جزء من الدليل الشامل

كسور الهضبة الظنبوبية: دليل شامل للتشخيص والعلاج والتعافي مع الأستاذ الدكتور محمد هطيف في صنعاء

كسر هضبة الظنبوب من النوع السادس: دليل شامل للتشخيص والعلاج والتعافي مع الأستاذ الدكتور محمد هطيف في صنعاء

17 إبريل 2026 12 دقيقة قراءة 23 مشاهدة
صورة توضيحية لـ كسر هضبة الظنبوب من النوع السادس: دليل شامل للتشخيص والعلاج والتعافي مع الأستاذ الدكتور محمد هطيف في صنعاء

الخلاصة الطبية

كسر هضبة الظنبوب من النوع السادس هو إصابة خطيرة في الركبة تتضمن كسورًا متعددة في الجزء العلوي من عظم الساق. يتطلب علاجًا جراحيًا دقيقًا لاستعادة سطح المفصل ووظيفته، يليه برنامج تأهيل مكثف لضمان أفضل تعافٍ ممكن.

الخلاصة الطبية السريعة: كسر هضبة الظنبوب من النوع السادس هو إصابة خطيرة في الركبة تتضمن كسورًا متعددة في الجزء العلوي من عظم الساق. يتطلب علاجًا جراحيًا دقيقًا لاستعادة سطح المفصل ووظيفته، يليه برنامج تأهيل مكثف لضمان أفضل تعافٍ ممكن.

مقدمة عن كسور هضبة الظنبوب

تعتبر كسور هضبة الظنبوب من الإصابات الخطيرة التي تصيب مفصل الركبة، وتحديداً الجزء العلوي من عظم الساق (الظنبوب) الذي يشكل جزءاً من سطح المفصل. عندما نتحدث عن "كسر هضبة الظنبوب من النوع السادس" (Schatzker Type VI)، فإننا نشير إلى واحدة من أشد أنواع هذه الكسور تعقيداً وخطورة. ينجم هذا النوع عادةً عن إصابات عالية الطاقة، مثل حوادث السيارات الشديدة أو السقوط من ارتفاعات عالية، ويتميز بوجود كسور متعددة في كلا الجانبين (الداخلي والخارجي) لهضبة الظنبوب، بالإضافة إلى انفصال الجزء المفصلي عن جسم العظم الرئيسي.

إن التعامل مع كسر بهذا التعقيد يتطلب خبرة جراحية فائقة، تشخيصاً دقيقاً للغاية، وخطط علاجية وتأهيلية مدروسة بعناية لضمان أفضل النتائج الممكنة للمريض. في هذا الدليل الشامل، سنستعرض كل ما يتعلق بكسور هضبة الظنبوب من النوع السادس، بدءاً من فهم التشريح، مروراً بالأسباب والأعراض، وصولاً إلى أحدث طرق التشخيص والعلاج الجراحي المتقدمة، وبرامج إعادة التأهيل الفعالة.

يُعد الأستاذ الدكتور محمد هطيف، استشاري جراحة العظام والعمود الفقري، أحد أبرز الخبراء في علاج هذه الحالات المعقدة في صنعاء واليمن. بخبرته الواسعة ونهجه المتقدم، يضمن الدكتور هطيف حصول المرضى على رعاية طبية عالمية المستوى، بدءاً من التقييم الأولي وحتى التعافي الكامل.

صورة توضيحية لـ كسر هضبة الظنبوب من النوع السادس: دليل شامل للتشخيص والعلاج والتعافي مع الأستاذ الدكتور محمد هطيف في صنعاء

التشريح الأساسي لمفصل الركبة

لفهم كسر هضبة الظنبوب، من المهم أن نلقي نظرة سريعة على تشريح مفصل الركبة. مفصل الركبة هو أحد أكبر وأكثر المفاصل تعقيداً في جسم الإنسان، وهو يربط عظم الفخذ (الفخذ) في الأعلى بعظم الساق (الظنبوب) في الأسفل.

مكونات مفصل الركبة الرئيسية

  • عظم الفخذ (Femur): هو أطول وأقوى عظم في الجسم، وينتهي في الأسفل بلقمتين (نتوءين دائريين) تشكلان الجزء العلوي من مفصل الركبة.
  • عظم الظنبوب (Tibia): هو العظم الأكبر في الساق، ويشكل الجزء السفلي من مفصل الركبة. الجزء العلوي من الظنبوب، والذي يتسع ليشكل سطحاً مستوياً تقريباً، يُعرف باسم "هضبة الظنبوب" (Tibial Plateau). هذه الهضبة تتكون من جزء داخلي (إنسي) وجزء خارجي (وحشي)، وهي مغطاة بغضروف مفصلي أملس يسمح بحركة سلسة للمفصل.
  • عظم الرضفة (Patella): أو "صابونة الركبة"، وهو عظم صغير يقع أمام المفصل ويساعد في زيادة قوة عضلات الفخذ.
  • الغضاريف الهلالية (Menisci): عبارة عن وسائد غضروفية على شكل حرف C تقع بين عظم الفخذ وهضبة الظنبوب. تعمل كممتص للصدمات وتساعد على توزيع الوزن وتثبيت المفصل.
  • الأربطة (Ligaments): شبكة قوية من الأنسجة الضامة التي تربط العظام ببعضها البعض وتوفر الثبات للمفصل. تشمل الأربطة الصليبية (الأمامي والخلفي) والأربطة الجانبية (الإنسي والوحشي).
  • الغضروف المفصلي (Articular Cartilage): طبقة ناعمة ومرنة تغطي أطراف العظام داخل المفصل، مما يقلل الاحتكاك ويسمح بحركة انزلاقية سلسة.

عند حدوث كسر في هضبة الظنبوب، يتأثر سطح المفصل مباشرة، مما قد يؤدي إلى عدم استقرار الركبة وألم شديد وصعوبة في الحركة. في النوع السادس تحديداً، يكون الضرر واسعاً ويشمل كلا جانبي الهضبة، بالإضافة إلى انفصال الجزء العلوي عن جسم العظم، مما يزيد من تعقيد الإصابة وضرورة التدخل الجراحي المتخصص.

الأسباب وعوامل الخطر لكسور هضبة الظنبوب

كما ذكرنا، تنجم كسور هضبة الظنبوب من النوع السادس عن إصابات عالية الطاقة التي تسبب ضغطاً قوياً ومباشراً على مفصل الركبة. فهم هذه الأسباب يساعد في الوقاية واتخاذ الإجراءات اللازمة عند وقوع الحادث.

الأسباب الرئيسية

  • حوادث المركبات (Motor Vehicle Collisions): هذا هو السبب الأكثر شيوعاً لكسور هضبة الظنبوب عالية الطاقة. يمكن أن يحدث الكسر عندما تصطدم الركبة بلوحة القيادة (التابلوه) بقوة شديدة، أو عندما يتعرض السائق أو الراكب لضغط مباشر على الركبة أثناء الاصطدام، خاصة في حوادث الاصطدام الأمامي أو الجانبي. القوة الناتجة عن الاصطدام تؤدي إلى دفع عظم الفخذ بقوة نحو هضبة الظنبوب، مما يتسبب في تفتت العظم وانضغاطه.
  • السقوط من ارتفاعات عالية: يمكن أن يؤدي السقوط من ارتفاع كبير (مثل السقوط من سلم أو مبنى) إلى هبوط الجسم بقوة على القدمين أو الركبتين، مما ينقل قوة هائلة عبر عظم الساق إلى هضبة الظنبوب، مسبباً كسوراً معقدة.
  • الإصابات الرياضية عالية الطاقة: في بعض الرياضات التي تتضمن سرعات عالية أو قفزات وتصادمات قوية (مثل التزلج أو كرة القدم الأمريكية)، قد تحدث هذه الكسور، لكنها أقل شيوعاً مقارنة بحوادث المركبات.
  • الحوادث الصناعية: في بيئات العمل التي تتضمن آلات ثقيلة أو مخاطر سقوط، قد يتعرض الأفراد لإصابات مباشرة على الركبة تؤدي إلى كسور معقدة.

كيفية حدوث الكسر

في حالة كسر هضبة الظنبوب من النوع السادس، تكون الآلية عادة عبارة عن مزيج من القوة المحورية (الضغط العمودي) مع قوة انحراف شديدة (إما اتجاه الداخل "فحج" أو اتجاه الخارج "روحجة"). هذا المزيج من القوى يؤدي إلى:

  1. تفتت اللقمتين: تتكسر اللقمتان الإنسية والوحشية لهضبة الظنبوب إلى أجزاء متعددة.
  2. انخفاض السطح المفصلي: تنخفض بعض أجزاء السطح المفصلي إلى الأسفل داخل العظم.
  3. توسع اللقمتين: يتسع عرض الهضبة الظنبوبية بشكل غير طبيعي.
  4. انفصال الجزء المفصلي عن جسم العظم: وهذا هو السمة المميزة للنوع السادس، حيث ينفصل الجزء العلوي بالكامل عن الجزء السفلي من عظم الظنبوب، مما يجعله إصابة غير مستقرة على الإطلاق.

يؤكد الأستاذ الدكتور محمد هطيف على أن فهم آلية الإصابة أمر بالغ الأهمية، ليس فقط للتشخيص، ولكن أيضاً لتحديد مدى الضرر المحتمل للأنسجة الرخوة المحيطة (الأربطة، الأوعية الدموية، الأعصاب) والتي غالباً ما تتأثر في مثل هذه الإصابات عالية الطاقة.

أعراض كسر هضبة الظنبوب

عندما يتعرض شخص لكسر هضبة الظنبوب من النوع السادس، تكون الأعراض واضحة وشديدة بسبب طبيعة الإصابة عالية الطاقة. من المهم التعرف على هذه الأعراض لطلب العناية الطبية الفورية.

الأعراض الشائعة

  1. ألم شديد ومفاجئ: هو العرض الأساسي والأكثر وضوحاً. يكون الألم مركزاً في منطقة الركبة ويزداد سوءاً مع أي محاولة للحركة أو لمس المنطقة. حتى بعد تناول المسكنات الأولية، غالباً ما يظل الألم شديداً.
  2. تشوه واضح في الركبة: قد تبدو الركبة مشوهة أو غير طبيعية في شكلها، وقد يلاحظ المريض أو المحيطون به انحرافاً في محاذاة الساق، مثل انحراف الركبة إلى الداخل أو الخارج (تشوه فحجي أو روحجي).
  3. عدم القدرة على تحمل الوزن: لا يستطيع المريض الوقوف أو المشي على الساق المصابة على الإطلاق بسبب الألم الشديد وعدم استقرار المفصل.
  4. تورم كبير ومفاجئ: يحدث تورم سريع وشديد حول مفصل الركبة نتيجة للنزيف الداخلي وتراكم السوائل. قد تبدو البشرة مشدودة ولامعة.
  5. كدمات وتغير لون الجلد: تظهر الكدمات (الزرقان أو الاحمرار) حول الركبة، وقد تكون واضحة بشكل خاص على الجانب الخارجي، نتيجة لتجمع الدم تحت الجلد.
  6. صوت فرقعة أو طقطقة (Crepitus): قد يشعر المريض أو يسمع صوت طقطقة أو احتكاك عند محاولة تحريك الركبة بلطف، وهذا يدل على وجود أجزاء عظمية متكسرة تحت الجلد.
  7. تحدُّد نطاق الحركة: تكون حركة الركبة محدودة جداً ومؤلمة للغاية، وقد يجد المريض صعوبة في ثني أو بسط الركبة.
  8. مشاكل حسية أو حركية (في بعض الحالات): نظراً لأن هذه الكسور تنجم عن قوى عنيفة، فقد تتأثر الأعصاب والأوعية الدموية المحيطة. قد يلاحظ المريض:
    • تنميل أو ضعف في القدم: خاصة في الجزء العلوي من القدم أو الأصابع، مما قد يشير إلى إصابة في العصب الشظوي (Peroneal nerve).
    • برودة أو شحوب في القدم: وهذا قد يدل على مشكلة في الدورة الدموية وتدفق الدم إلى القدم، وهي حالة طارئة تتطلب تدخلاً عاجلاً.

يُشدد الأستاذ الدكتور محمد هطيف على أن أي شخص يعاني من هذه الأعراض بعد إصابة عالية الطاقة يجب أن يتلقى رعاية طبية طارئة فوراً. التقييم السريع والدقيق في قسم الطوارئ ضروري لتقييم مدى الإصابة واستبعاد أي مضاعفات تهدد الحياة أو الأطراف.

تشخيص كسر هضبة الظنبوب

إن التشخيص الدقيق لكسر هضبة الظنبوب من النوع السادس هو حجر الزاوية لأي خطة علاج ناجحة. يعتمد الأستاذ الدكتور محمد هطيف على منهج شامل يبدأ بالتقييم السريري الدقيق ويتبعه تصوير تشخيصي متقدم لتحديد تفاصيل الكسر والأضرار المصاحبة.

التقييم السريري الأولي

عند وصول المريض إلى قسم الطوارئ، يركز التقييم الأولي على استبعاد أي إصابات مهددة للحياة، ثم ينتقل إلى فحص مفصل الركبة.

  • مراجعة التاريخ المرضي: سؤال المريض عن كيفية حدوث الإصابة (آلية عالية الطاقة مثل حادث سيارة)، الأعراض التي يشعر بها، تاريخه الطبي السابق (مثل ارتفاع ضغط الدم)، وأي أدوية يتناولها.
  • فحص الحالة العامة والعلامات الحيوية: التأكد من استقرار المريض (ضغط الدم، النبض، التنفس).
  • الفحص الموضعي للركبة:
    • المعاينة (Inspection): يبحث الدكتور هطيف عن أي تشوه واضح، تورم شديد، كدمات (خاصة حول الجانب الخارجي)، واحمرار أو شد في الجلد. يتم فحص وجود أي جروح مفتوحة لتصنيف الكسر (مغلق أو مفتوح).
    • الجس (Palpation): يتم جس منطقة الركبة لتحديد مواقع الألم الشديد، والشعور بأي طقطقة (Crepitus) تدل على عدم استقرار العظم، وتقييم وجود تجمع سوائل داخل المفصل. كما يتم تقييم الضغط داخل حيز الساق (Compartment assessment) لاستبعاد متلازمة الحيز (Compartment Syndrome)، وهي حالة طارئة.
    • نطاق الحركة (Range of Motion): تكون حركة الركبة مقيدة للغاية ومؤلمة. لا يتم محاولة تحريك المفصل بقوة لتجنب المزيد من الضرر.
    • التقييم العصبي الوعائي (Neurovascular Assessment): هذا الجانب حاسم للغاية.
      • الأعصاب: يتم فحص وظيفة الأعصاب في القدم والساق (مثل العصب الشظوي الذي يتحكم في رفع القدم والعصب الظنبوبي الذي يتحكم في خفض القدم) لتقييم أي ضعف أو تنميل. في الحالة المذكورة، كان هناك ضعف خفيف في العصب الشظوي، مما يتطلب مراقبة دقيقة.
      • الأوعية الدموية: يتم جس النبضات في القدم (النبض الظهري الشرياني والنبض الخلفي الظنبوبي) والتأكد من أنها قوية ومتماثلة. يتم أيضاً فحص سرعة امتلاء الشعيرات الدموية. أي اشتباه في إصابة شريانية يتطلب تقييماً فورياً.

التصوير التشخيصي

بعد الفحص السريري، يتم الانتقال إلى التصوير لتأكيد التشخيص وتحديد تفاصيل الكسر بدقة.

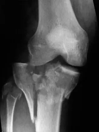
الأشعة السينية

  • الاستخدام: هي الخطوة الأولى في التصوير. يتم التقاط صور للركبة المصابة من زوايا مختلفة (أمامية خلفية AP، جانبية Lateral، ومائلة Oblique).
  • ماذا تظهر:
    • المنظر الأمامي الخلفي (AP View): يكشف عن تفتت شديد في كلتا لقمتي الظنبوب (الداخلية والخارجية)، انخفاض في السطح المفصلي، واتساع في عرض الهضبة.
    • المنظر الجانبي (Lateral View): يوضح الكسور متعددة الأجزاء التي تمتد إلى منطقة ما فوق المفصل (Metaphysis)، مع إزاحة خلفية لجزء كبير من الهضبة وانخفاض في السطح المفصلي.
    • المناظر المائلة (Oblique Views): تساعد في تحديد مدى التفتت وتوجيه الشظايا، خاصة في الأجزاء الخلفية من اللقمتين.
  • التصنيف الأولي: بناءً على الأشعة السينية، يمكن للأستاذ الدكتور محمد هطيف أن يشتبه في كسر هضبة الظنبوب من النوع السادس، الذي يتميز بانفصال الجزء المفصلي عن جسم العظم وتأثر كلتا اللقمتين.

التصوير المقطعي المحوسب

  • الاستخدام: يعتبر التصوير المقطعي المحوسب ضرورياً وحاسماً للتشخيص النهائي والتخطيط الجراحي لكسور هضبة الظنبوب المعقدة. يتم إجراء فحص مقطعي للركبة المصابة مع مقاطع دقيقة (2 مم) وإعادة بناء ثلاثية الأبعاد (3D reconstructions).
  • لماذا هو ضروري: يوفر تفاصيل لا يمكن رؤيتها في الأشعة السينية، مما يسمح للجراح بفهم كامل لتعقيد الكسر.
  • ماذا يظهر:
    • المقاطع المحورية (Axial Views): توفر تفاصيل دقيقة عن مدى تأثر السطح المفصلي، وتؤكد التفتت، وتوضح بوضوح مدى الانخفاض في السطح المفصلي (مثلاً، أكثر من 10 مم في الجانب الوحشي وأكثر من 5 مم في الجانب الإنسي في الحالة المذكورة). كما تحدد الحجم والموقع الدقيق للشظايا المفصلية الهامة.
    • المقاطع الإكليلية (Coronal Views): تبين مدى اتساع اللقمتين (حوالي 15 مم مقارنة بالجانب الآخر) ومدى تفتت منطقة ما فوق المفصل. يمكن قياس انخفاض السطح المفصلي بدقة.
    • المقاطع السهمية (Sagittal Views): تحدد بشكل أكبر الإزاحة الخلفية وانخفاض الأجزاء المفصلية الخلفية التي قد لا تكون واضحة تماماً في الأشعة السينية. كما تسمح بتقييم ميلان الهضبة الخلفي.
    • إعادة البناء ثلاثية الأبعاد (3D Reconstructions): لا تقدر بثمن لتصور نمط الكسر الكلي، وتحديد الأعمدة الحاملة للوزن الرئيسية، وتخطيط المداخل الجراحية ومواضع الغرسات (الصفائح والمسامير). تُظهر بوضوح الانخفاض والانفصال في كلتا اللقمتين، والتفتت الكبير في منطقة ما فوق المفصل، وامتداد خطوط الكسر إلى الجزء العلوي من الظنبوب، بما يتوافق مع تصنيف AO/OTA 41-C3 (كسر مفصلي كامل، متعدد الأجزاء في الظنبوب القريب).

التصوير بالرنين المغناطيسي

  • الاستخدام: في معظم الحالات الحادة لكسور هضبة الظنبوب، لا يُشار إلى التصوير بالرنين المغناطيسي فوراً بسبب وضوح الإصابة العظمية والحاجة الملحة للتثبيت الجراحي.
  • متى يُنظر فيه: قد يُنظر فيه بعد التثبيت الجراحي إذا استمر عدم الاستقرار أو اشتبه في وجود إصابة كبيرة في الأربطة (مثل تمزق الغضاريف الهلالية، أو الأربطة الصليبية أو الجانبية) بعد تحقيق تثبيت عظمي مستقر. هذه الإصابات شائعة في كسور الهضبة عالية الطاقة، وقد يتم تأجيل علاجها حتى يتقدم شفاء العظم.

صورة شعاعية بعد الجراحة لكسر هضبة الظنبوب ثنائي اللقمتين، توضح الرد التشريحي للسطح المفصلي، واستعادة المحور الميكانيكي، وبنية تثبيت مستقرة بلوحين.
الصورة أعلاه تُظهر صورة شعاعية بعد الجراحة لكسر هضبة الظنبوب ثنائي اللقمتين، توضح الرد التشريحي للسطح المفصلي، واستعادة المحور الميكانيكي، وبنية تثبيت مستقرة بلوحين.

تصنيف الكسر

يعتمد الأستاذ الدكتور محمد هطيف على أنظمة تصنيف عالمية لتحديد نوع الكسر بدقة وتوجيه خطة العلاج:

  • تصنيف شاتزكر (Schatzker Classification): يصنف هذا النظام كسور هضبة الظنبوب بناءً على مورفولوجيا الكسر وموقعه.
    • النوع السادس (Type VI): هو ما ينطبق على هذه الحالة، ويتميز بتفتت شديد يشمل كلا اللقمتين الإنسية والوحشية، مع انفصال الجزء المفصلي عن جسم العظم (Metaphyseal-diaphyseal dissociation). هذا النوع يشير إلى إصابة عالية الطاقة وله تشخيص سيء إذا لم يتم رده تشريحياً وتثبيته بشكل مستقر.
  • تصنيف AO/OTA: نظام أكثر شمولاً يستخدم رموزاً أبجدية رقمية.
    • 41-C3: يشير هذا التصنيف إلى كسر مفصلي كامل (C) في الجزء القريب من الظنبوب (41) وهو متعدد الأجزاء (3). يتوافق هذا تماماً مع نتائج التصوير المقطعي المحوسب التي تظهر تفتتاً مفصلياً واسع النطاق، وتلفاً في منطقة ما فوق المفصل، وانفصالاً عن جسم العظم. هذا التصنيف يبرز مدى تعقيد الإصابة والحاجة إلى تخطيط جراحي دقيق وتنفيذ متقن.

بفضل هذه الأدوات التشخيصية المتقدمة وخبرته الواسعة، يمكن للأستاذ الدكتور محمد هطيف أن يقدم تشخيصاً دقيقاً للغاية وخطط علاج فردية لكل مريض في صنعاء.

خيارات علاج كسر هضبة الظنبوب

يُعد علاج كسر هضبة الظنبوب من النوع السادس تحدياً كبيراً ويتطلب نهجاً جراحياً متخصصاً. يؤكد الأستاذ الدكتور محمد هطيف أن القرار بالتدخل الجراحي في هذه الحالات لا جدال فيه تقريباً، نظراً لخطورة الكسر وتأثره المباشر على وظيفة المفصل.

أهمية الجراحة لكسر هضبة الظنبوب

تتطلب هذه الكسور الجراحة بسبب عدة عوامل حاسمة:

  1. آلية الإصابة عالية الطاقة ومورفولوجيا الكسر: كسر هضبة الظنبوب ثنائي اللقمتين مع انخفاض كبير في السطح المفصلي واتساع في عرض اللقمتين (Schatzker VI / AO 41-C3) يستلزم بطبيعته التدخل الجراحي لاستعادة تناسق المفصل واستقراره.
  2. انخفاض السطح المفصلي (Articular Step-off): أي انخفاض يزيد عن 2-3 ملم في السطح المفصلي هو مؤشر قوي للجراحة لتقليل خطر الإصابة بالتهاب المفاصل ما بعد الصدمة. في هذه الحالة، كان الانخفاض أكثر من 10 ملم جانبياً وأكثر من 5 ملم إنسياً.
  3. اتساع عرض اللقمتين (Condylar Widening): يؤدي اتساع عرض اللقمتين بأكثر من 5-10 ملم إلى عدم تناسق كبير وعدم استقرار في المفصل، مما يستدعي الاستعادة الجراحية للعرض الطبيعي. في هذه الحالة، كان هناك حوالي 15 ملم من الاتساع.
  4. عدم الاستقرار الميكانيكي: يشير نمط الكسر إلى عدم استقرار شديد في مفصل الركبة.
  5. حالة الأنسجة الرخوة: على الرغم من أن الأنسجة الرخوة المحيطة قد تكون مثيرة للقلق في البداية، إلا أنه في حال عدم وجود تقرحات أو جروح مفتوحة، يمكن التخطيط للجراحة بعد تراجع التورم.

متى يكون العلاج غير الجراحي ممكناً

العلاج غير الجراحي نادر جداً في حالات النوع السادس، وعادة ما يُحفظ لسيناريوهات محددة للغاية:

  • الكسور المستقرة وغير المزاحة وغير المفصلية (مثل Schatzker I، وبعض حالات II ذات الانخفاض الطفيف).
  • المرضى الذين لا يستطيعون المشي ولديهم أمراض مصاحبة شديدة حيث تفوق مخاطر الجراحة الفوائد.
  • كسور هضبة الظنبوب من نوع "Pilon" ذات

آلام العظام والمفاصل المزمنة ليس قدراً محتوماً! التشخيص الدقيق والعلاج المتخصص يمكن أن يعيد لك كامل وظيفتك وحريتك في الحركة بدون ألم.

للحصول على استشارة دقيقة وخطة علاجية مخصصة لحالتك، تواصل فوراً مع مركز الأستاذ الدكتور محمد هطيف:

الأستاذ الدكتور محمد هطيف - أفضل دكتور عظام في صنعاء، وخبير في جراحات العظام والمفاصل المتقدمة.

Dr. Mohammed Hutaif
محتوى موثق طبياً بإشراف
أ.د. محمد هطيف
استشاري جراحة العظام والمفاصل والعمود الفقري
محتويات الفصل