Regain Elbow Function: Expert Treatment of Elbow Stiffness
Arthroscopic Treatment of Elbow Loss of Motion DEFINITION Loss of motion is a common sequela of elbow trauma …
Surgical Technique Sport
Arthroscopic Treatment of Elbow Loss of Motion DEFINITION Loss of motion is a common sequela of elbow trauma …
Management of Glenohumeral Instability with Humeral Bone Loss i DEFINITION The glenohumeral joint is one of t…
Elbow and Wrist Elbow Arthroscopy: The Basics DEFINITION Elbow arthroscopy involves the use of an arthroscope…
Shoulder Arthroscopy: The Basics DEFINITION The shoulder is a spheroidal multiaxial joint stabilized not only…
Chapter 40 Arthroscopic Treatment of Elbow Loss of Motion Laith M. Al-Shihabi Chris Mellano Robert W. Wysocki…
Chapter 40 Arthroscopic Treatment of Elbow Loss of Motion Laith M. Al-Shihabi Chris Mellano Robert W. Wysocki…
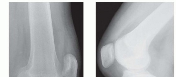
Chapter 41 Acute Patellar and Chronic Patellar Instability Eric J. Wall Jay C. Albright Sarah R. Steward DEFI…
Knee Lateral Release DEFINITION Patellofemoral pain is a common symptom in active adolescents and adults. The…
Arthroscopic Drilling and Fixation of Osteochondritis Dissecans DEFINITION Osteochondritis dissecans (OCD) is…
Arthroscopy-Assisted Management or Open Reduction and Internal Fixation of Tibial Spine Fractures DEFINITION …
Meniscoplasty for Discoid Lateral Meniscus t DEFINITION A discoid meniscus is abnormal in both thickness and …
Posterior Cruciate Ligament Surgery DEFINITION The posterior cruciate ligament (PCL) serves as the primary re…