كسر عظم الكاحل: الرد المفتوح والتثبيت الداخلي - دليل شامل من الأستاذ الدكتور محمد هطيف في صنعاء

الخلاصة الطبية
كسر عظم الكاحل هو إصابة خطيرة تتطلب دقة في التشخيص والعلاج. يعتمد العلاج غالبًا على الرد المفتوح والتثبيت الداخلي لاستعادة التشريح الدقيق، تقليل خطر المضاعفات كالغرغرينا اللاوعائية، وضمان أفضل وظيفة طويلة الأمد للمريض.
الخلاصة الطبية السريعة: كسر عظم الكاحل (القنزعة) هو إصابة عظمية خطيرة ومعقدة تتطلب دقة متناهية في التشخيص والعلاج. يعتمد العلاج الجراحي في الغالب على تقنية "الرد المفتوح والتثبيت الداخلي" (ORIF) لاستعادة التشريح الدقيق للمفصل، وتقليل خطر المضاعفات الكارثية مثل الغرغرينا اللاوعائية (موت العظم)، وضمان أفضل وظيفة حركية طويلة الأمد للمريض. يُعد التدخل المبكر والدقيق بواسطة جراح خبير أمراً حاسماً لإنقاذ القدم.

مقدمة شاملة عن كسور عظم الكاحل (القدم) وتأثيرها البيوميكانيكي
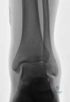
يُعد كسر عظم الكاحل، المعروف طبياً وتاريخياً باسم "كسر القنزعة" (Talus Fracture)، من الإصابات النادرة نسبياً في عالم جراحة العظام، حيث يمثل حوالي 1% إلى 2% فقط من إجمالي كسور الجسم، ولكنه يحمل أهمية بالغة وخطورة استثنائية. يؤثر هذا الكسر بشكل مباشر وعميق على وظيفة الكاحل والقدم الخلفية، بل وعلى قدرة الإنسان على المشي والحركة بشكل طبيعي.
عظم الكاحل هو "حجر الزاوية" الحقيقي في قوس القدم، ويلعب دوراً محورياً وديناميكياً في نقل وتوزيع القوى الهائلة من الساق (الظنبوب والشظية) إلى بقية أجزاء القدم أثناء الوقوف، المشي، الركض، والقفز. نظراً لخصوصية بنيته التشريحية الفريدة، واعتماده على إمداد دموي هش ومعقد، فإن أي كسر يتعرض له، خاصة إذا كان مصحوباً بإزاحة (تحرك العظم من مكانه)، يمكن أن يؤدي إلى عواقب طبية وخيمة. من أبرز هذه العواقب التهاب المفاصل التنكسي ما بعد الصدمة (Post-traumatic Arthritis) الذي قد يحدث مبكراً، أو الكابوس الأكبر لجراحي العظام وهو "الغرغرينا اللاوعائية" (Avascular Necrosis - AVN)، وهي حالة تؤدي إلى موت أنسجة العظم بسبب انقطاع التروية الدموية، مما يهدد بانهيار العظم بالكامل.

في هذا الدليل الطبي الشامل والموسع، سنغوص بعمق في كل ما يتعلق بكسور عظم الكاحل. سنستعرض التشريح المعقد لهذا العظم، ميكانيكية حدوث الإصابة، كيفية التشخيص السريري والإشعاعي الدقيق، وصولاً إلى خيارات العلاج المتقدمة مع التركيز الأكبر على عملية "الرد المفتوح والتثبيت الداخلي" (ORIF). سنسلط الضوء على أهمية التخطيط الجراحي المسبق، والتقنيات الجراحية الميكروسكوبية الحديثة التي تهدف إلى استعادة السطح المفصلي بدقة متناهية.
يُقدم هذا الدليل الأستاذ الدكتور محمد هطيف، أستاذ جراحة العظام والمفاصل بجامعة صنعاء، وأحد أبرز وأمهر خبراء جراحة العظام والكسور المعقدة في اليمن. بفضل خبرته التي تتجاوز 20 عاماً، والتزامه الصارم بأحدث البروتوكولات الطبية العالمية، واستخدامه لتقنيات الجراحة الدقيقة (Microsurgery) ومناظير المفاصل عالية الدقة (4K)، يضمن الدكتور هطيف تقديم رعاية طبية فائقة الجودة، مبنية على الأمانة الطبية المطلقة، لضمان استعادة المرضى لجودة حياتهم الطبيعية.


التشريح الجراحي والبيوميكانيكي المعقد لعظم الكاحل (القنزعة)
لفهم مدى تعقيد علاج كسور عظم الكاحل، يجب أولاً فهم تشريحه الفريد. عظم الكاحل هو عظم استثنائي يقع في الجزء العلوي من القدم، محصوراً بين عظام الساق (الظنبوب والشظية) من الأعلى، وعظم العقب (الكعب) من الأسفل. ما يجعله فريداً في جسم الإنسان هو عدم وجود أي ارتباطات عضلية أو وترية به على الإطلاق. إنه يعمل كجسر ميكانيكي حر، ينقل الوزن والقوى الحركية. هذه الخاصية تجعل إمداده الدموي عرضة للخطر الشديد عند حدوث أي تمزق في الأربطة أو كسر في العظم.
يغطي الغضروف المفصلي الأملس ما يقرب من 60% إلى 70% من مساحة سطح عظم الكاحل. هذا يعني أن أي اختلال أو عدم تطابق في السطح المفصلي (حتى لو كان بمليمترات قليلة) سيؤدي حتماً إلى احتكاك غير طبيعي، تآكل الغضروف، والتهاب مفصلي مبكر ومؤلم.

المكونات التشريحية الرئيسية لعظم الكاحل
يتم تقسيم عظم الكاحل جراحياً إلى عدة مناطق رئيسية، كل منطقة لها خصائصها وأنماط كسورها:
- المفاصل السبعة: يشترك عظم الكاحل في تكوين سبعة مفاصل مع العظام المحيطة به. من الأعلى يتصل بالسطح المفصلي لعظم الظنبوب (قصبة الساق) والنتوء الكاحلي الجانبي للشظية، مشكلاً مفصل الكاحل الحقيقي (Ankle Joint) المسؤول عن حركة الثني والبسط. من الأسفل، يستقر فوق عظم العقب عبر ثلاثة أوجه مفصلية (أمامي، أوسط، خلفي) مشكلاً المفصل تحت الكاحلي (Subtalar Joint) المسؤول عن حركة انقلاب القدم للداخل والخارج. من الأمام، يتصل رأسه بالعظم الزورقي (Navicular bone)، مشكلاً المفصل الكاحلي الزورقي الحيوي لحركة منتصف القدم.
- عنق الكاحل (Talar Neck): هو الجزء الأضيق الذي يربط بين جسم العظم ورأسه. يُعد عنق الكاحل الموقع الأكثر شيوعاً للكسور (حوالي 50% من كسور الكاحل). تحدث الكسور هنا عادة بسبب قوة دفع عنيفة تؤدي إلى فرط انثناء القدم للأعلى (Dorsiflexion) مما يجعل عنق الكاحل يصطدم بحافة عظم الظنبوب بقوة ويؤدي إلى كسره.
- جسم الكاحل (Talar Body): هو الجزء الأكبر والمحمل بالوزن. تمتد كسور الجسم إلى المفصل الكاحلي والمفصل تحت الكاحلي. تحمل هذه الكسور خطراً عالياً جداً لتدمير المفاصل وتتطلب دقة جراحية فائقة لإعادة بنائها.
- رأس الكاحل (Talar Head): الجزء الأمامي الذي يتصل بالعظم الزورقي. كسوره أقل شيوعاً ولكنها تؤثر بشدة على حركة منتصف القدم.

النتوءات العظمية وأنماط كسورها
يحتوي عظم الكاحل على نتوءات بارزة يمكن أن تتعرض للكسر بشكل منعزل:
- النتوء الجانبي (Lateral Process): تحدث كسوره غالباً بسبب التواء القدم العنيف للداخل (Inversion) مع انثناء للأعلى. يُعرف هذا الكسر باسم "كاحل المتزلج" (Snowboarder's Ankle) لشيوعه في هذه الرياضة. غالباً ما لا يظهر بوضوح في الأشعة السينية العادية ويُشخص خطأً على أنه مجرد التواء شديد في الكاحل، مما يتطلب خبرة الأستاذ الدكتور محمد هطيف لاكتشافه مبكراً.
- النتوء الخلفي (Posterior Process): يحتوي على حديبتين (إنسية وجانبية) يمر بينهما وتر العضلة القابضة الطويلة لإبهام القدم. كسوره تحدث بسبب الرضوض المباشرة أو الانثناء الأخمصي الشديد للقدم.
- النتوء الإنسي (Medial Process): أقل النتوءات تعرضاً للكسر.

الإمداد الدموي: نقطة الضعف القاتلة لعظم الكاحل
السبب الرئيسي الذي يجعل كسور عظم الكاحل مرعبة جراحياً هو طبيعة التروية الدموية. يحصل العظم على دمه من ثلاثة شرايين رئيسية (الشريان الظنبوبي الخلفي، الشريان الظنبوبي الأمامي، والشريان الشظوي). تشكل هذه الشرايين حلقة حول العظم وتدخل إليه عبر شبكة من الأوعية الدموية الصغيرة التي تمر عبر الأربطة المحيطة (خاصة في منطقة عنق الكاحل وجيب الرصغ Tarsal Sinus).
المشكلة الكبرى: الإمداد الدموي لجسم الكاحل يأتي من الأمام إلى الخلف (Retrograde flow). عندما ينكسر عنق الكاحل وتحدث إزاحة، تتمزق هذه الأوعية الدموية الدقيقة المغذية للجسم. إذا لم يتم إعادة العظم إلى مكانه بسرعة ودقة، فإن جسم الكاحل سيُحرم من الدم ويموت (الغرغرينا اللاوعائية). هنا تبرز أهمية التدخل الجراحي العاجل والاحترافي.


الأسباب وعوامل الخطر المؤدية لكسور عظم الكاحل
نظراً لقوة عظم الكاحل وموقعه المحمي جزئياً، فإنه يتطلب قوة هائلة لكسره. الأسباب الشائعة تشمل:
- الحوادث المرورية عالية الطاقة: حوادث السيارات والدراجات النارية هي السبب الأول. غالباً ما يحدث الكسر عندما يضغط السائق بقوة على دواسة الفرامل أثناء الاصطدام، مما ينقل قوة الصدمة مباشرة عبر القدم إلى عظم الكاحل.
- السقوط من ارتفاعات عالية: السقوط والهبوط المباشر على القدمين من مسافة عالية (مثل عمال البناء أو حوادث السقوط من السلالم) يولد قوة ضغط محورية تسحق عظم الكاحل بين الكعب وقصبة الساق.
- الإصابات الرياضية الشديدة: رياضات التزلج على الجليد (Snowboarding) وركوب الدراجات الجبلية والقفز المظلي تزيد من خطر كسور النتوء الجانبي أو عنق الكاحل بسبب التواءات القدم العنيفة تحت تأثير سرعة عالية.
- الرضوض المباشرة: سقوط جسم ثقيل جداً بشكل مباشر على الجزء العلوي من القدم.


العلامات والأعراض السريرية
مريض كسر عظم الكاحل يعاني عادة من أعراض حادة ومباشرة تمنعه من ممارسة أي نشاط:
- ألم مبرح وحاد: ألم شديد في عمق الكاحل يزداد بشكل لا يُطاق عند أي محاولة لتحريك القدم أو لمسها.
- عدم القدرة على تحمل الوزن: المريض لا يستطيع الوقوف أو المشي على القدم المصابة إطلاقاً.
- تورم سريع وكبير: انتفاخ ملحوظ يحيط بمفصل الكاحل بأكمله ويمتد إلى القدم.
- كدمات وتغير في لون الجلد: ظهور بقع زرقاء أو أرجوانية (Ecchymosis) حول الكاحل وفي باطن القدم.
- تشوه مرئي: في حالات الكسور المنزاحة بشدة أو الخلوع المصاحبة، قد تبدو القدم ملتوية أو مشوهة بشكل غير طبيعي.
- تقرحات الجلد (Blisters): قد تظهر فقاعات ممتلئة بالسوائل على الجلد بسبب التورم الشديد والضغط الداخلي، وهي علامة تحذيرية تستدعي الانتباه الطبي الفوري لمنع تضرر الجلد قبل الجراحة.


التشخيص الدقيق: مفتاح التخطيط الجراحي الناجح
يُؤكد الأستاذ الدكتور محمد هطيف دائماً أن نجاح عملية كسر عظم الكاحل يبدأ من التشخيص الدقيق والتخطيط المسبق. لا مجال للخطأ في تقييم هذه الكسور.
1. التقييم السريري الشامل
يبدأ الدكتور هطيف بتقييم حالة المريض العامة، واستبعاد أي إصابات أخرى مهددة للحياة (نظراً لأن هذه الكسور تنتج عن حوادث عالية الطاقة). يتم فحص النبض في القدم للتأكد من سلامة الأوعية الدموية الرئيسية، وفحص الإحساس للتأكد من عدم وجود تلف في الأعصاب. كما يتم فحص الجلد المحيط بالكاحل بدقة للتأكد من عدم وجود كسر مفتوح (حيث يبرز العظم من الجلد) والذي يُعد حالة طوارئ قصوى.

2. التصوير الإشعاعي (الأشعة السينية - X-rays)
هي الخطوة الأولى. تُطلب صور من زوايا متعددة:
* الرؤية الأمامية الخلفية (AP).
* الرؤية الجانبية (Lateral).
* رؤية الهاون (Mortise view).
* رؤية كانال (Canale View): وهي وضعية تصوير خاصة جداً لتقييم عنق الكاحل وتحديد درجة الإزاحة بدقة.

3. التصوير المقطعي المحوسب (CT Scan) - المعيار الذهبي
في عيادة الأستاذ الدكتور محمد هطيف، يُعتبر التصوير المقطعي المحوسب ثلاثي الأبعاد (3D CT Scan) إجراءً روتينياً وحتمياً لأي كسر في عظم الكاحل. توفر الأشعة المقطعية تفاصيل دقيقة للغاية عن خطوط الكسر، مدى التفتت (Comminution)، وحجم الإزاحة المفصلية التي لا يمكن رؤيتها بالأشعة السينية العادية. بناءً على هذه الصور، يقوم الدكتور هطيف ببناء استراتيجية الجراحة (أين سيفتح، ما نوع الشرائح والمسامير التي سيستخدمها، وكيف سيعيد بناء العظم).

4. التصوير بالرنين المغناطيسي (MRI)
لا يُستخدم عادة في التشخيص الأولي للكسر الحاد، ولكنه أداة حيوية بعد عدة أشهر من الإصابة لتقييم التروية الدموية والكشف المبكر عن الغرغرينا اللاوعائية (AVN) إذا كان هناك اشتباه في حدوثها.


تصنيف هوكينز (Hawkins Classification) لكسور عنق الكاحل
يُعد تصنيف "هوكينز" النظام الأكثر استخداماً عالمياً لتصنيف كسور عنق الكاحل، وهو يرتبط ارتباطاً وثيقاً باحتمالية حدوث المضاعفات (خاصة الغرغرينا اللاوعائية).
| نوع الكسر (هوكينز) | الوصف الطبي الدقيق | احتمالية الغرغرينا اللاوعائية (AVN) | التدخل المطلوب |
|---|---|---|---|
| النوع الأول (Type I) | كسر غير منزاح (العظم في مكانه الطبيعي). خط الكسر يمر عبر عنق الكاحل دون أي تغيير في محاذاة المفاصل. | منخفضة جداً (0% - 15%) | يمكن علاجه تحفظياً بالجبس، أو جراحياً بمسامير عبر الجلد لضمان عدم تحركه. |
| النوع الثاني (Type II) | كسر منزاح مع خلع جزئي (Subluxation) في المفصل تحت الكاحلي (بين الكاحل والكعب). مفصل الكاحل العلوي سليم. | متوسطة إلى مرتفعة (20% - 50%) | يتطلب تدخلاً جراحياً حتمياً (رد مفتوح وتثبيت داخلي - ORIF). |
| النوع الثالث (Type III) | كسر منزاح مع خلع كامل في المفصل تحت الكاحلي ومفصل الكاحل العلوي. جسم الكاحل ينفصل تماماً ويُدفع للخلف. | مرتفعة جداً (حوالي 100% تاريخياً، انخفضت مع التقنيات الحديثة إلى 50-70%) | حالة طوارئ جراحية. يتطلب رداً وتثبيتاً جراحياً عاجلاً لإنقاذ ما يمكن من التروية. |
| النوع الرابع (Type IV) | كسر منزاح مع خلع في جميع المفاصل المحيطة (الكاحل، تحت الكاحلي، والكاحلي الزورقي). تدمير كامل للتروية. | شبه مؤكدة (عالية جداً) | جراحة معقدة لإنقاذ القدم، وقد تتطلب دمجاً للمفاصل لاحقاً. |


خيارات العلاج: لماذا الجراحة هي الحل الأمثل غالباً؟
الهدف الأساسي من علاج كسور عظم الكاحل هو استعادة التطابق المفصلي الدقيق بنسبة 100%، وتوفير تثبيت صلب يسمح بالحركة المبكرة، وتقليل خطر انهيار العظم والتهاب المفاصل.
1. العلاج التحفظي (غير الجراحي)
يقتصر العلاج التحفظي بشكل صارم على كسور النوع الأول (غير المنزاحة تماماً)، بشرط تأكيد عدم وجود أي إزاحة بواسطة الأشعة المقطعية. يتضمن العلاج وضع القدم في جبس أو حذاء طبي مخصص (Cast/Boot) لمدة 6 إلى 8 أسابيع، مع منع المريض من تحميل أي وزن على القدم المصابة طوال هذه الفترة. يتطلب هذا الخيار متابعة أسبوعية دقيقة بالأشعة للتأكد من عدم تحرك الكسر.

2. العلاج الجراحي: الرد المفتوح والتثبيت الداخلي (ORIF)
بالنسبة لأي كسر منزاح (الأنواع الثاني، الثالث، الرابع من تصنيف هوكينز، وكسور جسم الكاحل)، فإن الجراحة هي الخيار الوحيد والمطلق. ترك كسر منزاح بدون جراحة سيؤدي حتماً إلى تشوه دائم، ألم مزمن، وعجز في المشي.
يُعد الأستاذ الدكتور محمد هطيف رائداً في إجراء عمليات "الرد المفتوح والتثبيت الداخلي" (Open Reduction and Internal Fixation - ORIF) لكسور عظم الكاحل في صنعاء.


خطوات عملية الرد المفتوح والتثبيت الداخلي (ORIF) بالتفصيل
الجراحة في هذه الحالات ليست مجرد "تثبيت عظم"، بل هي فن هندسي دقيق يتطلب مهارة استثنائية. يستغرق التخطيط الجراحي وقتاً طويلاً لضمان أفضل النتائج.
المرحلة الأولى: التحضير والتخدير
يتم إدخال المريض إلى غرفة العمليات المجهزة بأحدث التقنيات. يتم استخدام التخدير النصفي (الشوكي) أو التخدير العام حسب حالة المريض ورؤية طبيب التخدير. يتم وضع المريض على ظهره، ويُستخدم عاصبة هوائية (Tourniquet) حول الفخذ لتقليل النزيف وتوفير رؤية واضحة جداً للجراح. يتم تعقيم الساق والقدم بالكامل.

المرحلة الثانية: النهج الجراحي (الشقوق الجراحية)
نظراً لتعقيد عظم الكاحل، غالباً ما يتطلب الأمر شقين جراحيين (Dual Approaches) للوصول إلى العظم من زوايا مختلفة دون تدمير الأنسجة السليمة:
* النهج الأمامي الإنسي (Anteromedial Approach): شق يتم إجراؤه على الجانب الداخلي للكاحل، بين وتر العضلة الظنبوبية الأمامية والكعب الإنسي. يتيح هذا الشق رؤية ممتازة لعنق الكاحل والجانب الداخلي لجسم العظم. في بعض الحالات المعقدة، قد يضطر الدكتور هطيف لإجراء "قطع عظمي للكعب الإنسي" (Medial Malleolar Osteotomy) للوصول إلى عمق المفصل، ثم إعادة تثبيته لاحقاً.
* النهج الأمامي الجانبي (Anterolateral Approach): شق يتم إجراؤه على الجانب الخارجي، يتيح رؤية النتوء الجانبي، المفصل تحت الكاحلي، والجانب الخارجي للعنق والجسم.

المرحلة الثالثة: التنظيف والرد (Reduction)
بعد كشف العظم المكسور، يقوم الدكتور هطيف بحذر شديد بتنظيف منطقة الكسر من التجلطات الدموية، والأنسجة المتمزقة، وشظايا العظام الصغيرة التي قد تعيق التئام الكسر.
هنا تبدأ المرحلة الأهم: "الرد". باستخدام أدوات دقيقة، يتم إعادة القطع العظمية المكسورة إلى مكانها التشريحي الأصلي بدقة مليمترية. يتم تثبيت القطع مؤقتاً باستخدام أسلاك كيرشنر (K-wires) الدقيقة.

المرحلة الرابعة: التثبيت الداخلي (Internal Fixation)
بمجرد التأكد من أن العظم عاد لشكله الطبيعي تماماً، يتم استبدال الأسلاك المؤقتة بتثبيت دائم. يستخدم الدكتور هطيف أحدث الغرسات الطبية العالمية:
* مسامير التيتانيوم المجوفة (Cannulated Screws): مسامير قوية جداً يتم إدخالها عبر العظم لضغط أجزاء الكسر معاً.
* المسامير بدون رأس (Headless Compression Screws): تُستخدم في المناطق المغطاة بالغضروف، حيث تُدفن بالكامل داخل العظم لكي لا تحتك بالمفصل وتسبب تآكلاً.
* الشرائح المعدنية الدقيقة (Mini-Plates): تُستخدم أحياناً لتدعيم التثبيت في حالات التفتت الشديد (Comminution) حيث لا تكفي المسامير وحدها.

يتم وضع المسامير عادة من اتجاهين (من الأمام للخلف، ومن الخلف للأمام) لإنشاء هيكل ميكانيكي صلب يتحمل الضغوط.

المرحلة الخامسة: التحقق الإشعاعي الفوري والإغلاق
قبل إنهاء العملية، يستخدم الدكتور هطيف جهاز الأشعة السينية المتحرك داخل غرفة العمليات (C-arm Fluoroscopy) لأخذ صور متعددة والتأكد من:
1. المحاذاة المثالية للكسر.
2. عدم وجود أي فجوات أو درجات في السطح المفصلي.
3. الطول والموقع الصحيح للمسامير (للتأكد من أنها لا تخترق المفاصل المجاورة).
بعد التأكد من نجاح التثبيت، يتم غسل الجرح بمحاليل معقمة، وإغلاق الأنسجة والجلد بعناية فائقة باستخدام خيوط تجميلية لتقليل الندبات. توضع جبيرة خلفية لدعم الكاحل وتقليل التورم.


جدول مقارنة: العلاج التحفظي مقابل العلاج الجراحي (ORIF)
| وجه المقارنة | العلاج التحفظي (الجبس) | العلاج الجراحي (ORIF) |
|---|---|---|
| دواعي الاستعمال | الكسور البسيطة جداً، غير المنزاحة (النوع الأول فقط |











آلام العظام والمفاصل وتقييد حركتها ليس قدراً محتوماً! التشخيص الدقيق والعلاج المتخصص يمكن أن يعيد لك كامل وظيفتك وحريتك في الحركة. لا تدع الألم يسيطر على حياتك.
للحصول على استشارة دقيقة وخطة علاجية مخصصة لحالتك، تواصل فوراً مع مركز الأستاذ الدكتور محمد هطيف:
الأستاذ الدكتور محمد هطيف - أفضل دكتور عظام في صنعاء، وخبير في جراحات العظام والمفاصل والعمود الفقري.. نلتزم بإعادتك لحياة خالية من الألم وحركة طبيعية.
مواضيع أخرى قد تهمك