تثبيت المفصل تحت الكاحل المعزول: حل دائم لآلام القدم المزمنة مع الأستاذ الدكتور محمد هطيف

الخلاصة الطبية
تثبيت المفصل تحت الكاحل المعزول هو إجراء جراحي دقيق يهدف إلى دمج مفصل الكاحل والقدم (المفصل تحت الكاحل) لتخفيف الألم المزمن واستعادة الاستقرار الوظيفي. يقدم الأستاذ الدكتور محمد هطيف هذا العلاج المتخصص في صنعاء، مستخدمًا أحدث التقنيات لضمان أفضل النتائج للمرضى.
مقدمة: وداعاً لآلام القدم المزمنة مع تثبيت المفصل تحت الكاحل المعزول
هل تعاني من آلام مزمنة في منطقة الكاحل والقدم، تجعل مجرد المشي أو الوقوف تحدياً يومياً قاسياً؟ هل أثرت هذه الآلام المبرحة على جودة حياتك، وقدرتك على العمل، أو حتى ممارسة أبسط أنشطتك اليومية؟ إذا كنت تشعر بألم حاد عند المشي على أسطح غير مستوية، أو تعاني من تيبس مزمن في الجزء الخلفي من قدمك، فقد يكون "تثبيت المفصل تحت الكاحل المعزول" هو الحل الجذري والنهائي الذي تبحث عنه.
يُعد تثبيت المفصل تحت الكاحل المعزول (Isolated Subtalar Arthrodesis) إجراءً جراحياً دقيقاً ومتقدماً في مجال جراحة العظام، يهدف إلى دمج مفصل حيوي في الجزء الخلفي من القدم يُعرف باسم "المفصل تحت الكاحل" أو "المفصل الكاحلي العقبي". الهدف الأساسي والجوهري من هذا الإجراء هو القضاء التام على الألم الشديد، واستعادة الثبات الوظيفي والميكانيكي للقدم، وتحسين القدرة على المشي بشكل طبيعي، وذلك عن طريق إزالة الحركة المؤلمة الناجمة عن احتكاك العظام المتضررة في هذا المفصل تحديداً، مع الحرص التام على الحفاظ على حركة المفاصل المجاورة السليمة.
في هذا الدليل الطبي الشامل والمفصل، سنتعمق في كل ما يتعلق بعملية تثبيت المفصل تحت الكاحل المعزول. سنأخذك في رحلة تبدأ من فهم التشريح الدقيق للقدم، مروراً بالأسباب الخفية التي تستدعي هذا الإجراء، وصولاً إلى تفاصيل العملية الجراحية خطوة بخطوة، وبرنامج التعافي الشامل.


الأستاذ الدكتور محمد هطيف: المرجعية الأولى لجراحة العظام والمفاصل في اليمن
عندما يتعلق الأمر بجراحات القدم والكاحل الدقيقة والمعقدة، فإن اختيار الجراح المناسب هو الخطوة الأهم نحو الشفاء التام. هنا يبرز اسم الأستاذ الدكتور محمد هطيف كعلامة فارقة ومرجعية طبية عليا في العاصمة صنعاء وعموم اليمن.
بصفته أستاذاً في كلية الطب بجامعة صنعاء، وامتلاكه لخبرة سريرية وجراحية تمتد لأكثر من 20 عاماً، يجمع الدكتور هطيف بين المعرفة الأكاديمية العميقة والمهارة الجراحية الفائقة. يُعرف الدكتور هطيف بالتزامه الصارم بأعلى معايير "الأمانة الطبية"؛ فهو لا يوصي بالتدخل الجراحي إلا بعد استنفاد كافة الخيارات التحفظية، وعندما يكون متيقناً من أن الجراحة هي السبيل الوحيد لاستعادة المريض لجودة حياته.
يستخدم الأستاذ الدكتور محمد هطيف أحدث التقنيات العالمية في غرف العمليات، بما في ذلك الجراحة الميكروسكوبية، ومناظير المفاصل بتقنية 4K، والملاحة الجراحية، مما يضمن دقة متناهية في وضع المسامير والطعوم العظمية أثناء عملية تثبيت المفصل تحت الكاحل، وبالتالي تقليل نسب المضاعفات وتسريع عملية التشافي.
التشريح الدقيق للمفصل تحت الكاحل (Subtalar Joint) والميكانيكا الحيوية
لفهم أهمية تثبيت المفصل تحت الكاحل المعزول، ولماذا يُعد إجراءً منقذاً لجودة الحياة، يجب أولاً أن نغوص في التشريح المعقد لهذا المفصل ودوره المحوري في ميكانيكا حركة القدم.
يتكون المفصل تحت الكاحل من التقاء عظمتين رئيسيتين وضخمتين في الجزء الخلفي من القدم:
* عظم الكاحل (Talus): وهو العظم العلوي الذي يربط عظام الساق (القصبة والشظية) بالقدم. يعمل عظم الكاحل كمفصل كروي يوزع وزن الجسم.
* عظم العقب (Calcaneus): وهو عظم الكعب الأكبر والأقوى في القدم، والذي يتحمل الصدمة الأولى عند ملامسة القدم للأرض.
يقع المفصل تحت الكاحل مباشرة أسفل مفصل الكاحل الرئيسي. في حين أن مفصل الكاحل الرئيسي مسؤول عن حركة القدم لأعلى ولأسفل (Dorsiflexion and Plantarflexion)، فإن المفصل تحت الكاحل يعمل بمثابة "عجلة القيادة" للقدم، حيث يسمح بحركتين رئيسيتين:
* القلب (Inversion): وهي حركة تدوير باطن القدم نحو الداخل.
* الانبساط (Eversion): وهي حركة تدوير باطن القدم نحو الخارج.
هذه الحركات الجانبية المعقدة هي التي تسمح للقدم بالتكيف مع الأسطح غير المستوية (مثل المشي على الحصى، أو الرمل، أو المنحدرات الجانبية) وتوفير الثبات الديناميكي أثناء المشي والجري. عندما يتدمر الغضروف المبطن لهذا المفصل، يصبح كل احتكاك بمثابة طعنة ألم، وتفقد القدم قدرتها على التكيف مع التضاريس، مما يجعل المشي مهمة شاقة.

الأسباب العميقة وعوامل الخطر التي تؤدي إلى تلف المفصل تحت الكاحل
تتعدد الأسباب والظروف المرضية التي قد تؤدي إلى تدمير المفصل تحت الكاحل وتستدعي الحاجة الماسة إلى تثبيته جراحياً. يركز الأستاذ الدكتور محمد هطيف على التقييم الشامل والتشخيص الدقيق لكل حالة لتحديد السبب الجذري، مما يساعد في وضع خطة العلاج الأنسب. تشمل الأسباب الشائعة والمعقدة ما يلي:
1. التهاب المفاصل ما بعد الصدمة (Post-traumatic Osteoarthritis)
يُعد هذا السبب هو الأكثر شيوعاً على الإطلاق لإجراء عملية تثبيت المفصل تحت الكاحل. يحدث هذا النوع من التهاب المفاصل كعاقبة متأخرة لإصابات سابقة شديدة في القدم والكاحل، مثل:
* كسور عظم العقب (Calcaneus Fractures): خاصة الكسور المفتتة أو تلك التي تمتد إلى داخل سطح المفصل. حتى مع أفضل تثبيت جراحي أولي، قد يتضرر الغضروف بشكل لا يمكن إصلاحه، مما يؤدي إلى خشونة مبكرة.
* كسور عظم الكاحل (Talus Fractures): التي تسبب انقطاعاً في التروية الدموية أو عدم توافق في الأسطح المفصلية.
تتسبب هذه الإصابات في تغييرات هيكلية ميكانيكية تؤدي إلى تآكل الغضروف بشكل متسارع وتطور التهاب المفاصل المؤلم بمرور الوقت.

الشكل: يوضح التهاب المفاصل ما بعد الصدمة في المفصل تحت الكاحل. لاحظ تضييق المسافة المفصلية، وتصلب العظم تحت الغضروف، وتكيسات تحت الغضروف، وتكون النتوءات العظمية التي تسبب الألم المبرح.
2. التحام الكاحل العقبي (Talocalcaneal Coalition)
هي حالة خلقية (يولد بها المريض) تتميز بتكوين جسر غير طبيعي (إما عظمي، أو غضروفي، أو ليفي) بين عظم الكاحل وعظم العقب. يحد هذا الجسر من الحركة الطبيعية للمفصل تحت الكاحل، مما يؤدي إلى تيبس شديد، وألم مزمن، وتسطح في القدم (Flatfoot)، وغالباً ما تظهر الأعراض بوضوح في مرحلة المراهقة أو البلوغ المبكر.

3. التهاب المفاصل الأساسي (Primary Osteoarthritis)
يُعرف أيضاً باسم الفصال العظمي الأولي، وهو تآكل الغضروف المفصلي المرتبط بالتقدم في العمر والاستهلاك المستمر دون وجود تاريخ لإصابة سابقة. يؤدي تآكل الغضروف الناعم إلى احتكاك العظام الخشنة ببعضها البعض، مما يسبب الألم، والتيبس، وتدهوراً تدريجياً في وظيفة المفصل.
4. التهاب المفاصل الروماتويدي (Rheumatoid Arthritis)
هو مرض مناعي ذاتي مزمن يهاجم فيه الجهاز المناعي الأنسجة السليمة في الجسم، وتحديداً الغشاء الزليلي المبطن للمفاصل. إذا استهدف هذا المرض المفصل تحت الكاحل، فإنه يسبب التهاباً شديداً وتدميراً هائلاً للغضروف والعظام المحيطة، مما يؤدي إلى ألم مبرح وتشوهات هيكلية خطيرة في القدم.
5. نخر العظام اللاوعائي (Avascular Necrosis) والعدوى
في بعض الحالات، تنقطع التروية الدموية عن عظم الكاحل (غالباً بسبب كسر أو استخدام مزمن للكورتيزون)، مما يؤدي إلى موت الخلايا العظمية وانهيار المفصل. كما يمكن أن تؤدي العدوى البكتيرية العميقة في المفصل (Septic Arthritis) إلى تدمير سريع للغضروف يتطلب تثبيتاً لاحقاً.

الأعراض والعلامات التحذيرية لتلف المفصل تحت الكاحل
كيف تعرف أن المشكلة تكمن في المفصل تحت الكاحل تحديداً؟ المرضى الذين يزورون عيادة الأستاذ الدكتور محمد هطيف في صنعاء غالباً ما يصفون مجموعة محددة من الأعراض المزعجة، والتي تشمل:
- ألم عميق وموضعي: يتركز الألم عادة في الجانب الخارجي للقدم، أسفل الكعب الخارجي مباشرة (في منطقة تُعرف باسم الجيب الرصغي - Sinus Tarsi).
- صعوبة المشي على الأسطح غير المستوية: هذا هو العرض الكلاسيكي. المشي على الحصى، العشب غير المستوي، أو المنحدرات يسبب ألماً حاداً ومفاجئاً لأن هذه الأسطح تتطلب حركة "القلب والانبساط" التي أصبحت مؤلمة.
- تيبس وتصلب: شعور بتصلب شديد في مؤخرة القدم، خاصة في الصباح أو بعد فترات من الراحة.
- تورم مزمن: انتفاخ مستمر حول الكاحل الخارجي يزداد سوءاً مع المجهود البدني.
- تغير في شكل القدم: في الحالات المتقدمة، قد يلاحظ المريض تغيراً في استقامة الكعب، حيث يميل الكعب إلى الخارج بشكل غير طبيعي.

التقييم والتشخيص الطبي الدقيق: خطوة لا غنى عنها
التشخيص الخاطئ يؤدي إلى علاج خاطئ. لذلك، يولي الأستاذ الدكتور محمد هطيف اهتماماً بالغاً بمرحلة التشخيص، والتي تتضمن نهجاً متعدد الأبعاد:
الفحص السريري الدقيق
يبدأ التقييم بالاستماع الدقيق لتاريخ المريض الطبي وطبيعة الألم. يقوم الدكتور هطيف بفحص مشية المريض (Gait Analysis)، وتقييم مدى الحركة المتبقية في المفصل تحت الكاحل، وتحديد نقاط الألم بدقة متناهية.
التصوير بالأشعة السينية (X-rays)
تُعد الأشعة السينية أثناء الوقوف (Weight-bearing) الخطوة التصويرية الأولى. تظهر الأشعة بوضوح تضييق المسافة المفصلية، وتكوّن النتوءات العظمية (Osteophytes)، والتشوهات الهيكلية المرافقة.

التصوير المقطعي المحوسب (CT Scan)
نظراً للتشريح المعقد للمفصل تحت الكاحل، يُعد التصوير المقطعي المحوسب الأداة الذهبية لتقييم مدى تلف العظام وتخطيط الجراحة. يوفر الـ CT صوراً ثلاثية الأبعاد تسمح للجراح برؤية التفاصيل الدقيقة للغضروف والعظام تحت الغضروفية، وتحديد حجم الطعم العظمي الذي قد يُحتاج إليه.

الحقن التشخيصي (Diagnostic Injections)
في بعض الحالات المعقدة حيث يكون مصدر الألم غير مؤكد (هل هو من مفصل الكاحل الرئيسي أم المفصل تحت الكاحل؟)، يقوم الدكتور هطيف بحقن مخدر موضعي مباشرة في المفصل تحت الكاحل تحت توجيه الأشعة. إذا اختفى ألم المريض بشكل كبير مؤقتاً، فهذا يؤكد بما لا يدع مجالاً للشك أن المفصل تحت الكاحل هو الجاني الحقيقي.
الخيارات العلاجية: متى نلجأ للجراحة؟
من منطلق الأمانة الطبية التي يلتزم بها الأستاذ الدكتور محمد هطيف، لا يتم اللجوء إلى الجراحة كخيار أول أبداً. يتم دائماً تجربة العلاجات التحفظية (غير الجراحية) أولاً.
جدول مقارنة: العلاج التحفظي مقابل العلاج الجراحي
| وجه المقارنة | العلاج التحفظي (غير الجراحي) | العلاج الجراحي (تثبيت المفصل) |
|---|---|---|
| الهدف الأساسي | تخفيف الأعراض وإدارة الألم مؤقتاً | القضاء النهائي على الألم وتصحيح التشوه |
| الوسائل المستخدمة | الأدوية المضادة للالتهابات (NSAIDs)، الأحذية الطبية المخصصة، الدعامات (Braces)، العلاج الطبيعي، حقن الكورتيزون. | إزالة الغضروف التالف، استخدام الطعوم العظمية، تثبيت العظام بمسامير التيتانيوم لتحفيز الاندماج. |
| الفئة المستهدفة | الحالات الخفيفة إلى المتوسطة، أو المرضى الذين تمنعهم حالتهم الصحية من الخضوع للجراحة. | الحالات الشديدة والمتقدمة التي لم تستجب للعلاج التحفظي لمدة 6 أشهر على الأقل. |
| النتائج المتوقعة | راحة مؤقتة، قد يتطلب الأمر تكرار الحقن أو تغيير الدعامات. المرض يستمر في التقدم. | حل دائم ونهائي للألم. نسبة نجاح الاندماج العظمي تتجاوز 90% مع جراح متمرس. |
| فترة التعافي | لا توجد فترة تعافي محددة، العلاج مستمر. | تتطلب فترة تعافي تتراوح بين 3 إلى 6 أشهر للاندماج العظمي الكامل. |

الدليل الشامل لعملية تثبيت المفصل تحت الكاحل المعزول (خطوة بخطوة)
عندما يصبح الألم لا يُطاق وتفشل العلاجات التحفظية، يتدخل الأستاذ الدكتور محمد هطيف بمهارته الجراحية الفائقة لإجراء عملية التثبيت. إليك تفاصيل هذا الإجراء الدقيق:
1. التخدير والتحضير
يتم إجراء العملية عادة تحت التخدير العام أو التخدير النصفي (الشوكي)، بناءً على تقييم طبيب التخدير وحالة المريض. يتم وضع المريض على جانبه لسهولة الوصول إلى الجزء الخارجي من القدم، وتُعقم المنطقة بالكامل وفقاً لأعلى المعايير العالمية لمنع العدوى.
2. الشق الجراحي (The Incision)
يُجري الدكتور هطيف شقاً جراحياً دقيقاً في الجانب الخارجي للقدم (النهج الجانبي - Lateral Approach)، ماراً فوق منطقة الجيب الرصغي. يتم إبعاد الأنسجة والأوتار والأعصاب بعناية فائقة لحمايتها من أي ضرر.

3. إعداد المفصل وإزالة الغضروف التالف (Joint Preparation)
هذه هي الخطوة الأكثر أهمية وحرجاً في العملية بأكملها. لكي تندمج عظمتان معاً وتصبحا عظمة واحدة، يجب إزالة كل أثر للغضروف المتبقي. يستخدم الدكتور هطيف أدوات جراحية دقيقة (Curettes and Osteotomes) لكشط الغضروف بالكامل حتى يصل إلى العظم الإسفنجي النازف (Bleeding Subchondral Bone). هذا النزيف الدقيق هو الذي يحفز خلايا الجسم على بناء عظم جديد للاندماج.

4. استخدام الطعوم العظمية (Bone Grafting)
لتحفيز وتسريع عملية الاندماج العظمي، خاصة إذا كان هناك فقدان في العظام بسبب الإصابات السابقة، يتم وضع طعم عظمي في الفراغ بين عظم الكاحل وعظم العقب. يمكن أن يكون هذا الطعم مستخلصاً من جسم المريض نفسه (Autograft - غالباً من عظم الحوض أو الساق)، أو طعماً صناعياً، أو خلايا جذعية ومحفزات نمو عظمي.

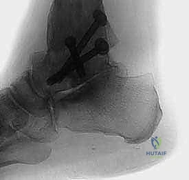
5. التثبيت الميكانيكي (Fixation)
بعد وضع العظام في الزاوية التشريحية الصحيحة تماماً، يتم تثبيتها بقوة لضمان عدم حركتها أثناء فترة الشفاء. يستخدم الدكتور هطيف مسامير ضغط كبيرة من التيتانيوم (Cannulated Screws). يتم إدخال هذه المسامير (عادة مسمارين) عبر عظم الكعب صعوداً إلى عظم الكاحل، وتعمل على ضغط العظمتين معاً بقوة هائلة، مما يوفر بيئة مثالية للاندماج.

6. إغلاق الجرح والجبيرة
بعد التأكد من وضع المسامير بشكل مثالي باستخدام جهاز الأشعة التداخلية (C-arm) داخل غرفة العمليات، يتم إغلاق الشق الجراحي بغرز تجميلية، وتوضع القدم في جبيرة خلفية مبطنة جيداً للحماية.
التقنيات الحديثة في الجراحة مع الأستاذ الدكتور محمد هطيف
لا يتوقف الطب عن التطور، وكذلك الأستاذ الدكتور محمد هطيف. في بعض الحالات المختارة، يطبق الدكتور هطيف تقنيات "الجراحة طفيفة التوغل" (Minimally Invasive Surgery - MIS) أو التثبيت بمساعدة المنظار (Arthroscopic-Assisted Arthrodesis).
تسمح هذه التقنيات بإجراء العملية عبر شقوق صغيرة جداً، مما يقلل من تضرر الأنسجة الرخوة، ويحافظ على التروية الدموية الطبيعية للعظام، ويقلل من الألم بعد العملية، ويسرع من عملية التشافي بشكل ملحوظ.

رحلة التعافي وإعادة التأهيل: الصبر مفتاح الشفاء
نجاح عملية تثبيت المفصل تحت الكاحل يعتمد بنسبة 50% على مهارة الجراح، و50% على التزام المريض الصارم ببرنامج التعافي. الاندماج العظمي يحتاج إلى وقت، ولا يمكن استعجاله.
جدول زمني لمراحل التعافي وإعادة التأهيل
| المرحلة الزمنية | التوجيهات الطبية وحالة التحميل (Weight-bearing) | أهداف العلاج الطبيعي |
|---|---|---|
| الأسابيع 0 - 2 (مرحلة الالتئام المبكر) | ممنوع تحميل الوزن تماماً (Non-weight bearing). استخدام العكازات أو الكرسي المتحرك. القدم في جبيرة خلفية. يجب رفع القدم فوق مستوى القلب لتقليل التورم. | لا يوجد علاج طبيعي للقدم المريضة. التركيز على تمارين تقوية الجزء العلوي من الجسم والساق السليمة. |
| الأسابيع 2 - 6 (مرحلة الحماية) | إزالة الغرز الطبية. استبدال الجبيرة بحذاء طبي واقٍ (CAM Boot). لا يزال تحميل الوزن ممنوعاً. | البدء بتمارين خفيفة جداً لتحريك أصابع القدم والركبة لمنع التيبس. |
| الأسابيع 6 - 12 (مرحلة التحميل التدريجي) | يتم إجراء أشعة سينية للتأكد من بدء الاندماج العظمي. إذا كان الاندماج جيداً، يُسمح بالتحميل الجزئي للوزن (Partial weight-bearing) باستخدام الحذاء الطبي الواقي، مع التدرج حتى التحميل الكامل. | بدء جلسات العلاج الطبيعي لتقوية عضلات الساق (السمانة) واستعادة حركة مفصل الكاحل الرئيسي (الأعلى والأسفل). |
| الأشهر 3 - 6 (مرحلة العودة للحياة الطبيعية) | التخلي عن الحذاء الطبي والعودة لارتداء الأحذية الرياضية الداعمة. تحميل وزن كامل. | تمارين التوازن (Proprioception)، وتمارين المقاومة المتقدمة، والعودة التدريجية للأنشطة اليومية والمشي لفترات أطول. |

المضاعفات المحتملة وكيفية الوقاية منها
رغم أن عملية تثبيت المفصل تحت الكاحل تُعد آمنة وذات نسب نجاح عالية جداً بين يدي جراح خبير مثل الأستاذ الدكتور محمد هطيف، إلا أن أي تدخل جراحي يحمل بعض المخاطر المحتملة التي يجب أن يكون المريض على دراية بها:
- عدم الاندماج العظمي (Non-union / Pseudoarthrosis): وهو الخطر الأكبر، حيث تفشل العظام في الالتحام معاً. التدخين هو العدو الأول للاندماج العظمي. يشدد الدكتور هطيف بشكل قاطع على ضرورة التوقف عن التدخين بجميع أنواعه (سجائر
آلام العظام والمفاصل وتقييد حركتها ليس قدراً محتوماً! التشخيص الدقيق والعلاج المتخصص يمكن أن يعيد لك كامل وظيفتك وحريتك في الحركة. لا تدع الألم يسيطر على حياتك.
للحصول على استشارة دقيقة وخطة علاجية مخصصة لحالتك، تواصل فوراً مع مركز الأستاذ الدكتور محمد هطيف:
الأستاذ الدكتور محمد هطيف - أفضل دكتور عظام في صنعاء، وخبير في جراحات العظام والمفاصل والعمود الفقري.. نلتزم بإعادتك لحياة خالية من الألم وحركة طبيعية.
مواضيع أخرى قد تهمك