كسور عنق الكعبرة عند الأطفال: دليل شامل للتشخيص والعلاج المتقدم مع الأستاذ الدكتور محمد هطيف في صنعاء

الخلاصة الطبية
كسور عنق الكعبرة عند الأطفال هي إصابات شائعة تتطلب تشخيصاً دقيقاً وعلاجاً متخصصاً. يعتمد العلاج على تقنيات الرد المغلق أو التثبيت بالمسامير النخاعية أو الأسلاك لضمان عودة وظيفة المرفق. الأستاذ الدكتور محمد هطيف يقدم رعاية متقدمة في صنعاء.
مقدمة: الدليل الشامل لكسور عنق الكعبرة عند الأطفال
تُعد إصابات المرفق لدى الأطفال من أكثر الحالات الطارئة التي تثير قلق الآباء والأمهات، وتحديداً كسور عنق الكعبرة (Radial Neck Fractures). تمثل هذه الكسور تحدياً فريداً ومعقداً في مجال جراحة العظام للأطفال، نظراً لأنها تحدث في منطقة حيوية تمر عبر "صفيحة النمو" (Physis) المسؤولة عن استمرار نمو العظم بشكل طبيعي. إن أي خطأ في التشخيص أو اختيار طريقة العلاج قد يؤدي إلى مضاعفات كارثية مثل توقف نمو الذراع، تشوه المفصل، أو فقدان القدرة على تحريك الساعد بشكل طبيعي.
في الجمهورية اليمنية، وتحديداً في العاصمة صنعاء، يبرز اسم الأستاذ الدكتور محمد هطيف، أستاذ جراحة العظام والمفاصل والعمود الفقري بجامعة صنعاء، كمرجع طبي أول والخبير الأبرز في التعامل مع هذه الحالات المعقدة. بفضل خبرة تمتد لأكثر من 20 عاماً، واعتماده على أحدث التقنيات العالمية مثل الجراحة الميكروسكوبية، ومناظير المفاصل بدقة 4K، والتدخلات الجراحية ذات التدخل المحدود (Minimally Invasive Surgery)، يقدم الأستاذ الدكتور محمد هطيف أعلى مستويات الرعاية الطبية، مقترنة بأمانة طبية صارمة تضع مصلحة الطفل فوق كل اعتبار.
تحدث هذه الكسور عادةً في منطقة "عنق العظم الكعبري"، وهو الجزء التشريحي الضيق الذي يربط "رأس الكعبرة" (الجزء المفصلي الذي يشارك في حركة المرفق) بجسم العظم الطويل. ووفقاً لتصنيف "سالتر-هاريس" (Salter-Harris) العالمي، تُصنف معظم هذه الإصابات ضمن النوعين الأول والثاني، مما يعني انخراط صفيحة النمو في الكسر بشكل مباشر. وفي الأطفال الأكبر سناً، قد يمتد الكسر إلى منطقة الكردوس (Metaphysis).
تمثل كسور عنق الكعبرة حوالي 14% من إجمالي كسور المرفق لدى الأطفال. ولأن عظام الأطفال تتميز بالمرونة وقدرة عالية على إعادة التشكيل (Remodeling)، فإن التعامل معها يتطلب "دقة جراحية لطيفة" لتجنب الإضرار بالتروية الدموية الدقيقة للمفصل.

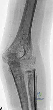
كسر عنق الكعبرة من النوع الثاني (Salter-Harris type II) مع إزاحة واضحة في منطقة الكردوس بالنسبة للمشاشة، وهي حالة تتطلب تقييماً دقيقاً من قبل خبير مثل الأستاذ الدكتور محمد هطيف.

كسر عنق الكعبرة من النوع الأول (Salter-Harris type I)، حيث يمر خط الكسر بالكامل عبر صفيحة النمو، وقد يكون خفياً في صور الأشعة السينية الأولية ويحتاج لعين خبيرة لاكتشافه.

توضيح ميكانيكية الكسر وتأثيره على التكوين التشريحي لمفصل المرفق عند الأطفال.

التشريح الدقيق والمعقد لمفصل المرفق وعنق الكعبرة
لا يمكن تقديم علاج ناجح لكسور عنق الكعبرة دون فهم عميق للتشريح الإقليمي الدقيق لمفصل المرفق لدى الأطفال. هذا الفهم هو حجر الزاوية الذي يعتمد عليه الأستاذ الدكتور محمد هطيف في التخطيط الجراحي الآمن والفعال.
1. العظام وصفيحة النمو (The Physis)
تتكون المشاشة الكعبرية القريبة (Proximal Radial Epiphysis)، التي تشكل لاحقاً رأس الكعبرة، وتأخذ شكلها البالغ بحلول سن الرابعة تقريباً. النقطة الطبية الأهم هنا هي أن صفيحة النمو الكعبرية القريبة تظل مفتوحة ونشطة حتى سن 14 عاماً للفتيات و17 عاماً للأولاد.
هذه الصفيحة الغضروفية هي محور الاهتمام الأساسي للأستاذ الدكتور محمد هطيف أثناء العلاج، لأن أي تدمير لخلاياها (سواء بسبب الكسر نفسه أو بسبب تدخل جراحي عنيف) سيؤدي حتماً إلى توقف نمو العظم، مما ينتج عنه قصر في الساعد أو تشوه زاوي (Angular Deformity).
يتصل رأس الكعبرة باللقمة العضدية (Capitellum) من عظم العضد، مكوناً المفصل الكعبري العضدي (Radiocapitellar Joint). هذا المفصل هو المسؤول الأول عن حركات الكب (Pronation - تدوير راحة اليد للأسفل) والبسط (Supination - تدوير راحة اليد للأعلى). أي تيبس في هذا المفصل سيفقد الطفل القدرة على أداء المهام اليومية البسيطة مثل تناول الطعام أو الكتابة.

صورة توضح التعقيد التشريحي لمفصل المرفق وتداخل العظام مع الأنسجة الرخوة.
2. الهياكل العصبية الوعائية: العصب بين العظمين الخلفي (PIN)
أهم وأخطر هيكل عصبي يجب حمايته بصرامة أثناء علاج كسور عنق الكعبرة هو العصب بين العظمين الخلفي (Posterior Interosseous Nerve - PIN). هذا العصب هو فرع حركي نهائي من العصب الكعبري الرئيسي.
- مسار العصب: عند مستوى المفصل الكعبري العضدي، ينقسم العصب الكعبري. يدخل العصب (PIN) إلى عضلة الكابة (Supinator muscle)، ويلتف بشكل حلزوني حول الجانب الأمامي الوحشي لعنق الكعبرة. يمر عبر نفق ليفي دقيق يُعرف باسم قوس فروسيه (Arcade of Frohse).
- مكمن الخطر: يكون هذا العصب عرضة للقطع أو الشلل بشكل كبير أثناء إدخال الأسلاك المعدنية (K-wires) عبر الجلد، أو أثناء العمليات الجراحية المفتوحة التقليدية. إصابة هذا العصب تؤدي إلى حالة تُعرف بـ "سقوط الرسغ والأصابع" (Finger and Thumb drop)، وهي إعاقة حركية شديدة.
- بروتوكول الحماية عند د. هطيف: بفضل خبرته الطويلة، يستخدم الأستاذ الدكتور محمد هطيف مناورة وقائية حيوية وهي كب الساعد (Pronation of the forearm) بالكامل قبل إدخال أي أداة جراحية. هذه الحركة تؤدي إلى شد عضلة الكابة، مما يسحب العصب (PIN) بعيداً عن منطقة الخطر في الجانب الأمامي الوحشي لعنق الكعبرة، مما يضمن أماناً بنسبة 100% للعصب أثناء التدخل الجراحي.

توضيح لمسار العصب بين العظمين الخلفي وأهمية وضعية الساعد في حمايته أثناء الجراحة.

أسباب وآليات حدوث كسور عنق الكعبرة عند الأطفال
الأطفال بطبيعتهم مفعمون بالنشاط والحركة، مما يجعلهم عرضة للسقوط المتكرر. الآلية الأكثر شيوعاً لحدوث كسر عنق الكعبرة تُعرف طبياً بـ (FOOSH - Fall On OutStretched Hand)، أي السقوط على اليد الممدودة.
عندما يسقط الطفل ويحاول حماية نفسه بمد ذراعه، ينتقل وزن الجسم بالكامل وقوة الارتطام من الأرض عبر اليد، ثم الساعد، لتتركز القوة الضاغطة (Axial loading) بشكل عنيف على مفصل المرفق.
- قوة الأروح (Valgus Stress): في لحظة الارتطام، غالباً ما يتعرض المرفق لقوة تدفعه للخارج (Valgus). هذا يؤدي إلى اصطدام عنيف بين رأس الكعبرة (الذي يكون غضروفياً وضعيفاً عند الأطفال) وبين اللقمة العضدية (Capitellum) الصلبة.
- النتيجة: هذا الاصطدام الميكانيكي يؤدي إلى كسر في أضعف نقطة، وهي منطقة عنق الكعبرة أو صفيحة النمو.
- الإصابات المصاحبة: في الحالات الشديدة، قد لا يكون الكسر معزولاً. يحذر الأستاذ الدكتور محمد هطيف دائماً من وجود إصابات خفية مصاحبة مثل كسر الناتئ الزجي (Olecranon)، أو خلع المرفق، أو تمزق الأربطة الجانبية الداخلية (MCL).

صورة شعاعية تظهر الإزاحة الشديدة لرأس الكعبرة نتيجة قوة الارتطام المباشر.

الأعراض والعلامات السريرية: متى يجب زيارة الطبيب فوراً؟
تشخيص كسور عنق الكعبرة في المنزل أمر مستحيل، ولكن هناك علامات تحذيرية واضحة يجب على الآباء الانتباه لها بعد تعرض الطفل لسقوط أو إصابة رياضية:
- ألم حاد ومفاجئ: ألم شديد في الجزء الخارجي من المرفق (Lateral elbow pain)، يزداد سوءاً عند محاولة تحريك الذراع.
- تورم وكدمات: ظهور تورم سريع في منطقة المرفق، قد يتبعه ظهور كدمات زرقاء أو دموية تحت الجلد.
- فقدان الحركة المحددة: العلامة السريرية الأهم هي الألم الشديد عند محاولة تدوير الساعد (حركة الكب والبسط - كأن الطفل يحاول فتح مقبض الباب أو استخدام مفك). غالباً ما يرفض الطفل تماماً أداء هذه الحركة.
- تشوه مرئي: في حالات الكسور المنزاحة بشدة (Displaced fractures)، قد يلاحظ الأهل تغيراً في شكل المرفق الطبيعي.
- تنميل أو خدر: إذا اشتكى الطفل من تنميل في أصابعه، فقد يكون ذلك مؤشراً خطيراً على انضغاط عصبي يستدعي تدخلاً إسعافياً فورياً من قبل خبير مثل الأستاذ الدكتور محمد هطيف.

تحديد زاوية الكسر ومقدار الإزاحة السريرية والشعاعية لتحديد خطة العلاج.

التصنيف الطبي لكسور عنق الكعبرة (تصنيف جوديه - Judet)
لتحديد خطة العلاج المثلى، يعتمد الأستاذ الدكتور محمد هطيف على التصنيفات العالمية الدقيقة. يُعد تصنيف "جوديه" (Judet Classification) هو المعيار الذهبي لتقييم كسور عنق الكعبرة بناءً على درجة إزاحة رأس الكعبرة وميلانه (Angulation).
جدول 1: تصنيف جوديه لكسور عنق الكعبرة وطرق العلاج الموصى بها
| درجة الكسر (Judet Type) | وصف الكسر ومقدار الميلان (Angulation) | نسبة الإزاحة (Translation) | خطة العلاج المعتمدة لدى أ.د. محمد هطيف |
|---|---|---|---|
| النوع الأول (Type I) | كسر غير منزاح، أو ميلان أقل من 30 درجة. | لا توجد إزاحة (أو طفيفة جداً). | علاج تحفظي: تثبيت المرفق بجبيرة أو جبس لمدة أسبوعين إلى ثلاثة أسابيع، مع متابعة دورية. |
| النوع الثاني (Type II) | ميلان يتراوح بين 30 إلى 60 درجة. | إزاحة جزئية (أقل من 50% من عرض العظم). | رد مغلق (Closed Reduction): تحت التخدير العام، محاولة إرجاع العظم يدوياً، مع إمكانية التثبيت السلكي عبر الجلد إذا كان غير مستقر. |
| النوع الثالث (Type III) | ميلان شديد يتراوح بين 60 إلى 80 درجة. | إزاحة كبيرة (أكثر من 50%). | تدخل جراحي دقيق: رد مغلق مع تثبيت بمسامير نخاعية مرنة (TENs) أو تقنية (Percutaneous Joystick). |
| النوع الرابع (Type IV) | ميلان أكثر من 80 درجة، أو خلع كامل لرأس الكعبرة. | انفصال كامل بين الرأس وعنق العظم. | تدخل جراحي حتمي: استخدام أحدث التقنيات لرد الكسر وتثبيته داخلياً، مع محاولة تجنب الفتح الجراحي الواسع للحفاظ على التروية الدموية. |

صورة شعاعية توضح كسراً من الدرجة الثالثة يتطلب تدخلاً دقيقاً لإعادة الرأس الكعبري إلى مساره التشريحي.

التشخيص المتقدم والتصوير الطبي
التشخيص الدقيق هو نصف العلاج. في عيادة الأستاذ الدكتور محمد هطيف بصنعاء، لا يتم الاعتماد على التخمين، بل يتم تطبيق بروتوكول تشخيصي صارم:
- الفحص السريري الدقيق: يبدأ د. هطيف بفحص عصبي ووعائي شامل للذراع المصابة للتأكد من سلامة الأعصاب (خاصة العصب الكعبري والزندي) والأوعية الدموية.
- الأشعة السينية (X-rays) المتقدمة: يتم أخذ صور شعاعية بأوضاع متعددة (أمامي خلفي AP، وجانبي Lateral). في الأطفال الصغار جداً، قد يكون رأس الكعبرة لا يزال غضروفياً (غير مرئي في الأشعة)، هنا تبرز خبرة الطبيب في تقييم ما يُعرف بـ "الخط الكعبري العضدي" (Radiocapitellar line). يجب أن يمر هذا الخط التخيلي دائماً عبر منتصف اللقمة العضدية في جميع أوضاع الأشعة؛ إذا انحرف، فهذا يؤكد وجود كسر أو خلع.
- الأشعة المقطعية (CT Scan) أو الرنين المغناطيسي (MRI): في الحالات المعقدة جداً، أو عندما يُشتبه بوجود إصابات مفصلية أخرى خفية، قد يوجه د. هطيف بإجراء هذه الفحوصات المتقدمة لضمان تخطيط جراحي لا تشوبه شائبة.

استخدام الأشعة السينية لتحديد زاوية الميلان بدقة قبل اتخاذ القرار العلاجي.

خيارات العلاج الشاملة: من التحفظي إلى الجراحي المتقدم
تتميز الفلسفة الطبية للأستاذ الدكتور محمد هطيف بـ الأمانة الطبية المطلقة؛ فهو لا يلجأ للتدخل الجراحي إلا إذا كان هو الخيار الوحيد لضمان مستقبل الطفل الحركي. يتم تفصيل خطة العلاج بناءً على عمر الطفل، درجة الإزاحة، ومستوى نشاطه.
أولاً: العلاج التحفظي (اللا جراحي)
يُستخدم لكسور الدرجة الأولى (ميلان أقل من 30 درجة).
* الطريقة: يتم وضع ذراع الطفل في جبيرة خلفية (Posterior Splint) أو جبس كامل مع ثني المرفق بزاوية 90 درجة والساعد في وضعية الاستلقاء (Supination) أو الوضع المحايد.
* المدة: عادة من أسبوعين إلى ثلاثة أسابيع.
* المتابعة: يتم إجراء أشعة سينية أسبوعية في عيادة د. هطيف بصنعاء للتأكد من عدم تحرك الكسر من مكانه (Displacement) داخل الجبس.

متابعة دقيقة لمراحل التئام العظم بعد الرد والتثبيت لضمان استعادة الشكل التشريحي.
ثانياً: الرد المغلق (Closed Reduction)
للكسور من الدرجة الثانية وبعض حالات الدرجة الثالثة (ميلان 30-60 درجة).
* يتم إجراؤه في غرفة العمليات تحت التخدير العام الخفيف لضمان استرخاء عضلات الطفل وعدم شعوره بالألم.
* يستخدم د. هطيف مناورات يدوية دقيقة مثل مناورة باترسون (Patterson maneuver) أو مناورة إسرائيلي (Israeli maneuver)، والتي تعتمد على تطبيق ضغط دقيق على رأس الكعبرة مع تدوير الساعد لإرجاع العظم إلى مكانه.
* إذا كان العظم مستقراً بعد الرد، يتم وضع جبس. إذا كان غير مستقر ويميل للعودة لوضع الكسر، يتم الانتقال فوراً للتثبيت.

استخدام جهاز التنظير الإشعاعي (C-arm) في غرفة العمليات للتأكد من نجاح الرد المغلق في الوقت الفعلي.
ثالثاً: التدخل الجراحي المتقدم (Minimally Invasive Techniques)
وهنا تتجلى البراعة الجراحية للأستاذ الدكتور محمد هطيف. التدخل الجراحي المفتوح التقليدي لكسور عنق الكعبرة يحمل مخاطر عالية جداً لتدمير التروية الدموية لرأس الكعبرة، مما يؤدي إلى "النخر اللاوعائي" (Avascular Necrosis) وتيبس المفصل. لذلك، يعتمد د. هطيف حصرياً على تقنيات التدخل المحدود:
1. تقنية المسامير النخاعية المرنة (Métaizeau Technique / TENs)
تُعد هذه التقنية ثورة في جراحة عظام الأطفال، والأستاذ الدكتور هطيف من رواد تطبيقها في اليمن.
* الفكرة: بدلاً من فتح المرفق، يتم إجراء شق صغير جداً (لا يتعدى 1 سم) عند منطقة الرسغ (أسفل الكعبرة).
* يتم إدخال مسمار تيتانيوم مرن (Titanium Elastic Nail) داخل التجويف النخاعي لعظم الكعبرة، ودفع المسمار للأعلى حتى يصل إلى منطقة الكسر في المرفق.
* يتم استخدام طرف المسمار المنحني كـ "أداة دفع" لرفع رأس الكعبرة المكسور وإعادته إلى مكانه التشريحي الصحيح بدقة متناهية تحت جهاز الأشعة (C-arm).
* المزايا: لا يوجد فتح جراحي في المرفق، الحفاظ التام على التروية الدموية، ندبة شبه معدومة، وسرعة فائقة في التعافي.

صورة توضح دخول المسمار المرن عبر التجويف النخاعي لرد الكسر من الداخل دون المساس بمفصل المرفق.
2. تقنية الرد عبر الجلد باستخدام عصا التحكم (Percutaneous Joystick Technique)
إذا لم تنجح تقنية المسامير النخاعية وحدها، يستخدم د. هطيف هذه التقنية المتقدمة.
* يتم إدخال سلك معدني رفيع (K-wire) عبر الجلد مباشرة إلى رأس الكعبرة المكسور.
* يُستخدم هذا السلك كـ "عصا تحكم" (Joystick) لتوجيه وتدوير رأس الكعبرة وإعادته إلى مكانه بدقة متناهية.
* بعد الرد، يمكن تثبيت الكسر باستخدام أسلاك تعبر موقع الكسر مؤقتاً، وتُزال بعد التئام العظم.

استخدام سلك معدني (K-wire) كعصا تحكم لتوجيه رأس الكعبرة المكسور بدقة متناهية.

صورة شعاعية تظهر التثبيت النهائي للكسر باستخدام الأسلاك المعدنية المتقاطعة لضمان الاستقرار التام.
رابعاً: الرد المفتوح (Open Reduction) - الملاذ الأخير
الرد المفتوح هو الخيار الأخير الذي لا يلجأ إليه الأستاذ الدكتور محمد هطيف إلا في حالات نادرة جداً (مثل الكسور من الدرجة الرابعة التي فشلت معها كل تقنيات الرد المغلق والمحدود، أو وجود أنسجة عالقة تمنع الرد). يتم إجراء الفتح الجراحي بحذر شديد وبأدوات الجراحة الميكروسكوبية للحفاظ على الأوعية الدموية الدقيقة التي تغذي رأس الكعبرة، باستخدام نهج كوخر (Kocher approach) الآمن.

في الحالات النادرة التي تتطلب رداً مفتوحاً، يتم التثبيت بعناية فائقة للحفاظ على صفيحة النمو.

خطوات العملية الجراحية المتقدمة مع الأستاذ الدكتور محمد هطيف
لفهم مدى الدقة التي تتم بها هذه الجراحات في صنعاء، نستعرض خطوات تقنية الرد عبر الجلد (Percutaneous Pinning) خطوة بخطوة:
- التحضير والتخدير: يتم تخدير الطفل كلياً لضمان عدم الحركة والألم. يتم تعقيم كامل للذراع وتغطيتها بالمفارش الجراحية المعقمة.
- التموضع (Positioning): يوضع ذراع الطفل على طاولة شفافة للأشعة، مما يسمح باستخدام جهاز التنظير الإشعاعي (Fluoroscopy) بحرية تامة من جميع الزوايا.
- تحديد نقطة الدخول الآمنة: لتجنب إصابة العصب (PIN)، يقوم د. هطيف بوضع الساعد في حالة كب كامل (Full Pronation).
- إدخال الأسلاك (Pin Insertion): يتم إدخال سلك كيرشنر (K-wire) بقطر مناسب (غالباً 1.5 مم إلى 2.0 مم) عبر الجلد، من الجانب الخارجي للمرفق، مروراً برأس الكعبرة، وعبر صفيحة النمو، وصولاً إلى عنق الكعبرة لتثبيت الكسر.

تحديد نقطة الدخول الآمنة وإدخال السلك المعدني تحت التوجيه






كسور العظام المعقدة وإصابات الحوادث ليس قدراً محتوماً! التشخيص الدقيق والعلاج المتخصص يمكن أن يعيد لك كامل وظيفتك وحريتك في الحركة. لا تدع الألم يسيطر على حياتك.
للحصول على استشارة دقيقة وخطة علاجية مخصصة لحالتك، تواصل فوراً مع مركز الأستاذ الدكتور محمد هطيف:
الأستاذ الدكتور محمد هطيف - أفضل دكتور عظام في صنعاء، وخبير في جراحات الكسور المعقدة وإنقاذ الأطراف.. نلتزم بإعادتك لحياة خالية من الألم وعظام قوية وملتئمة.
مواضيع أخرى قد تهمك