Orthopedic Anatomy Review | Dr Hutaif Basic Science Rev -...

Key Takeaway
Learn more about ORTHOPEDIC MCQS 011 ANATOMY IMAGING and how to manage it. A stress or insufficiency fracture of the anterior calcaneus is the likely cause of persistent plantar and lateral foot pain, unresponsive to conservative treatment. MRI typically shows increased signal (edema) and abnormal trabecular patterns in the inferior anterior calcaneus. The accurate diagnosis question is a b in managing this condition effectively, particularly in overweight patients.
ORTHOPEDIC MCQS O11 ANATOMY IMAGING
Online 2011 Anatomy-Imaging Self-Assessment Examination by Dr.Dhahirortho
1
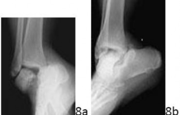
Q 1 1a 1b 1c 1d 1e A 43-year-old female factory worker has had a 6-month history of right plantar and lateral foot pain. She has pain with weight bearing and has difficulty standing at work. Management consisting of physical therapy, time off of work, and fracture boot immobilization has failed to provide relief. She is overweight and, as a result of the pain, cannot exercise to lose weight; thus she is getting worse instead of better. Examination reveals that the foot is not grossly swollen but is diffusely tender over the lateral, plantar, and medial hindfoot. The alignment is normal and the posterior calf muscles are mildly tight. A lateral radiograph is shown in Figure 1a and MRI scans are shown in Figures 1b through 1e. These findings are most consistent with which of the following?
1. # Painful os trigonum
2. # Complex regional pain syndrome
3. # Stress fracture of the anterior aspect of the calcaneus
4. # Hematogenous osteomyelitis
5. # Plantar fasciitis
DISCUSSION: The studies are most consistent with a stress fracture or insufficiency fracture of the anterior portion of the calcaneus. The radiograph shows normal findings. There is increased signal involving the inferior anterior aspect of the calcaneus on the T2-weighted images (Figures 1c through 1e), which is consistent with edema. There is also an abnormal trabecular pattern within this region with changes on the T1 and T2 images consistent with a stress or insufficiency fracture of the calcaneus. Whereas there is some increased signal from the os trigonum and the origin of the plantar fascia, these diagnoses are inconsistent with her symptoms. The MRI findings of osteomyelitis (decreased T1 signal and increased T2 signal) with secondary soft-tissue findings of adjacent soft-tissue ulcers, cellulitis, phlegmon, abscess, sinus tracts, or cortical bone destruction are not present. Complex regional pain syndrome has a wide spectrum of findings on MRI and is usually much more diffuse.
The Preferred Response to Question # 1 is 3.
Question2 2a 2b 2c A 36-year-old man reports pain and fullness in the medial arm just proximal to the epicondyle. He denies trauma to the arm but noted some soreness following an arm wrestling match a few months ago. Figures 2a through 2c show the radiographs and a CT scan. What is the most likely diagnosis?
1. # Extraskeletal osteosarcoma
2. # Parosteal osteosarcoma
3. # Osteochondroma
4. # Myositis ossificans
5. # Synovial cell sarcoma
DISCUSSION: The radiographs reveal a mature lesion that is ossified, not calcified, in the soft tissues of the arm, which is juxtaposed to the bone but not sessile ("stuck on") on the cortex nor does the lesion share the cortex. The CT scan reveals a soft-tissue lesion that is mineralized at the periphery, not centrally. This combination of features (smooth, ossified soft-tissue mass with mineral density at the periphery, known as the Zonation Phenomenon of Ackerman) strongly suggests myositis ossificans as the diagnosis. Osteosarcoma would mature in the central areas, not the periphery, and would not have this smooth appearance. Parosteal osteosarcoma would be attached to the cortex (this is not a good location for that diagnosis), osteochondroma would share the bony cortex, and synovial sarcoma generally presents with whispy, irregular calcification within the mass. The images do not support any of these other diagnoses. The Preferred Response to Question # 2 is 4.
1. # Which of the following vascular structures provides the most significant secondary contribution to the blood supply of the femoral head?
1. # Lateral femoral circumflex artery
2. # Superior gluteal artery
3. # Inferior gluteal artery
4. # Circumflex iliac artery
5. # Superficial femoral artery
DISCUSSION: The superior and inferior gluteal arteries form a vascular network posterior to the hip. Whereas both arteries provide blood supply to the acetabulum, the inferior gluteal artery frequently anastomoses directly into the deep branch of the medial femoral circumflex artery and in a minority of patients has been shown to be the dominant blood supply into the femoral head. Pref Respo is 3.
2. # Figure 4 shows the radiograph of a 65-year-old patient who is undergoing right total knee arthroplasty. After performing bone resections for a posterior cruciate-substituting femoral component, you note that both the flexion and extension gaps are tight in the lateral compartment. Which of the following structures should be released
first?
1. # Medial collateral ligament
2. # Lateral collateral ligament
3. # Posterolateral capsule
4. # Iliotibial band
5. # Popliteus tendon
DISCUSSION: For patients with tightness in both flexion and extension, the lateral collateral ligament should be released before the other lateral structures. Soft-tissue balancing after correction of a
valgus deformity is performed to equalize varus and valgus laxity in both flexion and extension. If it is released after the other stabilizers (iliotibial band, posterolateral capsule, or popliteus tendon), the magnitude of these corrections will be more significant. This may lead to a greater flexion-extension asymmetry if an isolated extension or flexion release has been performed first. Release of the posterior cruciate ligament has the greatest impact on lateral knee balance, so the decision to use a cruciate retaining or substituting implant ideally should be made before proceeding with release of the lateral structures. An isolated flexion contracture is typically approached with a posterolateral capsule release. An isolated extension contracture may be treated with either a release of the iliotibial band or popliteus tendon. However, authors recently have indicated a preference for retention of the popliteus tendon. The Preferred Response to Question # 4 is 2.
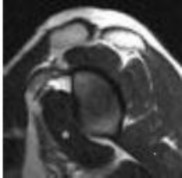
3. # Figure 5 shows the MRI scan of a 35-year-old woman with shoulder pain. What is the most likely diagnosis?
1. # Superior labral tear
2. # Partial articular surface supraspinatus tear
3. # Partial bursal surface supraspinatus tear
4. # Full-thickness supraspinatus tear
5. # Internal impingement
DISCUSSION: The MRI scan shows a coronal oblique view of a partial-
thickness bursal surface supraspinatus tear. Partial-thickness rotator cuff tears are a common cause of shoulder pain, with articular-sided tears two to three times more common than bursal-sided tears. The articular surface of the supraspinatus is intact in this image; therefore, no partial articular or full-thickness tear exists. The superior labrum is seen at the top of the glenoid with no tear. Internal impingement affects the articular surface of the rotator cuff in abduction and external rotation, causing labral tearing and partial articular-sided rotator cuff tears. The Preferred Response to Question # 5 is 3.
4. # Figure 6 shows a sagittal oblique MRI scan of a right shoulder. The asterisk indicates what anatomic structure?
1. # Subscapularis
2. # Supraspinatus
3. # Infraspinatus
4. # Teres minor
5. # Teres major
DISCUSSION: The asterisk indicates the subscapularis. The sagittal oblique MRI image shown is taken at the level of the coracoid, which
allows orientation of the anterior and posterior aspects of the shoulder. Evaluation of the rotator cuff in this plane is important to determine the amount of muscle atrophy and fatty infiltration, which may determine prognosis for rotator cuff repair. The supraspinatus is superior to the glenoid and the infraspinatus; teres minor and teres major are posterior. Prefe Res is 1.
5. # .7a 7b 7c A 52-year-old woman has had progressive shoulder pain for the past 18 months. She has pain at night that awakens her from sleep, and a constant ache in her shoulder that has required narcotics for pain control. She has a history of fracture following an automobile accident 15 years prior that healed without incident. Figures 7a through 7c show the radiograph, bone scan, and T2-weighted coronal MRI scan of the proximal humerus. Based on this information, what is the most likely diagnosis?
1. # Progressive bone infarct
2. # Osteosarcoma
3. # Ewing's sarcoma
4. # Chondrosarcoma
5. # Fibrous dysplasia
DISCUSSION: The images reveal a mineralized lesion of the proximal humerus that has the classic appearance of a chondroid lesion with the "rings and arcs" densities typically seen on a radiograph. The bone scan
shows increased uptake in this area, consistent with an active lesion. The MRI scan confirms a lobular lesion that is bright on the T2-weighted scan and fills the bone. This, in combination with the history and age of the patient, is strongly suggestive of a malignant chondroid lesion, or chondrosarcoma. Whereas a bone infarct has mineral density on radiographs, it tends to be more "smoke up the chimney" or wispy in appearance, and is usually not hot on bone scan and not symptomatic. Ewing's lesions are destructive lytic lesions without the mineralization as seen here. Fibrous dysplasia similarly lacks this mineralization pattern, but has the "ground glass" or "hazy"
appearance and is rarely symptomatic. Osteosarcoma typically appears in younger patients and has a generally more
destructive appearance with "cloud-like" mineralization from bone formation, as compared with the "rings and arcs" mineralization seen in chondroid lesions.Prefer Response to Question # 7 is 4.
6. # 8a 8b A 35-year-old woman is involved in a head-on collision while driving. Initial radiographs are shown in Figures 8a and 8b. Injury to what vessel increases the risk for osteonecrosis of the injured bone?
1. # Dorsalis pedis artery
2. # Perforating peroneal artery
3. # Lateral tarsal artery
4. # Artery of the tarsal canal
5. # Artery of the tarsal sinus
DISCUSSION: The patient has a Hawkins type III talar neck fracture-dislocation with a risk of osteonecrosis ranging from 69% to 100%. Anatomic studies have shown that the artery of the tarsal canal supplies the lateral two
thirds of the talar body. The other vessels listed provide no significant contribution to the talus. The Preferred Response to Question # 8 is 4.
7. # When performing hip arthroscopy, the hip should be placed in neutral to slight internal rotation to protect which of the following structures?
1. # Femoral nerve
2. # Lateral femoral cutaneous nerve
3. # Ascending lateral femoral circumflex artery
4. # Ascending medial femoral circumflex artery
5. # Sciatic nerve
DISCUSSION: The sciatic nerve is at greatest risk for injury during hip arthroscopy with placement of a posterolateral (posterior paratrochanteric portal). It can be within 3 cm of this portal.
Advancing the trocar with the hip in neutral to slight internal rotation helps to protect the sciatic nerve from iatrogenic injury. The two structures in closest proximity with placement of arthroscopy portals are the lateral femoral cutaneous nerve (anterior portal) and the ascending branch of the lateral femoral circumflex artery (mid-anterior portal). The femoral nerve and medial femoral circumflex arteries are located medial to these anterior portals. Rotation of the hip has not been associated with increased risk of injury to any of these additional structures.
The Preferred Response to Question # 9 is 5.
8. # The finding at L3 in the sagittal CT scan shown in Figure 10 is characteristic of which of the following conditions?
1. # Paget's disease
2. # Hemangioma
3. # Giant cell tumor
4. # Metastatic disease
5. # Chordoma
DISCUSSION: The L3 vertebral body shows the classic vertical striations of a vertebral hemangioma. On axial images, these would appear as a collection of bony spots as they are seen endon. Paget's disease may have areas of sclerotic trabeculae but the vertebrae appear square and enlarged with thickened cortex and demonstrate no organization in the mineral density. Giant cell
tumors are more lytic and locally destructive. Metastatic disease can be lytic or sclerotic but does not organize in this pattern. Similarly, chordoma does not have this organization. Chordomas more commonly occur in the sacrum, but may occur in the lumbar vertebrae. Prefer Res is 2.
9. # A 28-year-old man has decreased finger proximal interphalangeal (PIP) joint range of motion after open reduction and internal fixation of a proximal phalanx fracture with the use of a side plate. Examination shows greater passive PIP joint flexion with metatarsophalangeal (MP) joint extension, than when the MP joint is flexed. This finding demonstrates contracture/scarring of which of the following structures?
1. # Flexor tendons
2. # Extensor tendon
3. # Oblique retinacular ligament
4. # Intrinsic muscles
5. # PIP joint
DISCUSSION: In phalanx fractures treated with a plate and open reduction and internal fixation, adhesions commonly develop between the fracture, hardware, and extensor system. This example demonstrates extrinsic tightness. The flexor tendons usually are not scarred in this type of surgical approach. The oblique retinacular ligament is near the distal interphalangeal joint and would not significantly impact the PIP joint. The intrinsics are less affected by this scarring than the extrinsics, resulting in different exam results (improved PIP motion with MP flexion). PIP joint stiffness would be constant regardless of the position of the MP joint. The Preferred Response to Questi # 11 is 2.
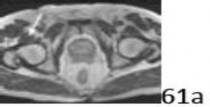
10. # 12a Figure 12a shows a cross section of the pelvis at the level of the greater trochanters. What structure is marked with the arrow?
1. # Adductor magnus
2. # Obturator internus
3. # Obturator externus
4. # Pectineus
5. # Adductor brevis
DISCUSSION: In Figure 12b, the arrow marks the obturator internus muscle which projects posteriorly and banks around the ischium, inserting on the posterior aspect of the proximal femur, just below the piriformis. The other structures are labeled. The obturator externus is more anterior and is seen anterior to the ischium. The adductor magnus is not seen in this image, and is more distal. The adductor longus is just starting to appear anteriorly (with the adductor brevis just posterior), and the pectineus is seen posterior and just deep to the femoral vessels. The Preferred Response to Ques# 12 is 2.
11. # 13a 13b 13c The MRI scans shown in Figures 13a through 13c show findings that are classic and, in combination on the MRI sequences, are pathognomonic for what diagnosis?
1. # Lymphoma
2. # Primary epidural abscess
3. # Degenerative disk disease
4. # Diskitis
5. # Early ankylosing spondylitis
DISCUSSION: The sagittal MRI sequences show findings that are classic for diskitis. The T2 image (Figure 13a) has a bright signal appearance within the disk space (free water) consistent with pus. On the T1 image (Figure 13b), the disk and vertebral bony margins appear dark with uniform signal across the disk that results in loss of the distinction between disk and vertebral body. Lastly, on T1, fat suppressed with gadolinium (Figure 13c), the abscess noted on T2 is now dark with a surrounding rim of enhancement (hypervascularity) that includes the adjacent vertebral bodies.
Although an advanced degenerative disk can
appear with a fluid signal within the disk space, the surrounding hypervascularity or obliteration of the distinct margins of the disk is not expected. The Preferred Response to Question # 13 is 4.
12. # Figure 14 shows the view looking forward from the posterosuperior portal during shoulder arthroscopy. The structure highlighted by the asterick is innervated by which of the following nerves?
1. # Suprascapular
2. # Subscapular
3. # Radial
4. # Median
5. # Axillary
DISCUSSION: The structure shown in the arthroscopic image is the tendon of the subscapularis muscle. The subscapularis muscle is innervated by the subscapular nerve. The subscapularis is not innervated by the other nerves listed.
The Preferred Response to Question # 14 is 2.
13. # During establishment of an anterior portal for hip arthroscopy, what structure is at greatest risk for injury?
1. # Lateral femoral cutaneous nerve
2. # Femoral nerve
3. # Femoral artery
4. # Superior gluteal nerve
5. # Sciatic nerve
DISCUSSION: The anterior portal for hip arthroscopy is approximately 6 cm distal to the anterior superior iliac spine, penetrating the muscle belly of the sartorius and the rectus femoris before entering through the anterior capsule. The lateral femoral cutaneous nerve is divided into three or more branches at the level of this portal and may be injured during portal placement. The femoral nerve and artery are more medial and at less risk. The superior gluteal and sciatic nerves are posterior and not at risk with an anterior portal. The Preferred Response to Question # 15 is 1.
14. # Following fixation of a comminuted both-bone forearm fracture, the patient has weakness of the flexor pollicis longus and flexor digitorum profundus to the index finger. Which of the following structures has most likely been injured?
1. # Anterior interosseous nerve
2. # Posterior interosseous nerve
3. # Radial nerve
4. # Ulnar nerve
5. # Lateral antebrachial cutaneous nerve
DISCUSSION: The anterior interosseous nerve innervates the flexor pollicis longus (FPL) and the flexor digitorum profundus (FDP) to the index finger. It branches posteriorly from the median nerve deep to the pronator teres where it is susceptible to injury. The posterior interosseous nerve, radial nerve, or ulnar nerve do not innervate the FPL or FDP to the index finger. The lateral antebrachial cutaneous nerve is a sensory nerve. The Preferred Response to Question # 16 is 1.
15. # During an anterior retroperitoneal approach to the lumbar spine, what nerve is encountered lying on the anteromedial surface of the psoas muscle?
1. # Genitofemoral
2. # Ilioinguinal
3. # Femoral
4. # Lateral femoral cutaneous
5. # Iliohypogastric
DISCUSSION: The genitofemoral nerve arises from the L1 and L2 roots and then emerges through the psoas between the third and fourth lumbar vertebrae from where it runs along the surface of the psoas. The ilioinguinal, lateral femoral cutaneous, and the iliohypogastric nerves all arise from upper lumbar roots but remain posterior to the psoas and then run along the inner surface of the quadratus lumborum and iliacus muscles. The femoral nerve runs posterior to the psoas muscle in
the retroperitoneum before wrapping around laterally to ultimately lie on the anterior surface of the iliopsoas muscles distally as it exits the pelvis. The Preferred Response to Question # 17 is 1.
16. # The most common neurologic injury following an anterior cervical diskectomy and fusion (ACDF) is injury to which of the following structures?
1. # Recurrent laryngeal nerve
2. # Superior laryngeal nerve
3. # C5 root
4. # Spinal cord
5. # Sympathetic chain
DISCUSSION: The most common neurologic injury in ACDF is injury to the recurrent laryngeal nerve. It is most vulnerable on the right because it crosses from lateral to midline more cephalad in the incision after it passes under the subclavian artery; conversely, on the left the course is more caudal because it passes under the aortic arch, a more caudal structure. The superior laryngeal nerve runs along with the superior thyroid artery in the upper cervical spine, putting it at risk during surgical procedures on the upper cervical spine which are less commonly performed. A C5 root palsy more commonly occurs as a result of multilevel posterior decompressive procedures, possibly because of its short transverse take-off from the cord. The sympathetic chain lies on top of the longus colli and can be injured if retractors are not placed under the longus colli muscle. The Preferred Response to Question # 18 is 1.
19a 19b A 15-year-old girl injured her shoulder in a fall while riding her bicycle. She reports a mild ache over the latter aspect of the shoulder, present since the accident, but denies any prior shoulder symptoms of any kind. AP and lateral radiographs shown in Figures 19a and 19b reveal a lesion in the proximal humerus. What is the most likely diagnosis?
1. # Osteoblastoma
2. # Aneurysmal bone cyst
3. # Enchondroma
4. # Osteochondroma
5. # Nonossifying fibroma
DISCUSSION: This scenario represents the common "serendipitous" finding of benign chondroid lesions. The radiographs demonstrate the classic "rings and arcs" calcification of an enchondroma, in a commonly
presenting location (proximal humerus). The lesion is generally centrally located, and may have a well-defined lucent appearance, typically in the metaphysis of the bones. The other lesions listed do not have the typical calcification seen in these chondroid lesions. The mineral density in an osteoblastoma is more sclerotic and the lesion is often destructive. An aneurysmal bone cyst is purely lytic and generally expansile. Osteochondroma is an exophytic lesion, protruding outside the bone. Nonossifying fibroma is an eccentric, well-demarcated lesion with no mineral density. The Preferred Response to Question # 19 is 3.
1. # A 24-year-old man has a deep knife wound across the dorsal aspect of his wrist, transecting all of his wrist and finger extensor tendons. How does the surgeon determine which of the proximal tendon stumps in the fourth dorsal compartment is the extensor indicis proprius?
1. # The tendon runs in a separate compartment.
2. # The tendon has a more circular cross section.
3. # The tendon has the most distal muscle belly.
4. # The tendon is the most radial and superficial.
5. # The tendon has two separate slips.
DISCUSSION: The extensor indicis proprius tendon is deep and ulnar to the extensor digitorum communis (EDC) tendons in the fourth dorsal compartment. It is a single tendon and there is no subcompartment. It has no distinguishing characteristics other than it has a more distal muscle belly in comparison to the EDC tendons. Response #1 is incorrect because the extensor indicis proprius and extensor digitorum communis run in the same compartment. Both tendons have a rather flat cross section and cannot be distinguished by this method. Responses #4 and #5 are incorrect as the tendon is not superficial, nor does it have two separate slips. Pre Resp # 20 is 3.
2. # Figure 21 shows a coronal T1-weighted MRI scan of the knee. The arrow indicates what anatomic structure?
1. # Posterior cruciate ligament: anterolateral bundle
2. # Posterior cruciate ligament: posteromedial bundle
3. # Meniscofemoral ligament
4. # Popliteus
5. # Oblique popliteal ligament
DISCUSSION: The arrow is pointing to the meniscofemoral ligament. The meniscofemoral ligament connects the posterior horn of the lateral meniscus to the intercondylar wall of the medial femoral condyle. The ligament of Humphrey passes anterior to the posterior
cruciate ligament (PCL), whereas the ligament of Wrisberg passes posterior to the PCL. One or the other has been identified in 71% to 100% of cadaver knees, with the ligament of Wrisberg being more common. The PCL is shown inferior to the indicated structure. The popliteus and oblique popliteal ligament are not visualized in this image. Preferred Response to Question # 21 is 3.
3. # A 20-year-old man has a dorsal metacarpophalangeal dislocation of the index finger. Multiple attempts to reduce the dislocation in the emergency department have not been successful.
What structure is most likely preventing the joint from being reduced?
1. # First dorsal interosseous
2. # Radial collateral ligament
3. # Ulnar collateral ligament
4. # Natatory ligament
5. # Volar plate
DISCUSSION: The volar plate is the structure that usually prevents the finger metacarpophalangeal joint from reducing. Blockage by the first dorsal interosseous is not a common reason for an irreducible metacarpophalangeal joint dislocation. None of the other structures commonly prevent metacarpophalangeal joint reduction. The Preferred Response to Question # 22 is 5.
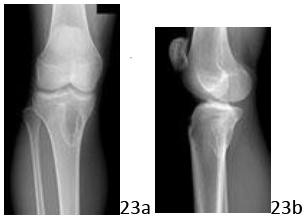
4. # 23a 23b A 15-year-old girl is referred to your office by her primary care physician who is concerned about a "shadow on the bone" noted when office radiographs were obtained following a minor soccer accident. The patient denies any history of knee pain, and has been fully active without any restrictions. Examination is consistent with a minor sprain but otherwise is unremarkable. The lesion is shown in Figures 23a and 23b. What is the most likely diagnosis?
1. # Nonossifying fibroma
2. # Giant cell tumor
3. # Chronic infection
4. # Osteofibrous dysplasia
5. # Enchondroma
DISCUSSION: The AP and lateral radiographs reveal a lytic, eccentric, well-marginated (mildly sclerotic) lesion that is minimally expansile of the cortex (on the lateral image). This is the classic appearance of a nonossifying fibroma, which most commonly appears
in the metaphyseal region of the lower extremity long bones, particularly around the knee, and in a young patient population. The lesion may also have a "bubbly" appearance, which is not demonstrated in this particular case. Unless the lesion is large, or accompanied by a pathologic fracture, they are generally incidental findings, as in this patient. Giant cell tumor is a more destructive lesion that is typically subchondral in location generally in somewhat older patients. Osteofibrous dysplasia, which may have a somewhat similar appearance, is almost always diaphyseal in location and typically involves the anterior cortex. Enchondroma is not typically eccentric, and while it may have a lytic appearance, usually demonstrates mineral density in the lesion, and is not generally sclerotic at the margin. Infection may have an extremely variable radiographic appearance, but would typically appear more aggressive and present with underlying symptoms. The Preferred Response to Question # 23 is 1.
5. # A 38-year-old man reports a 6-month history of pain in his left wrist. He denies any injury and is otherwise healthy. An MRI scan is shown in Figure 24. What is the recommended treatment?
1. # Radial shortening osteotomy
2. # Lunate excision with tendon interposition
3. # Lunate implant arthroplasty
4. # Ulnar shortening osteotomy
5. # Total wrist arthrodesis
DISCUSSION: The MRI scan shows avascularity (decreased signal intensity on T1-weighted image) of the lunate in an ulnar minus wrist, consistent with Kienbock's disease. No degenerative changes are seen in the carpus. Of the choices listed, radial shortening osteotomy is the treatment of choice. This procedure provides an extra-articular approach to treatment. The other options could be considered in more advanced cases or if joint deterioration/destruction was noted. Lunate excision with tendon interposition and lunate implant arthroplasty are rarely used at this time. An ulnar shortening osteotomy could make the problem worse by increasing the contact forces between the radius and lunate. A limited intercarpal fusion is usually used prior to resorting to total wrist arthrodesis. The Preferred Response to Question # 24 is 1.
6. # A patient undergoes open surgical dislocation of the hip to address femoroacetabular impingement. During which stage of the surgical approach is the blood supply to the femoral head at greatest risk?
1. # Release of the piriformis tendon
2. # Release of the anteroinferior capsule
3. # Release of the posterosuperior capsule
4. # Trochanteric osteotomy lateral to the piriformis
5. # Anterior dislocation of the femoral head
DISCUSSION: Extended anteroinferior capsular release at or below the level of the lesser trochanter may place the medial femoral circumflex artery at risk of direct injury. During a surgical dislocation procedure, a trochanteric osteotomy is performed lateral to the piriformis insertion to decrease the risk of vascular injury during dislocation. This preserves the piriformis insertion, which is not released, and protects the ascending branch of the medial femoral circumflex artery (ramus profunda) as it enters the capsule and courses superiorly to penetrate the femoral neck.
The posterosuperior capsule is safe from direct injury to the ramus profunda and the medial femoral circumflex artery. Several published studies have demonstrated that this surgical dislocation technique can allow anterior hip dislocation with minimal risk to femoral head vascularity or osteonecrosis. The Preferred Response to Question # 25 is 2.
7. # Figure 26 shows an axial T1-weighted MRI scan of the foot of a 13-year-old boy. The three-pronged structure indicated by the arrow shows which of the following?
1. # Insertion of the peroneus longus tendon
2. # Insertion of the posterior tibial tendon
3. # Flexor digitorum longus tendons
4. # Inferior calcaneonavicular (spring) ligament
5. # Branches of the posterior tibial artery
DISCUSSION: The arrow is pointing to the spring ligament. The image shown is a transverse cut through the hindfoot below the subtalar joint and shows the calcaneus, cuboid, inferior navicular, the cuneiforms, and the surrounding soft
tissues. The spring ligament spans between the navicular surface anteriorly and the middle
calcaneal articular surface posteriorly. The flexor digitorum longus and posterior tibial tendons and the posterior tibial artery are more proximal and medial. The peroneus longus is a lateral structure that crosses from lateral to medial along the plantar foot as it crosses the cuboid and lies lateral to the calcaneus at this level. The Preferred Response to Question # 26 is 4.
8. # Which of the following surgical approaches to the knee has the greatest potential for denervation of the quadriceps muscle?
1. # Subvastus
2. # Midvastus
3. # Quadriceps sparing
4. # Median parapatellar
5. # Tibial tubercle osteotomy
DISCUSSION: Several studies have demonstrated excellent functional results and recovery after total knee arthroplasty (TKA) with a variety of minimally invasive approaches; however, studies have demonstrated abnormal electromyographic (EMG) studies in a significant number of TKAs performed using a midvastus exposure. Patients whose vastus medialis intervals were developed bluntly were significantly more likely to fully recover normal EMG activity than if the intervals were developed with sharp dissection.
The Preferred Response to Question # 27 is 2.
9. # The radiographic findings shown at the C5-6 disk above the C6-7 fusion in Figure 28 are most commonly associated with what part of the surgical technique?
1. # A needle placed there for radiographic confirmation of the level
2. # Excessive periosteal stripping of the upper fused level
3. # Dissection of the longus colli extending cephalad to that disk
4. # Screw penetration of the upper end plate
5. # The upper end of the plate being in close proximity to the adjacent disk
DISCUSSION: When the upper border of the plate is located in close proximity to the cephalad adjacent disk, there is a higher incidence of osteophyte formation. The clinical implications of this are not yet understood. Screw penetration or needle puncture may influence the degenerative process at that disk, but this would manifest itself more as narrowing and end plate changes as opposed to an osteophyte forming
along the anterior annulus. The role of the longus colli and periosteal dissection are not fully elucidated but are less commonly associated with this finding.
The Preferred Response to Question # 28 is 5.
10. # 29a 29b 29c 29d A 13-year-old boy has had a 12-month history of stiffness with worsening right hindfoot and ankle pain. Examination reveals normal ankle motion but there is decreased subtalar motion. Radiographs are shown in Figures 29a and 29b and MRI scans are shown in Figures 29c and 29d. What is the most likely diagnosis?
1. # Calcaneonavicular coalition
2. # Talocalcaneal coalition
3. # Osteochondroma of the talar head
4. # Early inflammatory arthropathy
5. # Talonavicular coalition
DISCUSSION: The patient's history and studies are consistent with a talocalcaneal coalition. The lateral radiograph shows talar beaking and a positive "C" sign; however, the axial view does not show the classic sloped medial facet that can be seen with a bony talocalcaneal coalition. The MRI views are consistent with a fibrous coalition of the medial aspect of the posterior facet with subchondral edema. There are no signs of any other coalitions. Whereas the talar beak is large and the studies show the medullary canal is in continuity with the lesion, the other findings are more consistent with a coalition than an osteochondroma, which would also tend to have an irregular appearing surface. There is no periarticular osteopenia or hyperemia consistent with an inflammatory arthropathy. The Preferred Response to Question # 29 is 2.
11. # 30a 30b A 22-year-old man sustained a buckling injury of the right knee while wake boarding. Figure 30a shows a T1-weighted MRI scan of the knee, and Figure 30b shows an arthroscopic view of the knee from an inferolateral viewing portal. What is the most likely diagnosis?
1. # Midsubstance anterior cruciate ligament rupture
2. # Tibial avulsion of the anterior cruciate ligament
3. # Midsubstance posterior cruciate ligament rupture
4. # Tibial avulsion of the posterior cruciate ligament
5. # Displaced bucket handle meniscus tear
DISCUSSION: The MRI scan shows an avulsion of the anterior cruciate ligament, with a small fragment of
bone that has been described by Meyers and McKeever in three different
fracture patterns. The arthroscopic view confirms a bony avulsion of the tibial spine and not a midsubstance tear. Type I fractures are nondisplaced or have minimal displacement of the anterior
margin. Type II fractures have superior displacement of their anterior aspect with an intact posterior hinge. Type III fractures are completely displaced. Open or arthroscopic reduction and internal fixation is recommended for type II and type III fractures that do not respond to closed reduction. The images do not show injury to the posterior cruciate ligament or menisci. The Preferred Response to Question # 30 is 2.
12. # During a lateral approach to the left ankle of a 69-year-old woman with a displaced bimalleolar fracture, the structure labeled with an arrow in Figure 31 is encountered. Which of the following is an accurate statement concerning this structure?
1. # Proximally, this nerve innervates the muscles of the anterior compartment.
2. # Proximally, this nerve innervates the muscles of the lateral compartment.
3. # This is strictly a sensory nerve to the lateral foot.
4. # This nerve innervates the extensor digitorum brevis muscle.
5. # This nerve supplies sensation to the dorsal aspect of the first interspace.
DISCUSSION: The structure shown is the superficial peroneal nerve, also known as the superficial fibular nerve. It is a branch of the common peroneal nerve after it crosses the fibular head and resides in the lateral compartment of the leg to supply the peroneus longus and brevis muscles. It terminates as the intermediate and medial dorsal cutaneous nerves of the foot supplying the skin of the dorsum of the foot and toes except for the first interspace
which is innervated by the deep peroneal nerve. It pierces the crural fascia approximately 10 cm to 12 cm proximal to the tip of the fibula and is at risk during the lateral approach to the ankle. The sural nerve supplies the sensation to the lateral foot. The deep peroneal nerve innervates the anterior compartment muscles and the extensor digitorum brevis and extensor hallucis brevis muscles and supplies sensation to the dorsal first web space. The Preferred Response # 31 is 2.
13. # 32a 32b 32c 32d A 58-year-old woman has left knee pain. She states the pain is modest, but there is some swelling and pain with increasing activity, and is alleviated with rest. She denies any history of trauma, and denies any known history of arthritis. Examination is remarkable only for some modest pain with full flexion. Figures 32a through 32d show the lateral radiograph, sagittal T1-, T1-gadolinium, and T2-weighted MRI scans respectively. Based on the history and the images, what is the most likely diagnosis?
1. # Infection
2. # Osteoarthritis
3. # Inflammatory arthritis
4. # Pigmented villonodular synovitis
5. # Synovial osteochondromatosis
DISCUSSION: The lateral radiograph is not particularly remarkable, except that it does not show any arthritic or erosive changes. There are no mineralized changes seen in the joint. The T1-weighted MRI scan shows low signal, lobular lesions that are in the posterior joint
and into the proximal tibia. These lesions show some minimal enhancement with gadolinium, and are somewhat bright ("wet") on the T2-weighted image. This lobular, invasive appearance in the posterior knee is most consistent with pigmented villonodular synovitis. The lack of mineral density in the joint and the invasive nature of the demonstrated lesion into the bone make synovial osteochondromatosis very unlikely. The images show no evidence of inflammatory, infectious, or arthritic changes. The Preferred Response to Question # 32 is 4.
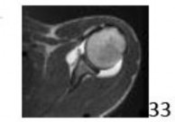
14. # The MRI scan shown in Figure 33 reveals the sequelae of an acute traumatic anteroinferior shoulder dislocation. The image reveals the typical separation of what two commonly injured structures?
1. # Anteroinferior labrum from the bony glenoid
2. # Anteroinferior labrum from the cartilaginous surface of the glenoid
3. # Biceps tendon from its origin on the supraglenoid tubercle
4. # Anterior capsule from the proximal humerus
5. # Posteroinferior labrum from the bony glenoid
DISCUSSION: The MRI scan reveals the sequelae of an anteroinferior
dislocation, specifically separation of the anteroinferior labrum from the bony glenoid. The separation does not classically occur only at the cartilage-labral junction, but extends to the bony surface of the medial glenoid neck. Separation of the biceps tendon from its origin on the supraglenoid tubercle (SLAP lesion) or separation of the anterior capsule with the proximal humerus (HAGL lesion) may occur but are not the most common sequelae and are not demonstrated in this MRI image. Anteroinferior shoulder dislocations normally do not affect the posterior labral structures. In their landmark study, Rowe and associates noted that this demonstrated lesion was the most common lesion, present in 85% of their series. P R to # 33 is 1.
15. # 34a 34b 34c 34d 34e A 39-year-old man reports a 2-year history of increasing right anterior ankle pain. He denies trauma, steroid use, or heavy drinking. He states that he has chronic pain that worsens when he walks on irregular surfaces. Treatment consisting of two prior ankle arthrotomies for the debridement of anterior loose bodies has not alleviated his symptoms.
Selective local injections show his symptoms are limited to the talonavicular and subtalar joints. A lateral radiograph, CT scans, and MRI scans are shown in Figures 34a through 34e. What is the most likely diagnosis?
1. # Advanced degenerative changes of late osteonecrosis of the talar head
2. # Talar neck fracture with posttraumatic arthrosis 3-Pigmented villonodular synovitis
1. # Chronic hematogenous osteomyelitis
2. # Nonunion of an intra-articular talar head fracture
DISCUSSION: The patient has talonavicular and subtalar symptoms from advanced degenerative changes secondary to chronic osteonecrosis of the talar head; this is a rare condition. The MRI scans, with decreased intensity on T1 and increased intensity on the T2 with a dark serpiginous line, are consistent with osteonecrosis of the talar head. The radiograph and CT scans show significant degenerative changes of the talonavicular and subtalar joints. The studies shown are not consistent with a talar neck or head fracture. The characteristic erosions and hemosiderin deposition consistent with pigmented villonodular synovitis are not seen. There are no fluid collections or bony destruction consistent with chronic osteomyelitis. The PR to Question # 34 is 1.
16. # Normal thumb flexor tendon kinematics are restored by repairing which of the following pulleys when the A-2 is intact?
1. # Av-2
2. # Av-1
3. # Oblique or A-1
4. # A-3
5. # Palmar aponeurotic
DISCUSSION: When the A-2 pulley remains intact, dividing either the A-1 or the oblique pulley will not alter thumb mechanical efficiency or joint angular displacement. If both the oblique pulley and A-1 pulley are cut, significant bow stringing will occur. Studies showed that repair or reconstruction of either the oblique pulley or the A-1 pulley after injury will restore thumb kinematics as long as the A-2 pulley is intact. The Preferred Response to Question # 35 is 3.
17. # 36a 36b 36c An active 45-year-old man sustained an acute traumatic anteroinferior dislocation. MRI scans and an arthroscopic view are shown in Figures 36a through 36c. The lesion represents compressive injury to which of the following structures?
1. # Greater tuberosity
2. # Lesser tuberosity
3. # Posterosuperior humeral head
4. # Superior glenoid
19
5. # Central portion of the humeral head
DISCUSSION: During an anteroinferior dislocation, the posterosuperior portion of the humeral head impacts the inferior rim of the glenoid, resulting in an impaction injury. This lesion is classically referred to as a Hill-Sachs lesion. The Preferred Response to Question # 36 is 3.
18. # .During the posterolateral approach to the hip, the sciatic nerve is most frequently identified passing between which of the following structures?
1. # Obturator internus and superior gemellus
2. # Obturator internus and inferior gemellus
3. # Piriformis and superior gemellus
4. # Piriformis and gluteus minimus
5. # Inferior gemellus and obturator externus
DISCUSSION: In most (> 80%) patients, the sciatic nerve lies anterior to the piriformis as it exits the pelvis through the greater sciatic notch and then runs through the interval between the piriformis and the superior gemellus to continue its course posterior to the remainder of the short external rotators. Other variations include passing superior to or piercing the piriformis. The Preferred Response to Question # 37 is 3.
38a Figure 38a shows the cross-sectional anatomy of the proximal thigh. What structure is indicated by the arrow?
1. # Adductor magnus
2. # Adductor longus
3. # Adductor brevis
4. # Sartorius
5. # Gracilis
DISCUSSION: In Figure 38b, the arrow marks the adductor longus, which lies just deep to the superficial femoral artery. The adductor magnus is the larger, more posterior muscle on this
cross-sectional image. The adductor brevis is located between the adductor longus and magnus, deep to the deep femoral vessels. The sartorius is more superficial and covers the superficial femoral vessels. The gracilis is medial and more superficial. The Preferred Response # 38 is 2.
1. # .Extended exposure of the posteromedial aspect of the knee can be obtained using the interval between the medial border of the gastrocnemius and the posterior border of the semimembranosus tendon. Further exposure of the posteromedial tibial surface or the posterior cruciate ligament (PCL) fossa requires dissection of what structure?
1. # Popliteus
2. # Plantaris
3. # Semitendinosus
4. # Gracilis
5. # Soleus
DISCUSSION: Further exposure of the tibial surface or PCL insertion requires subperiosteal elevation of the popliteus muscle off the posterior tibia. The extended posteromedial approach of the knee may be used for meniscal repair, open reduction and internal fixation of tibial plateau fractures or PCL tibial avulsion fractures, PCL tibial inlay reconstruction, Baker's cyst excision, and posterior capsular release. Superficially, the saphenous nerve and vein are at risk. The interval between the medial border of the gastrocnemius and the posterior border of the semimembranosus tendon allows adequate exposure of the posteromedial joint capsule for inside-out meniscus repair. Care must be taken to avoid injury to branches of the popliteal artery, and the inferior medial genicular artery frequently can be spared. The plantaris, gracilis, and semitendinosus are superficial to this dissection. The soleus is well distal. The Preferred Response to Question # 39 is 1.
2. # A 15-year-old male football player reports chronic left foot and ankle pain. A CT scan is shown in Figure 40. The arrow points to what structure?
1. # Posterior malleolus
2. # Accessory navicular
3. # Tarsal coalition
4. # Os trigonum fragment
5. # Anterior loose body
DISCUSSION: The CT scan reveals an axial image of the left ankle, showing the talus, medial malleolus, lateral malleolus, and a bony ossicle off of the posterior talus that is referred to as an os trigonum. The os trigonum varies in size and shape and develops as a secondary ossification center and may or may not fuse to the lateral tubercle of the talus. It may become symptomatic in athletes who participate in sports with frequent hyper plantar flexion of the ankle. The posterior malleolus is part of the distal tibia. The accessory navicular is a medial structure within the posterior tibial tendon and is further distal in location. Tarsal coalitions are also distal to this level, between the posterior tarsal bones. The arrow points to a posterior structure; thus, it could not be considered an anterior loose body. The Preferred Response to Question # 40 is 4.
3. # 41a 41b 41c A 61-year-old man who reports left hip pain is seen in the emergency department. Figure 41a shows a radiograph obtained at that time. Ten months later, he reports excruciating left hip pain with ambulation. He notes that the pain has markedly worsened over the past several weeks. Figures 41b and 41c show a current radiograph and a coronal inversion recovery MRI scan of the pelvis. What is the most likely diagnosis?
1. # Infection of the hip
2. # Fracture of the hip
3. # Osteoarthritis of the hip
4. # Osteonecrosis of the hip
5. # Rheumatoid arthritis of the hip
DISCUSSION: The initial radiograph shows subtle flattening of the left femoral head, suggestive of osteonecrosis but without significant subchondral sclerosis. Figure 41b shows marked collapse in the left head over the intervening 10 months, and the MRI scan reveals collapse, significant edema in the head, and low signal intensity in the superior segment, all suggestive of osteonecrosis. Note that the right hip shows MRI changes, suggesting bilateral disease in this patient. The Preferred Response to Question # 41 is 4.
4. # 42a 42b 42c A 37-year-old man reports a 6-month history of a slowly enlarging mass in the right medial thigh that has recently become painful. He denies any history of trauma.
Examination reveals the lesion is firm and deep-seated, and moderately tender to palpation. Figures 42a through 42c show a T1-weighted axial MRI scan, a gadolinium fat saturation axial MRI scan, and a sagittal T2-weighted MRI scan, respectively. Based on the MRI characteristics, what is the most likely diagnosis?
1. # Synovial cell sarcoma
2. # Extra-skeletal chondrosarcoma
3. # High-grade spindle cell sarcoma
4. # Liposarcoma
5. # Rhabdomyosarcoma
DISCUSSION: The T1-weighted scan reveals a lesion that contains a large amount of fat signal (bright), suggesting a fatty tumor of some kind. The gadolinium image similarly has large areas that are dark from the fat saturation, which reinforces that the lesion contains fat, although there are some areas of enhancement within the lesion that suggest more than just simple fat is present.
The sagittal T2-weighted image confirms the presence of edematous tissue within the mass, suggesting that this lesion is most likely a liposarcoma, one of the most common soft-tissue sarcomas. The other lesions listed do not have any distinguishing MRI characteristics. Synovial cell sarcomas are often cystic in nature and do not contain significant amounts of fat. The Preferred Response to Question # 42 is 4.
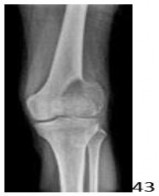
5. # A 21-year-old man has had progressive knee pain and has been limping for the past several weeks. Examination reveals decreased motion, pain, swelling, and marked tenderness over the lateral aspect of the knee. An AP radiograph is shown in Figure 43. Given the radiographic appearance of the lesion, what is the most likely diagnosis?
1. # Fibrous dysplasia
2. # Giant cell tumor of bone
3. # Enchondroma
4. # Osteoid osteoma
5. # Osteochondroma
DISCUSSION: The radiograph shows a lytic, eccentric, expansile lesion of the distal femur that extends to the subchondral surface and has a pathologic fracture. There is no surrounding sclerosis. This is a classic appearance of a giant cell tumor of bone, and the knee is the most common presenting location. None of the other lesions listed have these same characteristics, and typically do not appear in a subchondral location. Chondroblastoma (not a choice) may have a similar appearance, and typically appears in younger patients with open physes. The Preferred Response to Question # 43 is 2.
6. # Which of the following constitutes a positive intrinsic tightness test?
1. # Decreased proximal interphalangeal joint flexion with extension of the metacarpophalangeal joint
2. # Decreased proximal interphalangeal joint flexion with flexion of the metacarpophalangeal joint
3. # Normal proximal interphalangeal joint flexion with flexion of the metacarpophalangeal joint
4. # Normal proximal interphalangeal joint flexion with extension of the metacarpophalangeal joint
5. # Increased proximal interphalangeal joint flexion with extension of the metacarpophalangeal joint
DISCUSSION: Extension of the metacarpophalangeal joint places tension on the intrinsic contribution to the extensor system via the lateral bands. Contracture of the intrinsics decreases the flexion at the proximal interphalangeal joint with the metacarpophalangeal joint placed in extension past neutral. The Preferred Response to Question # 44 is 1.
7. # 45a 45b An otherwise healthy 68-year-old man has thoracic pain with radiation along his chest wall. His pain began a few weeks ago and is constant. He denies any neurologic symptoms. AP and lateral thoracic radiographs are shown in Figures 45a and 45b. What is the next most appropriate step in management?
1. # Order physical therapy and schedule follow-up to assess response
2. # Refer to a pain clinic for intercostal nerve blocks
3. # Obtain complete blood count, erythrocyte sedimentation rate, and C-reactive protein for suspicion of infection
4. # Provide reassurance and schedule follow-up if the pain persists beyond 6 weeks
5. # Obtain an MRI scan with gadolinium of the thoracic spine
DISCUSSION: The next most appropriate step in management should be to obtain an MRI scan because the AP image has a missing pedicle on the left side in the upper thoracic spine; this is known as a "winking owl" sign and is the result of pedicle destruction from neoplastic disease,
most commonly metastatic in this age group. Although physical therapy and observation can be the initial management for a few weeks of pain, this radiographic finding warrants immediate further imaging. Infection more commonly destroys the disk and works its way into the vertebral body; in this patient the disks are well preserved as seen in Figure 45c. The Preferred Response to Question # 45 is 5.
8. # A 17-year-old boy is shot in the left side of the neck at the C5-6 level and sustains an incomplete spinal cord injury that is called a Brown-Sequard syndrome. Which of the following best describes the expected deficits?
1. # Profound bilateral wrist extensor, finger flexor, and intrinsic weakness with good preservation of lower extremity motor function
2. # Severe bilateral upper and lower extremity weakness, pain and temperature sensory deficit but preservation of deep pressure and proprioception
3. # Weakness of the right upper and lower extremity with diminished pain and temperature sensation on the left side of the body
4. # Left wrist extensor weakness and numbness along the radial border of the left forearm extending into the thumb and index finger
5. # Weakness of the left upper and lower extremity with diminished pain and temperature sensation on the right side of the body
DISCUSSION: Brown-Sequard syndrome is an incomplete spinal cord injury that involves damage unilaterally to the cord, most commonly from penetrating trauma. The motors fibers of the cord decussate within the brainstem so the motor deficit is ipsilateral to the injury; whereas, the pain and temperature fibers cross midline immediately on entering the cord so that the sensory deficit is contralateral to the injury. This patient was shot in the left side, thus he would have weakness of the left upper and lower extremity with diminished pain and temperature sensation on the right side of the body. Response 3 describes
opposite symptoms that would result from a right-sided injury. Response 1 describes a central syndrome with greater upper than lower extremity involvement. Response 2 is an anterior cord syndrome with only preservation of the posterior columns of the cord. Response 4 describes a C6 root injury. The Preferred Response to Question # 46 is 5.
9. # A digastric (flip) trochanteric osteotomy is performed for hip exposure to perform a surgical dislocation of the hip. Where should the posterosuperior aspect of the osteotomy exit the femoral neck?
1. # Anterior to the posterior insertion of the gluteus medius
2. # Between the piriformis and gluteus medius
3. # Between the piriformis and gluteus minimus
4. # Between the piriformis and superior gemellus
5. # Between the superior gemellus and obturator internus
DISCUSSION: The technique for the trochanteric osteotomy during surgical dislocation procedures should be performed with a maximal thickness of 1.5 cm. The interval between the gluteus medius
and piriformis is not developed prior to the osteotomy. At the most proximal extent of the osteotomy, the saw should exit anterior to the posterior insertion of the gluteus medius to ensure the osteotomy does not inadvertently penetrate into the short external rotators, thus preserving the deep branch of the medial femoral circumflex artery. Preferred Response to Question # 47 is 1.
10. # An 18-year-old man sustains a twisting injury to the left knee while playing football. An MRI scan is shown in Figure 48. What is the most likely diagnosis?
1. # Anterior cruciate ligament rupture
2. # Posterior cruciate ligament rupture
3. # Medial meniscus tear
4. # Lateral meniscus tear
5. # Osteochondral lesion
DISCUSSION: The MRI scan shows a displaced, bucket-handle lateral meniscus tear. The sagittal view shows the typical
"large anterior horn" sign, or "double meniscus" sign in which the displaced bucket-handle fragment appears just anterior to the native anterior horn of the lateral meniscus. The presence of the fibula on the sagittal view confirms this as the lateral compartment. The image is lateral and the cruciate ligaments are not visualized. The articular cartilage shown does not demonstrate an osteochondral lesion Preferred Response # 48 is 4.
11. # 49a 49b An 85-year-old man reports diffuse pelvic and back pain that has progressed over the past 6 months. He also notes that he is chronically fatigued and is unable to get comfortable in any position. Figures 49a and 49b show a bone scan and a pelvic CT scan. On the basis of the history and the appearance of the studies, what is the most likely diagnosis??
1. # Metastatic renal cell carcinoma
2. # Multiple myeloma
3. # Metastatic thyroid carcinoma
4. # Metastatic prostate carcinoma
5. # Metastatic lung carcinoma
DISCUSSION: The bone scan shows multiple areas of
bony activity, which would suggest metastatic disease or multiple myeloma in this age group. (Myeloma may not be hot on bone scan, but certainly can present on a bone scan in this fashion). The CT scan reveals multiple blastic lesions in the bone, which is typical of metastatic prostate cancer. Myeloma, renal carcinoma, and thyroid carcinoma would present with lytic lesions. Lung metastases are more commonly lytic lesions, presenting as blastic lesions approximately 25% to 30% of the time.
The Preferred Response to Question # 49 is 4.
12. # When planning the incision for an anterior approach to the cervical spine, what external landmark is easily palpable that would correspond most closely to the C6 vertebral level?
1. # Upper border of the thyroid cartilage
2. # Cricoid cartilage
3. # Hyoid bone
4. # Lower border of the thyroid cartilage
5. # Carotid tubercle
DISCUSSION: The most reliable palpable external landmark for C6 is the cricoid cartilage. The carotid tubercle also corresponds to the C6 level but is not always palpable externally and is generally used as an internal landmark once the dissection has begun. The hyoid aligns with C3. The upper border of the thyroid cartilage identifies C4, and the lower border identifies C5. Some recent evidence includes the use of the angle of the mandible as a reliable landmark, but this has not been widely adopted. The Preferred Response to Question # 50 is 2.
13. # During an anterior approach to the shoulder, what is the most likely arterial structure to be encountered in the superior extent of the deltopectoral interval (just distal to the anterior edge of the clavicle)?
1. # Acromial branch of the thoracoacromial artery
2. # Axillary artery
3. # Arcuate artery
4. # Suprascapular artery
5. # Subclavian artery
DISCUSSION: The acromial branch of the thoracoacromial artery sits in the proximal interval between the anterior deltoid and the pectoralis major and is likely to be encountered when the proximal plane between these two muscles is dissected to the anterior edge of the clavicle.
The axillary artery runs inferior to the humeral head. The arcuate artery runs in the intertubercular groove. The suprascapular artery runs superior to the clavicle and deep to the trapezius. The subclavian artery is medial to the coracoid and should not be encountered in the deltopectoral interval. It is notable that the acromial branch of the thoracoacromial artery is responsible for the bleeding encountered in release of the coracoacromial ligament.
The Preferred Response to Question # 51 is 1.
52a 52b 52c Figures 52a through 52c show the axial, coronal, and sagittal T2-weighted MRI scans respectively of a knee. The highlighted structure represents what anatomic finding?
1. # Lateral meniscus tear
2. # Medial meniscus tear
3. # Anterior meniscofemoral ligament
4. # Ligamentum mucosum (infrapatellar plica)
5. # Transverse meniscal ligament
DISCUSSION: The images show a transverse meniscal ligament, which connects the anterior horns of the medial and lateral menisci. On sagittal images, the interface of this structure with the anterior horn of the lateral meniscus often simulates a tear. Following this structure over several successive images is helpful in identifying it as a normal structure. There is no abnormal signal within the menisci to suggest a tear. A meniscofemoral ligament is a posterior structure. A ligamentum mucosum or infrapatellar plica is best seen on the sagittal image and runs from the intercondylar notch to the anterior fat pad. The Preferred Response to Question # 52 is 5.
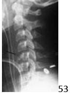
53 Which of the following best characterizes the injury shown in Figure 53?
1. # Stable tear drop extension injury
2. # Facet dislocation
3. # Unstable flexion compression injury
4. # Stable axial load injury
5. # Burst fracture
DISCUSSION: The injury shown is a flexion compression injury also known as "tear drop" fracture. It is characterized by the large anteroinferior fragment
off the vertebral body and the retrolisthesis seen in this image. It is considered an unstable injury and should be distinguished from the more stable and minor extension tear drop avulsion where there is no vertebral malalignment and the anteroinferior fracture is a small avulsion of the annulus attachment. Other axial load injuries can be stable but have more of a compression or even burst pattern with loss of body height rather than the anteroinferior fragment. The radiograph does not demonstrate facet malalignment that would be seen with a facet dislocation. The Preferred Response to Question # 53 is 3.
54a 54b A 28-year-old man reports an episode of buckling and giving-way of his right knee. Figure 54a and 54b show a radiograph and sagittal MRI scan. What is the most likely diagnosis?
1. # Anterior cruciate ligament rupture
2. # Posterior cruciate ligament rupture
3. # Quadriceps tendon rupture
4. # Patellar tendon rupture
5. # Displaced bucket-handle meniscus tear
DISCUSSION: The radiograph shows patella alta consistent with a rupture of the patellar tendon. The MRI scan confirms disruption of the patellar tendon from the inferior pole of the patella. The cruciate ligaments are not visualized in this image, and would not result in patella alta. Quadriceps tendon rupture would result in patella baja. There is no evidence of meniscal tearing on these images. The Preferred Response to Question # 54 is 4.
55 Which of the following arteries is the pedicle supply to the lateral arm flap?
1. # Radial recurrent
2. # Profunda brachii
3. # Interosseous recurrent
4. # Anterior radial collateral
5. # Posterior radial collateral
DISCUSSION: The posterior radial collateral artery provides the vascular supply to the lateral arm flap. The radial collateral artery travels with the radial nerve in the spiral groove until both penetrate the lateral intermuscular septum. It then divides into the anterior and posterior radial collateral arteries. The posterior branch passes posterior to the lateral intermuscular septum.
The Preferred Response to Question # 55 is 5.
56a 56b A 29-year-old woman has had a 6-month history of chronic left anterolateral ankle pain after sustaining an inversion ankle sprain while playing soccer. Management consisting of rest, nonsteroidal anti-inflammatory drugs, immobilization, a cortisone injection, and 2 months of physical therapy has failed to allow her to return to her previous level of activities. Examination reveals good strength, motion, and ligamentous stability, with anterolateral ankle tenderness. Radiographs are normal. During an anterolateral approach to the left ankle, the structure labeled with the arrow in Figure 56a is noted to be impinging on the anterolateral dome of the talus and is removed as shown in Figure 56b. Removal of this structure will most likely result in which of the following?
1. # Alleviation of her symptoms
2. # Destabilization of the syndesmosis
3. # Increase the anterior drawer but not influence the talar tilt
4. # Increase the talar tilt but not influence the anterior drawer
5. # Have no effect on her symptoms or her ankle instability
DISCUSSION:The structure shown is the inferior portion of the anteroinferior tibiofibular ligament, often referred to as "Bassett's ligament." It was described by Bassett and associates in 1990 as a separate distal fascicle of the anteroinferior tibiofibular ligament that is present in most human ankles and can be a cause of talar impingement, abrasion of the articular cartilage, and pain in the anterior aspect of the ankle. In their series, an inversion injury to the ankle was followed by chronic anterior ankle pain. The thickened distal fascicle was resected without loss of stability of the ankle and all symptoms were eliminated or markedly improved after resection of the fascicle.
The Preferred Response to Question # 56 is 1.
57 Which of the following radiographic parameters is most predictive of a poor result following multilevel fusion surgery for adult degenerative scoliosis?
1. # An L5-S1 degenerative disk left out of the fusion
2. # Coronal imbalance
3. # Residual scoliosis of greater than 25 degrees
4. # Residual foraminal stenosis
5. # Sagittal imbalance
DISCUSSION: Sagittal imbalance appears to be the greatest predictor of a poor surgical outcome in multilevel fusions for adult scoliosis. Coronal imbalance is better tolerated as long as it is not excessive. The amount of residual scoliosis does not seem to play a role as
long as overall balance is achieved. The issue of including the L5-S1 level in long fusions remains debatable, and some residual foraminal stenosis can be tolerated, particularly when included within the stabilized/fused segments. The Preferred Response to Question # 57 is 5.
58 Following a posterior approach to the radius (dorsal Thompson), the patient is unable to extend his thumb and index finger at the metacarpophalangeal joint. He has sensation to the radial forearm and dorsal thumb and can extend his wrist but with radial deviation. What nerve was injured?
1. # Radial
2. # Posterior interosseous
3. # Anterior interosseous
4. # Median
5. # Musculocutaneous
DISCUSSION: During a posterior approach (dorsal Thompson) to the radius, the posterior interosseous nerve (PIN) should be identified and/or protected. Pronation of the forearm will aid in protection of the PIN. The radial nerve splits into the PIN and the superficial branch of the radial nerve (SBRN) proximal to the extent of this approach. Preservation of sensation in the distribution of the SBRN and intact wrist extension with radial deviation locates the injury distal to the SBRN/PIN split (extensor carpi radialis brevis palsy with intact extensor carpi radialis longus). The median nerve and its branch and the anterior interosseous nerve are not encountered in this approach. The musculocutaneous nerve is not observed during this approach. The Preferred Response to Question # 58 is 2.
59 During a posterolateral exposure of the knee, the fascial intervals between the iliotibial band and the biceps femoris tendon are incised. What vascular structure is at most risk during this exposure?
1. # Peroneal artery
2. # Lateral sural artery
3. # Superior lateral genicular artery
4. # Inferior lateral genicular artery
5. # Posterior tibial recurrent artery
DISCUSSION: Exposure of the posterolateral aspect of the knee uses the fascial intervals between the iliotibial band and the biceps femoris tendon distally and the short head of the biceps femoris slightly more proximally. The inferior lateral genicular artery may be encountered during this surgical approach or with aggressive arthroscopic meniscal debridement that penetrates the joint capsule. The superior lateral genicular artery is found well above this interval. The lateral sural artery is superior and posterior. The peroneal and posterior tibial recurrent arteries are well distal. The Preferred Response to Question # 59 is 4.
60 A boutonniere deformity is treated with distal extensor tenotomy. What structures allow for active extension at the distal interphalangeal (DIP) joint after tenotomy?
1. # Lateral bands
2. # Sagittal bands
3. # Central slip
4. # Oblique retinacular ligament
5. # A healed but lengthened terminal extensor tendon
DISCUSSION: Hyperextension of the DIP joint from a boutonniere deformity can be treated by the Dolphin tenotomy that divides the terminal extensor mechanism. Near normal extension of the DIP joint is the result of the intact oblique retinacular ligament of Landsmeer. Lateral bands are at the level of the proximal interphalangeal (PIP) joint. Sagittal bands are at the level of the metacarpophalangeal joint and are responsible for maintaining centralization of the extensor tendon at that level. The central slip extends the PIP joint. The corrective effect is immediate and is not determined by a healed extensor tendon at that level. The Preferred Response # 60 is 4.
61 61a Figure 61a shows the cross-sectional anatomy of the pelvis at the level of the femoral heads. What structure is marked by the arrow?
1. # Rectus femoris
2. # Sartorius
3. # Iliacus
4. # Obturator externus
5. # Tensor fascia lata
DISCUSSION: In Figure 61b, the structure marked is the iliacus muscle, which joins with the psoas (the psoas tendon is immediately medial to the muscle) to form the iliopsoas that will then insert on the lesser trochanter. The sartorius is more superficial and anterior. The rectus femoris is just anterior and slightly lateral to the iliacus. The tensor is more lateral and superficial. The obturator externus is medial and deep to the pectineus. The Preferred Response to Question # 61 is 3.
62.A 41-year-old man has a severe posttraumatic elbow contracture. The surgeon chooses to approach laterally. This exposure to the anterior elbow capsule exploits what anatomic interval?
1. # Anconeus and anterior surface of the humerus
2. # Brachioradialis and extensor carpi radialis longus
3. # Brachioradialis and brachialis
4. # Extensor carpi radialis longus and extensor carpi radialis brevis
5. # Brachioradialis/extensor carpi radialis longus and anterior surface of the humerus
DISCUSSION: A modified Kocher incision is used to approach the lateral elbow. Skin flaps are then elevated and the anterior capsule exposed by elevating the brachioradialis and extensor carpi radialis longus off the anterior supracondylar ridge. Further medial exposure is achieved by elevating the brachialis anteriorly. The Preferred Response to Question # 62 is 5.
63 An 83-year-old patient has had a 6-month history of right groin pain. History reveals that hip arthroplasty was performed 14 years ago. An AP radiograph is shown in Figure 63. Preoperative evaluation reveals no evidence of infection. Which of the following studies is the next most appropriate step in evaluation?
1. # Technitium-99 bone scan
2. # MRI scan 3- Full-length radiographs of the femur
1. # Judet radiographs
2. # Dynamic fluoroscopy
DISCUSSION: The patient has a single radiograph for interpretation. To thoroughly evaluate the symptom of groin pain, additional radiographic
views are appropriate. Judet views will show the integrity of the posterior column. Cross table lateral radiographs do not provide adequate visualization of the acetabulum for osteolysis. CT would most definitively show the extent of osteolyis, but it is not one of the options. MRI would have too much metal artifact. A bone scan could suggest loosening, but initial radiographic studies are more appropriate to obtain first in assessment. Dynamic fluoroscopy is not normally used in the assessment of implant failure. The Preferred Response to Question # 63 is 4.
64a 64b 64c A 57-year-old man is evaluated for what he reports as a lifetime of chronic left ankle pain and deformity. He is a community ambulatory and walks with a cane. Radiographs are shown in Figures 64a through 64c. What is the most likely cause of his condition?
1. # Chronic ankle instability from polio at age 12 years
2. # A bacterial infection at age 8 years
3. # Gouty arthritis
4. # An untreated talus fracture
5. # A significant neonatal talocalcaneal coalition
DISCUSSION: The patient has a ball-and-socket ankle that is a result of a congenital or early developmental deformity such as a significant subtalar coalition. It is the result of significant early
abnormal biomechanics of the subtalar joint or transverse tarsal joint that cause increased stress on the developing ankle and induce secondary changes. Because neonates have very little ossification around the ankle, a congenital ball-and-socket ankle is not readily diagnosed until the child is much older, making the differentiation between congenital and developmental somewhat difficult. It usually develops by about age 5 years. Conditions that present later in life, such as polio at age 12 years or a bacterial infection, are not likely to produce a ball-and-socket ankle. Most tarsal coalitions do not present until later in life and usually only produce secondary changes like talar beaking. Significant neonatal infections cause more bone and articular destruction. Gout presents too late to cause a developmental deformity. An untreated talus fracture will cause hindfoot arthrosis and deformities. The Preferred Response to Question # 64 is 5.
1. # A 34-year-old woman who underwent release of her first dorsal compartment at the wrist for de Quervain's tenosynovitis 3 months ago continues to report radial-sided wrist pain and tenderness similar to what she had prior to surgery. Examination appears classic for de Quervain's with a positive Finkelstein's test and continued pain with palpation over the first dorsal compartment. What is the likely source of her continued pain?
1. # Tendon subluxation
2. # Intersection syndrome
3. # Injury to the dorsal radial sensory nerve
4. # Tendon injury to the abductor pollicis longus (APL) tendon
5. # Unreleased extensor pollicis brevis (EPB) tendon
DISCUSSION: Persistant pain after first dorsal compartment release is often the result of failure to release all potential septations or compartments. It has been found that 24% to 34% of wrists have a separate compartment involving the EPB or APL. If each tendon is not identified, an incomplete release can result, causing continued symptoms. Intersection syndrome is more proximal, pain is not over the first dorsal compartment. Radial sensory nerve injury would not result in a positive Finkelstein's test. Tendon subluxation and tendon injury usually do not cause pain over the first dorsal compartment with palpation. The Preferred Response to Question # 65 is 5.
2. # When using an anterior exposure of the acetabulum during minimally invasive two-incision total hip arthroplasty, the deep approach to the acetabulum is accomplished through the interval between which of the following structures?
1. # Gluteus medius and gluteus minimus
2. # Gluteus medius and tensor fascia lata
3. # Gluteus medius and gluteus maximus
4. # Rectus femoris and iliopsoas
5. # Rectus femoris and tensor fascia lata
DISCUSSION: During a two-incision minimally invasive surgical approach, the inferior aspect of the classic anterior (Smith Peterson) interval is used. The deep interval is between the tensor fascia lata and the rectus femoris. The superficial interval is between the tensor fascia lata and the
sartorius. The gluteus medius is proximal to the intervals used for the anterior approach in a two-incision technique. The Preferred Response to Question # 66 is 5.
3. # 67a 67b 67c 67d A 20-year-old woman has progressive severe heel pain, swelling, and difficulty with shoe wear. A mass has been present for several weeks, and the pain awakens her from sleep and requires narcotics for symptomatic control. Figures 67a through 67d show the lateral radiograph, CT scan, and coronal T1- and T2-weighted MRI scans, respectively. What is the most likely diagnosis?
1. # Enchondroma
2. # Giant cell tumor
3. # Osteosarcoma
4. # Metastatic carcinoma
5. # Osteoblastoma
DISCUSSION: The radiograph reveals a blastic-appearing lesion within the body of the calcaneus. The CT scan confirms the presence of a blastic lesion within the bone, and shows extension into the soft tissues with mineral density (bone formation) in the lateral aspect of the heel. The MRI scans confirm that the lesion extends outside the bone with a lobular-appearing soft-tissue mass with low T1-weighted and intermediate T2-weighted signal, both of which show the low signal intensity associated with bone formation. This is most characteristic of a bone-forming lesion that is behaving in an aggressive fashion, and represents an osteosarcoma of the calcaneus. Metastatic carcinoma is highly unlikely in this age and location, and would not generally present with mineral density in the soft tissue. Giant cell tumor, while it may extend outside the bone, is not a blastic lesion. Osteoblastoma, while blastic and expansile, does not generally present with soft-tissue invasion. This lesion does not have the appearance of an enchondroma, which would be contained within the bone (no soft-tissue extension) and demonstrate "rings and arcs" mineral density on imaging. The Preferred Response to Question # 67 is 3.
4. # Figure 68 shows the view from a posterosuperior shoulder arthroscopic portal. The muscle associated with the tendinous structure shown is innervated by what nerve?
1- Axillary 2- Median 3- Musculocutaneous 4- Radial
5- Ulnar
DISCUSSION: The structure shown in the arthroscopic image is the tendon of the long head of the biceps, originating from the supraglenoid tubercle. The biceps brachii muscle is innervated by the musculocutaneous nerve. The long head of the biceps brachii is not innervated by the axillary, median, radial, or ulnar nerves.
The Preferred Response to Question # 68 is 3.
5. # During an anterior approach to the hip, what structure has the greatest potential for injury?
1. # Femoral nerve
2. # Femoral artery
3. # Femoral vein
4. # Lateral femoral cutaneous nerve
5. # Medial femoral circumflex artery
DISCUSSION: The anterior (Smith-Peterson) approach to the hip develops the superficial interval between the tensor fascia lata (TFL) and sartorius and the deep interval between the gluteus medius and rectus femoris. The lateral femoral cutaneous nerve penetrates the fascia overlying the interval between the TFL and sartorius approximately 1 cm distal to the anterior superior iliac spine. Identifying the interval between the TFL and sartorius distally can be helpful in preventing injury to the lateral femoral cutaneous nerve, which is the structure at greatest risk for injury during an anterior approach to the hip. The femoral artery, vein, and nerve are medial to the approach. The medial femoral circumflex artery runs posterior to the femoral neck. The ascending branch of the lateral femoral circumflex artery is routinely encountered during this approach, but is not one of the options.
The Preferred Response to Question # 69 is 4.
6. # Figure 70 shows the arthroscopic view of a right knee from an inferolateral viewing portal. The probe is touching what anatomic structure?
1. # Posterior cruciate ligament, anterolateral bundle
2. # Posterior cruciate ligament, posterolateral bundle
3. # Posterior cruciate ligament, anteromedial bundle
4. # Posterior cruciate ligament, posteromedial bundle
5. # Posterior meniscofemoral ligament
DISCUSSION: The posterior cruciate ligament consists of two functional bundles: anterolateral and posteromedial. The probe is in contact with the anterolateral bundle, which becomes tighter in knee flexion. Knowledge of this anatomic and functional difference from the posteromedial bundle is important when considering anatomic reconstruction of the posterior cruciate ligament. The posterior meniscofemoral ligament connects the posterior horn of the lateral meniscus to the intercondylar wall of the medial femoral condyle and cannot be visualized because it is posterior to the structures shown. The Preferred Response to Question # 70 is 1.
7. # After completion of bone preparation during a total knee arthroplasty, the lateral compartment is tight in both flexion and extension. At what point during the release is the peroneal nerve at greatest risk for injury?
1. # Release of the posterior capsule
2. # Release of the posterolateral capsule with the knee extended
3. # Release of the posterolateral capsule with the knee flexed
4. # Release of the iliotibial band with the knee extended
5. # Release of the iliotibial band with the knee flexed
DISCUSSION: The peroneal nerve traverses the proximal aspect of the knee joint in the interval between the biceps femoris and lateral gastrocnemius. The lateral gastrocnemius muscle provides some protection for the peroneal nerve. Cadaveric studies have suggested that the peroneal nerve can be as close as 7 mm to 9 mm from the posterolateral corner with the knee in extension, where it is at greatest risk for injury. The iliotibial band is anterior to the course of the peroneal nerve at the joint line. The Preferred Response to Question # 71 is 2.
8. # The radial forearm free flap has a vascular pedicle that passes between which of the following muscles?
1. # Flexor carpi radialis and brachioradialis
2. # Flexor carpi radialis and pronator teres
3. # Brachioradialis and pronator teres
4. # Brachioradialis and abductor pollicis longus
5. # Brachioradialis and palmaris longus
DISCUSSION: The radial artery is the pedicle for this free flap. The artery bifurcates from the brachial artery and exits between the muscle bellies of the flexor carpi radialis and brachioradialis, after which it courses superficial to the flexor digitorum superficialis muscle. The Preferred Response to Question # 72 is 1.
9. # 73a 73b Figures 73a and 73b show the AP and lateral radiographs of the left humerus of a 19-year-old woman with an incidental finding of this lesion on a chest radiograph. The patient denies any pain or loss of function in the arm, and is fully active with no restrictions. Based on the radiographic appearance of this lesion, what is the most likely diagnosis?
1. # Chondrosarcoma
2. # Enchondroma
3. # Fibrous dysplasia
4. # Unicameral bone cyst
5. # Bone infarct
DISCUSSION: The radiographs demonstrate a metaphyseal/diaphyseal lesion of the proximal humerus that is centrally located, slightly expansile, and with prominent cortical thinning. The lesion is
sharply demarcated from the remaining normal-appearing bone. There is a "ground glass" appearance to the lesion, and the lesion appears to fill the long bone over the affected length. This is a common presentation for fibrous dysplasia. Chondrosarcoma would
be uncommon in this age, and would be more destructive, with "rings and arcs" mineralization. Enchondroma, similarly would have "rings and arcs" mineralization and is not expansile nor would it demonstrate such significant endosteal scalloping over a long area of the bone. Unicameral bone cyst, while possibly of this size, would not have the same "ground glass" appearance and would have more rounded edges at the margin. Bone infarcts are central, have a whispy, "smoke up the chimney" mineralization, and are not expansile.
The Preferred Response to Question # 73 is 3.
10. # A 20-year-old man sustains a burst fracture at L1. Examination reveals 3/5 weakness of bilateral ankle plantar flexion and dorsiflexion, and 4/5 quadriceps strength. He is unable to void spontaneously and has diminished rectal tone. Which of the following would best describe the neurologic deficit?
1. # Conus medullaris injury
2. # Incomplete spinal cord injury
3. # Cauda equina injury
4. # Central cord syndrome
5. # Anterior cord syndrome
DISCUSSION: The tip of the spinal cord usually ends at the L1-2 disk level, thus a neurologic injury from fracture at the L1 level would damage the conus medullaris and have a mixed spinal cord and nerve root (upper and lower neuron) picture as in this patient. Cauda equina injury would be present at L2 or lower, and spinal cord level injury typically above T12.
The Preferred Response Question # 74 is 1.
11. # The peroneal division of the sciatic nerve innervates which of the following muscles in the thigh?
1. # Long head of the biceps femoris
2. # Short head of the biceps femoris
3. # Semimembranosus
4. # Semitendinosus
5. # Lateral head of the gastrocnemius
DISCUSSION: The tibial division of the sciatic nerve provides innervations to all of the hamstring muscles in the thigh with the exception of the short head of the biceps femoris which receives its innervations from the common peroneal branch of the sciatic nerve. Both heads of the gastrocnemius muscle are innervated by the tibial division of the sciatic nerve. The Preferred Response to Question # 75 is 2.
76a 76b What anatomic structure is marked with an asterisk in Figure 76a in the posterior arthroscopic view of a left shoulder subacromial space and with the arrow in the sagittal oblique MRI scan in Figure 76b?
1. # Coracoacromial ligament
2. # Coracohumeral ligament
3. # Conoid ligament
4. # Trapezoid ligament
5. # Acromioclavicular ligament
DISCUSSION: The coracoacromial ligament extends from the coracoid process inferiorly to the acromion superiorly. It forms a portion of the osseous outlet, and thickening, hypertrophy, or calcification of the ligament may result in impingement of the anterior portion of the rotator cuff. The coracohumeral ligament originates from the base and lateral border of the coracoid and inserts on the greater tuberosity. The conoid and trapezoid ligaments form the coracoclavicular ligaments. The acromioclavicular ligament travels from the acromion to the clavicle.P R # 76 is 1.
77 A 58-year-old man has had groin pain for the past 3 months. The patient reports pain with ambulation and at rest. Examination reveals an antalgic gait and range of motion is mildly restricted. He denies any history of trauma, or steroid or alcohol abuse. Radiographs are normal. An MRI scan is shown in Figure 77. What is the most appropriate management?
1. # Protected weight bearing and anti-inflammatory drugs
2. # Total hip arthroplasty
3. # Intraosseous steroid injection
4. # A vascularized fibula graft to the femoral head
5. # Core decompression of the femoral head
The patient has transient osteoporosis of the hip. The MRI findings
show highly increased signal through the entire femoral head and neck that is diagnostic of transient osteoporosis of the femoral head.á This entity is usually a self-limited condition that is most frequently seen in women in the third trimester of pregnancy and in men in the sixth decade of life.á Transient osteoporosis is best treated nonsurgically with protected weight bearing and anti-inflammatory drugs. The natural history is that of self-resolution. A vascularized fibula graft to the femoral head and core decompression of the femoral head each have a described role in treating osteonecrosis (not transient osteoporosis) depending on the stagingáof the disease. Total hip arthroplasty indications include end-stage osteonecrosis of the hip as well as osteoarthritis.
Steroid injections are generally reserved for simple cysts of bone. The Preferred Respon# 77 is 1.
78 What osseous ridge separates the femoral attachments of the anteromedial and posterolateral bundles of the anterior cruciate ligament?
1. # Lateral intercondylar ridge
2. # Lateral bifurcate ridge
3. # Lateral interfemoral ridge
4. # Lateral interfascicular ridge 5- Lateral cruciate ridge
DISCUSSION: The anterior cruciate ligament is composed of the anteromedial and posterolateral bundles. The lateral bifurcate ridge is nearly perpendicular to the lateral intercondylar ridge and separates the anteromedial and posterolateral bundles from one another. The femoral insertion of the anterior cruciate ligament does not extend beyond the lateral intercondylar ridge (or resident's ridge) anteriorly (or superiorly with the knee in 90
degrees of flexion). The lateral interfemoral, interfascicular, or cruciate ridges are not accepted nomenclature. The Preferred Response to Question # 78 is 2.
79a Figure 79a shows the cross-section image of the mid thigh. What structure is marked by the arrow?
1. # Biceps femoris
2. # Adductor magnus
3. # Semitendinosus
4. # Gracilis
5. # Semimembranosus
DISCUSSION: In Figure 79b the arrow marks the semimembranosus muscle, which is more medial than the semitendinosus muscle at this level, which is seen more lateral. The biceps femoris is more lateral still, and the adductor magnus is medial and deep to the marked semimembranosus. The gracilis is superficial to the adductor magnus muscle and is the most medial structure. The Preferred Response to Question # 79 is 5.
1. # 80a 80b 80c 80d 80e Figure 80a shows an arthroscopic view from an infralateral portal of a right knee. Figure 80b shows a coronal MRI scan, and Figures 80c through 80e show consecutive sagittal images of the knee. The images show what anatomic finding?
1. # Loose body
2. # Discoid lateral meniscus
3. # Transverse meniscal ligament
4. # Displaced lateral meniscus tear
5. # Displaced medial meniscus tear
DISCUSSION: The arthroscopic view and the coronal MRI scan show a discoid lateral meniscus covering almost the entire lateral tibial plateau. The sagittal views show a contiguous meniscus or "bow tie" sign on three consecutive images, pathognomonic for a discoid meniscus. Lateral discoid menisci are much more common than medial. There is no evidence of abnormal signal to indicate meniscal tearing. A transverse meniscal ligament is best seen anterior to the anterior horn of the lateral meniscus on multiple views. There is no evidence of a loose body on the arthroscopic or MRI images. The Preferred Response to Question # 80 is 2.
2. # An L3 radiculopathy is best differentiated from a femoral neuropathy by testing what muscle?
1- Quadriceps 2- Adductor longus 3- Iliacus 4- Sartorius 5- Psoas
DISCUSSION: The major differential diagnosis in patients with a femoral neuropathy is a lumbar radiculopathy. Patients with femoral nerve (L2-4) lesions may be distinguished from L2 or L3 radiculopathy by testing adduction (an obturator nerve-innervated function). All muscles listed above, with the exception of the adductor longus, are innervated by the femoral nerve. The Preferred Response to Question # 81 is 2.
3. # 82a 82b 82c A 20-year-old woman reports mild fullness and occasional aching over the left hip; the symptoms are worse with activities and better with rest. She denies trauma to the area. She states the fullness has been present as long as she can remember. Examination reveals a deep fullness anterior to the hip joint, and mild tenderness at the extreme of hip flexion. Figure 82a through 82c show an AP radiograph, a CT scan, and a T2-weighted MRI scan. Based on these imaging studies, what is the most likely diagnosis?
1. # Osteochondroma
2. # Myositis ossificans traumatica
3. # Infection
4. # Osteosarcoma
5. # Osteoblastoma
DISCUSSION: The radiograph shows a mineralized lesion that is poorly defined around the anterosuperior aspect of the acetabulum. It is common for pelvic radiographs to lack detail, but the radiograph does reveal some kind of bone forming process. The CT scan, which provides far greater detail of the complex bony anatomy around the hip, reveals a bony lesion that projects outward from the pelvis and appears to share the cortex with the pelvic bone. On the MRI scan, there is a small cartilage cap (bright on the T2-weighted image) but no surrounding edema and no soft-tissue mass suggestive of an aggressive process. Any cartilage cap larger than 1 to 2 cm is concerning for a secondary chondrosarcoma. These findings are most consistent with an osteochondroma. Myositis ossificans traumatica would not share the bony cortex with the pelvis and is generally not so lobular in appearance. The lack of significant edema or bone destruction rules against infection, osteosarcoma, and osteoblastoma.
The Preferred Response to Question # 82 is 1.
4. # The saphenous nerve is most at risk with which of the following ankle arthroscopy portals?
1. # Anteromedial
2. # Anterolateral
3. # Anterocentral
4. # Medial midline
5. # Posterolateral
DISCUSSION: The saphenous nerve travels along the distal medial tibia and ankle and is most at risk from the anteromedial portal which is medial to the tibialis anterior tendon. The anterolateral portal is lateral to the peroneus tertius tendon and puts the superficial
peroneal nerve at risk. The anterocentral portal is between the tendons of the extensor digitorum longus and puts the deep peroneal nerve at risk. The medial midline portal is between the extensor hallucis longus tendon and the tibialis anterior tendon and puts the deep and superficial peroneal nerves at risk; it should be well lateral to the saphenous nerve. The posterolateral portal is lateral to the Achilles tendon and puts the sural nerve at risk. The
Preferred Response to Question # 83 is 1.
5. # 84a 84b 84c 84d A 62-year-old man returns for evaluation of a painless total knee arthroplasty 6 months after his surgery. He notes recurrent, mild knee effusions. His initial postoperative radiographs are shown in Figures 84a and 84b. His current radiographs are shown in Figures 84c and 84d. What is the next step in evaluation of this patient?
1. # Clinical and radiographic follow-up in 3 months
2. # CT scan
3. # Laboratory testing
4. # Stress radiographs
5. # Technetium-99 bone scan
DISCUSSION: The development of a progressive radiolucency within the first year following knee arthroplasty surgery is concerning for infection. Infection work-up should include laboratory testing for erthrocyte sedimentation rate and C-reactive protein levels. A joint
aspiration should be strongly considered, especially if the laboratory studies are elevated. A CT scan would be appropriate to assess component rotation for patellar instability, but does not
benefit evaluation of this patient. Stress radiographs could be useful in confirming clinical instability noted on examination, but early component loosening is the clinical concern for this patient. A bone scan would be expected to show activity at 6 months after surgery and would not add useful information to the work-up. The Preferred Response to Question # 84 is 3.
6. # A 59-year-old woman seen in the emergency department reports the rapid onset of pain in the left lower quadrant of her abdomen radiating to the anterior thigh that began about 4 to 5 hours ago. She also notes that now her left knee is buckling, causing her to fall to the ground. History reveals that the woman is an alcoholic and takes warfarin for atrial fibrillation.
Examination reveals 1/5 quadriceps strength and pain on hip flexion against resistance. What is a likely pathoanatomic cause for her problem that should be rapidly evaluated to prevent permanent damage?
1. # A left posterolateral L3-4 disk herniation
2. # A spontaneous bleed into the iliopsoas sheath
3. # A spontaneous epidural hematoma at L3-4
4. # A pseudoaneurysm of the femoral artery at the femoral canal
5. # A left far lateral L4-5 disk herniation
DISCUSSION: The femoral nerve runs within the fascial sheath of the iliopsoas muscle and a bleed into the muscle can occur with excessive anticoagulation, creating a compartment-like syndrome. Initially, it causes pain; however, gradual loss of motor function of the femoral nerve typically occurs unless the iliopsoas fascia is released and the hematoma is evacuated. A posterolateral L3-4 disk herniation, far lateral L4-5 disk herniation, and epidural hematoma can all cause pain and weakness, but are not associated with abdominal complaints. Additionally, this patient has "psoas signs" as demonstrated by pain on hip flexion against
resistance, indicating psoas tendon irritability. A pseudoaneurysm of the femoral artery would be palpable and a much less likely cause of acute femoral nerve palsy. The Preferred Respo # 85 is 2.
7. # A sagittal MRI scan of the hindfoot and ankle is shown in Figure 86. The arrow points to what structure?
1. # Posterior tibial artery
2. # Peroneal artery
3. # Flexor hallucis longus
4. # Posterior tibial nerve
5. # Calcaneal artery
DISCUSSION: The MRI scan shows a medial sagittal cut through the hindfoot and ankle with the medial malleolus and posterior tibial tendon in the center for orientation. The arrow points to the posterior tibial artery that lies in this plane. Blood vessels can be
visualized by MRI because flowing blood produces little signal and they appear as low intensity tubular structures. The peroneal artery is a much more lateral structure. The flexor hallucis longus is near this location but should be straighter and darker and it does not fork or split in this
location. The posterior tibial nerve is in this location but does not have this low signal intensity appearance. The calcaneal artery is a branch off of the posterior tibial artery and is more distal and medial. The Preferred Response to Question # 86 is 1.
8. # Contracture or tightness of the triangular ligament of the finger is associated with which of the following conditions?
1. # Sagittal band insufficiency
2. # Volar subluxation of the lateral bands
3. # Swan-neck deformity
4. # Volar plate contracture
5. # Boutonniere deformity
DISCUSSION: Swan-neck deformity may result from contracture/tightness of the triangular ligament. Anatomically, the triangular ligament is on the dorsal aspect at the base of the middle phalanx just distal to the central slip. It keeps the lateral bands dorsal. With a boutonniere deformity, the lateral bands move volar to the central axis resulting in a flexion deformity of the proximal interphalangeal joint and extension of the distal interphalangeal joint. Sagittal band insufficiency results in subluxation of the extensor tendon(s) at the metacarpophalangeal joint level. Volar plate contracture will not cause swan-neck deformity. The Preferred Respon # 87 is 3.
9. # An axial MRI scan of an ankle is shown in Figure 88. The arrow indicates what tendinous structure?
1. # Posterior tibial
2. # Peroneus longus
3. # Peroneus brevis
4. # Flexor digitorum longus
5. # Flexor hallucis longus
DISCUSSION: The image shown is a transverse cut of the left ankle that shows the distal tibia metaphysis and the proximal medial malleolus, the lateral malleolus, and the surrounding soft tissues.
The structure highlighted by the arrow is the flexor hallucis longus tendon that travels along the posterior tibia, just anterior to the Achilles tendon. The peroneal tendons lie behind the fibula, and the posterior tibial and flexor digitorum longus tendons travel posterior to the medial malleolus.
The Preferred Response to Question # 88 is 5.
10. # 89a 89b 89c A 47-year-old man reports a 12-week history of pain and swelling of his right hindfoot and ankle. Examination reveals a significant limp with swelling and tenderness over the distal Achilles tendon. He also has weak plantar flexion strength and squeezing of his calf produces only a small amount of ankle plantar flexion that is much less than his asymptomatic contralateral ankle. He reports suffering an Achilles tendon rupture some years ago that was treated in a cast. A radiograph obtained at that time is shown in Figure 89a. He was sent for physical therapy and did well except for a mild persistent limp. He then returned 1 year later
with similar complaints and with a history of a fall 3 months earlier. A current radiograph and MRI scan are shown in Figures 89b and 89c. What is the most likely diagnosis?
1. # Heterotopic ossification of the proximal Achilles tendon
2. # An untreated acute rupture of the midsubstance of the Achilles tendon
3. # Multiple gouty crystalline deposits
4. # Chronic Achilles tendon avulsion (sleeve) rupture
5. # Rupture of the Achilles tendon at the musculotendinous junction
DISCUSSION: The patient has a symptomatic chronic Achilles tendon avulsion (sleeve) rupture. The radiographs show movement of the calcified/ossified tendon away from the insertion and the MRI scan reveals a chronic avulsion of the Achilles tendon from the insertion site. The heterotopic ossification shown is of the distal Achilles tendon. The rupture shown is at the insertion site and not midsubstance or at the musculotendinous junction. The studies are not consistent with the uric acid deposition of gout. The Preferred Response to Question # 89 is 4.
11. # During an anterior retroperitoneal approach to the L4-5 disk, the iliac vessels must be mobilized. The dissection is carried out along the lateral edge of the vessels so they can be retracted medially across the midline. What structure that tethers the common iliac vein must be identified and taken down for safe and adequate mobilization?
1. # Ureter
2. # Genitofemoral nerve
3. # Internal femoral artery
4. # Iliolumbar vein
5. # Central sacral vein
DISCUSSION: The iliolumbar vein is the only branch off the common iliac vein. It is located at about the L5 level and is easily avulsed if not identified and ligated during this mobilization. The ureter runs over the iliac vessels but is easily mobilized with the peritoneum and does not tether the iliac vein. The internal femoral artery has a more distal takeoff and does not interfere with the amount of mobility needed to get to the anterior surface of L4-5. The central sacral vessels come out of the iliac bifurcation (more distal) and are ligated to gain access to the L5-S1 disk space as dissection occurs between the common iliacs. The Preferred Response to Question # 90 is 4.
12. # 91a 91b 91c A 65-year-old woman who underwent right knee arthroplasty 12 years ago reports that she has had knee pain for the past year. Examination reveals that knee range of motion is from 0 degrees to 100 degrees. A standing AP radiograph obtained 3 years ago is shown in Figure 91a. Recent radiographs are shown in Figures 91b and 91c. Laboratory study findings include an erythrocyte sedimentation rate of 9 mm/h and a C-reactive protein level of
0.3 mg/L. What is the most likely cause of her knee pain?
1. # Infection
2. # Ligamentous instability
3. # Polyethylene wear
4. # Extensor mechanism dysfunction
5. # Technical error during the total knee arthroplasty
DISCUSSION: The radiographs show a change in femoral component position with proximal migration and a change in alignment from the initial near anatomic to a more varus position. Polyethylene wear is the most common contributor to both focal osteolysis and component loosening at long-term follow-up. The knee performed well for 12 years with good initial alignment, so a technical factor at the index surgery would not explain the development of loosening. Laboratory findings are not consistent with infection. There is no clinical information in the history that would suggest that the patient has either instability or poor function in the extensor mechanism. The Preferred Response to Question # 91 is 3.
13. # A 24-year-old man sustained a bilateral C5-6 facet dislocation in a car accident and was intubated at the scene. He remains sedated in the intensive care unit so the clinical neurologic examination is limited. What MRI finding would most likely predict a complete spinal cord injury?
1. # 4-mm rostral caudal cord edema
2. # Disruption of the anterior longitudinal ligament
3. # Edema in the soft tissue anterior to the spine
4. # Diffuse cord edema
5. # 6-mm cord hematoma
DISCUSSION: The MRI finding that most consistently corresponds with a complete spinal injury is a hematoma within the cord. Cord edema can predict a poor prognosis if it is more
extensive but is not considered as consistent a finding. Ligamentous injury about the neck can indicate musculoskeletal instability but it does not in and of itself indicate the presence or predict the severity of spinal cord injury. Likewise, soft-tissue edema anterior to the spine may indicate musculoskeletal injury but does not offer specific information regarding the presence or absence of cord injury. The Preferred Response to Question # 92 is 5.
14. # Figure 93 shows an arthroscopic view of a left shoulder (posterior portal, beach chair position). The asterisk indicates what anatomic structure?
1. # Subscapularis
2. # Superior glenohumeral ligament
3. # Middle glenohumeral ligament
4. # Anterior labrum
5. # Biceps tendon
DISCUSSION: The arthroscopic image shows the anterior structures of the glenohumeral joint from a posterior portal. The asterisk indicates the middle glenohumeral ligament. Whereas there is significant variability in its appearance, the classic arrangement appears as a folded thickening in the anterior capsule that crosses the subscapularis tendon at a 45-degree angle to insert on the anterior superior neck of the glenoid, on the labrum, or just medial to it. The subscapularis is seen anterior to the middle glenohumeral ligament. The superior glenohumeral ligament and biceps tendon are not visible in this image. The Preferred Response to Question # 93 is 3.
15. # 94a 94b 94c A 31-year-old woman reports right shin pain that is constant in nature, not associated with activity, and periodically awakens her from sleep at night. The patient states that nonsteroidal anti-inflammatory drugs help alleviate the pain. Radiographs and a CT scan are shown in Figures 94a through 94c. What is the most likely diagnosis?
1. # Osteoid osteoma
2. # Fibrous dysplasia
3. # Stress fracture
4. # Enchondroma
5. # Osteoma
DISCUSSION: The radiographs reveal a nonaggressive-appearing lytic lesion of the tibial cortex that lacks the usual reactive sclerosis (cortical and periosteal reaction) that is often seen
with osteoid osteoma, but is not a uniform finding. The CT scan clearly demonstrates an intracortical lucent nidus with a small amount of mineralization. This appearance, along with the
history of pain relief with the use of nonsteroidal anti-inflammatory drugs, is strongly suggestive of osteoid osteoma. Osteomas are always present as a dense bony mass and are usually juxtacortical. The other choices listed would not have this type of history or imaging appearance. The Preferred Response to Question # 94 is 1.
16. # What is the most common site of posterior interosseous nerve compression in radial tunnel syndrome?
1. # Fibrous bands superficial to the radiocapitellar joint
2. # Radial recurrent artery branches (leash of Henry)
3. # Fibrous edge of the supinator (arcade of Frohse)
4. # Distal edge of the supinator
5. # Tendinous margin of the extensor carpi radialis brevis (ECRB)
DISCUSSION: The five compression sites described in radial tunnel syndrome are: the distal edge of the supinator; fibrous bands superficial to the radiocapitellar joint; tendinous margin of the extensor carpi radialis brevis (ECRB); radial recurrent artery (leash of Henry); and the most common site of compression, the fibrous edge of the supinator (arcade of Frohse). The tendinous portion of the supinator is next to the bone and does not compress the posterior interosseous nerve. The Preferred Response to Question # 95 is 3.
17. # What are the two most important pulleys to preserve/reconstruct during flexor tendon surgery?
1. # A1 and A2
2. # A2 and C3
3. # A2 and A3
4. # A2 and A4
5. # A3 and C4
DISCUSSION: If the flexor tendon sheath is nonfunctional or a surgical approach to the flexor tendons is being performed, the minimum preservation/reconstruction should include the A2 and A4 pulleys. Ideally, the surgeon should reconstruct a pulley both proximal and distal to each joint to minimize bowstringing and maximize excursion. The Preferred Response to Question # 96 is 4.
18. # When releasing a proximal interphalangeal (PIP) joint flexion contracture, the check rein ligaments are released first, followed by which of the following structures?
1. # Proper collateral ligament from the proximal phalanx
2. # Proper collateral ligament from the middle phalanx
3. # Extensor tendon
4. # Dorsal capsule
5. # Accessory collateral ligament and volar plate
DISCUSSION: When releasing a PIP joint flexion constracture, each step should be followed by an attempt to extend the PIP joint. If there is no passive extension, then the next stage is performed. The steps for a volar approach PIP flexion contracture release are as follows: retract the flexor tendons after appropriate pulley takedown; release check rein ligaments; then accessory collateral ligament and volar plate; and finally the proper collateral ligament is then released off the proximal phalanx. Extensor tenolysis only needs to be performed if there is no active extension.
The Preferred Response to Question # 97 is 5.
19. # 98a 98b 98c 98d A 35-year-old woman reports the insidious onset of shoulder pain for the past several weeks. Figures 98a through 98d show the radiograph and MRI scans of the shoulder. What is the most likely diagnosis?
1. # Impingement syndrome
2. # Adhesive capsulitis
3. # Partial-thickness rotator cuff tear
4. # Full-thickness rotator cuff tear
5. # Calcific tendinitis
DISCUSSION: Calcific tendinitis of the rotator cuff is a common disorder of unknown etiology. It typically affects women more often than men, and usually involves the supraspinatus and/or the infraspinatus. The radiograph shows the typical calcific deposition. MRI sequences show the typical globular area of low signal intensity abnormality located in the supraspinatus tendon. There is no significant acromial spurring to indicate impingement syndrome, and no evidence of partial-or full-thickness rotator cuff tearing. Adhesive capsulitis is a clinical diagnosis that has no consistent radiographic findings. The Preferred Response to Question # 98 is 5.
20. # While performing a medial approach to the hip, the superficial dissection takes place between the gracilis and the adductor longus muscles. The deeper dissection takes place between what two muscles?
1. # Adductor longus and adductor brevis
2. # Adductor longus and pectineus
3. # Adductor brevis and adductor magnus
4. # Adductor magnus and semimembranosus
5. # Pectineus and iliopsoas
DISCUSSION: The deep dissection in the medial approach to the hip takes place in the interval between the adductor brevis and the adductor magnus. Whereas the tissue planes open more easily between the adductor longus and the adductor brevis, that interval takes the surgeon onto the profundus vessels and is more difficult to expose proximally. The longus and pectineus interval is too anterior and also puts the profundus at risk. The pectineus and iliopsoas interval is too anterior. The adductor magnus and semimembranosus interval is too posterior. The Preferred Response to Question # 99 is 3.
21. # A 34-year-old woman reports pain, swelling, and loss of knee motion that has been present for more than 3 years. Examination reveals fullness around the knee, a joint effusion, limited knee flexion, and tenderness to deep posterior palpation. Figure 100 shows a lateral radiograph of the knee. What is the most likely diagnosis?
1. # Chondrosarcoma
2. # Lymphoma of bone
3. # Aggressive fibrous dysplasia
4. # Parosteal osteosarcoma
5. # Metastatic carcinoma
DISCUSSION: The lateral radiograph reveals a mineralized lesion that is lobulated and appears to be stuck onto the metaphyseal surface of the bone over a broad area. This is the common appearance of a parosteal osteosarcoma, which presents in the posterior aspect of the distal femur approximately 75% of the time. Note that this mineral density is rather "cloud-like," suggestive of ossification. None of the other lesions listed have the classic, surface appearance of this tumor, which is more common in women than in men, and generally presents in the third and fourth decades. Whereas surface chondrosarcoma is a recognized entity, it tends to be more destructive of the cortex and radiographically demonstrates "rings and arcs" calcifications. The Preferred Response to Question # 100 is 4.
You Might Also Like