medullary canal of the right tibia.
The child's clinical course with regard to incidence of fracture and pain is a much more reliable indicator of successful medical treatment than a specific Z-score.
## DIFFERENTIAL DIAGNOSIS
Child abuse
Metabolic bone disease (eg, hypophosphatasia, rickets) Idiopathic juvenile osteoporosis
NONOPERATIVE MANAGEMENT
## Early diagnosis and treatment with bisphosphonates has significantly improved the lives of children with OI and potentially other disorders.26 This treatment positively alters the mechanical properties of their bones, decreases their fracture rate and pain, and enhances their psychomotor development.16, 27
## This improvement in bone density and strength often allows them to function at levels that previously were not possible by decreasing their bone fragility and pain.2, 6, 13, 16
## Surgical treatment for these children is now possible, whereas previously in many cases, no surgical options existed because of the severity of their bone disease.
## It has, however, been suggested that treatment with pamidronate may be related to delayed healing of osteotomies— but not fractures—in children with OI.20
## It remains unclear whether the incidence of delayed healing will decrease with lower doses of bisphosphonates or discontinuing their use for a period of time postoperatively.20, 23
## Casting, splinting, and bracing for many children with OI should be short-term temporizing measures only because residual deformities will not remodel, and osteoporosis is worsened by prolonged immobilization.
## SURGICAL MANAGEMENT
## Intramedullary fixation of long bones in children with OI required extensive soft tissue disruption with traditional techniques.32
## Insertion of many telescoping and nontelescoping rods requires extensive exposure and arthrotomies for insertion, and the reoperation rate is high.3, 4, 6, 10, 34, 35
## Improved surgical treatment has been made possible by the development of percutaneous techniques,17, 18, 29 as well as modification of existing nails and development of new nails for fixation, both telescoping4, 5, 7, 8, 9, 14, 15, 28, 33 and non-telescoping.6, 10, 14, 17, 29, 34
## Principles of Surgical Treatment
## Primary indications for surgical treatment include recurrent fractures, pain, and deformity.
## These approaches should be considered, as children begin attempting to stand or crawl. There is no documented benefit to surgery performed before walking age.
## There is no advantage to waiting until the child is older.
## Surgical treatment should be considered in acute fracture with deformity, even with less severe OI.
P.569
##
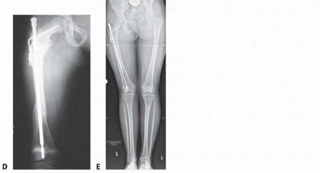
FIG 3 • A,B. Plating of the proximal femur in a young child with progressive bowing pain and recurrent fractures at the end of the plate. C. An 8-year-old child treated with an adult nail with lateral migration distally, coxa vara, and proximal growth inhibition. D. The same child treated with the Fassier-Duval nail and valgus osteotomy 6 months postoperatively. E. Follow-up near maturity demonstrating telescoping of the nail, maintenance of the valgus neck-shaft angle but residual leg length discrepancy related to initial surgery.
Correct deformity and axial alignment.
## Residual bowing does not correct with growth and predictably leads to further fracture.
## As many involved, symptomatic bones should be corrected at one setting as can be safely accomplished.
## Minimize soft tissue dissection and trauma.
## Percutaneous technique provides more stability, less scarring, and earlier healing.
## Minimize immobilization.
Light splints only
Early weight bearing and motion as symptoms allow
The role of bracing for long bones is not proven, and bracing may inhibit function.
Use telescoping intramedullary devices whenever possible.
Plating predictably leads to stress reaction, progressive deformity, and fracture (FIG 3A,B). Use relatively small, flexible nails to share stress.
Excessively rigid nails may lead to disappearing bone (FIG 3C,D). Do not remove nails electively.
Indications in forearm are more limited.
Fixation in the forearm is less predictable and has higher risks and rate of complications. Instrumentation and bone quality are not optimal.
Such fixation should be considered only when comfort, motion, and function are significantly limited by deformity.
Preoperative Planning
## The keys to surgical success are careful selection of children with adequate bone strength, size, and availability of an experienced team and appropriate equipment (FIG 4A).
## Templates must be used to ensure that every appropriate size and type of device is available (FIG 4B).
## Radiographs can be used to estimate length and diameter of nails as well as to determine osteotomy sites (FIG 5).
## Measuring the Fassier-Duval nail
The distance from the greater trochanter to the distal femoral physis can be used to estimate the length of the female nail.
## The female nail should be approximately 1 cm shorter than this distance.
Digital software and templates to determine length and diameter of the nails are available.
## Angular correction can also be estimated on digital radiographs, but they can be deceiving because of the multiplanar nature of the angulation.
## The female nail can be cut preoperatively, but the authors prefer to cut the female nail intraoperatively, after the osteotomies are completed, which allows more precise measurement after correction of the deformity.
The long-threaded female nail is used in the femur and does not require a knee arthrotomy for placement. The “small bone” shorter threaded female nail does not require an ankle arthrotomy for insertion into the tibia and can also be used in the humerus.
P.570
##
FIG 4 • A. Fassier-Duval nail insertion tray. B. Templates for Fassier-Duval nail. (B: Courtesy of Pega Medical, Inc., Montreal, Canada.)
## Positioning
## For fractures and deformities of the tibia and femur, the patient is placed in the semilateral position with an axillary roll and a long, padded posterior roll near the edge of the radiolucent table.
## Take great care that the x-ray is not obscured by metal table parts.
## The leg can be gently rotated from the anteroposterior (AP) to the lateral position with the C-arm positioned on the opposite side of the table (FIG 6).
## Only one leg can be prepped at a time, especially if both the femur and tibia are being treated at the same surgical setting.
##
FIG 5 • Common severe anterior (A) and lateral (B) femoral bowing. This is apparent rather than true coxa vara.
Bilateral tibial surgery can be done supine but not femoral surgery.
## Approach
## For the femur, a 1.5-cm vertical incision is made, starting at the tip of the greater trochanter and extending proximally (FIG 7A).
## The tensor fascia is then incised, exposing the greater trochanter (FIG 7B).
## The tibia is approached through a medial peripatellar incision, bluntly dissecting behind the patellar tendon, when possible, without disrupting the synovium. If necessary, an arthrotomy can be used to expose the starting point for the tibial nail just anterior to the tibial spines.
## The humerus is approached through a small deltoid-splitting incision, or if there is severe proximal humeral bowing, through the supra clavicular fossa arthroscopic portal described by Neviaser.21
##
FIG 6 • Positioning for lower extremity surgery.
P.571
FIG 7 • A. A 1.5-cm incision is made proximal to the greater trochanter. B. Greater trochanter is exposed.
## TECHNIQUES
-
Surgical Approaches to Osteogenesis Imperfecta
Percutaneous Osteotomy with Intramedullary Telescoping Fassier-Duval Nail
The percutaneous technique described in this section is as described by Fassier and Duval8, 9 with only minor modifications, based on ongoing experience and equipment development.22
The open technique, which is necessary for severe deformity and which is not described in this chapter, is performed in the same manner, with the following exceptions:
A larger incision at the osteotomy or fracture site is necessary.
Retrograde guidewire placement and reaming of the proximal fragment are used. The wire is passed into the distal femur under direct vision.
## Guidewire Placement and Osteotomies in the Femur
## Short and long guidewires are available, depending on the length of the femur.
## Ideally, the tip of the guidewire is placed just medial to the center of the greater trochanter, in line with the shaft of the femur (TECH FIG 1A).
## It may be difficult to visualize the greater trochanter in small children with poor bone density, and the insertion point may be necessarily in the piriformis fossa to avoid overreaming of the lateral cortex and to allow a straight line of advance to the femoral canal.
## Lateral placement in the greater trochanter will lead to lateral migration of the rod and progressive varus.
Avascular necrosis has not been demonstrated in children in whom this technique has been used. The relation between the entrance point and use of the nail and the development of coxa vara is not clearly defined at this point.1
## The wire is then advanced to the first osteotomy site.
## In many cases, it is necessary to angle the wire markedly, both anteriorly and laterally, at first because of the very common severe anterior and lateral bowing of the femur in the subtrochanteric region.
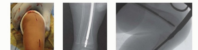
## Osteotomy sites are marked on the skin after visualization with the C-arm, based on preoperative templating and intraoperative visualization (TECH FIG 1B).
## A 1-cm incision is made directly over the anterior lateral apex of the deformity.
## Blunt dissection then is performed with a hemostat down to the periosteum (TECH FIG 1C).
## The periosteum is incised longitudinally with a small osteotome, which is then rotated 90 degrees (TECH FIG 1D).
## An incomplete osteotomy is performed while stability of the leg is maintained manually. The osteotomy is completed with gentle manual pressure, the guidewire is extended to the next osteotomy site, and the process is continued until all deformities are corrected. For severe deformities, an open segmental resection at the apex is necessary to avoid excessive soft tissue tension (see FIGS 2 and 5) on structures such as the sciatic nerve. Rarely are more than two osteotomies required.
## The guidewire is then passed into the distal femur (TECH FIG 1E).
## Use of a longer guidewire can help to avoid capturing the guidewire in the reamer.
## A subtle flexion deformity often is present distally, in both the femur and tibia, that is not always apparent on the preoperative radiographs and that will cause the nail to go too far anteriorly. An osteotomy in the distal femur allows appropriate central positioning of the nail in the distal epiphysis.
Reaming and Placement of the Male Nail
## The reamers are 0.25 to 0.35 mm larger than the corresponding nails.
## The canal is reamed over the guidewire down to the distal femoral metaphysis, approximately 1 cm proximal to the physis in the center-center position on both AP and lateral radiographs (TECH FIG 2A-C).
## The guidewire is removed to insert the male nail driver and nail after verifying the distal male nail thread length while maintaining traction manually. The male nail driver will lock on the male nail if it is not precut, which allows for more secure manipulation. It must be unlocked (TECH FIG 2D) prior to removing the male nail driver.
## Avoid bending the rod and driver to prevent impingement and damage to the nail.
## The nail and driver cannot be used to forcefully manipulate the osteotomy or fracture site.
## The nail and driver are passed to the center-center position in the distal metaphysis (TECH FIG 2C).
## If the male nail is precut and requires redirection, it should be retracted slowly while maintaining a gentle counterclockwise screwing motion to prevent dislodgment of the driver from the wing of the nail, which is not locked in the male nail driver (TECH FIG 2E).
## On occasion, it may be necessary to remove the male nail and redirect.
P.572
## TECH FIG 1 • A. Guidewire placed through the greater trochanter to the site of the first osteotomy. B. Localization for osteotomy using C-arm. Reaming can be done at the site of the osteotomy to stabilize the proximal segment. C. A 1-cm incision is made over the apex of the osteotomy, and the soft tissues are spread to the periosteum. D. The osteotome is rotated and the osteotomy completed. Gentle manual traction and use of a lever such as a padded mallet will help to gently align and complete the osteotomy site. E. Guidewire in the distal femur.
##
TECH FIG 2 • A. The guidewire and reamer must be extended to the distal metaphysis in the central position on both the AP and lateral planes. The reamer can easily bind on the guidewire and be pushed distally. B,C. The male nail is then inserted to the center-center position at the distal metaphysis. At this point, valgus, varus, and distal flexion can be corrected. D. The male nail driver must be unlocked prior to removing the new locking male driver, if the male nail is not precut. The long probe or another male nail must be used to prevent backing out of the male nail, whether precut or full length. E. The male nail guides must be engaged with the male driver.
P.573
## Varus and valgus malalignment can be corrected with a distal osteotomy and correct placement of the nail in the center-center position in the distal femur.
## Correct positioning is checked using AP and lateral views with the C-arm just before passing the male nail across the center-center position of the physis.
## The threads are gently screwed into the epiphysis until the rounded portion of the rod located just proximal to the threads is bridging the physis.
## Multiple transgressions of the physis are to be avoided.
## The rod pusher is then placed into the cannulated portion of the male nail driver, and a sharp backward blow is made on the T handle. The C-arm verifies that the male nail is still engaged in the epiphysis.
Cutting and Insertion of the Female Nail
## To measure the length of the female rod intraoperatively, it is placed with the threaded portion just at the top of the ossified greater trochanter with C-arm verification using a metal marking device distally approximately 1 cm above the physis (TECH FIG 3A).
## The female nail is covered with K-Y Jelly (Johnson & Johnson, New Brunswick, NJ), then cut with a diamond-tip burr and cooled with sterile saline.
## The cannulated portion must be checked to ensure that no metal will impinge on the male nail to prevent it from lengthening and that any metal shards are rinsed off (TECH FIG 3B,C).
## A circular saw and rod holder are also available from the manufacturer to cut the female rod (TECH FIG
3D).
## The male nail driver is then removed, and the female nail is placed over the male nail.
## The female nail is then screwed into the greater trochanter with the T-handle screwdriver until just a few threads are engaging the bony portion of the proximal femur just distal to the greater trochanter (TECH FIG 3E).
## The female nail is checked distally to be sure there is some space between its distal end and the guide wings of the male nail to ensure that the male nail is not driven distally into the joint either acutely or with impaction of the osteotomy with weight bearing (TECH FIG 3F,G).
## If the female nail is too shallow proximally, it will back out, but if it is too deep, it is more likely to become overgrown and ultimately reside in the femoral canal.
## The male nail is then cut in situ with the male nail cutter (TECH FIG 3H).
## Cutting the male nail approximately 1 cm above the top of the female nail rarely causes persistent symptoms and allows for more growth.
## The probe is used to ensure that the cut male nail is smooth and not bent, which would prevent telescoping.
## Rarely, a diamond-tipped burr may be necessary to smooth the end of the male nail, but the soft tissues must be protected from debris and injury.
Coxa Vara
## If true coxa vara is present, it should be corrected at the same setting by combining this femoral nail
technique with the valgus osteotomy described by Fassier et al9 ( TECH FIG 4). Coxa vara can develop spontaneously, with or without weight bearing, or following osteotomy and intramedullary nailing.
Revision
## When a rod system requires revision after maximal telescoping, it often can be retrieved through just a proximal incision.
## A guidewire is placed in the greater trochanter and into the cannulated portion of the female nail under fluoroscopic control.
## A reamer one size larger than the nail being removed is paced over the guidewire down to the top of the female nail.
## Specialized female and male retrievers, as shown, allow for intramedullary retrieval (TECH FIG 5A-D).
## Open osteotomy, cutting the rod and removing the segments, may be necessary to retrieve a broken or bent nail or one that has migrated laterally and distally. If the nail has overgrown into the bone, and open osteotomy can be performed, the rods cut,
P.574 P.575
and it can be removed. A Michele trephine can be used if necessary to enlarge the canal to allow the passage of the female nail head (TECH FIG 5E,F).
##
TECH FIG 3 • A. Measuring the female nail length intraoperative with fluoroscopy. B,C. Cutting the rod with diamond burr. D. Manufacturer's female nail holder with cutting wheel and burr to smooth rough internal edges after cutting. (continued)
## TECH FIG 3 • (continued) E. The female threads are shown engaging the bone just distal to the greater trochanter to mitigate overgrowth of the trochanter apophysis but avoid proximal migration of the female nail. F,G. Distal placement of the male nail driver and nail in the center-center position is mandatory. The threads engage the epiphysis of the distal femur with the rounded, smooth portion traversing the physis.
Ideally, the distal end of the female nail is as close as possible to the guide wings of the male nail for strength and growth but leave room for compression at the osteotomy. H. The male nail is cut in situ with the male nail cutter. (D: Courtesy of Pega Medical, Inc., Montreal, Canada.)
## TECH FIG 4 • A. A 2½ year-old boy with OI who developed progressive painful right coxa vara with walking.
B. Age 3 developing coxa vara on left with progression in right hip. C. Age 3 bilateral valgus osteotomies. Note valgus correction and alignment of lateral cortex of the proximal segment with right femoral shaft. D. Distal femoral osteotomy to correct associated diaphyseal varus. E. At 13-month follow-up, maintenance of correction is demonstrated. The femoral head is growing away from the wires, and varus may recur.
##
TECH FIG 5 • A. The female nail can usually be removed by passing a guidewire into the nail, reaming to the female nail, and using the revised, thinner, female nail extractor. This typically works even if the nail is somewhat bent. B. Female rod retriever. C. Male nail rod retriever. D. The male nail must be captured above the hole in the male nail extractor prior to turning the torque head of the male nail extractor in a counterclockwise direction. E. Severely bent nail with female nail overgrown into femoral canal. F. Open osteotomy, rods cut, Michele trephine used to enlarge canal to allow passage of nail distally. (B-D: Courtesy of Pega Medical, Inc., Montreal, Canada.)
Tibial Technique
## Nails from the small bone set are used. These have a somewhat shorter female-threaded portion to avoid extension of the threads across the proximal tibial epiphysis.
## Injury to the anterior horn of the medial meniscus should be avoided, using an arthrotomy if necessary.
## A 0.62-inch K-wire is placed just lateral to the anterior horn of the medial meniscus and just anterior to the tibial spine in the non-weight-bearing surface. A soft tissue protector is helpful in directing the guidewire.
## A slight bend can be placed in the tip of the wire to assist in advancing wire if necessary. This usually places the wire in the midportion of the tibial epiphysis on the AP view and at the junction of the anterior and middle thirds on the lateral view.
## With the knee kept flexed in excess of 90 degrees, the guidewire is passed into the center position of the proximal metaphysis and shaft.
## Typically, the wire tends to go posteriorly and laterally so that the wire driver must be directed anteriorly and usually slightly medially.
## Alternatively, the wire can be manually twisted and pushed into the epiphysis if this provides better control and visualization with the C-arm.
## Avoid repetitive injury to the physis by checking the direction of the wire with the C-arm while it is still in the proximal tibial epiphysis.
## While maintaining hip and knee flexion, the lateral radiograph can be done by simply abducting and externally rotating the leg.
## The guidewire is drilled down to the site of the first osteotomy, which often is the mid- to distal portion of the shaft of the tibia, although bowing of the proximal tibia also may be present.
## To perform the tibial osteotomy, a 1.5-cm incision is made. The periosteum is visualized and partially elevated. Multiple osteotomies may be necessary. However, in the vast majority of patients, a single incision with a segmental resection is preferable to multiple osteotomies (TECH FIG 6A).
## The key to the tibial osteotomy is to place the tibia in mild posterior bow to allow for anterior compression.
## Any residual anterior bow will lead to an increased risk of nonunion, progressive anterior bowing, and impede telescoping of the rod.
## A pure closed technique is more hazardous in the tibia.
## When the medullary canal is obliterated by recurrent fracture and bowing, retrograde drilling is required to establish a medullary canal at the osteotomy site.
## P.576
##
TECH FIG 6 • A. Incisions to correct tibial deformities. B,C. Note hole in male nail to allow locking with a wire if necessary. Correct placement of the distal male nail after complete correction of anterolateral bowing. D,E. Correct proximal tibial nail placement. F. Male nail cut in situ, which may require a more anterior entrance point, especially in smaller children, to accommodate the male nail cutter.
The guidewire is then passed beyond the osteotomy.
## Ideally, the entrance point to the distal tibial epiphysis is slightly posterior on the lateral view and slightly lateral on the AP view. This helps to avoid the tendency to valgus and anterior cutout.
## Closed osteoclysis of the fibula often can be performed with minimal force after the tibial osteotomy, especially in younger children, but open osteotomy of the fibula may be necessary.
## The reamer is passed down to the distal metaphysis while maintaining the knee in flexion at all times.
## Reaming should be done slowly, with frequent stops at the apex of the angular deformity. This bone typically is quite dense in response to recurrent fractures.
## Extending the knee while the reamer is in place can impinge and injure the femoral condyles.
## The male nail is either cut after determining the length with the C-arm before placement into the tibia or inserted, removed, and then cut after the appropriate length is determined (TECH FIG 6B-D).
## Alternatively, the rod can be placed in the standard fashion and cut in situ. However, this requires a somewhat more anterior entrance point to accommodate the male nail cutter.
## There is a small hole in the distal male nail to allow interlocking with a small K-wire, if additional stability is required. A blocking screw or wire may be used if absolutely necessary but frequently migrates and requires early removal.
## The female nail is cut to length in the same manner as for the femoral technique and inserted until the threaded portion is fully seated into the epiphysis.
## It usually is visible just a few millimeters deep to the articular cartilage, even when the C-arm suggests that the proximal nail is protruding into the joint (TECH FIG 6D,E).
## If the male nail is protruding above the female nail, as occurs with in situ cutting with the male nail cutter, it is vital to ensure that the knee will fully extend without impingement of the nail into the femur. With growth, the male nail will migrate distally in the female nail (TECH FIG 6F).
Humeral Nailing
## A bump is placed under the thorax. Placement of the endotracheal tube to the opposite side is helpful.
## The deltoid is spread in line with its fibers through a 1.5-cm incision, and the greater tuberosity is exposed.
## The guidewire is drilled down into the shaft.
## Alternatively, the guidewire is placed retrograde through an open osteotomy.
P.577
## In patients with a severe proximal bowing deformity, a percutaneous posterosuperior approach can allow a more medial entrance point in line with the shaft of the proximal humerus.19, 21
## Typically, the diaphyseal deformity involves the mid- to distal shaft of the humerus. Nonunion of the distal humerus can be a difficult problem to resolve.12
## A distal anterolateral approach is used for mid- to distal deformity, and the radial nerve is identified and protected before the osteotomy is performed.
## If a proximal deformity is present, an open or percutaneous osteotomy can be considered.
## The guidewires are then drilled down into the ossified capitellum after correction of the varus and anterior bowing.
## TECH FIG 7 • A,B. AP and lateral male nail in capitellum. C. Female nail appears to be protruding but is actually deep to the articular cartilage and is not causing impingement. D. Two years postoperatively.
Note telescoping of nail. There is no clinical impingement.
## The canal is then reamed to the size of the female nail down to the distal metaphysis.
The male nail is then placed down into the capitellum, which commonly leaves a slight amount of varus, which is well tolerated (TECH FIG 7A).
In older children, the nail can be placed into the superior segment of the ossified central trochlea, which allows better correction of the distal varus.
The small bone female nail is used, cut to appropriate length before insertion. The upper end of the female nail should be deep to the articular cartilage to avoid impingement. This is verified by placing the shoulder through full range of motion (TECH FIG 7B-D).
##
## PEARLS AND PITFALLS
|
## Multiple bone ▪ Multiple bones can be safely treated at the same setting in most children if an deformities experienced team is available.
-
Transfusion may be necessary, especially if more than two bones are treated. Judicious use of tourniquets, such as the HemaClear, in carefully selected patients decreases the likelihood of transfusion.
Postoperative ▪ Lightweight fiberglass lateral or posterior splints for 3 weeks typically are immobilization adequate. Casting rarely is necessary.
-
Rotational control is present at 3 weeks.
-
External rotation is common in most of these children and often improves over 12-24 months.
Rod size ▪ The smallest rods available are 3.2 mm in diameter. Children with smaller canals can be treated with K-wires or rush rods.
-
The length of the distal male nail threads also limits the ability to use these nails in some smaller children.
| ##
1. ## It is mandatory to work with experienced anesthesia, operating room, physical therapy, occupational therapy, dietetics, and metabolic and nursing teams to safely and effectively treat these children.
-
Blood pressure cuffs can be used for monitoring in many children treated with pamidronate if the pressure is set no higher than neonatal pressures.
-
Fiberoptic intubation rarely is necessary when the anesthesiologist is experienced and the surgeon stabilizes the head and neck.
Team approach
## Pain management
-
Epidural analgesia is safe and extremely effective, especially when multiple lower extremity bones are treated at the same operative setting.
-
Adequate analgesia upon awakening is necessary to avoid flailing and fracture.
-
Treatment with Valium is significantly beneficial for spasm.
-
Many children have high narcotic requirements for a short period of time when multiple exposures have been done.
## POSTOPERATIVE CARE
P.578
## Postoperative immobilization can be accomplished safely with lightweight radiolucent fiberglass wrapped under the foot to resist equinus and avoid heel pressure.
## The splint can be extended up to the buttocks to support the femur and loosely overwrapped with an elastic wrap.
Rarely, a percutaneous tendo Achilles tenotomy will be required. Floor activities can be increased whenever the child is comfortable.
## Weight bearing can begin in water approximately 4 weeks after the osteotomies achieve early healing and rotational control.
## Gentle passive range of motion of the hips, knees, and ankles can begin as soon as the child is comfortable.
## Hip, knee, ankle, and foot orthoses are a time-honored treatment and are used postoperatively in many centers.
Their effectiveness in avoiding recurrent fractures and deformity has not been demonstrated.
## Many of the children are significantly more mobile without these orthoses, and healing is not impaired.
## Limit the use of orthoses to only those children with significant soft tissue laxity in the feet such that support is required for stability.
## OUTCOMES
Improved comfort, a decreased rate of fracture, and an increased activity level are achieved in most children.
Long-term monitoring of these patients and constant improvement in instrumentation are necessary to ensure optimal development, comfort, and function in this patient population.
Revisions are still necessary as the children outgrow or damage the rods, but the instrumentation allows
## for a less traumatic experience for the patient and surgeon.
COMPLICATIONS
Complications include failure of telescoping of the rod, overgrowth of the greater trochanter, bending and breakage of the rods, as well as delayed union and nonunion.
Fractures can occur even with satisfactory alignment, but recovery is typically rapid and requires short-term restriction of activities rather than long-term immobilization.
Scientific References
- 1. ## Aarabi M, Rauch F, Hamdy RC, et al. High prevalence of coxa vara in patients with severe osteogenesis imperfecta. J Pediatr Orthop 2006;26:24-28. ## ## [View Source / PubMed]
- 2. ## Amako M, Fassier F, Hamdy RC, et al. Functional analysis of upper extremity deformities in children with osteogenesis imperfecta. J Pediatr Orthop 2004;6:689-694. ## ## [View Source / PubMed]
- 3. ## Bailey RW. Further clinical experience with the extensible nail. Clin Orthop Relat Res 1981;(159):171-176. ## ## [View Source / PubMed]
- 4. ## Bailey RW, Dubow HI. Evolution of the concept of an extensible nail accommodating to normal longitudinal bone growth: clinical considerations and implications. Clin Orthop Relat Res 1981;(159): 157-170. ## ## [View Source / PubMed]
- 5. ## Birke O, Davies N, Latimer M, et al. Experience with the Fassier-Duval telescopic rod: first 24 consecutive cases with a minimum of 1-year follow-up. J Pediatr Orthop 2011;31(4):458-464. ## ## [View Source / PubMed]
- 6. ## Engelbert RH, Helders PJ, Keessen W, et al. Intramedullary rodding in type III osteogenesis imperfecta. Effects on neuromotor development in 10 children. Acta Orthop Scand 1995;66:361-364. ## ## [View Source / PubMed]
- 7. ## Esposito PW. Multiple osteotomies and telescoping intramedullary rodding in osteogenesis imperfecta. Presented at the Pediatric Orthopaedic Society of North America 2006 Annual Meeting, San Diego, May 3-6, 2006. ## ## [View Source / PubMed]
- 8. ## Fassier F, Esposito P, Sponseller P, et al. Multicenter radiological assessment of the Fassier-Duval femoral rodding. Presented at Pediatric Orthopaedic Society of North America 2006 Annual Meeting, San Diego, May 3-6, 2006. ## ## [View Source / PubMed]
- 9. ## Fassier F, Sardar Z, Aarabi M, et al. Results and complications of a surgical technique for correction of coxa vara in children with osteopenic bones. J Pediatr Orthop 2008;28(8):799-805. ## ## [View Source / PubMed]
- 10. ## Gamble JG, Strudwick WJ, Rinsky LA, et al. Complications of intramedullary rods in osteogenesis imperfecta: Bailey-Dubow rods versus nonelongating rods. J Pediatr Orthop 1988;8:645-649. ## ## [View Source / PubMed]
- 11. ## Hatz D, Esposito P, Schroeder B, et al. The incidence of spondylolysis and spondylolisthesis in children ## with osteogenesis imperfecta. J Pediatr Orthop 2001;31:655-660. ## ## [View Source / PubMed]
- 12. ## Hsiao CM, Mormino MA, Esposito PW, et al. Distal humerus atrophic nonunion in a child with osteogenesis imperfecta. J Pediatr Orthop 2013:33:725-729. ## ## [View Source / PubMed]
- 13. ## Huang RP, Ambrose CG, Sullivan E, et al. Functional significance of bone density measurements in children with osteogenesis imperfecta. J Bone Joint Surg Am 2006;88(6):1324-1330. ## ## [View Source / PubMed]
- 14. ## Joseph B, Rebello G, Chandra K. The choice of intramedullary devices for the femur and tibia in osteogenesis imperfecta. J Pediatr Orthop B 2005;14:311-319. ## ## [View Source / PubMed]
- 15. ## Laidlaw AT, Loder RT, Hensinger RN. Telescoping intramedullary rodding with Bailey-Dubow nails for recurrent pathologic fractures in children without osteogenesis imperfecta. J Pediatr Orthop 1998; 18:4-8. ## ## [View Source / PubMed]
- 16. ## Land C, Rauch F, Montpetit K, et al. Effect of intravenous pamidronate therapy on functional abilities and level of ambulation in children with osteogenesis imperfecta. J Pediatr 2006;148:456-460. ## ## [View Source / PubMed]
- 17. ## McHale KA, Tenuta JJ, Tosi LL, et al. Percutaneous intramedullary fixation of long bone deformity in severe osteogenesis imperfecta. Clin Orthop Relat Res 1994;(305):242-248. ## ## [View Source / PubMed]
- 18. ## Metaizeau JP. L'embrochage centro-médullaire coulissant. Application an traitement des formes graves d'ostéogenèse imparfaites. Chir Pédiatr 1987;28:240-243. ## ## [View Source / PubMed]
- 19. ## Meyer M, Graveleau N, Hardy P, et al. Anatomic risks of shoulder arthroscopy portals: anatomic cadaveric study of 12 portals. Arthroscopy 2007;23:529-536. ## ## [View Source / PubMed]
- 20. ## Munns CF, Rauch F, Zeitlin L, et al. Delayed osteotomy but not fracture healing in pediatric osteogenesis imperfecta patients receiving pamidronate. J Bone Miner Res 2004;19:1779-1786. ## ## [View Source / PubMed]
- 21. ## Neviaser TJ. Arthroscopy of the shoulder. Orthop Clin North Am 1987;3:361-372. ## ## [View Source / PubMed]
- 22. ## [Pega Medical. Product instruction manual. Pega Medical website. Available at ](http://www.pegamedical.com/)http://www.pegamedical.com. Accessed January 6, 2015. ## ## [View Source / PubMed]
- 23. ## Pizones J, Plotkin H, Parra-Garcia JI, et al. Bone healing in osteogenesis imperfecta treated with bisphosphonates. J Pediatr Orthop 2005;25: 332-335. ## ## [View Source / PubMed]
- 24. ## Plotkin H. Syndromes with congenital brittle bones. BMC Pediatrics 2004;4:16. ## ## [View Source / PubMed]
- 25. ## Plotkin H. Two questions about osteogenesis imperfecta. J Pediatr Orthop 2006;26:148-149. ## ## [View Source / PubMed]
- 26. ## Plotkin H, Coughlin S, Kreikmeier R, et al. Low dose pamidronate in children with severe cerebral palsy: a pilot study. Dev Med Child Neurol 2006;48:709-712. ## ## [View Source / PubMed]
- 27. ## Rauch F, Glorieux FH. Osteogenesis imperfecta. Lancet 2004;363 (9418):1377-1385. ## ## [View Source / PubMed]
- 28. ## Ruck J, Dahan-Oliel N, Montpetit K, et al. Fassier-Duval femoral rodding in children with osteogenesis imperfecta receiving bisphosphonates: functional outcomes at one year. J Child Orthop 2011; 5(3):217-224. ## ## [View Source / PubMed]
- 29. ## Ryöppy S, Alberty A, Kaitila I. Early semiclosed intramedullary stabilization in osteogenesis imperfecta. J Pediatr Orthop 1987;7: 139-144. ## ## ## P.579 ## 30. ## Sillence DO. Osteogenesis imperfecta: an expanding panorama of variants. Clin Orthop Relat Res 1981;159:11-25. ## ## [View Source / PubMed]
- 31. ## Sillence DO, Senn A, Danks DM. Genetic heterogeneity in osteogenesis imperfecta. J Med Genet 1979:16:101-116. ## ## [View Source / PubMed]
- 32. ## Sofield HA, Millare EA. Fragmentation, realignment, and intramedullary rod fixation of deformities of the long bones in children. A ten-year appraisal. J Bone Joint Surg Am 1959;41(8):1371-1391. ## ## [View Source / PubMed]
- 33. ## Wilkinson JM, Scott BW, Clarke AM, et al. Surgical stabilization of the lower limb in osteogenesis imperfecta using the Sheffield Telescopic Intramedullary Rod System. J Bone Joint Surg Br 1998;80(6):999-1004. ## ## [View Source / PubMed]
- 34. ## Williams PF. Fragmentation and rodding in osteogenesis imperfecta. J Bone Joint Surg Br 1965;47:23-31. ## ## [View Source / PubMed]
- 35. ## Zionts LE, Ebramzadeh E, Stott NS. Complications in the use of the Bailey-Dubow extensible nail. Clin Orthop Relat Res 1999;(348):286-287. [View Source / PubMed]
You Might Also Like
Medically Verified Content by
Prof. Dr. Mohammed Hutaif
Consultant Orthopedic & Spine Surgeon