Femoral Rotational Osteotomy: Proximal & Distal Guide, courtesy of childrens
Femoral Rotational Osteotomy (Proximal and Distal) DEFINITIONS Femoral anteversion is the angle in the transv…
SURGICAL TECHNIQUES PEDIATRIC
Femoral Rotational Osteotomy (Proximal and Distal) DEFINITIONS Femoral anteversion is the angle in the transv…
Limb Lengthening Using the Ilizarov Method or a Monoplanar Fixator DEFINITION Limb lengthening is a surgical …
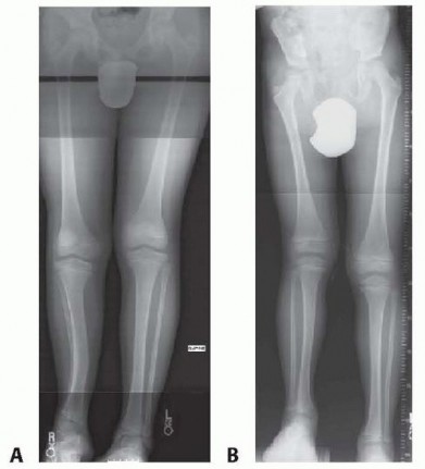
Percutaneous Distal Femoral or Proximal Tibial Epiphysiodesis for Leg Length Discrepancy DEFINITION Epiphysio…
Guided Growth to Correct Limb Deformity DEFINITION The anatomic axis is the mid-diaphyseal line of a bone. Th…
Rectus Femoris Transfer DEFINITION The gait pattern of children with cerebral palsy (CP) is frequently disrup…
Treatment of Congenital Femoral Deficiency DEFINITION The term proximal focal femoral deficiency (PFFD) is us…
Syme and Boyd Amputations for Fibular Deficiency DEFINITION Fibular deficiency, previously known as fibular h…
Multiple Percutaneous Osteotomies and Fassier-Duval Telescoping Nailing of Long Bones in Osteogenesis Imperfe…
Surgical Repair of Irreducible Congenital Dislocation of the Knee DEFINITION Congenital dislocation of the kn…
57 Excision of Physeal Bar DEFINITION A physeal bar, or partial premature physeal arrest, is an osseous conne…
Proximal Femoral Varus Osteotomy Using a 90-Degree Blade Plate DEFINITION Proximal femoral varus osteotomy ca…
Proximal Hamstring and Adductor Lengthening DEFINITION Proximal hamstring lengthenings are primarily performe…