كسور الهضبة الظنبوبية ثنائية اللقمة: دليل شامل للعلاج والتعافي مع الأستاذ الدكتور محمد هطيف

الخلاصة الطبية
كسور الهضبة الظنبوبية ثنائية اللقمة هي إصابات خطيرة في مفصل الركبة تتطلب تخطيطًا دقيقًا وعلاجًا جراحيًا لاستعادة استقامة المفصل ووظيفته. يعتمد العلاج على تقنيات التثبيت الداخلي المفتوح (ORIF) باستخدام الصفائح والمسامير، مع التركيز على إعادة بناء سطح المفصل، ويقود الأستاذ الدكتور محمد هطيف هذا العلاج بخبرة عالية في صنعاء.
الخلاصة الطبية السريعة: كسور الهضبة الظنبوبية ثنائية اللقمة (Bicondylar Tibial Plateau Fractures) هي إصابات عظمية ومفصلية بالغة التعقيد والخطورة تصيب مفصل الركبة. تتطلب هذه الإصابات تخطيطًا ميكانيكيًا دقيقًا وتدخلًا جراحيًا متقدمًا لاستعادة استقامة المفصل، والحفاظ على الغضاريف، واستعادة الوظيفة الحركية الكاملة. يعتمد العلاج الذهبي على تقنيات التثبيت الداخلي المفتوح (ORIF) باستخدام الصفائح التشريحية والمسامير المغلقة، مع التركيز المطلق على إعادة بناء السطح المفصلي بدقة متناهية. ويقود هذا التوجه العلاجي المتقدم الأستاذ الدكتور محمد هطيف، أستاذ جراحة العظام بجامعة صنعاء، بخبرة تتجاوز 20 عامًا في جراحات العظام المعقدة والكسور المفصلية في اليمن.

مقدمة شاملة عن كسور مفصل الركبة المعقدة
تُعد إصابات الركبة من أكثر الإصابات شيوعًا وتأثيرًا على جودة الحياة واستقلالية الفرد. ومن بين طيف واسع من الإصابات، تبرز "كسور الهضبة الظنبوبية ثنائية اللقمة" كواحدة من أعظم التحديات الجراحية في طب جراحة العظام الحديث. إنها ليست مجرد كسور عادية في العظم، بل هي دمار يصيب البنية الهندسية الدقيقة لمفصل الركبة الحامل لوزن الجسم. هذه الكسور، التي تصيب السطحين المفصليين الإنسي (الداخلي) والوحشي (الخارجي) للجزء العلوي من عظم الساق (الظنبوب)، غالبًا ما تنتج عن حوادث مرورية مروعة أو سقوط من ارتفاعات شاهقة، مما يولد طاقة حركية هائلة تدمر العظم والغضاريف والأربطة المحيطة.
في هذه الصفحة الطبية المرجعية الشاملة، سنأخذك في رحلة علمية وطبية تفصيلية لفهم كل ما يتعلق بكسور الهضبة الظنبوبية ثنائية اللقمة. سنبدأ من التشريح الدقيق، مرورًا بآليات الإصابة، والتشخيص الإشعاعي، وصولًا إلى أحدث خيارات العلاج الجراحي وبرامج التأهيل.
ويسعدنا في هذا السياق أن نسلط الضوء على الخبرة الرائدة والموثوقة لـ الأستاذ الدكتور محمد هطيف، الذي يُعد المرجع الأول وأفضل استشاري جراحة عظام ومفاصل في صنعاء واليمن. بفضل التزامه بالأمانة الطبية الصارمة، واستخدامه لأحدث التقنيات العالمية مثل الجراحة الميكروسكوبية، ومناظير الركبة بدقة 4K، وتقنيات استبدال المفاصل، يقدم الدكتور هطيف أملًا حقيقيًا ورعاية طبية استثنائية للمرضى الذين يواجهون شبح الإعاقة الحركية بسبب هذه الإصابات.


التشريح الدقيق لمفصل الركبة والهضبة الظنبوبية
لفهم مدى تعقيد هذه الإصابة، يجب علينا أولاً فهم البنية التشريحية المذهلة لمفصل الركبة. مفصل الركبة هو أكبر مفصل في جسم الإنسان وأكثرها تعقيدًا، وهو عبارة عن مفصل زلالي يربط بين عظم الفخذ (Femur) وعظم الساق الرئيسي (Tibia).
الهضبة الظنبوبية (Tibial Plateau)
الجزء العلوي من عظم الساق يُعرف بالهضبة الظنبوبية. وهو يتكون من سطحين مفصليين رئيسيين:
1. اللقمة الإنسية (Medial Condyle): هي الجزء الداخلي من الهضبة. تكون أكبر حجمًا، وأكثر تقعرًا، وعظمها أكثر كثافة وقوة. تحمل هذه الجهة حوالي 60% من وزن الجسم أثناء الوقوف والمشي.
2. اللقمة الوحشية (Lateral Condyle): هي الجزء الخارجي من الهضبة. تكون أعلى قليلاً، ومحدبة الشكل، وعظمها الإسفنجي أقل كثافة، مما يجعلها أكثر عرضة للكسور والانخساف (Depression) عند التعرض للصدمات.

الهياكل الداعمة (الغضاريف والأربطة)
لا تقتصر الإصابة في كسور الهضبة الظنبوبية على العظم فقط، بل تمتد لتشمل:
* الغضروف الهلالي (Meniscus): وسائد غضروفية ليفية (إنسي ووحشي) تعمل كممتص للصدمات وموزع للوزن. في كسور الهضبة الظنبوبية، غالبًا ما يتمزق الغضروف الهلالي أو ينحشر داخل خط الكسر.
* الرباط الصليبي الأمامي (ACL) والخلفي (PCL): يحافظان على الاستقرار الأمامي والخلفي للركبة.
* الأربطة الجانبية (MCL و LCL): تمنع الركبة من الانثناء غير الطبيعي للداخل أو الخارج.
إن الفهم العميق لهذا التشريح هو ما يميز جراحًا خبيرًا مثل الأستاذ الدكتور محمد هطيف، حيث يتعامل مع الكسر ليس فقط كعظم مكسور، بل كنظام ميكانيكي حيوي متكامل يجب إعادة بنائه بدقة المليمتر.


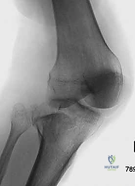
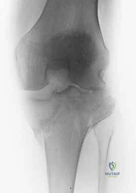
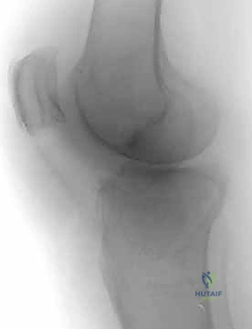
ما هي كسور الهضبة الظنبوبية ثنائية اللقمة؟
كسر الهضبة الظنبوبية ثنائي اللقمة (Bicondylar Tibial Plateau Fracture) هو إصابة عظمية شديدة الخطورة تؤدي إلى انفصال وتفتت كلا السطحين المفصليين (الإنسي والوحشي) عن الجذع الرئيسي لعظم الساق (Diaphysis). يعني مصطلح "ثنائي اللقمة" أن خطوط الكسر تمتد عبر المفصل بأكمله، مما يفصل الركبة فعليًا عن بقية الساق من الناحية الميكانيكية.
هذه الكسور تُصنف كحالات طوارئ أو شبه طوارئ في جراحة العظام، حيث يفقد المفصل استقراره تمامًا، وتتعرض الأنسجة الرخوة المحيطة (الجلد، العضلات، الأوعية الدموية، والأعصاب) لتهديد مباشر نتيجة التورم الشديد وحركة الشظايا العظمية الحادة.
تتطلب هذه الكسور تخطيطًا دقيقًا وتنفيذًا جراحيًا متقنًا لاستعادة التوافق المفصلي الصحيح، والمحاذاة المحورية للعظم، وفي النهاية، وظيفة الركبة الكاملة. إن الفشل في علاج هذه الكسور بشكل صحيح يمكن أن يؤدي إلى مضاعفات كارثية ومزمنة.


الأسباب وعوامل الخطر (كيف تحدث هذه الإصابة؟)
تنتج كسور الهضبة الظنبوبية ثنائية اللقمة عادة عن قوى محورية قوية (Axial Loading)، غالبًا ما تكون مصحوبة بقوة انحراف للداخل (تقوس - Varus) أو للخارج (فحج - Valgus). تعتمد شدة الكسر ونمطه على مقدار الطاقة الممتصة وجودة العظم.
1. الإصابات عالية الطاقة (High-Energy Trauma)
وهي السبب الأكثر شيوعًا لدى الشباب والبالغين الأصحاء، وتشمل:
* حوادث السيارات والدراجات النارية: حيث تصطدم الركبة بلوحة القيادة أو تتعرض لضغط هائل أثناء الحادث.
* حوادث الدهس للمشاة: غالبًا ما يضرب المصد الأمامي للسيارة ركبة المشاة مباشرة.
* السقوط من ارتفاعات شاهقة: (مثل عمال البناء أو حوادث السقوط المنزلي من الطوابق العليا)، حيث يهبط المريض على قدميه ممدودتين، مما يدفع عظم الفخذ بقوة هائلة لأسفل كالإسفين داخل عظم الساق، مما يؤدي إلى انشطار الهضبة الظنبوبية إلى نصفين أو أكثر.

2. الإصابات منخفضة الطاقة (Low-Energy Trauma)
تحدث غالباً لدى كبار السن أو الأشخاص الذين يعانون من ضعف في كثافة العظام:
* هشاشة العظام (Osteoporosis): لدى المرضى المسنين، يمكن أن تحدث كسور ثنائية اللقمة نتيجة لآليات إصابة بسيطة جدًا، مثل التعثر والسقوط من مستوى الوقوف أثناء المشي. العظم الإسفنجي الضعيف لا يتحمل حتى وزن الجسم عند السقوط.
3. ميكانيكا القوى المؤثرة
- القوة الفحجية (Valgus force): غالبًا ما تدفع اللقمة الفخذية الوحشية بطريقة إسفينية إلى الهضبة الظنبوبية الوحشية، مما يؤدي إلى انخفاض وانفصال أجزاء منها.
- القوة التقوسية (Varus force): تؤدي إلى إصابة مماثلة في الجانب الإنسي (والذي يتطلب طاقة أكبر لكسره بسبب كثافته).
- الكسور المرتبطة بشظايا خلفية إنسية (Posteromedial Fragments): يجب دائمًا التمييز بين الكسور الوحشية التي تترافق مع شظايا خلفية إنسية. هذه الشظايا حاسمة جدًا، حيث تتطلب غالبًا نهج تثبيت خلفي إنسي مخصص، ومستقل عن التثبيت الوحشي. إن إغفال تثبيت هذه الشظايا يؤدي حتمًا إلى انزلاق المفصل للخلف وفشل العملية.


تصنيف كسور الهضبة الظنبوبية (تصنيف شاتزكر)
في عالم جراحة العظام، يتم استخدام تصنيفات عالمية لتوحيد لغة التفاهم بين الأطباء وتحديد خطة العلاج. التصنيف الأكثر اعتمادًا عالميًا هو تصنيف شاتزكر (Schatzker Classification).
الكسور "ثنائية اللقمة" تقع تحديدًا في الفئتين V و VI من هذا التصنيف، وهي الأشد خطورة.
جدول (1): تصنيف شاتزكر لكسور الهضبة الظنبوبية
| نوع الكسر (شاتزكر) | الوصف الطبي الدقيق | الأهمية السريرية ومستوى الخطورة |
|---|---|---|
| النوع الأول (Type I) | كسر انشطاري (Wedge) في اللقمة الوحشية دون انخساف. | شائع لدى الشباب ذوي العظام القوية. خطورة متوسطة. |
| النوع الثاني (Type II) | كسر انشطاري مع انخساف (Depression) في اللقمة الوحشية. | شائع لدى الفئة العمرية المتوسطة وكبار السن. يتطلب رفع السطح المفصلي وتطعيم عظمي. |
| النوع الثالث (Type III) | انخساف مركزي نقي في اللقمة الوحشية دون كسر انشطاري. | شائع لدى مرضى هشاشة العظام. السطح المفصلي يغوص للداخل. |
| النوع الرابع (Type IV) | كسر في اللقمة الإنسية (الداخلية). | شديد الخطورة. يتطلب طاقة عالية جدًا. غالبًا ما يترافق مع إصابة الشريان المأبضي وتلف الأربطة. |
| النوع الخامس (Type V) | كسر ثنائي اللقمة (Bicondylar). انشطار كلا اللقمتين الإنسية والوحشية. | موضوع مقالنا. المفصل مفصول عن جسم العظم. يتطلب تثبيتًا مزدوجًا (ألواح من الجهتين). |
| النوع السادس (Type VI) | كسر ثنائي اللقمة يمتد إلى الجذع الرئيسي للساق (Metaphyseal-Diaphyseal dissociation). | الأكثر تعقيدًا وتدميرًا. انفصال كامل للمفصل عن الساق. تورم هائل وخطر شديد على الأنسجة الرخوة. |


العلامات والأعراض السريرية
عند حدوث كسر ثنائي اللقمة في الهضبة الظنبوبية، تكون الأعراض فورية، دراماتيكية، ولا يمكن تجاهلها. تشمل الأعراض التي يلاحظها المريض وطبيب الطوارئ ما يلي:
- ألم مبرح وحاد: ألم لا يُحتمل في الركبة ومقدمة الساق، يزداد سوءًا مع أي محاولة للحركة.
- عدم القدرة على حمل الوزن مطلقًا: المريض يسقط فورًا ولا يستطيع الوقوف أو تحميل أي وزن على الساق المصابة.
- تورم هائل وسريع (Hemarthrosis): تمتلئ الركبة بالدم بسرعة كبيرة نتيجة تمزق الأوعية الدموية داخل العظم الإسفنجي، مما يجعل الركبة تبدو منتفخة ومشدودة كبالون.
- تشوه واضح في شكل الركبة: قد تبدو الركبة مائلة للداخل (تقوس) أو للخارج (فحج)، أو قد تبدو الساق أقصر من الطبيعي.
- كدمات وتغير في لون الجلد: ظهور كدمات زرقاء أو أرجوانية حول الركبة، وقد تمتد للأسفل نحو الساق.
- خدر أو تنميل في القدم (علامة خطيرة): إذا شعر المريض ببرودة في القدم، أو خدر، أو عدم قدرة على تحريك أصابع القدم، فهذا ينذر بوجود ضغط على الأعصاب (مثل العصب الشظوي) أو انقطاع في التروية الدموية، وهي حالة طوارئ قصوى.


التشخيص الدقيق: خطوة حاسمة نحو العلاج الصحيح
التشخيص الدقيق هو حجر الزاوية في التخطيط الجراحي. الأستاذ الدكتور محمد هطيف يولي اهتمامًا بالغًا بمرحلة التشخيص، حيث يعتبر أن "التخطيط قبل الجراحة يمثل 50% من نجاح العملية".
1. التقييم السريري الشامل
- فحص الأنسجة الرخوة: تقييم حالة الجلد، التورم، ووجود بثور دموية (Fracture Blisters) التي قد تؤجل التدخل الجراحي المفتوح.
- الفحص الوعائي العصبي: فحص النبض في شرايين القدم (Dorsalis Pedis و Posterior Tibial)، وفحص الإحساس والحركة في القدم للتأكد من عدم وجود متلازمة الحيز (Compartment Syndrome).
2. التصوير الإشعاعي (X-rays)
الخطوة الأولى هي التقاط صور أشعة سينية من عدة زوايا (أمامية خلفية، وجانبية). تعطي الأشعة السينية فكرة عامة عن وجود الكسر وموقعه، لكنها غير كافية لتقييم الكسور ثنائية اللقمة المعقدة.
3. الأشعة المقطعية المحوسبة (CT Scan) - المعيار الذهبي
لا يمكن إجراء جراحة لكسر ثنائي اللقمة دون إجراء أشعة مقطعية (يفضل مع إعادة بناء ثلاثية الأبعاد 3D).
* توفر الأشعة المقطعية خريطة دقيقة لكل شظية عظمية.
* تحدد مقدار الانخساف في السطح المفصلي بالمليمتر.
* تكشف الشظايا المخفية، خاصة في الجزء الخلفي من الركبة (Posterior Coronally oriented fragments) والتي تتطلب خطة جراحية خاصة لتثبيتها.

4. التصوير بالرنين المغناطيسي (MRI)
يُستخدم في حالات محددة لتقييم الأنسجة الرخوة، مثل تمزق الغضروف الهلالي أو قطع الأربطة الصليبية الجانبية، والتي تترافق مع الكسور في حوالي 30% إلى 50% من الحالات.

لماذا تختار الأستاذ الدكتور محمد هطيف لعلاج كسور الركبة المعقدة؟
عندما تواجه إصابة تهدد قدرتك على المشي لبقية حياتك، فإن اختيار الجراح هو أهم قرار ستتخذه. في اليمن، يبرز اسم الأستاذ الدكتور محمد هطيف كعلامة فارقة وملاذ آمن للمرضى.
- مكانة أكاديمية وعلمية مرموقة: يعمل كأستاذ دكتور (بروفيسور) في قسم جراحة العظام والمفاصل بكلية الطب بجامعة صنعاء، مما يعني أنه لا يمارس الطب فحسب، بل يُدرّس الأجيال الجديدة أحدث ما توصل إليه العلم.
- خبرة تتجاوز العقدين: أكثر من 20 عامًا من الخبرة المتراكمة في التعامل مع أشد حالات الحوادث والكسور تعقيدًا في اليمن.
- تخصص دقيق وتقنيات عالمية: يتميز الدكتور هطيف بإتقانه للجراحات الميكروسكوبية الدقيقة، واستخدام مناظير المفاصل بتقنية 4K الفائقة الدقة لمعالجة الغضاريف دون الحاجة لفتح المفصل بالكامل، بالإضافة إلى ريادته في عمليات استبدال المفاصل الصناعية.
- الأمانة الطبية الصارمة: يُعرف الدكتور هطيف برفضه لإجراء أي تداخل جراحي غير ضروري. يضع مصلحة المريض فوق كل اعتبار، ويقدم الاستشارة الطبية بشفافية مطلقة حول نسب النجاح والمضاعفات المحتملة.
- فريق طبي متكامل: يعمل مع فريق تخدير وتمريض وتأهيل متخصص، لضمان رحلة علاج آمنة من لحظة دخول المستشفى وحتى العودة للمشي الطبيعي.


الخيارات العلاجية: من التحفظي إلى الجراحي
الهدف الأساسي من علاج كسور الهضبة الظنبوبية هو الحصول على مفصل ركبة مستقر، غير مؤلم، ويتمتع بمدى حركي كامل.
أولاً: العلاج التحفظي (غير الجراحي)
متى يتم اللجوء إليه؟
* في حالات نادرة جداً للكسور ثنائية اللقمة، وذلك إذا كان الكسر غير متحرك تمامًا (Nondisplaced).
* إذا كان المريض يعاني من أمراض مزمنة خطيرة تمنع تخديره (مثل فشل القلب المتقدم).
* المرضى المقعدين مسبقًا والذين لا يمشون.
طريقة العلاج التحفظي:
يتضمن استخدام جبيرة أو دعامة ركبة مفصلية (Hinged Knee Brace) مع منع تحميل الوزن تمامًا لمدة تتراوح بين 8 إلى 12 أسبوعًا. المتابعة الإشعاعية الأسبوعية ضرورية للتأكد من عدم تحرك العظم من مكانه.
ثانيًا: العلاج الجراحي (المعيار الذهبي للكسور ثنائية اللقمة)
الغالبية العظمى من كسور الفئة الخامسة والسادسة (شاتزكر V و VI) تتطلب تدخلاً جراحياً حتمياً.
هناك استراتيجيتان رئيسيتان يعتمدهما الأستاذ الدكتور محمد هطيف بناءً على حالة الأنسجة الرخوة للمريض:
1. التثبيت الخارجي المؤقت (Spanning External Fixator)
إذا حضر المريض للمستشفى بعد الحادث مباشرة وكانت الركبة متورمة بشدة، أو كان هناك بثور دموية على الجلد، فإن فتح الجلد جراحياً في هذا الوقت سيؤدي حتمًا إلى نخر الجلد وعدوى كارثية.
في هذه الحالة، يقوم الدكتور هطيف بإجراء عملية طارئة بسيطة لتركيب "مثبت خارجي" يربط عظم الفخذ بعظم الساق متجاوزًا الركبة. هذا يثبت العظام، يقلل الألم، ويسمح للجلد بالتعافي والتورم بالزوال (يستغرق ذلك من أسبوع إلى 3 أسابيع).

2. التثبيت الداخلي المفتوح (ORIF - Open Reduction and Internal Fixation)
هي العملية النهائية الحاسمة. تتضمن فتح الركبة، إعادة ترتيب الشظايا العظمية كقطع "البازل"، وتثبيتها باستخدام شرائح معدنية تشريحية ومسامير.
جدول (2): مقارنة بين العلاج الجراحي والتحفظي في كسور الهضبة الظنبوبية
| وجه المقارنة | العلاج الجراحي (ORIF) | العلاج التحفظي (الجبيرة) |
|---|---|---|
| دواعي الاستخدام | كسور متحركة، انخساف السطح المفصلي > 2-3 ملم، عدم استقرار الركبة. | كسور غير متحركة تماماً، مرضى غير لائقين صحياً للجراحة. |
| استعادة شكل المفصل | ممتازة، يتم إرجاع العظم لوضعه التشريحي الدقيق. | ضعيفة في الكسور المتحركة، يعتمد على التئام العظم في وضعه الحالي. |
| بدء الحركة والتأهيل | مبكر جداً (غالباً في اليوم التالي للجراحة لتحريك المفصل). | متأخر (يتطلب تثبيت المفصل لأسابيع مما يسبب تيبس شديد). |
| خطر التهاب المفاصل المبكر | منخفض نسبياً إذا تم إرجاع السطح المفصلي بدقة. | مرتفع جداً إذا التأم العظم بشكل غير مستوي. |
| المخاطر والمضاعفات | مخاطر التخدير، العدوى الجراحية، مشاكل التئام الجروح. | تيبس الركبة الدائم، جلطات الأوردة العميقة، التئام معيب (Malunion). |

خطوات العملية الجراحية بالتفصيل (نهج الأستاذ الدكتور محمد هطيف)
العملية الجراحية لكسر ثنائي اللقمة تعتبر من "العمليات الكبرى" في جراحة العظام، وتستغرق عادة من 2 إلى 4 ساعات حسب درجة التفتت.
1. التحضير والتخدير
- يتم تخدير المريض (غالبًا تخدير نصفي أو عام).
- يتم وضع المريض على طاولة العمليات الشفافة للأشعة (Radiolucent table).
- يُستخدم جهاز الأشعة المرئية (C-arm / Fluoroscopy) طوال العملية لمراقبة وضع العظام.

2. الشقوق الجراحية (النهج المزدوج - Dual Incision Approach)
لأن الكسر يشمل الجانبين الإنسي والوحشي، فإن شقًا جراحيًا واحدًا لا يكفي. يقوم الدكتور هطيف عادة بعمل شقين منفصلين لضمان عدم سلخ مساحة كبيرة من الجلد وتقليل خطر النخر:
* شق أمامي وحشي (Anterolateral Incision): للوصول إلى اللقمة الوحشية (التي تكون غالبًا مفتتة ومنخسفة).
* شق خلفي إنسي (Posteromedial Incision): للوصول إلى اللقمة الإنسية الك


كسور العظام المعقدة وإصابات الحوادث ليس قدراً محتوماً! التشخيص الدقيق والعلاج المتخصص يمكن أن يعيد لك كامل وظيفتك وحريتك في الحركة. لا تدع الألم يسيطر على حياتك.
للحصول على استشارة دقيقة وخطة علاجية مخصصة لحالتك، تواصل فوراً مع مركز الأستاذ الدكتور محمد هطيف:
الأستاذ الدكتور محمد هطيف - أفضل دكتور عظام في صنعاء، وخبير في جراحات الكسور المعقدة وإنقاذ الأطراف.. نلتزم بإعادتك لحياة خالية من الألم وعظام قوية وملتئمة.
مواضيع أخرى قد تهمك