جراحة القدم الجوفاء عند الأطفال: دليل شامل للعلاج والتعافي مع الأستاذ الدكتور محمد هطيف

الخلاصة الطبية
القدم الجوفاء عند الأطفال هي تشوه يتميز بقوس قدم مرتفع بشكل غير طبيعي. تهدف الجراحة التصحيحية إلى استعادة وظيفة القدم وتوازنها، وتشمل تحرير الأنسجة الرخوة، وتعديل الأوتار، وإجراء قطع العظم لتصحيح التشوه، مما يضمن قدمًا متحركة ومستوية.
الخلاصة الطبية السريعة: القدم الجوفاء عند الأطفال (Pediatric Cavus Foot) هي تشوه هيكلي وعصبي عضلي معقد يتميز بقوس قدم مرتفع بشكل غير طبيعي، حتى أثناء الوقوف وتحمل الوزن. تهدف الجراحة التصحيحية المتقدمة إلى استعادة وظيفة القدم، وتصحيح التوازن العضلي، ومنع التدهور المستقبلي للمفاصل. تشمل الإجراءات الجراحية تحرير الأنسجة الرخوة، ونقل الأوتار، وإجراء قطع العظم (Osteotomy) لتصحيح التشوه ثلاثي الأبعاد، مما يضمن للطفل قدمًا مستوية ومستقرة وخالية من الألم.


مقدمة شاملة: تحديات القدم الجوفاء وأهمية التدخل المبكر
تُعد القدم الجوفاء عند الأطفال إحدى أكثر حالات تشوهات العظام تعقيدًا في مجال جراحة عظام الأطفال. لا يقتصر تأثير هذه الحالة على المظهر الخارجي للقدم، بل يمتد ليؤثر بشكل جذري على الميكانيكا الحيوية لحركة الطفل، وقدرته على المشي، ومشاركته في الأنشطة الرياضية واليومية. تتميز هذه الحالة بارتفاع مفرط في القوس الطولي للقدم، مما يؤدي إلى تركز وزن الجسم بالكامل على الكعب ومقدمة القدم (رؤوس الأمشاط)، متجاهلًا منتصف القدم الذي من المفترض أن يمتص جزءًا كبيرًا من صدمات المشي.
هذا التوزيع غير المتساوي للوزن يسبب آلامًا مبرحة، وتكون مسامير اللحم (Calluses) القاسية، وصعوبة بالغة في ارتداء الأحذية العادية، فضلًا عن الالتواءات المتكررة في الكاحل نتيجة عدم استقرار القدم. إن فهم هذه الحالة، والوصول إلى تشخيص دقيق ومبكر، وتحديد الخطة العلاجية الفعالة، هي خطوات حاسمة لضمان نمو صحي للطفل وتجنيبه إعاقات حركية في المستقبل.
في هذا الدليل الطبي المرجعي والشامل، سنغوص في أدق تفاصيل القدم الجوفاء عند الأطفال. سنبدأ من التشريح المعقد للقدم، مرورًا بالأسباب الخفية (العصبية والوراثية)، وصولًا إلى أحدث بروتوكولات التشخيص وخيارات العلاج التحفظي والجراحي.
كما سنسلط الضوء بشكل حصري على الخبرة الطبية الفذة لـ الأستاذ الدكتور محمد هطيف، أستاذ جراحة العظام والمفاصل بجامعة صنعاء، وأحد أبرز وأمهر جراحي العظام في اليمن والمنطقة. يمتلك الدكتور هطيف خبرة تتجاوز 20 عامًا في إجراء أعقد جراحات تصحيح التشوهات، مستخدمًا أحدث التقنيات العالمية لضمان أفضل النتائج.


التشريح والميكانيكا الحيوية للقدم الجوفاء
لفهم مشكلة القدم الجوفاء، يجب أولاً فهم الهندسة المعمارية للقدم البشرية. تتكون القدم من 26 عظمة، و33 مفصلًا، وشبكة معقدة من أكثر من 100 وتر وعضلة ورباط. تعمل هذه المكونات معًا لتشكيل ثلاثة أقواس رئيسية (قوسان طوليان وقوس عرضي) تعمل كنوابض لامتصاص الصدمات وتوزيع وزن الجسم.
في حالة القدم الجوفاء (Cavus Foot)، يحدث خلل في التوازن العضلي، غالبًا ما يكون ناتجًا عن ضعف في العضلات الجوهرية للقدم مقابل نشاط مفرط للعضلات الخارجية (مثل العضلة الظنبوبية الخلفية والشظوية الطويلة). يؤدي هذا الخلل إلى:
1. انثناء أخمصي في المشط الأول (Plantarflexed First Ray): مما يدفع القوس للارتفاع.
2. انقلاب الكعب للداخل (Hindfoot Varus): مما يقلل من مساحة التلامس مع الأرض ويسبب عدم استقرار الكاحل.
3. أصابع المطرقة أو المخالب (Claw Toes): نتيجة الشد المستمر للأوتار الباسطة والقابضة.


الأسباب العميقة: لماذا يُصاب الأطفال بالقدم الجوفاء؟
على عكس القدم المسطحة (Flat Foot) التي غالبًا ما تكون حالة فسيولوجية طبيعية في مرحلة الطفولة، فإن القدم الجوفاء تعتبر في معظم الأحيان مؤشرًا على وجود حالة طبية أساسية، وغالبًا ما تكون ذات طبيعة عصبية. يصنف الأستاذ الدكتور محمد هطيف أسباب القدم الجوفاء إلى عدة فئات رئيسية:
1. الأسباب العصبية العضلية (Neuromuscular Causes)
تشكل هذه الفئة أكثر من 60% من حالات القدم الجوفاء عند الأطفال. تشمل:
* مرض شاركو-ماري-توث (Charcot-Marie-Tooth - CMT): وهو اعتلال عصبي وراثي يؤدي إلى ضعف تدريجي في عضلات الأطراف السفلية، وهو السبب الأكثر شيوعًا للقدم الجوفاء الثنائية (في كلتا القدمين).
* الشلل الدماغي (Cerebral Palsy): يؤدي التشنج العضلي غير المتوازن إلى تشوهات هيكلية في القدم.
* السنسنة المشقوقة (Spina Bifida): تشوهات في الحبل الشوكي تؤثر على الإمداد العصبي لعضلات القدم.
* ضمور العضلات (Muscular Dystrophy): أمراض وراثية تسبب ضعفًا تدريجيًا في العضلات.

2. الأسباب الرضية (Traumatic Causes)
- متلازمة الحيز (Compartment Syndrome) الناتجة عن كسور سابقة في الساق أو القدم، مما يؤدي إلى تليف العضلات وتقصيرها.
- إصابات الأعصاب الطرفية (مثل العصب الشظوي).
3. الأسباب الوراثية والمجهولة (Idiopathic Causes)
في بعض الحالات (حوالي 20%)، لا يمكن تحديد سبب عصبي واضح، وتُعرف الحالة بالقدم الجوفاء مجهولة السبب. قد تلعب العوامل الوراثية البحتة دورًا في هذه الحالات، حيث يولد الطفل باستعداد جيني لارتفاع قوس القدم.


الأعراض والعلامات التحذيرية: متى يجب استشارة الطبيب؟
غالبًا ما يلاحظ الآباء تغيرًا في طريقة مشي الطفل أو شكل قدمه. يؤكد الدكتور محمد هطيف على أهمية الانتباه للأعراض التالية:
* قوس مرتفع بشكل ملحوظ: يظهر بوضوح حتى عندما يقف الطفل ويحمل وزنه على قدميه.
* ألم مستمر: في الكعب، أو قوس القدم، أو مقدمة القدم، يزداد مع المشي أو الوقوف.
* تكون مسامير اللحم (Calluses): طبقات جلدية سميكة ومؤلمة تظهر تحت رؤوس الأمشاط أو على الكعب بسبب الضغط غير الطبيعي.
* عدم استقرار الكاحل: التواءات متكررة في الكاحل (Sprains) بسبب ميلان الكعب للداخل.
* تشوه أصابع القدم: ظهور أصابع المطرقة أو الأصابع المخلبية، مما يسبب احتكاكًا مؤلمًا مع الأحذية.
* صعوبة في العثور على أحذية مناسبة: بسبب الارتفاع الكبير في ظهر القدم.
* تغير في نمط المشي: مثل المشي على الحواف الخارجية للقدم (Supination).



بروتوكول التشخيص الشامل مع الأستاذ الدكتور محمد هطيف
يبدأ العلاج الناجح بتشخيص دقيق. يتميز الأستاذ الدكتور محمد هطيف بمنهجيته العلمية الصارمة في تشخيص تشوهات القدم، والتي تعتمد على التقييم الشامل وليس مجرد النظر إلى شكل القدم.
1. الفحص السريري الدقيق
- اختبار كولمان (Coleman Block Test): اختبار حيوي لتحديد ما إذا كان تشوه الكعب (Varus) مرنًا أم صلبًا. يتم وضع كعب الطفل والحافة الخارجية للقدم على كتلة خشبية، بينما يتدلى المشط الأول بحرية. إذا استقام الكعب، فإن التشوه مرن ومصدره المشط الأول. إذا ظل الكعب مائلًا، فإن التشوه صلب ويحتاج إلى تدخل جراحي مختلف.
- التقييم العصبي: فحص قوة العضلات، وردود الفعل الوترية، والإحساس، لاستبعاد أو تأكيد وجود أمراض عصبية مثل CMT.
- تحليل المشي: مراقبة الطفل أثناء المشي والجري لتقييم الميكانيكا الحيوية للقدم.

2. التصوير الطبي المتقدم
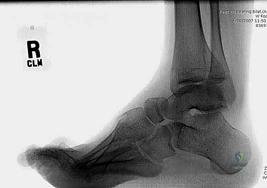
- الأشعة السينية (X-rays) أثناء الوقوف: لتصوير القدم في وضع تحمل الوزن وقياس الزوايا الهندسية (مثل زاوية Meary وزاوية Hibbs) لتحديد درجة التشوه بدقة.
- الرنين المغناطيسي (MRI): يُستخدم في حالات محددة لتقييم الأنسجة الرخوة، الأربطة، أو لاستبعاد تشوهات الحبل الشوكي.

الخيارات العلاجية: بين التحفظي والجراحي
يعتمد قرار العلاج على شدة التشوه، عمر الطفل، مرونة المفاصل، والسبب الأساسي للحالة.
أولاً: العلاج التحفظي (غير الجراحي)
يُستخدم العلاج التحفظي في الحالات الخفيفة إلى المتوسطة، أو كعلاج مساعد لتخفيف الأعراض، ولكنه لا يصحح التشوه الهيكلي الأساسي.
* تقويم العظام والأحذية المخصصة (Orthotics): حشوات طبية تُصمم خصيصًا لدعم قوس القدم، وتوزيع الضغط بالتساوي، وتصحيح ميلان الكعب.
* العلاج الطبيعي: تمارين التمدد (خاصة لوتر أخيل واللفافة الأخمصية) وتقوية العضلات الضعيفة لتحسين التوازن.
* تعديل الأنشطة: تجنب الرياضات عالية التأثير التي تزيد من الألم.


جدول مقارنة: العلاج التحفظي مقابل العلاج الجراحي
| وجه المقارنة | العلاج التحفظي (غير الجراحي) | التدخل الجراحي المتقدم |
|---|---|---|
| الهدف الأساسي | تخفيف الألم، توزيع الضغط، تحسين استقرار القدم | تصحيح التشوه الهيكلي، استعادة التوازن العضلي، منع التدهور |
| دواعي الاستعمال | الحالات الخفيفة، التشوهات المرنة، غياب الألم الشديد | الحالات الشديدة، التشوهات الصلبة، الألم المعيق، الفشل التحفظي |
| القدرة على التصحيح | لا يصحح التشوه العظمي، بل يدعمه فقط | يصحح التشوه بشكل دائم ويعيد بناء القدم |
| فترة التعافي | فورية (بمجرد ارتداء الدعامات) | 3 إلى 6 أشهر من التأهيل والعلاج الطبيعي |
| النتائج طويلة الأمد | مؤقتة، تتطلب استخدام الدعامات مدى الحياة | دائمة، تمنع تآكل المفاصل وتحسن جودة الحياة بشكل جذري |
التدخل الجراحي: الفن والعلم في تصحيح القدم الجوفاء
عندما يفشل العلاج التحفظي في تخفيف الألم أو إيقاف تدهور الحالة، يصبح التدخل الجراحي ضرورة حتمية. يُعد الأستاذ الدكتور محمد هطيف رائدًا في جراحات القدم الجوفاء، حيث يستخدم نهجًا جراحيًا مخصصًا (A La Carte Approach) يتعامل مع كل قدم كحالة فريدة تتطلب خطة هندسية خاصة.
أنواع الإجراءات الجراحية لتصحيح القدم الجوفاء
لا توجد عملية جراحية واحدة تناسب جميع حالات القدم الجوفاء. غالبًا ما يقوم الدكتور هطيف بدمج عدة إجراءات في عملية واحدة لتحقيق تصحيح ثلاثي الأبعاد:
1. تحرير الأنسجة الرخوة (Soft Tissue Release)
- تحرير اللفافة الأخمصية (Plantar Fascia Release - Steindler Stripping): يتم قطع اللفافة الأخمصية المشدودة في أسفل القدم لتقليل ارتفاع القوس.
- إطالة وتر أخيل (Achilles Tendon Lengthening): لتقليل الشد على مؤخرة القدم والسماح للكعب بالعودة إلى وضعه الطبيعي.

2. نقل الأوتار (Tendon Transfers)
لإعادة التوازن العضلي، يتم نقل الأوتار القوية لتحل محل الأوتار الضعيفة.
* نقل وتر جونز (Jones Transfer): نقل وتر العضلة الباسطة الطويلة لإبهام القدم إلى عنق المشط الأول لرفع مقدمة القدم وتخفيف الضغط.
* نقل العضلة الشظوية الطويلة إلى القصيرة (Peroneus Longus to Brevis Transfer): لتقليل القوة التي تسحب المشط الأول للأسفل.

3. قطع العظم التصحيحي (Osteotomies)
في الحالات التي يكون فيها التشوه العظمي صلبًا، يجب إعادة توجيه العظام.
* قطع عظم المشط الأول (First Metatarsal Dorsiflexion Osteotomy): إزالة إسفين عظمي صغير لرفع المشط الأول وتقليل القوس.
* قطع عظم العقب (Calcaneal Osteotomy): تحريك عظمة الكعب إلى الخارج (Lateralization) لتصحيح الانقلاب الداخلي (Varus) واستعادة استقرار الكاحل.

4. إيثار المفاصل / دمج المفاصل (Arthrodesis)
يُحتفظ بهذا الإجراء للحالات المتقدمة جدًا أو للأطفال الأكبر سنًا الذين يعانون من تيبس شديد وتآكل في المفاصل. يتضمن دمج مفاصل معينة (مثل الدمج الثلاثي - Triple Arthrodesis) لتوفير قدم مستقرة وخالية من الألم، على حساب التضحية ببعض الحركة.

خطوة بخطوة: رحلة الجراحة مع الأستاذ الدكتور محمد هطيف
تتميز العمليات الجراحية التي يجريها الدكتور هطيف بالدقة المتناهية واستخدام تقنيات الجراحة الميكروسكوبية (Microsurgery) لضمان حماية الأعصاب والأوعية الدموية.
مرحلة ما قبل الجراحة
- تخطيط دقيق باستخدام برمجيات ثلاثية الأبعاد بناءً على صور الأشعة.
- مناقشة شفافة وصادقة مع الوالدين حول التوقعات ومراحل التعافي، مما يعكس الأمانة الطبية العالية التي يُعرف بها الدكتور هطيف.

أثناء الجراحة (في غرفة العمليات)
- تُجرى الجراحة تحت التخدير العام.
- يستخدم الدكتور هطيف تقنيات المنظار المتقدمة (Arthroscopy 4K) في بعض مراحل التقييم والمساعدة الجراحية لتقليل حجم الشقوق.
- يتم تنفيذ الخطة المخصصة (تحرير، نقل أوتار، قطع عظم).
- تُثبت العظام باستخدام دبابيس طبية دقيقة أو براغي من التيتانيوم.


مرحلة الإغلاق وما بعد الجراحة الفورية
- يتم إغلاق الجروح بخياطة تجميلية دقيقة لتقليل الندبات.
- توضع القدم في جبس طبي (Cast) لحماية التعديلات الهيكلية وتثبيتها في الوضع الجديد الصحيح.

دليل التأهيل الشامل: طريق الطفل نحو استعادة الحركة
نجاح جراحة القدم الجوفاء لا يعتمد فقط على مهارة الجراح، بل يعتمد بنسبة 50% على الالتزام ببرنامج التأهيل والعلاج الطبيعي. يضع الدكتور هطيف بروتوكولًا صارمًا لضمان التعافي المثالي.

جدول زمني مفصل لرحلة التعافي (Rehabilitation Timeline)
| المرحلة الزمنية | الأهداف الطبية | الإجراءات والمسموحات |
|---|---|---|
| الأسابيع 0 - 2 | حماية الجرح، تقليل التورم والألم | راحة تامة، رفع القدم فوق مستوى القلب، جبس كامل، يمنع تحميل الوزن تماماً (Non-weight bearing). |
| الأسابيع 2 - 6 | التئام العظام الأولية، إزالة الغرز | استبدال الجبس بحذاء طبي داعم (CAM boot)، البدء بتمارين خفيفة جداً لأصابع القدم، يمنع تحميل الوزن. |
| الأسابيع 6 - 12 | استعادة النطاق الحركي، التئام العظام التام | إزالة الدبابيس المعدنية (إن وجدت)، البدء بالتحميل التدريجي للوزن (Partial weight bearing) باستخدام العكازات، بدء جلسات العلاج الطبيعي المكثفة. |
| الأشهر 3 - 6 | تقوية العضلات، استعادة نمط المشي الطبيعي | التخلي عن العكازات تدريجياً، المشي بحذاء رياضي داعم، تمارين التوازن وتقوية الأوتار المنقولة. |
| بعد 6 أشهر | العودة الكاملة للأنشطة | العودة للأنشطة الرياضية واليومية الطبيعية بقدم مستوية ومستقرة، مع متابعة دورية مع الجراح. |

لماذا يعتبر الأستاذ الدكتور محمد هطيف الخيار الأول في اليمن؟ (E-E-A-T)
عندما يتعلق الأمر بمستقبل حركة طفلك، فإن اختيار الجراح هو القرار الأهم على الإطلاق. يبرز اسم الأستاذ الدكتور محمد هطيف كعلامة فارقة في سماء الطب اليمني والعربي لعدة أسباب جوهرية:
- المكانة الأكاديمية والعلمية: أستاذ جراحة العظام والمفاصل بجامعة صنعاء، مما يعني أنه مطلع ومشارك في أحدث الأبحاث والبروتوكولات الطبية العالمية.
- خبرة استثنائية (أكثر من 20 عاماً): أجرى الآلاف من العمليات الجراحية المعقدة لتصحيح تشوهات الأطفال، مما منحه "حاسة سادسة" جراحية للتعامل مع أشد الحالات تعقيداً.
- التكنولوجيا المتقدمة: رائد في إدخال تقنيات الجراحة الميكروسكوبية، مناظير المفاصل بدقة 4K، وتقنيات استبدال المفاصل (Arthroplasty) المتقدمة إلى اليمن
آلام العظام والمفاصل وتقييد حركتها ليس قدراً محتوماً! التشخيص الدقيق والعلاج المتخصص يمكن أن يعيد لك كامل وظيفتك وحريتك في الحركة. لا تدع الألم يسيطر على حياتك.
للحصول على استشارة دقيقة وخطة علاجية مخصصة لحالتك، تواصل فوراً مع مركز الأستاذ الدكتور محمد هطيف:
الأستاذ الدكتور محمد هطيف - أفضل دكتور عظام في صنعاء، وخبير في جراحات العظام والمفاصل والعمود الفقري.. نلتزم بإعادتك لحياة خالية من الألم وحركة طبيعية.
مواضيع أخرى قد تهمك