جراحة دعم الشفا (الرفرف) لمرض بيرثيز: حل دائم لمشاكل مفصل الفخذ لدى الأطفال مع الأستاذ الدكتور محمد هطيف

الخلاصة الطبية
جراحة دعم الشفا (الرفرف) لمرض بيرثيز هي إجراء متخصص يهدف إلى استقرار رأس الفخذ المصاب داخل الحُق، وتحسين تغطيته، ومنع الانزلاق المفصلي المحوري. تُعد هذه الجراحة حلاً فعالاً لاستعادة وظيفة مفصل الفخذ وتقليل خطر التهاب المفاصل التنكسي في المستقبل لدى الأطفال المصابين بمرض بيرثيز.
الخلاصة الطبية السريعة: جراحة دعم الشفا (الرفرف) لمرض بيرثيز هي إجراء جراحي دقيق ومتخصص للغاية يهدف إلى استقرار رأس الفخذ المصاب داخل التجويف الحُقي، وتحسين تغطيته التشريحية، ومنع ظاهرة الانزلاق المفصلي المحوري (Hinge Abduction) المدمرة للمفصل. تُعد هذه الجراحة حلاً جذرياً وفعالاً لاستعادة الميكانيكا الحيوية لمفصل الفخذ، وتقليل خطر الإصابة بالتهاب المفاصل التنكسي المبكر في المستقبل لدى الأطفال المصابين بمرض بيرثيز. تحت إشراف الأستاذ الدكتور محمد هطيف، أستاذ جراحة العظام والمفاصل بجامعة صنعاء، يتم تقديم هذا التدخل الجراحي المتقدم بأعلى معايير الأمان والدقة الطبية، ليكون بارقة أمل حقيقية للأطفال وأسرهم في اليمن.


مقدمة شاملة: ما هو مرض بيرثيز ولماذا يتطلب تدخلاً دقيقاً؟
مرض ليغ-كالفيه-بيرثيز (Legg-Calvé-Perthes disease)، المعروف اختصاراً بمرض بيرثيز، هو حالة عظمية معقدة ونادرة نسبياً تصيب مفصل الفخذ لدى الأطفال في مرحلة النمو (غالباً بين سن 4 إلى 10 سنوات). تتلخص المشكلة الأساسية في حدوث نخر لاوعائي (Avascular Necrosis) في رأس عظم الفخذ. بعبارة أبسط، ينقطع الإمداد الدموي المغذي لرأس عظم الفخذ (الجزء الكروي من المفصل) بشكل مفاجئ ومجهول السبب، مما يؤدي إلى موت الخلايا العظمية في تلك المنطقة وتليين العظم.
خلال هذه الفترة الحرجة، يصبح رأس الفخذ هشاً للغاية وعرضة للتشوه تحت تأثير وزن جسم الطفل والضغط العضلي. إذا تُركت الحالة دون علاج أو تم التعامل معها بطريقة غير صحيحة، فإن رأس الفخذ يفقد شكله الكروي الانسيابي ويصبح مسطحاً أو مشوهاً (كالفطر)، مما يمنعه من الحركة بسلاسة داخل التجويف الحُقي (Socket). النتيجة الحتمية لهذا التشوه هي ألم مزمن، قصر في الطرف المصاب، عرج دائم، وتطور سريع لالتهاب المفاصل التنكسي (خشونة المفصل) في سن مبكرة جداً من مرحلة البلوغ.

التشريح الحيوي: فهم مفصل الفخذ وأهمية "الشفا الحُقي"
لفهم أهمية جراحة دعم الشفا (Labral Support/Shelf Procedure)، يجب أولاً فهم التكوين الهندسي لمفصل الفخذ. مفصل الفخذ هو مفصل كروي حُقي (Ball-and-Socket Joint).
* الكرة (Ball): هي رأس عظم الفخذ.
* التجويف (Socket): هو التجويف الحُقي الموجود في عظم الحوض.
* الشفا الحُقي (Acetabular Labrum): هو حلقة من الغضروف الليفي القوي والمرن يحيط بحافة التجويف الحُقي. يعمل هذا الشفا كـ "سدادة" أو "حشوة" تزيد من عمق التجويف، وتساعد في تثبيت رأس الفخذ في مكانه، وتوزيع سائل المفصل لتقليل الاحتكاك.
في الحالات المتقدمة من مرض بيرثيز، يتضخم رأس الفخذ المشوه ويبرز خارج التجويف الحُقي (Subluxation). وعندما يحاول الطفل إبعاد ساقه (Abduction)، يصطدم الجزء البارز من رأس الفخذ بحافة التجويف والشفا الحُقي، مما يؤدي إلى سحقهما وتدميرهما. هذه الظاهرة الخطيرة تُعرف باسم الانزلاق المفصلي المحوري (Hinge Abduction)، وهي السبب الرئيسي للألم وتدمير المفصل. هنا يأتي دور جراحة دعم الشفا لإنقاذ الموقف.

الأستاذ الدكتور محمد هطيف: المرجعية الأولى لجراحة عظام الأطفال في اليمن
عندما يتعلق الأمر بجراحات دقيقة ومصيرية مثل جراحة دعم الشفا لمرض بيرثيز، فإن اختيار الجراح هو العامل الأهم في تحديد مستقبل الطفل الحركي. يُعد الأستاذ الدكتور محمد هطيف الخبير الأول والرائد في هذا المجال في العاصمة صنعاء واليمن بشكل عام.
لماذا يُعد أ.د. محمد هطيف الخيار الأمثل؟
* مكانة أكاديمية مرموقة: أستاذ جراحة العظام والمفاصل في كلية الطب بجامعة صنعاء، مما يعكس عمق المعرفة الأكاديمية والاطلاع المستمر على أحدث الأبحاث العالمية.
* خبرة تتجاوز 20 عاماً: تعامل مع أعقد حالات تشوهات العظام لدى الأطفال، وأجرى مئات الجراحات الناجحة التي أعادت الأمل للأطفال وأسرهم.
* تقنيات جراحية حديثة: يستخدم أحدث ما توصل إليه الطب من تقنيات الجراحة الميكروسكوبية، ومناظير المفاصل بدقة 4K، وتقنيات الحفاظ على المفاصل (Joint Preservation) بدلاً من استبدالها في سن مبكرة.
* الأمانة الطبية الصارمة: يُعرف أ.د. محمد هطيف بشفافيته التامة مع المرضى؛ فهو لا يوصي بالتدخل الجراحي إلا إذا كان هو الحل الأمثل والوحيد لحالة الطفل، مع شرح مفصل للنتائج المتوقعة.

مراحل تطور مرض بيرثيز والأعراض المصاحبة
مرض بيرثيز ليس حدثاً مفاجئاً ينتهي بسرعة، بل هو عملية تستمر لسنوات وتمر بأربع مراحل رئيسية. يوضح الجدول التالي هذه المراحل لمساعدة الآباء على فهم تطور الحالة:
| المرحلة | التسمية الطبية | الوصف السريري والفسيولوجي | الأعراض الملحوظة على الطفل |
|---|---|---|---|
| الأولى | مرحلة النخر (Necrosis) | ينقطع الدم عن رأس الفخذ، وتموت الخلايا العظمية. يبدأ المفصل بالالتهاب. | ألم خفيف في الفخذ أو الركبة، عرج بسيط يزداد مع النشاط البدني. |
| الثانية | التفتت (Fragmentation) | يقوم الجسم بإزالة العظم الميت. يصبح رأس الفخذ هشاً جداً ويبدأ في التسطح والتشوه. | زيادة ملحوظة في الألم، قصر في الساق المصابة، تيبس شديد، ومحدودية في الحركة. |
| الثالثة | إعادة التعظم (Reossification) | يبدأ الجسم في بناء عظم جديد لتشكيل رأس الفخذ مرة أخرى. تستمر هذه المرحلة لسنوات. | يقل الألم تدريجياً، لكن شكل رأس الفخذ الجديد يعتمد على مدى الحماية التي تلقاها في المرحلة السابقة. |
| الرابعة | إعادة التشكيل (Remodeling) | يكتمل بناء العظم الجديد. يتخذ رأس الفخذ شكله النهائي (إما كروي سليم أو مشوه). | استقرار الحالة، ولكن إذا كان العظم مشوهاً، سيبدأ الطفل في المعاناة من ألم ميكانيكي مزمن. |

متى نلجأ للعلاج الجراحي؟ (مقارنة بين العلاج التحفظي والجراحي)
لا تتطلب كل حالات بيرثيز تدخلاً جراحياً. الأطفال الذين يصابون بالمرض في سن مبكرة جداً (أقل من 6 سنوات) غالباً ما يستجيبون للعلاج التحفظي لأن لديهم وقتاً أطول لإعادة تشكيل العظم بشكل طبيعي. ومع ذلك، في الحالات المتقدمة، والأطفال الأكبر سناً، وعند ظهور علامات "الخطر" في الأشعة السينية، يصبح التدخل الجراحي حتمياً.
جدول مقارنة: العلاج التحفظي مقابل جراحة دعم الشفا (الرفرف)
| وجه المقارنة | العلاج التحفظي (الجبائر والعلاج الطبيعي) | جراحة دعم الشفا (Labral Support/Shelf) |
|---|---|---|
| الفئة المستهدفة | الأطفال أقل من 6 سنوات، الحالات الخفيفة. | الأطفال فوق 8 سنوات، الحالات الشديدة والمتقدمة. |
| آلية العمل | تقليل الضغط على المفصل، الحفاظ على مدى الحركة عبر التمارين. | توسيع سقف التجويف الحُقي جراحياً لتغطية رأس الفخذ المشوه ومنع احتكاكه. |
| المدة الزمنية | يتطلب سنوات من المتابعة واستخدام العكازات أو الكراسي المتحركة. | تدخل جذري يوفر استقراراً ميكانيكياً فورياً للمفصل. |
| القدرة على منع Hinge Abduction | ضعيفة جداً إذا كان رأس الفخذ قد تشوه بالفعل. | ممتازة. تمنع الانزلاق المحوري وتنقذ الشفا الحُقي من التدمير. |
| نسبة النجاح | متغيرة وتعتمد بشدة على التزام الطفل وعمره. | عالية جداً عند إجرائها بواسطة خبير مثل أ.د. محمد هطيف. |

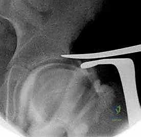
ما هي جراحة دعم الشفا (الرفرف) لمرض بيرثيز؟
جراحة دعم الشفا، أو ما يُعرف طبياً بـ (Shelf Acetabuloplasty) أو (Labral Support Procedure)، هي عملية جراحية متقدمة تهدف إلى إنقاذ مفصل الفخذ من التدمير الميكانيكي.
عندما يتضخم رأس الفخذ ويفقد شكله الكروي، فإنه ينزلق جزئياً خارج التجويف الحُقي. في هذه الجراحة، يقوم الأستاذ الدكتور محمد هطيف بأخذ طُعم عظمي (Bone Graft) - غالباً من عظم الحوض نفسه - وتثبيته فوق الحافة الخارجية للتجويف الحُقي. هذا الطُعم العظمي يخلق "سقفاً" إضافياً أو "رفرفاً" يغطي الجزء البارز من رأس الفخذ.
الأهداف الاستراتيجية للجراحة:
- منع الانزلاق المفصلي المحوري (Hinge Abduction): عن طريق توفير مساحة إضافية لرأس الفخذ المشوه ليتحرك بحرية دون الاصطدام بحافة الحوض.
- تخفيف الضغط (Decompression): يقلل الرفرف العظمي الجديد من الضغط الواقع على الغضروف المفصلي الضعيف.
- تحفيز إعادة التشكيل (Biological Remodeling): بفضل التغطية الجيدة، يُجبر رأس الفخذ أثناء نموه على اتخاذ شكل كروي يتناسب مع التجويف الجديد.

خطوات جراحة دعم الشفا خطوة بخطوة مع أ.د. محمد هطيف
تتميز العمليات التي يجريها الأستاذ الدكتور محمد هطيف بالتخطيط المسبق الدقيق باستخدام الأشعة المقطعية ثلاثية الأبعاد (3D CT Scans) والرنين المغناطيسي، لضمان أعلى نسب النجاح.
1. مرحلة التخدير والتحضير
يتم إجراء الجراحة تحت التخدير العام. يحرص الفريق الطبي في صنعاء على توفير بيئة معقمة تماماً ومراقبة حيوية دقيقة للطفل طوال فترة الإجراء.
2. الشق الجراحي والوصول للمفصل
يقوم أ.د. هطيف بعمل شق جراحي تجميلي دقيق في منطقة الفخذ للوصول إلى كبسولة المفصل. يتم استخدام أدوات دقيقة للحفاظ على الأنسجة العضلية المحيطة وتقليل النزيف.

3. تقييم الشفا الحُقي (Labrum Assessment)
بمجرد فتح الكبسولة، يتم فحص الشفا الحُقي بصرياً. إذا كان الشفا منقلباً للداخل أو ممزقاً بسبب الانزلاق المحوري، يتم تحريره وإعادته إلى وضعه التشريحي الصحيح.
4. أخذ الطُعم العظمي (Bone Graft Harvesting)
يتم أخذ قطعة صغيرة من العظم من الجناح الحرقفي (Iliac Crest) للطفل (وهو جزء من عظم الحوض لا يؤثر أخذه على الوظيفة أو الشكل).

5. بناء الرفرف (Creating the Shelf)
هنا تتجلى مهارة الأستاذ الدكتور محمد هطيف؛ حيث يقوم بإحداث شق دقيق فوق حافة التجويف الحُقي، ويدرج الطُعم العظمي بقوة داخل هذا الشق. يتم توجيه الطُعم بحيث يمتد للخارج وللأسفل، مشكلاً سقفاً صلباً يغطي رأس الفخذ البارز.

6. التثبيت والإغلاق (Fixation and Closure)
في بعض الحالات، يتم تثبيت الطُعم العظمي باستخدام دبابيس طبية أو براغي صغيرة لضمان ثباته التام حتى يندمج مع عظم الحوض الأساسي. بعد التأكد من استقرار المفصل وحركته السلسة، يتم إغلاق الكبسولة والأنسجة بخيوط تجميلية قابلة للامتصاص.

الدليل الشامل لإعادة التأهيل بعد الجراحة (Rehabilitation)
نجاح جراحة دعم الشفا لا يتوقف فقط داخل غرفة العمليات، بل يعتمد بنسبة 50% على برنامج العلاج الطبيعي وإعادة التأهيل. يضع أ.د. محمد هطيف بروتوكولاً صارماً لكل طفل لضمان أفضل النتائج.
الأسابيع من 1 إلى 6 (مرحلة الحماية القصوى)
- التحميل: يُمنع الطفل تماماً من المشي أو تحميل الوزن على الساق المصابة. يتم استخدام كرسي متحرك.
- الجبيرة: قد يوضع الطفل في جبيرة خاصة (Spica Cast) أو دعامة للحفاظ على الساق في وضعية متباعدة (Abduction) لضمان اندماج الطُعم العظمي في مكانه الصحيح.
- التمارين: تمارين خفيفة جداً لتحريك الكاحل والركبة لمنع التجلطات وتيبس العضلات.

الأسابيع من 6 إلى 12 (مرحلة استعادة الحركة)
- الأشعة: يتم إجراء أشعة سينية للتأكد من التحام الرفرف العظمي.
- التحميل: السماح بتحميل جزئي للوزن باستخدام العكازات، تحت إشراف أخصائي العلاج الطبيعي.
- العلاج المائي: يُعتبر العلاج في المسبح (Hydrotherapy) مثالياً في هذه المرحلة لتقوية العضلات دون وضع ضغط ميكانيكي على المفصل.
من 3 أشهر إلى سنة (مرحلة التقوية والعودة للحياة الطبيعية)
- التحميل الكامل: يبدأ الطفل في المشي الطبيعي تدريجياً.
- الرياضة: يُسمح بالأنشطة منخفضة التأثير مثل السباحة وركوب الدراجات. يُمنع الجري والقفز والرياضات العنيفة (مثل كرة القدم) حتى يأذن الطبيب بذلك، وهو ما يعتمد على اكتمال مرحلة "إعادة التشكيل" لعظم الفخذ.

قصص نجاح حقيقية من عيادة الأستاذ الدكتور محمد هطيف
العديد من العائلات اليمنية واجهت صدمة تشخيص أطفالها بمرض بيرثيز المتقدم. بفضل الله ثم بفضل خبرة أ.د. محمد هطيف، تغيرت حياة الكثيرين.
حالة الطفل "أحمد" (8 سنوات):
جاء أحمد إلى العيادة في صنعاء وهو يعاني من عرج شديد وقصر في الساق اليمنى بمقدار 3 سم، مع ألم يمنعه من النوم. أظهرت الأشعة تفتتاً شديداً في رأس الفخذ وبداية ظاهرة (Hinge Abduction). قرر أ.د. هطيف إجراء جراحة دعم الشفا (الرفرف). بعد العملية وبرنامج تأهيلي استمر لـ 6 أشهر، عاد أحمد ليمشي بشكل طبيعي تماماً، واختفى الألم، وأظهرت الأشعة الدورية بعد عامين إعادة تشكيل ممتازة لرأس الفخذ ليعود لشكله الكروي.
حالة الطفلة "ليان" (9 سنوات):
تم تشخيص ليان متأخراً، وكان رأس الفخذ قد برز بشكل كبير خارج التجويف. كانت فرصة العلاج التحفظي معدومة. بفضل التدخل الجراحي السريع والدقيق من قبل أ.د. هطيف، تم بناء سقف عظمي داعم أنقذ المفصل من التدمير الكامل. ليان الآن تمارس حياتها المدرسية وتلعب مع صديقاتها دون أي ألم أو إعاقة حركية.

الأسئلة الشائعة (FAQ) حول جراحة دعم الشفا لمرض بيرثيز
يُدرك الأستاذ الدكتور محمد هطيف حجم القلق الذي يساور الآباء والأمهات، لذا نُجيب هنا على أكثر الأسئلة شيوعاً بتفصيل وشفافية:
1. هل جراحة دعم الشفا خطيرة على حياة طفلي؟
الجراحة آمنة جداً وتُجرى بشكل روتيني على يد خبراء متخصصين مثل أ.د. محمد هطيف. المخاطر هي المخاطر العامة لأي تخدير أو جراحة (مثل احتمالية بسيطة للعدوى)، ويتم السيطرة عليها باستخدام المضادات الحيوية والتعقيم الصارم.
2. كم تستغرق العملية الجراحية داخل غرفة العمليات؟
عادة ما تستغرق الجراحة بين ساعتين إلى ثلاث ساعات، وتعتمد على مدى تعقيد الحالة وحجم التشوه في مفصل الفخذ.
3. هل ستترك الجراحة ندبة كبيرة ومشوهة؟
يستخدم أ.د. هطيف تقنيات الجراحة التجميلية في إغلاق الجروح، وتكون الشقوق في مناطق غير ظاهرة بشكل كبير (غالباً على الجانب الخارجي للفخذ). بمرور الوقت، تتلاشى الندبة بشكل ملحوظ.
4. هل سيعود طفلي للعب كرة القدم بعد الجراحة؟
الهدف الأساسي للجراحة هو إنقاذ المفصل من الخشونة المبكرة وتوفير حياة خالية من الألم وعرج المشي. الرياضات العنيفة وذات التأثير العالي (مثل كرة القدم) قد لا يُنصح بها مستقبلاً للحفاظ على المفصل، بينما يُشجع بشدة على الس
آلام الورك وتقييد حركته ليس قدراً محتوماً! التشخيص الدقيق والعلاج المتخصص يمكن أن يعيد لك كامل وظيفتك وحريتك في الحركة. لا تدع الألم يسيطر على حياتك.
للحصول على استشارة دقيقة وخطة علاجية مخصصة لحالتك، تواصل فوراً مع مركز الأستاذ الدكتور محمد هطيف:
الأستاذ الدكتور محمد هطيف - أفضل دكتور عظام في صنعاء، وخبير في جراحات استبدال مفصل الورك.. نلتزم بإعادتك لحياة خالية من الألم وورك قوي ووظيفي.
مواضيع أخرى قد تهمك