تثبيت مفصل الرسغ الجزئي: حلول متقدمة لتخفيف الألم والحفاظ على الحركة مع الأستاذ الدكتور محمد هطيف

الخلاصة الطبية
تثبيت مفصل الرسغ الجزئي هو إجراء جراحي متقدم يهدف إلى تخفيف الألم المزمن في الرسغ الناتج عن التهاب المفاصل أو عدم الاستقرار، مع الحفاظ على أكبر قدر ممكن من حركة الرسغ الطبيعية. يتم علاج الحالة عن طريق دمج عظام معينة في الرسغ، مثل دمج الزوايا الأربع أو دمج STT، لإعادة الاستقرار والوظيفة.
الخلاصة الطبية السريعة: يُعد تثبيت مفصل الرسغ الجزئي (Limited Wrist Arthrodesis) من الإجراءات الجراحية الدقيقة والمتقدمة في جراحة العظام، ويهدف بشكل أساسي إلى إنقاذ وظيفة اليد وتخفيف الألم المزمن والمبرح الناتج عن التهاب المفاصل التنكسي أو الروماتويدي، أو عدم الاستقرار الميكانيكي في الرسغ. تعتمد فكرة هذه الجراحة على دمج (صهر) عظام محددة داخل الرسغ (مثل دمج الزوايا الأربع أو دمج المفصل الزورقي المربعي المنحرف STT) لمنع الاحتكاك المؤلم، مع الحفاظ الاستراتيجي على المفاصل السليمة لضمان بقاء نطاق وظيفي ممتاز من حركة الرسغ. تحت إشراف الأستاذ الدكتور محمد هطيف، رائد جراحات العظام والمفاصل الدقيقة في اليمن، يتم تنفيذ هذا الإجراء بأحدث التقنيات لضمان عودة المرضى إلى حياتهم الطبيعية والمهنية بكفاءة وبدون ألم.

مقدمة شاملة: تحديات آلام الرسغ والحلول الجراحية المتقدمة
يُعد مفصل الرسغ تحفة هندسية بيولوجية، فهو أحد أكثر المفاصل تعقيدًا وديناميكية في جسم الإنسان. يتكون من شبكة معقدة من العظام الصغيرة والأربطة الدقيقة التي تعمل بتناغم مذهل لتوفير نطاق واسع من الحركة، المرونة، والقوة اللازمة لأداء كل شيء؛ بدءًا من الحركات الدقيقة كالكتابة وإمساك الإبرة، وصولاً إلى المهام الشاقة كحمل الأوزان واستخدام الأدوات الثقيلة.
ومع ذلك، فإن هذا التعقيد يجعله عرضة بشكل كبير للإصابات والأمراض التنكسية. يمكن أن تؤدي الكسور القديمة غير الملتئمة، وتمزقات الأربطة المهملة، أو أمراض مثل التهاب المفاصل الروماتويدي، إلى تآكل الغضاريف الناعمة التي تبطن نهايات العظام. عندما تتآكل هذه الغضاريف، تحتك العظام ببعضها البعض مباشرة، مما يولد آلامًا مزمنة، وتورمًا، وتيبسًا، وضعفًا شديدًا في قبضة اليد، وهو ما يؤثر بشكل كارثي على جودة حياة المريض وقدرته على الاستقلالية.
في المراحل المتقدمة من هذه الحالات، عندما تفشل العلاجات التحفظية في توفير الراحة، يبرز "تثبيت مفصل الرسغ الجزئي" كحل جراحي ذهبي. على عكس جراحات التثبيت الكلي التي تلغي حركة الرسغ تمامًا، فإن التثبيت الجزئي هو فن جراحي دقيق يهدف إلى استئصال أو دمج الأجزاء التالفة فقط، مع الحفاظ على الأجزاء السليمة لتعمل كآلية مفصلية جديدة.

يبرز هنا اسم الأستاذ الدكتور محمد هطيف، أستاذ جراحة العظام والمفاصل بجامعة صنعاء، كواحد من أبرز الخبراء والجراحين في هذا المجال الدقيق على مستوى اليمن والمنطقة. بخبرة تمتد لأكثر من 20 عامًا، واستخدام أحدث تقنيات الجراحة الميكروسكوبية ومناظير المفاصل 4K، يقدم الدكتور هطيف حلولاً جراحية مخصصة لكل مريض، معتمدًا على مبدأ "الأمانة الطبية" في اختيار الإجراء الأنسب الذي يضمن أعلى نسب النجاح وأقل المضاعفات، ليعيد لمرضاه الأمل في حياة خالية من الألم.

التشريح المعقد لمفصل الرسغ: فهم الأساس البيولوجي
لفهم عبقرية عملية تثبيت الرسغ الجزئي، يجب أولاً الغوص في التفاصيل التشريحية لهذا المفصل المعقد. الرسغ ليس مجرد مفصل واحد يربط الساعد باليد، بل هو "مُجمّع مفصلي" يتكون من ثماني عظام صغيرة تُعرف باسم "عظام الرسغ" (Carpal Bones)، بالإضافة إلى نهايات عظمي الساعد (الكعبرة والزند) وقواعد عظام مشط اليد.
تترتب عظام الرسغ الثمانية في صفين رئيسيين، تفصل بينهما مفاصل معقدة وتدعمهما شبكة قوية من الأربطة:
1. الصف القريب (Proximal Row)
وهو الصف الأقرب إلى الساعد، ويلعب دوراً حاسماً في نقل القوة من اليد إلى الساعد. يتكون من:
* العظم الزورقي (Scaphoid): أهم عظمة في الرسغ، تعمل كجسر يربط بين الصفين القريب والبعيد. وهي العظمة الأكثر عرضة للكسر، وعدم التئامها هو السبب الرئيسي للحاجة إلى جراحات الرسغ المتقدمة.
* العظم الهلالي (Lunate): العظمة المركزية في الصف القريب، وهي عرضة لمرض "كينبوك" (Kienböck's disease) الذي يسبب موت نسيج العظم بسبب نقص التروية الدموية.
* العظم المثلثي (Triquetrum): يقع في الجانب الزندي (جهة الخنصر) ويساهم في استقرار الرسغ.
* العظم الحمصي/البسيفورمي (Pisiform): عظمة صغيرة تعمل كنقطة ارتكاز للأوتار.
2. الصف البعيد (Distal Row)
وهو الصف الأقرب إلى الأصابع، ويتفاعل مباشرة مع عظام مشط اليد. يتكون من:
* العظم المربعي (Trapezium): يتمفصل مع إبهام اليد ويوفر له حرية الحركة الفريدة.
* العظم شبه المنحرف (Trapezoid): يدعم عظمة المشط الثانية (السبابة).
* العظم الكبير (Capitate): أكبر عظام الرسغ، ويقع في المركز، وهو المحور الذي تدور حوله حركات الرسغ.
* العظم الكلابي (Hamate): يتميز ببروز يشبه الخطاف، ويدعم الأصابع الخارجية.
في حالة صحية، تنزلق هذه العظام فوق بعضها البعض بسلاسة تامة بفضل الغضاريف المفصلية والسائل الزليلي. ولكن عندما يحدث خلل في الأربطة (مثل تمزق الرباط الزورقي الهلالي) أو كسر غير ملتئم في العظم الزورقي، تنهار هذه المنظومة الديناميكية، مما يؤدي إلى احتكاك غير طبيعي وتدمير تدريجي للمفصل.


ما هو تثبيت مفصل الرسغ الجزئي؟ المفهوم والآلية
تثبيت مفصل الرسغ الجزئي (Limited Wrist Arthrodesis) هو تدخل جراحي ذكي يعتمد على مبدأ التضحية بجزء صغير من الحركة من أجل القضاء على الألم تماماً وإنقاذ ما تبقى من وظيفة اليد.
يتم الإجراء عن طريق إزالة الغضاريف التالفة بين عظام معينة في الرسغ (عادةً تلك التي تعاني من أقصى درجات الاحتكاك والتهاب المفاصل)، ثم وضع طعوم عظمية بينها وتثبيتها باستخدام مسامير أو شرائح معدنية دقيقة. بمرور الوقت، ينمو العظم الجديد ليلحم هذه العظام معاً لتصبح كتلة عظمية واحدة صلبة (Fusion).
السر في نجاح هذه العملية هو "الانتقائية". فالجراح الخبير، مثل الأستاذ الدكتور محمد هطيف، لا يقوم بتثبيت الرسغ بالكامل، بل يترك المفاصل التي لا تزال غضاريفها سليمة حرة لتتحرك. هذا يسمح للمريض بالاحتفاظ بحوالي 50% إلى 60% من نطاق حركة الرسغ الطبيعي، وهي نسبة كافية جداً لأداء معظم الأنشطة اليومية (مثل القيادة، استخدام الكمبيوتر، تناول الطعام، والعناية الشخصية) بكل راحة وبدون أي ألم.
مقارنة تفصيلية: التثبيت الجزئي مقابل التثبيت الكلي للرسغ
لفهم أهمية هذا الإجراء، من الضروري مقارنته بعملية التثبيت الكلي للرسغ، والتي تعتبر الملاذ الأخير. يوضح الجدول التالي الفروق الجوهرية:
| وجه المقارنة | تثبيت مفصل الرسغ الجزئي (Limited Arthrodesis) | تثبيت مفصل الرسغ الكلي (Total Arthrodesis) |
|---|---|---|
| الهدف الأساسي | تخفيف الألم مع الحفاظ على أكبر قدر من الحركة. | القضاء التام على الألم مع التضحية الكاملة بحركة الرسغ. |
| الآلية الجراحية | دمج عدد محدود من عظام الرسغ (مثل 3 أو 4 عظام). | دمج جميع عظام الرسغ مع عظمة الكعبرة وعظام المشط. |
| نطاق الحركة بعد الجراحة | يحتفظ المريض بحوالي 50-60% من حركة الثني والمد والانحراف. | فقدان كامل (0%) لحركة الرسغ (الرسغ يصبح صلباً تماماً). حركة الأصابع تبقى طبيعية. |
| قوة القبضة | تتحسن بشكل كبير وتعود قريبة من الطبيعي لغياب الألم. | ممتازة وقوية جداً (مثالية للعمال اليدويين الشاقين). |
| الحالات المستهدفة (الاستطبابات) | التهاب مفاصل موضعي، انهيار متقدم للرسغ (SLAC/SNAC)، مرض كينبوك. | التهاب مفاصل روماتويدي شامل، دمار كامل للرسغ، شلل الأعصاب، فشل التثبيت الجزئي. |
| مستوى التعقيد الجراحي | عملية دقيقة جداً تتطلب مهارة عالية لضمان التوازن الميكانيكي الحيوي. | عملية كبرى، قوية، ومباشرة. |
| التعافي والتأهيل | يتطلب علاجاً طبيعياً مكثفاً لاستعادة الحركة في المفاصل المتبقية. | التركيز على تقوية الأصابع والتكيف مع الرسغ الثابت. |
يؤكد الدكتور محمد هطيف دائمًا لمرضاه أن القرار بين الإجراءين يعتمد على تقييم دقيق وشامل لنمط حياة المريض، مهنته، ومستوى التلف في مفصل الرسغ، لضمان تقديم العلاج الذي يوفر أفضل جودة حياة ممكنة.


الأسباب وعوامل الخطر: متى يكون التثبيت الجزئي ضرورياً؟
لا يحدث التهاب مفاصل الرسغ الذي يتطلب تدخلاً جراحياً متقدماً بين عشية وضحاها. إنها عادة عملية تدريجية تنتج عن حالات محددة تؤدي إلى تغيير الميكانيكا الحيوية للرسغ. الأسباب الأكثر شيوعاً التي يعالجها الدكتور محمد هطيف في عيادته في صنعاء تشمل:
1. الانهيار المتقدم للرسغ بسبب إصابة الرباط الزورقي الهلالي (SLAC Wrist)
يُعد (Scapholunate Advanced Collapse) السبب الأكثر شيوعاً لالتهاب مفاصل الرسغ. يبدأ الأمر بتمزق في الرباط الذي يربط بين العظم الزورقي والعظم الهلالي (غالباً بسبب السقوط على يد ممدودة). إذا لم يُعالج هذا التمزق، تبتعد العظمتان عن بعضهما، مما يغير طريقة توزيع الضغط في الرسغ. بمرور السنوات، يؤدي هذا الاحتكاك غير الطبيعي إلى تآكل الغضاريف بشكل تسلسلي ومحدد سلفاً، مما يسبب ألماً مبرحاً.
2. الانهيار المتقدم بسبب عدم التئام العظم الزورقي (SNAC Wrist)
حالة (Scaphoid Nonunion Advanced Collapse) تشبه إلى حد كبير حالة SLAC، ولكن السبب هنا ليس تمزق الرباط، بل كسر في العظم الزورقي لم يلتئم بشكل صحيح. العظم الزورقي المكسور يفقد قدرته على دعم الرسغ، مما يؤدي إلى انهيار تدريجي واحتكاك مدمر بين شظايا العظم المكسور والعظام المحيطة به، خاصة عظمة الكعبرة.

3. مرض كينبوك (Kienböck's Disease)
هو حالة نادرة ولكنها خطيرة، تنطوي على انقطاع التروية الدموية عن "العظم الهلالي" (Lunate) في مركز الرسغ. بدون دم، يموت العظم (تنخر انعدام الدم - Avascular Necrosis) ويبدأ في الانهيار والتفتت. في المراحل المتقدمة من المرض، عندما يتشوه العظم الهلالي تماماً وتتأثر المفاصل المجاورة، يكون التثبيت الجزئي للرسغ هو الحل الأمثل لإنقاذ الوظيفة وتخفيف الألم.
4. التهاب المفاصل الروماتويدي (Rheumatoid Arthritis)
مرض مناعي ذاتي يهاجم بطانة المفاصل، مما يؤدي إلى تدمير الغضاريف والعظام وتشوه المفصل. في حين أن التثبيت الكلي للرسغ كان هو المعيار الذهبي لمرضى الروماتويد في الماضي، فإن التقنيات الحديثة التي يطبقها الدكتور هطيف تسمح بإجراء تثبيت جزئي في بعض الحالات المختارة، مما يمنح هؤلاء المرضى جودة حياة أفضل مع الحفاظ على بعض الحركة.
5. الكسور والإصابات الرضية الشديدة (Post-Traumatic Arthritis)
الكسور المعقدة داخل المفصل (Intra-articular fractures)، خاصة في النهاية السفلية لعظمة الكعبرة، والتي تلتئم بوضعية غير متطابقة، تؤدي إلى درجات متفاوتة من التهاب المفاصل المبكر بسبب عدم استواء الأسطح المفصلية.

الأعراض والتشخيص الدقيق: نهج الأستاذ الدكتور محمد هطيف
المرضى الذين يحتاجون إلى تثبيت مفصل الرسغ الجزئي عادة ما يعانون من تاريخ طويل من المعاناة. تشمل الأعراض السريرية التي تستدعي زيارة عيادة الدكتور هطيف ما يلي:
- ألم مزمن وعميق في الرسغ: يزداد سوءاً مع النشاط، خاصة الحركات التي تتطلب قوة أو التواء (مثل فتح برطمان، عصر الملابس، أو رفع الأشياء الثقيلة).
- ضعف ملحوظ في قوة القبضة: يجد المريض صعوبة في الإمساك بالأشياء بقوة بسبب الألم المانع للجهد.
- تيبس المفصل: خاصة في الصباح أو بعد فترات من عدم النشاط، مع انخفاض تدريجي في نطاق الحركة.
- تورم موضعي: خاصة في الجزء الخلفي (الظهري) من الرسغ.
- أصوات طقطقة أو فرقعة (Crepitus): تُسمع وتُحس عند تحريك الرسغ، ناتجة عن احتكاك العظام العارية ببعضها البعض.
بروتوكول التشخيص المتقدم
يؤمن الأستاذ الدكتور محمد هطيف بأن "التشخيص الدقيق هو نصف العلاج". لذلك، يتبع بروتوكولاً تشخيصياً صارماً يشمل:
- الفحص السريري الدقيق: تقييم نطاق الحركة، قياس قوة القبضة باستخدام أجهزة متخصصة، وإجراء اختبارات استفزازية مثل "اختبار واتسون" (Watson Test) لتقييم عدم استقرار العظم الزورقي.
- التصوير بالأشعة السينية (X-rays): وهي الخطوة الأساسية لتقييم بنية العظام، تآكل الغضاريف (تضيق المسافة المفصلية)، وجود نتوءات عظمية (Osteophytes)، وتحديد مرحلة انهيار الرسغ (SLAC/SNAC stages).
- التصوير المقطعي المحوسب (CT Scan): يوفر صوراً ثلاثية الأبعاد للعظام، وهو ضروري جداً للتخطيط الجراحي الدقيق وتحديد جودة العظام المتاحة للدمج.
- التصوير بالرنين المغناطيسي (MRI): يُستخدم لتقييم حالة الأربطة، الأوتار، والأهم من ذلك، تقييم التروية الدموية للعظام (خاصة في مرض كينبوك).


خيارات العلاج: التحفظي مقابل الجراحي
قبل اللجوء إلى المشرط، يحرص الدكتور محمد هطيف، التزاماً بأمانته الطبية، على استنفاد كافة الخيارات التحفظية (غير الجراحية) الممكنة، خاصة في المراحل المبكرة من المرض.
جدول مقارنة: العلاج التحفظي مقابل التدخل الجراحي
| الخيار العلاجي | الإجراءات المتبعة | المزايا | العيوب والقيود | متى يُنصح به؟ |
|---|---|---|---|---|
| العلاج التحفظي (غير الجراحي) | - تعديل النشاط وتجنب الإجهاد. - استخدام جبائر الرسغ (Splinting) لتقييد الحركة. - الأدوية المضادة للالتهابات (NSAIDs). - حقن الكورتيزون الموضعية. - العلاج الطبيعي. |
- لا توجد مخاطر جراحية. - تكلفة أقل. - قد يوفر راحة مؤقتة جيدة. |
- لا يعالج السبب الجذري (تآكل الغضاريف). - تأثير مؤقت (الألم يعود غالباً). - الجبائر قد تعيق الأنشطة اليومية. |
المراحل المبكرة جداً من التهاب المفاصل، أو للمرضى الذين لا تسمح حالتهم الصحية العامة بإجراء جراحة. |
| العلاج الجراحي (تثبيت الرسغ الجزئي) | - استئصال الغضاريف التالفة. - دمج العظام المتضررة باستخدام طعوم عظمية ومثبتات معدنية. - الحفاظ على المفاصل السليمة. |
- حل دائم وجذري للألم. - تحسين قوة القبضة بشكل دائم. - الحفاظ على حركة وظيفية كافية. - التخلص من الحاجة للجبائر والأدوية. |
- يتطلب فترة تعافي وتأهيل (عدة أشهر). - فقدان جزء من نطاق الحركة الطبيعي. - مخاطر الجراحة العامة (التهاب، عدم التئام). |
المراحل المتقدمة (SLAC/SNAC)، ألم شديد يؤثر على جودة الحياة، فشل العلاجات التحفظية لمدة تزيد عن 6 أشهر. |
أنواع عمليات تثبيت مفصل الرسغ الجزئي
بناءً على التقييم الدقيق، يختار الدكتور محمد هطيف نوع التثبيت الجزئي الأنسب تشريحياً لحالة المريض. هناك عدة تقنيات، أبرزها:
1. دمج الزوايا الأربع (Four-Corner Fusion)
هي العملية الأكثر شيوعاً وشهرة في حالات الانهيار المتقدم (SLAC/SNAC).
* الآلية: يتم استئصال "العظم الزورقي" (Scaphoid) بالكامل لأنه يكون غالباً مصدر المشكلة والألم. بعد ذلك، يتم دمج العظام الأربعة المتبقية في المركز معاً: العظم الهلالي (Lunate)، العظم الكبير (Capitate)، العظم الكلابي (Hamate)، والعظم المثلثي (Triquetrum).
* النتيجة: يتم نقل الحمل الميكانيكي للرسغ من الجانب الزورقي المريض إلى الجانب الهلالي السليم، مما يلغي الألم مع الحفاظ على حركة جيدة للرسغ من خلال المفصل الكعبري الهلالي (Radiolunate joint).

2. دمج المفصل الزورقي المربعي المنحرف (STT Fusion)
تُستخدم هذه التقنية عندما يكون التهاب المفاصل مقتصراً على المفصل بين العظم الزورقي (Scaphoid) والعظم المربعي (Trapezium) والعظم شبه المنحرف (Trapezoid).
* الآلية: يتم دمج هذه العظام الثلاثة فقط.
* النتيجة: يمنع هذا الدمج الانهيار المستقبلي للرسغ ويوفر راحة ممتازة من الألم، مع الحفاظ على حركة واسعة نسبياً. يتطلب هذا الإجراء مهارة عالية لضمان تثبيت العظم الزورقي بالزاوية التشريحية الصحيحة تماماً.

3. دمج المفصل الكعبري الهلالي (Radiolunate Fusion)
يُستخدم هذا الإجراء غالباً في مرضى التهاب المفاصل الروماتويدي حيث يكون المفصل بين عظمة الكعبرة والعظم الهلالي هو الأكثر تضرراً، بينما تكون المفاصل المركزية للرسغ سليمة. يتم دمج الكعبرة مع العظم الهلالي لتوفير قاعدة صلبة، وتتم الحركة من خلال المفاصل المتبقية في منتصف الرسغ.
(ملاحظة طبية: كبديل للتثبيت الجزئي، قد يلجأ الدكتور هطيف في بعض الحالات إلى عملية "استئصال الصف القريب من عظام الرسغ - Proximal Row Carpectomy (PRC)"، وهي جراحة يتم فيها إزالة العظم الزورقي والهلالي والمثلثي دون دمج العظام المتبقية، مما يحافظ على حركة جيدة ولكن يتطلب شروطاً تشريحية معينة لنجاحه).
خطوات العملية الجراحية بالتفصيل: دقة متناهية وتكنولوجيا متقدمة
إن إجراء عملية تثبيت مفصل الرسغ الجزئي ليس مجرد جراحة عظام تقليدية، بل هو أقرب إلى هندسة دقيقة تتطلب مهارة استثنائية. يستعين الأستاذ الدكتور محمد هطيف بأحدث التقنيات، بما في ذلك الجراحة الميكروسكوبية واستخدام مناظير المفاصل 4K في بعض الخطوات، لضمان أعلى مستويات الدقة.
الخطوة 1: التحضير والتخدير
تُجرى العملية عادة تحت التخدير الموضعي للذراع (Block Anesthesia) أو التخدير العام. يتم وضع عاصبة (Tourniquet) على الذراع لمنع تدفق الدم مؤقتاً، مما يوفر للجراح رؤية واضحة تماماً وخالية من النزيف (Bloodless field).
الخطوة 2: الشق الجراحي والوصول للمفصل
يقوم الدكتور هطيف بعمل شق جراحي دقيق في الجزء الخلفي (الظهري) من الرسغ. يتم إبعاد الأوتار الباسطة للأصابع بحذر شديد لحمايتها، ثم يتم فتح الكبسولة المفصلية للوصول إلى عظام الرسغ المتضررة.

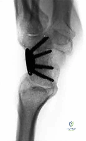
الخطوة 3: استئصال العظام والغضاريف التالفة
في حالة دمج الزوايا الأربع، يتم استئصال العظم الزورقي بالكامل. بعد ذلك، تأتي الخطوة الأكثر أهمية وهي "إزالة القشرة المفصلية" (Decortication). باستخدام أدوات دقيقة جداً، يتم تقشير الغضاريف التالفة من الأسطح التي سيتم دمجها (العظم الهلالي، الكبير، الكلابي، والمثلثي) وصولاً إلى العظم الإسفنجي النازف الذي يحتوي على الخلايا الجذعية وعوامل النمو الضرورية للالتئام.
![إزالة الغضاريف التالفة وتحضير العظام للدمج](/media/hutaif_opertive/hutaif-
آلام العظام والمفاصل وتقييد حركتها ليس قدراً محتوماً! التشخيص الدقيق والعلاج المتخصص يمكن أن يعيد لك كامل وظيفتك وحريتك في الحركة. لا تدع الألم يسيطر على حياتك.
للحصول على استشارة دقيقة وخطة علاجية مخصصة لحالتك، تواصل فوراً مع مركز الأستاذ الدكتور محمد هطيف:
الأستاذ الدكتور محمد هطيف - أفضل دكتور عظام في صنعاء، وخبير في جراحات العظام والمفاصل والعمود الفقري.. نلتزم بإعادتك لحياة خالية من الألم وحركة طبيعية.
مواضيع أخرى قد تهمك