العربية
Part of the Master Guide

Diagnosis and Management of Pediatric Leg Length Discrepancy: Distal Femoral Physeal Bar & Genu Valgum Case Study

Masterclass: Comprehensive Surgical Management of Congenital Femoral Deficiency

28 Jan 2026 54 min read 135 Views
Illustration of congenital femoral deficiency - Dr. Mohammed Hutaif

Key Takeaway

Welcome, fellows, to a deep dive into congenital femoral deficiency (CFD) management. This masterclass will guide you through the intricacies of Paley classification, meticulous preoperative planning, and the precise execution of hip and knee reconstruction procedures, including the Superhip, Dega osteotomy, and femoral lengthening. We'll cover comprehensive surgical anatomy, critical intraoperative steps, pearls, pitfalls, and postoperative care, preparing you for complex CFD cases.

Treatment of Congenital Femoral Deficiency ## DEFINITION
The term proximal focal femoral deficiency (PFFD) is used to describe congenital femoral deficiency and deformity of the proximal femur to be distinguished from the congenital short femur.6 However, the more
comprehensive term congenital femoral deficiency (CFD)15 better describes the spectrum of deficiency, deformity, and discrepancy ranging from the congenital short femur to the most severe PFFD.
The severity of the deformity varies widely, and this condition can be diagnosed in the prenatal period using ultrasound examination.12
In most cases, CFD is not simple coxa vara. Patients with CFD lack integrity, stability, and mobility of the hip and knee, with concurrent joint malorientation, bony deformity, and soft tissue contractures. The affected limb grows at an inhibited rate depending on the severity of the underlying deficiency. The
resulting limb length discrepancy (LLD) can be accurately predicted using the multiplier method.1, 2, 11

ANATOMY

Although existing classification systems for PFFD are descriptive, these classification systems are not helpful in determining the final femoral morphology or treatment strategies.15
The Paley classification system ( FIG 1 ) is based on factors that reflect the severity of pathology and reconstructability of the congenitally deficient femur. This classification is based on pathologic factors that
determine surgical reconstruction strategies.9
The abnormal anatomy of CFD consists of coxa vara of the proximal femur with abduction contracture of the hip (ie, tensor fascia lata [TFL], gluteus maximus, gluteus medius, and gluteus minimus muscles), proximal femoral flexion deformity with concurrent hip flexion contracture (ie, rectus femoris, TFL, iliopsoas, gluteus medius and minimus muscles), and external femoral torsion-retroversion with concurrent external soft tissue contracture (ie, piriformis muscle).
The best way to understand the proximal femoral deformity of the more severe cases is to imagine creating the deformity de novo: start with a proximal femoral segment that ends in the subtrochanteric region. Perform all of these movements relative to the coronal plane of the pelvis in its normal anatomic position:
First, flex the proximal femur 90 degrees.
In the flexed position, abduct the proximal femur 45 degrees.
Connect the distal femoral diaphyseal segment to it with the distal femur rotated externally 45 degrees relative to the pelvis.
The resulting deformity is that seen with severe CFD ( FIG 2 ).
The proximal femur can also present a region of delayed ossification in either the subtrochanteric region or the neck region or both. Ossification of the cartilaginous proximal femur differentiates Paley type 1a CFD (ie, normal ossification) from Paley type 1b CFD (ie, delayed ossification). The latter can be subclassified as Paley type 1b
subtrochanteric type, neck type, or combined subtrochanteric-neck type (see FIG 1 ).
Once treated with realignment and in some cases insertion of bone morphogenetic protein (BMP), the unossified cartilage of the proximal femur in the type 1b will ossify changing the femur into type 1a. This area of delayed ossification is often mistaken for a pseudarthrosis (it could be referred to as a stiff cartilaginous pseudarthrosis to differentiate it from type 2, in which there is a true mobile, fibrous pseudarthrosis).
A more severe form of CFD is classified as Paley type 2; this type has a true mobile pseudarthrosis between the greater trochanter and femoral head or complete absence of the femoral head (see FIG 1 ).
The most severe proximal deficiencies are classified as Paley type 3 (diaphyseal deficiencies). In these cases, the greater trochanter is absent and the knee joint is affected to a greater (range of motion [ROM] <45 degrees) or lesser (ROM more than 45 degrees) extent. Complete absence of the femur is included in this group.
In very rare cases, there is a distal deficiency of the femur (ie, Paley type 4). Cases of distal deficiency present with very severe knee varus but a well-developed, intact hip joint.
Acetabular dysplasia is almost always present in patients with CFD. This deformity must be recognized and corrected to prevent subluxation or dislocation of the hip during lengthening.
Congenital knee abnormalities also exist with CFD. Absent or hypoplastic cruciate ligaments (ie, anterior cruciate ligament [ACL], posterior cruciate ligament [PCL]); hypoplastic lateral femoral condyle resulting in genu valgum; and hypoplastic patella with lateral maltracking, subluxation, or dislocation are common. Rotatory instability of the tibiofemoral joint and knee flexion contractures (ie, biceps femoris muscle, posterior knee joint capsule, iliotibial band) are also common.

PATHOGENESIS

The cause of an isolated single-limb abnormality remains unknown in most cases. Unilateral CFD is usually not related to a genetic syndrome. Bilateral CFD, multiple limb deficiencies, and associated tibial hemimelia are usually related to a genetic origin.
A patient with CFD presenting for initial evaluation does not require a genetic consultation unless multiple limb deficiencies or other congenital malformations are present.

Illustration 1 for Treatment for Congenital Femoral Deficiency: What You Need to Know Illustration 2 for Treatment for Congenital Femoral Deficiency: What You Need to Know FIG 1 • Paley classification of CFD. *

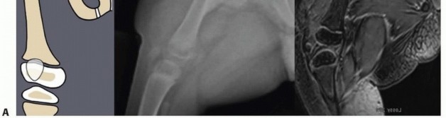
Illustration 3 for Treatment for Congenital Femoral Deficiency: What You Need to Know Illustration 4 for Treatment for Congenital Femoral Deficiency: What You Need to Know Illustration 5 for Treatment for Congenital Femoral Deficiency: What You Need to Know Illustration 6 for Treatment for Congenital Femoral Deficiency: What You Need to Know FIG 2 • A. Paley type 1b CFD (subtrochanteric type) shown by illustration, radiograph, and MRI. Note the nonossified subtrochanteric cartilage B. Paley type 1b CFD (neck type) shown by illustration, radiograph, and MRI. Note the nonossified neck. *

NATURAL HISTORY

The natural history of CFD is a progressive LLD in unilateral cases. The deformities and soft tissue contractures described above persist but do not progress.
The Paley type 1b hip shows eventual ossification of the cartilaginous femoral neck or subtrochanteric region.15 Although ossification occurs over time, the bony deformities and soft tissue contractures persist.
Progressive LLD can be accurately predicted using the Paley multiplier method.1, 2, 11 Determining the LLD at maturity and using the Paley classification system allows the surgeon to formulate an overall strategy for deformity correction and limb lengthening.
The number and timing of surgical procedures can be presented as a general overall plan to the parents during the initial consultation.

PATIENT HISTORY AND PHYSICAL FINDINGS

A general history and physical examination should be performed.
The clinician should concentrate on family history or concurrent known congenital abnormalities, which could indicate a genetic syndrome that could require further workup and genetic consultation.
The facies, upper extremities, and spine are also examined, looking for abnormal appearance or multiple congenital anomalies, which can indicate a genetic syndrome. In such cases, genetic consultation should be obtained.
Hip ROM
Abduction-adduction and flexion ROM are examined in the supine position. Thomas test (hip extension) is performed to measure fixed flexion deformity of the hip. Hip internal rotation-external rotation is measured in the prone position, together with the thigh-foot angle to determine a rotation profile for the femur and tibia, respectively. Muscle length tests include popliteal angle (hamstring length), prone knee bend Ely test (rectus femoris muscle), and Ober test (tensor fascia lata-iliotibial band). The latter is performed with the patient in the lateral decubitus position pulling the hip into extension with the knee flexed to 90 degrees. If the leg does not drop into adduction by gravity, there is a positive Ober sign, indicating a contracture of the TFL and iliotibial band.
ROM is measured, and contractures are identified and quantified in degrees. A popliteal angle of more than 0 degree

and prone knee bend less than supine knee bend indicate tightness of the hamstring and rectus femoris muscles, respectively. A positive Ober sign is almost always present.
Contractures need to be treated in preparation for lengthening. Lengthening of the rectus femoris and hamstring muscles is recommended for positive muscle tightness. Lengthening or excision of the fascia lata and iliotibial band is always recommended prior to or at the time of femoral lengthening.
Knee ROM
Flexion and extension knee ROM is measured in the supine and prone positions.
Greater than 10 degrees of fixed flexion deformity should be corrected during preparatory procedures. A fixed flexion deformity may be present.
Knee stability (anteroposterior [AP])
The Lachman test and the anterior and posterior drawer tests are performed. The clinician looks for posterior sag and rotatory instability. The amount of instability is measured:
Grade I: mild with end point Grade II: moderate with end point
Grade III: moderate or severe with no end point
AP knee instability is common. It is often difficult to tell if the instability is anterior, posterior, or both.
Knee stability (rotatory)
The rotatory stability of the knee joint is examined by internally and externally rotating the tibia on the distal femur in flexion and extension. The presence of subluxation with rotation of the tibia on the distal femur is noted.
External rotatory instability is a common finding that is secondary to a contracted iliotibial band and biceps femoris tendons and can lead to rotatory subluxation of the knee and patellar dislocation.
Patellar stability
The clinician should flex the knee and palpate the alignment of the patella to the notch in flexion. Tracking of the patella is assessed from 0 to 90 degrees. The clinicians should attempt to push a thumb into the intercondylar notch.
If the examiner's thumb is able to palpate the intercondylar notch with the patient's knee flexed, this denotes lateral subluxation or dislocation of the patella.
Patellar instability is common and can be an indication of lateral rotatory instability of the knee and contracture of the iliotibial band.
The clinician should look at the overall appearance of the foot and ankle.
Any missing rays or positional abnormalities are noted. Ankle ROM is tested with knee flexed and extended. Inversion and eversion ROM is tested.
The amount of dorsiflexion, plantarflexion, inversion, and eversion is recorded. Equinovalgus deformity with missing lateral rays indicates concurrent fibular hemimelia. Subtle increase in eversion ROM indicates fibular hypoplasia or a ball-and-socket ankle joint.

IMAGING AND OTHER DIAGNOSTIC STUDIES

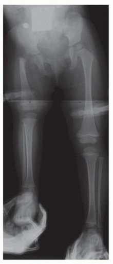
During the initial evaluation of an infant with CFD, pull down supine long AP and lateral view radiographs should be obtained that include the pelvis and both lower extremities. Both lower limbs are “pulled down” to make sure both knees are in maximum extension ( FIG 3 ).
Illustration 7 for Treatment for Congenital Femoral Deficiency: What You Need to Know
FIG 3 • Pull down view long x-ray to assess leg length difference in infancy. Note the hands of the parent.
The supine, long AP view radiograph should be assessed for the overall appearance of the ossific anatomy. This radiograph should allow the physician to classify the type of CFD.
The lengths of both femora and both tibiae should be measured. The difference between them is the LLD, not including the foot. The clinicians should measure from the lateral acetabular edge to the midpoint of the knee joint space for the femoral lengths and from the same midpoint of the knee joint space to the end of the talar ossific nucleus for the tibial lengths. The amount of current LLD can be used with the multiplier method to
predict the overall LLD at maturity.1, 2, 11
The acetabulum should be assessed for dysplasia using the center-edge (CE) angle (even in infants) and the acetabular index (AI).
The long lateral view radiograph of the lower extremity is assessed for underlying fixed flexion deformity of the knee.
The anterior cortical line of the distal femur should normally be colinear with the anterior cortical line of the proximal tibia. A flexion angle between these lines represents fixed flexion deformity of the knee. It is important that the lateral x-ray be taken with the patella forward to avoid mistaking knee valgus for flexion (the valgus of an externally rotated knee will appear to be flexed).
Other imaging studies that are useful include magnetic resonance imaging (MRI) and arthrography of the hips. All Paley types 1b and 2 should have an MRI after age 18 months to confirm whether there is a cartilaginous connection between the femoral head and shaft (
FIG 4 *).
Arthrography under general anesthesia is also helpful to determine the presence of pseudarthrosis versus delayed ossification of the proximal femur. Although the arthrogram is obtained, the lower extremity is manipulated and the proximal femur is visualized.
If the proximal femur and femoral head move as a unit, this usually denotes a cartilaginous connection

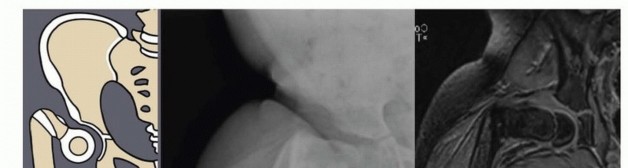
in the proximal femur, and the CFD is classified as type 1b. The arthrogram is also useful to differentiate between Paley types 2a and 2b. Both 2a and 2b might have a femoral head present; the difference is whether the femoral head is fused to the acetabulum or not. If dye can be injected into a joint space, the hip can usually be classified as type 2a. In some cases of type 2a, the dye can be seen to outline a cleft through the femoral neck. Illustration 8 for Treatment for Congenital Femoral Deficiency: What You Need to Know Illustration 9 for Treatment for Congenital Femoral Deficiency: What You Need to Know FIG 4 • MRIs of Paley type 2 CFD. The femoral head is clearly seen (A), and in a separate cut, one sees the proximal femur in a different plane (B). *

DIFFERENTIAL DIAGNOSIS

If the patient has bilateral CFD, the clinician must consider the following differential diagnoses: Camptomelic syndrome
Femoral hypoplasia with unusual facies syndrome

NONOPERATIVE MANAGEMENT

Shoe lifts, orthoses, and prostheses are used for the nonoperative management of LLD. All children should receive a shoe or prosthesis with a lift when they begin to cruise the furniture. A simple shoe lift of an amount equal to 1 cm less than the LLD is used in most cases in which LLD is less than 10 cm ( FIG 5 ).
It is helpful to supplement the lift with an articulated ankle-foot orthosis (AFO) for ankle support from the long lever arm of the shoe lift. If the lift is more than 10 cm, a prosthetic foot connected to an articulated AFO is preferred both to reduce weight and improve cosmesis.
The clinician should avoid splinting the foot in equinus because it might cause an equinus contracture.
In children younger than 6 years, a limb length radiograph should be obtained every 6 months to assess LLD
and prescribe a new lift.
After age 6 years, annual assessment and prescription is adequate.
In more severe cases with hip and knee fixed flexion deformity, it might be necessary to extend the orthotic or prosthetic support above the knee with ischial bearing support.

SURGICAL MANAGEMENT

Patients with types 1a, 1b, 2a, and 2b CFD can be managed successfully with lengthening reconstruction surgery as opposed to prosthetic reconstruction surgery.
Before undergoing lengthening reconstruction surgery, patients with certain knee and hip deformities and deficiencies should undergo preparatory procedures to prevent complications during lengthening and to reconstruct the knee and hip joints. This chapter will present the preparatory surgical procedures of the hip and knee and the external fixation method we prefer for CFD lengthening surgery.

Type 1 Congenital Femoral Deficiency

Type 1 CFD is the most reconstructable.
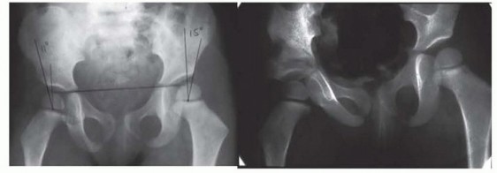
Before lengthening, hip stability should be determined radiographically. The best indicator is the CE angle. If the CE angle is less than 20 degrees, a Dega osteotomy should be performed before lengthening. In addition, the AI should be less than 30 degrees. If the CE angle is borderline 20 degrees but the AI or inclination of the sourcil is high, it is better to err on the side of caution and perform a Dega osteotomy ( FIG 6 ).
Coxa vara should be corrected before lengthening if the neck-shaft angle is less than 120 degrees. When coxa vara and hip dysplasia are present and when the coxa vara is severe, the superhip procedure is performed. The pelvic and femoral osteotomies should be performed 12 months before the first lengthening. The superhip procedure is a

comprehensive surgery to correct the proximal femoral and hip deformities with concurrent soft tissue releases. Illustration 10 for Treatment for Congenital Femoral Deficiency: What You Need to Know Illustration 11 for Treatment for Congenital Femoral Deficiency: What You Need to Know FIG 5 • A. Articulated AFO prosthesis. B. Plantar flexion and dorsiflexion. The ankle motion aids with walking. Illustration 12 for Treatment for Congenital Femoral Deficiency: What You Need to Know FIG 6 • Paley type 1a CFD with dysplastic acetabulum. The CE angle is 11 degrees. The patient underwent a Dega osteotomy. At the conclusion of a successful superhip procedure, the proximal femur has been anatomically and biomechanically reconstructed and the delayed ossification of the femoral neck has ossified. The femur can now be reclassified from 1b to 1a. This ossification occurs within 3 to 12 months of the superhip procedure (often aided by the insertion of BMP). Lengthening is usually not performed in type 1b cases until they convert to type 1a. If lack of full ossification of the femoral neck or subtrochanteric region persists, despite the superhip procedure, repeat insertion of BMP is indicated. As a final measure to allow lengthening to begin in such hips at risk, the external fixation can be extended to the pelvis to protect the hip.

Types 2 and 3 Congenital Femoral Deficiency

The strategies that should be used to treat types 2 and 3 CFD are complex and beyond the scope of this chapter. A summary of the strategies is provided in the following text.
Type 2 Congenital Femoral Deficiency
The presence or absence of a mobile femoral head in the acetabulum determines the treatment strategy. MRI will show if the femoral head is fused to the acetabulum by a bone or cartilage bridge. If a fusion is present, it is always between the femoral head and the posterior wall of the acetabulum (ischium).
If the femoral head is mobile, it can be connected to the remainder of the femur by a complicated procedure in which the femoral neck is reconstructed (superhip 2 procedure). If the femoral head does not move in the acetabulum, there are three options:
Separate it from the acetabulum creating a mobile head and proceed with a superhip 2 procedure. Enucleate the femoral head from the acetabulum and perform a superhip 3 procedure.
Do a soft tissue release and lengthen the femur. Near skeletal maturity perform a pelvic support osteotomy.13
The superhip 2 procedure converts types 2a and 2b CFD to type 1a. The proximal femur including the greater trochanter is converted into a femoral neck. An osteotomy is performed just distal to the psoas tendon insertion and the bone rotated 135 degrees. All the muscles except the quadriceps are detached from the proximal femur. The quadriceps acts as the vascular pedicle for this segment of bone. The distal diaphysis is osteotomized at a 45-degree angle and shortened to allow fixation to the new neck segment. This produces a femur with a femoral neck-shaft angle of 135 degrees. The new neck is connected to the ossific nucleus of the femoral head with threaded k-wires or a screw. All of the muscles are reattached to the femur.
If the femoral head is not worthy of reconstruction, a superhip 3 procedure can be performed instead. This is a form of trochanteric arthroplasty. The quadriceps again serves as the vascular pedicle. All other muscles are detached. The femur is osteotomized and shortened. The hooked greater trochanter fits nicely in the acetabulum. If the acetabulum needs to be enlarged to accommodate the trochanter, the bone distal to the triradiate cartilage is burred allowing the triradiate to act as part of the dome. The anterior ischium is also burred to deepen the posterior wall, and interposition capsule is applied over the exposed bone.
Type 3 Congenital Femoral Deficiency
Type 3a can be treated like type 2b. Patients can undergo hip release, serial lengthenings, and pelvic support osteotomy or superhip 2 or 3 followed by serial lengthenings or they can be treated by prosthetic fitting options,
including prosthetic reconstruction surgery (ie, Syme amputation or rotationplasty3).
Prosthetic reconstruction surgery is recommended for most type 3 CFD due to the extensive deficiency present. This is especially the case for type 3b because there is a stiff knee joint (<45 degrees of motion). Although type 3a can be converted to type 2b, the treatment would consist of four or more lengthenings. Rotationplasty is recommended for most type 3a because it provides a more predictable functional result than does lengthening ( FIG 7 ).

Lengthening

The number of lengthenings that are required for type 1 CFD is determined by the initial LLD prediction. Patients that do not require any preparatory surgery can undergo their first lengthening as early as age 2 years and preferably before age 4 years. Patients that do require preparatory surgery (eg, superhip, Dega) can undergo their first lengthening 1 year or more after the preparatory surgery. This is usually between ages 3 and 4 years. Between 5 and 8 cm can be obtained during each lengthening.
For type 1 CFD, the femur should be lengthened by using a distal femoral osteotomy instead of a proximal femoral osteotomy.
Distal osteotomies allow for better regenerate bone formation because they have a broader cross-sectional diameter and because the bone is not sclerotic or dysvascular, which often is the case in the proximal femur of patients with CFD. Distal osteotomies can also be used to simultaneously correct the valgus deformity of the distal femur.
Proximal osteotomies are used to correct the external femoral torsion and proximal varus deformities and are usually part of the preparatory surgery and not the lengthening surgery. Proximal osteotomies are not used for lengthening because of poor regenerate bone formation. A proximal osteotomy can be used for deformity correction with a concurrent distal osteotomy for lengthening.
Soft tissue releases are performed during lengthening to prevent subluxation and stiffness of the knee and hip. Soft tissue

releases that were addressed during a previous superhip or superknee procedure do not need to be repeated. Illustration 13 for Treatment for Congenital Femoral Deficiency: What You Need to Know Illustration 14 for Treatment for Congenital Femoral Deficiency: What You Need to Know Illustration 15 for Treatment for Congenital Femoral Deficiency: What You Need to Know FIG 7 • A. Patient with Paley type 3b CFD with severe leg length difference and knee flexion contracture. B. Clinical photo just prior to rotationplasty. C. Radiograph after Paley modified Brown rotationplasty. D. Photograph showing the appearance after rotationplasty. E,F. Side views showing knee flexed (ankle at neutral) and knee extended (ankle plantar flexed). _ Lengthening via External Fixators *_ Femoral lengthening with an external fixator can be performed with various devices. The essential principle of lengthening with external fixation is to stabilize the knee during lengthening while allowing for knee motion. This is accomplished by using hinges and external fixation of the tibia. From 1987 to 2000, the author used only the Ilizarov apparatus with fixation across the knee joint with a hinge for all CFD lengthening cases. This method has previously been described.9 A monolateral external fixator was not used because it could not articulate across the knee joint. From 2000 to 2009, the author modified the Orthofix Limb Reconstruction System (LRS) rail (Orthofix, Inc., McKinney, TX) with the Sheffield Ring Fixation System arch (Orthofix) to articulate across the knee with fixation to the tibia. This method was used for all CFD cases between January 2000 and May 2009. From 2009 to the present, the author designed a special external fixator specifically for articulated spanning of the hip and knee joints. The Modular Rail System (Smith & Nephew, Memphis, TN) has been used in all CFD cases since June 1, 2009.

Preoperative Planning

Preoperative evaluation consists of obtaining radiographs and performing a physical examination as previously described.
The radiographs are assessed as previously described, and the CFD is reclassified if progressive ossification has occurred.
During each visit before the first surgical reconstruction, LLD is recalculated to increase accuracy so that the overall strategy can be altered as needed.11

TECHNIQUES

  1. Superhip Procedure

Positioning and Exposure

The patient undergoing the superhip procedure is placed supine on the operating table with a bump placed under the ipsilateral sacrum to tilt the pelvis about 40 degrees. The entire lower extremity (including the groin, iliac crest, and gluteal region) is prepared to the subcostal margin ( TECH FIG 1A ). Landmarks: apex of iliac crest, proximal femoral bump, tibial tuberosity Make a straight midlateral incision from the apex of the iliac crest to just below the tibial tuberosity. Do not curve the incision. This incision should pass over the bump of the proximal femur (the bump is the lateral prominence in the region where one would usually find the greater trochanter; this bump in most patients is not the trochanter but rather the bend in the femur). Illustration 16 for Treatment for Congenital Femoral Deficiency: What You Need to Know Illustration 17 for Treatment for Congenital Femoral Deficiency: What You Need to Know Illustration 18 for Treatment for Congenital Femoral Deficiency: What You Need to Know Illustration 19 for Treatment for Congenital Femoral Deficiency: What You Need to Know Illustration 20 for Treatment for Congenital Femoral Deficiency: What You Need to Know TECH FIG 1 • A. Patient positioning with bump. B. The posterior flap is reflected to the level of the intermuscular septum C. The conjoint tendon of the rectus femoris is transected just distal to the AIIS.D. With the femur internally rotated, the piriformis tendon is released. E. The iliac apophysis is divided. F. Dye is injected to visualize the femoral head and neck. The anterior flap of skin and the subcutaneous tissues are reflected in a full-thickness fashion off the deep fascial layer until the anterior superior iliac spine (ASIS) proximally and the midpatella distally. The posterior flap is reflected to the level of the intermuscular septum ( TECH FIG 1B ). The fascia lata is incised longitudinally, anteriorly from proximal to distal, from the interval between the sartorius and the TFL proximally, to the lateral border of the patella distally. It is then incised longitudinally, posteriorly, from distal to proximal from just posterior to the intermuscular septum distally, to the gluteus maximus muscle proximally. The fascia is then cut proximally at the TFL muscle tendon junction.

The gluteus maximus is separated from the TFL and reflected posteriorly.
The conjoint tendon of the rectus femoris, before it divides into the direct and reflected heads, is
transected just distal to the anterior inferior iliac spine (AIIS) ( TECH FIG 1C ).
The iliacus muscle is lifted off the ilium, and the underlying psoas tendon is exposed and released at the level of the pelvic brim. The surgeon must realize that the femoral nerve is much closer to both the rectus femoris muscle and psoas tendon in patients with CFD. Therefore, the femoral nerve is identified, decompressed, and protected before the aforementioned releases.
If the anterior fascia of the thigh and the fascia of the sartorius muscle are tight, they are released. The lateral femoral cutaneous nerve is identified and protected before releasing the fasciae.
The trochanter of the femur is palpated posteriorly, and the femur is retracted using a rake anteriorly to visualize the piriformis tendon. The sciatic nerve can also be identified, decompressed, and protected. The contracted piriformis tendon is cut ( TECH FIG 1D ).
The last contracted muscle that needs to be released are the hip abductors. They act both as abductors and flexors of the hip when the femur has the aforementioned deformity. The abductors are released by the abductor slide method. This avoids weakening them. The previously described distal release should be avoided for this reason.
The iliac apophysis is now split from the AIIS to the ASIS to two-thirds of the way back along the iliac crest just past the apex of the crest. The hip abductor muscles are peeled off of the lateral ilium with their underlying periosteum. This is called the abductor slide . Similarly, the medial half of the apophysis is stripped off of the ilium with the iliacus muscle producing a flexor slide ( TECH FIG 1E ).
The posterior border of the vastus lateralis at the intermuscular septum is identified and dissected free of the femur subperiosteally. The dissection is continued proximally along the posterior aspect of the greater trochanter to the bone cartilage junction. Distally, the quadriceps is elevated for most of the length of the congenitally short femur.
An arthrogram of the hip is carried out using a spinal needle. The femoral head and neck are placed in a neutral orientation to the pelvis by extending and maximally adducting the hip joint ( TECH FIG 1F ).
The femur can now be freely extended, adducted, and internally rotated such that the proximal femur is in a normal anatomic position.

Femoral Osteotomy

The preferred method of fixation is the 130-degree pediatric cannulated blade plate (Smith & Nephew, Memphis, TN). The first step is to place a guidewire from the tip of the greater trochanter to the center of the femoral head ( TECH FIG 2A ). The greater trochanter is cartilaginous and its tip is found by palpation. The center of the femoral head is determined radiographically after injection of arthrographic dye. A second guidewire is inserted in the center of the femoral neck to the center of the femoral head, at a 45-degree angle with the initial guidewire. The second guidewire is then visualized under a lateral fluoroscopic view to confirm its position in the center of the femoral head ossific nucleus ( TECH FIG 2B ). The correct orientation on the lateral fluoroscopic view is when one can see a “bull's eye” created by the concentric circles of the arthrographic outline of the femoral head and femoral neck with the ossific nucleus in the center ( TECH FIG 2C ). The appropriate-sized cannulated blade plate chisel is driven over the femoral neck guidewire to create a path for the corresponding size blade plate ( TECH FIG 2D ). The chisel should be oriented perpendicular to the straight posterior border of the greater trochanter. The chisel is removed, and the correct length cannulated blade plate is inserted over the femoral neck guidewire ( TECH FIG 2E ). Illustration 21 for Treatment for Congenital Femoral Deficiency: What You Need to Know Illustration 22 for Treatment for Congenital Femoral Deficiency: What You Need to Know TECH FIG 2 • A. A K-wire is inserted from the greater trochanter to the center of the femoral head. B,C. A second guidewire is inserted in the center of the femoral neck to the center of the femoral head, at a 45-degree angle with the initial guidewire (B), and confirmed fluoroscopically (C). (continued) Illustration 23 for Treatment for Congenital Femoral Deficiency: What You Need to Know Illustration 24 for Treatment for Congenital Femoral Deficiency: What You Need to Know Illustration 25 for Treatment for Congenital Femoral Deficiency: What You Need to Know Illustration 26 for Treatment for Congenital Femoral Deficiency: What You Need to Know TECH FIG 2 (continued) D. The appropriate-sized cannulated blade plate chisel is driven over the femoral neck guidewire ( arrow ). E. The cannulated blade plate is inserted over the femoral neck guidewire. F. An osteotomy wedge is made perpendicular and parallel to the blade plate. G. A second osteotomy is made from the distal end of the notch across the femur. H. The distal femur is then extended, abducted, and internally rotated. I. The distal femur is approximated to the blade plate, with the osteotomy level noted ( dashed line ). The length of the distal femur is limited by the length of the adductor muscles ( pink area at right). J. With the osteotomy completed, the distal femoral segment is reduced to the proximal segment. K. The plate is fixed with screws. L. The channel in the femoral neck is packed with BMP.

Just distal to the bend in the blade plate, two wires are inserted perpendicular and parallel to the side plate. A sagittal saw is used to remove a triangular segment of bone. The first cut is parallel to the plate, and the second cut is perpendicular to the plate. The width of the second cut is equal to the diameter of the femoral diaphysis ( TECH FIG 2F ). A second subtrochanteric osteotomy is performed by cutting obliquely from the apex of the triangle ( TECH FIG 2G ). The distal femoral segment is stripped of its periosteum. The periosteum is often incised transversely to gain some length. The distal femur is then extended, abducted, and internally rotated ( TECH FIG 2H ) and aligned with the plate allowing the femoral segments to overlap ( TECH FIG 2I ). The bone ends have to overlap because of the constraints of the surrounding soft tissues. The amount of overlap determines the amount of shortening of the distal segment that is required ( TECH FIG 2J ). A third osteotomy is performed perpendicular to the distal femoral shaft at the level of overlap (usually 2 to 4 cm distal to the second osteotomy site). The distal femoral segment is reduced to the plate. The version of the femoral neck is adjusted by rotation, the femur with the knee flexed, and a wire inserted in the cannulation of the blade to represent the orientation of the neck. Fixation is completed with four screws ( TECH FIG 2K ). The resected bone segment is used in the Dega osteotomy at the end of the procedure. For type 1b subtrochanteric type, the unossified segment is resected as part of the shortening. Illustration 27 for Treatment for Congenital Femoral Deficiency: What You Need to Know Illustration 28 for Treatment for Congenital Femoral Deficiency: What You Need to Know Illustration 29 for Treatment for Congenital Femoral Deficiency: What You Need to Know TECH FIG 3 A. A Dega osteotomy is performed ( dashed lines ). B. Bone graft from the femur is inserted to maintain the osteotomy site. C. The crest is removed to ease tight abductors. D. The apophysis is closed. E. The TFL is sutured to the rectus femoris (RF). For type 1b neck type, BMP (INFUSE Bone Graft, Medtronic, Inc., Memphis, TN) is inserted into the femoral neck to induce ossification of the femoral neck ( TECH FIG 2L ).

Pelvic Osteotomy

The next step is to perform the author's modification of the Dega osteotomy. The ilium is already exposed from the abductor slide. The outer table of the ilium is subperiosteally dissected down to the sciatic notch and toward the triradiate cartilage separating the ilium from the ischium ( TECH FIG 3A ).
The pelvic osteotomy is curved along the lateral cortex from the AIIS to the triradiate cartilage posteriorly. At the AIIS, the osteotomy goes through both tables of the ilium. It is important to cut the apophysis and periosteum transversely at this level to allow the osteotomy to separate anteriorly. The osteotomy does not enter the sciatic notch but passes just anterior to the sciatic notch and parallel to the level of the triradiate cartilage. The apex of the osteotomy should start 2 cm above the hip joint and is inclined to the triradiate cartilage medially.
The osteotomy is levered distally and laterally to cover the femoral head. The large opening wedge is maintained by inserting the resected femoral segment ( TECH FIG 3B ). The end point of correction is a horizontal sourcil.
The stability of the graft is tested by attempting to pull the graft from the osteotomy site with a Kocher clamp. The graft should be fully within the lateral cortical margins of the ilium. Typically, the graft is extremely stable and no further fixation is needed.

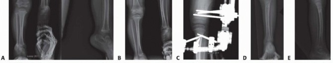
Because of the correction of the abduction contracture and the opening wedge of the Dega, it is not possible to close the apophysis. The apophysis is pulled up and the level marked with a pen. The crest is then resected using a saw until the medial and lateral apophysis can be repaired without excessive tension ( TECH FIG 3C,D ). This is called the abductor slide technique . The TFL is then sutured to the rectus femoris ( TECH FIG 3E ). The incision is closed in layers. A suction drain is used and is left in place until the drainage stops (<10 mL per 24 hours), which can take several days. Prophylactic antibiotics are administered intravenously until the drain is removed. Illustration 30 for Treatment for Congenital Femoral Deficiency: What You Need to Know Illustration 31 for Treatment for Congenital Femoral Deficiency: What You Need to Know Illustration 32 for Treatment for Congenital Femoral Deficiency: What You Need to Know TECH FIG 4 • A,B. CFD Paley type 1b with delayed ossification of femoral neck. C. Superhip procedure at age 2 years including insertion of BMP in femoral neck. D. The neck is fully ossified by age 3 years. E,F. First lengthening is performed at age 4 years with Smith & Nephew Modular Rail System external fixator with articulation across the knee joint. G. Eight centimeters of lengthening is achieved. H. Removal of external fixator with Rush rodding of bone to prevent fracture. A spica cast is applied with the hip in full extension, neutral abduction, and neutral rotation. The knee is splinted in full extension. The cast is bivalve to allow for swelling. One week after surgery, the cast is made removable and gentle flexion and extension ROM of the hip and knee started. TECH FIGS 4 and 5 are two case examples of superhip procedures. *

Illustration 33 for Treatment for Congenital Femoral Deficiency: What You Need to Know Illustration 34 for Treatment for Congenital Femoral Deficiency: What You Need to Know TECH FIG 5 • A. Two-year-old girl with CFD Paley type 1b with delayed ossification and severe angulation of the subtrochanteric level of the femur. B. The deformity is fully corrected, and the femur is healed after the superhip surgery. C. Lengthening of the femur was performed at age 4 years. D,E. X-rays after lengthening of the femur 7 cm and insertion of Rush rod. 1. # Superknee Procedure

Exposure

If significant knee instability is present, a superknee procedure should be performed conjointly with
the superhip procedure.9 The superknee procedure can address ACL and PCL insufficiency, patellar subluxation or dislocation, and maltracking. Different parts of the procedure can be used depending on the knee pathology.
If performed independently, the same midlateral straight incision is used. The anterior and posterior margins of the fascia lata are incised longitudinally. The fascia lata is transected as proximally as possible and reflected distally until its insertion onto the tibia ( TECH FIG 6A ).
The fascia lata is split into two longitudinal strips to make two ligaments. A Krackow whipstitch5 is used to run a nonabsorbable suture from the free end of the fascia lata toward the tubercle of Gerdy in a tubular fashion ( TECH FIG 6B ).
A lateral release of the capsule leaving the synovium intact is performed if the patella is maltracking. The lateral release is extended distally to the lateral aspect of the patellar tendon. If a Grammont
procedure4 is to be performed, the incision is extended past the tibial tuberosity along the crest of the tibia so that the proximal periosteum is elevated.

Anterior Cruciate Ligament Reconstruction

A MacIntosh intra-articular and/or extra-articular ACL reconstruction is performed. The lateral collateral ligament (LCL) is identified. Two tunnels are made. One tunnel is placed under the LCL and does not enter the knee joint ( TECH FIG 7A ). The other tunnel is made subperiosteally, from anterior and proximal to posterior and distal, over the lateral intramuscular septum of the femur ( TECH FIG 7B ). A hole is made in the posterior knee joint capsule by inserting a curved clamp from the “over-the-top” position. The posterior limb of the fascia lata is passed under the LCL. An ACL reamer is used over a guidewire to create a bony tunnel in the proximal tibial epiphysis. The wire is inserted from the anteromedial aspect of the tibia and is directed to the center of the tibial epiphysis. The outer diameter of the actual graft is measured, and the hole in the epiphysis is reamed to this diameter. Illustration 35 for Treatment for Congenital Femoral Deficiency: What You Need to Know Illustration 36 for Treatment for Congenital Femoral Deficiency: What You Need to Know TECH FIG 6 • A. The fascia lata is incised and reflect to Gerdy tubercle. B. The fascia lata is split into two longitudinal strips (FL1 and FL2) to make two ligaments. A Krackow whipstitch is used to run a nonabsorbable suture from the free end of the fascia lata toward the tubercle of Gerdy in a tubular fashion. Illustration 37 for Treatment for Congenital Femoral Deficiency: What You Need to Know Illustration 38 for Treatment for Congenital Femoral Deficiency: What You Need to Know TECH FIG 7 • One strip of the fascia lata (FL1) is tunnelled under the (A) and then under the intramuscular septum of the femur (B). C. FL1 is passed through the intercondylar notch, through the epiphyseal tunnel, and secured with an interference screw. A suture passer is passed through the tibial epiphyseal tunnel and out the posterior capsule of the knee to exit laterally anterior to the septum. The fascia lata suture is pulled through the knee and the bony tunnel using the suture passer. A bioabsorbable headless screw is used to secure the graft to the tunnel ( TECH FIG 7C ). The ACL graft is tensioned and sutured with the knee reduced and in full extension to prevent creation of a fixed flexion deformity of the knee. If only an extra-articular ACL repair is needed, the fascia lata is looped back after passing under the LCL and the lateral intramuscular septum. The fascia lata is sutured to itself and no tunnel is made. To prevent loosening, the graft can be reinforced and retensioned after fixation by passing a nonabsorbable suture anchor through bone at the point at which the graft loops over the intermuscular septum. Illustration 39 for Treatment for Congenital Femoral Deficiency: What You Need to Know Illustration 40 for Treatment for Congenital Femoral Deficiency: What You Need to Know TECH FIG 8 • The second strip of fascia lata (FL2) is tunneled under the patellar ligament, then passed through the intermuscular septum (A), and then sutured back onto itself (B). C. FL1 and FL2 are sutured together, and a bioabsorbable headless screw secures the graft to the tunnel. ## Extra-articular Posterior Cruciate Ligament Reconstruction (Reverse MacIntosh Procedure)9 The anterior skin flap is elevated off the knee and dissected and reflected medially until the entire vastus medialis muscle can be visualized. The anterior limb of the fascia lata is usually not tubularized. It is passed first under the patellar tendon and then through a medial retinacular tunnel ( TECH FIG 8A ). The graft is then passed through a subperiosteal tunnel around the adductor magnus tendon. Finally, it is sutured to itself with nonabsorbable suture ( TECH FIG 8B,C ). This extra-articular ligament is tensioned with the knee in 90 degrees of flexion to prevent an extension contracture. The end of the ACL is sutured to the end of the extra-articular PCL to prevent any slippage.

  1. Intra-articular Posterior Cruciate Ligament Reconstruction


    Intra-articular PCL reconstruction is rarely needed, but if it is, the peroneal nerve is identified, decompressed, and protected.
    The lateral head of the gastrocnemius muscle is then released from the femur. The posterior aspect of the proximal tibial epiphysis is identified to the midline.
    An anterior to posterior drill hole is made through the epiphysis from Gerdy tubercle to the center of the proximal tibial epiphysis. The anterior limb of the fascia lata is passed from anterior to posterior, exiting near the midline posteriorly.
    Another drill hole that passes through the medial distal femoral epiphysis from anteromedial to posterolateral is made. The ligamentized fascia lata is pulled through the posterior capsule and into the medial femoral epiphyseal tunnel using its leading suture. It is fixed in place with a biotenodesis absorbable screw after tensioning in flexion. Alternative Step for Patellar Realignment: Langenskiöld Reconstruction A modified Langenskiöld procedure is performed when fixed patellar subluxation or dislocation is present. If there is a flexion deformity or rotatory subluxation of the tibia on the femur, the biceps tendon should be Z-
    lengthened and the peroneal nerve decompressed.10
    The lateral capsule is cut to, but not through, the synovium. The vastus lateralis muscle is elevated off the intermuscular septum.
    The retinaculum is released on both the medial and lateral aspect of the patella. This is the same incision used for the lateral release ( TECH FIG 9A ).
    The incision is taken down to the synovial layer without violating the synovium. The synovium is then carefully dissected free of the undersurface of the quadriceps muscle proximally and from the patellar tendon distally ( TECH FIG 9B ).
    Medially, the capsule is incised proximally in a longitudinal fashion, separating the vastus medialis muscle from the vastus intermedius muscle.
    The distal medial capsule is cut transversely at the level of the joint line. The capsule is separated from the synovium as far as the medial gutter.
    Once the synovial layer has been separated completely from the overlying tissues, its connection to the patella is incised circumferentially ( TECH FIG 9C ). The quadriceps and patellar tendon are left attached to the patella, and the entire extensor mechanism can be shifted medially.
    The synovium is now a free tissue layer with a patella-sized hole in the center.
    The synovial hole is sutured longitudinally with absorbable suture ( TECH FIG 9D ). The patella is left extra-articular at this point.
    The Grammont procedure is performed by elevating the patellar tendon off of the tuberosity cartilage and the patellar tendon is shifted medially. The patellar tendon is secured with absorbable suture ( TECH FIG 9E ).
    The patella with the quadriceps muscle is now realigned medially to its new position and a marking pen is used to mark its new location on the synovium ( TECH FIG 9F ).
    The synovium is incised longitudinally with the knee in full extension ( TECH FIG 9G ). The patella is inserted into this new position and sutured circumferentially to the synovium with a continuous absorbable suture ( TECH FIG 9H,I ).
    The medial retinacular flap is now advanced over the patella and sutured to the lateral side of the patella ( TECH FIG 9J ).
    Once the modified Langenskiöld reconstruction is completed, the ACL and PCL knee ligamentous reconstruction, as previously described, is performed ( TECH FIG 9K ).
    Illustration 41 for Treatment for Congenital Femoral Deficiency: What You Need to Know
    Illustration 42 for Treatment for Congenital Femoral Deficiency: What You Need to Know
    Illustration 43 for Treatment for Congenital Femoral Deficiency: What You Need to Know TECH FIG 9 • A. The capsule is opened laterally. B. The capsule is released from the synovium. C. The synovium is released from the patella in a circumferential cut. (continued) Illustration 44 for Treatment for Congenital Femoral Deficiency: What You Need to Know
    Illustration 45 for Treatment for Congenital Femoral Deficiency: What You Need to Know
    Illustration 46 for Treatment for Congenital Femoral Deficiency: What You Need to Know
    Illustration 47 for Treatment for Congenital Femoral Deficiency: What You Need to Know
    Illustration 48 for Treatment for Congenital Femoral Deficiency: What You Need to Know
    Illustration 49 for Treatment for Congenital Femoral Deficiency: What You Need to Know TECH FIG 9 (continued) D. The synovium is sutured closed. E. A Grammont elevation of the patellar tendon is performed. F. The new position for the patella is marked on the synovium. G. The synovium is opened between the markings. H,I. It is then sutured to the patella circumferentially. J. The medial capsule is sutured to the patella ( top ) and the patellar tendon is sutured to the tibia ( bottom ). K. Finally, the fascia lata graft is sutured back onto itself.
  2. Femoral Lengthening of Type 1 Congenital Femoral Deficiency: Orthofix Fixator Technique Preparatory Surgery If there are no indications for hip or knee surgery, the fascia lata and rectus femoris proximally and the iliotibial band and biceps tendon distally should be released at the time of the lengthening surgery.


    If these tissues were released with a previous Dega, superhip, or superknee procedure, there is no need to do any soft tissue releases. Placement of Femoral Fixator An arthrogram of the involved knee is obtained under fluoroscopy. In the lateral view, the femoral condyles are rotated until they superimpose each other. This is considered a “true lateral of the knee.” (Note that this is not the patella-forward position— actually, the patella will be externally rotated approximately 10 degrees in this position.)
    The center of knee rotation is identified. The center of rotation is the intersection of the posterior cortical line and the distal femoral physeal line.

A 2-mm Steinmann pin is inserted into the distal femoral physis at the center of rotation and parallel to the distal femoral joint line in the frontal plane ( TECH FIG 10A ). A half-pin is inserted into the femur at its proximal end parallel to this hinge-axis pin. To accurately place the half-pin, use the cannulated drill technique. Insert a wire into the femur and check if it is in the correct location with the image intensifier. Then over drill it with a cannulated drill. The half-pin is then inserted in a perfect position. Half-pins placed in the anterior half of the femoral diaphysis can result in a fracture either during the lengthening process or after frame removal. The preconstructed modular rail system (MRS) (Smith & Nephew, Memphis, TN) is applied so that distally the Steinmann pin goes through the cannulated hinge bolt and proximally the half-pins goes through the proximal clamp. The most distal half-pin is placed one hole proximal and anterior to the knee axis reference wire. At this point, the position of the hinge axis is a fixed point to the initial distal half-pin. The additional half-pins are placed proximal and distal. Three frontal plane half-pins should be placed in each segment ( TECH FIG 10B ). The osteotomy is made immediately proximal to the distal pin group. This is done through a 1-cm lateral incision, followed by multiple drill holes with an osteotome, followed by completion of the osteotomy with an osteotome. If concurrent distal valgus deformity is being corrected, the proximal and distal pins are placed at angles to each other and the osteotomy performed after there are two proximal and two distal pins. The rail is placed only after the deformity is corrected. The deformity is corrected acutely and the rest of the fixation is as for the underformed bone. The external fixation is completed with insertion of two AP pins ( TECH FIG 10C-E ). Illustration 50 for Treatment for Congenital Femoral Deficiency: What You Need to Know Illustration 51 for Treatment for Congenital Femoral Deficiency: What You Need to Know TECH FIG 10 • A. Steinmann pin is inserted into the distal femoral physis at the center of rotation of the knee with a knee arthrogram lining up the two posterior femoral condyles. B. The other half pins are placed parallel to the Steinmann pin. The external fixator is used as a template. C. The external fixator is removed and the osteotomy performed. The fixator is then reapplied to the femur and the tibial frame and pins added. D. The MRS with knee hinge and articulated fixation to the tibia from the femur. E. The MRS with hip and knee hinge with articulated fixation to the pelvis and tibia from the femur.Placement of Tibial Fixator A distal rail segment is used to suspend a floating arch. The tibial fixation is attached to this arch. A single-hole Ilizarov cube is placed on the arch, and an AP half-pin is placed in the proximal tibia. The knee should be in full extension and reduced. After the first half-pin is inserted into the tibia, the hinge is tested with gentle ROM of the knee. If the motion is smooth, a drop leg test is performed. The drop leg test consists of lifting the lower extremity off the bed and fully extending the knee. The thigh is supported and the foot dropped. If the knee flexes with no catching or friction, two additional half-pins are placed in the tibia. If there is friction during the drop leg test, connection to the pin needs to be adjusted (eg, fix it in flexion first). After the adjustment, the drop leg test is repeated until knee ROM is smooth, with no friction. The floating arch is not connected to the rail. It therefore does not impede growth of the distal femoral and proximal tibial physes. A knee extension bar is built using Ilizarov parts between the rail and the arch. This knee extension bar can be removed to allow knee motion. It should be used all night and part time during the day to prevent knee flexion contracture. If hip stabilization is required, a hip hinge clamp is used. It is centered on the center of the femoral head. Three pins are placed in the pelvis and fixed with an arch (see TECH FIG 8E ). At the conclusion of the procedure, Botox, 10 units per kilogram of body weight, is injected into the proximal quadriceps using multiple injection sites. This is to reduce quadriceps muscle spasms and pain during knee flexion stretches.

PEARLS AND PITFALLS

Superhip— initial dissection
1. Rectus femoris and iliopsoas tendons are located closer to the femoral nerve than expected. The surgeon should first identify the femoral nerve before performing any releases or tenotomies.
Superknee— knee flexion contracture
1. Knee flexion contracture should be released with biceps femoris lengthening and posterior capsular release. A concurrent ligamentous reconstruction should not be performed unless absolutely necessary to reduce the incidence of a stiff knee.
Femoral lengthening
1. Positioning the hinge-axis wire is the crucial step when applying the external fixator. Great care should be taken to ensure precise placement of the wire at the center of rotation of the knee (intersection of the posterior femoral cortical line and the distal femoral physis). This must be performed after an arthrogram of the knee is obtained, which allows exact visualization of the overlapped posterior femoral condyles in the lateral fluoroscopic view. In young children, the posterior femoral condyles are not ossified and can only be visualized using the arthrogram.
External fixator removal
1. At the time of external fixator removal, a Rush pin (Zimmer, Inc., Warsaw, IN) should be placed prophylactically as described in the following text. Activities, to include physical therapy, should be modified for 4 weeks after removal.
Femoral lengthening
2. If the initial distal femoral half-pin is positioned too far anterior, the initial hinge-axis pin is too far anterior. The surgeon should carefully examine the hinge-axis wire and ensure that it is at the level of the posterior femoral cortical line.
Postoperative therapy and preservation of knee motion
2. Knee flexion should be maintained at greater than 45 degrees. If knee flexion is 40 degrees or less, lengthening should be slowed or discontinued and knee rehabilitation increased.

POSTOPERATIVE CARE

Patients who have undergone the superhip or superknee procedures are placed into a one-and-a-half hip spica cast.
The involved limb is placed in neutral abduction, neutral rotation, and 0 degree of extension. The knee is held in full extension, and the foot is included.
The cast is made removable and gentle physical therapy is started. The cast is discontinued at 6 weeks, and
gentle ROM of all joints is performed as well as weight bearing as tolerated.
Patients undergoing femoral lengthening require close follow-up and intensive rehabilitation. Patients are usually discharged on postoperative day 3 or 4.
The lengthening begins on day 5 to 7 at a rate of 0.75 to 1.0 mm per day.
The patient is assessed every 2 weeks in the outpatient clinic with radiographic and clinical examinations.
Pin site problems, nerve function, hip and knee ROM, and knee subluxation are assessed.
The joint location, limb alignment, regenerate bone quality, and length gained are assessed radiographically.
The rate of distraction is adjusted according to regenerate bone quality and joint ROM.
Physical therapy is begun on postoperative day 1. During the distraction phase, physical therapy is continued daily, with formal therapy occurring 5 days per week.
The formal therapy consists of one or two sessions with a therapist each day, with 1 hour of land therapy and 1 hour of hydrotherapy.
The patient also undergoes two physical therapy sessions at home each day with the parents.
During therapy, the patient should perform exercises that obtain knee flexion and maintain knee extension.
Knee flexion should be maintained at greater than 45 degrees.
If knee flexion is 40 degrees or less, lengthening should be discontinued or slowed and knee rehabilitation should be increased.
If there is no improvement, lengthening is discontinued.
During the distraction phase, passive exercises are most important; during the consolidation phase, passive plus active exercises are important. Hip abduction and extension are two important hip exercises.
During the consolidation phase, the formal therapy can be reduced to three sessions per week if the patient is doing well. Weight bearing is allowed as tolerated.
The frame can be removed from the femur and tibia after the regenerate bone has healed.
A prophylactic Rush pin is placed in the femur at the time of external fixation removal. Application of the Rush pin prevents refracture after lengthening. Without this, O'Carrigan et al8 noted a 34% refracture rate.
The frame is removed under general anesthesia, and radiographs in the AP and lateral views are obtained.
At this point, the pin sites are cleaned, prepared, and then isolated with Tegaderm dressings (3M Healthcare Ltd, St. Paul, MN). The entire lower extremity to include the hip, iliac crest, and gluteal region is prepared and draped.
A 1.8-mm Ilizarov wire is inserted into the tip of the greater trochanter and driven into the center of the proximal femur. An intraoperative lateral view radiograph after external fixation removal is used to place the starting point on the greater trochanter. The 1.8-mm wire is drilled or tapped into the femur and then overdrilled with a cannulated 3.2- or 4.8-mm drill to create the starting hole for the prophylactic Rush pin insertion, depending on whether a 3.1- (1/8 inch) or 4.6-mm (3/16 inch) Rush pin is used.
After the reaming is complete, the Rush pin is inserted and should reach just above the distal femoral physis. Its tip might need to be slightly bent to navigate the curves of the femur.
The small proximal incision is closed, and the pin sites are dressed. The pin sites are not manipulated or
released to decrease the risk of concurrent infection.
Antibiotics are administered intravenously during the procedure, and oral antibiotics are used for 14 days postoperatively.

If a significantly problematic pin site or pin site infection is present, it should be removed prior to frame removal to reduce the incidence of deep infection.
Physical therapy is discontinued for 1 month to avoid fracture through the regenerate bone or a pin hole.
Physical therapy is restarted 1 month after frame removal and Rush pin application. With the Rush pin in place, no cast or brace is needed. The patient is allowed partial weight bearing.

OUTCOMES

Saghieh and associates14 studied our first 79 consecutive patients with Paley type 1 CFD. The patients underwent 99 femoral lengthenings between January 1988 and December 2000. Medical charts and radiographs were retrospectively reviewed. Fifty-nine patients (73 lengthenings) had Paley type 1a and 20 patients (26 lengthenings) had Paley type 1b CFD. Forty-six (58%) were female and 33 (42%) were male patients. The mean patient age was 12.3 years (age range, 1.5 to 62.3 years). The lengthenings were divided into three age groups: toddler (younger than 6 years), juvenile (between 6 years and skeletal maturity), and adult (skeletally mature). Because 19 patients each underwent more than 1 lengthening (18 underwent 2 lengthenings and 1 underwent 3 lengthenings), each lengthening was evaluated independently as a separate lengthening and studied for its own results and complications.
Distraction gap, percent of femur lengthened, external fixation time index, degree of preservation of knee motion, result score, and complications were compared among the groups. The complications and ROM data were routinely recorded, and the data were obtained from a review of the charts. Radiographic measurements were obtained from preoperative lower limb alignment AP view radiographs (teleroentgenograms), compensating for magnification, and from lateral view radiographs of the femur and tibia. The CE angle and neck-shaft angle also were measured, preferably by using an AP view radiograph of the pelvis. The average follow-up from the time of removal of the external fixator was 69 months (range, 19 to 132 months).
The average discrepancy in femoral length was 9.1 cm (range, 1.2 to 22.1 cm) preoperatively and 4.1 cm (range, 14.7 to 2.3 cm) postoperatively. The mean distraction gap was 5.8 cm (range, 2.4 to 12.0 cm). The average duration of treatment with external fixation was 5.9 months (range, 2 to 15.9 months) with an external fixation time index of 1.07 months per centimeter (range, 0.49 to 2.38 months per centimeter). The result score was excellent in 61 (61.6%) lengthenings, good in 29 (29.3%), fair in 7 (7.1%), and poor in 2
(2%).
Excellent and good results were achieved in 91% of patients. No significant differences in most of the studied parameters, including result score, were observed among the different groups. The two younger groups experienced a higher incidence of fracture (no prophylactic rodding was used in this group). The adult group experienced a higher incidence of delayed union and joint stiffness. However, the overall complication rates were similar among the three groups. We prefer to begin lengthening at an early age so that additional needed lengthenings can be spaced in time.
Since this first study, more than 750 patients have been treated either by the Orthofix with Sheffield hinge technique or the MRS device. This group is undergoing review.

COMPLICATIONS

Flexion contracture of the knee
A significant knee flexion contracture places the knee at risk for posterior subluxation.
One of the primary goals of physical therapy is to maintain knee extension and to continue to obtain knee flexion. Both the surgeon and therapist need to closely monitor the patient's ROM and must be in regular communication if difficulties arise.
To prevent fixed flexion deformity, a knee extension bar is used every night and part time during the day. If the patient experiences a loss of motion, therapy must be increased and the patient assessed immediately.
Acute pin site infections can lead to increased pain and decreased motion and should be immediately treated with oral or intravenous antibiotics.
If significant soft tissue tightness is present in the quadriceps muscle, the distraction rate should be decreased. However, decreasing the distraction rate should be followed closely with radiographs to prevent premature consolidation. If Botox was not used at the index procedure, the surgeon should consider injecting the quadriceps muscle with 10 units of Botox solution per kilogram of body weight. We perform the Botox injection under anesthesia or sedation for the younger patient.
Adduction and flexion contractures of the hip
Hip adduction contractures place the hip joint at risk for subluxation and dislocation during the lengthening process. Hip adduction should be assessed at the time of the lengthening surgery. If a contracture is present, an adductor tenotomy should be performed.
Hip ROM and stretching is addressed by the therapist on a daily basis. If a contracture is a concern initially, an abduction pillow is used at night. If the patient has subluxated or dislocated the hip in a previous procedure, the external fixator should be extended above the hip with a hinge device similar to that used for the knee. Hip flexion contracture might occur when the patient is positioned in a wheelchair for prolonged periods of time.
The patient should not only stretch during the therapy sessions but also should be placed in a prone position on a daily basis. Iliopsoas contracture does not occur during the lengthening because the distraction site is distal to the psoas insertion.
Nerve injury
Nerve injury is unusual with femoral lengthening. Complaints of pain in the foot are usually referred pain from nerve entrapment. Quantitative sensory testing is the best method to identify early nerve
entrapment.7
The nerve problem can be treated by slowing the distraction or nerve decompression. The peroneal nerve should be decompressed at the neck of the fibula if symptoms continue or pressure-specified sensory device testing is positive.10
Premature consolidation
Premature consolidation usually occurs during the first 2 cm of distraction and is rare after 4 cm of distraction. In a young child, the latency period can be reduced to 3 days.
Increasing pain with distraction or difficulty while turning the distracting unit are signs of possible preconsolidation. Radiographs should be obtained to assess the regenerate bone. If the fibrous interzone disappears, the turning rate

should be increased (ie, five quarter-turns per day) and additional radiographs obtained within 1 week.
If one of the cortices has bridged with narrow bone, continued distraction at an increased rate can be performed.
The physician must warn the parents that the patient may experience or hear an audible “pop” during distraction. This will be followed by a mild to moderate increase in pain. However, the distraction will become easier and surgery can be avoided.
If the regenerate site is consolidated with abundant bone, the pins might bend or become deformed. This type of preconsolidation is addressed with a repeat osteotomy 1 to 2 cm proximal to the original site. The surgeon should not attempt to repeat an osteotomy at the same regenerate site because the patient will have increased bleeding and poor regenerate bone formation. If the fibrous interzone is greater than 5 mm, lengthening should be slowed (ie, two or three turns per day).
Regenerate bone failure
Partial defects in the bone are not uncommon on the lateral cortex. Sequential radiographs obtained during the distraction phase must be closely followed for increasing fibrous interzone distance and poor regenerate bone formation.
Regenerate bone failure is prevented by slowing the distraction rate when signs of poor regenerate formation are present. During the consolidation phase, a partial defect can be treated with dynamization to increase healing of the regenerate bone.
If the defect persists and encompasses less than 25% of the bone diameter, a rigid intramedullary rod placed at the time of removal will allow for ossification during a prolonged time period (6 to 12 months).
If the regenerate bone failure is more severe, open autogenous bone grafting should be performed after first excising the interposing fibrous tissue.

ACKNOWLEDGMENT

The author wishes to acknowledge Dr. Shawn Standard, from the Rubin Institute in Baltimore, who co-authored the first edition of this chapter.
Chapter copyright © Dr.

Scientific References

  1. 1. Aguilar JA, Paley D, Paley J, et al. Clinical validation of the multiplier method for predicting limb length at maturity, part I. J Pediatr Orthop 2005;25:186-191. [View Source / PubMed]
  2. 2. Aguilar JA, Paley D, Paley J, et al. Clinical validation of the multiplier method for predicting limb length discrepancy and outcome of epiphysiodesis, part II. J Pediatr Orthop 2005;25:192-196. [View Source / PubMed]
  3. 3. Brown KL. Resection, rotationplasty, and femoropelvic arthrodesis in severe congenital femoral deficiency. A report of the surgical technique and three cases. J Bone Joint Surg Am 2001;83-A(1): 78-85. [View Source / PubMed]
  4. 4. Grammont PM, Latune D, Lammaire IP. Treatment of subluxation and dislocation of the patella in the child: Elmslie technic with movable soft tissue pedicle (8 year review) [in German]. Orthopade 1985;14:229-238. [View Source / PubMed]
  5. 5. Krackow KA, Thomas SC, Jones LC. A new stitch for ligament-tendon fixation. Brief note. J Bone Joint Surg Am 1986;68(5):764-766. [View Source / PubMed]
  6. 6. Levinson ED, Ozonoff MB, Royen PM. Proximal femoral focal deficiency (PFFD). Radiology 1977;125:197-203. [View Source / PubMed]
  7. 7. Nogueira MP, Paley D, Bhave A, et al. Nerve lesions associated with limb-lengthening. J Bone Joint Surg Am 2003;85-A(8):1502-1510. [View Source / PubMed]
  8. 8. O'Carrigan, Paley D, Herzenberg JE. Obstacles in limb lengthening: fractures. In: Rozbruch SR, Ilizarov S, eds. Limb Lengthening and Reconstruction Surgery. New York: Informa Healthcare, 2007: 485-494. [View Source / PubMed]
  9. 9. Paley D. Lengthening reconstruction surgery for congenital femoral deficiency. In: Herring JA, Birch JG, eds. The Child with a Limb Deficiency. Rosemont: American Academy of Orthopaedic Surgeons, 1998:113-132. [View Source / PubMed]
  10. 10. Paley D. Principles of Deformity Correction, rev ed. Berlin: Springer-Verlag, 2005. [View Source / PubMed]
  11. 11. Paley D, Bhave A, Herzenberg JE, et al. Multiplier method for predicting limb-length discrepancy. J Bone Joint Surg Am 2000;82-A(10): 1432-1446. [View Source / PubMed]
  12. 12. Paley J, Gelman A, Paley D, et al. The prenatal multiplier method for prediction of limb length discrepancy. Prenat Diagn 2005;25: 435-438. [View Source / PubMed]
  13. 13. Rozbruch SR, Paley D, Bhave A, et al. Ilizarov hip reconstruction for the late sequelae of infantile hip infection. J Bone Joint Surg Am 2005:87(5);1007-1018. [View Source / PubMed]
  14. 14. Saghieh S, Paley D, Kacaoglu M, et al. Strategies and results for lengthening reconstruction surgery in congenital femoral deficiency. Paper presented at 66th Annual Meeting of the American Academy of Orthopaedic Surgeons, February 4-8, 1999, Anaheim, CA. [View Source / PubMed]
  15. 15. Sanpera I, Sparks LT. Proximal femoral focal deficiency: does a radiologic classification exist? J Pediatr Orthop 1994;14:34-38. [View Source / PubMed]

You Might Also Like

Dr. Mohammed Hutaif
Medically Verified Content by
Prof. Dr. Mohammed Hutaif
Consultant Orthopedic & Spine Surgeon
Chapter Index