Arthroscopic Capsular Release for Shoulder Stiffness: An Intraoperative Masterclass

Key Takeaway
This masterclass details arthroscopic capsular release for shoulder stiffness, guiding fellows through comprehensive surgical anatomy, meticulous preoperative planning, and precise intraoperative execution. We cover essential techniques for releasing contracted capsular structures, emphasizing neurovascular protection and optimal patient outcomes. Learn pearls, pitfalls, and postoperative management strategies to restore motion effectively.
Arthroscopic Capsular Releases for Loss of Motion
DEFINITION
Shoulder stiffness can be a function of soft tissue scarring and contracture or osseous changes. The stiff or frozen shoulder has been given the name
adhesive capsulitis
.
There is no consensus on the definition of adhesive capsulitis, but it is generally agreed to be a condition with functional restriction of active and passive shoulder motion without an osseous basis for this limitation.18
Its key distinguishing feature is restriction of passive external rotation in the face of a normal glenohumeral joint on radiograph.4
An exception to this statement is that calcific tendinitis may be seen on radiograph.
There are principally two forms of adhesive capsulitis that result in loss of range of motion and can be safely addressed by arthroscopic releases:
Primary adhesive capsulitis (idiopathic) Secondary adhesive capsulitis
Intrinsic
Associated with, for example, rotator cuff disorders, calcific tendinitis, biceps tendinitis, previous shoulder surgery, or proximal humerus fracture
Extrinsic
Remote or local abnormality extrinsic to the glenohumeral joint such as prior ipsilateral breast surgery, cervical radiculopathy, previous humeral shaft fracture, scapulothoracic abnormality, acromioclavicular arthritis, or clavicle fracture
FIG 1
•
A.
Thickenings of the capsule are referred to as the
glenohumeral ligaments
. In their undiseased state, they act as physiologic checkreins at extreme ranges of motion.
CCL
, coracoclavicular ligament;
CAL
, coracoacromial ligament;
SGHL
, superior glenohumeral ligament;
MGHL
, middle glenohumeral ligament;
IGHL
, inferior glenohumeral ligament.
B.
Fibrous bands can exist in the subacromial space (
a
) between the acromion and rotator cuff as well as in the subdeltoid space (
b
) between the deltoid and rotator cuff or humerus. These can restrict excursion of the rotator cuff and thus active and passive range of motion.
C.
The axillary nerve runs across the superficial surface of the subscapularis and then adjacent to the inferior border of the subscapularis as it heads posteriorly.
Anterior capsular release can proceed safely as long as the muscle of the subscapularis is seen inferiorly.
Systemic
Associated with disorders such as diabetes mellitus and less commonly hyperthyroidism, hypothyroidism, hypoadrenalism, or even myocardial infarction
Shoulder stiffness can result from intra-articular adhesions, capsular contracture, subacromial adhesions, and subdeltoid adhesions.
The essential tenet of treating the stiff shoulder is recognizing the anatomic region responsible for the stiffness and releasing the specific structures in this region in a controlled fashion.
An adequate appreciation of anatomy is key to restoring motion and avoiding injury to accompanying tendons and nerves.
ANATOMY
Shoulder motion occurs principally along two interfaces: Glenohumeral articulation
Scapulothoracic articulation
On average, the normal ratio of glenohumeral motion to scapulothoracic motion is 2:1, with the majority of elevation occurring through the glenohumeral joint.
Capsuloligamentous structures contribute to stability of the shoulder joint and act as checkreins at the extremes of motion in the nonpathologic state.
Many areas within the capsule are thickened and contain the glenohumeral ligaments (
FIG 1A
): Superior glenohumeral ligament
Coracohumeral ligament
Middle glenohumeral ligament
Inferior glenohumeral ligament complex Anterior band
Axillary fold
Posterior band
The rotator interval is a triangular region between the anterior border of the supraspinatus tendon and the superior border of the subscapularis. It contains the superior glenohumeral ligament and the coracohumeral ligament.
During shoulder motion, tightening and loosening of the glenohumeral ligaments and capsule are accompanied by lengthening and shortening of the rotator cuff and deltoid muscles.
A plane between the deltoid and humerus (subdeltoid) exists that, when scarred, can limit glenohumeral motion. A plane between the rotator cuff and acromion exists and is occupied normally by a subacromial bursa.
Scar tissue and adhesions in this interface can limit excursion of the rotator cuff and thus glenohumeral joint motion (
FIG 1B
).
Several structures that are important to preserve are in continuity or proximity to the regions of the capsule that are released arthroscopically in the stiff shoulder.
The subscapularis tendon is superficial to the middle glenohumeral ligament. The superior two-thirds of the subscapularis is intra-articular.
The biceps tendon courses through the rotator interval.
The axillary nerve runs adjacent to the inferior border of the subscapularis and then is juxtaposed to the inferior glenohumeral ligament and capsule as it exits the quadrangular space (
FIG 1C
).
The posterior capsule overlies a distinct layer of rotator cuff muscle posteriorly adjacent to the glenoid.
The posterior rotator cuff tendons and capsule are juxtaposed and virtually indistinguishable more laterally.
Release of the posterior capsule should be done adjacent to the glenoid to avoid rotator cuff muscle and tendon disruption.
Contracture of specific capsular regions and ligaments correlates with specific clinical losses of range of motion. This must be determined preoperatively to guide arthroscopic release (Table 1).
Table 1 Contracture of Specific Capsuloligamentous Regions and Their Influence on Shoulder Motion Anatomic Region Shoulder Motion Restricted Rotator interval (superior glenohumeral ligament and
coracohumeral ligament)
External rotation with the shoulder
adducted
Middle glenohumeral ligament
External rotation at the midranges of
abduction
Inferior glenohumeral ligament (anterior band)
External rotation at 90 degrees of
abduction
Inferior capsule
Abduction and forward flexion
Posterior capsule and inferior glenohumeral ligament (posterior
band)
Internal rotation
PATHOGENESIS
Shoulder stiffness can be primary or secondary.
Primary stiffness is often termed
adhesive capsulitis
.
Adhesive capsulitis, also referred to as
frozen shoulder
, can be idiopathic and is more common in women.
Secondary stiffness occurs as a result of scar formation and adhesions after trauma or surgery of the shoulder as a result of disruption of soft tissue, release of cytokines, and the body’s inflammatory response seen after injury.
Secondary stiffness can also result iatrogenically, as would be the case after a Putti-Platt or Magnuson-Stack procedure.
The pathogenesis of frozen shoulder has been divided into three stages (Table 2). The stages coexist as a continuum and occur over a variable time course in individual patients.
NATURAL HISTORY
Although the natural history of secondary shoulder stiffness is relatively accepted as protracted and refractory to nonoperative treatment, the time course and end result of adhesive capsulitis (primary and secondary) are more controversial.
In the absence of operative intervention, recent reports have shown measurable restrictions in range of motion at
follow-up in 39% to 76% of patients,3,11,13 in addition to persistent symptoms in up to 50% of patients2 with adhesive capsulitis.
Adhesive capsulitis can be protracted, with the mean duration of symptoms of 30 months.13 There is a weak correlation between restricted range of motion and pain.
Some patients have severe pain but near-normal range of motion. Some patients have very restricted range of motion but no pain.
In one study, restricted range of motion was found in more than 50% of patients with adhesive capsulitis, but functional deficiency was identified in only 7% of the patients.13
The impact of restricted range of motion or pain on an individual patient’s quality of life largely depends on that patient’s functional demands.
Table 2 Pathogenesis of Frozen Shoulder
Freezing or inflammatory
stage
Slow onset of pain, with the shoulder losing motion as the
pain worsens
6 wk to 9 mo
Frozen stage
Slow improvement in pain but the stiffness continues
4-9 mo or
more
Thawing stage
Shoulder motion gradually returns to normal
5-26 mo
| Adhesive capsulitis in diabetics tends to be more protracted and more resistant to nonoperative treatment than idiopathic adhesive capsulitis.
Stage
|
Description
|
Time Course
|
| --- | --- | --- |
PATIENT HISTORY AND PHYSICAL FINDINGS
Patients with idiopathic adhesive capsulitis often deny a traumatic event but complain of the insidious onset of pain that is refractory to physical therapy and predates the loss of motion.
Patients with secondary adhesive capsulitis often have a history of trauma, surgery, or medical comorbidities.
A history of fracture or extended immobilization should be elicited.
Previous surgeries including rotator cuff repair, capsular shift, Putti-Platt, Bristow-Latarjet, open glenoid bone grafting, and open reduction and internal fixation of a fracture should be documented as a potential cause of stiffness.
Comorbidities, including diabetes mellitus and thyroid disorders, should be recorded because they are associated with adhesive capsulitis.
Symptoms expressed by patients with shoulder stiffness include the following: Loss of range of motion that translates into functional limitations
Painful arc of motion
Pain often radiating to the deltoid area due to “ non-outlet” impingement6
Periscapular pain as a result of transferred pain to the scapulothoracic articulation because of restricted glenohumeral range of motion
Acromioclavicular joint pain due to increased scapulothoracic motion
A comprehensive examination of the involved shoulder must be done to note any concomitant pathology. Physical examination methods include the following:
Passive range-of-motion examinations: Results are compared to the contralateral shoulder. Loss of passive range of motion should always be compared to loss of active range of motion.
Assessing the anterosuperior capsule: A loss of passive external rotation in adduction suggests contracture of the anterosuperior capsule in the region of the rotator interval.
Assessing the anteroinferior capsule: A loss of passive external rotation in abduction suggests contracture of the anteroinferior capsule.
Assessing the inferior capsule: A loss of passive flexion and abduction suggests contracture of the inferior capsule.
Assessing the posterior capsule: Cross-chest adduction can be measured in degrees by recording the angle between an imaginary horizontal to the ground and the axis of the arm. A loss of passive internal rotation suggests contracture of the posterior capsule.
The shoulder should be examined for signs of previous surgery, trauma, deformity, and atrophy. Manual motor testing of rotator cuff and deltoid muscles should be done.
Active and passive range of motion should be noted in all planes both in seated and supine positions. Shoulder motion should be viewed from the front and back of the patient.
Assessing range of motion in a supine position controls compensatory scapulothoracic motion and lumbar tilt, yielding a more accurate examination.
An equal loss of passive and active range of motion suggests adhesive capsulitis as the cause.
Greater loss of active than passive range of motion suggests rotator cuff or nerve injury.
Global loss of passive range of motion is typical of adhesive capsulitis, whereas loss of range of motion in one plane is usually attributable to postsurgical scarring or trauma.
Lidocaine intra-articular injection test: Passive and active range of motion in all planes should be recorded before glenohumeral injection. Passive and active range of motion should be evaluated after the injection to note any improvement after pain relief. A more accurate assessment of range of motion can be made after pain is alleviated. The recorded increase in range of motion after the injection indicates the extent to which loss of motion is attributable to adhesions and soft tissue contracture as opposed to pain from non-outlet impingement or a symptomatic acromioclavicular joint. The injection can also be therapeutic in the early stages of adhesive capsulitis when synovitis is present. An intra-articular injection may also be coupled with a subacromial
injection.11
IMAGING AND OTHER DIAGNOSTIC STUDIES
Routine radiographic evaluation should include an anteroposterior (AP) view of the shoulder in neutral, internal, and external rotation as well as scapular Y and axillary lateral views.
Disuse osteopenia is often noted.
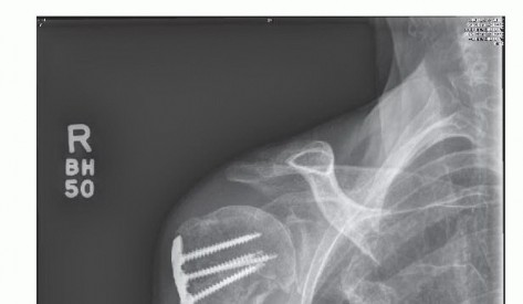
Concomitant findings may include calcific tendinitis or hardware signifying a previous surgical procedure (eg, open reduction and internal fixation, Putti-Platt) (
FIG 2
).
Magnetic resonance imaging (MRI) is obtained only if a rotator cuff tear or other soft tissue derangement is suspected.
We do not typically order an arthrogram or laboratory studies to confirm the diagnosis of adhesive capsulitis.
DIFFERENTIAL DIAGNOSIS
Glenohumeral arthritis Acromioclavicular arthritis
FIG 2 • Hardware on radiographs can be helpful in guiding treatment. In this instance, after treatment of a proximal humerus fracture with open reduction internal fixation, adhesions would be expected in the subdeltoid space.
*
Rotator cuff tendinitis Subacromial or subdeltoid bursitis Bicipital tendinitis
Calcific tendinitis Septic arthritis Rotator cuff tears
Gout or crystalline arthropathy
NONOPERATIVE MANAGEMENT
Nonoperative treatment can be attempted but is typically unsuccessful in patients with secondary shoulder stiffness.
It is indicated in patients with primary and secondary adhesive capsulitis who have had stiffness for less than 4 to 6 months or no previous treatment.
Nonsteroidal anti-inflammatories are used for pain relief, but narcotics are avoided because of dependency issues with long-term use.
Injections are helpful in the early stages of adhesive capsulitis to control pain.
A series of three intra-articular injections can be given for pain relief. An intra-articular injection is often diagnostic as well, with the alleviation of pain but continued restriction in range of motion.10,12
Paired injections can be given (a subacromial and intraarticular injection).14
FIG 3 • A. An interscalene catheter is established preoperatively to provide muscle paralysis and pain control during the procedure as well as sustained pain control for 48 hours after the arthroscopic release. B. Passive range of motion is examined under anesthesia to guide the arthroscopic release. The scapula should be controlled with one of the examiner’s hands to avoid scapulothoracic motion.
*
Active-assisted range-of-motion exercises focused on stretching capsular contractures under the supervision of a
physical therapist should be done in 5- to 10-minute sessions four or five times a day.7 Other modalities such as ice and heat can provide comfort before and after exercise but are typically not very effective in the inflammatory or freezing phase.
SURGICAL MANAGEMENT
Surgical intervention should not be attempted during the early stages of adhesive capsulitis. It may be counterproductive and prohibit an increase in range of motion by abundant scar formation.
Surgical intervention is indicated for secondary or primary adhesive capsulitis once pain is present only at the extremes of motion and not through the entire arc of motion.
We prefer to continue nonoperative management while motion is increasing. We recommend surgery only when patients’ range of motion plateaus.
We prefer to do a manipulation under anesthesia at the conclusion of an arthroscopic release in a controlled fashion rather than as a stand-alone procedure or before an arthroscopic evaluation and release.
Preoperative Planning
Imaging is reviewed and concomitant pathology is noted.
Rotator cuff tears should be noted because a repair will influence postoperative therapy and the timing of surgery.
Glenohumeral arthritis should be noted. These patients may have some benefit from an arthroscopic release, but their results are influenced by the congruity of the glenohumeral joint.
Unless contraindicated, we use regional anesthesia (30- to 40-mL bolus of a combination of 1.5% mepivacaine and 0.5% bupivacaine) with an indwelling interscalene catheter that provides muscle paralysis and pain control during the procedure as well as up to 48 hours after arthroscopic capsular release (
FIG 3A
).
This is essential to postoperative therapy and was shown to be effective and safe.5,16,17 Patients are admitted for 48 hours of intensive physical therapy under the indwelling interscalene block after surgery.
An examination under anesthesia is conducted using the range-of-motion principles to assess the anterosuperior, anteroinferior, inferior, and posterior capsules. This guides the emphasis of capsular release (
FIG 3B
).
Positioning
The patient is placed supine on the operating table in the beach-chair position.
After an examination under anesthesia, the shoulder is widely prepared and draped well medial to the coracoid anteriorly and to the medial scapular border posteriorly.
The entire arm is prepared and then placed into a hydraulic arm holder (Spider Limb Positioner, Tenet Medical Engineering, Inc., Calgary, Canada) (
FIG 4
). This avoids the need for an assistant to hold the arm.
FIG 4 • We use a hydraulic arm holder (Spider Limb Positioner) to secure the arm and avoid the need for an assistant.
*
TECHNIQUES
-
Establishing Portals
The challenging aspect of arthroscopic capsular release is entering the contracted joint while avoiding iatrogenic articular injury ( TECH FIG 1A ).
We establish the posterior arthroscopic portal slightly higher than normal ( TECH FIG 1A-C ).
TECH FIG 1
• It is often difficult to enter a shoulder with significant capsular contraction and scarring.
A.
The posterior portal (
a
) is established higher than normal to lessen the risk of iatrogenic articular damage. The lateral (
b
) and anterior (
c
) portals are established using the outside-in technique with an 18-gauge spinal needle.
B.
Sterile normal saline is injected into the glenohumeral joint. This causes distention, which lessens the risk of iatrogenic articular damage and verifies the portal position. Backflow of saline through the spinal needle ensures entry into the joint as opposed to soft tissue.
C.
The anterior capsule is visualized by the arthroscope from the posterior portal and a radiofrequency device is placed through the cannula anteriorly to remove synovium and create a potential working space.
D
. Entering at or above the biceps with the anterior cannula is typically possible.
E.
The biceps can be displaced inferiorly and the rotator interval can be ablated to relax the joint and allow further release inferiorly.
F.
Forced entry with poor visualization can result in significant osteochondral injury, as depicted in this image.
HH
, humeral head.
An 18-gauge spinal needle is inserted into the joint and insufflated (usually 10 to 15 mL in a contracted joint) with sterile saline ( TECH FIG 1B ).
Entry into the joint can be confirmed by noting backflow of saline from the spinal needle.
This step ensures proper portal placement and also distends the joint, thus lessening the risk of iatrogenic articular injury ( TECH FIG 1F ).
An incision is made where the needle was inserted using a no. 11 blade, and the arthroscope sheath is advanced into the glenohumeral joint.
Entry into the joint is confirmed with backflow of saline through the sheath.
With the arthroscope posteriorly, a spinal needle is inserted lateral to the coracoid through the rotator interval immediately underneath the biceps and above the subscapularis.
An incision is made with a no. 11 blade and a 6-mm cannula is then placed through this portal.
A radiofrequency device is passed through the cannula and used to remove synovium and soft tissue that obscures the view (
TECH FIG 1C-E
). In certain instances, it may be necessary to use the radiofrequency device to penetrate the thickened capsule to complete the portal creation. If this is done, we find it best not to use the hook-tipped device because there have been instances of the tip breaking as it attempts to pierce the contracted capsule. The opening in the capsule can be created with the regular radiofrequency device, which is then switched to the hook-tipped device to begin the capsular resection.
1. ## Anterior Capsular Release
Resection of contracted and thickened capsule can be done with a radiofrequency device, shaver, or arthroscopic punch.
We prefer to use a hook-tipped radiofrequency device to avoid bleeding, resect in a controlled fashion, and benefit from the feedback of electrical stimulation to nearby muscles and nerves.
An arthroscopic punch can be used once a leading edge in the capsule has been established (
TECH FIG 2A,B
).
In adhesive capsulitis, the capsule is often up to 1 cm thick compared with the normal 2 mm. We resect the anterior capsule systematically.
The rotator interval capsule is noted between the biceps superiorly and the intra-articular subscapularis inferiorly. This comprises the superior glenohumeral and coracohumeral ligaments (
TECH FIG 2C
).
We begin by cutting (ablating) the capsular tissue immediately inferior to the biceps tendon (
TECH FIG 2D
).
TECH FIG 2
• Capsule can be resected by (
A
) a radiofrequency device or (
B
) an arthroscopic punch.
C.
The rotator interval is the portion of the capsule between the supraspinatus and subscapularis. Arthroscopically, it is seen bordered by the biceps, subscapularis, humeral head (
HH
), and glenoid (
G
).
D.
The capsule in the rotator interval is incised lateral and parallel to the glenoid starting inferior to the biceps.
E.
The capsule is incised from just inferior to the biceps up to the leading edge of the subscapularis (
subscap
) tendon.
(continued)
The capsular tissue is released inferiorly until the superior border of the subscapularis is identified, thus releasing the rotator interval and its contents (
TECH FIG 2E
).
A switching stick can then be used to bluntly dissect the capsule from the deep surface of the subscapularis to create a defined interval. This capsule represents the middle glenohumeral ligament (
TECH FIG 2F
).
The capsule overlying the subscapularis is then divided to the 6 o’clock position (
TECH FIG 2G
).
Gentle external rotation can place the capsule under additional tension and facilitate its resection.
The axillary nerve is not at risk as long as the subscapularis muscle is seen (see
FIG 1C
).
The shaver is introduced to resect the capsular tissue medially and laterally to provide a generous interval
(10 mm) and discourage the healing of capsular tissue in a contracted position.
---
TECH FIG 2
•
(continued)
F.
A blunt obturator or switching stick can be used to bluntly dissect the deep capsule from the more superficial anterior subscapularis (
subscap
) tendon. This capsule is divided with radiofrequency ablation.
G.
The anterior capsule (
asterisk
) is divided to the 6 o’clock position.
H.
The inferior capsule and inferior glenohumeral ligament are divided to complete the release.
2. ## Posterior Capsular Release
A certain subset of patients may present with discrete, isolated loss of internal rotation, which is usually painful and is often seen in patients with non-outlet impingement symptoms as described by Warner et
al.15,16 Particular attention to release of the posterior capsule is necessary in these patients as well as in patients with global capsular contracture.
TECH FIG 3 • A. The arthroscope is placed through the anterior cannula to view the posterior capsule. A switching stick is placed through the arthroscopic sheath posteriorly. Inflow is attached to the anterior cannula. B. A 6-mm smooth cannula is passed over the switching stick posteriorly to facilitate a posterior capsular release. C. The posterior capsule is released with the radiofrequency probe through the posterior cannula, noting the increased thickness of the capsule. D. The cannula can be retracted if needed to achieve a better angle with the probe.
E.
The capsule is released to the 8 o’clock position.
The arthroscope is placed through the anterior 6-mm cannula.
Inflow is attached to the anterior cannula.
A switching stick is placed through the arthroscopic sheath posteriorly into the joint (
TECH FIG 3A
).
A 6-mm cannula is exchanged for the arthroscope sheath over a switching stick posteriorly (
TECH FIG 3B
).
The hook-tipped radiofrequency device is passed through the cannula and is used to release the posterior capsule from just posterior to the long head of the biceps to the 8 o’clock position (
TECH FIG 3C-E
).
A shaver is introduced and used to further resect tissue medially and laterally, leaving a 10-mm capsule-free interval. The capsule is intimate with the infraspinatus, and the release should be terminated at the point at which muscle is encountered.
3. ## Inferior Capsular Release
The necessity of inferior capsular release has been a source of debate among surgeons, with some authors believing that the success of arthroscopic capsular release of the glenohumeral joint depends on complete
incision of the inferior capsule.8
We routinely release the inferior capsule.
With the arthroscope still in the anterior portal, the hook-tipped radiofrequency device is used through the posterior portal to divide the inferior capsule and posterior inferior glenohumeral ligament, completing the release from 8 o’clock to 6 o’clock position, connecting the posterior and anterior releases (
TECH FIG 2H
).
The proximity of the axillary nerve to the inferior capsule and inferior glenohumeral ligament is a concern. It has been shown that the safest position of the operative arm during inferior release is abduction and external
rotation.8
In addition, the release should be performed close to the glenoid insertion of the inferior capsule.
If there are significant deltoid contractions during division of the inferior capsule with the radiofrequency device, suggesting proximity to the axillary nerve, one option is to perform a manipulation at that point to complete the inferior release rather than continuing with the radiofrequency device.
An alternative method of releasing the inferior capsule is to use a basket cutter to dissect the capsule separate from the underlying tissue rather than dividing the capsule with a radiofrequency device. It is often easiest to use the basket from the posterior portal while viewing through the anterior portal.
4. ## Subacromial and Subdeltoid Bursoscopy
Subacromial and subdeltoid scarring and adhesions are common after prior rotator cuff repair and fracture fixation.
In cases of adhesive capsulitis, there is often a component of subacromial bursitis.
The subacromial space and subdeltoid space are always evaluated for bursitis as well as dense adhesions.
---
TECH FIG 4
•
A.
The arthroscope sheath and blunt obturator are passed as a unit through the subacromial space and out the previously made anterior portal. The arthroscope is exchanged for the obturator in the sheath and a 6-mm cannula is placed over the sheath and lens tip. Both are withdrawn into the subacromial together, enabling the radiofrequency device to begin work by débriding thick soft tissue within view of the arthroscope.
B.
Scar and bursa are removed from the subacromial space and the subdeltoid space (
asterisk
) using a shaver and radiofrequency device. Adhesions are released between the rotator cuff and the acromion and deltoid.
The arthroscope is passed into the subacromial space through the posterior portal immediately inferior to the posterior acromion.
A 6-mm smooth cannula is placed through the anterior portal (
TECH FIG 4A
).
A radiofrequency device is passed through the anterior cannula to meet the arthroscopic lens and a subacromial decompression is initiated until the space adjacent to the lateral deltoid is free of adhesions.
A spinal needle can then be used to locate the position of a lateral portal.
A lateral portal is made with a no. 11 blade and a 6-mm cannula is introduced into the subacromial space.
The anterior and lateral cannulas can alternately be used to achieve an adequate subacromial decompression.
It is essential to free the interval between the acromion and rotator cuff as well as laterally in the space between the deltoid and proximal humerus (
TECH FIG 4B
).
An acromioplasty can be done if indicated, although it is not usually necessary in cases of primary adhesive capsulitis.
5. ## Postrelease Manipulation under Anesthesia
Range of motion is evaluated before manipulation under anesthesia to determine which structures need additional release.
A sterile dressing is applied and the drapes are removed so that the scapula can be stabilized.
A manipulation after a capsular release requires far less force and therefore carries a lower risk of fracture.
The scapula is stabilized with one hand while the surgeon’s other hand firmly grasps the humerus above the elbow (
TECH FIG 5
).
Sequence of manipulation: External rotation in adduction Abduction
External rotation in abduction Internal rotation in abduction Flexion
Internal rotation in adduction
TECH FIG 5 • A gentle manipulation under anesthesia is done after arthroscopic release and once the drapes have been removed. ** PEARLS AND PITFALLS**
| Hemostasis ▪ Visualization is essential during a capsular release. We routinely use epinephrine in our bags of saline. In addition, we rely on the use of a radiofrequency device and limit the use of a shaver and arthroscopic punch.
Difficulty entering the ▪ Distention of the joint with sterile normal saline through an 18-gauge glenohumeral joint with the spinal needle ensures correct position of the portal.
arthroscope ▪ Typically, the joint can be entered superiorly at the level of the biceps and initial release of the interval should relax the joint, allowing improved visualization.
Difficulty visualizing the ▪ The following sequence can help gain access to the subacromial subacromial space and space, which facilitates safe decompression and lysis of adhesions: establishing portals in the
| |
setting of dense scar ▪ The arthroscope sheath (with obturator) is passed through the
posterior portal adjacent to the posterior acromion toward the anterior portal.
1. With the sheath adjacent to the acromion, the sheath and obturator are passed through the existing anterior portal.
2. The obturator is removed and the arthroscope secured in its sheath (lens and tip of scope exiting out of anterior portal).
3. The 6-mm cannula is placed over the tip of the sheath.
4. In a controlled fashion, the arthroscope is withdrawn into the subacromial space while the cannula is maintained on the tip of the sheath and passed into the subacromial space.
5. A radiofrequency device can be placed in the cannula as it is backed off the sheath by 1-2 mm.
6. The arthroscope can now visualize the radiofrequency device in a controlled and reproducible fashion to allow safe decompression instead of relying on blind navigation in dense scar and bursa.
| ---|---|---
POSTOPERATIVE CARE
Immediately after surgery, the arm is placed in a simple sling and the shoulder in a cryotherapy sleeve.
The patient is admitted for 48 hours and a continuous infusion of 0.1% bupivacaine is administered through the previously placed interscalene catheter at 10 to 20 mL per hour based on the pain level.
Passive range of motion in all planes is initiated on the morning of the first postoperative day by the physical therapists. This is done twice a day.
The patient is discharged on the afternoon of the second postoperative day after the indwelling catheter is removed.
A simple sling for comfort is worn on discharge, but the patient is encouraged to use the operative arm for activities of daily living.
After discharge, the patient immediately begins outpatient physical therapy to include stretching and water therapy whenever possible:
Five days a week for 2 weeks Three days a week for 2 weeks
At 1 month, therapy regimen is transitioned to home program.
Strengthening is initiated with elastic bands and weights only when range of motion is achieved. We prefer no strengthening until full range of motion is achieved.
OUTCOMES
Multiple studies have shown the efficacy of arthroscopic capsular release for shoulder stiffness.
In one study with an average of 33 months of follow-up, final motion at latest follow-up was 93% of the opposite side compared to 41% preoperatively, with a significant improvement in reported health status (SF-
36) and ability to use the arm functionally.6
Long-term follow-up has shown that the improvements in pain and function after capsular release are maintained or even enhanced. In a study with mean follow-up of 7 years (range 5 to 13 years), Le Lievre and
Murrell9 showed that all 49 shoulders included in the study sample had significant improvement with regard to pain frequency and severity, patient-reported shoulder function, stiffness, and difficulty in completing activities compared with the findings at the initial presentation (
P
< .001) and the 1-year follow-up evaluation (
P
< .01 to
P
< .001). Shoulder motion also improved (
P
< .001) and was comparable with that of the contralateral
shoulder.9
Warner et al16 found significant gains in range of motion (within 7 degrees of the values for the normal contralateral shoulder) in 23 patients with idiopathic adhesive capsulitis treated by arthroscopic release. All patients had either no pain or only occasional mild pain with forceful use of the shoulder.
Warner et al17 found significant gains in range of motion in all planes in 11 patients with postsurgical stiffness who underwent either an anterior or combined anterior and posterior arthroscopic capsular release after failed nonoperative treatment.
Non-outlet impingement with an associated posterior capsular contracture has been effectively treated by arthroscopic posterior capsular release with an average improvement of internal rotation at 90 degrees of
abduction of 37 degrees and alleviation of pain in all but one of the nine patients studied.15
Beaufils et al1 showed that arthroscopic capsular release is effective at improving range of motion regardless of the cause of a stiff shoulder, although releases for postsurgical stiffness are less likely to alleviate pain than those done for adhesive capsulitis.
COMPLICATIONS
Axillary nerve injury
Rotator cuff tendon disruption Iatrogenic chondral injury
Fracture or dislocation during manipulation under anesthesia Recurrence of stiffness
Scientific References
- 1. Beaufils P, Prevot N, Boyer T, et al. Arthroscopic release of the glenohumeral joint in shoulder stiffness: a review of 26 cases. Arthroscopy 199;15:49-55. [View Source / PubMed]
- 2. Binder A, Bulgen DY, Hazelman BL. Frozen shoulder: a long-term prospective study. Ann Rheum Dis 1984;43:361. [View Source / PubMed]
- 3. Bulgen DY, Binder A, Hazelman BL, et al. Frozen shoulder: a prospective clinical study with an evaluation of the three treatment regimens. Ann Rheum Dis 1983;43:353. [View Source / PubMed]
- 4. Bunker TD. Time for a new name for “frozen shoulder”—contracture of the shoulder. SOT 2008;31:370-373. [View Source / PubMed]
- 5. Cohen NP, Levine WN, Marra G, et al. Indwelling interscalene catheter anesthesia in the surgical management of stiff shoulder: a report of 100 consecutive cases. J Shoulder Elbow Surg 2000;9:268. [View Source / PubMed]
- 6. Harryman DT, Matsen FA III, Sidles JA. Arthroscopic management of refractory shoulder stiffness. Arthroscopy 1997;13:133-147. [View Source / PubMed]
- 7. Holovacs T, Warner JP. Acquired shoulder stiffness: posttraumatic and postsurgical. In: Warner JP, Iannotti J, Flatow W, eds. Complex and Revision Problems in Shoulder Surgery. Philadelphia: Lippincott Williams & Wilkins, 2005:236. [View Source / PubMed]
- 8. Jerosch J, Filler TJ, Peuker ET. Which joint position puts the axillary nerve at lowest risk when performing arthroscopic capsular release in patients with adhesive capsulitis of the shoulder? Knee Surg Sports Traumatol Arthrosc 2002;10:126-129. [View Source / PubMed]
- 9. Le Lievre HMJ, Murrell GAC. Long-term outcomes after arthroscopic capsular release for idiopathic adhesive capsulitis. J Bone Joint Surg Am 2012;94:1208-1216. [View Source / PubMed]
- 10. Lundber BJ. The frozen shoulder: clinical and radiographical observations. The effect of manipulation under general anesthesia: structure and glycosaminoglycan content of the joint capsule. Acta Orthop Scand Suppl 1969;119:1-59. [View Source / PubMed]
- 11. Murnagham JP. Frozen shoulder. In: Rockwood CAJ, Matsen FA, eds. The Shoulder. Philadephia: WB Saunders, 1990:837. [View Source / PubMed]
- 12. Quin CE. “Frozen shoulder”: evaluation and treatment with hydrocortisone injections and exercises. Ann Phys Med 1965;8:22. [View Source / PubMed]
- 13. Reeves B. The natural history of the frozen shoulder syndrome. Scand J Rheumatol 1986;4:193. [View Source / PubMed]
- 14. Richardson AT. Ernest Fletcher lecture: the painful shoulder. Proc R Soc Med 1975;68:731. [View Source / PubMed]
- 15. Ticker JB, Beim GM, Warner JP. Recognition and treatment of refractory posterior capsular contracture of the shoulder. Arthroscopy 2000;16:27-34. [View Source / PubMed]
- 16. Warner JP, Allen A, Marks PH, et al. Arthroscopic release for chronic, refractory adhesive capsulitis of the shoulder. J Bone Joint Surg Am 1996;78A:1808-1816. [View Source / PubMed]
- 17. Warner JP, Allen A, Marks P, et al. Arthroscopic release of postoperative capsular contracture of the shoulder. J Bone Joint Surg Am 1997;79A:1151-1158. [View Source / PubMed]
- 18. Zuckerman JD, Rokito A. Frozen shoulder: a consensus definition. J Shoulder Elbow Surg 2011; 20:322-325. [View Source / PubMed]
You Might Also Like