After Reduction: Securing Your Fracture with a Cast or Splint
Closed reduction is a procedure to set a broken bone without surgery. It is often used to treat displaced fra…
TRAUMA
Closed reduction is a procedure to set a broken bone without surgery. It is often used to treat displaced fra…
Bone fractures are one of the most common injuries in car accidents, falls, and sports, and they may require …
A subcapital femur neck fracture is a break in the neck of the femur, which is the part of the bone that conn…
A proximal femoral fracture is a break in the upper part of the thighbone, also known as the femur. This type…
Proximal femoral fractures, also known as hip fractures, are common injuries that affect older adults, especi…
A subcapital fracture is a break in the neck of the femur, which is the part of the bone that connects the he…
Proximal femoral fractures, or fractures that occur in the upper part of the femur bone, can cause significan…
Fractures are common injuries that affect millions of people every year. A fracture is a break or crack in a …
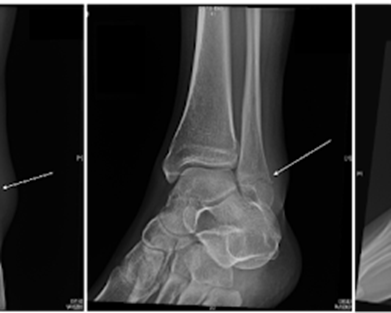
An ankle fracture is a break or crack in one or more of the bones that make up the ankle joint. The ankle joi…
A humerus fracture is a break in the upper arm bone. It is one of the most common fractures in the body, and …
The humerus is the bone that connects your shoulder to your elbow. It can break due to various causes, such a…
Fractures can be a painful and debilitating injury, but with innovative approaches to treatment, patients can…