إتقان تثبيت كسور الكعبرة البعيدة بالصفيحة الأمامية: دليل شامل للمرضى مع الأستاذ الدكتور محمد هطيف

الخلاصة الطبية
كسر الكعبرة البعيدة هو إصابة شائعة بالرسغ تؤثر على الأداء اليومي. يتضمن العلاج الفعال غالبًا تثبيت الكعبرة البعيدة بالصفيحة الأمامية، وهي جراحة متقدمة تعيد الاستقرار والوظيفة. يقدم الأستاذ الدكتور محمد هطيف في صنعاء خبرة رائدة في هذا المجال، مما يضمن أفضل النتائج للمرضى.
مقدمة شاملة عن كسور الكعبرة البعيدة وتأثيرها على جودة الحياة
أهلاً بكم أيها الأعزاء في هذا الدليل الطبي الشامل والمفصل، والذي نغوص فيه في أعماق واحدة من أكثر الإصابات العظمية شيوعًا وتأثيرًا على جودة الحياة: كسر الكعبرة البعيدة (Distal Radius Fracture). يُعد مفصل الرسغ من أكثر المفاصل تعقيدًا وحيوية في جسم الإنسان، فهو حلقة الوصل الديناميكية التي تمنح أيدينا القدرة على أداء أرفع الحركات الدقيقة وأقوى حركات الإمساك. عندما يتعرض هذا المفصل لإصابة، فإن ذلك يؤثر بشكل فوري وجذري على الأداء اليومي، المهني، والشخصي للمريض.

غالبًا ما تحدث هذه الكسور نتيجة السقوط على يد ممدودة، وهي آلية دفاعية فطرية يقوم بها الإنسان لحماية وجهه وجسده عند السقوط. في هذا الدليل المرجعي، سنركز بشكل مكثف على النهج الجراحي الأمامي لتثبيت هذه الكسور باستخدام الصفيحة ذات الزاوية الثابتة (Volar Locking Plate)، وذلك تحت إشراف الخبير الأول في هذا المجال، الأستاذ الدكتور محمد هطيف، أستاذ جراحة العظام والمفاصل بجامعة صنعاء، واستشاري جراحة العظام والمفاصل الدقيقة في اليمن.

لقد أحدثت تقنية التثبيت بالصفيحة الأمامية ثورة حقيقية في جراحة العظام، وأصبحت المعيار الذهبي والطريقة المفضلة عالميًا لمعظم أنواع كسور الكعبرة البعيدة، وذلك بفضل قدرتها الفائقة على توفير استقرار ميكانيكي قوي، والسماح بالحركة المبكرة، واستعادة المحاذاة التشريحية الدقيقة للمفصل.

التشريح الحيوي لمفصل الرسغ والكعبرة
تعد الكعبرة البعيدة بمثابة الدعامة الأساسية الحاملة للوزن في الرسغ، حيث تنقل ما يقدر بنحو 75% إلى 80% من الحمل المحوري من اليد إلى الساعد. أما نسبة الـ 20% إلى 25% المتبقية، فتحملها الزند البعيد والمثلث الغضروفي الليفي (TFCC).

لذلك، فإن أي تغيير، ولو كان طفيفًا، في تشريح الكعبرة البعيدة يؤثر بشكل عميق على ميكانيكا الرسغ، مما قد يؤدي على المدى الطويل إلى تآكل الغضاريف، الألم المزمن، وتطور الفصال العظمي (الخشونة المبكرة). يتكون السطح المفصلي للكعبرة من انحناءات دقيقة تتناسب مع عظام الرسغ (العظم القاربي والهلالي)، ويجب استعادة هذا السطح بدقة متناهية لتجنب المضاعفات المستقبلية.

الأسباب وعوامل الخطر المؤدية لكسور الكعبرة
تحدث كسور الكعبرة البعيدة في فئتين عمريتين رئيسيتين، ولكل منهما آلية إصابة مختلفة:
- الشباب والرياضيون: تحدث عادة نتيجة صدمات عالية الطاقة (High-energy trauma) مثل حوادث السيارات، الدراجات النارية، أو السقوط من ارتفاعات عالية أثناء ممارسة الرياضات العنيفة.
- كبار السن (خاصة النساء بعد انقطاع الطمث): تحدث نتيجة صدمات منخفضة الطاقة (Low-energy trauma) مثل التعثر والسقوط في المنزل، وتكون مرتبطة بشكل وثيق بمرض هشاشة العظام (Osteoporosis).

في عيادات الأستاذ الدكتور محمد هطيف في صنعاء، يتم تقييم كل حالة بناءً على كثافة العظام والعمر ونمط الحياة لضمان اختيار خطة العلاج الأنسب.
الأعراض والعلامات السريرية
عند حدوث كسر في الكعبرة البعيدة، تظهر مجموعة من الأعراض المباشرة التي تستدعي تدخلاً طبياً عاجلاً، وتشمل:
- ألم حاد ومفاجئ في منطقة الرسغ فور السقوط.
- تورم شديد وكدمات تظهر خلال ساعات من الإصابة.
- تشوه في شكل الرسغ: يُعرف كلاسيكياً باسم "تشوه ظهر الشوكة" (Dinner fork deformity) إذا كان الكسر مزاحاً للخلف.
- تنميل أو وخز في الأصابع: قد يحدث نتيجة ضغط العظام المكسورة أو التورم على العصب الأوسط (Median Nerve)، وهو ما قد يتطور إلى متلازمة النفق الرسغي الحادة.
- عدم القدرة على تحريك الرسغ أو الإمساك بالأشياء.

التشخيص الدقيق مع الأستاذ الدكتور محمد هطيف
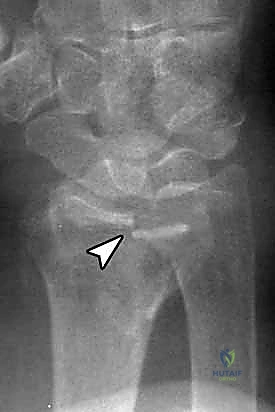
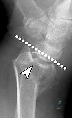
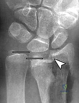
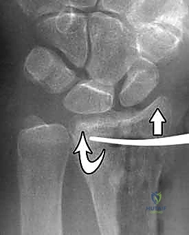
تُعرف كسور الكعبرة البعيدة بأنها تشمل منطقة الكردوس (Metaphysis)، وتحديداً المنطقة الواقعة ضمن طول السطح المفصلي الذي يعادل أوسع جزء من الرسغ بأكمله. في عياداتنا، نقوم بتقييم هذه الكسور بدقة متناهية بناءً على عدة خصائص رئيسية تحدد مسار العلاج:
- الموقع والاتجاه: هل يشمل الجانب الأمامي (الراحي - Volar) أم الخلفي (الظهري - Dorsal)؟
- امتداد الكسر: هل هو خارج المفصل (Extra-articular) أم داخل المفصل (Intra-articular)؟
- درجة التفتت: هل العظم مكسور إلى قطعتين أم مفتت إلى عدة شظايا؟

يعتمد الدكتور محمد هطيف على أحدث التقنيات التشخيصية، حيث يبدأ بـ الأشعة السينية (X-rays) في وضعيات متعددة. وفي حالات الكسور المعقدة التي تمتد إلى داخل المفصل، يتم إجراء تصوير مقطعي محوسب (CT Scan) لبناء صورة ثلاثية الأبعاد للكسر، مما يساعد في التخطيط الجراحي الدقيق.

خيارات العلاج: التحفظي مقابل الجراحي
لا تتطلب جميع كسور الكعبرة تدخلاً جراحياً. يعتمد القرار على مدى انزياح الكسر، استقراره، وعمر المريض ونشاطه. يوضح الجدول التالي مقارنة شاملة بين العلاج التحفظي والجراحي:
| وجه المقارنة | العلاج التحفظي (الجبس / الجبيرة) | العلاج الجراحي (الصفيحة الأمامية Volar Plate) |
|---|---|---|
| دواعي الاستعمال | الكسور غير المنزاحة، الكسور المستقرة، كبار السن غير النشطين. | الكسور المفتتة، الكسور داخل المفصل، الكسور غير المستقرة، الشباب والرياضيين. |
| طريقة العلاج | رد الكسر مغلقاً وتثبيته بجبس لمدة 4 إلى 6 أسابيع. | فتح جراحي وإرجاع العظام بدقة وتثبيتها بصفيحة ومسامير من التيتانيوم. |
| المزايا | تجنب مخاطر الجراحة (التخدير، العدوى). | استعادة دقيقة للتشريح، حركة مبكرة للرسغ، تجنب تيبس المفاصل. |
| العيوب | خطر انزياح الكسر مرة أخرى، تيبس الرسغ بسبب فترة التثبيت الطويلة. | يتطلب تدخلاً جراحياً، تكلفة أعلى، احتمالية نادرة لتهيج الأوتار. |
| فترة التعافي للعودة للنشاط | طويلة (قد تصل إلى أشهر لاستعادة الحركة الكاملة). | أسرع بكثير (البدء بالعلاج الطبيعي خلال أيام من الجراحة). |

يؤمن الأستاذ الدكتور محمد هطيف بـ الأمانة الطبية المطلقة، حيث لا ينصح بالتدخل الجراحي إلا إذا كان هو الخيار الأمثل والوحيد لضمان عودة المريض لحياته الطبيعية بكفاءة تامة.

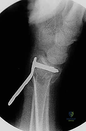
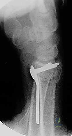
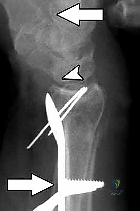
ثورة الصفيحة الأمامية ذات الزاوية الثابتة (Volar Locking Plate)
لماذا نفضل النهج الأمامي (الراحي)؟ في الماضي، كانت الجراحات تُجرى من الجزء الخلفي (الظهري) للرسغ، ولكن هذا كان يؤدي غالباً إلى احتكاك وتمزق أوتار الأصابع الباسطة.

النهج الأمامي يتجنب هذه المشكلة تماماً. العظام في الواجهة الأمامية للرسغ مسطحة وتوفر مساحة ممتازة لوضع الصفيحة (Plate). كما أن العضلات والأوتار القابضة في هذه المنطقة توفر وسادة طبيعية تحمي الأوتار من الاحتكاك بالصفيحة المعدنية.

تتميز اللوحات ذات الزاوية الثابتة (Locking Plates) بأن المسامير تُقفل (تُثبت) في الصفيحة نفسها وليس فقط في العظم. هذا يخلق هيكلاً معدنياً صلباً يعمل كـ "دعامة داخلية"، مما يجعله مثالياً للمرضى الذين يعانون من هشاشة العظام حيث تكون العظام لينة ولا تتحمل المسامير التقليدية.

خطوات العملية الجراحية خطوة بخطوة مع الأستاذ الدكتور محمد هطيف
تُجرى هذه العملية بدقة متناهية باستخدام أحدث التقنيات، وتتضمن الخطوات التالية:
1. التخدير والتجهيز
يتم إجراء الجراحة عادة تحت التخدير الموضعي للذراع (Block) أو التخدير العام. يتم تعقيم الذراع ووضع عاصبة (Tourniquet) لتقليل النزيف وضمان رؤية واضحة.

2. الشق الجراحي (The Approach)
يقوم الدكتور هطيف بعمل شق جراحي دقيق (طوله حوالي 5-8 سم) على الوجه الأمامي للرسغ، عادة على طول مسار وتر العضلة المثنية الكعبرية للرسغ (FCR). يتم إبعاد الأوتار والأعصاب (خاصة العصب الأوسط) بلطف شديد لحمايتها.


3. إرجاع الكسر (Fracture Reduction)
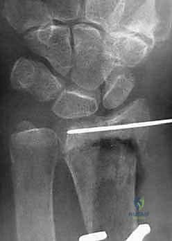
تُعد هذه الخطوة الأهم. باستخدام أدوات دقيقة وجهاز الأشعة السينية المباشر في غرفة العمليات (C-arm fluoroscopy)، يقوم الدكتور هطيف بإعادة ترتيب شظايا العظام إلى مكانها التشريحي الأصلي، مع التركيز الشديد على استواء السطح المفصلي.


4. وضع الصفيحة والتثبيت المؤقت
يتم اختيار صفيحة تيتانيوم مصممة تشريحياً لتلائم انحناء الكعبرة. توضع الصفيحة على العظم وتُثبت مؤقتاً بأسلاك معدنية دقيقة (K-wires).


5. حفر العظم ووضع المسامير
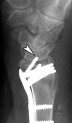
يتم حفر ثقوب في العظم عبر فتحات الصفيحة، ثم تُقاس المسافات بدقة لإدخال مسامير القفل (Locking Screws) في الجزء البعيد (قرب المفصل) ومسامير قشرية في الجزء القريب (في ساق العظم).



6. الفحص النهائي والإغلاق
يتم إجراء فحص أخير بالأشعة للتأكد من المحاذاة المثالية للكسر وأطوال المسامير (لضمان عدم بروزها واحتكاكها بالأوتار الخلفية). بعد ذلك، يتم خياطة الأنسجة والجلد بخيوط تجميلية ووضع ضمادة معقمة.


برنامج إعادة التأهيل والعلاج الطبيعي (الطريق نحو التعافي)
إن نجاح الجراحة لا يكتمل إلا ببرنامج تأهيل منضبط. بفضل التثبيت القوي بالصفيحة الأمامية، يمكن للمرضى البدء في تحريك أيديهم في وقت مبكر جداً مقارنة بالعلاج بالجبس.
المرحلة الأولى (الأيام 1 - 14):
- التحكم في الألم والتورم (رفع اليد، استخدام الثلج).
- حركة فورية للأصابع، الإبهام، الكوع، والكتف لمنع التيبس.
- تغيير الضمادات وإزالة الغرز بعد أسبوعين.


المرحلة الثانية (الأسابيع 2 - 6):
- البدء التدريجي في تمارين ثني وبسط الرسغ (Flexion/Extension) ودوران الساعد (Supination/Pronation).
- استخدام جبيرة خفيفة قابلة للإزالة لحماية الرسغ خارج أوقات التمرين.
- يُمنع حمل الأوزان الثقيلة.


المرحلة الثالثة (بعد 6 أسابيع فما فوق):
- التأكد من التئام العظم سريرياً وشعاعياً.
- البدء في تمارين تقوية العضلات واستعادة قبضة اليد.
- العودة التدريجية للأنشطة الرياضية والمهنية الشاقة.

المخاطر والفوائد (الشفافية الطبية)
التزاماً بالأمانة الطبية التي يحرص عليها الأستاذ الدكتور محمد هطيف، نضع بين أيديكم جدولاً يوضح الفوائد مقابل المخاطر المحتملة (والتي تُعد نادرة بفضل التقنيات الحديثة):
| الفوائد العظيمة للجراحة بالصفيحة الأمامية | المخاطر والمضاعفات المحتملة (نادرة الحدوث) |
|---|---|
| استعادة دقيقة للسطح المفصلي مما يمنع خشونة المفاصل المستقبلية. | العدوى أو الالتهاب (يتم الوقاية منها بالمضادات الحيوية والتعقيم الصارم). |
| تثبيت صلب وميكانيكي قوي حتى في حالات هشاشة العظام. | تهيج الأوتار إذا كانت المسامير طويلة جداً (يتم تجنبها بالقياس الدقيق أثناء الجراحة). |
| التخلص من الجبس المزعج والبدء في العلاج الطبيعي مبكراً. | متلازمة النفق الرسغي (قد تحدث نتيجة التورم، وغالباً ما تزول، أو يتم تحرير العصب أثناء الجراحة). |
| عودة سريعة للعمل والأنشطة اليومية مقارنة بالعلاج التحفظي. | تأخر التئام العظم (نادر، ويرتبط بالتدخين أو الأمراض المزمنة). |



قصص نجاح ملهمة من عياداتنا
الحالة الأولى: رياضي شاب
تعرض شاب يبلغ من العمر 25 عاماً لكسر مفتت داخل المفصل إثر حادث دراجة نارية. كان التخوف الأكبر هو عدم قدرته على العودة لممارسة الرياضة. أجرى الدكتور محمد هطيف جراحة دقيقة باستخدام الصفيحة الأمامية. بفضل التثبيت القوي، بدأ الشاب العلاج الطبيعي في اليوم الثالث، وعاد لممارسة حياته الطبيعية ورياضته المفضلة بعد 3 أشهر بنطاق حركة كامل وبدون ألم.

الحالة الثانية: سيدة مسنة مصابة بهشاشة العظام
سيدة تبلغ من العمر 68 عاماً سقطت في منزلها وأصيبت بكسر منزاح. بسبب هشاشة العظام، كان العلاج بالجبس سيؤدي إلى فشل في التئام العظم بتشريح صحيح. تم استخدام صفيحة التيتانيوم ذات الزاوية الثابتة (Locking Plate) التي وفرت دعامة قوية للعظم الضعيف. تعافت السيدة بشكل ممتاز واستعادت قدرتها على أداء مهامها المنزلية دون الحاجة للمساعدة.


لماذا تختار الأستاذ الدكتور محمد هطيف؟
عندما يتعلق الأمر بجراحة دقيقة ومعقدة مثل مفصل الرسغ، فإن الخبرة هي العامل الفاصل بين التعافي الكامل والإعاقة الدائمة.
- المرجعية الأكاديمية والطبية: أستاذ جراحة العظام والمفاصل بجامعة صنعاء، مما يجعله على اطلاع دائم بأحدث الأبحاث والبروتوكولات العالمية.
- خبرة تتجاوز 20 عاماً: أجرى آلاف العمليات الجراحية الناجحة، مما يجعله الخبير الأول والأفضل في صنعاء واليمن.
- تكنولوجيا متطورة: استخدام أحدث التقنيات مثل الجراحة المجهرية (Microsurgery)، مناظير المفاصل بدقة 4K (Arthroscopy 4K)، وتغيير المفاصل (Arthroplasty).
- الأمانة الطبية: التقييم الصادق والشفاف لحالة المريض، وتقديم العلاج الأنسب دون استغلال.


الأسئلة الشائعة (FAQs) - إجابات شاملة لتساؤلاتكم
1. كم تستغرق العملية الجراحية لتثبيت كسر الكعبرة؟
تستغرق الجراحة عادة من ساعة إلى ساعة ونصف، وذلك يعتمد على مدى تعقيد الكسر ودرجة التفتت.
2. هل سأحتاج إلى وضع جبس بعد الجراحة؟
في معظم الحالات التي نستخدم فيها الصفيحة الأمامية، لا حاجة للجبس الكامل. نكتفي بجبيرة خفيفة قابلة للإزالة لحماية الجرح والرسغ، مما يسمح لك بالبدء في تحريك أصابعك فوراً.
3. هل يجب إزالة الشريحة والمسامير في المستقبل؟
غالباً لا. صفائح التيتانيوم مصممة لتبقى في الجسم مدى الحياة ولا تسبب تفاعلات أو تطلق إنذارات في بوابات التفتيش. لا نوصي بإزالتها إلا في حالات نادرة جداً إذا سببت تهيجاً للأوتار بعد التئام العظم تماماً.

4. متى يمكنني العودة لقيادة السيارة؟
يمكنك العودة للقيادة عندما تستعيد قوة القبضة الكافية للتحكم في عجلة القيادة بأمان، وعادة ما يكون ذلك بين 4 إلى 6 أسابيع بعد الجراحة، وبعد موافقة الطبيب.
5. أعاني من هشاشة العظام، هل تنجح معي هذه الجراحة؟
نعم، وبامتياز. اللوحات ذات الزاوية الثابتة (Locking Plates) صُممت خصيصاً لحل مشكلة هشاشة العظام، حيث تعتمد على تثبيت المسمار في الصفيحة نفسها وليس في العظم الضعيف، مما يوفر استقراراً ميكانيكياً ممتازاً.

6. هل هناك خطر لانقطاع الأوتار بعد العملية؟
الخطر ضئيل جداً عند استخدام النهج الأمامي (الراحي). الدكتور هطيف يحرص على قياس أطوال المسامير بدقة شديدة بالأشعة أثناء الجراحة لضمان عدم بروزها واحتكاكها بالأوت
كسور العظام المعقدة وإصابات الحوادث ليس قدراً محتوماً! التشخيص الدقيق والعلاج المتخصص يمكن أن يعيد لك كامل وظيفتك وحريتك في الحركة. لا تدع الألم يسيطر على حياتك.
للحصول على استشارة دقيقة وخطة علاجية مخصصة لحالتك، تواصل فوراً مع مركز الأستاذ الدكتور محمد هطيف:
الأستاذ الدكتور محمد هطيف - أفضل دكتور عظام في صنعاء، وخبير في جراحات الكسور المعقدة وإنقاذ الأطراف.. نلتزم بإعادتك لحياة خالية من الألم وعظام قوية وملتئمة.
مواضيع أخرى قد تهمك