استعادة مفصل الكاحل بعد الكسر: دليل شامل لمرضى كسور الكاحل ثنائية الكعب

الخلاصة الطبية
كسر الكاحل ثنائي الكعب هو إصابة معقدة تتطلب استعادة دقيقة لمفصل الكاحل لضمان وظيفة كاملة. يشمل العلاج غالبًا جراحة تثبيت الكسر بالشرائح والمسامير، تليها فترة تأهيل مكثفة لاستعادة الحركة والقوة تحت إشراف متخصص مثل الأستاذ الدكتور محمد هطيف.
مقدمة شاملة: فهم كسور الكاحل ثنائية الكعب ورحلة التعافي
أهلاً بكم أيها المرضى الكرام والباحثون عن المعرفة الطبية الدقيقة. اليوم، نغوص بعمق في واحدة من الإصابات الشائعة والمعقدة في ذات الوقت في عالم جراحة العظام: كسر الكاحل ثنائي الكعب (Bimalleolar Ankle Fracture). هذا النوع من الكسور لا يمثل مجرد "كسر في العظم" فحسب، بل هو إصابة تصيب الميكانيكا الحيوية المعقدة لواحد من أهم مفاصل الجسم التي تحمل وزن الإنسان وتوجه حركته.

يصيب هذا الكسر عظمتي الكاحل الرئيسيتين: الشظية (التي تشكل الكعب الوحشي أو الخارجي) والظنبوب (الذي يشكل الكعب الإنسي أو الداخلي). يتطلب هذا النوع من الإصابات اهتماماً دقيقاً وتفصيلياً وتدخلاً جراحياً احترافياً لضمان الشفاء التام واستعادة وظيفة الكاحل بالكامل.
إن مفصل الكاحل هو مفصل محوري معدّل، ووظيفته المثلى تعتمد كلياً على تطابق تشريحي دقيق بين عظمتي الساق (الظنبوب والشظية) وعظمة الكاحل (القدم). مهمتنا كأطباء وجراحين، وهدفنا الأول معكم كمرضى، هو استعادة هذه العلاقة العظمية والرباطية الدقيقة بالملليمتر. الأمر لا يقتصر فقط على إعادة تجميع العظام باستخدام الشرائح والمسامير؛ بل يتعلق بإعادة بناء المفصل لضمان استعادة المريض لوظيفته الكاملة وقدرته على المشي، الجري، وممارسة حياته الطبيعية دون ألم أو إعاقة حركية.

في هذا الدليل الطبي الشامل والموسع، والذي تم إعداده وفقاً لأعلى المعايير الطبية العالمية، سنأخذكم في رحلة مفصلة لفهم كسر الكاحل ثنائي الكعب. سنبدأ من تشريح الكاحل المعقد، مروراً بأنماط الإصابة، ووصولاً إلى خيارات التشخيص الدقيق، والعلاج الجراحي المتقدم، ومراحل التعافي وإعادة التأهيل. وتحت إشراف الأستاذ الدكتور محمد هطيف، أستاذ جراحة العظام والمفاصل بجامعة صنعاء، والاستشاري الأول في اليمن بخبرة تتجاوز 20 عاماً، نؤكد لكم أن رحلة الشفاء ليست فقط ممكنة، بل يمكن أن تعيدكم إلى أفضل حالاتكم بفضل التقنيات الحديثة والأمانة الطبية الصارمة.

التشريح الدقيق لمفصل الكاحل: لماذا يعتبر الكسر ثنائي الكعب خطيراً؟
لفهم طبيعة الإصابة، يجب علينا أولاً أن نفهم كيف يعمل الكاحل. الكاحل ليس مجرد مفصل بسيط، بل هو حلقة وصل هندسية مذهلة تتحمل أضعاف وزن الجسم أثناء القفز والجري.

المكونات العظمية للكاحل
يتكون مفصل الكاحل من التقاء ثلاث عظام رئيسية:
1. عظمة الظنبوب (Tibia): وهي العظمة الأكبر في الساق، ونهايتها السفلية تشكل ما يُعرف بـ "الكعب الإنسي" (Medial Malleolus) وهو البروز العظمي الداخلي للكاحل.
2. عظمة الشظية (Fibula): وهي العظمة الأصغر في الساق، ونهايتها السفلية تشكل "الكعب الوحشي" (Lateral Malleolus) وهو البروز العظمي الخارجي.
3. عظمة الكاحل (Talus): وهي العظمة التي ترتكز عليها الساق وتعمل كحلقة وصل مع باقي عظام القدم.

الأربطة والميكانيكا الحيوية
العظام وحدها لا تكفي للحفاظ على استقرار المفصل. هناك شبكة قوية من الأربطة (Ligaments) التي تربط هذه العظام ببعضها. عندما يحدث كسر ثنائي الكعب، فإن هذه الأربطة غالباً ما تتعرض للتمزق أو الشد العنيف، مما يؤدي إلى فقدان كامل لاستقرار المفصل (Ankle Instability).

عند كسر الكعبين (الداخلي والخارجي معاً)، يفقد الكاحل الحلقة التي تثبت عظمة الـ Talus في مكانها. هذا الانزياح، ولو كان بملليمترات قليلة، يؤدي إلى تغيير جذري في توزيع الضغط على غضروف الكاحل، مما قد يؤدي إلى خشونة مبكرة وتآكل في المفصل إذا لم يتم رده وتثبيته بدقة متناهية.

ما هو كسر الكاحل ثنائي الكعب؟ وكيف يحدث؟
الكسر ثنائي الكعب (Bimalleolar Fracture) يعني ببساطة انكسار كل من الكعب الإنسي (الظنبوب) والكعب الوحشي (الشظية) في نفس الوقت.

ديناميكية الإصابة
يحدث هذا الكسر عادة عندما تتعرض القدم لالتواء شديد، غالباً مع قوة دورانية (Rotational force). على سبيل المثال، عندما تنزلق القدم للخارج بينما يلتف الجسم للداخل، مما يضع ضغطاً هائلاً على عظام الكاحل يتجاوز قدرتها على التحمل.

الأسباب وعوامل الخطر الشائعة
تتعدد الأسباب التي تؤدي إلى هذا النوع المعقد من الكسور، ومن أبرزها:
* الحوادث المرورية: الاصطدامات القوية التي تضع قوة سحق أو التواء مفاجئ على القدم.
* الإصابات الرياضية: خاصة في الرياضات التي تتطلب تغييرات مفاجئة في الاتجاه أو القفز مثل كرة القدم، كرة السلة، والتزلج.
* السقوط من ارتفاع: الهبوط الخاطئ على القدم يولد طاقة حركية تدمر سلامة مفصل الكاحل.
* الانزلاق والتعثر: خاصة عند كبار السن أو السير على أسطح غير مستوية.

عوامل تزيد من خطر الإصابة:
* هشاشة العظام (Osteoporosis): تجعل العظام أكثر عرضة للكسر حتى مع الإصابات البسيطة.
* زيادة الوزن: تزيد من العبء الميكانيكي على الكاحل أثناء السقوط.
* التاريخ السابق لإصابات الكاحل: الأربطة الضعيفة قد تؤدي إلى التواءات متكررة تنتهي بكسر.


الأعراض السريرية والإسعافات الأولية الفورية
عند حدوث كسر ثنائي الكعب، تكون الأعراض دراماتيكية وفورية. لا يمكن للمريض عادة تجاهل الألم أو الاستمرار في المشي.

العلامات والأعراض المؤكدة:
- ألم حاد ومفاجئ: ألم يتركز في جانبي الكاحل ويمتد إلى الساق أو القدم.
- تورم شديد: يحدث بسرعة كبيرة نتيجة النزيف الداخلي حول منطقة الكسر.
- كدمات وتغير في لون الجلد: ظهور لون أزرق أو أرجواني (Ecchymosis) حول الكاحل.
- تشوه مرئي: قد يبدو الكاحل ملتوياً أو خارج مكانه الطبيعي (خلع أو شبه خلع مصاحب للكسر).
- عدم القدرة على تحمل الوزن: استحالة الوقوف أو المشي على القدم المصابة.

الإسعافات الأولية (بروتوكول RICE)
إلى حين الوصول إلى الطوارئ وتقييم الحالة من قبل استشاري متخصص مثل الأستاذ الدكتور محمد هطيف، يجب اتباع الخطوات التالية:
* الراحة (Rest): عدم محاولة المشي أو تحريك القدم نهائياً.
* الثلج (Ice): وضع كمادات ثلج (غير مباشرة على الجلد) لتقليل التورم.
* الضغط (Compression): لف الكاحل برباط ضاغط خفيف دون إعاقة الدورة الدموية.
* الرفع (Elevation): رفع القدم فوق مستوى القلب لتقليل تدفق الدم وتخفيف التورم.


الرحلة التشخيصية: الدقة هي مفتاح العلاج
التشخيص الدقيق هو حجر الزاوية في خطة العلاج. في عيادة الأستاذ الدكتور محمد هطيف، يتم تطبيق بروتوكول تشخيصي صارم لضمان عدم تفويت أي تفصيل تشريحي.

1. الفحص السريري
يبدأ الدكتور هطيف بفحص دقيق للكاحل، لتقييم النبض، التروية الدموية، وحالة الأعصاب في القدم لضمان عدم وجود إصابات وعائية أو عصبية مصاحبة للكسر. كما يتم تقييم حالة الجلد، وهو أمر حاسم لتحديد توقيت الجراحة.
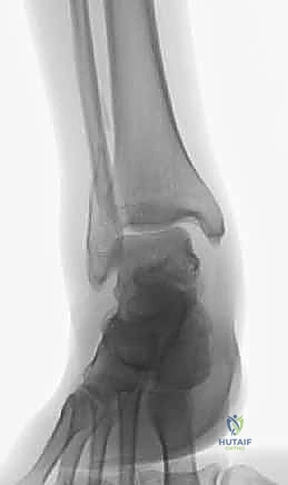
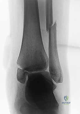
2. الأشعة السينية (X-rays)
هي الخطوة الأساسية. يتم أخذ صور بأوضاع مختلفة (أمامي، جانبي، ومائل - Mortise view) لتحديد مكان الكسر، درجة التفتت، ومدى تباعد العظام.

3. التصوير المقطعي المحوسب (CT Scan)
في حالات الكسور المفتتة أو المعقدة، يطلب الأستاذ الدكتور هطيف إجراء أشعة مقطعية. توفر هذه الأشعة صوراً ثلاثية الأبعاد تساعد الجراح على التخطيط الدقيق للعملية وتحديد نوع وحجم الشرائح والمسامير المطلوبة.


الخيارات العلاجية: التحفظي مقابل الجراحي
قرار العلاج يعتمد على مدى استقرار الكاحل. ولأن الكسور ثنائية الكعب تعتبر بطبيعتها غير مستقرة، فإن التدخل الجراحي هو المعيار الذهبي في الغالبية العظمى من الحالات.
جدول مقارنة: العلاج التحفظي مقابل العلاج الجراحي
| وجه المقارنة | العلاج التحفظي (الجبس) | العلاج الجراحي (ORIF) |
|---|---|---|
| دواعي الاستعمال | حالات نادرة جداً (كسور غير متحركة تماماً، أو مرضى حالتهم الصحية لا تسمح بالجراحة). | المعيار الأساسي لجميع كسور الكاحل ثنائية الكعب المتحركة وغير المستقرة. |
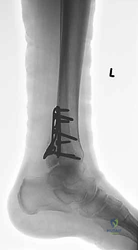
| طريقة العلاج | رد مغلق (إرجاع العظم يدوياً) ووضع جبس يمتد إلى تحت الركبة. | تثبيت داخلي باستخدام شرائح تيتانيوم/صلب ومسامير طبية دقيقة. |
| دقة الرد التشريحي | متوسطة إلى ضعيفة (احتمالية تحرك العظم داخل الجبس واردة). | ممتازة (تثبيت تشريحي دقيق بنسبة 100% تحت الرؤية المباشرة). |
| خطر خشونة المفصل | عالي جداً إذا لم يلتئم العظم في مكانه المثالي. | منخفض جداً (بفضل استعادة سطح المفصل الطبيعي). |
| فترة التعافي وبدء الحركة | طويلة (يمنع تحريك الكاحل لعدة أسابيع مما يؤدي لتيبس المفصل). | أسرع (يمكن البدء بالعلاج الطبيعي والحركة المبكرة بعد التئام الجرح). |

رغم أن الجبس قد يبدو خياراً مغرياً للبعض لتجنب الجراحة، إلا أن الأستاذ الدكتور محمد هطيف، بأمانته الطبية المعهودة، يوضح للمرضى أن عدم إجراء الجراحة في كسر غير مستقر سيؤدي حتماً إلى اعوجاج في الكاحل، ألم مزمن، وإعاقة دائمة.


الدليل الجراحي الشامل: الرد المفتوح والتثبيت الداخلي (ORIF)
عملية "الرد المفتوح والتثبيت الداخلي" (Open Reduction and Internal Fixation - ORIF) هي الإجراء الجراحي المتبع لإصلاح كسور الكاحل. تحت إشراف الأستاذ الدكتور محمد هطيف، يتم تنفيذ هذه الجراحة باستخدام أحدث التقنيات العالمية، بما في ذلك أدوات الجراحة الميكروسكوبية ومناظير المفاصل 4K لضمان دقة لا مثيل لها.

المرحلة الأولى: التجهيز والتخدير
بعد اختفاء التورم الشديد (والذي قد يستغرق من 3 إلى 7 أيام من الإصابة)، يتم إدخال المريض لغرفة العمليات. يتم استخدام التخدير النصفي (Spinal Anesthesia) أو العام بناءً على تقييم طبيب التخدير. يتم تعقيم الساق بالكامل لضمان بيئة جراحية خالية من الميكروبات.

المرحلة الثانية: الشق الجراحي والوصول للعظام
يقوم الدكتور هطيف بعمل شقين جراحيين استراتيجيين:
1. شق على الجانب الخارجي (الوحشي): للوصول إلى عظمة الشظية المكسورة.
2. شق على الجانب الداخلي (الإنسي): للوصول إلى عظمة الظنبوب.
يتميز الأستاذ الدكتور بمهارته الفائقة في التعامل مع الأنسجة الرخوة، مما يقلل من تلف الأنسجة ويسرع من التئام الجروح.

المرحلة الثالثة: رد العظام وتثبيت الكعب الوحشي (الشظية)
يبدأ الجراح عادة بإصلاح الشظية لأنها تعتبر "العمود الفقري" لاستقرار الكاحل. يتم إرجاع قطع العظم إلى مكانها التشريحي الطبيعي (الرد المفتوح). ثم يتم تثبيتها باستخدام شريحة معدنية (Plate) ومجموعة من المسامير (Screws) لتثبيتها بقوة.

المرحلة الرابعة: تثبيت الكعب الإنسي (الظنبوب)
بعد استقرار الجانب الخارجي، ينتقل الجراح للجانب الداخلي. يتم تنظيف منطقة الكسر من أي أنسجة محشورة، ثم يتم رد الكعب الإنسي وتثبيته غالباً باستخدام مسمارين طويلين (Cancellous screws) أو تقنية الأسلاك والشد (Tension band wiring) حسب شكل الكسر.

المرحلة الخامسة: التقييم الديناميكي وإغلاق الجرح
هنا تبرز خبرة أفضل طبيب عظام في صنعاء واليمن. يستخدم الدكتور هطيف جهاز الأشعة التلفزيونية داخل العمليات (C-arm) للتأكد من وضعية المسامير والشرائح. وفي حالات معينة، قد يستخدم المنظار المفصلي (Arthroscopy 4K) لفحص سطح الغضروف من الداخل والتأكد من خلوه من أي شظايا عظمية صغيرة.

أخيراً، يتم إغلاق الجروح باستخدام خيوط تجميلية دقيقة لتقليل الندبات، ويوضع الكاحل في جبيرة خلفية أو حذاء طبي واقي لحمايته خلال الأيام الأولى.


العناية ما بعد الجراحة ومراحل التعافي
الجراحة الناجحة هي نصف الطريق فقط؛ النصف الآخر يعتمد على التزام المريض ببرنامج التأهيل



كسور العظام المعقدة وإصابات الحوادث ليس قدراً محتوماً! التشخيص الدقيق والعلاج المتخصص يمكن أن يعيد لك كامل وظيفتك وحريتك في الحركة. لا تدع الألم يسيطر على حياتك.
للحصول على استشارة دقيقة وخطة علاجية مخصصة لحالتك، تواصل فوراً مع مركز الأستاذ الدكتور محمد هطيف:
الأستاذ الدكتور محمد هطيف - أفضل دكتور عظام في صنعاء، وخبير في جراحات الكسور المعقدة وإنقاذ الأطراف.. نلتزم بإعادتك لحياة خالية من الألم وعظام قوية وملتئمة.
مواضيع أخرى قد تهمك