Optimizing TKR in Valgus: Expert Strategies for Complex Cases

Key Takeaway
In this comprehensive guide, we discuss everything you need to know about Optimizing TKR in Valgus: Expert Strategies for Complex Cases. TKR in valgus involves total knee arthroplasty for a valgus (knock-knee) deformity, commonly associated with rheumatoid arthritis or osteoarthritis. Key considerations include thorough preoperative assessment of ligament competency and deformity. Intraoperatively, surgeons address challenges like deficient lateral femoral condyles, femoral/tibial rotation, and soft tissue imbalance, often requiring specific adjustments or a lateral retinacular release for optimal patella tracking.
๐
Clinical Article
KNEE Structured oral examination question1: TKR in valgus knee
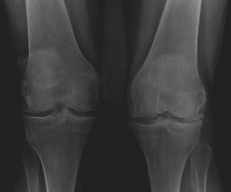
EXAMINER : This is a radiograph of a 72-year-old lady complaining of pain and gradual deformity of both knees. She has been referred to your clinic to be considered for total knee arthroplasty. What can you see? (Figure 3.1.) CANDIDATE : These are weightbearing anteroposterior ( AP ) views of a 72-year-old lady demonstrating narrowing of joint spaces with bone-on-bone contact in the lateral compartments of both knees. There is early arthrosis affecting the medial compartments of both knees. There is moderate valgus deformity. EXAMINER : What conditions are associated with this pattern of joint disease? CANDIDATE : The valgus deformity of the knee with arthritis is commonly seen in women and in inflammatory joint conditions such as rheumatoid arthritis. It can also occur in primary osteoarthritis, overcorrection of high tibial osteotomy (HTO), post-traumatic arthritis following lateral meniscectomy and osteonecrosis. EXAMINER : What are the perioperative considerations for total knee arthroplasty in valgus knee? CANDIDATE : The preoperative assessment should include a thorough history and examination to establish if there are any predisposing factors such as rheumatoid arthritis and the success of non-surgical management. The competency of the knee collateral ligaments and degree of deformity correction should be assessed in order to plan on type of implants. I would use a medial parapatellar because this gives good access to the whole knee and better soft tissue cover. I am aware that a lateral approach can also be used. EXAMINER : What is the theoretical advantage of a lateral approach? CANDIDATE : It is a direct approach providing easier access and preserves the neurovascular supply to the extensor mechanism. EXAMINER : Tell me more about the intraoperative considerations. CANDIDATE : In valgus knees the lateral femoral condyle is deficient, therefore the femur is internally rotated and tibia is externally rotated. The medial structures are stretched while lateral and posterior structures are contracted. The vastus lateralis acts as a subluxing or dislocating force to the patella. In mild valgus deformity (7โ10) a distal femoral cut of 7 can improve patella tracking and avoid the need for lateral retinacular release. Due to the posterior femoral condyle deficiency, the standard 3 posterior condylar referencing can result in internal rotation of the component. In this situation,

Figure 3.1 Anteroposterior (AP) radiograph bilateral knees.
AP axis (Whiteside line) is used to prevent malrotation in the form of internal rotation. Patients with severe valgus deformity usually require lateral retinacular release to achieve proper patella tracking. With regards to flexionโextension gap, the release of lateral and posterior structures results in increased extension gap requiring a thicker insert which may elevate the joint line. Excessive PCL release usually requires cruciate sacrificing implants in order to balance the knee. With correction of significant valgus deformity, one has to watch for peroneal nerve palsy in the postoperative period.
Arima J, Whiteside LA, McCarthy D, White SE. Femoral rotational alignment based on the AP axis, in TKR in a valgus knee. J Bone Joint Surg Am 1995;77:1331โ1334.
KNEE Structured oralexamination question1: TKR in valgus knee EXAMINER : This is a radiograph of a 72-year-old lady complaining of pain and gradual deformity of both knees. She has been referred to your clinic to be considered for total knee arthroplasty. What can you see? (Figure 3.1.) CANDIDATE : These are weightbearing anteroposterior ( AP ) views of a 72-year-old lady demonstrating narrowing of joint spaces with bone-on-bone contact in the lateral compartments of both knees. There is early arthrosis affecting the medial compartments of both knees. There is moderate valgus deformity. EXAMINER : What conditions are associated with this pattern of joint disease? CANDIDATE : The valgus deformity of the knee with arthritis is commonly seen in women and in inflammatory joint conditions such as rheumatoid arthritis. It can also occur in primary osteoarthritis, overcorrection of high tibial osteotomy (HTO), post-traumatic arthritis following lateral meniscectomy and osteonecrosis. EXAMINER : What are the perioperative considerations for total knee arthroplasty in valgus knee? CANDIDATE : The preoperative assessment should include a thorough history and examination to establish if there are any predisposing factors such as rheumatoid arthritis and the success of non-surgical management. The competency of the knee collateral ligaments and degree of deformity correction should be assessed in order to plan on type of implants. I would use a medial parapatellar because this gives good access to the whole knee and better soft tissue cover. I am aware that a lateral approach can also be used. EXAMINER : What is the theoretical advantage of a lateral approach? CANDIDATE : It is a direct approach providing easier access and preserves the neurovascular supply to the extensor mechanism. EXAMINER : Tell me more about the intraoperative considerations. CANDIDATE : In valgus knees the lateral femoral condyle is deficient, therefore the femur is internally rotated and tibia is externally rotated. The medial structures are stretched while lateral and posterior structures are contracted. The vastus lateralis acts as a subluxing or dislocating force to the patella. In mild valgus deformity (7โ10) a distal femoral cut of 7 can improve patella tracking and avoid the need for lateral retinacular release. Due to the posterior femoral condyle deficiency, the standard 3 posterior condylar referencing can result in internal rotation of the component. In this situation,

Figure 3.1 Anteroposterior (AP) radiograph bilateral knees.
AP axis (Whiteside line) is used to prevent malrotation in the form of internal rotation. Patients with severe valgus deformity usually require lateral retinacular release to achieve proper patella tracking. With regards to flexionโextension gap, the release of lateral and posterior structures results in increased extension gap requiring a thicker insert which may elevate the joint line. Excessive PCL release usually requires cruciate sacrificing implants in order to balance the knee. With correction of significant valgus deformity, one has to watch for peroneal nerve palsy in the postoperative period.
Arima J, Whiteside LA, McCarthy D, White SE. Femoral rotational alignment based on the AP axis, in TKR in a valgus knee. J Bone Joint Surg Am 1995;77:1331โ1334.