Arthroscopic Subacromial Decompression & Acromioplasty: A Masterclass in Shoulder Impingement Management

Key Takeaway
Join us in the OR for an immersive masterclass on arthroscopic subacromial decompression and acromioplasty. We'll meticulously review patient selection, precise portal placement, diagnostic arthroscopy, and the nuanced technique for subacromial bursectomy and acromial bone resection. Learn to navigate critical anatomy, manage potential pitfalls, and optimize patient outcomes for refractory shoulder impingement.
Arthroscopic Treatment of Subacromial Impingement ## DEFINITION Impingement syndrome was originally described by Neer 20 in 1972 as a chronic impingement of the rotator cuff beneath the coracoacromial arch resulting in shoulder pain, weakness, and dysfunction. Repetitive microtrauma of the supraspinatus tendon's hypovascular area causes progressive inflammation and degeneration of the tendon, resulting in bursitis, tendinopathy, and rotator cuff tear. Extrinsic compression of the rotator cuff may occur against the undersurface of the anterior third of the acromion, the coracoacromial ligament, or the acromioclavicular (AC) joint. ## ANATOMY The scapula is a thin sheet of bone from which the coracoid, acromion, spine, and glenoid processes arise. The acromion, together with the coracoid process and the coracoacromial ligament, form the coracoacromial arch. The arch is a rigid structure through which the rotator cuff tendons, subacromial bursa, and humeral head must pass. The supraspinatus tendon is confined above by the subacromial bursa and the coracoacromial arch and below by the humeral head in an area referred to as the supraspinatus outlet . There is an average of 9 to 10 mm of space between the acromion and humerus in the supraspinatus outlet. 11 This space is narrowed by abnormalities of the coracoacromial arch. Internal rotation or forward flexion of the arm also decreases the distance between the coracoacromial arch and the humeral head. The subacromial and subdeltoid bursa overlie the supraspinatus and the humeral head. These bursae serve to cushion and lubricate the interface between the rotator cuff and the overlying acromion and AC joint. The bursa may become thick and fibrotic in response to progressive inflammation, further decreasing the volume of the subacromial space. The supraspinatus tendon has a watershed area of hypovascularity located 1 cm medial to the insertion of the rotator cuff. This area may predispose the supraspinatus tendon to degeneration, tendinopathy, and tears from overuse, repetitive microtrauma, or outlet impingement. ## PATHOGENESIS Extrinsic or outlet impingement of the rotator cuff is caused by abnormalities of the coracoacromial arch, resulting in an overall decreased area for the rotator cuff tendons within the supraspinatus outlet. Extrinsic or outlet impingement should be differentiated from internal impingement, which stems from contact of the articular side of the supraspinatus on the posterosuperior glenoid rim in throwing athletes during the late cocking phase of throwing. Alternatively, intrinsic degeneration of the rotator cuff may lead to dysfunction of the cuff's native glenohumeral stabilization mechanism. These pathomechanics result in elevation of the humeral head relative to the acromion and subsequent outlet impingement. Acromial morphology most commonly accounts for narrowing of the supraspinatus outlet. Bigliani et al 4 described three types of acromial morphology: the type I acromion is flat, type II is curved, and type III is hooked. They noted that 70% of cadaver shoulders with rotator cuff tears had a type III acromion. A type I acromion with an increased angle of anterior inclination may cause impingement of the rotator cuff by narrowing the supraspinatus outlet. In a study of cadaveric scapulae, Neer 20 observed a characteristic ridge of proliferative spurs and excrescences on the undersurface of the anterior acromion overlying areas with evidence of rotator cuff impingement. Other processes that narrow the supraspinatus outlet include osteophytes of the AC joint; hypertrophy of the coracoacromial ligament; malunion of the greater tuberosity, clavicle, or acromion; inflammatory bursitis; calcific rotator cuff tendinitis; a flap from a bursal-sided rotator cuff tear; or an unstable os acromiale. Os acromiale is a failure of fusion in one of the acromial ossification centers. Ossification centers are preacromion, mesoacromion, metaacromion, and basiacromion. Nomenclature is based on the segment anterior to the nonunion. Ununited mesoacromion is the most common type. 22 In an osteologic survey of the city of Cleveland's unclaimed dead, Sammarco 28 noted that os acromiale is more common in African Americans than Caucasians (13.2 % vs. 5.8 %) and more common in men than women (8.5% vs. 4.9%). Excessive motion at the nonunion site predisposes to outlet impingement. ## NATURAL HISTORY Neer 21 classified impingement into three progressive stages: Stage I impingement lesions occur initially with excessive overhead use in sports or work. A reversible process of edema and hemorrhage is found in the subacromial bursa and rotator cuff. This typically occurs in patients younger than 25 years old. With repeated episodes of mechanical impingement and inflammation, stage II lesions develop. The bursa may become irreversibly fibrotic and thickened, and tendinitis
develops in the supraspinatus tendon. Classically, this lesion is found in patients 25 to 40 years of age. As impingement progresses, stage III lesions may occur, with partial or complete tears of the rotator cuff. Biceps lesions and alterations in bone at the anterior acromion and greater tuberosity may also develop. These lesions are found almost exclusively in patients older than 40 years. Stage I and II lesions typically respond to nonoperative modalities if the offending activity is limited for a sufficient amount of time. Refractory stage II lesions and stage III lesions require operative intervention.
## PATIENT HISTORY AND PHYSICAL FINDINGS
Patients with impingement syndrome typically complain of the insidious onset of shoulder pain that primarily occurs with overhead activities. Pain is typically localized to the lateral aspect of the acromion, extending distally into the deltoid. Patients may experience pain at night, especially when lying on the affected side. Typically, patients with impingement syndrome do not complain of diminished shoulder motion. Physical examination methods to identify subacromial impingement include Palpation of the point of Codman just anterior to the anterolateral corner of the acromion: Tenderness is frequently a sign of supraspinatus tendinitis, tendinopathy, or acute tear of supraspinatus tendon. Range of motion: Patients with impingement may have limited internal rotation from posterior capsule contracture. Active motion is typically more painful than passive motion, especially in the descending, eccentric phase of the motion arc. Painful abduction arc: Pain from 60 to 120 degrees (maximally at 90) suggests impingement. Patients may externally rotate at 90 degrees to clear the greater tuberosity from the acromion and increase motion. Neer impingement sign: This maneuver compresses the critical area of the supraspinatus tendon against the anterior-inferior acromion, reproducing impingement pain. Hawkins sign: This maneuver compresses the supraspinatus tendon against the coracoacromial ligament, reproducing the pain of impingement. It has high sensitivity but low specificity. Impingement test: The injection of local anesthetic into the subacromial space followed by relief of pain on clinical exam. This test has greatly improved specificity for making the diagnosis of subacromial impingement. A positive test is also positively prognostic of a satisfactory outcome after subacromial decompression. 14 A complete physical examination of the shoulder should be performed to evaluate for associated pathology or other processes in the differential diagnosis. AC osteoarthritis: This degenerative process may be clinically asymptomatic, but an inferior AC joint osteophyte can contribute to the etiology of impingement syndrome. If symptomatic, tenderness may be elicited at the AC joint with palpation and the cross-arm adduction test. Rotator cuff tear: The history of traumatic injury is variable. Patients complain of deep shoulder pain at night and may complain of weakness in the affected shoulder. Strength testing will evaluate for rotator cuff tear and tear size. Glenohumeral instability: Subluxation or dislocation of the humeral head while stabilizing the scapula (load and shift test) helps confirm the diagnosis of glenohumeral instability. Throwing athletes may have a complex pattern of pathology that includes anterior laxity and posterior capsular tightness, which may result in internal impingement. These patients typically have posterior pain with apprehension testing. Internal impingement must be differentiated from extrinsic outlet impingement. Although a posterior capsule contracture can predispose patients to outlet impingement, classic extrinsic outlet impingement is believed to be rare in throwing athletes. Biceps pathology: Pain is typically in the anterior shoulder. Tenderness may be elicited in the area of the bicipital groove. Pain during resisted flexion of the arm with the elbow in extension and the forearm supinated (Speed test) indicates biceps pathology. Glenohumeral arthritis: Pain is associated with movement below 90 degrees of elevation. Patients complain of pain at night. Cogwheel crepitus may be present when loading the glenohumeral joint during resisted arm abduction.
## IMAGING AND OTHER DIAGNOSTIC STUDIES
Standard anteroposterior (AP) radiographs in internal and external rotation and a supraspinatus outlet view should be taken for the evaluation of impingement syndrome. A supraspinatus or acromial outlet view is a transscapular view taken with the radiographic beam angled 15 to 20 degrees caudally(FIG 1). The outlet view is the best plain radiographic technique to evaluate acromial morphology and aid in detection of inferiorly directed enthesophytes. With this information, the surgeon may accurately plan the amount of osseous resection required to convert the acromion to type I morphology. Acromiohumeral distance is the minimal distance between the acromial undersurface and the humeral head. An acromiohumeral distance of less than 7 mm is considered abnormal. An abnormal acromiohumeral distance has been shown to correlate with the clinical status of patients. 18
---
### FIG 1 • Supraspinatus outlet view. This view helps the surgeon assess acromial morphology and facilitates preoperative planning for the amount of acromial resection. Additional views or diagnostic tests may be used to further evaluate the painful shoulder. Axillary lateral radiographs may be helpful in the diagnosis of os acromiale. Magnetic resonance imaging (MRI), computed tomography (CT) scan, arthrography, and ultrasonography should be reserved for patients whose diagnosis of impingement syndrome is not completely clear from the history, physical examination, and radiographs. These other modalities will also help diagnose biceps, labral, and rotator cuff pathology.
## DIFFERENTIAL DIAGNOSIS
Rotator cuff pathology AC osteoarthritis Glenohumeral instability Posterior glenoid and rotator cuff (internal) impingement Glenohumeral osteoarthritis Biceps tendon pathology Adhesive capsulitis Cervical spine disease Viral brachial plexopathy Thoracic outlet syndrome Visceral problems (eg, cholecystitis, coronary insufficiency) Neoplasm of the proximal humerus or shoulder girdle
## NONOPERATIVE MANAGEMENT
All patients with subacromial impingement syndrome should undergo a course of nonoperative management for 3 to 6 months. Treatments include subacromial steroid injection, nonsteroidal anti-inflammatory medication, hot and cold therapy, ultrasound, and physical therapy. Most patients can be successfully treated within 3 to 6 months. Large retrospective studies show that approximately 70% of patients with impingement syndrome will respond to conservative management. 19 In the short term, a graduated physiotherapy program has been shown to be as effective as arthroscopic subacromial decompression. 5 The rehabilitation program should start by preventing overuse or reinjury with relative rest and activity modification. Therapy is advanced as pain and inflammation subside and is directed at regaining full range of motion and eliminating capsular contractures. In particular, posterior capsular contracture is addressed with progressive adduction and internal rotation stretching. As pain continues to decrease and range of motion improves, strengthening of the rotator cuff and periscapular musculature is initiated. This is achieved through progressive resistance exercises with elastic bands or free weights. Patients should avoid overhead weight training (military press, latissimus pulldowns) and long lever arms (straight arm lateral raises) because these maneuvers can exacerbate impingement and produce undue torque on the rotator cuff and glenohumeral joint.
## SURGICAL MANAGEMENT
Operative intervention is indicated if patients continue to have symptoms of impingement syndrome that are refractory to a progressive rehabilitation program of stretching and strengthening over a minimum 3- to 6-month period. If the diagnosis is not completely clear, a more extensive diagnostic workup is warranted before surgical intervention. The most common cause of failure for arthroscopic subacromial decompression and anterior acromioplasty is error in diagnosis. 1
## Preoperative Planning
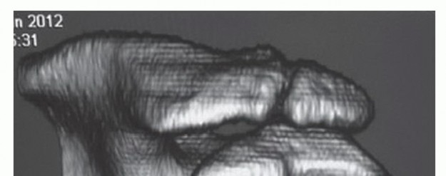
Imaging studies are reviewed to ensure the preoperative diagnosis is correct. Particular attention should be paid to acromial morphology, the status of the AC joint, and evidence of rotator cuff pathology, as these disease processes often coexist. The preoperative supraspinatus or acromial outlet view gives the surgeon an accurate measurement of the amount of bone that must be resected from the anterior acromion to convert the acromial morphology to type I. 16 If the AC joint has developed osteoarthritic changes, the presence of an inferior AC joint osteophyte may contribute to subacromial impingement. The presence of AC arthritis may not be clinically symptomatic; thus, coplaning of the inferior AC joint should be performed with the subacromial decompression. If the AC arthritis is symptomatic, distal clavicle resection should be performed in conjunction with subacromial decompression. Preoperative knowledge of a rotator cuff tear is important for surgical planning of equipment, resources, and operative time as well as patient informed consent, recovery time, and time lost from work. Os acromiale may be visualized on outlet and axillary lateral radiographs, MRI, or CT(FIG 2). Both fixation of an os 29,30 or arthroscopic excision23 can lead to improved clinical outcomes, depending on the location of the unstable fragment. Acromioplasty or arthroscopic resection may be performed for a symptomatic os at the mesoacromiale level. 31 Failure to recognize associated pathology is a common source of surgical failure. Examination under anesthesia of the affected shoulder is done before positioning. Passive range of motion is documented. The patient should be evaluated for a posterior capsule contracture, which can exacerbate impingement symptoms. Release of the posterior capsule with manipulation or arthroscopic release can improve a significant posterior capsule contracture.
---
FIG 2 • Three-dimensional CT image demonstrating an unstable mesoacromiale.
Anterior and posterior glenohumeral translation is examined using a modified load and shift test. Inferior translation is evaluated with the sulcus test.
## Positioning
The patient may be positioned in the beach chair or lateral position. Advantages of the beach-chair position include a more customary setup for conversion to open cases such as biceps tenodesis. Advantages of the lateral position include better joint distraction for concomitant intra-articular arthroscopic procedures such as labral repair.
## Approach
Standard anterior, posterior, and lateral arthroscopic shoulder portals are used to perform the diagnostic arthroscopy and subacromial decompression. The details of these procedures are outlined in the Techniques section. ## TECHNIQUES
1. ## Arthroscopy The bony anatomy of the acromial borders, clavicle, AC joint, and coracoid process is outlined with a skin marker. The proposed site of the posterior, anterior, and lateral portals are marked(TECH FIG 1). The posterior portal is located 2 cm medial and 2 to 3 cm distal to the posterolateral aspect of the acromion. This is the “soft spot” in the posterior triangular region of the humeral head, glenoid, and acromion.
---
TECH FIG 1 • AC anatomy is outlined and the portal sites are marked. The anterior portal is marked 1 cm lateral and 1 to 2 cm cephalad to the coracoid process. The lateral portal is marked 2 to 3 cm distal to the lateral border of the acromion at the junction of its anterior and middle thirds. The portal sites are infused with a mixture of 1% lidocaine and 1:300,000 diluted epinephrine solution. The glenohumeral joint is infused with 50 mL of the dilute lidocaine and epinephrine solution. The posterior portal is established with a 5-mm skin incision and the arthroscopic cannula and trocar are placed into the glenohumeral joint. Return of the previously injected solution confirms intra-articular placement. The trocar is removed and the arthroscope is inserted. Inflow is established through the arthroscope. An 18-gauge spinal needle is used to confirm the anterior portal that was marked preoperatively. A 5-mm skin incision is placed over the site of the needle entry point and a probe is placed through the anterior portal. A diagnostic arthroscopy is performed. All surfaces of the glenohumeral joint, the glenoid labrum, glenohumeral ligaments, biceps tendon, rotator interval, and rotator cuff are thoroughly inspected. Particular attention is paid to the presence of glenohumeral arthritis, labral pathology associated with glenohumeral instability, and rotator cuff tears because they can mimic an impingement syndrome.
1. ##
Subacromial Decompression Twenty milliliters of 1% lidocaine and 1:300,000 diluted epinephrine are injected into the subacromial space before intra-articular diagnostic arthroscopy. From the posterior portal, the cannula and trocar are redirected from the intra-articular position to the subacromial space. The correct position is confirmed by palpating the hard undersurface of the acromion with the trocar tip. Once the trocar is felt to be in the subacromial space, it is swept laterally through the subdeltoid bursa to open the subacromial space. Care should be taken to avoid sweeping the trocar medial to the AC joint, which could injure the acromial branch of the thoracoacromial artery. The arthroscope is introduced and an initial assessment of the subacromial bursa and acromial spur is done. A 5-mm skin incision is used to establish the lateral portal 2 to 3 cm distal to the midlateral border of the acromion. A 5.5-mm full-radius resector is introduced through the lateral portal. Visualization is often difficult because of the thickened and inflamed subacromial bursa. Therefore, triangulation of the arthroscope and full-radius resector must be done by palpation. Bursectomy cannot be initiated until the cutting flutes of the resector are visualized. The tip of the anterolateral aspect of the acromion is palpated with the resector to confirm the correct subacromial orientation. Bursal resection is completed in an anterior to posterior and lateral to medial direction(TECH FIG 2A). Care must be taken not to resect the highly vascular bursal tissue medial to the musculotendinous junction of the rotator cuff. A radiofrequency electrocautery device is used to coagulate any bleeding and remove the remaining soft tissue from the undersurface of the acromion, starting at the anterolateral corner of the acromion(TECH FIG 2B).
The electrocautery device is used to peel the coracoacromial ligament from the undersurface of the acromion and completely excise the remaining ligament stump. A complete resection of the coracoacromial ligament is confirmed when the undersurface of the deltoid is visualized as it drapes over the acromial edge(TECH FIG 2C). Anterior acromioplasty is performed with a 5.5-mm burr via the lateral portal. Resection begins in the anterolateral corner of the acromion. The desired depth of resection, estimated from the preoperative films, is obtained by measuring with the diameter of the burr(TECH FIG 2D).
---
TECH FIG 2 • A. Arthroscopic bursectomy. The bursa overlying the tendinous portion of the rotator cuff must be thoroughly resected to evaluate the tendons for bursal-side rotator cuff tear. B. Soft tissue on the undersurface of the acromion is denuded with a radiofrequency electrocautery. Removing the soft tissue will expose the bony undersurface of the acromion and facilitate acromioplasty by the burr's cutting flutes. C. The acromial spur is now completely visualized. The coracoacromial (CA) ligament must be completely resected from the anterolateral acromion. Failure to do so may result in residual impingement by the CA ligament. Visualization of the undersurface fibers of the deltoid indicates a complete CA ligament resection. D. The acromioplasty begins at the far anterolateral tip of the acromion. The burr's diameter, usually 5 to 6 mm, is used to assess the initial depth of the acromial resection. The acromioplasty proceeds in 5- to 6-mm strips from anterior to posterior and lateral to medial. E. Completed acromioplasty. The undersurface of the acromion is converted to a type I morphology. Any residual ridges or rough edges can be safely smoothed with the burr in the reverse cutting position. F. View of the acromioplasty from the lateral portal. At the procedure's completion, the arthroscope should be placed in the lateral portal to assess the acromion for any residual downslope or unresected bone. The AC joint is also well visualized from this portal and may be resected or coplaned via the anterior portal. G. Coplaning of the AC joint. The posterior or lateral portal is used for arthroscopic visualization. Coplaning is performed with the burr in the anterior or lateral portal. This depth of resection is achieved anteriorly from the anterolateral corner of the acromion to the medial acromial facet of the AC joint. The depth of resection is then progressively thinned posteriorly to the midportion of the acromion such that there is a smooth zone of transition from the anterior to the midportion of the acromion(TECH FIG 2E).
Any ridges or rough edges may be smoothed with the burr in the “reverse cutting” position. The reverse position provides a much less aggressive bone resection, which is ideal for smoothing the soft cancellous undersurface exposed following acromioplasty. The arthroscope is placed in the lateral portal to check the adequacy of resection(TECH FIG 2F). Any residual unresected acromion or impinging osteophytes from the undersurface of the AC joint should be resected. Radiofrequency electrocautery should be used to resect the highly vascular soft tissue on the undersurface of the AC joint. From the anterior or lateral portal, the 5.5-mm burr is used to coplane the distal portion of the clavicle flush with the acromion(TECH FIG 2G).
1. ##
Cutting Block Technique Anterior acromioplasty may also be carried out using the cutting block technique. The arthroscope is placed in the lateral portal and a 5.5-mm burr is placed in the posterior portal. The tip of the burr is placed on the undersurface of the anterior acromion. If type I acromial morphology is present, the burr will lie flush with the undersurface of the posterior acromion. The undersurface of the posterior acromion is used as a guide for resection of the anterior acromion. The anterior acromion is resected until the burr is flush with the undersurface of the posterior acromion, producing type I acromial morphology(TECH FIG 3).
---
TECH FIG 3 • Completed acromioplasty via the “cutting block” technique. The acromion is viewed from the lateral portal while the burr is used to approach the acromion from the posterior portal. The burr sits flush with the undersurface of the acromion, indicating a type I acromial morphology. Decompression for Symptomatic Os Acromiale The arthroscope is introduced posteriorly and bursectomy is performed as previously described. The mesoacromiale site is identified(TECH FIG 4A). Direct pressure on the superior aspect of the anterior acromion confirms instability at the mesoacromiale junction. A 5.5-mm burr is introduced into the lateral portal. Beginning anteriorly, bone is carefully resected. Preserving anterior fibers of the deltoid, the coracoacromial ligament, and the periosteum of the acromion superiorly are important as to not destabilize the fragment. The resection should proceed posterior to the nonunion site and medial to the AC joint. The os acromiale should be removed in nearly its entirety, leaving just a thin cortical shell to preserve the deltoid attachment(TECH FIG 4B).
---
TECH FIG 4 • A. Arthroscopic view of an unstable mesoacromiale. B. View of the remaining cortical shell
2. ##
Wound Closure As much fluid as possible is drained from the subacromial and intra-articular space. With the fluid inflow turned off, the suction tubing may be placed on the arthroscope's outflow portal to completely drain the subacromial space. Wounds are closed subcutaneously with 3-0 Monocryl suture. Steri-Strips and a sterile dressing are applied. PEARLS AND PITFALLS
---
| |
| |
|
Error in diagnosis
1.
This is the most common cause of failure of subacromial decompression. A detailed history and physical examination are essential. When the diagnosis is in doubt, MRI or additional imaging tests are indicated. AC arthritis, instability, glenohumeral arthritis, biceps lesions, and rotator cuff tears commonly coexist with impingement or may mimic impingement. Hemostasis
| 1.
Excessive intraoperative bleeding obscures adequate visualization and may lead to inadequate bony resection.
2.
Twenty milliliters of a 1:300,000 diluted epinephrine and saline solution may be injected into the subacromial space before decompression to limit bleeding.
3.
If not medically contraindicated, hypotensive anesthesia is effective in controlling bleeding.
4.
Bleeders encountered during the decompression may be cauterized. The origin of bleeding is followed with the arthroscope until the inflow tamponades the bleeding vessel. Cautery may then be used to stop the hemorrhage. Alternatively, the inflow pump pressure may be increased to match the patient's mean arterial pressure. Inflow pressure tamponade is effective in limiting bleeding but should not be used for more than a few minutes, as the shoulder will swell quickly with this technique.
| ---|---|
Inadequate bone resection
| 1.
Inadequate bone resection may be a cause of surgical failure and may be avoided by preoperative knowledge of the appropriate amount of bone to resect from the supraspinatus outlet view.
2.
The key to adequate osseous resection is clear biplanar visualization through the posterior and lateral portals. Inadequate bursectomy and subacromial débridement
| 1.
These may compromise surgical outcome by affecting visualization of a bursal-sided rotator cuff tear or continued mass effect from a retained thickened subacromial bursa.
2.
Bursectomy should be complete such that the bursal surface of the rotator cuff is clearly exposed and the undersurface of the acromion is skeletonized. Retained coracoacromial ligament
| 1.
Incomplete resection may lead to ongoing impingement from the coracoacromial ligament.
2.
Complete excision of the coracoacromial ligament is confirmed by visualizing the undersurface of the deltoid across the anterior aspect of the acromion.
3.
The coracoacromial ligament extends at least 15 mm along the lateral acromial edge. The surgeon should resect the coracoacromial ligament completely and visualize the undersurface of the deltoid at least 15 mm posterior to the anterolateral corner of the acromion.
## POSTOPERATIVE CARE
Patients are placed in a sling for comfort postoperatively but are encouraged to discontinue the sling immediately when the interscalene block wears off. Patients are initially started on passive range-of-motion exercises. Therapy is advanced to active range of motion with terminal stretching as comfort allows. A rotator cuff and periscapular strengthening program is initiated once full range of motion is achieved. Terminal stretching, especially the posterior capsule, is continued for the next several months postoperatively. The therapy regimen is advanced as rapidly as motion and pain allow.
Patients may return to work or sport as pain resolves and motion and strength normalize. This can take anywhere from 6 weeks to 6 months. Patients with classic outlet impingement from a type III acromion typically improve quickly. Patients with a significant component of tendinopathy or a bursal-sided rotator cuff tear may take much longer to improve. ## OUTCOMES The success rate for arthroscopic subacromial decompression ranges from 73% to 95%. 2,7,8,9,24,25,26,27 The clinical results and predictability of bony resection for arthroscopic subacromial decompression have been shown to be equivalent to those of the open decompression.13 The advantages of the arthroscopic procedure far surpass those of the open procedure and include less surgical morbidity, preservation of the deltoid attachment, allowing rapid advancement of rehabilitation, and direct visualization of the glenohumeral joint. It is the senior author's opinion that open decompression surgery for routine impingement is a dated technique that should be relegated to the status of historical interest. Hawkins et al 10 found a significant increase in satisfactory outcomes after arthroscopic subacromial decompression by extending the lateral portal 1.5 to 2 cm and assessing the adequacy of decompression by digital palpation. This technique is especially effective for surgeons early in their arthroscopic experience, where confirmation by digital palpation can give tactile as well as visual feedback on the adequacy of acromial resection. Coplaning impinging osteophytes from the AC joint after subacromial decompression has shown uniformly good results. 3,6 Beveling the inferior 25% to 50% of the distal clavicle and medial acromion has resulted in neither significant AC joint hypermobility nor compromise in the outcome of subacromial decompression. 3,6 With appropriate patient selection, combined arthroscopic subacromial decompression and distal clavicle resection for coexisting impingement syndrome and AC joint symptoms has shown excellent results at longterm follow-up. 12,15 ## COMPLICATIONS Infection Bleeding Neurovascular injury Fistula formation from excessive portal drainage Acromial fracture 17 ##
Scientific References
- 1. Altchek DW, Carson EW. Arthroscopic acromioplasty: indications and technique. AAOS Instr Course Lect 1998;47:21-28.** 2. **Altchek DW, Warren RF, Wickiewicz TL, et al. Arthroscopic acromioplasty: technique and results. J Bone Joint Surg Am 1990;72: 1198-1207.** 3. **Barber FA. Long-term results of acromioclavicular joint coplaning. Arthroscopy 2006;22:125-129.** 4. **Bigliani LU, Morrison DS, April EW. The morphology of the acromion and its relationship to rotator cuff tears. Orthop Trans 1986;10:228.** 5. **Braman J, Flatow E. Arthroscopic decompression and physiotherapy have similar effectiveness for subacromial impingement. J Bone Joint Surg Am 2005;87:2595.** 6. **Buford D Jr, Mologne T, McGrath S, et al. Midterm results of arthroscopic co-planing of the acromioclavicular joint. J Shoulder Elbow Surg 2000;9:498-501.** 7. **Esch JC. Arthroscopic subacromial decompression and postoperative management. Orthop Clin North Am 1993;24:161-171.** 8. **Esch JC, Ozerkis LR, Helgager JA, et al. Arthroscopic subacromial decompression: results according to the degree of rotator cuff tear. Arthroscopy 1988;4:241-249.** 9. **Gartsman GM. Arthroscopic acromioplasty for lesions of the rotator cuff. J Bone Joint Surg Am 1990;72:169-180.** 10. **Hawkins RJ, Plancher KD, Saddemi SR, et al. Arthroscopic subacromial decompression. J Shoulder Elbow Surg 2001;10:225-230.** 11. **Jobe CM, Coen MJ. Gross anatomy of the shoulder. In: Rockwood CA, Matsen FA, Wirth MA, et al, eds. The Shoulder, ed 6. Philadelphia: Saunders, 2004:33-95.** 12. **Kay SP, Dragoo JL, Lee R. Long-term results of arthroscopic resection of the distal clavicle with concomitant subacromial decompression. Arthroscopy 2003;19:805-809.** 13. **Lindh M, Norlin R. Arthroscopic subacromial decompression versus open acromioplasty: a two-year followup study. Clin Orthop Relat Res 1993:174-176.** 14. **Mair SD, Viola RW, Gill TJ, et al. Can the impingement test predict outcome after arthroscopic subacromial decompression? J Shoulder Elbow Surg 2004;13:150-153.** 15. **Martin SD, Baumgarten TE, Andrews JR. Arthroscopic resection of the distal aspect of the clavicle with concomitant subacromial decompression. J Bone Joint Surg Am 2001;83-A:328-335.** 16. **Matthews LS, Blue JM. Arthroscopic subacromial decompression: avoidance of complications and enhancement of results. AAOS Instr Course Lect 1998;47:29-33.** 17. **Matthews LS, Burkhead WZ, Gordon S, et al. Acromial fracture: a complication of arthroscopic subacromial decompression. J Shoulder Elbow Surg 1994;3:256-261.** 18. **Mayerhoefer ME, Breitenseher MJ, Wurnig C, et al. Shoulder impingement: relationship of clinical symptoms and imaging criteria. Clin J Sport Med 2009;19:83-89.** 19. **Morrison DS, Frogameni AD, Woodworth P. Non-operative treatment of subacromial impingement syndrome. J Bone Joint Surg Am 1997;79:732-737.** 20. **Neer CS II. Anterior acromioplasty for the chronic impingement syndrome in the shoulder: a preliminary report. J Bone Joint Surg Am 1972;54:41-50.** 21. **Neer CS II. Impingement lesions. Clin Orthop Relat Res 1983;173: 70-77.** 22. **Nicholson GP, Goodman DA, Flatow EL, et al. The acromion: morphologic condition and age-related changes. A study of 420 scapulas. J Shoulder Elbow Surg 1996;5:1-11.** 23. **Pagnani MJ, Mathis CE, Solman CG. Painful os acromiale (or unfused acromial apophysis) in athletes. J Shoulder Elbow Surg 2006;15:432-435.** 24. **Patel VR, Singh D, Calvert PT, et al. Arthroscopic subacromial decompression: results and factors affecting outcome. J Shoulder Elbow Surg 1999;8:231-237.** 25. **Paulos LE, Franklin JL. Arthroscopic shoulder decompression development and application: a five year experience. Am J Sports Med 1990;18:235-244.** 26. **Roye RP, Grana WA, Yates CK. Arthroscopic subacromial decompression: two- to seven-year follow-up. Arthroscopy 1995;11:301-306.** 27. **Ryu RK. Arthroscopic subacromial decompression: a clinical review. Arthroscopy 1992;8:141-147.** 28. **Sammarco VJ. Os acromiale: frequency, anatomy, and clinical implications. J Bone Joint Surg Am 2000;82:394-400.** 29. **Satterlee CC. Successful osteosynthesis of an unstable mesoacromion in 6 shoulders: a new technique. J Shoulder Elbow Surg 1999;8:125-129.** 30. **Warner JJ, Beim GM, Higgins L. The treatment of symptomatic os acromiale. J Bone Joint Surg Am 1998;80:1320-1326.** 31.** Wright RW, Heller MA, Quick DC, et al. Arthroscopic decompression for impingement syndrome secondary to an unstable os acromiale. Arthroscopy 2000;16:595-599. [View Source / PubMed]
You Might Also Like