تثبيت كسر الكعبرة البعيدة بالشريحة الظهرية: دليل المريض الشامل وخبرة الأستاذ الدكتور محمد هطيف في صنعاء

الخلاصة الطبية
كسر الكعبرة البعيدة هو كسر شائع في عظم الرسغ، وغالباً ما يتطلب تثبيتاً جراحياً بشريحة ظهرية إذا كان غير مستقر أو مصحوباً بإزاحة. تهدف الجراحة إلى استعادة شكل الرسغ ووظيفته، ويقدم الأستاذ الدكتور محمد هطيف في صنعاء رعاية متخصصة في هذا المجال، لضمان أفضل نتائج التعافي.
الخلاصة الطبية السريعة: يُعد كسر الكعبرة البعيدة من أكثر إصابات العظام شيوعاً، وغالباً ما يتطلب تدخلاً جراحياً دقيقاً لضمان استعادة الوظيفة الحركية لليد والرسغ، خاصة عندما يكون الكسر غير مستقر أو مصحوباً بإزاحة ظهرية شديدة. تهدف جراحة "تثبيت كسر الكعبرة البعيدة بالشريحة الظهرية" (Dorsal Plating) إلى إعادة بناء المفصل بدقة تشريحية متناهية. في العاصمة اليمنية صنعاء، يبرز اسم الأستاذ الدكتور محمد هطيف، أستاذ جراحة العظام والمفاصل بجامعة صنعاء، كمرجع طبي أول والخبير الأبرز في هذا المجال. بفضل خبرته التي تتجاوز 20 عاماً، وتقنياته الحديثة التي تشمل الجراحة المجهرية ومناظير المفاصل 4K، يقدم الدكتور هطيف رعاية طبية مبنية على الأمانة العلمية الصارمة والنتائج الجراحية الاستثنائية.


مقدمة شاملة: كسر الكعبرة البعيدة وأهمية التثبيت بالشريحة الظهرية
يُعد مفصل الرسغ من أكثر مفاصل الجسم تعقيداً وأهمية، فهو الرابط الحيوي الذي يمنح اليد قدرتها على أداء الحركات الدقيقة والمعقدة. وعندما يتعرض عظم الكعبرة (أحد العظمين الرئيسيين في الساعد) للكسر بالقرب من مفصل الرسغ، فإن ذلك يُعرف طبياً بـ "كسر الكعبرة البعيدة". هذه الإصابة ليست مجرد كسر عابر، بل هي تحدٍ طبي يتطلب تقييماً دقيقاً وتدخلياً احترافياً، خاصة إذا كان الكسر متفتتاً أو ممتداً إلى داخل سطح المفصل.
تاريخياً، كانت العديد من هذه الكسور تُعالج تحفظياً باستخدام الجبائر الجصية، ولكن مع التطور المذهل في الميكانيكا الحيوية وتقنيات جراحة العظام، أصبح التدخل الجراحي هو المعيار الذهبي للحالات غير المستقرة. من بين التقنيات الجراحية المتقدمة تبرز تقنية التثبيت باستخدام الشريحة الظهرية (Dorsal Plate). تُستخدم هذه التقنية خصيصاً عندما تكون الإزاحة الكسرية متجهة نحو الخلف (الناحية الظهرية للرسغ)، أو عندما يكون هناك تفتت شديد في القشرة العظمية الظهرية لا يمكن تثبيته بفعالية باستخدام الشرائح البطنية (Volar Plates).


التشريح الدقيق لمفصل الرسغ وعظم الكعبرة
لفهم طبيعة هذه الجراحة المعقدة، يجب أولاً فهم التشريح الفريد لمنطقة الرسغ. يتكون الساعد من عظمين: الكعبرة (التي تقع في جهة الإبهام) والزند (في جهة الخنصر). الكعبرة البعيدة هي الجزء السفلي من العظم الذي يشكل الجزء الأكبر من مفصل الرسغ، حيث يلتقي بعظام الرسغ الصغيرة.
يتميز سطح الكعبرة البعيدة بوجود ميل زاوي طبيعي ضروري لحركة المفصل السلسة. عند حدوث كسر، غالباً ما يتشوه هذا الميل، مما يؤدي إلى اختلال في توزيع القوى على المفصل. ينقسم السطح الخارجي للكعبرة إلى:
* السطح البطني (Volar): وهو السطح المواجه لراحة اليد، وعادة ما يكون أملساً ومسطحاً.
* السطح الظهري (Dorsal): وهو السطح المواجه لظهر اليد، ويتميز بكونه محدباً ويحتوي على حديبات (مثل حديبة ليستر) تمر عبرها أوتار العضلات الباسطة لليد والأصابع.

عندما يتدخل الأستاذ الدكتور محمد هطيف جراحياً، فإن هدفه الأساسي هو استعادة هذا التشريح الدقيق بنسبة 100%، لأن أي انحراف ولو بمليمترات قليلة قد يؤدي لاحقاً إلى خشونة مبكرة في المفصل (Post-traumatic Osteoarthritis) أو تقييد في حركة اليد.


الأسباب وعوامل الخطر المؤدية لكسر الكعبرة البعيدة
تحدث كسور الكعبرة البعيدة نتيجة آليات إصابة متعددة، ولكن السبب الأكثر شيوعاً على الإطلاق هو السقوط على يد ممدودة (FOOSH - Fall On Outstretched Hand). عندما يسقط الشخص، فإن رد الفعل الطبيعي هو مد اليد للأمام لتلقي صدمة السقوط. ينتج عن ذلك انتقال قوة هائلة من الأرض عبر راحة اليد إلى مفصل الرسغ، مما يؤدي إلى انكسار عظم الكعبرة.
تشمل العوامل التي تزيد من خطر الإصابة وتعقيد الكسر:
1. هشاشة العظام (Osteoporosis): خاصة لدى النساء بعد سن اليأس وكبار السن، حيث تكون العظام ضعيفة وتتفتت بسهولة حتى مع السقوط البسيط.
2. الإصابات الرياضية: مثل السقوط أثناء ركوب الدراجات، التزلج، أو كرة القدم.
3. حوادث السير والرضوض عالية الطاقة: والتي غالباً ما ينتج عنها كسور شديدة التفتت تمتد إلى داخل المفصل (Intra-articular fractures) وتتطلب تدخلاً جراحياً معقداً بالشريحة الظهرية.


الأعراض والعلامات السريرية
يتعرف المريض والطبيب على كسر الكعبرة البعيدة من خلال مجموعة من العلامات السريرية الواضحة:
* ألم حاد ومفاجئ: يتركز في منطقة الرسغ ويزداد بشدة عند محاولة تحريك اليد أو الأصابع.
* تورم سريع وكدمات: تظهر حول الرسغ وقد تمتد إلى الأصابع أو الساعد.
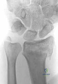
* تشوه شكل الرسغ: يُعرف كلاسيكياً بـ "تشوه ظهر الشوكة" (Dinner Fork Deformity)، حيث ينزاح الجزء المكسور من الكعبرة نحو الخلف (الناحية الظهرية)، مما يعطي الرسغ شكلاً يشبه ظهر الشوكة.
* خدر وتنميل: في بعض الحالات، قد يضغط الكسر والتورم على العصب الأوسط (Median Nerve)، مما يسبب أعراضاً مشابهة لمتلازمة النفق الرسغي.


التشخيص الدقيق: خطوة أساسية قبل الجراحة
يعتمد الأستاذ الدكتور محمد هطيف في عيادته بصنعاء على منهجية تشخيصية صارمة تضمن اختيار العلاج الأمثل:
1. الفحص السريري: لتقييم الدورة الدموية، حركة الأصابع، وحالة الأعصاب.
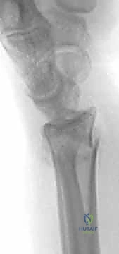
2. الأشعة السينية (X-rays): وهي الفحص الأساسي لتأكيد الكسر، وتحديد مكانه، ومدى الإزاحة والتفتت.
3. الأشعة المقطعية (CT Scan): في الكسور المعقدة والممتدة داخل المفصل، يطلب الدكتور هطيف أشعة مقطعية ثلاثية الأبعاد لبناء تصور دقيق لسطح المفصل، مما يساعد في التخطيط الجراحي لوضع الشريحة الظهرية بدقة متناهية.



الخيارات العلاجية: متى نلجأ للجراحة؟
لا تتطلب جميع كسور الكعبرة البعيدة تدخلاً جراحياً. القرار يعتمد على استقرار الكسر، درجة الإزاحة، وعمر المريض ومستوى نشاطه.
مقارنة شاملة بين العلاج التحفظي والجراحي
| وجه المقارنة | العلاج التحفظي (الجبس / الجبيرة) | العلاج الجراحي (التثبيت الداخلي بالشريحة الظهرية) |
|---|---|---|
| دواعي الاستعمال | الكسور المستقرة، غير المتفتتة، بدون إزاحة، أو للمرضى كبار السن غير النشطين. | الكسور غير المستقرة، المتفتتة، الممتدة للمفصل، الإزاحة الظهرية الشديدة، المرضى النشطين. |
| المزايا | تجنب مخاطر التخدير والجراحة، تكلفة أقل مبدئياً. | استعادة دقيقة لتشريح المفصل، تثبيت قوي يسمح بالحركة المبكرة، تقليل خطر خشونة المفصل. |
| العيوب | خطر تحرك الكسر داخل الجبس (Malunion)، تيبس المفصل بسبب طول فترة التثبيت. | مخاطر جراحية عامة، احتمالية الحاجة لإزالة الشريحة مستقبلاً، تكلفة أعلى. |
| مدة التثبيت | 4 إلى 6 أسابيع من التثبيت الكامل للرسغ. | تثبيت صلب فوري، السماح بحركة الأصابع والرسغ الخفيفة خلال أيام من الجراحة. |
| النتائج الوظيفية | مقبولة في الكسور البسيطة، ولكن قد تترك ضعفاً أو تشوهاً في الكسور المعقدة. | ممتازة جداً، عودة أسرع وأقوى لوظائف اليد الطبيعية. |


لماذا التثبيت بالشريحة الظهرية (Dorsal Plating) تحديداً؟
في عالم جراحة العظام، التثبيت بالشريحة البطنية (Volar Plating) هو الأكثر شيوعاً. ومع ذلك، هناك حالات طبية دقيقة تكون فيها الشريحة الظهرية هي الخيار الجراحي الوحيد والمنقذ لوظيفة الرسغ. يتميز الأستاذ الدكتور محمد هطيف بمهارة استثنائية في اتخاذ هذا القرار وتطبيقه.
دواعي استخدام الشريحة الظهرية تشمل:
1. تفتت القشرة الظهرية (Dorsal Comminution): عندما يكون العظم في الجزء الخلفي من الرسغ متفتتاً بشدة، فإن الشريحة البطنية لا تستطيع تقديم الدعم الكافي. الشريحة الظهرية تعمل كدعامة (Buttress) تمنع انهيار العظم نحو الخلف.
2. الكسور ذات الإزاحة الظهرية الشديدة: التي لا يمكن ردها وتثبيتها من الأمام.
3. الكسور المعقدة التي تتطلب شريحتين (Dual Plating): في بعض الإصابات البالغة، قد يستخدم الدكتور هطيف شريحة بطنية وأخرى ظهرية لضمان استقرار مطلق للمفصل.

تاريخياً، كانت الشرائح الظهرية تسبب تهيجاً لأوتار اليد الباسطة (Extensor Tendons) لأن مساحة الظهر ضيقة. ولكن مع التطور التكنولوجي واستخدام الشرائح الحديثة منخفضة السماكة (Low-profile Plates)، وباستخدام تقنيات الدكتور هطيف الجراحية الدقيقة التي تعتمد على الجراحة المجهرية لحماية الأوتار، أصبحت هذه المشكلة من الماضي.



خطوات العملية الجراحية مع الأستاذ الدكتور محمد هطيف
تُجرى عملية تثبيت كسر الكعبرة البعيدة بالشريحة الظهرية في مستشفيات صنعاء المجهزة بأحدث التقنيات تحت إشراف مباشر من أ.د. محمد هطيف. تمر العملية بخطوات دقيقة ومدروسة:
1. التخدير والتحضير
يتم إجراء الجراحة عادة تحت التخدير الموضعي (Block) للذراع أو التخدير العام. يتم تعقيم الذراع وتجهيز جهاز الأشعة السينية المتحرك (C-arm) داخل غرفة العمليات لضمان المراقبة اللحظية.

2. الشق الجراحي والوصول للعظم
يقوم الدكتور هطيف بعمل شق جراحي دقيق على ظهر الرسغ. باستخدام تقنيات الجراحة المجهرية، يتم إبعاد الأوتار الباسطة والأعصاب الحسية بعناية فائقة لحمايتها من أي ضرر. يتم التركيز على الحفاظ على نفق الأوتار (Extensor Retinaculum) لإعادة بناءه لاحقاً.

3. رد الكسر (Fracture Reduction)
هذه هي المرحلة الأكثر حساسية. يقوم الدكتور بإعادة القطع العظمية المتفتتة إلى مكانها التشريحي الأصلي بدقة متناهية. يتم استخدام جهاز الأشعة اللحظي للتأكد من أن سطح المفصل أصبح أملساً ومستوياً تماماً. في بعض الحالات التي يوجد فيها نقص عظمي نتيجة التفتت، قد يستخدم الدكتور هطيف طعوماً عظمية (Bone Grafts) لملء الفراغات.


4. وضع الشريحة والتثبيت بالمسامير
بمجرد أن يصبح العظم في موضعه الصحيح، يتم وضع الش

آلام الظهر والرقبة وتنميل الأطراف ليس قدراً محتوماً! التشخيص الدقيق والعلاج المتخصص يمكن أن يعيد لك كامل وظيفتك وحريتك في الحركة. لا تدع الألم يسيطر على حياتك.
للحصول على استشارة دقيقة وخطة علاجية مخصصة لحالتك، تواصل فوراً مع مركز الأستاذ الدكتور محمد هطيف:
الأستاذ الدكتور محمد هطيف - أفضل دكتور عظام في صنعاء، وأفضل دكتور عمود فقري في صنعاء، وخبير في جراحات الديسك الميكروسكوبية.. نلتزم بإعادتك لحياة خالية من الألم وظهر مستقيم.
مواضيع أخرى قد تهمك