استئصال أورام اليد الوعائية: دليل شامل للمرضى مع الأستاذ الدكتور محمد هطيف

الخلاصة الطبية
أورام اليد الوعائية هي نمو غير طبيعي للأوعية الدموية يؤثر على وظيفة اليد. يشمل العلاج استئصالًا جراحيًا دقيقًا للحفاظ على الأنسجة الحيوية، ويقدم الأستاذ الدكتور محمد هطيف في صنعاء خبرة متقدمة في تشخيص وعلاج هذه الحالات المعقدة لضمان أفضل النتائج للمرضى.
الخلاصة الطبية السريعة: أورام اليد الوعائية هي نمو غير طبيعي للأوعية الدموية يؤثر بشكل مباشر وعميق على وظيفة وحركة اليد. يشمل العلاج الأمثل استئصالًا جراحيًا دقيقًا باستخدام تقنيات الجراحة الميكروسكوبية للحفاظ على الأنسجة الحيوية والأعصاب الدقيقة. يقدم الأستاذ الدكتور محمد هطيف، أستاذ جراحة العظام والمفاصل بجامعة صنعاء، خبرة تمتد لأكثر من 20 عاماً في تشخيص وعلاج هذه الحالات المعقدة، معتمداً على أحدث التقنيات الطبية لضمان أفضل النتائج الوظيفية والتجميلية للمرضى في اليمن، مع الالتزام التام بالأمانة الطبية والمصداقية.


مقدمة شاملة عن أورام اليد الوعائية وتعقيداتها
تُعد اليد من أكثر أجزاء الجسم البشري تعقيدًا وحيوية؛ فهي الأداة التي نتواصل بها، ونعمل، ونؤدي بها أدق مهام حياتنا اليومية بمهارة لا مثيل لها. تحتوي اليد على شبكة هائلة ومعقدة من الأعصاب، والأوتار، والعظام، والأهم من ذلك: الأوعية الدموية. ولكن عندما تصاب هذه الشبكة الدموية بآفة مثل "الأورام الوعائية"، يمكن أن تتأثر هذه الوظائف الحيوية بشكل كبير ومقلق للمريض، مما يهدد استقلاليته وقدرته على أداء مهامه.
إن أورام اليد الوعائية (Vascular Tumors of the Hand) ليست مجرد "كتل" عادية تظهر تحت الجلد؛ بل هي مجموعة واسعة ومعقدة من الحالات التي تنشأ مباشرة من الأوعية الدموية سواء كانت شرايين، أوردة، أو شعيرات دموية. تتراوح هذه الآفات من الأورام الحميدة البسيطة التي قد تختفي من تلقاء نفسها في بعض مراحل الطفولة، إلى التشوهات الوعائية المعقدة والعدوانية التي تتمدد وتدمر الأنسجة المحيطة، وتتطلب تدخلًا جراحيًا دقيقًا وعالي المستوى.

في هذا الدليل الطبي الشامل والموسع، سنأخذك في رحلة معرفية عميقة لاستكشاف كل ما يخص أورام اليد الوعائية. سنستعرض بالتفصيل الممل أنواعها، أسبابها الجينية والمكتسبة، طرق التشخيص الدقيق باستخدام أحدث تقنيات التصوير، وصولًا إلى الخطوات الجراحية المتقدمة وبرامج التأهيل. هذا الدليل تم إعداده ليكون المرجع الأول باللغة العربية، تحت إشراف وتوجيه الأستاذ الدكتور محمد هطيف، أحد أبرز وأمهر خبراء جراحة العظام واليد الميكروسكوبية في صنعاء واليمن.
إن فهم الفروق الدقيقة لهذه الآفات أمر بالغ الأهمية لتحقيق نتائج علاجية ناجحة، والأهم من ذلك، الحفاظ على الوظيفة المعقدة لليد.


التشريح الدقيق لليد: لماذا تعتبر أورام اليد الوعائية خطيرة؟
لفهم خطورة وتعقيد أورام اليد الوعائية، يجب أولاً أن نفهم التشريح المعقد لليد. اليد مساحة جغرافية صغيرة جداً في الجسم، لكنها تزدحم بهياكل حيوية لا حصر لها. التروية الدموية لليد تأتي بشكل أساسي عبر الشريانين الكعبري (Radial Artery) والزندي (Ulnar Artery)، اللذين يتحدان في راحة اليد لتكوين الأقواس الراحية (Palmar Arches)، ومنها تتفرع الشرايين الدقيقة لتغذي الأصابع.
عندما ينمو ورم وعائي في هذه المساحة الضيقة، فإنه لا يجد مساحة كافية للتمدد دون أن يضغط على الهياكل المجاورة. هذا الضغط يؤدي إلى:
* انضغاط الأعصاب المحيطية: مما يسبب ألماً شديداً، تنميلاً، أو حتى فقداناً للإحساس.
* إعاقة حركة الأوتار: مما يحد من قدرة المريض على ثني أو فرد أصابعه.
* تآكل العظام: في الحالات المتقدمة والعدوانية، قد يضغط الورم على العظام مسبباً ضعفها أو تشوهها.


تصنيف أورام اليد الوعائية: فهم الفروق الدقيقة
يخطئ الكثيرون في إطلاق مصطلح "ورم وعائي" على أي كتلة دموية، ولكن في المجال الطبي الدقيق الذي يطبقه الأستاذ الدكتور محمد هطيف، يتم تصنيف هذه الآفات بناءً على الجمعية الدولية لدراسة التشوهات الوعائية (ISSVA) إلى فئتين رئيسيتين:
1. الأورام الوعائية الحقيقية (Vascular Tumors)
هي أورام تتميز بتكاثر سريع للخلايا المبطنة للأوعية الدموية (Endothelial cells). أشهر أنواعها:
* الورم الوعائي الدموي الطفلي (Infantile Hemangioma): يظهر عادة في الأسابيع الأولى بعد الولادة، ينمو بسرعة ثم يبدأ في التراجع التدريجي.
* الورم الوعائي الخلقي (Congenital Hemangioma): يكون مكتمل النمو عند الولادة ولا ينمو بعدها.
* الورم الحبيبي المقيح (Pyogenic Granuloma): ورم حميد ينمو بسرعة وعادة ما ينزف بسهولة، غالباً ما يظهر بعد إصابة طفيفة.
2. التشوهات الوعائية (Vascular Malformations)
على عكس الأورام، هذه التشوهات لا تنمو بسبب تكاثر الخلايا، بل هي أخطاء في تكوين الأوعية الدموية خلال المرحلة الجنينية. وتكبر مع نمو المريض. تشمل:
* التشوهات الوريدية (Venous Malformations): وهي الأكثر شيوعاً في اليد، تبدو ككتل زرقاء لينة وتنتفخ عند تدلي اليد.
* التشوهات الشريانية الوريدية (AVMs): وهي الأخطر والأكثر تعقيداً، حيث يوجد اتصال مباشر غير طبيعي بين الشرايين والأوردة دون المرور بالشعيرات الدموية.
* التشوهات اللمفاوية (Lymphatic Malformations): وتؤثر على الأوعية اللمفاوية وتسبب تورماً مزمناً.


الأسباب وعوامل الخطر: لماذا تظهر هذه الأورام؟
رغم التقدم الطبي الهائل، لا تزال الأسباب الدقيقة لظهور العديد من أورام اليد الوعائية قيد البحث، ولكن الأستاذ الدكتور محمد هطيف يوضح لمرضاه دائماً أن هناك عوامل أساسية تساهم في ظهورها:
- الطفرات الجينية: أثبتت الدراسات الحديثة أن العديد من التشوهات الوعائية ناتجة عن طفرات جينية موضعية تحدث أثناء تطور الجنين في الرحم (مثل طفرات TIE2 في التشوهات الوريدية).
- التغيرات الهرمونية: بعض الأورام الوعائية، مثل الأورام الحبيبية المقيحة، قد تزداد سوءاً أو تظهر خلال فترات التغير الهرموني مثل الحمل أو البلوغ.
- الصدمات والإصابات (Trauma): قد يكون الرض الخفيف أو الإصابة المباشرة لليد محفزاً لظهور أو تفاقم بعض الآفات الوعائية الكامنة.
- العوامل البيئية: رغم ندرتها، إلا أن بعض العوامل البيئية أثناء الحمل قد تزيد من احتمالية ظهور الأورام الوعائية الطفيلية.


الأعراض السريرية: متى يجب عليك زيارة الطبيب؟
تختلف الأعراض بشكل جذري بناءً على نوع الورم الوعائي وحجمه وموقعه الدقيق في اليد. إذا لاحظت أياً من الأعراض التالية، فإن استشارة خبير مثل الأستاذ الدكتور محمد هطيف تعتبر خطوة حاسمة:
- كتلة مرئية أو محسوسة: ظهور تورم أو كتلة تحت الجلد، قد يتغير حجمها مع المجهود أو عند تغيير وضعية اليد (تتدلى للأسفل).
- تغير في لون الجلد: قد يظهر الجلد فوق الورم بلون أحمر قرمزي، أزرق داكن، أو بنفسجي.
- الألم المزمن أو الحاد: خاصة إذا كان الورم يضغط على عصب، أو إذا حدثت جلطة دموية صغيرة داخل التشوه الوريدي (Phleboliths).
- النبض المسموع أو المحسوس: في حالات التشوهات الشريانية الوريدية (AVMs)، قد يشعر المريض بنبض قوي في مكان الكتلة، وتكون دافئة عند اللمس.
- النزيف المتكرر: بعض الأورام السطحية قد تنزف بغزارة عند تعرضها لخدش بسيط.
- ضعف في وظيفة اليد: صعوبة في الإمساك بالأشياء أو تيبس في المفاصل المجاورة للورم.


التشخيص الدقيق: حجر الأساس للعلاج الناجح
يؤمن الأستاذ الدكتور محمد هطيف إيماناً راسخاً بأن "التشخيص الخاطئ يؤدي حتماً إلى جراحة كارثية"، خاصة في منطقة حساسة مثل اليد. لذلك، يعتمد في عيادته في صنعاء على بروتوكول تشخيصي صارم يجمع بين الفحص السريري الدقيق وأحدث تقنيات التصوير الطبي.
1. الفحص السريري الدقيق
يبدأ التقييم بأخذ تاريخ مرضي مفصل، وفحص اليد لملاحظة اللون، الحجم، النبض، وتأثير الورم على حركة الأصابع والأعصاب.
2. التصوير بالموجات فوق الصوتية والدوبلر (Doppler Ultrasound)
يعتبر الخطوة الأولى والأكثر أهمية. يساعد الدوبلر في تحديد ما إذا كانت الآفة ذات تدفق دموي سريع (مثل AVMs) أو تدفق بطيء (مثل التشوهات الوريدية).

3. التصوير بالرنين المغناطيسي (MRI)
هو المعيار الذهبي (Gold Standard) لتشخيص أورام اليد الوعائية. يوفر صوراً ثلاثية الأبعاد وعالية الدقة توضح امتداد الورم، وعلاقته بالأعصاب والأوتار والعظام المحيطة.
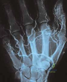
4. تصوير الأوعية الدموية (Angiography)
في الحالات المعقدة جداً، خاصة التشوهات الشريانية الوريدية، يتم حقن صبغة في الأوعية الدموية لتصوير خريطة التروية الدموية بدقة، مما يساعد الجراح في التخطيط للعملية.

جدول مقارنة: أدوات تشخيص أورام اليد الوعائية
| أداة التشخيص | الفائدة الرئيسية | متى يتم استخدامها؟ | مستوى الدقة |
|---|---|---|---|
| الفحص السريري | التقييم المبدئي وتحديد الأعراض | مع كل مريض كخطوة أولى | أساسي وموجه |
| أشعة الدوبلر (Ultrasound) | قياس سرعة تدفق الدم ونوع الآفة | للتفريق بين الأورام والتشوهات | عالية جداً للتدفق الدموي |
| الرنين المغناطيسي (MRI) | تحديد حجم الورم وعلاقته بالأنسجة المحيطة | لجميع الحالات التي تتطلب تدخلاً جراحياً | الأداة الأدق والأشمل |
| تصوير الأوعية (Angiography) | رسم خريطة دقيقة للشرايين والأوردة المغذية | في التشوهات الشريانية الوريدية المعقدة | دقيقة جداً للتخطيط الجراحي |
| الأشعة السينية (X-ray) | كشف تأثر العظام أو وجود حصوات وريدية | إذا كان هناك اشتباه بتآكل عظمي | ممتازة للعظام، ضعيفة للأنسجة |

الخيارات العلاجية: من المراقبة إلى الجراحة الميكروسكوبية
علاج أورام اليد الوعائية ليس مقاساً واحداً يناسب الجميع. يتطلب الأمر جراحاً متمرساً يمتلك نظرة شمولية وأمانة طبية عالية لتقديم الخيار الأنسب. في عيادة الأستاذ الدكتور محمد هطيف، يتم وضع خطة العلاج بناءً على التشخيص الدقيق، وتتراوح الخيارات بين:

أولاً: العلاج التحفظي وغير الجراحي
- المراقبة والانتظار: العديد من الأورام الوعائية الطفيلية تتراجع من تلقاء نفسها ولا تتطلب سوى المتابعة الدورية.
- الملابس الضاغطة (Compression Garments): تساعد في تقليل التورم والألم المرتبط بالتشوهات الوريدية.
- العلاج الدوائي: استخدام أدوية مثل حاصرات بيتا (Propranolol) للأورام الوعائية الطفيلية، أو مسكنات الألم.
- العلاج بالتصليب (Sclerotherapy): يتم حقن مادة كيميائية داخل التشوه الوريدي أو اللمفاوي لجعله يتقلص ويتليف. يمكن استخدامه كعلاج مستقل أو كخطوة تحضيرية قبل الجراحة.
- الانصمام (Embolization): سد الأوعية الدموية المغذية للورم باستخدام قسطرة دقيقة، وهي خطوة حاسمة قبل الاستئصال الجراحي للتشوهات الشريانية الوريدية لتقليل النزيف.

ثانياً: الاستئصال الجراحي (الحل الجذري)
الجراحة هي الخيار الأمثل والنهائي في الحالات التالية:
* الألم الشديد الذي لا يستجيب للعلاجات الأخرى.
* فقدان وظيفة اليد أو تأثر حركتها.
* النزيف المتكرر أو التقرحات الجلدية.
* النمو السريع للورم والضغط على الأعصاب الحيوية.
* التشوه التجميلي المزعج للمريض.
خطوات استئصال أورام اليد الوعائية مع الأستاذ الدكتور محمد هطيف
تعتبر جراحة استئصال الأورام الوعائية من اليد من أدق وأعقد جراحات العظام والجراحة التجميلية، وتتطلب مهارة استثنائية في الجراحة الميكروسكوبية (Microsurgery). يمتلك الأستاذ الدكتور محمد هطيف خبرة تتجاوز العشرين عاماً في هذا التخصص الدقيق، ويقوم بإجراء هذه العمليات وفق بروتوكول عالمي صارم:

الخطوة الأولى: التجهيز والتخدير
يتم تجهيز المريض في غرفة عمليات مجهزة بأحدث التقنيات. يتم اختيار نوع التخدير (موضعي، ناحي، أو عام) بناءً على حجم الورم وموقعه. يتم استخدام عاصبة هوائية (Tourniquet) لمنع تدفق الدم مؤقتاً إلى اليد، مما يوفر للجراح رؤية واضحة وخالية من الدماء.
الخطوة الثانية: الشق الجراحي واستخدام الميكروسكوب
يقوم الدكتور هطيف بعمل شق جراحي دقيق ومدروس بعناية لتجنب ترك ندبات مشوهة. هنا يأتي دور الميكروسكوب الجراحي المتطور، والذي يكبر الأنسجة الدقيقة، مما يسمح للجراح برؤية الأوعية الدموية والأعصاب التي لا يتجاوز سمكها شعرة الإنسان.

الخطوة الثالثة: التسليخ والفصل الدقيق (Dissection)
هذه هي المرحلة الأكثر حساسية. بمهارة فائقة، يقوم الدكتور هطيف بفصل الورم الوعائي عن الأنسجة السليمة المحيطة به. يتم عزل الأعصاب الحركية والحسية والأوتار وحمايتها بأدوات دقيقة جداً. الأمانة الطبية هنا تتجلى في قضاء ساعات طويلة لضمان عدم الإضرار بأي نسيج حيوي، بدلاً من التسرع الذي قد يؤدي إلى إعاقة دائمة.

الخطوة الرابعة: استئصال الورم والسيطرة على النزيف
يتم ربط الأوعية الدموية المغذية للورم باستخدام خيوط جراحية ميكروسكوبية أو الكي المزدوج القطب (Bipolar Diathermy). بعد التأكد من قطع التروية الدموية، يتم استئصال الورم بالكامل ككتلة واحدة (En bloc resection) لمنع ارتجاعه مستقبلاً.

الخطوة الخامسة: إعادة البناء والإغلاق التجميلي
في حالة الأورام الكبيرة التي تترك فراغاً، قد يتطلب الأمر استخدام رقع جلدية أو سديلات نسيجية (Flaps) لتغطية الجرح. بعد التأكد من الإرقاء التام (وقف النزيف)، يتم إغلاق الشق الجراحي بغرز تجميلية دقيقة جداً تضمن أفضل مظهر جمالي لليد بعد التعافي.


جدول مقارنة: العلاج التحفظي مقابل الاستئصال الجراحي
| وجه المقارنة | العلاج التحفظي / الحقن | الاستئصال الجراحي الميكروسكوبي |
|---|---|---|
| الهدف الأساسي | تخفيف الأعراض، تقليص الحجم | التخلص الجذري والنهائي من الورم |
| معدل النجاح | متوسط (احتمالية عالية لعودة الأعراض) | مرتفع جداً (إذا أُجريت بواسطة خبير) |
| فترة التعافي | سريعة جداً (أيام) | تتطلب أسابيع من التأهيل والعلاج الطبيعي |
| المخاطر | تفاعلات تحسسية، تصبغ الجلد، تقرحات | مخاطر التخدير، احتمالية إصابة الأعصاب (نادرة مع الخبراء) |
| التكلفة المادية | منخفضة إلى متوسطة (لكن تتطلب جلسات متكررة) | مرتفعة (لكنها تدفع لمرة واحدة كحل نهائي) |
لماذا يعتبر الأستاذ الدكتور محمد هطيف الخيار الأول في اليمن؟
عندما يتعلق الأمر بجراحة دقيقة في اليد، فإن اختيار الجراح هو القرار الأهم الذي ستتخذه. الأستاذ الدكتور محمد هطيف ليس مجرد طبيب عظام تقليدي، بل هو قامة علمية وطبية رائدة في اليمن، ويتميز بـ:
- **الدرجة الأكاديم
آلام العظام والمفاصل وتقييد حركتها ليس قدراً محتوماً! التشخيص الدقيق والعلاج المتخصص يمكن أن يعيد لك كامل وظيفتك وحريتك في الحركة. لا تدع الألم يسيطر على حياتك.
للحصول على استشارة دقيقة وخطة علاجية مخصصة لحالتك، تواصل فوراً مع مركز الأستاذ الدكتور محمد هطيف:
الأستاذ الدكتور محمد هطيف - أفضل دكتور عظام في صنعاء، وخبير في جراحات العظام والمفاصل والعمود الفقري.. نلتزم بإعادتك لحياة خالية من الألم وحركة طبيعية.
مواضيع أخرى قد تهمك