Orthopedic Spine Review | Dr Hutaif Spine Surgery Revie -...

Key Takeaway
Your ultimate guide to Orthopedic MCQS online Spine 0018 starts here. Addressing the question of clinical factors impacting orthopedic surgery, baseline depression significantly lowers adult spinal deformity correction outcomes. Minimizing risks during C1-2 posterior fusion demands limiting lateral dissection to 1.5 cm to protect the vertebral artery. While interbody fusion for spondylolisthesis can increase costs, its impact on functional outcomes varies, highlighting careful consideration.
Orthopedic MCQS online Spine 0018
AAOS
Adult spine self Assessment 2018
Question 1 of 100
When compared with posterior decompression and fusion, the addition of an interbody fusion for the treatment of degenerative spondylolisthesis and stenosis has been shown to
1. result in increased patient functional outcome scores.
2. reduce the incidence of symptomatic pseudarthrosis.
3. increase the length of hospital stay.
4. increase hospital costs. Discussions: D
The use of an interbody graft has been shown to increase hospital costs. Gottschalk and associates found no change in Oswestry Disability Index (ODI) or 36-Item Short-Form Health Survey (SF-36) scores when comparing patients fused using either posterior fusion or transforaminal interbody fusion. They also found no change in fusion rates at 3 years after surgery. Carreon and associates showed some that using a posterior place interbody transforaminal lumbar interbody fusion (TLIF) or posterior lumbar interbody fusion (PLIF) did result in improved ODI and SF-6D scores but did not result in any change in EuroQol five dimensions questionnaire (EQ-5D) scores. Using the EQ-5D data, they estimated that the use of an interbody graft becomes cost prohibitive if the charges exceed $1,570 above the cost of a posterior fusion. The use of an interbody cage has not been shown to increase hospital stay.
Question 2 of 100
Improvements in outcomes after correction surgery for adult spinal
deformity (ASD) are lowered by
1. baseline depression.
2. race.
3. age.
4. ethnicity. Discussions: A
Depression increases the risk of poor outcomes in spine surgery, including ASD surgery. Race, age, and ethnicity have not been shown to have substantial effects.
Question 3 of 100
What structure is most at risk when dissecting too far laterally during a C1-2
posterior fusion?
1. Spinal cord
2. Transverse ligament
3. Sympathetic chain
4. Vertebral artery Discussion: D
Surgical dissection of the posterior arch of C1 should be limited to 1.5 cm lateral to the midline to avoid injury to the vertebral artery. Injury to the spinal cord would be a risk of dissecting too far ventrally past the posterior arch of C1. The transverse ligament is located ventral to the spinal cord and would not be at risk during a posterior exposure. The sympathetic chain is an anterior structure and is at risk during anterior approaches.
Question 4 of 100
A 14-year-old, skeletally immature girl has adolescent idiopathic scoliosis
(AIS). Her major curve resides in the thoracic spine, and it measures 28˚. She has been advised to wear a brace but is not willing to do so and inquires about the relative success rate of bracing versus close observation. The patient should be told that, when compared with observation, bracing
1. does not reduce the progression of AIS curves.
2. reduces the need for surgery by 50%.
3. reduces the need for surgery by 75%.
4. reduces the need for surgery by 25% Discussion: B
The odds of needing surgery are reduced by 2 to 1 compared with observation alone, according to a recent prospective randomized study by Weinstein and associates. The study was ended early when the efficacy of bracing reached a predetermined end point. Bracing was more effective when the brace was worn at least 12 hours per day.
Question 5 of 100
Figures 1 and 2 are CT scans obtained from a 68-year-old man who has had
progressive neck pain and stiffness, worsening gait imbalance, upper extremity weakness, early muscle fatigue, difficulty with fine motor control, and difficulty with activities of daily living over the past few years. On physical examination, he has a wide based stiff legged gait, generalized upper extremity weakness, dense sensory loss in the upper and lower extremities, and markedly brisk reflexes. What is the most appropriate treatment for this patient?
1. Observation
2. Cervical epidural injections
3. Multilevel anterior cervical decompression and fusion
4. Posterior cervical laminoplasties from C3-6 Discussions: D
This patient has progressive myelopathy secondary to ossification of the posterior longitudinal ligament. Diagnostic imaging reveals multilevel cervical cord compression from C4-6. The patient has maintained reasonable cervical lordosis. A posterior procedure such as multilevel laminoplasty
decompresses the spine, is motion preserving, and has a low complication rate. Observation and cervical epidural injections are not viable options in patients with progressive myelopathy. Anterior cervical decompression, including corpectomy, is an option; however, anterior procedures have an increased risk of complications such as dural tear or cerebrospinal fluid leak. The axial CT image shows a "double layer" sign, which is consistent with dural ossification and increases the risk of dural injury with anterior decompression
Question 6 of 100
CLINICAL SITUATION
Figure 1 shows a CT from the cervical spine of an 85-year-old woman who fell from a standing height 1 week earlier. She is independent and ambulatory and resides in an assisted living facility. She reports persistent neck pain but denies arm pain or weakness. She is neurologically intact.
Fractures in this region of C2 have a high risk of
1. spinal cord injury.
2. union.
3. nonunion.
4. stroke
Discussion: C
Increased displacement and angulation of odontoid fractures have an increased risk of nonunion. Surgical stabilization has reduced the risks of mortality without increasing the risk of complications compared with nonsurgical treatment options. When treating odontoid fractures, halo vest
immobilization has been shown to increase the risk of dysphagia in the elderly.
Question 7 of 100
CLINICAL SITUATION
Figure 1 shows a CT from the cervical spine of an 85-year-old woman who fell from a standing height 1 week earlier. She is independent and ambulatory and resides in an assisted living facility. She reports persistent neck pain but denies arm pain or weakness. She is neurologically intact.
The preferred mode of treatment for this patient’s fracture is
1. a halo vest.
2. a hard cervical collar.
3. physical therapy.
4. posterior C1-2 arthrodesis. Discussion: D
Increased displacement and angulation of odontoid fractures have an increased risk of nonunion. Surgical stabilization has reduced the risks of mortality without increasing the risk of complications compared with nonsurgical treatment options. When treating odontoid fractures, halo vest immobilization has been shown to increase the risk of dysphagia in the elderly.
Question 8 of 100
CLINICAL SITUATION
Figure 1 shows a CT from the cervical spine of an 85-year-old woman who fell from a standing height 1 week earlier. She is independent and ambulatory and resides in an assisted living facility. She reports persistent neck pain but denies arm pain or weakness. She is neurologically intact.
What are the risks associated with halo vest treatment, compared with hard-collar treatment?
1. Increased mobility
2. Dysphagia
3. Spinal cord injury
4. Dysphonia Discussion: B
Increased displacement and angulation of odontoid fractures have an increased risk of nonunion. Surgical stabilization has reduced the risks of mortality without increasing the risk of complications compared with nonsurgical treatment
Question 9 of 100
Figure 1 shows a radiograph obtained from a 68-year-old man who was
treated with anterior neck surgery 12 months earlier. Despite some clinical improvement, he continues to have unsteadiness of gait and generalized
clumsiness. He has persistent biceps and triceps weakness. New CT and MRI scans are obtained, which show residual multilevel cervical stenosis. An elective posterior cervical procedure is performed. He immediately reports increased biceps and triceps strength. At his 2-week post operative appointment, the patient is distraught because of new-onset right dominant shoulder pain and weakness. He states he cannot brush his teeth or comb his hair. On physical examination, he is shown to have profound weakness (grade 2 of 5), with left shoulder abduction and moderate weakness with left elbow flexion. Sensation is also decreased in the left deltoid region. His wound is clean and nonindurated and shows no erythema or swelling. He is afebrile and has a normal white blood count. What is the best next step?
1. Reassurance and observation
2. Emergent CT of the cervical spine
3. EMG and nerve conduction velocitytest
4. Immediate re-exploration of posterior cervical wound Discussion: A
This patient has a classic C5 nerve root palsy, which can occur up to 1 year after decompressive anterior or posterior cervical surgery. It has been reported that intraoperative neuromonitoring and prophylactic C4-5 neuroforaminotomy can reduce the incidence of C5 palsy in posterior cervical decompressive surgery. The weakness can be debilitating, but approximately 70% of cases resolve within 6 months. Recovery is spontaneous, and no treatment has been proven to improve recovery. CT may be reasonable, and wound re-exploration would be needed if hematoma, infection, or aberrant screw placement was suspected. In this scenario, none of these factors seem to be present. Also, the delayed nature
of the findings makes screw malplacement less likely. Neurodiagnostic testing in the early postoperative period (earlier than 6 weeks) would be nondiagnostic.
Question 10 of 100
A 73-year-old woman has back and leg pain. Imaging reveals a lumbar
degenerative scoliosis. Nonsurgical management, consisting of physical therapy, medications, and injections, has failed. During the surgical planning, dual-energy x-ray absorptiometryis performed, and her T-score returns as -
2.6. Intraoperative options to help reduce the risk of instrumentation failure include
1. teriparatide injection.
2. multilevel interbody fusion.
3. augmentation of pedicle screws with polymethylmethacrylate (PMMA).
4. iliac crest bone graft. Discussion: C
Instrumentation of the osteoporotic spine is becoming more common as the population ages. Some intraoperative options to reduce pedicle screw failure rates include augmenting the pedicle screw with PMMA, using a fenestrated screw designed for injection of the PMMA through the screw, and using hydroxyapatite coated screws. Teriparatide is a parathyroid hormone analogue used as a second-line treatment for osteoporosis. Preoperative administration potentially can increase bone quality. Postoperative administration of teriparatide has been shown to increase lumbar fusion rates. In the setting of osteoporosis, multilevel interbody fusion can increase the risk of implant subsidence. Although iliac crest bone graft is the gold standard graft used to obtain fusion, it does not have immediate impact on the rate of implant failure in osteoporosis.
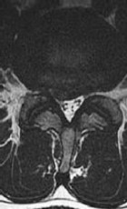
Question 11 of 100
CLINICAL SITUATION
Figures 1 and 2 show sagittal and axial MRI from an 83-year-old woman with an ataxic gait, loss of dexterity, and intermittent loss of bowel and bladder control. The symptoms have been getting progressively worse over the past several weeks.
What disease process is most likely the cause of the patient’s symptoms?
1. Systemic lupus erythematosus
2. Rheumatoid arthritis
3. Diabetes mellitus
4. Pigmented villonodular synovitis Discussion: B
The patient has a pannus at the C1-2 articulation that is compressing the spinal cord and causing myelopathy symptoms. The development of a pannus at this location has been associated with rheumatoid arthritis. Steinberger and associates showed increased morbidity and mortality when using an anterior approach and the surgery took longer than 4 hours. Chieng and associates showed better outcomes and lower complications rates using a posterior approach.
Question 12 of 100
CLINICAL SITUATION
Figures 1 and 2 show sagittal and axial MRI from an 83-year-old woman with an ataxic gait, loss of dexterity, and intermittent loss of bowel and bladder control. The symptoms have been getting progressively worse over the past several weeks.
When discussing anterior versus posterior surgical techniques, you counsel this patient that
1. the risks of a transoral decompression are higher if the surgery takes longer than 4 hours.
2. posterior surgery is associated with longer hospital stays.
3. anterior surgery is associated with better postoperative outcomes.
4. posterior surgery is associated with a higher rate of complications.
Discussion: A
The patient has a pannus at the C1-2 articulation that is compressing the spinal cord and causing myelopathy symptoms. The development of a pannus at this location has been associated with rheumatoid arthritis. Steinberger and associates showed increased morbidity and mortality when using an anterior approach and the surgery took longer than 4 hours. Chieng and associates showed better outcomes and lower complications rates using a posterior approach.
Question 13 of 100
After performing an anterior cervical diskectomy and fusion at C5-6, the
patient has moderate neck pain, neck stiffness, and discomfort when swallowing solid foods. Figure 1 shows a clinical photograph of his appearance. What has most likely occurred?
1. Recurrent laryngeal nerve injury
2. Superior laryngeal nerve injury
3. Ansa cervicalis nerve injury
4. Injury to the sympathetic trunk Discussion: D
This patient has a Horner syndrome, which is manifested by ptosis, miosis, anhydrosis, occasional reddish conjunctiva, swelling of the lower eyelid, and decreased tear production. The recurrent laryngeal nerve innervates all pharyngeal muscles except the cricothyroid. Injury to this nerve is manifested by hoarseness. The superior laryngeal nerve supplies the cricothyroid. Cricothyroid weakness is manifested by voice fatigue and difficulty singing in high pitch. The ansa cervicalis innervates all the strap muscles except the thyrohyoid muscle, which is innervated by the hypoglossal nerve.
Question 14 of 100
The use of bone morphogenetic protein-2 (BMP-2) is cost effective
compared with autologous iliac crest bone graft when
1. used in routine spinal arthrodesis.
2. productivity and lost wages are included in the analysis.
3. upfront costs are included in the analysis.
4. used in tumor spinal arthrodesis. Discussion: B
The use of BMP-2 in lumbar spine surgery is cost effective compared with autologous iliac crest bone graft, because fewer additional treatments are needed, including a decreased incidence of revision surgery. This cost effectiveness is evident when evaluating productivity and lost wages. BMP-2 is contraindicated in tumor surgery.
Question 15 of 100
The use of vancomycin powder in spinal surgery has been shown to
1. increase the risk of postoperative wound infection.
2. increase the risk of vancomycin-resistant organisms.
3. have no effect on the rate of postoperative wound infection.
4. reduce the risk of postoperative wound infection.
Discussion: D
In a meta-analysis of 9 studies (8 level III, 1 level II) involving 2,574 cases, with 106 infections in the control group and 33 in the vancomycin group, a relative risk reduction of 68% was observed. The number needed to treat to prevent 1 infection was 36 cases.
The use of adjuvant vancomycin powder was associated with a significant reduction in the incidence of postoperative infection and in infection-related medical costs. These findings suggest that using adjuvant vancomycin powder in high-risk patients undergoing spinal fusion is a cost-saving option for preventing postoperative infections. It can lead to cost savings of
$438,165 per 100 spinal fusions performed. The use of vancomycin powder has not been shown to increase the incidence of vancomycin resistance.
Question 16 of 100
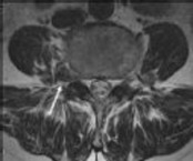
A 73-year-old man with diabetes comes to the emergency department with
low back pain and fever. His blood cultures are positive for methicillin-resistant Staphylococcus aureus (MRSA). He has no neurologic signs or symptoms of lumbar radiculopathy or cauda equina syndrome. Figure 1 shows his axial T2-weighted MRI, and an arrow marks the junction of the theca sac and the epidural abscess. What is the most appropriate recommendation for this patient?
1. weeks, followed by oral antibiotics
2. Intravenous vancomycin for 6 weeks, followed by oral antibiotics
3. Lumbar laminectomy with evacuation of the abscess, followed by antibiotics
4. Anterior diskectomy, followed by antibiotics Discussion: C
Epidural abscess once was considered an absolute indication for surgery. Nonsurgical management has been gaining ground for select patients, however. Kim and associates reported the results of a large series of patients treated for epidural abscess. Many of the patients were treated successfully without surgery, and nonsurgical management was chosen for many of the patients who presented without signs or symptoms of neurologic dysfunction. The authors identified four risk factors that were highly associated with the failure of nonsurgical management, however, including age older than 65 years, diabetes, MRSA, and neurologic compromise.
Question 17 of 100
A 63-year-old woman has a lumbar epidural abscess. She is neurologically
intact. Initially, she is treated with empiric intravenous antibiotics. Which factor suggests that nonsurgical care is likely to be unsuccessful?
1. C-reactive protein (CRP) level of 100
2. Age 63 years
3. Blood cultures positive for coagulase-negative staphylococci
4. White blood cell count (WBC) 13.5 Discussion: D
Risk factors for the failure of nonsurgical care for epidural abscess include a history of intravenous drug abuse, diabetes, age older than 65 years, CRP higher than 115, WBC higher than 12.5, and cultures positive for Staphylococcus aureus. A progressive neurologic deficit should be considered a sign that nonsurgical care has failed and that surgery should be considered.
Question 18 of 100
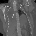
Figures 1 and 2 show a sagittal CT scan and a clinical photograph from a 16-
year-old boy who was found unresponsive after a diving accident. He had to be extricated from the bottom of a swimming pool by friends and was intubated at the scene by paramedics. In the emergency department, he was found to have weak triceps and grip strength bilaterally. Lower extremity strength was trace (grade 1 of 5). Sensation was diminished below the T2 dermatome. He had an absent bulbocavernosus reflex. Immediate open posterior reduction and stabilization were performed. Postoperative MRI revealed no iatrogenic disk herniation. Postoperative neurologic function revealed grade 4 strength in the triceps, wrist flexors, and bilateral grip. His lower extremity strength was grade 3. The sensory examination showed only slight diminution in the legs bilaterally. His bulbocavernosus reflex returned on postoperative day 2. On postoperative day 3, he required reintubation and was noted to require high positive end-expiratory pressures and a high ventilatory rate to keep him oxygenated. On postoperative day 4, his temperature was 38.7° C, blood pressure was 90/48, and pulse was 110 beats per minute. The urinary output measured 32 ml per hour. The white blood cell count was 14.8 with a left shift. A chest CT was ordered, and the results are shown in Figure 3. What best describes his condition?
1. Neurogenic shock
2. Spinal shock
3. Hypovolemic shock
4. Septic shock Discussion: D
Aspiration pneumonia developed, as seen on CT, and presumably occurred during his near drowning accident. His laboratory values and hemodynamic status are characteristic for septic shock. His original neurologic injury is an incomplete spinal cord injury, but after reduction and stabilization, he showed neurologic improvement, so this injury should not have contributed to his circulatory problems. The treatment for septic shock is broad spectrum antibiotics (species specific if the pathogen is identified) and pressors.
Question 19 of 100
CLINICAL SITUATION
A 68-year-old man has a 6-month history of severe left buttock pain extending down the back of the thigh. He has a past surgical history of fusion from L3 to S1 performed 5 years earlier and a left total hip replacement performed 2 years earlier. Recent radiographs of the hip are unremarkable. On examination, he is noted to sit leaning towards the right side. The area just below the left posterior superior iliac spine is tender to palpation. He has a negative straight leg raise test but does have pain with flexion abduction and external rotation of the left hip.
Which test is most likely to confirm the cause of the patient’s pain?
1. Intra-articular sacroiliac (SI) joint injection
2. L2-3 selective nerve root block radiculopathy
3. Triple-phase bone scan
4. MRI of the pelvis Discussion: A
The patient has SI joint pain, which typically is felt in the buttock over the joint and can cause referred pain into the leg. Physical examination findings include tenderness over the joint (using the Fortin finger test); pain with
compression, distraction, and shear forces across the joint; pain with flexion, abduction, and external rotation; and pain with the Gaenslen test. The diagnosis is confirmed with an intra-articular injection. Prior lumbar fusion, especially when involving more than 3 levels, has been associated with an increased risk of SI joint pain. If nonsurgical care fails, minimally invasive fusion of the SI joint can be an option that improves pain and function outcomes better than continued nonsurgical care, according to several studies. Polly and associates have shown that the amount of pain relief following surgery does not correlate to the amount of relief following injections. Pseudarthrosis rates have been reported to be about 5%. Incidences of injury to the sacral nerve roots following surgery have been reported.
Question 20 of 100
CLINICAL SITUATION
A 68-year-old man has a 6-month history of severe left buttock pain extending down the back of the thigh. He has a past surgical history of fusion from L3 to S1 performed 5 years earlier and a left total hip replacement performed 2 years earlier. Recent radiographs of the hip are unremarkable. On examination, he is noted to sit leaning towards the right side. The area just below the left posterior superior iliac spine is tender to palpation. He has a negative straight leg raise test but does have pain with flexion abduction and external rotation of the left hip.
What risk factor may have been a predisposing factor in the development of this condition?
1. Prior total hip arthroplasty
2. Male gender
3. Age older than 60 years
4. Prior lumbar fusion Discussion: D
The patient has SI joint pain, which typically is felt in the buttock over the joint and can cause referred pain into the leg. Physical examination findings include tenderness over the joint (using the Fortin finger test); pain with compression, distraction, and shear forces across the joint; pain with flexion, abduction, and external rotation; and pain with the Gaenslen test. The diagnosis is confirmed with an intra-articular injection. Prior lumbar fusion, especially when involving more than 3 levels, has been associated with an increased risk of SI joint pain. If nonsurgical care fails, minimally invasive fusion of the SI joint can be an option that improves pain and function outcomes better than continued nonsurgical care, according to several studies. Polly and associates have shown that the amount of pain relief following surgery does not correlate to the amount of relief following injections. Pseudarthrosis rates have been reported to be about 5%. Incidences of injury to the sacral nerve roots following surgery have been reported.
Question 21 of 100
CLINICAL SITUATION
A 68-year-old man has a 6-month history of severe left buttock pain extending down the back of the thigh. He has a past surgical history of fusion from L3 to S1 performed 5 years earlier and a left total hip replacement performed 2 years earlier. Recent radiographs of the hip are unremarkable. On examination, he is noted to sit leaning towards the right side. The area just below the left posterior superior iliac spine is tender to palpation. He has a negative straight leg raise test but does have pain with flexion abduction and external rotation of the left hip.
After the diagnosis is confirmed, initial nonsurgical treatment, which included physical therapy and nonsteroidal anti-inflammatory drugs, fails. When discussing surgery, you counsel the patient that
1. the degree of pain relief following surgery correlates to the degree of pain improvement following injections.
2. surgery does not result in as much reduced pain as does nonsurgical care.
3. a risk of nerve injury exists due to implant malpositioning.
4. the rate of pseudarthrosis exceeds 30%. Discussion: C
The patient has SI joint pain, which typically is felt in the buttock over the joint and can cause referred pain into the leg. Physical examination findings include tenderness over the joint (using the Fortin finger test); pain with compression, distraction, and shear forces across the joint; pain with flexion, abduction, and external rotation; and pain with the Gaenslen test. The diagnosis is confirmed with an intra-articular injection. Prior lumbar fusion, especially when involving more than 3 levels, has been associated with an increased risk of SI joint pain. If nonsurgical care fails, minimally invasive fusion of the SI joint can be an option that improves pain and function outcomes better than continued nonsurgical care, according to several studies. Polly and associates have shown that the amount of pain relief following surgery does not correlate to the amount of relief following injections. Pseudarthrosis rates have been reported to be about 5%. Incidences of injury to the sacral nerve roots following surgery have been reported.
Question 22 of 100
Figures 1 through 3 show sagittal and axial MRIs and a radiograph from a
77-year-old woman with leg pain when standing and walking of 1 year duration. The pain improves when she leans forward. She has been in physical therapy, taken oral analgesics, and had epidural injections with minimal relief. What is the best next step?
1.
Later
al interbody fusion
2. Laminectomy
3. Posterior spinal fusion with multilevel transforaminal lumbar interbody fusion
4. Microdiskectomy Discussion: B
The patient has lumbar stenosis of L2-3 and L3-4. She has no spondylolisthesis or instability. For her condition, spinal fusion plays a minimal role. She has no evidence of instability, and her condition can be addressed through laminectomy only. No role exists for microdiskectomy, because her disease results from a combination of ligamentum flavum hypertrophy and facet hypertrophy.
Question 23 of 100
An elite football player sustains an on-field trauma. He has right C6 radicular
pain but has no weakness on physical examination or upper motor neuron signs. MRI reveals a far-lateral right C5-6 disk herniation with no evidence of cord compression. He would like to return to play as soon as possible. What is best next step?
1. Surgery
2. Physical therapy
3. Repeat MRI
4. Return to play
Discussion: B
The first line of treatment for a patient with radiculopathy without neurologic deficits, regardless of profession, is nonsurgical treatment. If this approach fails, an epidural steroid injection can be considered. If injection fails, surgery is an option.
Question 24 of 100
When performing open transforaminal interbody fusion, the use of cortical
medial to lateral trajectory screws rather than traditional pedicle screws has been shown to
1. increase fatigue pull-out strength.
2. reduce intraoperative blood loss.
3. improve reduction for patients with spondylolisthesis.
4. reduce the incidence of adjacent segment disease. Discussion: B
Cortical medical to lateral screw fixation has been growing in popularity as an alternative to traditional pedicle screw fixation. Lee and associates compared 39 patients who underwent a transforaminal lumbar interbody fusion performed with conventional screws with 40 patients who underwent a transforaminal lumbar interbody fusion performed using cortical screws. The authors showed equivalent fusion rates and similar Oswestry Disability Index and Visual Analogue Scale (VAS) pain scores postoperatively. The cortical screw group had less blood loss, shorter operating room times, and shorter incision lengths. Similarly, Orita and associates reported equivalent postoperative VAS pain scores compared with those from traditional techniques. They also found lower fluoroscopy times and shorter incision lengths. Ninomiya and associates showed equivalent radiographic outcomes, including for the reduction of the spondylolisthesis and the restoration of lumbar lordosis. Some controversy exists over the initial pull-out strength of cortical screws; some studies show improved initial pull-out strength, and others show it to be lower compared with that of traditional pedicle screws.
Orita and associates showed that, after loading both types of the screws through 100 cycles, traditional pedicle screws had statistically significantly better fatigue strength. Cortical screws have not been shown to affect the incidence of adjacent segment disease.
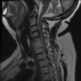
Question 25 of 100
CLINICAL SITUATION
Preoperative MRI images are shown from a 67-year-old woman with neck pain, bilateral upper extremity paresthesias, progressively worsening balance, several falls, and increasing problems in both hands with dropping objects. Figure 1 is a sagittal view, Figure 2 is an axial cut at C2-3, Figure 3 is an axial cut at C5-6, and Figure 4 is an axial cut at C6-7. The patient’s motor strength is grade 4+ of 5 in the bilateral upper extremities.
What is the best next step?
1. Physical therapy
2. Cervical epidural steroid injection
3. Multilevel anterior cervical diskectomy and fusion
4. Posterior decompression and fusion Discussion: D
The patient has degenerative changes with central and foraminal stenosis from C2-7, including spinal cord compression at C2-3, C5-6, and C6-7. Her progressively worsening balance, falls, and clumsiness are consistent with cervical spondylotic myelopathy. Given the progressive nature of the neurologic symptoms, surgery is recommended for patients with worsening
symptoms. Physical therapy potentially could provide pain relief but would not address the spinal cord compression. Cervical epidural steroid injection is not recommended because of the increased neurologic risk in the setting of substantial spinal cord compression. Given the multiple levels involved and the extension to the C2-3 level, an anterior approach would increase the risk of morbidity and pseudarthrosis compared with the posterior approach, which would allow adequate decompression of the central and foraminal stenosis.
Surgery for cervical myelopathy is performed to decompress the spinal cord, stabilize the spine, and prevent further neurologic injury. Most patients obtain considerable pain relief and some improvement in balance and clumsiness, depending on the severity of the symptoms. Complete resolution of all symptoms should not be expected.
The postoperative loss of strength in the bicep and deltoid are consistent with C5 nerve palsy, which occurs in 0% to 30% of patients following cervical decompression surgery. Commonly, symptoms occur several days postoperatively. No findings suggested infection, and infection would not lead to these symptoms. A transection of the nerve likely would have been identified during surgery, would have caused immediate symptoms, and is much less common than C5 nerve palsy. Most patients achieve near complete resolution of symptoms within 6 months without further surgical intervention, but the process can take more than 12 months in some cases. No improvement is rare. Oral or injectable steroids and revision surgery are not indicated.
Question 26 of 100
CLINICAL SITUATION
Preoperative MRI images are shown from a 67-year-old woman with neck pain, bilateral upper extremity paresthesias, progressively worsening balance, several falls, and increasing problems in both hands with dropping objects. Figure 1 is a sagittal view, Figure 2 is an axial cut at C2-3, Figure 3 is an axial cut at C5-6, and Figure 4 is an axial cut at C6-7. The patient’s motor strength is grade 4+ of 5 in the bilateral upper extremities.
What is the most likely outcome following treatment for this condition?
1. Pain relief only
2. Continued pain but restoration of balance
3. Halting of further progression with some balance improvement
4. Restoration of strength and balance, paresthesias and clumsiness to normal Discussion: C
The patient has degenerative changes with central and foraminal stenosis from C2-7, including spinal cord compression at C2-3, C5-6, and C6-7. Her progressively worsening balance, falls, and clumsiness are consistent with cervical spondylotic myelopathy. Given the progressive nature of the neurologic symptoms, surgery is recommended for patients with worsening symptoms. Physical therapy potentially could provide pain relief but would not address the spinal cord compression. Cervical epidural steroid injection is not recommended because of the increased neurologic risk in the setting of substantial spinal cord compression. Given the multiple levels involved and the extension to the C2-3 level, an anterior approach would increase the risk of morbidity and pseudarthrosis compared with the posterior approach, which would allow adequate decompression of the central and foraminal stenosis.
Surgery for cervical myelopathy is performed to decompress the spinal cord, stabilize the spine, and prevent further neurologic injury. Most patients obtain considerable pain relief and some improvement in balance and clumsiness, depending on the severity of the symptoms. Complete resolution of all symptoms should not be expected.
The postoperative loss of strength in the bicep and deltoid are consistent with C5 nerve palsy, which occurs in 0% to 30% of patients following cervical decompression surgery. Commonly, symptoms occur several days postoperatively. No findings suggested infection, and infection would not lead to these symptoms. A transection of the nerve likely would have been identified during surgery, would have caused immediate symptoms, and is much less common than C5 nerve palsy. Most patients achieve near complete resolution of symptoms within 6 months without further surgical intervention, but the process can take more than 12 months in some cases. No improvement is rare. Oral or injectable steroids and revision surgery are not indicated.
Question 27 of 100
CLINICAL SITUATION
Preoperative MRI images are shown from a 67-year-old woman with neck pain, bilateral upper extremity paresthesias, progressively worsening balance, several falls, and increasing problems in both hands with dropping objects. Figure 1 is a sagittal view, Figure 2 is an axial cut at C2-3, Figure 3 is an axial cut at C5-6, and Figure 4 is an axial cut at C6-7. The patient’s motor strength is grade 4+ of 5 in the bilateral upper extremities.
Several days following treatment, weakness of grade 2 of 5 develops in the right deltoid and biceps. What complication most likely caused this change?
1. Infection
2. C5 nerve palsy
3. Partial nerve transection
4. Normal natural history Discussion: B
The patient has degenerative changes with central and foraminal stenosis from C2-7, including spinal cord compression at C2-3, C5-6, and C6-7. Her progressively worsening balance, falls, and clumsiness are consistent with cervical spondylotic myelopathy. Given the progressive nature of the neurologic symptoms, surgery is recommended for patients with worsening symptoms. Physical therapy potentially could provide pain relief but would not address the spinal cord compression. Cervical epidural steroid injection is not recommended because of the increased neurologic risk in the setting of substantial spinal cord compression. Given the multiple levels involved and the extension to the C2-3 level, an anterior approach would increase the risk of morbidity and pseudarthrosis compared with the posterior approach, which would allow adequate decompression of the central and foraminal stenosis.
Surgery for cervical myelopathy is performed to decompress the spinal cord, stabilize the spine, and prevent further neurologic injury. Most patients obtain considerable pain relief and some improvement in balance and clumsiness, depending on the severity of the symptoms. Complete resolution of all symptoms should not be expected.
The postoperative loss of strength in the bicep and deltoid are consistent with C5 nerve palsy, which occurs in 0% to 30% of patients following cervical decompression surgery. Commonly, symptoms occur several days postoperatively. No findings suggested infection, and infection would not lead to these symptoms. A transection of the nerve likely would have been identified during surgery, would have caused immediate symptoms, and is much less common than C5 nerve palsy. Most patients achieve near complete resolution of symptoms within 6 months without further surgical intervention, but the process can take more than 12 months in some cases. No improvement is rare. Oral or injectable steroids and revision surgery are not indicated.
Question 28 of 100
CLINICAL SITUATION
Preoperative MRI images are shown from a 67-year-old woman with neck pain, bilateral upper extremity paresthesias, progressively worsening balance, several falls, and increasing problems in both hands with dropping objects. Figure 1 is a sagittal view, Figure 2 is an axial cut at C2-3, Figure 3 is an axial cut at C5-6, and Figure 4 is an axial cut at C6-7. The patient’s motor strength is grade 4+ of 5 in the bilateral upper extremities.
What is the most appropriate treatment for this complication?
1. Observation and reassurance
2. High-dose oral steroids
3. Cervical epidural steroid injection
4. Revision surgery Discussion: A
The patient has degenerative changes with central and foraminal stenosis from C2-7, including spinal cord compression at C2-3, C5-6, and C6-7. Her progressively worsening balance, falls, and clumsiness are consistent with cervical spondylotic myelopathy. Given the progressive nature of the neurologic symptoms, surgery is recommended for patients with worsening symptoms. Physical therapy potentially could provide pain relief but would not address the spinal cord compression. Cervical epidural steroid injection is not recommended because of the increased neurologic risk in the setting of substantial spinal cord compression. Given the multiple levels involved and the extension to the C2-3 level, an anterior approach would increase the risk
of morbidity and pseudarthrosis compared with the posterior approach, which would allow adequate decompression of the central and foraminal stenosis.
Surgery for cervical myelopathy is performed to decompress the spinal cord, stabilize the spine, and prevent further neurologic injury. Most patients obtain considerable pain relief and some improvement in balance and clumsiness, depending on the severity of the symptoms. Complete resolution of all symptoms should not be expected.
The postoperative loss of strength in the bicep and deltoid are consistent with C5 nerve palsy, which occurs in 0% to 30% of patients following cervical decompression surgery. Commonly, symptoms occur several days postoperatively. No findings suggested infection, and infection would not lead to these symptoms. A transection of the nerve likely would have been identified during surgery, would have caused immediate symptoms, and is much less common than C5 nerve palsy. Most patients achieve near complete resolution of symptoms within 6 months without further surgical intervention, but the process can take more than 12 months in some cases. No improvement is rare. Oral or injectable steroids and revision surgery are not indicated.
Question 29 of 100
CLINICAL SITUATION
Preoperative MRI images are shown from a 67-year-old woman with neck pain, bilateral upper extremity paresthesias, progressively worsening balance, several falls, and increasing problems in both hands with dropping objects. Figure 1 is a sagittal view, Figure 2 is an axial cut at C2-3, Figure 3 is an axial cut at C5-6, and Figure 4 is an axial cut at C6-7. The patient’s motor strength is grade 4+ of 5 in the bilateral upper extremities.
What is the most likely outcome of this complication?
1. Complete recovery within 1 week
2. Near complete recovery within 12 months
3. 1 motor grade recovery within 12 months
4. Permanent condition with no recovery Discussion: B
The patient has degenerative changes with central and foraminal stenosis from C2-7, including spinal cord compression at C2-3, C5-6, and C6-7. Her progressively worsening balance, falls, and clumsiness are consistent with cervical spondylotic myelopathy. Given the progressive nature of the neurologic symptoms, surgery is recommended for patients with worsening symptoms. Physical therapy potentially could provide pain relief but would not address the spinal cord compression. Cervical epidural steroid injection is not recommended because of the increased neurologic risk in the setting of substantial spinal cord compression. Given the multiple levels involved and the extension to the C2-3 level, an anterior approach would increase the risk of morbidity and pseudarthrosis compared with the posterior approach, which would allow adequate decompression of the central and foraminal stenosis.
Surgery for cervical myelopathy is performed to decompress the spinal cord, stabilize the spine, and prevent further neurologic injury. Most patients obtain considerable pain relief and some improvement in balance and clumsiness, depending on the severity of the symptoms. Complete resolution of all symptoms should not be expected.
The postoperative loss of strength in the bicep and deltoid are consistent with C5 nerve palsy, which occurs in 0% to 30% of patients following cervical
decompression surgery. Commonly, symptoms occur several days postoperatively. No findings suggested infection, and infection would not lead to these symptoms. A transection of the nerve likely would have been identified during surgery, would have caused immediate symptoms, and is much less common than C5 nerve palsy. Most patients achieve near complete resolution of symptoms within 6 months without further surgical intervention, but the process can take more than 12 months in some cases. No improvement is rare. Oral or injectable steroids and revision surgery are not indicated.
Question 30 of 100
Figure 1 depicts the cervical MRI from a 40-year-old woman with a 1-month
history of neck pain, neck stiffness, and electric-like right arm pain with certain neck movements. She has tried anti-inflammatory medication for the pain. On physical examination, she has a normal tandem gait, her motor and sensory functions are intact, and she has normal reflexes. She displays a positive Spurling sign. The patient states that she can relieve her symptoms temporarily by raising her right arm over her head. What is the best next step?
1. Referral to physical therapy
2. Prescription for immediate release opioids
3. Scheduling of an elective anterior cervical discectomy and fusion
4. Scheduling of an elective cervical total disk arthroplasty
Discussion: A
This patient has a cervical disk herniation with symptomatic radiculopathy. The herniation is still in the acute phase, and the patient gives no account of clinical progression or worsening. Generally, the natural history of cervical radiculopathy is favorable, with resolution in most cases. Nonsurgical management remains a reasonable treatment option at this point. The use of opioid medications carries the risk of addiction or abuse; therefore, prescribing opioids at this time is not desirable. Because she does not have myelopathy or rapidly progressive neurologic symptoms, surgical treatment also is not advisable at this time. The onset of symptoms remains acute at only 4 weeks.
Question 31 of 100
An elite baseball player sustains a twisting injury to his back. He was found
to have a lumbar disk herniation. Subsequently, 6 weeks of nonsurgical treatment failed, and the patient underwent a microdiskectomy. When counseling the patient, what would be the best assessment of the expectations for return to play and performance, as well as career?
1. No return to play
2. Return to play but at less than 25% of the preoperative baseline level
3. Return to play at more than 25% but less than 50% of the preoperative baseline level
4. Return to play at more than 50% but less than 100% of the preoperative baseline level
Discussion: D
A high proportion of elite football, baseball, and hockey athletes (50% to 100%), return to play after a lumbar microdiskectomy. In general, baseball players have the longest average career length after surgery, compared with football players and hockey players.
Question 32 of 100
A 63-year-old man with a prior L4-S1 laminectomy and posterior fusion with
instrumentation performed 10 years earlier reports buttock and leg pain. He stands with his hips and knees flexed. He has a degenerative grade 1 spondylolisthesis at the L3-4 level. On flexion views, the spondylolisthesis worsens by 5 mm and reduces on extension. His pelvic incidence (PI) is 45 degrees and his lumbar lordosis (LL) is 25 degrees. Other than a three-column osteotomy, what is the best surgical option to address the patient’s sagittal imbalance?
1. Posterior column osteotomy (Smith Petersen or Ponte) at L3 and extension of the posterior fusion to L3
2. Transforaminal interbody fusion with bilateral facetectomy and extension of the posterior fusion to L3
3. Lateral interbody fusion with a hyperlordotic cage and anterior column release with extension of the posterior fusion to L3
4. Posterior pedicle screw fixation and extension of fusion to T10 Discussion: C
In addition to the patient’s stenosis and spondylolisthesis, a spinopelvis imbalance is present. A number of equations relate LL and PI, but the formula LL=PI +/- 9 degrees is used commonly. In this case, the patient needs at least 15degrees of correction. The posterior based osteotomies can provide 3 degrees to 5degrees of correction per level. A transforaminal lumbar interbody fusion with complete fasciotomy has been shown to produce 8 degrees of correction. Posterior fusion alone is not likely to result in any correction. Releasing the anterior longitudinal ligament and using a hyperlordotic graft while performing a lateral interbody fusion has been shown to result in 10 degrees to 15 degrees of correction. The addition of posterior column osteotomies has been shown to increase this correction to 22degrees. Akbarnia and associates reported a high rate of complications when performing an anterior column release, but most occurred at the L4-5 level. Subsequent studies by Murray and associates and Wang and associates
have reported lower rates of complications, especially when the release is performed above the L4-5 level. Extension of the construct to T10 would require fusing more levels and might not correct the sagittal alignment without the addition of multiple osteotomies.
Question 33 of 100
CLINICAL SITUATION
A 77-year-old man has difficulty walking and reports that he has been dropping things frequently. He states that his symptoms have gotten worse over the last 12 months, and he now has trouble buttoning his shirts. He has a history of ulcerative colitis and diabetes mellitus, as well as coronary artery disease, for which he takes aspirin. He continues to smoke daily, however. His MRI reveals well-maintained lordosis and multilevel, severe cervical stenosis. His modified Japanese Orthopedic Association (mJOA) score is 11.
A posterior cervical decompression and instrumented fusion is planned to relieve this patient’s symptoms. What would you counsel the patient is the most common complication associated with this approach in this case?
1. Blindness
2. Worsening myelopathy
3. Wound infection
4. Dural tear Discussion: C
A large prospective study analyzed the quality of life after surgery compared with preoperative levels for patients with cervical myelopathy. Fehling and associates found that the quality of life improved after surgery even when patients were analyzed based on their preoperative mJOA scores (mild, medium, or severe myelopathy). C5 nerve root palsy occurs relatively commonly after cervical decompression, with an incidence of about 5% (Lim and associates). One study by Lee and associates reported the rate to be 28.9% after posterior decompression and fusion. Most patients (92%) improve by 2 years after surgery. Risk factors for persistent symptoms
included a motor grade of less than or equal to 2 of 5, multisegment dysfunction involving more than C5, and loss of sensation with pain (Lim and associates). Infection is another complication that is more common with a posterior cervical spine approach, and the risk of infection is increased by the presence of diabetes. A recent prospective study by Tetreault and associates revealed an increased risk of perioperative complications in patients with diabetes mellitus, ossification of the posterior longitudinal ligament, longer surgical duration, and more medical comorbidities. Another large, multi-institutional study by Tetreault and associates sought to predict which patients would improve after surgical decompression of cervical spondylotic myelopathy. The authors found that certain patient factors were associated with a poorer clinical outcome, including older age, a worse baseline myelopathy score, impaired gait, more medical comorbidities, smoking, and a longer duration of symptoms.
Question 34 of 100
CLINICAL SITUATION
A 77-year-old man has difficulty walking and reports that he has been dropping things frequently. He states that his symptoms have gotten worse over the last 12 months, and he now has trouble buttoning his shirts. He has a history of ulcerative colitis and diabetes mellitus, as well as coronary artery disease, for which he takes aspirin. He continues to smoke daily, however. His MRI reveals well-maintained lordosis and multilevel, severe cervical stenosis. His modified Japanese Orthopedic Association (mJOA) score is 11.
In patients with severe cervical spondylotic myelopathy (mJOA score lower than 12), how is the quality of life expected to change following decompressive surgery?
1. Worse than the preoperative status
2. Stable compared with the preoperative status
3. Improved, but not statistically significantly
4. Statistically significant improvement
Discussion: D
A large prospective study analyzed the quality of life after surgery compared with preoperative levels for patients with cervical myelopathy. Fehling and associates found that the quality of life improved after surgery even when patients were analyzed based on their preoperative mJOA scores (mild, medium, or severe myelopathy). C5 nerve root palsy occurs relatively commonly after cervical decompression, with an incidence of about 5% (Lim and associates). One study by Lee and associates reported the rate to be 28.9% after posterior decompression and fusion. Most patients (92%) improve by 2 years after surgery. Risk factors for persistent symptoms included a motor grade of less than or equal to 2 of 5, multisegment dysfunction involving more than C5, and loss of sensation with pain (Lim and associates). Infection is another complication that is more common with a posterior cervical spine approach, and the risk of infection is increased by the presence of diabetes. A recent prospective study by Tetreault and associates revealed an increased risk of perioperative complications in patients with diabetes mellitus, ossification of the posterior longitudinal ligament, longer surgical duration, and more medical comorbidities. Another large, multi-institutional study by Tetreault and associates sought to predict which patients would improve after surgical decompression of cervical spondylotic myelopathy. The authors found that certain patient factors were associated with a poorer clinical outcome, including older age, a worse baseline myelopathy score, impaired gait, more medical comorbidities, smoking, and a longer duration of symptoms.
Question 35 of 100
CLINICAL SITUATION
A 77-year-old man has difficulty walking and reports that he has been dropping things frequently. He states that his symptoms have gotten worse over the last 12 months, and he now has trouble buttoning his shirts. He has a history of ulcerative colitis and diabetes mellitus, as well as coronary artery
disease, for which he takes aspirin. He continues to smoke daily, however. His MRI reveals well-maintained lordosis and multilevel, severe cervical stenosis. His modified Japanese Orthopedic Association (mJOA) score is 11.
The patient undergoes posterior cervical laminectomy and instrumented fusion. On postoperative day 2 new, painless right deltoid weakness develops (grade 3 of 5). What is the most likely outcome of this new C5 nerve root palsy?
1. Minimal improvement by 2 years
2. Full improvement by 2 years
3. Full improvement by 3 months
4. Worsening strength over time Discussion: B
A large prospective study analyzed the quality of life after surgery compared with preoperative levels for patients with cervical myelopathy. Fehling and associates found that the quality of life improved after surgery even when patients were analyzed based on their preoperative mJOA scores (mild, medium, or severe myelopathy). C5 nerve root palsy occurs relatively commonly after cervical decompression, with an incidence of about 5% (Lim and associates). One study by Lee and associates reported the rate to be 28.9% after posterior decompression and fusion. Most patients (92%) improve by 2 years after surgery. Risk factors for persistent symptoms included a motor grade of less than or equal to 2 of 5, multisegment dysfunction involving more than C5, and loss of sensation with pain (Lim and associates). Infection is another complication that is more common with a posterior cervical spine approach, and the risk of infection is increased by the presence of diabetes. A recent prospective study by Tetreault and associates revealed an increased risk of perioperative complications in patients with diabetes mellitus, ossification of the posterior longitudinal ligament, longer surgical duration, and more medical comorbidities. Another large, multi-institutional study by Tetreault and associates sought to predict which patients would improve after surgical decompression of cervical spondylotic
myelopathy. The authors found that certain patient factors were associated with a poorer clinical outcome, including older age, a worse baseline myelopathy score, impaired gait, more medical comorbidities, smoking, and a longer duration of symptoms.
Question 36 of 100
CLINICAL SITUATION
A 77-year-old man has difficulty walking and reports that he has been dropping things frequently. He states that his symptoms have gotten worse over the last 12 months, and he now has trouble buttoning his shirts. He has a history of ulcerative colitis and diabetes mellitus, as well as coronary artery disease, for which he takes aspirin. He continues to smoke daily, however. His MRI reveals well-maintained lordosis and multilevel, severe cervical stenosis. His modified Japanese Orthopedic Association (mJOA) score is 11.
What is the probability that this patient’s myelopathy will improve to mild (mJOA score higher than 16) postoperatively?
1. More than 80%
2. Between 50% and 80%
3. Between 20% and 50%
4. Less than 20% Discussion: D
A large prospective study analyzed the quality of life after surgery compared with preoperative levels for patients with cervical myelopathy. Fehling and associates found that the quality of life improved after surgery even when patients were analyzed based on their preoperative mJOA scores (mild, medium, or severe myelopathy). C5 nerve root palsy occurs relatively commonly after cervical decompression, with an incidence of about 5% (Lim and associates). One study by Lee and associates reported the rate to be 28.9% after posterior decompression and fusion. Most patients (92%) improve by 2 years after surgery. Risk factors for persistent symptoms included a motor grade of less than or equal to 2 of 5, multisegment
dysfunction involving more than C5, and loss of sensation with pain (Lim and associates). Infection is another complication that is more common with a posterior cervical spine approach, and the risk of infection is increased by the presence of diabetes. A recent prospective study by Tetreault and associates revealed an increased risk of perioperative complications in patients with diabetes mellitus, ossification of the posterior longitudinal ligament, longer surgical duration, and more medical comorbidities. Another large, multi-institutional study by Tetreault and associates sought to predict which patients would improve after surgical decompression of cervical spondylotic myelopathy. The authors found that certain patient factors were associated with a poorer clinical outcome, including older age, a worse baseline myelopathy score, impaired gait, more medical comorbidities, smoking, and a longer duration of symptoms.
Question 37 of 100
Figures 1 through 3 show the radiograph and CT images of a 68-year-old
woman who sustained a cervical injury after tripping over her cat. She has mild facial trauma, which includes a broken upper incisor and a nonsurgical nasal fracture. She is neurologically intact. Her past medical history is consistent with obstructive sleep apnea, non–insulin-dependent diabetes mellitus (hemoglobin A1c level of 9.0), and morbid obesity, with a body mass index of 40. What is the preferred treatment for this patient?
1. Management with a hard collar
2. Halo vest immobilization
3. Posterior C1-2 arthrodesis
4. Anterior odontoid screw fixation Discussion: C
Posterior C1-2 fusion with instrumentation provides stability and pain relief with excellent clinical outcomes despite the loss of C1-2 motion. Hard collar immobilization and halo vest immobilization both carry a substantial risk of nonunion in this patient because of her age, fracture displacement, residual fracture gap, and medical condition. Anterior odontoid screw fixation theoretically preserves C1-2 motion. In this case, the fracture is not reduced. Concentric reduction is a requisite for osteosynthesis of the odontoid. Her body habitus also may not allow anterior odontoid fixation.
Question 38 of 100
Figure 1 depicts a T2-weighted MRI from a 30-year-old man with 6 months
of progressive low back pain. The best next step should be staging studies followed by
1. radiation and surgery.
2. biopsy.
3. posterior resection.
4. anterior/posterior resection. Discussion: B
It is important to stage this patient to assess whether he has metastatic disease. It is most important to obtain a biopsy before beginning any treatment, however. The patient’s treatment would be vastly different if this mass was revealed to be an osteosarcoma, lymphoma, or chordoma.
Question 39 of 100
A 57-year-old man with metastatic lung cancer undergoes revision surgery
for decompression and stabilization of the C7 lesion. He has had prior radiation to the surgical region, as well as chemotherapy for the lung cancer. A wound dehiscence develops 6 weeks postoperatively. The intraoperative cultures are negative. What preventive option may have reduced his chance of wound complications?
1. Incisional vacuum-assisted closure
2. Total parenteral nutrition
3. Intrawound vancomycin powder
4. Initial soft-tissue closure by plastic surgery Discussion: D
In the setting of revision spine tumor surgery and in previously radiated wounds, having a plastic surgeon perform the soft-tissue reconstruction and closure has been associated with reduced rates of wound complications. Although poor nutrition is a risk factor for delayed wound healing, no evidence supports total parenteral nutrition. Incisional vacuum-assisted closure has not been studied in the setting of spine tumor surgery. Intrawound vancomycin powder has been shown to reduce surgical site infections in the setting of spine tumor surgery but has no effect on wound dehiscence.
Question 40 of 100
A 45-year-old man with a single C5-6 disk herniation presents for surgical
consultation. He has no history of inflammatory disease, infection, or chronic illness. He has not had previous neck surgery. His radiographs show no instability and no evidence of severe facet arthrosis. He is very active. What can you tell him about deciding to proceed with total disk arthroplasty (TDA) rather than anterior cervical diskectomy and fusion (ACDF)?
1. TDA remains too new a procedure to be compared adequately with the gold standard, ACDF.
2. TDA is not Food and Drug Administration (FDA) approved, and its use would be as an off-label device.
3. In prospective trials, TDA has been found to be superior to ACDF in clinical outcomes for one-level and two-level disease.
4. Both procedures have good clinical outcomes. Some newer studies show lower reoperation rates and a lower incidence of adjacent segment degeneration with TDA.
Discussion: D
In several studies, it has been shown that TDA compares very favorably with ACDF in clinical outcomes as scored by the Neck Disability Index, the Visual Analog Scale, the 16-Item and 32-Item Short-Form Health Surveys, and by safety. More recent literature has shown that TDA also has lower rates of reoperation and adjacent segment degeneration than ACDF, in effect making TDA a viable alternative to ACDF in appropriate cases. Both 5-year and 10-year survivorship studies of TDA have appeared in publication. The FDA has approved several cervical TDA devices, including the BRYAN Cervical Artificial Disc, the ProDisc-C Total Disc Replacement device, the SECURE-C Artificial Cervical Disc, the Prestige LP Cervical Artificial Disc, and the Mobi-C Artificial Cervical Disc.
Question 41 of 100
A 55-year-old man with a history of diabetes undergoes multilevel lumbar
laminectomy for spinal stenosis. He is given intravenous (IV) antibiotics before the incision and again for the first 24 hours of recovery. A lumbar drain is placed and then removed 72 hours after surgery. What factor is most associated with the development of a wound infection in this scenario?
1. Lack of antibiotic coverage while the drain is present
2. Retention of the Foley catheter for longer than 24 hours
3. Presence of diabetes mellitus
4. Placement of a drain
Discussion: C
The use of drains in spinal surgery remains controversial. Prospective studies have shown that the use of drainage devices does not increase the rate of infection, however (Brown and associates). Also, some physicians continue to deliver antibiotics when the drain is present. A recent prospective randomized study demonstrated no difference in postoperative infections when comparing the use of IV antibiotics for 24 hours with the use of IV antibiotics for the duration of the drain placement. The study concluded that the use of IV antibiotics should include the standard preoperative dose followed by 24 hours of antibiotics and then discontinuation of the antibiotics (Takemoto and associates). Retention of Foley catheters for longer than 24 hours has been associated with an increased risk of urinary tract infection but has not been associated with an increased risk of wound infection.
Question 42 of 100
What pelvic parameter is fixed as an adult?
1. Sacral slope (SS)
2. Pelvic incidence (PI)
3. Pelvic tilt (PT)
4. Slip angle Discussion: B
PI is a fixed measurement in an adult. SS and PT can change as adult deformity worsens. PI is the angle calculated by a line drawn from the center of the femoral head to the midpoint of the sacral end plate and the line perpendicular to the center of the sacral superior endplate. This angle is fixed in adults. PT is the angle calculated by a vertical reference line from the center of the femoral head and the midpoint of the sacral endplate. SS is defined as the angle calculated by a horizontal reference line and the sacral endplate line. PI = PT + SS. Lumbar lordosis = PI (+/- 9 degrees).
Question 43 of 100
Figures 1 and 2 depict the MRIs of a 39-year-old woman with severe right
leg pain and mild back pain. Symptoms have been present for 3 months. She has tried physical therapy and received transforaminal injections and oral pain medications with minimal relief. She is offered a lumbar microdiskectomy. During the procedure, she sustains an incidental durotomy which is repaired primarily. She is informed that the rate of reoperation following lumbar microdiskectomy is
1. 5%.
2. 15%.
3. 25%.
4. 35%.
Discussion: B
Recurrent disk herniation and reoperations are common complications following lumbar microdiskectomy. In the Spine Patient Outcomes Research Trial, the reoperation rate following diskectomy was 15% at 8-year follow-up. In this same cohort, no long-term impact of incidental durotomies was sustained during these procedures.
Question 44 of 100
CLINICAL SITUATION
Figures 1 and 2 are the sagittal and axial MRI images at the L4-5 level from a patient with intractable left leg pain, paresthesias, and weakness of grade 3
of 5. Physical therapy has failed, and the patient feels he is becoming progressively weaker.
Which nerve root is being affected?
1. L3
2. L4
3. L5
4. S1
Discussion: C
The MRI images show a left L4-5 posterolateral disk herniation compressing the left L5 nerve root. Posterolateral disk herniations in the lumbar spine affect the traversing nerve roots; therefore, at the L4-5 level, the traversing L5 nerve would be affected. Far-lateral disk herniations in the lumbar spine affect the exiting nerve roots, so a far-lateral herniation at L5-S1 would affect the L5 nerve root also. The motor innervation for the lumbar nerve roots are L2: hip flexion, L3: knee extension, L4: ankle dorsiflexion, L5: long toe extension, and S1: ankle plantar flexion. The sensory innervation for the lumbar nerve roots are L3: medial thigh, L4: anterolateral thigh and medial calf, L5: anterolateral calf, and S1: lateral foot. Nonsurgical treatment, including medications and physical therapy, has failed, and the patient has noticed a progressive deficit confirmed by weakness of grade 3 of 5 on examination. Surgery is indicated because of the patient’s progressive weakness and the failure of nonsurgical care. A fusion is not indicated without evidence of instability.
Question 45 of 100
CLINICAL SITUATION
Figures 1 and 2 are the sagittal and axial MRI images at the L4-5 level from a patient with intractable left leg pain, paresthesias, and weakness of grade 3 of 5. Physical therapy has failed, and the patient feels he is becoming progressively weaker.
What other disk herniation location also could affect the same nerve root?
1. Far-lateral L4-5
2. Far-lateral L5-S1
3. Posterolateral L3-4
4. Posterolateral L5-S1 Discussion: B
The MRI images show a left L4-5 posterolateral disk herniation compressing the left L5 nerve root. Posterolateral disk herniations in the lumbar spine affect the traversing nerve roots; therefore, at the L4-5 level, the traversing L5 nerve would be affected. Far-lateral disk herniations in the lumbar spine affect the exiting nerve roots, so a far-lateral herniation at L5-S1 would affect the L5 nerve root also. The motor innervation for the lumbar nerve roots are L2: hip flexion, L3: knee extension, L4: ankle dorsiflexion, L5: long toe extension, and S1: ankle plantar flexion. The sensory innervation for the lumbar nerve roots are L3: medial thigh, L4: anterolateral thigh and medial calf, L5: anterolateral calf, and S1: lateral foot. Nonsurgical treatment, including medications and physical therapy, has failed, and the patient has noticed a progressive deficit confirmed by weakness of grade 3 of 5 on examination. Surgery is indicated because of the patient’s progressive weakness and the failure of nonsurgical care. A fusion is not indicated without evidence of instability.
Question 46 of 100
CLINICAL SITUATION
Figures 1 and 2 are the sagittal and axial MRI images at the L4-5 level from a patient with intractable left leg pain, paresthesias, and weakness of grade 3 of 5. Physical therapy has failed, and the patient feels he is becoming progressively weaker.
Which muscle function most likely would be affected in this patient?
1. Hip flexion
2. Ankle dorsiflexion
3. Long toe extension
4. Ankle plantar flexion Discussion: C
The MRI images show a left L4-5 posterolateral disk herniation compressing the left L5 nerve root. Posterolateral disk herniations in the lumbar spine affect the traversing nerve roots; therefore, at the L4-5 level, the traversing L5 nerve would be affected. Far-lateral disk herniations in the lumbar spine affect the exiting nerve roots, so a far-lateral herniation at L5-S1 would affect the L5 nerve root also. The motor innervation for the lumbar nerve roots are L2: hip flexion, L3: knee extension, L4: ankle dorsiflexion, L5: long toe extension, and S1: ankle plantar flexion. The sensory innervation for the lumbar nerve roots are L3: medial thigh, L4: anterolateral thigh and medial calf, L5: anterolateral calf, and S1: lateral foot. Nonsurgical treatment, including medications and physical therapy, has failed, and the patient has noticed a progressive deficit confirmed by weakness of grade 3 of 5 on
examination. Surgery is indicated because of the patient’s progressive weakness and the failure of nonsurgical care. A fusion is not indicated without evidence of instability.
Question 47 of 100
CLINICAL SITUATION
Figures 1 and 2 are the sagittal and axial MRI images at the L4-5 level from a patient with intractable left leg pain, paresthesias, and weakness of grade 3 of 5. Physical therapy has failed, and the patient feels he is becoming progressively weaker.
Which location most likely would be affected by the paresthesias?
1. Medial thigh
2. Lateral foot
3. Medial calf
4. Anterolateral calf Discussion: D
The MRI images show a left L4-5 posterolateral disk herniation compressing the left L5 nerve root. Posterolateral disk herniations in the lumbar spine affect the traversing nerve roots; therefore, at the L4-5 level, the traversing L5 nerve would be affected. Far-lateral disk herniations in the lumbar spine affect the exiting nerve roots, so a far-lateral herniation at L5-S1 would affect the L5 nerve root also. The motor innervation for the lumbar nerve roots are L2: hip flexion, L3: knee extension, L4: ankle dorsiflexion, L5: long toe extension, and S1: ankle plantar flexion. The sensory innervation for the lumbar nerve roots are L3: medial thigh, L4: anterolateral thigh and medial
calf, L5: anterolateral calf, and S1: lateral foot. Nonsurgical treatment, including medications and physical therapy, has failed, and the patient has noticed a progressive deficit confirmed by weakness of grade 3 of 5 on examination. Surgery is indicated because of the patient’s progressive weakness and the failure of nonsurgical care. A fusion is not indicated without evidence of instability.
Question 48 of 100
CLINICAL SITUATION
Figures 1 and 2 are the sagittal and axial MRI images at the L4-5 level from a patient with intractable left leg pain, paresthesias, and weakness of grade 3 of 5. Physical therapy has failed, and the patient feels he is becoming progressively weaker.
What is the best next step?
1. Observation
2. L4-5 epidural steroid injection
3. L4-5 microdiskectomy
4. L4-5 transforaminal interbody fusion Discussion: C
The MRI images show a left L4-5 posterolateral disk herniation compressing the left L5 nerve root. Posterolateral disk herniations in the lumbar spine affect the traversing nerve roots; therefore, at the L4-5 level, the traversing L5 nerve would be affected. Far-lateral disk herniations in the lumbar spine affect the exiting nerve roots, so a far-lateral herniation at L5-S1 would affect the L5 nerve root also. The motor innervation for the lumbar nerve roots are
L2: hip flexion, L3: knee extension, L4: ankle dorsiflexion, L5: long toe extension, and S1: ankle plantar flexion. The sensory innervation for the lumbar nerve roots are L3: medial thigh, L4: anterolateral thigh and medial calf, L5: anterolateral calf, and S1: lateral foot. Nonsurgical treatment, including medications and physical therapy, has failed, and the patient has noticed a progressive deficit confirmed by weakness of grade 3 of 5 on examination. Surgery is indicated because of the patient’s progressive weakness and the failure of nonsurgical care. A fusion is not indicated without evidence of instability.
Question 49 of 100
When performing an anterior cervical decompression and fusion, the
placement of a steroid medication anterior to the plate at the completion of the case has been shown to
1. increase the risk of infection.
2. reduce postoperative pain.
3. reduce postoperative dysphagia.
4. increase the risk of pseudarthrosis. Discussion: C
Multiple studies have evaluated the use of retropharyngeally placed steroid prior to wound closure during anterior cervical decompression and fusion surgery. They have reported statistically significantly reduced rates of dysphagia. These studies have not shown the steroids to have had any effect on postoperative pain or the rate of infection. Jeyamohan and associates suggested that a delay in fusion may occur but did not find any difference in overall fusion rates. In larger studies, Cancienne and associates and Koreckij and associates did not find any difference in fusion rates between the steroid and control groups following the use of retropharyngeal steroids.
Question 50 of 100
Figure 1 is an axial MRI at the L4-5 level obtained from a 62-year-old man
with a 6-month history of severe right leg pain and weakness in the ankle dorsiflexors. He has numbness along the medial ankle and dorsolateral aspect of his foot. The structure identified by the arrow is compressing what neural structure?
1. Traversing right L4 nerve root
2. Exiting right L5 nerve root
3. Exiting left L4 nerve root
4. Exiting right L4 nerve root Discussion: D
This patient has the clinical symptoms of a right L4 lumbar radiculopathy. The MRI taken at L4-5 shows a far-lateral/foraminal disk herniation. This disk herniation would compress the exiting L4 nerve root along with its dorsal root ganglion. The traversing right L4 nerve root would be seen best in an axial MRI at the L3-4 level. The exiting right L5 nerve root would be seen best in an axial MRI at the L5-S1 level. The disk herniation in question is right sided. The left neuroforamen is free in the axial MRI.
Question 51 of 100
On examination, a clinician finds that a patient has difficulty with grip and
release, loss of motor strength, sensory changes, intrinsic wasting, the finger escape sign, and spasticity. These findings are best described as
1. myelopathic hand.
2. rheumatoid arthritis of the hand.
3. carpal tunnel hand.
4. brachial plexopathy. Discussion: A
Myelopathic hand is a term used to describe a patient with myelopathy and myelopathic findings in the hand. Typical myelopathic symptoms include upper motor findings, including difficulty with hand dexterity, hyperreflexia, a positive Hoffman sign, spasticity, a positive Romberg sign, and gait changes/ataxia.
Question 52 of 100
Figure 1 is the MRI from a 67-year-old man with severe neck pain 1 week
following dental extraction. He has a history of poorly controlled type 2 diabetes mellitus. On examination, he is found to have grade 4 of 5 strength in the bilateral lower extremities. He is febrile and has an elevated erythrocyte sedimentation rate and an elevated C-reactive protein level. His MRI reveals an epidural abscess. What is the best next step?
1. Intravenous antibiotics
2. Observation and intravenous antibiotics
3. Surgical decompression
4. Interventional radiology drainage Discussion: C
The patient has an epidural abscess following a dental procedure. The epidural abscess spans from C2 to the upper thoracic spine. He has severe neck pain, neurologic changes, and elevated laboratory markers. Sang and associates have demonstrated that, in patients older than 65 years with a methicillin-resistant
Staphylococcus aureus
infection, a history of diabetes, and neurologic deficits, nonsurgical management has a 99% chance of failure. Prompt surgical decompression to evacuate the abscess followed by antibiotic treatment is the best method of treatment for this patient.
Question 53 of 100
What is the most common sequela of vertebral fracture in patients with an
ankylosed spinal disorder such as ankylosing spondylitis?
1. Noncontiguous spine fracture
2. Death
3. Wound infection
4. Spinal cord injury Discussion: D
In a retrospective study of 112 patients with spinal fractures and an ankylosing spinal disorder, ankylosing spondylitis or diffuse idiopathic hyperostosis spinal cord injury was present in 58% of all patients. Of the total, 19% experienced a delay in the diagnosis of fracture. During the follow-up period, 32% of the patients died (Caron and associates). The radiographic findings of an ankylosed spine are readily apparent, but the specific diagnosis of ankylosing spondylitis is often absent owing to the lack of a unified method of diagnosis (Taurog and associates).
Question 54 of 100
CLINICAL SITUATION
Figures 1 and 2 are the MRIs from a 47-year-old man with a 1-year history of increasing neck and arm pain on the right side more than on the left. He had
a prior anterior cervical diskectomy and fusion (ACDF) performed 10 years earlier.
When discussing the patient’s current condition, what factor do you tell him may have contributed to its development?
1. Placement of the plate 7 mm away from the superior endplate
2. His history of smoking
3. The use of a cadaver bone rather than a polyetheretherketone cage
4. Male gender Discussion: B
The rate of adjacent segment disease has been estimated to be between 1.6% and 4.2% per year. Placement of the plate within 5 mm of the superior endplate has been associated with an increased risk of adjacent segment disease. Using a cage rather than allograft has not been shown to affect adjacent segment disease. Lee and associates showed an increased risk of adjacent segment disease in women and smokers. They also showed a 22% rate of revision surgery, higher than that seen in previous studies.
In a large meta-analysis, Duan and associates reported reduced short-term and long-term rates of dysphagia in patients undergoing ACDF using a zero-profile implant. They did not note any change in fusion rates or clinical outcomes. Lee and associates showed equal fusion rates and segmental motion at 1 year after surgery.
Question 55 of 83
CLINICAL SITUATION
Figures 1 and 2 are the MRIs from a 47-year-old man with a 1-year history of increasing neck and arm pain on the right side more than on the left. He had a prior anterior cervical diskectomy and fusion (ACDF) performed 10 years earlier.
The patient elects surgery. A zero profile anchored cage implant is selected. Compared with conventional plate and cage (or allograft), zero profile anchored cages have been shown to have
1. reduced rates of postoperative dysphagia.
2. reduced rates of fusion.
3. improved clinical outcomes.
4. increased segmental motion. Discussion: A
The rate of adjacent segment disease has been estimated to be between 1.6% and 4.2% per year. Placement of the plate within 5 mm of the superior endplate has been associated with an increased risk of adjacent segment disease. Using a cage rather than allograft has not been shown to affect adjacent segment disease. Lee and associates showed an increased risk of adjacent segment disease in women and smokers. They also showed a 22% rate of revision surgery, higher than that seen in previous studies.
In a large meta-analysis, Duan and associates reported reduced short-term and long-term rates of dysphagia in patients undergoing ACDF using a zero-profile implant. They did not note any change in fusion rates or clinical
outcomes. Lee and associates showed equal fusion rates and segmental motion at 1 year after surgery.
Question 56 of 100
After direct lateral (transpsoas) interbody fusion surgery at L3-4, a patient
reports numbness in the scrotum, and ipsilateral anterior thigh pain develops. What is the most likely cause?
1. Injury to the genitofemoral nerve
2. Injury to the ilioinguinal nerve
3. Injury to the femoral nerve
4. Prolonged lateral decubitus positioning Discussion: A
The genitofemoral nerve is at risk at almost any level in the lateral transpsoas approach. The nerve provides sensory innervation to the anterior thigh and scrotum/labia. The ilioinguinal nerve provides sensory innervation to the mons pubis or labia in women and the upper scrotum in men. The femoral nerve is responsible for sensation to the anterior and medial aspects of the thigh, leg, and medial foot. It also provides innervation to knee extensor muscles. Prolonged decubitus positioning, especially with jackknife hyperextension, can cause stretching of the femoral nerve and transient weakness of the ipsilateral quadriceps.
Question 57 of 100
A 68-year-old man with thoracic kyphosis and renal disease undergoes a
three-column thoracic osteotomy. During the osteotomy, three bilateral segmental nerve roots are sacrificed. Before the vertebral component of the osteotomy is begun, the patient’s motor-evoked potentials become undetectable. What is the most likely explanation?
1. The patient has had a myocardial infarction.
2. The patient has had a cerebral vascular accident.
3. The spinal cord has sustained an ischemic event.
4. The spinal cord has sustained an embolic event. Discussion: C
Studies in dogs and subsequent follow-up studies in humans have shown that in most patients, three levels of bilateral segmental nerve roots can be transected safely (Fujimaki and associates, Nambu and associates, Ueda and associates). The risk of spinal cord ischemia is higher in patients with renal disease, however, because they are thought to be less able to compensate for the changes in spinal cord blood flow compared with patients who have normal renal and vascular function (Colman and associates).
Question 58 of 100
CLINICAL SITUATION
A 72-year-old-woman has leg pain on standing and walking of 1-year duration. She has undergone physical therapy and has taken oral analgesics with minimal relief. The patient has a history of diabetes mellitus and coronary artery disease requiring stenting. She currently takes aspirin and clopidogrel bisulfate (Plavix). She is offered a lumbar laminectomy.
The procedure is complicated by a small dural tear. What is the best next step?
1. Primary repair
2. Dura seal placement
3. Bed rest
4. Fibrin glue Discussion: A
Primary repair of incidental durotomies is the standard of care. The repair may be supplemented by sealants such as dural seal or fibrin glue; however, these sealants would not serve as stand-alone treatment. Bed rest may be used postoperatively, but the duration of bed rest is controversial and not standardized.
Incidental durotomies are a common complication of lumbar spine surgery. In the Spine Patient Outcomes Research Trial (SPORT), 409 patients undergoing surgery for spinal stenosis had a 9% rate of incidental durotomies. At 4-year follow-up, no difference in clinical outcome was observed between the patients who sustained a durotomy and the group that did not sustain a durotomy. Similar results have been noted in the SPORT for patients undergoing lumbar microdiskectomies.
In this patient, an epidural hematoma developed, as seen on the MRI following the resumption of her antiplatelet therapy. Clinically, she has motor weakness and needs to return to the operating room for evacuation of the hematoma to avoid irreversible nerve damage. She does not have an epidural abscess, and no need exists to obtain ESR or CRP. Interventional radiology drainage of the epidural hematoma also is not required.
Question 59 of 100
CLINICAL SITUATION
A 72-year-old-woman has leg pain on standing and walking of 1-year duration. She has undergone physical therapy and has taken oral analgesics with minimal relief. The patient has a history of diabetes mellitus and coronary artery disease requiring stenting. She currently takes aspirin and clopidogrel bisulfate (Plavix). She is offered a lumbar laminectomy.
What are the long-term outcomes of a durotomy in the setting of lumbar stenosis and laminectomy?
1. Worse clinical outcome
2. No impact on clinical outcome
3. Higher rates of revision surgery
4. Incomplete resolution of symptoms Discussion: B
Primary repair of incidental durotomies is the standard of care. The repair may be supplemented by sealants such as dural seal or fibrin glue; however, these sealants would not serve as stand-alone treatment. Bed rest may be
used postoperatively, but the duration of bed rest is controversial and not standardized.
Incidental durotomies are a common complication of lumbar spine surgery. In the Spine Patient Outcomes Research Trial (SPORT), 409 patients undergoing surgery for spinal stenosis had a 9% rate of incidental durotomies. At 4-year follow-up, no difference in clinical outcome was observed between the patients who sustained a durotomy and the group that did not sustain a durotomy. Similar results have been noted in the SPORT for patients undergoing lumbar microdiskectomies.
In this patient, an epidural hematoma developed, as seen on the MRI following the resumption of her antiplatelet therapy. Clinically, she has motor weakness and needs to return to the operating room for evacuation of the hematoma to avoid irreversible nerve damage. She does not have an epidural abscess, and no need exists to obtain ESR or CRP. Interventional radiology drainage of the epidural hematoma also is not required.
Question 60 of 100
CLINICAL SITUATION
A 72-year-old-woman has leg pain on standing and walking of 1-year duration. She has undergone physical therapy and has taken oral analgesics with minimal relief. The patient has a history of diabetes mellitus and coronary artery disease requiring stenting. She currently takes aspirin and clopidogrel bisulfate (Plavix). She is offered a lumbar laminectomy.
The patient is restarted on aspirin and clopidogrel bisulfate on postoperative day 3. In the afternoon, she is noted to have grade 4 of 5 tibialis anterior and extensor hallucis longus, with severe back pain. An MRI is obtained and is shown in Figure 1. On re-evaluation, she has bilateral grade 3 of 5 tibialis anterior and extensor hallucis longus. What is the best next step?
1. Obtain erythrocyte sedimentation rate (ESR), C-reactive protein (CRP) levels, and blood cultures
2. Contact interventional radiology for drain placement
3. Return to the operating room and explore the lumbar wound
4. Observe the patient Discussion: C
Primary repair of incidental durotomies is the standard of care. The repair may be supplemented by sealants such as dural seal or fibrin glue; however, these sealants would not serve as stand-alone treatment. Bed rest may be used postoperatively, but the duration of bed rest is controversial and not standardized.
Incidental durotomies are a common complication of lumbar spine surgery. In the Spine Patient Outcomes Research Trial (SPORT), 409 patients undergoing surgery for spinal stenosis had a 9% rate of incidental durotomies. At 4-year follow-up, no difference in clinical outcome was observed between the patients who sustained a durotomy and the group that did not sustain a durotomy. Similar results have been noted in the SPORT for patients undergoing lumbar microdiskectomies.
In this patient, an epidural hematoma developed, as seen on the MRI following the resumption of her antiplatelet therapy. Clinically, she has motor weakness and needs to return to the operating room for evacuation of the hematoma to avoid irreversible nerve damage. She does not have an epidural abscess, and no need exists to obtain ESR or CRP. Interventional radiology drainage of the epidural hematoma also is not required.
Question 61 of 100
What is a predictor of the clinical severity of cervical spondylotic myelopathy?
1. Age
2. Gender
3. Transverse area of the spinal cord
4. Number of stenotic levels Discussion: C
The transverse area is the measurement of the spinal cord at the most narrow region on the axial view of an MRI. Age, gender, and the number of stenotic levels have not been shown to be predictors of the clinical severity of cervical spondylotic myelopathy.
Question 62 of 100
A skeletally immature patient with adolescent idiopathic scoliosis has been
wearing a brace but only for about 6 hours per day. Her parents have tried to coax her into wearing it 18 hours per day, and they ask you if it makes a difference. The parents should be told that, if worn 18 hours per day, use of the brace is
1. 10% effective.
2. 25% effective.
3. 50% effective.
4. 70% effective. Discussion: D
A recent prospective randomized study comparing bracing to observation in adolescent idiopathic scoliosis demonstrated that bracing was superior to observation in preventing a curve from progressing to 50 degrees. Patients who wore braces 18 hours per day or more were successful more than 70% of the time (Weinstein and associates, Gomez and associates).
Question 63 of 100
A 54-year-old man is diagnosed with a T6 chordoma. Which procedure can
provide the least chance of recurrence?
1. En bloc spondylectomy
2. Denosumab injection
3. Preoperative embolization
4. Postoperative radiation Discussion: A
When feasible, en bloc resection is associated with the least recurrence in the surgical management of chordomas. Denosumab has been used for the treatment of giant cell tumors, along with surgical resection. Preoperative embolization has not been associated with the prevention of recurrence. Postoperative radiation can supplement en bloc resection but is not a standalone modality that can prevent resections.
Question 64 of 100
A 30-year-old man fell off a roof. He reports neck and arm pain. On physical examination, he has full strength in his bilateral upper extremities. CT of his cervical spine reveals a C6 ipsilateral lamina and pedicle fracture. What is the recommended treatment?
1. One-level anterior cervical diskectomy and fusion (ACDF)
2. Two-level ACDF
3. Hard collar
4. Halo vest application Discussion: B
The patient has sustained a floating lateral mass injury. These injuries have a high risk of subsequent displacement. Surgical stabilization is recommended. Surgery includes a two-level anterior cervical diskectomy with instrumented fusion. Halo vest application is a poor immobilizer of subaxial cervical injuries.
Question 65 of 100
Figure 1 is the radiograph from a 20-year-old mountain biker who lost control on a trail. When he was brought to the emergency department by paramedics, he was alert and oriented. He reported neck pain and painful tingling in bilateral hands. He has no motor weakness and has normal sensation. What is the best next step?
1. Application of traction with Gardner Wells tongs
2. Heavy sedation for relaxation and application of a halo vest with traction
3. Emergent cervical MRI
4. Immediate initiation of spinal cord injury steroid protocol Discussion: A
This patient has bilateral C5-6 facet perch. He is awake, oriented, and able to be examined. The patient is also an appropriate candidate for reduction by serial traction. Because of his normal mental status, he is able to convey the symptoms of neurologic deterioration due to iatrogenic disk herniation during the reduction maneuver. Sedating the patient may compromise his ability to accurately perform serial exams and will affect the patient's ability to communicate symptomatic neurologic deterioration. Cervical MRI is not always readily available and can delay reduction. MRI can be performed after facet reduction. The patient does not have a spinal cord injury; thus, the steroid protocol is not indicated.
Question 66 of 100
Which type of thoracolumbar injury typically involves all three columns, is most mechanically unstable, and is most associated with complete spinal cord injury?
1. Compression
2. Burst
3. Flexion distraction
4. Translation-rotation Discussions: D
Translation-rotation injuries typically yield fracture dislocations. This injury pattern involves the disruption of skeletal and ligamentous elements of the spine to cause a maximum loss of stability, subsequent deformity in three planes (coronal, axial, and sagittal), and catastrophic neurologic injury.
Compression injuries occur when a force is applied in flexion and injures the anterior column. Compression injuries are usually stable and rarely have neurologic sequelae. Burst fractures occur through axially applied forces, which in turn cause injury to the anterior and middle columns of the vertebrae at minimum. Neurologic injury can occur through direct compression of the neural elements by bone fragments or hematoma or by absorption of the transferred energy. Flexion distraction injuries typically occur as forces are transmitted from anterior to posterior, causing injury to the middle and posterior columns.
Question 67 of 100
CLINICAL SITUATION
Figures 1 through 3 show MRI and CT images from a 56-year-old man with known metastatic lung cancer who came to the emergency department with increasing back pain. On examination, he has grade 4+ of 5 strength in the bilateral lower extremities. He has intact rectal tone and volitional contraction.
How is the stability of his spine determined?
1. Thoracolumbar Injury Classification System (TLICS)
2. Denis Classification System
3. Kostuik Classification System
4. Spinal Instability Neoplastic Score (SINS) Discussion: D
Determining spinal instability is critical in the setting of metastatic or primary spine tumors. The SINS is a multidisciplinary validated score that can guide treatment. SINS has six components, and a score of 6 or less describes a stable spine, 7 to 12 describes impending instability, and 13 and above defines an unstable spine. The TLICS is used for surgical decision making in traumatic thoracolumbar spine fractures. The Denis classification also is used for decision making in spine fractures. The Kostuik classification is an axial–CT-based classification used to determine the extent of tumor involvement in a vertebral body.
Following spine tumor surgery, wound complications such as infection or dehiscence are the most common complications. Prior radiation treatment and revision surgery can increase the risk of wound complications. Dural tears, instrumentation failure, and tumor recurrence are also complications of spine tumor surgery but are less frequent than wound complications.
Stereotactic radiosurgery is a radiation therapy modality that can provide focused treatment with higher doses of radiation than conventional radiotherapy. Compared with conventional radiotherapy, less fractionation of treatment is needed. One of the complications of stereotactic radiosurgery
is an 11% to 39% rate of compression fractures. Osteoradionecrosis is the proposed mechanism for the compression fractures.
The patient has some radicular symptoms, and CT demonstrates pedicle and vertebral body involvement. Transpedicular decompression provides adequate access and decompression of the pedicle and vertebral body. Lumbar laminectomy alone would not provide access to the vertebral body. L4 corpectomy is not indicated to address this metastatic spine disease. Lateral extracavitary decompression is an option when attempting all posterior based corpectomies in the lumbar spine but is not indicated for this patient.
Question 68 of 100
CLINICAL SITUATION
Figures 1 through 3 show MRI and CT images from a 56-year-old man with known metastatic lung cancer who came to the emergency department with increasing back pain. On examination, he has grade 4+ of 5 strength in the bilateral lower extremities. He has intact rectal tone and volitional contraction.
The patient’s SINS is 9, or impending instability. He is offered surgical stabilization. What is the most common surgical complication that should be anticipated?
1. Dural tear
2. Instrumentation failure
3. Tumor recurrence
4. Wound complications
Discussion: D
Determining spinal instability is critical in the setting of metastatic or primary spine tumors. The SINS is a multidisciplinary validated score that can guide treatment. SINS has six components, and a score of 6 or less describes a stable spine, 7 to 12 describes impending instability, and 13 and above defines an unstable spine. The TLICS is used for surgical decision making in traumatic thoracolumbar spine fractures. The Denis classification also is used for decision making in spine fractures. The Kostuik classification is an axial–CT-based classification used to determine the extent of tumor involvement in a vertebral body.
Following spine tumor surgery, wound complications such as infection or dehiscence are the most common complications. Prior radiation treatment and revision surgery can increase the risk of wound complications. Dural tears, instrumentation failure, and tumor recurrence are also complications of spine tumor surgery but are less frequent than wound complications.
Stereotactic radiosurgery is a radiation therapy modality that can provide focused treatment with higher doses of radiation than conventional radiotherapy. Compared with conventional radiotherapy, less fractionation of treatment is needed. One of the complications of stereotactic radiosurgery is an 11% to 39% rate of compression fractures. Osteoradionecrosis is the proposed mechanism for the compression fractures.
The patient has some radicular symptoms, and CT demonstrates pedicle and vertebral body involvement. Transpedicular decompression provides adequate access and decompression of the pedicle and vertebral body. Lumbar laminectomy alone would not provide access to the vertebral body. L4 corpectomy is not indicated to address this metastatic spine disease. Lateral extracavitary decompression is an option when attempting all posterior based corpectomies in the lumbar spine but is not indicated for this patient.
Question 69 of 100
CLINICAL SITUATION
Figures 1 through 3 show MRI and CT images from a 56-year-old man with known metastatic lung cancer who came to the emergency department with increasing back pain. On examination, he has grade 4+ of 5 strength in the bilateral lower extremities. He has intact rectal tone and volitional contraction.
The patient is offered surgical intervention with the understanding that he will undergo radiation treatment 3 weeks postoperatively. Instead of conventional radiation therapy, however, stereotactic radiosurgery is recommended. What is a common complication of stereotactic radiosurgery?
1. Nerve damage
2. Compression fracture
3. Tumor recurrence
4. Increased pain Discussions: B
Determining spinal instability is critical in the setting of metastatic or primary spine tumors. The SINS is a multidisciplinary validated score that can guide treatment. SINS has six components, and a score of 6 or less describes a stable spine, 7 to 12 describes impending instability, and 13 and above defines an unstable spine. The TLICS is used for surgical decision making in traumatic thoracolumbar spine fractures. The Denis classification also is used for decision making in spine fractures. The Kostuik classification is an axial–CT-based classification used to determine the extent of tumor involvement in a vertebral body.
Following spine tumor surgery, wound complications such as infection or dehiscence are the most common complications. Prior radiation treatment and revision surgery can increase the risk of wound complications. Dural tears, instrumentation failure, and tumor recurrence are also complications of spine tumor surgery but are less frequent than wound complications.
Stereotactic radiosurgery is a radiation therapy modality that can provide focused treatment with higher doses of radiation than conventional radiotherapy. Compared with conventional radiotherapy, less fractionation of treatment is needed. One of the complications of stereotactic radiosurgery is an 11% to 39% rate of compression fractures. Osteoradionecrosis is the proposed mechanism for the compression fractures.
The patient has some radicular symptoms, and CT demonstrates pedicle and vertebral body involvement. Transpedicular decompression provides adequate access and decompression of the pedicle and vertebral body. Lumbar laminectomy alone would not provide access to the vertebral body. L4 corpectomy is not indicated to address this metastatic spine disease. Lateral extracavitary decompression is an option when attempting all posterior based corpectomies in the lumbar spine but is not indicated for this patient
Question 70 of 100
CLINICAL SITUATION
Figures 1 through 3 show MRI and CT images from a 56-year-old man with known metastatic lung cancer who came to the emergency department with increasing back pain. On examination, he has grade 4+ of 5 strength in the bilateral lower extremities. He has intact rectal tone and volitional contraction.
The patient has been given a life expectancy of 6 months. What decompression technique can achieve sufficient decompression in the setting of his metastatic disease?
1. L4 corpectomy
2. Lumbar laminectomy
3. Transpedicular decompression
4. Lateral extracavitary decompression Discussion: C
Determining spinal instability is critical in the setting of metastatic or primary spine tumors. The SINS is a multidisciplinary validated score that can guide treatment. SINS has six components, and a score of 6 or less describes a stable spine, 7 to 12 describes impending instability, and 13 and above defines an unstable spine. The TLICS is used for surgical decision making in traumatic thoracolumbar spine fractures. The Denis classification also is used for decision making in spine fractures. The Kostuik classification is an axial–CT-based classification used to determine the extent of tumor involvement in a vertebral body.
Following spine tumor surgery, wound complications such as infection or dehiscence are the most common complications. Prior radiation treatment and revision surgery can increase the risk of wound complications. Dural tears, instrumentation failure, and tumor recurrence are also complications of spine tumor surgery but are less frequent than wound complications.
Stereotactic radiosurgery is a radiation therapy modality that can provide focused treatment with higher doses of radiation than conventional radiotherapy. Compared with conventional radiotherapy, less fractionation of treatment is needed. One of the complications of stereotactic radiosurgery
is an 11% to 39% rate of compression fractures. Osteoradionecrosis is the proposed mechanism for the compression fractures.
The patient has some radicular symptoms, and CT demonstrates pedicle and vertebral body involvement. Transpedicular decompression provides adequate access and decompression of the pedicle and vertebral body. Lumbar laminectomy alone would not provide access to the vertebral body. L4 corpectomy is not indicated to address this metastatic spine disease. Lateral extracavitary decompression is an option when attempting all posterior based corpectomies in the lumbar spine but is not indicated for this patient.
Question 71 of 100
Figure 1 shows an axial T2-weighted MRI from a 25-year-old man with severe right leg pain from the buttock to the anterolateral aspect of the lower leg, with associated numbness. The pain has been present for 3 months in spite of physical therapy and nonsteroidal anti-inflammatory medication. What is the most compelling reason to consider a lumbar epidural steroid injection (ESI) in this patient?
1. ESIs have been shown to provide durable pain relief when compared with usual care.
2. ESIs have been shown to reduce acute radicular pain.
3. ESIs can reduce the likelihood of surgical decompression.
4. ESIs are less expensive than surgery.
Discussion: B
The use of epidural steroids has not been shown to change the natural history of lumbar radiculopathy secondary to a herniated nucleus pulposus. ESI has been shown to provide improvements in pain over the short term, but these gains are not discernable over time when compared with patients treated without ESI (Chou and associates). Most patients improve without surgery; in fact, nearly 90% of patients improve by 3 months (Deyo and associates).
Question 72 of 100
Figures 1 and 2 are the MRI and CT images from a 73-year-old woman with mild neck pain and balance difficulty. She reports worsening ambulation and hand dexterity over the past 2 years. The patient currently uses a walker to ambulate. On examination, she has a positive Hoffman sign and a positive Romberg sign. She has no motor deficits. Surgery is offered to the patient. What is a common complication encountered during anterior surgical management of this condition?
1. Paralysis
2. Recurrence of stenosis
3. Dural tear
4. Instrumentation failure Discussion: C
The patient has ossification of the posterior longitudinal ligament (OPLL). Cervical dural tears are uncommon, with a prevalence of 1%. In OPLL, however, the rate can be as high as 12.5%. Paralysis, instrumentation failure,
and recurrent stenosis all are risks following cervical spine surgery, but increased rates of durotomies are unique to OPLL.
Question 73 of 100
Figures 1 and 2 are the MRIs obtained from a 58-year-old woman who has symptoms of neurogenic claudication. You elect to treat the patient with a lateral lumbar interbody fusion with posterior pedicle screw instrumentation but no direct neural decompression. When deciding on this treatment option, you consider that
1. a 20% chance exists that the indirect decompression alone will not be sufficient and that a decompression procedure may be needed in the future.
2. indirect decompression results in a 10% to 20% increase in the spinal canal area.
3. placement of the cage closer to the midpoint of the disk (in the sagittal plane) will result in a larger increase in the spinal canal area.
4. indirect decompression without direct decompression has been shown to produce better postoperative functional outcome scores.
Discussion: B
In degenerative spondylolisthesis, indirect decompression of the spinal canal has been shown to be an effective treatment option. Malham and associates conducted a prospective study of 122 patients and reported an unplanned return to the operating room in 11 patients (9%). When reviewing these cases retrospectively, the authors felt that failure of indirect decompression should have been anticipated based on radiographic findings in 10 of these 11 patients who had high-grade, unstable spondylolisthesis or substantial bony
lateral recess stenosis. Sato and associates reported an increase in the spinal canal area of 20%, whereas Castellvi and associates reported only a 9% increase. Park and associates reported that positioning the cage within the anterior one-third of disk space is better for achieving the restoration of the segmental angle without compromising the indirect neural decompression, if the cage was high enough.
Question 74 of 100
An 83-year-old woman has leg pain with ambulation. She has tried physical therapy, oral analgesics, and injections, with minimal relief. The symptoms have been present for 1 year. Radiographs reveal an L4-5 spondylolisthesis and greater than 4 mm of motion on flexion-extension. MRI shows moderate to severe central and lateral recess stenosis. The patient should be informed that at her age, surgical intervention
1. can provide considerable benefit compared with nonsurgical management.
2. should be avoided because of a higher rate of complications.
3. has no difference in results from nonsurgical management.
4. can lead to increased mortality. Discussion: A
The incidence of surgery is increased in patients 80 years of age and older. Patients aged 80 years and older enrolled in the Spine Patient Outcomes Research Trial and undergoing surgery for lumbar stenosis and spondylolisthesis were compared with patients younger than 80. In the older age group, surgical treatment was associated with statistically significant clinical improvement compared with nonsurgical management. No statistically significant increase was observed in complications or mortality compared with younger patients.
Question 75 of 100
Figure 1 is a sagittal T2-weighted MRI obtained from a 78-year-old man in the emergency department following a fall in which he struck the front of his head and extended his neck. On physical examination, he is noted to have
reduced sensation in his bilateral upper and lower extremities, grade 2 of 5 strength in his bilateral upper extremities, and grade 5 of 5 strength in his bilateral lower extremities. When counseling the patient and his family on treatment options, you tell them that
1. advanced age does not affect neurologic outcome.
2. delayed surgery is associated with longer intensive care unit (ICU) and hospital stays.
3. delayed surgery has been associated with reduced mortality rates.
4. delayed surgery has been associated with improved neurologic recovery. Discussion: C
The timing of surgery for central cord syndrome remains controversial. Although the study by Anderson and associates suggested that early surgery may lead to better neurologic recovery, other studies have shown that the timing of surgery does not have any effect. Samuel and associates demonstrated reduced mortality with delayed surgery. They also reported that delayed surgery was associated with an increase in minor adverse events, but no change in serious adverse events was observed. Kepler and associates showed that advanced age is associated with poorer neurologic outcomes. They also observed no change in length of stay or ICU days between early and late surgical groups.
Question 76 of 100
For the clinical situation described, match the most appropriate treatment listed.
Figure 1 shows a T2-weighted MRI from a 72-year-old man with known metastatic prostate cancer. The arrows demonstrate metastatic epidural prostate disease. The patient comes to the emergency department with difficulty walking and leg numbness. He is found to have lower extremity weakness on examination.
1. Palliative radiation
2. En bloc spondylectomy
3. Separation surgery followed by stereotactic radiation
4. Observation
5. Stereotactic radiosurgery
6. Kyphoplasty Discussion: C
Radiation remains the standard of care for most symptomatic spinal metastasis. In the absence of cord compression or instability, radiation is the best choice. Palliative dose radiation is unlikely to reverse the neurologic decline that has started for the first patient, however. This patient needs more aggressive treatment. Insufficient clearance exists between the tumor and the spinal cord to allow the safe delivery of stereotactic radiosurgery. Surgery should be performed to create space between the tumor and the cord. This so-called “separation” surgery enables the safe use of stereotactic radiosurgery postoperatively (Laufer and associates). The situation is different for primary tumors of the spine. Although radiation has improved and many clinicians use radiation to treat chordomas in combination with surgery, the standard of care is en bloc spondylectomy (Boriani and associates).
Question 77 of 100
For the clinical situation described, match the most appropriate treatment listed.
Figure 2 depicts an axial T2-weighted MRI from a 58-year-old man with 6 months of progressive pain in his back and legs. The image reveals a large mass that was biopsied and found to be consistent with chordoma. The pain keeps him from sleeping. He has no other disease sites.
1. Palliative radiation
2. En bloc spondylectomy
3. Separation surgery followed by stereotactic radiation
4. Observation
5. Stereotactic radiosurgery
6. Kyphoplasty Discussion: B
Radiation remains the standard of care for most symptomatic spinal metastasis. In the absence of cord compression or instability, radiation is the best choice. Palliative dose radiation is unlikely to reverse the neurologic decline that has started for the first patient, however. This patient needs more aggressive treatment. Insufficient clearance exists between the tumor and the spinal cord to allow the safe delivery of stereotactic radiosurgery. Surgery should be performed to create space between the tumor and the cord. This so-called “separation” surgery enables the safe use of stereotactic radiosurgery postoperatively (Laufer and associates). The situation is different for primary tumors of the spine. Although radiation has improved
and many clinicians use radiation to treat chordomas in combination with surgery, the standard of care is en bloc spondylectomy (Boriani and associates).
Question 78 of 100
For the clinical situation described, match the most appropriate treatment listed.
Figure 3 shows an MRI from a 72-year-old woman with known breast carcinoma and liver metastasis who has pain at the base of her neck. A biopsy was performed that confirmed the diagnosis of metastatic breast cancer in the first thoracic vertebrae, which was not present on an MRI from 1 year earlier. What is the best course of action?
1. Palliative radiation
2. En bloc spondylectomy
3. Separation surgery followed by stereotactic radiation
4. Observation
5. Stereotactic radiosurgery
6. Kyphoplasty Discussion: A
Radiation remains the standard of care for most symptomatic spinal metastasis. In the absence of cord compression or instability, radiation is the best choice. Palliative dose radiation is unlikely to reverse the neurologic decline that has started for the first patient, however. This patient needs more aggressive treatment. Insufficient clearance exists between the tumor and
the spinal cord to allow the safe delivery of stereotactic radiosurgery. Surgery should be performed to create space between the tumor and the cord. This so-called “separation” surgery enables the safe use of stereotactic radiosurgery postoperatively (Laufer and associates). The situation is different for primary tumors of the spine. Although radiation has improved and many clinicians use radiation to treat chordomas in combination with surgery, the standard of care is en bloc spondylectomy (Boriani and associates).
Question 79 of 100
During the listed surgery, which of the structures in the responses is at greatest risk of injury?
Removal of bone during cervical corpectomy
1. Ansa cervicalis
2. Vagus nerve
3. Recurrent laryngeal nerve
4. Greater occipital nerve
5. C5 nerve root
6. Vertebral artery
7. Internal carotid artery Discussion: F
Increased risk to the vertebral artery occurs during cervical corpectomy due to an aberrant course of the vertebral artery. The incidence of midline migration of the vertebral artery is 7.6%. The vertebral artery is also at increased risk during posterior C1 arch exposure, which should be limited to
1.5 cm lateral to the midline. During anterior midcervical spine exposure, the recurrent laryngeal nerve is at risk and nerve injury
can lead to postoperative dysphagia. The internal carotid artery lies just anterior to the anterior arch of C1 and is at risk during bicortical fixation with either a C1 lateral mass or C1-2 transarticular fixation. During posterior laminectomy and instrumented fusion, multiple structures are at low risk, but the greatest
risk is of C5 nerve palsy, which occurs in approximately 7% of cases and has reported rates ranging from 0% to 30%.
Question 80 of 100
During the listed surgery, which of the structures in the responses is at greatest risk of injury?
Anterior midcervical spine exposure
1. Ansa cervicalis
2. Vagus nerve
3. Recurrent laryngeal nerve
4. Greater occipital nerve
5. C5 nerve root
6. Vertebral artery
7. Internal carotid artery Discussion: C
Increased risk to the vertebral artery occurs during cervical corpectomy due to an aberrant course of the vertebral artery. The incidence of midline migration of the vertebral artery is 7.6%. The vertebral artery is also at increased risk during posterior C1 arch exposure, which should be limited to
1.5 cm lateral to the midline. During anterior midcervical spine exposure, the recurrent laryngeal nerve is at risk and nerve injury
can lead to postoperative dysphagia. The internal carotid artery lies just anterior to the anterior arch of C1 and is at risk during bicortical fixation with either a C1 lateral mass or C1-2 transarticular fixation. During posterior laminectomy and instrumented fusion, multiple structures are at low risk, but the greatest risk is of C5 nerve palsy, which occurs in approximately 7% of cases and has reported rates ranging from 0% to 30%.
Question 81 of 100
During the listed surgery, which of the structures in the responses is at greatest risk of injury?
Bicortical placement of C1-2 transarticular screw
1. Ansa cervicalis
2. Vagus nerve
3. Recurrent laryngeal nerve
4. Greater occipital nerve
5. C5 nerve root
6. Vertebral artery
7. Internal carotid artery Discussion: G
Increased risk to the vertebral artery occurs during cervical corpectomy due to an aberrant course of the vertebral artery. The incidence of midline migration of the vertebral artery is 7.6%. The vertebral artery is also at increased risk during posterior C1 arch exposure, which should be limited to
1.5 cm lateral to the midline. During anterior midcervical spine exposure, the recurrent laryngeal nerve is at risk and nerve injury
can lead to postoperative dysphagia. The internal carotid artery lies just anterior to the anterior arch of C1 and is at risk during bicortical fixation with either a C1 lateral mass or C1-2 transarticular fixation. During posterior laminectomy and instrumented fusion, multiple structures are at low risk, but the greatest risk is of C5 nerve palsy, which occurs in approximately 7% of cases and has reported rates ranging from 0% to 30%.
Question 82 of 100
During the listed surgery, which of the structures in the responses is at greatest risk of injury?
Lateral exposure of C1 posterior arch
1. Ansa cervicalis
2. Vagus nerve
3. Recurrent laryngeal nerve
4. Greater occipital nerve
5. C5 nerve root
6. Vertebral artery
7. Internal carotid artery
Discussion: F
Increased risk to the vertebral artery occurs during cervical corpectomy due to an aberrant course of the vertebral artery. The incidence of midline migration of the vertebral artery is 7.6%. The vertebral artery is also at increased risk during posterior C1 arch exposure, which should be limited to
1.5 cm lateral to the midline. During anterior midcervical spine exposure, the recurrent laryngeal nerve is at risk and nerve injury
can lead to postoperative dysphagia. The internal carotid artery lies just anterior to the anterior arch of C1 and is at risk during bicortical fixation with either a C1 lateral mass or C1-2 transarticular fixation. During posterior laminectomy and instrumented fusion, multiple structures are at low risk, but the greatest risk is of C5 nerve palsy, which occurs in approximately 7% of cases and has reported rates ranging from 0% to 30%.
Question 83 of 100
During the listed surgery, which of the structures in the responses is at greatest risk of injury?
Cervical laminectomy and fusion
1. Ansa cervicalis
2. Vagus nerve
3. Recurrent laryngeal nerve
4. Greater occipital nerve
5. C5 nerve root
6. Vertebral artery
7. Internal carotid artery Discussion: E
Increased risk to the vertebral artery occurs during cervical corpectomy due to an aberrant course of the vertebral artery. The incidence of midline migration of the vertebral artery is 7.6%. The vertebral artery is also at increased risk during posterior C1 arch exposure, which should be limited to
1.5 cm lateral to the midline. During anterior midcervical spine exposure, the
recurrent laryngeal nerve is at risk and nerve injury
can lead to postoperative dysphagia. The internal carotid artery lies just anterior to the anterior arch of C1 and is at risk during bicortical fixation with either a C1 lateral mass or C1-2 transarticular fixation. During posterior laminectomy and instrumented fusion, multiple structures are at low risk, but the greatest risk is of C5 nerve palsy, which occurs in approximately 7% of cases and has reported rates ranging from 0% to 30%.
Question 84 of 100
For the following statement, match the most appropriate tumor type listed.
Most likely to respond to radiation
1. Multiple myeloma
2. Non-small-cell lung carcinoma
3. Prostate cancer
4. Breast cancer
5. Squamous cell carcinoma
6. Renal cell carcinoma Discussion: A
The management of metastatic bone disease in the spine requires an understanding of the biology of common metastatic tumors in bone. Multiple myeloma is actually a blood-born tumor that is associated with substantial lytic bone lesions. It also can be associated with soft-tissue masses that compress the spinal cord. It is among the most radiation-sensitive tumors (Biermann). Prostate cancer is the best example of a purely osteoblastic tumor (Edeiken and associates). Non–small-cell lung carcinoma carries a very poor prognosis, and survival has been reported to be just over 3 months after spinal decompression (Goodwin and associates). Renal cell carcinoma should be considered for embolization prior to surgery to help mitigate bleeding, for which it is rightly associated (Quraishi and associates)
Question 85 of 100
For the following statement, match the most appropriate tumor type listed.
Most likely to present as densely blastic on radiograph
1. Multiple myeloma
2. Non-small-cell lung carcinoma
3. Prostate cancer
4. Breast cancer
5. Squamous cell carcinoma
6. Renal cell carcinoma Discussion: C
The management of metastatic bone disease in the spine requires an understanding of the biology of common metastatic tumors in bone. Multiple myeloma is actually a blood-born tumor that is associated with substantial lytic bone lesions. It also can be associated with soft-tissue masses that compress the spinal cord. It is among the most radiation-sensitive tumors (Biermann). Prostate cancer is the best example of a purely osteoblastic tumor (Edeiken and associates). Non–small-cell lung carcinoma carries a very poor prognosis, and survival has been reported to be just over 3 months after spinal decompression (Goodwin and associates). Renal cell carcinoma should be considered for embolization prior to surgery to help mitigate bleeding, for which it is rightly associated (Quraishi and associates).
Question 86 of 100
For the following statement, match the most appropriate tumor type listed.
Most likely to lead to patient’s death in 6 months or less
1. Multiple myeloma
2. Non-small-cell lung carcinoma
3. Prostate cancer
4. Breast cancer
5. Squamous cell carcinoma
6. Renal cell carcinoma Discussion: B
The management of metastatic bone disease in the spine requires an understanding of the biology of common metastatic tumors in bone. Multiple myeloma is actually a blood-born tumor that is associated with substantial lytic bone lesions. It also can be associated with soft-tissue masses that compress the spinal cord. It is among the most radiation-sensitive tumors (Biermann). Prostate cancer is the best example of a purely osteoblastic tumor (Edeiken and associates). Non–small-cell lung carcinoma carries a very poor prognosis, and survival has been reported to be just over 3 months after spinal decompression (Goodwin and associates). Renal cell carcinoma should be considered for embolization prior to surgery to help mitigate bleeding, for which it is rightly associated (Quraishi and associates).
Question 87 of 100
For the following statement, match the most appropriate tumor type listed.
Most likely to benefit from preoperative embolization
1. Multiple myeloma
2. Non-small-cell lung carcinoma
3. Prostate cancer
4. Breast cancer
5. Squamous cell carcinoma
6. Renal cell carcinoma Discussion: F
The management of metastatic bone disease in the spine requires an understanding of the biology of common metastatic tumors in bone. Multiple myeloma is actually a blood-born tumor that is associated with substantial lytic bone lesions. It also can be associated with soft-tissue masses that compress the spinal cord. It is among the most radiation-
sensitive tumors (Biermann). Prostate cancer is the best example of a purely osteoblastic tumor (Edeiken and associates). Non–small-cell lung carcinoma carries a very poor prognosis, and survival has been reported to be just over 3 months after spinal decompression (Goodwin and associates). Renal cell carcinoma should be considered for embolization prior to surgery to help mitigate bleeding, for which it is rightly associated (Quraishi and associates).
Question 88 of 100
Figures 1 and 2 are MRI images obtained from a 22-year-old man who fell from a 2-story building. On examination, he has diminished rectal tone and urinary retention. If surgical stabilization is elected, what is the most biomechanically stable option?
1. Sacral plating
2. Iliosacral screws
3. Iliosacral screws and lumbopelvic fixation
4. External fixation Discussion: C
The patient has a U-shaped sacral fracture or spondylopelvic dissociation. Treatment options for these fractures range from percutaneous placement of iliosacral screws to lumbopelvic fixation (lumbar pedicle screws and iliac screws). Lumbopelvic fixation can be supplemented by iliosacral screws, which has been termed triangular osteosynthesis. Biomechanical studies have shown that iliosacral screws with lumbopelvic fixation—or triangular
osteosynthesis—is the most stable construct when compared with iliosacral screws alone. The advantage of lumbopelvic fixation is that concurrent sacral laminectomy can be performed, which is recommend in this patient because of his neurologic symptoms. External fixation or sacral plating play minimal roles in U-shaped sacral fractures.
Question 89 of 100
Figures 1 and 2 show the MRIs from a 20-year-old woman who was involved in a motor vehicle collision and has C4 and C5 fractures. On examination, she displays diminished rectal tone and sensation, with grade 3 of 5 biceps and deltoid strength and 0 of 5 motor strength in the triceps and below. What management option would most likely increase her motor function?
1. High-dose steroids
2. Maintaining mean arterial pressure above 85 mm Hg
3. Delayed cervical decompression and stabilization
4. Cervical decompression and stabilization within 24 hours Discussion: D
Traumatic cervical spinal cord injury is managed best with surgical decompression and stabilization performed within 24 hours to maximize the possibility of neurologic recovery. The Surgical Timing in Acute Spinal Cord Injury Study noted improvement in Asia Impairment Scale scores in patients undergoing decompression within 24 hours of injury when compared with those managed in a delayed manner (Fehling and associates). The use of high-dose steroids in the setting of spinal cord injury has declined considerably nationally because of corticosteroid-related complications. Although elevating mean arterial pressures can help increase spinal cord
perfusion, the practice is an adjunct to prompt decompression and stabilization rather than an isolated treatment option.
Question 90 of 100
CLINICAL SITUATION
Figures 1 through 3 show the MRI and CT images from a man who sustained a blunt force trauma after a motorcycle accident 10 hours earlier.
What factors contribute the most to the decision to operate?
1.
The percentage of spinal canal compromi
se and the degree of kyphosis
2.
The fracture morphology on radiographic imaging, neurologic
status, and the integrity of the diskoligamentous complex
3. The fracture classification on CT, the presence of hematoma on MRI, and the level of consciousness
4. The neurologic status and coexisting injuries Discussion: B
The patient has an unstable burst fracture. According to the Thoracolumbar Injury Classification and Severity (TLICS) classification, the fracture morphology, neurologic function of the patient, and integrity of the diskoligamentous complex all contribute to a scoring system designed to facilitate the decision to operate to decompress and stabilize the fracture. Concomitant injuries ultimately may play a role in the timing of surgery, but they usually do not affect the decision to operate. The level of consciousness
of the patient likewise may affect the timing of surgery, but not the decision to operate.
This patient has an incomplete spinal cord injury with compression of the cord. The fracture morphology, level of neurologic impairment, and disk injury with anterior compression give him a TLICS score higher than 5 (8 to 9 by calculation), meeting the criteria for surgical treatment. As seen on radiographic imaging, the greatest compression of the neural elements comes from the anterior fragments of bone and disk, which can be decompressed most predictably through an anterior approach. A translational and sagittal deformity is present, which needs to be addressed from a circumferential approach.
No role exists for bracing alone in a neurologically impaired patient with an unstable fracture pattern. Posterior distraction instrumentation using ligamentotaxis alone has been found to indirectly decompress the canal, depending on the integrity of the remaining ligamentous structures. The amount of this decompression is unpredictable and inferior to direct decompression. Short-segment stabilization from a posterior alone approach also has been reported to have complications with late-onset deformity.
Question 91 of 100
CLINICAL SITUATION
Figures 1 through 3 show the MRI and CT images from a man who sustained a blunt force trauma after a motorcycle accident 10 hours earlier.
A patient who was admitted to the intensive care unit reports severe back pain. On physical examination, he displays grade 2 of 5 weakness in bilateral hip flexion, bilateral quadriceps, and trace strength (1 of 5) in ankle dorsiflexion and plantar flexion. His sensory examination is remarkable for decreased sensation below the bilateral inguinal regions down to the toes. He has reduced rectal sensation and tone. The bulbocavernosus reflex is present. What is the best next step?
A.
Thoracolumbosacral orthosis bracing and intravenoussteroids
B. Posterior percutaneous thoracolumbar d
istractioninstrumentation
C. Posterior transpedicular decompression
with instrumented fusion fromT 12-
instrumentedfusion from T12-L2
Commented [aa1]:
L2
D. Anterior L1 corpectomy with placement ofastrutgraft and posterior
Discussion: D
The patient has an unstable burst fracture. According to the Thoracolumbar Injury Classification and Severity (TLICS) classification, the fracture morphology, neurologic function of the patient, and integrity of the diskoligamentous complex all contribute to a scoring system designed to facilitate the decision to operate to decompress and stabilize the fracture. Concomitant injuries ultimately may play a role in the timing of surgery, but they usually do not affect the decision to operate. The level of consciousness of the patient likewise may affect the timing of surgery, but not the decision to operate.
This patient has an incomplete spinal cord injury with compression of the cord. The fracture morphology, level of neurologic impairment, and disk injury with anterior compression give him a TLICS score higher than 5 (8 to 9 by calculation), meeting the criteria for surgical treatment. As seen on radiographic imaging, the greatest compression of the neural elements comes from the anterior fragments of bone and disk, which can be decompressed most predictably through an anterior approach. A
89
translational and sagittal deformity is present, which needs to be addressed from a circumferential approach.
No role exists for bracing alone in a neurologically impaired patient with an unstable fracture pattern. Posterior distraction instrumentation using ligamentotaxis alone has been found to indirectly decompress the canal, depending on the integrity of the remaining ligamentous structures. The amount of this decompression is unpredictable and inferior to direct decompression. Short-segment stabilization from a posterior alone approach also has been reported to have complications with late-onset deformity.
Question 92 of 100
A 54-year-old man sustains an H-type sacral fracture in a motor vehicle collision. Resuscitation has been completed. He reports back pain. A thorough neurologic examination is performed. What predicts neurologic dysfunction?
1. Age
2. Gender
3. Displacement of the fracture
4. Mechanism of injury Discussion: C
The displacement of sacral fractures confers an increased risk of neurologic dysfunction. Age, gender, and mechanism of injury have not been shown to affect the neurologic status substantially.
Question 93 of 100
Figure 1 is the radiograph from an 18-year-old man who arrives in the emergency department after a high-speed motorcycle collision. Fluid resuscitation was started immediately upon ambulance transport. His hemodynamic status includes blood pressure at 100/70 and pulse at 80 beats per minute. The respiratory rate is 20 breaths per minute and shallow. The urine output is 30 ml per hour, and intravenous fluids are flowing at 250 ml per hour. On physical examination, he is found to be insensate below the
level of injury. The motor strength status is revealed to be flaccid paralysis below the level of injury. His bulbocavernosus reflex is negative. The mental status examination shows that he is alert and anxious. What best describes his condition?
1. Neurogenic shock
2. Spinal shock
3. Hypovolemic shock
4. Septic shock Discussion: B
The displacement of sacral fractures confers an increased risk of neurologic dysfunction. Age, gender, and mechanism of injury have not been shown to affect the neurologic status substantially.
Question 94 of 100
Figures 1 through 3 represent the MRI images from a 28-year-old man who was ejected from a car and sustained a cervical spine injury. He has no motor or sensory function below C5. In comparison to spinal cord injury without facet dislocation, jumped facets are associated with
1. a worse clinical outcome.
2. no impact on the clinical outcome.
3. higher rates of revision surgery.
4. an incomplete resolution of symptoms. Discussion: A
In this sense, shock does not refer to circulatory shock. In spinal shock, a spinal cord injury results in a loss of motor and sensory function below the level of injury, along with a total loss of reflexes. Spinal shock usually starts minutes after injury and can last 24 to 72 hours.
Question 95 of 100
Figures 1 through 4 are from a 20-year-old woman brought to the emergency department after a motorcycle collision. She has a blood alcohol level of 0.2. Fluid resuscitation was started by emergency medical personnel, and she has 2 large bore intravenous infusions with, crystalloid running at 250 ml per hour. She has received 2 liters of crystalloid since the accident. Her blood pressure is 78/40, and her pulse is 122 beats per minute and is weak and thready. Her skin is pale, cool, and moist. A Foley catheter is placed, and her urine output is 20 ml per hour. Her mental status is altered and ranges from somnolent to anxious. Her motor examination ability is decreased in the lower extremities, and sensation is decreased below the umbilicus. The initial complete blood count drawn in the trauma bay returns with a white blood cell count of 11.5 and hemoglobin (Hgb) levels of 14.5%. What best describes her condition?
1. Neurogenic shock
2. Spinal shock
3. Hypovolemic shock
4. Septic shock
Discussion: C
This patient sustained a multitraumatic injury and is suffering from hypovolemic shock. Despite infusion of isotonic intravenous fluids, she remains hypotensive, tachycardic (appropriately), and oliguric. Her abdominal CT shows a splenic injury with hematoma. She has sustained T12 and L3 vertebral injuries, but these injuries typically would not cause hypotension. Hypovolemic shock is characterized by low blood pressure, tachycardia, low urine output, hemoconcentration (high to spuriously normal Hgb or hematocrit), mental status changes, and skin changes (cool, clammy, and pale). She requires full resuscitation, more crystalloid, or volume expansion (albumin or blood products).
Question 96 of 100
CLINICAL SITUATION
Figures 1 and 2 show the imaging studies from a 75-year-old man brought to the emergency department with upper neck pain after a ground-level fall. The patient is a resident of a skilled nursing facility who ambulates minimally with a walker. He has severe chronic obstructive pulmonary disorder and is on continuous oxygen. He is alert and oriented and has normal sensation in the upper and lower extremities. His examination is positive for weakness and pain on right shoulder movement but is otherwise normal.
What is the best next diagnostic study?
1. Flexion-extension radiographs of the cervical spine
2. CT of the brain
3. Radiographs of the right upper extremity
4. Electromyogram/nerve conduction study of the upper extremities Discussion: C
This patient has a comminuted fracture of the arch of the C1 ring. He has a lateral mass displacement of less than 7 mm, making transverse ligament injury less likely. A Jefferson burst fracture is unlikely to cause isolated shoulder weakness and pain. Imaging of the upper extremity can help identify other injuries that may explain the patient’s weakness such as a clavicle or proximal humerus fracture. For this fracture type, application of a hard collar or halo vest is appropriate, but this patient is a poor candidate for a halo vest because of his physiologic status. Surgical intervention is not required for either fracture type, because the C1 fracture can be treated closed and the distal clavicle injury is minimally displaced. A soft collar is less
likely to provide adequate stability for a comminuted Jefferson burst fracture of C1.
Question 97 of 100
CLINICAL SITUATION
Figures 1 and 2 show the imaging studies from a 75-year-old man brought to the emergency department with upper neck pain after a ground-level fall. The patient is a resident of a skilled nursing facility who ambulates minimally with a walker. He has severe chronic obstructive pulmonary disorder and is on continuous oxygen. He is alert and oriented and has normal sensation in the upper and lower extremities. His examination is positive for weakness and pain on right shoulder movement but is otherwise normal.
What is the most appropriate management of the patient’s cervical spine?
1. Soft collar application
2. Hard collar application
3. Halo vest application
4. Posterior C1-2 fusion Discussion: B
This patient has a comminuted fracture of the arch of the C1 ring. He has a lateral mass displacement of less than 7 mm, making transverse ligament injury less likely. A Jefferson burst fracture is unlikely to cause isolated shoulder weakness and pain. Imaging of the upper extremity can help identify other injuries that may explain the patient’s weakness such as a clavicle or proximal humerus fracture. For this fracture type, application of a hard collar or halo vest is appropriate, but this patient is a poor candidate for a halo vest because of his physiologic status. Surgical intervention is not
required for either fracture type, because the C1 fracture can be treated closed and the distal clavicle injury is minimally displaced. A soft collar is less likely to provide adequate stability for a comminuted Jefferson burst fracture of C1.
Question 98 of 100
Figures 1 and 2 show the radiograph and MRI from an 18-year-old man who is brought into the emergency department after falling off his skateboard and hitting his head against a wall. He was wearing a helmet. He denies loss of consciousness but reports severe neck pain. His motor and sensory function are intact. What is the best next step?
1. Placement in a Minerva brace
2. Anterior odontoid screw fixation
3. Gentle reduction using halo vest traction and posterior C1-3 arthrodesis
4. Posterior wiring of C2-3 along with placement of bone graft Discussion: C
This patient has a type IIA Hangman fracture or traumatic spondylolisthesis of the axis. The preferred treatment of this displaced fracture is surgical: reduction (traction versus open), followed by posterior instrumentation and fusion. Using a hard collar is acceptable for a type I minimally displaced injury. The Minerva brace is an orthosis reserved for lower cervical or cervicothoracic junction injuries. Anterior odontoid screw fixation is reserved for type II odontoid injuries, which are amenable to an anterior approach.
Posterior spinous process or laminar wiring will not stabilize this injury, because the fracture is at the pars interarticularis.
Question 99 of 100
A 56-year-old man is brought to the emergency department by paramedics following a high-speed motor vehicle collision. He has obvious head trauma as seen by bilateral periorbital ecchymoses, substantial facial swelling, and a large bitemporal scalp laceration. He is not alert, but he is responsive to painful stimuli, and he moves all four extremities. What radiographic test would you order first to assess his cervical spine for potential injury?
1. A cross-table lateral cervical spine plain radiograph
2. A complete cervical spine series
3. CT of the cervical spine
4. Cervical MRI Discussion: C
CT of the cervical spine is fast and readily available in most centers. The reported sensitivity of CT is greater than 95%, whereas specificity is almost 100%. In contrast, plain radiographs have a sensitivity of 70% and a missed injury rate of 15% to 30%. CT also has been found to be as cost effective or more cost effective compared with plain radiographs in diagnosing cervical injuries. MRI is expensive, not always readily available, and inferior to CT in diagnosing bony injuries. In this patient, dynamic imaging in the form of flexion-extension views is contraindicated as a first line radiographic test. The patient may have an unstable cervical injury which could be exacerbated with motion. The patient's mental status also does not allow voluntary motion. The maneuver would have to be done by the physician or radiology technician.
Question 100 of 100
Figures 1 and 2 show CT images from a 24-year-old man who was the unrestrained driver in a single motor vehicle collision. By report, he was ejected from the vehicle and initially was found unresponsive. The patient
was intubated in the field and then brought by ambulance to the emergency department, where he was resuscitated aggressively with crystalloid and blood transfusions. Radiographs were taken and showed an intracranial hemorrhage, which required emergent burr hole evacuation by Neurosurgery. In the intensive care unit, his blood pressure is 80/48, and his pulse is 48. He is breathing spontaneously on the ventilator at 16 breaths per minute. He can follow commands. Physical examination reveals absent motor function in the legs, no sensation below the nipple level, and a positive bulbocavernosus reflex. His skin is warm and dry. What best describes his condition?
1. Neurogenic shock
2. Spinal shock
3. Hypovolemic shock
4. Septic shock Discussion: A
This patient has classic neurogenic shock, which usually occurs when a cervical or high thoracic cord injury disrupts the autonomic pathways and causes a loss of sympathetic tone. Characteristic hypotension and bradycardia are present due to an unopposed vagal tone. Low cardiac output also is present, along with venous and arterial dilatation. The treatment for neurogenic shock is administration of agents called pressors (phenylephrine, dopamine, dobutamine, and norepinephrine) to improve cardiac contractility and increase peripheral vascular resistance. Atropine is given to increase the heart rate. Pressors are titrated to keep the mean arterial pressure above 80 and maintain spinal cord perfusion.
You Might Also Like