تنظير مفصل الرسغ لتثبيت كسور الكعبرة البعيدة والزند الإبري: دليل شامل للمرضى مع الأستاذ الدكتور محمد هطيف

الخلاصة الطبية
تنظير كسور الكعبرة البعيدة والزند الإبري هو إجراء جراحي متقدم يستخدم لإصلاح كسور الرسغ المعقدة بدقة عالية. يقدم الأستاذ الدكتور محمد هطيف في صنعاء هذه الخدمة المتخصصة لضمان استعادة كاملة لوظيفة الرسغ وتقليل المضاعفات.
مقدمة شاملة: ثورة تنظير مفصل الرسغ في علاج كسور الكعبرة والزند
تُعد كسور الكعبرة البعيدة (Distal Radius Fractures) والزند الإبري (Ulnar Styloid Fractures) من أكثر الإصابات العظمية شيوعاً في العالم، وتمثل تحدياً كبيراً لجراحي العظام نظراً للتعقيد التشريحي والوظيفي البالغ لمفصل الرسغ. في الماضي، كانت هذه الكسور تُعالج إما بالجبس التقليدي الذي قد يؤدي إلى تيبس المفصل وضعف في قبضة اليد، أو بجراحات الفتح التقليدية التي تترك ندبات كبيرة، وتزيد من احتمالية تضرر الأنسجة الرخوة المحيطة، وتتطلب فترات نقاهة طويلة ومؤلمة.
ولكن اليوم، ومع التطور المذهل في التكنولوجيا الطبية والجراحية، ظهرت تقنية تنظير مفصل الرسغ (Wrist Arthroscopy) كإجراء جراحي متقدم ودقيق للغاية لإصلاح هذه الكسور المعقدة. يتيح المنظار للجراح رؤية السطح المفصلي من الداخل بدقة فائقة عبر شاشات عالية الوضوح (4K)، مما يضمن إعادة العظام إلى وضعها التشريحي الطبيعي بنسبة 100%. هذا التطابق التشريحي الدقيق هو أمر حاسم لمنع تطور خشونة المفصل (Osteoarthritis) في المستقبل، ولضمان عودة المريض لممارسة حياته الطبيعية بكفاءة تامة.

في العاصمة اليمنية صنعاء، يقود الأستاذ الدكتور محمد هطيف هذه الثورة الطبية، مقدماً للمرضى أحدث ما توصل إليه العلم في مجال جراحة العظام والمفاصل الدقيقة. من خلال تبني تقنيات التدخل المحدود (Minimally Invasive Surgery)، يضمن الدكتور هطيف استعادة كاملة لوظيفة اليد بأقل قدر من الألم وبأسرع وقت ممكن، مما يجعله الوجهة الأولى لكل من يبحث عن التميز الطبي والموثوقية العالية.


لماذا الأستاذ الدكتور محمد هطيف هو الخيار الأول والأفضل في اليمن؟
عندما يتعلق الأمر بجراحة دقيقة وحساسة مثل تنظير مفصل الرسغ لتثبيت الكسور داخل المفصل، فإن خبرة الجراح ومهارته هي العامل الحاسم بين التعافي الكامل والعودة للحياة الطبيعية، وبين المضاعفات أو الإعاقة الدائمة. يُصنف الأستاذ الدكتور محمد هطيف كأفضل دكتور عظام ومفاصل في اليمن لعدة أسباب جوهرية تجعله المرجع الطبي الأول محلياً وإقليمياً:
- المكانة الأكاديمية المرموقة: يعمل الأستاذ الدكتور محمد هطيف كأستاذ جراحة العظام والمفاصل في كلية الطب بجامعة صنعاء. هذا يعني أنه ليس فقط طبيباً ممارساً، بل هو باحث ومعلم للأجيال الجديدة من الأطباء، ومطلع دائم على أحدث الأبحاث والبروتوكولات الطبية العالمية.
- خبرة تتجاوز العقدين من الزمان: يمتلك الدكتور هطيف أكثر من 20 عاماً من الخبرة العملية المتراكمة في أعقد جراحات العظام، والكسور، والمفاصل الصناعية، والجراحات الميكروسكوبية.
- الريادة في تقنيات المناظير: يُعد من أوائل وأمهر الجراحين في اليمن الذين أدخلوا وطوروا تقنيات تنظير المفاصل (Arthroscopy) بمختلف أنواعها (الركبة، الكتف، والرسغ)، مستخدماً أحدث الأجهزة ذات الدقة العالية (4K).
- الأمانة الطبية والمصداقية: يشتهر الدكتور هطيف بين مرضاه وزملائه بالشفافية التامة؛ فهو لا يوصي بالتدخل الجراحي إلا إذا كان هو الخيار الأمثل والوحيد لحالة المريض، مع شرح وافٍ لكل الخطوات والمضاعفات المحتملة.



التشريح الدقيق لمفصل الرسغ: الكعبرة البعيدة والزند الإبري
لفهم أهمية التدخل الجراحي بالمنظار، يجب أولاً فهم مدى تعقيد مفصل الرسغ. الرسغ ليس مجرد مفصل واحد، بل هو شبكة معقدة من العظام، الأربطة، والأوتار التي تعمل بتناغم مذهل لتوفير الحركة الدقيقة لليد.
- الكعبرة البعيدة (Distal Radius): هي النهاية السفلية لعظمة الكعبرة (العظمة الأكبر في الساعد من جهة الإبهام). تشكل هذه العظمة الجزء الأكبر والأهم من مفصل الرسغ، وتتحمل حوالي 80% من القوة المنتقلة من اليد إلى الساعد.
- الزند الإبري (Ulnar Styloid): هو النتوء العظمي البارز في النهاية السفلية لعظمة الزند (من جهة الخنصر). يعمل كنقطة ارتكاز هامة للأربطة، وخاصة المعقد الغضروفي الليفي الثلاثي (TFCC)، الذي يعمل كممتص للصدمات ومثبت لمفصل الرسغ.
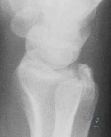
أي كسر في هذه العظام، خاصة إذا امتد إلى داخل السطح المفصلي (Intra-articular fracture)، سيؤدي إلى اختلال الميكانيكا الحيوية للرسغ بأكمله. إذا لم يتم تسوية السطح المفصلي بدقة متناهية (بحيث لا يتجاوز الفارق 1 مليمتر)، فإن الغضروف سيتآكل بسرعة، مما يؤدي إلى ألم مزمن وخشونة مبكرة.



أسباب كسور الكعبرة البعيدة والزند الإبري وأنواعها
تحدث هذه الكسور عادة نتيجة لآلية ميكانيكية معروفة طبياً باسم (FOOSH)، وهي السقوط على يد ممدودة (Fall On Outstretched Hand). تختلف شدة الكسر ونوعه بناءً على عدة عوامل منها عمر المريض، قوة العظام، وزاوية السقوط.
الأسباب الشائعة:
- السقوط العرضي: السبب الأكثر شيوعاً، خاصة عند كبار السن والمصابين بهشاشة العظام (Osteoporosis)، حيث يمكن لسقطة بسيطة من مستوى الوقوف أن تسبب كسراً معقداً.
- الإصابات الرياضية: شائعة بين الشباب والرياضيين في رياضات مثل التزلج، ركوب الدراجات، وكرة القدم.
- حوادث السير والمرور: تؤدي إلى كسور بالغة الشدة ومفتتة نتيجة الطاقة العالية للصدمة.
- إصابات العمل: خاصة في المهن التي تتطلب العمل على ارتفاعات أو استخدام آلات ثقيلة.
أنواع الكسور:
- كسر كوليس (Colles' Fracture): كسر في الكعبرة مع انزياح الجزء المكسور إلى الخلف.
- كسر سميث (Smith's Fracture): كسر في الكعبرة مع انزياح الجزء المكسور إلى الأمام.
- كسور داخل المفصل (Intra-articular): الكسر يمتد ليشق السطح الغضروفي للمفصل (وهنا تبرز الأهمية القصوى لاستخدام المنظار).
- كسور خارج المفصل (Extra-articular): الكسر لا يمس السطح المفصلي.



الأعراض والعلامات التحذيرية: متى يجب التدخل الفوري؟
إذا تعرضت لسقوط أو إصابة في يدك، فهناك علامات واضحة تدل على احتمال وجود كسر في الكعبرة البعيدة أو الزند الإبري. تجاهل هذه الأعراض قد يؤدي إلى التحام العظم بشكل خاطئ (Malunion)، مما يتطلب جراحات تصحيحية معقدة لاحقاً.
- ألم مبرح وفوري: يزداد بشكل حاد عند محاولة تحريك الرسغ أو الأصابع.
- تورم سريع وكدمات: ظهور انتفاخ وتغير في لون الجلد (ازرقاق) حول منطقة الرسغ.
- تشوه شكلي واضح: في كسور كوليس، قد يأخذ الرسغ شكل "شوكة العشاء" (Dinner Fork Deformity) بسبب انزياح العظم.
- تنميل أو خدر في الأصابع: علامة خطيرة تدل على انضغاط العصب الأوسط (Median Nerve) بسبب تورم الأنسجة أو انزياح العظم، وقد يتطلب تدخلاً جراحياً طارئاً لتجنب تلف العصب الدائم.
- عدم القدرة على حمل الأشياء: ضعف شديد في قبضة اليد.



الخيارات العلاجية: من العلاج التحفظي إلى الجراحة المتقدمة
يتم تحديد خطة العلاج من قبل الأستاذ الدكتور محمد هطيف بناءً على تقييم دقيق للصور الشعاعية (X-ray) والأشعة المقطعية (CT scan) لمعرفة مدى تفتت الكسر وتأثر السطح المفصلي.
جدول مقارنة الخيارات العلاجية لكسور الرسغ
| وجه المقارنة | العلاج التحفظي (الجبس/الجبيرة) | الجراحة التقليدية (الفتح) | الجراحة المتقدمة (التنظير والتثبيت الداخلي) |
|---|---|---|---|
| نوع الكسر المناسب | الكسور البسيطة، غير المنزاحة، وخارج المفصل. | الكسور المعقدة، المنزاحة، والمفتتة. | الكسور داخل المفصل، الكسور المصحوبة بتمزق الأربطة. |
| طريقة الإجراء | رد العظم يدوياً وتثبيته بجبس لمدة 4-6 أسابيع. | شق جراحي كبير لرد العظم ووضع شرائح ومسامير. | ثقوب صغيرة جداً، استخدام كاميرا دقيقة، وتثبيت بشرائح/أسلاك. |
| رؤية السطح المفصلي | غير ممكنة (اعتماد على الأشعة فقط). | رؤية محدودة للسطح المفصلي. | رؤية بانورامية دقيقة بنسبة 100% للغضروف والأربطة. |
| خطر تيبس المفصل | مرتفع جداً بسبب التثبيت الطويل بالجبس. | متوسط إلى مرتفع بسبب الندبات والتصاقات الأنسجة. | منخفض جداً، يسمح بالحركة المبكرة للمفصل. |
| فترة التعافي للعودة للعمل | 8 إلى 12 أسبوعاً (مع علاج طبيعي مكثف). | 6 إلى 8 أسابيع. | 3 إلى 5 أسابيع (أسرع وأقل ألماً). |



ما هو تنظير مفصل الرسغ (Wrist Arthroscopy)؟ ولماذا يعتبر المعيار الذهبي؟
تنظير مفصل الرسغ هو إجراء جراحي طفيف التوغل (Minimally Invasive) يتم فيه إدخال كاميرا صغيرة جداً (قطرها لا يتجاوز 2.5 ملم) مزودة بإضاءة من خلال شقوق دقيقة لا تتعدى نصف سنتيمتر في الجلد. تقوم هذه الكاميرا بنقل صور مكبرة وعالية الدقة للسطح الداخلي للمفصل إلى شاشة أمام الجراح.
لماذا يعتبره الأستاذ الدكتور محمد هطيف "المعيار الذهبي"؟
- دقة الرد المفصلي (Anatomic Reduction): في الكسور التي تخترق المفصل، يمكن أن يؤدي بروز عظمي بمقدار 1 ملم فقط إلى احتكاك وتدمير للغضروف. المنظار يسمح للدكتور هطيف برؤية هذا التفاوت وتسويته تماماً ليعود المفصل أملس كما كان.
- تشخيص وعلاج الإصابات المصاحبة: أثبتت الدراسات الحديثة أن نسبة كبيرة من كسور الكعبرة تصاحبها تمزقات في أربطة الرسغ أو في المعقد الغضروفي (TFCC). الجراحة المفتوحة قد تغفل هذه الإصابات، بينما يكتشفها المنظار ويعالجها في نفس الوقت.
- ألم أقل وندبات شبه معدومة: الاستغناء عن الشقوق الكبيرة يقلل من النزيف، الألم بعد العملية، ويحافظ على المظهر الجمالي لليد.
- غسيل المفصل: يسمح المنظار بغسل المفصل من التجمعات الدموية والفتات العظمي والغضروفي الذي قد يسبب التهابات لاحقة.


خطوات عملية تنظير مفصل الرسغ لتثبيت الكسور مع الأستاذ الدكتور محمد هطيف
تتم العملية في غرف عمليات مجهزة بأحدث التقنيات العالمية، وتتبع مساراً دقيقاً ومدروساً لضمان أعلى نسب النجاح:
الخطوة الأولى: التخدير والتحضير
يتم تخدير المريض (غالباً تخدير موضعي للذراع أو تخدير عام خفيف). يتم وضع الذراع في جهاز شد خاص (Traction Tower) لفتح مسافة صغيرة بين عظام الرسغ تسمح بإدخال المنظار بأمان دون الإضرار بالغضروف.
الخطوة الثانية: إدخال المنظار (Portals)
يقوم الدكتور هطيف بعمل 2 إلى 3 ثقوب دقيقة جداً (Portals) في ظهر الرسغ. يتم إدخال الكاميرا من ثقب، وأدوات العمل الجراحية الدقيقة من الثقوب الأخرى.
الخطوة الثالثة: التقييم والغسيل
يتم ضخ سائل معقم لغسل المفصل من الدم المتخثر والفتات العظمي. يقوم الجراح بفحص الغضروف، الأربطة (Scapholunate و Lunotriquetral)، وغضروف الـ TFCC.
الخطوة الرابعة: رد الكسر تحت الرؤية المباشرة
باستخدام أدوات دقيقة، يتم تحريك القطع العظمية المكسورة وإعادتها إلى مكانها الطبيعي. يراقب الجراح العملية عبر شاشة المنظار ليتأكد من أن السطح المفصلي أصبح مستوياً تماماً بنسبة 100%.
الخطوة الخامسة: التثبيت الداخلي
بمجرد استعادة الشكل التشريحي، يتم تثبيت العظام. قد يتم استخدام أسلاك كيرشنر (K-wires)، مسامير دقيقة، أو شريحة معدنية داعمة (Volar Plate) توضع من خلال شق صغير منفصل لضمان ثبات الكسر التام. يتم أيضاً خياطة أي تمزق في الأربطة إن وجد.
الخطوة السادسة: الإغلاق
تُغلق الثقوب الصغيرة بغرزة واحدة أو بشريط لاصق طبي، وتوضع جبيرة خفيفة لدعم الرسغ في الأيام الأولى.



مقارنة شاملة: الجراحة المفتوحة التقليدية مقابل تنظير مفصل الرسغ
لفهم حجم التطور الذي يوفره الأستاذ الدكتور محمد هطيف لمرضاه في اليمن، نستعرض هذا الجدول المقارن:
| معيار المقارنة | الجراحة المفتوحة التقليدية | تنظير مفصل الرسغ (المنظار) |
|---|---|---|
| حجم الشق الجراحي | شق كبير (5 إلى 10 سم) | ثقوب دقيقة (أقل من 0.5 سم) |
| الألم بعد العملية | شديد ويحتاج لمسكنات قوية | خفيف إلى متوسط |
| التصاقات الأوتار | احتمالية عالية نتيجة الشق الكبير | نادرة جداً |
| اكتشاف إصابات الأربطة | صعب وغالباً يتم تجاهلها | ممتاز (يتم تشخيصها وعلاجها فوراً) |
| دقة استواء السطح المفصلي | جيدة (تعتمد على الأشعة السينية) | ممتازة 100% (رؤية مباشرة بالكاميرا) |
| خطر خشونة المفصل مستقبلاً | متوسط إلى مرتفع | منخفض جداً |


برنامج التأهيل والعلاج الطبيعي بعد الجراحة: طريقك نحو التعافي الكامل
العملية الجراحية الناجحة هي نصف الطريق فقط؛ النصف الآخر يعتمد بشكل كبير على برنامج التأهيل والعلاج الطبيعي. بفضل تقنية المنظار والتثبيت القوي الذي يجريه الدكتور هطيف، يمكن للمرضى البدء في التأهيل في وقت مبكر جداً مقارنة بالطرق التقليدية.
المرحلة الأولى (الأسبوع 0 - 2):
- الحفاظ على اليد مرفوعة لتقليل التورم.
- تحريك الأصابع، الإبهام، الكوع، والكتف فوراً لمنع التيبس.
- العناية بالجروح الدقيقة.
المرحلة الثانية (الأسبوع 2 - 6):
- إزالة الجبيرة الخفيفة والبدء في تمارين المدى الحركي (Range of Motion) لمفصل الرسغ (الثني، البسط، الدوران) تحت إشراف أخصائي العلاج الطبيعي.
- استخدام جبيرة متحركة (Splint) للحماية أثناء النوم أو الخروج.
المرحلة الثالثة (بعد 6 أسابيع):
- التأكد من التئام العظم عبر الأشعة السينية.
- البدء في تمارين التقوية (Strengthening exercises) لاستعادة قوة القبضة.
- العودة التدريجية للأنشطة الرياضية والمهنية الطبيعية.


قصص نجاح ملهمة من عيادة الأستاذ الدكتور محمد هطيف
النجاح ليس مجرد نظريات طبية، بل هو واقع يعيشه مئات المرضى في عيادة الدكتور محمد هطيف في صنعاء.
قصة "أحمد" - رياضي شاب (26 عاماً):
تعرض أحمد لسقوط عنيف أثناء قيادة الدراجة الجبلية أدى إلى كسر مفتت داخل مفصل الكعبرة البعيدة مع تمزق في الغضروف (TFCC). كان يخشى أن يفقد قدرته على ممارسة الرياضة للأبد. أجرى له الدكتور هطيف عملية تنظير للرسغ، حيث تم تسوية السطح المفصلي بدقة وخياطة الغضروف الممزق في إجراء واحد عبر ثقوب صغيرة. بعد 6 أسابيع فقط من التأهيل، عاد أحمد لممارسة حياته الطبيعية، واليوم يمارس رياضته المفضلة دون أي ألم أو قيود في الحركة.
قصة "الحاجة فاطمة" - ربة منزل (65 عاماً):
بسبب هشاشة العظام، عانت الحاجة فاطمة من كسر كوليس منزاح
كسور العظام المعقدة وإصابات الحوادث ليس قدراً محتوماً! التشخيص الدقيق والعلاج المتخصص يمكن أن يعيد لك كامل وظيفتك وحريتك في الحركة. لا تدع الألم يسيطر على حياتك.
للحصول على استشارة دقيقة وخطة علاجية مخصصة لحالتك، تواصل فوراً مع مركز الأستاذ الدكتور محمد هطيف:
الأستاذ الدكتور محمد هطيف - أفضل دكتور عظام في صنعاء، وخبير في جراحات الكسور المعقدة وإنقاذ الأطراف.. نلتزم بإعادتك لحياة خالية من الألم وعظام قوية وملتئمة.
مواضيع أخرى قد تهمك